Диагностика гипертрофической дегенерации олив мозга по КТ, МРТ
Добавил пользователь Евгений Кузнецов Обновлено: 09.01.2026
Ствол мозга — отдел центральной нервной системы, состоящий из продолговатого мозга, моста, среднего мозга, промежуточного мозга и мозжечка. В стволе мозга сосредоточены ядра и проводящие пути, обеспечивающие жизнедеятельность организма, в частности дыхательный и сосудодвигательный центры, а также ретикулярная формация. Серое и белое вещество ствола мозга обладает комплексной структурой, анатомически тесно переплетенной, что делает его топографию сложной для интерпретации при нейровизуализации.
Специалисты НИИДИ ФМБА России и ФГБУ ФНКЦ ФМБА России опубликовали обзор, целью которого стало раскрытие современных представлений об МРТ головного мозга как инструменте дифференциальной диагностики при поражении ствола мозга.
Поражение ствола мозга при острых нарушениях мозгового кровообращения у детей
Острые нарушения мозгового кровообращения у детей в 5-6% случаев поражают ствол мозга. Эмболы попадают в артериальные терминали и приводят к появлению Т2-гиперинтенсивных очаговых поражений. Крупный очаг является прогностически неблагоприятным признаком.
Ишемические очаги обычно невелики по размеру и связаны с гиперинтенсивностью на Т2- и Flair-режимах. Ствол мозга зачастую рассматривается как резистентный к ишемии отдел центральной нервной системы вследствие высокой плотности васкуляризации. В неонатальном периоде развитие васкуляризации может быть неполным, и дети с гипоксически-ишемической энцефалопатией в перинатальном периоде повышенно восприимчивы к повреждению покрышки мозга. Повреждение покрышки, как правило, конусообразное, билатеральное и обычно симметричное с частым вовлечением каудальной части моста и продолговатого мозга; оно проявляется оральной моторной дисфункцией. Сосудистые мальформации также встречаются в стволе мозга у детей и включают в себя врожденные аномалии вен, кавернозные гемангиомы и капиллярные телеангиоэктазии, а также артериовенозные мальформации. МРТ-паттерн каждого из этих сосудистых образований типичный.
Дисметаболические нарушения у детей с поражением ствола мозга
Митохондриальные заболевания включают широкий спектр клинических синдромов, связанных с дефицитом окислительного фосфорилирования, вызываемым частичным или полным дефицитом одного или более ферментов дыхательной цепи. Наследование может быть аутосомно-рецессивным, аутосомно-доминантным, Х-сцепленным. Дефект митохондриальной дыхательной цепи может быть вызван генетическими мутациями ядерной или митохондриальной ДНК. Метаболическая уязвимость является важной составляющей поражения ствола мозга при этих заболеваниях. Клинически данные заболевания проявляются мультисистемным поражением, постановка диагноза затруднена вследствие широкой генетической и фенотипической гетерогенности.
При МРТ ствола мозга регистрируются симметричные, иногда билатеральные очаги. Наиболее часто поражаются черная субстанция, в особенности ее ретикулярная часть, покрышка моста и среднего мозга, нижние бугры четверохолмия. Билатеральная гипертрофическая дегенерация ядер олив была описана в 40% случаев у пациентов с заболеваниями обмена веществ, что заставляет предположить, что нижние ядра олив поражаются при синдроме Лея как из-за первичной метаболической уязвимости, так и от вторичной транссинаптической нейрональной дегенерации. При синдроме Лея поражение ствола может также сопровождаться билатеральными и симметричными очагами в базальных ядрах и диффузной супратенториальной лейкоэнцефалопатией. При синдроме Лея описывается также поражение мозжечка с формированием отека с петехиальным компонентом, что позволяет предполагать наличие микроангиопатии. Гибель клеток Пуркинье и мозжечковая атрофия при синдроме Лея возникает, как предполагается, вследствие эксайтотоксичности.
Описано мультисистемное митохондриальное заболевание, специфически поражающее проводящие пути белого вещества, которое называется лейкоэнцефалопатией с поражением ствола головного мозга, спинного мозга и повышенным накоплением лактата (LBSL). Данное состояние ассоциировано с различными генетическими отклонениями, в частности с мутациями гена DARS2. При этом синдроме описано билатеральное симметричное поражение белого вещества медиальной петли, тригеминальной петли, пирамидных трактов, задних канатиков спинного мозга, верхних и нижних ножек мозжечка, белого вещества мозжечка; при МР-спектроскопии выявляется увеличение уровня лактата.
Среди метаболических синдромов, поражающих ствол, центральный понтинный миелинолиз является МРТ-особенностью синдрома осмотической демиелинизации, метаболического синдрома, развивающегося у пациентов с тяжелыми электролитными нарушениями или быстрой коррекцией гипонатриемии. При этом состоянии в центральной части моста регистрируются Т2-гиперинтенсивные очаги с изменениями сигнала, связанными с поражением миелиновой оболочки, но не аксонов. В некоторых случаях появляется характерный «очаг в форме трезубца», для которого специфично отсутствие поражения кортикоспинальных трактов и вентролатеральной части моста. Такой очаг может распространяться до среднего мозга и средних ножек мозжечка.
У 20-30% младенцев с эпилепсией, получавших вигабатрин, описаны преходящие билатеральные симметричные Т2-гиперинтенсивные очаги в области покрышки, бледного шара и таламуса. Причины развития данного поражения неясны, однако известно, что наиболее выраженные МРТ-изменения регистрируются через 3-6 мес. от начала лечения.
Стволовой энцефалит у детей
Наиболее часто стволовой энцефалит вызывается энтеровирусами 71-го типа, листериями, вирусом простого герпеса. МРТ-находки при этой патологии неспецифичны. Очаги обычно множественные, асимметричные, Т2-гиперинтенсивные и не всегда накапливающие контрастное вещество в режиме Т1.
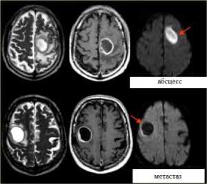
При некоторых вирусных энцефалитах регистрируется селективная уязвимость черной субстанции. Формирование абсцесса с кольцевым усилением сигнала после введения контрастного вещества наблюдается при поражении всех уровней ствола мозга, при инфекции. При туберкулезе регистрируется милиарный паттерн. Для обеих этих форм стволового энцефалита характерно формирование абсцессов, которые обычно расположены в мосту и выглядят как очаги с легкой Т2-гиперинтенсивностью сигнала вследствие формирования вазогенного отека. Центральная часть этих очагов может выглядеть изо- или гиперинтенсивной в Т2-режиме. В случае формирования туберкуломы сигнал от центральной части очага — Т2-гипоинтенсивный. Поражение ствола при энцефалите может быть ассоциированным с супратенториальными нарушениями, в некоторых случаях со специфическими симметричными билатеральными очагами в области базальных ядер.
Существует «только стволовой энцефалит», известный также как энцефалит Бикерстаффа, который имеет воспалительную неинфекционную природу и в большинстве случаев аутоиммунную этиологию. После того как была продемонстрирована патогенетическая роль антиганглиозидных антител, пациенты, у которых клинически наблюдался широкий спектр симптомов — от офтальмоплегии и атаксии до нарушения сознания и арефлексии, и которые ранее описывались как случаи симптома Миллера-Фишера, синдрома Гийена-Барре или энцефалита Бикерстаффа, стали расцениваться как больные синдромом анти-GQ1B антител.
Острый диссеминированный энцефаломиелит в большинстве случаев — монофазное и мультифокальное воспалительное заболевание. Стволовые очаги по данным МРТ невозможно дифференцировать от таковых при рассеянном склерозе, однако у таких пациентов чаще выявляются повреждения на уровне среднего мозга, кроме того, они более симметричны, билатеральны, чем при рассеянном склерозе. Билатеральное симметричное вовлечение мозжечка, базальных ядер, таламуса и относительная сохранность мозолистого тела подтверждают диагноз острого диссеминированного энцефаломиелита.
Кроме того, при повторных МРТ в периоде реконвалесценции очаги при остром диссеминированном энцефаломиелите уменьшаются в количестве, размерах, а также наблюдается ослабление интенсивности в режиме Т2. При рассеянном склерозе часто происходит вовлечение ствола мозга. Очаги чаще расположены на дне 4-го желудочка, в периферических частях ствола, в особенности в мосту. Субтенториальное расположение очагов считается специфичным для рассеянного склероза. Рассеянный склероз у детей наблюдается редко, тем не менее в дебюте заболевания вовлечение ствола и мозжечка, особенно у мальчиков, встречается чаще, чем у пациентов с дебютом в молодом возрасте.
Нейродегенеративные заболевания у детей
Дефицит кофактора молибдена является редким аутосомно-рецессивным нейродегенеративным заболеванием. Возможно, данная патология является не столько редкой, сколько трудно диагностируемой. При данном поражении развивается энцефалопатия с ранним дебютом или с поздним дебютом в атипичных случаях в виде общей задержки развития. Структурная МРТ и диффузионно-взвешенная МР-картина напоминает таковую при диффузном гипоксически-ишемическом поражении.
Гипертрофическая дегенерация ядер оливы считается специфической формой транссинаптической гипертрофической дегенерации и развивается вследствие неспецифического повреждения денто-рубро-оливарного пути. Хотя это состояние у детей считается редким, сообщается о его превалировании у пациентов с метаболическими заболеваниями, а также после операции по поводу опухолей задней черепной ямки. На МРТ выявляются Т2-гиперинтенсивные очаги, часто с билатеральным и симметричным увеличением оливарных ядер. Они начинают появляться в течение месяца после острого события и в течение 3-4 лет имеют тенденцию к разрешению.
Опухоли ствола мозга у детей МРТ
признаками глиомы ствола мозга являются Т2-гиперинтенсивные очаги с масс-эффектом, окружающие цистерны, 4-й желудочек, сильвиев водопровод и/или мозжечок. Чаще всего у детей развиваются отличающиеся по анатомии и клиническому течению 3 группы глиом ствола — это диффузная внутренняя понтинная глиома, экзофитическая среднемозговая глиома и тектальная глиома. Первый вариант имеет наихудший прогноз выживаемости. На МРТ отличительными особенностями являются перифокальный отек, отсутствие накопления контраста и масс-эффекта. Чаще всего возникает в возрасте 5-10 лет с развитием клинической триады — атаксии, поражения черепно-мозговых нервов и длинных трактов. В типичном случае поражение тотальное или субтотальное, чаще всего в мосту.
Опухоли ствола у детей также могут развиваться при неврофиброматозе 1-го типа. Чаще всего возникает астроцитома, которая растет менее агрессивно, чем у детей без неврофиброматоза. У таких пациентов выявляются яркие Т2-гиперинтенсивные очаги, которые остаются стабильными и иногда исчезают у пациентов старше 12 лет. Интракраниальное поражение ствола мозга может развиваться при гистиоцитозе клеток Лангерганса. Это редкое гранулематозное заболевание системы моноцит-макрофаг. Типичные клинические проявления при этом — литические очаги краниофациального скелета, вовлечение гипоталамически-питуитарной области, несахарный диабет. Интракраниально выявляются симметричные Т2-гиперинтенсивные очаги нейродегенерации и реже регистрируются массивные туморозные очаги.
Таким образом, поражение ствола мозга, изолированное или связанное с супратенториальными изменениями, возникает при широком спектре патологических состояний. Для целей дифференциальной диагностики основополагающее значение играют клинические, эпидемиологические и лабораторные исследования.
Н.В. Марченко, В.Б. Войтенков, Н.В. Скрипченко, М.А. Бедова, О.О. Курзанцева Выпуск №1/2020
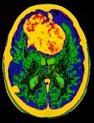
Дифференциальная диагностика опухолей головного мозга при МРТ

МРТ головного мозга. Аксиальная Т2-взвешенная МРТ. Цветовая обработка изображения. Опухоль мозга.
При дифференциальной диагностике опухолей головного мозга надо учитывать многие факторы включая эпидемиологические и диагностические. Золотым стандартом их выявления служит МРТ головного мозга. Многие центры МРТ СПб берутся за эту задачу, но мы рекомендуем Вам обследоваться именно у нас. При МРТ в СПб в дифференциальной диагностике опухолей в высоком поле и на открытом МРТ мы учитываем многие признаки, включая следующие:
Частота:
- 1/3 глильные (50% астроцитарного ряда)
- 1/3 метастатические
- 1/3 прочие
Возраст:
- Дети - лейкозы, лимфомы, анапластические опухоли, опухоли сосудистого сплетения, тератомы, краниофарингиомы, эпендимомы, медуллобластомы
- Взрослые - глиобластомы, астроцитомы, внеосевые -менингиомы, шванномы, ЗЧЯ - гемангиобоастома
- Пожилые - метастазы, глиобластома
Локализация:
- Супратенториальная (выше намета мозжечка - полушария мозга)
- Инфратенториальная (ниже намета мозжечка - стволовые структуры, задняя черепная ямка) - эпендимома, субэпендимома, папиллома сосудистого сплетения, центральная нейроцитома, менингиома, коллоидная киста (неопухолевое заболевание)
- Особые типы - селлярно-параселлярная (турецкое седло и вокруг него), мосто-мозжечковый угол, шишковидная железа.
МРТ головного мозга. Сагиттальная и аксиальная Т1-взвешенные МРТ, аксиальная Т2-взвешенная МРТ и аксиальные КТ и Т1-взвешенная МРТ с контрастированием. Гигантоклеточная астроцитома с кальцификацией - внутрижелудочковая опухоль.

КТ и МРТ головного мозга. Аксиальные КТ до и после контрастировали, сагиттальная МРТ с контрастировавшем, аксиальная Т2-взвешенная МРТ головного мозга. Герминома (КТ и МРТ)- опухоль области шишковидной железы
МРТ головного мозга. Аксиалные Т2-взвешенная МРТ и Т1-взвешенная МРТ с контрастированием.Шваннома (невринома), кистозная форма, правого ММУ.
Краниофарингеома (КТ) - опухоль области турецкого седла.
Тип распространения:
- На противоположное полушарие - глиобластома, низкодифференцированнная астроцитома
- По ликворным путям - олигодендроглиома, эпендимома, лимфома, примитивные нейроэктодермальные опухоли (у детей), медуллобластома, пинеобластома
- Вовлечение коры - олигодендроглиома, ганглиоглиома, дисэмбриопластическая нейроэпителиома

КТ и МРТ головного мозга. Аксиальные КТ, Т2-взвешенные МРТ и МРТ головного мозга с контрастировавшем. Вовлечение коры при олигодендроглиоме.
Множественность:
При МРТ головного мозга множественность очагов типична для метастазов (30-50%), глиобластом (5%), опухолей при факоматозах.
МРТ головного мозга. Аксиальные Т1-взвешенные МРТ с контрастировавшем. Множественные метастазы и двухстроронние шванномы при нейрофиброматозе тип 2.
Внутренняя структура:
- Кальцификация видимая при КТ и хуже МРТ головного мозга - олигодендроглиомы (90%), краниофарингеома (90%), астроцитомы (20%), эпендимома (50%), папиллома сосудистого сплетения (25%), ганглиоглиома (40%), менингиома (20%), редко - метастазы, хордомы, хондросаркомы
МРТ и КТ головного мозга. Кальцинаты в олигодендроглиоме
- Неоднородная структура на МРТ головного мозга может быть за счет - некроза : метастазы, глиобластомы; кровоизлияния: метастазы, апоплексия аденомы гипофиза
Контрастирование:
Почти всегда наблюдается при МРТ головного мозга, кроме микроаденом гипофиза и доброкачественных астроцитом. Неоднородность при МРТ головного мозга с контрастировавшем происходит за счет некроза, кистозной дегенерации, кальцинатов.

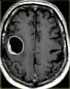
МРТ головного мозга с контрастированием. Кистозная астроцитома.
Диффузия:
Яркие очаги на диффузионное-взвешенных МРТ изображениях характерны для абсцессов, эпидермоидных кист, и острого инсульта. Опухоли имеют низкий сигнал на ДВИ МРТ головного мозга.

МРТ головного мозга. Аксиальные Т2-взвешенные МРТ, Т1-взвешенные МРТ с контрастировавшем и ДВИ МРТ.
Отдел лучевой диагностики

ОСНОВНЫЕ ДОСТИЖЕНИЯ
Отделение лучевой диагностики Научного центра неврологии стало пионером применения компьютерной томографии в нашей стране. Разработана методология пошаговых КТ-морфологических сопоставлений. Сотрудникам отделения совместно с инженерами и физиками в 1984 году была присуждена Государственная премия за создание отечественной модели рентгеновского компьютерного томографа. В отделении разработаны оригинальные технологии совмещения изображений, получаемых на компьютерных томографах различных типов (КТ, МРТ, ОФЭКТ). Разработан комплекс нейровизуализационных биомаркеров нейродегенеративных, демиелинизирующих и цереброваскулярных заболеваний, включающий оценку ряда морфометрических, трактографических и функциональных параметров и направленный на объективный мониторинг течения болезни, в том числе на фоне проводимой терапии. Проведено функциональное картирование речевых и двигательных зон головного мозга с целью определения реабилитационного потенциала и выработки персонифицированных протоколов восстановительного лечения пациентов с инсультом.

ОСНОВНЫЕ НАПРАВЛЕНИЯ ДЕЯТЕЛЬНОСТИ
Основной профиль отделения - нейровизуализация, работа ведется в двух направлениях: клиническом и научно-исследовательском.
- исследование строения мозга в норме и при патологии, физиологии и патофизиологии заболеваний центральной нервной системы (ЦНС)
- диагностика сложных случаев поражения ЦНС, прогнозирование течения заболеваний, определение реабилитационного потенциала больных, контроль эффективности проводимой терапии и др.
- разработка алгоритмов исследования пациентов с заболеваниями ЦНС

Клиническая нейровизуализация:
- применение МРТ и МСКТ в диагностике сосудистых (ишемических инсультов, внутримозговых кровоизлияний), инфекционных, рассеянного склероза, других демиелинизирующих, нейродегенеративных заболеваний, опухолей ЦНС и других заболеваний центральной нервной системы.
- обследование пациентов с заболеваниями позвоночника, межпозвонковых дисков и связочного аппарата (включая функциональные пробы, в том числе динамическую МРТ шейного отдела позвоночника).
- МРТ-исследование поражений черепных нервов, нервных сплетений и нервов при периферических нейропатиях.
- МРТ-диагностика нейромышечных заболеваний.
- функциональное картирование коры головного мозга перед нейрохирургическими вмешательствами (моторные, речевые парадигмы фМРТ и проч.).
- рентгеноскопия акта глотания при дисфагиях различного генеза

Научно-исследовательская работа:
- КТ- и МРТ-перфузия головного мозга при различных патологических состояниях ЦНС, включая методику 4D-adaptive одновременного получения ангиографии, веносинусографии и перфузии мозга.
- Оценка кровотока по магистральным артериям головы и шеи, оценка структуры стенки сосудов при их поражении (васкулиты, атеросклероз, диссекция).
- Сочетание различных МРТ-методик в оценке патогенеза и прогрессирования болезни малых сосудов.
- Мультимодальное МР-исследование рассеянного склероза и других демиелинизирующих заболеваний (диагностика, оценка прогрессирования процесса, прогнозирование функционального исхода).
- Нейровизуализационные аспекты гетерогенности инфарктов в полушариях большого мозга.
- Функциональная МРТ как в норме (картирование), так и в изучении пластичности головного мозга при различной патологии ЦНС, в качестве маркера восстановления нарушенных функций ЦНС. Кроме того, методика активно используется для выявления функционально значимых зон при планировании хирургических вмешательств на головном мозге.
- Диффузионные методы исследования: диффузионно-взвешенная МРТ и диффузионно-тензорная МРТ. Последняя применяется для выявления изменений проводящих путей головного мозга при сосудистых, дегенеративных и демиелинизирующих заболеваниях. Данные методики позволяют оценивать степень вовлечения белого вещества в патологический процесс и прогнозировать течение заболевания и потенциал восстановления пациентов.
- МРТ-морфометрия в изучении ультраструктурных изменений головного мозга при различных заболеваниях ЦНС.
- МРТ-спектроскопия в дифференциальной диагностике поражений нервной системы.
- Мультимодальное картирование головного мозга (сочетание методик структурной МРТ, фМРТ, ДТ-МРТ, ЭЭГ, ТМС). Новый подход к оценке физиологических параметров деятельности головного мозга при совмещении изображений, получаемых с помощью различных методов нейровизуализации.
МРТ головного мозга при стволовой патологии

Ствол мозга составляет наиболее важную его часть с точки зрения жизненных функций. Поэтому поражение ствола любой патологией крайне опасно и сопровождается высокой степенью летального исхода.
Следующие патологии следует рассматривать как возможные при МРТ головного мозга:
- Опухоли собственно ствола и опухоли, сдавливающие ствол
- Инфекционно-воспалительные процессы
- Демиелинизации
- Ишемический инсульт
- Кровоизлияние
- Метаболические нарушения
- Постравматические изменения
Опухоли ствола мозга.
У детей на ствол приходится 10-20% опухолей мозга, причём 75% случаев опухолей наблюдается в возрасте до 10 лет. У взрослых стволовые глиомы составляют только 2,5% от опухолей мозга всех локализаций.
Глиомы ствола у детей занимают третье место по частоте после медуллобластомы и пилоцитарной астроцитомы мозжечка. Пик заболеваемости приходится на 7 лет. Чаще встречается у мальчиков. В возрасте старше 20 лет стволовые глиомы наблюдаются редко. Гистологически глиомы представляют собой либо диффузные фибриллярные астроцитомы с той или иной степенью аплазии, либо пилоцитарные астроцитомы, которые всегда доброкачественные. При МРТ головного мозга видно, что первично локализуясь в мосту, опухоль распространяется вверх на средний мозг, зрительный бугор и внутреннюю капсулу, или вниз на продолговатый мозг и верхние сегменты спинного мозга. Вздутие ствола приводит к окклюзионной гидроцефалии и сдавлению основной артерии. Иногда, латеральное распространение доходит до внутреннего слухового прохода. Клинически опухоль проявляется в виде изолированного дефицита функции черепных нервов (чаще VI и VII пар) и контрлатерального гемипареза.
При МРТ астроцитарная опухоль гипоинтенсивна на Т1-взвешенных и гиперинтенсивна на Т2-взвешенных МРТ головного мозга. Граница опухоли чаще по МРТ чёткая, отек слабо выражен. При МРТ видно, что внутренняя структура обычно однородная, кальцификаты встречаются в 12% случаев. На сагиттальных МРТ можно видеть, что ствол вздут, дно IV желудочка смещено. При МРТ головного мозга с контрастированием оно отмечается только в половине случаев.
Прорастать ствол может эпендимома IV желудочка. При МРТ головного мозга от первичных стволовых опухолей отличает ее локализация в IV желудочке и неоднородная внутренняя структура.
Метастазы стволовой локализации встречаются исключительно редко. Они являются следствием гематогенного распространения опухоли из первичного экстракраниального очага. Отличить их от глиомы крайне трудно. При выполнение МРТ головного мозга на мысль о метастатической опухоли может натолкнуть выраженный отек вокруг нее.
МРТ головного мозга. Аксиальная Т1-взвешенная МРТ с контрастированием. Множественные метастазы рака лёгкого, включая метастаз в ствол мозга.
При МРТ в СПб профессор Холин А.В. проводит тщательную дифференциальную опухолей диагностику с другими процессами. Исследование проводится как в высоких полях, так и на открытом МРТ. Определенные опухоли, не являясь собственно стволовыми, могут сдавливать ствол: хордома, хондросаркома ската, метастаз в клиновидную кость, менингиома большого затылочного отверстия, папиллома сосудистого сплетения IV желудочка. Все эти опухоли имеют характерные признаки при МРТ головного мозга.
Мальформации при МРТ головного мозга имеют участки отсутствия сигнала, поэтому выраженно неоднородны по структуре, не окружены отеком.
МРТ головного мозга. Аксиальная Т1-взвешенная МРТ с контрастированием. Капиллярная телеангиэктазия.
МРТ головного мозга. Сагиттальная Т1-взвешенная МРТ. Кавернозная ангиома.
Рассеянный склероз исключительно редко изолированно развивается в стволе, обычно, при МРТ головного мозга определяются типичные перивентрикулярные очаги.
МРТ головного мозга. Аксиальная Т1-взвешенная МРТ с контрастированием. Очаг рассеянного склероза в стволе.
Стволовой инсульт, в отличие от опухолей, обычно не дает масс-эффекта. При МРТ головного мозга очаг гиперинтенсивен на Т2-взвешенных МРТ и не сопровождается вздутием ствола.
МРТ головного мозга. Аксиальная Т2-взвешенная МРТ. Стволовой инсульт.
Стволовое кровоизлияние сопровождается крайне тяжелым состоянием. Отображение крови на МРТ головного мозга зависит от сроков.
МРТ головного мозга. Корональная Т1-взвешенная МРТ. Кровоизлияние в ствол в подострой стадии.
Центральный понтинный миелиноз встречается у алкоголиков и связан с гипонатриемией вследствие нарушения осмотического давления. При МРТ головного мозга при центральном понтинном миелинозе не бывает отека. Заболевание очень напоминает демиелинизации и выглядит ярким на Т2-зависимых МРТ.
МРТ головного мозга. Аксиальная Т2-взвешенная МРТ. Центральный понтинный миелиноз.
К посттравматическим изменениям можно отнести гипертрофическую дегенерацию оливкового ядра, которая наблюдается крайне редко чрез 3-6 месяцев после травмы. При МРТ головного мозга выявляется повышенный сигнал на Т2-взвешенных МРТ с одной или двух сторон.
МРТ головного мозга. Т2-взвешенная аксиальная МРТ. Гипертрофическая дегенерация левого оливкового ядра.
Нейродегенеративные заболевания и их диагностика

МРТ головного мозга. Демонстрация атрофии и нормы при цветовой обработке.
Под термином “нейродегенеративные заболевания” (НДЗ) определяется большая группа заболеваний преимущественно позднего возраста, для которых характерна медленно прогрессирующая гибель определенных групп нервных клеток и одновременно - постепенно нарастающая атрофия соответствующих отделов головного и/или спинного мозга. В основе развития этих заболеваний лежит нарушение метаболизма и изменение конформации клеточных белков с их последующим накоплением и агрегацией в определенных группах нейронов. При НДЗ страдают преимущественно нейроны и глиальные клетки базальных ганглиев и стволовых структур, вырабатывающие ацетилхолин, дофамин, серотонин.
Классификация делит НДЗ на 2 большие группы - спорадические и ирритативные.
- Спорадические НДЗ:
- Прогрессирующий надъядерный паралич (болезнь Стила —Ричардсона — Ольшевского).
- Мультисистемная атрофия.
- Деменция с тельцами Леви.
- Паркинсоническая деменция (синдром Гуам).
- Кортикобазальная дегенерация.
- Болезнь Альцгеймера.
- Ирритативные НДЗ:
- Болезнь Гентингтона.
- Болезнь Галлервордена—Шпатца.
- Болезнь Вильсона—Коновалова.
- Болезнь Фара.
- Болезнь Бессена — Корнцвейга.
Болезнь Альцгеймера - прогрессирующее нейродегенеративное заболевание, характеризующееся постепенным развитием деменции. Происхождение заболевания точно неизвестна. Биохимические изменения состоят в снижении активности холин-ацетил-трансферазы коры головного мозга и гиппокампов. Патологические проявления заключаются в образовании специфических амилоидных бляшек, нейрофибриллярных тяжей и реактивном глиозе. Развивается атрофия, захватывающая преимущественно кору вокруг Сильвиевых щелей и гиппокампы, с вторичным расширением желудочков, особенно височных рогов
Заболевание впервые описано Alois Alzheimer в 1907 году. Процесс напоминает естественное старение, но резко ускоренное. Начинается с нарушений памяти, затем потерянность, невозможность повседневного самообслуживания, повторяющиеся вопросы. Позже присоединяются глубокие нарушения психики, речи, потеря веса, судороги.
Частота составляет 0,51% для лиц в возрасте 70-74 лет с возрастным прогрессирующим увеличением частоты. Клинические проявления состоят в нарушении памяти, депрессии, поведенческих нарушениях и галлюцинациях. На поздних стадиях к психическим расстройствам добавляется экстрапирамидная симптоматика. Заболевание занимает 4 место по смертности. Диагноз ставится на основании клинического и нейрофизиологического обследования, а также нейровизуализации. Типичные проявления на КТ состоят в диффузной атрофии (особенно,височных долей), вторичном расширении борозд и желудочков. Чувствительность КТ (без измерения объемов) в сравнении с нормальной возрастной группой около 80%, специфичность около 70%. Измерение объемов гиппокампов при выполнении МРТ с тонкими срезами повышает точность до 85%.

МРТ головного мозга. Т2-взвешенная сагиттальная МРТ. Болезнь Пика. Цветовая обработка изображения.
МРТ головного мозга служит метода выбора оценки структурных изменений. Атрофические изменения выражены во всём медиобазальном отделе височной доли. Чувствительность и специфичность МРТ при начальной деменции около 80%. Измерение объемов гиппокампов и амигдалы повышает точность до до 85%.

МРТ головного мозга. Т1-взвешенная корональная МРТ. Диффузная атрофия при болезни Альцгеймера.
Дифференциальную диагностику при МРТ головного мозга надо проводить с болезнью Паркинсона, мультиинфарктной деменцией и лобнотеменной деменцией (болезнь Пика).
В этих же зонах отмечается гипоперфузия и снижение активации при фМРТ. Кроме МРТ при исследовании болезни Альцгеймера важное значение имеет ПЭТ с [ 18 F] флюоро-2-деоксиглюказой (FDG). Гипометаболизм хорошо коррелирует с тяжестью заболевания и предсказывает его развитие.
Синдромы Паркинсона включают группу заболеваний, близких по клинике к болезни Паркинсона. К синдромам Паркинсона относится быстро прогрессирующая деменция с тельцами Леви . При МРТ головного мозга низкий сигнал наблюдается не только от компактной части черного вещества, но и от скорлупы, которая становится даже темнее бледного шара. При оливопонтоцеребеллярной атрофии на сагиттальных МРТ головного мозга видно уменьшение объема моста и мозжечка. При прогрессирующем надъядерном параличе обнаруживается атрофия пластины четверохолмия. Описаны характерные симптомы при МРТ - «пингвина», «Микки Мауса» и другие, смысл которых заключается в описании признаков атрофии.
При деменции, связанной с болезнью Паркинсона при МРТ головного мозга отмечается снижение толщины коры в проекции парагиппокампальной части левой средней затылочно-височной извилины и уменьшение объема левого нижнего продольного пучка. Уменьшение толщины коры левой парагиппокампальной зоны связано с высоким риском депрессии. Отмечено, что дневная сонливость коррелирует с уменьшением толщины коры фузиформной зоны, определяемое при МРТ.
Для прослеживания динамики и прогнозирования также прибегают к различным измерениям при МРТ головного мозга:
- коэффициент средний мозг-мост в норме 0,24, а при прогрессирующем надъядерном параличе становится меньше 0,12.
- Индекс паркинсонизма - отношение ширины верхней ножки мозжечка в корональной плоскости к площади среднего мозга в средней сагиттальной плоскости умноженной на отношение ширины средней ножки мозжечка к ширине верхней ножки мозжечка - больше 13,55 свидетельствует в пользу паркинсонических синдромов. При МРТ выявляется атрофия хвостатых ядер с вторичным расширением передних рогов; атрофия скорлупы и коры лобных долей. Отношение ширины передних рогов к расстоянию между хвостатыми ядрами (по их краям), измеряемое в поперечной плоскости уменьшается с 2,2-2,6 до значений близких к 1,0. Другой коэффициент - расстояние между хвостатыми ядрами (между их головками к ширине черепа по внутренним пластинкам) - увеличивается (в норме 0,09-0,12).При МРТ головного мозга выявляется диффузная атрофия мозга, расширение периваскулярных пространств Вирхова- Робена и лейкоараиоз. Последний является следствием стеноза и окклюзии глубоких вен мозга. На Т2-зависимых МРТ изображениях лейкоараиоз выглядит как небольшие очаги гиперинтенсивности. В целом эти признаки неспецифические и отражают старение мозга. При МРТ головного мозга на томограммах обоих типов взвешенности обнаруживается повышенный сигнал от моста и покрышки мозжечка. Типично изменение сигнала от периферии моста. В отличии от опухолей при МРТ нет отека и масс-эффекта. Самые ранние проявления обнаруживаются на диффузионное-взвешенных МРТ головного мозга, примерно через 24 часа от начала тетрапареза.
Прогрессирующий надъядерный паралич проявляется в виде нарушения взора вверх, экстрапирамидной симптоматики и умственных нарушениях. Заболевание развивается у лиц около 60 лет. Этиология неизвестна, почти все случаи спорадические. Частота 1-1,5 случаев на 100 тыс. населения. Заболевание характеризуется патологическим скопление в головном мозге тау-протеина. При МРТ головного мозга наблюдается диффузная атрофия, причем на сагиттальных Т1-взвешенных МРТ отмечается характерный симптом “пингвина”. Атрофические изменения моста и среднего мозга приводят к расширению водопровода и III желудочка, контур которых напоминает очертания пингвина.

МРТ головного мозга. Т12-взвешенная сагиттальная МРТ. Прогрессирующий надъядерный паралич. Симптом “пингвина”.
Центральный понтинный миелиноз (осмотическая деменция) представляет собой приобретенное метаболическое расстройство. Чаще встречается у алкоголиков. Гипонатрийемия приводит к демиелинизации, видимой при МРТ. Центральный понтинный миелиноз часто сопровождается экстрацентральным, когда есть поражение выше ствола. Клинические проявления сводятся к заторможенности (вплоть до летаргии), спастическому тетрапарезу и поражению нижних черепных нервов.

МРТ головного мозга. Т2-взвешенная аксиальная МРТ. Центральный понтинный миелиноз,
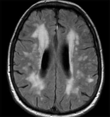
Болезнь Бинсвангера (субкортикальная атеросклеротическая энцефалопатия, деменция мелких сосудов). Это состояние, связанное с множественными инфарктами мелких ветвей, что при МРТ головного мозга видно как лакунарные ОНМК. Заболевание постепенно прогрессирует. Вариантом болезни Бинсвангера можно считать наследуюмую семейную артериопатическую лейкоэнцефалопатию.

МРТ головного мозга. Т2-взвешенная МРТ типа FLAIR. Болезнь Бинсвангера.
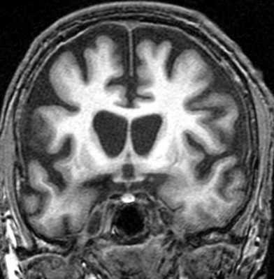
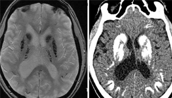
Болезнь Гентингтона относится к наследуемым заболеваниям, проявляется в среднем возрасте и быстро прогрессирует. В клинической картине преобладают хореоатетоз и деменция.

МРТ головного мозга. Т1-взвешенная корональная МРТ. Болезнь Гентингтона.
Болезнь Фара очень редкое наследственное заболевание, проявляющееся в кальцификации базальных ганглиев и зубчатого ядра. На Т2-зависимых МРТ ядра резко гипоинтенсивны, что соответствует кальцинатам, хорошо видимым на КТ. Нередко в области зрительных бугров обнаруживаются мелкие гиперинтенсивные очажки.

МРТ и КТ головного мозга в аксиальной плоскости. Болезнь Фара.
Об МРТ в СПб при нейродегенераторных заболеваниях можно также читать на странице нашего другого сайта. Исследование мы выполняем в закрытом аппарате, но можно и на открытом МРТ. МРТ СПб позволяет выбирать место МРТ, но в этом случае мы рекомендуем Вам обследоваться у нас.
Читайте также:
