Синдром Герстманна (Gerstmann) - синонимы, авторы, клиника
Добавил пользователь Владимир З. Обновлено: 22.01.2026
Синдром Герстманна представляет собой психоневрологическое расстройство, совокупность симптомов, которые предполагают наличие поражения в определенной области головного мозга. Расстройство не следует путать с синдромом Герстмана-Стрейсслера-Шейнкера, который является трансмиссивной энцефалопатией.
В 1924 году австрийский нейробиолог Йозеф Герстманн описал редкое неврологическое расстройство, состоящее из четырех симптомов.
Этиология
Вызван специфическими поражениями головного мозга, которые затрагивают заднюю теменную долю доминантного полушария. Обычно находится в левом полушарии, иногда справа.
Затронуты угловая извилина и прилегающие структуры извилины (область Бродмана 39, 40 соответственно) вблизи височного и теменного сочленения долей. Исследования показали, что он вызван не только поражением упомянутой области, но и патологией левой средней лобной доли доминирующего полушария.
Причина
Обычно появляется после инсульта у взрослых. У детей причины неизвестны. Причиной может быть:
- Ишемический приступ.
- Опухоли.
- Сонная артерия рассекает аневризму или стеноз.
- Аневризма средней мозговой артерии.
- Прогрессирующая мультифокальная лейкоэнцефалопатия.
- Хроническая субдуральная гематома.
- Рассеянный склероз.
- Корковая атрофия.
Другие диффузные этиологии:
- Алкоголизм.
- Отравление угарным газом.
- Анафилактический шок.
- Системная красная волчанка.
- кистозные поражения с расширенными периваскулярными пространствами;
- осложнение церебральной ангиографии;
- осложнение контраста, который используется в ангиографии;
- после эндоваскулярного лечения дуральной артериовенозной мальформации;
- синдром задней лейкоэнцефалопатии;
- некротическое гранулематозное воспаление субарахноидальных сосудов;
- побочной лекарственной реакции ацетазоламида;
- эмболии миксомы левого предсердия.
Временные симптомы возникают при эпилепсии теменной доли.
Ведутся серьезные споры о том, действительно ли синдром Герстманна представляет собой единый теоретически мотивированный синдром.
Его диагностическая полезность поставлена под сомнение как неврологами, так и нейропсихологами. Угловая извилина, используется для перевода визуальных образов букв, слов в значимую информацию, например, во время чтения.

У взрослых
У взрослых синдром возникает после инсульта или от повреждения нижней теменной доли доминирующей (левой) стороны. Многие взрослые также испытывают афазию, которая представляет собой трудности выражения себя при разговоре, понимания речи, при чтении, письме.
У детей
Большинство случаев выявляются, когда дети достигают школьного возраста. Появляются трудности написания и математике. Как правило, дети с расстройством демонстрируют плохие навыки письма, правописания, трудности с математическими вычислениями, включая сложение, вычитание, умножение, деление.
Неспособность отличить право от лева, различать отдельные пальцы бывает очевидна.
Как дополнение к четырем основным симптомам, многие дети страдают от конструкционной апраксии, неспособности скопировать простые рисунки. Часто, есть ухудшение чтения. Заболевание затрагивает детей с высоким уровнем интеллектуального функционирования, также с повреждением мозга.
Симптомы
Синдром Герстманна характеризуется четырьмя основными симптомами:
- Дискалькулия, акалькулия: трудности при обучении или понимании математики, пациенты понимают цифры, но не могут выполнить простое сложение;
- Дисграфия, аграфия: неспособность писать;
- Пальцевая агнозия: неспособность различить пальцы на руке;
- Лево-правая дезориентация;
- У некоторых взрослых может быть афазия (трудности с выражением речи).
Исследование показало, что акалькулия всегда ассоциируется с семантической афазией, которая значительное вовлекает угловую извилину. Синдром должен включать семантическую афазию, а не аграфию. Последняя может возникнуть при поражениях верхней париетальной извилины.
Симптомы бывают полными или частичными и могут быть отнесены к другим церебральным поражениям.
Расстройство бывает временным. При частичной эпилепсии возникает как три симптома из 4.
Признаки у детей могут появляться в поздние годы после перинатальной асфиксии.
Другие симптомы сопровождающие этот синдром, различаются в зависимости от причины. Например, апраксия, зрительная атаксия, снижение когнитивных функций, онемение, слабость. Дефекты, имитирующие жесты рассматриваются как связь с агнозией пальцев.
Синдром развития Герстмана встречается у детей с тетрадой упомянутых симптомов, с диспраксией или без нее в качестве пятого симптома.
Чтобы диагностировать расстройство, необходимо провести полный анамнез и физическое обследование.

Специальное неврологическое, нейропсихологическое обследование
Агнозия пальцев
Зкзаменатор прикрывает глаза пациента, попросить развести пальцы. Затем, слегка дотрагивается до пальцев пациента. Человек должен ответить, идентифицируя палец, как только к нему прикоснулись.
Это исследование проводится сначала при открытых глазах, чтобы устранить недопонимание или отсутствие бдительности. Тест не проводится, если у пациента тактильная нечувствительность.
Для диагностики агнозии пальцев необходимо не менее 20% ложного распознавания.
Дезориентация вправо-влево
Врач дает пациенту карточку с письменной инструкцией. Например, «поднесите левую руку к правому уху». Попросить пациента прочитать ее громко. Если читает неправильно, врач дает инструкцию в устной форме. Попросит выполнить инструкцию.
Дисграфия
Экзаменатор показывает пациенту часы. Человек сначала пишет цифры, не произнося вслух. Затем врач показывает слово «СЕМЬ». После прочтения нужно попросить пациента написать.
Дискалькулия
Человеку дают карточку, на которой написано простое уравнение «85-27». Попросят написать и рассчитать. Затем предлагают умножить цифры в голове без записи.
По мере увеличения числа признаков, ответственное поражение головного мозга становится больше.
Специалист для консультации - невролог
Эпидемиология
Из-за различных причин может возникать у детей, молодых, пожилых людей. У детей его называют «синдромом развития Герстмана».
Человек с двумя-тремя симптомами не редкость, но с полным перечнем признаков встречается редко.
Патофизиология
Симптомы синдрома Герстманна могут быть объяснены расстройствами, затрагивающими определенные области мозга. Есть некоторые разногласия между исследованиями точной локализации заболевания, например, для агнозии пальцев и ответственных за акалькуляцию участков, обнаружены супрамаргинальная извилина или область близкая к внутрипариетальной борозде.
Верхняя теменная извилина, ответственна за аграфию. Необходимы дальнейшие исследования, чтобы узнать, возникает ли синдром в результате поражения с подкорковым расширением или без него.
Выдвинуты несколько гипотез, но ни одна не подтверждена.
Считается, что чистая форма синдрома Герстманна вызвана отключением париетального белого вещества, которое влияет на пересечение волоконных путей и разъединяет отдельные корковые сети.
Гистопатология
Гистопатологические данные различаются в зависимости от причины расстройства. Некроз нейронов при ишемическом инсульте, некротическое гранулематозное воспаление мелких и средних субарахноидальных сосудов, расширенное периваскулярное пространство с множественными кистозными поражениями.

Диагностика
Любой пациент с симптомами и признаками синдрома Герстманна должен быть оценен с помощью нейровизуализации МРТ / КТ. Аномалии должны быть видны на доминирующей угловой извилине с вовлечением или без окружающих областей. Выявленные аномалии должны отличаться в зависимости от причины.
При инфаркте он бывает обнаружен при компьютерной томографии как фокус низкой или высокой плотности теменной доли. Диффузионная компьютерная томографическая эмиссия бионизата технеция-99 с однократной эмиссией протонов показывает уменьшение мозгового кровотока с повышенным уровнем лактата в МР-спектроскопии.
Замедление волн пораженного полушария при электроэнцефалографии. Ангиография покажет стеноз средней мозговой артерии.
Церебральный кровоток уменьшается в неинфарктных областях.
У пациентов с хронической субдуральной гематомой компьютерное томографическое (КТ) сканирование позволит выявить экстрааксиальную гиподенозную жидкость.
- При рассеянном склерозе МРТ головного мозга показывает бляшки в указанных областях.
- Синдром задней лейкоэнцефалопатии, МРТ изображения показывают аномальное высокоинтенсивное повреждение серого и белого вещества.
- При некротическом гранулематозном воспалении - лимфоцитарный плеоцитоз спинномозговой жидкости и заметное усиление менингеальной области на МРТ с расширенными венечными венами.
Поражения от других нарушений теменной доле могут быть обнаружены с помощью МРТ, такие как вирус JC. Патологии не всегда ограничиваются теменной долей, могут затрагивать другие области.
Диагностика синдрома Герстманна у детей невозможна на ранних стадиях, потому что теменные доли имеют медленное функциональное развитие в детстве.
Диагноз клинический, если связан с деменцией и другой этиологией.
Дифференциальная диагностика
Дифференциальный диагноз включает:
Задняя кортикальная атрофия, которая разделяет симптом аграфии с синдромом Герстманна, другие симптомы - геминеглакт, зрительная атаксия, словесная алексия.
Для некоторых поражений затылочной доли характерны аграфия с алексией.
Болезнь Альцгеймера считается дифференцированной по отношению к синдрому Герстманна. Имеет с ним связь, также как прогрессирующая задняя кортикальная дисфункция вызывает сходные симптомы, иногда и сам синдром.
Дифференцирующим фактором синдрома Герстманна у детей являются расстройства, вызывающие затруднения обучения.
Лечение
Некоторые причины синдрома могут быть обратимыми, их можно лечить. Например, удаление опухоли, кровоизлияние или очаговое поражение эпилепсии, лечение диффузной этиологии, такой как отравление угарным газом. Не существует лекарств от синдрома Герстманна.
У пациентов с синдромом Герстманна, который возникает из-за опухолей, кровоизлияний, с эпилептическими симптомами, необходимо консультироваться с нейрохирургами, чтобы оценить план лечения.
Следует координировать действия между неврологом, психиатром, физиотерапевтом, трудотерапией, домашними медсестрами, иногда и нейрохирургом, чтобы получить лучший результат.
Прогноз
У взрослых многие симптомы со временем уменьшаются. Высказано предположение, что аналогичное уменьшение происходит и у детей. Более вероятно, что большинство из них не преодолеют дефицит, а просто научатся приспосабливаться.
Наличие синдрома Герстманна с другими расстройствами может сделать нормальную жизнь невозможной из-за тяжелой дезориентации.
Осложнения
По мере увеличения числа признаков ответственное поражение, становится больше, неврологические нарушения увеличиваются. У человека с 4 компонентами синдрома, более вероятно, будет серьезное ухудшение функции мозга. Поражение может поставить под угрозу выживание.
Синдром Герстмана
Синдром Герстмана (также называемый синдром Герстмана-Шильдера, синдром угловой извилины) — это редкое неврологическое заболевание, которое может возникнуть в результате травмы головного мозга или нарушения развития. Заболевание характеризуется потерей или отсутствием четырех когнитивных способностей — потерей способности выражать мысли в письменной форме (аграфия, дисграфия), выполнять простые арифметические задачи (акалькулия), распознавать свои или чужие пальцы (агнозия), а также различать правую и левую стороны тела. В некоторых случаях могут возникнуть дополнительные когнитивные дефекты.
Нарушение не было обнаружено в семьях. В крайне редких случаях от этого расстройства могут пострадать как дети с ярким интеллектом и высоким уровнем функционирования, так и те, кто страдает от повреждения мозга.
Синдром Герстмана отличается от синдрома Герстмана-Штраусслера-Шейнкера, редкого генетического дегенеративного заболевания мозга.
Признаки и симптомы
Синдром Герстмана — это редкое заболевание, характеризующееся потерей четырех специфических неврологических функций:
- неспособностью писать (дисграфия или аграфия);
- потерей способности вычислять и прибавлять (акалькулия);
- неспособностью идентифицировать собственные или чужие пальцы (агнозия пальцев);
- неспособность провести различие между правой и левой стороной тела.
Человек с нарушениями обучения очень редко имеет все четыре эти неврологические дисфункции. Классическое расстройство присутствует только тогда, когда все четыре симптома появляются вместе без умственной отсталости.
Когда больные имеют все четыре характерных симптома синдрома Герстмана без других когнитивных дефектов, это состояние можно назвать «чистым» синдромом Герстмана. Однако у пораженных людей обычно есть другие дефекты в дополнение к классическим четырем признакам синдрома Герстмана. Кроме того, у многих людей есть только два или три из четырех ключевых признаков в сочетании с другими типами когнитивных дефектов.
В таких случаях, в дополнение к четырем классическим симптомам, больные могут также испытывать трудности с самовыражением посредством речи и/или с трудностями в понимании речи другого человека (афазия). Они также могут испытывать трудности при чтении и написании.
Сообщалось о нескольких случаях заболевания детей, которые назывались синдромом развития Герстмана. Эти случаи обычно становятся очевидными, когда дети начинают ходить в школу. Пострадавшие дети могут демонстрировать плохой почерк, орфографию и математические навыки (например, сложность сложения, вычитания, деления и умножения). Некоторые дети испытывают трудности с чтением или пониманием написанных слов (алексия) и трудности с копированием или отслеживанием простых предметов (конструктивная апраксия).
Некоторые исследователи предполагают, что синдром развития Герстманна — это не настоящий, уникальный синдром, а группа симптомов, вызванных другим, лежащим в основе расстройством.
Причины и факторы риска
У взрослых расстройство может возникать в результате нарушения кровотока в головном мозге (цереброваскулярное заболевание), такого как инсульт или другое повреждение головного мозга. При синдроме Герстмана поражаются теменные доли (верхние боковые доли) головного мозга. Теменные доли связаны с ощущением и восприятием, а также с пониманием сенсорной информации.
В редких случаях черепно-мозговая травма или опухоль головного мозга в той же области мозга могут вызывать различные симптомы, связанные с синдромом Герстмана.
Причина синдрома Герстмана у детей часто неизвестна. Хотя в некоторых случаях болезнь может быть связана с повреждением головного мозга, дети без повреждения головного мозга также могут быть затронуты.
Затронутые группы населения
Синдром Герстмана поражает мужчин и женщин в равных количествах. Частота возникновения расстройства среди населения в целом неизвестна. Это расстройство было впервые описано доктором Йозефом Герстманом, венским неврологом, в 1924 году.
Близкие по симптомам расстройства
Симптомы следующих расстройств могут быть похожи на симптомы синдрома Герстмана. Сравнения могут быть полезны для дифференциальной диагностики:
- — это прогрессирующее заболевание мозга, которое влияет на память, мышление и язык. Дегенеративные изменения болезни Альцгеймера приводят к появлению пятен или бляшек в головном мозге и запутыванию нервных волокон (нейрофибриллярных клубков). Потеря памяти и поведенческие изменения происходят в результате этих изменений в ткани мозга. Характерные признаки, связанные с синдромом Герстмана, могут возникать из-за болезни Альцгеймера.
Кроме того, дополнительные расстройства могут вызвать дисфункцию мозга и потенциально привести к четырем характерным признакам, связанным с синдромом Герстмана. Эти характерные признаки также наблюдались у алкоголиков, у больных красной волчанкой, при отравлении угарным газом и отравлении свинцом.
Наличие у взрослого всех четырех неврологических симптомов предполагает диагноз синдрома Герстмана, особенно когда исключены другие причины этих симптомов. Среди детей большинство случаев выявляется в школьном возрасте, когда у больного возникают трудности с математикой и письмом. Пострадавшие дети также могут испытывать проблемы с правописанием, выполнением четырех основных математических вычислений и проведением различия между левым и правым. Кроме того, они обычно не проходят тест на распознавание пальцев. Многим, но не всем таким детям будет сложно копировать (срисовывать) простые рисунки (конструкционная апраксия).
Стандартные методы лечения
Лечение синдрома Герстмана в случаях развития будет включать в себя специальное образование и связанные с ним реабилитационные и консультационные услуги. Для определения разницы между двумя причинами заболевания необходимо неврологическое обследование. Взрослым необходимо лечение лежащего в основе неврологического состояния. При травме или опухоли головного мозга для облегчения состояния может быть использована хирургическая операция. В некоторых случаях симптомы, поражающие взрослых с синдромом Герстмана, со временем ослабевают.
Наличие синдрома Герстмана с другими расстройствами может сделать нормальную жизнь невозможной, в основном из-за сильной дезориентации. Но у детей с синдромом развития Герстмана могут наблюдаться улучшения при интенсивной речевой терапии, особенно при раннем диагнозе.

Высшее образование (Кардиология). Врач-кардиолог, терапевт, врач функциональной диагностики. Хорошо разбираюсь в диагностике и терапии заболеваний дыхательной системы, желудочно-кишечного тракта и сердечно-сосудистой системы. Закончила академию (очно), за плечами большой опыт работ.
Синдром Герстмана ( Ангулярный синдром , Синдром угловой извилины )
Синдрома Герстмана — это редкое неврологическое расстройство, характеризующееся тетрадой клинических проявлений, включающих расстройство счета, аграфию, апраксию, нарушение пространственной ориентировки («право», «лево»). Указанные симптомы выявляются путем специального нейропсихологического тестирования. Окончательный диагноз выставляется по результатам КТ, МРТ, ангиографии головного мозга. Фармакотерапия проводится ноотропными, нейропротекторными, сосудистыми препаратами. Новообразования, аномалии сосудов подлежат хирургическому лечению.
МКБ-10

Общие сведения
Синдрома Герстмана (синдром угловой извилины) впервые упоминается французским врачом Ж. Бадалем в 1888 г. Детальное изучение патологии проведено неврологом Йозефом Герстманом в 1924-1930г.г. Ранее использовалось синонимичное название — ангулярный синдром. Среди заболевших ‒ люди различных возрастных категорий, половых различий в частоте заболеваемости не обнаружено. Синдром Герстмана также описан у детей с неспособностью к обучению. Часто встречаются неполные варианты поражения угловой извилины, ограничивающиеся 2-3 симптомами, полные формы крайне редки.

Причины
Клиническая тетрада Герстмана возникает при повреждении угловой (ангулярной) извилины доминантного полушария, находящейся в заднетеменной области на границе с височной и затылочной долями. Повреждение может носить травматический характер, являться следствием различных патологических процессов церебральной локализации или диффузного характера. Основными этиофакторами заболевания в клинической неврологии считаются:
- Сосудистые нарушения. К ним относятся стеноз или аневризма каротидной артерии, поражение средней мозговой артерии, прочие расстройства церебрального кровоснабжения в области угловой извилины. Синдром Герстмана наблюдается в клинике ишемического инсульта соответствующей локализации.
- Церебральные опухоли. Определяющее значение имеет расположение опухоли. Возможно прорастание ангулярной извилины опухолевыми клетками, ее компрессия рядом расположенным новообразованием.
- Дегенеративные заболевания мозга. Синдром Герстмана наблюдается в отдельных случаях рассеянного склероза, прогрессирующей мультифокальной лейкоэнцефалопатии, корковой атрофии. Демиелинизация, атрофия нервной ткани угловой извилины влекут потерю выполняемых ею функций.
- Черепно-мозговые травмы. Механическое повреждение, сдавление мозговых тканей образовавшейся посттравматической гематомой приводит к дезинтеграции различных зон коры с развитием заболевания.
- Интоксикации. Алкоголизм, отравление угарным газом, свинцовая интоксикация приводят к токсико-гипоксическому поражению мозговых тканей. Остается неясной избирательная локализация нарушений, обуславливающая тетраду Герстмана данной этиологии.
- Ятрогении. Редкие случаи синдрома отмечались как осложнение церебральной ангиографии, эндоваскулярного устранения артериовенозной мальформации, терапии ацетазоламидом.
Патогенез
В доминантном полушарии угловая извилина является местом пересечения проводящих путей, соединяющих расположенный в затылочной доле зрительный центр, височную речевую зону Вернике и моторный центр верхней конечности. Вариабельные этиологические факторы, обуславливающие повреждение, демиелинизацию, атрофические изменения данной области, приводят к дезинтеграции указанных центров.
Способность к пониманию речи, письму, счету является результатом совместной работы зрительного, речевого, двигательного анализаторов и страдает при нарушении связей между ними. Расстройство симультанного синтеза информации, поступающей в мозг от периферических отделов анализаторов, влечет частичное нарушение гнозиса, затрагивающее восприятие пальцев руки, понятий «право» и «лево». Неполный вариант патологии обусловлен частичной сохранностью некоторых связей, достаточных для обеспечения отдельной функции.
Гистопатологические данные вариабельны. Сосудистые ишемические поражения характеризуются некрозом нейронов. Для новообразований типичен инвазивный рост или компрессионное поражение ангулярной области. Возможно некротизирующее гранулематозное воспаление мелких и средних субарахноидальных сосудов, расширение периваскулярных пространств с множественными кистозными поражениями.

Классической тетрадой признаков синдрома Герстмана является: акалькулия, дисграфия, право-левая дезориентация, пальцевая агнозия. Акалькулия проявляется неспособностью произвести элементарные арифметические вычисления при сохранности понимания чисел. Акалькулия всегда связана с семантической афазией. Речь больного упрощена, наполнена аграмматизмами. Затруднено восприятие сложных элементов речи: речевых оборотов, причинно-следственных конструкций.
Расстройство письма характеризуется множественными ошибками, параграфиями, пропусками слов. Агнозия выражается в трудностях с дифференцировкой пальцев руки: пациенты не могут показать названный палец на собственной руке и назвать демонстрируемый им палец исследователя. Пациент не понимает, где «право» и «лево», что также приводит к нарушению схемы тела в виде невозможности разделить части собственного тела на правые и левые. Отличительной особенностью является присутствие указанных симптомов на фоне когнитивной сохранности заболевшего.
Ряд клиницистов выделяют сидром развития Герстмана, выявляемый у детей при начале учебы в школе. Такие школьники отличаются плохим почерком, проблемами с орфографией и отсутствием способности овладеть простыми математическими навыками. Зачастую они имеют сложности не только с написанием, но и с чтением слов.
Диагноз синдрома Герстмана устанавливается при выявлении комплекса характерных симптомов в ходе тщательного неврологического и нейропсихологического обследования. Пальцевая агнозия выявляется в доминантной руке. Оценивая результаты исследования, необходимо учитывать, наличие расстройств тактильной чувствительности. Отдельно производится тестирование на ориентацию право-лево, включающее выполнение больным инструкций в письменной и устной форме.
Для выявления дисграфии пациента просят записать отдельные слова и предложения самостоятельно, из предложенного текста, под диктовку. Арифметическое тестирование диагностирует сохранность зрительно-слухового узнавания цифр, неспособность выполнять вычисления.
Пациенты с синдромом Герстмана обязательно проходят инструментальное обследование для определения характера вызвавшего синдром патологического процесса. Перечень проводимых исследований включает следующие методы нейровизуализации:
- КТ головного мозга. Позволяет диагностировать интракраниальные объемные образования, аномалии строения, посттравматические гематомы. Ишемический очаг визуализируется как участок низкой плотности. У пациентов с хронической субдуральной гематомой выявляется экстрааксиальное гиподенсивное скопление жидкости.
- Церебральная МРТ. Более информативна в диагностике ишемических нарушений, дегенеративных процессов угловой извилины. Позволяет оценить распространенность процесса. Рассеянный склероз характеризуется наличием бляшек на МРТ изображениях, лейкоэнцефалопатия — аномальных гиперинтенсивных очагов на Т2-взвешенных изображениях.
- Ангиография мозга. Проводится при подозрении на сосудистую этиологию синдрома Герстмана. Диагностирует сосудистые аномалии, поражение сосудистой стенки, стенозы. Области снижения церебрального кровотока соответствуют локализации ишемических очагов по данным МРТ.
Дифференциальная диагностика
Компоненты синдрома Герстмана могут быть симптомами психического расстройства и когнитивных нарушений. Исключение психических заболеваний, как: шизофрения, психопатия, психоз, деменция, — проводится врачом-психиатром.
У пациентов детского возраста необходимо дифференцировать феномен Герстмана с нарушением интеллектуального развития. Отличительной особенностью последнего является расстройство всех когнитивных функций в равной степени, неспособность к образному мышлению, снижение способности принимать решения, скудная речь. Особое внимание уделяется дифференциации этиологических типов синдрома Герстмана, поскольку это имеет определяющее значение в выборе лечебной тактики.
Лечение синдрома Герстмана
Терапия зависит от этиологии процесса. Наряду с фармакотерапией необходимо коррекционное лечение, направленное на улучшение письма, счета, гностических функций. В ряде случаев для устранения патологического очага требуется проведение нейрохирургической операции. В назначаемое врачом-неврологом медикаментозное лечение может входить:
Хирургическое лечение
Показаниями к операции выступают церебральные опухоли, сосудистые мальформации, посттравматические гематомы. Большинство операций проводится в плановом порядке, после тщательного взвешивания необходимости вмешательства. В послеоперационном периоде проводится медикаментозное лечение нейропротекторами и ноотропами. Обязательна реабилитация, включающая регулярные занятия для восстановления праксиса, письменной речи, способности к счету.
Прогноз и профилактика
Исход синдрома Герстмана зависит от его этиологии, возраста больного, своевременности профессионального лечения. Быстрое устранение интоксикации приводит к восстановлению церебральных функций. Хронические интоксикации, необратимые дегенеративные процессы постепенно ведут к усугублению заболевания. Однако своевременное и регулярное лечение способно замедлить прогрессирование патологии. Результатом оперативного лечения является частичное восстановление способностей. Коррекционная терапия более успешна у детей, позволяет улучшить счет, письмо, уменьшить апраксию.
Профилактика синдрома Герстмана включает исключение мутагенных факторов, влекущих развитие новообразований, правильное питание и регулярную двигательную активность для предупреждения сосудистых заболеваний, профилактику травматизма.
1. Клиническая психофизиология в исследованиях оценки количества/ Маракшина Ю. А.// Дифференциальная психология и психофизиология сегодня: способности, образование, профессионализм. - 2021. - №1.
2. Понятие о дискалькулии: психофизиологические аспекты развития/ Рысина Н.Н., Грибанов А.В.// Arctic Environmental Research.- 2011.
3. Angular gyrus syndrome revisited: acalculia, finger agnosia, right-left disorientation and semantic aphasia/ Ardila A, Concha M, Rosselli M.// Aphasiology. - 2000. - 14(7).
Современный взгляд на синдром Герстманна
Информация носит справочный характер. Не занимайтесь самодиагностикой и самолечением. Обращайтесь ко врачу.

Синдром Герстманна - Штраусслера — Шейнкера (Gerstmann Syndrome)- это неврологическое расстройство, указывающее на частичное нарушение у пациента ощущения собственного тела. Появление патологии обусловлено негативными изменениями в полушариях головного мозга, чаще всего левой его части.
Пациент не способен перечислить простейшие названия частей своего тела и пальцев, не видит для себя разницы в правой или же левой части тела, не способен написать даже самое простое слово или же выполнить элементарные математические задачи, такие как сложить или же вычесть простые числа.
Представленная патология сопровождается акалькулией, то есть имеет место сбой в способности считать и вычитать, агнозией пальцев, а также аграфией - пациент теряет способность писать, не воспринимает написанный текст, не понимает его, как и специфической болезнью алексией - нарушением у особы способности читать, то есть теми состояниями, которые не характерны для здорового человека.
Причины заболевания
Как отмечалось ранее, синдром Герстмана-Шильдера развивается на фоне поражения у пациента доминантного полушария головного мозга, его оболочки, коры, правой или левой долей, расположенных кзади от сильвиевой борозды.
В медицинской практике специалисты среди основных первопричин отмечают развитие и рост опухоли, как доброкачественной, так и злокачественной природы в теменной или же височной области мозга, сбой в кровообращении.
Наравне с этими причинами, медики отмечают, что спровоцировать данный синдром может и травма головы, вирусная инфекция, поражающая серое вещество и мозговую оболочку головного мозга, заболевания, спровоцированные интоксикацией организма отравляющими веществами и осложнения после вакцинирования.
Чаще всего заболевание проявляет себя у пациентов в возрасте от 30 и до 40 лет, а длительность течения патологии до летального исхода- 5-6 летний период.

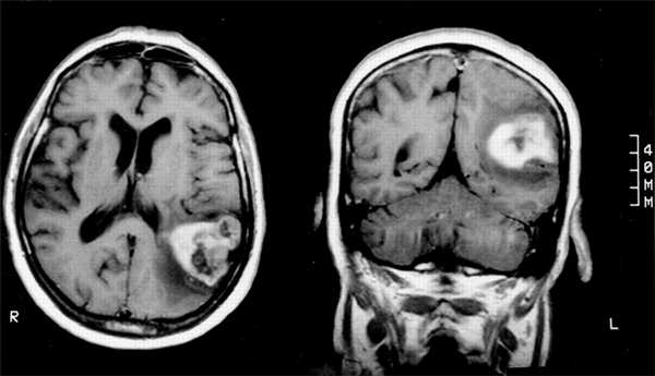
На фото область мозга, которая страдает при синдроме Герстманна Штреусслера Шейнкера
Клиника и симптоматика
Синдрома Герстманна встречается с частотой 1 случай на 10 миллионов пациентов. Как отмечалось ранее, клиническими признаками синдром проявляет себя в возрасте 30-40 лет и очень схож по симптоматике с заболеванием Крейтцфельда-Якоба.
Но в отличие от заболевания Крейтцфельда-Якоба деменция при данном синдроме отсутствует и длительность жизни более продолжительна (5 лет против полугода).
Как отмечают медики - первыми характерными симптомами синдрома являются сбой в памяти, далее развиваются прогрессирующая форма мозжечковой атаксии, признаки, схожая с паркинсонизмом.
В завершении течения патологии к этим симптомам могут добавиться и приступы психоза, депрессивное состояние и резкая потеря в весе. Чаще всего проявляют себя мозжечковые нарушения, и в зависимости от локализации в головном мозге очага поражения, у пациента развивается паралич взора или же развитие глухоты, проблемы со зрением и слепота.
Медики описывают различные клинические формы пальцевой агнозии, которая развивается при синдроме Герстмана - могут быть проблемы с названием пальцев и проблемы с их движением по команде, когда врач просит показать тот или иной палец.

В медицинской практике врачи диагностируют синдром по таким основным его проявлениям и признакам:
- пациент не способен правильно определять и различать между собой, где правая, а где левая сторона, условно делить собственное тело по вертикали и относить органы и системы к соответствующей стороне;
- у пациента наблюдается отсутствие расстройства в координации движений рук, сохраняется соответствующий уровень интеллекта, но при этом он полностью теряет способность писать;
- пациент не способен проводить элементарные математические операции - сложение и вычитание простых чисел;
- при синдроме Герстманна пациент не способен понимать и воспринимать написанные им слова и предложения - подобное состояние в медицине врачи называют алексией, для пациента написанное им - просто рисунок, так сказать каракули.
Синдром сопровождается также специфическим состоянием, когда пациент попросту не способен узнавать свои же руки и ноги, правильно ответить на вопрос об их названии.
Диагноз и тесты

Диагностирование патологии предусматривает назначение лабораторного генетического исследования на предмет выявления мутаций в гене PRNP. В этом варианте исследований врачи проводят нуклеотидное исследование последовательности в строении гена при помощи автоматического секвенирования.
Помимо генетических исследований врач проводит и диагностику пациента с применением когнитивных тестов, которые позволяют точно диагностировать нарушение познавательных способностей у особы. Состоят они в большинстве своем из списка простых вопросов, что помогает определить патологию с достаточно высоким процентом вероятности ее развития в каждом конкретно взятом случае.
Помимо генетических исследований и тестирования пациента, его обследуют при помощи магнитно-резонансной томографии головного мозга - она помогает выявить очаг поражения на всех стадиях развития синдрома, определить изменения в коре и структуре серого вещества, выявить ущемление нервных волокон и проблемы с кровотоком.
Также применяют исследование крови, ее состава на предмет выявления прионов путем иммуно-блотгинга в периферических лимфоцитах. Исследуют и ликвор на предмет наличия нейроспецифического белка, применяют метод ИФА.
Что может предложить медицина?
При лечении синдрома Герстманна в самом начале врачи устанавливают первопричину, которая привела к развитию данной патологии или же негативные механизмы, спровоцировавшие его.
Чаще всего сам курс лечения симптоматический - на данный момент учеными не разработано эффективных методов борьбы с данным заболеванием головного мозга.
Для устранения негативной симптоматики развивающегося синдрома, врачи прописывают курс ноотропов и протекторов когнитивных функций, также применяются корректоры поведения пациента.
Назначается курс лечебной физкультуры и сеансы массажа, посещение бассейна, если позволяет состояние здоровья, как и курс санаторно-курортного лечения - это, скорее поддерживающие состояние пациента методики, нежели полноценное лечение, хотя и они дают существенные результаты в улучшении общего состояния больного.
Рекомендации по лечению синдрома Герстмана
Синдром Герстмана (синдром Герстмана-Шильдера, синдром угловой извилины) - неврологическое расстройство, представленное рядом симптомов, указывающих на наличие поражения определённой области мозга. Названо в честь австрийского невролога Йозефа Герстмана (Josef Gerstmann, 1887-1969).
Синдром Герстмана Штреусслера, в свою очередь, представляет собой семейную наследственную прионовую инфекцию, входящую в группу трансмиссивных энцефалопатий, к которым относятся болезнь Крейтцфельда-Якоба и Куру.
Появление симптомов нарушения когнитивных функций может указывать на множество серьезных патологий головного мозга, к одной из них относится синдром Герстмана. Своевременное обращение к врачу поможет предотвратить появление осложнений, благодаря правильной диагностике и лечению недуга.
Причины возникновения
Провоцирующие факторы развития данной патологии следующие:
- воспалительные заболевания (энцефалит, менингит, сепсис с распространением инфекции на структуры мозга);
- эмболический процесс (на фоне тромбообразования);
- состояние после проведенной вакцинации;
- атеросклероз (при АГ, повышенном содержании холестерина в крови);
- опухолевидные образования (кисты, опухоли, абсцессы, гематомы);
- травмы (ушиб, сотрясение);
- общее переутомление.
Характерная симптоматика
У пациента с синдромом угловой извилины можно выявить следующие специфические признаки:
- Контрлатеральная гомонимная гемианопсия (выпадение правых или левых половин полей зрения обоих глаз) в совокупности со снижением или отсутствием способности концентрировать взор на движущемся предмете (ортокинетический нистагм).
- Аграфия (потеря способности к письменной речи с сохранением координированной двигательной активности рук и интеллекта). Наблюдается при патологии задних отделов лобных извилин правого (у левши) или левого (у правши) полушарий ГМ.
- Акалькулия (невозможность выполнения счетных операций, арифметических действий, пациент не понимает счёт и его смысл). Если патология затрагивает теменно-затылочную область, то развивается этот симптом.
- Алексия (пациент не способен дать толкование написанным словам, знакам, записям при сохраненном зрении).
- Пальцевую агнозию и отсутствие пространственной ориентации (невозможность определить место нахождения и расположение собственных частей тела относительно правой или левой сторон).
На фото представлены основные вышеперечисленные проявления заболевания.

Клинические признаки патологии отмечаются в среднем возрасте (35-40 лет) и схожи с таковыми при заболевании Крейтцфельда-Якоба. Отличительными симптомами выступают отсутствие деменции и более длительный период жизни (более 5 лет) при синдроме Герстмана.
Постановка диагноза
Для подтверждения наличия у больного синдрома Герстмана Штреусслера Шейнкера необходимо провести ряд исследований:
- Определение мутации в ДНК на уровне гена PRNP. Проводится автоматическое секвенирование, с помощью которого врач исследует нуклеотидную последовательность гена, чтобы обнаружить дефект.
- МРТ головного мозга (для выявления пораженных очагов на любой стадии заболевания, изменений в области коры или полушарий мозга, ущемленных нервов или сосудов).
- Анализ крови на наличие прионовых тел (иммуно-блоттинг периферических лимфоцитов).
- Состояние ликвора (иммуноферментный анализ помогает определить нейроспецифический белок).
Тесты
Кроме генетического обследования, в постановке диагноза важная роль отводится когнитивным тестам, с их помощью можно точно определить наличие у пациента интеллектуальных расстройств. Они представлены списком несложных вопросов и заданий, помогающих в определении патологии или риска ее развития у каждого пациента. Для этого врач просит больного:
- взять ручку, или другой предмет в правую или левую руку (для определения нарушений пространственной ориентации);
- написать текст, предложение, словосочетания (для выявления аграфии);
- прочитать отрывок, предложение, текст (с целью исключения алексии);
- провести простые счетные операции на сложение или вычитание (на диагностику акалькулии);
- остановить взгляд на движущемся перед глазами предмете (способность утрачена при данной патологии);
Поддерживающая терапия
Перед назначением лечения патологического состояния врач выявляет основополагающую причину, обусловившую развитие заболевания и механизм поражения структур мозга. Такая патология, как синдром Герстмана, на сегодняшний день изучена не до конца, вследствие чего не удается разработать эффективной патогенетической терапии. Лечебная тактика направлена на устранение основных симптомов и предотвращение их прогрессирования. С этой целью используются препараты:
- ноотропного действия, способствующие улучшению проведения импульсов в мозге, («Ноотропил», «Котексин»);
- улучшающие мозговой кровоток («Пентоксифиллин», «Винпоцетин»);
- корректирующие поведение больного (антидепрессанты, транквилизаторы, барбитураты);
Активно используются методы физиотерапии: лечебная физкультура, массаж, плавание и водная гимнастика. В качестве общего укрепления организма и поддержания жизненных сил и тонуса полезным будет санаторно-курортное лечение.
Читайте также:
- Техника операции при мультидирекциональной нестабильности с разрывом суставной губы плечевого сустава
- Вторичные формы гастрита. Болезни оперированного желудка.
- Чрезмерная длительность репетиций танцев. Отсутствие разминки перед танцем
- Анатомия: Борозды и извилины височной доли. Верхняя и нижняя височная борозда, sulcus temporalis superior и sulcus temporalis inferior.
- Глазной контакт при шизофрении. Жесты при шизофрении

