Болезнь Осгуда-Шляттера: атлас фотографий
Добавил пользователь Евгений Кузнецов Обновлено: 11.12.2025
Считается, что болезнь Шляттера провоцируют травмы, повышенные нагрузки на нижние конечности, а также нарушения обмена веществ, кровообращения и иннервации. Заболеванию подвержены подростки 10-16 лет, занимающиеся профессиональным спортом. Среди основных симптомов показательными являются боль ниже коленного сустава, а также появление в отмеченной области костной «шишки». Диагноз подтверждается на основании рентгена, УЗИ или МРТ. Лечение консервативное, реже - оперативное.
Диагностика болезни Осгуд-Шлаттера
- Рентгенографическое исследование коленных суставов в боковых проекциях; часто наблюдаются характерные «хоботки» в области бугристости большеберцовых костей, нередко вводящие врачей в заблуждение; изолированные костные фрагменты небольших размеров, иногда в количестве 1-2-3. Картина представляется очень разнообразной, напоминающей дробления, искривления и надломы эпифизарного отростка.
- Радиоизотопное сканирование
- Ультразвуковое исследование коленного сустава
Болезнь Осгуда — Шляттера Болезнь Осгуда-Шлаттера в футболе Болезнь Осгуда-Шлаттера Болезнь Шляттера коленного сустава …
- ↑ Что такое ШЛЯТТЕРА БОЛЕЗНЬ — Большая Медицинская Энциклопедия
Лечение болезни Осгуда-Шляттера
- исключение или значительное снижение интенсивности физических нагрузок;
- ношение фиксирующих повязок, ортезов;
- кинезиотейпироание;
- медикаментозное лечение состоит в применении обезболивающих и противовоспалительных препаратов;
- физиотерапевтические методы (магнитотерапия, грязелечение, парафинотерапия, ударно-волновая терапия, УВЧ, массаж, электрофорез,тейпирование);
- занятия ЛФК, направленные на растягивание четырёхглавой мышцы бедра и подколенных сухожилий, усиление мышц бёдер, увеличение стабильности коленного сустава.
Случай из нашей реабилитационной практики
Молодой человек 16 лет, активно занимающийся волейболом, обратился в компанию БРТ с жалобами на боли в правом колене, которые беспокоили его и усиливались в течение последних трёх месяцев. После пересмотра рентгенологических снимков и осмотра пациента наш ортопед поставил диагноз болезнь Осгуда-Шляттера и рекомендовал пациенту:
- приостановить занятия волейболом на время лечения;
- постоянное ношение ортеза в течение 4 недель, далее во время тренировок;
- приём обезболивающих и противовоспалительных препаратов на срок 2 недели;
- физиотерапию (электрофорез с кальцием и новокаином 10 процедур);
- курс массажа из 10 процедур;
- индивидуальные занятия ЛФК 2-3 раза в неделю через 3 недели с постепенным увеличением нагрузок и продолжительности занятий.
Через 2 недели после начала реабилитационного курса у нашего молодого пациента значительно уменьшились боли в области колена, ушла отёчность и припухлость в районе бугристости большеберцовой кости, через 2 недели после начала занятий ЛФК боли в колене перестали беспокоить совсем, ещё спустя 3 недели у пациента заметно увеличилась стабильность в обоих коленных суставах. На повторной консультации ортопеда через 8 недель после первого визита пациенту было разрешено вернуться к тренировкам волейболом при условии постепенного наращивания их продолжительности и интенсивности и ношения ортеза. Спустя полгода спортсмен полностью вернулся к привычным для него нагрузкам.
Диагностика
Диагностические критерии болезни Шляттера включают:
- Клинический осмотр: определяется болезненность при ощупывании или простукивании в области бугристости большеберцовой кости. Нередко наблюдается «плавающий» надколенник, который легко смещается вверх при разогнутой и расслабленной нижней конечности.
- Рентгенографию: на начальных стадиях (первые месяцы) обычно без изменений. С развитием недуга на рентгенограмме визуализируется однородное затемнение и «стертость» привычной костной структуры. Типично появление омертвевших зон на фоне «живых» тканей кости - округлые интенсивные тени секвестров;
- Магнитно-резонансное исследование: позволяет точнее диагностировать начальные этапы недуга. Метод также способен отобразить насколько вовлечены в патологический процесс связки, коленный сустав и прочие окружающие структуры;
- УЗИ: наиболее оптимальный вариант исследования, который отличается дешевизной (в сравнении с МРТ), отсутствием лучевой нагрузки (в отличие от рентгена) и возможностью ранней диагностики патологического процесса.

Учитывая, что болезнь Шляттера сходна с остеомиелитом (гнойным воспалением в костях), туберкулезом, сифилисом и онкологическими новообразованиями, могут проводиться и другие методы обследования: рентген грудной клетки, лабораторные анализы (с целью обнаружения туберкулезной палочки, бледной трепонемы, онкомаркеров) и прочие исследования.
Признаки заболевания
На первых стадиях болезнь Шляттера, практически не имеет симптомов, и развивается достаточно медленно. Болезненные ощущения дают о себе знать во время приседаний, подъёмов и спусков по лестнице, при сгибании и разгибании коленей. Если нагрузок нет, то и боль не приходит.
При прогрессирующем состоянии болезнь даёт о себе знать непрекращающимися, ноющими болевыми ощущениями даже в спокойном состоянии без нагрузок.
Ознакомьтесь с признаками, по которым можно говорить о наличии заболевания:
Наша специализация Как лечить болезнь Осгуда-Шляттера … Болезнь Осгуд-Шлаттера: возможности … Болезнь Осгуда-Шляттера — Колено …
- во время тренировок постоянно ощущается боль в коленной области;
- суставы сильно болят после больших нагрузок;
- боль ощущается при надавливании на колено, при незначительных нагрузках и даже во время обычной ходьбы;
- в районе колена появляется отёчность;
- боль может затихать недели на две, но затем снова возвращается;
- температуры нет, но кожа имеет нездоровый оттенок (краснеет, воспаляется).
К довершению, ко всем перечисленным признакам появляется нарост (шишка) под суставом колена.
Как проходит лечение?
Суть терапии состоит в купировании симптомов воспалительного процесса. Людям потребуется отказаться от занятий спортом на короткий промежуток времени. Иногда требуется создание неподвижности для пораженного колена. Для этих целей прибегают к помощи бандажа или специального бинта. Чтобы избавиться от воспаления, больному прописывают нестероидные противовоспалительные лекарства, которые также снимают болевой синдром. Зачастую используется «Диклофенак» или «Ибупрофен» в таблетированной форме.
Обезболивающий эффект имеют и медпрепараты для местного использования. Часто прописывают «Алором» и «Фастум гель». Такие медикаменты наносят на кожный покров, аккуратно втирают и укутывают сверху теплой тканью. Вылечить болезнь Осгуда-Шлаттера помогут и витаминно-минеральные комплексы, которые можно приобрести в аптеке. В таких лекарствах обязательно должны присутствовать витамины из группы B и E, а также кальций.
Физиотерапия
Электрофорез - один из методов физиотерапия, применяемый при недуге.
Лечить болезнь потребуется и при помощи физиотерапевтических процедур. Больным, у которых диагностирована остеохондропатия бугристости большеберцовой кости, прописывают следующие методы физиотерапии:
- электрофорез;
- магнитная терапия;
- фонофорез;
- УВЧ;
- ударно-волновая терапия;
- лазерное лечение.

Преимущественно эффект от комплексной терапии наблюдается по прошествии полугода с ее начала. Однако в исключительных ситуациях терапия может быть продлена специалистом.
Операция при заболевании
Зачастую к хирургическому вмешательству прибегают в ситуации, когда консервативная терапия не приносит требуемого эффекта и курс лечения продолжается более 2 лет. Кроме этого, показаниями к проведению операции служат следующие состояния:
- мощные болевые ощущения, которые не удается устранить при помощи гимнастики, медикаментов и физиотерапии;
- фрагментация и отделение отдельных отломков кости, которые видны на рентгене;
- возраст пациента больше 14 лет.
Хирургическое вмешательство, которое проводится при болезни Осгуда-Шлаттера, считают несложным. В процессе операции доктор удаляет фрагменты кости и осуществляет пластику связок. После проведения хирургии больного ждет непродолжительный реабилитационный период. Человеку потребуется пропить курс антибактериальных лекарств, а также посещать занятия лечебной физической культурой, начальные этапы которых проводятся под руководством врача ЛФК. Когда организм будет полностью восстановлен после хирургического вмешательства, пациент может снова вернуться к активному образу жизни и занятиям спортом.
Терапия
Часто возникает вопрос: если болезнь имеет тенденцию к самоисцелению, может быть не стоит и лечить ее? Лечить болезнь Шляттера нужно хотя бы для того, чтобы избежать хирургического вмешательства (иногда даже такое «несерьезное» заболевание приходится лечить оперативно) и проблем в будущем. Кроме того, пораженный сустав с возрастом будет подвержен влиянию факторов внешней среды и, скорее всего, со временем разовьется уже артроз, который к самоисцелению не тяготеет.
Основой терапии коленного сустава при данной патологии является:
- Обездвиживание сустава.
- Симптоматическое лечение.
- Народные средства.
Симптоматическое лечение предполагает использование анальгетиков и противовоспалительных средств, как правило, в виде мазей:

- Финалгон.
- Капсикам.
- Феброфид.
- Апизатрон и другие.
- В некоторых случаях специалисты советуют компресс на основе Ронидазы либо Демексида.
Иногда пациентам предлагают гомеопатическое лечение, связанное с применением мазей Траумель и Цель-Т.
На весь период лечения необходимо максимально снизить нагрузку на поврежденный сустав.
Пользу для коленного сустава несет и физиотерапевтическое (электрофорез с кальцием и новокаином, диатермия, лазер) и санаторное лечение. Массаж и ЛФК, дополненные грязевыми или парафиновыми процедурами, также заставят забыть о такой патологии, как болезнь Шляттера.
Грамотное, комплексное лечение уже через год приводит к полному исчезновению симптомов данной патологии у более чем 90% лиц. Остальные еще в течение 1-2 лет могут испытывать дискомфорт в пораженной зоне.
Оперируют пациентов при этой патологии крайне редко, и лишь в случаях формирования дополнительной синовиальной сумки и больших костных образований.
Лечение дома
Можно ли лечить болезнь Осгуда-Шлаттера самостоятельно в домашних условиях? В излечении любого заболевания лучше полагаться на специалиста. Хотя бы потому что самостоятельно правильно определить подобрать средства для лечения невозможно. Так что если вы решили воспользоваться народными методами, то обязательно посоветуйтесь с врачом, какие согревающие мази и компрессы будут эффективны для вас.

Чем можно лечить болезнь Осгуда-Шляттера в домашних условиях:
- Масляный компресс. Подсолнечным маслом хорошо пропитывается нагретая тряпка. Компресс ложится на больной участок и обматывается либо полотенцем, либо полиэтиленовым пакетом. Такое лечение необходимо проводить 1 месяц минимум.
- Компрессы из ромашки. Из цветков делается отвар, в теплую жидкость опускается марля или ткань. Оставьте компресс на колене приблизительно на полчаса.
- Сок алое. Из свежесрезанных листьев растения выдавливается сок и наносится на колено. Наложите поверх повязку и оставьте приблизительно на 30 минут.
Лечение суставов в домашних условиях не ограничивается одними лишь компрессами. Очень важно правильно питаться. Не стоит также отказываться от пищевых добавок: селены, витаминов E и C, метилсульфонилметана, мультивитаминов (Мильгамма, Комплигам).
К 18 годам, когда завершается формирование костной системы, патологический процесс разрешается, и симптомы болезни сходят на нет. Но если правильное лечение отсутствует, пациента могут беспокоить симптомы остеохондропатии на протяжении многих лет. Такие последствия связаны с образованием слишком больших костных наростов, разрастанием хряща и образованием дополнительной синовиальной сумки.
Консервативная терапия
После того как пациент прошел рентген и прочие методы диагностики, подтвердившие появление болезни Осгуда-Шляттера, приступают к лечению. Суть его состоит в том, чтобы полностью избавиться от воспалительного процесса, который локализуется в области крепления связки надколенника. В первую очередь больным потребуется отказаться на время от физических нагрузок и соблюдать щадящий режим дня.
Иногда при бугристости большеберцовой кости нужно ее зафиксировать, используя специальный бинт. Может быть использован и тугой бандаж, с помощью которого удается уменьшить амплитуду смещения. Что же касается медикаментов, то прибегают к применению анальгетиков, обезболивающих и нестероидных противовоспалительных лекарств. Лечить болезнь Осгуда-Шлаттера у взрослых потребуется и при помощи употребления витаминов из группы B и E.
Помимо этого, в обязательном порядке всем больным назначаются массажные процедуры, которые чередуют с лечебной физической культурой. Упражнения следует выполнять исключительно под пристальным контролем специалиста.
Физиотерапевтические методы
Способ физиолечения, который назначает доктор, напрямую связан с результатами рентгенографии. После получения ответа пациентов делят на 3 группы:
- Первая. Используется ультрафиолетовое облучение и магнитная терапия.
- Вторая. Применяется электрофорез, во время которого пользуются лидокаином. После его проведения назначают никотиновую кислоту и кальция хлорид, затем прописывают магнитотерапию.
- Третья. В первую очередь прибегают к помощи электрофореза с аминофиллином, после чего используют калий йода. Заключительным этапом физиотерапевтического лечения этой рентгенологической группы является магнитная терапия.
Помимо этого, могут быть использованы и следующие методы физиолечения:
- фонофорез,
- лазеротерапия,
- ударно-волновое лечение.
Благодаря комплексному подходу, во процессе которого применяется медикаментозное лечение и физиотерапия, удается улучшить состояние пациента, избавить его от болевого синдрома. При этом исчезает он не только в состоянии покоя, но и во время физической активности. Однако терапия занимает довольно продолжительный период. Чаще всего длится она от 3-х месяцев до полугода.
Нужна ли операция?
К помощи хирургического вмешательства прибегают, если консервативная терапия длится более 2-х лет и не приносит требуемого эффекта. Помимо этого, хирургия назначается и когда у пациентов, страдающих болезнью Осгуда-Шлаттера, наблюдаются следующие состояния:
- мощные болевые ощущения, которые не удается устранить при помощи медикаментов,
- фрагментация большеберцовой бугристости.
Медики считают операцию довольно легкой. В ее процессе устраняют отделившиеся фрагменты кости и проводят пластику связок и сухожилий. Преимущественно реабилитационный период после хирургического вмешательства занимает короткое время. Пациенту потребуется носить давящую повязку на протяжении месяца. Накладывают ее на зону бугристости большеберцовой кости.
Восстановительный период предполагает назначение больному определенных лекарств, а также физиотерапии. Спустя 14 дней после проведения операции болевой синдром в колене, который наблюдается в состоянии покоя, покидает пациентов. Что же касается нетрудоспособности, то период займет преимущественно 3 месяца. К спортивной активности разрешают возвращаться не раньше, чем пройдет полгода после проведения хирургического вмешательства с целью устранить болезнь Шляттера коленного сустава.
(Пока оценок нет)
Физиотерапия
Непременным условием успешного консервативного лечения является физиотерапия.
Выбор физиотерапевтических методов воздействия зависит от рентгенологической картины:
- При наличии у больного первой рентгенологической группы ему предписывают УВЧ и магнитную терапию.
- Если рентген-признаки соответствуют второй группе — лечение проводят при помощи электрофореза в комплексе с «Лидокаином».
- Третья группа подразумевает использование электрофореза, но в комплексе с другими лекарствами.

Кроме того, больным показано проведение фонофореза, лазеротерапии и ударно-волнового воздействия.
Длительность такого лечения, как правило, составляет 3-6 мес.
Всем больным рекомендуется ЛФК и сеансы массажа.
Какие симптомы имеет остеохондропатия?
Первыми признаками, которые свидетельствуют о появлении болезни Шляттера, являются болевые ощущения в колене, проявляющиеся после физической активности. Если у больного наблюдались травмы коленного сочленения, то риск того, что произошло непросто растяжение, значительно увеличивается. На начальных этапах развития болезни боль имеет непостоянный характер, однако со временем прогрессирования она проявляется чаще, становится мощнее. Помимо этого, люди жалуются на следующую симптоматику:
Бандаж коленный при болезни Осгуда … Лечение болезни Осгуд Шляттера … Болезнь Осгуда-Шлаттера: симптомы и … Болезнь Осгуд-Шлаттера . Эфективное …
Болезнь Осгуда-Шлаттера

Болезнь Осгуда-Шлаттера - это специфическое заболевание опорно-двигательного аппарата, а именно коленных суставов, характеризующееся дистрофическим повреждением большеберцовой кости в области ее бугристости. Подобное асептическое разрушение костной ткани формируется на фоне ее постоянного или острого травмирования и обычно поражает лишь молодых людей на этапе интенсивного развития скелета.
Клинически болезнь проявляется припухлостью коленного сустава, образованием под ним своеобразного нароста (шишки) и болезненностью в его нижней части, возникающей при обычных физических нагрузках (бег, приседания и пр.) или даже без таковых.
Впервые данная патология была описана в 1878 году французским хирургом О. М. Ланнелонгом под названием «Апофизит большеберцовой кости», а в 1903 году, благодаря работам американского ортопеда Р. Б. Осгуда и аналогичным трудам швейцарского хирурга К. Шлаттера (Шляттера), появилась ее более подробная нозография. Википедия определят это болезненное состояние термином «Остеохондропатия бугристости большеберцовой кости», а международная классификация присвоила ему код по МКБ-10 - M92.5 «Юношеский остеохондроз большой и малой берцовых костей». Несмотря на это в медицинской практике это заболевание до сих пор чаще всего фигурирует как «Болезнь Осгуда-Шлаттера» или просто «Болезнь Шляттера».
Патогенез
Как известно в формировании коленного сустава человека участвуют две крупные кости - бедренная (выше колена) и большеберцовая (ниже колена). В верхней части последней из них имеется особый участок (бугристость), к которому посредством сухожилия крепится четырехглавая бедренная мышца. Именно эта часть кости в детском и юношеском возрасте отвечает за ее рост и потому особо подвержена различным травмам и повреждениям. Во время активных физических нагрузок на коленный сустав в некоторых случаях приходится большая нагрузка и происходит перенапряжение четырехглавой мышцы, что приводит к растяжению или надрыву сухожилия и возникновению дефицита кровоснабжения в этой области. Вследствие такого травматического влияния и снижения питания района бугристости большеберцовой кости в ней развиваются постепенные некротические изменения, вплоть до отмирания отдельных частей ее ядра.

Кроме того любая травма коленного сустава или постоянное ударное воздействие на его костно-мышечную структуру (например, прыжки) может стать причиной трещин и микропереломов бугристости большеберцовой кости, которые растущий организм пытается быстро компенсировать нарастанием новой соединительной ткани. В результате этого у человека и появляется типичный для остеохондропатии Осгуд-Шляттера костный нарост (шишка), образующийся чуть ниже колена. В подобный патологический процесс обычно вовлечена одна нога, однако возможно и двустороннее поражение нижних конечностей.
Классификация
В ортопедической среде данную патологию принято классифицировать по степени ее тяжести и выраженности наблюдаемой внешней и внутренней симптоматики. Относительно этого выделяют три степени болезни Шляттера, а именно:
- начальная - визуальные проявления в форме шишкообразного нароста под коленом отсутствуют или минимальные, болевые ощущения в районе коленного сустава эпизодические, слабовыраженные и возникают в основном в момент физической нагрузки на ногу;
- нарастание симптоматики - появляется отечность мягких тканей вокруг пораженного колена, непосредственно под ним зрительно различимой становится шишка, болевой синдром проявляется в период нагрузок на ногу и в течение некоторого периода времени после них;
- хроническая - под коленом отчетливо видно шишкообразное образование, которое чаще всего окружено отеком, дискомфорт и боль в суставе носит устойчивый характер и отмечается даже в состоянии покоя.
Причины
Выделяют две основные связанные с физической активностью первопричины развития болезни Осгуда-Шлаттера у подростков и детей:
- непосредственные травмы тканей коленного сустава (подвывихи и вывихи, растяжения, ушибы, переломы);
- систематические микротравмы (внешние и внутренние) коленного сустава, которые возникают вследствие интенсивных занятий спортом или прочих видов деятельности, сопряженных с чрезмерными физическими нагрузками на нижние конечности.
Факторами наибольшего риска возникновения болезни Шляттера у подростков и детей считают:
- футбол, баскетбол, гандбол, хоккей, волейбол, большой теннис;
- легкую и тяжелую атлетику, акробатику, гимнастику;
- дзюдо, кикбоксинг, самбо;
- лыжный спорт, спортивный туризм, фигурное катание, велоспорт;
- балет, спортивные и бальные танцы.
Симптомы болезни Осгуд-Шлаттера
Выраженность негативных проявлений данной патологии у различных пациентов может отличаться в зависимости от характера полученных травм, степени физической активности и персональных особенностей организма.
Вначале развития заболевания больной начинает испытывать невнятные болевые ощущения в области колена, которые обычно появляются после или в процессе физических нагрузок на пораженную конечность. Как правило, подобная боль еще не ассоциируется с внутренним патологическим процессом и потому в этом периоде обращений к врачу достаточно мало.
С течением времени болевые симптомы начинают нарастать, локализуются в одном месте и могут проявляться не только при физической активности, но и в состоянии покоя. Вместе с тем вокруг пострадавшего колена появляются обусловленные отеками припухлости, а чуть ниже него возникает шишкообразный нарост. В этом периоде болезни пациенту (в особенности спортсмену) все сложнее становится выполнять обычные для него упражнения, а иногда и естественные движения ногой. Наибольшая интенсивность болевого синдрома отмечается в положении тела - стоя на коленях.

Фото «шишки» при болезни Осгуда-Шлаттера
Помимо этого, у больного могут возникать и другие симптомы негативного характера:
- напряженность ножных мышц (в основном бедренных);
- ограниченность подвижности коленного сустава;
- вспышки резкой «стреляющей» боли в области колена, зарождающиеся при его перенапряжении;
- утренние выраженные отеки в верхней или нижней части колена, образующиеся на следующий после физической активности день.
При самостоятельной пальпации пострадавшего колена ощущаются точки болезненности, а также сглаженность контуров большеберцовой кости. Фактура коленного сустава осязается как плотно-эластическая, а под отечными мягкими тканями прощупывается твердое шишкообразное образование. Общее самочувствие пациента, несмотря на сопровождающие его болевые ощущения и патологические процессы в колене, существенно не изменяется. Кожные покровы над пораженным суставом не краснеют, температурные показатели остаются в норме.
В большинстве клинических случаев данное заболевание протекает в размеренной хронической форме, однако иногда может наблюдаться его волнообразное течение с периодами внезапного обострения и относительного спокойствия. Без вмешательства врача и при продолжении физических нагрузок негативная симптоматика способна сохраняться на протяжении многих месяцев и усугубляться на фоне дальнейшего механического повреждения коленного сустава. Тем не менее, проявления болезни постепенно исчезают самостоятельно в течение 1-2-х лет, а ко времени окончания срока роста костной ткани (приблизительно к 17-19 годам) обычно самоустраняются. Перед тем как лечить Осгуд-Шляттера следует всесторонне и в индивидуальном порядке оценить необходимость проведения подобной терапии, так как в некоторых случаях она может быть нецелесообразной.
Анализы и диагностика
В целом заподозрить развитие болезни Шляттера врачу позволяет комплексность наличествующих у пациента клинических проявлений и типичная для данного заболевания локализация патологического процесса. Немаловажную роль в правильной диагностике также играет половая принадлежность и возраст пациента, поскольку взрослые люди, как правило, не подвергаются такого вида повреждениям. Даже благодаря простому визуальному осмотру и обычному сбору анамнеза в отношении предшествующих травм или перегрузок коленного сустава опытный ортопед-травматолог способен поставить верный диагноз, однако нелишним будет его подтверждение с помощью некоторых аппаратных методов диагностики.
Решающим фактором в вынесении однозначного диагноза болезнь Осгуда-Шлаттера у детей и подростков была и остается рентгенография, которую с целью повышения информативности течения патологии лучше всего проводить в динамике. Для исключения прочих ортопедических заболеваний подобное обследование пораженного коленного сустава необходимо осуществлять в двух проекциях, а именно в боковой и прямой.
В начальной фазе развития заболевания на рентгенологических снимках отмечается уплощение бугристости большеберцовой кости в ее мягкой части и подъем нижнего края просветления, отвечающего расположенной в передней доле коленного сустава жировой ткани. Последнее несоответствие норме вызвано увеличением размера поднадколенниковой сумки, происходящее вследствие ее асептического воспаления. Какие-либо видимые изменения в самом ядре окостенения на этом этапе болезни Шляттера чаще всего отсутствуют.

Рентгенография коленного сустава при болезни Осгуда-Шлаттера
При прогрессировании патологии рентгенологическая картина меняется в худшую сторону. На снимках наблюдается сдвиг ядра окостенения на 2-5 мм вверх и вперед по отношению к стандартному расположению бугристости или его фрагментация. В некоторых случаях может отмечаться неровность естественных контуров и нечеткость структуры ядра окостенения, а также признаки постепенного рассасывания его частей, однако чаще всего происходит его срастание с основным телом кости с формированием костного конгломерата в форме шиповидного выступа. Такая характерная для болезни Шлаттера «шишка» на поздних этапах заболевания особенно хорошо видна на боковой рентгенограмме и явно прощупывается при пальпации в районе бугристости.
В некоторых нетипичных случаях может понадобиться назначение МРТ, КТ и/или УЗИ проблемного колена и прилегающих тканей, позволяющие уточнить предполагаемый диагноз. Также возможно применение такой методики как денситометрия, которая предоставит исчерпывающие данные о структурном состоянии исследуемых костей. Другие методы лабораторной диагностики, включая ПЦР-исследования и анализы крови на ревматоидный фактор и С-реактивный белок, проводятся в целях исключения возможной инфекционной природы проблем с коленным суставом (в основном неспецифического и специфического артрита).
Дифференциальную диагностику синдрома Осгуда-Шлаттера в обязательном порядке следует проводить с любыми переломами в области коленного сустава, туберкулезом кости, тендинитом надколенника, остеомиелитом, инфрапателлярным бурситом, болезнью Синдинга-Ларсена-Иогансона и опухолевыми новообразованиями.
Лечение болезни Шляттера
В ходе естественного взросления организма и прекращения роста костей патологический процесс в коленном суставе самостоятельно сходит на нет и потому целесообразность лечения болезни Осгуда-Шлаттера у подростков и детей должно рассматриваться врачом в индивидуальном порядке, в особенности касательно медикаментозной терапии и хирургического вмешательства. В подавляющем большинстве случаев данный вид остеохондропатии поддается консервативному лечению в амбулаторных условиях с применением стандартных физиотерапевтических процедур и привлечением минимального количества лекарственных препаратов.
В первую очередь лечение болезни Шляттера коленного сустава у подростков и детей требует от самих пациентов и их родителей выполнения следующих обязательных условий:
- в полном объеме отказаться от предшествующих возникновению заболевания физических нагрузок на нижние конечности (спорт, танцы и пр.);
- обеспечить поврежденной ноге (или двум) щадящий режим, ограничивающий подвижность пораженного коленного сустава (меньше двигаться без острой на то необходимости);
- соблюдать все прочие предписания лечащего врача (ношение фиксирующего наколенника, применение компрессов, выдерживание диеты и пр.).
При легком течении заболевания лечение Осгуд-Шляттера может ограничиться лишь местными противовоспалительными и обезболивающими лечебными средствами (кремы, мази и пр.), а также физиотерапевтическими процедурами. В случае сильного болевого синдрома его купируют с помощью препаратов из группы НПВС. Более серьезные повреждения коленного сустава могут потребовать хирургического вмешательства (применяется крайне редко).
Болезнь Шляттера и методы лечения осгуда коленного сустава
Болезнь Шляттера проявляется у активных подростков. Лечение не такое уж сложное и зачастую весьма эффективное. Главное - вовремя обратить внимание на первые симптомы.
Каковы причины развития заболевания?
Систематические нагрузки на область коленного сустава могут серьёзно повредить сухожилия, привести к их надрыву, а последствия этого - боли и отёк. К тому же на месте зарождения патологии может проявиться костная шишка.У подростков трубчатые кости наделены зоной роста, что состоит из хрящей. Поскольку такая ткань не обладает прочностью, то она быстро изнашивается и повреждается под воздействием подобных факторов:
- подросток увлекается активными видами спорта;
- он сам по себе активный и много прыгает, бегает, наклоняется.
Болезнь Шляттера коленного сустава … Болезнь Осгуда-Шляттера — НЦЗД Болезнь шляттера коленного сустава у … Болезнь Шляттера: берут ли в армию …
Следует заметить, что все эти виды нагрузок приводят к чрезмерному растяжению сухожилия четырёхглавой мышцы.
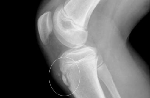
На снимке чётко видны различные виды патологических изменений бугристости
Для уточнения диагноза врач назначит прохождение следующих обследований:

- Рентген в боковой (возможно и в фронтальной) проекции.
- УЗИ.
- Сцинтиграфия.
Стадии болезни Шляттера
Для данной патологии присуща разнообразная форма повреждения бугристости. Это могут быть её уплощение или истончение, искривление, единичные или множественные надломы и дробления, значительных объёмов разрастания эпифизарного отростка большеберцовой кости.
В сложных случаях врачебная инструкция обязывает назначить выполнение дополнительных исследований:

- общий анализ крови;
- анализ на наличие ревматоидного фактора;
- определение уровня содержания с-реактивного белка;
- ПЦР-исследование.
Такие исследования дают возможность дифференцировать болезнь Шляттера от костного туберкулёза, остеомиелита, переломов эпифиза квадрицепса и опухоли костной ткани.
Причины развития болезни Шляттера
Основным фактором развития болезни Шляттера является повреждение коленного сустава в результате интенсивных физических нагрузок. Существует ряд причин, вызывающих такое повреждение и провоцирующих данный недуг:
- постоянные перегрузки;
- частые микротравмы колена;
- регулярные повреждения связок коленного сустава;
- прямые травмы: переломы голени, надколенника, вывихи.
Вследствие значительных перегрузок, частых травм коленного сустава и значительного натяжения связок надколенника, которые происходят при сокращениях четырехглавой мышцы бедра, происходит нарушение кровообращения в области бугристости большой берцовой кости. Также отмечаются небольшие кровоизлияния, разрыв волокон надколенника, асептическое воспаление и некроз.
iDoctor.kz Болезнь Осгуда-Шлаттера iDoctor.kz Болезнь Осгуда-Шляттера | Sustav.pro
Большая берцовая кость является трубчатой костью, ее зоны роста находятся у ее головки. Поскольку эти зоны роста имеют хрящевую структуру, то у подростков они не так крепки, как у взрослых людей, чей рост уже прекратился. То есть эти зоны роста у взрослых людей уже окостенели. По этой причине такие хрящевые участки легкоуязвимы к любым травмам и к интенсивным физическим нагрузкам. В этой хрящевой зоне роста к большой берцовой кости фиксируется сухожилие четырехглавой мышцы бедра, которая является самой большой мышцей тела человека. Она задействована во время ходьбы, бега, прыжков и в других случаях двигательной активности.
Если ребенок профессионально занимается спортом, испытывает большие нагрузки, которые приходятся на ноги, то возможен надрыв сухожилий бедренной мышцы и повреждение хрящевой неокрепшей ткани большой берцовой кости. В результате наблюдаются воспалительные процессы, которые сопровождаются отеком зоны прикрепления сухожилия. При постоянной нагрузке организм пытается компенсировать возникнувший изъян в кости, заполнив его костной тканью, излишнее количество которой приводит к формированию костного образования.
Лечение болезни Шляттера в домашних условиях
Домашние методы лечения болезни основываются на компрессах, примочках и парафиновых ванночках. Больше всего помогает масляный компресс на всю ночь. Для этого нужна хлопчатобумажная ткань либо марля, которую необходимо сложить несколько раз. Ткань следует сильно нагреть с помощью утюга, а затем пропитать нерафинированным подсолнечным маслом. Эту ткань нужно приложить на больной сустав, накрыть полиэтиленом и обмотать ногу теплым шарфом так, чтобы компресс не сползал. Такой компресс следует делать каждую ночь в течение одного месяца. Если заболевание имеет тяжелую форму, то курс лечения продлевают до трех месяцев.
Чтобы уменьшить боль и снизить припухлость следует делать компресс из трав. Но, кроме этого, такой компресс позволит усилить регенеративную функцию соединительной ткани в костном суставе. Для компресса понадобиться 5 столовых ложек сухих корней окопника, которые следует измельчить. Столько же взять чернокорня и залить все это кипятком. Настаиваться травы должны 12 часов. Потом марлю смачивают в настое и накладывают на больной участок на 8 часов, но не более.
Снимет боль пихтовое масло, которое следует каждое утро втирать в колено. Такой же эффект принесет липовый мед вместе с порошком сухой горчицы и щепоткой соли. Все ингредиенты нужно смешать, а затем на ночь втирать на больной участок.
Для ускорения процесса выздоровления и укрепления иммунитета используется следующее средство: настой шиповника. Это самое лучшее средство, которое вы сможете найти. Для его приготовления необходимо в посуду положить 5 столовых ложек плодов шиповника и добавить 1 литр кипятка. Пить нужно 3-4 раза в день по полстакана.
Лечение народными способами
Так же как и при медикаментозном лечении при лечении народными способами одним из главных условий удачного процесса является обеспечение полного покоя больной конечности.
Следующим шагом будет применение различного рода согревающих компрессов. Это достаточно долгая процедура, продолжительность которой варьируется в зависимости от степени тяжести заболевания, и составляет от одного до трёх месяцев.
Болезнь Шляттера коленного сустава … Болезнь Шляттера коленного сустава у … Болезнь Шляттера: причины, симптомы … Болезнь Осгуда-Шляттера — Колено …
Параллельно с применением компрессов рекомендуется работать над повышением собственного иммунитета. Лучшим средством для этого может служить приготовленный самостоятельно отвар ягод шиповника, который следует принимать 3-4 раза в день по полстакана.
Симптомы
Симптомы болезни Осгуда-Шлаттера чаще возникают у подростков 10-18 лет, не только после ушиба, падения или физических нагрузок, но и без какого-либо внешнего воздействия начинаются боли при сильном разгибании или крайнем сгибании колена, развивается ограниченная, плотная, резко болезненная при надавливании припухлость большеберцового бугра.
Общее состояние удовлетворительное, местные воспалительные изменения отсутствуют или слабо выражены. Патологический процесс как правило самоограничивается. Возникновение его обусловлено нагрузкой на собственную связку надколенника, прикрепленную к бугристости большеберцовой кости. На фоне ускоренного роста в подростковом возрасте, повторяющиеся нагрузки на связку, и незрелость бугристости большеберцовой кости, могут спровоцировать подострый перелом последней в сочетании с лигаментитом собственной связки надколенника. Эти изменения приводят к формированию патологических костных разрастаний, болезненных при резких движениях. При опоре на колено боль может иррадиировать по ходу связки и выше надколенника в сухожилие четырёхглавый мышцы бедра, крепящееся в верхнему краю надколенника. Общее состояние удовлетворительное, местные воспалительные изменения отсутствуют или слабо выражены.
Часто вслед за одним заболевает и другое колено, с теми же объективными изменениями на голени. Болезненность и боли держатся месяцами, обостряясь под влиянием механических инсультов, постепенно исчезая в течение года, редко позднее. Прогноз вполне благоприятный. Костный выступ остается, но без всякого ущерба для функции колена. Гистологически процесс характеризуется утолщением хрящевой прослойки между большеберцовым метафизом и связкой надколенника, неправильными границами зон окостенения, простирающимися в сухожильную ткань и образующих богатый клетками волокнистый хрящ, иногда с основным веществом слизистого типа.
Остеохондропатии у детей и лиц юношеского возраста специалистами из области ортопедии разделяются на 4 группы, каждая из которых имеет свои разновидности и характерные особенности.
- остеохондропатию головки бедренной кости;
- остеохондропатию головки плюсневой кости;
- остеохондропатию ключицы, а именно в её конце, расположенном в грудном отделе позвоночника;
- остеохондропатию фаланг пальцев верхних конечностей.
Вторая группа болезни включает в себя те формы, которые поражают короткие трубчатые кости. Таким образом, патология делится на:
- остеохондропатию ладьевидной кости стопы;
- остеохондропатию полулунной кости кисти;
- остеохондропатию ладьевидной кости запястья;
- остеохондропатию тела позвонка.
- остеохондропатия бугристости большеберцовой кости;
- остеохондропатия бугра пятки;
- остеохондропатия апофизарных колец позвоночника.
4 группа болезни состоит из повреждения поверхностных или клиновидных суставов — представляет собой частичную остеохондропатию, поскольку в патологический процесс вовлекаются:
Болезнь Осгуда-Шлаттера: симптомы и … Болезнь Шляттера у подростков … Болезнь Шляттера: причины, симптомы … Болезнь Осгуда-Шлаттера в футболе
- локтевой сустав;
- коленный сустав;
- голеностоп.
Классификация остеохондропатии по степени тяжести протекания:
- начальная или некроз костной ткани — длительность составляет несколько месяцев, а главным симптомом считаются болевые ощущения в области поражённого сегмента. Примечательно то, что во время прохождения пациентом инструментальных диагностических процедур какие-либо изменения могут отсутствовать;
- среднетяжелая или «компрессионный перелом» — может продолжаться от 2 месяцев до полугода. В таких ситуациях наблюдается «проседание» костей, отчего они вклиниваются друг в друга;
- фаза фрагментации — длится от полугода до 3 лет. На таком этапе прогрессирования отмечается рассасывание тех участков кости, которые подверглись дегенерации и некрозу, а также происходит замещение нормальной ткани грануляционными клетками. Подобные факторы приводят к уменьшению высоты кости;
- восстановление — время протекания варьируется от нескольких месяцев до полутора года. На данном этапе осуществляется нормализация формы и структуры кости.
В общей сложности весь цикл остеохондропатии составляет 2-4 года.
Остеохондропатия пяточной кости МКБ-10: класс болезни костно- мышечной системы и соединительной ткани (М00-М99). Хондропатии (М91-М94). Другие юношеские остеохондрозы (М92).Код заболевания юношеский остеохондроз предплюсны (М92.6).
Болезнь Осгуда-Шляттера

Болезнь Осгуда-Шляттера может проявляться болезненной шишкой в области ниже коленной чашечки в детском и подростковом возрасте, когда начинается период полового созревания. Болезнь Осгуда-Шлаттера возникает чаще всего у детей, которые занимаются спортом особенно такими видами как бег, прыжки или видами спорта, требующими быстрых изменений траекторий движения как, например футбол, баскетбол, фигурное катание и гимнастика.
И хотя болезнь Осгуда-Шлаттера чаще встречается у мальчиков, гендерный разрыв сужается по мере вовлечения девочек в занятия спортом. Болезнь Осгуда-Шлаттера болезнь поражает больше подростков занимающихся спортом (в соотношение один к пяти).
Возрастной диапазон заболеваемости имеет гендерный фактор так, как у девочек половое созревание наступает раньше, чем у мальчиков. Болезнь Осгуда-Шлаттера обычно возникает у мальчиков в возрасте от 13 до 14 лет и у девочек в возрасте от 11 до 12 лет. Заболевание обычно проходит само по себе по мере того как прекращается рост костной ткани.
Основные симптомы болезни Осгуда-Шляттера заболевания включают в себя:
- Боль, отек, и болезненность в области бугристости большеберцовой кости, чуть ниже коленной чашечки
- боли в коленях, которые усиливаются после физической активности особенно при такой как бег, прыжки и подъем по лестнице - и уменьшаются в покое
- напряженность окружающих мышц, особенно мышц бедра (четырехглавой мышцы)
Боли варьируют в зависимости от каждого индивида. У некоторых может быть только легкая боль при выполнении определенных видов деятельности, особенно при выполнение бега или прыжков. У других же боль может быть постоянной и изнурительной. Как правило, болезнь Осгуда-Шлаттера развивается только в одном колене, но иногда может иметь место в обоих коленях. Дискомфорт может быть длительностью от нескольких недель до нескольких месяцев и может повторяться, пока ребенок не перестает расти.
В каждой трубчатой кости ребенка (в руке или ноге) есть зоны роста, на конце костей состоящие их хряща. Хрящевая ткань не такая прочная, как костная и поэтому больше подвержена повреждению и избыточные нагрузки на зоны роста может привести к отеканию и болезненности этой зоны. Во время физической активности, где много бега, прыжков и наклонов (футбол, баскетбол, волейбол и балет) мышцы бедра у ребенка растягивают сухожилие - четырехглавой мышцы, соединяющей коленную чашечку к большеберцовой кости.
Такие повторяющиеся нагрузки могут приводить к небольшим надрывам сухожилия от большеберцовой кости, что в результате приводит к появлению отека и болям, характерным для болезни Осгуд-Шлаттера болезни. В некоторых случаях организм ребенка пытается закрыть этот дефект ростом костной ткани, что приводит к образованию костной шишки.
Факторы риска

Основными факторами риска развития болезни Осгуда-Шляттера является возраст, пол и участие в спортивных состязаниях.
Возраст
Болезнь Осгуда-Шляттера происходит во время полового созревания и роста организма. Возрастной диапазон разный у мальчиков и девочек, потому что созревание у девочек начинается раньше. Обычно болезнь Осгуда-Шлаттера развивается у мальчиков в возрасте 13-14 лет а у девочек в возрасте 11-12 лет. Возраст диапазоны отличаются от секса, потому что девочки испытывают полового созревания раньше, чем у мальчиков.
Болезнь Осгуда-Шляттера чаще встречается у мальчиков, но гендерный разрыв сокращается, так как постепенно все больше девочек занимаются спортом.
Занятия спортом
Болезнь Осгуда-Шляттера встречается у почти 20 процентов подростков, которые участвуют в спортивных состязаниях в то время, как только в 5 процентах случаев у подростков, не занимающихся спортом. Заболевание возникает в основном при занятиях такими видами спорта, где требуется много прыжков бег изменения траектории движения. Это, например:
- Футбол
- Баскетбол
- Волейбол
- Гимнастика
- Фигурное катание
- Балет
Осложнения
Осложнения болезни Осгуда-Шлаттера встречаются редко. Они могут включать хроническую боль или локальную припухлость, которая хорошо поддается лечению холодными компрессами и приему НПВС. Нередко, даже после того, как симптомы исчезли, может остаться костная шишка на голени в области припухлости. Эта шишка может сохраняться в той или иной степени на протяжении всей жизни ребенка, но это обычно не нарушает функцию колена.
Для диагностики большое значение имеет история заболевания и врачу необходима следующая информация:
- Подробное описание симптомов у ребенка
- Связь симптомов с физическими нагрузками
- Информация о наличии медицинских проблем в прошлом (особенно перенесенные травмы)
- Информация о медицинских проблемах в семье
- Все лекарственные препараты и пищевые добавки, которые принимает ребенок.
Для диагностики болезни Осгуда-Шлаттера болезни, врач проведет осмотр коленного сустава ребенка, что позволит определить наличие отека, болезненности, покраснения. Кроме того, будет оценен объем движений в колене и бедре. Из инструментальных методов диагностики чаще всего применяется рентгенография коленного сустава и голени, позволяющее визуализировать область прикрепления сухожилия надколенника к большеберцовой кости.
Лечение
Обычно болезнь Осгуда-Шлаттера излечивается самостоятельно, и симптомы исчезают после завершения роста костей. Если же симптоматика выраженная, то лечение включает медикаментозное лечение, физиотерапию, ЛФК.
Медикаментозное лечение заключается в назначении болеутоляющих, таких как ацетаминофен (тайленол и др.) или ибупрофен. Физиотерапия позволяет уменьшить воспаление снять отечность и боли.
ЛФК необходимо для подбора упражнений, растягивающих четырехглавую мышцу и подколенные сухожилия, что позволяет снизить нагрузку на область прикрепления сухожилия надколенника к большеберцовой кости. Упражнения на усиление мышц бедра помогают также стабилизировать коленный сустав.
Изменение образа жизни
- Предоставить разгрузку суставу и ограничить виды деятельности, усиливающие симптоматику (например, стояние на коленях прыжки бег).
- Прикладывание холода в область повреждения.
- Использование надколенника при занятиях спортом.
- Замена видов спорта связанных с прыжками и бегом на такие виды как езда на велосипеде или плавание на период, необходимый для стихания симптоматики.
Использование материалов допускается при указании активной гиперссылки на постоянную страницу статьи.
Болезнь Осгуда-Шляттера: атлас фотографий

Занятие спортом, особенно на профессиональном уровне, ведёт к чрезмерным физическим нагрузкам, которые испытывает костно-мышечная система. Тренировочный процесс в активных видах спорта (волейбол, баскетбол, спортивная гимнастика) приводит к частой травматизации нижних конечностей.
Из-за этого в детском и подростковом возрасте возрастает риск развития болезни Шляттера. При этом заболевании происходит разрушение бугристости большеберцовой кости в районе прикрепление сухожильных фасций.
Впервые данная разновидность патологии коленного сустава была систематизирована и описана врачом Осгудом Шляттером (или Осгуд Шлаттер) в 1906 году, именем которого впоследствии был назван этот недуг.
Кроме этого, в медицинской литературе болезнь может встречаться под другими названиями:
- Асептическое поражение большеберцовой кости с местом локализации в эпифизе.
- Остеохондропатия бугристого участка большой берцовой кости.
С течением времени, происходит перерождение ткани хряща в костную, и как следствие может нарушаться амплитуда движения коленного сустава.

Детальное изучение этой болезни позволяет установить, что по своей сути она является проявлением остеохондроза. В связи с этим, по международной классификации (МКБ 10) ей присвоен цифровой код М92.5 (остеохондроз в юношеском возрасте, с местом локализации на большой берцовой кости).
Несмотря на то, что данное заболевание исследуется уже длительное время, окончательного ответа о его этиологии ещё не дано. В основном практикующие специалисты склоняются к мнению о том, что провоцирующим фактором является систематическае травматизация коленного сустава.
В связи с этим, существует ряд факторов, которые увеличивают шанс развития данной патологии:
- Длительная нагрузка на сумочно-связочный аппарат коленного сустава.
- Часто получаемые микротравмы в области колена.
- Нарушение целостности или растяжение сухожильных фасций.
- Переломы берцовой кости и голени.
Основной пик развития данной патологии фиксируется у подростка в период формирования костного скелета. У юношей он соответствует 12-14 годам, а у девочек 11-13.
В подростковом периоде, болезнь возникает из-за следующих факторов:
- Возрастной. Частота заболевания в возрасте от 10 до 15 лет имеет более высокие показатели, чем у взрослого населения.
- Зависимость от пола. Чаще регистрируется у мальчиков, так как они введут более подвижный образ жизни.
- Физическая активность. Развитию недуга в подавляющем большинстве случаев, подвержены дети, которые занимаются активными или силовыми видами спорта (хоккей, футбол, баскетбол, тяжёлая атлетика).
Из-за того, что зоны роста костного скелета закрываются после достижения 25 летнего возраста, процесс возникновения этой патологии у взрослого человека наблюдается крайне редко.
У взрослого населения, болезнь могут вызывать полученные травмы колена, вывих, перелом, растяжение связок, повреждение хрящевой ткани.

Опытному врачу ортопеду не составляет большого труда распознать заболевание и установить диагноз, даже не прибегая к дополнительным видам исследования. Для этого выслушивается жалобы пациента, которые сопоставляются с данными внешнего осмотра.
Для подтверждения диагноза и дифференцирования с туберкулезом, остеомиелитом или опухолью, применяется:
- Рентгенологическое исследование сустава. Рентген помогает установить наличие опухоли, ушиба или растяжения сумочно-связочного аппарата (так же он может быть утолщен). Кроме этого боковая проекция позволяет судить о состоянии бугристости коленного сустава (наличие изолированных костных фрагментов).
- Допускается использование методов УЗИ или МРТ при необходимости.

Для исключения патологических процессов инфекционного характера назначается:
- Клиническое исследование крови.
- Анализ крови на ПЦР и С-реактивный белок.
- Проведение ревмо-проб.
Для этого патологического процесса характерно поэтапность развития.

Различают три степени этого состояния:
- 1 степень. Может появляться незначительная боль в коленном суставе, но при визуальном обследовании появление характерной шишки не обнаруживается.
- 2 степень. Под коленной чашечкой вначале появляется едва заметный бугорок, который имеет возвышенное положение по сравнению с соседними участками тела. Боли приобретают интенсивный характер.
- 3 степень. Процесс становится хроническим, при визуальном обследовании обнаруживается выступающая шишка под коленом. Она на ощупь может иметь повышенную температуру и сильно болеть. Иногда могут появляться первые признаки нарушение амплитуды движения в суставе.
Ранняя диагностика и соблюдение полного объема лечебных мероприятий позволяет исключить развитие возможных осложнений и негативных последствий.
Но в некоторых случаях может происходить:
- Мениск изменяет положение (он смещается вверх).
- Появление постоянного чувства дискомфорта в виде болевого синдрома из-за развившегося остеоартроза.
- Нередко колено будет работать как «барометр», повыситься болевая чувствительность на смену погоды.
Чтобы обеспечить излечение от этой патологии в кратчайшие сроки, необходимо использовать комплексное лечение, которое предполагает применять следующие методики и средства:
- Использовать фиксаторы и бандажи разнообразных видов .
- Применять кинезиотейпирование или тейпирование коленного сустава.
- Лечить фармакологическими препаратами.
- Допускается использование физиотерапевтических процедур и массажа.
- Ежедневно использовать гимнастические упражнения поддерживающие тонус коленного сустава.
- Операбельная терапия.
- Методики и рецепты народного врачевания.
В зависимости от стадии течения болезни могут применяться различные виды фиксаторов.
Они имеют разную конструкцию и обеспечивают разную степень жесткости:
- Циркулярный наколенник из ткани. Изготавливается преимущественно из натуральной ткани или шерсти животных. Помимо фиксации коленки, обладает согревающим действием.
- Наколенник-фиксатор неопреновый. Отличается длительным сроком эксплуатации, имеет небольшую массу и обеспечивает оптимальную фиксацию в коленном суставе.
- Ортез. По сравнению с вышеперечисленными ортопедическими изделиями, применение ортеза обеспечивает качественную фиксацию сустава. Это становится возможным из-за наличия в нём боковых пластин, которые плотно прилегают к участкам тела.
- Тутор. Самый жесткий фиксатор, действие которого соизмеримо только с гипсовой лангетной. Основным достоинством этого изделия, является возможность сохранять объём движений.

Наколенники помогают зафиксировать сустав
Данная методика появилась относительно недавно. Возможность её осуществления связана с выпуском особой ленты — кинезиотейпа. Кинезиотейп наклеивается на кожу, обеспечивая возможность повышать физические нагрузки на сустав.
Правильное использование аппликации позволяет носить тейп-пластырь до 14 дней. При этом он не нарушает распорядок дня, и дает возможность принимать банные процедуры.
Существуют некоторые различия между тейпированием и кинезиотейпированием. В первом случае предполагается лечебная иммобилизация (может быть болезненной), с применением обычного пластыря. Она, как правило, ограничивает подвижность и облегчает нагрузку на сустав.
Кинезиотейпирование применяется для увеличения подвижности и сохранения полного объема движений в суставе.
Кинезиотейпирование сустава при болезни Шляттера
Аппаратные процедуры дают позитивную динамику в случае длительного применения физиотерапии (не менее 3 месяцев).
Для восстановления полной подвижности сустава и устранения болевых ощущений применяют:
- Курсы токов высокой частоты и магнитотерапия (способна оказывать положительное воздействие в 60% случаев).
- Электрофорез с лидокаином, хлористым кальцием или никотиновой кислотой. Если не наступает положительный эффект, с помощью электрофореза вводится Калия йодид или Аминофиллин.
- Метод ударно-волновой терапии осуществляется пневматически или с помощью электромагнитного излучателя. Аппарат воспроизводит фокусированное волны, которые проникают глубоко в ткани, снимая воспаление.
- Квантовая терапия при помощи лазера. Основана на применении лазера низкой интенсивности, который расширяет кровеносные сосуды, тем самым восстанавливая трофические процессы в тканях.
- Использование аппликаций парафина и озокерита позволяет обеспечить быстрое снятие симптомов воспаления.
- Массаж, способен оказывать регенерирующее действие на мышечные группы и сухожильные фасции.

Электрофорез на коленный сустав
Чтобы лечебная гимнастика возымела должный эффект, ЛФК необходимо проводить ежедневно, желательно в одно и то же время (по утрам).
Очень важно распределить тренировочный процесс, чтобы он способствовал расслаблению мышечных групп бедра и сумочно — связочного аппарата коленного сустава.
С этой целью рекомендуется выполнять ЛФК или утреннюю зарядку, в состав которой включается следующие упражнения:
- В положении стоя поочередно поднимать левую и правую ногу, согнутую в колене, стараясь максимально приблизить к грудной клетки. Опускание конечности производить плавно, подтягивая носок к себе, чтобы возникло напряжение в икроножных мышцах.
- Произвести упору на одну ногу, и закрыв глаза пытаться сохранить равновесие, при этом вторая нога должна быть согнута в колене.
- Сидя на полу, вытянуть ноги перед собой. Попеременно производить движение носками кончиков пальцев ног на себя, и от себя.
- В положение лежа приподнять ноги, и выполнять движения напоминающие кручение педалей велосипеда.
- Сесть на пол в позе лотоса (как при занятии йогой), руками обхватить пальцы ног, и пытаться локтями рук надавливать на колени, приближая их к поверхности пола.

Для предотвращения развития этого заболевания необходимо:
- Соблюдать меры безопасности при проведении тренировочного процесса.
- После тренировки применять физиотерапевтические процедуры для профилактики (ванны, гидромассаж, охлаждающие компрессы).
- Следить за состоянием массы тела.
- Период интенсивных тренировок должен сопровождаться хорошим питанием, а в качестве витаминизированной добавки использовать поливитаминные комплексы с достаточным содержанием кальция.

В основе диетического питания, при этом заболевании, лежит употребление продуктов с повышенным содержанием витаминов и кальция:
- Ежедневный рацион должен включать овощи, богатые содержанием грубой клетчатки (капуста, свекла и тыква, болгарский перец и томаты). Из фруктов необходимо отдавать предпочтение абрикосам, цитрусовым, хурме.
- Большим содержанием кальция обладает кисломолочная продукция (кефир, ряженка и йогурт).
- Стараться избегать употребления жирных сортов мяса, по возможности замещая их постной говядиной, мясом курицы, морепродуктами (сардины, камбала, тунец).
Занятия спортом и болезнь Шляттера
Чтобы ускорить восстановительный процесс костной ткани и сухожилий спортсмена, необходимо обеспечить минимальные физические нагрузки на коленный сустав.
Большинство специалистов в области хирургии и ортопедии считают, что использование традиционных методик терапии предполагает отложить тренировочный процесс на несколько лет.
Кроме этого, для устранения ощущения дискомфорта в результате болевого синдрома необходимо отстранение от спортивных тренировок от года до трёх лет.
Призывной возраст в Российской Федерации распространяется на молодых людей достигших 18 лет. К этому времени данная патология находится в стадии регресса. И поэтому она не является причиной освобождения от воинской повинности и призыва в армию.
Возможна отсрочка, если возникает необходимость произвести полный курс лечебных мероприятий (обычно она составляет от 6 до 12 месяцев). Призыв не осуществляется в том случае, если болезнь Шляттера привела к функциональному нарушению двигательной способности сустава.
Терапия этой патологии в лечебных клиниках Израиля имеет ряд преимуществ, так как в основе лечебного процесса используется новейшие технологии, позволяющие устранить симптомы заболевания в кратчайшие сроки.
Кроме этого, в отличие от лечебных центров Германии или Италии, стоимость лечения значительно ниже.
В лечебный процесс, включается использование полного объема физиотерапевтических процедур, а при необходимости, после 14 лет может применяться оперативное вмешательство, с последующим реабилитационным периодом.
Заболевание Шляттера в основном хорошо поддается терапии и его можно вылечить. Болевые симптомы исчезают навсегда, и воспоминаниям об этой болезни является наличие шишки под коленным суставом, что является только косметическим дефектом.
Оперативное вмешательство показано только в некоторых случаях. Её проведение обычно не вызывает никаких опасений, так как она не относится к категории повышенной сложности.
Читайте также:
- Травматическая нейрооптикопатия у ребенка
- Диагностика изменений кожи новорожденных: милиума, акне, монгольских пятен, эритемы
- Подострая форма радиационного поражения. Хроническая форма радиационной язвы
- Хроническая почечная недостаточность у детей. Трансплантация почек у детей
- Причины и клиника заболевания верхушки пирамиды
