Цистодуоденостомия. Техника операции цистодуоденостомии при кисте поджелудочной железы.
Добавил пользователь Владимир З. Обновлено: 22.11.2025
На протяжении длительного времени лапаротомия в сочетании с наружным дренированием или иссечением панкреатических псевдокист (ППК) традиционно расценивались как предпочтительное лечение для симптоматических локальных скоплений жидкости в поджелудочной железе. Хотя операция считается эффективным методом коррекции ППК, в 35% случаев она сопровождается осложнениями и летальностью, близкой к 10% [1, 2]. Эти обстоятельства стимулировали развитие минимально инвазивных хирургических подходов в лечении ППК. Среди всех существующих на сегодняшний день альтернатив эндоскопическое трансмуральное дренирование является, несомненно, главным прорывом за последние годы, особенно после появления в практике эндоскопического ультразвукового исследования и инновационных устройств — эхоэндоскопов [3]. Эндоскопическая техника делает возможным пункцию кист под ультразвуковым контролем, без повреждения кровеносных сосудов, которое без ультразвукового наведения происходило в 6% случаев [4]. Возможности метода значительно расширились после разработки стентов, которые позволяют дренировать псевдокисту в полость желудка (цистогастростомия) или просвет двенадцатиперстной кишки (цистодуоденостомия). Сведения об использовании метода в педиатрической популяции являются единичными. Цель нашего исследования состоит в том, чтобы продемонстрировать возможность выполнения эндоскопического дренирования ППК под ультразвуковым контролем у детей и оценить эффекты этих операций.
Материал и методы
Мы сообщаем о двух случаях посттравматической псевдокисты поджелудочной железы, которые были успешно пролечены с применением эндоскопического дренирования под ультразвуковым наведением.
Эндоскопическое дренирование ППК выполнялось опытным врачом-эндоскопистом под общей внутривенной анестезией.
Рассмотрим последовательность 7 этапов эндоскопического дренирования ППК.

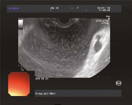
1. Проведение в желудок эхоэндоскопа OlympusGF-UE 160 и эндоскопическое ультразвуковое сканирование органов брюшной полости для определения зоны контакта стенки кисты со стенкой желудка (рис. 1). Рис. 1. Эхоэндоскопия и ультразвуковая визуализация панкреатической псевдокисты в теле поджелудочной железы (случай 1).
2. Допплерография абдоминальных сосудов для определения бессосудистой зоны, в которой затем производится цистотомия.

3. Электрокоагуляция тканей желудка и стенки кисты с последующей цистотомией стенки кисты посредством 8,5 Ch цистотома (MTWEndoscopieManufaktur, Germany) (рис. 2). Рис. 2. Цистотомия стенки кисты устройством МТW (MTW Endoscopie Manufaktur, Германия) (случай 1).
4. Аспирация содержимого ППК для биохимического, цитологического и бактериологического исследования.
5. Установка трехлепесткового стента MTW таким образом, чтобы конец, содержащий два лепестка, оставался в просвете кисты (рис. 3, 4). Рис. 4. Эндоскопическая цистогастростомия с установкой в кисту трехлепесткового стента MTWE. Рис. 3. Эндоультразвуковое сканирование псевдокисты поджелудочной железы после цистотомии (в просвете определяется катетер) (пациент 1).

6. Альтернативный метод дренирования состоит в установке по металлическому проводнику, помещенному в полость кисты, наружного назобилиарного катетера, конец которого имеет форму pig-tail (рис. 5). Рис. 5. Наружное эндоскопическое дренирование с использованием назобилиарного катетера, конец которого имеет форму pig-tail (случай 2).
7. Извлечение устройства, предназначенного для доставки стента, наружу и повторное эндоскопическое ультразвуковое сканирование для определения позиции стента и размеров ППК после дренирования.
После размещения внутреннего стента или наружного катетера пациенты наблюдались в хирургическом отделении, где выполнялись серийные трансабдоминальные ультразвуковые исследования в течение 48—72 ч после операции. Стент удалялся через 3 мес в тех случаях, когда просвет ППК облитерировался, по данным ультразвука или компьютерной томографии.
Описание случаев
Случай 1. Мальчик в возрасте 14 лет находился на лечении в хирургическом отделении Ивано-Матренинской детской клинической больницы (ИМДКБ) с диагнозом «тупая травма органов брюшной полости, повреждение поджелудочной железы». Основные жизненные константы пациента при поступлении были стабильны. Ультразвуковое исследование брюшной полости обнаружило диффузные изменения в области тела поджелудочной железы размером 2—5 см без скопления жидкости. Лечение включало отмену самостоятельного питания, назначение полного парентерального питания, проведение антибактериальной терапии, прием синтетического аналога соматотропного гормона (октреотид). Пациент хорошо восстанавливался после перенесенной травмы и был выписан из больницы на 15-й день. Через 3 мес больной повторно обратился в госпиталь с жалобами на боли в эпигастрии. Исследование крови определило подъем концентрации амилазы в крови до 797 Ед/л и до 6915 Ед/л — в моче. Ультразвуковое исследование обнаружило кистозное образование в проекции тела поджелудочной железы диаметром около 6 см. Магнитно-резонансная томография подтвердила наличие ППК, располагающейся позади желудка. Под общей внутривенной анестезией была выполнена гибкая гастроскопия. С помощью эндоскопического ультразвука обнаружена ППК. В допплеровском режиме определена бессосудистая зона и выполнена пункция кисты через заднюю стенку желудка в самом видном месте выпуклости кисты. В просвет кисты был установлен стент MTW. Полость кисты почти сразу спалась. Послеоперационный период протекал без особенностей, и пациент был выписан из больницы на 3-и сутки. Серологический анализ обнаружил существенное снижение концентрации амилазы в крови до 147 мкмоль/л и до 211 Ед/л — в моче. Стент был удален через 3 мес с помощью повторной фиброгастроскопии без анестезии. Наблюдение за пациентом на протяжении 24 мес после эндоскопической цистогастростомии показало отсутствие рецидива кисты и нормальную функцию поджелудочной железы.
Случай 2. Мальчик в возрасте 15 лет поступил в приемный покой ИМДКБ с жалобами на боли в околопупочной области и рвоту. При разговоре с пациентом стало известно, что около 1 мес назад он совершил падение с высоты при игре со сверстниками. За медицинской помощью не обращался. Исследование крови при поступлении выявило подъем в крови концентрации амилазы до 1397 Ед/л, липазы до 728 Ед/л, концентрации амилазы мочи — до 17 735 Ед/л. Ультразвуковое сканирование органов брюшной полости обнаружило многокамерную псевдокисту в поджелудочной железе на границе хвоста и тела. Магнитно-резонансная томография установила, что в проекции тела и хвоста поджелудочной железы располагается кистозное образование размером 6—8 см с наличием перегородок и гиперэхогенной капсулой толщиной 2 мм. Под общей внутривенной анестезией в желудок установлен эхоэндоскоп. В точке, расположенной на задней стенке желудка и наиболее соприкасающейся со стенкой ППК, произведена пункция кисты с использованием цистотома MTW. При аспирации получено густое содержимое коричневого цвета. Попытка установки стента MTW не увенчалась успехом из-за спадения кисты в момент ее опорожнения, что привело к деформации устройства. В полость ППК установлен металлический проводник, по которому проведен назобилиарный наружный катетер. Конец катетера имеет завиток по типу pig-tail, который надежно фиксируется путем затягивания петли. Дренажная трубка была заведена в полость кисты на глубину около 10 см до исчезновения отверстий. Назобилиарный катетер был выведен через носовой ход и фиксирован к крылу носа. Течение послеоперационного периода гладкое. Объем отделяемого из кисты в 1-е сутки после операции составил 70 мл. Пациент находился в госпитале на протяжении 10 дней. Болевой синдром полностью исчез. Ультразвуковое сканирование обнаружило полное спадение кисты. К моменту выписки объем отделяемого из кисты уменьшился до 10 мл в сутки. Уровень амилазы крови составил 432 Ед/л, липазы — 60 Ед/л, амилазы мочи — 2120 Ед/л. В ходе амбулаторного наблюдения через 30 дней после операции ультразвуковое исследование показало, что выделение патологического содержимого из кисты прекратилось, признаки деформации поджелудочной железы отсутствуют. Биохимический анализ показал значительное снижение концентрации амилазы в крови до 130 мкмоль/л и до 145 Ед/л в моче. Катетер был удален. Дальнейшее наблюдение за больным в течение 18 мес показало нормализацию концентрации в крови амилазы и отсутствие признаков рецидива.
Дискуссия
ППК у детей являются обычно следствием тупой травмы живота и встречаются в 56% случаев всех повреждений поджелудочной железы [5, 6]. Многие из них исчезают спонтанно на фоне консервативного лечения. Размер кисты может быть предиктором исхода этого состояния. Так, если размер ППК меньше 4 см, то они исчезают в 90% случаев, в то время как кисты размером 6 см и более регрессируют только у 20% больных [7].
В литературе сведения о применении эндоскопического дренирования у детей единичны, сообщается не более чем о 30 таких пациентах. В исследовании I. Patty и соавт. [15] были представлены пациенты в возрасте 11, 3 и 2,5 года, которые имели ППК диаметром соответственно 11, 9 и 7 см. Эндоскопическое стентирование привело к полному исчезновению кистозных образований поджелудочной железы через 6—8 нед. В 2008 г. S. Sharma [16] сообщил о 9 пациентах с ППК, которым было выполнено эндоскопическое дренирование. У 8 пациентов применена цистогастростомия, у 1 пациента — цистодуоденостомия. При наблюдении на протяжении от 2 до 10 лет признаков рецидива не обнаружено.
Самые важные предпосылки для достижения успешного результата эндоскопического дренирования — это расположение кисты в прямом контакте со стенкой желудка или двенадцатиперстной кишки, видимая выпуклость в полости желудка и толщина стенки кисты менее 1 см [12, 17]. Осложнения эндоскопического дренирования ППК включают кровотечение, перфорацию стенки кишки, рецидив, окклюзию стента, его смещение в желудок, инфицирование полости ППК и рецидив [6]. В случае неудачи при установке внутреннего стента можно использовать наружный катетер с конфигурацией кончика в виде pig-tail, чтобы избежать его смещение из полости кисты [18].
Сравнительные исследования различных методов лечения ППК малочисленны. В современном метаанализе [19], относящемся к лечению кистозных скоплений жидкости в поджелудочной железе, продемонстрированы результаты одного крупного национального исследования, которые показали снижение летальности и осложнений при использовании хирургического лечения по сравнению с чрескожным подходом. Три других исследования сообщили о сопоставимых результатах клинической эффективности эндоскопического стентирования и хирургического дренирования. При этом внутреннее дренирование под ультразвуковым контролем уменьшало длительность пребывания пациентов в госпитале и стоимость лечения.
Заключение
Описание двух клинических случаев успешного дренирования панкреатических кист у детей, представленное в исследовании, демонстрирует, что эндоскопическое дренирование под ультразвуковым наведением является эффективным и безопасным методом лечения ППК.
Авторы заявляют об отсутствии конфликта интересов.
Сведения об авторах
Неустроев Владимир Геннадьевич — к.м.н., заведующий отделом эндоскопии Иркутского областного клинического консультативно-диагностического центра
Вебер Ирина Николаевна — доцент кафедры педиатрии ГБОУ ВПО ИГМУ
Латыпов Вячеслав Хамзиевич — заведующий операционным блоком экстренной и плановой хирургии ОГАУЗ ИМДКБ Иркутска
Чубко Давид Марленович — заведующий отделением детской хирургии КГБУЗ «Красноярский краевой клинический центр материнства и детства»
Тимофеев Андрей Дмитриевич — ординатор курса детской хирургии факультета повышения квалификации специалистов ГБОУ ВПО ИГМУ;
Сложная операция удаления кистозной опухоли поджелудочной железы проведена в НМИЦ хирургии имени А.В. Вишневского

Кистозные опухоли поджелудочной железы - относительно редкие заболевания. Их диагностика предусматривает наличие квалификации, которая приобретается при большом количестве наблюдений. Хирургическое лечение таких опухолей требует не только хороших теоретических знаний и мануальных навыков, но и большого опыта выполнения специфичных операций.
Пациент, диагноз
Пациентка 50 лет. Муцинозная цистаденома тела-хвоста поджелудочной железы.
Суть вмешательства
Корпорокаудальная резекция поджелудочной железы, спленэктомия, резекция левого надпочечника
Как развивались события
В 1994 году у пациентки было обнаружено кистозное образование хвоста поджелудочной железы диаметром 23 мм, которое трактовалось как постнекротическая киста поджелудочной железы. В 2007 году контрольное обследование выявило увеличение новообразования до 80 мм. Была выполнена цистоеюностомия «бок в бок»; энтероэнтеростомия «конец в бок» по Ру (наложение анастомоза); дренирование подпеченочного пространства. Гистологическое исследование ткани стенки «кисты» проведено не было.
В 2019 году при МРТ органов брюшной полости в хвосте поджелудочной железы обнаружена многокамерная опухоль 140х70 мм. В итоге пациентка поступила в НМИЦ хирургии им. А.В. Вишневского, где в отделении лучевой диагностики был поставлен окончательный диагноз: муцинозная цистаденома тела-хвоста поджелудочной железы.
Как принималось решение
За годы после предыдущего хирургического вмешательства из-за роста опухоли произошли серьезные анатомические изменения в соотношении сосудов, был оттеснен чревный ствол, селезеночная артерия. Внешние проявления соответствовали тому, что наблюдается при перерождении доброкачественного образования в карциному, поэтому было принято единственно возможное решение - оперировать с соблюдением онкологических принципов.
Риски и особенности ситуации
Существенные изменения ангиоархитектоники подразумевали сложности при выделении ветвей чревного ствола. Это создавало опасность возникновения интенсивного интраоперационного кровотечения.
Комментарий хирурга
Д.м.н., профессор Андрей Германович Кригер, заведующий отделением абдоминальной хирургии НМИЦ хирургии им. А.В. Вишневского:
«Непростой случай. Большой размер опухоли, перенесенное вмешательство, изменения анатомии. Опухоль «сидит» верхом на сосудах, они сзади, ты работаешь спереди, сместить ее невозможно. Как подойти к сосудам? Чуть ошибся - фонтанирующее кровотечение. А ты его не можешь остановить, потому что опухоль закрывает поле зрения и источника не видно. К нашей радости, ничего не случилось. Операция прошла нормально, образование оказалось доброкачественным, послеоперационный период протекал без осложнений.
Кистозные опухоли поджелудочной железы - серозная цистаденома и муцинозная цистаденома - с одной стороны, ярко манифестируют себя при лучевых методах диагностики, но клинически чаще всего протекают бессимптомно. Серозная цистаденома практически не подлежит хирургическому лечению независимо от ее размеров. Муцинозная цистаденома (предраковое заболевание) требует хирургического вмешательства.
Тактические решения, которые принимаются хирургами при той и другой опухоли, к сожалению, достаточно часто бывают ошибочными.
Проблема в том, что на этапе диагностики нередки случаи, когда муцинозная цистаденома трактуется рентгенологами как постнекротическая киста. Как следствие, выполняется либо наружное дренирование под контролем ультразвука, либо наложение цистоэнтероанастомоза, и кистозная опухоль анастамозируется с кишкой. В итоге (как произошло и с нашей пациенткой) опухоль продолжает неуклонно увеличиваться в размерах, и появляется риск ее перерождения в карциному с отдаленным метастазированием и всеми последующими печальными событиями.
Какие выводы? Прежде всего, хирурги и рентгенологи обязательно должны читать специальную литературу. У нас недавно вышло руководство, посвященное кистозным опухолям («Диагностика и хирургическое лечение кистозных опухолей поджелудочной железы». Методическое руководство под редакцией А.Г. Кригера и Г.Г. Кармазановского, 2019), сейчас выходит второе - по нейроэндокринным опухолям.
Здесь хорошо описано, как выглядит муцинозная цистаденома, - ее довольно сложно трактовать как постнекротическую кисту. Кроме того, постнекротическая киста может образоваться только на фоне перенесенного острого панкреатита, и об этом должен помнить каждый клиницист. Если у пациента в анамнезе нет острого панкреатита, то и постнекротическая киста исключена.
Надо учитывать еще, что процент осложнений после резекционных операций на поджелудочной железе составляет около 30. Такова специфика этой хирургии. При этом количество осложнений и летальность меньше там, где больше операций. Существует термин - «клиника большого объема», означающий, что в отделении делается не менее 50 операций в год. У нас в отделении абдоминальной хирургии Центра имени Вишневского проводится 150 таких операций в год. Больные с опухолями поджелудочной железы, хроническим панкреатитом должны оперироваться только в специализированных центрах».
Киста поджелудочной железы
Киста поджелудочной железы - ограниченное стенками образование в паренхиме органа, заполненное жидкостным содержимым, которое развивается вследствие травматического или воспалительного повреждения поджелудочной железы. Симптомы зависят от размеров, локализации и причины формирования кисты и варьируют от ощущения дискомфорта до выраженного болевого синдрома, сдавления соседних органов. Для оценки размеров, расположения кисты, ее связи с протоковым аппаратом и выбора тактики лечения проводится УЗИ, КТ, МРТ поджелудочной железы, ЭРХПГ. Лечение хирургическое: внутреннее или наружное дренирование, реже - резекция части железы с кистой.
МКБ-10

Общие сведения
Киста поджелудочной железы - патология, распространенность которой в последние годы увеличилась в несколько раз, причем страдают преимущественно лица молодого возраста. Гастроэнтерологи причину этого видят в росте заболеваемости острыми и хроническими панкреатитами различной этиологии (алкогольной, билиарной, травматической). Киста поджелудочной железы является наиболее распространенным осложнением хронического панкреатита (до 80% случаев). Сложность данной патологии заключается в отсутствии единого представления о том, какие именно образования следует относить к панкреатическим кистам, общей классификации, отражающей этиологию и патогенез, а также стандартов оказания медицинской помощи.
Некоторые авторы к кистам поджелудочной железы относят образования, имеющие ограниченные стенки и заполненные панкреатическим соком, другие специалисты считают, что содержимым кисты может быть также некротизированная паренхима органа, кровь, воспалительный экссудат или гной. В любом случае, мнения сходятся в том, что для формирования кисты поджелудочной железы непременно должны быть следующие условия: повреждение паренхимы органа, затруднение оттока панкреатического секрета, а также локальное нарушение микроциркуляции.
Причины
Наиболее частая причина развития кист поджелудочной железы - панкреатиты. Острое воспаление поджелудочной железы осложняется развитием кист в 5-20% случаев, при этом полость обычно формируется на третьей - четвертой неделе заболевания. При хроническом панкреатите постнекротические кисты поджелудочной железы образуются в 40-75% случаев. Чаще всего основным этиологическим фактором является алкогольная болезнь. Реже кисты образуются после травм поджелудочной железы, а также вследствие желчнокаменной болезни с нарушением оттока панкреатического сока, обструктивного хронического панкреатита с нарушением оттока по вирсунгову протоку, опухолей большого дуоденального соска, рубцового стеноза сфинктера Одди.
Формирование кисты поджелудочной железы при панкреатите происходит следующим образом. Повреждение ткани органа сопровождается локальным скоплением нейтрофилов и лимфоцитов, деструктивными процессами и воспалением. При этом область повреждения отграничена от окружающей паренхимы. В ней происходит разрастание соединительной ткани, формируются грануляции; тканевые элементы внутри очага постепенно разрушаются иммунными клетками, и на этом месте остается полость. Если киста поджелудочной железы сообщается с протоковой системой органа, в ней накапливается панкреатический сок, также возможно скопление тканевых некротических элементов, воспалительного экссудата, а при повреждении сосудов - крови.
При нарушении пассажа по общему панкреатическому протоку формируются кисты поджелудочной железы, имеющие эпителиальную выстилку, внутри которых накапливается панкреатический сок. Ключевым патогенетическим механизмом их образования является внутрипротоковая гипертензия. Доказано, что внутри полости кисты давление может в три раза превышать нормальные показатели внутри протоков.
Классификация
Условно все кисты поджелудочной железы по морфологическим признакам подразделяют на два типа: сформированные вследствие воспалительного процесса и не имеющие эпителиальной выстилки (некоторые авторы называют такие образования псевдокистами, другие не выделяют в отдельную группу) и образованные при обструкции протоков и имеющие эпителий (ретенционные).
Для характеристики кист поджелудочной железы, образовавшихся как осложнение острого панкреатита, наиболее часто используется Атлантская классификация, согласно которой выделяют острые, подострые жидкостные образования и абсцесс поджелудочной железы. Остро развившиеся образования не имеют окончательно сформированных собственных стенок, в их роли могут выступать как паренхима железы, так и протоки, парапанкреатическая клетчатка, даже стенки соседних органов. Хронические кисты поджелудочной железы характеризуются уже сформировавшимися из фиброзной и грануляционной ткани стенками. Абсцесс - это заполненная гноем полость, образовавшаяся при панкреонекрозе или нагноении кисты.
В зависимости от локализации различают кисты головки, тела и хвоста поджелудочной железы. Выделяют также неосложненные и осложненные (перфорацией, нагноением, свищами, кровотечением, перитонитом, малигнизацией) панкреатические кисты.
Симптомы кисты поджелудочной железы
Клиническая картина при наличии кисты поджелудочной железы может существенно отличаться в зависимости от размера, расположения образования, причины его формирования. Довольно часто панкреатические кисты не вызывают симптоматики: полости диаметром до 5 сантиметров не сдавливают соседние органы, нервные сплетения, поэтому пациенты не испытывают дискомфорта. При крупных кистах основным признаком является болевой синдром. Характерный симптом - «светлый промежуток» (временное улучшение клинической картины после острого панкреатита или травмы).
Наиболее интенсивная боль наблюдается в период формирования псевдокисты при остром панкреатите или обострении хронического, поскольку имеют место выраженные деструктивные явления. Со временем интенсивность болевого синдрома снижается, боль становится тупой, может остаться только ощущение дискомфорта, которое в сочетании с анамнестическими данными (перенесенная травма или панкреатит) позволяет заподозрить заболевание. Иногда на фоне такой скудной симптоматики развиваются болевые приступы, причиной которых является внутрипротоковая гипертензия. Резкая выраженная боль может свидетельствовать также о разрыве кисты, постепенное усиление боли на фоне повышения температуры тела и явлений интоксикации - о ее нагноении.
Существенно отличаются симптомы кисты поджелудочной железы, если она сдавливает солнечное сплетение. При этом пациенты испытывают постоянную выраженную жгучую боль, иррадиирующую в спину, которая может усиливаться даже от сдавления одеждой. Состояние облегчается в коленно-локтевом положении, боль купируется только наркотическими анальгетиками.
Симптомами кисты поджелудочной железы могут быть и диспепсические явления: тошнота, иногда - рвота (ею может заканчиваться приступ боли), неустойчивость стула. В результате снижения экзокринной функции органа нарушается всасывание в кишечнике питательных веществ, снижается вес.
Для данной патологии характерен синдром сдавления соседних органов: если киста находится в области головки железы - возможна механическая желтуха (иктеричность кожи и склер, кожный зуд); при сдавлении воротной вены развиваются отеки на нижних конечностях; если образование нарушает отток мочи по мочеточникам, характерна задержка мочеиспускания. Редко крупные панкреатические кисты сдавливают просвет кишечника, в таких случаях может развиться неполная кишечная непроходимость.
Диагностика кисты поджелудочной железы
Консультация гастроэнтеролога при подозрении на панкреатическую кисту позволяет выявить характерные жалобы пациента, анамнестические данные. При осмотре живота возможна его асимметрия - выпячивание в области расположения образования. При проведении лабораторных анализов обычно специфических изменений нет, возможен незначительный лейкоцитоз, увеличение СОЭ, в некоторых случаях - повышение уровня билирубина и активности щелочной фосфатазы. Концентрация ферментов поджелудочной железы зависит не столько от наличия кисты, сколько от стадии панкреатита и степени повреждения железы. Примерно в 5% случаев нарушается эндокринная функция панкреас и развивается вторичный сахарный диабет.
Высокоинформативны инструментальные методы визуализации кисты. УЗИ поджелудочной железы позволяет оценить размеры образования, а также косвенные признаки осложнений: в случае нагноения определяется неравномерность эхосигнала на фоне полости, при малигнизации - неоднородность контуров. Компьютерная томография и магнитно-резонансная томография (МРТ поджелудочной железы) дают более детальную информацию о размерах, расположении кисты, наличии ее связи с протоками. В качестве вспомогательного метода может применяться сцинтиграфия, при которой киста определяется как «холодная зона» на фоне общей паренхимы органа.
Особое место в диагностике кисты поджелудочной железы отводится эндоскопической ретроградной холангиопанкреатографии (ЭРХПГ). Данная методика дает детальную информацию о связи кисты с протоками железы, что определяет тактику лечения, однако при проведении обследования существует высокий риск инфицирования. Поэтому в настоящее время ЭРХПГ проводится исключительно при решенном вопросе о хирургическом лечении с целью выбора способа операции.
Лечение кисты поджелудочной железы
Лечение кисты поджелудочной железы хирургическое. Не существует единой тактики ведения пациентов с этим заболеванием, и выбор операции зависит от причин формировании кисты, ее размеров, морфофункциональных изменений ткани органа, а также состояния протоковой системы.
Специалисты в области хирургической гастроэнтерологии выделяют три основных направления тактики при кисте поджелудочной железы: ее удаление, внутреннее и наружное дренирование. Удаление образования производится путем резекции части поджелудочной железы вместе с кистой, при этом объем определяется размерами кисты и состоянием паренхимы органа (может быть выполнена резекция головки железы, дистальная, панкреатодуоденальная резекция).
Внутренние дренирующие вмешательства могут проводиться путем наложения анастомоза между кистой и желудком (цистогастростомия), двенадцатиперстной (цистодуоденостомия) или тонкой кишкой (цистоэнтеростомия). Данные методы считаются наиболее физиологичными: они обеспечивают пассаж панкреатического секрета, устраняют болевой синдром, редко приводят к рецидивам.
Наружное дренирование кисты применяется реже. Такое вмешательство показано при нагноении полости, несформировавшихся кистах, обильной васкуляризации образования, а также тяжелом общем состоянии пациента. Подобные операции являются паллиативными, поскольку существует риск нагноения и рецидивирования кисты, формирования панкреатических свищей, которые очень плохо поддаются консервативному лечению и иногда требуют проведения технически намного более сложных вмешательств. Любой вид дренирующих операций проводится только после подтверждения неопухолевой этиологии образования.
В последнее время все большую распространенность приобретают малоинвазивные дренирующие оперативные вмешательства, которые используются как альтернативное лечение. Однако, несмотря на малую инвазивность и теоретическую перспективность таких методов лечения, очень часто развиваются осложнения в виде формирования наружных панкреатических свищей, сепсиса.
Консервативная терапия при кисте поджелудочной железы определяется основным заболеванием. В случае панкреатита обязательно назначается диета, направленная на максимальное снижение панкреатической секреции. Применяются замещающие препараты, анальгетики, проводится контроль уровня гликемии, при необходимости - ее коррекция.
Прогноз и профилактика кисты поджелудочной железы
Прогноз при кисте поджелудочной железы зависит от причины заболевания, своевременности диагностики и хирургического лечения. Данная патология характеризуется высокой частотой осложнений - от 10 до 52% всех случаев сопровождаются нагноением, перфорацией, образованием свищей, озлокачествлением или внутрибрюшным кровотечением. Даже после хирургического лечения существует риск рецидивирования. Профилактика кист поджелудочной железы заключается в отказе от алкоголя, своевременном адекватном лечении заболеваний желудочно-кишечного тракта (ЖКБ, панкреатитов), рациональном питании.
Цистодуоденостомия. Техника операции цистодуоденостомии при кисте поджелудочной железы.
ГБУЗ Москвы «Научно-исследовательский институт скорой помощи им. Н.В. Склифосовского» Департамента здравоохранения Москвы, Москва, Россия
ГБУЗ «Научно-исследовательский институт скорой помощи им. Н.В. Склифосовского» Департамента здравоохранения Москвы, Москва, Россия;
ФГБОУ ДПО «Российская медицинская академия непрерывного профессионального образования», Москва, Россия
- SPIN РИНЦ: 4044-9661
- Scopus AuthorID: 55970485700
- ResearcherID: P-9151-2017
- ORCID: 0000-0003-1270-5414
Первый опыт эндоскопического лечения кистозных образований поджелудочной железы доброкачественного генеза
В статье представлен первый опыт применения эндоскопического метода лечения 23 пациентов с кистозными образованиями поджелудочной железы доброкачественного генеза. Цель исследования — оценить результаты эндоскопического цистогастро- и цистодуоденального стентирования при кистозных образованиях поджелудочной железы доброкачественного генеза. Материал и методы. Пролечены 23 пациента с острым панкреатитом и псевдокистой поджелудочной железы. Всем пациентам при поступлении выполнено ультразвуковое исследование (УЗИ), результаты которого позволили выявить кистозные образования поджелудочной железы, что явилось показанием к наложению цистогастроанастомоза. Пациентам в зависимости от расположения псевдокисты поджелудочной железы через желудок или двенадцатиперстную кишку в полость кисты вводили цистотом и выполняли аспирацию содержимого, после чего под рентгенологическим контролем производили контрастирование с целью определения ее точных размеров и герметичности, наличия связи с внутрипротоковой системой поджелудочной железы. Затем устанавливали пластиковый или металлический стент и проводили визуальный осмотр. Сразу после манипуляции выполняли рентгенографию органов брюшной полости с целью установления наличия или отсутствия свободного газа. После наложения цистогастроанастамоза на 2-е и 7-е сутки после операции проводили контроль с применением эндоскопической ультрасонографии для оценки адекватности дренирования псевдокисты. При неадекватном дренировании выполняли цистоназальное дренирование с использованием назобилиарного дренажа и последующей ежедневной санацией кисты. Результаты. Применение эндоскопического метода дренирования псевдокист под контролем эндоскопической ультрасонографии позволило достигнуть полного регресса полости кисты у 81,8% пациентов и уменьшения полости кисты более чем в 2 раза — у 18,2%. Выводы. Доказана высокая эффективность эндоскопического метода дренирования псевдокист под контролем эндоскопической ультрасонографии. Данный метод отличается малоинвазивностью, минимальным риском развития послеоперационных осложнений и летальности, коротким послеоперационным периодом по сравнению с оперативными вмешательствами, выполняемыми с применением лапаротомного или лапароскопического доступов.
В структуре острых хирургических заболеваний органов брюшной полости острый панкреатит (ОП) занимает 3-е место, составляя от 4,5 до 10% [1—7]. Отмечено, что заболеваемость ОП не имеет тенденции к снижению, а летальность с 1990 по 2015 г. возросла на 62% [8].
Деструктивные формы ОП в ранние сроки осложняются парапанкреатическим инфильтратом или абсцессом, перитонитом или флегмоной забрюшинной клетчатки. К поздним осложнениям относятся псевдокисты (ПК), частота выявления которых составляет от 0,1 до 1 случая на 100 000 взрослого населения в год [9, 10]. У мужчин в 57—84% случаев развитие ОП с исходом в ПК поджелудочной железы (ПЖ) связано со злоупотреблением алкоголем [11]. У женщин наиболее частым этиологическим фактором является желчнокаменная болезнь, которая встречается в 31—65% случаев [12]. На 2-м месте по частоте образования кист как у мужчин, так и у женщин находится травматический панкреатит, при котором псевдокисты формируются в 10—20% случаев [13].
Остается актуальной проблема выбора срока, объема и вида оперативного вмешательства. Приоритетные параметры для решения о хирургическом лечении следующие: 1) локализация и размеры ПК; 2) «зрелость» стенок ПК; 3) взаимосвязь с протоковой системой ПЖ [14—16]. На сегодняшний день широко используются различные варианты резекционных и дренирующих операций с лапаротомным или лапароскопическим доступом [15, 16]. При этом длительность стационарного лечения достигает 28 дней. В 15—29% наблюдений оперативное лечение сопровождается осложнениями, летальность достигает 17% [17—19].
Впервые эндоскопическое чрезжелудочное дренирование ПК с аспирацией содержимого выполнено в 1975 г. Эта операция заключалась в опорожнении кисты в просвет желудка. Попадание желудочного сока привело к инфицированию и нагноению ПК, а также к быстрой облитерации цистогастроанастомоза [16]. Это послужило поводом к разработке метода цистоназального дренирования ПК с аспирацией содержимого и ее санацией [20]. Наиболее перспективным методом является формирование эндоскопического цистогастроанастомоза с использованием синтетических стентов, предотвращающих быструю облитерацию соустья [21—23].
Цель исследования — оценить результаты эндоскопического цистогастро- и цистодуоденального стентирования при кистозных образованиях поджелудочной железы доброкачественного генеза.
С ноября 2011 г. по декабрь 2018 г. в Научно-исследовательском институте скорой помощи им. Н.В. Склифосовского пролечены 23 пациента (20 (87%) мужчин и 3 (13%) женщины, средний возраст составил 52 года (39; 59 лет)) с ОП и развитием ПК П.Ж. Выполнено эндоскопическое дренирование ПК.
Диагноз ПК ПЖ установлен на основании анамнеза и трансабдоминального ультразвукового исследования (УЗИ), эндоскопической ультрасонографии (ЭУС) и компьютерной томографии (КТ). Для оценки сроков образования ПК использовали классификацию J. Howard и J. Jordar (1960), модифицированную J. Berk и W. Haubrich (1965), согласно которой все ПК делятся на острые — до 90 сут, подострые — от 91 до 180 сут и хронические — более 181 сут [7].
Размер и локализацию ПК устанавливали по данным УЗИ и К.Т. Все П.К. разделили в зависимости от размера на гигантские — более 15,1 см, большие — от 10,1 до 15 см, средние — от 5,1 до 10 см, малые — менее 5 см. Кроме этого, определяли их локализацию в П.Ж. При наличии нескольких кист учитывали локализацию наибольшей из них.
Для эндоскопического дренирования ПК под контролем ЭУС использовали ультразвуковую эндоскопическую систему Exera II и конвексный эхоэндоскоп Olympus GF-UCT140 («Olympus Corporation», Япония), рентгеновскую установку («Ziehm Imaging», Германия), цистотом («Соок Medical», США, Дания, Ирландия), струну диаметром 9 мм («Olympus Corporation», Япония), пластиковые стенты типа Pig Tail («Olympus Corporation», Япония), металлические саморасширяющиеся стенты Endostars и специальные саморасширяющиеся стенты для дренирования кист ПЖ HANAROSTENT («M.I. Tech Co. Ltd.», Республика Корея).
Вмешательство выполняли под общей анестезией в положении больного на спине. При осмотре желудка или двенадцатиперстной кишки выявляли выбухание их стенок за счет сдавления извне. При ЭУС определяли расстояние между стенками и выявляли бессосудистую область для безопасной установки стента. Применение ЭУС позволило выбрать точку дренирования ПК, которая у 20 (87%) пациентов локализовалась в желудке, у 3 (13%) — в двенадцатиперстной кишке. Через намеченную точку выполняли гастроцистостомию или дуоденоцистостомию. Аспирировали содержимое и контрастировали ПК для определения ее точных размеров, герметичности и связи с протоковой системой ПЖ. В просвет кисты по каналу цистостомы заводили струну, по которой устанавливали пластиковый или металлический стент. Инструменты извлекали и проводили визуальный осмотр стента. Выполняли рентгеноскопию для оценки размеров полости. При выявлении связи ПК с протоковой системой ПЖ проводили эндоскопическую ретроградную панкреатикографию, вирсунготомию и стентирование главного панкреатического протока пластиковым стентом длиной 6 см, диаметром 5 °F.
После операции выполняли рентгенографию брюшной полости с целью установления наличия или отсутствия свободного газа. На 2-е и 7-е сутки после операции проводили УЗИ.
В послеоперационном периоде всем пациентам внутривенно вводили цефтриаксон 1,0 г 2 раза в сут или метронидазол 500 мг 3 раза в сут в течение 7 дней; внутривенно вводили 0,9% раствор хлорида натрия по 500 мл 2 раза в сутки в течение 3 дней. В качестве антисекреторной терапии применяли омепразол 20 мг 2 раза в сут в течение 7 дней. Проводили спазмолитическую терапию — дротаверин 40 мг внутримышечно 2 раза в сут в течение 7 дней. Для купирования болевого синдрома использовали трамадол — 50 мг или тримеперидин — 10 мг.
Эффективность эндоскопической операции оценивали по изменению объема полости кисты по данным УЗИ или К.Т. При невозможности адекватного дренирования ПК пластиковым стентом под рентгенологическим контролем устанавливали саморасширяющийся стент и назобилиарный дренаж диаметром 7 °F с последующей ежедневной санацией полости ПК.
Для оценки хирургических осложнений применяли классификацию хирургических осложнений Clavien—Dindo (2004).
Результаты и обсуждение
Причиной ОП с развитием ПК у 15 (65,2%) пациентов явилась желчнокаменная болезнь, у 7 (30,5%) — злоупотребление алкоголем, у 1 (4,3%) — перенесенная операция резекция хвоста ПЖ по поводу цистаденомы. Средний срок повторного обращения после перенесенного панкреонекроза составил в среднем 315 (135; 720) дней. При этом острые формы ПК выявлены у 3 (13%) пациентов, подострые — у 4 (17,4%), хронические — у 16 (69,6%), что свидетельствует о рецидивирующем течении О.П. Гигантские П.К. при УЗИ были выявлены у 3 (13%) больных, большие — у 5 (21,7%), средние — у 14 (60,9%), малые — у 1 (4,4%). У всех пациентов с гигантскими ПК имело место сдавление антрального отдела желудка и двенадцатиперстной кишки, что приводило к сочетанию болевого синдрома с нарушением эвакуации из желудка.

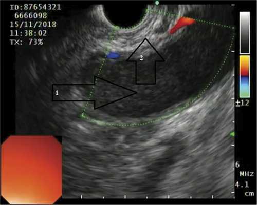
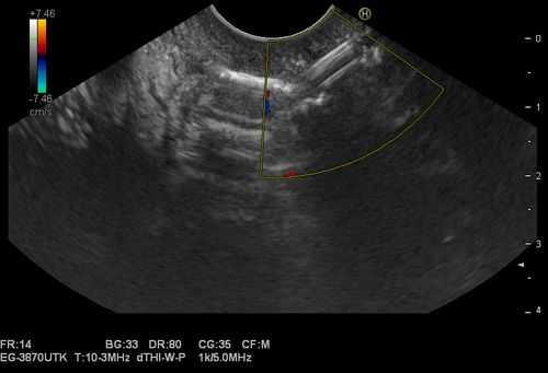
ПК локализовались в теле ПЖ у 7 (30,4%) пациентов, в хвосте ПЖ — у 7 (30,4%), в головке ПЖ — у 6 (26,2%) (рис. 1). Рис. 1. Псевдокиста головки поджелудочной железы (изображение при ультразвуковом исследовании). Стрелками указаны полость псевдокисты (1), бессосудистая зона (2). The arrows indicate pseudocyst cavity (1), avascular zone (2). У 3 (1%) больных имело место сочетанное расположение ПК в головке и теле ПЖ.

Пластиковые стенты применяли при наличии «зрелой» фиброзной капсулы толщиной от 3 до 9 мм и однородном содержимом кисты. Металлические саморасширяющиеся стенты устанавливали в отсутствие капсулы, при инфицированном содержимом и наличии секвестров (рис. 2). Рис. 2. Состояние после цистогастростомии. а — саморасширяющийся стент в просвете инфицированной кисты указан стрелкой (изображение получено при эндоскопической ультрасонографии); б — саморасширяющийся стент в просвете инфицированной кисты указан стрелкой 2 (по данным рентгенографии); в — пластиковый стент в просвете неинфицированной кисты указан стрелкой (изображение получено при эндоскопической ультрасонографии); г — пластиковый стент в просвете неинфицированной кисты указан стрелками (по данным рентгенографии). a — self-expanding stent inside infected cyst is indicated by the arrow 2 (us); b — self-expanding stent inside infected cyst is indicated by the arrow 2 (X-ray); c — plastic stent inside sterile cyst is indicated by the arrow (us); d — plastic stent inside sterile cyst is indicated by the arrows (X-ray).

После эндоскопической цистогастростомии у 8 (34,7%) больных отмечен умеренный болевой синдром в верхних отделах живота, у 6 (26,1%) — сочетание болевого и диспепсического синдромов, у 4 (17,4%) — выраженный болевой синдром, у 3 (13%) — подъемы температуры тела до субфебрильных цифр. Не предъявляли никаких жалоб 2 (8,7%) больных. Точка доступа для эндоскопического дренирования зависела от локализации ПК: при ее расположении в хвосте оптимальными областями для стентирования были тело желудка (56,5%) и задняя стенка антрального отдела желудка (21,7%), а при ее расположении в головке — двенадцатиперстная кишка (13,1%) (см. таблицу). Локализация цистостомы в желудке и двенадцатиперстной кишке (n=23) Примечание. Данные представлены в виде абсолютных и производных (%) величин.
Серозно-геморрагическое содержимое ПК было у 20 (85%) больных, в связи с этим им были установлены пластиковые стенты, а гнойное содержимое — у 3 (15%), что явилось показанием для применения саморасширяющихся стентов.
Связь ПК с протоковой системой ПЖ имелась у 2 (8,7%) пациентов, что явилось показанием к стентированию главного панкреатического протока. На момент выписки по данным УЗИ жидкостные образования в тканях ПЖ у пациентов отсутствовали, а полость кисты не определялась.
Выраженный болевой синдром после цистогастростомии отметили у 4 (17,4%) пациентов в 1-е сутки. При рентгеноскопии в брюшной полости выявлен свободный газ. На фоне консервативной терапии болевой синдром купирован. При УЗИ выявлено минимальное количество жидкости в брюшной полости у 2 больных. При УЗИ на 3-и и 4-е сутки жидкость в брюшной полости отсутствовала, полость ПК не определялась.
При попытке эндоскопической цистогастростомии у 1 (4,3%) пациента отмечено большое количество свободного газа в брюшной полости. При ЭУС выявлено разобщение стенок желудка и ПК, что явилось показанием к конверсии и хирургическому наложению цистогастроанастомоза.

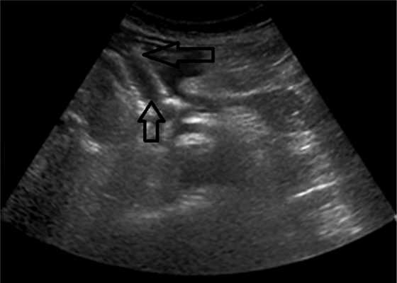
Контрольное УЗИ, выполненное перед выпиской, выявило отсутствие жидкостного образования у 18 (81,9%) пациентов, у 4 (18,2%) — уменьшение полости ПК более чем в 2 раза (рис. 3). Рис. 3. Стент в области головки поджелудочной железы, полость отсутствует, стрелками указаны края стента (изображение при ультразвуковом исследовании).
Таким образом, осложнения возникли у 5 (21,7%) из 23 больных, у 4 из них отмечали хирургические осложнения I степени и в 1 наблюдении — IIIb степени.
Ведущую роль в диагностике ПК играет УЗИ, которое у всех пациентов позволило обнаружить кистозное образование, оценить его размеры, локализацию, толщину капсулы. Для выявления бессосудистой области, необходимой для безопасной установки стента, использовали ЭУС. Для уточнения связи с протоковой системой ПЖ применяли эндоскопическую ретрограднаю панкреатографию. КТ применили у 3 больных, если данные УЗИ не позволяли оценить связь ПК с окружающими органами.
При наличии сформированной фиброзной капсулы и однородном жидкостном содержимом кисты выполняли установку пластиковых стентов. Отсутствие капсулы свидетельствует о наличии острого жидкостного скопления, которое нельзя дренировать через желудок. При выявлении секвестров, признаков инфицирования содержимого и в отсутствие капсулы при минимальной длине анастомоза (менее 1 см) устанавливали металлический саморасширяющийся стент.
После аспирации содержимого из ПК выполняли бактериологическое исследование, а также биохимическое исследование для определения уровня амилазы. Это позволило подтвердить инфицирование ПК и при необходимости скорректировать антибактериальную терапию, а также оценить связь ПК с протоковой системой ПЖ.
Всем пациентам после эндоскопического оперативного вмешательства рекомендовано проведение рентгенологического исследования органов брюшной полости с целью установления наличия или отсутствия свободного газа. Как показал наш опыт, после вмешательства наличие свободного газа у 8,7% пациентов не явилось показанием к обязательной конверсии, достаточно было динамического наблюдения.
Выполнение повторных УЗИ в фиксированные сроки позволяет оценить динамику изменения размеров П.К. Таким образом, предложенная лечебная тактика показала эффективность данного метода лечения ПК, однако малое число наблюдений является поводом для дальнейшего продолжения исследования.
Полученные данные имеют ограниченную © степень статистической значимости и IV уровень доказательности публикации (по классификации степени достоверности публикаций Оксфордского центра доказательной медицины).
Эндоскопическое дренирование псевдокист поджелудочной железы под контролем эндоскопической ультрасонографии является высокоэффективным методом лечения: у 81,8% пациентов достигнут полный регресс полости, у 18,2% отмечено ее уменьшение более чем в 2 раза. Эндоскопическая цистогастростомия (цистодуоденостомия) является эффективным методом лечения с минимальным риском послеоперационных осложнений: конверсия потребовалась лишь у 1 (4,3%) больного. При острой псевдокисте показана установка саморасширяющегося стента, что позволяет выполнять программную санацию полости псевдокисты и проводить цистоназальное дренирование. При хронической псевдокисте рекомендуется устанавливать пластиковый стент, этого достаточно для адекватного дренирования ПК.
Дренирование сложной кисты поджелудочной железы под контролем эндосонографии

Псевдокисты поджелудочной железы представляют собой скопления жидкости в участках расплавления тканей органа. Наиболее часто они развиваются в результате хронического панкреатита, но могут стать следствием острого панкреатита, травмы поджелудочной железы и хирургических вмешательств.
Пациент, диагноз
Пациент 52 лет. Постнекротическая киста поджелудочной железы. Хронический рецидивирующий панкреатит.

Рис. 1

Рис. 2
Пациент был направлен в хирургическое эндоскопическое отделение НМИЦ хирургии им. А.В. Вишневского с целью решения вопроса о дальнейшей тактике лечения.
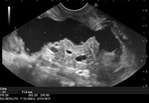
При эндосонографии (эндоУЗИ) в области головки поджелудочной железы визуализировано анэхогенное образование с четкими неровными контурами неправильной продольной формы, размерами 3,1х10 cм, прилежащее к воротной вене - постнекротическая киста с преимущественно внеорганным расположением (рис. 3).

Рис. 3
Как принималось решение
По результатам обследования было принято решение выполнить операцию с использованием внутрипростветного доступа - эндоскопическое дренирование постнекротической кисты под контролем эндосонографии.
Риски и особенности ситуации
К особенностям ситуации нужно отнести крупный размер и сложную конфигурацию кисты, ее преимущественно внеорганное расположение и близость воротной вены. Для того чтобы оценить пространственное соотношение кисты с прилежащими анатомическими структурами, а также определить наилучшее место для дренирования, была проведена 3D виртуальная компьютерная реконструкция (рис. 4).

Рис. 4
Суть хирургического вмешательства
Использовался эндоскопический доступ из просвета желудочно-кишечного тракта без внешних разрезов - в этом случае операция выполняется через стенку желудка или двенадцатиперстной кишки.
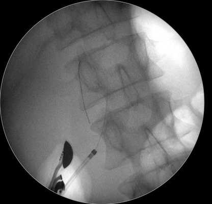
С помощью ультразвуковой навигации определяется безопасная траектория для внутреннего дренирования кисты. В инструментальный канал специального эхо-эндоскопа проводится цистотом, посредством которого формируется соустье между луковицей двенадцатиперстной кишки и просветом кисты (рис. 5 а, б).
Содержимое кисты (жидкость) отправляется на цитологическое, микробиологическое и биохимическое исследования.
Затем под контролем рентгеноскопии в полость кисты вводится струна-проводник для установки пластикового стента (double pigtail) диаметром 10 Fr и длиной 10 см. Осуществляется рентгенологический и ультразвуковой контроль: он подтвердил, что дистальный конец стента располагается в просвете кисты, проксимальный - в луковице двенадцатиперстной кишки (рис. 5 в, рис. 6). При эндоскопическом осмотре оценивается область сформированного соустья для исключения кровотечения (рис. 7).

Рис. 5 (а)

Рис. 5 (б)

Рис. 5 (в)

Рис. 6

Рис. 7
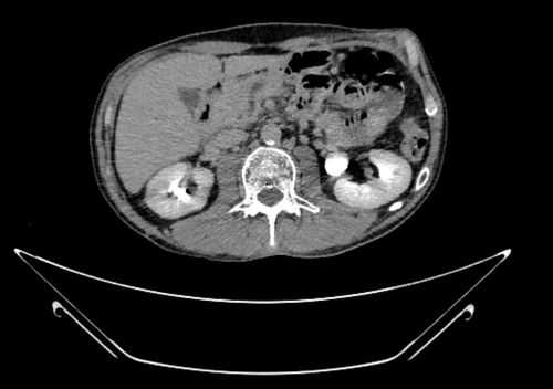
Через 3 месяца после операции при контрольной КТ отмечена полная ликвидация кисты поджелудочной железы (рис. 8). В связи с этим стент, полностью выполнивший свою функцию, был удален.

Рис. 8
Таким образом, использование современной технологии эндоскопического дренирования сложной кисты позволило избежать большого травматичного доступа, минимизировать послеоперационные осложнения и выписать пациента на третий день после операции. (Впервые в нашей стране внутреннее дренирование псевдокисты поджелудочной железы под контролем эндоУЗИ выполнили Ю.Г. Старков и Е.Н. Солодинина в 2010 г. в Институте хирургии им. А.В. Вишневского.)
Комментарий хирурга
Юрий Геннадьевич Старков, доктор медицинских наук, профессор, зав. хирургическим эндоскопическим отделением НМИЦ хирургии им. А.В. Вишневского
Постоянный рост заболеваемости хроническим панкреатитом обусловливает развитие хирургических методов лечения этой категории больных. Существует несколько видов вмешательств, включающих эндоскопическое дренирование, чрескожное дренирование, лапароскопическую и открытую дренирующую операцию.
Среди оперативных вмешательств, выполняемых при таком осложнении хронического панкреатита, как псевдокисты поджелудочной железы, методом выбора является их внутреннее дренирование под контролем эндоУЗИ. Эндоскопическая методика имеет преимущества, поскольку характеризуется меньшим числом серьезных осложнений.
Техника эндоскопического дренирования за последние два десятилетия прошла путь от «слепой пункции» и аспирации содержимого до эндоскопической некрэктомии (удаления нежизнеспособных тканей) и установки специализированных металлических стентов под контролем эндоУЗИ.
Применение эндоУЗИ позволяет надежно контролировать псевдокисту при формировании соустья - это особенно актуально для неконтурирующихся скоплений, на долю которых приходится 42-48% всех псевдокист.
Также к преимуществам эндоУЗИ относят возможность дифференцировать кровеносные сосуды в области пункции, что уменьшает риск кровотечения.
Результаты внутреннего дренирования под контролем эндоУЗИ демонстрируют высокий уровень технического и клинического успеха, низкую частоту осложнений и рецидивов.
Операционная бригада
Операторы - Ю.Г. Старков, С.В. Джантуханова
Ассистенты - Р.Д. Замолодчиков, А.А. Зверева
Анестезиологи - А.Ю. Ершова
Операционная сестра - Н.В. Калашникова
Читайте также:
