Дермоидная киста орбиты: причины, диагностика, лечение
Добавил пользователь Евгений Кузнецов Обновлено: 01.01.2026
Национальный центр офтальмологии им. акад. Зарифы Алиевой Минздрава Азербайджанской Республики, Джавадхана ул., 32/15, Баку, Азербайджанская Республика, AZ1114
Ретроспективный анализ различных признаков дермоидных кист периокулярной области
Журнал: Вестник офтальмологии. 2015;131(6): 16‑19
Цель — оценить роль клинических и радиологических признаков дермоидных кист в постановке достоверного диагноза и выборе метода лечения; выявить главные особенности гистопатологической структуры дермоидных кист. Материал и методы. Проведен ретроспективный анализ результатов клинико-инструментального обследования и лечения 52 пациентов с дермоидными кистами орбиты. Результаты. Больные в основном жаловались на появление безболезненного невоспалительного отека верхнего века соответственно месту локализации кисты. Ни у одного пациента мы не наблюдали появление диплопии, экзофтальма или изменения рефракции. На компьютерной томографии выявлялось образование округлой или овальной формы с четкими и ровными контурами. Заключение. Изучение клинических и радиологических признаков дермоидных кист и полная патогистологическая верификация данного диагноза позволяют нам заключить, что верная интерпретация клинической картины и результатов инструментальных методов исследования может привести к постановке достоверного диагноза до оперативного вмешательства.
Дермоидные кисты являются хористомами, возникающими в результате нарушения дифференцировки эпителиальных структур в местах закрытия эмбриональных щелей. Именно по этой причине в области головы образования чаще происходят из эпидермальных тканей, расположенных подкожно или в области швов костей черепа.
Большинство дермоидных кист клинически проявляются в течение первого десятилетия жизни и составляют приблизительно третью часть опухолей глазницы. По данным J. Shields (1986) и наблюдениям других авторов, дермоидная киста проявляется у детей преимущественно в возрасте до 5 лет [1]. Около 40% больных обращаются к врачу после 18 лет, что подтверждает крайне медленный рост кисты. Однако в пубертатном периоде и во время беременности отмечается ее увеличение.
При видимой локализации в веке наиболее часто киста встречается в верхненаружном квадранте. Дермоидные кисты этой локализации развиваются из лобно-скулового шва, обычно располагаются подкожно и не распространяются в полость орбиты [2, 3]. Исключение составляют котомковидные кисты, которые состоят из трех частей: головки кисты — ампулообразное расширение, наполненное слизистым содержимым, находится за пределами тарзоорбитальной фасции в глубине орбиты; хвоста кисты — располагается в височной ямке; и перешейка — находится в области лобно-скулового шва [4, 5]. При локализации в верхневнутреннем квадранте орбиты киста развивается из носолобного костного шва [6]. Эпителий внутренней стенки кисты секретирует слизистое содержимое с примесью кристаллов холестерина, что придает ему желтоватый оттенок. Могут присутствовать короткие жесткие волосы.
Цель работы — оценить роль клинических и радиологических признаков дермоидных кист в постановке достоверного диагноза и выборе метода лечения; выявить главные особенности гистопатологической структуры дермоидных кист.
Материал и методы
Были обследованы и прооперированы 52 пациента с данной патологией. Исследования проводились на базе отделений патологии зрения у детей и травмы, реконструктивной и пластической хирургии Национального центра офтальмологии им. акад. Зарифы Алиевой. Пациенты были рандомизированы по возрасту и локализации дермоидной кисты. Всем больным было проведено общеофтальмологическое обследование, включающее визометрию (знаковый проектор CCP-3100, «Huvits», Корея), тонометрию (пневмотонометр FT-1000, «Tomey», Япония), биомикроскопию (щелевая лампа TSL-5000, «Tomey», Япония), офтальмоскопию (фундус-линзы 78 дптр, «Ocular», США) и экзофтальмометрию по Гертелю. В целях выявления точной топографической локализации, а также получения информации о структуре опухоли всем пациентам проводилась компьютерная томография (КТ) (аппарат Multislice Presto 4, «Hitachi», Япония).
Всем больным было проведено хирургическое лечение. Патогистологическое исследование операционного материала проводилось на базе Национального центра онкологии им. акад. Зарифы Алиевой методом стандартного окрашивания гематоксилином и эозином.
Результаты и обсуждение
В нашем исследовании большинство пациентов были в возрасте до 15 лет (рис. 1). Клиническая картина зависит от локализации дермоидной кисты (рис. 2).

Рис. 1. Соотношение больных с дермоидной кистой по возрасту.

Рис. 2. Соотношение больных с дермоидной кистой по локализации.
При расположении в наружном отделе орбиты основной жалобой больных было появление безболезненного невоспалительного отека верхнего века соответственно месту локализации кисты. Наблюдалось частичное опущение века с латеральной стороны (рис. 3). Кожа века в этом месте была растянута, но окраска ее не изменена. У больных с дермоидной кистой медиальной стенки орбиты опухоль располагалась в верхневнутреннем квадранте. Киста этой локализации неподвижна и связана с надкостницей (рис. 4). Ни у одного пациента мы не наблюдали появление диплопии, экзофтальма или изменения рефракции. У 3 больных выявлялся болевой симптом, связанный с воспалительным процессом в кисте.

Рис. 3. Фотография больного с дермоидной кистой наружного квадранта орбиты.

Рис. 4. Фотография ребенка с дермоидной кистой внутреннего квадранта орбиты.
Все больные проходили КТ-исследование, благодаря которому можно изучить структуру самой опухоли, а также состояние подлежащих костей и степень распространения в орбиту. На К.Т. выявлялось образование округлой или овальной формы с четкими и ровными контурами. У всех кист отчетливо прослеживалась капсула, а также наличие серозного содержимого (рис. 5, 6). Узурацию костной стенки, описанную в литературе не встречали.

Рис. 5. Компьютерная томограмма дермоидной кисты внутреннего квадранта орбиты.

Рис. 6. Компьютерная томограмма дермоидной кисты наружного квадранта орбиты.
Лечение дермоидных кист только хирургическое (рис. 7). Для предотвращения повреждения капсулы в момент извлечения кисты целесообразно использовать поднадкостничный доступ. Удаление кисты с неповрежденной капсулой уменьшает риск развития рецидива (рис. 8). При удалении опухолей верхненаружного квадранта орбиты обязательно проводили ревизию височной ямки.

Рис. 7. Дермоидная киста орбиты до (а) и после (б) операции.

Рис. 8. Этап операции по удалению кисты орбиты.
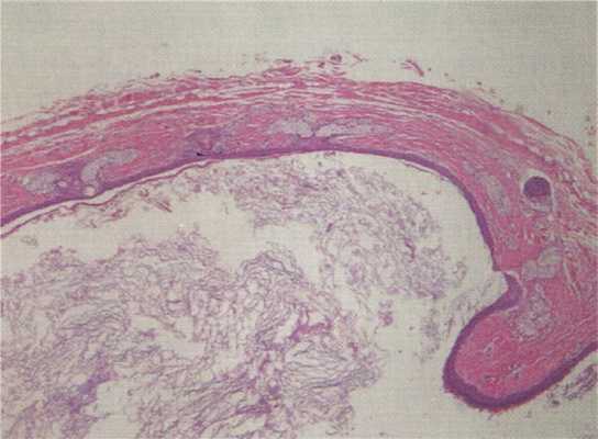
Во всех случаях операционный материал был отправлен на патогистологическое исследование (рис. 9). Препарат фиксировали в формалине и окрашивали гематоксилином и эозином. Стенка кисты выстлана многослойным плоским ороговевающим эпителием. В толще стенки эпидермоидной кисты обнаруживались сальные железы, волосяные фолликулы, воспалительные инфильтраты, представленные в основном лимфоцитами. Также было выявлено наличие признаков гранулематозного воспаления со скоплением большого количества макрофагов (рис. 10).

Рис. 9. Удаленная киста с неповрежденной капсулой (макропрепарат).

Рис. 10. Дермоидная киста, выстланная многослойным плоским эпителием с волосяными фолликулами (микропрепарат, окраска гематоксилином и эозином. Ув. 40).
Выводы
1. В нашем исследовании большинство пациентов были в возрасте до 15 лет. Это объясняется тем, что данная патология является врожденной и, несмотря на то что отличается медленным ростом, характеризуется ранним выявлением.
2. Изучение клинических и радиологических признаков дермоидных кист и полная патогистологическая верификация данного диагноза позволяют нам заключить, что верная интерпретация клинической картины и результатов инструментальных методов исследования может привести к постановке достоверного диагноза до оперативного вмешательства.
3. Наше исследование показало, что дермоидные кисты без внешних признаков воспаления не влияют на функции органа зрения.
4. Применение поднадкостничного доступа во время операции и радикальное удаление кисты с неповрежденной капсулой сводит к минимуму риск появления рецидивов в дальнейшем.
5. На основании исследования патогистологических результатов мы пришли к выводу, что независимо от возраста больного и наличия воспаления в клинической картине во всех препаратах присутствовали элементы воспаления, представленные макрофагами и лимфоцитами.
Врожденные опухоли глазницы
Весь контент iLive проверяется медицинскими экспертами, чтобы обеспечить максимально возможную точность и соответствие фактам.
У нас есть строгие правила по выбору источников информации и мы ссылаемся только на авторитетные сайты, академические исследовательские институты и, по возможности, доказанные медицинские исследования. Обратите внимание, что цифры в скобках ([1], [2] и т. д.) являются интерактивными ссылками на такие исследования.
Если вы считаете, что какой-либо из наших материалов является неточным, устаревшим или иным образом сомнительным, выберите его и нажмите Ctrl + Enter.
К новообразованиям этой группы относятся дермоидные и эпидермоидные (холестеатома) кисты, которые составляют около 9 % среди всех опухолей орбиты.
Рост их ускоряется перенесенной травмой, описаны случаи озлокачествления.
Дермоидная киста
Дермоидная киста более чем у половины больных появляется в возрасте до 5 лет, однако почти 40 % больных обращаются за помощью только после 18 лет. Она растет крайне медленно, но в пубертатном периоде и во время беременности наблюдаются случаи ее быстрого увеличения. Киста развивается из блуждающих эпителиальных клеток, концентрирующихся вблизи костных швов, располагается под надкостницей. Эпителий внутренней стенки кисты секретирует слизистое содержимое с примесью кристаллов холестерина, что придает ему желтоватый оттенок. В кисте могут находиться короткие волосы. Излюбленная локализация - области костных швов, чаще верхневнутренний квадрант орбиты. До 85 % дермоидных кист располагается вблизи костного края орбиты и не вызывает экзофтальм, но при расположении в верхненаружном отделе может смещать глаз книзу и кнутри. Жалобы больных, как правило, сводятся к появлению безболезненного отека верхнего века соответственно расположению кисты. Кожа века в этой зоне слегка растянута, но окраска ее не изменена, пальпируется эластичное, безболезненное, неподвижное образование.
До 4 % кист локализуется глубоко в орбите. Это так называемая котомковидная дермоидная киста орбиты, описанная Kronlein в конце XIX в. Образование состоит из трех частей: головка кисты - ампулообразное расширение - находится за пределами тарзоорбитальной фасции в глубине орбиты, хвост кисты - в височной ямке, а перешеек - в области лобно-скулового шва. Для такой локализации характерно длительное (иногда в течение 20-30 лет) постепенное увеличение экзофтальма. Опухоль, смещая глаз в сторону, ограничивает функции экстраокулярных мышц, появляется диплопия. Увеличение экзофтальма до 7- 14 мм сопровождается постоянными распирающими болями в орбите. Нарушение зрения может быть обусловлено изменением рефракции вследствие как деформации глаза, так и развивающейся первичной атрофии зрительного нерва. Котомковидную кисту обычно диагностируют после 15 лет. Длительно существующая киста может распространяться в полость черепа.
Диагноз подтверждают с помощью рентгенографии орбиты (выявляют истончение и углубление костного края орбиты в зоне расположения кисты). Наиболее информативна компьютерная томография, при которой хорошо визуализируются не только измененные костные стенки, но и сама киста с капсулой.
Лечение дермоидной кисты хирургическое: показана поднадкостничная орбитотомия.
Прогноз для жизни и зрения благоприятный. Рецидива следует ожидать при выраженных изменениях в подлежащих костях или появлении послеоперационного свища. Рецидивные дермоидные кисты могут озлокачествляться.
Холестеатома, или эпидермоидная киста
Холестеатома, или эпидермоидная киста, развивается в четвертом десятилетии жизни, у мужчин почти в 3 раза чаше. Этиология и патогенез неясны. Для холестеатомы характерно локальное разволокнение костной ткани, которая становится мягкой; прогрессируют участки остеолизиса, поднадкостнично скапливается значительное количество желтоватого мягкого содержимого, включающего дегенеративно измененные клетки эпидермоидной ткани, кровь, кристаллы холестерина. В результате отслоения надкостницы с подлежащими некротическими массами уменьшается объем орбиты, ее содержимое смещается кпереди и книзу. Образование развивается, как правило, под верхней или верхненаружной стенкой орбиты. Заболевание начинается с одностороннего смещения глаза книзу или книзу кнутри. Постепенно развивается безболезненный экзофтальм. Репозиция затруднена. Изменения на глазном дне отсутствуют, функции экстраокулярных мышц сохраняются в полном объеме.
Диагноз устанавливают на основании результатов рентгенографии и компьютерной томографии.
Лечение холестеатомы только хирургическое.
Прогноз для жизни и зрения, как правило, благоприятный, однако описаны случаи озлокачествления кисты.
Плеоморфная аденома
Плеоморфная аденома (смешанная опухоль) - доброкачественный вариант первичной опухоли слезной железы. Возраст больных от 1 до 70 лет. Женщины заболевают почти в 2 раза чаще. Опухоль состоит из двух тканевых компонентов: эпителиального и мезенхимального. Эпителиальный компонент образует участки слизе- и хондроподобных структур. Строма (мезенхимальный компонент) неоднородна в пределах одного узла: иногда она рыхлая, на некоторых участках присутствуют соединительнотканные тяжи, отмечаются участки гиалиноза. Опухоль развивается медленно. Более 60 % больных обращаются к врачу через 2-32 года с момента появления клинических симптомов. Один из первых - безболезненный, невоспалительный отек век. Постепенно глазное яблоко смещается книзу и кнутри. Экзофтальм возникает значительно позднее и очень медленно увеличивается. В этот период уже удается пальпировать неподвижное образование, расположенное под верхненаружным или верхним краем орбиты. Поверхность опухоли гладкая, при пальпации она безболезненная, плотная. Репозиция затруднена.
При рентгенографии выявляют увеличение полости орбиты вследствие истончения и смещения кверху и кнаружи ее стенки в области слезной ямки. Ультразвуковое сканирование позволяет определить тень плотной опухоли, окруженной капсулой, и деформацию глаза. При компьютерной томографии опухоль визуализируется более четко, можно проследить целость капсулы, распространенность опухоли в орбите, состояние ее прилежащих костных стенок.
Лечение плеоморфной аденомы только хирургическое.
Прогноз для жизни и зрения в большинстве случаев благоприятный, но пациента следует предупредить о возможности рецидива, который может возникнуть через 3-45 лет. Приблизительно у 57 % больных при первом же рецидиве обнаруживают элементы озлокачествления. Опасность злокачественного перерождения плеоморфной аденомы возрастает по мере увеличения периода ремиссии.
Дермоидная киста глаза
Дермоидная киста глаза - доброкачественное полостное образование из группы тератом (хористом), образующихся при смещении эктодермы под кожу вдоль линий эмбрионального соединения. Дермоиды выстланы ороговевающим плоским чешуйчатым эпителием (как кожа), имеют фиброзную капсулу и содержат придаточные элементы кожи, такие как потные железы, сальные железы и волосяные фолликулы.
Эпидермоидные кисты не содержат таких придаточных структур. Дермоиды могут быть: поверхностными, глубокими, располагаясь соответственно кпереди или кзади от тарзоорбитальной фасции.
Поверхностная дермоидная киста
Поверхностная дермоидная киста проявляется в детском возрасте в виде безболезненного узла в верхневисочном и иногда - в верхне-внутреннем отделе орбиты.
Симптомы поверхностной дермоидной кисты глаза: плотное, округлое, гладкое, безболезненное образование диаметром 1-2 см, обычно легко смещаемое под кожей. Задние границы легко доступны пальпации, что говорит об отсутствии распространения вглубь.
Лечение поверхностной дермоидной кисты глаза: тотальная эксцизия. Важно при этом не порвать капсулу, т.к. изливание кератина в окружающие ткани приводит к тяжелому гранулематозному воспалению.
Глубокая дермоидная киста
Глубокая дермоидная киста проявляется в подростковом или среднем возрастах.
Симптомы глубокой дермоидной кисты глаза: экзофтальм, дистопия или наличие объемного образования, у которого не удается определить задние границы.
КТ выявляет гетерогенное с меткими границами образование.
Лечение глубокой дермоидной кисты глаза. Рекомендуется тотальная эксцизия, т.к. глубокая дермоидная киста увеличивается и может, прорвавшись, излить содержимое в окружающие ткани. Это обычно приводит к развитию болезненного гранулематозного воспаления, часто сменяющегося фиброзом. При неполном удалении кисты могут рецидивировать и сопровождаться вялотекущим воспалением.
Дермоидная киста орбиты: причины, диагностика, лечение
ГКБ им. С.П. Боткина, 2-й Боткинский проезд, д. 5, Москва, Россия, 125284;
ФГБУ «НЦАГиП им. В.И. Кулакова» Минздрава России, Москва, Россия
Кафедра факультетской терапии №2 ГБОУ ВПО "Первый Московский государственный медицинский университет им. И.М. Сеченова;
Кафедра акушерства и гинекологии ГБОУ ДПО "Российская медицинская академия последипломного образования", Москва
ГКБ им. С.П. Боткина, 2-й Боткинский проезд, д. 5, Москва, Россия, 125284
Российская медицинская академия последипломного образования, Москва, Россия, 125993
ФГАОУ ВО Первый МГМУ им. И.М. Сеченова Минздрава России, Москва, Россия
Наблюдение зрелой тератомы с необычными клиническим течением и эхографическими характеристиками у молодой женщины
Журнал: Проблемы репродукции. 2017;23(6): 24‑27
Представлено клиническое наблюдение дермоидной кисты яичника у женщины 19 лет. Случай интересен как нехарактерным для данного типа новообразований клиническим течением (болевой синдром, быстрое увеличение в объеме, асцит), но главным образом эхографической картиной, заставившей исключать на различных этапах паразитарную инвазию.
Дермоидная киста (тератома) — опухоль, происходящая из первичных клеток гонад эмбриона, встречается у 26,3% больных с доброкачественными опухолями яичника. В дермоидной кисте малигнизация происходит в 1,7% наблюдений, при этом наиболее частой формой злокачественного роста в незрелой (малигнизированная) тератоме является плоскоклеточная карцинома, хотя встречаются и более редкие новообразования, например, рак кишечной трубки или рак щитовидной железы. Подобное разнообразие объясняется просхождением опухоли из всех трех зародышевых листков. Однако большинство кистозных тератом доброкачественные и включают жировую ткань, ткань зубов, волосы, что дает типичную и хорошо известную специалистам картину при ультразвуковом исследовании (УЗИ). В связи с этим дооперационное предположение о наличии именно такого новообразования оправдывается в абсолютном большинстве случаев.
Данный случай интересен в первую очередь весьма необычной эхографической картиной новообразования, заставившей проводить дифференциальный диагноз не только между злокачественной и доброкачественной формами дермоида, но и с паразитарной кистой.
Больная N., 19 лет, доставлена в Городскую клиническую больницу им. С.П. Боткина бригадой скорой медицинской помощи с жалобами на общую слабость, увеличение размеров живота, чувство «распирания» и тупые боли по всему животу.
Из анамнеза известно, что в течение полутора месяцев пациентка отмечала увеличение живота в объеме, общую слабость, в течение недели перед поступлением в стационар появились и усилились боли по всей поверхности живота, стала повышаться температура тела до 38 °C. Обратилась к гинекологу, проведен осмотр, сразу после осмотра экстренно госпитализирована.
Больная родом из Калмыкии, студентка, учится и проживает в Москве. Родилась третьим ребенком в семье, масса тела при рождении 4000 г, длина — 52 см. Росла и развивалась нормально. Перенесла простудные заболевания. Менархе в 13 лет, цикл регулярный, установился сразу, менструации через 28 дней, по 5 дней, умеренные, безболезненные. Генеративная функция не выполнена: беременностей не было. Обращает внимание, что родная сестра больной оперирована 2 раза в связи с дермоидными кистами яичников.
При общем осмотре гемодинамические показатели стабильны, температура тела 38 °C, живот увеличен в объеме за счет образования, исходящего из малого таза. Симптомы раздражения брюшины и симптом поколачивания отрицательные.
При влагалищном исследовании стенки влагалища чистые, шейка матки не эрозирована, отдельно при пальпации дифференцировать матку и придатки невозможно, из малого таза исходит образование не менее 20 см в диаметре с четкими контурами, плотноэластической консистенции, малоподвижное, чувствительное при пальпации. Образование занимает нижние отделы брюшной полости. Параметрии свободны, своды выражены. Выделения — бели.
Результаты некоторых лабораторных и инструментальных методов обследования на момент поступления
Общий клинический анализ крови: Hb — 105 г/л, гематокрит 31,9%, эр. — 3,91·10 12 /л, тр. — 403·10 9 /л, л. — 15,1·10 9 /л (сдвига ядра нейтрофилов нет), э. — в норме — 0,15·10 9 /л.
Биохимический анализ крови, коагулограмма, общий анализ мочи в пределах физиологической нормы. Мазок на флору и цитологию без патологии.
Обращает внимание умеренное повышение концентрации маркеров СА-125 — 60,4 (0—35) Е/мл и СА-19−9 — 53,0 (2,5—33) Е/мл. Концентрация прочих исследованных маркеров была в пределах нормы: раково-эмбриональный антиген — 1,52 (0,2—5) нг/мл, СА-15−3 — 11,8 (0—35) Е/мл, альфа-фетопротеин — 0,457 (0,2—10) нг/мл.
На ЭКГ синусовый ритм, частота сердечных сокращений 85 в минуту, нормальное положение электрической оси сердца.
На обзорном рентгеновском снимке брюшной полости «свободного» газа и горизонтальных уровней жидкости нет. Рентгенография органов грудной клетки патологии не выявляла. При эзофагогастродуоденоскопии выявлен поверхностный гастрит, при колоноскопии — патологии толстой кишки не обнаружено. При эхографии органов брюшной полости выявлены умеренные диффузные изменения поджелудочной железы.
По данным УЗИ почек и мочевыводящих путей, имеются признаки нарушения уродинамики: справа чашечки расширены до 12 мм, лоханка до 31 мм, слева соответственно до 5 и 17 мм, мочеточник справа расширен до 10 мм, слева — до 5 мм. Заключение: выраженная каликопиелоуретероэктазия справа, незначительная каликопиелоуретероэктазия слева, вероятнее всего, обусловленные сдавлением объемным образованием мочевых путей.

Необычными оказались результаты УЗИ органов малого таза. Матка визуализирована смещенной книзу, с четкими, ровными контурами, размером 35×31×33 мм, структура миометрия — однородная, М-эхо — 10 мм, соответствовало фазе менструального цикла (день менструального цикла на момент исследования 12-й). Шейка матки — 28×24 мм, обычного строения, канал шейки матки не расширен. Левый яичник — 41×27×31 мм, с мелкими фолликулами. В проекции правого яичника визуализировано объемное образование, выходившее из малого таза, занимавшее практически всю брюшную полость до гипогастрия. Контуры образования четкие, ровные, размер 190×100×180 мм, содержимое гетерогенное со взвесью и множественными округлыми гиперэхогенными образованиями внутри. Участков избыточной васкуляризации не выявлено. Имелось небольшое количество («следы») «свободной» жидкости в малом тазу. Заключение: объемное образование малого таза и гипогастрия, вероятнее всего, исходящее из правого яичника (Тератома? Паразитарная киста?) (рис. 1). Рис. 1. Эхографическая картина новообразования (а, б — различные сечения). Видны свободно плавающие в кистозной полости гиперэхогенные «шары» примерно одинакового строения и диаметра, на основании чего заподозрено наличие паразитарной инвазии.
Компьютерная томография (КТ) брюшной полости, забрюшинного пространства, малого таза и магнитно-резонансная томография (МРТ) малого таза с внутривенным контрастированием дали практически одинаковые результаты. Получена картина объемного жидкостного образования в малом тазу и нижних отделах брюшной полости, не накапливавшего контрастный препарат, с округлыми образованиями, свободно «плавающими» внутри, не спаянными друг с другом и со стенками. Не исключалось наличие тератомы или паразитарной кисты. Подтверждено наличие каликопиелоуретероэктазии с двух сторон, больше выраженной справа (по-видимому, результат сдавления мочеточников), а также минимального асцита.
С учетом причудливого нетипичного строения образования потребовалось проведение дифференциального диагноза с паразитарной кистой брюшной полости. По рекомендации инфекциониста и паразитолога взяты анализ крови на IgG антитела к эхинококку, альвеококку. анализ кала на яйца глист и простейшие — признаков паразитарной инвазии не выявлено. Также пациентка была консультирована урологом.
На основании описанной выше совокупности данных был поставлен диагноз: опухоль правого яичника, подозрение на малигнизацию. Паразитарная киста правого яичника? Анемия легкой степени тяжести. Двусторонняя каликопиелоуретероэктазия. Больной назначена антибактериальная, антианемическая терапия.
По решению мультидисциплинарного консилиума в качестве доступа для операции была выбрана лапаротомия (поскольку нельзя было исключить как злокачественный характер образования, так и паразитарную инвазию, но в обоих случаях необходимо минимизировать риск диссеминации). Предполагалось выполнить удаление правых придатков матки, однако больная была поставлена в известность о возможности изменения и расширения объема операции в зависимости от интраоперационных находок и данных экспресс-морфологического исследования.
Перед операцией по решению консилиума было проведено двустороннее стентирование мочевыводящих путей.

Экстренная операция. Нижняя срединная лапаротомия. Удаление правых придатков матки. Биопсия левого яичника. Резекция большого сальника. Типичным путем выполнена нижняя срединная лапаротомия. Обнаружено, что в полости таза имеется небольшое количество светлой жидкости (жидкость взята для цитологического исследования и посева), матка и ее левые придатки не изменены. Справа яичник представлен опухолевидным образованием до 20 см, его наружная капсула гладкая (рис. 2). Рис. 2. Опухоль выведена из брюшной полости. Маточная труба распластана по поверхности образования, фимбрии выражены, брюшина не изменена.
Органы брюшной полости без патологии. Большой сальник тощий, макроскопически не изменен. Парааортальные лимфатические узлы пальпаторно не увеличены. Заключение экстренной морфологической диагностики: серозная киста яичника с признаками перекрута? ишемически-дистрофическими изменениями, окончательный ответ после плановой проводки материала. Согласно результатам экстренного цитологического исследования смывов из брюшной полости, атипические клетки не найдены, кислотоустойчивые микроорганизмы не обнаружены, при экстренном цитологическом исследовании содержимого опухоли правого яичника дано заключение о том, что подобная цитологическая картина может иметь место при дермоидной кисте яичника.
Учитывая молодой возраст пациентки, локализацию опухоли в пределах правого яичника, нереализованную репродуктивную функцию, умеренное повышение уровня онкомаркеров, отсутствие данных о малигнизации по данным экспресс-морфологических исследований, решено выполнить удаление правых придатков матки, биопсию правого яичника, резекцию большого сальника.
В плановом морфологическом исследовании опухоль правого яичника верифицирована как зрелая кистозная тератома яичника, частично выстланная многослойным плоским эпителием, частично — эпителием кишечного типа, в стенке обнаружен крупный хрящ. В биоптате левого яичника обнаружено сочетание кисты желтого тела и эндометриоидной кисты яичника. Большой сальник без роста опухоли. Посев из брюшной полости роста микроорганизмов не выявил.
Послеоперационный период протекал без осложнений. Проводилась комплексная инфузионная, антибактериальная, противомикробная, обезболивающая, антианемическая терапия и профилактика тромбоэмболических осложнений. Стент левого мочеточника удален на 3-и сутки. Стентирование правого мочеточника продлено на месяц. (Через 1 мес стент правого мочеточника удален).
Заключение

Данный случай примечателен не столько своими клиническими особенностями (хотя для доброкачественного дермоида нехарактерны такой быстрый рост, анемия, асцит, увеличение концентрации онкомаркеров и нарушения уродинамики), сколько эхографической картиной. Наличие свободно плавающих в полости кисты округлых образований примерно одинакового размера (рис. 3), Рис. 3. Новообразование вскрыто. Видно жидкое содержимое, в котором свободно плавают шаровидные структуры. несмотря на отрицательные результаты исследований, проведенных паразитологом, и отсутствие эозинофилии, не позволяло исключить паразитарную кисту вплоть до момента операции. Применение помимо УЗИ также КТ и МРТ с усилением не способствовало уточнению диагноза.
Авторы заявляют об отсутствии конфликта интересов.
Сведения об авторах
Майя Ильинична Купрашвили — к.м.н., н.с., врач ультразвуковой диагностики ГКБ им. С.П. Боткина, Москва, Россия; Maiia Il. Kuprashvili — PhD, researcher, doctor of department of ultrasonic diagnostics, S.P. Botkin City Clinical Hospital, Moscow, Russia
ОльгаЛеонидовнаГлазкова — к.м.н., доц. каф. акушерстваигинекологииГБОУДПОРМАНПО, Москва, Россия; Olga L. Glazkova, PhD in medicine, associate professor at the chair of obstetrics and gynaecology, Russian Medical Academy of Post-Graduate Education: Address: 2/1, ul. Barrikadnaya, Moscow, Russia, 125993; Phone: (495) 915-3835
Ольга Юрьевна Игнатченко — к.м.н., зав. 22 отд. гинекологии, ГКБ им. С.П. Боткина, Москва, Россия; Olga Yu. Ignatchenco — PhD, chief of the gynecological department №22 of Moscow city hospital named by S.P. Botkin, Address: 5, 2-nd Botkinsky side-street Moscow, Russia
Татьяна Владимировна Шевякова — к.м.н., зав. отд. ультразвуковой диагностики, ГКБ им. С.П. Боткина; Tatiana V. Shevyakova — PhD,chief of the ultrasonic diagnostics department of Moscow city hospital named by S.P.Botkin, Address: 5, 2-nd Botkinsky side-street Moscow, Russia; Phone: (499) 762-6132
Ольга Анатольевна Романовская — врач ультразвуковой диагностики, ГКБ им. С.П. Боткина, Москва, Россия; Olga A. Romanovskaya —doctor of department of ultrasound diagnostics, S.P. Botkin City Clinical Hospital, Moscow, Russia
Елизавета Евгеньевна Масс — студентка 6 курса ФГАОУ ВО Первый МГМУ им. И.М. Сеченова Минздрава России
Лилиана Вячеславовна Сумягина — к.м.н., ассистент кафедры акушерства и гинекологии ГБОУ ДПО ДМА НПО
Дермоидная киста яичника
Дермоидная киста яичника - дополнительное образование овариальной ткани, состоящее из толстостенной капсулы, внутри которой содержится слизеобразная масса с различными включениями (кожей, жировой тканью, сальными железами, волосами, костями, зубами, нервной тканью). Клинически дермоидная киста яичника проявляет себя при достижении больших размеров: в этом случае могут отмечаться боли в животе и пояснице, дизурические нарушения, расстройства дефекации. Дермоидные кисты склонны к воспалению, нередко наблюдается перекрут ножки кисты. Диагностика включает гинекологический осмотр, УЗИ, МРТ, лапароскопию. Лечение дермоидных кист яичника оперативное - кистэктомия, клиновидная резекция яичника или овариоэктомия.
Общие сведения
Дермоидная киста (дермоид, зрелая тератома) - доброкачественная опухоль яичника, которая встречается у 15-20% женщин с овариальными кистами. Дермоидная киста яичника обычно имеет круглую или овальную форму, гладкие наружные стенки, может вырастать диаметром до 15 сантиметров. Внутри полость тератомы выстлана многослойным эпителием и заполнена желеобразным содержимым со зрелыми фрагментами производных эктодермы, эндодермы и мезодермы (сальных и потовых желез, волос, жировой, нервной, костной и др. тканей).
Дермоидная киста развивается из зародышевых эмбриональных листков, которые при нарушении внутриутробной дифференцировки тканей сохраняются в яичниках. Дермоидная киста яичника может возникать в любом возрасте (детском, подростковом, репродуктивном, климактерическом). Причины формирования зрелых тератом неизвестны; в их развитии предполагается провоцирующая роль гормональных изменений в период полового созревания и климакса, травм живота. Дермоидные кисты яичника растут медленно, обычно имеют одностороннюю локализацию (чаще правостороннюю). В 1-3% случаев отмечается перерождение дермоидной кисты яичника в плоскоклеточный рак.
Симптомы дермоидной кисты яичника
В начальных стадиях дермоидная киста яичника не проявляется симптоматически и может стать случайной находкой при гинекологическом исследовании или УЗИ. Клинические проявления дермоидной кисты яичника связаны с достижением ею больших размеров (15 и более см). В этот период у пациентки появляются ощущения распирания и тяжести, болезненность внизу живота, иногда - увеличение живота в размерах. Увеличение кисты может сопровождаться давлением на мочевой пузырь или прямую кишку, что проявляется учащением мочеиспускания, нарушениями функции кишечника (запорами или диареей).
Дермоидная киста яичника не вызывает гормональных изменений и нарушения менструальной функции, но имеет склонность к осложненному течению. При воспалении зрелых тератом температура тела повышается до 39°С, появляется выраженная слабость и боль в животе. В случае перекрута ножки дермоидной кисты яичника развивается клиника острого пельвиоперитонита с симптомами раздражения брюшины, подъемом температуры, резкой непрекращающейся болью с иррадиацией в ногу и прямую кишку.
Иногда дермоидная киста яичника может впервые выявляться в процессе ведения беременности. Если тератома имеет небольшие размеры, не вызывает нарушения работы соседних органов и не осложняется, во время беременности ее не трогают. В этом случае лечение зрелой тератомы рекомендуется после родов. Беременные с выявленной дермоидной кистой яичника должны находиться на особом учете у гинеколога.
Диагностика
При двуручном (влагалищно-абдоминальном или ректо-абдоминальном) гинекологическом исследовании дермоидная киста яичника пальпируется в виде эластичного, округлого, подвижного и безболезненного образования, расположенного кпереди и сбоку от матки.
В гинекологии наибольшей информативностью в обнаружении и диагностике дермоидной кисты яичника обладает УЗИ малого таза трансвагинальным и трансабдоминальным датчиком. При ультразвуковом сканировании определяются размеры кисты, толщина капсулы и интенсивность кровоснабжения, ЭХО-плотность ее содержимого, наличие включений в ее полости, нередко - кальцификаты. В сомнительных ситуациях диагноз зрелой тератомы подтверждается в ходе компьютерной диагностики и МРТ.
При осложненном течении дермоидной кисты яичника показано проведение пункции заднего свода влагалища, лапароскопии; для исключения внематочной беременности - теста на беременность. При дермоидной кисте яичника обязательно исследуются опухолевые маркеры-антигены (CA-125), позволяющие исключить малигнизацию образования. В процессе диагностики зрелую тератому дифференцируют от других видов кист и кистомы яичника.
Лечение дермоидной кисты яичника
Единственным способом устранения дермоидных кист яичника является их хирургическое удаление. Объем операции определяется в зависимости от возраста пациентки, размера и доброкачественности образования.При дермоидных кистах яичника, осложненных воспалением или перекрутом ножки, операция осуществляется в экстренном режиме и в объемах, диктуемых ситуацией.
У девочек и молодых женщин производится кистэктомия, клиновидная резекция яичника; у женщин в пременопаузе - оофорэктомия, иногда аднексэктомия со стороны поражения. Удаление дермоидной кисты яичника производится в процессе лапароскопии или лапаротомии. Если при гистологическом исследовании подтверждается диагноз дермоидной кисты яичника, лечение на этом заканчивается. Планировать беременность после удаления зрелой тератомы рекомендуется через 6 мес. - 1 год после операции.
Прогноз
При своевременном удалении дермоидной кисты яичника прогноз в отношении специфических функций (менструальной, половой, детородной) благоприятный. Повторное возникновении зрелых тератом встречается исключительно редко, в тех случаях, если на момент операции в яичнике имелись микроскопические зачатки дермоидных кист. После операции профилактические осмотры гинекологом и УЗИ-контроль проводятся дважды в год.
При неудаленной дермоидной кисте яичника любая физическая активность (прыжки, наклоны, повороты) могут способствовать перекруту ножки кисты. Также наличие кисты несет потенциальную опасность нагноения ее содержимого и злокачественного перерождения.
Читайте также:
- Мужской псевдогермафродитизм: признаки, фенотип
- Поражение костей при хронической почечной недостаточности (ХПН)
- Вискодиссекция, лазерная коагуляция при диабетической тракционной отслойке сетчатки (ТОС). Рекомендации
- Диагностика изменений кожи новорожденных: милиума, акне, монгольских пятен, эритемы
- Возбуждение клетки. Возникновение потенциала действия в клетке
