Диагностика синдрома осмотической демиелинизации по КТ, МРТ головного мозга
Добавил пользователь Владимир З. Обновлено: 07.01.2026
Осмотический демиелинизирующий синдром (ОДС) - острая демиелинизация в связи с осмотическими изменениями, обычно в случае срочной коррекции гипонатриемии. Это более новый термин для обозначения центрального понтинного миелинолиза, поскольку подобные поражения встречаются и вне моста (что раньше имело название «экстрапонтинный миелинолиз»).
Эпидемиология
Первое описание данного синдрома Adams et al. в 1959 году (тогда он получил название центральный понтинный миелинолиз) было проведено на популяции больных хроническим алкоголизмом; последнее является наиболее частой причиной. С тех пор были выявлены и другие причины ОДС, связанные с быстрой коррекцией электролитных нарушений:
- хронический алкоголизм;
- хроническое истощение;
- рецепиенты трансплантатов;
Клиническое представление
Клинически ОДС протекает в две фазы. Первая фаза - это появление электролитных нарушений, при этом у пациентов наблюдается энцефалопатия. После быстрой коррекции данных нарушений пациенту становится на некоторое время лучше, однако после 2-3 дней наблюдается прогрессия в классический ОДС. При поражении моста основные клинические признаки включают:
- спастический тетрапарез;
- псевдобульбарный синдром;
- изменение уровня сознания;
- парез лицевой мускулатуры;
Патология
Несмотря на то, что точный механизм развития ОДС не ясен, считается, что олигодендроглиальные клетки очень чувствительны к осмотическому стрессу, приводя к их гибели. С этим связывают наличие зоны миелинолиза в области локализации этих клеток.
Гистологически ОДС характеризуется разрушением миелина, вакуолизацией и разрывом оболочки миелина. Через некоторое время можно идентифицировать макрофаги.
Радиографические признаки
На КТ очаги миелинолиза выглядят как гиподенсные области в нижней части моста. Однако из артефактов в области задней черепной ямки интерпретация КТ-картины затруднительна, поэтому методом выбора является МРТ.
Ранние изменения видны на DWI как области ограничения диффузии в нижней части моста. Данный признак наблюдается в первые 24 часа после начала тетрапареза. Та же область является гиперинтесивной на Т2-ВИ и гипоинтенсивной на Т1-ВИ. Изменения на Т1- и Т2-ВИ могут развиваться в течение 2 недель. Область поражения имеет характерный вид «трезубца». В некоторых случаях характерно накопление контрастного вещества, подобно острой фазе рассеянного склероза. Периферические волокна (вентролатеральные продольные) остаются интактными.
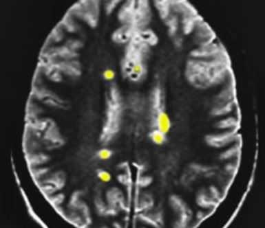
Подобные изменения будут наблюдаться при локализации и в других областях ГМ: базальных ганглиях, среднем мозге, субкортикальном белом веществе.
Характеристика сигнала на разных последовательностях.
- T1: умеренно гипоинтенсивный;
- T2: гиперинтенсивный,
- PD: гиперинтенсивный,
- FLAIR: гиперинтенсивный,
- DWI: гиперинтенсивный,
- ADC: низкий сигнал
- T1 C+ (Gd): обычно не накапливает КВ, но по данным некоторых авторов накопление возможно.
Нарушения миелинизации мозга и их отображения на МРТ
В целом, нарушения метаболизма составляют группу многочисленных редко встречающихся дефектов энзимов, часто с аутосомно - рецессивным типом наследствания. Некоторые нарушениям метаболизма приводят к нарушениям миелинизации, называемым дисмиелогенными заболеваниями. Дисмиелогенные заболевания классифицируются по дефекту энзимов следующим образом:
- Нарушения лизосомального накопления - метахроматическая лейкодистрофия, болезнь Краббе (глобоидно-клеточная лейкодистрофия), болезнь Сала, мукополисахаридоз
- Пероксисомальные нарушения - адренолейкодистрофия, связанная с Х-хромосомой; адреномиелонейропатия, синдром Зелвегера
- Нарушения метаболизма аминокислот и органических кислот - болезнь Канавана
- Демиелинизации с неясным метаболическим дефектом - болезнь Пелицеуса-Мерцбахера, болезнь Александера, синдром Съёгрена-Ларссона, лейкоэнцефалопатии (митохондриальная, мегалоцефальная и др.)
Нарушение миелинизации является одним из главных проявлений перечисленных заболеваний. При некоторых из них, например болезни Пелицеуса-Мирцбахера, в процесс вовлекается также серое вещество подкорковых ядер. Клинически дисмиелогенные заболевания проявляются в детском возрасте и начинаются с диффузных симптомов. Затем быстро прогрессируют от небольших парезов и легких нарушений интеллекта до спастичности и деменции. До появления МРТ, диагностика во многих случаях была очень затруднена, так как биопсия мозга выполняется в исключительных случаях. При МРТ в СПб нарушения метаболизма встречаются, в основном, в детской практике. В открытом МРТ дисмиелогенные процессы также могут быть видны.
МРТ головного мозга необычайно высоко чувствительна к дисмиелогенным нарушениям, но не очень специфична в плане дифференциальной диагностики внутри группы. При всех этих патологиях на Т2-взвешенных МРТ и МРТ, отражающих протонную плотность, видны гиперинтенсивные поля в белом веществе.
При адренолейкодистрофии на МРТ процесс быстро распространяется из центра затылочных долей вперед через внутреннюю и наружную капсулы, полуовальные центры и на подкорковое белое вещество. При МРТ головного мозга с контрастированием с контрастировании по краям поражения иногда бывает усиление, что, соответствует активному процессу разрушения миелина. Низкий сигнал на МРТ в связи с депонированием железа дают зрительные бугры, скорлупа и хвостатые ядра. При КТ могут наблюдаться участки кальцификации. Вариант заболевания, встречающийся у взрослых, адреномиелонейропатия, течет медленнее и сопровождается разрушением миелина (демиелинизацией) спинного мозга, что отображается на МРТ, периферических нервов, а также дисфункцией надпочечников.
Морфологические признаки болезни Краббе (глобоидный тип лейкодистрофии) отличается поражением зрительных бугров и лучистого венца. При МРТ описано также распространение на базальные ганглии.
Болезнь Александера (лейкодистрофия Розенталя) преимущественно поражает центральные участки лобных долей и сочетается с энцефаломегалией. В лобных долях нередко встречаются кисты. Часто поражается продолговатый мозг, где очаг на МРТ надо отличать от опухоли.
При болезни Канавана (спонгинозная дегенерация белого вещества, болезнь Канавана - ван Богарта - Бертрана) поражение начинается с затылочных долей и распространяется вплоть до кортико-медуллярного перехода . Последними вовлекаются височные доли. Наблюдаются также энцефаломегалия и атрофия мозжечка.
МРТ находки плохо коррелируют с клинической тяжестью течения заболевания. Роль МРТ заключается не в высокоспецифическом диагнозе (что требует биопсии) или оценке тяжести процесса, а в дифференциальной диагностике с заболеваниями, имеющими сходную клиническую симптоматику.
МРТ при осмотических демиелинизирующих синдромах
Нарушения водно-солевого обмена могут приводить к расстройствам метаболизма в головном мозге, протекающим в том числе и с демиелинизацией. Наиболее известным состоянием из этой группы является центральный понтинный миелиноз, связанный с гипонатриемией и поражающий ствол мозга. К подобным состояниям относится и экстрапонтинный миелиноз. Заболевание чаще встречается у страдающих алкоголизмом или после пересадки органов. Пусковым началом всегда служит нарушение электролитного обмена, который нарушает клеточные оболочки, приводя как к демиелинизации, так и поражению самих олигодендроцитов.
Клиническое течение состоит из двух фаз - острого дисбаланса электролитов, приводящего к тяжелой энцефалопатии (вплоть до комы), затем временного (на 2-3 дня улучшения) и, затем, хронического неврологического нарушения, включающего нарушения сознания разной степени и спастический квадропарез и псевдобульбарную симптоматику.
При МРТ головного мозга наиболее ранние изменения видны на диффузионно-взвешенных МРТ, обычно уже в течение первых суток от появления клинических признаков заболевания. При этом на МРТ типа ADC сигнал сниженный. Повышенный сигнал на Т2-взвешенных МРТ головного мозга и сниженный сигнал на Т1-взвешенных МРТ головного мозга развивается постепенно, иногда даже в течение 2 недель. При МРТ головного мозга с контрастированием участков усиления сигнала не отмечается.
При МРТ головного мозга могут встречаться сочетания центрального понтинного миелпноза и экстрапонтинного миелиноза. Экстрапонтинный миелиноз на Т2-взвешенных МРТ головного мозга виден как гиперинтенсивные очаги в области подкорковых ядер.
При МРТ в СПб мы сталкивались с осмотическими у пациентов в реанимационных отделениях. Состояние их было тяжелым и приводило вскоре к летальному исходу. При МРТ головного мозга важно дифференцировать осмотические синдромы с другими метаболическими нарушениями и демиелинизациями.
МРТ головного мозга. Т2-взвешенная аксиальная МРТ. Центральный понтинный миелиноз.
МРТ головного мозга. Аксиальная Т2-взвешенная МРТ типа FLAIR. Экстрапонтинный миелиноз.
Рассеянный склероз и другие демиелинизации

МРТ головного мозга. Т2-взвешенная аксиальная МРТ. Рассеянный склероз. Цветовая обработка изображения.
Демиелинизация - это разрушение оболочки аксона, отростка нервной клетки. Миелиновая оболочка играет роль «изоляции электропровода». При её нарушении нарушается проводимость электрического импульса.
Демиелинизирующие заболевания имеют вирусное происхождение и протекают по аутоиммунному типу. То есть, вирус только запускает сбой иммунной системы. Известны 3 основных демиелинизирующих заболевания - рассеянный склероз, острый диссеминирующий энцефаломиелит и прогрессирующая мультифокальная лейкоэнцефалопатия. МРТ СПб обладает мнгими центрами, где выявляют рассеянный склероз. МРТ в СПб демиелинизаций в наших клиниках занимает большое место, мы выявляем эти процессы как в НИИ нейрохирургии им.А.Л.Поленова, так и на открытом МРТ.
Рассеянный склероз (множественный склероз, РС) - аутоиммунное демиелинизирующее заболевание ЦНС. Процесс состоит из локального разрушения миелина, повреждения аксонов, глиоза и образования бляшек.
Частота составляет около 2 на 1000 населения. Соотношение М:Ж как 1:2. Возраст пациентов от 2 до74 лет. Однако у детей и лиц старше 50 лет заболевание встречается редко, пик частоты - 35 лет. Типично первый приступ расеянного склероза отмечается около 20 лет.
Клиника: известно несколько вариантов течения РС. Обычно волнообразное, с прогрессирующим неврологическим дефицитом от рецидива к рецидиву. Клинические признаки - чувствительные и двигательные нарушения, зрительные нарушения, тазовые расстройства (80%).
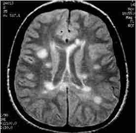
Разными авторами предлагались критерии постановки диагноза. Все они основанный результатах МРТ головного мозга. Главным для постановки диагноза служит наличие нескольких (от 2 до 9) типично расположенных на МРТ очагов. Локализация очагов может быть любая, но типичная - нижняя треть мозолистого тела, перивентрикулярно (вокруг желудочков мозга), ствол, спинной мозг. Форма очагов округлая и овоидная, направленная радиально от желудочков на сагиттальных (боковых) МРТ (симптом “пальца” или Доусона), что отражает перивенулярный (вокруг вен) процесс. Существует много предложений по оценке активности процесса. К сожалению, все способы оценки активности очень недостоверны. Обычно края активных очагов нечёткие, отмечается слабое контрастирование. Чувствительность и специфичность МРТ на самых ранних стадиях составляет 70-80%. Однако через очень короткий срок течения заболевания точность МРТ уже приближается к 100%.

МРТ головного мозга. Рассеянный склероз. Аксиальная МРТ Т2-взвешенного типа. Перивентрикулярные очаги.
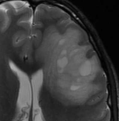
К редким агрессивным формам рассеянного склероза относится опухолевидный тип Марбурга и концентрический тип Бало. Бляшки достигают больших размеров с отеком и “слоистостью” в связи с частыми обострениями. Агрессивные варианты яркие на МРТ типа ДВИ и хорошо контрастируются.

МРТ головного мозга. Т2-взвешенная аксиальная МРТ. Рассеянный склероз, Концентрический тип Бало.
Синдром осмотической демиелинизации. Причины, симптомы, диагностика и лечение синдрома осмотической демиелинизации
Миелин - особое вещество, которое покрывает нейроны и служит электроизолирующей оболочкой. Точнее было бы назвать миелин группой веществ, поскольку в различных участках организма состав миелина варьирует, но основой всегда служат липиды и белки со значительным преобладанием первых.
Разрушение миелиновой оболочки, учитывая ее назначение, приводит к нарушениям нормальных электрохимических реакций и связей. Вообще, демиелинизирующие заболевания (рассеянный склероз, амиотрофия и т.д.), при которых в силу аутоиммунных или наследственных факторов начинается распад нейронных оболочек, относятся к тяжелым и проявляются грубыми нарушениями равновесия и координации, прогрессирующим снижением памяти, речи и пр.
Синдром осмотической демиелинизации (уст. «центральный понтинный миелинолиз», «центральный мостовой миелинолиз») - достаточно редкое заболевание, обусловленное (кроме прочих причин) нарушениями электролитического баланса, в первую очередь натриевого. Синонимические названия связаны с преимущественной локализацией процесса: поражается, главным образом, Варолиев мост - один из задних отделов мозга. Манифестировать заболевание может в любом возрасте.
2. Причины
Синдром осмотической демиелинизации является полиэтиологической патологией, т.е. в его развитии участвует, по-видимому, несколько факторов. Следует признать, что не все из них на сегодняшний день известны и достаточно изучены, однако роль ионов натрия доказана. Изначально синдром был обнаружен и описан для случаев тяжелого дефицита натрия в крови (гипонатриемия): к разрушению миелина может привести интенсивная и слишком быстрая коррекция, например, введением гипертонического раствора. Позднее была установлена связь осмотической демиелинизации с алкоголизмом, истощением, обезвоживанием организма, различными расстройствами пищевого поведения (анорексия, булимия), почечной или печеночной недостаточностью, системными аутоиммунными и эндокринными заболеваниями, вирусными инфекциями и др.
3. Симптоматика, диагностика
Клиническая картина при синдроме осмотической демиелинизации настолько зависима от индивидуальных условий и факторов, что практически невозможно выделить типичный симптомокомплекс. В разных случаях отмечаются парезы и параличи (вплоть до т.н. псевдокомы, когда двигательная активность блокирована полностью), явления эпилепсии и паркинсонизма, нарушения зрения (напр., выпадения полей), координации движений, речи, психики. Некоторые авторы акцентирует парадоксальную независимость клинической выраженности синдрома (и уровня летальности) от масштабов демиелинизации.
Основным методом диагностики синдрома осмотической демиелинизации служит томографическая визуализация - компьютерно-рентгеновская или магниторезонансная. МРТ в данном случае считается более информативным методом по сравнению с КТ. Как правило, выявляются участки пониженной плотности, причем они могут оставаться какое-то время после клинического выздоровления пациента.
4. Лечение
Вопрос о терапии при синдроме осмотической демиелинизации на сегодняшний день является открытым и остро актуальным. Проблема пока далека от решения. В некоторых случаях, согласно публикациям в специальной литературе, оказываются эффективными большие дозы кортикостероидных гормонов, но в других они эффекта не дают. Важное значение придается восстановлению нормального электролитического баланса (иногда этого достаточно для полного выздоровления), особому уходу, контролю и симптоматическому лечению возможных осложнений, в частности, со стороны психики.
В целом же, продолжаются интенсивные исследования демиелинизирующих заболеваний, в том числе центрального мостового миелинолиза; есть основания полагать, что с изучением всех этиопатогенетических факторов и механизмов будут найдены эффективные способы восстановления миелиновых оболочек.
Читайте также:
