КТ, МРТ при поражении околоносовых пазух без разрушения костей
Добавил пользователь Евгений Кузнецов Обновлено: 21.11.2025
МРТ пазух носа в медицинских центрах СПб проводят на базе магнитно-резонансной томографии головного мозга. МРТ носовых пазух считается высокоинформативным, совершенно безболезненным, неинвазивным способом обследования пазух в области лица. В процессе диагностики человек
МРТ пазух носа в медицинских центрах СПб проводят на базе магнитно-резонансной томографии головного мозга. МРТ носовых пазух считается высокоинформативным, совершенно безболезненным, неинвазивным способом обследования пазух в области лица. В процессе диагностики человек не подвергается радиоактивному или ионизирующему излучению. МРТ обследование околоносовых пазух назначают либо как отдельное исследование, либо в комбинации с МРТ головного мозга. Томография может быть первоначальным способом диагностики, либо проводиться в целях уточнения диагноза после рентгена или КТ носа.
Когда нужно сделать томографию пазух носа
Многие люди живут с постоянной заложенностью носа, капая при этом сосудосуживающие капли. Только спасают они всего на несколько часов. Иногда причиной непроходящего насморка является гайморит или наличие полипа в пазухе. Точно поставить диагноз в таких случаях поможет именно магнитно-резонансная томография носовых пазух. В ходе МРТ врач оценивает состояние лобных пазух, решетчатого лабиринта, клиновидной и верхнечелюстных пазух, носовой перегородки, носовых раковин и части носоглотки. Также данное исследование может быть назначено совместно с МРТ головного мозга при жалобах на постоянные головные боли, локализованные во фронтальной части головы в районе лобных пазух. МРТ носоглотки (МРТ пазух носа и МРТ мягких тканей шеи) также помогает определить причины патологий, проявляющихся одновременным дискомфортом при глотании, шумами в ушах и заложенным носом.
| Наименование исследования (что входит) | Минимальная цена по СПб | Скидки |
|---|---|---|
| МРТ головного мозга (серое и белое вещество мозга, желудочки, мозговые оболочки) | от 2770 руб. | Акции Ночью |
| МРТ головного мозга с контрастом | от 6000 руб. | Акции Ночью |
| МРТ сосудов головного мозга (артерии головного мозга) | от 2770 руб. | Акции Ночью |
| МРТ головного мозга и сосудов головного мозга | от 5500 руб. | Акции Ночью |
| МРТ гипофиза и зоны турецкого седла | от 3500 руб. | Акции Ночью |
| МРТ гипофиза с контрастом | от 6000 руб. | Акции Ночью |
| МРТ орбит глаза и зрительного нерва (глазные нервы, глазные орбиты, сетчатка глаза, слезные каналы) | от 3500 руб. | Акции Ночью |
| МРТ пазух носа (решётчатый лабиринт, лобные пазухи, гайморовые пазухи, клиновидные пазухи) | от 35000 руб. | Акции Ночью |
| МРТ уха и слуховых нервов | от 3500 руб. | Акции Ночью |
| МРТ черепных нервов | от 4500 руб. | Акции Ночью |
Что такое МРТ носовых пазух?
Чаще всего в медицинских центрах СПб МРТ околоносовых пазух назначается отоларингологом в целях выявления воспалительных или опухолевых процессов пазуховых областей. Иногда направление на томографию носа может дать пластический хирург для подготовки плана операции по ринопластике или оценки результатов операции. Этот метод позволяет увидеть патологические процессы даже в глубоких тканях и носовых пазухах, чего не может сделать рентгенография или КТ носа, которые хорошо показывают только кости и носовую перегородку.
Что видно на МРТ околоносовых пазух
В рамках магнитно-резонансной томографии носа врач стремится детально визуализировать и проанализировать следующие аспекты анатомии пазух носа и соседних структур:
- Лобные пазухи у пациента развиты правильно, свободны и хорошо пневматизированы. Они должны иметь ровные и четкие контуры.
- Стенки ячеек решетчатого лабиринта без признаков деструктивных изменений.
- Клиновидная и верхнечелюстные пазухи носа анатомически не деформированы. Их стенки без признаков деструктивных изменений. Скопления жидкости и утолщения слизистой не отмечается.
- Носовая перегородка расположена обычно и не деформирована.
- Носовые раковины не изменены, их слизистая не утолщена.
- Полость носа, носоглотка и окружающие структуры без патологических особенностей.
Как подготовиться к томографии придаточных пазух носа
Чтобы правильно подготовиться к МРТ пазух носа, необходимо выполнить несложные рекомендации специалиста:
- снять металлические украшения и одежду с подобными элементами;
- отказаться от пищи за несколько часов до обследования в случае проведения МРТ пазух носа и головного мозга с контрастом;
- предупредить оператора МРТ о наличии любых имплантов в теле, особенно о кардиостимуляторах, слуховых аппаратах, инсулиновых помпах;
- сообщить, если есть во рту зубные протезы, коронки, брекеты или татуировки (татуаж) на теле.
Также детям и нервозным пациентам следует быть готовыми к наличию звука, который будет издавать томограф. Его не следует пугаться, необходимо просто лежать и не двигаться в момент обследования.
Как делают томографию пазух носа
МРТ придаточных пазух носа проводят в специальной диагностической комнате, где установлен магнитно-резонансный томограф. Пациента просят лечь на стол, который заезжает внутрь аппарата. На голову пациенту надевают усилительную катушку в виде шлема. При наличии боязни замкнутого пространства врачи могут порекомендовать применение седативных средств до начала процедуры. Само сканирование занимает всего 15-20 минут. Человеку ничего не нужно делать, просто тихо лежать и не двигать головой.
Чтобы сделать качественную МРТ, пациенту нужно обратить внимание на несколько аспектов при записи на МРТ:
Спросить какой установлен шаг сканирования. На открытом аппарате он не должен быть более 3,5 мм. На закрытом томографе он не должен превышать 3,5 мм. Шаг исследования всегда можно проверить на МРТ снимках или в заключении врача в графе описания параметров обследования. Если он не совпадает с заявленным, требуйте повторной бесплатной диагностики.
Уточнить опыт и квалификацию врача-рентгенолога, который будет описывать Ваши снимки. От его знаний во многом зависит точность интерпретации полученных изображений. Помните, МРТ аппарат никогда не ошибается, ошибаются люди, которые работают с его данными.
Всегда требуйте запись МРТ исследования не на пленку, а на электронный носитель (диск или флешку). Порой для пациента изображения на рентгенологической пленке кажутся более наглядными, но их информационная ценность в разы ниже, чем у электронных сканов, которые врач может модифицировать любим образом при валидации и постановке диагноза.
Если обследование делают с целью выявления опухолевого образования, его нужно проводить с контрастом, поскольку на нативных изображениях не всегда видны мелкие образования, и не возможно судить в полной мере о злокачественности или доброкачественности опухоли.
Противопоказания
Сделать диагностику МРТ носовых пазух можно при отсутствии у пациента в теле следующих устройств:
КТ гайморовых пазух
КТ верхней челюсти представляет собой процедуру исследования данной кости и заключенных в ней гайморовых пазух при помощи рентгеновского излучения. Гайморовы пазухи - парные воздухоносные полости слева и справа от носа. Из-за близкого соседства с зубами верхней челюсти в них нередко оказываются корни последних. В таких ситуациях не исключено возникновение одонтогенного гайморита - воспаления верхнечелюстных синусов на фоне стоматологических заболеваний. Подобным осложнением грозит инфицирование лунки после удаления зуба.
КТ верхней челюсти и гайморовых пазух назначают при:
затрудненном носовом дыхании;
перфорации дна пазухи носа;
подозрении на нарушение целостности костей;
наличии в гайморовой пазухе инородного тела;
гранулемах и кистах у верхушек корней зубов верхней челюсти;
постоянных головных и зубных болях неясной этиологии;
тяжелых стоматологических патологиях (глубокий кариес, остеомиелит верхней челюсти и др.);
болях в носовой области;
рецидивирующем течении отита;
подозрении на новообразование синусов и верхней челюсти;
осложнениях инфекционных заболеваний ЛОР- органов;
подготовке к хирургическим операциям.
В результате обследования на компьютерном томографе врач получает снимки, позволяющие рассмотреть изучаемую область в виде тонких срезов или целостного объемного изображения.
Особенности строения верхнечелюстной пазухи на КТ
По форме гайморовы пазухи напоминают усеченную четырехгранную пирамиду. В среднем, объем каждой полости составляет 10-13 см³. Размеры не являются постоянными и меняются с развитием лицевого скелета. У здорового человека толщина слизистой оболочки верхнечелюстных синусов примерно 1,0-1,5 мм. При воспалительных процессах, аллергии, простудных заболеваниях ткани отекают и гипертрофируются, что способствует утолщению стенок и уменьшению объема полостей. Патология хорошо просматривается на изображениях КТ верхней челюсти и гайморовых пазух.
Левая и правая костные каверны , как правило, симметричны. Но у некоторых пациентов при обследовании выявляют аномалии, такие, как разделение полости перегородками на несколько камер. Такое строение синуса создает определенные трудности в лечении гайморитов.
КТ верхней челюсти ценно не только в отношении изучения строения гайморовых пазух. Диагностика на компьютерном томографе дает возможность детально исследовать структуру альвеолярного отростка (зоны верхнечелюстной кости, где расположены зубы) и анатомо-топографическое соотношение корней зубов с дном полостей пазух.
Что покажет КТ гайморовых пазух
По результатам КТ верхней челюсти и гайморовых пазух врач определяет:
расположение перегородки носа и костей, образующих верхнечелюстные полости;
пути дренирования пазух;
симметричность левой и правой сторон носа и синусов;
степень пневматизации пазух;
состояние слезных протоков.
При помощи КТ верхней челюсти выявляют:
воспалительные процессы, в том числе наличие в синусах экссудата;
опухоли слизистых оболочек;
гранулемы и кисты;
посторонние предметы в носовых пазухах (пломбировочные материалы, фрагменты корней после удаления зубов, дентальные импланты);
повреждения или деформацию костей носа;
дополнительные пустоты (соустья);
Благодаря высокой разрешающей способности аппарата компьютерной томографии удается обнаружить мельчайшие патологические образования, оценить их размеры, локализацию и взаимоотношение с окружающими тканями. На основе интерпретации данных КТ и сопоставления с результатами других видов обследования стоматолог или ЛОР ставят диагноз.
Как проводят КТ верхней челюсти
КТ верхней челюсти и гайморовых пазух выглядит следующим образом:
пациент ложится на выдвижную кушетку, шею фиксируют при помощи специальной подставки;
головной конец кушетки плавно заезжает в кольцеобразное устройство, где находятся датчики и рентгеновский излучатель;
двигаясь по спирали, сканирующий комплекс делает серию послойных снимков изучаемой зоны;
при необходимости в вену вводят контрастное средство и продолжают обследование;
по окончании диагностики аппарат отключается.
Любое движение пациента во время КТ верхней челюсти может ухудшить качество снимков, поэтому на протяжении всего времени сканирования необходимо сохранять статичное положение.
Острый верхнечелюстной синусит на КТ
Острый верхнечелюстной синусит, или гайморит, может развиться после простуды, гриппа, других инфекционных заболеваний, в результате запущенного кариеса, периодонтита, стоматита, воспаления миндалин, из-за искривленной носовой перегородки и по многим другим причинам. При данном заболевании трудно дышать с закрытым ртом, возникают боли в области переносицы и около крыльев носа, появляются слизисто-гнойные выделения, поднимается температура, веко и щека на пораженной стороне краснеют и припухают.
Врач может назначить КТ верхней челюсти, если:
симптомы простуды за неделю не исчезли;
обезболивающие препараты не помогли избавиться от головной боли;
выделения из носа стали гуще и приобрели желтоватую или зеленую окраску;
3-5 дней приема антибиотиков не принесли облегчения;
беспокоят болезненные ощущения в области верхней челюсти.
При наличии у пациента симптомов острого синусита КТ верхней челюсти и гайморовых пазух, в основном, проводят без контраста. На нативных изображениях отчетливо видны:
краевое пристеночное утолщение слизистой (за счет отека и инфильтрации);
утолщение внутренних структур носа;
наличие и уровень экссудата в полости каверны;
сужение выводных протоков.
При прогрессировании воспалительного процесса отечная слизистая оболочка или воспалительный секрет могут целиком закрыть просвет пазухи, что также покажут снимки.
КТ верхней челюсти отображает наличие жидкости в полости и позволяет оценить ее плотность. Повышенная плотность содержимого пазухи указывает на гнойные формы острого синусита.
КТ при остром гайморите у детей
КТ верхней челюсти делают не только во взрослом, но и в детском возрасте, поскольку это один из наиболее информативных методов диагностики.
Острый гайморит у детей в большинстве случаев является осложнением вирусной инфекции. Поражая слизистую оболочку носа, вирус практически всегда проникает в синусы и вызывает в них воспаление. Верхнечелюстной синусит у ребенка может развиться на фоне аллергического ринита: при контакте с аллергеном слизистая носа отекает, отток секрета из пазухи ухудшается, и развивается воспаление. К другим предрасполагающим факторам можно отнести:
врожденные аномалии (искривление носовой перегородки и др.);
болезни полости рта;
наличие в организме хронического очага инфекции;
сосудистые нарушения (при ухудшении кровоснабжения гайморовых пазух снижается местный иммунитет и повышается подверженность заболеваниям).
Чтобы избежать ненужного облучения при неосложненных синуситах КТ верхней челюсти и гайморовых пазух детям делают редко. Проведение компьютерной томографии является обязательным при подозрении на внутриглазничные или внутричерепные осложнения и при подготовке к оперативному вмешательству.
КТ верхней челюсти с контрастом
Нативное КТ-исследование верхней челюсти точно диагностирует патологии в пазухах, слезных протоках и соустьях с носовой полостью. При контрастном дополнении процедуры отчетливо визуализируются расположенные рядом мягкие ткани.
Чаще всего КТ с контрастом назначают при подозрении на злокачественные процессы. Внутривенное введение препаратов на основе йода обеспечивает улучшение видимости кровеносной системы: опухоли имеют собственную сеть сосудов, которая хорошо просматривается после контрастирования. Выявляя дополнительные очаги кровоснабжения, компьютерная томография способна обнаружить новообразования на ранней стадии.
Обследование синусов без усиления не требует особой подготовки. Достаточно принести с собой направление лечащего врача, выписку из амбулаторной карты и результаты предыдущих диагностических мероприятий. Перед КТ верхней челюсти и гайморовых пазух с контрастом необходимо сделать анализ крови на креатинин. При повышении показателей креатинина применение контраста запрещено, поскольку велик риск возникновения проблем с выведением медикамента из организма.
Индивидуальная непереносимость компонентов препарата.
У пациента могут развиться реакции на йод - дерматологические (покраснение кожи, сыпь, зуд) или системные (отек лица, затруднение дыхания, бронхоспазм, отек Квинке, анафилактический шок). Подобные явления во время КТ верхней челюсти с контрастированием не исключены у людей с любой серьезной аллергией.
Прием метформина больными сахарным диабетом.
Данный медикамент снижает скорость клубочковой фильтрации почек, из-за чего повреждающее действие контрастного вещества увеличивается. В сочетании с йодсодержащими препаратами метформин может спровоцировать накопление в организме молочной кислоты (лактоацидоз). Это состояние опасно для жизни. Для пациентов, принимающих метформин, важно, чтобы за двое суток до КТ верхней челюсти с контрастом эндокринолог либо отменил препарат, либо заменил его на другое лекарство.
Гиперфункция щитовидной железы.
Вещества на основе йода накапливаются в тканях щитовидной железы, что чревато значительным ухудшением состояния больного. В данной ситуации возможность обследования с контрастом появляется только после профилактического подготовительного лечения. В любом случае КТ верхней челюсти и гайморовых пазух с применением йодсодержащих препаратов нельзя делать без консультации с эндокринологом.
Возраст до 12 лет.
Детям младшего возраста трудно попасть в вену, к тому же малышам сложно объяснить необходимость и последовательность проводимых манипуляций.
Лактация не является противопоказаниям к КТ верхней челюсти с контрастированием. Но поскольку используемый краситель отчасти проникает в грудное молоко, женщине следует заранее позаботиться о питании для ребенка. После процедуры необходимо пропустить два кормления подряд, сцеживая и выливая молоко.
Как часто можно делать КТ гайморовых пазух
Главным недостатком КТ области верхней челюсти и гайморовых пазух является облучение. По этой причине сканирование на компьютерном томографе можно проходить не чаще одного сеанса в полгода. При крайней необходимости этот интервал сокращают минимум до двух месяцев.
Процедуру не назначают беременным женщинам. Под воздействием рентгеновского излучения происходят изменение структуры атомов и молекул, что может отрицательно повлиять на эмбрион, особенно на стадии закладки органов и систем.
КТ верхней челюсти и гайморовых пазух следует с осторожностью делать детям. Растущий организм крайне чувствителен к внешним воздействиям, и в раннем возрасте сканирование проводят только по серьезным показаниям.
Чтобы от процедуры не было вреда, специалисты должны руководствоваться несколькими принципами:
направлять на компьютерную рентгенологическую диагностику лишь в ситуациях, когда другие виды обследования малоинформативны ;
учитывать суммарную дозу облучения пациента за год при различных исследованиях;
не проводить КТ верхней челюсти и гайморовых пазух, если имеются противопоказания;
при необходимости повторного обследования лучше отдать предпочтение магнитно-резонансной томографии: ее можно проводить с необходимой при выбранной тактике лечения частотой.
Соблюдение мер предосторожности позволяет избежать осложнений, способных ухудшить состояние здоровья пациента.
МРТ пазух носа что показывает

Магнитно-резонансная томография хорошо отражает структуру и состояние мягких тканей организма. Метод информативен относительно участков тела со сложной анатомией, сочетающих в себе рыхлые и плотные зоны, слизистые оболочки. Одной из таких структур является носоглотка. Здесь дыхательные ходы сообщаются с полостями в лицевых костях. Последние называют околоносовыми синусами, или придаточными пазухами. Изучить строение указанных структур при обычном осмотре нельзя. Состояние придаточных пазух оценивают с помощью визуализационных диагностических процедур.

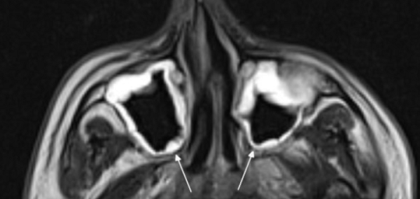
На снимке концентрическая воспалительная гипертрофия (указана стрелками) слизистой оболочки гайморовых пазух
Компьютерную томографию применяют для изучения строения костной ткани и выявления патологической жидкости в синусах носа. Исследование пазух на магнитном аппарате дает информацию о состоянии слизистых оболочек, отражает наличие новообразований. Отталкиваясь от того, что показывает МРТ пазух носа, врач может составить для пациента прогноз и назначить лечение. Процедура безопасна и высокоинформативна.
МРТ пазух носа, как делают?
Магнитно-резонансное сканирование проводят по записи. Диагностику можно пройти по собственной инициативе, без направления доктора. Но предварительная консультация с профильным специалистом предпочтительна и позволит избежать напрасной траты времени и средств.
В медицинский центр лучше прийти за 5-10 минут до сеанса, чтобы без спешки заполнить бланки. МРТ носа проходит в 3 этапа:
- Перед началом процедуры нужно снять с себя металлические предметы и электронные устройства (украшения, ремень, заколки, часы), одежду с замками, крючками, кнопками и другой фурнитурой. Аксессуары и личные вещи оставляют в кабинке. В диагностическом кабинете нужно лечь на платформу томографа, в целях безопасности мягкими ремешками фиксируют тело, положение головы стабилизируют с помощью специальной подставки. В руки пациента дают кнопку экстренной связи. Так как томограф работает шумно, на время обследования предлагают воспользоваться наушники. По завершении приготовлений пациент остается в кабинете МРТ один, но в любой момент может общаться с сотрудниками центра по двусторонней громкой связи. Врач контролирует ход процедуры через стекло из соседнего кабинета.

Концентрическая воспалительная гипертрофия ячеек решетчатой кости (указана стрелками)
- Сканирование (активный этап МРТ носовых пазух). Рентгенолог дает указание соблюдать неподвижность и включает томограф. Во время проведения процедуры лучше полностью расслабиться и успокоиться. Для профилактики искажения снимков нельзя двигаться, нежелательно открывать глаза. Сканирование длится 15 минут. При проведении МРТ с контрастным усилением процедуру прерывают для подачи усилителя. После внутривенной инъекции препарата работу томографа возобновляют. Применение контрастного вещества продлевает время исследования носовых пазух на 15 минут.
- Получение результатов. По завершении сканирования рентгенолог приступает к расшифровке снимков околоносовых пазух. Пациент может забрать личные вещи и провести время до выдачи результатов в холле ДЦ либо покинуть клинику и вернуться к моменту готовности заключения. Расшифровка МР-сканов занимает от 15 минут до часа. При выдаче результатов рентгенолог может кратко пояснить выявленные патологии, порекомендовать, к какому врачу стоит обратиться.
Показания и противопоказания к МРТ пазух носа
Магнитно-резонансную томографию проводят при симптомах аномалий строения синусов или развития в них патологического процесса. Поводами для назначения процедуры могут быть следующие ситуации:
- признаки поражения пазух, выявленные при риноскопии (патологическое отделяемое из соустий, гиперемия слизистой, новообразования в дыхательных путях);
- частые обострения хронического синусита;
- рецидивирующий ринит;
- головные боли невыясненного генеза;
- ощущение давления в области проекции пазух;
- носовые кровотечения;
- стекание слизи по задней стенке глотки;
- нарушение зрения;
- боль в области глазниц;
- слизистые или гнойные выделения из носа;
- травмы лицевого скелета;
- затрудненное носовое дыхание;
- утрата обоняния;
- недостаточно информативные результаты КТ.

МРТ пазух носа проводят для выявления неопластических процессов. Контрастное усиление помогает в предварительной дифференциации добро- и злокачественных опухолей, но окончательные выводы делают по заключению гистологического исследования тканей. Результаты томографического сканирования полости носа, лобных пазух, решетчатого лабиринта и других структур используют при планировании хирургических операций. Процедуру назначают для контроля эффективности лечения гайморита, фронтита и других заболеваний.
Абсолютными противопоказаниями к МР-сканированию являются:
- наличие в теле кардиостимулятора, генератора нервных импульсов, инсулиновой помпы;
- имплантаты из металла с ферромагнитными свойствами;
- аппарат Илизарова;
- общее тяжелое состояние больного и необходимость в проведении реанимационных мероприятий.
К относительным противопоказаниям причисляют те, при которых процедуру проводить нежелательно. В этом случае исследование откладывают на более благоприятное время или делают после определенной подготовки. Список относительных противопоказаний к МРТ пазух:
- вес более 130 кг и обхват туловища от 150 см (при необходимости процедуру проводят на открытом томографе);
- клаустрофобия (альтернатива — использование аппарата другого типа, наркоз);
Контрастное усиление противопоказано людям с декомпенсированной почечной и печеночной недостаточностью, во время вынашивания плода на любом сроке.

Магнитно-резонансная томография гайморовых синусов
Подготовка к МРТ придаточных пазух носа
Специфические мероприятия накануне не нужны. Следует подготовить документы (паспорт, направление, результаты других исследований, при наличии таковых). На процедуру лучше надеть вещи свободного кроя из приятных материалов, не стесняющих движения во время нахождения в туннеле томографа.
При наличии в теле имплантатов, установленных стоматологических конструкций (брекеты, протезы, вкладки) нужно подготовить документ с характеристикой изделия. Подойдет выписка из медицинской карты или паспорт. При отсутствии информации об имплантате вопрос о проведении процедуры решают коллегиально.
Подготовка к контрастной МРТ подразумевает легкий перекус за 40-45 минут до начала исследования. Можно съесть немного печенья, бутерброд, йогурт, банан. Такая мера ослабит или предотвратит вегетативные реакции организма на препарат.
Женщинам, поддерживающим лактацию, стоит позаботиться о запасе сцеженного молока или смеси для малыша. После введения контрастного препарата младенца нельзя прикладывать к груди на протяжении 6-12 часов (до выхода вещества).
КТ или МРТ носа, что лучше?

Слева — КТ-снимок одонтогенной кисты в верхнечелюстном синусе, справа — МР-фото образования (указано стрелкой) в гайморовой пазухе

Компьютерная и магнитно-резонансная томография отличаются по своей сути. КТ подразумевает воздействие на организм рентгеном. Изображение формируется в результате улавливания аппаратом Х-лучей, прошедших сквозь рассматриваемую анатомическую область. Плотные структуры организма в большей степени поглощают излучение, поэтому на снимках выглядят светлыми. КТ незаменима для исследования костей. Мягкие ткани лучше отображаются после введения контраста на основе йода. Компьютерная томография занимает несколько минут, поэтому востребована в экстренной медицине.
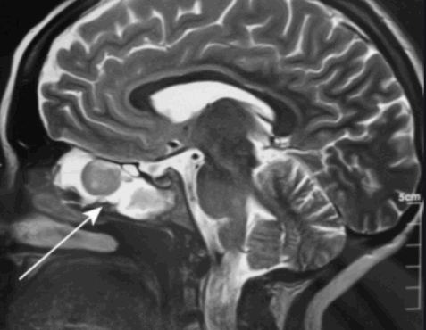
Магнитно-резонансное изображение измененной лобной пазухи
В основе МРТ лежит воздействие на организм магнитного поля, под влиянием которого меняется траектория движения протонов водорода. Томограф улавливает импульсы и преобразует их в картинку.
Водород есть в тканях, насыщенных жидкостью, поэтому МРТ детально показывает рыхлые структуры организма. Оборудование мощностью от 1,5 Тл дает подробные снимки изучаемой области. Изображения производят послойно, с шагом от 1-2 мм. Это позволяет выявлять патологические очаги размером от 3 мм.
МРТ пазух носа показывает мягкотканные элементы синусов. По характерным морфологическим изменениям, искажению сигнала, особенностям распределения контраста можно сделать выводы о наличии, распространенности и сути патологического процесса.
Магнитно-резонансная томография дает возможность изучить кровеносные сосуды без применения контраста. КТ и МРТ дополняют друг друга и применяются в различных ситуациях. Сочетание методов позволяет получить максимум сведений о патологических изменениях в носовых раковинах, костных тканях и рыхлых структурах синусов.

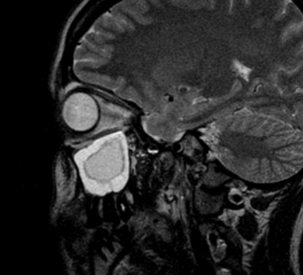
Пиоцеле (скопление гноя) задних клеток решетчатой кости
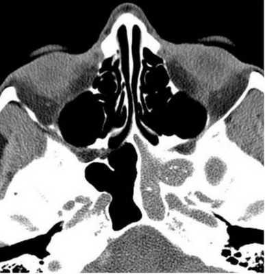
Строение пазух носа
Синусы — полости в лицевых костях, выстланные изнутри эпителиальной тканью. Данные анатомические структуры сообщаются с носоглоткой через небольшие отверстия (соустья), формируя единую систему.
Пазухи регулируют температуру, влажность, давление воздушного потока, направляющегося в нижние дыхательные пути. На слизистой оболочке носа и синусов задерживаются микрочастицы грязи и аллергенов, которые выводятся за счет движения ресничек мерцательного эпителия. Пазухи задействованы в формировании тембра голоса, анатомические особенности синусов определяют его уникальность для каждого человека.

Схематичное изображение синусов
Пазухи, расположенные в верхнечелюстных костях, называют гайморовыми, в лобных — фронтальными. Они парные. Есть основной синус, расположенный в клиновидной кости, и решетчатый лабиринт.
Инфекционно-воспалительные процессы слизистой оболочки носа распространяются на близлежащие ткани и провоцируют синусит. Хронические изменения предрасполагают к формированию новообразований в пазухах. Нарушения аэрации (насыщения воздухом) и дренажа полостей ведут к размножению патогенной микрофлоры с развитием гнойно-некротических изменений.
Пазухи находятся близко к внутричерепным структурам (мозг), зрительному аппарату, среднему и внутреннему уху. Без лечения острое воспаление в синусах может перейти в хроническую форму, распространиться на близлежащие ткани и вызвать серьезные осложнения.
Расшифровка томографии носа
При МРТ получают серию снимков интересующей анатомической области. На срезах различные структуры просматриваются в виде участков разных оттенков серого. Понять, что показывает МРТ придаточных пазух носа, без медицинского образования, совершенных знаний анатомии и опыта расшифровки снимков, невозможно. Изображения трактует врач-рентгенолог. Специалист оценивает анатомию пазух, выявляет отклонения от нормы, изучает особенности морфологии подозрительного участка, обращает внимание на изменение МР-сигнала на снимках, сделанных в разных плоскостях и режимах. Все наблюдения и выводы врач фиксирует в протоколе.
В заключении описывают характеристики патологического процесса, но не ставят окончательный диагноз. Этим занимается лечащий врач, используя результаты МРТ и других диагностических процедур. Магнитно-резонансная томография синусов помогает выявить изменения воспалительного характера, патологический выпот, аномалии строения носоглотки и сообщающихся пространств. Показывает доброкачественные образования (кисты, полипы), неопластические процессы.
МРТ или КТ пазух носа - что лучше выбрать?
Если перед вам стоит вопрос, что лучше сделать, МРТ или КТ носа, то нужно в деталях разобраться, в чем основная разница между этими видами томографии. Для начала нужно понимать, что как при КТ пазух носа, так и при МРТ носа врач получит трехмерное изображение, но на магнитно-резонансном томографе изображения получаются за счет воздействия магнитных волн, а при компьютерной томографии на ткани идет воздействие рентгеновских лучей - то есть, облучение, причем гораздо более сильное, чем при обычном рентгене (до 10 мЗв). Однако, одно-два КТ обследования в год особого вреда здоровью человеку не принесут. МР исследование пазух носа обычно назначают при диагностике мягких тканей самих пазух и при поиске каких-то опухолей, а вот КТ лучше показывает костные ткани, особенно носовую и лицевую кость.
Если перед вам стоит вопрос, что лучше сделать, МРТ или КТ носа, то нужно в деталях разобраться, в чем основная разница между этими видами томографии. Для начала нужно понимать, что как при КТ пазух носа, так и при МРТ носа врач получит трехмерное изображение, но на магнитно-резонансном томографе изображения получаются за счет воздействия магнитных волн, а при компьютерной томографии на ткани идет воздействие рентгеновских лучей - то есть, облучение, причем гораздо более сильное, чем при обычном рентгене (до 17мЗв). Однако, одно-два КТ обследования в год особого вреда здоровью человеку не принесут. МР исследование пазух носа обычно назначают при диагностике мягких тканей самих пазух и при поиске каких-то опухолей, а вот КТ лучше показывает костные ткани, особенно носовую и лицевую кость.
Виды диагностики носовых пазух
Для диагностики состояния носа в современной медицине активно применяется
- рентгенография
- компьютерной томографии (КТ)
- магнитно-резонансной томографии (МРТ).
Классическое рентгенологическое исследование используется преимущественно для оценки лицевого скелета и придаточных пазух носа. Компьютерная томография (КТ) носа позволяет получить четкое изображение костных тканей и мягкотканных образований. Это дает возможность судить о состоянии жевательных мышц, расположенных в области крылонебной и подвисочной ямок, мышц глаза, зрительного нерва. Магнитно-резонансная томография (МРТ) носовых пазух имеет более высокое контрастное разрешение при исследовании мягкотканных образований, может быть выполнена в любой плоскости без перемены положения пациента. Она не связана с ионизирующим излучением, а магнитные поля используемой в МРТ напряженности не оказывают вредного воздействия на организм.
Отличия КТ пазух носа
КТ носа позволяет оценить носовую кость и хрящи в трех проекциях - коронарной, аксиальной и сагиттальной. Врач можно выполнить трехмерную реконструкцию костей лицевого скелета для того, чтобы понять, если у больного переломы, травмы, врожденные аномалии носовой перегородки, костные наросты и деформации. Основным показанием для применения данного вида томографии будут любые костные повреждения носа.
Особое преимущество компьютерной томографии - это ее скорость. Процедура происходит буквально в течение 5-7 минут и не требуют специальной подготовки. К диагностическим недостатком КТ относится ее неспособность визуализировать содержимое околоносовых пазух. Для этого требуется применение МРТ носа.
Отличия МРТ околоносовых пазух
МРТ или магнитно-резонансная томография изначально называлась ядерно-магнитно-резонансная томография. Все, что связывает МР томографию со словом ядерный, это то, что волны магнита томографа воздействует на ядра атомов водорода в организме, возбуждая молекулы и выстраивая их таким образом, чтобы компьютер мог получить сигналы и транслировать их в объемные изображения того, что находится внутри человека.
Поскольку в основе физики МРТ лежит магнитное поле, а не рентген лучи, в ходе такой диагностики нет никакого рентгеновского облучения, и нет каких-то ограничений по количеству магнитно-резонансных исследований в год. Если врач назначил вам сделать МРТ головного мозга и МРТ околоносовых пазух за один раз, этого не нужно бояться. МР сканирование не причинит никакого вреда вашему здоровью.
Если КТ носовых пазух хорошо показывает кости, то МРТ лучше визуализирует лобные, клиновидные, верхнечелюстные пазухи, решетчатый лабиринт, слизистую оболочку. С помощью МР диагностики врачи могут увидеть признаки таких заболеваний, как:
- , гайморит
- полип
- склерома
- киста, опухоль.
Противопоказания КТ и МРТ носовых пазух
У КТ практически нет противопоказаний - только беременность и ранний возраст ребенка (до 5 лет). Прямым противопоказанием к МР томографии является наличие кардиостимуляторов и металлических имплантов в теле. Можно проводить исследования с ними, но только в случае, если они созданы из немагнитных материалов, например, титан или специальный медицинский пластик. Информация о совместимости импланта с МРТ всегда будет указана в паспорте данного изделия или в выписке после операции. С брекетами МРТ исследование пазух носа делать можно точно также, как и с зубными имплантами, но возможный засвет от металла будет мешать получению качественного изображения.
| МРТ пазух носа | КТ носа |
![]() |
КТ или МРТ пазух носа - что лучше?
КТ или МРТ пазух носа - что лучше выбрать, зависит от нескольких факторов:
- целей обследования
- изначального диагноза
- состояния здоровья пациента.
Если основная цель диагностики - посмотреть костные структуры носа, то следует выбирать КТ носовых пазух. Однако, при подозрениях на новообразования в околоносовых пазухах и воспалительный процесс более информативной будем МРТ пазух носа. Для уточнения местной распространенности злокачественной опухоли в полость верхнечелюстной пазухи, на орбиты и полость носа, возможно применение как КТ так и МРТ. Четко судить о поражении костных структур - твердого неба и альвеолярного отростка верхней челюсти возможно только по данным КТ. Выявление опухолевых масс на фоне мягкотканных структур -крылонёбной и подвисочной ямок, жевательных мышц и мягких тканей щеки, а также распространении опухолевых масс на лобную и основную пазухи решетчатый лабиринт и интракраниально, требует выполнения МРТ. В дифференциальной диагностике послеоперационных или постлучевых изменений с рецидивом или продолженным ростом опухоли необходимо проведение МРТ. Чувствительность МРТ пазух носа (98%) выше, нежели КТ пазух носа (76%) в дифференциальной диагностике. С точки зрения безопасности, если у пациента в теле есть металл, и он не совместим с МР томографом, лучше сделать компьютерную томографию, а вот беременным женщинам и маленьким детям следует по возможности выбирать только МР диагностику, чтобы избежать риска облучения и возникновения рака у ребенка.
Что показывает КТ пазух носа? Как делают, КТ или МРТ что лучше?

Околоносовые пазухи (синусы) представляют собой углубления в костях черепа. Слизистые оболочки полостей чувствительны к воздействию бактерий и вирусов и часто воспаляются на фоне простуды, гриппа, хронических заболеваний, инфекций во рту. КТ носа - один из самых точных методов диагностики патологий на любых стадиях развития.
Синусы - сравнительно небольшие по размеру структуры, и для их изучения необходим диагностический прибор с высокой разрешающей способностью. Этому условию соответствуют МСКТ - современные мультиспиральные томографы. Приборы оснащены большим количеством излучателей и детекторов рентгеновских волн. За одно вращение сканирующей системы регистрируются сразу несколько срезов, что обеспечивает максимальную точность информации и сокращает время процедуры.

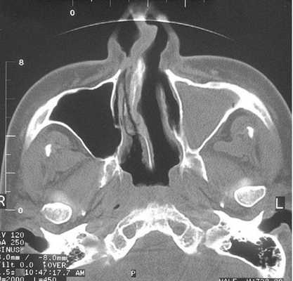
Тотальное заполнение жидкостью (кровью?) левой верхнечелюстной пазухи, повреждение носовой перегородки на компьютерной томограмме
Что показывает КТ пазух носа
Процедура КТ носа и околоносовых пазух дает возможность изучить строение анатомических структур и выявить особенности патологического процесса. Обследование рассматриваемой области на компьютерном томографе показывает:
деструктивные изменения и травматические повреждения лицевых костей;
утолщение слизистой оболочки носа и синусов;
искривление носовой перегородки;
воспаления внутри пазух (КТ покажет гайморит, фронтит, этмоидит, сфеноидит);
абсцессы носовой перегородки;
полипы, гранулемы, кисты слизистой оболочки воздухоносных полостей лицевого черепа;
опухоли в околоносовых пазухах;
скопление крови, экссудата, гноя в синусах;
инородные тела в носовых ходах и костных углублениях;
кровоизлияния в пазухи и мягкие ткани;
стоматологические патологии (врастание корня или смещение зуба в гайморову пазуху);
воспаления в горле и носоглотке;
остеомиелит лицевых костей;

Киста в носовой пазухе
Как делают КТ пазух носа
Не все пациенты знают, что представляет собой КТ пазух носа, как делают процедуру, и насколько она безвредна. Как и любое рентгеновское обследование, компьютерная томография дает человеку определенную дозу радиации. Но при соблюдении мер предосторожности ухудшения здоровья можно не опасаться.
Обследование не причинит вреда, если пациент будет руководствоваться следующими принципами:
проходить КТ по направлению врача в случае недостаточной информативности иных диагностических методов;
принимать во внимание имеющиеся противопоказания;
учитывать суммарную дозу облучения при различных исследованиях в течение года;
при необходимости сделать повторный анализ рассматривать возможность не компьютерной диагностики, а МРТ (она считается безопасной даже для маленьких детей).
Томограф, на котором проводят КТ носа и околоносовых пазух, включает в себя передвижную кушетку и рентгеновскую установку. Устройство сканирует носовые пазухи, изображения поступают на компьютерный монитор, специалист их анализирует и занимается подготовкой описания.
Перед процедурой пациента просят снять с себя все, что содержит металл: очки, зубные протезы, шпильки, серьги, слуховой аппарат и прочее, чтобы избежать искажения снимков. Врач коротко рассказывает о КТ пазух носа - что это, сколько длится сеанс, как себя вести и что делать при появлении дискомфортных ощущений. Пациент располагается на кушетке, которую помещают в кольцо томографа. Сканирование занимает около 10 минут: все время необходимо лежать без движения.
Если требуется контрастирование, процедура состоит из двух частей. Сначала делают обычные снимки, затем обследование останавливают, вводят необходимый препарат и продолжают диагностику.
Компьютерная томография пазух абсолютно безболезненна. Единственный раздражающий фактор - характерные щелчки аппарата, но эта проблема легко решается при помощи противошумных вкладышей или наушников.

Фото: Процедура компьютерной томографии придаточных пазух носа
Подготовка к исследованию околоносовых пазух
Если не планируется применение контраста, КТ носа не требует никакой подготовки. Вам не надо будет соблюдать диету или менять привычный образ жизни.
Диагностику с контрастированием предваряет определение уровня креатинина в крови. Повышение показателей свидетельствует о проблемах с почками, при которых процедура противопоказана.

КТ с контрастом: процесс внутривенного введения усилителя - фото
Дополнительная подготовка рекомендуется женщинам в период лактации. После обследования с контрастом придется отказаться от двух кормлений подряд (молоко сцеживают и выливают). Лучше заранее позаботиться о запасах питания для малыша.
Что лучше - МРТ или КТ пазух носа
Многих пациентов интересует вопрос, что лучше - КТ или МРТ придаточных пазух носа. Данные способы диагностики решают разные задачи, поэтому выбор метода обследования зависит от конкретного случая.
В основе МРТ - влияние радиочастотных импульсов на объект, помещенный в магнитное поле высокой напряженности. С помощью этой технологии лучше всего изучать сплошные мягкие ткани. КТ применяет рентгеновское облучение, которое наиболее четко визуализирует кости и полые органы. К последним и относятся носовые пазухи.
Магнитную томографию делают:
для подтверждения/исключения перфорации дна гайморовой пазухи в результате травм или стоматологических заболеваний;
при подозрении на опухоль, полипы, кисту;
для оценки состояния слизистых оболочек синусов;
при головных болях неясного происхождения.
Также МРТ показывает воспалительные явления и кровоизлияния в околоносовые полости.

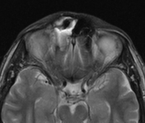
Магнитная томография околоносовых пазух: левосторонний сфеноидит
КТ-диагностику придаточных пазух делают при острых воспалениях, рецидивирующих синуситах. Исследование на компьютерном томографе покажет трещины и переломы лицевых костей, остеомиелит, осложнивший травму или стоматологическое заболевание, метастазы, распространившиеся из соседних анатомических участков.

Компьютерная томограмма носовых пазух: правосторонний гайморит
Отдавая предпочтение магнитно-резонансному обследованию или КТ носа, врач учитывает ограничения. МРТ не проводят при наличии на (в) теле элементов из металла. Происходящие в томографе процессы могут вызвать повреждение данных конструкций и самого аппарата. КТ пазух носа - это не магнит, а рентген. Металлические объекты не нарушают работу устройства, но могут проявиться на фото и спровоцировать погрешности в описании.
Из-за облучения к КТ-исследованию гайморовых пазух носа не допускаются беременные женщины (любая доза радиации вредна для плода). В такой ситуации лучший вариант - МРТ, диагностика проводится строго по показаниям.
КТ носа с контрастом
Мультиспиральные аппараты способны предоставить достаточно информации о костных структурах и присутствии в синусах жидкости, поэтому чаще КТ-анализ носа и околоносовых пазух делают без контраста. При подозрении на наличие опухоли необходимы более детальные изображения. Для повышения качества картинки применяют контрастирующее средство.
В вену вводят специальный препарат с йодом. Вещество быстро распространяется по тканям организма и окрашивает мельчайшие сосуды, включая те, которые питают новообразование. После новой серии КТ-снимков полости носа врач получает достоверные сведения о расположении и размерах опухоли, имеющей собственную сосудистую сетку. Выявляя очаги дополнительного кровоснабжения, спиральная томография (МСКТ) помогает обнаружить новообразования на начальных стадиях.

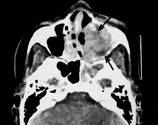
Плоскоклеточный рак на КТ носовых пазух с контрастом. Ткань опухоли отмечена длинной стрелкой, деструктивные изменения кости левого верхнечелюстного синуса - короткой.
Показания и противопоказания к томографии
Прежде всего, компьютерная томография пазух носа делается для диагностики воспалений слизистых оболочек, особенно при образовании гноя или рецидивирующем течении синусита.
Другие показания к проведению процедуры:
частые головные, лицевые, зубные боли на фоне заложенности носа и обильных выделений;
хронические простуды с регулярными обострениями;
повторяющиеся носовые кровотечения, не связанные с повышением артериального давления;
болевые ощущения, чувство распирания в области пазух;
затруднение носового дыхания;
воспаление носослезного канала;
подозрение на кисту, полип, абсцесс, опухоль;
орбитальные и внутричерепные осложнения инфекционных заболеваний ЛОР-органов;
попадание постороннего предмета в воздухоносную полость;
подозрение на кровоизлияние в пазухи;
отеки, боли в носовой области;
гранулемы, кисты около корней зубов верхней челюсти.
КТ полости носа и околоносовых пазух является важным мероприятием при планировании операций и контроле динамики после хирургического вмешательства. Обследования проводятся при неэффективности лечения синуситов с целью коррекции тактики терапии.
Противопоказания к компьютерной томографии:
ранний возраст (из-за вреда облучения КТ не рекомендуют делать детям до 5 лет);
вес пациента выше 150 кг и обхват груди (живота) больше 150 см.
Обследование с контрастом не проводится при:
аллергии, непереносимости йода;
гиперфункции щитовидной железы;
тяжелой печеночной либо почечной недостаточности;
приеме метформина больными сахарным диабетом.

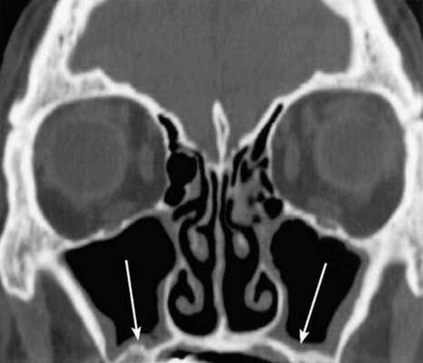
КТ носовых пазух (фронтальный срез). Стрелками отмечено утолщение слизистых оболочек
Фото томографии пазух носа
Снимки МСКТ показывают контуры, структуру, плотность всех частей пазух. По фото врач может произвести оценку:
расположения носовой перегородки;
путей дренирования синусов;
симметричности сторон носа и пазух;
степени пневматизации придаточных полостей;
состояния слезных протоков.
КТ дает изображения в поперечной (аксиальной) проекции. В специальной программе фото можно увеличить и рассмотреть мельчайшие детали. При помощи реформатирования рентгенолог реконструирует картинку в желаемой анатомической плоскости. Чаще всего это две дополнительные проекции - корональная (фронтальная) и сагиттальная (делит объект на левую и правую части). Также есть возможность создать объемную модель, отрезать «лишние» фрагменты, что упрощает изучение области интереса и облегчает трактовку данных.

Процесс оценки врачом компьютерной томограммы
КТ или МРТ пазух носа
У нас есть услуга «второе мнение». В клинику можно обратиться с уже описанными снимками или просто принести томограммы и получить консультацию по результатам КТ или МРТ придаточных пазух носа.
Читайте также:
- Клиника и диагностика энцефаломиелита лошадей. Лечение и профилактика энцефаломиелита лошадей
- Синдром Кофферата (Kofferath)
- Апокринные и сальные железы. Строение и секреция апокринных желез кожи
- Психотерапия панических атак у детей и подростков
- Операция и соединение тканей. Принципы соединения тканей.

