Бутылочный кариес: причины, симптомы и лечение
Добавил пользователь Владимир З. Обновлено: 22.01.2026
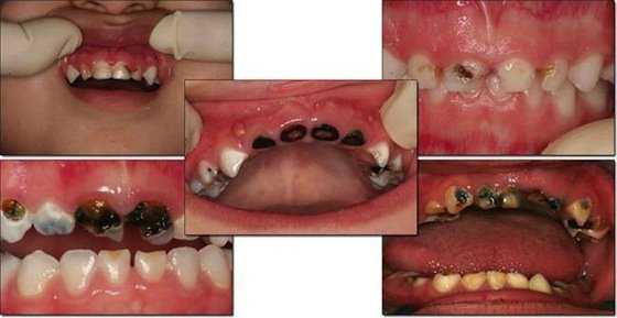
Бутылочный кариес - это заболевание молочных зубов, которое встречается у детей до 4-х лет. Может проявиться уже в 6-7 месяцев - сразу после прорезывания первых резцов. Кариес охватывает весь зубной ряд, разрушая эмаль практически до основания коронки.
Считается, что виной всему ночное вскармливание ребенка из бутылочки. Даже Академия детских стоматологов США рекомендует не кормить малышей по ночам, если у них уже прорезались зубы. Но у некоторых детей признаки кариеса проявляются даже при соблюдении режима питания. В чем же причина?
Причины бутылочного кариеса
Сама бутылочка не является причиной кариеса, но важно, чем она наполнена.
Чтобы успокоить ребенка перед сном, некоторые родители дают малышу бутылочку со сладким напитком или молоком. Такие жидкости содержат ферментирующие углеводы.
Что происходит дальше? Сахароза, лактоза и другие углеводы остаются на поверхности эмали. Это идеальная пища для кариесогенных бактерий. Уже через несколько часов запускается процесс брожения во рту. В результате брожения выделяется органическая кислота, которая и «разъедает» зубную эмаль. Так образуется кариес.
Однако не все дети «зарабатывают» кариес из-за кормления из бутылочки перед сном.
Факторы, способствующие разрушению молочных зубов
- Снижение иммунитета - например, после ОРВИ или кишечной инфекции сокращается количество иммуноглобулинов (защитных антител) в во рту;
- изменение состава и свойств слюны - повышение вязкости, снижение уровня pH или бактерицидных свойств приводит к тому, что слюна не способна защищать зубы от кислот и токсинов;
- продолжительное грудное или бутылочное вскармливание - при таком режиме питания у детей до 1,5 года бутылочный кариес встречается в 25% случаев, а до 2-х лет - уже почти в 40%;
- неудовлетворительная гигиена ротовой полости - если не очищать зубки малыша после приема еды, на поверхности скапливаются бактериальные отложения;
- наследственность - важный, но не решающий фактор.
Даже при генетической предрасположенности к кариесу можно значительно снизить вероятность заболевания - регулярной гигиеной ротовой полости и здоровым, сбалансированным питанием.

Мнение доктора Комаровского
Известный педиатр Евгений Комаровский выделяет 4 фактора, помимо наследственности, которые повышают риск развития кариеса временных зубов. Все они относятся к внутриутробной жизни ребенка, когда происходит формирование зубных зачатков.
Итак, это сильные стрессы матери во время беременности, лечение антибиотиками, недостаток молочных продуктов в рационе питания и серьезные заболевания.
Доктор также настаивает на том, то молочные зубы обязательно нужно лечить!
Симптомы заболевания
Бутылочный кариес имеет множественный характер - охватывает большую часть зубов. Но сначала он появляется на верхних четырех резцах. Это связано с тем, что при захвате соски язык покрывает нижний ряд, а верхний остается открытым и непосредственно контактирует с пищей. Поэтому на резцах быстрее скапливается налет.
Кариозный процесс «стартует» в области зубной шейки, где самая низкая степень минерализации эмали. Затем распространяется циркулярно, то есть по всему периметру зубной коронки.
Из-за того, что эмаль молочных зубов тонкая и пористая, бутылочный кариес быстро прогрессирует от стадии пятна до глубокой «дырки».
Сначала у малыша возникает чувствительность к холодной, горячей и кислой пище. Затем острая зубная боль, если чем-либо затронуть кариозную полость. Ребенок отказывается от еды, плохо спит.

Классификация бутылочного кариеса
Сначала деминерализуется эмаль, то есть теряет ценные минералы - кальций и фтор. В результате на поверхности передних зубов образуются меловидные пятна. Родители не замечают изменений, диагностирует заболевание только врач. Боли, чувствительности и других ощутимых симптомов еще нет. Такая форма появляется у детей в возрасте от 10-ти до 20-ти месяцев.
Поражаются не только передние, но и верхние боковые зубы. Разрушается эмалевый слой, кариозные очаги становятся шероховатыми, приобретают желтый или коричневый оттенок. Поверхностная форма кариеса встречается у детей до 2-х лет. Периодически возникает дискомфорт во время еды. Если иммунитет ребенка ослаблен, болезнь быстро переходит в среднюю стадию.
Характеризуется разрушением не только эмали, но и дентина (костной ткани зуба). Появляются глубокие и заметные кариозные очаги, особенно в придесневой области верхних резцов. Возникает чувствительность на холодную, горячую, кислую и сладкую пищу, а также боль при нажатии на больной зуб. Иногда появляются ночные боли. Развивается у детей в возрасте 2-3 лет.
Разрушаются глубокие слои дентина, формируется кариозное «дупло». Верхние резцы практически полностью разрушены, а клыки и моляры все еще поражены кариесом средней формы. Обычно ребенок страдает от постоянной зубной боли, плохо спит и становится капризным. Болезнь диагностируют у детей до 4-х лет.

Как лечить кариес у детей
Серебрение зубов
Считается устаревшим методом, поскольку серебро окрашивает зубы в черный цвет. Однако способ до сих пор применяется в большинстве стоматологий. С помощью тампона врач наносит на пораженную часть зуба 30%-й раствор нитрата серебра.
Ионы серебра нейтрализуют патогенную микрофлору и останавливают дальнейшее развитие кариеса. Процедура абсолютно безболезненная и занимает всего пару минут. Метод серебрения эффективен только при начальной и поверхностной стадии кариеса.
Озонотерапия
Применяется при ранних стадиях заболевания. Используется аппарат «Healzone», «Озон УМ-80» или «Prozone». Через специальный наконечник прибора подается газообразный озон под высоким давлением.
Он воздействует на поверхность зуба, стерилизуя ткани и уничтожая около 99,9% кариесогенных бактерий. Это бесконтактный и безболезненный метод, длительность сеанса - 5-10 минут.

Метод Icon (инфильтрация)
Подразумевает лечение начального и поверхностного кариеса без сверления бормашиной. Анестезия не нужна. Кариозные ткани протравливают жидкостью с кислотой. Затем эмаль просушивают воздушным потоком и наносят жидкую пломбу (инфильтрант).
Вещество мгновенно застывает под воздействием света полимеризационной лампы. Таким образом, восстанавливается целостность и герметичность эмали, а развитие кариеса останавливается. Метод Icon показан для детей от 3-х лет.
Пломбирование
Если образовалась кариозная «дырка», придется ставить пломбу. Врач проводит стандартные лечебные мероприятия - высверливает поврежденную эмаль, промывает полость хлоргексидином или другим антисептиком и заполняет ее пломбировочной массой.
Для временных зубов применяют стеклоиономерный цемент. Этот материал содержит соединения фтора, которые насыщают и укрепляют оставшуюся эмаль. Кроме того, цементные пломбы стираются равномерно вместе с краем молочного зуба, что не нарушает окклюзию (смыкание) челюстей.
Пломбирование занимает 15-20 минут и проводится под местной анестезией - инъекция лидокаина, ультракаина. Если у малыша поражено много зубов, что часто бывает при бутылочном кариесе, то стоматолог может предложить вам общий наркоз. Считается вполне безопасным для детей от года.
Конечно, изначально нужно посоветоваться с педиатром и сдать нужные анализы. Наркоз позволяет вылечить все зубы за один прием - без боли и стресса для маленького пациента.
Профилактика и лечение в домашних условиях
Рекомендации для родителей по профилактике бутылочного кариеса:
- научите малыша основным правилам гигиены - начиная с 1,5 лет ребенок уже в состоянии освоить чистку зубов;
- используйте специальные реминерализующие гели для детей (R.O.C.S. Medical Minerals, GC Tooth Mousse и пр.) - они восстанавливают эмаль на этапе образования меловидного пятна;
- следите за рационом питания - меньше сладостей и мучного, больше натуральных продуктов - овощей, фруктов, зелени;
- отучайте ребенка от бутылочки, замените сладкий напиток обычной кипяченой водой;
- не стоит облизывать соску или ложку малыша - ваши бактерии губительны для детских зубов.
Осложнения
Молочные зубы нужно лечить! Бутылочный кариес прогрессирует молниеносно - уже к 4-м годам ребенок рискует остаться совсем беззубым.
Острая боль и чувствительность эмали приобретают постоянный характер. Повышается риск развития пульпита (воспаления зубного нерва).
Но самая большая опасность в том, что кариозная инфекция может повредить зачатки постоянного зубного ряда. Это нередко приводит к нарушению прикуса, дефектам речи и другим серьезным проблемам.
Чтобы вовремя распознать и вылечить бутылочный кариес, посещайте детского стоматолога с регулярностью раз в 3-4 месяца.
Также читайте статью о всех современных методах лечения детского кариеса.
В лечении кариеса у детей отдают предпочтение неинвазивным методикам, таким как инфильтрация Icon, реминерализация и озонотерапия. Если выявлен средний или глубокий кариес, зуб лечат, убирая пораженные ткани бормашиной, но с предварительным обезболиванием участка десны.
Бутылочный кариес
Бутылочный кариес - групповое кариозное поражение молочных зубов у детей раннего возраста, обусловленное неправильной диетой и недостаточной гигиеной полости рта ребенка. Бутылочный кариес поражает пришеечные области верхних резцов и клыков и проходит несколько стадий: стадию деминерализации, разрушения эмали, разрушения эмалево-дентинного соединения, глубокого поражения твердых тканей зуба. Диагностика бутылочного кариеса проводится детским стоматологом по итогам осмотра полости рта ребенка и наличия характерных поражений. На ранних этапах лечение бутылочного кариеса может включать проведение реминерализирующей терапии, серебрение зубов; в запущенных случаях - обработку и пломбирование кариозных полостей.
Общие сведения
В основе бутылочного кариеса, как и любого другого вида кариеса, лежат очаговые скопления бактериальной флоры, которые способствуют ферментированию углеводов с образованием органических кислот и сдвигу кислотно-щелочного равновесия в кислую сторону. Эти процессы приводят к повреждению эмали и облегчают проникновение бактерий в дентинные канальцы, что приводит к размягчению и разрушению твердых тканей зуба.
Кроме общих причин, в развитии бутылочного кариеса важная роль принадлежит частным факторам, а именно - нарушению режима питания ребенка раннего возраста, низкому уровню гигиены полости рта, изменению состава слюны, снижению защитных сил организма, наличию хронических заболеваний у родителей малыша.
Известно, что развитию бутылочного кариеса в большей степени подвержены дети, получающие естественное или искусственное вскармливание «по требованию» дольше одного года. При этом особенно негативно на состоянии молочных зубов отражаются ночные кормления ребенка (грудью, смесью или подслащенными напитками из бутылочки), способствующие скоплению на зубах остатков пищи. После ночного кормления ребенок сразу засыпает, и по понятным причинам зубки ему никто не чистит. Малое количество слюны, выделяющееся во время сна, не способно смыть пищевые остатки, нейтрализовать бактерии и кислоты, восполнить минеральный состав эмали. Таким образом, неправильный режим кормления ребенка в сочетании с отсутствием адекватной гигиены полости рта и гипосекрецией слюны во время сна играют пусковую роль в развитии бутылочного кариеса.
Помимо причин местного порядка, свой вклад в формирование бутылочного кариеса вносит ослабление общего иммунитета, связанное с инфекционными заболеваниями (ОРВИ, кишечной инфекцией, энтеровирусной инфекцией и др.), общесоматическими заболеваниями (сахарным диабетом и т. д.). Изменения общего иммунитета всегда сопровождаются снижением в слюне концентрации иммуноглобулинов - специфических местных защитных факторов, препятствуют размножению бактерий в полости рта. В свою очередь, беспрепятственное развитие патогенных микроорганизмов, выделение ими токсинов и кислых продукты жизнедеятельности вызывают повышение вязкости и снижение pH слюны. В кислой среде слюна не выполняет свою реминерализирующую функцию; вместе с этим, кальций легко выходит из минерального компонента зубной эмали, что опять же запускает процесс развития бутылочного кариеса.
Поражению зубов ребенка раннего возраста бутылочным кариесом также способствуют стоматологические, желудочно-кишечные и ЛОР заболевания родителей, которые при тесном общении с ребенком «делятся» с ним своей микрофлорой. Наличие у родителей зубного налета, кариеса, пародонтита, гингивита, тонзиллита, хронического гастрита и пр. приводит к тому, что организм ребенка с первых дней жизни сталкивается с высоковирулентной патогенной микрофлорой, противостоять которой он оказывается не в силах. Поэтому будущей маме крайне важно еще до зачатия или в рамках программы ведения беременности устранить все имеющиеся в организме очаги хронической инфекции.
В зависимости глубины и поражения от возраста ребенка выделяют 4 стадии бутылочного кариеса:
Начальная стадия (10- 20 месяцев) - характеризуется появлением на вестибулярной и палатальной поверхности верхних резцов меловых пятен - очагов деминерализации эмали. В пришеечной области отчетливо определяется белесая линия. Болевые ощущения отсутствуют. На данном этапе бутылочный кариес может быть диагностирован детским стоматологом только после высушивания поверхности пораженного зуба, поэтому родители часто не замечают наметившиеся изменения. При проведении соответствующих лечебно-профилактических мероприятий дальнейшее развитие бутылочного кариеса на начальной стадии может быть приостановлено.
Стадия поверхностного кариеса (16-24 месяцев) - характеризуется образованием дефекта в пределах зубной эмали и обнажением дентина. Поверхностный кариес поражает не только пришеечные области резцов и клыков, но и проксимальные и окклюзионные поверхности верхних моляров. Кариозные очаги имеют светло-желтый или коричневатый цвет, возникает гиперестезия зубов. Поверхностный бутылочный кариес требует препарирования и пломбирования полости.
Стадия среднего кариеса (20-36 месяцев) - характеризуется разрушением эмали и частично дентина зуба. Сопровождается образованием глубоких очагов поражения в области верхних резцов, поверхностного кариеса - на молярах верхней челюсти; начального кариеса - на молярах нижней и клыках верхней челюсти. На данной стадии требуется проведение лечения среднего кариеса.
Стадия глубокого кариеса (30-48 месяцев) - характеризуется поражением эмали и большей части дентина резцов верхней челюсти. Поражение моляров верхней челюсти достигает стадии среднего кариеса; клыков и вторых моляров верхней челюсти, а также первых моляров нижней челюсти - поверхностного кариеса. На данной стадии бутылочного кариеса ребенок страдает от зубной боли, плохо спит, отказывается от приема пищи. Стоматологическая помощь заключается в лечении глубокого кариеса, по показаниям - хирургическом или ортопедическом лечении.
Симптомы бутылочного кариеса
При бутылочном кариесе у ребенка в первую очередь поражаются верхние резцы и клыки, что связано с механизмом сосания: при захвате груди или соски язык ребенка прикрывает зубы нижней челюсти, тогда как верхние передние зубы непосредственно контактируют с пищей. Именно здесь в большей степени скапливается зубной налет и пищевые остатки. При бутылочном кариесе патологический процесс распространяется циркулярно, т. е. по окружности коронковой части зуба, преимущественно в области шейки, имеющей наиболее слабую минерализацию.
Прогрессирование бутылочного кариеса сопровождается образованием желто-коричневых и коричнево-черных пятен на зубах, повышенной чувствительностью зубов к холодной, горячей, кислой, сладкой пищи, зубной болью. Неэстетичный вид передних зубов портит очаровательную детскую улыбку, а персистирующая инфекция может поражать зачатки постоянных зубов. В силу анатомо-физиологических особенностей кариозный процесс быстро распространяется не только по всей поверхности зуба, но и на соседние зубы (множественный кариес), а также вглубь тканей с развитием пульпита и периодонтита. В запущенных случаях бутылочных кариес приводит к преждевременной потере первых зубов.
Диагностика бутылочного кариеса
Бутылочный кариес распознается на основании данных тщательного обследования полости рта ребенка детским стоматологом с помощью зеркала и зонда. Для повышения результатов осмотра используются методики высушивания поверхности зуба, стоматоскопии в ультрафиолетовом свете, витального окрашивания зубов, что делает пятна более яркими и заметными.
Критериями постановки диагноза служат: возраст ребенка младше 3-х лет, ночные кормления, преимущественное поражение верхних 4-6 зубов, признаки недостаточной гигиены полости рта и др. При необходимости диагностики осложнений бутылочного кариеса проводится рентгенография зубов.
Дифференциальную диагностику бутылочного кариеса необходимо проводить с аномалиями структуры тканей зубов - несовершенным амелогенезом и гипоплазией эмали, а также другими видами кариеса молочных зубов.
Лечение бутылочного кариеса
Лечение бутылочного кариеса у детей раннего возраста является непростой задачей, требующей установления контакта врача с ребенком, использования адекватной анестезии, нередко - общего обезболивания.
На начальной стадии бутылочного кариеса применяется метод серебрения - нанесение раствора, содержащего ионы серебра, на пораженную поверхность зуба. Это временная мера, позволяющая приостановить прогрессирование бутылочного кариеса. Однако побочным эффектом таких профилактических мер является стойкое окрашивание зубов в черный цвет, приводящее к неприемлемому эстетическому результату. Поэтому в настоящее время детскими стоматологами на данном этапе бутылочного кариеса после предварительной профессиональной гигиены зубов проводится реминерализирующая терапия - местные аппликации фторсодержащих препаратов.
В стадиях поверхностного, среднего и глубокого поражения показано комплексное лечение кариеса. При значительном разрушении молочных зубов может потребоваться их удаление или реставрация с помощью специальных металлокомпозитных или циркониевых детских коронок.
Прогноз и профилактика бутылочного кариеса
Нелеченый бутылочный кариес может привести к ухудшению качества жизни ребенка, серьезным проблемам с постоянными зубами. Пораженные бутылочным кариесом зубы не могут выполнять в полном объеме свои физиологические функции, что сопровождается нарушением процесса жевания, заболеваниями ЖКТ, дефектами речи, нарушением прорезывания постоянных зубов и т. д.
Мерами профилактики бутылочного кариеса служат правильный гигиенический уход за первыми зубами ребенка, ограничение кормления смесями и молоком в ночное время, своевременный перевод ребенка на твердую пищу, использование лечебно-профилактических зубных паст, регулярное посещение детского стоматолога, начиная с момента прорезывания первых зубов.
Средний кариес
Средний кариес - заболевание твердых тканей зуба, характеризующееся нарушением целостности дентино-эмалевого соединения. Средний кариес проявляется наличием дефекта (дупла), кратковременными болевыми ощущениями умеренной интенсивности, повышенной чувствительностью зубов. При зондировании обнаруживается кариозная полость, заполненная размягченным пигментированным дентином. Диагноз среднего кариеса устанавливается с учетом данных осмотра, электроодонтодиагностики, рентгенографии (радиовизиографии). Лечение среднего кариеса заключается в препарировании кариозной полости, наложении изолирующей прокладки, постановке пломбы.

Средний кариес (caries media) - кариозное поражение зуба с локализацией полости в пределах эмали и среднего слоя дентина. Кариес является самым распространенным заболеванием в терапевтической стоматологии; при этом средний и глубокий кариес - его наиболее частыми клинико-морфологическими формами. Средний кариес является промежуточным этапом между поверхностным и глубоким кариесом. Средний кариес встречается преимущественно в молодом и зрелом возрасте, однако нередко поражает и молочные зубы. С точки зрения клинического течения различают острый и хронический средний кариес. По локализации средний кариес может быть пришеечным, фиссурным, контактным.
Причины
Основу развития кариозного процесса составляет совокупность трех факторов: присутствия кариесогенной микрофлоры полости рта, диеты с повышенным содержанием углеводов, снижения резистентности твердых тканей зубов к воздействию неблагоприятных условий. Согласно современным представлениям, ферментативное брожение углеводов, осуществляемое при непосредственном участии микроорганизмов, приводит к образованию органических кислот, способствующих деминерализации зубной эмали и проникновению микробной флоры глубоко в ткани зуба.
В современной стоматологии существует понятие «кариесогенной ситуации», т. е. условий, при которых кариес развивается и прогрессирует быстрее. К таким условиям относятся неудовлетворительная гигиена полости рта (наличие обильного мягкого зубного налета и зубного камня), аномалии зубов (скученность, неправильный прикус, нарушение сроков прорезывания и смены зубов и пр.), повышенная кровоточивость десен. Общие факторы, способствующие развитию кариеса, включают соматические заболевания, неполноценную диету и питьевую воду (дефицит кальция, фосфора, фтора) и др.
Средний кариес развивается при прогрессировании поверхностного кариеса и сопровождается разрушением дентино-эмалевого соединения, в результате чего процесс переходит непосредственно на дентин. При этом в расширенные дентинные канальцы проникают микробные массы, под действием токсинов которых отростки одонтобластов подвергаются дистрофическим и некротическим изменениям. Продукты жизнедеятельности микроорганизмов приникают вглубь канальцев, вызывая процессы деминерализации и размягчения дентина.
Характерным признаком среднего кариеса служит формирование кариозной полости (дупла), имеющей форму конуса с вершиной, обращенной вглубь зуба, а основанием - к его поверхности. Кариозная полость выполнена тремя зонами дентина: размягченным дентином с полностью нарушенной структурой, прозрачным (обызвествленным) дентином и заместительным (вторичным, иррегуляторным) дентином, отражающим компенсаторную реакцию, направленную на стабилизацию кариозного процесса.
Симптомы
Клиническая симптоматика среднего кариеса носит маловыраженный характер. Отмечается повышенная реакция зуба на химические и температурные раздражители, непродолжительные боли умеренной или слабой интенсивности. Обычно все неприятные ощущения проходят в скором времени после устранения причинного фактора. Иногда жалобы могут отсутствовать совсем, что объясняется наличием выраженного слоя заместительного дентина, ослабляющего действие раздражителей на пульпу зуба.
В области зуба, пораженного средним кариесом, пациенты могут замечать появление темного пятна или полости (дупла), в котором скапливаются остатки пищи. Последнее обстоятельство может послужить причиной появления неприятного запаха изо рта.
Хронический средний кариес может иметь длительное латентное течение, без значимых клинических проявлений и незаметно переходить в следующую стадию развития либо осложняться пульпитом. Средний кариес, как правило, развивается на жевательной или контактных поверхностях зуба, реже - в пришеечной области.
Диагностика
Стоматологический осмотр при среднем кариесе выявляет небольшую, неглубокую кариозную полость, заполненную размягченным пигментированным дентином, не сообщающуюся с полостью зуба. При среднем кариесе зондирование полости по эмалево-дентинной границе болезненно.
Термопроба при среднем кариесе дает положительный результат. Электроодонтодиагностика выявляет реакцию пульпы на силу тока 2-6 мкА. При проведении рентгенографии зуба (радиовизиографического обследования) изменений в тканях периодонта не выявляется. Дифференциальная диагностика должна осуществляться между средним кариесом и эрозией зуба, клиновидным дефектом, глубоким кариесом, хроническим периодонтитом.
Лечение
Комплексное лечение среднего кариеса включает ряд строго последовательных этапов препарирования и пломбирования зуба. Обычно весь комплекс терапевтических мероприятий проводится стоматологом-терапевтом за одно посещение.
Лечение среднего кариеса осуществляется под местной инфильтрационной или проводниковой анестезией. С помощью шаровидных боров производится раскрытие и расширение кариозной полости, удаление нависающих краев эмали и размягченного дентина. На этапе формирования полости зуба создаются оптимальные условия для фиксации пломбы. После финирования полости проводится ее медикаментозная обработка антисептиками и тщательное высушивание. На дно и стенки полости помещается изолирующая прокладка, поверх которой осуществляется наложение постоянной пломбы, как правило, из композита химического отверждения или материалов световой полимеризации. Заключительным этапом проводится шлифование и полировка пломбы.
Прогноз и профилактика
При соблюдении всех принципов лечение среднего кариеса обычно успешное: исчезают болевые ощущения, восстанавливается эстетическая и функциональная полноценность зуба. При отсутствии лечения на данном этапе средний кариес может стремительно прогрессировать в глубокий, приводя к развитию осложнений - пульпита и периодонтита.
Залогом профилактики среднего кариеса являются систематические посещения стоматолога, проведение профилактических мероприятий (реминерализирующей терапии, профессиональной гигиены), своевременное устранение начальных форм кариеса, коррекция питания. Следует помнить, что регулярная и правильная гигиена полости рта снижает необходимость стоматологического лечения на 75-80%.
Фиссурный кариес ( Окклюзионный кариес )
Фиссурный кариес - это кариозное поражение зубных тканей, локализованное в фиссурах - естественных ямках на жевательной поверхности элементов зубного ряда. Клиническая картина отличается прогрессирующим характером: эмаль в центральной части зуба темнеет, пигментируется, наблюдается повышенная чувствительность и болезненность. Патология диагностируется посредством визуального осмотра, фиссуротомии, лазерной флюоресценции, рентгенографии. Для лечения начальной стадии патологии применяется фторирование и герметизация фиссур, в случае прогрессирующей формы заболевания прибегают к пломбированию и использованию вкладок.
МКБ-10
Фиссурный (окклюзионный) кариес - это одна из самых ранних и распространенных форм кариозного поражения зубов. Еще в середине XX века американский стоматолог-терапевт Теодор М. Роберсон справедливо заметил, что риск появления кариеса прямо пропорционален количеству зубных фиссур и их глубине. Наибольший процент больных, страдающих кариесом фиссур, составляют дети с молочным прикусом, реже патология обнаруживается у взрослых с углубленными или закрытыми фиссурами. За последние 10 лет отмечается увеличение распространенности окклюзионного кариеса, переходящего на 10-14 году жизни пациента в осложненную форму (пульпит, периодонтит).
Современная концепция этиологии кариозного поражения базируется на исторических теориях (И. Г. Лукомского, А. Э. Шарпенака и пр.). Патология развивается вследствие прогрессирования деминерализации твердых зубных тканей под действием органических кислот. Способствует возникновению кариеса сочетание следующих факторов: кариесогенной флоры, «быстрых» углеводов, низкой сопротивляемости эмалевого зубного покрытия и времени. Принимая во внимание основные концептуальные положения, выделяют ряд причин активизации кариозного поражения зубов:
- Неправильный уход за полостью рта. Остатки пищи, скапливающиеся в полости рта, приводят к образованию налета на зубах, который выступает благоприятной средой обитания для бактерий и грибков. Жизнедеятельность болезнетворных микроорганизмов способствует процессу деминерализации эмали. Микробы продолжают беспрепятственно поражать элементы зубного ряда, вызывая фиссурный кариес.
- Изменение рН околозубной среды. При нормальной кислотности ротовой жидкости содержащиеся в ней кальций и фосфор находятся в балансе с гидроксиапатитом - базовым элементом дентина, эмали и цемента зуба. При сниженной кислотности (pH менее 5,5) ионы водорода вступают в реакцию с группой фосфатов - формируются ортофосфаты, стимулирующие процесс вымывания природного минерала.
- Сложное анатомическое строение фиссур. Структура каплеобразных и полипообразных фиссурных щелей располагает к скоплению пищевых остатков внутри полостей. Особенность формы естественных бороздок препятствует полноценной чистке зубов - образуется налет. По причине невысокого уровня минерализации и самозащиты фиссур начинает развиваться инфекционный процесс.
Патогенез
Микроорганизмы, плотно прилегающие к зубной пелликуле, формируют налет. Со временем в нем накапливаются продукты жизнедеятельности микробов и минеральные соли - образуется бляшка. Если pH оказывается критично низким (4,5-5,5), эмаль начинает разрушаться. С продолжением процесса образования органических кислот усиливается темп деминерализации поверхностного слоя, происходит увеличение зазора между кристаллами призм эмали. Данный процесс приводит к усилению пропускной способности эмали. Повышенная проницаемость эмалевого слоя становится причиной угнетения его барьерной функции - болезнетворные микроорганизмы оказываются в межпризменном пространстве, где и формируется очаг кариозного поражения.
Классификация
Кариес принято классифицировать по ряду признаков (степени прогрессирования, течению, интенсивности поражения и пр.). Такой подход облегчает процесс выбора терапевтической методики в том или ином клиническом случае. Ключевой в отношении фиссурного кариеса является клиническая классификация, включающая следующие 4 стадии развития патологии:
- Начальная. Проявляется потемнением фиссур. Отмечается деминерализация поверхностных слоев.
- Поверхностная. Наблюдаются кариозные поражения в виде пигментированной эмали. Патологический процесс локализуется в пределах поверхностного слоя.
- Средняя. Кариозное поражение углубляется в дентин. У пациента появляются болезненные ощущения.
- Глубокая. Инфекционный очаг разрушает дентин и достигает мягких тканей. Патология сопровождается осложнениями.
Симптомы фиссурного кариеса
Симптоматика болезни носит прогрессирующий характер. В начальный период развития зубная эмаль в локальной области немного темнеет. В дальнейшем визуализируется пигментация фиссур. Пациент отмечает болезненность в ответ на холодное или горячее. С прогрессированием кариеса непродолжительная боль локализуется в центре зуба при разжевывании «провокаторов» (сладких, кислых или соленых продуктов).
Кариозное поражение также проявляется болезненностью при попадании на центр больного зуба механического раздражителя - кусочка пищи. В дальнейшем инфекция распространяется на внутренние ткани. На этом этапе пациент жалуется на длительную боль, иногда проявляющуюся без раздражителя в ночное время суток. Характер боли может быть ноющим или пульсирующим.
При несвоевременной диагностике и терапии фиссурного кариеса возникает угроза не только для здоровья зубов, но и для всего организма. В числе вероятно диагностируемых осложнений запущенной формы кариеса оказываются пульпит (воспалительный процесс в мягких тканях), периодонтит (воспаление околозубных тканей) и остеомиелит челюсти (гнойное расплавление кости). Кроме этого, бактерии, активно размножаясь, провоцируют болезни десен и слизистой оболочки рта. Все перечисленное чревато угнетением иммунитета ротовой полости, поскольку воспаленная слизистая не способна противостоять болезнетворным микроорганизмам, поступающим с пищей и дыханием.
Диагностикой фиссурного кариеса занимается стоматолог-терапевт. При наличии закрытых фиссур выявить патологию на ранней стадии развития сложно. В каждом конкретном клиническом случае специалист самостоятельно определяет диагностические методы и их сочетание. В практической стоматологии применяется:
- Визуальный осмотр. При открытой форме стоматологической патологии внешняя оценка позволяет констатировать факт присутствия кариозных изменений. Посредством зондирования определяется глубина полости поражения, плотность поврежденной ткани, болезненность. Процесс диагностики сопровождается перкуссией (постукиванием), окрашиванием зубной поверхности кариес-маркерами, высушиванием эмали.
- Рентгенография зуба. В случае развития закрытого кариеса фиссур прицельная рентгенограмма помогает визуализировать кариозные участки, определить их размеры, включая глубину. При развитии среднего и глубокого кариеса методика позволяет обнаружить обширную область поражения под бороздочкой, оценить состояние периодонта. На начальном этапе развития болезни рентген неинформативен.
- Фиссуротомия. Для определения тяжести поражений, а именно, их степени и глубины, применяется дополнительная диагностическая методика - фиссуротомия. Это малоинвазивное вмешательство, предполагающее спиливание эмали не более чем на 1,1 мм, позволяет подтвердить или опровергнуть предполагаемый диагноз и принять решение о дальнейшем терапевтическом плане.
- Лазерная флюоресценция. В качестве высокоэффективной альтернативы фиссуротомии проводится лазерная флюоресценция, направленная на выявление стоматологической патологии на различных стадиях ее развития - очаг поражения определяется по изменению оптической плотности твердых тканей зуба. Применение методики наиболее оправдано при диагностике кариеса капсульных фиссур.
Дифференциальная диагностика фиссурного кариеса актуальна на стадии пятна. Заболевание схоже с начальным периодом течения флюороза и гипоплазии эмали. При кариесе пятно чаще одиночное, расположено на жевательной поверхности. При двух прочих патологиях поражения обычно множественные и размещены на нехарактерных для кариеса областях - губной и язычной зубных гранях.
Лечение фиссурного кариеса
Консервативная терапия применима в случае выявления начальной стадии патологии. Задача лечения в таком случае состоит в повышении прочности эмали, снижении ее подверженности разрушительному влиянию бактерий. При проникновении кариозного поражения в область дентина прибегают к радикальным методам терапии. В стоматологической практике используются следующие способы лечения фиссурного кариеса:
- Фторирование эмали. Процедура показана в начальной стадии заболевания (при несущественном потемнении эмали). Зубная поверхность очищается от мягкого налета и минерализованных частиц, полируется и высушивается. Затем на эмаль наносится запечатывающая фторированная паста. Периодичность фторирования - 2-4 раза в год (зависит от состояния эмали и активности кариеса).
- Запечатывание фиссур. Герметизация фиссур применима в профилактических целях и при лечении начальной стадии кариеса. Фиссурные щели запечатываются специальным герметиком неинвазивным или инвазивным способом. В первом случае составом заполняются видимые борозды, их дополнительного вскрытия не проводится. Во втором - полость «раскрывается», заполняется фиссурным герметиком.
- Пломбирование и использование вкладок. Процесс установки пломбы начинается с введения обезболивающего препарата и удаления поражений с помощью фиссурного бора. При простом кариесе в очищенную полость закладывают пломбировочный материал. Если имеет место поражение пульпы, удаляется нерв, вычищается полость, пломбируются каналы и закладывается композитный состав. Вкладки или микропротезы применяются в случае значительного разрушения единицы для восстановления эстетики и функциональности зубного ряда. Зазор между изделием и зубной поверхностью минимален, что сводит риск развития рецидивирующего фиссурного кариеса к минимуму.
- Лечение без сверления. Подобные методики применимы только в случае диагностирования начальной или средней степени поражения. Инфильтрационный метод подразумевает использование технологии Icon - малоинвазивной методики лечения, позволяющей расщеплять кариозные области с помощью специального геля. Сущность воздушно-абразивного лечения состоит в применении оксида алюминия, подаваемого под высоким давлением. Лазерная терапия позволяет удалить области поражения зубной ткани узконаправленным лазерным лучом. В качестве альтернативного метода для воздействия на кариозные зоны используется озон.
Прогноз и профилактика
Прогноз лечения фиссурного кариеса в большинстве случаев благоприятный: своевременная и качественная терапия позволяет избежать прогрессирования патологии, развития осложнений и исключить риск рецидивирующего течения болезни. Профилактические меры в отношении патологии сводятся к соблюдению гигиены полости рта, обогащению рациона достаточным количеством микроэлементов, минералов, витаминов, регулярному посещению стоматолога. В некоторых случаях для предупреждения развития кариеса оправдано проведение процедур по укреплению зубной эмали: фторирования или использование фиссурного герметика.
2. Профилактика кариеса в ямках и фиссурах зубов: учебно-методическое пособие/ Попруженко Т.В., Кленовская М.И. - 2007.
3. Кариес зубов. Этиология, патогенез, эпидемиология, классификация: учебно-методическое пособие/ Леус П.А. - 2007.
4. Клинико-морфологическое обоснование профилактики и лечения фиссурного кариеса постоянных зубов с незрелой эмалью: Автореферат диссертации/ Брянская М.Н. - 2009.
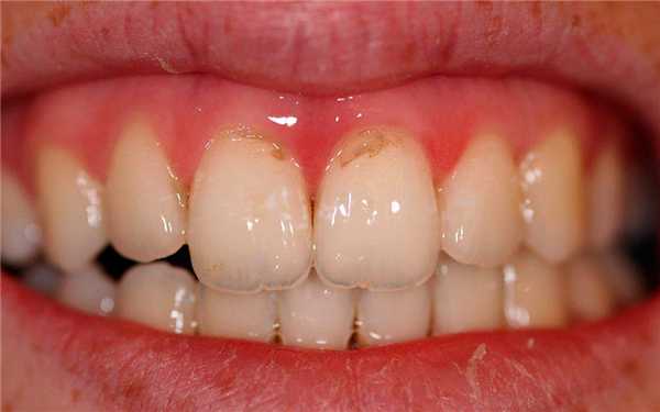
Пришеечный кариес: причины, симптомы, способы лечения

Пришеечный кариес, возникающий у десны или под ней, считается одной из самых опасных форм кариозного поражения. В области шейки зубная эмаль более уязвима для кариесогенных микробов, поэтому патология развивается очень быстро. В статье рассмотрим особенности протекания и методы лечения пришеечного кариеса.
Структура зуба, если речь идет о его строении, включает в себя три основных элемента: корень, шейку и коронку. Первые два скрыты мягкими тканями. Эмаль на них более тонкая, а минералов в ней меньше, чем на видимой части, поэтому она более уязвима для кариесогенных бактерий. Кариес, который развивается в области соприкосновения зуба с деснами и под ними, называется пришеечным или прикорневым. Возникает он преимущественно у взрослых людей старше 30 лет, причем может появиться как на передних, так и на жевательных зубах.

В этой статье
Проблема пришеечного кариеса заключается в том, что он протекает почти бессимптомно до третьей стадии. Человек не жалуется на боль или дискомфорт, видимых разрушений нет, в связи с чем лечение начинается поздно. При этом прогрессирует прикорневой кариес стремительно. Серьезной опасности болезнь не представляет, если Вы посещаете стоматолога каждые полгода. Люди, которые редко бывают в стоматологических кабинетах, рискуют потерять зуб. Расскажем о причинах и симптомах пришеечного кариеса.
Почему возникает пришеечный кариес
Главная причина любого вида кариеса — поражение эмали кариесогенными микроорганизмами из группы стрептококков. Они обитают в ротовой полости почти всех людей. При определенных условиях микробы начинают активно размножаться и выделять кислоты, которые разъедают эмаль, вымывая из нее минералы. Деминерализация эмалевой поверхности становится причиной обнажения твердых тканей зуба. Бактерии проникают в микротрещины дентина и образуют кариозную полость. Из-за отсутствия лечения она распространяется и приводит к постепенному разрушению зуба.
Однако одних микробов для развития кариеса недостаточно. Они опасны только при наличии других факторов возникновения кариозного поражения. В их числе:
- Недостаточная гигиена полости рта. Если чистить зубы дважды в день, использовать для чистки зубные нити и ирригаторы, то риск появления кариеса достаточно низкий. В противном случае в межзубных пространствах и десневых карманах будут накапливаться отложения и остатки пищи. Они являются благоприятной средой для распространения микробов.
- Неправильное питание. Кариесогенные бактерии питаются углеводами. Сразу после употребления сладкой пищи, в которой много быстрых углеводов, начинается активное размножение микробов. Этот процесс сопровождается кисловатым привкусом во рту. Чем больше человек ест сладостей, тем чаще у него развивается кариес.
- Никотиновая зависимость. Курение способствует образованию на эмали налета. Со временем она минерализуется и отвердевает, приводя к формированию зубного камень, в котором находится много бактерий. Они могут оказаться и под налетом, в результате чего кариес начинает развиваться между эмалью и зубным камнем.
- Нарушения работы слюнных желез. Слюна не только вымывает остатки пищи и микробы из ротовой полости, но и нейтрализует продукты жизнедеятельности кариесогенных бактерий. Некоторые заболевания сопровождаются недостаточной выработкой слюны, что может стать фактором развития кариеса.
- Стираемость эмали. Эмалевая поверхность защищает твердые ткани зуба от внешних факторов. У некоторых людей эмаль очень тонкая и имеет склонность к истиранию, в результате чего кариес возникает чаще.
Это основные факторы развития кариеса. Но существует и множество других причин, в числе которых — слабый иммунитет, механические травмы зубов, гормональные сбои, эндокринные патологии и пр. Если не устранить их, болезнь будет периодически рецидивировать.
Стадии пришеечного кариеса
Пришеечный кариес развивается по такому же сценарию, что и другие разновидности этого заболевания, но намного быстрее. Опишем стадии развития прикорневого кариеса:
- Начальная (стадия белого пятна). Протекает бессимптомно. В области десны или под ней образуется деминерализованный участок эмали. Выглядит он как белое или меловое пятно. Постепенно оно начинает тускнеть, но это сложно заметить невооруженным глазом, особенно если патология локализуется на задней поверхности зуба или на молярах и премолярах. Если она начинается под десной, то обнаружить ее можно только с помощью аппаратной диагностики.
- Поверхностная. Кариозное пятно становится больше и приобретает желтоватый или коричневатый оттенок. Начинаются разрушительные процессы на поверхности зуба. На этом этапе патологический очаг еще не распространился на твердые ткани. Больной может отмечать дискомфорт при употреблении сладкой пищи. Он исчезает сразу после устранения раздражителя. Зачастую человек списывает этот симптом на повышенную чувствительность десен.

- Средняя. Наблюдается поражение твердых тканей. Человек испытывает выраженный дискомфорт, когда ест сладкую, кислую, холодную или горячую пищу. Возможны болевые ощущения. Эти признаки пропадают, стоит только почистить зубы.
- Глубокая. Последняя стадия является запущенной формой болезни. Происходит глубокое поражение дентина. В патологический процесс вовлекается зубной корень и пульпа. Зуб может расколоться на несколько частей или сломаться в области шейки. Больной почти постоянно испытывает болевые ощущения, устранить которые не помогают обезболивающие препараты.
Лечение кариеса может быть разным в зависимости от степени поражения зуба. Метод подбирается индивидуально после диагностики.
Как пришеечный кариес диагностируется
Если кариозное поражение локализуется на видимой части зуба, врач ставит диагноз уже после внешнего осмотра. Но чтобы подтвердить его, проводится специальный тест с применением красящего раствора. Его наносят на эмаль и оставляют на 3-4 минуты. Пораженный участок окрашивается в синий цвет. Через несколько часов краситель полностью вымывается из полости рта.
Также врач может назначить рентген, чтобы оценить характер распространения кариеса, глубину кариозной полости, состояние нервных окончаний и пр. По результатам обследования подбирается метод лечения. Он определяется, прежде всего, стадией болезни.
Как лечить начальный пришеечный кариес
На стадии белого пятна лечить кариес можно с помощью терапевтических процедур. Необходимо восстановить структуру эмали путем насыщения ее минералами. Сначала стоматолог очистит пораженный зуб от налета и зубного камня, после чего нанесет на него раствор со фтором, магнием, фосфором и кальцием в составе. Под воздействием активных компонентов происходит реминерализация эмали и блокировка патологического процесса. Также пациенту назначают полоскания ротовой полости антисептическим раствором и зубную пасту с фторидами.
Как лечить поверхностный кариес
Если кариозный участок успел разрушить эмаль, но не проник в твердые ткани, проводится реминерализация, как и на первом этапе. Стоматолог проводит шлифовку пораженной области зуба, удаляет поврежденные ткани и наносит на эмаль раствор для ее восстановления. Может потребоваться проведение нескольких процедур — 5-10 сеансов. На протяжении всего лечения пациент пользуется лечебной зубной пастой.
Лечение пришеечного кариеса на средней стадии

Как правило, люди обращаются к врачу, когда прикорневой кариес достиг третьей стадии. На этом этапе требуется пломбирование зуба. Доктор удаляет пораженные ткани, проводит антисептическую обработку кариозной полости и заполняет ее пломбирующим материалом. Процедура проводится под местной анестезией.
Как лечится запущенный пришеечный кариес
Глубокий кариес зачастую сопровождается поражением пульпы, поэтому требуется депульпация. После этого проводится обработка корневых каналов и пломбирование. В ряде случаев удается избежать удаления нерва. Тогда лечение осуществляется по стандартному алгоритму:
- Обезболивание.
- Удаление отложений и зубного камня.
- Подбор оттенка будущей пломбы.
- Оттеснение десневого края.
- Препарирование кариозной полости.
- Изоляция зуба.
- Шлифовка.
- Пломбирование.
- Полировка пломбы.
Процедура может быть и более сложной, если кариозный очаг находится под десной. Ее приходится разрезать, чтобы открыть доступ к шейке и корню. После основного лечения врач накладывает швы, которые рассасываются в течение нескольких дней.
Если же пациент обратился к врачу поздно и зуб почти полностью разрушился, его удаляют. Встает вопрос об установке импланта.
Как лечить пришеечный кариес на передних зубах
Пришеечный кариес передних зубов доставляет больше всего дискомфорта. Во-первых, он развивается и прогрессирует быстрее, чем на молярах и премолярах. Во-вторых, передние зубы попадают в зону улыбки, поэтому возникает еще и косметический дефект. Лечение проводится по обычной схеме, однако материал для пломбы подбирается более тщательно. Она не должна отличаться по цвету от остальной части зуба, иначе он будет выглядеть неэстетично. Стоимость такой пломбы значительно выше стандартной.
Что можно делать в домашних условиях
Мы описали особенности лечения кариеса на разных стадиях в кабинете стоматолога. Многих интересует вопрос, что делать при развитии болезни в домашних условиях, можно ли ее остановить самостоятельно. Единственное, что доступно пациенту — это профилактика. Если кариозное поражение уже началось, повернуть его вспять с помощью ополаскивателей или народных средств невозможно.
Однако можно замедлить его или остановить, если придерживаться ряда простых правил:
- чистить зубы дважды в день и полоскать рот после еды;
- отказаться от сладкой пищи и газировок;
- бросить вредные привычки, в частности курение;
- использовать ирригаторы для очистки ротовой полости.
Кроме того, не забывайте проверять зубы каждые полгода, даже если не тревожат симптомы кариеса.
Читайте также:
