Болезнь Альцгеймера - синонимы, диагностика, лечение, прогноз
Добавил пользователь Евгений Кузнецов Обновлено: 28.01.2026
Информацию из данного раздела нельзя использовать для самодиагностики и самолечения. В случае боли или иного обострения заболевания диагностические исследования должен назначать только лечащий врач. Для постановки диагноза и правильного назначения лечения следует обращаться к Вашему лечащему врачу.
Для корректной оценки результатов ваших анализов в динамике предпочтительно делать исследования в одной и той же лаборатории, так как в разных лабораториях для выполнения одноименных анализов могут применяться разные методы исследования и единицы измерения.
Болезнь Альцгеймера: причины появления, симптомы, диагностика и способы лечения.
Определение
Болезнь Альцгеймера — хроническое дегенеративное заболевание головного мозга, характеризующееся резким снижением интеллектуальных способностей вплоть до тотального распада интеллекта и психической деятельности. Болезнь получила свое название по имени доктора Алоиса Альцгеймера, который в 1906 году впервые описал это заболевание.
Память — сложный процесс, который можно условно разделить на две составляющие — процесс запоминания и процесс воспроизведения. При болезни Альцгеймера нарушается именно процесс запоминания. Есть такой термин «консолидация следа памяти», который обозначает процесс перехода поступившей в мозг информации из кратковременной памяти в долговременную. Он до конца не изучен, но у пациентов с болезнью Альцгеймера этот процесс утрачивается. Им не помогают ни обучение, ни заучивание стихотворений — каждый день для них начинается с чистого листа.
Заболевание вызывает повреждение нейронов и отмирание клеток коры головного мозга, ответственных за память и формирование эмоций.

Это приводит к снижению умственных способностей, скорости мышления, реакции, способности справляться с ежедневными делами, ориентироваться в пространстве и критически оценивать свои действия. Происходит значимое нарушение бытовой, профессиональной, социальной самостоятельности и повседневной адаптации.
Причины появления болезни Альцгеймера
Точные причины развития болезни Альцгеймера не до конца понятны. Известно лишь, что в ее основе лежит патологическая активность специфических белков бета-амилоидов и тау-белков:
- бета-амилоиды оказывают токсическое воздействие на нейроны и нарушают межклеточную связь;
- тау-белки нарушают транспортную систему нейронов и токсичны для клеток головного мозга.
Кроме того, при болезни Альцгеймера организм испытывает недостаток фермента, необходимого для образования нейромедиатора ацетилхолина, который является важным участником межклеточной коммуникации.
Патологические формы бета-амилоида образуются у всех людей, но они элиминируются (выводятся) из мозга и проблем не вызывают. Современная гипотеза о развитии заболевания заключается в том, что болезнь возникает именно из-за нарушения элиминации. Белок накапливается в мозге и, превысив определенный порог, запускает болезнь. К нарушению элиминации этого белка причастны разные факторы риска — возраст, вредные привычки (курение, чрезмерное употребление алкоголя), сосудистые патологии, генетическая предрасположенность.
Считается, что при нормальном ночном сне «очищение» мозга от бета-амилоидов происходит в 10 раз активнее, чем днем.
Заболевание вдвое чаще встречается у женщин, чем у мужчин, что отчасти связано с большей продолжительностью жизни женщин. Преобладание количества больных в развитых странах связано с увеличением доли пожилых людей.
Наследственные формы, которые на сегодня четко обозначены, по самым максимальным оценкам составляют до 10% от всех случаев заболевания. Они связаны с мутацией трех генов, которые участвуют в формировании патологических форм белка бета-амилоида.
Другие факторы риска:
- неконтролируемая артериальная гипертензия в среднем и пожилом возрасте;
- атеросклероз крупных артерий головы;
- гиперлипидемия;
- гипергомоцистеинемия;
- сахарный диабет;
- избыточная масса тела;
- гиподинамия;
- хроническая гипоксия;
- черепно-мозговые травмы в анамнезе.
Болезнь Альцгеймера с ранним началом (до 65 лет - так называемый пресенильный вариант) характеризуется быстрым прогрессированием ухудшения памяти, интеллектуальной деятельности и высших корковых функций. Это приводит к раннему развитию тотальной деменции с выраженным распадом речи, жизненных навыков и нарушению различных видов восприятия (зрительного, слухового, тактильного). Для этой формы характерен семейный анамнез заболевания.
Болезнь Альцгеймера с поздним началом (после 65 - сенильный вариант) прогрессирует медленнее, нарушения памяти длительное время остаются главным симптомом. В дальнейшем при неуклонном развитии заболевания наблюдается тотальная деменция по типу амнезии. Относительно редко возникают тяжелые корковые очаговые расстройства, приводящие к параличу.
Кроме того, предусмотрено выделение атипичной формы, или деменции смешанного типа, когда сочетаются симптомы, характерные как для болезни Альцгеймера, так и для сосудистой деменции.
Симптомы болезни Альцгеймера
Для болезни Альцгеймера доминирующим симптомом является нарушение памяти на текущие события, при этом долговременная память сохраняется неплохо. Наиболее частым ранним признаком болезни Альцгеймера является проблема с запоминанием новой информации, поскольку болезнь обычно поражает в первую очередь ту часть мозга, которая связана с обучением.
Гипосмия (снижение обонятельной функции) считается докогнитивным симптомом. То есть прежде чем начнутся первые проблемы с памятью или мышлением, человек перестает четко различать запахи.

Основные симптомы болезни Альцгеймера:
- амнезия - потеря памяти, забывчивость;
- утрата способности концентрировать внимание;
- апраксия (утрата практических навыков, например, одевания, завязывания шнурков, приготовления кофе и пр.);
- потеря ориентации во времени и пространстве;
- нарушение когнитивных (познавательных) функций;
- агнозия (отсутствие интерпретации воспринимаемой информации);
- моторная афазия (нарушение речи, невнятная речь);
- апатия (отсутствие интереса к жизни, потеря интереса к прежним увлечениям и любимым занятиям);
- проблемы в самообслуживании и общении с другими людьми.
Даже у относительно молодых людей с отчетливыми депрессивными проявлениями возникают органические изменения в мозге, например, атрофия гиппокампа (части мозга, которая участвует в формировании эмоций, регистрации новой информации и пространственной памяти).
Все указанные симптомы проявляются постепенно, на начальных этапах больной может не ощущать серьезных проблем. По мере прогрессирования заболевания способность к критической оценке и внимание снижаются, а ухудшение памяти начинает выражаться сильнее. Люди с болезнью Альцгеймера забывает дату, день недели и год, свой домашний адрес и не узнают место, где находятся в данный момент времени. Потом присоединяются все новые и новые симптомы — речь становится более простой, слова выпадают из памяти и часто заменяются похожими по смыслу, теряется узнавание предметов и их функционального назначения, начинают страдать жизненные навыки - пользование даже обычными бытовыми приборами становится проблемой. В большинстве случаев пациенты не замечают изменения вокруг и в себе, хотя иногда могут быть моменты прояснения, и понимание становится более ясным.
Постепенно уменьшается способность узнавать близких. На поздних стадиях болезни полностью утрачивается способность говорить и понимать речь других. Все прежние навыки человека исчезают, он больше не может встать с постели, одеться, пойти в туалет и самостоятельно поесть.
У пациентов с болезнью Альцгеймера часто наблюдаются расстройства психики и поведения, появляются раздражительность, агрессивность, перепады настроения, необоснованное чувство страха, тревожность, подозрительность, нарушения сна (трудности с засыпанием, нарушение суточного режима, ночные блуждания).
Диагностика болезни Альцгеймера
Как правило, диагностика болезни Альцгеймера схожа с диагностикой других видов деменции. Но несмотря на клинические и специфические лабораторные и визуализационные характеристики, окончательный диагноз может быть подтвержден только гистологическим исследованием ткани мозга.
При наличии у пациента или его близких жалоб на снижение памяти, профессиональную и социальную дезадаптацию проводят:
- объективное обследование для выявления характерных клинических признаков деменции;
- сбор анамнеза и выяснение семейной истории болезни Альцгеймера;
- исследование психического статуса.
Клинические критерии позволяют с 85% точностью установить диагноз и дифференцировать болезнь Альцгеймера от иных вариантов деменции, таких как сосудистая деменция или деменция с тельцами Леви.
Для выявления других поддающихся лечению причин деменции и нарушений, которые могут усугубить симптомы, проводятся лабораторные исследования:
- генетическая предрасположенность к атеросклерозу и болезни Альцгеймера;
Тест используется для диагностики гиперлипидемии III типа, а также для прогноза развития болезни Альцгеймера Аполипопротеин E (ApoE) - гликопротеин плаз.
Болезнь Альцгеймера
Болезнь Альцгеймера - симптомы и лечение
Что такое болезнь Альцгеймера? Причины возникновения, диагностику и методы лечения разберем в статье доктора Поляковой Татьяны Акимовны, невролога со стажем в 13 лет.
Над статьей доктора Поляковой Татьяны Акимовны работали литературный редактор Елена Бережная , научный редактор Сергей Федосов

Определение болезни. Причины заболевания
Болезнь Альцгеймера — это хроническое нейродегенеративное заболевание, с медленным началом и значительным ухудшением с течением времени. В 70 % случаев болезнь Альцгеймера приводит к деменции.

Этиология. Факторы риска
Заболевание на данный момент изучено плохо. Предполагается, что в 70% случаев болезнь Альцгеймера объясняется генетическими причинами, например недавно обнаружено, что риск развития заболевания выше у женщин с аллелем APOE ε4 (мутация в гене MGMT) [15] . С реди других факторов риска — черепно-мозговые травмы, депрессия, эндокринные заболевания в анамнезе (гипотиреоз), эстрогенная недостаточность у женщин.
Сопутствующие заболевания
Исследования последних лет показывают, что усиливают предрасположенность к болезни Альцгеймера гипертония, гиперлипидемия, гипергомоцистеинемия, сахарный диабет, метаболический синдром, инсулинорезистентность, заболевания сердца, а также наличие в истории болезни инсульта [1] .
Статистические данные
Болезнь Альцгеймера — наиболее распространённая форма деменции, она встречается в 60-70 % случаев. В мире деменцией страдают около 50 миллионов человек, каждый год выявляется 10 миллионов новых случаев [12] .
В развитых странах болезнь Альцгеймера является одним из наиболее дорогостоящих заболеваний. В России затраты на содержание больных деменцией составляют 74,8 млрд рублей в год [2] .
Распространённость и факторы риска
Заболевание более распространено среди женщин. Предположительно, это связано со следующими факторами:
- продолжительность жизни женщин больше, чем мужчин, а возраст — самый значимый фактор риска развития болезни Альцгеймера;
- риск развития болезни увеличивается на 70 % для людей с депрессией, у женщин она встречается чаще;
- более низкий уровень образования связан с повышенным риском деменции, в некоторых странах у женщин уровень образования ниже, чем у мужчин;
- при беременности часто возникают гипертонические расстройства, они связаны с повышенным риском ухудшения когнитивных функций даже спустя десятилетия после беременности [13] .
При обнаружении схожих симптомов проконсультируйтесь у врача. Не занимайтесь самолечением - это опасно для вашего здоровья!
Симптомы болезни Альцгеймера
Признаки болезни Альцгеймера на ранней стадии часто ошибочно принимаются за нормальные признаки старения.
Кратковременная потеря памяти — наиболее распространенный ранний симптом болезни Альцгеймера, который выражается в том, что больному трудно запоминать последние события. В трети случаев заболевание можно распознать по изменениям поведения.
По мере усугубления болезни возникают следующие симптомы:
- проблемы с речью;
- дезориентация;
- перепады настроения;
- потеря мотивации;
- снижение критики;
- больные не в состоянии вспомнить нужное слово, и им приходится заменять его другим (парафазии), однако они хорошо повторяют сказанное.
- со временем возникают затруднения при назывании предметов (аномии).
- уже на ранней стадии возникают трудности с пониманием сложных грамматических структур (семантическая афазия), к которому затем присоединяется отчуждение смысла слова. [3]
Важный признак болезни Альцгеймера — нарушение способности справляться с повседневностью. При заболевании возникают проблемы с самообслуживанием и поведенческие расстройства.
Признаки болезни Альцгеймера у мужчин и женщин
Признаки болезни Альцгеймера у женщин и мужчин схожи, однако у женщин она чаще сопровождается депрессией.
Патогенез болезни Альцгеймера
Существуют отличительные патоморфологические признаки болезни Альцгеймера: амилоидные (сенильные) бляшки — это внеклеточные отложения в виде скопления фрагмента белка, называемые бета-амилоидом; нейрофибриллярные клубочки — скрученные микроскопические нити тау-белка внутриклеточной локализации. Происходит потеря связи между клетками мозга, ответственными за память, обучение и общение. Эти соединения, или синапсы, передают информацию из клетки в клетку. Важная роль в патогенезе принадлежит воспалительному процессу, связанному с активацией микроглии, которая инициируется накоплением амилоида. [1]
Патофизиология болезни Альцгеймера:

Макроскопически выявляется диффузная атрофия головного мозга с уменьшением объёма извилин и расширением боковых борозд, наиболее выраженная в височно-теменной области.
У значительной части больных цереброваскулярная патология может инициировать или усиливать дегенеративный процесс, связанный с отложением амилоида или другими характерными для заболевания изменениями.
Классификация и стадии развития болезни Альцгеймера
Типичный фенотип болезни Альцгеймера — сочетание выраженных мнестических нарушений гиппокампального типа с акустико-мнестической афазией, зрительно-пространственными нарушениями и апраксией. [3]
Три атипичных фенотипа болезни Альцгеймера (неамнестических):
- с ведущим афатическим дефектом (логопенический вариант первичной прогрессирующей афазии);
- с доминирующими зрительно-пространственными нарушениями (задняя корковая афазия);
- преимущественно с дизрегуляторными нарушениями (лобный вариант болезни Альцгеймера).
Заболевание также подразделяется на формы с ранним началом, зачастую с положительным семейным анамнезом (до 65 лет) и поздним началом (старше 65 лет). Они отличаются патогенезом, генетическими факторами и разной скоростью прогрессирования.

Три стадии болезни Альцгеймера:
Первая (предеменция, ранняя деменция): больные обслуживают себя сами, но им нужна помощь для решения финансовых вопросов, приготовления пищи и т. д.
Вторая (умеренная деменция): зависимость от посторонней помощи растет — больные не способны самостоятельно одеться, осуществить гигиенические процедуры, долго оставаться дома без присмотра.
Третья (тяжёлая деменция): больные не могут выполнить ни одно из привычных повседневных действий без помощи других людей.
Переход от одной стадии к другой коррелирует со снижением оценки по MMSE (Краткая шкала психического статуса), которая является надежным инструментом для отслеживания динамики заболевания.
Осложнения болезни Альцгеймера
Продолжительность жизни людей с болезнью Альцгеймера после установления диагноза обычно колеблется от трех до десяти лет. Более четырнадцати лет после установления диагноза живут менее 3% больных. Уменьшение выживаемости связано с тяжелыми когнитивными нарушениями, снижением уровня физической активности, частыми падениями и нарушениями в неврологическом статусе. Сопутствующие соматические заболевания также влияют на продолжительность и качество жизни при болезни Альцгеймера. Пневмония и обезвоживание — наиболее частые непосредственные причины смерти, вызванной болезнью Альцгеймера. Кроме того, чем старше возраст, тем выше общий возраст выживаемости. У мужчин прогноз менее благоприятен по сравнению с женщинами.
Диагностика болезни Альцгеймера
Трудности ранней диагностики болезни Альцгеймера во многом объясняются "маскированным" характером заболевания в этот период, когда отсутствуют явные внешние признаки деменции. Для постановки диагноза, определения тактики ведения пациента необходимо выявить характер и выраженность когнитивных нарушений.
Нейропсихологический тест
Основной метод оценки когнитивных функций — нейропсихологическое обследование, которое проводит врач, обученный данным методам исследования. В некоторых странах практикуется обследование больных их родственниками с помощью шкал для оценки когнитивных функций: монреальской когнитивной шкалы, Адденбрукской, шкала краткого исследования психических функций MMSE.
Биомаркеры болезни Альцгеймера
Молекулярная диагностика на ранней стадии заболевания также создаёт перспективы для раннего назначения лечения болезни Альцгеймера. Определение биомаркеров в плазме является менее инвазивной альтернативой для диагностики болезни Альцгеймера. Биомаркеры классифицируются на биомаркеры накопления амилоида и биомаркеры нейродегенерации. Основные биомаркеры отражают патологию амилоида (внеклеточное накопление Aβ1-40/1-42) или внутриклеточные включения нейрофибриллярных клубочков (гиперфосфорилированного тау). [4] [5]
Согласно рекомендациям 4-го Канадского консенсуса по диагностике и лечению деменции и рациональному использованию биомаркеров для диагностики болезни Альцгеймера и других деменций (CCCDTD4, 2011): [6]
1. Определение биомаркеров цереброспинальной жидкости не рекомендуются для диагностики болезни Альцгеймера с типичной клинической картиной (2А уровень).
2. Исследование биомаркеров не рекомендуется для скрининга здоровых людей с целью оценки риска развития болезни Альцгеймера в будущем (уровень 1В).
3.Биомаркеры цереброспинальной жидкости можно рассматривать в особых случаях, когда есть атипичные признаки или диагностические трудности при дифференциальной диагностике лобного варианта болезни Альцгеймера от лобно-височной деменции, а также случаи первично прогрессирующей афазии как следствие болезни Альцгеймера или лобно-височной дегенерации (уровень 2В).
МРТ и КТ головного мозга
Современные методы нейровизуализации — магнито-резонансная томография и компьютерная томография головного мозга — позволяют расширить диагностические возможности прижизненной диагностики болезни Альцгеймера.
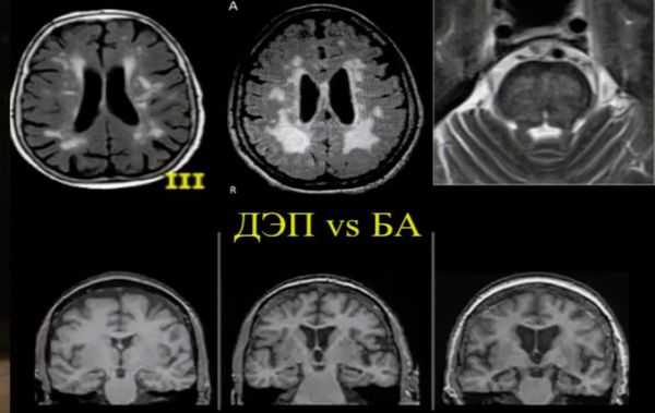
МРТ и КТ проводят для выявления поддающихся лечению причин деменции и нарушений, которые могут усугубить симптомы. Структурные изменения по данным магнитно-резонансной томографии являются более прогностически значимыми для дальнейших изменений в когнитивной сфере, чем биомаркеры цереброспинальной жидкости. По данным магнитно-резонансной томографии, признаки цереброваскулярного заболевания, такие как лейкоареоз и множественные подкорковые лакунарные инфаркты, чаще наблюдаются у пациентов с болезнью Альцгеймера, чем в контрольной группе. [7] Асимметричная атрофия медиальных отделов височной доли также не исключает сосудистую деменцию.

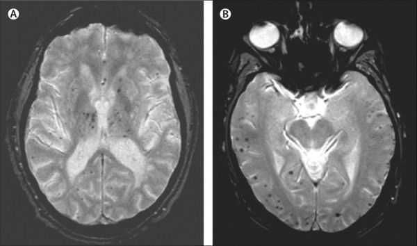
Описана смешанная модель патогенеза болезни Альцгеймера, которая предполагает взаимодействие церебральной амилоидной ангиопатии с сосудистыми факторами на ранних стадиях патологического процесса. Предполагается, что синергия между накоплением амилоида и цереброваскулярной патологией может инициировать дальнейшую дисфункцию нейронов и нейродегенерацию. [8] В этом отношении церебральные микрокровоизлияния, выявляемые в режиме Т2 градиентного эхо на магнитно-резонансной томографии, являются дополнительным и доступным диагностическим маркером, повышающим диагностическую значимость лейкоареоза и свидетельствующим в пользу церебральной амилоидной ангиопатии или гипертонической микроангиопатиии, особенно в случаях смешанной патологии и тяжелого когнитивного дефицита.
Локализация церебральных микрокровоизлияний является дифференциально-диагностическим признаком ведущего патологического процесса. В случае болезни Альцгеймера наблюдается корковая локализация микрокровоизлияний, в случае дисциркуляторной энцефалопатии или сосудистой деменции будут визуализироваться микрокровоизлияния в глубинных отделах мозга. [9] [10]

Одним из наиболее перспективных методов диагностики болезни Альцгеймера является позитронно-эмиссионная томография с лигандом, который связывается с амилоидом (PiB), однако накопление амилоида и захват соответствующего лиганда нарастают на стадии умеренных когнитивных нарушений, но после конверсии в деменцию дальнейшего накопления не происходит. [11]
Лечение болезни Альцгеймера
Болезнь Альцгеймера пока не поддается лечению. Но благодаря группе новых препаратов и симптоматическому лечению Альцгеймера можно сделать так, что снижение интеллекта больных будет более постепенным.
Лекарства
К таким средствам относятся:
- ингибиторы холинэстеразы (донепезил, ривастигмин, галантамин)
- блокаторы NMDA-глутаматных рецепторов (акатинол-мемантин).
Облегчение расстройств психики и поведения, сопровождающих болезнь Альцгеймера
С целью лечения сопутствующих расстройств психики и поведения используются также антидепрессанты и нейролептики.
Поддерживающие методы
Существуют и нелекарственные методы воздействия — тренировки интеллектуальных функций. Нейропсихологическая реабилитация позволяет стимулировать к развитию новых нейронный сетей, обучая рабочие нервные клетки.
Специальная диета при болезни Альцгеймера не требуется: питание не влияет на развитие заболевания.
Прекращение лечения
Причиной для прекращения приёма антидементных препаратов может стать выраженная брадикардия, но это осложнение возникает крайне редко.
Рекомендации для ухаживающих за близкими с болезнью Альцгеймера
При уходе за больным человеком важно организовать для него безопасное и удобное пространство.
Также важно внимательно выбирать обувь и одежду.

Такими занятиями могут быть:
- прогулки;
- общение с домашними животными;
- уход за растениями;
- наблюдения за рыбками в аквариуме;
- прослушивание радиопередач и музыки;
- творчество, например лепка и живопись;
- чтение книг, при невозможности это могут делать близкие люди вслух.
Ухаживая за больным, не следует игнорировать своё здоровье. Пациенту нужно обеспечить нормальное питание, режим, активный образ жизни — это в полной мере относится и к близким больного человека.
Где обеспечивают уход при болезни Альцгеймера
Государственных специализированных пансионатов по уходу за людьми с болезнью Альцгеймера в нашей стране пока нет.
Прогноз. Профилактика
С увеличением осведомлённости общества о деменции будет расти и потребность в помощи по уходу, понадобятся значительные затраты для её организации. Пока же преобладает в основном неформальная помощь в семьях. Усилия по улучшению качества и доступности помощи потребуют вложений в меры первичной профилактики, и возможно, это позволит контролировать "эпидемии" деменций в разных регионах мира. В качестве основных мишеней первичной профилактики рассматриваются улучшение образования и устранение сосудистых факторов риска.
Профилактика
На сегодняшний день одной из основных целей профилактики является создание различных новых форм внебольничной помощи пациентам пожилого и старческого возраста с целью улучшения диагностики когнитивных нарушений разной степени тяжести, более раннее выявление заболеваний. С такой целью в развитых странах созданы клиники памяти, Альцгеймеровские центры. [2]
Человек с деменцией обращен в прошлое. Больных надо аккуратно «тормошить» и в интеллектуальном плане, и в двигательном. Неподвижность плохо влияет на мозг. Лучший способ сохранить разум, это, как ни странно, даже не интеллектуальная деятельность, а двигательная активность. Именно в этом случае в мозге создаются условия, которые способствуют образованию новых связей между нейронами и укреплению мозгового резерва, что впоследствии противодействует развитию деменции.
Недавно было обнаружено, что вероятность развития болезни Альцгеймера у пожилых людей на 40 % ниже, если они хотя бы раз вакцинировались от гриппа . Защитное действие вакцины сохранялось в течение 4 лет. Причины этого пока неясны. Есть три версии:
- предотвращая или облегчая течение гриппа, вакцина препятствует развитию системного воспаления, которое способствует развитию болезни Альцгеймера;
- вакцина влияет на иммунные клетки мозга, и они лучше справляются с нарушениями, связанными с болезнью Альцгеймера;
- люди, которые вакцинируются, лучше заботятся о своём здоровье, что в целом снижает риск болезни Альцгеймера [16][17] .
Продолжительность жизни
В среднем люди с болезнью Альцгеймера живут 3 - 11 лет после выявления заболевания, но некоторые — 20 лет и более. Продолжительность жизни зависит от степени нарушений при постановке диагноза [14] .
Юридические вопросы
Требования для признания гражданина недееспособным раскрываются в статье 29 Гражданского кодекса РФ. Потеря дееспособности компенсируется больному человеку установлением опёки. Опекун "восполняет" утраченные возможности гражданина, признанного недееспособным, и действует в его интересах.
Процедура признания гражданина недееспособным описана в 31 главе Гражданского процессуального кодекса РФ, в статьях 281-285.
Болезнь Альцгеймера — прогрессирующая форма сенильной деменции, приводящая к полной утрате когнитивных способностей, развивающаяся преимущественно после 60-65 лет. Клинически проявляется возникающим исподволь и постоянно прогрессирующим расстройством когнитивных способностей: внимания, памяти, речи, праксиса, гнозиса, психомоторной координации, ориентации и мышления. Диагностировать болезнь Альцгеймера позволяет тщательный сбор анамнеза, ПЭТ головного мозга, исключение других типов деменции при помощи ЭЭГ, КТ или МРТ. Лечение является паллиативным, включает медикаментозную (ингибиторы холинэстеразы, мемантин) и психосоциальную (арт-терапия, психотерапия, сенсорная интеграция, симуляция присутствия) терапию.
МКБ-10

Общие сведения
Болезнь Альцгеймера получила свое название по фамилии немецкого психиатра впервые описавшего ее в 1906 г. Заболеваемость в среднем колеблется от 5 до 8 чел. на 1000 населения, что составляет около половины всех случаев диагностики деменции. В мировом масштабе по данным 2006 г. количество пациентов, имеющих болезнь Альцгеймера, составила 26,5 млн. человек. Отмечается четкая тенденция роста заболеваемости, что делает проблему диагностики и лечения этой патологии одной из важных задач современной психиатрии и неврологии.
Характерна значительная корреляция между заболеваемостью деменцией альцгеймеровского типа и возрастом. Так, в возрастной группе 65 лет отмечается около 3 случаев болезни на 1000 человек, а среди людей в возрасте 95 лет уже 69 случаев на 1000. Показатель распространенности данной патологии в развитых странах значительно выше, поскольку их население имеет большую продолжительность жизни. Среди женщин болезнь Альцгеймера встречается чаще, чем среди мужчин, что частично связывают с более высокой, в сравнении с мужчинами, продолжительностью их жизни.
Причины
До сих пор этиопатогенез деменции альцгеймеровского типа остается загадкой для ученых и практиков в области медицины. Не установлена связь с какими-либо внешними факторами, запускающими болезнь Альцгеймера. Известно только, что морфологическим субстратом болезни является образование внутринейрональных нейрофибриллярных сплетений и церебральных скоплений бета-амилоида, так называемых «сенильных бляшек», что приводит к дегенерации и гибели нейронов. Отмечается также понижение уровня холинацетилтрансферазы. Эти особенности легли в основу 3 основных гипотез, пытающихся объяснить, как развивается болезнь Альцгеймера.
Более старой является холинергическая теория возникновения заболевания, связывающая его с дефицитом ацетилхолина. Однако результаты клинических исследований показали неспособность препаратов ацетилхолина хотя бы частично или временно купировать болезнь Альцгеймера. Амилоидная гипотеза развития болезни существует с 1991 г. Согласно ей основой патологии являются скопления бета-амилоида. Интересно, что ген, кодирующий белок-предшественник бета-амилоида, входит в состав 21-й хромосомы, трисомия которой лежит в основе синдрома Дауна. При этом у всех больных синдромом Дауна, достигших 40-летнего возраста, наблюдается альцгеймер-подобная патология.
Предрасполагающими факторами синтеза патологического бета-амилоида названы недостаточность процессов митохондриального окисления, более кислая реакция межклеточной среды, увеличенное количество свободных радикалов. Отложения патологического амилоида отмечаются как в мозговой паренхиме, так и в стенках церебральных сосудов. Следует отметить, что подобные отложения характеризуют не только болезнь Альцгеймера, они наблюдаются при церебральных гематомах врожденного генеза, синдроме Дауна и при нормально протекающих процессах старения.
По третьей гипотезе болезнь Альцгеймера связана с гибелью нейронов в результате накопления в них гиперфосфорилированного тау-протеина, нити которого склеиваются и образуют клубки. Согласно тау-гипотезе накопление белка связано с дефектом в его структуре; образование сплетений обуславливает дезинтеграцию внутринейронального транспорта, что в свою очередь приводит к нарушению передачи сигналов между нейронами, а затем и к их разрушению. С другой стороны, образование нейрофибриллярных клубков наблюдается и при других церебральных дегенерациях (например, при прогрессирующем надъядерном параличе и фронтотемпоральной атрофии). Поэтому многие исследователи отрицают самостоятельное патогенетическое значение тау-белка, считая его накопления следствием массового разрушения нейронов.
Среди возможных причин, запускающих болезнь Альцгеймера, называют синтез патологического аполипопротеина Е. Последний обладает сродством к амилоидному протеину и принимает участие в транспортировке тау-белка, что может лежать в основе типичных морфологических изменений заболевания, описанных выше.
По мнению многих исследователей болезнь Альцгеймера генетически детерминирована. Определены 5 основных генетических участков, с которыми связывают развитие заболевания. Они расположены на 1, 12, 14, 19 и 21 хромосомах. Мутации в этих локусах приводят к нарушениям протеинового обмена церебральных тканей, влекущим за собой накопление амилоида или тау-белка.
В типичных случаях болезнь Альцгеймера манифестирует у лиц старше 60-65 лет. Крайне редко встречаются случаи ранней формы заболевания, возникающие в период от 40 до 60 лет. Деменция альцгеймеровского типа характеризуется малозаметным и длительным началом, неуклонным прогрессированием без периодов улучшения состояния. Основным субстратом заболевания являются расстройства высших нервных функций. К последним относятся: кратковременная и долговременная память, внимательность, пространственно-временная ориентация, психомоторная координация (праксис), способность к восприятию различных аспектов внешнего мира (гнозис), речь, контроль и планирование высшей нервно-психической деятельности. Болезнь Альцгеймера подразделяют на 4 клинические стадии: предеменцию, раннюю, умеренную и тяжелую деменцию.
Предеменция
На стадии предеменции возникают малозаметные когнитивные затруднения, зачастую выявляемые лишь в ходе детального нейрокогнитивного тестирования. От момента их появления до верификации диагноза, как правило, проходит 7-8 лет. В подавляющем большинстве случаев на первый план выходят нарушения памяти на недавние события или полученную накануне информацию, значительные затруднения при необходимости запомнить что-то новое. Некоторые проблемы с исполнительными функциями: когнитивной гибкостью, способностью сосредоточиться, планированием, абстрактным мышлением и семантической памятью (затрудненное вспоминание значения некоторых слов) обычно остаются незамеченными или «списываются» на возраст пациента и физиологичные процессы старения, происходящие в его мозговых структурах. На стадии предеменции может наблюдаться апатия, являющаяся типичным нейропсихиатрическим симптомом, устойчиво присутствующим на всех стадиях заболевания.
Малая выраженность симптомов предеменции позволяет отнести ее к преклинической стадии заболевания, после которой развиваются более выраженные когнитивные изменения, характеризующие собственно болезнь Альцгеймера. Рядом авторов эта стадия именуется как мягкие когнитивные расстройства.
Ранняя деменция
Прогрессирующее ухудшение памяти приводит к настолько выраженным симптомам ее нарушения, что относить их к процессам обычного старения становиться невозможно. Как правило, это и является поводом для предположения диагноза «болезнь Альцгеймера». При этом различные виды памяти нарушаются в различной степени. Наиболее страдает краткосрочная память — способность запоминать новую информацию или недавние события. Мало страдают такие аспекты памяти, как неосознанная память заученных ранее действий (имплицитная память), воспоминания отдаленных событий жизни (эпизодическая память) и выученных когда-то давно фактов (семантическая память). Расстройства памяти зачастую сопровождаются симптомами агнозии — нарушениями слухового, зрительного и тактильного восприятия.
У отдельных пациентов на первый план в клинике ранней деменции выходят расстройства исполнительных функций, апраксия, агнозия либо нарушения речи. Последние характеризуются преимущественно снижением темпа речи, обеднением словарного запаса, ослаблением способности письменно и устно выражать свои мысли. Однако на этой стадии во время общения пациент вполне адекватно оперирует несложными понятиями.
Из-за расстройств праксиса и планирования движений при выполнении задач с применением тонкой моторики (рисование, шитье, письмо, одевание), пациент имеет неуклюжий вид. В стадии раней деменции больной еще способен независимо выполнять многие простые задачи. Но в ситуациях, требующих сложных когнитивных усилий, он нуждается в помощи.
Умеренная деменция
Прогрессирующее угнетение когнитивных функций приводит к значительному снижению способности совершать независимые действия. Очевидными становятся агнозия и расстройства речи. Отмечается парафазия — потеря грамматического строя речи и ее смысла, поскольку вместо забытых слов больные все чаще употребляют неверные слова. Это сопровождается утратой навыков письма (дисграфия) и чтения (дислексия). Нарастающее расстройство праксиса лишает пациента способности справляться даже с простыми повседневными задачами, такими как одевание-раздевание, самостоятельный прием пищи и пр.
В стадии умеренной деменции наблюдаются изменения в долговременной памяти, ранее незатронутой заболеванием. Нарушения памяти прогрессируют до такой степени, что пациенты не помнят даже своих ближайших родственников. Характерны нейропсихиатрические симптомы: эмоциональная лабильность, внезапная агрессивность, плаксивость, противление уходу; возможно бродяжничество. Примерно у 1/3 пациентов с болезнью Альцгеймера выявляется синдром ложной идентификации и др. проявления бреда. Может быть недержание мочи.
Тяжелая деменция
Речь больных сводится к употреблению отдельных фраз или единичных слов. В дальнейшем речевые навыки полностью утрачиваются. При этом длительное время сохраняется способность воспринимать и поддерживать эмоциональный контакт с окружающими. Болезнь Альцгеймера в стадии тяжелой деменции характеризуется полной апатией, хотя иногда могут наблюдаться агрессивные проявления. Пациенты истощены как психически, так и физически. Они неспособны самостоятельно совершать даже самые простые действия, с трудом передвигаются и в конечном итоге перестают подниматься с кровати. Происходит потеря мышечной массы. Из-за обездвиженности развиваются такие осложнения как застойная пневмония, пролежни и др. Именно осложнения обуславливают в конечном итоге летальный исход.
Диагностика
Одним из основных направлений диагностического поиска является сбор анамнеза и жалоб. Поскольку сам пациент на ранних стадиях заболевания зачастую не замечает происходящих с ним изменений, а при развитии деменции не может адекватно оценить свое состояние, опрос должен проводиться среди его близких. Важное значение имеют: невозможность точно определить начало когнитивных отклонений, указания на постепенный и неуклонно прогрессирующий характер усугубления симптомов, отсутствие в анамнезе церебральных заболеваний (энцефалита, внутримозговой опухоли, абсцесса головного мозга, эпилепсии, хронической ишемии, перенесенных ОНМК и др.) и черепно-мозговых травм.
Диагностировать болезнь Альцгеймера в стадии предеменции довольно затруднительно. В этот период только расширенное нейропсихологическое тестирование может выявить некоторые нарушения высших нервных функций. В ходе исследования пациентам предлагается запоминать слова, копировать фигуры, выполнять сложные арифметические действия, читать и пересказывать прочитанное.
С целью исключения других заболеваний, способных привести к развитию деменции, невролог проводит неврологический осмотр, назначает дополнительные обследования: ЭЭГ, РЭГ, Эхо-ЭГ, КТ или МРТ головного мозга. Определенное значение в подтверждении диагноза имеет выявление отложений бета-амилоида при проведении ПЭТ головного мозга с введением Питтсбургского состава B. Последнее время доказано, что еще одним маркером заболевания может служить обнаружение тау-протеина или бета-амилоида в цереброспинальной жидкости, взятой на анализ путем люмбальной пункции.
Дифференциальная диагностика деменции альцгеймеровского типа проводится с сосудистой деменцией, паркинсонизмом, деменцией с тельцами Леви, деменцией при эпилепсии и др. неврологической патологии.
К сожалению, доступные на сегодняшний день методы лечения неспособны излечить болезнь Альцгеймера или замедлить ее течение. Все попытки терапии являются по сути паллиативными и могут лишь незначительно облегчить симптомы.
Наиболее признанные медикаментозные схемы включают мемантин и антихолинэстеразные препараты. Мемантин является ингибитором глутаматных рецепторов, чрезмерная активация которых характеризует болезнь Альцгеймера и может привести к гибели нейронов. Отмечается умеренный эффект мемантина при умеренной и тяжелой деменции. При его приеме возможны побочные эффекты: головокружение, замешательство, головные боли, галлюцинации.
Ингибиторы холинэстеразы (ривастигмин, донепезил, галантамин) показали умеренную эффективность при попытках лечить болезнь Альцгеймера в стадии ранней и умеренной деменции. Донепезил может применяться при тяжелой деменции. Использование ингибиторов холинэстеразы в стадии предеменции не смогло предупредить или замедлить развитие симптомов. К побочным эффектам этих медикаментов относятся: брадикардия, снижение веса, анорексия, мышечные спазмы, гастрит с повышенной кислотностью.
В случаях, когда болезнь Альцгеймера сопровождается антисоциальным поведением, для купирования агрессии возможно назначение антипсихотиков. Однако они могут вызывать цереброваскулярные осложнения, дополнительное снижение когнитивных функций, двигательные расстройства и при длительном использовании повышают смертность больных.
Наряду с фармакологическими применяются психосоциальные методы лечения пациентов, имеющих болезнь Альцгеймера. Так, поддерживающая психотерапия направлена помощь больным с ранней деменцией адаптироваться к своему заболеванию. В стадиях более выраженной деменции используется арт-терапия, сенсорная комната, терапия воспоминаниями, симуляция присутствия, сенсорная интеграция, валидационная терапия. Эти методики не приводят к клинически значимому улучшению, однако, по мнению многих авторов, они снижают тревожность и агрессивность пациентов, улучшают их настрой и мышление, смягчают отдельные проблемы (например, недержание мочи).
Прогноз и профилактика
К сожалению, болезнь Альцгеймера имеет неутешительный прогноз. Неуклонно прогрессирующая потеря важнейших функций организма приводит к летальному исходу в 100% случаев. После постановки диагноза продолжительность жизни в среднем составляет 7 лет. Более 14 лет проживают менее 3% больных.
Поскольку болезнь Альцгеймера является важной социальной проблемой в развитых странах, проведено немало исследований, призванных определить факторы снижающие вероятность ее развития. Однако подобные исследования предоставляют противоречивые данные и до сих пор нет твердых доказательств превентивного значения хотя бы одного из рассматриваемых факторов.
Многие исследователи склонны считать интеллектуальную активность (любовь к чтению, увлечение шахматами, разгадывание кроссвордов, владение несколькими языками и т. п.) фактором, отдаляющим начало болезни и замедляющим ее прогрессирование. Отмечается также, что причинные факторы развития сердечно-сосудистой патологии (курение, сахарный диабет, повышение уровня холестерина, артериальная гипертензия) вызывают более тяжелое течение деменции альцгеймеровского типа и могут повышать риск ее возникновения.
В связи с вышесказанным, чтобы избежать болезнь Альцгеймера и затормозить ее течение, рекомендуется вести здоровый образ жизни, в любом возрасте стимулировать мышление и выполнять физические упражнения.
Читайте также:
