Диагностика лиссэнцефалии на МРТ, КТ
Добавил пользователь Евгений Кузнецов Обновлено: 11.12.2025
Эпилепсия была известна еще за 5000 лет до нашей эры, однако инструментальная диагностика этого заболевания начала проводится только с 1929 года, когда немецкий ученый Бергер использовал для регистрации патологических изменений в головном мозге электроэнцефалографию (ЭЭГ). Метод позволил дать не только качественные, но и количественные критерии оценки специфических для эпилепсии изменений электрической активности головного мозга (1).
В последние два десятилетия ХХ века появились новые и весьма информативные методы диагностики или визуализации структур головного мозга, которые совершили настоящий переворот в медицине. Это компьютерная томография (КТ), магнитно-резонансная томография (МРТ), однопротонная эмиссионная компьютерная томография (SPECT) и позитронно-эмиссионная томография (РЕТ). Особенно большое значение эти методы приобретают в связи с развитием прецизионной хирургии фокальной эпилепсии, так как позволяют очень точно локализовать эпилептогенную зону в головном мозге. Среди этих методов ведущая роль несомненно принадлежит МРТ.
Метод КТ характеризуется использованием ионизирующего излучения, что ограничивает его широкое применение особенно при динамическом наблюдении. КТ дает прекрасное контрастное разрешение при изучении костной ткани, однако разрешающая способность при визуализации мягких тканей, к которым относится паренхима головного мозга и в частности медио-базальные отделы височных долей, явно недостаточная. Следует отметить, что относительно низкая цена исследований, высокая скорость (секунды в последних моделях томографов), простота использования, а также отличная выявляемость кровоизлияний и кальцинатов в патологических очагах, делают исследование в ряде случаев целесообразным в педиатрии после проведения УЗИ или уточняющим методом после МРТ, которая не позволяет выявить кальцинаты в головном мозге (туберозный склероз, синдром Sturge-Weber и т.д.).
Согласно рекомендациям Международной Лиги против Эпилепсии (ILAE) КТ выбирается для пациентов с эпилепсией только при невозможности проведения МРТ. Только в 50% случаев КТ выявляет структурные изменения в мозге при эпилепсии. При негативном результате КТ не исключается необходимость проведения МРТ (рекомендации ILAE).
Таким образом, МРТ является в настоящее время методом выбора при диагностике эпилепсии. Преимуществом метода является отсутствие ионизирующего излучения, более высокая чувствительность и специфичность по сравнению с КТ, возможность многоплоскостной томографии мозга, высокое контрастное разрешение для мягких тканей (2).
Как любой другой метод радиологии МРТ предполагает для получения объективной информации наличие предварительных клинических данных и результатов электроэнцефалографии. Это позволяет проводить исследования более целенаправленно и облегчает врачу-радиологу процесс интерпретации полученных томограмм.
Установлено, что преобладающее число доказанных очагов возникновения эпилепсии (до 80%) находится в височных долях, поэтому при планировании плоскости проведения томографии целесообразно использовать не традиционную орбито-меатальную линию, а модифицировать угол томографии для аксиальной (рис 1) и для коронарной плоскости (рис 2). При этом особое внимание нужно обратить на создание симметричного изображения височных долей (строго прямой угол с сагиттальной плоскостью) .
Протокол исследования желательно дополнять Т1-взвешенными изображениями в сагиттальной плоскости для анализа срединных структур мозга. В целом Т1-взвешенные изображения дают оптимальное разграничение анатомических структур, Т2-взвешенные
Рис.1. Косоаксиальная «височная проекция» томографии
Рис.2. Косокоронарная проекция для визуализации гиппокампа
Изображения имеет высокую чувствительность для выявления изменений содержания воды и железа в структурах мозга. Т2*-взвешенные изображения (градиентное эхо) создают условия для выявления кальцинатов, но не могут достигать такой точности в определении их как КТ. Инверсия восстановления обеспечивает лучший контраст на Т1-взвешенных изображениях.
Непременным условием является высокое пространственное разрешение систем для томографии, оптимальное соотношение сигнал/шум, которые позволяют проведение тонких срезов (от 1 до 3 мм) с высоким качеством изображений.
Диапазон причин, вызывающих появление эпилепсии достаточно широк.
Наиболее частые из них представлены в таблице 1 (3). Таблица 1.
Основные патологические процессы как причина эпилепсии
Пороки и аномалии развития головного мозга
Опухоли
Склероз гиппокампа
Пренатальные или перинатальные деструктивные повреждения
Кожно-неврологические расстройства
Воспалительные процессы
Инфекции
Нарушения метаболизмы
Сосудистые мальформации
Травмы
Дегенеративные изменения
Послеоперационные изменения
Наиболее часто при проведении больному с эпилепсией МРТ выявляется склероз гиппокампа (склероз аммонова рога), который по данным оперативного вмешательста на височных долях по поводу эпилепсии встречается в 60-80% случаев (4).
Для склероза гиппокампа характерны два основных признака на МР-томограммах. Это, прежде всего очаги высокоинтенсивного МР-сигнала на Т2-взвешенных изображениях, которые соответствуют участкам глиоза, а также сопутствующая этому атрофия гиппокампа, которая выявлется как правило на Т1-взвешенных изображениях, но может быть хорошо видна и на Т2-взвешенных изображениях (рис 3). Оба эти признака могут сочетаться или присутствовать отдельно во всех отделах гиппокампа или в отдельных его частях, как унилатерально так и билатерально.
Рис 3. Т2-взв. изображение в косо-коронарной плоскости. Объем гиппокампа справа немного уменьшен, что сочетается с асимметрией объема нижних рогов боковых желудочков.
При анализе изображений в косокоронарной проекции всегда надо помнить об артефактах от пульсации сосудов вилизиева круга, которые уменьшаются при применении быстрых спин-эхо последовательностях (Turbo-Spin-Echo).
Для объективной оценки изменений в гиппокампе необходима строго симметричная коронарная плоскость томографии, так как выявление описанных выше изменений проводится при сравнительном анализе с противоположной стороной (2). Сравнительный анализ обеих гиппокампов не может быть использован при билатеральных проявлениях заболевания (клинически или электроэнцефалографически).
В настоящее время точность МРТ при выявлении склероза гиппокампа достигает по данным многих авторов 80-90% и даже 98% (7,8,9). Кроме того метод позволяет определить вторичную природу изменений в гиппокампе при наличии небольших опухолей или мальформаций.
На втором месте по частоте из возможных причин эпилепсии стоят доброкачественные опухоли (астрофитомы, олигодендроглиомы, ганглиглиомы и т.д.). До 80% этих опухолей локализуется в височных долях. Эти процессы часто протекают с нарушением гематоэнцефалического барьера (происходит накопление контрастного вещества) и имеют кистозный компонент (рис.4). Перифокальный отек как правило отсутствует, но могут встречаться кальцинаты, которые видимы только при КТ.
Рис.4. На Т1-взв. изображениях после внутривенного введения препарата гадолиния хорошо видна небольшая опухоль с кистозным компонентом (ганглиоглиома).
К нарушениям закладки коры головного мозга относится гетеротопия серого вещества, которая является часто причиной эпилепсии (рис.5), а также лиссэнцефалия, пахигирия,
Рис 5. Билатеральная узловая гетеротопия серого вещества (на Т2-взв. изображениях видны участки серого вещества, расположенные субэпендимально). полимикрогирия и шизэнцефалия. При этих изменениях кроме Т2-взвешеныых спип-эхо изображений рационально также получение Т1-взвешенных изображений при инверсии восстановления с толщиной среза не более 5 мм. Наболее частой сосудистой патологией при эпилепсии являются кавернома (рис.6) или сосудистая мальформация (рис. 7).
Рис.6. Кавернома справа (Т2-взв. изображение)
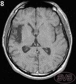
Ранние дегенеративные изменения в мозге возникающие в период беременности, пери- или постнатально проявляются виде порэнцефалии, энцефаломаляции и т.д., что достаточно хорошо выявляется с помощью МРТ. Посттравматические рубцово-атрофические изменения у взрослых часто могут сопровождаться эпилепсией (рис 8).

Рис 8. Посттравматические рубцово-атрофические изменения в правой височной доле с энцефаломаляцией (Т1-взв. изображение).
Таким образом, МРТ является надежным инструментом для выявления причины развития эпилепсии в головном мозге. Выявление эпилептогенного очага особенно при неэффективном медикаментозном лечении дает больному шанс на выздоровление с помощью хирургического вмешательства. Всегда надо помнить, оптимальная чувствительность метода МРТ обеспечивается только при правильной оценке клинических данных и результатов ЭЭГ.
ГМ. Лиссэнцефалия. +
Лиссэнцефалия - это порок развития конечного мозга в результате нарушения миграции и дифференцировки клеток.
Формирование и «созревание» коры головного мозга- процесс долгий и сложный. Он начинается еще во внутриутробном периоде и состоит из трех компонентов: пролиферации нервных клеток, миграции нейронов и дифференцировки коры. Миграция нейронов начинается около 7 нед беременности и заканчивается около 20 нед. В течение этого времени нейроны мигрируют из эмбрионального (герминативного) матрикса в перивентрикулярную зону и постепенно формируют шестислойную кору головного мозга, в которой наиболее глубокие слои представлены нейронами первой волны миграции. Формирование борозд и извилин мозга в основном происходит после завершения процесса миграции нейронов. Этот процесс связан с более быстрым ростом поверхностных слоев коры по сравнению с ее глубокими слоями.
Лиссэнцефалия - это очень редкий порок, характеризующийся отсутствием послойного строения коры головного мозга и возникающий в результате нарушения миграции нейронов. «Классическая» лиссэнцефалия характеризуется наличием четырехслойной истонченной коры головного мозга с отсутствием извилин (синоним -агирия или гладкий мозг) в сочетании или без сочетания с уменьшением их количества (пахигирия). Частота встречаемости лиссэнцефапии не установлена.
За последнее десятилетие классификация пороков развития коры головного мозга претерпела значительные изменения, что связано с открытиями в молекулярной биологии, а также с МРТ головного мозга. Согласно классификации A. Barkovich и соавт., выделяютЗ группылиссэнцефапии, отличающихся характером изменений коры (агирия, агирия в сочетании с пахигирией, изолированная пахигирия). Однако эти отличия лежат в сфере сложных гистологических и морфологических исследований мозга, эхография не позволяет достоверно провести дифференциальный диагноз.
Трудности пренатапьной эхографической диагностики аномалий развития коры головного мозга прежде всего связаны с отсутствием данных об ультразвуковых этапах его развития. До недавнего времени считапость, что аномалии развития коры головного мозга плода невозможно диагностировать ранее 27-28 нед беременности, однако анализ результатов постнатальной аутопсии, а также пре- и постнатальной МРТ позволили установить, что многие борозды и извилины мозга формируются уже с 16 нед. В ультразвуковых исследованиях последних лет были описаны особенности формирования коры головного мозга плода между 16 и 30 нед. Эти исследования доказали теоретическую и практическую возможность эхографического изучения коры головного мозга плода с помощью стандартного ультразвукового исследования с использованием традиционных плоскостей сканирования. По мнению этих авторов, следует помнить, что в раннем II триместре мозг плода в норме достаточно гладкий, поэтому оценивать борозды и извилины можно не ранее 20 нед. Эхографической оценке доступны парието-окципитальная борозда, шпорная борозда, Сильвиева борозда, поперечные борозды. Лиссэнцефалия характеризуется отсутствием эхографи-ческого изображения этих структур или сглаженностью их контуров.
Лиссэнцефалия может быть изолированным поражением головного мозга или входить в состав различных синдромов (синдромы Миллера-Дайкера и Нормана-Робертса). Синдром Миллера - Дайкера возникает в результате хромосомной делеции и помимолиссэнцефа-лии характеризуется лицевыми дизморфиями. После рождения он проявляется тяжелой умственной отсталостью и нередко приводит к ранней детской смертности.
Заподозрить лиссэнцефалию при эхографическом исследовании сложно. До сих пор в литературе нет ни одного описания этого порока, выявленного при скрининговом исследовании. Все редкие публикации посвящены диагностике лиссэнцефалии при беременностях, относящихся к группе высокого риска по этому заболеванию в связи с анамнезом или у плодов с другими ВПР ЦНС. Отечественная пренатальная диагностика до сих пор не располагает публикациями о дородовом выявлении пороков развития мозга, связанных с патологией формирования коры головного мозга.
Прогноз для жизни и здоровья при лиссэнцефалии неблагоприятный, однако пренатальное консультирование семей с подозрением на этот порок -очень сложный и ответственный процесс. До тех пор, пока оценка борозд и извилин коры головного мозга плода не станет обязательной частью эхографического исследования II уровня, ставить этот диагноз лишь на основании ультразвуковой картины опасно. При подозрении на лиссэнцефалию необходимо проведение пренатальной МРТ, а также исследование хромосом плода для исключения делеции 17р13.3.
Роль МРТ в диагностике эпилепсии

МРТ головного мозга. Функциональный метод. Эпилептогенный очаг. Цветовая обработка изоборажения.
Эпилепсия - это повышенная электрическая активность мозга. Участок возбуждения в коре головного мозга, в зависимости от того, в каком месте он находится, приводит к различным клиническим проявлениям. Наиболее широко известны судорожные припадки, хотя эпилепсия не обязательно судороги.
В диагностике эпилепсии ведущую роль играет электроэнцефалография (ЭЭГ). Она довольно точно выявляет нарушение активности коры мозга. Вместе с тем, ЭЭГ не показывает причины заболевания.
Условно причины эпилепсии (и эпилептиформных синдромов) можно разделить на «объёмные» и «необъёмные». К «объёмным» причинам относят опухоль, сосудистые аневризмы и мальформации. Эти причины вызывают до 20% случаев эпилепсии. Операция может устранить «объёмное» образование и приступы прекратятся. К «необъёмным» причинам относятся последствия инсульта и кровоизлияний. Они составляют до половины случаев эпилепсии. Причиной эпилепсии могут быть последствия черепно-мозговой травмы. Изредка причиной эпилепсии служит воспаление (например, демиелинизация). У детей причиной эпилепсии могут быть нарушения развития мозга и также специфические детские опухоли. Некоторые из них могут быть устранены операцией.
МРТ играет выжную роль в установлении причины эпилепсии, в первую очередь в исключении опухоли.
Особый случай представляет собой эпилепсия, когда припадки сопровождаются потерей сознание. Такой вариант эпилепсии (парциальная комплексная эпилепсия) связан с поражением височной доли мозга. МРТ головного мозга позволяет увидеть уменьшение объёма участка височной доли (“склероз медиального отдела височной доли”). Это чрезвычайно важно, так как по нашим данным МРТ в СПб нейрохирурги могут удалить повреждённый участок и эпилептические припадки прекратятся.
Детальнее об МРТ структур медиобазального отдела височной доли можно читать на нашем сайте.

МРТ головного мозга. Височнодолевая эпилепсия. Склероз тела правого гиппокампа. Сверхтонкие наклонные срезы Т1-взвешенные МРТ. Увеличение участка мозга.
МРТ головного мозга. Корональные МРТ Т2-взвешенного типа и FLAIR. Склероз правого гиппокампа.
Часть вариантов эпилепсии протекает отлично от височнодолевой и связаны с нарушениями коры полушарий головного мозга. Встречаются разнообразные варианты корковых дисплазий: фокальные дисплазии, гамартомы, улегирия (рубцы коры в области оболочек в связи с перинатальной ишемией) и собственно корковые аномалии (агирия, пахигирия и лиссэнцефалия), гемимегалэнцефалия, шизэнцефалия и при факоматозах или энцефалите Расмуссена.

МРТ головного мозга. Очаговая корковая дисплазия в левой лобной доле. Аксиальные Т1-взвешенная, Т2-взвешенная и FLAIR МРТ.
МРТ головного мозга. Корональная Т2-взвешенная МРТ. Очаговая узловая гиперплазия в правой затылочной доле.
МРТ головного мозга. МРТ типа FLAIR. Увеличение фрагмента затылочной доли. Улегирия.
МРТ головного мозга. Т2-взвешенная корональная МРТ. Энцефалит Расмусена - атрофия левого полушария.
Типичные “Объемные” причины эпилепсии - кавернозные ангиомы (гемангиомы) и опухоли, чаще височнодолевой локализации (ганглиоглиома, плеоморфная ксантоастроцитома и низкодифференцированные детские опухоли).
МРТ головного мозга. Аксиальная Т2-взвешенная МРТ. Множественные гемангиомы.
МРТ головного мозга. Аксиальная Т1-взвешенная МРТ с контрастированием. Кистозная ганглиоглиома.
МРТ в СПб осуществляется многими центрами. Из всех них МРТ СПб в наших центрах основана на большом опыте в диагностике височнодолевой эпилепсии, а также с успехом диагностируем причины эпилепсии в открытом МРТ.
Рассеянный склероз на МРТ головного мозга

Рассеянный склероз представляет собой тяжелое прогрессирующее заболевание нервной системы человека, во время которого больной постепенно теряет двигательные функции и речь. Диагностика рассеянного склероза (РС) - это весьма сложная врачебная задача, требующая времени и данных многократных МРТ исследований головного и спинного мозга. Трудность постановки окончательного диагноза связана с механизмом развития этого демиелинизирующего заболевания. Первичный толчок в развитии РС играет вирус герпеса, полученный в детстве в результате таких инфекционных заболеваний, как корь и краснуха. По неизвестным пока медицине причинам, когда во взрослом возрасте происходит снижение иммунного барьера, в некоторых случаях вирус реактивируется и начинает вызывать сбой в иммунной системе.
Механизм появления РС
Строение этого вируса внешне имеет очень большое сходство с миелином - белком, который обволакивает нервные волокна. При его разрушении происходит нарушение в проводимости импульсов нервными волокнами и возникают разнообразные неврологические патологии. Иммунная система организма отвечает за борьбу с любыми вирусами. Когда идентифицируется реактивированный вирус герпеса, она начинает его атаковать, а поскольку он очень схож с миелином, то атаке подвергается и собственные нервные волокна. Так начинает свое развитие рассеянный склероз.
Факторы, которые могут провоцировать дебют рассеянного склероза или его обострение, очень разнообразны. Это:
- любое инфекционное заболевание - человек перенес грипп, простуду;
- у женщин часто начала заболевания или обострения РС связано с беременностью и родами. Если женщина уже состоит на учете у невролога с подозрением на развитие рассеянного склероза, то таким женщинам иногда даже врачи советуют воздержаться от беременности, потому что часто детовынашивание приводит к быстрому развитию инвалидизации.
- больным с РС нельзя находиться на солнце, это провоцирует стадию обострения. Солнце агрессивно, и люди должны понимать, что, загорая, они резко снижают свой иммунный барьер и становятся открытыми для реактивирования вирусов в организме.



Признаки рассеянного склероза
Первыми признаками рассеянного склероза, которые даже не каждый врач невролог к сожалению может распознать, - это кратковременное быстро проходящее нарушение зрения. Пациент может пожаловаться на то, что внезапно потемнело в глазах, и он вдруг ничего не видит, а потом через несколько часов зрение восстановилось.
Второй признак - внезапно развивающаяся слабость или онемения в конечностях, возможно в какой-то одной руке или ноге.
Третий признак рассеянного склероза - нарушение мочеиспускания. В неврологии это называется по типу императивных позывов. То есть, возникает внезапное желание помочиться, и человек не может воспротивиться этому желанию. Он чувствует, что если он сейчас его не реализует, то произойдет самопроизвольный выпуск мочи.
Иногда на ранних стадиях заболевания наблюдается поражение лицевого нерва. Дело в том, что рассеянный склероз излюбленным местом своей локализации выбирает именно те области головного мозга, которые отвечают за двигательную функцию. В ходе развития РС поражается лицевой нерв, и у человека появляется асимметрия лица. Часто бывают ситуации, когда в холодное время года возникает лицевой тик, человек думает, что он просто простудил лицевой нерв, невролог быстро проводит восстановительное лечение мазью, и только через 5 или 7 лет выясняется, что это был дебют рассеянного склероза.
Рассеянный склероз затрагивает и чувствительную сферу. Нарушается она за счет поражения вибрационной чувствительности, на которую больной вряд ли пожалуется. Это можно выявить только при неврологическом исследовании на приме у врача.
В ходе прогресса болезни у человека возникают проблемы с координацией. У больного появляется шаткость при ходьбе, он идет как пьяный, но при этом у него нет головокружения. Пациент может жаловаться, что когда он сидит, он нормально себя чувствует, но когда он встает, его начинает раскачивать из стороны в сторону, причем происходить это может приступообразно. Таким образом невролог диагностирует мозжечковую атаксию, когда поражается мозжечковые пути при рассеянном склерозе.
Картина рассеянного склероза на МРТ
Признаками рассеянного склероза головного и спинного мозга на МРТ изображениях будут:
- слабовыраженные очаговые изменения, повышение сигнала Т2;
- типичное вовлечение спинного мозга;
- распространенность не более двух сегментов;
- поражения латеральных или задних столбов белого вещества с возможным вовлечением центральных отделов;
- в острой фазе утолщение спинного мозга;
- в хронической фазе слияний очагов;
- атрофические изменения в мозге - заместительная гидроцефалия.
| Признаки РС на МРТ | Норма и очаги рассеянного склероза на МРТ снимках |
![]() |
Пример МРТ заключения с признаками РС
МОЗГОВОЕ ВЕЩЕСТВО: В глубоком и субкортикальном белом веществе. в том числе: юкстакортикально. в перивентрикулярных отделах, мозолистом теле, внутренней капсуле, среднем мозге, ножках и полушариях мозжечка. В стволе головном мозга определяются множественные (более 10> очаги повышенного в Т2 и Т2 Нан: ВИ. Некоторые — пониженного в Т1 ВИ - сигнала, размерами от 5 до 10 мм. Очаги повышенного в Т2 сигнала в верхних сегментах спинного мозга не определяются.
КОНТРАСТИРОВАНИЕ: Внутривенно введено 15мл контрастного препарата Магневиста. Патологического накопления контрастного вещества при динамическом/отсроченном сканировании не выявлено.
ПРИ СРАВНЕНИИ С ПРЕДЫДУЩИМ ИССЛЕДОВАНИЕМ определяются новые очаги в правом полушарии мозга размерами 5 мм.
ЛИКВОРОСОДЕРЖАЩИЕ ПРОСТРАНСТВА: Желудочки мозга не расширены. Конвекситальные субарахноидальные пространства не изменены. Базальные цистерны нормального размера. Смещение срединных структур - нет.
КОСТНЫЕ СТРУКТУРЫ: Кости свода черепа - без изменений. Структуры орбит без видимых патологических изменений.
Диагностика рассеянного склероза на МРТ
Для того, чтобы диагностировать рассеянный склероз, неврологи назначают пациенту сделать сначала МРТ головного мозга. Такое обследование необходимо сделать на высокопольном томографе мощностью магнитного поля не менее 1,5 Тесла. На начальном этапе развития болезни очаги рассеянного склероза могут быть незначительных размеров, поэтому лучше всего для их четкой визуализации осуществить МРТ головного мозга с контрастом. Если томографическое обследование показало наличие симптомов РС, врач назначит дополнительное обследование МРТ спинного мозга, чтобы понять, есть ли распространение очага и на эту зону нервной системы.
Помимо томографического исследования лечащий врач проведет неврологический осмотр и уточнит у больного историю его детских заболеваний и наличия вышеперечисленных клинических проявлений РС.
Данные томографии вкупе с результатами осмотра пациента позволят врачу поставить или опровергнуть первичный диагноз. Затем врач установит режим наблюдения за больным, чтобы оценить степень и скорость развития процесса демиелинизации. Все эти данные позволят выработать адекватную терапию по замедлению прогресса рассеянного склероза и улучшению качества жизни пациента.
Как определить рассеянный склероз по МРТ
Изменения на МРТ при рассеянном склерозе будут включать в себя:
Наличие множественных очагов измененного МР- сигнала.
Размеры очагов варьируются от 0,2 см до 1,1см.
Перифокальные изменения вокруг очагов часто отсутствуют. Продольная ось большинства из них ориентирована перпендикулярно сагиттальной плоскости. В стадии обострения очаги копят контрастный препарат.
Магнитно-резонансная томография также позволяет дифференцировать рассеянный склероз от следующих заболеваний:
- злокачественные и доброкачественные новообразования
- ишемические поражения тканей, кровоизлияния
- другие демиелинизирующие процессы
- воспалительные заболевания, в том числе поражения мозга у больных СПИДом
- наследственные заболевания, связанные с нарушением структуры головного мозга.
Запись в день обращения
Как часто нужно делать МРТ при рассеянном склерозе
Диагностика рассеянного склероза обычно занимает 1,5 - 2 года. Чтобы убедиться в точности диагноза, врачи оценивают, как развивается процесс во времени. Для этого пациенту назначают сделать МРТ головного и спинного мозга с временным интервалом 3-6 месяцев. Сравнительный анализ изменений позволяет оценить динамику образования новых очагов, географию распространения поражения и степень затронутости спинного мозга.
Видно ли на МРТ рассеянный склероз
Признак рассеянного склероза на МРТ снимках будут видны на ранней стадии, однако диагноз РС в ходе томографии врач рентгенолог не ставит. Это задача лечащего невролога, который на основании данных истории болезни, неврологического осмотра и серии МРТ осуществляет окончательную диагностику и определяется со стратегией терапии.
ЭЭГ или МРТ головного мозга - что выбрать?
В каких случаях врач должен назначить Вам МРТ головного мозга, а в каких ЭЭГ, и что из них лучше - обо всем этом подробнее мы поговорим в этой статье. Когда принимается решение о той или иной форме диагностики, доктор исходит из нескольких факторов:
- цель обследования и первичный диагноз;
- доступность метода обследования;
- информативная ценность;
- наличие противопоказаний у пациента по состоянию здоровья.
Если исследование проводится платно, пациент добавляет к этому списку еще и аспект сочетания цены и качества. Если сравнивать по стоимости услугу МРТ головы и ЭЭГ в медицинских центрах СПб, то по цене магнито-резонансная томография в 2-3 раза дороже, чем энцефалограмма головного мозга. Возникает вопрос, чем же это обосновано, и будет ли МРТ головного мозга лучше, чем ЭЭГ, потому что она дороже? Давайте разбираться.
Принцип работы МРТ головного мозга
Магнитно-резонансная томография головного мозга является одним из самых продуктивных методов диагностирования. При МРТ основной задачей становится детальное сканирование органов и структур головного мозга и установка точного диагноза на основе анатомических аномалий. На сегодняшний день этот метод исследования является наиболее эффективным и информативным для диагностирования состояния головного мозга из-за способности магнитного поля проникать под костную полость и вовлекать клетки мозга в процесс ядерного магнитного резонанса. Именно резонанс ядер атомов водорода от электромагнитных волн улавливает компьютер томографа и создает послойное изображение обследуемой области. Благодаря этому на МРТ снимках врачи могут во всех подробностях рассмотреть состояние коры головного мозга, борозд, извилин белого вещества, гипофиза и эпифиза и диагностировать любые новообразования, кисты, тканные изменения, воспаления мозговых оболочек, демиелинизацию, сосудистые мальформации.
Диагностику МРТ головного мозга назначают с целью обнаружения различных отклонений от нормы в анатомическом строении головного мозга. Например, для выявления врожденных патологий при заболеваниях сосудов головного мозга, для обнаружения опухолей, установки их характера и локализации, а также для оценки зоны повреждения после ЧМТ или при инсульте.
Принцип работы ЭЭГ головного мозга
Есть заболевания головного мозга, когда сами ткани головного мозга не страдают, а сострадает только функция. В такой ситуации с помощью электроэнцефалограммы врачи могут увидеть нарушения в биоэлектрической активности мозга. Это нейрофизиологическое обследование, основная задача которого оценить биоэлектрические потенциалы мозга. В ходе диагностики пациенту на голову одевают электродный шлем. На сами электроды наносят гель, который нужен для хорошего контакта с кожей головы. Затем врач начинает регистрировать разность потенциалов между двумя точками головы человека. Эта разница в норме не должна превышать 100-150 микровольт. По отклонениям в биоэлектрической активности врач может судить о сбоях в некоторых функциях головного мозга.
ЭЭГ как метод обследования головы находит свое применение при диагностике:
- отставания в развитии головного мозга ребенка;
- причин приступов потери сознания;
- причин бессонницы;
- эпилепсии.
Также энцефалограмма головного мозга применяется для контроля за результатами противосудорожного лечения.
Противопоказания
Методы МРТ и ЭЭГ не опасны для здоровья пациента, оба вида обследования происходят без проникновения внутрь организма. Эффективность проведения диагностики связана с неподвижностью головы обследуемого. Если человек двигается в ходе сканирования, то из-за артефактов движения результаты обследования могут быть неточными.
У МРТ исследования есть ряд дополнительных противопоказаний. Из-за сильного магнитного поля обследоваться на томографе не могут люди:
- с вшитыми внутренними приборами, например - кардиостимулятор, инсулиновая помпа;
- металлом в теле с магнитными свойствами, например - стальные протезы, железные скобы.
ЭЭГ или МРТ головного мозга, что лучше?
Что лучше - энцефалограмма или МРТ головного мозга? Ответ зависит от целей обследования. ЭЭГ является “золотым стандартом” в диагностике эпилепсии. Приступы, судороги, нарушения сознания у детей могут быть признаками не только эпилепсии, но возникать при патологиях сердечно-сосудистой системы, нарушении электролитного баланса, вирусной инфекции. Дифференцировать эпилептический припадок от других патологий помогает именно ЭЭГ во сне. С помощью этого вида обследования также легче обследовать маленьких детей с целью оценки зрелости активности головного мозга ребенка, так как детей при процедуре ЭЭГ не нужно погружать в медикаментозный сон. Точность и информативная ценность энцефалографии в диагностики аневризмы и опухоли мозга будет очень маленькой. В таких ситуациях безусловно лучше сделать МРТ головного мозга.
Читайте также:
- Синдром Винивартера-Бюргера (Winiwarter-Buerger)
- Железистый рак молочной железы: лечение аденокарциномы, классификация рака груди
- Гангренозная пиодермия у ребенка
- Влияние расы на лечение сердечной недостаточности. Сердечная недостаточность у пожилых и онкологических больных
- Негативное воздействие ультрафиолета на кожу. Минусы солнечного загара

