Диагностика эпендимальной кисты по КТ, МРТ
Добавил пользователь Евгений Кузнецов Обновлено: 28.01.2026
МРТ головного мозга. Т2-взвешенная аксиальная томограмма. Арахноидальная киста. Цветовая обработка изображения.
Кисты головного мозга в большинстве своем относятся к аномалиям развития. Некоторые образования, возникшие на почве нарушения развития, имеют сходные с кистами черты.
Эпидермоидные кисты (эпидермоиды) - доброкачественные врождённые образования. Они происходят из эктопических эпидермальных клеток и развиваются в период закрытия, в 3-5 нед. эмбриогенеза, как следствие неполного разделения нейрональной и покровной эктодермы. Частота составляет около 1% от внутричерепных образований. Обычно диагностируются в возрасте 25 - 45 лет. Локализация эпидермоидов может быть любой, но типичная - мосто-мозжечковый угол (третье по частоте образование этой области), предмостовая цистерна, параселлярная область, четверохолмие и желудочковая система, очень редко в полушариях, спинном мозге и интрадиплоидно. Растут они интра- или экстрадурально, экспансивно, медленно, сдавливая ствол мозга, внутричерепные нервы, но не разрушая кость. Иногда захватывают сосуды и нервы. По характеру роста их можно отнести к опухолевидным образованиям. Вокруг эпидермоидов нередко развивается асептическое воспаление, а при разрыве содержимое (жир, кератин) прорывается в ликворные пространства. Клинические проявления зависят от локализации и масс-эффекта.
При МРТ головного мозга картина неспецифическая и зависит от содержимого кисты. Если она не содержит жира, то имеет ликворную интенсивность сигнала . В таком случае эпидермоидная киста трудно отличима от арахноидальной, хотя, как правило, не столь однородная. На МРТ типа FLAIR и диффузионно-взвешенных МРТ изображениях содержимое эпидермоидов светлее ликворного. Жировое содержимое, такие эпидермоиды еще называют холестеатомой, приводит к высокому сигналу на Т1-взвешенных МРТ головного мозга. Видимо, он обусловлен липидами, но не холестеролом. На Т2-взвешенных МРТ головного мозга он менее интенсивен чем ликвор. Контуры эпидермоидов всегда четкие. Холестеатомы составляют всего 3-5% от эпидермоидов. В 15-20% случаев встречается кальцификация по переферии кисты. Редко наблюдается контрастирование стенок.
МРТ головного мозга. Т1-взвешенные корональная и сагиттальная МРТ. Эпидермоидная киста левой височной доли.
Дермоидные кисты встречаются реже эпидермоидных, составляя около 0,3 % от внутричерепных образований. Обычно выявляются в возрасте между 10 и 20 годами. Морфологически от эпидермоидов их отличает наличие эктодермальных элементов - волосяных фолликулов, потовых желёз и т.д. Типично они расположены по средней линии (в отличие от эпидермоидов, которые чаще внеосевые): в супраселлярной цистерне, субфронтально, вокруг моста и, очень редко парапиниально, периорбитально, в IV желудочке, в области конского хвоста и интрадиплоидно. От эпидермоидных кист на МРТ головного мозга их отличает только выраженная неоднородность структуры, кроме того, они всегда яркие на Т1-взвешенных МРТ головного мозга за счёт большого содержания липидов. При разрыве и прорыве в субарахноидальное пространство в нём появляется уровень, на Т1-взвешенных МРТ головного мозга светлый жир плавает на ликворе.
Липома представляет собой скопление в субарахноидальном пространстве зачаточных жировых клеток с примесью коллагена. Происходят липомы из остатков примитивной эмбриональной оболочки. Эта мальформация оболочек мозга связана с нарушением дифференцировки мезенхимы на мягкую мозговую оболочку и субарахноидальное пространство. Частота липомы составляет менее 0.5% от внутричерепных образований. Обычно липомы локализуется в мозолистом теле, в межполушарной щели, воронке гипофиза и гипоталамусе, реже вокруг червя мозжечка и пластины четверохолмия и мосто-мозжечковом углу и Липомы мозолистого тела сочетаются с его агенезией и в 60% случаев с распространением на сосудистое сплетение. При МРТ головного мозга липома четко очерчена, без отека вокруг и масс-эффекта, кость не разрушает. Структура образования чаще однородная, жировой интенсивности сигнала - то есть выраженно гиперинтенсивная на Т1-взвешенных МРТ и немного менее интенсивная по отношению к ликвору на Т2-взвешенных МРТ. Иногда встречаются неоднородные липомы с участками низкого сигнала от кальцинатов и сосудов, проходящих ее насквозь. При сомнениях в диагнозе надо выполнить МРТ головного мозга с подавлением жира или можно сделать КТ. На КТ липома всегда резко гиподенсна и может содержать включения кальция.

МРТ головного мозга. Сагиттальная Т1-взвешенная МРТ. Липома мозолистого тела.
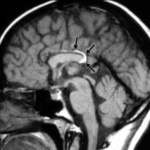
Эпендимальные кисты встречаются очень редко. Они представляют собой врождённую отшнуровку внутри желудочков или цистернах . На МРТ головного мозга контур кисты четкий, сигнал ликворной интенсивности или чуть светлее за счет отсутствия пульсации и примеси белка, структура однородная. В отличие от кист прозрачной перегородки она не расщеплена, а смещена.
Арахноидальные кисты представляют собой скопление ликвора между листками расщепленной паутинной оболочки. Арахноидальная киста обычно не сопровождается другими мальформациями. Незначительная часть арахноидальных кист имеет приобретенное происхождение - следствие лептоменингита, операции или кровоизлияния. Частота составляет около 1% от внутричерепных образований. Соотношение полов М:Ж, как 4:1. Типичная локализация - средняя черепная ямка (в области Сильвиевой борозды 50%), межполушарная щель, мосто-мозжечковый угол (11%), за скатом или на уровне четверохолмия (10%), в области червя мозжечка (9%), реже в области межножковой и предмостовой цистерн (3%), а также супраселлярной и хиазмальной цистерн. Ретроцеребеллярная арахноидальная киста довольно часто встречаются за мозжечком и отличима от mega cisterna только по неизменённой задней черепной ямке. Содержимое кисты чисто ликворное, стенки гладкие, чётко очерченные, внутри кисты могут быть перегородки. Мелкие арахноидальные кисты очень трудно увидеть. Меняя ширину окна и его уровень на Т1-взвешенных МРТ изображениях можно заметить, что киста чуть светлее ликвора. Дифференциальная диагностика с эпидермальными кистами лучше осуществляется с помощью МРТ последовательности FLAIR. Эпидермальные кисты становятся яркими, в отличие от гипоинтенсивных арахноидальных.
Нейроглиальные (нейроэпителиальные) кисты - врождённые кисты различной этиологии, локализующиеся в паренхиме мозга или в области сосудистого сплетения желудочков. Обычно округлые, с гладкими стенками. Очень часто такие кисты сочетаются с аномалиями развития: отсутствием прозрачной перегородки и полимикрогирией. При МРТ головного мозга содержимое кист ликворное, иногда с небольшой примесью белка.
Коллоидная киста - это врождённое нейроэпителиальное образование. Коллоидная киста выстлана эпителием и имеет фиброзную капсулу. Она составляют около 1-2% объемных внутричерепных образований. Обычно диагностируются в возрасте между 30 и 50 годами. При МРТ головного мозга видно, что киста всегда расположена в переднее-верхнем отрезке III желудочка между отверстиями Монро. Контур ее четкий, форма округлая, содержимое бывает неоднородное. Размер от 3 мм до 4 см, при больших размерах она закрывает отверстия Монро и вызывает окклюзионную гидроцефалию. Сигнал зависти от примеси белка к ликвору. При наличии белкового мукоидного содержимого киста гиперинтенсивна на Т1-взвешенных МРТ и гипоинтенсивна на Т2-взвешенных МРТ, но встречаются варианты гиперинтенсивные на томограммах обоих типов кольцевидные или смешанные . Контрастирования не наблюдается.
КТ и МРТ головного мозга. Коллоидная киста III желудочка.
Киста кармана Ратке представляет собой редко встречающееся образование из остатков эмбриональной эктодермы (щель Ратке), расположенное между долями гипофиза. Выявляется в любом возрасте, но чаще в 50-60 лет. Клинические проявления связаны с масс-эффектом. При головного мозга выявляется небольшая (3-5 мм) киста с четким контуром, без отека вокруг, однородная по структуре. Сигнал зависит от содержимого. При серозном содержимом сигнал типично жидкостный, при мукоидном киста светлая на Т1-взвешенных МРТ. В редких случаях киста достигает больших размеров и даже выходит за пределы седла. Стенка кисты иногда усиливается при контрастировании.
МРТ головного мозга. Т2-взвешенная корональная МРТ. Киста кармана Ратке.
Пинеальная киста расположена в проекции шишковидной железы. Встречается с частотой 4-11%. Размеры обычно не превышают 1 см, но изредка встречаются больших размеров. В таких случаях она вызывает окклюзионную гидроцефалию. При головного мозга она имеет все признаки кисты с примесью белка в жидкости, то есть немного светлая на Т1-взвешенных. Изредка встречается геморрагическое содержимое. Киста может контрастироваться по периферии.

МРТ головного мозга. Сагиттальная Т1-взвешенная МРТ. Пинеальная киста.
Кисты средней линии - киста прозрачной перегородки (cavum septi pellucidi), полость Верге (cavum Vergae) и киста промежуточного паруса (cavum veli interpositi) - являются нормальными структурами головного мозга плода. В течение 6 месяцев после рождения у большинства людей они запустевают, но могут и сохраниться, визуализируясь при этом на МРТ головного мозга. По-видимому, эти полости не имеют клинического значения и относятся к случайным находкам при томографии. Киста прозрачной перегородки (еще называют V желудочком) является медиальной стенкой боковых желудочков и ограничена спереди коленом мозолистого тела, сверху мозолистым телом и сзади столбами свода . Полость Верге представляет собой продолжение кисты прозрачной перегородки кзади и расположена между телами желудочков . Обычно обе кисты сочетаются. Киста промежуточного паруса расположена в крыше III желудочка (tela choroidea), между треугольниками боковых желудочков на уровне отверстий Монро. Она ограничена сверху мозолистым телом, cзади цистерной четверохолмия и снизу III желудочком.
При МРТ в СПб мы обращаем внимание на возможность не только врожденных, но и редких состояний, к которым относятся приобретенные кисты головного мозга, причиной которых могут быть:
- последствия ОНМК
- опухолевые кисты
- паразитарные кисты

МРТ головного мозга. Корональная Т1-взвешенная МРТ. Многокамерные эхинококковые кисты.
Кисты головного мозга одинаково хорошо видны в высоких полях и низкопольных открытых МРТ. МРТ СПб дает место выбора выполнения МРТ.
Интракраниальные эпидермоидные кисты
Являются относительно распространенными врожденными образованиями, на долю которых приходится около 1% от всех внутричерепных опухолей. Очень медленно растут и, как правило, требуется много лет, чтобы появилась клиника. Возраст пациентов от 20 до 40 лет. Редко ассоциированы с триадой Currarino (аноректальная, сакральная аномалии и пресакральные образования (переднее сакральное менингоцеле, тератома, гамартома)).
Клинические проявления
Симптомы обусловлены постепенно нарастающим масс-эффектом и представлены:
- головными болями (наиболее распространенный симптом)
- дефицитом черепных нервов
- мозжечковыми симптомами
- припадками
- повышением внутричерепного давлени
Редко, рецидивирующий асептический менингит, похожий на таковой при менее распространенных дермоидных кистах.
Патология
Эпидермоидные кисты могут быть врожденными (наиболее часто, являются результатом неполного разделения эктодермы во время закрытия невральной трубки) или приобретенными (послеоперационная или посттравматическая имплантация). Патологически, внутричерепные эпидермоидные кисты идентичны врожденным холестеатомам верхушки пирамиды височной кости, среднего уха. Они отличаются от дермоидных кист, которые имеют эпидермальные и кожные придатки, такие как волосы и сальные железы, и зрелых тератом, которые имеют все три слоя.
Они имеют тонкую капсулу, представленную тонким слоем плоского эпителия, который макроскопически белый и жемчужный, и может быть гладким, дольчатым или узловым. Содержимое кистозного компонента обычно представлено воскообразным материалом из десквамированных кератиновых производных и кристаллами холестерина. Следует отметить, что некоторые авторы, указывают на то, что эпидермоидные кисты имеют некоторое гистологическое сходство с кистозными (адамантиноматозными) краниофарингиомами.
Локализация
- интрадурально: 90%
- мостомозжечковый угол: 40-50%
- третие по частоте встречаемости образования мостомозжечкового угла (после вестибулярных шванном и менингиом), на долю которых приходится около 5-10% всех опухолей в этом регионе
- большинство в черепе
Особенности визуализации
Дольчатые образования, которые заполняют, расширяют ликворные пространства, оказывают постепенно нарастающий масс-эффект, проникают между структурами и охватывают соседние нервы и сосуды. Частой особенностью кист задней черепной ямки является смещение основной артерии в сторону от моста.
Сочетание клеточных остатков вместе с высоким содержанием холестерина понижают плотность эпидермоидов приблизительно до 0 HU; таким образом, эпидермоидные кисты могут быть идентичными по плотности с ликвором, и выглядеть так же, как арахноидальные кисты.
Кальцификация не часто (10-25% случаев); редко эпидермоидная киста может быть гиперденсной вследствие кровотечения, омыления или высокого содержания белка ("белые эпидермоиды").
Они не копят контраст, и только в очень редких случаях демонстрируют накопление контраста стенкой.
Могут вызывать эрозию костей, а при интрадиплоическом расположении имеют выраженный склеротический ободок по краям кисты [2].
Проявления на МРТ схожи с таковыми на КТ; эпидермоиды часто неотличимы от арахноидальных кист или расширенных ликворных пространств на многих последовательностях.
- T1
- обычно изоинтенсивны ликвору
- часто наблюдается более интенсивный сигнал по сравнению с ликвором по периферии образования
- редко могут иметь гиперинтенсивный сигнал ("белые эпидермоиды")
- редко внутреннее кровоизлияние может привести к повышению интенсивности сигнала
- иногда может быть тонкое накопление контраста по периферии
- в редких случаях злокачественного перерождения, накопление становится более выраженным
- обычно изоинтенсивны ликвору (65%)
- слегка гиперинтенсивнее (35%)
- редко гипоинтенсивные, как правило , в случаях так называемых "белых эпидермоидов"
- обычно неоднородный / "грязный" сигнал; выше, чем от ликвора
- остерегайтесь потоковых артефактов от пульсации ликвора, которые могут имитировать подобные изменения
Лечение и прогноз
При наличии симптоматики хирургическое иссечение является методом выбора. Полная резекция затруднительна, так как не все ткани могут быть удалены, особенно расположенные около черепномозговых нервов и сосудов. Поэтому рецидив не редкость, хотя рост, как правило, медленный и може пройти много лет без появления новых симптомов.
Эпендимома головного мозга
Эпендимома головного мозга — это опухоль из эпендимальной ткани желудочковой системы головного мозга. Клинически проявляется, прежде всего, признаками повышенного внутричерепного давления, а также атаксией, нарушениями со стороны зрения и слуха, судорожными приступами, нарушением речи и глотания. Диагностика осуществляется преимущественно при помощи МРТ головного мозга, спинальной пункции, ЭЭГ, гистологического исследования. Основу лечения составляет радикальное удаление эпендимомы с последующей лучевой или химиотерапией. У взрослых применяется стереотаксическая радиохирургия.
МКБ-10
Общие сведения
Эпендимома головного мозга — опухоль ЦНС, берущая свое начало из эпендимоцитов. Последние представляют собой эпителиоподобные клетки, образующие эпендиму — тонкую эпителиальную выстилку церебральных желудочков и центрального спинномозгового канала. Эпендимомы составляют до 8% всех опухолей головного мозга, относятся к глиомам.
Эпендимомы чаще встречаются в детском возрасте, около 60% больных составляют дети первых пяти лет жизни. По своей распространенности эпендимома головного мозга занимает 3-е место среди всех церебральных опухолей у детей. В детском возрасте более часто, чем у взрослых, наблюдаются ее злокачественные варианты. Лечение эпендимом является актуальной проблематикой современной онкологии, неврологии и нейрохирургии.
Причины
Исследования позволили обнаружить вирус SV40, находящийся в клетках эпендимом в активном состоянии. Однако до сих пор не понятна его роль в развитии новообразования. Предполагают, что эпендимома головного мозга возникает в связи с воздействием общих для большинства опухолей онкогенных факторов: химических канцерогенов, радиоактивного излучения, длительно действующих неблагоприятных природных условий (например, гиперинсоляции), онкогенных вирусов (вирус герпеса, папилломы человека и пр.).
Кроме того, нельзя исключить участия генетических факторов в развитии эпендимом. Известны сочетания церебральных эпендимом с нейрофиброматозом Реклингхаузена, синдромом множественных эндокринных неоплазий (МЭН), семейным полипозом толстой кишки.
Патогенез
Эпендимома головного мозга чаще образуется в задней черепной ямке. Во многих случаях характеризуется медленным ростом, отсутствием прорастания в окружающие церебральные ткани. Однако по мере роста новообразования оно может вызвать масс-эффект — сдавление головного мозга. Метастазирование эпендимомы происходит преимущественно по ликворным путям и, как правило, не выходит за пределы ЦНС. Наиболее часто отмечаются ретроградные метастазы в спинной мозг.
Классификация
Согласно современной классификации, различают 4 вида эпендимом, отличающихся степенью доброкачественности и характером течения опухолевого процесса:
- Миксопапиллярная эпендимома является наиболее доброкачественной, локализуется, главным образом, в спинном мозге в области конского хвоста. Встречается в основном у взрослых.
- Субэпендимома отличается медленным доброкачественным ростом, зачастую бессимптомным течением и относительно редким рецидивированием.
- Классическая эпендимома наблюдается наиболее часто. Может стать причиной окклюзии ликворных путей. Часто рецидивирует, со временем способна трансформироваться в анапластическую эпендимому.
- Анапластическая эпендимома составляет около четверти всех эпендимом. Отличается ускоренным ростом и метастазированием, за что получила синонимичные названия: эпендимобластома, злокачественная эпендимома, недифференцированная эпендимома.
Симптомы эпендимомы
Эпендимома головного мозга манифестирует признаками внутричерепной гипертензии: нарастающей головной болью, ощущением давления в глазных яблоках, независимой от приема пищи тошнотой, рвотой. Наряду с этим у многих пациентов наблюдается раздражительность, некоторые изменения в привычном поведении, атаксия — неуклюжесть и шаткость ходьбы, дискоординация движений, затрудняющая, в первую очередь, мелкие действия руками, в т. ч. и письмо. У детей школьного возраста отмечается заметное ухудшение результатов учебы.
Выше указанные симптомы являются следствием ликворно-гипертензионного синдрома и усугубляются по мере нарастания внутричерепного давления. Если эпендимома становится препятствием на пути циркуляции цереброспинальной жидкости и вызывает обтурацию ликворных путей, развивается обтурационная гидроцефалия. В клинической картине это проявляется резким нарастанием имеющихся симптомов — головная боль становиться очень интенсивной и сопровождается многократной рвотой без облегчения состояния. Возможны судорожные приступы.
Очаговая симптоматика, сопровождающая церебральную эпендимому, варьирует в соответствии с месторасположением опухоли. Для опухолей задней черепной ямки характерна вестибулярная атаксия, двоение в глазах. Если эпендимома головного мозга располагается в нижней части IV желудочка, то возможны тугоухость, дизартрия, мозжечковая атаксия, дисфагия.
Диагностика
Выраженный ликворно-гипертензионный синдром, появление другой неврологической симптоматики или впервые возникший эпиприступ являются для невролога поводом к всестороннему обследованию пациента. Спектр проводимых исследований включает:
- МРТ или КТ головного мозга.МРТ головного мозга предпочтительнее, поскольку дает более полную информацию и позволяет избежать лучевой нагрузки, особенно, когда речь идет об обследовании ребенка.
- НСГ. Для детей до года этапом первичной диагностики может стать нейросонография, которая выполняется через еще незакрывшийся родничок.
- Цитоморфологическая диагностика. Для определения распространенности процесса на спинномозговой канал производится люмбальная пункция и исследование цереброспинальной жидкости. Окончательная верификация диагноза возможна лишь после морфологического изучения материала эпендимомы, полученного интраоперационно или путем стереотаксической биопсии.
- Дополнительные методы. Проводится электроэнцефалография, консультация офтальмолога, прямая офтальмоскопия.
Лечение эпендимомы головного мозга
Нейрохирургические операции
Оптимальным способом лечения эпендимомы является ее тотальное удаление. Частое расположение опухоли в задней черепной ямки обуславливает определенные трудности доступа к ней, с которыми сталкивается нейрохирург. Если полное удаление опухоли невозможно, операция может носить паллиативный характер. В таких случаях для улучшения оттока цереброспинальной жидкости может быть проведена шунтирующая операция.
У взрослых разрушение опухоли возможно методом стереотаксической радиохирургии. Последнее время все шире применяется установка «Кибер-нож», позволяющая достигнуть большой суммарной дозы облучения эпендимомы путем схождения на опухоли многочисленных пучков, исходящих из разных точек аппарата. Однако, в связи с большой лучевой нагрузкой, этот метод не рекомендован детям до 14 лет.
Противоопухолевая терапия
С целью уменьшения вероятности рецидива церебральной эпендимомы после хирургического лечения проводится лучевая терапия. У детей раннего возраста, мозг которых особо восприимчив к радиоактивному излучению, лучевая терапия должна быть сокращена или заменена химиотерапией. Лечение цитостатиками (цисплатином, карбоплатином) может проводиться после лучевой терапии или вместо нее. Его объем зависит от характера и распространенности эпиндимомы.
Прогноз
Миксопапиллярная эпендимома и субэпиндимома после их радикального удаления обычно имеют благоприятный прогноз. В случае классической эпендимомы полное удаление удается не всегда. Новообразование рецидивирует, как правило, в месте своего первоначального появления. При удачном удалении 5-летняя выживаемость оценивается на уровне 67-80%.
Наиболее негативный прогноз у анапластической эпендимомы, что связано с ее быстрым распространением по ликворным путям. Следует отметить, что даже после успешно осуществленного лечения у пациентов в последующем может сохраняться различная неврологическая симптоматика, тугоухость, ухудшение зрения; у детей возможна задержка психического развития.
Диагностика эпидермальной кисты
![]()
Эпидермальная кистапредставляет собой ограниченную капсулой полость, которая заполнена кожным салом и роговыми массами. Эпидермальные кисты с включениями также известны как эпидермальные, эпидермоидные, инфундибулярные и кератиновые кисты. Эпидермальная киста включения обычно выглядит как медленно увеличивающаяся, подвижная, куполообразная опухоль, заполненная кератиновым материалом и расположенная чуть ниже поверхности кожи. Размер варьируется от 0,5 см до нескольких сантиметров. Часто на поверхности эпидермальной кисты включения имеется небольшое отверстие темного цвета, которое соединяется с кистой под поверхностью кожи. Через это отверстие вытекает кератиновый материал. Эпидермальные кисты с включениями обычно считаются доброкачественными, хотя в редких случаях наблюдались злокачественные образования внутри кисты.
Эпидермальные кисты являются наиболее распространенным типом кист кожи. Они располагаются где угодно, но чаще всего встречаются на лице, затем на груди или спине, волосистой части головы, шее, ногах, руках и/или гениталиях. Эпидермальные кисты часто протекают бессимптомно. Однако по мере накопления кератина внутри кисты она увеличивается в размерах, воспаляется, вызывает боль и в конце концов разрывается. Обратитесь к врачу, если появились эти или другие тревожные симптомы.
Являются ли эпидермальные кисты злокачественными?
Эпидермальные кисты встречаются часто и обычно безвредны, но в редких случаях становятся злокачественными. Примерно 1% из них трансформируются в злокачественную опухоль. Эпидермальная киста вызывает беспокойство, если обладает одним из следующих признаков:
- признаки инфекции, включая боль, покраснение, отек и выделения
- быстрая скорость роста
- диаметр более 5 см.
Факторы риска
Эпидермальные кисты чаще всего возникают в раннем и среднем зрелом возрасте - 20-60 лет. Она редко появляются до полового созревания. У мужчин они встречаются в 1,5 раза чаще, чем у женщин. Эпидермальная киста включения обычно не исчезает полностью сама по себе, если ее не удалить хирургическим путем. Однако образование может уменьшиться в размерах и оставаться бессимптомной в течение некоторого времени, и лечение может не потребоваться.
Заразны ли эпидермальные кисты?
Нет, эпидермальные кисты не заразны.
Является ли эпидермальная киста признаком рака?
Эпидермальные кисты редко бывают опасными. Однако были редкие случаи, когда внутри кисты образовывалась злокачественная опухоль. Обсудите опасения с врачом.
Причины эпидермальной кисты
Большинство эпидермальных кист возникают случайно. Некоторые генетические заболевания связаны с развитием множественных эпидермальных кист включений:
- синдром Гарднера - семейный колоректальный полипоз
- синдром Горлина - синдром базальноклеточного невуса
- синдром Фавра-Ракушо.
Лекарства, которые связаны с повышенным риском развития эпидермальных кист, включают:
- ингибиторы BRAF
- имихимод
- Циклоспорин.
Эпидермальные кисты образуются из фолликулярной воронки, которая является частью волосяного фолликула, когда фолликулярная воронка разрушается или внедряется под поверхность кожи в результате повреждения или травмы этой области, например, царапины, хирургической раны или кожного заболевания, такого как акне.
Симптомы эпидермальной кисты
Основной признак эпидермальной кисты - небольшая, подвижная опухоль под кожей. Она обычно не болезненна.
Как долго сохраняются эпидермальные кисты ?
Некоторые кисты уменьшаются в размерах и протекают бессимптомно, в то время как другие продолжают расти. Без лечения эпидермальная киста остается в организме на всю жизнь.
Как диагностируют эпидермальные кисты
Обычно дерматолог диагностирует эпидермальную кисту включения с помощью осмотра кожи. В некоторых случаях врач проводит биопсию, чтобы исключить другие новообразования кожи:
Лечение
Во многих случаях эпидермальные кисты можно не лечить и наблюдать за ними, поскольку они не опасны, особенно если они не вызывают никаких симптомов. Если киста воспаляется или становится болезненной, назначаются:
Киста на МРТ головного мозга
![]()
Киста является достаточно частой находкой на МРТ головного мозга. Ее появление может быть спровоцировано разными факторами. Например, киста головного мозга может быть следствием нарушенного ликворооттока (ликворные кисты) или врожденной патологией, как арахноидальная киста головного мозга у детей. Диагностировать кистозное образование в головном мозге можно с помощью любого томографа. Здесь модель и мощность аппарата не играют сильного влияния на качество диагностики. Оценку кистозного участка головного мозга по данным MP-томографии пациентам проводят для:
- первичного определения кисты;
- определения этиологии внутримозговой и оболочной кисты;
- оценки качественного состава содержимого кист и ликворопроводящих структур;
- назначения этиотропной терапии;
- своевременного проведения профилактики осложнений.
Симптомы кисты головного мозга
Киста головного мозга может проявляться симптоматически или долгое время существовать бессимптомно. Признаки кистозного образования достаточно серьезные - это головная боль, атаксия, то есть нарушение контроля движений, различные приступообразные состояния, в том числе эпилептические припадки. Каким образом киста головного мозга или оболочек заявит о себе, зависит от ее локации и размеров.
Зачастую в начале своего формирования киста головного мозга развивается бессимптомно, и у пациента заподозрить эту патологию без процедуры МРТ головного мозга невозможно. Когда киста достигает больших размеров и начинает давить на соседние мозговые структуры, появляются неврологические симптомы. Тогда больной приходит на прием к неврологу. Врач, собрав все жалобы, чтобы выявить истинные причины недомогания, направляет пациента сделать МРТ головного мозга.
У лиц более старшего возраста кисты очень часто являются случайной находкой на МРТ или КТ головы при поиске каких-либо других проблем со стороны головного мозга.
Цена на МРТ 3 Тесла
Признаки кисты на МРТ головного мозга
Основная задача МРТ головы при подозрении на кисту - выяснить, какова ее локализация, размеры, соответствует ли степень изменений и местоположения с теми неврологическими проявлениями, что имеются у пациента. Вторая задача томографии - дифференцировать кистозное образование от опухоли головного мозга, сосудов или оболочек. Здесь врач на МРТ снимках будет искать следующие признаки:
- шарообразное образование с круглыми четкими краями;
- признаки жидкости внутри капсулы кисты;
- отсутствие тканевой инвазии в соседние структуры головного мозга.
МРТ при арахноидальной кисте
Арахноидальная киста является чаще врожденной патологией и представляет собой ликворную кисту, которая образуется между мозгом и паутинной или арахноидальной оболочкой. При этом происходит небольшое аномальное развитие - дуплицируются и образуются две арахноидальные оболочки. Между оболочками имеется пространство, которое может заполниться спинномозговой жидкостью.
Иногда арахноидальная киста является последствием таких состояний, как менингит, или других воспалительных заболеваний со стороны головного мозга. Она также может сопутствовать некоторым наследственным заболеваниям.
В большинстве случаев врожденная арахноидальная киста образуется на этапе эмбрионального развития и представляет собой некоторую аномалию развития оболочек мозга и нервной системы. Стенками врожденной арахноидальной кисты является паутинная оболочка. У вторичной кисты стенкой может являться рубцовая ткань, та же самая арахноидальная оболочка или дополнительное наслоение коллагена.
Самые частые симптомы арахноидальной кисты - это головная боль и головокружение. Бывает, что человека впервые после 30 лет и старше начинает болеть или кружиться голова, ему при таких симптомах делается МРТ головного мозга и обнаруживается киста оболочек как случайный артефакт.
МРТ или УЗИ головного мозга при кисте
Ранее, когда в арсенале диагностических методов у врачей не было магнитно-резонансной томографии, диагностика кист головного мозга осуществлялась с помощью УЗ-энцефалографии. Такое исследование справлялось с выявлением кистозных образований у маленьких детей, но у взрослого пациента могло обнаружить только очень крупное новообразование.
Читайте также:
- мостомозжечковый угол: 40-50%


