Диагностика и лечение ретинопатии недоношенных. Прогноз
Добавил пользователь Евгений Кузнецов Обновлено: 31.10.2025
Обобщающий термин «ретинопатия» означает патологическое состояние функциональной ткани сетчатки, развившееся под действием тех или иных причин. Практически все формы и виды ретинопатии вторичны, т.е. обусловлены недостатком снабжения сетчатки кровью, а следовательно, питательными веществами и кислородом. В свою очередь, причиной развития ретинальной ишемии чаще всего выступает поражение ее сосудистой оболочки вследствие более общего заболевания (атеросклероз, сахарный диабет и др.). Такой первичный этиопатогенетический фактор служит основанием общепринятой классификации: выделяют, например, диабетическую ретинопатию, гипертоническую, травматическую и т.д.
Отдельно рассматривается особая форма ретинопатии, обусловленная не износом или болезнями взрослого организма, а, наоборот, недоразвитием сосудистой системы глаза. Речь идет о ретинопатии недоношенных (РН).
В современной офтальмологии эта патология относится к тяжелым и представляет собой острую и болезненную проблему: далеко не достаточно изучены все механизмы и закономерности РН, нет единого эффективного подхода к терапии (многое по-прежнему зависит больше от естественного хода событий, чем от усилий врачей), но, в то же время, РН остается одной из основных причин ранней детской слепоты.

Механизмы развития
Известно, что формирование питающей сетчатку сосудистой оболочки начинается на 4 месяце вынашивания и продолжается вплоть до родов. Таким образом, рождение глубоко недоношенного ребенка автоматически означает несформированную систему кровоснабжения сетчатки. Однако если ранее, например, 7-месячный новорожденный с выраженным дефицитом массы тела был практически обречен, то с середины ХХ века развитие неонатологии резко повысило процент выживаемости. Вместе с тем, офтальмологи отметили «эпидемию ретинопатий» у выхоженных детей (первое описание патологии появилось в 40-е годы).
Было установлено, что основной причиной стали взаимоисключающие потребности несформированного организма: с одной стороны, для нормального доразвития васкулярной (кровоснабжающей) системы сетчатки она должна питаться посредством гликолиза, то есть бескислородного расщепления сахаров. Но с другой - стратегия жизнеобеспечения и выхаживания недоношенных детей однозначно требует интенсивной оксигенации в инкубаторе, которая подавляет процессы гликолиза. В результате на 3-6 неделе жизни (но не позднее 10-ой) в сетчатке могут начаться тяжелые, в некоторых случаях необратимые органические изменения, чреватые глубокой недостаточностью или утратой зрительных функций.
Факторы риска
Как видно из вышесказанного, главным фактором риска РН выступает сама по себе недоношенность (роды на 26-28 нед). Кроме того, вероятность развития ретинопатии повышают:
- масса тела менее 1,4 кг при рождении;
- жизнесохраняющая искусственная вентиляция легких в течение трех и более дней после родов;
- активная оксигенотерапия продолжительностью более месяца;
- нестабильность общего состояния, вкл. дыхательные, сосудистые, неврологические нарушения;
- внутриутробные инфекции.
Симптоматика и диагностика
После преждевременных родов офтальмологическое обследование ребенка является строго обязательным и должно проводится не позднее 1-2 недели жизни. В дальнейшем осмотры производятся еженедельно; если есть основания подозревать начало РН, глазное дно изучается тщательно с применением мидриатиков (капли, расширяющие зрачок). В диагностических целях применяется офтальмоскопия, электроретинография, УЗИ и др. методы по необходимости. Критериями диагностики служат локализация, характер, стадия, динамика поражения, наличие/отсутствие неоваскуляризации (т.е. разрастания новообразованной сосудистой системы с проникновением ее в окружающие глазные ткани). Так, выделяют 3 зоны распространения ретинопатии вокруг диска зрительного нерва, и 5 стадий поражения:
- 1 стадия - характеризуется тонкой светло-серой линией между несформированной периферией сетчатки и кровоснабжаемой центральной частью;
- 2 стадия - отдельные очаги неоваскуляризации, тенденция к шунтированию (сращению) ретинальных артериол и вен;
- 3 стадия - разрастание новой сосудистой сетки с проникновением в стекловидное тело, тенденция к замещению функциональных клеток соединительной тканью, ветвление сосудов, кровоизлияния в сетчатку и/или стекловидное тело;
- 4 стадия - тенденция к отслоению сетчатки от периферии к центру (обычно на 10 неделе жизни);
- 5 стадия - тотальное отслоение сетчатки.
Динамика ретинопатии новорожденных малопредсказуема: до 80% случаев заканчиваются спонтанным восстановлением структур глазного дна (иногда без резидуальных последствий). При неблагоприятном варианте развития, получившем название «плюс-болезнь», патология прогрессирует и проявляется нарастающей ригидностью (нечувствительностью к свету, неподвижностью) зрачка, помутнением стекловидного тела, выраженной неоваскуляризацией, обширными кровоизлияниями и рубцеванием, причем темпы усугубления значительно варьируют: например, между 1 и 4 стадиями может пройти несколько недель или всего несколько дней.

Лечение
Ретинопатия недоношенных в 1-2 стадии обычно вмешательства не требует: шансы на самопроизвольный регресс патологии статистически высоки. 3 стадия считается пороговой и создает показания для интенсивных мер, - консервативных и/или офтальмохирургических. В зависимости от клинической картины и динамики, назначаются препараты ангиопротективного и антиоксидантного действия, витаминные комплексы (напр., капли Эмоксипин), кортикостероидные гормоны. Для устранения неоваскулярной сосудистой сетки, а также для предотвращения отслоения сетчатки применяют фото- и лазерную коагуляцию, криоретинопексию (однако в отношении отслоения эти методы зачастую дают лишь временный эффект; процент терапевтического успеха составляет 80-85%).
Операции при ретинопатии
Наиболее распространенным офтальмохирургическим выбором в тяжелых случаях являются те или иные варианты витреоретинальной операции (на стекловидном теле и сетчатке), однако в некоторых ситуациях, - например, при тракционном отслоении, когда сетчатка буквально отрывается новообразованными стяжками и сращениями, - даже такое радикальное вмешательство оказывается неэффективным. В целом, 4-5 стадии ретинопатии новорожденных результируют, как правило, необратимой слепотой.
Главным же выводом для родителей на сегодняшний день является то, что любые преждевременные роды создают угрозу зрительной системе ребенка (к возможным осложнениям и последствиям РН относятся не только отслоение сетчатки, но и миопия, амблиопия и другие тяжелые аномалии), и чем больше «опережение сроков», тем выше риск самого неблагоприятного развития ситуации - вплоть до утраты зрения. Учитывая, что счет иногда идет буквально на дни, за огромным количеством прочих проблем недоношенности ни в коем случае нельзя пренебрегать необходимостью тщательного офтальмологического обследования и контроля. При малейших признаках развития ретинопатии решения и меры должны приниматься рационально, аргументированно, взвешенно, но без лишних колебаний и промедлений.
Ретинопатия недоношенных
Ретинопатия недоношенных - вазопролиферативное поражение сетчатки, обусловленное незрелостью структур глаза у детей, рожденных раньше срока. Ретинопатия недоношенных характеризуется нарушением нормального васкулогенеза и нередко самопроизвольно регрессирует; в остальных случаях сопровождается помутнением стекловидного тела, миопией, астигматизмом, косоглазием, катарактой, глаукомой, тракционной отслойкой сетчатки. Ретинопатия диагностируется в ходе осмотра недоношенного ребенка детским офтальмологом с помощью офтальмоскопии, УЗИ глаза, электроретинографии, зрительных ВП. Лечение ретинопатии недоношенных может включать крио- или лазеркоагуляцию сетчатки, витрэктомию, склеропломбирование.
Общие сведения
Ретинопатия недоношенных - нарушение процессов васкуляризации сетчатки у детей, имеющих низкий гестационный возраст. Частота ретинопатии недоношенных в неонатологии и детской офтальмологии тесно коррелирует со степенью зрелости организма ребенка: так, у детей с массой тела менее 1500 г патология сетчатки развивается в 40-50% случаев; менее 1000 г - в 52-73%; а у глубоко недоношенных детей с массой тела менее 750 г - в 81-95% случаев. Парадоксальность ситуации заключается в том, что совершенствование условий выхаживания детей с экстремально низкой массой тела приводит к увеличению случаев ретинопатии недоношенных, которая в развитых странах становится ведущей причиной слепоты у детей.
Причины ретинопатии недоношенных
Нормальный васкулогенез (рост сосудов) сетчатки у плода начинается с 16 недели внутриутробного развития и завершается к 40 неделям гестации. Т. о., чем меньше гестационный возраст ребенка, тем больше в его сетчатке содержится аваскулярных зон. Наиболее подвержены возникновению ретинопатии недоношенных дети, рожденные от преждевременных родов ранее 34-ой недели гестации с массой тела менее 2000 г.
Развитие сосудов сетчатки регулируется различными медиаторами - факторами роста, из которых наиболее значимы и изучены фактор роста сосудистого эндотелия, фактор роста фибробластов и инсулиноподобный фактор. Нарушению регуляции нормального ангиогенеза и развитию ретинопатии у недоношенных способствуют условия, вызывающие изменение парциального давления кислорода и углекислого газа в крови. Дело в том, что метаболические процессы в сетчатке осуществляются посредством гликолиза, т. е. расщепления глюкозы, протекающего без участия кислорода. Поэтому длительное пребывание ребенка на ИВЛ, кислородотерапия, колебания в режиме назначения сурфактантов и т. п. способствуют развитию ретинопатии недоношенных.
Дополнительными факторами риска, влияющими на возникновение ретинопатии недоношенных, служат гипоксия плода, внутриутробные инфекции, синдром дыхательных расстройств, внутричерепные родовые травмы, сепсис, анемия новорожденных и др. Одним из вероятных триггеров развития ретинопатии является воздействие на незрелую сетчатку недоношенного избыточной освещенности, тогда как в норме ангиогенез сетчатки протекает внутриутробно в отсутствии светового воздействия.
Патогенез ретинопатии недоношенных связан как с нарушением образования новых сосудов сетчатки, так и с изменением уже сформировавшихся сосудистых трактов. При ретинопатии недоношенных образование сосудов в аваскулярных зонах периферии сетчатки прекращается, а новообразованные сосуды начинают прорастать в стекловидное тело, что в дальнейшем приводит к кровоизлияниям, новообразованию глиальной ткани, натяжению и тракционной отслойке сетчатки.
Классификация ретинопатии недоношенных
Принятая в мировой практике классификация ретинопатии недоношенных выделяет в течении заболевания активную и рубцовую (регрессивную) фазы. Активная фаза ретинопатии недоношенных, в зависимости от локализации и выраженности сосудистых изменений, подразделяется на 5 стадий:
- I стадия - образование демаркационной линии - узкой границы, отделяющей васкулярную (сосудистую) часть сетчатки от аваскулярной (бессосудистой).
- II стадия - формирование на месте демаркационной линии возвышения - демаркационного вала (гребня). Сосуды врастают в вал и могут образовывать небольшие участки неоваскуляризации.
- III стадия - в области вала появляется экстраретинальная фиброваскулярная пролиферация. Соединительная ткань и сосуды разрастаются по поверхности сетчатки и проникают в стекловидное тело.
- IV стадия - соответствует частичной отслойке сетчатки, обусловленной экссудативно-тракционным механизмом. Данная стадия ретинопатии недоношенных подразделяется на подстадии: IVa - без отслойки макулы и IVб — с вовлечением в отслойку макулярной зоны.
- V стадия - тотальное отслоение сетчатки воронкообразной формы (с узким, широким или закрытым профилем воронки).
В 70-80% случаев I и II стадии ретинопатии недоношенных самопроизвольно регрессируют, оставляя минимальные остаточные изменения на глазном дне. III стадия является «пороговой» и служит основанием для проведения профилактической коагуляции сетчатки. IV и V стадии ретинопатии недоношенных расцениваются как терминальные из-за неблагоприятного прогноза в отношении зрительных функций.
В большинстве случаев при ретинопатии недоношенных наблюдается последовательное, постадийное развитие изменений, однако возможен молниеносный вариант («плюс»-болезнь), характеризующийся злокачественным, быстрым течением.
Продолжительность активной стадии ретинопатии недоношенных составляет 3-6 месяцев. Если в течение этого времени не произошло спонтанного регресса изменений, наступает фаза рубцевания с развитием остаточных явлений. В этой стадии у ребенка могут развиваться микрофтальм, близорукость, косоглазие и амблиопия, поздняя отслойка сетчатки, фиброз стекловидного тела, осложненная катаракта, вторичная глаукома, субатрофия глазного яблока.
Объективные офтальмологические данные являются единственными проявлениями ретинопатии недоношенных, особенно в ее активной фазе, поэтому одновременно могут расцениваться как симптомы заболевания.
Диагностика ретинопатии недоношенных
Для выявления ретинопатии обследованию детского офтальмолога подлежат все недоношенные через 3-4 недели после рождения. В более раннем возрасте признаки ретинопатии недоношенных еще не проявляются, однако при офтальмологическом осмотре может быть выявлена другая врожденная патология глаза: глаукома, катаракта, увеит, ретинобластома.
Дальнейшая тактика предполагает динамическое наблюдение недоношенного ребенка офтальмологом каждые 2 недели (при незавершенной васкуляризации сетчатки) либо еженедельно (при первых признаках ретинопатии), либо 1 раз в 2-3 дня (при «плюс»-болезни). Осмотры недоношенных детей проводятся в присутствии неонатолога и анестезиолога-реаниматолога.
Основным методом выявления ретинопатии недоношенных служит непрямая офтальмоскопия, осуществляемая после предварительного расширения зрачка (мидриаза). С помощью УЗИ глаза дополнительно выявляются экстраретинальные признаки ретинопатии недоношенных в III-IV стадиях. С целью дифференциальной диагностики ретинопатии недоношенных и патологии ЗН (аномалий развития или атрофии зрительного нерва) выполняется исследование зрительных ВП, электроретинография ребенку. Для исключения ретинобластомы информативны УЗИ и диафаноскопия.
Для оценки степени отслойки сетчатки предлагается использовать оптическую когерентную томографию.
Лечение ретинопатии недоношенных
В I-II стадии ретинопатии недоношенных лечение не показано. В III стадии с целью предупреждения прогрессирования ретинопатии недоношенных до терминальных стадий проводится профилактическая лазеркоагуляция либо криокоагуляция аваскулярной зоны сетчатки (не позднее 72 часов от момента выявления экстраретинальной пролиферации).
Эффективность профилактического коагуляционного лечения при ретинопатии недоношенных составляет 60-98%. Среди местных осложнений хирургических процедур встречаются ожоги глаз, гифема, преретинальные мембраны, иридоциклиты, окклюзия центральной артерии сетчатки. Общесоматические осложнения могут включать апноэ, цианоз, брадикардию или тахикардию.
Оценка результативности коагуляционного лечения ретинопатии недоношенных проводится спустя 10-14 дней. При стабилизации или регрессе процесса лечение расценивается как эффективное; в случае продолжающейся эктраретинальной пролиферации возможно повторение крио- или лазеркоагуляции.
В регрессивном и послеоперационном периоде назначаются инстилляции лекарственных препаратов (дизинфицирующих, антиоксидантных, противовоспалительных), физиотерапевтическое воздействие (электрофорез, магнитостимуляция, электроокулостимуляция).
В случае дальнейшего прогрессирования ретинопатии недоношенных до IV-V стадий возникает необходимость проведения витрэктомии (ленсвитрэктомии) или циркулярного пломбирования склеры (экстрасклерального пломбирования).
Прогноз и профилактика ретинопатии недоношенных
У большинства детей ретинопатия недоношенных не прогрессирует дальше I-II стадии, изменения сетчатки подвергаются обратному развитию; при этом сохраняется достаточно высокая острота зрения. Тем не менее, у половины из них к 6-10 годам выявляются аномалии рефракции (близорукость, дальнозоркость, астигматизм), глазодвигательные нарушения (косоглазие, нистагм). При прогрессировании ретинопатии недоношенных до IV-V стадии или молниеносной форме заболевания прогноз на сохранение зрительной функции неблагоприятный.
Профилактика ретинопатии недоношенных - это, прежде всего, профилактика преждевременных родов; проведение терапии, направленной на пролонгирование беременности; правильное выхаживание недоношенных, их динамическое наблюдение детским офтальмологом. Дети, перенесшие ретинопатию недоношенных, в старшем возрасте должны проходить регулярное офтальмологическое обследование, включающее визометрию, рефрактометрию, электрофизиологические исследования, компьютерную периметрию и др.
Ретинопатия
Ретинопатия - поражение ретинальных сосудов, приводящее к нарушению кровоснабжения сетчатки, ее дистрофии, атрофии зрительного нерва и слепоте. Ретинопатия протекает безболезненно: при этом отмечается появление перед глазами плавающих пятен (скотом) и пелены, прогрессирующее снижение зрения. Диагностика ретинопатии требует проведения консультаций специалистов (офтальмолога, невролога, кардиолога, эндокринолога), исследования остроты и полей зрения, выполнения офтальмоскопии, биомикроскопии, флуоресцентной ангиографии глазного дна, электрофизиологических исследований, УЗИ глаза. При ретинопатии необходимо достижение компенсации сопутствующих заболеваний, назначение вазодилататоров, витаминов, антикоагулянтов, проведение гипербарической оксигенации, лазеркоагуляции сетчатки.
Понятием «ретинопатии» в офтальмологии обозначаются различные по происхождению патологические изменения сетчатки, не связанные с воспалением (ретинопатии первичные), а также поражения сетчатки, развивающиеся вследствие других заболеваний (ретинопатии вторичные). Среди первичных ретинопатий выделяют центральную серозную, острую заднюю многофокусную и наружную экссудативную ретинопатию. К вторичным ретинопатиям относят диабетическую, гипертоническую, травматическую, а также ретинопатию при заболеваниях крови. В отдельную форму, которая изучается не только офтальмологией, но и педиатрией, выделяется ретинопатия недоношенных.
Первичные ретинопатии
Центральная серозная ретинопатия
Этиология первичных ретинопатий остается неизвестной, поэтому их относят к идиопатическим. Центральная серозная ретинопатия (центральный серозный ретинит, идиопатическая отслойка желтого пятна) чаще выявляется у мужчин 20-40 лет, не имеющих соматических заболеваний. В анамнезе пациенты указывают на перенесенные эмоциональные стрессы, частые головные боли по типу мигрени. При центральной серозной ретинопатии поражение сетчатки обычно одностороннее.
Симптомы центральной серозной ретинопатии включают микропсию (уменьшение размеров видимых предметов), появление скотом, снижение остроты и сужение полей зрения. Важным дифференциально-диагностическим признаком является улучшение зрения при использовании слабо положительных линз.
Патоморфологическая картина при центральной серозной ретинопатии характеризуется серозной отслойкой пигментного эпителия в макулярной области, что определяется в процессе офтальмоскопии как ограниченное овальное или круглое выбухание более темного цвета, чем окружающие ткани сетчатки. Типично отсутствие фовеального рефлекса (световой полоски вокруг центральной ямки сетчатки), наличие желтоватых или сероватых преципитатов.
В лечении центральной серозной ретинопатии используется лазерная коагуляция сетчатки. Проводится терапия, направленная на укрепление сосудистой стенки, улучшение микроциркуляции, уменьшение отека сетчатки; назначается оксигенобаротерапия. В 80% случаев, при своевременной активной терапии серозной ретинопатии удается остановить отслойку сетчатки и восстановить зрение до исходного уровня.
Острая задняя многофокусная пигментная эпителиопатия
Данная форма ретинопатии может быть одно- или двусторонней. При острой задней многофокусной пигментной эпителиопатии образуются множественные плоские субретинальные очаги серовато-белого цвета, при обратном развитии которых формируются участки депигментации. При осмотре глазного дна определяются периваскулярный отек периферических сосудов сетчатки, извитость и расширение вен, отек ДЗН.
У значительной части больных происходит помутнение стекловидного тела, развивается эписклерит и иридоциклит. Рано нарушается центральное зрение, в поле зрения появляются центральные или парацентральные скотомы.
Лечение задней многофокусной пигментной эпителиопатии проводится консервативно; включает назначение витаминотерапии, сосудорасширяющих препаратов (винпоцетина, пентоксифиллина и др.), ангиопротекторов (солкосерила), ретробульбарных инъекций кортикостероидов, гипербарической оксигенации. Прогноз при данной форме первичной ретинопатии, как правило, благоприятный.
Наружная экссудативная ретинопатия
Развитие наружной экссудативной ретинопатии (болезни Коутса, наружного экссудативного ретинита) преимущественно отмечается у молодых мужчин. Поражение сетчатки чаще одностороннее. При данной форме ретинопатии под сосудами сетчатки скапливается экссудат, геморрагии, кристаллы холестерина. Изменения, как правило, локализуются на периферии глазного дна; поражение макулярной зоны происходит редко. Нередко при ангиографии сетчатки выявляются множественные микроаневризмы, артериовенозные шунты.
Течение наружной экссудативной ретинопатии медленное, прогрессирующее. Лечение проводится путем лазеркоагуляции сетчатки и гипербарической оксигенации. Прогноз отягощается отслойкой сетчатки, требующей неотложного вмешательства, развитием иридоциклита и глаукомы.
Вторичные ретинопатии
Гипертоническая ретинопатия
Патогенетически гипертоническая ретинопатия связана с артериальной гипертензией, почечной недостаточностью, токсикозом беременных. При этой форме ретинопатии отмечается спазм артериол глазного дна с последующим эластофиброзом или гиалинозом их стенок. Тяжесть поражения определяется степенью гипертензии и длительностью течения гипертонической болезни.
В развитии гипертонической ретинопатии выделяют 4 стадии. Стадия гипертонической ангиопатии сетчатки характеризуется обратимыми функциональными изменениями, затрагивающими артериолы и венулы сетчатки.
В стадии гипертонического ангиосклероза поражение ретинальных сосудов носит органический характер и связано со склеротическим уплотнением сосудистых стенок, снижением их прозрачности.
Стадия гипертонической ретинопатии характеризуется наличием очаговых изменений в ткани сетчатки (геморрагий, плазморрагий, отложений липидов, белкового экссудата, зон ишемического инфаркта), частичного гемофтальма. У пациентов с гипертонической ретинопатией отмечается снижение остроты зрения, появляются скотомы (плавающие пятна) перед глазами. Обычно на фоне антигипертензивной терапии данные изменения регрессируют, а симптомы исчезают.
В стадии гипертонической нейроретинопатии к ангиопатии, ангиосклерозу и собственно ретинопатии, присоединяются явления отека ДЗН, экссудации, очаги отслойки сетчатки. Данные изменения более характерны для злокачественной гипертонии и гипертензии почечного генеза. Стадия гипертонической нейроретинопатии может закончиться атрофией зрительного нерва и необратимой потерей зрения.
Диагностика гипертонической ретинопатии включает консультацию офтальмолога и кардиолога, проведение офтальмоскопии и флюоресцентной ангиографии. Офтальмоскопическая картина характеризуется изменением калибра сосудов сетчатки, их частичной или тотальной облитерацией, симптомом Салюса — Гунна (смещением вены в глубокие ретинальные слои вследствие давления на нее напряженной и уплотненной артерии в зоне их перекреста), субретинальной экссудацией и др.
При гипертонической ретинопатии проводится коррекция артериальной гипертония, назначаются антикоагулянты, витамины, проводится оксигенобаротерапия и лазерная коагуляция сетчатки. Осложнениями гипертонической ретинопатии являются рецидивирующий гемофтальм и тромбозы вен сетчатки. Прогноз гипертонической ретинопатии серьезный: не исключается значительное снижение зрения и даже развитие слепоты. Ретинопатия отягощает течение основной патологии и беременности, поэтому может стать медицинским основанием для искусственного прерывания беременности.
Атеросклеротическая ретинопатия
Причиной развития атеросклеротической ретинопатии служит системный атеросклероз. Изменения, происходящие в сетчатке в стадиях ангиопатии и ангиосклероза, аналогичны таковым при гипертонической ретинопатии; в стадии нейроретинопатии появляются мелкие капиллярные геморрагии, отложения кристаллического экссудата по ходу вен, побледнение ДЗН.
Основными методами офтальмологической диагностики атеросклеротической ретинопатии служит прямая и непрямая офтальмоскопия, ангиография сосудов сетчатки. Специальное лечение атеросклеротической ретинопатии не проводится. Наибольшее значение имеет терапия основного заболевания - назначение дезагрегантов, антисклеротических, сосудорасширяющих препаратов, ангиопротекторов, мочегонных средств. При развитии нейроретинопатии показаны курсы электрофореза с протеолитическими ферментами. Осложнениями атеросклеротической ретинопатии часто становятся окклюзия артерий сетчатки, атрофия зрительного нерва.
Диабетическая ретинопатия
Патогенез диабетической ретинопатии обусловлен наличием сахарного диабета 1 или 2 типа. Основными факторами риска развития ретинопатии являются длительность течения диабета, выраженная гипергликемия, нефропатия, артериальная гипертензия, ожирение, гиперлипидемия, анемия. Диабетическая ретинопатия является наиболее частыми и серьезным осложнением диабета и служит главной причиной слабовидения и слепоты.
В развитии данной формы заболевания выделяют стадии диабетической ангиопатии, диабетической ретинопатии и пролиферирующей диабетической ретинопатии. Первые две стадии (ангиопатии и простой ретинопатии) протекают с теми же изменениями, что и аналогичные стадии гипертонической и атеросклеротической ретинопатии. В ранней стадии пролиферирующей диабетической ретинопатии развивается неоваскуляризация сетчатки, в поздней стадии происходит врастание вновь образованных сосудов и рецидивирующие кровоизлияния в стекловидное тело, разрастание глиальной ткани. Натяжение волокон и деформация стекловидного тела обусловливают развитие тракционной отслойки сетчатки, которая и является причиной неизлечимой слепоты при диабетической ретинопатии.
В начальных стадиях диабетическая ретинопатия проявляется устойчивым снижением остроты зрения, появлением перед глазами пелены и плавающих пятен, которые периодически исчезают. Затруднено чтение и выполнение мелкой работы. В поздней пролиферирующей стадии наступает полная потеря зрения.
Проведение офтальмоскопии под мидриазом позволяет детально осмотреть глазное дно и выявить характерные для диабетической ретинопатии изменения. Функциональное состояние сетчатки периферических зон исследуется с помощью периметрии. С помощью УЗИ глаза определяются участки уплотнений, кровоизлияний, рубцов в толще глазного яблока. Электроретинография проводится с целью определения электрического потенциала и оценки жизнеспособности сетчатки. Для уточнения состояния сетчатки применяется лазерная сканирующая томография и ретинальная ангиография.
Дополнительные сведения в комплексе офтальмологического обследования пациентов с диабетической ретинопатией получают с помощью определения остроты зрения, биомикроскопии, диафаноскопии глаза, определения критической частоты слияния мельканий (КЧСМ) и т. д.
Лечение диабетической ретинопатии должно проходить под контролем офтальмолога и эндокринолога (диабетолога). Необходим тщательный контроль уровня глюкозы в крови, своевременный прием противодиабетических препаратов, витаминов, антиагрегантов, ангиопротекторов, антиоксидантов, средств, улучшающих микроциркуляцию. При отслоении сетчатки применяют лазеркоагуляцию. В случае выраженных изменений в стекловидном теле и образовании рубцов показано проведение витрэктомии, витреоретинальной операции.
Осложнениями диабетической ретинопатии служат катаракта, гемофтальм, помутнение и рубцовые изменения стекловидного тела, отслойка сетчатки, слепота.
Ретинопатия при заболеваниях крови
Ретинопатии могут развиваться при различной патологии системы крови - анемиях, полицитемии, лейкозах, миеломной болезни, макроглобулинемии Вальденстрема и др.
Каждая из форм характеризуется специфической офтальмоскопической картиной. Так, при ретинопатии, обусловленной полицитемией, вены сетчатки приобретают темно-красный цвет, а глазное дно - цианотичный оттенок. Нередко развиваются тромбоз вен сетчатки и отек ДЗН.
При анемиях глазное дно, напротив, бледное, сосуды сетчатки расширены, окраска и калибр артерий и вен одинаковы. Ретинопатия при анемиях может сопровождаться субретинальными и экстраретинальными кровоизлияниями (гемофтальмом), экссудативной отслойкой сетчатки.
При лейкозах со стороны глазного дна наблюдается извитость вен, диффузный отек сетчатки и ДЗН, кровоизлияния, скопление зон экссудата.
При миеломной болезни и макроглобулинемии Вальденстрема в результате диспротеинемии, парапротеинемии, сгущения крови расширяются ретинальные вены и артерии, развиваются микроаневризмы, тромботические окклюзии вен, геморрагии в сетчатку.
Лечение ретинопатий, связанных с патологией системы крови, требует терапии основного заболевания, проведения лазеркоагуляции сетчатки. В отношении зрительной функции прогноз серьезный.
Травматическая ретинопатия
Развитие травматической ретинопатии связано с внезапным и резким сдавлением грудной клетки, при котором происходит спазм артериол, наступает гипоксия сетчатки с выходом в нее транссудата. В ближайшем периоде после травмы развиваются кровоизлияния и органические изменения сетчатки. Травматическая ретинопатия может привести к атрофии зрительного нерва.
Последствиями контузии глазного яблока служат изменения, получившие название Берлиновское помутнение сетчатки. Данная форма травматической ретинопатии связана с субхориоидальным кровоизлиянием и отеком глубоких ретинальных слоев, выходом транссудата в пространство между сетчаткой и сосудистой оболочкой.
Для лечения травматической ретинопатии назначается витаминотерапии, проводится борьба с тканевой гипоксией, гипербарическая оксигенация.
Перечисленные выше формы ретинопатии, преимущественно встречаются у взрослых. Особую форму заболевания представляет ретинопатия недоношенных, связанная с недоразвитием сетчатки у детей, родившихся от преждевременных родов. Для завершения формирования и созревания всех структур глаза недоношенные дети нуждаются в зрительном покое и бескислородном местном тканевом дыхании (гликолизе). С другой стороны, для выхаживания недоношенных и стимуляции метаболических процессов в жизненно важных органах требуется дополнительная оксигенация, что приводит к угнетению гликолиза в сетчатой и сосудистой оболочках глаза.
Наибольшему риску развития ретинопатии недоношенных подвержены дети, рожденные на сроке гестации менее 31 недели, с массой при рождении менее 1500 гр, нестабильным общим состоянием, получающие длительную кислородотерапию, перенесшие переливание крови.
Новорожденные группы риска по развитию ретинопатии обследуются офтальмологом спустя 3-4 недели после рождения. Офтальмологическое обследование повторяют каждые 2 недели до завершения формирования сетчатки. К поздним осложнениям ретинопатии недоношенных относят близорукость, косоглазие, амблиопию, глаукому, отслойку сетчатки, слабовидение.
В начальных стадиях ретинопатии недоношенных может произойти самопроизвольное излечение, поэтому применяется наблюдательная тактика. В остальных случаях показано проведение лазерной коагуляции или криоретинопексии, а при неэффективности - склеропломбировки, витрэктомии.
Профилактика
С целью предупреждения развития ретинопатии необходимо диспансерное наблюдение офтальмологом пациентов с гипертонической болезнь, сахарным диабетом, атеросклерозом, заболеванием почек, заболеваниями крови, травмами, беременных с нефропатией и др.
Профилактика ретинопатии недоношенных требует внимательного ведения беременности у женщин группы риска по преждевременным родам, совершенствования условий выхаживания недоношенных. Дети, перенесшие ретинопатию в период новорожденности, должны обследоваться детским офтальмологом ежегодно до 18 лет.
Важную роль в профилактике ретинопатий играет согласованность действий специалистов различных профилей: офтальмологов, эндокринологов, кардиологов, неврологов, акушеров-гинекологов, педиатров, травматологов и др.
А видеть-то он будет? или Почему при ретинопатии недоношенных счет идет на часы

Вместе с директором фонда «Провидение» Еленой Осиповой, врачом-офтальмологом доцентом кафедры офтальмологии РНИМУ имени Н.И. Пирогова Ириной Асташевой и заведующим офтальмологическим отделением Детской городской клинической больницы им. З.А.Башляевой Сергеем Лесовым рассказываем самое важное про этот диагноз.
В названии болезни - два слова
Ретинопатия - это болезнь сетчатки глаза. Причины могут быть различны: гипертония, диабет. Но есть специфические проблемы с сетчаткой и у тех, кто поспешил родиться, тогда этот диагноз звучит как ретинопатия недоношенных. Не теряйте второе слово, или вас неверно поймут.
В чем проблема
У детей, родившихся раньше 36 недели беременности, сосуды сетчатки не сформированы. В норме сосуды сетчатки формируются к сорока неделям беременности. Причем для нормального развития сосудов глаза нужна именно внутриутробная среда, - если малыш рождается раньше срока и оказывается в условиях, отличных от внутриутробных, сосуды сетчатки могут начать развиваться неправильно.
Волноваться нужно, если
Ребенок родился до 34-35 недели гестационного возраста (время от последних месячных у мамы до родов) весом менее двух килограмм. У детей, родившихся после 36 недели беременности, это заболевание не встречается.
Опасны 3 и 4 стадии болезни
При благополучном исходе лечения заболевание заканчивается к пятидесятой-пятьдесят пятой неделе общего гестационного возраста (гестационный+время от рождения). Таким образом, время окончания ретинопатии недоношенных непосредственно зависит от того, на каком сроке родился ребенок. Для глубоко недоношенных (22-24 неделя беременности) это может быть четвертый-пятый месяц жизни. У родившихся на 32 неделе проблемы с сетчаткой - уже в полтора-два месяца.
На первой стадии ретинопатии недоношенных на границе сосудистой и бессосудистой зон в глазу образуется демаркационная линия. Эта линия разграничивает зоны сетчатки с сосудами и без.
На второй стадии демаркационная линия начинает утолщаться, потому что внутри нее формируются незрелые сосуды. Образуется гребень или вал.
При грамотном лечении неосложненные первая и даже вторая стадия могут
вылечиться бесследно.
На третьей стадии начинается рост новообразованных сосудов и фиброзной ткани на сетчатке (экстраретинальная пролиферация).
На четвертой стадии волокна и выпоты (свободная жидкость, которую пропустили стенки незрелых сосудов) организуются в тяжи (выходы фиброзной ткани). Происходит частичная отслойка сетчатки. Четвертую стадию подразделяют на 4а - когда процесс образования тяжей идет по краям сетчатки, и 4б - когда тяжи образуются по центру - в центральной макулярной зоне сетчатки.
Если заболевание прогрессирует дальше, наступает пятая стадия с полной отслойкой сетчатки. При этом сетчатка приобретает воронкообразную форму.
Как отдельную особо тяжелую форму болезни выделяют заднюю агрессивную ретинопатию недоношенных. При таком течении болезнь начинает развиваться очень рано, протекает быстро, иногда минуя первую и вторую стадии.
Почему развивается заболевание

Сетчатка глаза недоношенного малыша из-за отсутствия сосудов испытывает дефицит кислорода, который должна приносить клеткам тканей кровь. Чтобы устранить проблему, организм запускает стремительное образование сосудов, но сосуды получаются слишком тонкие, их стенки пропускают жидкости, и внутри глаза образуется экссудат - выпот, свободная жидкость, которой там быть не должно. Могут появиться кровоизлияния.
На месте скоплений жидкости образуются тяжи - выходы фиброзной ткани, прикрепленные к сетчатке. В норме сетчатка ни к чему не прикреплена и свободно располагается на стекловидном теле - особой жидкости, покрывающей хрусталик. При ретинопатии тяжи прикрепляют сетчатку к сосудам ниже стекловидного тела и растягивают ее, как завязки фартук.
Дальше сетчатка натягивается и расслаивается, стекловидное тело заливается между ее слоями. В самых тяжелых случаях происходит отслоение сетчатки, и ребенок слепнет.
Можно ли предотвратить ретинопатию недоношенных
Можно. Для профилактики РН при первичной реанимации недоношенному ребенку дают кислород в специальной дозировке. Это должно предотвратить кислородное голодание мозга и сетчатки. В дальнейшем в кювезе или в ИВЛ уровень кислорода должен быть отрегулирован определенным образом.
Также ребенку вводят сурфактанты - специальные препараты, препятствующие слипанию легких, чтобы избежать кислородного голодания. Все это - стандартные процедуры при реанимации новорожденных.
Но иногда, даже если все эти процедуры проведены, заболевание развивается все равно - к сожалению, медицина не способна контролировать абсолютно все процессы в организме, и тогда нужно специальное лечение.
Где рожать, чтобы ребенка выходили
С 2006 года по национальному проекту «Здоровье» в российских регионах было построено более пятидесяти государственных перинатальных центров - в Брянске, Саратове, Краснодаре и др., - специализирующихся на выхаживании детей с разными патологиями, в том числе и недоношенных.
Преждевременные роды, как правило, - прогнозируемая ситуация. Если существует такой риск, будущим родителям следует наблюдаться в перинатальном центре.
В Москве и Санкт-Петербурге на дохаживании недоношенных специализируются некоторые больницы, где есть отделения патологии новорожденных. В этом случае роддом, к которому прикрепляют женщину, заранее планирует, что младенец будет перевезен в одно из таких отделений.
Если нет возможности транспортировать ребенка в профильный центр, его должны выходить в обычном роддоме - протоколы выхаживания недоношенных едины и известны.
В таком случае нужно заранее обсудить вопрос о том, есть ли в роддоме специалист с опытом выхаживания таких детей.
Грамотное выхаживание может предотвратить развитие болезни, но это, увы, не гарантия, поэтому
особенно важно, чтобы ребенка из группы риска по развитию РН на четвертой неделе жизни осмотрел офтальмолог. Далее осмотры офтальмолога должны проходить каждые две недели.
Если недоношенного ребенка после родов перевезли в перинатальный центр, его осмотрит офтальмолог центра. Если ребенка к этому времени уже успели выписать домой, на осмотр к офтальмологу его должны принести родители. Оптимальный вариант амбулаторного наблюдения - специальный кабинет катамнеза при стационаре, где выхаживают недоношенных; направление туда дает педиатр из районной поликлиники.
Если ребенка не перевозили в перинатальный центр, а выхаживали в роддоме, главный врач роддома должен вызвать офтальмолога из перинатального центра (или организовать перевоз ребенка), так как своего офтальмолога в штате роддома нет. Очень важно, чтобы на первый осмотр офтальмолога ребенок попал вовремя - на четвертой неделе жизни и далее - регулярно, - чтобы не пропустить начало болезни, ведь лечить ее будет сложнее.
Болезнь обнаружена: что делать

При развитии ретинопатии осмотры офтальмолога должны проводиться каждую неделю вплоть до выздоровления. При диагностике задней агрессивной ретинопатии недоношенных (ЗАРН) осмотры проводят раз в три дня.
Процедуры
При ранних стадиях РН показано применение кортикостероидов и антиоксидантов. Под воздействием лечения на этих стадиях болезнь уходит без каких бы то ни было последствий.
При третьей стадии РН показана лазеркоагуляция сетчатки - прижигание бессосудистой зоны сетчатки лазером, чтобы предотвратить развитие новообразованных сосудов. В некоторых случаях вместо лазеркоагуляции используется криокоагуляция - промораживание сетчатки специальным воздействием холода.
Если заболевание спрогрессировало до четвертой стадии, лазеркоагуляцию делать бессмысленно. В этом случае применяют викрэктомию - удаление тяжей и части стекловидного тела. В результате отслоенные участки сетчатки вновь прилегают к глазу и зрение восстанавливается.
Все эти процедуры проводятся в специализированных офтальмологических центрах.
Еще один способ лечения, начиная со второй+ стадии, - введение ингибиторов факторов роста эндотелия сосудов, при ЗАРН этот метод становится основным.
Введение ингибиторов при РН - это процедура, когда препарат вводят интравитреально - в полость глаза.
Из ингибиторов факторов роста сосудов в России используют препарат Ранибизумаб (Луцентис) (с июля 2020 года он включен в список препаратов, выделяемых по ОМС). Сейчас клинические испытания проходит Афлиберцепт (Элеа).
Практикуются и комбинированные процедуры, когда сначала показана лазеркоагуляция, а потом введение ингибиторов. К сожалению, есть немногочисленные случаи, когда глаза ребенка не реагируют на лечение, наступает слепота.
Основные процедуры при ретинопатии недоношенных проводят в возрасте двух-трех месяцев жизни ребенка.
Бывают ли случаи РН у детей старше полугода?
Сергей Лесовой, заведующий офтальмологическим отделением Детской городской клинической больницы им. З.А.Башляевой: «Рецидивы ретинопатии недоношенных после полугода бывают у детей, которым делали интравитреальное введение препаратов, и где не было достигнуто полное выздоровление. Самый взрослый ребенок, которого я видел с рецидивом ретинопатии недоношенных, был возраста 1 год и 7 месяцев. Мы делали ему лазеркоагуляцию сетчатки. Болезнь отступила. Но это единичный случай».
Особенности маршрутизации при РП в России
Лазеркоагуляцию в России делают только в больших офтальмологических центрах. Например, в Башкирии для прохождения этой процедуры направят в Уфу, где в офтальмологическом отделении республиканской детской клинической больницы - всего пять коек.
Поскольку введение ингибиторов в регионах в России до сих пор не делают, иногда вместо этой процедуры детей направляли сразу на викрэктомию. Это неправильно.
Для этого заведующий офтальмологическим отделением, где лежит ребенок (в регионе) должен связаться с заведующим отделением в московской ДГКБ им. З.А. Башляевой (Тушинская больница), или НПЦ специализированной помощи детям им. В.Ф. Войно-Ясенецкого (центр в Солнцево).
Координаты врачей родителям подскажут в фонде «Провидение». Москвичам введение ингибиторов при РН могут провести также в Морозовской детской больнице.
Для госпитализации потребуется свидетельство о рождении ребенка, направление и медицинский полис. Все процедуры по лечению РН проводятся по ОМС бесплатно.
Главное - успеть вовремя, то есть как можно раньше, в первые два месяца жизни малыша.
Но некоторые дети к моменту, когда им показано введение ингибиторов, еще находятся на ИВЛ или на дохаживании. Их придется перевозить в Москву на спецмашине в сопровождении врача, либо санавиацией.
Подобные услуги в ОМС не входят. В любом случае ребенок должен прибыть на процедуру, как только врачи разрешат транспортировку.
Если лечение провести правильно и в срок, зрение ребенка в большинстве случаев восстановится. Более того, известны случаи, когда дети, перенесшие лазеркоагуляцию, к семи-восьми годам имеют стопроцентное зрение. Хотя, если ребенок перенес РН четвертой-пятой стадии, зрение, как правило, снижается.
С другой стороны, близорукость, астигматизм, косоглазие, поражение зрительных путей у недоношенных встречается чаще, чем у детей, рожденных в срок. Но с ретинопатией недоношенных это не связано.
Главный миф ретинопатии недоношенных: «Потому что не капали капельки»
Ирина Асташева, врач-офтальмолог, к.м.н., доцент кафедры офтальмологии РНИМУ имени Н.И. Пирогова: «Никаких специальных капель от ретинопатии недоношенных, которые оказывали бы профилактическое, либо лечебное воздействие, не существует.
В настоящее время внедряется в практику препарат, воздействие которого аналогично лазеркоагуляции, и еще по одному лекарству завершаются клинические испытания. Но этих лекарств пока нет на российском рынке.
После любой офтальмологической операции назначают антибактериальные капли. Если их не применять, - возможно инфицирование глаза. После лазеркоагуляции антибактериальные препараты капают, как правило, дня три. После викрэктомии - дней десять, это определяет врач, который проводил операцию. Как правило, все время, когда необходимо применение таких препаратов, ребенок еще находится в больнице».
Поможет фонд
Фонд помощи недоношенным детям и их семьям «Провидение» спасает зрение детям уже более двух лет и недавно издал книгу для родителей «Смотри на мир»: специалисты о ретинопатии недоношенных», написанную простым, доступным языком, а также запустил онлайн-курс для родителей от перинатальных психологов «Трудные роды: принять и пережить».
Получить подробную консультацию, как действовать, если у ребенка обнаружили ретинопатию, можно по телефонам фонда:
Иллюстрации: Оксана Романова
Отделение является единственным лечебным подразделением в ДФО, где проводится лечение - далекозашедшей стадий - отслойки сетчатки при ретинопатии недоношенных.
Мы используем в своей работе весь арсенал хирургического лечения этого тяжёлого заболевания. Методы лечения включают: криокоагуляцию сетчатки, экстрасклеральное вдавление склеры, эндовитреальное вмешательство - витрэктомию и ленсвитрэктомию.
Ретинопатия недоношенных. МКБ-10. Н 35.1. Есть ли шанс избежать слепоты?
Благодаря достижениям современной медицинской науки в Российской Федерации стали успешно выхаживать младенцев рождённых намного раньше положенного срока, весом от 500 г.
Но рождение раньше 34 недель не проходит бесследно. Одним из наиболее частых заболеваний преждевременно рождённых детей является ретинопатия недоношенных — вазопролиферативное заболевание, связанное с нарушением развития сетчатки и стекловидного тела.
Ретинопатия недоношенных (РН) является одной из наиболее тяжелых заболеваний, приводящих к неустранимой слепоте с раннего детского возраста. Статистика говорит, что ретинопатия недоношенных появляется у каждого пятого младенца, родившегося раньше срока. Причём тяжёлыми формами болезни страдают до 8% малышей.
Причинами РН могут быть:
- Низкий вес ребенка.
- Многоплодие у матери.
- Сопутствующие патологии плода, например, развитие сепсиса, анемии или ацидоза.
- Внутриутробные инфекции.
- Хронические болезни половых органов матери.
- Гестоз.
- Кровотечение во время родов.
- Проведение реанимационных мероприятий и использование кислорода после рождения.
Патогенез ретинопатии недоношенных.
Сосуды внутри сетчатки глаза начинают развиваться с 16 недели внутриутробного развития младенца. До этого срока никаких сосудов в этой части глаза совсем нет. Они начинают расти от участка, где выходит зрительный нерв, в сторону периферии. Сосуды активно растут до самого начала родов. Чем раньше рождается ребёнок, тем меньшее количество сосудов в его сетчатке успело образоваться. У недоношенных деток имеются достаточно обширные участки без сосудов (их называют аваскулярными).
При рождении на сетчатку малыша начинают воздействовать внешние факторы — кислород и свет, что провоцирует появление патологических изменений. Правильный процесс формирования сосудов нарушается. Они начинают прорастать в стекловидное тело, которое изменяется, приводит к натягиванию сетчатки и ее отслоению.
Стадии ретинопатии
Клинические случаи.
Ретинопатия представляет собой процесс расстянутый в несколько стадий, который способен завершиться как формированием рубца, так и полным регрессом, при котором все проявления исчезают.
При далекозашедшем заболевании, сетчатка отслаивается полностью, что приводит к резкому ухудшению зрения малютки.
Чаще всего болезнь проходит все 5 стадий, но иногда она осложняется ускоренным и агрессивным течением.
Если заболевание протекает стандартно, его начало приходится на 4 неделю жизни. Зрение ухудшается постепенно, последовательно проходя все 5 стадий.
Как правило, III стадия, при которой обычно назначается операция, начинается к 3-4 месяцу жизни. К полугоду жизни ребёнка болезнь может самопроизвольно перетекает в стадию регресса. Если же этого не произошло и не было вовремя начато лечение, к годовалому возрасту патология перетекает в рубцовую фазу.
В 25% случаев ретинопатия недоношенных развивается нетипично. Выделяют следующие формы атипичной ретинопатии недоношенных:
Отдельно выделяют «плюс-болезнь», у которой нет четких стадий. Такая форма развивается раньше и прогрессирует намного быстрее, что вызывает отслойку сетчатки и быстрое наступление терминальных стадий ретинопатии.
«Задняя агрессивная ретинопатия недоношенных» — самая опасная и быстро прогрессирующая форма с неблагоприятным прогнозом.
Согласно статистике, при «задней агрессивной ретинопатии недоношенных» вероятность сохранения зрения после операции не превышает 45%.
Родители детей из группы риска должны очень внимательно относиться к здоровью малышей и вовремя консультироваться со специалистами, даже при отсутствии видимых тревожных симптомов.
Симптомы и признаки
Понятно, что поставить диагноз может офтальмолог, однако родители сами должны вовремя распознать симптомы формирующейся ретинопатии и обратиться в лечебное учреждение для проведения обследования.
Когда родители должны начинать беспокоиться?
- Малютка подносит игрушки слишком близко к глазам.
- Ребёнок не замечает людей, находящихся в метре и далее от него.
- Кроха не видит крупные предметы, расположенные вдалеке.
- Неожиданно возникает косоглазие, которого раньше не было.
- Младенец пытается рассматривать всё только одним глазом.
- Один глаз малыша постоянно моргает.
- Малыш спокойно относится к принудительному закрыванию одного глаза, но протестует, когда ему прикрывают второй.
Диагностика заболевания
Выявить ретинопатию недоношенных может только офтальмолог. При осмотре в глаза закапывается лекарство, расширяющее зрачки, веки фиксируются детскими веко-расширителями, после чего проводится диагностика с использованием аппарата бинокулярной офтальмоскопии, ретиноскопии. В отдельных случаях могут понадобиться дополнительные исследования:
-ультразвуковое исследование глаз;
-регистрация зрительных вызванных потенциалов.
Диагностику недоношенных детей следует проводить каждые 2 недели начиная с четырёхнедельного возраста — до тех пор, пока врач не будет уверен в том, что все сосуды сформировались правильно. При выявлении ретинопатии обследования совершаются со строгой периодичностью:
- каждую неделю при активной форме болезни;
- каждые 3 дня при «плюс-болезни» и задней агрессивной форме;
- каждые 6-12 месяцев при регрессе заболевания — до 18 лет (для исключения осложнений ретинопатии в подростковом возрасте);
- каждые 12 месяцев, если имеют место рецидивы болезни.
Ретинопатию в начальной стадии увидеть бывает сложно, поэтому недоношенным детям, находящимся в группе риска, рекомендуется регулярно проходить профилактические осмотры у офтальмолога.
Своевременное соблюдение сроков осмотра позволяет предотвращать активное развитие болезни.
Первые 2 стадии ретинопатии недоношенных лечения не требуют: необходим лишь регулярный контроль офтальмолога. В большинстве случаев заболевание самостоятельно регрессирует, если же оно переходит в третью стадию, ребёнок нуждается в помощи врачей. Терапия может совершаться тремя способами:
- Консервативный — применение антиоксидантных, ангиопротекторных, кортикостероидных препаратов, а также витаминов.
- Хирургический — коррекция состояния операционным путём.
- Альтернативный — малоизученная на сегодняшний день транскраниальная магнитотерапия.
Первый и последний методы в нашем отделении не применяется.
Мы проводим хирургическое лечение, поэтому направляем маленького пациента на операцию. При третьей стадии ретинопатии у нас в филиале проводят лазерную и крио- коагуляцию сетчатки. При этом прекращается формирование рубцовой ткани, болезнь регрессирует. Обычно процедура проводится под наркозом, что связано с риском нарушения дыхания и сердечной деятельности, поэтому офтальмологи предпочитают лазерную коагуляцию — безболезненный метод с минимальными побочными эффектами, в результате которого в проблемной зоне сетчатки создаётся рубец, препятствующий разрастанию сосудов.
С помощью метода лазерной коагуляции сетчатки можно достичь регресса даже осложнённых форм ретинопатии.
Если болезнь перешла в рубцовую фазу и достигла IV стадии, совершается склеропломбирование — экстрасклеральное вдавление сетчатки с местом отслойки.
Операция — витрэктомия проводится, когда уже не эффективны другие методы лечения. Во время эндовитреального вмешательства удаляются изменённая ткань, стекловидное тело, и часто — хрусталик глаза.

В тяжёлых случаях может понадобиться второй этап хирургического вмешательства, а также дальнейшее проведение лазерной коагуляции.
Если лазерная коагуляция была проведена в течение 1-2 дней после диагностики, эффективность операции достигает 50-80%. Скорость оперативного вмешательства важна и в случае витрэктомии: чем раньше будет совершена процедура, тем больше вероятность сохранения зрения.
Все операции эффективны лишь на первом году жизни ребёнка. В дальнейшем их проведение вряд ли поможет повысить остроту зрения и создать условия для нормального роста глаз.
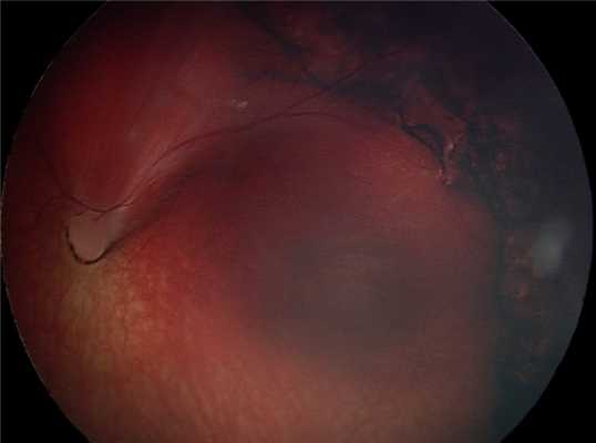
Клинический случай.
Глазное дно ребёнка А. до операции.

Глазное дно ребёнка А. после операции.

Возможные осложнения и последствия у детей
После операции, даже если удалось почти полностью сохранить зрение, существует вероятность развития осложнений. В процессе роста и развития ребёнка может сформироваться:
- близорукость;
- астигматизм;
- косоглазие;
- амблиопия;
- глаукома;
- катаракта;
- отслоение сетчатки;
- дистрофия глаза.
Профилактика
Чтобы предотвратить развитие осложнений, нужно не пропускать офтальмологические осмотры, а при обнаружении малейших изменений — проходить соответствующее лечение.
Профилактика первичного развития болезни аналогична:
- своевременные обследования у офтальмолога;
- пристальное внимание к здоровью глаз недоношенных детей;
- здоровый образ жизни матери во время беременности.
Если после рождения ребёнка возникает необходимость в оксигенотерапии, необходимо при этом контролировать насыщение кислородом гемоглобина крови и не допускать превышения допустимой концентрации.
Итак. Ретинопатия недоношенных — заболевание тяжёлое и распространённое. Здоровье глаз малышей, родившихся раньше срока, во многом зависит от скорости реакции родителей: чем раньше им удастся обратится к офтальмологу и поставить диагноз, тем эффективнее окажется хирургическое лечение, тем больше будет у малыша шансов сохранить своё зрение.
Единый номер контакт-центра 8 (4212) 905-705
Единый информационный телефон 8 (4212) 25-27-37
680033, г. Хабаровск, ул. Тихоокеанская,211
Все права защищены.
© ХФ ФГАУ «НМИЦ «МНТК «Микрохирургия глаза» им. акад. С.Н. Федорова» Минздрава России 2009-2021 г.
Информация, представленная на сайте не является публичным договором
и носит информационно-ознакомительный характер.
Читайте также:
