Череп при заболеваниях гипофиза. Влияние щитовидной железы на развитие черепа
Добавил пользователь Владимир З. Обновлено: 21.11.2025
Гипофиз - представляет собой отдел головного мозга и один из важнейших органов эндокринной системы у взрослых и детей. Он принимает участие в регуляции функционирования желез внутренней секреции, и любой сбой неизбежно отражается на состоянии организма. Нарушения работы гипофиза особенно опасны у детей, поскольку органы и ткани в этом возрасте находятся в стадии активного развития. Важно при любых признаках патологии своевременно обращаться к хорошему детскому эндокринологу для диагностики и коррекции нарушений.
Гипофиз - это маленькая железа, расположенная в глубине черепной коробки в структуре под названием «турецкое седло». Вместе с гипоталамусом он образует так называемую гипоталамо-гипофизарную систему, которая выделяет биологически активные вещества, регулирующие выработку гормонов надпочечников, щитовидной железы, а также влияющие на рост организма и половое созревание.
Гипофиз имеет три доли, каждая из которых выделяет свои гормоны. Наибольшее значение имеет передняя доля - аденогипофиз. В ней вырабатываются шесть важнейших гормонов:
- адренокортикотропный (АКТГ): оказывает стимулирующее действие на кору надпочечников, способствует выработке кортикоидных гормонов;
- тиретропный (ТТГ): влияет на работу щитовидной железы;
- гонадотропный (ГТГ): стимулирует выделение половых гормонов, способствует половому созреванию;
- фолликулостимулирующий: способствует созреванию яйцеклеток и выработку эстрогенов;
- лютеинизирующий: стимулирует выработку прогестерона у женщин и тестостерона у мужчин;
- соматотропный (СТГ): стимулирует активный рост костей, особенно важен в детском возрасте.
Средняя доля гипофиза вырабатывает мелатонин, очень важный для регуляции суточных ритмов, а задняя служит своеобразным накопителем для вазопрессина и окситоцина, которые вырабатываются в гипоталамусе.
Нарушения гипофиза
Гипофиз находиться у основания черепа и представляет собой сложную железу, которая имеет огромную важность для организма. Он находиться в костном углублении и защищен от внешних воздействий. Состоит гипофиз из двух частей: передней и задней. Имеет размер примерно равный горошине. При заболевания гипофиза возникают проблемы с железами внутренней секреции. Передняя доля гипофиза выделяет гормоны, связанные с развитием человека. А именно, гормон роста и пролактин. Но это не все гормоны, которые выделяет только передняя часть гипофиза. Это также тиреотропный гормон, кортикотропин, гонадотропные гормоны, которые влияют на развитие женских яичников и мужских половых желез. В это же время, задняя доля гипофиза вырабатывает окситоцин, способствующий сокращению матки при родах.
Нарушения работы гипофиза
Гипофиз — железа, производящая гормоны, столь нужные человеку. Список болезней при нарушении работы гипофиза весьма обширный, поскольку отсутствие даже одного необходимого гормона может привести к непридвиденным последствиям. Могут наблюдаться нарушения роста у ребенка; также существует и такое заболевание, как «несахарный диабет», которое проявляется повышением количества выделяемой мочи и постоянной жаждой. При данном заболевании у детей, ребенок может выделять до девятнадцати литров мочи в сутки, выпивая не меньшее количество воды. Причиной заболевания могут быть повреждения задней части гипофиза, которые чаще всего вызваны гранулемой (воспаление кожных тканей) или опухолью.
При недостатке гормонов гипофиза:
дефицит гормонов щитовидной железы;
гипофизарный нанизм (карликовость);
задержка полового развития;
нарушения обмена веществ.
При избытке гормонов гипофиза
Избыток гормона пролактина:
нарушения менструального цикла у женщин;
набухание молочных желез;
снижение полового желания;
Избыток соматотропного гормона (СТГ):
Повышение уровня адренокортикотропного гормона приводит к заболеванию Иценко-Кушинга. Эта болезнь характеризуется следующими симптомами:
остеопороз (недостаток кальция в организме);
повышение артериального давления;
Причины нарушений работы гипофиза
Для того, чтобы до конца понять причины заболеваний гипофиза, необходимо помнить, что он является частью мозга. Над гипофизом могут проходить нервы и сосуды. Причиной часто является опухоль самого гипофиза — аденома. Растущая аденома опасна тем, что сдавливает расположенные рядом нервы и структуры мозга. Поэтому, у пациентов с этим диагнозом часто бывают головные боли и нарушения зрения. Причины дефицита гормонов могут быть следующими:
врожденная недоразвитость гипофиза;
сдавливание гипофиза опухолью;
Лечение
При преобладании аденома гипофиза врачи назначают интенсивную терапию. Существует три метода терапии:
Каждый из вышеуказанных методов имеет свои преимущества и недостатки. Для выздоровления необходима правильная диагностика, которая позволит определить точный уровень гормонов и стадию патологии. Прием медикаментов должен оговариваться в индивидуальном порядке, а их выбор зависит от стадии и формы доброкачественного новообразования. Лечение гигантизма проводит врач-эндокринолог. Он ввоодит ребенку антагонист гормона роста - синтетический аналог соматостатина октреотида. Несахарный диабет лечиться адиуретином и другими гормонами при индивидуальном подборе дозы.
Если медикаментозная терапия требует времени на восстановление здоровья, то проведенная успешно операция обеспечит стойкий терапевтический эффект. Однако в последней клинической картине также требуется реабилитационный период, который предусматривает прием медикаментов отдельных фармакологических групп. В целом, клинический исход зависит от той схемы интенсивной терапии, которая была подобрана для конкретного пациента с определенным заболеванием гипоталамо-гипофизарной системы.
Череп при заболеваниях гипофиза. Влияние щитовидной железы на развитие черепа
Кафедра оториноларингологии Иркутского государственного медицинского университета
Кафедра оториноларингологии РМАПО, Москва
Состояние обоняния при эндокринных нарушениях (обзор литературы)
Журнал: Российская ринология. 2015;23(2): 57‑61
Нарушения обоняния (дизосмия) встречаются при различных заболеваниях и регистрируются примерно у 1-19% населения земного шара [1]. Наиболее частыми причинами их возникновения являются заболевания носа и околоносовых пазух (21%), респираторно-вирусные инфекции дыхательных путей (39%), последствия черепно-мозговой травмы (17%), врожденная аносмия (3%), заболевания неизвестной этиологии (18%) и др. (3%). В большинстве случаев (13,3%) речь идет о снижении остроты обоняния, реже (5,8%) диагностируется аносмия [2, 3].
В соответствии с современными представлениями о причинах возникновения обонятельных расстройств их подразделяют на пять видов.
1. Респираторная дисфункция. Обусловлена нарушением движения воздуха в области обонятельной щели (деформация носовой перегородки, синехии, гипертрофический, аллергический ринит, опухоли и полипы полости носа) [2, 4, 5].
2. Эпителиальная дисфункция. Связана с изменениями слизистой оболочки в обонятельной области. Причиной ограничения контакта пахучего вещества с рецепторными клетками нейроэпителия является недостаточность секрета боуменовых желез при атрофическом рините, озене, дистрофической форме склеромы [4, 6].
3. Комбинированные нарушения. Встречаются при сочетании вентиляционных расстройств и поражения слизистой оболочки.
4. Невральная дисфункция. Обусловлена поражением области filia olfactoria, наблюдается у больных, перенесших грипп, при интоксикации антибиотиками, может иметь место при склероме, новообразованиях носа и носоглотки. Обонятельным нарушениям могут быть присущи многообразные явления нейродинамического характера, симптомы раздражения (гиперосмия, паросмия, обонятельные галлюцинации) и выпадения (снижение, отсутствие обоняния, нарушение распознавания запахов) [4, 5, 7].
5. Центральные нарушения. Возникают при патологии проводящих путей и обонятельных центров. Изолированное повреждение проводящих путей происходит главным образом при черепно-мозговой травме, при новообразованиях носа и носоглотки, прорастающих в полость черепа; склероме, опухолях мозга, арахноидитах, субарахноидальных кровоизлияниях. Центральные расстройства обоняния сопровождаются нарушением узнавания запахов и обонятельными галлюцинациями [4, 7].
Важным условием адекватного восприятия и идентификации запахов является нормальное функционирование эндокринной системы, в частности, уровень половых гормонов в организме, оказывающих существенное влияние на состояние обоняния.
Половые гормоны
У женщин, особенно репродуктивного возраста, обоняние зависит от колебаний овариальных стероидов на протяжении менструального цикла. Кроме изменения чувствительности центральных отделов обонятельного анализатора, колебания уровня женских половых гормонов могут оказывать отрицательное влияние на состояние микроциркуляторного русла слизистой оболочки носа, вызывая симптомы назальной обструкции. С этим связано возникновение респираторной обонятельной дисфункции на фоне ухудшения носового дыхания при применении гормональных контрацептивов, а также в середине менструального цикла [8]. Пик этих изменений совпадает с подъемом содержания в плазме крови эстрадиола (эстрогена) в фолликулярную и овуляторную фазы [9, 10], а также изменения нарастают в овуляторную и(или) менструальную фазу [11]. Обонятельная чувствительность часто коррелирует с периферическим уровнем кортизола, более высокие показатели которого отмечаются в период овуляции [12]. Однако есть публикации, авторы которых сообщают об отсутствии влияния менструального цикла и беременности на ольфакторную чувствительность [13, 14].
Перестройка деятельности гипоталамо-гипофизарной системы на фоне снижения уровня эстрогенов и связанные с этим изменения вегетативной нервной системы являются одной из причин дизосмий (аносмий) у женщин в постменопаузе, после удаления яичников, миомы матки [15, 16].
Исследования порогов хемосенсорных вызванных потенциалов у подростков показали их гендерные различия. У женщин уровень кортизола повышается после контакта (вдыхания) с андростендионом, что свидетельствует о том, что у людей, подобно грызунам, хемосигналы могут влиять на гормональный баланс [17].
Беременность
Как показывают клинико-экспериментальные наблюдения, с первых недель беременности возникает очаг возбуждения (гестационная доминанта), который оказывает существенное влияние на состояние расположенных здесь обонятельных центров [18]. Уже в ранние сроки беременности регистрируется наибольшая активность ринэнцефальных структур (обонятельные луковицы, миндалевидные тела). С увеличением срока беременности очаг повышенного возбуждения смещается к диэнцефальным образованиям (промежуточный мозг). Такое изменение активности оказывает существенное влияние на тонус различных отделов вегетативной нервной системы [21]. Раздражение гипоталамо-
ринэнцефальных структур, в которых представлен парасимпатический отдел, сопровождается угнетением функциональной активности обонятельного анализатора. При повышении тонуса симпатических центров, расположенных в гипоталамо-мезенцефальных образованиях, регистрируется обострение обонятельной чувствительности [18].
По данным литературы, повышение обонятельной чувствительности чаще (67% женщин) регистрируется на ранних сроках беременности, у 17% - наблюдается паросмия (искаженное восприятие запаха) и в 14% - фантосмия (обонятельные галлюцинации). В поздние сроки беременности обонятельные расстройства встречаются реже и почти отсутствуют после родов. У беременных хемосенсорные нарушения в виде повышенной чувствительности к запахам, нередко приводящие к рвоте и тошноте на ранних сроках гестации, выполняют защитную функцию по отношению к матери и плоду, так как способствуют адаптации организма к новым условиям и препятствуют пищевому отравлению 21.
По другим данным, ухудшение обоняния развивается чаще к концу беременности. В этот период происходит повышение уровня эстрогенов и ингибирование ацетилхолинэстеразы, способствующее увеличению содержания в крови ацетилхолина. Это, в свою очередь, приводит к гиперемии, отеку слизистой оболочки носа, увеличению объема нижних и средних носовых раковин и возникновению респираторной гипосмии [16, 19].
Патология гипофиза
К настоящему времени опубликовано ограниченное количество материалов, касающихся распространенности и особенностей обонятельных расстройств при патологии гипофиза. Упоминается случай какосмии и гипопитуитаризма у пациентки с лимфоцитарным кистозным гипофизитом, у которой отмечена нормализация ольфакторной функции после хирургического лечения.
Нарушения обоняния характерны для синдрома Каллмана - наследственного генетически детерминированного заболевания, которое характеризуется врожденной аносмией и вторичным гипогонадизмом, обусловленными нарушениями эмбриогенеза органа обоняния и обонятельных луковиц. Аносмия возникает из-за нарушения миграции аксонов биполярных клеток в обонятельные луковицы, а гипогонадизм - из-за нарушения гонадолиберинсекретирующих нейронов из обонятельных луковиц в гипоталамус [24, 25].
Патология надпочечников
Согласно проведенным исследованиям, пациенты с адренокортикоидной недостаточностью (болезнь Адиссона, пангипопитуитаризм) проявляли необычайно высокую обонятельную чувствительность по сравнению со здоровыми людьми. Интересно отметить тот факт, что при лечении пациентов дезоксикортикостерона ацетатом пороги обоняния не ухудшались, а при лечении преднизолоном пороги ольфакторной чувствительности возвращались к норме с первого дня лечения. Природа влияния карбогидратактивных стероидов на обоняние не ясна. Это может быть связано с общим воздействием на нервную систему, особенно на сенсорные отделы [26].
Сахарный диабет
Гипосмия встречается у 4,4% больных сахарным диабетом, однако ее этиология при этом заболевании окончательно не выяснена. Полагают, что важное патогенетическое значение при обонятельных расстройствах в этих случаях могут иметь макрососудистые нарушения, в частности ишемия обонятельной области.
В перекрестном клиническом исследовании выявлено значительное снижение обонятельной чувствительности у больных сахарным диабетом, которое, как полагают, связано с возрастом и дегенеративными изменениями при этом заболевании. Отмечено отчетливое снижение остроты обоняния у пациентов с сахарным диабетом 2-го типа по сравнению с группой обследованных с сахарным диабетом 1-го типа [27].
Патология щитовидной железы
Данные экспериментальных исследований, проведенных на животных, противоречивы: одни авторы показали, что у опытных моделей с индуцированным гипотиреозом регистрировалась аносмия, которая исчезала после проведения заместительной терапии тироксином [31], а другие, наоборот, отрицали влияние гормональных изменений на обонятельную функцию (пропилтиоурацил-индуцированный гипотиреоз) [32]. По данным количественной тимидиновой ауторадиографии отмечено решающее регуляторное влияние тиреоидных гормонов на обонятельный нейрогенез у крыс обонятельного рецепторного слоя, в частности, в раннем младенчестве. Пропилтиоурацил-индуцированный гипотиреоз приводит к нарушению неврального развития обонятельного эпителия, хотя зрелые рецепторные нейроны были не полностью потеряны. Результаты исследования выявили уменьшение созревания обонятельных рецепторных нейронов [33].
Считается, что одним из ведущих механизмов снижения обоняния при гипотиреозе могут быть характерные для этого заболевания изменения центральной нервной системы, связанные с отеком ткани головного мозга и замедлением обменных процессов. Полагают, что это в известной степени сказывается на функциональной активности обонятельного рецептора и других звеньев обонятельного анализатора [29]. Об отрицательном влиянии гипотиреоза на активность центральных отделов обонятельного анализатора свидетельствует снижение способности к идентификации запахов у таких больных [34].
Кроме этого, обращает на себя внимание высокая вероятность развития при гипотиреозе нарушения аэродинамики носа (что ведет к ограничению поступления пахучего вещества к обонятельному рецептору) и гипосекреторной формы кондуктивной гипосмии, обусловленной угнетением секреторной активности слизистой оболочки полости носа. Наконец, важную роль в формировании дизосмии при гипотиреозе играет отек обонятельной области и механическое сдавление как рецепторных клеток, так и обонятельных нитей в месте их входа в отверстия продырявленной пластинки [29].
Обонятельная дисфункция при гипотиреозе нередко ассоциируется с нарушением вкуса (обычно при этом снижается способность к распознаванию сладкого и соленого), что крайне отрицательно сказывается на качестве жизни таких пациентов [30, 35].
Заключение
В целом, опубликованные результаты свидетельствуют о недостаточной изученности частоты и клинических проявлений обонятельных расстройств при эндокринных нарушениях. Имеющиеся данные зачастую носят противоречивый характер, существуют и определенные трудности в понимании механизмов развития дизосмий при различных гормональных изменениях. Перечисленные обстоятельства определяют актуальность и практическую значимость исследований состояния обонятельного анализатора при заболеваниях эндокринной системы.
Гипофизарный нанизм (карликовость) - симптомы и лечение
Что такое гипофизарный нанизм (карликовость)? Причины возникновения, диагностику и методы лечения разберем в статье доктора Скворцовой Ольги Викторовны, детского эндокринолога со стажем в 9 лет.
Над статьей доктора Скворцовой Ольги Викторовны работали литературный редактор Маргарита Тихонова , научный редактор Сергей Федосов и шеф-редактор Лада Родчанина
Определение болезни. Причины заболевания
Гипофизарный нанизм, или гипопитуитаризм — это заболевание, при котором частично или полностью прекращается выработка гормона роста — соматотропина (соматотропного гормона) [1] . Оно сопровождается нарушением роста скелета, из-за чего мужчины не вырастают выше 130 см, а женщины — выше 120 см. В связи с этим характерным проявлением болезнь также называют карликовостью.

Наиболее частые причины гипофизарного нанизма:
- Наследственность — мутации в гене соматотропного гормона (GH1) или его рецепторах. Частота встречаемости врождённого гипопитуитаризма колеблется от 1:4000 до 1:10000 [5] .
- Дефекты развития гипоталамо-гипофизарной системы — области головного мозга, где вырабатывается соматотропный гормон:
- гипоплазия (недоразвитие) гипофиза;
- полное отсутствие гипофиза. При этом дефицит гормона роста сочетается с нехваткой других гормонов, которые вырабатываются в гипофизе. Такое состояние называется пангипопитуитаризмом. Оно проявляется надпочечниковой недостаточностью, ухудшением работы щитовидной железы (гипотиреозом), несахарным диабетом, гипогонадотропным гипогонадизмом (отсутствием полового развития и дефицитом гормона роста).
- Опухоли гипофиза:
- краниофарингиома — доброкачественная опухоль гипофизарной области, одна из самых распространённых в детском возрасте;
- гамартома — редкий вид доброкачественной опухоли;
- герминома — редкий вид опухоли, чаще всего бывает злокачественной — и др.
- Травмы головного мозга с повреждением гипофиза, возникшие до того, как человек достиг социально приемлемого роста — 155-170 см (например, родовая травма).
- Инфекционные заболевания — менингиты, энцефалиты и др.
- Облучение головы и шеи.
- Токсические последствия химиотерапии.
Теоретически, спровоцировать развитие гипофизарного нанизма может любое заболевание, которое будет затрагивать работу гипофиза.
При обнаружении схожих симптомов проконсультируйтесь у врача. Не занимайтесь самолечением - это опасно для вашего здоровья!
Симптомы гипофизарного нанизма
Гипофизарный нанизм проявляется по-разному. Симптоматика зависит от причин дефицита гормона роста.
Основной симптом — отставание в темпах линейного роста [2] . Такие дети вырастают менее чем на 4 см в год. Нарушение динамики роста будет заметно уже в первые месяцы жизни ребёнка. Если повреждение гипоталамуса или гипофиза возникло в более позднем возрасте, то отставание в росте будет отмечаться позднее. Также для детей с гипофизарным нанизмом характерно отставание костного (биологического) возраста от паспортного (фактического) более чем на 2-3 года.

При нехватке гормонов роста телосложение остаётся пропорциональным. Это важный диагностический критерий: он позволяет исключить разные формы скелетных дисплазий [9] .

Симптомами врождённого гипофизарного нанизма у новорождённых являются:
- гипогликемия — низкий уровень глюкозы в крови натощак. Это физиологическое состояние может встречаться и у здоровых детей из-за незрелости поджелудочной железы. Дети с нанизмом сталкиваются с ним гораздо чаще, особенно на первом году жизни, поскольку гормон роста участвует в регуляции углеводного обмена;
- позднее закрытие большого родничка;
- задержка костного созревания;
- истончение кожи — может быть связано со снижением функции щитовидной железы;
- медленный рост ногтей и волос;
- высокий голос.
Часто у детей с гипопитуитаризмом встречается множественный кариес зубов. Это объясняется задержкой окостенения скелета и снижением обменных процессов в костной ткани.
Психоинтеллектуальное развитие у детей с гипофизарным нанизмом, как правило, не страдает, но возможны некоторые психологические проблемы: повышенная потребность в родительской опеке, снижение самооценки, трудности в общении со сверстниками.
Патогенез гипофизарного нанизма
В зависимости от причин дефицита соматотропного гормона есть несколько вариантов механизмов развития заболевания. При этом в основе патогенеза всегда будет лежать нарушение выработки гормона роста. В дальнейшем его нехватка станет причиной нарушения работы органов и систем, на которые он оказывает влияние: костной, мышечной и соединительной ткани, жирового углеводного обмена. В некоторых случаях первоначально будут развиваться гипоталамические нарушения, а недостаточность соматотропного гормона станет вторичным проявлением.

Молекулярной основой изолированного дефицита гормона роста является мутация определённого гена, которая не даёт организму синтезировать гормон. От видов генетических мутаций зависит, будет ли дефицит соматотропного гормона изолированным, или же он будет сочетаться с нехваткой других гормонов гипофиза, которые лежат в основе других патологий:
- дефицит тиреотропного гормона — вторичный гипотиреоз;
- дефицит пролактина — гипопролактинемия;
- дефицит гонадотропинов — аменорея и недоразвитие половых органов у женщин, снижение потенции и либидо у мужчин;
- дефицит АКТГ — вторичная недостаточность надпочечников;
- дефицит вазопрессина — несахарный диабет;
- дефицит кортизола — гипокортицизм.
У некоторых пациентов с мутацией конкретных генов выявляется гиперплазия передней доли гипофиза (аденогипофиза). В процессе жизни может произойти её атрофия вплоть до формирования синдрома "пустого турецкого седла" — недостаточности области головного мозга, где расположен гипофиз. Данный синдром приводит к внедрению мягкой мозговой оболочки в полость турецкого седла, сдавлению и уменьшению гипофиза, что нарушает или полностью прекращает его работу.

В подобных случаях дефицит гормона роста и других гормонов гипофиза будет возникать постепенно [3] .
Классификация и стадии развития гипофизарного нанизма
Единой, общепринятой классификации гипофизарного нанизма не существует. Наиболее удобной для практикующих врачей является классификация, основанная на причинах заболевания. Она выделяет две большие группы: врождённый и приобретённый гипопитуитаризм [4] .
Врождённый гипофизарный нанизм делится на три подгруппы:
- Наследственный:
- изолированный дефицит гормона роста: мутации гена самого гормона (GH1) или мутации гена рецептора к соматотропину (GHRHR);
- множественный дефицит гормонов передней доли гипофиза: мутации гена PIT-1 или гена PROP1.
- Идиопатический (незафисимый) дефицит СТГ-релизинг гормонов, которые стимулируют выработку гормонов передней доли гипофиза.
- Дефекты развития гипоталамо-гипофизарной системы:
- патология срединной трубки;
- нарушение развития гипофиза: врождённая аплазия (отсутствие гипофиза), гипоплазия (недоразвитие), эктопия (неправильное расположение).
Приобретённый гипофизарный нанизм включает в себя девять причин развития болезни:
- Опухоли гипоталамуса и гипофиза: краниофарингиома, гамартома, нейрофиброма, герминома, аденома гипофиза.
- Опухоли других отделов мозга: глиома зрительного перекреста.
- Травмы: черепно-мозговая, хирургическое повреждение ножки гипофиза.
- Инфекционные заболевания: вирусный, бактериальный энцефалит и менингит, неспецифический гипофизит (воспаление гипофиза).
- Супраселлярные арахноидальные кисты — полые опухоли, заполненные жидкостью (ликвором), которые распространяются в полость черепа.
- Сосудистые нарушения: аневризмы сосудов гипофиза, инфаркт гипофиза.
- Облучение головы и шеи по поводу лейкемии, медуллобластомы, ретинобластомы; общее облучение всего тела (при пересадке костного мозга).
- Токсические последствия химиотерапии.
- Инфильтративные болезни: саркоидоз, гистиоцитоз.
Осложнения гипофизарного нанизма
Осложнения заболевания связаны с утратой воздействия гормона роста на органы и системы. Они развиваются вследствие несвоевременной диагностики.
У новорождённого с дефицитом соматотропина относительную опасность может представлять гипогликемическое состояние, поскольку этот гормон играет важную роль в регуляции углеводного обмена. Клинически гипогликемия проявляется бледностью, потливостью, повышенным аппетитом, беспокойством ребёнка, иногда наблюдается судорожный синдром [5] .

Так как сомтатотропин усиливает синтез белка и тормозит его распад, у детей с дефицитом этого гормона может снизиться уровень общего белка в организме и его фракций. Это сказывается на общем физическом развитии: снижается иммунитет, повышается риск присоединения других гормональных сопутствующих нарушений.
Значительная часть эффектов гормона роста передаётся через ИПФР-I (инсулиноподобный фактор роста-I). Он вырабатывается в печени под действием соматотропина и стимулирует рост внутренних органов. Вследствие дефицита соматотропного гормона рост и своевременное развитие органов может частично нарушиться. Это приводит к нарушению работы печени, почек, сердечно-сосудистой системы. Такое осложнение встречается нечасто.
При дефиците гормона роста совместно с другими гормонами гипофиза (пангипопитуитаризме) будет развиваться недостаточность других эндокринных желёз — щитовидной железы, надпочечников, репродуктивной системы. Несвоевременная диагностика этих нарушений после рождения опасна для жизни, а также может стать причиной необратимым нарушений психического или интеллектуального развития.
Диагностика гипофизарного нанизма
Диагностика заболевания начинается с оценки линейного роста ребёнка и скорости прибавки в росте. Для этого врачи сравнивают фактические параметры ребёнка с предполагаемым ростом и среднестатистической скоростью роста. Подставив все данные в специальную формулу, они вычисляют коэффициент стандартного отклонения. Если у ребёнка отставание в росте больше двух сигмальных отклонений, плохая скорость прибавки роста, то проводится дальнейшее обследование.
Затем врачи определяют костный возраст. Сделать это можно с помощью рентгена или УЗИ запястья. В норме костный возраст может отставать или опережать паспортный на два года.

Также важно провести оценку гормонального профиля:
- уровень тиреотропного гормона (ТТГ) и свободного тироксина (Т4) — проверка работы щитовидной железы;
- уровень кортизола и АКТГ (кортикотропина) — исключение нарушений работы надпочечников [10] ;
- уровень лютеинизирующего гормона (ЛГ) и фоллитропина (ФСГ) — исключение гипогонадотропного гипогонадизма в возрасте, когда должно начаться половое созревание;
- инсулиноподобный фактор роста-I (ИПФР-I) — оценка уровня гормона роста.
Прямая оценка уровня соматотропина, как правило, не проводится. Гормон роста в течение суток выделяется в разном количестве, поэтому узнать его истинный уровень невозможно.
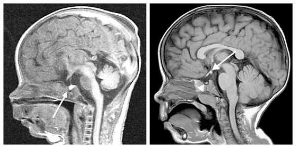
При необходимости проводится МРТ головного мозга и гипофиза с контрастированием [6] . Она позволяет исключить или подтвердить наличие объёмных образований области гипофиза и головного мозга.

Для дифференциальной диагностики задержки роста, не связанной с гормоном роста, исключают дефицит железа, дефицит витамина D, общего белка и другие дефицитные состояния, т. к. их наличие может отрицательно влиять на скорость линейного роста. Рентгенография черепа в данном случае не информативна.
Для исключения определённых генетических синдромов может потребоваться консультация генетика.
При подозрении на истинный дефицит гормона роста проводятся пробы на стимуляцию соматотропина. Эти провокационные тесты стимулируют выброс гормона роста при введении определённых препаратов. Они проводятся только после исключения других возможных причин низкорослости. На основании этих проб, при отсутствии должного выброса гормона роста, будет установлен диагноз "гипопитуитаризм".
Лечение гипофизарного нанизма
Лечение проводится рекомбинантным гормоном роста, который получают методом генной инженерии. Он назначается после исключения активных злокачественных новообразований и тяжёлых сопутствующих заболеваний (как физических, так и психических). Эти состояния являются противопоказанием к использованию данного препарата.
Если имеются другие дефициты гормонов гипофиза, то перед лечением их также нужно компенсировать. Иначе должного эффекта от применения гормона роста не будет.

Цели лечения:
- ускорить темп роста и нормализовать рост;
- стимулировать начало периода полового созревания с нормальным ростом;
- достичь генетически прогнозируемого роста ребёнка или опередить его;
- улучшить качество жизни;
- повысить минеральную плотность костей;
- снизить факторы риска сердечно-сосудистых заболеваний.
Противопоказания к назначению рекомбинантным гормоном роста:
- закрытые зоны роста, за счёт которых происходит линейный рост (при их закрытии человек перестаёт расти);
- активные злокачественные новообразования;
- прогрессирующий рост внутричерепных опухолей;
- аллергия на препарат.
Прекращают терапию гормоном роста при:
- закрытии зон роста;
- плохой скорости прибавки роста — менее 2 см в год;
- достижении социально приемлемого роста.
Крайне редко возможны побочные эффекты и осложнения при терапии гормоном роста:
- доброкачественная внутричерепная гипертензия — повышение внутричерепного давления;
- боли в суставах — обычно наблюдаются при значительном ускорении линейного роста;
- возможно усугубление заболеваний, связанных с недифференцированными дисплазиями соединительной ткани (сколиозов);
- отёки — связано с функцией гормона роста задерживать жидкости в организме;
- пубертатная гинекомастия — увеличение грудных желёз за счёт разрастания железистой ткани у мальчиков [7] .
Прогноз. Профилактика
Прогноз заболевания при своевременной диагностике и проведении должного лечения, как правило, благоприятный. Дети достигают своего генетически прогнозируемого роста и иногда даже опережают его.
Если дефицит гормона роста сочетается с дефицитом других гормонов гипофиза, то для достижения желаемого эффекта, профилактики ухудшения состояний и более лёгкой социальной адаптации ребёнка необходимо лечение других дефицитов.
Также очень важен чёткий и своевременный контроль во время лечения гормоном роста: оценка динамики линейного роста, гормонального статуса и костного возраста. Особое внимание необходимо уделять режиму лечения и своевременной коррекции дозы препарата с учётом прибавки в росте и весе. При применении соматотропного гормона доза препарата будет увеличиваться. При несвоевременной прибавке дозы динамика роста может ухудшится [8] .
Мониторинг детей, находящихся на лечении, проводится раз в полгода, при других сопутствующих дефицитах гормонов гипофиза — по показаниям.
Вопрос профилактики данного заболевания сложен, т. к. речь идёт о генетических нарушениях. В первую очередь важен ответственный подход будущих родителей к рождению ребёнка:
- своевременное обследование и лечение заболеваний;
- восполнение дефицитов при планировании беременности;
- отказ от вредных привычек.
Для профилактики дефицита гормона роста, который возникает вследствие другого заболевания (инфекции, опухоли, травмы), следует проводить профилактики первоисточника.
Опухоли гипофиза
Опухоли гипофиза - группа доброкачественных, реже - злокачественных новообразований передней доли (аденогипофиза) или задней доли (нейрогипофиза) железы. Опухоли гипофиза, по статистике, составляют около 15% новообразований внутричерепной локализации. Они одинаково часто диагностируются у лиц обоих полов, обычно в возрасте 30-40 лет. Подавляющее большинство опухолей гипофиза составляют аденомы, которые подразделяются на несколько видов в зависимости от размеров и гормональной активности. Симптомы опухоли гипофиза представляют собой сочетание признаков объемного внутримозгового процесса и гормональных нарушений. Диагностика опухоли гипофиза осуществляется проведением целого ряда клинических и гормональных исследований, ангиографии и МРТ головного мозга.
Общие сведения
Опухоли гипофиза - группа доброкачественных, реже - злокачественных новообразований передней доли (аденогипофиза) или задней доли (нейрогипофиза) железы. Опухоли гипофиза, по статистике, составляют около 15% новообразований внутричерепной локализации. Они одинаково часто диагностируются у лиц обоих полов, обычно в возрасте 30-40 лет.
Гипофиз является железой внутренней секреции, осуществляющей регулятивно-координирующую функцию в отношении некоторых других эндокринных желез. Гипофиз расположен в ямке турецкого седла клиновидной кости черепа, анатомически и функционально связан с отделом головного мозга - гипоталамусом. Вместе с гипоталамусом гипофиз составляет единую нейроэндокринную систему, обеспечивающую постоянство гомеостаза организма.
В гипофизе выделяют две доли: переднюю - аденогипофиз и заднюю - нейрогипофиз. Гормонами передней доли, вырабатываемыми аденогипофизом, являются: пролактин, стимулирующий секрецию молока; соматотропный гормон, влияющий на рост организма через регуляцию белкового обмена; тиреотропный гормон, стимулирующий метаболические процессы в щитовидной железе; АКТГ, регулирующий функцию надпочечников; гонадотропные гормоны, влияющие на развитие и функцию половых желез. В нейрогипофизе образуются окситоцин, стимулирующий сократительную способность матки, и антидиуретический гормон, регулирующий процесс реабсорбции воды в канальцах почек.
Аномальное разрастание клеток железы приводит к образованию опухолей переднего или заднего отдела гипофиза и нарушению гормонального баланса. Иногда в область гипофиза прорастают менингиомы - опухоли мозговых оболочек; реже железа поражается метастатическими отсевами злокачественных новообразований других локализаций.
Причины опухолей гипофиза
Достоверные причины развития опухолей гипофиза до конца не изучены, хотя известно, что некоторые виды новообразований могут быть обусловлены генетически.
В число факторов, предрасполагающих к развитию опухолей гипофиза, входят нейроинфекции, хронические синуситы, черепно-мозговые травмы, гормональные изменения (в том числе вследствие длительного применения гормональных препаратов), неблагоприятное воздействие на плод в период беременности.
Классификация опухолей гипофиза
Опухоли гипофиза классифицируются с учетом их размеров, анатомического расположения, эндокринных функций, особенностей микроскопического окрашивания и т. д. В зависимости от размера новообразования выделяют микроаденомы (менее 10 мм в максимальном диаметре) и макроаденомы (при наибольшем диаметре более 10 мм) гипофиза.
По локализации в железе различают опухоли аденогипофиза и нейрогипофиза. Опухоли гипофиза по топографии относительно турецкого седла и окружающих его структур бывают эндоселлярными (выходящими за границы турецкого седла) и интраселлярными (расположенными в пределах турецкого седла). С учетом гистологической структуры опухоли гипофиза подразделяются на злокачественные и доброкачественные новообразования (аденомы). Аденомы исходят из железистой ткани передней доли гипофиза (аденогипофиза).
По функциональной активности опухоли гипофиза делятся на гормонально-неактивные («немые», инсиденталомы) и гормонально-активные аденомы (вырабатывающие тот или иной гормон), которые встречаются в 75% случаев. Среди гормонально-активных опухолей гипофиза выделяют:
- соматотропная аденома
- соматотропинома - опухоль гипофиза, синтезирующая соматотропин - гормон роста;
- пролактиновая аденома
- пролактинома - опухоль гипофиза, синтезирующая гормон пролактин;
- кортикотропная аденома
- кортикотропинома - опухоль гипофиза, секретирующая АКТГ, стимулирующий функцию коры надпочечников;
- тиротропная аденома
- тиротропинома - опухоль гипофиза, секретирующая тиротропный гормон, стимулирующий функцию щитовидной железы;
Фоллтропинпродуцирующие или лютропинпродуцирующие аденомы (гонадотропные). Эти опухоли гипофиза секретируют гонадотропины, стимулирующие функцию половых желез.
Гормонально-неактивные опухоли гипофиза и пролактиномы встречаются наиболее часто (в 35% случаев соответственно), соматотропинпродуцирующие и АКТГ-продуцирующие аденомы - в 10-15% случаев от всех опухолей гипофиза, другие виды опухолей образуются редко. По особенностям микроскопии различают хромофобные опухоли гипофиза (гормонально-неактивные аденомы), ацидофилиные (пролактиномы, тиротропиномы, соматотропиномы) и базофильные (гонадотропиномы, кортикотропиномы).
Развитие гормонально-активных опухолей гипофиза, продуцирующих один или несколько гормонов, может приводить к развитию центрального гипотиреоза, синдрома Кушинга, акромегалии или гигантизма и т. д. Повреждение гормонопродуцирующих клеткок при росте аденомы может вызывать состояние гипопитуаризма (гипофизарной недостаточности). У 20% пациентов отмечается бессимптомное течение опухолей гипофиза, которые обнаруживаются лишь при аутопсии. Клинические проявления опухолей гипофиза зависят от гиперсекреции того или иного гормона, размеров и скорости роста аденомы.
Симптомы опухолей гипофиза
По мере увеличения опухоли гипофиза развиваются симптомы со стороны эндокринной и нервной систем. Соматотропинпродуцирующие аденомы гипофиза приводят к возникновению акромегалии у взрослых пациентов или гигантизма, если они развиваются у детей. Пролактинсекретирующие аденомы характеризуются медленным ростом, проявляются аменореей, гинекомастией и галактореей. Если такие опухоли гипофиза продуцируют неполноценный пролактин, то клинические проявления могут отсутствовать.
АКТГ-продуцирующие аденомы стимулируют секрецию гормонов коры надпочечников и ведут к развитию гиперкортицизма (болезни Кушинга). Обычно такие аденомы растут медленно. Тиротропинпродуцирующие аденомы нередко сопровождают течение гипотиреоза (функциональной недостаточности щитовидной железы). Они могут вызывать упорный тиреотоксикоз, чрезвычайно устойчивый к медикаментозному и хирургическому лечению. Гонадотропные аденомы, синтезирующие половые гормоны, у мужчин приводят к развитию гинекомастии и импотенции, у женщин - к нарушению менструального цикла и маточным кровотечениям.
Увеличение размеров опухоли гипофиза ведет к развитию проявлений со стороны нервной системы. Поскольку гипофиз анатомически соседствует с перекрестом зрительных нервов (хиазмом), то при увеличении размеров аденомы до 2 см в диаметре развиваются зрительные нарушения: сужение полей зрения, отек сосочков зрительного нерва и его атрофия, ведущие к падению зрения, вплоть до слепоты.
Аденомы гипофиза больших размеров вызывают сдавление черепных нервов, сопровождающееся симптомами поражения нервной системы: головные боли; двоение в глазах, птоз, нистагм, ограничение движений глазных яблок; судороги; упорный насморк; деменцию и изменения личности; повышение внутричерепного давления; кровоизлияния в гипофиз с развитием острой сердечно-сосудистой недостаточности. При вовлеченности в процесс гипоталамуса могут наблюдаться эпизоды нарушения сознания. Злокачественные опухоли гипофиза встречаются крайне редко.
Диагностика опухолей гипофиза
Необходимыми исследованиями при подозрении на опухоль гипофиза являются тщательное офтальмологическое и гормональное обследования, нейровизуализация аденомы. Исследование мочи и крови на содержание гормонов позволяет установить вид опухоли гипофиза и степень ее активности. Офтальмологическое обследование включает оценку остроты и полей зрения, позволяющих судить о вовлеченности в процесс зрительных нервов.
Нейровизуализацию опухоли гипофиза позволяет осуществить рентгенография черепа и зоны турецкого седла, МРТ и КТ головного мозга. Рентгенологически могут определяться увеличение размеров турецкого седла и эрозия его дна, а также увеличение нижней челюсти и пазух носа, утолщение костей черепа, и расширение межзубных промежутков. С помощью МРТ головного мозга возможно увидеть опухоли гипофиза диаметром менее 5 мм. Компьютерная томография подтверждает наличие аденомы и ее точные размеры.
При макроаденомах ангиография сосудов головного мозга указывает на смещение сонной артерии и позволяет дифференцировать опухоль гипофиза с внутричерепной аневризмой. В анализе спинномозговой жидкости может определяться повышенный уровень протеинов.
Лечение опухолей гипофиза
На сегодняшний день в лечении опухолей гипофиза эндокринология применяет хирургический, лучевой и лекарственный методы. Для каждого вида опухолей гипофиза существует специфический, наиболее оптимальный вариант лечения, который подбирается эндокринологом и нейрохирургом. Наиболее эффективным считается хирургическое удаление опухоли гипофиза. В зависимости от размеров и локализации аденомы проводится либо ее фронтальное удаление через оптический прибор, либо резекция через клиновидную кость черепа. Оперативное удаление опухолей гипофиза дополняется лучевой терапией.
Гормонально-неактивные микроаденомы лечатся с помощью лучевой терапии. Проведение лучевой терапии показано при наличии противопоказаний к оперативному лечению, а также пожилым пациентам. В послеоперационном периоде проводится гормонозаместительная терапия (кортизоном, тиреоидными или половыми гормонами), при необходимости - коррекция электролитного обмена и инсулинотерапия.
Из лекарственных препаратов используют агонисты дофамина (каберголин, бромокриптин), вызывающие сморщивание пролактин- и АКТГ-секретирующих опухолей гипофиза, а также ципрогептадин, понижающий уровень кортикостероидов у пациентов с синдромом Кушинга. Альтернативным методом лечения опухолей гипофиза является замораживание участка ткани железы при помощи зонда, введенного через клиновидную кость.
Прогноз при опухолях гипофиза
Дальнейший прогноз при опухолях гипофиза во многом определяется размерами аденом, возможностью их радикального удаления и гормональной активностью. У пациентов с пролактиномами и соматотропиномами полное восстановление гормональной функции наблюдается в четверти случаев, при адренокортикотропинпродуцирующих аденомах - в 70-80% случаев.
Макроаденомы гипофиза размером более 2 см полностью удалить невозможно, поэтому возможны их рецидивы в течение 5-летнего срока после операции.
Читайте также:
- Синдром Гамсторп (Gamstorp)
- Анатомия: Спинной мозг, medulla spinalis. Развитие спинного мозга
- Исследование минерального обмена в неврологии. Аминотрансферазы и лактатдегидрогеназа
- Поражение глаз укусами пчел и ос. Диагностика и лечение
- Диагностика синдрома осмотической демиелинизации по КТ, МРТ головного мозга
