Диагностика фиброзной дисплазии грудной стенки на рентгенограмме, КТ, МРТ
Добавил пользователь Владимир З. Обновлено: 22.01.2026
Неоссифицирующая фиброма - это наиболее распространённое неопухолевое фиброзное поражение костей. По своей природе это более крупный вид фиброзного кортикального дефекта (< 3 см); оба состояния отражают термин фиброксантома или метафизарный фиброзный дефект.
Эпидемиология
Неоссифицирующая фиброма очень часто встречается у детей и подростков и является наиболее частыми фиброзным поражением костей в этой возрастной группе, с пиком выявляемости 10-15 лет [4]. Распространенность составлеят до 30-40% среди здоровых детей. У мальчиков встречается в два раза чаще чем у девочек [6]. Обычно не встречается после 30 лет, поскольку самостоятельно спонтанно излечивается, постепенно замещаясь костной тканью.
Клиническая картина
Большинство неоссифицирующих фибром бессимптомны. Крупные поражения могут быть болезненными и, ослабляя кость, являться предрасполагающим фактором для возникновения патологического перелома. Множественные неоссифицирующие фибромы сочетаются с нейрофиброматозом I типа, фиброзной дисплазией и синдромом Яффе—Кампаначи (Jaffe-Campanacci syndrome). Редко неоссифицирующая фиброма может вызывать гипофосфатемический витамин-D-резистентный рахит [5].
Патология
Неоссифицирующая фиброма макроскопически представляет собой мясистое, волокнистое, желтое или коричнево-коричневое поражение с участками кровоизлияния [3].
Микроскопически поражение характеризуется высокой клеточностью, с наличием веретеновидных клеток, на фоне стромы, формируя так называемый «муаровый» узор. Встречаются пенистые гистиоцит и многоядерные гигантские клетки. Митотические фигуры и /или дисплазия не характерны для фиброксантомы [3]. Считается, что костные островки являются самоизлечившимися фиброксантомами.
Диагностика
Рентгенография /Компьютерная томография
Неоссифицирующая фиброма характеризуется дольчатой формой, обычно имеет склеротический ободок. Локализуются эксцентрично, в прилежащем к ростовой пластинке метафизе. С ростом пациента, смещается и отдаляется от ростовой пластинки. Не сочетается с периостальной реакцией, нарушением целостности кортикальной пластинки и не имеет мягкоткпнного компонента.
Магнитно-резонансная томография
МР картина разнообразная и зависит отдлительности заболевания и репаративной фазы, при которой получены изображения. В начале заболевания, поражение характеризуется высоким или промежуточным сигналом на Т2 взвешенных изображениях, окружённым по периферии низкоинтенсивным ободком, отражающем склеротическую границу. С началом оссификации сигнал становится низкоинтенсивным на всех последовательностях [2]. Контрастное усиление варьирует.
Сцинтиграфия
Данные сцинтиграфии зависят от фазы поражения. В целом они отрицательны; однако, во время процессов репарации присутсвуют умеренная гиперемия и умеренное поглащение. Если имеется выраженное поглощение или гиперемия, следует рассмотреть альтернативный диагноз или заподозрить перелом [3].
Лечение и прогноз
Неоссифицирующая фиброма относится к категории поражений "не трогай и оставь меня в покое". В подавляющем большинстве случаев не требует биопсии и лечения. При вовлечении в процесс более половины диаметра кости, с целью профилактики патологического перелома, выполняется кюретаж с графитнгом/замещением кости [1].
Фиброзная дисплазия
Фиброзная дисплазия — это заболевание, характеризующееся нарушением развития скелета, при котором нормальная кость замещается фиброзной тканью с элементами диспластически изменённой кости.
Фиброзная дисплазия расценивается как опухолеполобная гиперплазия в одной или одновременно в нескольких костях, которая сопровождается и внескелетными аномалиями.
Терминология
- Фиброзная дисплазия делится на следующие подтипы
- монооссальная ФД — в 70-80% случаях. Чаще в промежутке от 20-30 лет
- краниальная ФД
- черубизм (СЕМЕЙНАЯ ФИБРОЗНАЯ ДИСПЛАЗИЯ ЧЕЛЮСТИ) — неистинная ФД — поражение верхней и нижней челюсти
Эпидемиология
Встречается до 30 лет в 75% случаях, с наибольшей частотой встречаемости в промежутке от 3 до 15 лет. Взаимосвязи с полом нет.
Ассоциация
- Хотя фиброзная дисплазия обычно спорадическая, ряд ассоциаций давно доказаны:
- Синдром МакКьюн-Олбрайт — 2-3% случаях полиостальной формы.
- Изолированная форма с эндокринопатией без Синдром МакКьюн-Олбрайт у девочек — гипертиреоз, гиперпаратиреоз, акромегалия, сахарный диабет.
- Синдром Кушинга: остеопороз, акне, задержка роста
- Синдром Mazabraud: миксомы мягких тканей (редко); обычно множественные внутримышечные поражения в непосредственной близости от наиболее пострадавшей кости
Клиническая картина
- Пациент обращается за помощью, когда
- Появляется асимметрия, например, парных костей или костей лица
- Появляется боль
- Появляются нарушения двигательной функции
- Появляются патологические переломы
![klinika]()
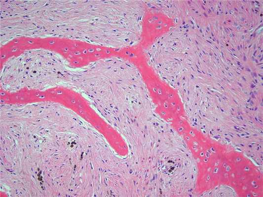
Патология
Макроскопические изменения
- При макроскопическом исследовании определяются беловато-красные опухолевые очаги разной плотности, в зависимости от степени выраженности их минерализации. Имеются многочисленные кисты, заполненные желтоватой или красноватой жидкостью, и полупрозрачные участки хряща до 3 см в диаметре.
![makro]()
Микроскопические изменения
- Многочисленные остеоидные балки неправильной формы, лежащие в фиброзной ткани с небольшим числом остеобластов. Остеоидные балки представляют собой большей частью волокнистую, но не компактную кость.
- Мелкие участки остеоида могут быть обызвествлены. Известь откладывается, как правило, в центре балки. Имеются многоядерные клетки типа остеокластов, окаймляющие некоторые балки.
- В периферических отделах очаг фиброзной дисплазии без резкого перехода сливается с реактивной костью. Фиброзная строма местами коллагенизирована, кое-где миксоматозна, то богата клеточными элементами, то почти лишена их.
- Фибробласты имеют то крупные овальные, то вытянутые и как бы сморщенные ядра. Между разрастаниями фиброзной ткани и остеоида встречаются островки хряща, обызвествленные по периферии. Принято думать, что такая картина весьма стабильна и сохраняется на протяжении многих лет и у детей, и у взрослых лиц.
- Хрящевые островки присутствуют в 10% случаях, что является отличительной чертой от хондросаркомы
- При ФД нет ободка остеобластов, что позволяет дифференцировать от оссифицирующей фибромы
![mikro]()
Подтипы
- монооссальная ФД — в 70-80% случаях. Чаще в промежутке от 20-30 лет
- полиоссальная ФД — 20-30% случаях. Чаще проявляется до 8 лет
Типичная локализация
![1]()
- Монооссальная ФД
- ребер: 28%, наиболее распространенных 6,7
- проксимальный отдел бедренной кости: 23%
- голень
- черепно-лицевая кость: 10-25% 4
- плечо
- Полиоссальная ФД
- часто односторонних: в пределах одной конечности 6
- бедра: 91%
- голени: 81%
- таз: 78%
- ноги: 73%
- ребра
- черепа и кости лица: 50% 4
- верхняя конечность
- поясничный отдел позвоночника: 14%
- ключица: 10%
- шейный отдел позвоночника: 7%
Радиологические находки
- Рентгенологическая картина фиброзной дисплазии разнообразна.
- Патологические участки могут быть то более плотными, то более прозрачными по сравнению с окружающей костью, иногда имеют вид «матового стекла».
- Одни очаги четко отграничены зоной склероза, контуры других расплывчатые, что особенно характерно для костей черепа.
- Нередко выявляются узуры в кортикальном слое, а при наличии перелома — отчетливая периостальная реакция.
КТ
- затемнение по типу матового стекла: 56% 4
- очаг однородный склеротический: 23%
- очаг кистозный: 21%
- очаг с четко определенными границами
- расширение костей с интактными вышележащими костями
МРТ
- МРТ не является методом 100% в дифференциации фиброзной дисплазии от злокачественных образований
- Т1: неоднородный сигнал, как правило, промежуточный
- Т2: неоднородный сигнал, обычно гипоинтенсивный, но бывает с гиперинтенсивными участками
- Т1 с+ (Gd): гетерогенное контрастирование 4
Ядерная медицина
- Визуализируется увеличение индикаторного поглощения Tc99 при сканирование костей
- (очаги остаются метаболически активными и во взрослой жизни).
![nuklear]()
Осложнения
- Дедифференциация до
- остеосаркомы — наиболее чаще
- фибросаркомы
- злокачественной фиброзной гистиоцитомы
- реже до хондросаркомы
Дифференциальный диагноз
- Болезнь Педжета
- гистологически мозаичные включения в костях
- радиографическимогут быть схожи
- Нейрофиброматоз 1 типа
- Остеофиброзная дисплазия
- Не-оссифицирующая фиброма
- Гигантско-клеточная опухоль
Клинические случаи
Этот 23-летний мужчина упомянул, чтобы была травма и теперь жалуется на боль и отек левой голени.
Этот 33-летний мужчина жалуется на невыносимые головные боли.
Источник
4. Chong VF, Khoo JB, Fan YF. Fibrous dysplasia involving the base of the skull. AJR Am J Roentgenol. 2002;178 (3): 717-20. AJR Am J Roentgenol (full text) — Pubmed citation
5. Brown EW, Megerian CA, Mckenna MJ et-al. Fibrous dysplasia of the temporal bone: imaging findings. AJR Am J Roentgenol. 1995;164 (3): 679-82. AJR Am J Roentgenol (abstract) — Pubmed citation
6. Fitzpatrick KA, Taljanovic MS, Speer DP et-al. Imaging findings of fibrous dysplasia with histopathologic and intraoperative correlation. AJR Am J Roentgenol. 2004;182 (6): 1389-98. AJR Am J Roentgenol (full text) — Pubmed citation
7. Kransdorf MJ, Murphey MD. Diagnosis please. Case 12: Mazabraud syndrome. Radiology. 1999;212 (1): 129-32. Radiology (full text) — Pubmed citation
98. Maramattom BV. Leontiasis ossea and post traumatic cervical cord contusion in polyostotic fibrous dysplasia. Head & Face Medicine. 2006;2 (1): 24. doi:10.1186/1746-160X-2-24 — Free text at pubmed — Pubmed citation
9. Larheim TA, Westesson P. Maxillofacial Imaging. Springer Verlag. (2008) ISBN:3540786856. Read it at Google Books — Find it at Amazon
killФиброзная дисплазия ( Болезнь Лихтенштейна , Болезнь Лихтенштейна-Брайцова , Болезнь Лихтенштейна-Яффе )
Фиброзная дисплазия - это поражение кости, при котором участок нормальной костной ткани замещается соединительной тканью с включением костных трабекул. Относится к категории опухолеподобных заболеваний, может быть локальной или распространенной, поражать одну или несколько костей. Проявляется болями, деформацией, укорочением или удлинением сегмента и патологическими переломами. Диагноз выставляется на основании рентгенографии, МРТ, КТ и других исследований. Лечение обычно хирургическое - резекция пораженного участка кости с замещением дефекта.
МКБ-10
![Фиброзная дисплазия]()
Общие сведения
Фиброзная дисплазия (болезнь Лихтенштейна, болезнь Лихтенштейна-Яффе или болезнь Лихтенштейна-Брайцова) - системное поражение скелета. Симптомы обычно выявляются еще в детстве, но возможно и позднее начало. В литературе описаны случаи, когда монооссальная фиброзная дисплазия впервые диагностировалась у людей пенсионного возраста. Женщины болеют чаще мужчин. Возможно перерождение в доброкачественную опухоль; озлокачествление наблюдается редко.
Заболевание впервые было описано в первой половине 20 века. В 1927 году российский хирург Брайцов сделал доклад о клинических, микроскопических и рентгенологических признаках очагового фиброзного перерождения кости. В 1937 году Олбрайт описал многоочаговую фиброзную дисплазию, сочетающуюся с эндокринными нарушениями и характерными изменениями кожи. В том же году Альбрехтом была описана многоочаговая дисплазия в сочетании с преждевременным половым созреванием и нечеткой кожной пигментацией. Чуть позже Яффе и Лихтенштейн исследовали одноочаговые поражения и опубликовали выводы о причинах их возникновения.
Причины
Фиброзная дисплазия относится к категории опухолеподобных заболеваний, но не является истинной опухолью костей. Возникает вследствие неправильного развития остеогенной мезенхимы (ткани, из которой в последующем образуется кость). Причины развития не ясны, не исключена генетическая предрасположенность.
Классификация
В травматологии и ортопедии выделяют две основные формы фиброзной дисплазии: монооссальную (с поражением одной кости) и полиоссальную (с поражением нескольких костей, обычно расположенных на одной стороне тела). Полиоссальная форма развивается в детском возрасте и может сочетаться с эндокринными нарушениями и меланозом кожи (синдром Олбрайта). Монооссальная форма может манифестировать в любом возрасте, эндокринопатий и пигментации кожи у пациентов не наблюдается. Российские специалисты используют клиническую классификацию Зацепина, включающую следующие формы заболевания:
- Внутрикостная форма. Может быть монооссальной или полиоссальной. В кости образуются единичные или множественные очаги фиброзной ткани, в ряде случаев наблюдается перерождение кости на всем протяжении, однако структура коркового слоя сохранена, поэтому деформации отсутствуют.
- Тотальное поражение кости. Страдают все элементы, включая кортикальный слой и область костномозгового канала. Из-за тотального поражения постепенно формируются деформации, часто возникают усталостные переломы. Обычно наблюдается полиоссальное поражение длинных трубчатых костей.
- Опухолевая форма. Сопровождается разрастанием очагов фиброзной ткани, которые иногда достигают значительных размеров. Выявляется редко.
- Синдром Олбрайта. Проявляется полиоссальным или практически генерализованным поражением костей в сочетании с эндокринными расстройствами, преждевременным половым созреванием у девочек, нарушением пропорций тела, очаговой пигментацией кожи, тяжелыми деформациями конечностей и костей туловища. Сопровождается прогрессирующими нарушениями со стороны различных органов и систем.
- Фиброзно-хрящевая дисплазия. Появляется преимущественным перерождением хряща, нередко наблюдается трансформация в хондросаркому.
- Обызвествляющая фиброма. Особая форма фиброзной дисплазии, встречается очень редко, обычно поражает большеберцовую кость.
Симптомы фиброзной дисплазии
Выраженные врожденные деформации обычно отсутствуют. При полиоссальной форме первые симптомы появляются в детстве. Поражение костей сопровождается эндокринопатиями, пигментацией кожи и нарушением деятельности сердечно-сосудистой системы. Проявления болезни достаточно разнообразны, наиболее постоянными признаками являются незначительные боли (обычно в бедрах) и прогрессирующие деформации. Иногда болезнь диагностируется только при возникновении патологического перелома.
Обычно при полиоссальной форме наблюдается поражение трубчатых костей: большеберцовой, бедренной, малоберцовой, плечевой, лучевой и локтевой. Из плоских костей чаще страдают кости таза, кости черепа, позвоночник, ребра и лопатка. Нередко выявляется поражение костей кистей и стоп, при этом кости запястья остаются интактными. Степень деформации зависит от локализации очагов фиброзной дисплазии. При возникновении процесса в трубчатых костях верхних конечностей обычно наблюдается только их булавовидное расширение. При поражении фаланг пальцы укорачиваются, выглядят «обрубленными».
Кости нижних конечностей искривляются под тяжестью тела, возникают характерные деформации. Особенно резко деформируется бедренная кость, в половине случаев выявляется ее укорочение. Из-за прогрессирующего искривления проксимальных отделов кость приобретает форму бумеранга (пастушьего посоха, хоккейной клюшки), большой вертел «сдвигается» вверх, иногда достигая уровня тазовых костей. Шейка бедра деформируется, возникает хромота. Укорочение бедра может составлять от 1 до 10 см.
При формировании очага в малоберцовой кости деформация конечности отсутствует, при поражении большеберцовой кости может наблюдаться саблевидное искривление голени или замедление роста кости в длину. Укорочение обычно менее выражено, чем при очаге в бедренной кости. Фиброзная дисплазия подвздошной и седалищной костей вызывает деформацию тазового кольца. Это, в свою очередь, негативно влияет на позвоночник, провоцируя нарушения осанки, сколиоз или кифоз. Ситуация усугубляется, если процесс одновременно поражает бедро и кости таза, поскольку в подобных случаях ось тела еще больше нарушается, а нагрузка на позвоночник - увеличивается.
Монооссальная форма протекает более благоприятно, внекостные патологические проявления отсутствуют. Выраженность и характер деформаций сильно варьируют в зависимости от локализации, размера очага и особенностей поражения (тотальное или внутрикостное). Могут наблюдаться боли, хромота и повышенная утомляемость после нагрузки пораженного сегмента. Как и при полиоссальной форме, возможны патологические переломы.
Диагностика
Диагноз выставляется ортопедом-травматологом на основании клинической картины и данных рентгенологического исследования. На начальном этапе на рентгеновских снимках в области диафиза или метафиза пораженной кости выявляются зоны, по виду напоминающие матовое стекло. Затем пораженный участок приобретает характерный крапчатый вид: очаги уплотнения чередуются с участками просветления. Хорошо видна деформация.
При обнаружении одиночного очага необходимо исключить множественное поражение костей, которое на начальных стадиях может протекать бессимптомно, поэтому больных направляют на денситометрию. При наличии подозрительных участков выполняют рентгенографию, при необходимости используют КТ кости.
Следует учитывать, что фиброзная дисплазия, особенно монооссальная, может представлять значительные трудности в процессе диагностики. При нерезко выраженной клинической симптоматике нередко требуется длительное динамическое наблюдение. Для исключения других заболеваний и оценки состояния различных органов и систем могут потребоваться консультации фтизиатра, онколога и терапевта. В отдельных случаях показан осмотр кардиолога, эндокринолога или иных специалистов.
Лечение фиброзной дисплазии
Лечение преимущественно хирургическое - полная сегментарная резекция пораженного участка кости в пределах здоровых тканей и замещение дефекта костным трансплантатом. При патологическом переломе накладывают аппарат Илизарова. При множественных поражениях проводят профилактические мероприятия, направленные на предотвращение деформаций и патологических переломов.
Прогноз и профилактика
Прогноз для жизни благоприятный. В отсутствие лечения, особенно при полиоссальной форме, могут возникать грубые калечащие деформации. Иногда очаги дисплазии перерождаются в доброкачественные опухоли (гигантоклеточную опухоль или неоссифицирующую фиброму). У взрослых описано несколько случаев злокачественного перерождения в остеогенную саркому. Специфическая профилактика отсутствует из-за неясной этиологии заболевания.
2. Фиброзная дисплазия. Клинические рекомендации / Общероссийская общественная организация Ассоциация травматологов-ортопедов России (АТОР) - 2016
Фиброзная дисплазия — заболевание, характеризующееся нарушением развития (дисплазия) скелета, при котором нормальная кость замещается фиброзной тканью с элементами диспластически изменённой кости.
Выделяют следующие формы
- монооссальную (около 85% случаев)
- мономелическую (поражено несколько соседних костей одной конечности, плечевого или тазового пояса)
- полиоссальную (около 5% случаев)
Фиброзная дисплазия как аномалия развития иногда сочетается с внескелетными расстройствами:
- полиоссальная форма поражения сочетается с преждевременным половым созреванием и пигментными пятнами на коже в виде кофейных пятен (Albright’s syndrome);
- сочетание фиброзной дисплазии с миксомами мягких тканей (Mazabraud’s syndrome).
Встречается в любом возрасте, наиболее часто в первые 3 десятилетия жизни (70% больных). Монооссальная форма несколько чаще встречается у лиц мужского пола, при полиоссальной форме соотношение лиц мужского и женского пола 2 : 1. Поражается любая кость, наиболее частая локализация: проксимальная часть бедренной кости, большеберцовая и плечевая кости, рёбра, кости черепа, шейного отдела позвоночника. Поражение костей позвоночника только в 2,5% случаев.
Боли различной интенсивности, искривление и деформация костей, патологические переломы.
- Пациент обращается за помощью, когда:
- Появляется асимметрия, например, парных костей или костей лица
- Появляется боль
- Появляются нарушения двигательной функции
- Появляются патологические переломы
Патоморфология
Макроскопически — плотная ткань бело-серого цвета с мелкими включениями костной плотности; патологическая ткань почти всегда располагается только внутри костномозгового канала.
Микроскопия. Соединительнотканная строма с костными трабекулами примитивного строения, миксоидными изменениями, иногда формируются структуры типа цементом, очаги хондроидной ткани, кисты. Костные трабекулы лишь иногда ограничены остеобластами. Цитологическая атипия и митозы не характерны. В очень редких случаях может наблюдаться атипизм клеток, связанный с дегенеративными или регрессивными изменениями.Фиброзная дисплазия: причины и симптомы
![]()
Фиброзная дисплазия — это достаточно серьезное заболевание, при котором могут поражаться любые кости скелета. Суть данного патологического процесса заключается в том, что участи нормальной костной ткани замещаются соединительнотканным компонентом, что ведет к возникновению патологических переломов, костных деформаций и так далее. Стоит заметить, что такая патология принадлежит к категории опухолеподобных состояний, однако назвать ее истинной опухолью нельзя. В литературе описаны случаи, когда пораженные участки кости перерождались в доброкачественные опухоли, например, в неоссифицирующую фиброму. Также среди взрослых людей были отмечены единичные случаи, при которых возникшие очаги трансформировались в злокачественное новообразование.
Впервые фиброзная дисплазия была описана еще в начале двадцатого века. В тысяча девятьсот двадцать седьмом году российскими хирургами была опубликована работа, более точно рассказывающая о клинических и морфологических признаках, сопутствующих этой патологии. Среди всех доброкачественных поражений скелета на долю данного патологического процесса приходится около семи процентов. Однако точные сведения о его распространенности среди населения отсутствуют, так как многие люди на протяжении длительного времени не догадываются об имеющихся у них проблемах.
В подавляющем большинстве случаев первые клинические проявления при этой болезни возникают еще в детском возрасте. Однако отдельные ее варианты чаще всего диагностируются у взрослых людей. Интересно то, что представительницы женского пола в несколько большей степени подвержены развитию данного заболевания, нежели мужчины. Как мы уже сказали, этот патологический процесс нередко сопровождается образованием доброкачественных опухолей. Что касается злокачественных новообразований, то они встречаются крайне редко. Если подвести итог, то можно сказать, что в целом фиброзная дисплазия имеет благоприятный прогноз при условии своевременно начатого лечения.
Основным фактором, который играет роль в формировании данного заболевания, является неправильна закладка остеогенной мезенхимы во внутриутробном периоде. Остеогенная мезенхима — это непосредственно та ткань, из которой в дальнейшем развиваются костные компоненты. Однако точные причины этого нарушения в настоящее время все еще остаются под большим вопросом. Предполагается, что спровоцировать неправильную закладку тканей, а в дальнейшем и фиброзную дисплазию, могут различные неблагоприятные внешние воздействия на организм беременной женщины. В качестве примера можно привести радиоактивные облучения, токсические вещества и так далее.
Классификация фиброзной дисплазии
![Классификация фиброзной дисплазии]()
В первую очередь в классификацию этой болезни включены ее монооссальный и полиоссальный варианты. При монооссальном варианте в патологический процесс вовлекается только одна костная структура. С ним могут сталкиваться люди абсолютно любого возраста. Полиоссальный вариант подразумевает под собой поражение сразу нескольких костей. Как правило, такой вариант встречается у детей и нередко сочетается с нарушениями со стороны эндокринной системы, а также с кожными пигментациями.
Кроме этого, существует разделение фиброзной дисплазии еще на несколько форм: внутрикостную, тотальную, опухолевую, фиброзно-хрящевую и обызвествляющую. Внутрикостная форма характеризуется появлением одиночных или множественных соединительнотканных очагов, которые однако не затрагивают корковый слой кости. При тотальной форме поражаются все костные структуры, что ведет к достаточно быстрому появлению деформаций. Опухолевая форма устанавливается в том случае, если соединительнотканные очаги разрастаются и внешне становятся похожими на опухоль. Фиброзно-хрящевая форма подразумевает под собой возникновение специфических изменений в хрящевой ткани. Обызвествляющая форма сопровождается отложением солей кальция в фиброзных очагах. Она диагностируется крайне редко.
Симптомы, характерные для фиброзной дисплазии
Симптомы при таком патологическом процессе могут быть самыми различными. Как мы уже сказали, полиоссальный вариант, как правило, встречается у детей. Возникают жалобы на появление периодических болей в костях, которые нередко сопровождаются костными деформациями. В ряде случаев возникшее нарушение обнаруживается при обращении по поводу патологических переломов. Патологический перелом — это нарушение целостности кости даже при небольшом физическом воздействии на нее.
Что касается такого симптома, как боль, то чаще всего он определяется в области бедер. Иррадиация не характерна для болевого синдрома. Кроме этого, он имеет невыраженный характер и чаще всего возникает при физической нагрузке. Степень деформации в костях зависит от того, какой именно отдел был поражен. Ранее мы уже говорили о том, что при полиоссальном варианте зачастую определяются темные пятна на коже и гормональные нарушения.
Симптомы при монооссальном варианте практически точно такие же. Однако данный вариант традиционно считается более легким, так как затрагивает только одну кость.
Диагностика и лечение болезни
![Диагностика и лечение болезни]()
Такая болезнь может быть заподозрена уже на основании сопутствующих клинических проявлений. Однако окончательный диагноз выставляется с помощью рентгенологического исследования. При необходимости пациенту назначаются денситометрия и компьютерная томография.
Профилактика развития фиброзной дисплазии
В связи с тем, что точные причины возникновения данного патологического процесса все еще остаются под вопросом, говорить о методах профилактики достаточно сложно. В связи с этим единственной рекомендацией является максимальное ограничение неблагоприятных воздействий на организм беременной женщины.
Читайте также:
- монооссальная ФД — в 70-80% случаях. Чаще в промежутке от 20-30 лет









