Рентгенограмма, КТ, МРТ, УЗИ при септическом артрите
Добавил пользователь Владимир З. Обновлено: 22.01.2026
Какой метод диагностики септического артрита выбрать: МРТ, КТ, рентген, УЗИ
Что покажут снимки рентгена костей и суставов при септическом артрите
- Первичным исследованием является рентгенографическое исследование в двух проекциях
- МРТ.
Что покажет рентген суставов при септическом артрите
- Ранние признаки бактериального артрита: припухлость мягких тканей, выпот в полости сустава
- Через 10-14 дней после появления симптомов определяется околосуставной остеопороз в связи с воспалительной гиперемией
- Быстрое сужение суставной щели вследствие деструкции кости
- Эрозирование кости, особенно в «оголенных» участках, вызванное пролиферацией синовиальной оболочки (паннус)
- Быстрая деструкция сустава с дезинтеграцией поверхности, обеспечивающей питание костей сустава
- Деформация сустава.
В каких случаях проводят МРТ конечностей при септичесом артрите
- Раннее выявление выпота в полости сустава
- Может определяться наличие абсцесса
- Контрастное усиление синовиальной оболочки
- Часто реактивный отек костного мозга пораженных структур сустава (гипоинтенсивное на Т1-взвешенном изображении, гиперинтенсивное на Т2-взвешенном изображении с подавлением МР-сигнала от жировой ткани, накопление контрастного вещества)
- Сопутствующий остеомиелит трудно отличить от реактивного отека костного мозга вследствие сходной интенсивности сигнала.

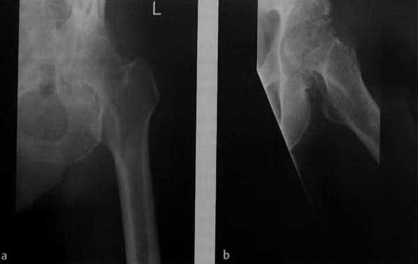
а-с Септический артрит (пиогенный артрит)у мужчины 43 лет с алкоголизмом в анамнезе и циррозом печени. Болевой синдром вследствие инфекции левом тазобедренного сустава в течение двух недель, интермиттирующая лихорадка и высокий уровень СОЭ: а, b) Рентгенологическое исследование левого тазобедренного сустава в двух плоскостях. Выраженная остеопения вокруг сустава, сужение суставной щели и начинающаяся деструкция головки бедренной кости;

с) МРТ. Последовательность STIR демонстрирует выпот в полости сустава, абсцесс в подвздошно-поясничной области и отек костного мозга в головке бедренной кости и вертлужной впадине.
Клинические проявления
- Болезненное ограничение движений
- Локальная боль и воспаление при инфекции костей и суставов
- Локальная гипертермия, покраснение и припухлость сустава
- Субфебрильная температура тела, редко озноб
- Лабораторные тесты: маркеры воспалительного процесса, положительные результаты посева культуры выпота из полости сустава.
Методы лечения инфекции поражающей суставы
- Системная антибактериальная терапия направленная на лечение симптомов инфекционного артрита
- Аспирация выпота в полости сустава и введение антисептиков в полость сустава
- При тяжелом повреждении сустава - протезирование сустава после купирования инфекционного процесса.
Течение и прогноз
- Часто быстрое прогрессирование
- Значительная деструкция сустава
- Осложнения: сепсис, эндокардит, разрушение сустава, фиброзный или костный анкилоз, деструкция ростковой пластинки, приводящие к нарушению роста или остеомиелиту.
Что хотел бы знать лечащий врач
- Деструкция хрящевой ткани
- Наличие выпота в полости сустава
- Признаки воспалительного процесса
- Распространение
- Деструкция сустава
- Исключение дегенеративных изменений сустава.
Какие заболевания имеют симптомы, схожие с септическим артритом
Дегенеративные изменения сустава
- Субхондральный склероз, остеофиты, субхондральные кисты
- Активный деструктивный процесс с отеком костного мозга может напоминать септический артрит
- Аспирация выпота в полости сустава!
Ревматоидный артрит
- Однородное сужение суставной щели
- Деструкция сустава возникает только при запущенном длительно текущем заболевании (медленное прогрессирование)
Пигментный ворсинчато-узелковый синовит
- Структура поражения, анамнез пациента
- Рецидивирующий выпот в полости сустава
- Кисты со склеротическим кольцом в области сустава
- Определение отложений гемосидерина при МРТ
Советы и ошибки
Ошибочная интерпретация септического артрита как дегенеративного заболевания сустава - поэтому при наличии любого подозрения на септический артрит необходимо проведение пункции сустава!
Инфекционный артрит
Инфекционный артрит - воспалительное заболевание суставов бактериальной, вирусной, паразитарной или грибковой этиологии. Инфекционный артрит может поражать различные суставы и, кроме местных проявлений (опухания, гиперемии, болезненности, ограничения движения в суставе), сопровождается ярко выраженной общей симптоматикой (лихорадкой, ознобами, интоксикационным синдромом). Диагностика инфекционного артрита основана на данных рентгенографии, УЗИ, артроцентеза, исследования синовиальной жидкости, бакпосева крови. Лечение инфекционного артрита включает иммобилизацию и лаваж сустава, системное и внутрисуставное введение антибиотиков, при необходимости - выполнение артроскопической санации или артротомии.

Общие сведения
Инфекционный артрит - группа артритов, вызываемых инфекционными возбудителями (вирусами, бактериями, грибами, простейшими), проникающими непосредственно в ткани сустава. В ревматологии и травматологии артриты, ассоциированные с инфекцией, диагностируются в каждом третьем случае. Инфекционный артрит чаще поражает суставы нижних конечностей, испытывающие большую весовую нагрузку (коленные, тазобедренные, голеностопные), а также суставы кистей рук. Инфекционные артриты регистрируются у представителей различных возрастных групп: новорожденных, детей дошкольного и школьного возраста, взрослых.
Согласно этиологическому принципу, инфекционные артриты делятся на бактериальные, вирусные, грибковые, паразитарные. С учетом нозологической принадлежности различают септический (пиогенный, гнойный), гонорейный, туберкулезный, сифилитический, бруцеллезный и другие виды артритов. Ввиду особенностей возникновения в отдельную группу выделяются посттравматические артриты.
При попадании инфекции в суставные ткани извне говорят о первичном артрите. В случае распространения инфекционного процесса на сустав из окружающих тканей или отдаленных гнойных очагов развивается вторичный артрит. Течение инфекционных артритов может быть острым, подострым и хроническим. Поражение суставов может происходить по типу моно-, олиго- или полиартрита.

Причины
Чаще всего при инфекционных артритах имеет место метастатический путь поражения суставов, т. е. проникновение инфекции в полость сустава гематогенным или лимфогенным путем, в результате чего возбудитель заболевания может быть обнаружен в синовиальной жидкости. Также возможен прямой путь инфицирования, например, при открытых ранениях и травмах сустава, а также диссеминации микроорганизмов из близко расположенных очагов остеомиелита.
У новорожденных и детей младшего возраста бактериальные артриты чаще вызываются стафилококком, энтеробактериями, гемолитическим стрептококком, гемофильной палочкой. У взрослых пациентов, наряду с аэробами, частыми возбудителями инфекционного артрита являются анаэробные микроорганизмы: пептострептококки, фузобактерии, клостридии, бактероиды. Острые бактериальные артриты могут возникнуть на фоне ангины, синусита, пневмонии, фурункулеза, пиелонефрита, инфекционного эндокардита, сепсиса. Кроме этого, встречаются специфические инфекционные артриты, обусловленные туберкулезом, сифилисом, гонореей и др.
Грибковые артриты, как правило, ассоциированы с актиномикозом, аспергиллезом, бластомикозом, кандидозом. Паразитарные артриты обычно связаны с глистными и протозойными инвазиями. Вирусные артриты встречаются при краснухе, эпидемическом паротите, вирусном гепатите В и С, инфекционном мононуклеозе и др. Посттравматические инфекционные артриты в большинстве случаев развиваются вследствие перенесенных проникающих травм суставов. Не исключается ятрогенное инфицирование при проведении лечебно-диагностической пункции сустава, внутрисуставных инъекций, артроскопии или эндопротезирования.
К категории лиц, имеющих повышенный риск развития инфекционного артрита, относятся пациенты, страдающие ревматоидным артритом, остеоартрозом, ИППП, алкогольной или наркотической зависимостью, иммунодефицитными состояниями, сахарным диабетом, ожирением, авитаминозами; испытывающие значительные физические (в т. ч. спортивные) нагрузки и пр.
Симптомы инфекционного артрита
Инфекционные артриты, вызванные неспецифической микрофлорой (стафилококками, стрептококками, синегнойной палочкой и др.), имеют острое начало с выраженными локальными и общими проявлениями. Местные признаки гнойного артрита включают резкую боль в покое, при пальпации, активных и пассивных движениях; нарастающую припухлость, изменение контуров сустава; местное покраснение и повышение температуры кожи. Следствием гнойно-воспалительной реакции служит нарушение функции конечности, которая принимает вынужденное положение. В большинстве случаев при остром инфекционном артрите развивается общая симптоматика - лихорадка, озноб, миалгия, потливость, слабость; у детей - тошнота и рвота.
Септический артрит обычно протекает в форме моноартрита коленного, тазобедренного или голеностопного сустава. Полиартриты обычно развиваются у лиц, получающих иммуносупрессивную терапию или страдающих суставной патологией. У наркозависимых пациентов часто отмечается поражение суставов осевого скелета, главным образом, сакроилеит. Инфекционный артрит, вызванный золотистым стафилококком, может привести к разрушению суставных хрящей буквально за 1-2 дня. При тяжелом течении гнойного артрита возможно развитие остеоартрита, септического шока и летальный исход.
Для инфекционного артрита гонококковой этиологии характерен кожно-суставной синдром (периартрит-дерматит), характеризующийся множественными высыпаниями на коже и слизистых (петехиями, папулами, пустулами, геморрагическими везикулами и др.), мигрирующими артралгиями, теносиновитами. При этом симптомы первичной урогенитальной инфекции (уретрита, цервицита) могут быть стертыми или вовсе отсутствовать. При гонорейном артрите чаще поражаются суставы кистей рук, локтевой, голеностопный, коленный суставы. Характерными осложнениями служат плоскостопие, деформирующий остеоартроз. Сифилитический артрит протекает с развитием синовита коленных суставов, сифилитического остеохондрита и дактилита (артрита пальцев рук).
Туберкулезный артрит имеет хроническое деструктивное течение с поражением крупных (тазобедренного, коленного, голеностопного, лучезапястного) суставов. Изменения суставных тканей развиваются в течение нескольких месяцев. Течение заболевания связано с местным синовитом и общей туберкулезной интоксикацией. Подвижность пораженного сустава ограничена болезненностью и мышечными контрактурами. При вовлечении в воспалительный процесс периартикулярных тканей могут возникать «холодные» абсцессы.
Артрит, ассоциированный с бруцеллезом, протекает на фоне симптомов общего инфекционного заболевания: волнообразной лихорадки, ознобов, проливных потов, лимфаденита, гепато- и спленомегалии. Характерны кратковременные миалгии и артралгии, развитие спондилита и сакроилеита.
Вирусные артриты обычно отличаются кратковременным течением и полной обратимостью происходящих изменений, без остаточных явлений. Отмечаются мигрирующие артралгии, припухлость суставов, болезненность движений. Длительность течения вирусного артрита может составлять от 2—3 недель до нескольких месяцев. Грибковый артрит часто сочетается с микотическим поражением кости. Заболевание характеризуется длительным течением, образованием свищей. В исходе инфекционного артрита грибковой этиологии может развиваться деформирующий остеоартроз или костный анкилоз сустава.
Диагностика
В зависимости от этиологии инфекционного артрита, пациенты могут нуждаться в консультации и наблюдении хирурга, травматолога, ревматолога, фтизиатра, инфекциониста, венеролога. В числе первоочередных мероприятий для установления диагноза выполняется УЗИ и рентгенография пораженных суставов. Рентгенологически при инфекционном артрите определяется остеопороз, сужение суставной щели, костный анкилоз, костные эрозии. Ультразвуковая диагностика выявляет изменения периартикулярных тканей, наличие внутрисуставного выпота. На ранних стадиях, когда рентгенографические признаки инфекционного артрита еще не обнаруживаются, могут использоваться более чувствительные методы - КТ сустава, МРТ, сцинтиграфия.
Важное значение для верификации этиологического фактора имеют данные диагностической пункции сустава, исследование синовиальной жидкости (микроскопия, цитология, посев на среды). Большую диагностическую ценность в определенных случаях представляют иммуноферментный анализ, бактериологическое исследование крови и отделяемого уретры, обзорное исследование мазков из половых путей. Установлению диагноза туберкулезного артрита способствует биопсия синовиальной оболочки сустава, обнаружение в организме других туберкулезных очагов, положительные туберкулиновые пробы. Инфекционный артрит дифференцируют с ревматоидным, подагрическим артритом, гнойным бурситом, остеомиелитом.
Лечение инфекционного артрита
В острой стадии лечение инфекционного артрита проводится стационарно. Осуществляется иммобилизация конечности на короткий срок с последующим постепенным расширением двигательного режима сначала за счет пассивных, затем - активных движений в суставе. В том случае, если произошло инфицирование протезированного сустава, проводится удаление эндопротеза. При гнойном артрите выполняется ежедневный артроцентез, лаваж сустава, по показаниям - артроскопическая санация сустава или артротомия с проточно-аспирационным промыванием.
Лекарственная терапия инфекционного артрита включает парентеральное назначение антибиотиков с учетом чувствительности выявленного возбудителя (цефалоспорины, синтетические пенициллины, аминогликозиды), дезинтоксикационные мероприятия. При вирусных артритах назначаются НВПС, при грибковой инфекции - антимикотические препараты, при туберкулезном артрите - специфические химиопрепараты. После купирования острых воспалительных явлений для восстановления функции сустава проводится комплекс ЛФК и физиотерапевтического лечения, бальнеотерапии, массажа.
Прогноз и профилактика
У трети больных, перенесших инфекционный артрит, отмечаются остаточные явления в виде ограничения подвижности суставов, контрактур, анкилозов. Септические артриты представляют серьезную угрозу: несмотря на возможности терапевтического и хирургического лечения, летальность при осложненном течении достигает 5-15%. К числу неблагоприятных прогностических факторов относятся ревматоидный артрит, септицемия, пожилой возраст, иммунодефицитные состояния. Профилактика артрита включает своевременную терапию общих инфекционных заболеваний, адекватные физические нагрузки, предупреждение травм суставов, защиту от ИППП, соблюдение требований асептики и антисептики при проведении хирургических манипуляций.
МРТ при воспалительных артритах
Воспалительные (септические) артриты - это воспаление сустава бактериальной этиологии. Самый частый возбудитель Staphylococcus aureus, хотя гнойная инфекция сустава может быть связана практически с любой бактерией. Инфекция попадает обычно гематогенным путем из легких или других отдаленных гнойных очагов. Возможен и прямой путь инфицирования при операции а также остеомиелите соседних костных участков. Больные жалуются на боли и отек в области сустава. Аспирация скопления жидкости в суставе и вокруг него подтверждает гнойный характер патологии.
Рентгенография недостаточно чувствительна к подобным изменениям в суставах, лишь на поздних стадиях она показывает разрежение костной ткани и отек мягких тканей. Присоединившийся остеомиелит показывает костную эрозию и периостальную реакцию. На поздней стадии при рентгенографии может быть найден остеонекроз прилегающих к суставу участков. При УЗИ можно увидеть скопление жидкости, но невозможно корректно оценить состояние костных структур. Сцинтиграфия очень чувствительна, но недостаточно специфична. Костные изменения хорошо видны при КТ, кроме того определяются периартикулярные абсцессы.
МРТ пораженного сустава может быть методом выбора. МРТ суставов демонстрирует жидкость и отек, имеющие повышенный сигнал на Т2-взвешенных МРТ. При МРТ сустава с контрастированием отмечается усиление по синовиальной выстилке сустава. Практически всегда МРТ септического сустава визуализирует отек мягких тканей вокруг него. О септических и других видах артритов также можно почитать в специальной статье. МРТ при артритах мелких суставов описано здесь.
При МРТ в СПб мы видим главную задачу в дифференциальной диагностике септического артрита и синовита. При септическом артрите на МРТ суставов отмечается повышенный сигнал на Т2-взвешенных МРТ от прилегающих участков костного мозга. Надо заметить, что этот симптом необязательно указывает на остеомиелит. Воспалительные артриты хорошо видны как в высоких полях на закрытых аппаратах, так и открытых МРТ.

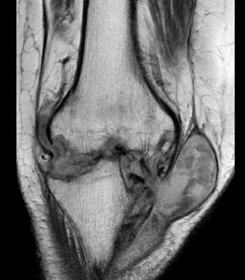
МРТ коленного сустава. Т2-взвешенная сагиттальная МРТ. Септический артрит.

МРТ коленного сустава. Т1-взвешенная корональная МРТ. Септический артрит с абсцессом.
МРТ или КТ коленного сустава - что лучше?

Современные аппаратные методы обследования суставов, такие как МРТ, КТ, УЗИ, при которых выполняется трехмерная оценка состояния коленного сустава, носят огромную информативную ценность для врача-ортопеда, хирурга или травматолога. Однако пациенты нередко задают вопрос о том, что же всё-таки лучше - УЗИ, рентген, МРТ или КТ коленного сустава? Цена на эти исследования может отличаться в разы по сравнению с простым рентгеном. Так стоит ли тратиться на эти современные виды диагностики? Давайте разбираться.
Содержание статьи:
Что такое аппаратная диагностика?
Эра аппаратной диагностики началась с открытия рентгеновских лучей в конце 19 века. Так в арсенале медиков появился рентген-аппарат. На его базе чуть позднее появилась флюорография и маммография. В начале 30-х годов 20 века были открыты диагностические возможности ультразвука, и в медицинских центрах начали делать ультразвуковую диагностику различных внутренних органов и оценивать развитие плода во время беременности. В 70-х годах 20 века были первые попытки использовать силу магнитного резонанса в диагностических целях. С 80-х годов прошлого века медицинские учреждения в России начали оборудоваться магнитно-резонансными томографами. Медицина никогда не стоит на месте, и с развитием рентген-технологий появилась усовершенствованная версия рентгенографии, которая получила название компьютерная томография. Широкое применение в клинической практике она получила в 80-х годах 20 века. На смену компьютерным томографам первого поколения пришли спиральные и мультиспиральные томографы - МСКТ. Сейчас большинство медицинских учреждений Санкт-Петербурга оборудовано именно ими.

Диагностика, расшифровка снимков, письменное заключение рентгенолога, запись томограмм на CD + бесплатная консультация невролога или ортопеда после МРТ позвоночника или сустава

Что такое КТ коленного сустава?
Компьютерное томографическое сканирование колена является неинвазивным и безболезненным обследованием области коленного сустава. КТ установка с помощью рентгеновских лучей и компьютера создает многочисленные снимки колена на различных уровнях и под различными углами. Мультиспиральный компьютерный томограф представляет собой рентгеновский аппарат, в центре которого находится кольцо гентри. В ходе обследования стол сканера с лежащим на нем пациентом двигается через туннель установки, а датчики, расположенные в стенках кольца, излучают пучки рентгеновских лучей. Они проходят через тело пациента с различной скоростью и улавливаются детектором. Данные из детектора поступают на компьютер. Он обрабатывает все сигналы остаточной силы рентген-лучей и создает объемные изображения из всех срезов коленного сустава. В итоге на томографических снимках врач-диагност может увидеть точное анатомическое строение всех костей и хрящей колена и выявить точную локализацию и характер любых костных патологий.
Первичный прием
ОРТОПЕДА
ВСЕГО 1800 рублей!
(подробнее о ценах ниже )
Что такое МРТ коленного сустава?
Магнитно-резонансная томография - это тоже неинвазивный и безболезненный метод диагностической визуализации мягких и костных тканей тела. Она позволяет медикам увидеть суставные структуры и их изменения. В отличие от КТ, МРТ коленного сустава использует не лучевое излучение, а магнитное поле и радиочастотные волны, сравнимые с тем, что есть в сотовом телефоне или микроволновой печи. Как и в случае с КТ, цель МР-метода заключается в получении объемных изображений исследуемой зоны. Однако принцип создания томограмм основан на физике ядерного магнитного резонанса, а не на рентген-излучении. В клетках тканей нашего тела есть атомы водорода. Эти заряженные частицы при изменении своих позиций могут выделять энергию. Когда пациента помещают внутрь МРТ установки, вокруг обследуемой области создается сильное магнитное поле. Оно заставляет на короткое время атомы водорода поменять свои позиции, выстроившись вдоль волны. Затем они возвращаются в исходное положение, при этом выбрасывая энергию. Именно её улавливает детектор в аппарате, регистрирует и передает на компьютер. Он оцифровывает полученную информацию и выводит на экран трехмерные изображения анатомии колена пациента. Атомов водорода больше в тех тканях, где много воды. Поэтому магнитно-резонансная томография лучше показывает хрящи, мышцы, сухожилия, нервные окончания.
| Услуга | Цена по Прайсу | Цена по Скидке Ночью |
|---|---|---|
| с 23.00 до 8.00 | ||
| МРТ коленного сустава | 4000 руб. | 3390 руб. |
| Прием врача ортопеда | бесплатный после МРТ | бесплатный после МРТ |
Преимущества и недостатки КТ и МРТ колена
У каждого из томографических методов есть свои достоинства и недостатки. По сравнению с КТ, МРТ коленного сустава обладает следующими преимуществами:
- отсутствие радиации и ионизирующего излучения;
- доступность любой категории пациентов (беременным женщинам, детям любого возраста);
- неограниченное число исследований. КТ из-за лучевой нагрузки не следует делать чаще, чем раз в полгода;
- значительно большая область покрытия. С помощью МР-исследования врачи могут обследовать как костные, так и мягкие ткани.
Однако качество костной структуры оценить на МРТ снимках сложно. В костях воды мало, поэтому на МРТ коленного сустава они будут видны не очень точно и четко. Для качественного исследования костной ткани рентгеновские методы остаются более значимыми. Кости гораздо лучше видны на КТ и рентгенографии.
КТ колена, в сравнении с МРТ, будет выигрывать по следующим параметрам:
- скорость обследования. МСКТ колена займет 5-7 минут в отличие от МР-обследования, которое потребует от 20 до 40 минут.
- шаг исследования на компьютерном томографе составляет 1 мм. Чтобы добиться такого же уровня сканирования на магнитно-резонансном томографе, нужно использовать мощные высокопольные машины.
Как МРТ, так и КТ коленного сустава удобны пациенту с точки зрения скорости получения диагностических результатов. Сразу после процедуры (через 30-40 минут) обследуемый получает письменное заключение рентгенолога, сами снимки и детальное описание выявленных патологий и отклонений. Такие оперативные данные позволяют врачам приблизиться к точной постановке диагноза и максимально быстро назначить лечение.
МРТ и КТ коленного сустава с контрастом
Иногда в медицинских центрах можно наблюдать следующую картину. Рентгенологи пациенту начинают задавать вопрос: “Делать ли вам МРТ или КТ с контрастом или без?”, а обследуемый теряется и не может ответить. Чтобы избежать такого конфуза, давайте уточним, когда следует делать КТ и МРТ колена с контрастированием, а когда базового протокола будет вполне достаточно.
КТ и МРТ коленного сустава в большинстве случаев проводят без контраста. Контрастное усиление диагносты используют в тех редких случаях, когда есть подозрение на новообразование. Чтобы выявить опухоль и диагностировать её доброкачественный или злокачественный характер, рентгенологи вводят через вену пациенту специальный контрастный препарат. Он помогает лучше визуализировать место локации объемного образования, и по характеру накопления препарата врачи могут предположить, какая эта опухоль и на какой стадии развития она находится.
В качестве контрастного вещества при магнитном и компьютерном исследованиях выступают разные химические составы. Компьютерная томография использует йодсодержащие препараты для контрастирования. Контраст для МР-томографии основан на солях гадолиния. Гадолинийсодержащий состав менее токсичный, чем йодовый, и почти никогда не вызывает аллергию. Аллергическая реакция на контрастные вещества на базе йода встречается в 1% случаев.
В ответе на этот вопрос лучше всего довериться суждениям лечащего врача. Он сможет, исходя из диагностических целей, истории болезни, первичного диагноза, подобрать максимально результативный метод диагностики. Если вы затрудняетесь самостоятельно выбрать между магнитной и компьютерной томографией, мы будем рады предложить вам пройти консультацию у опытного ортопеда. Он сможет поставить первичный диагноз и в случае необходимости дообследования дать направление на нужный вид диагностики
УЗИ, МРТ, КТ, рентген тазобедренного сустава - что лучше?

Лабораторные анализы, МРТ, КТ, рентген - вот далеко не полный перечень способов диагностики заболеваний тазобедренных суставов, и каждый из них лучше подходит при той или иной патологии. Обследование суставов таза и бедра обычно начинается с приема у ортопеда, в ходе которого врач оценивает походку, проверяет нарушения внутренней ротации, сгибания, разгибания и отведения, наличие болезненности при пальпации и пассивных движениях. По результатам осмотра доктор скорее всего поставит первичный диагноз и, если нужно, даст направление на лабораторные исследования и аппаратную диагностику.
В медицинских центрах Санкт-Петербурга наиболее распространенными инструментальными способами диагностики тазобедренного сустава являются:
- УЗИ тазобедренного сустава.
- Рентгенография.
- КТ тазобедренного сустава. .
Содержание статьи:

Лабораторные обследования в общем и целом менее информативны, чем визуализация состояния сустава и костей посредством томографии, рентгена или УЗИ, но при некоторых системных ревматических заболеваниях они играют важную роль. Например, ортопед-ревматолог или ревматолог может назначить сдачу:
- антинуклеарных антител (АНА) и антител к двухцепочечной ДНК;
- антинейтрофильных цитоплазматических антител (АНЦА) ;
- ревматоидного фактора и антител к циклическому цитруллинированному пептиду (АЦЦП); HLA-B27 при спондилоартропатиях,
чтобы провести диагностику аутоиммуных заболеваний суставов или выявить воспалительные процессы.
Что лучше - МРТ или рентген тазобедренного сустава?
Рентген сустава - это метод в основном экстренной диагностики при травме бедра. Рентген-аппаратами оснащено большинство травмпунктов в СПб. Рентгенография позволяет быстро определить костные нарушения. Однако при заболеваниях суставов кости обычно не поражаются, поэтому рентген для диагностики патологий тазобедренного сустава - малоинформативный метод сканирования. Врач скорее всего назначит уточняющую МРТ для верификации диагноза, если рентгенография показала наличие патологии. В отличие от рентгена, который визуализирует исключительно нарушения костной ткани, МРТ хорошо показывает все анатомические структуры, которые входят в состав тазобедренного сустава или находятся в близкорасположенной области.
Магнитно-резонансная томография является профилирующим методом обследования в суставной хирургии. Томографию сустава назначают перед операциями, чтобы получить детализированный атлас расположения нервов и сосудов, четкое изображение всех частей сустава и локализации очагов патологии. Такая информация позволяет хирургу составить подробный план предстоящего хирургического вмешательства и избежать врачебных ошибок.
После протезирования МРТ тазобедренного сустава используют, чтобы убедиться в правильном расположении суставного протеза.
Этот метод диагностического исследования применяют, чтобы скорректировать план терапевтического процесса и посмотреть, насколько те или иные лечебные мероприятия являются результативными.
Если перед вами стоит вопрос, как диагностировать тазобедренный сустав - на рентгене или МРТ, в 99% случаев более информативным и предпочтительным способом диагностики будет магнитно-резонансное исследование.
Что лучше - УЗИ или МРТ тазобедренного сустава?
УЗИ тазобедренного сустава у взрослых в основном используется для оценки внесуставных заболеваний, например, воспалений мягких тканей и состояния связок в динамике. В педиатрии ультразвук активно применяется как приоритетный метод диагностики дисплазии сустава у маленьких детей. В остальных случаях лучше сделать МРТ тазобедренного сустава.
МРТ или КТ тазобедренных суставов - что лучше?
КТ тазобедренного сустава лучше, чем МРТ, покажет костную патологию. Она позволяет выявлять первичные и метастатические опухоли костей, остеомиелит, некроз костной ткани, кальциноз околосуставных тканей (при кальцифицирующих тендинитах). При подозрении на ревматоидный артрит, подагру или остеоартроз с помощью КТ можно выявить эрозии, костные кисты, а также сужение суставной щели и остеофиты. При псевдоподагре на снимках компьютерной томографии хорошо визуализируются отложения кристаллов пирофосфата кальция в суставном хряще. КТ тазобедренных суставов за одно обследование комплексно покажет:
- перелом или дислокацию бедра, вызванные травмами или падением;
- степень плотности костной ткани, а также поможет обнаружить раннюю резорбцию кости, которая может стать причиной перелома.
Магнитно-резонансное исследование лучше, чем КТ, показывает мягкие и суставные структуры бедра. Она позволяет оценить состояние хряща, который покрывает бедренную головку и вертлужную впадину, обнаружить его мелкие трещины и дефекты, вызывающие артрит тазобедренного сустава. С помощью МРТ бедра проводят тщательный анализ состояния самой уязвимой части сустава - головки бедренной кости. На полученных изображениях четко видно деформацию или нестабильное положение головки, а также хорошо прослеживается состояние кровеносных сосудов, которые проходят вдоль шейки бедра.
МРТ позволяет диагностировать болезнь Пертеса, которая возникает из-за недостаточности кровоснабжения шейки бедра вследствие ущемления или разрыва кровеносных сосудов.
Сканирование с помощью магнитно-резонансного томографа визуализирует признаки саркомы Юинга - это злокачественная опухоль, которая может влиять на устойчивость бедер и чаще всего поражает мужчин в детском и раннем взрослом возрасте.
МР-исследование используют для тщательного обследования злокачественных опухолей, чтобы увидеть степень расширения кости и мягких тканей опухоли и проследить ее связь с близлежащими анатомическими структурами.
На снимках МРТ тазобедренного сустава хорошо видны участки растяжения связок, разрывы или утолщения сухожилий, воспалительные процессы в мышечной ткани.
Обследование на томографе позволяет найти места ущемления нервов, диагностировать тромбоз глубоких вен бедра, что может стать причиной легочной эмболии, если эти сгустки с током крови достигнут сосудов, питающих легкие.
МРТ является лучшим методом диагностики таких патологий опорно-двигательного аппарата, как импиджмент синдром тазобедренного сустава, бурсит, абсцесс, тендинит.
Недостатки МРТ и КТ тазобедренного сустава
МР-диагностика тазобедренного сустава возможна не для всех пациентов. Наличие металла в теле и электронные импланты - это два основных противопоказания к томографии. Даже с учетом того, что значительный процент обследуемых на МРТ тазобедренного сустава составляют пациенты с тем или иным видом протезов, к процедуре не допускаются те, у кого они выполнены из стали. Учитывая высокую мощность магнитного поля, любое присутствие предметов из ферромагнитного металла в организме может приводить к сдвиганию и внутреннему кровотечению. В таких ситуациях предпочтительным методом диагностики будет КТ или УЗИ.
Основным недостатком КТ тазобедренного сустава является лучевая нагрузка на организм. В среднем она составляет 2-3 мЗв за одно сканирование. Поэтому компьютерная томография строго противопоказана беременным женщинам на любом сроке вынашивания и не желательна для детей малого возраста (до 7 лет).
Читайте также:
