Причины и клиника заболевания верхушки пирамиды
Добавил пользователь Владимир З. Обновлено: 01.01.2026
Петрозит (petrositis; анат. pars petrosa ossis temporalis пирамида височной кости + -um), или остеомиелит верхушки пирамиды височной кости, обычно наблюдается в течение или после (через 3-4 дня) острого среднего отита или мастоидита, значительно реже при хроническом среднем отите - воспаление пирамиды височной кости; осложнение гнойного среднего отита.
Что провоцирует / Причины Петрозита:
Патогенез (что происходит?) во время Петрозита:
Петрозит может осложнять течение как острого, так и хронического среднего отита, и протекать как острый или хронический остеит или как инвазия холестеатомой. Кроме того, он может осложнять операции на сосцевидном отростке (при которых нарушается аэрация или дренаж клеток каменистой кости) как в раннем, так и в отдаленном периоде. Инфекция достигает клеток каменистой кости несколькими путями.
Симптомы Петрозита:
Основным симптомом петрозита является головная боль, обычно спастическая и ощущаемая далеко впереди уха. Возможен паралич отводящего (VI) черепно-мозгового нерва на стороне поражения, обусловленный отечностью канала, в котором нерв проходит ниже связки между каменистой частью височной кости и наклоненными отростками клиновидной кости в области верхушки каменистой кости.
Градениго (Gradenigo) описал триаду симптомов при петрозитах: отит, невралгия тройничного нерва и паралич отводящего нерва. Наиболее частым симптомом являются сильные боли, которые иррадиируют в височную область, нижнюю челюсть и в глубину глазницы. Они обусловлены коллатеральным отеком веток тройничного нерва и гассерового узла. Паралич отводящего нерва обычно указывает на наличие ограниченного менингита, исходящего из верхушки пирамиды.
Симптомы бывают выражены с различной силой в зависимости от полного или неполного отграничения гнойного очага. При повышении давления порция гноя прорывается наружу (в среднее ухо), и тогда наступает облегчение. Период относительного благополучия наблюдается также при известной барьеризации процесса (гнойный очаг окружается грануляционной тканью - латентный петрозит). Однако нередко возникает новая вспышка процесса, при которой гной прорывает барьер и может привести к внутричерепному осложнению.
Для «позднего» петрозита, наблюдаемого в послеоперационном периоде после мастоидотомии, характерна следующая картина болезни: самочувствие больного не только не улучшается, как это обычно бывает после мастоидотомии, но даже ухудшается - появляется головная боль, подъем температуры до высоких цифр, боли в глубине глазницы, пульсация гноя в наружном слуховом проходе, в глубине антральной раны. После удаления гноя рана вновь быстро заполняется сливкообразным гноем.
Диагностика Петрозита:
Диагноз при типичных проявлениях болезни нетруден, особенно в тех случаях, когда присоединяются паралич отводящего нерва и тригеминальные боли. Большие трудности представляет диагностика латентных петрозитов; при них временно барьеризованный очаг может внезапно стать причиной внутричерепного осложнения. Поэтому даже при стертых симптомах петрозита необходимо следить за динамикой процесса (повторно исследовать кровь на лейкоцитоз и РОЭ, глазное дно и при необходимости - спинномозговую жидкость).
Одним из важных диагностических приемов является рентгенография. Иногда рентгенографическая картина бывает настолько отчетливой, что обеспечивает правильный диагноз (разрушение верхушки пирамидки). Наиболее хороший обзор этой области получается при снимках по Стенверсу. Затруднения при оценке рентгенограмм возникают:
1) при неодинаковости строения клеточных систем обеих пирамидок - нередко одна из верхушек имеет менее четкий рисунок клеток, чем другая; такие изменения могут легко трактоваться как патологические;
2) при очень малых размерах очага деструкции, когда он перекрывается тенью компактных костных образований.
Очень ценным является метод повторных снимков. При изменении первоначальной картины можно быть уверенным в наличии прогрессирующего процесса.
Лечение Петрозита:
Лечение петрозитов, подобно лечению отита и мастоидита, состоит в применении больших доз пенициллина, стрептомицина, биомицина и других антибиотиков (иногда в комбинации друг с другом) и сульфаниламидов.
В настоящее время безусловного оперативного вмешательства требуют петрозиты, осложненные септическими или внутричерепными процессами. При «раннем» петрозите, возникшем в начальном периоде острого отита, даже при выраженном симптомокомплексе Градениго с операцией можно не спешить. При «позднем» петрозите и выраженных симптомах заболевания требуется тщательное наблюдение с применением всех диагностических приемов и в первую очередь рентгенографии, исследования спинномозговой жидкости, неврологического статуса, состояния функции лабиринта и т. д. При «площадке» симптомов, а тем более при нарастании их показана операция на сосцевидном отростке со вскрытием, по возможности, всех перилабиринтных клеток, с тщательными поисками клеточных ходов к верхушке пирамиды (верхнего и заднего), расширением и зондированием их отверстий.
Наибольшей хирургической активности требуют петрозиты, которые возникают в течение послеоперационного периода после произведенной мастоидотомии. В этих случаях показана ревизия раны, при которой удаляются оставшиеся неудаленными очаги, причем главное внимание обращается на обнаружение перилабиринтных клеточных путей.
Если эти разгрузочные операции не приводят к цели и образовался закрытый гнойный очаг в верхушке пирамиды, показаны вмешательства на самой верхушке.
Существуют четыре типа операций при петрозите:
1. Операция через мастоидальную рану (по Френкнеру). Иногда (при соответствующем клеточном ходе) можно мелкой ложкой пройти под окружностью верхнего полукружного канала по направлению к верхушке пирамидки и соединить этот глубокий очаг с мастоидальной раной. Другой путь состоит в обнажении верхней поверхности пирамидки через добавочное трепанационное отверстие в чешуе височной кости.
2. Операция через барабанную полость. При этой операции производят расширенную радикальную операцию с максимальным сбиванием шпоры, чтобы можно было хорошо видеть промонториум и устье евстахиевой трубы. Обходя лабиринтный массив снизу и спереди, достигают верхушки пирамиды. Подход к ней можно несколько расширить, если обнажить стенку внутренней сонной артерии и отодвинуть ее в сторону (по Рамадье).
3. Операция через лабиринт. Она допустима только при одновременном гнойном лабиринтите, опасна возможностью ранения лицевого нерва и поэтому менее удобна.
4. Комбинированный способ. Широкий доступ к пирамиде достигается через передне-нижний подход (типа Рамадье) при одновременном широком обнажении поверхности пирамидки до верхушки.
Прогноз при своевременном лечении в случае отсутствия осложнений, как правило, благоприятный.
Профилактика Петрозита:
Профилактика петрозита включает своевременное и адекватное лечение острого и хронического среднего отита.
К каким докторам следует обращаться если у Вас Петрозит:
Вас что-то беспокоит? Вы хотите узнать более детальную информацию о Петрозита, ее причинах, симптомах, методах лечения и профилактики, ходе течения болезни и соблюдении диеты после нее? Или же Вам необходим осмотр? Вы можете записаться на прием к доктору .
Петрозит
Петрозит - это воспалительный процесс, локализованный в области пирамиды (каменистой части) височной кости, реже поражающий исключительно её верхушку и протекающий по типу остеита или остеомиелита. Характерными проявлениями заболевания являются синдром Градениго (боли, гноетечение, нейропатия) в сочетании со снижением слуха, лихорадкой. Диагностика основывается на данных клинической картины, результатах лабораторных анализов, рентгенологического исследования, КТ, МРТ височных костей. Осуществляется комплексное лечение, выполняются дренирующие хирургические операции на фоне массивной антибактериальной терапии.
МКБ-10

Общие сведения
Петрозит является осложнением гнойно-воспалительных заболеваний наружного и среднего уха. Иногда развивается после хирургических вмешательств на сосцевидном отростке. Встречается преимущественно у лиц с выраженной пневматизацией пирамиды височной кости, которые составляют около 30% всего населения. Благодаря широкому применению антибиотиков в оториноларингологической практике в последние годы петрозит наблюдается очень редко, осложняет течение 1-5% случаев отитов. По частоте встречаемости занимает 25 место среди всех осложнений патологии среднего уха. Мужчины болеют в 1,5 раза чаще женщин.

Причины петрозита
Возбудителями болезни чаще всего становятся пневмококки, гемолитические стрептококки и синегнойная палочка. Реже этиологическим фактором являются другие представители кокковой микрофлоры. Описаны единичные случаи височного остеомиелита, вызванного микобактериями туберкулёза. Петрозит у таких пациентов развивался на фоне генерализованного специфического процесса. Очень редко заболевание индуцируется грибками. Распространению инфекции способствуют высокая вирулентность микроорганизмов. К факторам риска развития тяжёлой патологии относятся:
- Гиперпневматизация височной кости. Чаще страдают пациенты с высокой степенью пневматизации пирамиды. Наиболее тяжело болезнь протекает при диплоэтическом (спонгиозном) строении костной ткани, когда в каменистой части присутствует большое количество мелких ячеек, заполненных воздухом.
- Иммунодефицитные состояния, гиповитаминозы. Петрозит осложняет течение отитов, мастоидитов при нарушении функций факторов общей и локальной иммунной защиты. У детей данную патологию часто провоцирует снижение местного иммунитета на фоне ветряной оспы, краснухи или кори. Основным предрасполагающим фактором у взрослых служит сахарный диабет. Развитию болезни способствует общее истощение больного, недостаток витаминов в рационе.
Патогенез
Ячейки височной кости, окружающие лабиринт, сообщаются со средним ухом посредством узких извилистых клеточных ходов. При значительном снижении сопротивляемости организма инфекция распространяется по этим ходам или гематогенным путём. Развивается остеомиелит. Отток гноя затруднён, еще больше ухудшается при формировании грануляций. Происходит гнойное расплавление костной ткани. В зависимости от варианта пневматизации воспаление охватывает всю пирамиду или ее отдельные участки. При изолированном поражении верхушки формируется петроапицит.
В гнойно-воспалительный процесс вовлекается головной мозг и его оболочки. Апицит приводит к возникновению ограниченного верхушечного лептоменингита либо, распространяясь дальше по верхней части пирамиды, вызывает воспаление оболочек мозга в области средней и задней черепных ямок. В результате могут развиваться тромбозы кавернозного синуса, нейропатии III - VI, IX - XII черепно-мозговых нервов. Петрозит с поражением нижней поверхности костной структуры провоцирует прорыв гноя в носоглотку.
Классификация
Остеомиелит может охватывать пирамиду полностью или только её верхушку. Петрозит бывает передним, локализованным в передних надлабиринтном и подлабиринтном, а также прекохлеарном пространствах и задним, провоцирующим воспаление в задних над- и подлабиринтных ячейках и транслабиринтном участке. По клиническому течению выделяют следующие формы заболевания:
- Молниеносная. Возникает у грудных детей. Характеризуется бурным распространением инфекции с гангренозным поражением окружающих мягких тканей, 90% летальностью. Протекает по типу септикопиемии.
- Острая. Развивается в детском возрасте. При этой форме наблюдаются прорывы гноя в полость черепа и носоглотку, венозные тромбозы и поражения вестибулярного аппарата.
- Подострая. Наиболее распространенный вариант. Выявляется у молодых взрослых и в пожилом возрасте. Характерно чередование периодов ремиссии с обострениями, постепенное вовлечение в патологический процесс черепных нервов.
Симптомы петрозита
Первые симптомы осложнения появляются на 3-4 неделе острого среднего отита или в послеоперационном периоде после хирургического вмешательства на среднем ухе, сосцевидном отростке. Классический петрозит проявляется триадой Градениго, включающей в себя резкие боли со стороны поражения, гноетечение из уха и нейропатию отводящего нерва, однако из-за антибиотикотерапии часто определяются не все характерные для данной триады симптомы. Иногда клиническая картина дополняется другими проявлениями болезни.
Петрозит манифестирует болевым синдромом. Боль локализуется на стороне поражения, обычно ощущается глубоко в ухе или ретроорбитально. Гемикраниалгия усиливается в ночное время, может носить приступообразный характер, иррадиировать в зубы, затылок и область лба. Другим патогномоничным признаком патологии является оторея. Присутствует обильное гноетечение из больного уха, выделения могут быть зловонными. На возможность развития височного остеомиелита указывает внезапное появление массивной отореи после радикальной операции или антромастоидотомии.
Парез VI черепно-мозгового нерва становится причиной нарушения подвижности глазного яблока. Наблюдается косоглазие, диплопия. Возможно поражение других черепных нервов. У пациентов выявляется опущение века, офтальмоплегия и прочие неврологические симптомы. Значительно снижается слух. Иногда петрозит сопровождается прорывом гноя в лабиринт. В процесс вовлекается преддверно-улитковый нерв, возникают головокружения, нарушения равновесия.
Симптомы общей интоксикации обычно резко выражены. Температура тела у детей и молодых взрослых повышается до фебрильных и гипертермических значений. У пожилых людей чаще наблюдается субфебрилитет. Присутствует общая слабость, утомляемость. Даже при отсутствии болей настроение пациента снижено, отмечается подавленность. По мере прогрессирования болезни сознание нарушается вплоть до коматозного состояния.
Осложнения
Исходом неврита слухового нерва становится нейросенсорная тугоухость. Иногда наступает полная глухота. Другим осложнением петрозита, сопровождающимся выраженным снижением слуха, является лабиринтит. Изредка встречается поражение зрительного нерва со слепотой на один или оба глаза. Распространение инфекции по нижней поверхности пирамиды приводит к образованию натёчных абсцессов носоглотки, шейных клетчаточных пространств и средостения.
Диагностика
Диагностический поиск при подозрении на петрозит осуществляет врач-оториноларинголог. При сборе анамнеза уточняются предшествующие операции на ЛОР-органах, длительность течения отита, учитывается наличие сопутствующей патологии. Осмотр выявляет отёчность мягких тканей заушной области, признаки отореи. При пальпации ушной раковины и соответствующей половины головы наблюдается резкая болезненность. Визуально определяются симптомы парезов черепных нервов, нистагм. Окончательный диагноз устанавливается на основании результатов следующих процедур:
- Эндоскопия.Отоскопия позволяет выявить достоверные признаки воспаления в области наружного слухового прохода, среднего уха. Определяется отёк и помутнение барабанных перепонок, в большинстве случаев присутствуют перфорации, слуховые проходы заполнены гноем. Осуществляется забор гнойного отделяемого.
- Лабораторные исследования. Лейкоцитоз, нейтрофильный сдвиг формулы периферической крови отражают наличие воспаления в организме. Исследование спинномозговой жидкости позволяет подтвердить или исключить гнойный менингит. С помощью культурального метода выявляется возбудитель заболевания, определяется его чувствительность к антибиотикам.
- Визуализационные методики.Рентгенография височных костей по Стенверсу визуализирует зоны воспаления и расплавления костной ткани. КТ, МРТ дают возможность более точно локализовать патологический процесс, выявить внутримозговые осложнения. С помощью этих методик осуществляется дифференциальная диагностика петрозита с новообразованиями височной кости. С этой же целью иногда выполняется радиоизотопное сканирование костей черепа.
Вспомогательными методами диагностики являются аудиометрия, камертональное исследование, которые используются для определения степени снижения слуха. Петрозит следует дифференцировать с доброкачественными и злокачественными опухолями черепа и головного мозга, аневризмой сонной артерии, гистиоцитозом Х. Пациентов консультируют онкологи, нейрохирурги. В неясных случаях выполняется биопсия каменистой части виска.
Лечение петрозита
Пациенты с диагностированным петрозитом подлежат госпитализации в отделение оториноларингологии. Выбор тактики лечения зависит от распространённости процесса, наличия осложнений. Несмотря на несколько описанных в зарубежной литературе случаев успешного консервативного лечения заболевания, предпочтение отдаётся комплексному подходу к ведению пациента. Оперативные вмешательства сочетаются с массивной антибактериальной терапией.
Консервативная терапия
Основу фармакологического лечения остеомиелита височной кости составляет антибактериальная терапия. Оптимально назначение медикаментов с учетом результатов определения чувствительности микрофлоры к антибиотикам. При отсутствии такого исследования лечение назначается эмпирически. Обычно применяются защищённые аминопенициллины, цефалоспорины 3-4 поколения, линкозамиды. Препараты вводятся в высоких дозах, парентерально. Одновременно осуществляется коррекция уровня глюкозы крови, проводится общеукрепляющая терапия.
Согласно публикациям некоторых зарубежных авторов, неосложнённый петрозит можно полностью излечить консервативными методами. Описано несколько случаев выздоровления пациентов с полным восстановлением функции отводящего нерва. Такие больные нуждаются в постоянном медицинском наблюдении, регулярном динамическом рентгеновском контроле. Однако чаще консервативное лечение применяется перед оперативным вмешательством и после него.
Хирургическое лечение.
Оперативное вмешательство показано при отсутствии положительного эффекта от проводимой антибактериальной терапии. В целях профилактики жизнеугрожающих состояний многие специалисты рекомендуют сразу после постановки диагноза активно наладить отток гноя из поражённого участка кости. Для этого выполняется антромастоидотомия или общеполостная операция. При вторичном послеоперационном нагноении для улучшения оттока гноя рекомендуется тщательно прочистить и расширить свищевые каналы. При неэффективности такого лечения височная кость подвергается частичной резекции.
Прогноз и профилактика
Своевременное выявление и ранее начало лечения заболевания ведёт к полному выздоровлению больного с обратным развитием нейропатий. Прогноз значительно ухудшается при присоединении внутримозговых осложнений, параличах нескольких черепных нервов. Молниеносная форма болезни обычно заканчивается гибелью пациента. Профилактические мероприятия сводятся к адекватному лечению заболеваний уха, мастоидитов.
1. Петрозит, осложнённый тромбозом кавернозного синуса, менингитом/ Красножен В.Н. Андреева И.Г.// Вестник оториноларингологии - 2015 - №4.
4. Petrositis With Bilateral Abducens Nerve Palsies complicated by Acute Otitis Media/ Kyu Young Choi, Su-Kyoung Park// Clinical and Experimental Otorhinolaryngology - 2014.
Апикальный периодонтит ( Верхушечный периодонтит )
Апикальный периодонтит - это воспаление соединительнотканного комплекса, образующего зубодесневую связку (периодонт), локализующееся вокруг верхушки корня. В острой форме апикальный периодонтит проявляет себя болью и отеком в области поражения, реакцией на горячее, высокой температурой тела и общим недомоганием. Диагностируется апикальный периодонтит во время стоматологического осмотра на основании анамнеза, выявленных клинических проявлений и рентгенологического исследования. Лечение апикального периодонтита заключается в препарировании зуба, обработке каналов, применении противовоспалительных и антибактериальных препаратов, проведении физиотерапии и последующем пломбировании каналов и коронки зуба.



Апикальный (верхушечный) периодонтит - поражение тканей зубодесневой связки, при котором вокруг верхушки корня образуется очаг воспаления и происходит последующая постепенная деструкция периодонта. Это наиболее часто встречающаяся в терапевтической стоматологии форма периодонтита: ее диагностируют примерно у 30% пациентов в возрасте 21-60 лет. Чаще всего апикальный периодонтит является осложнением пульпита. Заболевание опасно своими последствиями - в случае отсутствия своевременного лечения апикальный периодонтит может переходить в хроническую форму, чреватую образованием гранулем, кист и свищей, а также осложняться периоститом, околочелюстным абсцессом, флегмоной, остеомиелитом челюсти и сепсисом. Развитие апикального периодонтита особенно опасно во время беременности.

Причины
На основании этиологического критерия выделяют три основных вида апикального периодонтита: инфекционный, медикаментозный и травматический. Нужно отметить, что периодонтиты травматической и медикаментозной этиологии довольно быстро переходят в инфекционную форму:
- Инфекционный периодонтит обычно является осложнением запущенного пульпита. При этом происходит гибель зубного нерва, вследствие чего патогенная микрофлора (чаще всего - стрептококки, стафилококки и анаэробные бактерии) распространяется в ткани периодонтальной связки через апикальное отверстие, формируя вокруг верхушки корня зуба очаг воспаления.
- Травматический периодонтитобычно становится следствием механических повреждений (травм зубов), в том числе - ушибов, микротравм, перелома зуба и т. п.
- Медикаментозный апикальный периодонтитобусловлен попаданием в ткани периодонта сильнодействующих препаратов или раздражающих веществ; наиболее часто возникает вследствие некорректного лечения пульпита.
Инфекционная, травматическая, медикаментозная формы апикального периодонтита по пути проникновения инфекции относятся к интрадентальным. Существуют также экстрадентальные апикальные периодонтиты, развитие которых связано с переходом воспалительного процесса из окружающих зубы тканей, например, при гайморите или остеомиелите.
Широко распространена в настоящее время классификация по И.Г. Лукомскому, которая дифференцирует острые и хронические верхушечные периодонтиты по характеру патологического процесса и возможным осложнениям:
- Острый апикальный периодонтит по виду экссудации делится на серозный и гнойный, клиника которых сопровождается значительными болезненными проявлениями;
- Хронический апикальный периодонтит может быть гранулирующим, гранулематозным и фиброзным.

Симптомы
Острый апикальный периодонтит
Проявляет себя нарастающей ноющей болью в области поражения, усиливающейся от прикосновения. Пациенты отмечают чувство «выпирания» зуба из зубного ряда, болезненность реакции на температурные раздражители, особенно на горячее. Впоследствии боль значительно усиливается, становится пульсирующей, нередко иррадирует в близлежащие анатомические области, что говорит о перетекании патологического процесса в стадию гнойного воспаления. Наблюдается повышение подвижности больного зуба, отек тканей вокруг него и увеличение подчелюстных лимфатических узлов.
Ухудшается общее самочувствие, повышается температура тела (до 37-38 °C), нередко возникаете головная боль. Острая форма заболевания продолжается от 2-3 до 14 дней. При отсутствии адекватного лечения острый периодонтит может переходить в хроническую форму с образованием свища или кисты, а также осложняться более серьезными патологиями, например, околочелюстным абсцессом, флегмоной, остеомиелитом и др.
Хронический апикальный периодонтит
Может протекать практически бессимптомно, время от времени проявляя себя обострениями, сопровождающимися симптоматикой острой формы заболевания. Периоды ремиссии характеризуются незначительными болевыми ощущениями во время еды, появлением свищей на десне и неприятного запаха из полости рта. Хронический гранулирующий периодонтит проявляет себя непостоянными слабыми болями при надкусывании и чувством распирания. Этим признакам часто сопутствует формирование на десне свища с гнойным отделяемым, который через какое-то время исчезает.
В случае хронического гранулематозного периодонтита явные симптомы чаще всего отсутствуют, изредка возникают неприятные ощущения, но они незначительны. Если гранулема локализуется в области буккальных корней моляров и премоляров верхней челюсти, нередко наблюдается выбухание костной ткани в соответствии с проекцией верхушек корней. При отсутствии правильного лечения гранулема со временем переходит в кистогранулему или околокорневую кисту.
Хронический фиброзный периодонтит также не сопровождается явной симптоматикой: коронка зуба интактна, зондирование и перкуссия безболезненны, отсутствует реакция на изменения температуры. Характерно наличие глубокой кариозной полости, в которой зачастую находится некротизированная пульпа с гангренозным запахом.
Апикальный периодонтит диагностируется врачом-стоматологом на основании анамнеза, выявленных клинических проявлений заболевания и результатов рентгенологических исследований. Для точной диагностики проводится:
- Электроодонтометрия. С помощью ЭОД определяется степень поражения пульпы. Для острых форм периодонтита характерны показания ЭОД в интервале 180-200 мкА, для хронических - 100-160 мкА.
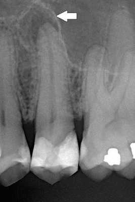
- Рентгенография зуба. В случае хронического гранулирующего периодонтита в апикальной области обнаруживается участок разрежения костной ткани с нечеткими границами размерами от 1 до 8 мм. Хронический гранулематозный периодонтит характеризуется ясно очерченными округлыми контурами области разрушения костной структуры вокруг верхушки корня зуба. Хронический фиброзный периодонтит на рентгенограмме проявляет себя расширенным периодонтальным пространством в апикальной области при отсутствии резорбции костной стенки альвеолы.
Дифференциальная диагностика
Острый апикальный периодонтит необходимо дифференцировать от похожих по симптоматике заболеваний:
- гнойного диффузного пульпита;
- острого верхнечелюстного синусита;
- околокорневой кисты;
- остеомиелита и периостита.

Лечение апикального периодонтита
Лечение любой формы апикального периодонтита проводится в несколько посещений и включает в себя три основных этапа:
- Механическую подготовку. На первом этапе под местной анестезией производится вскрытие пораженного зуба и очистка полости от остатков погибшей пульпы и кариозных тканей, после чего осуществляется обработка и расширение корневых каналов - создаются условия для оттока экссудата.
- Антисептическую обработку. Для дезинфекции каналов часто применяется ультразвуковая терапия. В дальнейшем в область корня зуба помещаются противовоспалительные и антибактериальные препараты в виде паст.
- Пломбирование каналов. Если воспалительный процесс в периодонте удалось купировать, на заключительном этапе лечения проводят тщательное пломбирование корневых каналов с последующим рентгенологическим контролем качества. При успешности манипуляций, лечение завершается установкой постоянной пломбы, а в случае сильного разрушения зуба его закрывают коронкой.
Комплексное лечение включает в себя также полоскания полости рта теплой минеральной водой и отварами лекарственных растений (ромашки, эвкалипта), прием сульфаниламидных препаратов, а при необходимости - антибиотиков широкого спектра действия (например, доксициклина или цефалексина). Широко применяются физиотерапевтические процедуры: УВЧ, инфракрасное лазерное воздействие, соллюкс и пр.
Вовремя проведенное лечение, как правило, демонстрирует свою эффективность - по статистике апикальный периодонтит полностью излечивается в 85% случаев. При вовлечении в воспалительный процесс костной ткани в результате неправильного или несвоевременного лечения терапевтическими методами зачастую добиться успеха в лечении не удается. В этой ситуации прибегают к хирургическому вмешательству - резекции верхушки корня или цистэктомии. Если все лечебные мероприятия оказываются безрезультатными, больной зуб удаляют.
Своевременное обращение к стоматологу и вовремя начатое лечение острого апикального периодонтита, как правило, обеспечивают положительный прогноз и позволяют избежать перехода заболевания в хроническую форму, периостита, остеомиелита, абсцесса, флегмоны и сепсиса. Однако при запущенных формах хронических периодонтитов отсутствие адекватного лечения повышает риск осложнений: гранулем, кист и пр., которые часто приводят к необходимости удаления пораженного зуба.
Важнейшими мерами по профилактике апикального периодонтита являются простые правила гигиены, которые позволяют препятствовать возникновению заболеваний зубов, а также регулярное посещение стоматолога для проведения профилактического осмотра и своевременного лечения возникающих очагов кариеса. Кроме того, для предупреждения развития осложнений острого периодонтита следует как можно скорее обратиться к специалисту.
1. Клинические аспекты патогенеза апикальных периодонтитов/ С. В. Латышева, Т. В. Будевская, Л. Л. Александрова - 2009.
3. Эффективность комплексного лечения хронических апикальных периодонтитов/ О.Э. Турсуналиев, К.Б. Куттубаева, Н.Ю. Сушко// Вестник Казахского Национального медицинского университета. - 2015.
Периодонтит - симптомы и лечение
Что такое периодонтит? Причины возникновения, диагностику и методы лечения разберем в статье доктора Козлова Владимира Игоревича, стоматолога со стажем в 17 лет.
Над статьей доктора Козлова Владимира Игоревича работали литературный редактор Маргарита Тихонова , научный редактор Сергей Федосов
Определение болезни. Причины заболевания
Периодонтит — это заболевание, вызванное бактериями, травмой или лекарственными препаратами, в результате которого происходит воспаление комплекса соединительной ткани (периодонта), расположенной между цементом зуба и зубной альвеолой. [9] [20]

В общей структуре стоматологических заболеваний периодонтит встречается во всех возрастных группах пациентов и составляет 25-30% от общего числа обращений в стоматологические учреждения. [3]
В зависимости от причин возникновения выделяют три типа периодонтита:
- Травматический периодонтит — может развиться как при однократном сильном механическом воздействии (ушиб, удар, попадание косточки), так и при неоднократных небольших механических повреждениях (например, при постоянном откусывании нитей швеёй).
- Медикаментозный периодонтит — возникает в результате выхода сильнодействующих препаратов из корневого канала в ткани периодонта (например, когда в зубе было оставлено лекарство, а следующий приём состоялся позже, чем это было показано по инструкции безопасного периода нахождения препарата в канале). [11]

Пути инфицирования тканей периодонта:
- внутризубной — выход токсинов и бактерий через систему корневого канала после инфицирования пульпы и её некротизации в ткани периодонта;
- внезубной — переход воспаления из окружающих тканей (остеомиелит, остит, гайморит, пародонтит и т. д.).
Крайне редко возможно инфицирование тканей периодонта гематогенным (через кровь) и лимфогенными путями.
При обнаружении схожих симптомов проконсультируйтесь у врача. Не занимайтесь самолечением - это опасно для вашего здоровья!
Симптомы периодонтита
Проявления заболевания напрямую зависят от его формы.
Хронические формы периодонтита в большинстве случаев протекают бессимптомно и выявляются во время рентгенологического исследования либо при обострении.
Признаки острого периодонтита и обострения его хронической формы:
- боль в зубе (причём чаще всего можно точно указать, какой именно зуб болит) — в начале заболевания боль слабо выраженная, ноющая, но позднее она становится более интенсивной, рвущей и пульсирующей;
- боль при жевании и прикосновении к зубу;
- чувство "выросшего зуба" — ощущение, что зуб стал длиннее других и первым смыкается с зубами-антагонистами;
- наличие большой кариозной полости в больном зубе или его предшествующее лечение по поводу глубокого кариеса или пульпита;
- иногда возникает отёк мягких тканей в области поражённого зуба — связано с выходом воспалительного экссудата (жидкости) из очага, находящегося в периодонте, в поднадкостничное пространство или мягкие ткани;
- открытие свищевого хода, чаще всего располагающегося на десне в проекции корня поражённого зуба (может возникнуть при обострении хронического периодонтита);
- отсутствие реакции больного зуба на холодное, горячее, сладкое или кислое;
- возможная подвижность зуба, связанная с инфильтрацией периодонта.

Патогенез периодонтита
Острый верхушечный периодонтит
После повреждения периодонта по одной из указанных выше причин возникает кратковременный интенсивный тканевый ответ. Этот процесс сопровождается клиническими симптомами острого периодонтита. [7]
Ответ ткани, как правило, ограничен периодонтальной связкой. Он приводит к типичным нервно-сосудистым реакциям воспаления, которые проявляются гиперемией (переполнением кровью), застоем сосудов, отёком периодонтальной связки и экстравазацией (вытеканием в ткани) нейтрофилов. Поскольку целостность кости, цемента и дентина ещё не нарушена, периапикальные изменения на этом этапе не обнаруживаются при рентгенологическом исследовании.
Если воспаление было вызвано неинфекционными раздражителями, то поражение может исчезнуть, а структура апикального периодонта восстанавливается. [13] [14]
Когда происходит инфицирование, нейтрофилы не только борются с микроорганизмами, но также выделяют лейкотриены и простагландины. Первые привлекают больше нейтрофилов и макрофагов в область поражения, а вторые активируют остеокласты — клетки, участвующие в разрушении костной ткани. Так, через несколько дней кость, окружающая периодонт, может резорбироваться (раствориться), тогда в области верхушки корня рентгенологически обнаруживается расширение периодонтальной щели. [15]

Нейтрофилы погибают в месте воспаления и высвобождают из своих гранул ферменты, которые вызывают разрушение внеклеточных матриксов и клеток. Такое "расщепление" тканей предотвращает распространение инфекции в другие части тела и обеспечивает пространство для проникновения защитных клеток.

Во время острой фазы макрофаги также появляются в периодонте. Они продуцируют провоспалительные и хемотаксические (аллергические) цитокины. Эти молекулы усиливают местный сосудистый ответ, разрушение кости и деградацию внеклеточных матриц, а также могут заставить гепатоциты повысить выработку белков острой фазы.
Острый первичный периодонтит имеет несколько возможных исходов:
- самопроизвольное заживление;
- дальнейшее усиление и распространение в кости (альвеолярный абсцесс);
- выход наружу (образование свищей или синусового тракта);
- хронизация процесса. [19]
Хронический периодонтит
Длительное присутствие микробных раздражителей приводит к сдвигу в сторону макрофагов, лимфоцитов (Т-клеток) и плазматических клеток, которые инкапсулировуются в коллагеновой соединительной ткани.
Провоспалительные цитокины (клетки иммунной системы) являются мощными стимуляторами лимфоцитов. Активированные Т-клетки продуцируют множество цитокинов, которые снижают выработку провоспалительных цитокинов, что приводит к подавлению процесса разрушения кости. Напротив, полученные из Т-клеток цитокины могут одновременно усиливать выработку факторов роста соединительной ткани, что оказывает стимулирующее и пролиферативное воздействие на фибробласты и микроциркуляторное русло.
Возможность подавления деструктивного процесса объясняет отсутствие или замедленную резорбцию кости и восстановление коллагеновой соединительной ткани во время хронической фазы заболевания. Следовательно, хронические поражения могут оставаться бессимптомными в течение длительного времени без существенных изменений на рентгенограмме. [21]
Равновесие, существующее в периодонте, может быть нарушено одним или несколькими факторами, например, микроорганизмами, «размещёнными» внутри корневого канала. Они продвигаются в периодонт, и поражение самопроизвольно становится острым с повторным появлением симптомов.
В результате во время этих острых эпизодов микроорганизмы могут быть обнаружены в костной ткани, окружающей периодонт, с быстрым увеличением рентгенологических проявлений. Эта рентгенографическая картина обусловлена разрушением апикальной кости, которое происходит быстро во время острых фаз и относительно неактивно на протяжении хронического периода. Следовательно, прогрессирование заболевания не является непрерывным, а происходит прерывистыми скачками после периодов "стабильности".
Цитологические исследования показывают, что около 45% всех хронических периодонтитов эпителизированы. Когда эпителиальные клетки начинают разрастаться, они могут делать это во всех направлениях случайным образом, образуя неправильную эпителиальную массу, в которую попадают сосудистая и инфильтрированная соединительная ткань. При некоторых поражениях эпителий может врастать во вход корневого канала, образуя пломбоподобное уплотнение на апикальном отверстии.
Классификация и стадии развития периодонтита
Классификация периодонтитов главным образом отображает причину воспаления, и что именно происходит в тканях пародонта. Самой распространённой классификацией, используемой на практике, является классификация И.Г. Лукомского: [17]
- Острый верхушечный (апикальный) периодонтит:
- серозный;
- гнойный.
- Хронический верхушечный (апикальный) периодонтит:
- фиброзный;
- гранулирующий;
- гранулематозный.
- Обострение хронического периодонтита.
Также при постановке диагноза используется классификация по МКБ-10:
K04.4 Острый апикальный периодонтит пульпарного происхождения:
K04.5 Хронический апикальный периодонтит:
- апикальная или периапикальная гранулема;
- апикальный периодонтит БДУ.
K04.6 Периапикальный абсцесс с полостью:
- зубной (дентальный) абсцесс с полостью;
- дентоальвеолярный абсцесс с полостью.
K04.7 Периапикальный абсцесс без полости:
- зубной (дентальный) абсцесс БДУ;
- дентоальвеолярный абсцесс БДУ;
- периaпикальный абсцесс БДУ.
K04.8 Корневая киста:
- апикальная (периодонтальная) киста;
- периaпикaльная киста;
- остаточная корневая киста.
Осложнения периодонтита
Осложнения периодонтита зависят от причинного зуба, локализации воспалительного очага, формы и стадии заболевания. Условно можно разделить все осложнения на несколько групп. [8]
Осложнения, вызванные распространением инфекции из периодонтального очага:
- Одонтогенный периостит — распространение воспалительного процесса на надкостницу альвеолярного отростка и тела челюсти из периодонтального (одонтогенного) очага.
- Одонтогенный абсцесс — формирование ограниченного полостного гнойного очага, возникающего в результате гнойного расплавления подслизистой, подкожной, межмышечной, межфасциальной клетчатки, лимфоузлов, мышечной ткани или кости. Формирование абсцессов преимущественно происходит в околочелюстных мягких тканях.
- Одонтогенная флегмона — формирование разлитого гнойного воспаления клетчатки, расположенной под кожей, слизистой оболочкой, между мышцами и фасциями.
- Одонтогенный гайморит — формирование воспаления в гайморовой пазухе, вызванное распространением инфекции из периодонтального (одонтогенного) очага.
- Одонтогенный лимфаденит — формирование воспаления в регионарных лимфатических узлах, вызванного распространением инфекции из периодонтального (одонтогенного) очага.
- Одонтогенный остеомиелит — гнойное воспаление челюстной кости (одновременно всех её структурных компонентов) с развитием участков остеонекроза.
Осложнение, вызванное деструктивными изменениями в перерадикулярной кости:
- Вторичная адентия — потеря одного или нескольких зубов, причиной которой служит разрушение костной ткани, окружающей корень зуба, препятствующее дальнейшему функционированию такого зуба.
Осложнение, вызванное формированием свищевого хода:
- Кожные свищи — образование свищевого хода, открывающегося на поверхность кожи.
Диагностика периодонтита
Диагностика периодонтита проводится на основании жалоб пациента, анамнеза заболевания, оценки общесоматического статуса, осмотра головы и шеи, полости рта, зуба, его перкуссии, зондирования и термопробы, электроодонтодиагностики (ЭОМ) и рентгенологического исследования. [10]
ЭОМ — это метод стоматологического исследования, основанный на определении порогового возбуждения болевых и тактильных рецепторов пульпы зуба при прохождении через неё электрического тока.

Диагностические признаки острого периодонтита:
Диагностические признаки хронического периодонтита:
Диагностические признаки обострения хронического периодонтита
Чаще всего клиническая картина соответствует острому периодонтиту, за исключением того, что всегда рентгенологически выявляются изменения в тканях периодонта, характерные для той или иной формы периодонтита. [12]
Лечение периодонтита
Лечение периодонтита направлено на устранение причин, механизмов и проявлений заболевания. Методы лечения бывают терапевтическими, хирургическими и комбинированными.
Терапевтическое лечение
Данный метод лечения нацелен на устранение патогенной микрофлоры, находящейся в эндодонте — комплексе поражённых тканей, включающем пульпу и дентин, которые связаны между собой морфологически и функционально. Поэтому иначе такое лечение называют эндодонтическим. [16]
Этапы эндодонтического лечения:
- адекватное обезболивание;
- изоляция зуба или нескольких зубов, в которых будут проводится манипуляции, от полости рта;
- создание эндодонтического доступа (иссечение твёрдых тканей зуба или пломбировочного материала, закрывающих доступ в систему корневого канала;
- прохождение и определение длинны корневого канала (это длинна от устья до верхушки корня);
- создание корневого канала определённого диаметра и формы;
- введение в корневой канал лекарственных препаратов;
- пломбирование корневого канала;
- восстановление анатомии и функции зуба с помощью пломбировочного материала или ортопедической конструкции.

Хирургическое лечение
К оперативному лечению прибегают только в случаях неэффективности или невозможности терапевтического лечения.
К хирургическим методам лечения относятся:
- удаление части корня зуба (резекция) — позволяет сохранить зуб, даже если у верхушки корня присуствовала киста;

- удаление зуба целиком, с последующим замещением утраченного зуба.

Прогноз. Профилактика
Течение и прогноз периодонтита, безусловно, зависят от своевременности обращения к стоматологу и качества проведенного им лечения. При эффективном лечении каналов происходит восстановление участка разрушенной кости, и зуб сохраняет свои функциональные свойства. При несвоевременном обращении пациента или безуспешном лечении высока вероятность потери зуба, а осложнения хронического периодонтита могут представлять серьёзную угрозу здоровью и жизни.
Для профилактики периодонтита необходимо тщательно ухаживать за полостью рта, регулярно проводить осмотры у врача-стоматолога и своевременно лечить одонтогенные очаги инфекции, такие как кариес и пульпит. [2] [5] [6]
Причины и клиника заболевания верхушки пирамиды
Московский научно-практический центр оториноларингологии Департамента здравоохранения Москвы
Московский научно-практический центр оториноларингологии ДЗ Москвы
Федеральный медико-биологический Центр им. А.И. Бурназяна ФМБА России, Москва, Россия, 123098
Хирургическое лечение холестеатомы пирамиды височной кости
Журнал: Вестник оториноларингологии. 2015;80(3): 57‑60
Кратко представлена эпидемиология, классификация, диагностика и современные тенденции хирургического лечения холестеатомы пирамиды височной кости. Описан клинический случай диагностики и хирургического лечения холестеатомы верхушки пирамиды височной кости.
Из всех заболеваний верхушки пирамиды височной кости холестеатома встречается в 3,4—9% случаев. Наиболее часто (в 60%) в этой зоне выявляется холестероловая гранулема. В то же время имеются случаи диагностики мукоцеле, арахноидальных кист, менингиомы, хордомы, ксантомы, кавернозной гемангиомы, аневризм внутренней сонной артерии, фиброзной дисплазии, хондросаркомы и метастатической карциномы. Может симулировать заболевание верхушки пирамиды и асимметричная пневматизация этой локализации [1—5].
Среди больных с холестеатомой височной кости у 2,9% встречается холестеатома пирамиды височной кости. Холестеатома этой локализации может быть первичной (врожденной), происходящей из остатков эмбриональной или аберрантной эпителиальной ткани, или вторичной вследствие инвазии холестеатомы из среднего уха или сосцевидного отростка. Вторичная холестеатома выявляется у 58%, а первичная — у 12% пациентов [2, 6]. В зависимости от локализации холестеатомы в пирамиде височной кости по классификации M. Sanna [7] выделяют пять ее видов: супралабиринтная, инфралабиринтная, массивная лабиринтная, инфралабиринтная с апикальным распространением и апикальная [7]. Наиболее часто встречается супралабиринтная (26,7—67%), массивная лабиринтная (20—38%) и инфралабиринтная (7—40%) холестеатомы [1, 6, 8].
При холестеатоме пирамиды височной кости часто наблюдается бессимптомное течение при значительном ее объеме. В зависимости от локализации ранними симптомами могут быть выраженное снижение слуха или глухота (у 9—69%), дисфункция лицевого нерва (у 29—53%), оторея (у 66,7%), периферическое головокружение (у 33,3%) или центральные неврологические осложнения вследствие эрозии рядом расположенных важных анатомических структур [1, 2, 6, 8, 9].
Применение в диагностике высокоинформативных методов исследования: мультиспиральной компьютерной томографии (МСКТ) и магнитно-резонансоной томографии (МРТ) с контрастным усилением, в том числе в non- EPY режиме, позволяет определить локализацию, распространение холестеатомы и на дооперационном этапе планировать хирургический подход.
В литературе имеются единичные обзоры, посвященные диагностике и хирургии холестеатомы пирамиды височной кости, освещающие значительное количество клинических случаев [1, 6, 8—11]. Основными задачами операции являются тотальное макроскопическое удаление холестеатомы, сохранение ствола лицевого нерва, предупреждение ликвореи и менингита и сохранение слуховой функции. Поэтому современный алгоритм выбора хирургического подхода строится на локализации холестеатомы, состоянии слуховой функции и лицевого нерва. Большинство авторов отдают предпочтение закрытым вариантам с облитерацией зоны операции и ушиванием наружного слухового прохода по Rambo, учитывая современные средства реабилитации слуха. Так, при супралабиринтной холестеатоме и нормальном слухе используют транстемпоральный супралабиринтный подход через среднюю черепную ямку, а при сенсоневральной тугоухости — выполняют субтотальную петрозэктомию транслабиринтным и транскохлеарным подходом. При инфралабиринтной холестеатоме и нормальном слухе применяют субтотальную петрозэктомию трансмастоидальным и ретролабиринтным подходами, а при сенсоневральной тугоухости — транслабиринтным и транскохлеарным подходами [6, 11, 12]. В то же время стремление сохранить слух после операции в ущерб радикальному удалению холестеатомы может привести к резидуальной патологии и необходимости повторного вмешательства. В тех случаях, когда холестеатома распространяется медиальнее капсулы лабиринта, сохранить слух невозможно, и на выбор хирургического подхода влияет состояние лицевого нерва. При этих локализациях холестеатомы при сохранной функции лицевого нерва применяют транслабиринтный и транскохлеарный или инфратемпоральный доступы, а при дисфункции лицевого нерва — транскохлеарный. Для лечения дисфункции лицевого нерва в зависимости от места компрессии выполняют декомпрессию ствола нерва, нейропластику или VII—XII анастомоз одновременно (или на втором этапе) [1, 6, 10]. Лучшие результаты операции отмечают при длительности дисфункции лицевого нерва менее 12 мес. В результате лечения глухота оперированного уха наблюдается у 18—83%, рецидив холестеатомы в разные сроки — у 2—19% и интракраниальные осложнения у 2—6% больных [6, 8].
В последние годы некоторые авторы выполняют модифицированную субтотальную петрозэктомию различными подходами, в зависимости от локализации холестеатомы, с тимпанооссикулопластикой для сохранения или улучшения функции слуха. По их данным, преимуществами открытой реконструкции являются функциональный результат, ранняя диагностика рецидива холестеатомы и менее сложная ревизионная хирургия в условиях необлитерированной полости. При этой методике после удаления холестеатомы пирамиды височной кости у 90% пациентов выполнялась тимпанопластика и у 52% — оссикулопластика. В результате операции слух улучшился у 38% пациентов, сохранился на прежнем уровне — у 29% и у 33% отмечено его ухудшение [8].
В нашей стране хирургией пирамиды височной кости занимаются преимущественно нейрохирурги. Однако и их возможности ограничены при распространенной холестеатоме пирамиды височной кости.
Представляем случай диагностики и хирургического лечения холестеатомы верхушки пирамиды височной кости.
Пациентка М., 32 года, обратилась в отделение нейрохирургии клиники ФГБУ ФМБЦ им. А.И. Бурназяна с жалобами на отсутствие слуха на правое ухо, периодические выделения из него, асимметрию лица.
Из анамнеза известно, что пациентка с детства страдает хроническим гнойным правосторонним средним отитом с периодическими обострениями в виде выделений из правого уха на фоне ОРВИ или попадания воды в ухо. Регулярно проводилась местная антибактериальная терапия с временным положительным эффектом. С 16-летнего возраста стала отмечать головокружения системного характера. В 2006 г. обратилась в клинику МОНИКИ, где выполнена КТ височных костей, по данным которой выявлено новообразование правой пирамиды височной кости. В той же клинике выполнена санирующая операция на правой височной кости с удалением задней стенки слухового прохода. В послеоперационном периоде головокружения купировались, но сохранялись выделения из этого уха. В 2009 г. стала отмечать подергивание мышц правой половины лица, эпизоды по типу гемифациального спазма до нескольких раз в день. В НИИ нейрохирургии им. Н.Н. Бурденко выполнена ретросигмовидным доступом операция на пирамиде височной кости с удалением холестеатомы правой пирамиды височной кости. После операции у пациентки полностью восстановилась функция лицевого нерва справа. Однако в 2012 г. у пациентки вновь развился парез лицевого нерва справа. Обратилась в отделение нейрохирургии клиники ФМБЦ им. А.И. Бурназяна для обследования и лечения.
При поступлении: общее состояние больной удовлетворительное. Температура тела нормальная. Кожные покровы обычной окраски. В легких дыхание везикулярное, без хрипов. АД — 120/80 мм рт.ст. Пульс 90 в 1 мин, ритмичный, удовлетворительных свойств.
При осмотре имеются спокойные, безболезненные послеоперационные рубцы в правой заушной и ретросигмовидной области. При отомикроскопии справа — наружный слуховой проход широкий, свободный, без отделяемого. Барабанная перепонка сохранена только в передних отделах. Слизистая оболочка в мезогипотимпануме утолщенная, полипозно-измененная. Полость в мастоидальном отделе небольшая, покрыта утолщенной слизистой оболочкой без эпидермиса. Слуховая труба проходима по Вальсальва. Слева наружный слуховой проход широкий, свободный. Барабанная перепонка серого цвета, опознавательные знаки дифференцируются.
В неврологическом статусе: сознание ясное. Контактная. Менингеальных знаков нет. Гипостезия в зоне иннервации V нерва справа (больше по 1—2 ветвям), корнеальный рефлекс снижен справа. Определяется грубый парез правого лицевого нерва справа (V степень по шкале House—Brackmann). Координаторные пробы выполняла удовлетворительно.
При тональной пороговой аудиометрии (ТПА) выявлена правосторонняя глухота. Слух слева в пределах возрастной нормы.
По данным электронейромиографии отмечались признаки умеренного поражения правого лицевого нерва по смешанному типу (аксональному и демиелинизирующему), проводимость по всем ветвям составляла 30—40% от нормы по типу неврита.

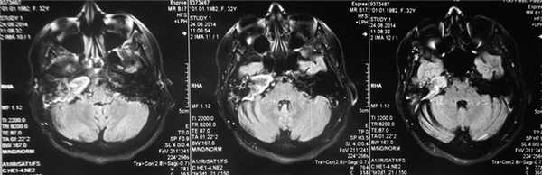
Рис. 1. КТ височных костей пациентки М. а — коронарная проекция: деструктивная полость в пирамиде височной кости, заполненная субстратом неоднородной плотности, капсула лабиринта значительно разрушена на уровне базального и апикального завитков улитки, латерального и верхнего полукружных каналов; б — аксиальная проекция: деструктивная полость с разрушением задней грани пирамиды, передневерхней и нижней поверхности.
По результатам МРТ головного мозга правая пирамида височной кости деформирована, увеличена в объеме, выполнена субстратом размером до 5,5—2,8—3 см, распространяющимся на область внутреннего слухового прохода, заднего полукружного канала, медиальные отделы барабанной полости, сосцевидный отросток. Описанный субстрат изо-гипоинтенсивен в режиме Т1, гиперинтенсивен — в Т2 и non-EPI DWI (рис. 2). Заключение: признаки рецидива холестеатомы с деструктивными изменениями структур внутреннего и среднего уха на фоне хронических воспалительных изменений.

Рис. 2. Магнитно-резонансная томография головного мозга пациентки М. Деформированная, увеличенная в объеме пирамида височной кости выполнена мягкотканым субстратом.
Учитывая анамнез заболевания, ранее выполненные операции, клинические проявления (глухота, явления периферического пареза лицевого нерва) и локализацию процесса по данным КТ височных костей и МРТ, свидетельствующие о массивной лабиринтной холестеатоме, пациентке была выполнена реоперация. Транслабиринтным подходом произведена субтотальная петрозэктомия (частичная лабиринтэктомия) с удалением холестеатомы и пластикой дефекта височной кости жиром. При ревизии определялась послеоперационная неэпидермизированная мастоидальная полость, которая была заполнена утолщенной слизистой оболочкой. В барабанной полости также определялась утолщенная полипозная слизистая оболочка. Барабанная перепонка сохранена только в передних отделах. Цепь слуховых косточек отсутствовала. За счет удаления перилабиринтных клеток, заднего верхнего и латерального полукружных каналов был открыт широкий доступ в сторону верхушки пирамиды, где выявлена большая холестеатома, распространявшаяся от верхушки сосцевидного отростка до верхушки пирамиды височной кости. Выявлено обнажение луковицы яремной вены, мозговых оболочек задней черепной ямки, нисходящей части канала лицевого нерва. Холестеатома удалена с образованием большой полости внутри пирамиды височной кости. При удалении холестеатомы из области внутреннего слухового прохода (который не дифференцировался) отмечалась ликворея. Эпидермальные оболочки оставлены на луковице яремной вены, у верхушки пирамиды височной кости, под улиткой. Произведена герметизация твердой мозговой оболочки двухкомпонентным фибриновым клеем. В область верхушки пирамиды височной кости уложена подкожно-жировая клетчатка, которая была взята с передней брюшной стенки. Выполнена пластика полости свободным миофасциальным лоскутом. В барабанную полость, под остатки барабанной перепонки, уложена аутофасция. Слуховой проход не ушивался для возможности контроля за созданной полостью.
По данным гистологического исследования удаленного образования от 29.07.14: в присланном материале бесструктурные холестеатомные массы и мелкий пласт многослойного плоского эпителия с рыхлой подэпителиальной стромой с кровоизлияниями.
При наблюдении в послеоперационном периоде отмечена длительная эпителизация послеоперационной полости и сохранение пареза правого лицевого нерва (V степень по шкале House—Brackmann). Неврологический статус — без отрицательной динамики.
Представленный случай свидетельствует о возможности успешного применения транслабиринтного подхода для удаления холестеатомы верхушки пирамиды височной совместно с нейрохирургами.
Читайте также:
- Классификация пороков крестцово-копчиковой области. Эпителиальные погружения.
- Морская болезнь. Огнестрельные ранения уха
- Синдром Матценауэра-Полланда (Matzenauer-Polland)
- Лучевые признаки персистенции правой пупочной вены
- Споруляция бактерий. Стадии споруляции у бактерий. Расположение спор у бактерий.
