Диагностика липомы средостения на рентгене, КТ, МРТ
Добавил пользователь Евгений Кузнецов Обновлено: 13.12.2025
- Это исследование, в котором визуализируется полностью весь объём легочной ткани и, конечно, изменения, приводящие к снижению воздушности лёгких, хорошо видны. МРТ средостения со скрининговым исследованием лёгких не только включает первичное обследование на выявление пневмонии (грозного осложнения при ковиде или иной вирусной инфекции), но и даёт возможность динамического наблюдения за состоянием лёгких у переболевших пациентов с поражением лёгочной ткани.
Как после любого диагностического обследования, пациент после МРТ средостения со скрининговым исследованием лёгких получает заключение, а не диагноз. Диагноз ставится только на основании комплексного клинико-лабораторного обследования, и только после этого выбирают и назначают лечение.
- Что может показать МРТ средостения со скрининговым исследованием лёгких?
- Это исследование даёт ответ на самый важный вопрос: есть ли изменения в лёгких. Этот метод показывает очаги нарушения пневматизации лёгочной ткани в случае их наличия, их локализацию, количество, размеры и характер. В описательной картине лёгочной патологии рентгенологи применяют красивые и весьма поэтичные названия, такие как «матовое стекло», «булыжная мостовая», «признак чёрного бронха», «симптом звёздного неба», «сотовое лёгкое», «консолидация». За образными терминами скрыты структурные изменения элементов лёгких, формирующих рентгенологическую картину. Научно доказано, что метод МРТ так же, как и КТ, может дифференцировать их характер.
- Хорошо ли видны признаки пневмонии на МРТ? Можно ли узнать на скрининге степень поражения?
- МРТ средостения со скрининговым исследованием лёгких как метод лучевой диагностики обладает высокой чувствительностью для выявления изменений в лёгких. Это подтверждённый практикой научный факт. Если говорить о степени поражения лёгочной ткани, определяемой при КТ, то такой же подход можно применить и в МРТ. Здесь классификация достаточно чётко описана и понятна. В практику МРТ это ещё не внедрено, но и применялась сама практика исследования лёгких ещё очень мало. Вокруг всего нового всегда много дискуссий и комментариев. И кто-то первый всегда может начать делать то, что ранее не применялось, основываясь, разумеется, на научной базе и успешной практике передовых стран.
- Каковы показания для МРТ средостения со скрининговым исследованием лёгких?
Здесь можно назвать следующие показания:
- выявление признаков пневмонии у детей и беременных женщин;
-отсутствие возможности использовать КТ для выявления пневмоний (нет технической возможности или есть противопоказания к проведению КТ);
- наблюдение пневмоний в динамике после КТ (для снижения лучевой нагрузки);
- оценка состояния лёгких при подозрении на наличие пневмонии;
- низкое качество рентгенографии при оценке наличия пневмоний (отрицательные результаты по данным рентгена легких при наличии соответствующей клиники);
- отрицательный тест ПЦР на COVID-19 при наличии соответствующей клинической картины.
- Если у меня нет никаких симптомов, но я переживаю и хочу перестраховаться, могу ли я пройти МРТ средостения со скрининговым исследованием лёгких?
Это скорее не вопрос возможностей метода МРТ, а вопрос выбора пациента. Всем известно, что стресс и тяжёлые переживания могут оказывать негативное влияние на самочувствие человека. Если это поможет снять эмоциональное напряжение и избавит от тревоги, то лучше пройти диагностику.
Мы хотим помочь нашим пациентам в этот сложный период своевременно получить обследование, в том числе и снять психологическое напряжение.
- Можно ли делать скрининг многократно и отслеживать изменения в динамике?
- МРТ безопасна с точки зрения лучевой нагрузки, и этим методом можно пользоваться многократно. Конечно, делая выбор, необходимо помнить, что МРТ — это альтернативный метод, и у него есть свои противопоказания.
- В какой период болезни МРТ средостения со скрининговым исследованием лёгких покажет достоверный результат?
- Как и при КТ, на 7-8 день заболевания или подозрения, что человек заболел.
- В каких случаях пациент не может пройти МРТ средостения со скрининговым исследованием лёгких?
- Абсолютным противопоказанием является наличие кардиостимулятора, металлических имплантов и первый триместр беременности.
- Почему этой услуги не было раньше и почему её вводят сейчас?
- Одна из причин, по которой МРТ лёгких редко использовалась (исследование выполняли только в нескольких центрах за рубежом), — это отсутствие согласованных протоколов, адаптированных к клиническим потребностям. К счастью, времена меняются и уже сейчас такие протоколы выработаны группой экспертов и рекомендованы врачебному сообществу. В настоящее время МРТ лёгких стала альтернативным методом, особенно когда необходимо избежать большой лучевой нагрузки или нужно скрининговое исследование. Препятствием было и недоверие к прогрессивным методикам. Пандемия ковида сподвигла многих врачей пересмотреть взгляды и начать использовать то, что уже есть в научном мире, но ранее не имело широкого применения. Наверное, именно так и двигается прогресс — через потрясения и необходимость.
- В каких случаях МРТ средостения со скрининговым исследованием лёгких предпочтительнее КТ?
- Когда отсутствует возможность использовать КТ для выявления пневмоний и тогда, когда необходимо снизить лучевую нагрузку на пациента или она в принципе неприемлема.
- Может ли МРТ средостения со скрининговым исследованием лёгких в будущем стать равноценной заменой КТ?
- Твёрдо убеждена, что в принципе заменить один метод на другой нельзя, потому что их нельзя противопоставлять, а нужно использовать в дополнение друг другу. Смысл скрининга именно в том, чтобы сделать первичное обследование и решить, что дальше делать пациенту: требуется ли ему помощь инфекциониста, дообследование на КТ или стационарное лечение. МРТ средостения со скрининговым исследованием лёгких незаменим в динамическом наблюдении, потому что мониторинг с помощью КТ необходимо проводить только по клиническим или жизненным показаниям. Уверена, что МРТ лёгких будет развиваться и войдёт в клиническую практику инфекционистов и пульмонологов в нашей стране, как это происходит во всем мире, скорее всего, пройдя этап сопротивления консервативной части медицинского сообщества.
Опухоли средостения: что это такое, классификация.
Опухоли средостения - общее название новообразований, которые расположены в медиастинальном пространстве груди. В 40% случаев диагностирования опухоли являются злокачественными, и тогда ставится диагноз рак средостения. Все опухоли делятся на две большие группы - первичные и вторичные. В первом случае речь идет о тех новообразованиях, которые формируются непосредственно в области средостения, во втором - опухоли образуются сначала в тканях, расположенных вне обозначенной области, а рак средостения развивается уже из метастаз. Иногда опухоли средостения называют рак тимуса, но это не совсем корректное обозначение диагноза. Дело в том, что он обозначает наличие злокачественных клеток в вилочковой железе, тогда как опухоли средостения могут начать свой рост и из других структур.


В зависимости от локализации опухоли различают следующие виды злокачественных новообразований:
- передняя часть средостения - герминогенные опухоли, тимомы, лимфомы, дизэмбриогенетические опухоли, феохромоцитомы;
- средняя часть средостения - метастатическая карцинома, лимфома;
- задняя часть средостения - нейрогенные опухоли, вторичные опухоли (меланомы, саркомы).
Отдельно в медицине рассматриваются мезенхимальные опухоли - представляют собой рак мягких тканей, к таковым относятся липомы и гемангиомы, лейомиосаркомы и фибромы. Поражают разные части средостения, относятся к группе вторичных, потому что «вырастают» из метастаз.
К редким опухолям средостения относятся липо- и фибросаркомы. Их опасность заключается в том, что они долгое время протекают бессимптомно и пациент обращается за помощью к врачу при выраженных нарушениях, когда рак находится уже на 3 и 4 стадии развития. Также к этой группе относится рак тимуса (тимома) - развивается в клетках вилочковой железы.
Какие симптомы укажут на рак средостения?
Рак может протекать в двух стадиях - бессимптомной и с выраженными признаками. Продолжительность прогрессирования опухоли средостения без симптомов зависит от нескольких факторов - место локализации новообразования, уровень общего иммунитета, возраст человека. Часто бессимптомно протекающий рак диагностируется случайно, во время проведения стандартной процедуры флюорографии в рамках диспансеризации.
К основным признакам рака средостения относятся:
- кашель - сухой, приступообразный, не проходящий даже после прохождения курса лечения;
- одышка - появляется сначала после физических нагрузок, но очень быстро начинает беспокоить человека и в покое;
- боль в области груди - возникает спонтанно, периодически исчезает, усиливается во время кашля, носит давящий характер;
- кровохарканье - симптом, присущий редким опухолям средостения, свидетельствует о стремительном росте опухоли и повреждении структур дыхательных путей;
- внезапное похудение - больной начинает терять вес даже на фоне привычного аппетита: до 15 кг в течение 3-4 недель;
- общая слабость - больной испытывает постоянное желание лечь и отдыхать, работоспособность уменьшается и не восстанавливается даже после качественного отдыха;
- незначительное повышение температуры тела - происходит спонтанно, не превышает субфебрильных показателей.
Злокачественные опухоли растут достаточно быстро, поэтому переход из бессимптомной стадии в форму с выраженной клинической картиной недолгий. Могут проявляться и дополнительные симптомы типа отечности верхней части туловища и лица, синюшного цвета лица, расширения подкожных вен шеи.
Самым ранним проявлением рака средостения считается болевой синдром, особенно часто он проявляется при раке тимуса. В таком случае боли идентичны приступам стенокардии. Существует и ряд специфичных признаков опухолей средостения:
- для мезенхимальных опухолей характерны зуд кожи и повышенная потливость в ночное время суток;
- герминогенные опухоли могут сопровождаться птозом (опущением) век, понижением уровня глюкозы в крови;
- при нейрогенных опухолях нередко отмечается спонтанное повышение артериального давления;
- редкие опухоли средостения проявляются изжогой, диареей (поносом).
Общие симптомы, слабовыраженная клиническая картина, многообразие признаков, которые присущи и другим патологиям, делают диагностику только по жалобам пациента и стандартным обследованиям практически невозможной. Кроме этого, опухоли средостения могут быть и доброкачественными - например, рак тимуса по своей клинической картине полностью идентичен признакам доброкачественных новообразований в вилочковой железе.
Диагностика опухоли средостения.
Опухоль средостения может быть диагностирован инструментальными методами, которые являются самыми информативными:
- В большинстве случае комплексного рентгенологического исследования достаточно для выявления опухоли разных отделов средостения, в том числе и рака тимуса. Врачи не только подтверждают факт наличия новообразования, но и могут дать ему характеристику - форму, размер и локализация. Если подозревается рак средостения любого вида, то пациенту назначается рентгеноскопия грудной клетки. Если есть подозрение на развитие мезенхимальной опухоли, то проводится рентгенография пищевода. Назначается для подтверждения диагноза и получения данных о нейрогенной опухоли - размер, степень распространения, форма, точная локализация. Данные такого исследования более точные, чем рентгенография. На их основе врач может проработать тактику проведения хирургического вмешательства. Дополнительно выполняется магнитно-резонансная томография, она дает возможность определить степень поражения мягких тканей средостения, подтвердить или опровергнуть факт распространения метастаз в лимфатические узлы. Опухоли средостения могут прорастать в бронхи, трахею и для исключения или подтверждения такого роста используется бронхоскопия, видеоторакоскопия или медиастиноскопия.
Если перечисленных обследований недостаточно, то назначается хирургическая биопсия. Морфологическое исследование биологического материала позволяет полностью охарактеризовать рак средостения. Эта манипуляция важна для классификации опухоли - будет ли диагностирован именно рак тимуса или опухоль представляет собой доброкачественное образование.
Если есть подозрение на тимому (рак тимуса), то целесообразно проводить ультразвуковое исследование. Оно не выявит опухоль средостения, но даст возможность оценить состояние лимфатических узлов и жировой ткани в подключичной области.
К общим методам диагностики относятся анализы крови (общий, биохимический, коагулограмма), анализ мочи (общий), ЭКГ.
Лечение опухолей средостения.
Самым эффективным методом лечения опухолей средостения считается его хирургическое удаление, которое всегда сопровождается и специфической терапией. Если диагноз был поставлен на ранней стадии, врач может четко определить размер и форму опухоли, то применяется радиохирургический метод ее удаления по системе КиберНож. В случае больших размеров опухоли средостения удаляются классическим хирургическим методом с последующей химиотерапией. Диагностирование рака на поздней стадии делает нецелесообразным оперативное удаление новообразования, поэтому пациенту назначают только поддерживающее лечение (химиотерапия или лучевая) - рак средостения прекращает стремительно разрастаться, снижается вероятность распространения метастаз, облегчается симптоматика.
Если диагностирован рак тимуса (тимома), то врач опирается на данные исследований - каков размер опухоли средостения, есть ли ее разрастание. В некоторых случаях сначала проводится несколько курсов химиотерапии и только после этого назначается хирургическое лечение. Дополнительно, после проведения операции по удалению опухоли средостения, пациенту назначают гормональные препараты, иммуноподдерживающие средства.
Принимать решение о проведении терапевтического лечения или хирургического удаления опухоли средостения может только лечащий врач. Операция выполняется только в том случае, если специалист будет уверен в том, что он сможет удалить сразу все новообразование. Так как диагноз рак средостения часто ставится на поздних стадиях заболевания, то даже хирургические методы могут быть бесполезными по причине распространения метастаз, поражения внутренних органов и мягких тканей вокруг средостения.
Прогноз рака средостения.
Теоретически прогнозы на выздоровление при диагностировании опухоли средостения (рака тимуса) положительные. Но проблема заключается в сложностях диагностики - клиническая картина не типичная для злокачественных образований, часто люди либо предпринимают попытки лечения сами, либо обращаются со стандартными жалобами к врачу и им ставят неверный диагноз. Пока проводится лечение неверного заболевания, время проходит и наступает рак, средостения достигает тяжелой стадии. При своевременном выявлении рака тимуса вероятность благоприятного исхода составляет 68%.
Опухоли средостения (рак тимуса) возможно вылечить, но при условии своевременного выявления. Хирургический метод и последующая химиотерапия дают возможность полностью выздороветь. По причине неспецифической клинической картины диагностирование на ранней стадии затруднено, поэтому важно проходит диспансеризацию - это реальный шанс полностью избавиться от злокачественных образований.
Опухоли средостения
Опухоли средостения, или по-другому медиастинальные опухоли — это новообразования, которые берут свое начало из органов средостения. Средостение - это область, ограниченная легкими по бокам, грудиной спереди и позвоночником сзади. К органам средостения относятся сердце, аорта, пищевод, тимус, трахея, лимфатические узлы, сосуды и нервы.

Кто находится в «зоне риска»?
Медиастинальные опухоли встречаются достаточно редко. Они могут развиваться в любом возрасте и из любых органов и тканей, которые находятся в средостении, однако в большинстве случаев их диагностируют у пациентов от 30 до 50 лет. В детском возрасте чаще встречаются опухоли заднего средостения. Они обычно происходят из нервной ткани и, в большинстве случаев, не злокачественные. У взрослого населения преобладают опухоли переднего средостения - обычно там располагаются лимфомы и тимомы.
Классификация образований средостения
Средостение анатомически делится на 3 зоны. Соответственно этим зонам классифицируются и опухоли средостения.
- Опухоли переднего средостения: лимфома (Ходжкинская и неходжкинская), тимома. герминогенные опухоли, загрудинный зоб.
- Опухоли центрального средостения: бронхогенная киста, лимфаденопатия, киста перикарда, опухоли трахеи, опухоли пищевода, аномалии пищевода (ахалазия, грыжа, дивертикул).
- Заднее средостение: нейрогенные опухоли, лимфаденопатия, нейроэнтерические кисты.

Клиническая картина
Чаще всего опухоли средостения являются случайной находкой при рентгенологических исследованиях, так как до 40% опухолей клинически не проявляются. Клинические проявления опухоли средостения будут зависеть от следующих факторов:
- локализация и размеры опухоли;
- злокачественный или доброкачественный характер образования;
- темп роста.
В зависимости от вышеописанных факторов клиническая картина может быть различной. Самые частые симптомы можно разделить на две группы:
- Местные: кашель, кровохарканье, охриплость, одышка, затрудненное дыхание, боли в грудной клетке, гиперемия лица и верхней половины туловища, расширение вен лица, шеи, нарушения ритма.
- Общие: Лихорадка, озноб, ночная потливость, потеря веса.

Диагностика
Рентгенологический метод является основным для визуализации новообразования средостения. Компьютерная томография позволяет оценить локализацию опухоли и спланировать дальнейшее обследование.
Без гистологической верификации поставить окончательный диагноз невозможно. При вовлечении в процесс пищевода или трахеи выполняют эндоскопическое исследование для взятия биопсии и визуализации изменений.
При невозможности получить образец ткани для исследования эндоскопически применяются инвазивные методы: трансторакальная биопсия, медиастиноскопия, видеоторакосокпия. Последние два метода — это серьезные операции, которые проводятся в специализированных медицинских учреждениях.

Лечение
В связи с разнообразием возможных причин медиастинальные опухоли лечатся в зависимости от типа опухоли:
- Тимомы нуждаются в хирургическом лечении. При высокой степени злокачественности за хирургическим вмешательством следует лучевая терапия. Для удаления опухоли используются различные доступы: как минимально инвазивные и роботические операции, так и открытые «большие» операции (торакотомии и стернотомии).
- Лимфомы лечатся химиотерапией и лучевой терапией. Хирургия в данном случае применяется как диагностический метод, а не лечебный.
- Нейрогенные опухоли удаляются хирургическим методом.
- Некоторые опухоли, если они не проявляются клинически и являются доброкачественными, можно оставить под наблюдение.



Профилактика и прогнозы
К сожалению, достоверных методов профилактики для опухолей средостения не выявлено. Но результаты можно существенно улучшить, если выявить заболевание на ранней стадии. Если симптомы, описанные ранее не проходят в течение двух недель, возможно стоит обратиться за квалифицированной медицинской помощью. Прогнозы в данном случае трудно давать, они зависят, типа опухоли и ее злокачественности от проводимого лечения.
Список литературы:
Что показывает МРТ средостения?
Эта область организма человека хорошо защищена со всех сторон и добраться до ее органов не так просто. Средостение и проблемы, с ним связанные - об этом мы говорим сегодня с врачом-рентгенологом ООО «МРТ Эксперт Владивосток» Хе Сергеем Мансиковичем.
- Сергей Мансикович, скажите, что представляет собой средостение и какие органы в нём располагаются?
Это часть грудной полости, ограниченная спереди грудиной, сзади позвоночником, а по бокам - внутренними поверхностями легких и плевральными полостями. Средостение содержит комплекс органов, куда входят, в частности, сердце с входящими и выходящими из него крупными сосудами (полые вены, аорта), пищевод, трахея, главные бронхи, тимус, крупные нервные стволы, лимфатические узлы и некоторые другие анатомические образования.
- Вы могли бы привести примеры заболеваний органов средостения?
Они многочисленны. К ним можно отнести пороки развития, открытые и закрытые повреждения, доброкачественные и злокачественные опухоли.
- Как их можно заподозрить? Какими симптомами обычно проявляются болезни средостения?
Признаки, так же как и сами патологии, разнообразны. Это боли, кашель, одышка, общая слабость, повышенная температура тела, потливость, похудание.
- Какие методы диагностики образований средостения находятся в распоряжении врача? Как он может подтвердить или исключить предполагаемый диагноз?
Перечисленные методы являются неинвазивными. Несмотря на их широкие диагностические возможности, ответить на все вопросы состояния органов средостения с их помощью невозможно. Например, на КТ был выявлен онкологический процесс органа средостения. Какое именно это новообразование? С помощью томографии ответить на этот вопрос затруднительно. В таких случаях может применяться инвазивный метод исследования - медиастиноскопия. Он заключается в непосредственном осмотре органов средостения с помощью специального прибора - эндоскопа. При медиастиноскопии, можно, к примеру, взять кусочек опухоли, обнаруженной при компьютерной томографии, с целью уточнения разновидности новообразования. Кроме того, можно проводить некоторые лечебные манипуляции.
Решение о том, какое именно исследование необходимо человеку, принимается лечащим врачом.
- Скажите, а МРТ органов грудной клетки и средостения - это одно и то же или это разные исследования?
Они не идентичны. Комплекс органов средостения - лишь часть грудной клетки. Иными словами, если мы говорим о томографии ее органов, то это, соответственно, само средостение плюс легкие, части плевральных полостей.
Еще один важный момент. Магнитно-резонансная томография применительно к легким недостаточно информативна, поскольку легкие содержат воздух. «Золотым стандартом» в этом плане является компьютерная томография.
- Сергей Мансикович, когда назначают МРТ средостения?
Она используется во всех случаях, когда нужно уточнить диагноз. Например, у больного были найдены изменения на флюорограмме или рентгенограмме грудной клетки, когда с уверенностью поставить диагноз затруднительно. В этом случае, в зависимости от того, где на снимке располагается подозрительная область, врач может порекомендовать провести либо магнитно-резонансную, либо компьютерную томографию.
- Что включает в себя МРТ органов средостения?
Она предполагает исследование всех анатомических образований, входящих в него, и их возможных изменений. О них мы говорили ранее.
- С какой целью проводят магнитно-резонансную томографию средостения вместе с МРТ брюшной полости?
Это делается в тех случаях, когда патологический процесс находится на границе между грудной и брюшной полостями, или же когда по результатам исследования органов средостения врач видит, что процесс также может распространяться и в брюшную полость. В этом случае целесообразно такое совместное исследование двух полостей.
- Расскажите, пожалуйста, как проводится МРТ средостения?
Никаких особенностей в проведении исследования этой области нет. В обязательном порядке уточняются все противопоказания к проведению МРТ, в том числе и к исследованию с контрастным веществом. Также выясняется, какие заболевания переносил человек, а также имеющиеся на момент исследования. В целом особых ограничений по режиму дня, питанию или приему медикаментов нет (если лечащий врач не оговорил иное).
Пациента размещают на специальному столе аппарата МРТ, тело фиксируется специальными ремнями для сохранения неподвижности. В связи с тем, что аппарат в процессе работы издает достаточно ощутимый шум, на голову человека надеваются специальные наушники или ему предлагаются беруши. После этого выполняется диагностическая процедура. В зависимости от объема исследований она продолжается от 30 минут и дольше.
Хе Сергей Мансикович
Выпускник Тихоокеанского государственного медицинского университета 2013 года.
В 2014 году окончил интернатуру по специальности «Хирургия».
В 2015 - интернатуру по специальности «Рентгенология».
Прошел усовершенствование по магнитно-резонансной томографии.
В настоящее время работает врачом-рентгенологом в ООО «МРТ Эксперт Владивосток».
Новообразования средостения (часть 1)
Стенограмма первой части видеолекции профессора Игоря Евгеньевича Тюрина о новообразованиях средостения из цикла передач Лучевая диагностика для терапевтов.
Игорь Евгеньевич Тюрин, профессор, доктор медицинских наук:
- Мы двигаемся дальше в сторону новообразования средостения как продолжение вопросов, которые уже затрагивала Ирина Александровна в своем выступлении.
Может быть, новообразования средостения - это не такая частая патология. Мы видим по статистике, что даже в структуре заболеваемости это достаточно редкая вещь. Во-первых, они всегда вызывают большие сложности в интерпретации.
Во-вторых, с моей точки зрения, еще более важное обстоятельство - это решение вопроса новообразований опухоли средостений или какие-то другие патологические изменения (заболевания сердца, сосудов, лимфатических узлов средостений).
Это всегда очень серьезная и ответственная работа врача-рентгенолога, врача, который предполагает использование нескольких диагностических методов. Конечно, методов лучевой диагностики, прежде всего, рентгеновского исследования.
Если посмотреть на структуру, то в тех лечебных учреждениях, где есть гематологические больные, гематологические отделения, на первом месте изменения лимфатических узлов средостений у больных с лимфомами. Сейчас это болезнь Ходжкина.
Помимо этого традиционный набор в виде герминогенных опухолей, тимом, нейрогенных опухолей. Они с разной частотой встречаются у детей и взрослых. У детей значительно чаще герминогенные опухоли, врожденные кисты, нейрогенные опухоли. У взрослых - это лимфомы, тимомы, внутригрудной зоб.
Диагностика отличается у детей и взрослых, топики этих патологических образований. Но мы можем выделить общие принципы. Есть определенные клинические проявления этой патологии. Мы будем говорить о наиболее характерных, типичных признаках. Это симптомы компрессии (сосуды, нервы, трахеи, бронхи), что выражается в кашле, резистентном к терапии, или в возникающих болевых ощущениях, резистентных к соответствующей терапии.
Иногда это системные проявления, такие как миастения или более известные проявления заболевания вилочковой железы. Болевые ощущения в грудной полости, увеличение периферических лимфоузлов. Это может сопровождать целый ряд состояний патологических средостений. Все это может сопровождать формирование патологического образования средостения.
Но вряд ли мы можем назвать какие-то прямые клинические признаки этого состояния. Чаще всего эти изменения выявляются при рентгенологическом исследовании. Основные - это рентгенография и компьютерная томография (КТ). Дополнительно в определенных ситуациях может использоваться магнито-резонансная томография (МРТ), ультразвуковое исследование (УЗИ), радионуклидное исследование, рентгеноскопия с контрастированием пищевода (когда речь идет о патологии пищевода или заднего средостения).
Но выявление - это рентгенологическое исследование в двух проекциях. Уточнение характера изменения - это компьютерная томография.
Зачем и когда компьютерная томография. Сегодня это актуальный вопрос, потому что количество оборудования, аппаратов в нашей стране увеличивается и очень существенно. Сегодня компьютерная томография стала в большинстве регионов, большинстве городов нашей страны доступным исследованием, которое можно выполнить пациентам, у которых подозреваются такие изменения в средостении.
Уточнение, локализация и структура патологических образований, видимых на рентгеновских снимках - это самое частое показание в тех случаях, когда выявляется случайно, может быть, при минимальных клинических проявлениях.
Мы должны понимать, что это еще и выявление патологических изменений, которые не видны на рентгеновских снимках, но которые могут быть у этого пациента в силу наличия тех или иных клинических проявлений.
Почему это может возникать, почему это случается.
Аксиальный срез. Томограмма на уровне бифуркации трахеи. В переднем средостении достаточно большое патологическое образование, исходящее из вилочковой железы перед восходящей аортой. Это образование не выявляется на обзорных снимках, потому что в прямой проекции контуры средостения определяются анатомическими структурами или патологическими образованиями, которые кондурируются воздухсодержащей легочной тканью. Являются краеобразующими в этом случае.
В этой ситуации верхняя полая вена справа и нисходящая аорта слева формируют контуры средостения. Увидеть такое образование на рентгеновском снимке очень сложно, практически невозможно. Если у этого пациента миастения, то это и есть прямое показание к выполнению компьютерной томографии.
Также как парез гортани и увеличение лимфатических узлов в аорто-пульмональном окне. Также как и определение стадии злокачественных опухолей в плане увеличения лимфатических узлов средостений (в лимфомах, в раке легкого, в пищеводе, в других злокачественных образованиях). При различных системных проявлениях, когда нас интересует либо состояние отдельных органов и тканей средостений, либо наличие увеличенных лимфатических узлов.
Там, где есть возможность выполнения МРТ, периодически возникает спор о том, что лучше, что хуже. На сегодняшний день нет какого-то единого однозначного мнения о том, как и когда нужно применять МРТ при патологии средостений.
Мы знаем сегодня, что возможность спиральной многосрезовой компьютерной томографии (МСКТ) (особенно, когда она выполняется с внутривенным контрастированием) и МРТ равны при некоторых минимальных преимуществах того и другого метода.
Учитывая, что КТ более распространено, более доступно в большинстве лечебных учреждений, на сегодняшний день она является первоочередным методом. Когда имеет смысл выполнять МРТ. Когда речь идет о патологии сердца и крупных сосудов средостения. Особенно у пациентов, у которых имеется реакция на рентгеноконтрастные препараты (их невозможно вводить или это опасно для пациента).
Когда речь идет о патологии паравертебральной области (нейрогенные опухоли или дифференциальная диагностика таких образований с патологией позвоночника. Натечник при туберкулезных спондилитах, лимфостатические поражения позвонков. Подозрения на кистозное образование. МРТ, как и УЗИ, гораздо лучше позволяет дифференцировать жидкостные образования от тканевых.
Рецидивы злокачественных опухолей - еще одно показание к магнитному резонансу. Это лимфомы, рецидивы рака легкого, когда использование этой технологии вместе с внутривенным контрастированием иногда помогает поставить правильный диагноз.
Один из типичных примеров. Преобразование кистозного образования энтерогенной кисты средостения при различных последовательностях МРТ делает совершенно понятным диагноз, что может вызывать затруднение при компьютерной томографии.
На чем основана диагностика патологии средостения и опухоли средостения вообще. Рентгенолог должен определить, где находятся эти патологические изменения - в средостении или в рядом расположенной легочной ткани, грудной стенке, плевре или плевральной полости. Иногда это достаточно сложная задача.
Во-вторых, если патология в средостении - это патологическое образование, опухоль. Или нет. Это может быть сосудистая патология. В качестве классического примера приводятся обычно аневризмы аорты или аномалии вариантов расположения сосудов.
Это разнообразные патологии пищевода. Расширение пищевода у больного с ахалазией пищевода, с другими патологическими неопухолевыми состояниями, которые тоже могут имитировать опухоль. Это патология костных структур (консолидированный перелом бедра или туберкулезный натечник при патологии грудных позвонков).
Это все может нам имитировать образование средостения при том, что к средостению это не имеет никакого отношения. В какой части расположено и какой характер или структура образования. Это узкоспецифические вопросы, которые решаются с помощью современных томографических исследований.
Ступенчато, последовательно врачи-рентгенологи пытаются решить эти вопросы. Когда мы все-таки выявляем патологические изменения в средостении, говорим, что это патология средостения, мы должны в этом случае либо подтвердить, либо исключить наличие опухоли в средостении.
Как правило, используются два основных принципа дифференциальной диагностики. Это дифференциальная диагностика по расположению, по локализации самой опухоли в средостении.
Сейчас с появлением томографических технологий (КТ и МРТ) - это плотностные (денситометрические, структурные) характеристики патологического образования, которые позволяют разграничивать эти изменения.
Долгое время, начиная еще с предвоенных лет, определение средостения осуществлялось по обзорной рентгенографии в боковой проекции. Врачи-рентгенологи, основываясь на снимке боковой проекции, традиционно выделяли среднее или центральное средостение, заднее средостение как основные отделы этой анатомической области для того, чтобы локализовать те или иные патологические изменения.
В середине прошлого века в 1950-е годы появилось еще горизонтальное разделение - разделение с помощью горизонтальных линий на верхнее, среднее и нижнее средостение. В результате на рентгенограмме можно было обнаружить 9 квадратиков и в каждый квадратик уложить наиболее часто встречающееся патологическое образование или патологический процесс.
Это существенно облегчало диагностику патологических изменений в грудной полости. С появлением компьютерной томографии магнитно-резонансная ситуация немножко изменилась. Хотя термины остались практически те же самые - передняя, центральная и задняя.
Но несколько изменилось представление о размерах той или иной области средостения. Переднее средостение превратилось в преваскулярное пространство, то есть фактически во все то, что располагается спереди от крупных сосудов и передней поверхности перикарда средостения.
Заднее средостение представляет из себя область, которая расположена позади перикарда, позади трахеи пищевода. Центральное средостение - это фактически перикард как мешок, в котором содержится сердце и крупные сосуды, и сосудистый пучок, который выходит из сердца и устремляется в верхнюю апертуру.
Таким образом, при КТ и МРТ чаще всего разграничиваются по локализации патологические процессы. Если исходить из такого подразделения, то мы можем в каждую часть средостения уложить тот или иной патологический процесс.
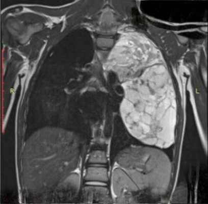
В переднем средостении самые верхние части, связанные с верхней апертурой - это внутригрудной зоб. Чуть ниже на уровне восходящей аорты, в средней части переднего средостения это лимфомы, герминогенные опухоли, гимомы. В нижней части кисты перикарда или мидиастинальные «липомы».
В зависимости от того, где мы видим патологические изменения - в центральном средостении, заднем средостении - мы можем говорить о том, что вероятнее всего мы видим на обзорной рентгенограмме, а теперь и на томограммах, которые получаются с помощью современных методов.
Я приведу несколько примеров дифференциальной диагностики, чтобы было понятно. Мы приблизительно знаем наиболее частые патологические процессы, которые здесь возникают. Они включают опухоли, доброкачественные и злокачественные (внутригрудной зоб, лимфомы). Неопухолевые процессы, такие как скопление жира в ретростернальной клетчатке, которые по традиции называют «липомы», или кисты перикарда, или какие-то другие патологические процессы.
Можем выделить среди них самые частые. Мы знаем клинические проявления этих патологических процессов. Мы имеем рентгеновский снимок, где можем определить тупику этих изменений. Мы можем с помощью современных томографических технологий выявить более-менее характерные проявления этого патологического процесса.
Тимомы - это обычно пациенты в возрасте старше 40-ка лет, которые нередко ассоциируются с миастенией и другими системными проявлениями. У многих пациентов это совершенно бессимптомное течение и случайная находка при флюорографическом, например, исследовании, при рентгенографии по другому поводу. Редко мы видим признаки инвазии.
Лучевые признаки этого процесса достаточно известны и понятны. Это средняя часть переднего средостения. Это нередко точечные или скорлуповидные обызвествления. Как правило, ассиметричное расположение. Во многих случаях они не определяются при рентгенографии. Но в силу наличия миастении или системных проявлений им выполняется компьютерная томография, и выявляются патологические изменения.
Если они видны при обычном рентгеновском исследовании, то мы хорошо видим, что тень средостения расширена влево на уровне дуги аорты. В ретростернальном пространстве (там, где должно быть скопление воздуха, содержащего легочную ткань) мы видим снижение пневмотизации, снижение прозрачности на боковом снимке.
Все это дает возможность предположить, что здесь есть патологические образования.
Томографическая картина. Мягкотканой плотности образования. В этом случае однородной структуры, овальной формы, с четкими контурами, расположенными перед восходящей аортой и общим стволом легочной артерии. Типичная характерная картина тимомы, которая, во-первых, нуждается в верификации, во-вторых, в соответствующем хирургическом лечении.
В каждом случае для врача-рентгенолога и для лечащего врача имеет значение определение того, доброкачественный или злокачественный этот процесс. Далеко не всегда мы можем ответить на этот вопрос или предположить характер этого процесса на основании рентгеновских или томографических данных.
Но, как правило, злокачественные опухоли увеличиваются значительно быстрее. Мы видим признаки местной инвазии в легочную ткань, в грудную стенку, в камеры сердца, в крупные сосуды и другие признаки распространенного патологического процесса. В большинстве случаев это более крупные опухоли.
В этом случае, продолжая патологию вилочковой железы, огромные размеры карциноидной опухоли вилочковой железы, которые занимают все переднее средостение, оттесняя сердце и крупные сосуды сзади аорты, вызывают накопление жидкости в правой плевральной полости. Это огромная неоднородная структура патологического образования с гиперваскулярными участками, со сдавлением верхней полой вены.
На снимке с трехмерной реформацией вы видите характерные симптомы расширения подкожных сосудов в следствие сдавления верхней полой вены. Все это говорит о злокачественной природе этого образования. Морфологический диагноз устанавливается во время операции.
Читайте также:
