Что надо знать о болезни Альцгеймера? Кому грозит болезнь Альцгеймера?
Добавил пользователь Евгений Кузнецов Обновлено: 22.01.2026
Болезнь Альцгеймера — это прогрессирующая форма нейродегенеративного расстройства, приводящего к нарушению нейронных связей и отмиранию клеток головного мозга. Указанные изменения вызывают слабоумие и потерю дееспособности. Заболевание чаще всего встречается у лиц преклонного возраста, но зафиксированы случаи и среди молодых людей.
Признаки болезни Альцгеймера: рассеянность, постоянные провалы в памяти (пациент забывает, куда положил свои вещи, что покупал, где живет), повторение одних и тех же рассказов, нарушение концентрации внимания, раздражительность, сонливость или бессонница, проблемы с устной и письменной речью.
Диагностировать патологию помогает сбор анамнеза. Специалист назначает проведение аппаратных исследований: ПЭТ, ЭЭГ, КТ или МРТ. Дополнительно проводят лабораторные исследования: анализ крови, генно-молекулярный анализ.
Альцгеймер относится к неизлечимым видам болезней. Терапия состоит из приема медикаментов в сочетании с психосоциальной методикой поддержания и стабилизации пациента.

Причины возникновения
Факторы, вызывающие деменции, остаются загадкой, и до сегодняшнего дня ученые не определили точную причину, дающую толчок развитию заболевания. Доподлинно известно только то, что у человека нарушаются обменные процессы в коре головного мозга. Из-за этого происходит накопление вредных веществ — бета-амилоидов (сенильных бляшек) и тау-белка.
Вышеперечисленные предположения стали основой трех теорий, которые объясняют этиологию развития патологии.
- Холинергическая гипотеза утверждает, что деменции начинают образовываться из-за снижения синтеза ацетилхолина, именно он несет ответственность за передачу соответствующих импульсов из коры головного мозга в мышечные структуры. Гипотеза подвергается критике из-за того, что восстановление уровня содержания основного вещества в организме человека не препятствует развитию патологии.
- Амилоидная гипотеза настаивает на том, что причина возникновения дегенерации тканей начинается с отложения бета-амилоидных пептидов. Они выполняют защитную функцию. При нарушении процесса обмена полезные вещества превращаются в компоненты, которые наносят вред.
- Теория Тау рассматривает последовательность в цепочке нарушений, связанных с отклонениями в структуре тау-белка, который начинает проявлять несвойственную ему функциональность и уничтожает нейроны.
Не стоит исключать и генетическую предрасположенность: если у кого-то из близких родственников имелся в анамнезе такой диагноз, то велика вероятность его появления и у наследника.
Мнение эксперта

Автор: Георгий Романович Попов
Врач-невролог, кандидат медицинских наук
Болезнью Альцгеймера страдают по большей части люди пожилого возраста от 65 лет. Чем старше человек, тем выше шанс развития данного заболевания. В возрастной группе от 80 до 85 лет насчитывается до 40% пострадавших. Такой вид деменции носит дегенеративный характер и не поддается лечению. Процесс разрушения клеток мозга в скором времени проявится в виде слабоумия, а самолечение без профессионального осмотра может усугубить положение.
Диагностировать болезнь самостоятельно на раннем этапе не предоставляется возможным. А откладывание похода к врачу может отрицательно сказаться на состоянии больного из-за высокой скорости развития этого вида деменции. Для точного определения диагноза необходимо применение специальной аппаратуры и консультации врачей-неврологов. Специально подготовленные тесты помогут установить причины заболевания и сформировать оптимальный курс лечения. Такие условия предлагает Юсуповская больница. Качественная помощь от ведущих врачей позволит сдерживать патологические процессы, что даст больному возможность вести нормальный образ жизни.
Симптомы и признаки болезни Альцгеймера
Признаки Альцгеймера прогрессируют медленно. Первые симптоматические проявления деменции появляются задолго до подтверждения диагноза. Выделяют четыре стадии недуга.
- Предеменция. Обнаруживается сложно, так как ее можно ошибочно принять за стресс. Человек испытывает чувство усталости, снижается память (больной не может запомнить список из нескольких наименований, плохо усваивает информацию), исчезает интерес к жизни, появляется замкнутость и апатия.
- Ранняя деменция. Симптоматика осложняется дефектами речи: забываются названия предметов быта, снижается скорость речи, сокращается словарный запас, происходит путаница похожих слов, ухудшается почерк. Именно в это время больной обращается в клинику.
- Умеренная деменция. Характеризуется затруднениями в построении логических связей. Человек одевается не по погоде, теряется в пространстве, не помнит, как дойти домой, не знает свой адрес, забывает родных и себя самого. Появляется плаксивость, агрессия, нарушается долговременная память.
- Тяжелая деменция. Человек полностью деградирует, он не способен управлять физиологическими процессами в организме, не в состоянии самостоятельно принимать пищу.
С таким диагнозом при правильном уходе человек может дожить до глубокой старости. В России и в зарубежных странах для таких пациентов существуют специальные клиники и пансионаты, где больным помогают адаптироваться, вспомнить элементарные навыки самообслуживания.
Признаки болезни Альцгеймера на ранней стадии
Ранние симптомы болезни Альцгеймера не всегда заметны, чаще на них не обращают внимания. К ним относят:
- речевые изменения — фразы плохо связываются между собой, язык становится бедным, а разговор пустым;
- длительный сон — значительно усугубляет проблемы с памятью, очень важно при таком заболевании, чтобы ночной сон длился не более 6-7 часов;
- поведенческие изменения — у человека меняется характер, привычки, возникают трудности с принятием решения и планированием дня;
- нечувствительность к боли — сильную болезненность пациент описывает как легкий дискомфорт;
Признаки болезни Альцгеймера в пожилом возрасте
Люди преклонного возраста часто скрывают наличие проблем со здоровьем, поэтому стоит обратить внимание на:
- кратковременную память: как часто пожилые люди забывают информацию, теряют вещи или не помнят, где они лежат;
- бессонницу ночью и сонливость днем;
- нетвердую походку;
- утрату интереса к привычным и любимым занятиям: рыбной ловле, вязанию, вышиванию;
- проблемы с разговорной и письменной речью: значимые слова замещаются местоимениями, мозг теряет способность четко мыслить — отмечаются пространные размышления;
- изменения в характере: излишняя подозрительность, нервозность, навязчивые поучения;
- гипертрофированное чувство доверчивости и наивность толкают больных Альцгеймером на необдуманные поступки (могут отдавать деньги мошенникам);
- неаккуратный внешний вид.
На первых этапах развития недуга пожилые люди не требуют постоянного контроля и внимания. Когда симптоматика прогрессирует, а признаки деменции усугубляются, пациентам необходим специальный уход.
Симптомы болезни Альцгеймера у молодых
Склонность к развитию заболевания можно определить после прохождения молекулярно-генетического анализа. Научно доказано существование пяти основных участков в геноме человека, провоцирующих проблемы с обменом веществ и несущих смерть нейронам. Они располагаются на 1, 12, 14, 19 и 21 хромосомах. Мутационные изменения на этих участках способствуют накоплению отрицательного амилоида и тау-белка.
У ребенка с генными аномалиями такого плана часть мозга, отвечающая за память, меньше на 6%, чем у здорового малыша. Со временем эта часть уменьшается до критической отметки.
Наличие синдрома Дауна у ребенка значительно увеличивает риск развития Альцгеймера, симптоматика обнаруживается не сразу в связи со спецификой первичного заболевания. Такие дети изначально отстают в развитии, у них плохая память, внимание, низкая адаптация.
У детей с синдромом Дауна быстрей происходит старение организма, соответственно, изменения в области головного мозга выступают подстегивающим фактором. Практически у всех таких детей по достижению 40 лет диагностируется Альцгеймер.
Признаки Альцгеймера у женщин
По статистическим данным женская часть населения больше подвержена сенильному слабоумию, чем мужчины, большинство из которых просто не доживают до 70-80 лет. У женщин после менопаузы снижается выработка эстрогена, который способствует регулировке метаболизма в мозге. Поэтому их организм больше склонен к накапливанию отрицательных веществ, несущих смерть нейронам.
Признаки Альцгеймера у мужчин
Ранние признаки болезни Альцгеймера у представителей полов отличаются:
- женщины испытывают проблемы с памятью, вниманием, реакцией, логическими связями между предметами;
- мужчины первоначально сталкиваются с речевыми отклонениями и затруднениями в движениях и моторике.
Эти данные предоставила исследовательская группа на Международной конференции в Торонто. Было обследовано более 1000 человек, посмертная экспертиза которых указала на некоторые расхождения в симптоматике.
Прогноз болезни Альцгеймера
Значительная часть пациентов живет от 5 до 14 лет. Поэтому очень важно выявить патологию на раннем этапе развития, что поможет увеличить срок жизни до максимально возможной отметки.
С помощью специальных методик и лекарственных препаратов можно сдерживать аномальные изменения в тканях головного мозга и улучшить качество жизни.
Диагностика
Стоит выделить основные методы обследования пациентов с подозрением на сенильное слабоумие.
- Нейропсихологические тесты. Они заключаются в выполнении определенных действий, направленных на способность запоминания, пересказ прочитанного, несложные вычисления. Проверяется степень ориентирования во времени и пространстве.
- Магнитно-резонансная томография (МРТ) предоставляет более точные данные, определяет зоны и площадь поражения участков в головном мозге, а именно присутствие бляшек, структурные нарушения. Для установления динамики дегенеративных нарушений МРТ проводят до трех раз с перерывами в месяц.
- Компьютерная томография (КТ) — назначается редко и только тогда, когда площадь поражения отчетливо заметна.
- Позитронно-эмиссионная томография (ПЭТ) — современный способ диагностики, с его помощью можно выявить заболевание на стадии предеменции.
- Электроэнцефалография (ЭЭГ) — назначается по необходимости.
- Лабораторные процедуры — сдается анализ крови (общий, биохимический), а также выявляется наличие генных мутаций.
Специалисты отмечают, что при наличии сопутствующих недугов — сахарного диабета, высокого уровня холестерина в крови, артериальной гипертензии — течение Альцгеймера прогрессирует более стремительно.
Лечение
Доступные методы терапии не могут излечить Альцгеймер, они способны лишь улучшить качество жизни больного, снизить симптоматические проявления.
Чаще всего назначают мемантин и антихолинэстеразные средства. С их помощью можно поддержать защиту нейронов от гибели. Есть несколько побочных эффектов: сильные приступы головной боли, головокружение, галлюцинации.
Ингибиторы холинэстеразы никак не показали себя, кроме того, что на фоне их приема происходит снижение веса, появление гастрита и мышечных спазмов. Они не замедляют течение недуга и не укрепляют здоровье.
Если поведение пациента агрессивное и антисоциальное, то ему назначают антипсихотики, но их стоит принимать только в крайних случаях. По данным медицинских исследований, их прием может привести к двигательным расстройствам, снижению когнитивной функции, также они в разы повышают смертность.
К психосоциальным методам лечения стоит отнести арт-лечение, которое направлено на полное расслабление. Такая терапия помогает пациенту успокоиться, снижает агрессию, улучшает концентрацию и настрой.
Профилактика и прогноз
Болезнь Альцгеймера в преклонном возрасте прогрессирует медленно — от 5 до 14 лет, если обнаруживается раньше (в 40 лет), развивается стремительно. В этом случае третий-четвертый этап наступает на второй год после подтверждения диагноза. Однако правильно подобранное лечение может продлить жизнь такого больного до 10 лет.
Замедлить развитие симптоматических проявлений помогу следующие мероприятия:
- здоровый образ жизни;
- качественное и сбалансированное питание;
- занятия спортом (лечебная гимнастика, йога, бег, пешие прогулки, плавание);
- интеллектуальный труд.
Ученые доказали: чем выше показатели IQ, тем больше количество устойчивых нейронов. Человеку с генетической предрасположенностью следует тренировать память, мышление, логику. В этом хорошо помогают ребусы, головоломки, кроссворды, живое общение, наличие интересов. Стоит начать играть в шахматы.
Следует полностью пересмотреть свою жизнь, отказаться от вредных привычек, отдавать предпочтение здоровой пище (с высоким содержанием Омега-3), следить за весом и уровнем холестерина в крови.
Болезнь Альцгеймера - симптомы и лечение
Что такое болезнь Альцгеймера? Причины возникновения, диагностику и методы лечения разберем в статье доктора Поляковой Татьяны Акимовны, невролога со стажем в 13 лет.
Над статьей доктора Поляковой Татьяны Акимовны работали литературный редактор Елена Бережная , научный редактор Сергей Федосов
Определение болезни. Причины заболевания
Болезнь Альцгеймера — это хроническое нейродегенеративное заболевание, с медленным началом и значительным ухудшением с течением времени. В 70 % случаев болезнь Альцгеймера приводит к деменции.

Этиология. Факторы риска
Заболевание на данный момент изучено плохо. Предполагается, что в 70% случаев болезнь Альцгеймера объясняется генетическими причинами, например недавно обнаружено, что риск развития заболевания выше у женщин с аллелем APOE ε4 (мутация в гене MGMT) [15] . С реди других факторов риска — черепно-мозговые травмы, депрессия, эндокринные заболевания в анамнезе (гипотиреоз), эстрогенная недостаточность у женщин.
Сопутствующие заболевания
Исследования последних лет показывают, что усиливают предрасположенность к болезни Альцгеймера гипертония, гиперлипидемия, гипергомоцистеинемия, сахарный диабет, метаболический синдром, инсулинорезистентность, заболевания сердца, а также наличие в истории болезни инсульта [1] .
Статистические данные
Болезнь Альцгеймера — наиболее распространённая форма деменции, она встречается в 60-70 % случаев. В мире деменцией страдают около 50 миллионов человек, каждый год выявляется 10 миллионов новых случаев [12] .
В развитых странах болезнь Альцгеймера является одним из наиболее дорогостоящих заболеваний. В России затраты на содержание больных деменцией составляют 74,8 млрд рублей в год [2] .
Распространённость и факторы риска
Заболевание более распространено среди женщин. Предположительно, это связано со следующими факторами:
- продолжительность жизни женщин больше, чем мужчин, а возраст — самый значимый фактор риска развития болезни Альцгеймера;
- риск развития болезни увеличивается на 70 % для людей с депрессией, у женщин она встречается чаще;
- более низкий уровень образования связан с повышенным риском деменции, в некоторых странах у женщин уровень образования ниже, чем у мужчин;
- при беременности часто возникают гипертонические расстройства, они связаны с повышенным риском ухудшения когнитивных функций даже спустя десятилетия после беременности [13] .
При обнаружении схожих симптомов проконсультируйтесь у врача. Не занимайтесь самолечением - это опасно для вашего здоровья!
Симптомы болезни Альцгеймера
Признаки болезни Альцгеймера на ранней стадии часто ошибочно принимаются за нормальные признаки старения.
Кратковременная потеря памяти — наиболее распространенный ранний симптом болезни Альцгеймера, который выражается в том, что больному трудно запоминать последние события. В трети случаев заболевание можно распознать по изменениям поведения.
По мере усугубления болезни возникают следующие симптомы:
- проблемы с речью;
- дезориентация;
- перепады настроения;
- потеря мотивации;
- снижение критики;
- больные не в состоянии вспомнить нужное слово, и им приходится заменять его другим (парафазии), однако они хорошо повторяют сказанное.
- со временем возникают затруднения при назывании предметов (аномии).
- уже на ранней стадии возникают трудности с пониманием сложных грамматических структур (семантическая афазия), к которому затем присоединяется отчуждение смысла слова. [3]
Важный признак болезни Альцгеймера — нарушение способности справляться с повседневностью. При заболевании возникают проблемы с самообслуживанием и поведенческие расстройства.
Признаки болезни Альцгеймера у мужчин и женщин
Признаки болезни Альцгеймера у женщин и мужчин схожи, однако у женщин она чаще сопровождается депрессией.
Патогенез болезни Альцгеймера
Существуют отличительные патоморфологические признаки болезни Альцгеймера: амилоидные (сенильные) бляшки — это внеклеточные отложения в виде скопления фрагмента белка, называемые бета-амилоидом; нейрофибриллярные клубочки — скрученные микроскопические нити тау-белка внутриклеточной локализации. Происходит потеря связи между клетками мозга, ответственными за память, обучение и общение. Эти соединения, или синапсы, передают информацию из клетки в клетку. Важная роль в патогенезе принадлежит воспалительному процессу, связанному с активацией микроглии, которая инициируется накоплением амилоида. [1]
Патофизиология болезни Альцгеймера:

Макроскопически выявляется диффузная атрофия головного мозга с уменьшением объёма извилин и расширением боковых борозд, наиболее выраженная в височно-теменной области.
У значительной части больных цереброваскулярная патология может инициировать или усиливать дегенеративный процесс, связанный с отложением амилоида или другими характерными для заболевания изменениями.
Классификация и стадии развития болезни Альцгеймера
Типичный фенотип болезни Альцгеймера — сочетание выраженных мнестических нарушений гиппокампального типа с акустико-мнестической афазией, зрительно-пространственными нарушениями и апраксией. [3]
Три атипичных фенотипа болезни Альцгеймера (неамнестических):
- с ведущим афатическим дефектом (логопенический вариант первичной прогрессирующей афазии);
- с доминирующими зрительно-пространственными нарушениями (задняя корковая афазия);
- преимущественно с дизрегуляторными нарушениями (лобный вариант болезни Альцгеймера).
Заболевание также подразделяется на формы с ранним началом, зачастую с положительным семейным анамнезом (до 65 лет) и поздним началом (старше 65 лет). Они отличаются патогенезом, генетическими факторами и разной скоростью прогрессирования.

Три стадии болезни Альцгеймера:
Первая (предеменция, ранняя деменция): больные обслуживают себя сами, но им нужна помощь для решения финансовых вопросов, приготовления пищи и т. д.
Вторая (умеренная деменция): зависимость от посторонней помощи растет — больные не способны самостоятельно одеться, осуществить гигиенические процедуры, долго оставаться дома без присмотра.
Третья (тяжёлая деменция): больные не могут выполнить ни одно из привычных повседневных действий без помощи других людей.
Переход от одной стадии к другой коррелирует со снижением оценки по MMSE (Краткая шкала психического статуса), которая является надежным инструментом для отслеживания динамики заболевания.
Осложнения болезни Альцгеймера
Продолжительность жизни людей с болезнью Альцгеймера после установления диагноза обычно колеблется от трех до десяти лет. Более четырнадцати лет после установления диагноза живут менее 3% больных. Уменьшение выживаемости связано с тяжелыми когнитивными нарушениями, снижением уровня физической активности, частыми падениями и нарушениями в неврологическом статусе. Сопутствующие соматические заболевания также влияют на продолжительность и качество жизни при болезни Альцгеймера. Пневмония и обезвоживание — наиболее частые непосредственные причины смерти, вызванной болезнью Альцгеймера. Кроме того, чем старше возраст, тем выше общий возраст выживаемости. У мужчин прогноз менее благоприятен по сравнению с женщинами.
Диагностика болезни Альцгеймера
Трудности ранней диагностики болезни Альцгеймера во многом объясняются "маскированным" характером заболевания в этот период, когда отсутствуют явные внешние признаки деменции. Для постановки диагноза, определения тактики ведения пациента необходимо выявить характер и выраженность когнитивных нарушений.
Нейропсихологический тест
Основной метод оценки когнитивных функций — нейропсихологическое обследование, которое проводит врач, обученный данным методам исследования. В некоторых странах практикуется обследование больных их родственниками с помощью шкал для оценки когнитивных функций: монреальской когнитивной шкалы, Адденбрукской, шкала краткого исследования психических функций MMSE.
Биомаркеры болезни Альцгеймера
Молекулярная диагностика на ранней стадии заболевания также создаёт перспективы для раннего назначения лечения болезни Альцгеймера. Определение биомаркеров в плазме является менее инвазивной альтернативой для диагностики болезни Альцгеймера. Биомаркеры классифицируются на биомаркеры накопления амилоида и биомаркеры нейродегенерации. Основные биомаркеры отражают патологию амилоида (внеклеточное накопление Aβ1-40/1-42) или внутриклеточные включения нейрофибриллярных клубочков (гиперфосфорилированного тау). [4] [5]
Согласно рекомендациям 4-го Канадского консенсуса по диагностике и лечению деменции и рациональному использованию биомаркеров для диагностики болезни Альцгеймера и других деменций (CCCDTD4, 2011): [6]
1. Определение биомаркеров цереброспинальной жидкости не рекомендуются для диагностики болезни Альцгеймера с типичной клинической картиной (2А уровень).
2. Исследование биомаркеров не рекомендуется для скрининга здоровых людей с целью оценки риска развития болезни Альцгеймера в будущем (уровень 1В).
3.Биомаркеры цереброспинальной жидкости можно рассматривать в особых случаях, когда есть атипичные признаки или диагностические трудности при дифференциальной диагностике лобного варианта болезни Альцгеймера от лобно-височной деменции, а также случаи первично прогрессирующей афазии как следствие болезни Альцгеймера или лобно-височной дегенерации (уровень 2В).
МРТ и КТ головного мозга
Современные методы нейровизуализации — магнито-резонансная томография и компьютерная томография головного мозга — позволяют расширить диагностические возможности прижизненной диагностики болезни Альцгеймера.
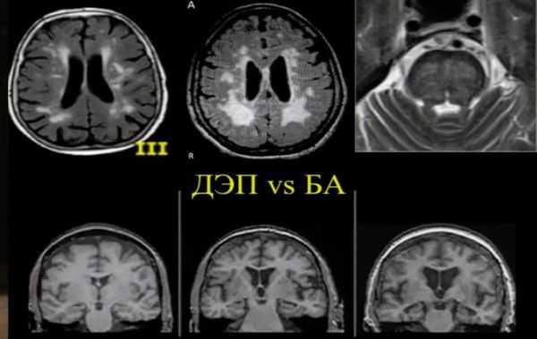
МРТ и КТ проводят для выявления поддающихся лечению причин деменции и нарушений, которые могут усугубить симптомы. Структурные изменения по данным магнитно-резонансной томографии являются более прогностически значимыми для дальнейших изменений в когнитивной сфере, чем биомаркеры цереброспинальной жидкости. По данным магнитно-резонансной томографии, признаки цереброваскулярного заболевания, такие как лейкоареоз и множественные подкорковые лакунарные инфаркты, чаще наблюдаются у пациентов с болезнью Альцгеймера, чем в контрольной группе. [7] Асимметричная атрофия медиальных отделов височной доли также не исключает сосудистую деменцию.

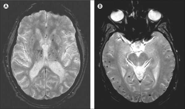
Описана смешанная модель патогенеза болезни Альцгеймера, которая предполагает взаимодействие церебральной амилоидной ангиопатии с сосудистыми факторами на ранних стадиях патологического процесса. Предполагается, что синергия между накоплением амилоида и цереброваскулярной патологией может инициировать дальнейшую дисфункцию нейронов и нейродегенерацию. [8] В этом отношении церебральные микрокровоизлияния, выявляемые в режиме Т2 градиентного эхо на магнитно-резонансной томографии, являются дополнительным и доступным диагностическим маркером, повышающим диагностическую значимость лейкоареоза и свидетельствующим в пользу церебральной амилоидной ангиопатии или гипертонической микроангиопатиии, особенно в случаях смешанной патологии и тяжелого когнитивного дефицита.
Локализация церебральных микрокровоизлияний является дифференциально-диагностическим признаком ведущего патологического процесса. В случае болезни Альцгеймера наблюдается корковая локализация микрокровоизлияний, в случае дисциркуляторной энцефалопатии или сосудистой деменции будут визуализироваться микрокровоизлияния в глубинных отделах мозга. [9] [10]

Одним из наиболее перспективных методов диагностики болезни Альцгеймера является позитронно-эмиссионная томография с лигандом, который связывается с амилоидом (PiB), однако накопление амилоида и захват соответствующего лиганда нарастают на стадии умеренных когнитивных нарушений, но после конверсии в деменцию дальнейшего накопления не происходит. [11]
Лечение болезни Альцгеймера
Болезнь Альцгеймера пока не поддается лечению. Но благодаря группе новых препаратов и симптоматическому лечению Альцгеймера можно сделать так, что снижение интеллекта больных будет более постепенным.
Лекарства
К таким средствам относятся:
- ингибиторы холинэстеразы (донепезил, ривастигмин, галантамин)
- блокаторы NMDA-глутаматных рецепторов (акатинол-мемантин).
Облегчение расстройств психики и поведения, сопровождающих болезнь Альцгеймера
С целью лечения сопутствующих расстройств психики и поведения используются также антидепрессанты и нейролептики.
Поддерживающие методы
Существуют и нелекарственные методы воздействия — тренировки интеллектуальных функций. Нейропсихологическая реабилитация позволяет стимулировать к развитию новых нейронный сетей, обучая рабочие нервные клетки.
Специальная диета при болезни Альцгеймера не требуется: питание не влияет на развитие заболевания.
Прекращение лечения
Причиной для прекращения приёма антидементных препаратов может стать выраженная брадикардия, но это осложнение возникает крайне редко.
Рекомендации для ухаживающих за близкими с болезнью Альцгеймера
При уходе за больным человеком важно организовать для него безопасное и удобное пространство.
Также важно внимательно выбирать обувь и одежду.

Такими занятиями могут быть:
- прогулки;
- общение с домашними животными;
- уход за растениями;
- наблюдения за рыбками в аквариуме;
- прослушивание радиопередач и музыки;
- творчество, например лепка и живопись;
- чтение книг, при невозможности это могут делать близкие люди вслух.
Ухаживая за больным, не следует игнорировать своё здоровье. Пациенту нужно обеспечить нормальное питание, режим, активный образ жизни — это в полной мере относится и к близким больного человека.
Где обеспечивают уход при болезни Альцгеймера
Государственных специализированных пансионатов по уходу за людьми с болезнью Альцгеймера в нашей стране пока нет.
Прогноз. Профилактика
С увеличением осведомлённости общества о деменции будет расти и потребность в помощи по уходу, понадобятся значительные затраты для её организации. Пока же преобладает в основном неформальная помощь в семьях. Усилия по улучшению качества и доступности помощи потребуют вложений в меры первичной профилактики, и возможно, это позволит контролировать "эпидемии" деменций в разных регионах мира. В качестве основных мишеней первичной профилактики рассматриваются улучшение образования и устранение сосудистых факторов риска.
Профилактика
На сегодняшний день одной из основных целей профилактики является создание различных новых форм внебольничной помощи пациентам пожилого и старческого возраста с целью улучшения диагностики когнитивных нарушений разной степени тяжести, более раннее выявление заболеваний. С такой целью в развитых странах созданы клиники памяти, Альцгеймеровские центры. [2]
Человек с деменцией обращен в прошлое. Больных надо аккуратно «тормошить» и в интеллектуальном плане, и в двигательном. Неподвижность плохо влияет на мозг. Лучший способ сохранить разум, это, как ни странно, даже не интеллектуальная деятельность, а двигательная активность. Именно в этом случае в мозге создаются условия, которые способствуют образованию новых связей между нейронами и укреплению мозгового резерва, что впоследствии противодействует развитию деменции.
Недавно было обнаружено, что вероятность развития болезни Альцгеймера у пожилых людей на 40 % ниже, если они хотя бы раз вакцинировались от гриппа . Защитное действие вакцины сохранялось в течение 4 лет. Причины этого пока неясны. Есть три версии:
- предотвращая или облегчая течение гриппа, вакцина препятствует развитию системного воспаления, которое способствует развитию болезни Альцгеймера;
- вакцина влияет на иммунные клетки мозга, и они лучше справляются с нарушениями, связанными с болезнью Альцгеймера;
- люди, которые вакцинируются, лучше заботятся о своём здоровье, что в целом снижает риск болезни Альцгеймера [16][17] .
Продолжительность жизни
В среднем люди с болезнью Альцгеймера живут 3 - 11 лет после выявления заболевания, но некоторые — 20 лет и более. Продолжительность жизни зависит от степени нарушений при постановке диагноза [14] .
Юридические вопросы
Требования для признания гражданина недееспособным раскрываются в статье 29 Гражданского кодекса РФ. Потеря дееспособности компенсируется больному человеку установлением опёки. Опекун "восполняет" утраченные возможности гражданина, признанного недееспособным, и действует в его интересах.
Процедура признания гражданина недееспособным описана в 31 главе Гражданского процессуального кодекса РФ, в статьях 281-285.
Что нужно знать о болезни Альцгеймера: инструкция для пациентов и их близких
21 сентября — Международный день информирования о болезни Альцгеймера. Это самая распространенная причина и форма деменции у пожилых людей. Гибель нервных клеток в головном мозге и последующие когнитивные нарушения — памяти, речи, ориентации в пространстве — редко возникают до 60 лет, а частота заболеваемости удваивается каждые пять лет после 65.
По оценкам ВОЗ, в мире насчитывается около 55 миллионов человек с деменцией, при этом каждый год регистрируется около 10 миллионов новых случаев заболевания — более 60% приходятся именно на болезнь Альцгеймера. Несмотря на масштаб проблемы, причины и механизм развития заболевания до сих пор неизвестны. Существуют методы лечения, которые могут облегчить некоторые симптомы, но терапии, останавливающей болезнь, к сожалению, пока нет.
И для пожилых людей, и для их близких деменция становится большим испытанием. Никто не понимает, как быстро будет прогрессировать заболевание, чего ждать и что планировать в ближайшем будущем. Чтобы развеять мифы и снять часть вопросов о болезни Альцгеймера, мы изучили тему, поговорили с врачом-геронтопсихиатром Марией Гантман и подготовили инструкцию для вас и ваших близких.
Возможные причины болезни Альцгеймера

У каждого десятого человека после 65 лет есть какой-то вид деменции — это обычное явление в популяции, говорит врач-геронтопсихиатр, вице-президент благотворительного фонда помощи людям с деменцией и их семьям «Альцрус» Мария Гантман.
«Поэтому если у вас в семье есть единичные случаи болезни Альцгеймера или других форм деменции у родственников старше 70 лет, то не нужно переживать по поводу своей генетики. У вас она вполне обычная. Если же в семье в каждом поколении заболевают деменцией в возрасте от 40 до 60 лет — то есть это раннее заболевание, и прослеживается какая-то закономерность — то можно проконсультироваться с врачом-генетиком. Но важно, чтобы врач адекватно трактовал анализ, который вы получаете. И уж точно не нужно делать дорогой анализ генетических последовательностей, который вы потом сами будете трактовать».
- ;
- (сосудистые) заболевания головного мозга;
- — повышение или понижение уровня холестерина, способствующее возникновению атеросклероза;
- — образование бляшек (атером) в артериях, отдаленных от сердца (брюшная аорта, артерии нижних конечностей);
- — по данным исследований, эти заболевания увеличивают риск возникновения деменции в 1,5 раза;
- черепно-мозговая травма с потерей сознания более чем на 30 минут предположительно связана с повышенным риском развития болезни Альцгеймера. Но другие исследования эту связь не подтверждают;
- лекарственные препараты — обнаружена связь между применением некоторых классов лекарственных препаратов (таких как бензодиазепины, антихолинергические, антигистаминные препараты и анальгетики) и когнитивными нарушениями у пожилых людей. Но ухудшения памяти были кратковременными и обратимыми.
Есть ли способы профилактики болезни Альцгеймера?

Учитывая то, что факторы риска в основном связаны с заболеваниями кровеносной системы, есть смысл начинать контролировать давление, уровень холестерина и состояние сосудов еще в среднем возрасте.
Образ жизни и деятельность
Относительно физической активности данные противоречивы. Некоторые исследования показывают, что среди спортивных людей распространенность когнитивных нарушений ниже. При этом более поздние испытания эту взаимосвязь не подтверждают.
- Познавательные тренировки и интеллектуальный бэкграунд
Тренировка памяти улучшает когнитивные функции у пожилых людей, но долгосрочный эффект пока не доказан. А вот высокий уровень образования предположительно снижает риск развития деменции, или, по крайней мере, отодвигает возраст ее начала. Но, опять же, с оговоркой на то, что у людей с высшим образованием и высоким профессиональным уровнем деменция прогрессирует быстрее. Возможно, к моменту очевидных проявлений у них накапливается бОльшая степень патологии, чем у остальных пациентов.
Профилактикой болезни Альцгеймера может быть диета с большим количеством фруктов, овощей, цельнозерновых, орехов и семян. Наблюдательные исследования показали, что у людей, которые придерживались такой диеты, реже случались когнитивные нарушения и медленнее развивалась деменция по сравнению с теми, кто такой диеты не придерживался.

Потребление в пищу Омега-3 жирных кислот влияет на некоторые факторы риска сердечно-сосудистых заболеваний, соответственно, потенциально снижает и риск возникновения деменции. Однако другие испытания этого не подтвердили.
Антиоксидантные витамины (например, витамин Е, бета-каротин, флавоноиды, витамин С) предположительно могут снизить риск развития деменции. Но это не точно.
То же самое с витаминами B6, B12 и фолиевой кислотой.
Терапия, которая не эффективна для профилактики деменции, в том числе болезни Альцгеймера:
- Ингибиторы холинэстеразы, которые обладают умеренным симптоматическим эффектом при установленной деменции, не задерживают ее развитие у пациентов с легкими когнитивными нарушениями, и для профилактики не рекомендуются.
- Гормональная терапия неэффективна. Более того, есть данные, что замещение эстрогена у женщин может увеличить риски возникновения болезни.
- Гинкго билоба. Исследование с участием 3000 пожилых людей не показало эффективности гинкго билоба после шести лет наблюдения. Это подтверждает и другое исследование.
«Красные флаги»: какие симптомы должны насторожить

Поскольку деменция, вызванная в том числе болезнью Альцгеймера, у пожилых людей развивается постепенно, близкие не всегда распознают тревожные сигналы, списывая их на естественные процессы старения. Из-за этого теряется время, которое можно использовать для улучшения состояния.
- Постоянно теряет важные вещи: например, документы, ключи.
- Кладет вещи в совершенно не свойственные для них места.
- Подозревает, что потерянные вещи украдены, не поддается переубеждению.
- Много раз переспрашивает одно и то же, забывая ответ.
- С трудом ориентируется на улице.
- Делает грубые ошибки в том, что раньше давалось легко (например, заполнение квитанций).
- депрессии,
- заболеваниях щитовидной железы,
- нехватке витаминов (например, группы В, витамин В12),
- инфекциях,
- опухоли мозга.
О каких клинических особенностях болезни нужно знать еще

Кроме потери памяти, при болезни Альцгеймера могут быть и другие проявления. Например:
- Вы можете заметить, что вашему близкому с трудом дается многозадачность и решение проблем. При этом сам человек, скорее, будет недооценивать симптомы, поэтому в общении с врачом важны ваши наблюдения.
Как не ошибиться при постановке диагноза

Если вы заметили признаки деменции у вашего близкого, запишитесь на прием к неврологу, психиатру или гериатру (врачу, который занимается здоровьем пожилых людей).
Скорее всего, врач предложит пройти обследования — общий и биохимический анализ крови, гормоны щитовидной железы, уровень витаминов В12, МРТ головного мозга и другие), которые позволят исключить другие заболевания, вызывающие проблемы с памятью.
Существует точная биохимическая диагностика болезни Альцгеймера, когда делают люмбальную пункцию (поясничный прокол) для анализа спинномозговой жидкости. Такой способ позволяет поставить диагноз раньше, чем появляются какие-либо симптомы.
Но большинству пациентов такая инвазивная диагностика не нужна, считает Мария Гантман: «Если картина типичная — это пожилой человек, у которого за несколько лет постепенно снижается память, то врач исключает другие заболевания, предлагает сделать томограмму головного мозга, на которой обычно видны характерные изменения, и выявляет болезнь Альцгеймера по клинической картине».
Важно! Не бойтесь получить мнение нескольких специалистов — это нормальная практика. И уж тем более меняйте врача, если он списывает признаки деменции на старость.
Как приспособиться к жизни с человеком, у которого болезнь Альцгеймера

Чтобы принять заболевание у близкого человека, важно осознать, что изменения в его поведении — это не прихоти и капризы, а болезнь. Скорее всего, вам потребуется время, чтобы осмыслить это и привыкнуть к другому образу жизни.
Вот некоторые практические советы, которые рекомендует фонд «Альцрус»:
Человеку важно как можно дольше оставаться независимым — это облегчит вашу жизнь и поможет близкому сохранить чувство уважения к себе. Слова и поступки — как ваши, так и окружающих людей — могут обеспокоить больного, причинить ему боль и обидеть. Воздерживайтесь от обсуждения состояния человека в его присутствии или от критических замечаний в его адрес.
- Установите режим и постарайтесь сохранить привычные занятия
Если есть определенный режим, то повседневная жизнь становится более упорядоченной и сокращается необходимость постоянно принимать решения. Для человека с деменцией режим может стать источником уверенности и защищенности.
- Давайте человеку с деменцией простые задания
Не затрудняйте жизнь близкому — давайте ему простые инструкции и задания, не предоставляйте слишком большой выбор.
Любой конфликт приводит к стрессу. Не привлекайте внимание близкого к неудачам, переключайте на деятельность, которая доступна. Не спорьте с ним и не говорите, что ему нельзя делать. Это только усугубит ситуацию.
Побольше смейтесь вместе с близким (но не над ним!). Юмор помогает избавиться от стресса и напряжения.
Потеря памяти и координации движений повышают опасность травмирования. Сделайте ваш дом как можно более безопасным. Оградите родственника от пользования электроприборами, газовой плитой в ваше отсутствие.
Общение играет большую роль в эмоциональном состоянии вашего близкого. Старайтесь говорить короткими предложениями и медленнее, чем обычно. Избегайте пословиц, иронии или переносных значений. Смотрите в глаза, будьте доброжелательными и давайте человеку время отреагировать на ваше обращение.
Как улучшить состояние человека с болезнью Альцгеймера

К сожалению, вылечить болезнь Альцгеймера нельзя. Но можно подобрать терапию, которая поможет снизить тревожность, улучшить самочувствие человека и замедлить прогресс.
Важно! Выбор терапии зависит от индивидуальных клинических симптомов пациента, наличия сопутствующих заболеваний и переносимости лекарственных средств. Это задача лечащего врача.
- Ингибиторы ацетилхолинэстеразы. Рекомендованы для терапии всех стадий заболевания в руководствах по лечению деменции.
- Мемантин — антагонист рецептора N-метил-D-аспартата (NMDA). Добавляется к ингибиторам ацетилхолинэстеразы при снижении эффективности терапии, а также назначается пациентам, которые поздно обратились к врачу (при средней и тяжелой стадии деменции).
«Но надо понимать, что это не какая-то панацея, — говорит Мария Гантман. — И ожидаемый эффект сопоставим с теми противодементными препаратами, которые сейчас есть. К тому же, исследования пока не завершились и фирме дали еще несколько лет, чтобы доказать эффективность и выйти на рынок».
В июле 2022 года журнал Science опубликовал статью , рассказывающую, что результаты одного из основополагающих для изучения болезни Альцгеймера исследований могут быть сфабрикованы.
В 1991 году генетик-биолог Джон Харди и невролог Дэвид Аллсоп предложлили амилоидную теорию . Они считали, что бета-амилоид — скопление белков неправильной структуры — образует бляшки в головном мозге и приводит к развитию болезни Альцгеймера. Через 15 лет, в 2006 году, французский нейробиолог Сильвен Э. Лесне подтвердил эту теорию: он показал , что именно бета-амилоид 56, обладая токсическим действием, повреждает микроскопические структуры мозга, которые отвечают за когнитивные функции. В результате возникают симптомы болезни Альцгеймера — прогрессирующая потеря памяти, нарушения речи и движений.
Это вещество почти сразу стало мишенью для новых препаратов, разработкой которых занялись крупные фармкомпании. И вот спустя 16 лет с момента публикации Лесне, Мэтью Шрэг — нейробиолог и врач из Университета Вандербильта — с помощью программных инструментов для анализа изображений показал, что на фотографиях в исследованиях Лесне есть искажения, которые могут быть признаками фальсификации. Два независимых эксперта по анализу изображений — Бик и Яна Кристофер — подтвердили эти данные. Лесне на момент публикации не дал комментариев в ответ на письма редакции Science.
Кроме того, к началу 2022 году подошли к концу два финальных исследования препарата Адуканумаб ( EMERGE и ENGAGE ). Он основан на антителах к бета-амилоиду и потенциально способен препятствовать его токсическому действию. К сожалению, в обоих случаях исследователи получили неутешительные результаты. Несмотря на качество и масштаб клинического испытания — в нем участвовали более 3500 людей с болезнью Альцгеймера в 20 странах, полученные данные показывают отсутствие выраженного улучшения когнитивных функций у пациентов, принимавших Адуканумаб.
Расследование Мэтью Шрэга о возможной фальсификации работы Лесне объясняет печальные результаты исследований EMERGE и ENGAGE. И хотя полностью исключать влияние амилоида на развитие болезни Альцгеймера нельзя, искаженные данные стали причиной более 15 лет работы исследователей в неправильном направлении.
- средства для улучшения настроения (антидепрессанты),
- средства для снятия беспокойства и возбуждения (нейролептики).
Куда обратиться за помощью

Альцгеймер-кафе «Клуб Незабудка»
- Фонд «Альцрус» выстраивает систему поддержки людей с деменцией и их близких в разных регионах России.
На Горячей линии Альцрус — задать организационные вопросы по поводу лечения, получить советы по уходу, рекомендации учреждений и специалистов в разных регионах, юридическую помощь.
Фонд проводит очные «Школы заботы» для ухаживающих, а также альцгеймер-кафе «Клуб Незабудка» — ежемесячные встречи, куда могут прийти семьи со своими пожилыми родственниками.
Болезнь Альцгеймера
Информацию из данного раздела нельзя использовать для самодиагностики и самолечения. В случае боли или иного обострения заболевания диагностические исследования должен назначать только лечащий врач. Для постановки диагноза и правильного назначения лечения следует обращаться к Вашему лечащему врачу.
Для корректной оценки результатов ваших анализов в динамике предпочтительно делать исследования в одной и той же лаборатории, так как в разных лабораториях для выполнения одноименных анализов могут применяться разные методы исследования и единицы измерения.
Болезнь Альцгеймера: причины появления, симптомы, диагностика и способы лечения.
Определение
Болезнь Альцгеймера — хроническое дегенеративное заболевание головного мозга, характеризующееся резким снижением интеллектуальных способностей вплоть до тотального распада интеллекта и психической деятельности. Болезнь получила свое название по имени доктора Алоиса Альцгеймера, который в 1906 году впервые описал это заболевание.
Память — сложный процесс, который можно условно разделить на две составляющие — процесс запоминания и процесс воспроизведения. При болезни Альцгеймера нарушается именно процесс запоминания. Есть такой термин «консолидация следа памяти», который обозначает процесс перехода поступившей в мозг информации из кратковременной памяти в долговременную. Он до конца не изучен, но у пациентов с болезнью Альцгеймера этот процесс утрачивается. Им не помогают ни обучение, ни заучивание стихотворений — каждый день для них начинается с чистого листа.
Заболевание вызывает повреждение нейронов и отмирание клеток коры головного мозга, ответственных за память и формирование эмоций.

Это приводит к снижению умственных способностей, скорости мышления, реакции, способности справляться с ежедневными делами, ориентироваться в пространстве и критически оценивать свои действия. Происходит значимое нарушение бытовой, профессиональной, социальной самостоятельности и повседневной адаптации.
Причины появления болезни Альцгеймера
Точные причины развития болезни Альцгеймера не до конца понятны. Известно лишь, что в ее основе лежит патологическая активность специфических белков бета-амилоидов и тау-белков:
- бета-амилоиды оказывают токсическое воздействие на нейроны и нарушают межклеточную связь;
- тау-белки нарушают транспортную систему нейронов и токсичны для клеток головного мозга.
Кроме того, при болезни Альцгеймера организм испытывает недостаток фермента, необходимого для образования нейромедиатора ацетилхолина, который является важным участником межклеточной коммуникации.
Патологические формы бета-амилоида образуются у всех людей, но они элиминируются (выводятся) из мозга и проблем не вызывают. Современная гипотеза о развитии заболевания заключается в том, что болезнь возникает именно из-за нарушения элиминации. Белок накапливается в мозге и, превысив определенный порог, запускает болезнь. К нарушению элиминации этого белка причастны разные факторы риска — возраст, вредные привычки (курение, чрезмерное употребление алкоголя), сосудистые патологии, генетическая предрасположенность.
Считается, что при нормальном ночном сне «очищение» мозга от бета-амилоидов происходит в 10 раз активнее, чем днем.
Заболевание вдвое чаще встречается у женщин, чем у мужчин, что отчасти связано с большей продолжительностью жизни женщин. Преобладание количества больных в развитых странах связано с увеличением доли пожилых людей.
Наследственные формы, которые на сегодня четко обозначены, по самым максимальным оценкам составляют до 10% от всех случаев заболевания. Они связаны с мутацией трех генов, которые участвуют в формировании патологических форм белка бета-амилоида.
Другие факторы риска:
- неконтролируемая артериальная гипертензия в среднем и пожилом возрасте;
- атеросклероз крупных артерий головы;
- гиперлипидемия;
- гипергомоцистеинемия;
- сахарный диабет;
- избыточная масса тела;
- гиподинамия;
- хроническая гипоксия;
- черепно-мозговые травмы в анамнезе.
Болезнь Альцгеймера с ранним началом (до 65 лет - так называемый пресенильный вариант) характеризуется быстрым прогрессированием ухудшения памяти, интеллектуальной деятельности и высших корковых функций. Это приводит к раннему развитию тотальной деменции с выраженным распадом речи, жизненных навыков и нарушению различных видов восприятия (зрительного, слухового, тактильного). Для этой формы характерен семейный анамнез заболевания.
Болезнь Альцгеймера с поздним началом (после 65 - сенильный вариант) прогрессирует медленнее, нарушения памяти длительное время остаются главным симптомом. В дальнейшем при неуклонном развитии заболевания наблюдается тотальная деменция по типу амнезии. Относительно редко возникают тяжелые корковые очаговые расстройства, приводящие к параличу.
Кроме того, предусмотрено выделение атипичной формы, или деменции смешанного типа, когда сочетаются симптомы, характерные как для болезни Альцгеймера, так и для сосудистой деменции.
Симптомы болезни Альцгеймера
Для болезни Альцгеймера доминирующим симптомом является нарушение памяти на текущие события, при этом долговременная память сохраняется неплохо. Наиболее частым ранним признаком болезни Альцгеймера является проблема с запоминанием новой информации, поскольку болезнь обычно поражает в первую очередь ту часть мозга, которая связана с обучением.
Гипосмия (снижение обонятельной функции) считается докогнитивным симптомом. То есть прежде чем начнутся первые проблемы с памятью или мышлением, человек перестает четко различать запахи.

Основные симптомы болезни Альцгеймера:
- амнезия - потеря памяти, забывчивость;
- утрата способности концентрировать внимание;
- апраксия (утрата практических навыков, например, одевания, завязывания шнурков, приготовления кофе и пр.);
- потеря ориентации во времени и пространстве;
- нарушение когнитивных (познавательных) функций;
- агнозия (отсутствие интерпретации воспринимаемой информации);
- моторная афазия (нарушение речи, невнятная речь);
- апатия (отсутствие интереса к жизни, потеря интереса к прежним увлечениям и любимым занятиям);
- проблемы в самообслуживании и общении с другими людьми.
Даже у относительно молодых людей с отчетливыми депрессивными проявлениями возникают органические изменения в мозге, например, атрофия гиппокампа (части мозга, которая участвует в формировании эмоций, регистрации новой информации и пространственной памяти).
Все указанные симптомы проявляются постепенно, на начальных этапах больной может не ощущать серьезных проблем. По мере прогрессирования заболевания способность к критической оценке и внимание снижаются, а ухудшение памяти начинает выражаться сильнее. Люди с болезнью Альцгеймера забывает дату, день недели и год, свой домашний адрес и не узнают место, где находятся в данный момент времени. Потом присоединяются все новые и новые симптомы — речь становится более простой, слова выпадают из памяти и часто заменяются похожими по смыслу, теряется узнавание предметов и их функционального назначения, начинают страдать жизненные навыки - пользование даже обычными бытовыми приборами становится проблемой. В большинстве случаев пациенты не замечают изменения вокруг и в себе, хотя иногда могут быть моменты прояснения, и понимание становится более ясным.
Постепенно уменьшается способность узнавать близких. На поздних стадиях болезни полностью утрачивается способность говорить и понимать речь других. Все прежние навыки человека исчезают, он больше не может встать с постели, одеться, пойти в туалет и самостоятельно поесть.
У пациентов с болезнью Альцгеймера часто наблюдаются расстройства психики и поведения, появляются раздражительность, агрессивность, перепады настроения, необоснованное чувство страха, тревожность, подозрительность, нарушения сна (трудности с засыпанием, нарушение суточного режима, ночные блуждания).
Диагностика болезни Альцгеймера
Как правило, диагностика болезни Альцгеймера схожа с диагностикой других видов деменции. Но несмотря на клинические и специфические лабораторные и визуализационные характеристики, окончательный диагноз может быть подтвержден только гистологическим исследованием ткани мозга.
При наличии у пациента или его близких жалоб на снижение памяти, профессиональную и социальную дезадаптацию проводят:
- объективное обследование для выявления характерных клинических признаков деменции;
- сбор анамнеза и выяснение семейной истории болезни Альцгеймера;
- исследование психического статуса.
Клинические критерии позволяют с 85% точностью установить диагноз и дифференцировать болезнь Альцгеймера от иных вариантов деменции, таких как сосудистая деменция или деменция с тельцами Леви.
Для выявления других поддающихся лечению причин деменции и нарушений, которые могут усугубить симптомы, проводятся лабораторные исследования:
- генетическая предрасположенность к атеросклерозу и болезни Альцгеймера;
Тест используется для диагностики гиперлипидемии III типа, а также для прогноза развития болезни Альцгеймера Аполипопротеин E (ApoE) - гликопротеин плаз.
Читайте также:
- Стандарты медицинской помощи в эндокринологии
- Гемофильтрация при ДВС синдроме. Синдром массивной гемотрансфузии
- Двигательная деятельность слепых. Особенности моторики слепого
- Причины нарушений прикуса. Этиология нарушений развития челюстей
- Затухание ультразвука при исследовании. Степени затухания ультразвука при прохождении через ткани
