Диагностика метастаза в сердце и перикард на рентгене, КТ, МРТ, ПЭТ
Добавил пользователь Евгений Кузнецов Обновлено: 01.11.2025
ПЭТ/КТ (PET/CT) — эффективный и современный метод диагностики онкологических заболеваний. Метод сочетает возможности позитронно-эмиссионной (ПЭТ) и компьютерной (КТ) томографий и позволяет с высокой долей уверенности установить наличие злокачественного образования.
Для выявления патологических клеток применяются различные радиофармпрепараты. ПЭТ/КТ всего тела проводится с введением 18F-фтордезоксиглюкозы (18F-ФДГ) - это препарат, который готовится накануне исследования, с учетом индивидуальных особенностей пациента. Диагностика основана на оценке скорости обмена веществ клеток на молекулярном уровне, поэтому позволяет выявить злокачественную опухоль размером от 4-5 мм. Опухоли меньших размеров не позволяют выявить разрешающие способности современных ПЭТ/КТ-сканеров.
ПЭТ/КТ способна диагностировать те опухолевые очаги, которые невозможно выявить с помощью других средств визуализации - УЗИ, рентгена, КТ, МРТ.
Алексей Бутенко, онколог, профессор, д.м.н.
Процедура обладает рядом преимуществ:
- возможность выявления онкологических опухолей на бессимптомной стадии;
- безопасность методики, отсутствие болезненных ощущений;
- амбулаторное проведение без хирургического вмешательства;
- получение полной информации о распространенности злокачественного процесса в организме.
ПЭТ/КТ с 18F-фтордезоксиглюкозой: особенности
Радиофармпрепарат 18F-фтордезоксиглюкоза универсален: он поглощается всеми клетками, так как по строению близок к обычной глюкозе. Опухолевые клетки реагируют на препарат быстрее обычных, поэтому их хорошо видно при сканировании. Вещество выводится из организма пациента в течение суток.
У 18F-ФДГ есть ряд достоинств:
- длительная стабильность - его можно доставлять в диагностические учреждения, где нет возможности производить нужные соединения на месте;
- позволяет детально обследовать пациента без спешки;
- универсальность - подходит для выявления большинства злокачественных опухолей (за исключением нейроэндокринных новообразований и некоторых других форм рака), позволяет получить точные результаты.
На полученном при сканировании тела пациента изображении клетки опухоли видны как яркие пятна, так как они поглощают больше 18F-ФДГ, чем здоровые ткани. Врач имеет возможность сделать выводы о злокачественности образования, размерах и стадии процесса по насыщенности цвета, размеру, локализации и количеству «горячих очагов».
Разновидности радиофармпрепаратов для ПЭТ/КТ в центрах «ПЭТ-Технолоджи»
- 18 ФДГ - фтордезоксиглюкоза, меченая атомом фтора-18, является самым распространенным радиофармпрепаратом (РФП), используемым в ПЭТ/КТ диагностике.
РФП 18F-фтордезоксиглюкоза универсален и поглощается всеми клетками, так как по строению близок к обычной глюкозе. Опухолевые клетки поглощают препарат быстрее обычных, поэтому их хорошо видно при сканировании.
ПЭТ/КТ диагностику всего тела с 18 ФДГ проводят во всех центрах «ПЭТ-Технолоджи».
- В Ставрополе, помимо 18 ФДГ, для ПЭТ/КТ диагностики используют следующие радиофармпрепараты:
- 18F-ПСМА - при опухоли предстательной железы
- 18F-ФЭТ - при новообразованиях головного и спинного мозга
- В Екатеринбурге также проводят ПЭТ/КТ диагностику со следующими РФП:
- 68GaPSMA - при раке предстательной железы у мужчин
- 68Ga-DOTA-TATE - при нейроэндокринных опухолях
- В Балашихе ПЭТ/КТ диагностика со следующими РФП:
- 18F-Флюороэстрадиол - данный РФП наиболее широко применяется у больных раком молочной железы
Показания к ПЭТ/КТ всего тела
ПЭТ/КТ позволяет оценить масштабы опухолевого поражения пациента и верно определить стадию заболевания. Сведения о том, как далеко распространились злокачественные клетки, крайне важны для выбора тактики лечения. Обследование пациентов, проходящих курс радиотерапии и химиотерапии или перенесших, необходимо для мониторинга результатов назначенного лечения - ПЭТ/КТ-сканирование покажет, как изменяется опухоль, позволит увидеть новые очаги и рецидивы.

ПЭТ/КТ с 18F-фтордезоксиглюкозой: рак прямой кишки
ПЭТ/КТ всего тела с 18F-фтордезоксиглюкозой
проводят для:
- выявления метастазов и первичных очагов опухоли;
- определения степени распространенности опухолевого процесса;
- оценки эффективности лечения;
- дифференциации доброкачественных и злокачественных опухолей;
- планирования тактики терапии.
В центрах «ПЭТ-Технолоджи» диагностику с 18F-ФДГ проводят при следующих заболеваниях: злокачественные опухоли скелета, меланома, болезнь Ходжкина и неходжкинские лимфомы, саркомы мягких тканей, рак щитовидной железы, молочных желез, шейки матки, тимуса, яичек, легких, поджелудочной железы, яичников, желудка и кишечника.
Противопоказания и ограничения:
- беременность,
- грудное вскармливание,
- сахарный диабет (уровень гликемии более 11 ммоль/л),
- тяжелое общее состояние пациента, декомпенсация сопутствующей патологии (хроническая почечная, печеночная недостаточность),
- невозможность выжидания процедуры сканирования (болевой синдром, психоневрологическое расстройство, клаустрофобия и т.д.),
- острые инфекционные заболевания и обострения хронических воспалительных процессов.
При записи на ПЭТ/КТ рекомендуется предоставить результаты гистологического исследования опухоли, которое было проведено после биопсии
При записи на ПЭТ/КТ рекомендуется предоставить результаты гистологического исследования опухоли, которое было проведено после биопсии. Диагностические возможности ПЭТ/КТ с 18F-ФДГ ограничены при редко встречающихся клеточных формах злокачественных опухолей (например, нейроэндокринные опухоли, карциноид, бронхоальвеолярный рак легкого, светлоклеточный рак почки, рак предстательной железы, гепатоцеллюлярный рак, муцинозные опухоли, медуллярный рак щитовидной железы, перстневидно-клеточный рак, гастроинтестинальные опухоли).
Диагностическая ценность ПЭТ/КТ с 18F-фтордезоксиглюкозой повышается при соблюдении следующих временных интервалов:
- через 7-10 дней после проведения биопсии опухоли;
- через 3-3,5 месяца после завершения лучевой терапии;
- через 21 день после завершения курса химиотерапии;
- через 1-1,5 месяца после операции по удалению опухоли.
Специалисты центра расскажут вам о возможностях и ограничениях метода при записи на исследование. Доступна бесплатная предварительная консультация для определения необходимости диагностики в вашем случае.
Подготовка к ПЭТ/КТ всего тела
ПЭТ/КТ-диагностика основана на анализе обмена веществ клеток, а на него влияет ряд внешних факторов. Для того чтобы врач получил точные данные, к обследованию нужно правильно подготовиться.
- за двое суток до процедуры исключите алкоголь и углеводистую пищу (все, что содержит глюкозу, фруктозу, лактозу и сложные углеводы: сладости, крупы, мучное, молоко, сладкие напитки);
- прекратите прием пищи за 6 или более часов до визита в центр. Сканирование проводят натощак, по возможности в утренние часы;
- перед исследованием нужно употреблять больше жидкости;
- за два дня до ПЭТ/КТ нельзя переохлаждаться, запрещены физические нагрузки: холод и интенсивное движение влияют на метаболизм в тканях организма;
- возьмите с собой теплую комфортную одежду без металлических элементов (молний, пуговиц и т.д.), сменную обувь. Вещи не должны обтягивать или сдавливать;
- принесите на обследование данные прошлых исследований и осмотров, заключения специалистов о вашем заболевании.
Важно: пациентам с сахарным диабетом нужно предварительно проконсультироваться у врача-эндокринолога. Наличие в применяемом радиофармпрепарате глюкозы может вызвать осложнения заболевания или снизить достоверность результатов. Также врача нужно предупредить о беременности, кормлении грудью, наличии аллергии на лекарственные препараты, клаустрофобии, невозможности лежать неподвижно в течение 40 минут.
Во время записи на исследование вам подробно расскажут о подготовке к позитронно-эмиссионной томографии, подберут удобную дату и время визита.
Порядок проведения исследования
ПЭТ/КТ длится не более часа, но в центре вы проведете от 2 до 5 часов - сюда входит предварительная подготовка, оформление документации, отдых после процедуры. Перед обследованием нужно переодеться в комфортную одежду и снять все изделия, содержащие металл.

Во время отдыха пациенту следует расслабиться, лежать неподвижно, нельзя разговаривать, читать, пользоваться мобильным телефоном.
В период отдыха важно сохранять неподвижность - это способствует правильному распределению радиофармацевтического препарата и в конечном результате качественному отображению патологического очага. Для получения точных результатов диагностики необходимо оставаться неподвижным в течение всей процедуры сканирования, которая может занимать от 20 до 40 мин.
Если длительное пребывание в неподвижном состоянии вызывает болезненные ощущения (боль в костях, суставах или в мышцах), сообщите врачу об этом заранее (!), чтобы врач смог подобрать оптимальный режим сканирования.
Обследование проходит в два этапа:
- Введение препарата. Пациенту делают внутривенную инъекцию. Процедура безболезненна, иногда сопровождается ощущением жара. Препарат распределяется по всем клеткам в течение часа. Важно: После введения препарата нужно спокойно лежать, не двигаться, не разговаривать, не читать: 18F-ФДГ накапливается в активно работающих мышцах, что может сказаться на результатах. Пейте чистую воду, чтобы улучшить визуализацию клеток.
- ПЭТ/КТ-сканирование. Пациента помещают в томограф, где сначала делают компьютерную томографию всего тела, после нее - позитронно-эмиссионную томографию всего тела. В некоторых случаях дополнительно вводится контрастное вещество, которое улучшает визуализацию полых органов - кишечника и сосудов. Программное обеспечение аппарата накладывает КТ-снимки на ПЭТ-снимки, в результате можно оценить структурные, физиологические и метаболические изменения в тканях.
После завершения процедур не покидайте территорию центра, так как в некоторых случаях сканирование требуется провести повторно.
Где сделать ПЭТ/КТ всего тела
ПЭТ/КТ-центры компании «ПЭТ-Технолоджи» находятся в городах:
В «ПЭТ-Технолоджи» работают квалифицированные врачи, профессионалы в области онкологии и ядерной медицины. Они обучаются и проходят стажировку в специализированных учреждениях России, США, Германии и Израиля.
Преимущества диагностики в в ПЭТ/КТ-центрах компании «ПЭТ-Технолоджи»:
- отсутствие очередей и длительного ожидания процедуры - прием пациентов по записи на следующий или в любой удобный день;
- гарантия качества диагностики;
- удобство для пациентов, приезжающих из других регионов и стран СНГ - помощь с размещением и решением других организационных вопросов;
- оперативное получение результатов исследования .
Цена ПЭТ/КТ в центрах ядерной медицины «ПЭТ-Технолоджи» ниже, чем за границей - от 44 000 рублей, на исследование предоставляется скидка 25%. Со стоимостью процедуры в различных ПЭТ/КТ-центрах и специальными предложениями вы можете ознакомиться здесь.
Эти сведения критически важны при уточняющей диагностике злокачественного образования, планировании операции, лучевой или химиотерапии, контроле за эффективностью лечения.
В Центрах ядерной медицины «ПЭТ-Технолоджи» проводятся ПЭТ/КТ исследования с использованием следующих радиофармпрепаратов:
- 18F-фтордезоксиглюкоза (Все Центры сети),
- 18F-фторметилхолин (г. Уфа),
- 18F-фторэтилтирозин (г. Уфа).
ПЭТ/КТ способна диагностировать те опухолевые очаги, которые невозможно выявить с помощью других средств визуализации - УЗИ, рентгена, КТ, МРТ.
Алексей Бутенко онколог, профессор, д.м.н.
Для проведения диагностики с высочайшей точностью, безопасностью и комфортом мы собрали команду лучших специалистов в различных областях онкологии, ядерной медицины, медицинской физики, химии и фармакологии. Врачи зарубежных клиник Германии, Израиля и США, где проходили лечение наши клиенты, отметили высокое качество исполнения стандарта исследования ПЭТ-КТ в Центрах «ПЭТ-Технолоджи». С учетом текущего курса валют и цены ПЭТ-КТ исследования в Израиле, стоимость диагностики в «ПЭТ-Технолоджи» значительно ниже.
Благодаря уникальным техническим характеристикам нашего оборудования время исследования сокращено в среднем до 18 минут, при этом достигается самая высокая точность, доступная для метода на сегодняшний день.
Для Вашего удобства алгоритм проведения всех процедур детально продуман, благодаря чему исключены очереди и ненужное ожидание, а усилия персонала направлены на то, чтобы создать атмосферу уюта и заботы. Разработаны удобные и недорогие планы поездок из Белоруссии и Казахстана .
После проведения исследования пациент получает на руки протокол исследования с заключением специалиста и диск со всем массивом данных, полученных при сканировании. Бесплатная консультация у наших опытных специалистов помогает определить необходимость исследования. Универсальность протокола и формата сохранения изображений позволяет специалистам из любого медицинского учреждения использовать эти данные для планирования и оценки эффективности лечения.
Выражаю огромную благодарность врачам центра ядерной медицины в Уфе и лично Нагаевой Д.В. - настоящему мастеру своего дела. Дина Валерьевна внимательно обследовала меня на ПЭТ/КТ и обнаружила на ранней стадии опухоль в ректо-сигме, о которой специалисты из поликлиники и из онкологического диспансера даже не подозревали.
Анатолий Григорьевич, 72 года , Москва
Хочу поблагодарить всех сотрудников центра ядерной медицины за неравнодушие и спасенное здоровье! Спасибо вам за то, что обнаружили болезнь в самом начале. Но ещё больше - спасибо за доброе сердце и чуткость! Когда настигает беда, очень важно, чтобы тебя окружали такие же надежные и готовые помочь люди, как специалисты из центра в Уфе!
Фазиля, 22 года , Уфа
Уровень подготовки специалистов позволяет компании «ПЭТ-Технолоджи» использовать весь потенциал метода ПЭТ/КТ. Штат компании полностью укомплектован высококвалифицированными специалистами, прошедшими обучение и подготовку в ведущих научных и образовательных центрах России.
Высокотехнологичное и современное оборудование. Все центры «ПЭТ-Технолоджи» оснащены единой линейкой медицинской техники производства компании GE Healthcare - подразделения General Electric, работающего более чем в 100 странах мира. Новейшие ПЭТ/КТ-сканеры, циклотроны, уникальные автоматизированные модули синтеза радиофармпрепаратов от одного из мировых лидеров в области медицинского оборудования обеспечивают эффективную и слаженную работу.
Безопасность проводимого исследования. За несколько десятков лет применения ПЭТ/КТ в клинической практике не выявлены какие-либо отрицательные воздействия метода на здоровые органы и ткани пациентов. А высокая квалификация и современное оборудование позволяют оптимизировать уровень лучевой нагрузки при проведении диагностики.
Европейский уровень сервиса и доступные цены. Один из основных приоритетов работы персонала - ориентация на нужды и комфорт пациентов. Стоимость диагностики ПЭТ/КТ в «ПЭТ-Технолоджи» составляет от 44 000 рублей — дешевле на несколько тысяч, чем в других российских центрах, и в два-три раза выгоднее, чем в медицинских центрах за рубежом.
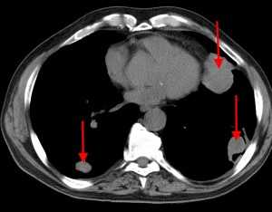
Мезотелиома перикарда
Мезотелиома перикарда - редкая опухоль, часто злокачественного течения, возникающая из мезотелиальных клеток перикарда. Клинически мезотелиома перикарда проявляется болью в области сердца, экссудативным перикардитом, одышкой, отеками, нарушениями сердечной деятельности. При постановке диагноза мезотелиомы используют данные рентгенографии грудной клетки, УЗИ сердца, ЭКГ, КТ и МРТ сердца, сцинтиграфии, пункции перикарда, торакоскопии с биопсией перикарда. При локализованной форме мезотелиомы перикарда проводят иссечение опухолевого узла, при диффузной форме - тотальную перикардэктомию.
МКБ-10
Общие сведения
В кардиологии мезотелиома перикарда относится к разряду первичных опухолей, которая изначально развивается в околосердечной сумке. Свое название мезотелиома получила благодаря происхождению из клеток мезотелия - однослойного плоского эпителия, покрывающего серозные оболочки внутренних органов. Кроме мезотелиомы перикарда встречаются мезотелиальные опухоли других локализаций - мезотелиома плевры (почти 75% случаев), мезотелиома брюшины (10-20% случаев), мезотелиома яичка.
По морфологическим критериям различают доброкачественную фиброзную и злокачественную мезотелиому перикарда. Злокачественная мезотелиома перикарда встречается в трех гистологических вариантах: 50-70% составляет эпителиоидный рак (аденокарцинома), 7-20% - саркоматозный тип (ангиоэндотелиома), 20-35 - смешанный раково-саркоматозный тип.
Мезотелиома перикарда может иметь узловую, диффузную и диффузно-узловую формы роста; иногда она покрывает сердце, подобно панцирю. Злокачественная мезотелиома перикарда обладает способностью к инвазивному росту и метастазированию, как правило, лимфогенным путем. Мезотелиома перикарда может встречаться в любом возрасте (чаще после 50 лет), заболеваемость у мужчин выше, чем у женщин. В клинической практике стадийность выделяют только у мезотелиомы плевры, как у самой распространенной мезотелиальной опухоли.
Причины мезотелиомы перикарда
Этиологическими факторами, способствующими развитию мезотелиомы перикарда, являются длительный контакт с асбестсодержащими материалами, воздействие ионизирующего облучения, генетическая предрасположенность (наличие редких семейных форм).
Работники разных профессий, которые по роду деятельности находятся в длительном и интенсивном контакте с асбестовой пылью, особенно в молодом возрасте, имеют повышенный риск развития злокачественной мезотелиомы перикарда и рака легких. Причем эти серьезные заболевания могут диагностироваться спустя 20-50 лет после контакта с канцерогеном.
Симптомы мезотелиомы перикарда
Клиническая картина мезотелиомы перикарда может быть разнообразной, схожей по проявлениям с другими заболеваниями: перикардитом, инфарктом миокарда, идиопатическим миокардитом, ревматизмом, бронхогенным раком. На ранних стадиях симптомы не специфичны, слабо выражены и начинают беспокоить больного при достижении опухолью больших размеров.
Клинически мезотелиома перикарда проявляется тупой болью в груди, одышкой, отеками, нарушением проводимости и ритма сердца, тахикардией, артериальной гипотонией, на поздних стадиях - симптомами тампонады сердца. Боли в области сердца могут быть обусловлены ростом (инвазией - в случае злокачественного типа) мезотелиомы перикарда и скоплением перикардиального выпота вследствие высокой секретирующей способности опухоли. Больным с мезотелиомой перикарда свойственно наличие рецидивирующего экссудативного перикардита геморрагического характера. Для мезотелиомы перикарда даже небольших размеров характерно быстрое накопление серозно-геморрагического экссудата в перикардиальной полости после его аспирации - так называемый «неиссякаемый выпот».
Злокачественная мезотелиома перикарда способствует быстрому развитию сердечной недостаточности и нарушению гемодинамики, которые усиливаются при сдавлении опухолью крупных кровеносных сосудов и ее прорастании в миокард и эпикард. Злокачественная мезотелиома перикарда вызывает формирование различных паранеопластических синдромов (флеботромбоза вен нижних конечностей, тромбоэмболии легочной артерии), маскирующих основное заболевание и затрудняющих его диагностику.
Диагностика мезотелиомы перикарда
Прижизненная диагностика мезотелиомы перикарда затруднена из-за отсутствия какой-либо ранней специфической симптоматики заболевания. Заподозрить мезотелиому перикарда позволяет наличие рецидивирующего геморрагического перикардита в анамнезе.
При постановке диагноза мезотелиомы перикарда используются данные рентгенографии грудной клетки, мультиспиральной КТ, магнитно-резонансной томографии сердца, ПЭТ, пункции перикарда с морфологическим исследованием экссудата, торакоскопии. Дополнительно проводятся электрокардиография, эхокардиография, радиоизотопное сканирование сердца.
Рентгенография грудной клетки при мезотелиоме перикарда помогает выявить наличие выпота и его причину - опухоль; КТ и МРТ сердца - оценить наличие и глубину инвазии опухолевого процесса: прорастание злокачественного новообразования в ткани сердца или органы грудной клетки. Большинство мезотелиом ПЭТ-позитивны, поэтому в последнее время для выявления этих опухолей часто применяют ПЭТ сердца с фтордезоксиглюкозой для определения микрометастазов в области перикарда.
Пункция перикарда с аспирацией содержимого проводится при обнаружении перикардиального выпота с целью установления его природы. Из-за часто встречающихся отрицательных результатов цитологического исследования при мезотелиоме перикарда этот метод считается не совсем надежным. Кроме того, при цитологическом исследовании выпота не удается установить гистологический тип мезотелиомы перикарда, что очень важно для оценки прогноза заболевания.
Самый достоверный метод обнаружения мезотелиомы перикарда - торакоскопия с биопсией перикарда, дающая возможность выявить опухоль, оценить распространенность опухолевого процесса и поставить правильный гистологического диагноз. Необходим дифференциальный диагноз между мезотелиомой перикарда и другими заболеваниями: перикардитами любой этиологии, идиопатическим миокардитом, ревматизмом, инфарктом миокарда, бронхогенным раком легких, панкреатитом.
Лечение мезотелиомы перикарда
Лечение мезотелиомы перикарда целесообразно проводить в специализированном онкологическом стационаре, имеющем опыт лечения больных с этим редким видом опухоли. При мезотелиоме перикарда показано хирургическое вмешательство, как с лечебной, так и с паллиативной целью; выбор тактики лечения мезотелиомы перикарда зависит от гистологического типа и формы опухоли, общего состояния больного, своевременности постановки диагноза.
При локализованной форме мезотелиомы перикарда проводят иссечение опухолевого узла, при диффузной форме - выполняют тотальную перикардэктомию. Радикальность операций у больных мезотелиомой перикарда оспаривается в связи с тем, что после таких вмешательств нередко остаются микроскопические очаги опухоли.
Паллиативные вмешательства при мезотелиоме перикарда (в случае распространенного процесса или тяжелого состояния больного) направлены на удаление жидкости из перикардиальной полости, уменьшение болевого синдрома и улучшение сердечной деятельности. К таким вмешательствам относится пункция перикарда с установкой постоянного катетера для аспирации экссудата (перикардиоцентез). Химиотерапия и лучевая терапия при мезотелиоме перикарда могут применяться как основное лечение у неоперабельных пациентов и вспомогательное - после хирургического вмешательства.
Прогноз и профилактика мезотелиомы перикарда
Прогноз мезотелиомы перикарда в большинстве случаев неблагоприятный по причине позднего возникновения и быстрого прогрессирования клинических проявлений, несвоевременности диагностики заболевания. В течение короткого времени (1-2 лет) больные мезотелиомой перикарда умирают от нарастающей сердечной недостаточности или развития различных паранеопластических синдромов. Прогноз у больных с саркоматозными мезотелиомами перикарда хуже, чем у больных с эпителиальными мезотелиомами, поэтому им нецелесообразно выполнять обширные хирургические вмешательства.
В целях профилактики развития мезотелиомы перикарда необходимо избегать контактов с асбестсодержащими материалами в быту и на производстве.
Диагностика метастазов в легкие: КТ и рентгенография
Компьютерная томография — один из самых чувствительных и распространенных методов диагностики метастазов в легкие. Это исследование позволяет выявить очаги опухоли меньше 1 мм в диаметре. Более чувствительным и специфичным методом является только ПЭТ/КТ, но он меньше распространен, дороже и сложнее в применении.Для выявления мелких очагов лучше использовать спиральную компьютерную томографию. Чтобы определить метастазы в легкие, контрастное усиление не является обязательным, но может быть полезным для дифференцировки легочных сосудов и лимфоузлов при их вторичном поражении.
МЕТАСТАЗЫ В ЛЕГКИЕ: КЛАССИФИКАЦИЯ
Вторичные легочные узлы можно классифицировать по следующим критериям:
Способ распространения
Выделяют гематогенные метастазы, и лимфогенные метастазы, симптомы и прогноз при которых обычно хуже, чем при гематогенных. В первом случае опухолевые клетки попадают в ткань органа с током крови, во втором случае — с током лимфы, например, при раке молочной железы.
Выделяют также контактные метастазы, возникающие при непосредственном прорастании в легочную ткань рака пищевода, гортани, трахеи и других органов. Крайне редко встречаются аспирационные метастазы, возникающие при вдыхании частиц опухоли гортани, глотки, языка, полости носа или рта.
Сделать КТ грудной клетки в Санкт-Петербурге
Источник метастазирования
Наиболее часто в легкие метастазируют рак почки, скелета, молочной железы; встречаются также метастазы саркомы, семиномы. Не существует достоверных КТ-признаков, позволяющих уверенно отличить отсевы одного типа рака от другого — например, вторичный узел при саркоме от такового при раке молочной железы. Пожалуй, исключением являются редкие метастазы липосаркомы, которые имеют «жировую» плотность на компьютерных томограммах — в пределах -50…-100 единиц Хаунсфилда.
Частота метастазирования опухолей различной локализации в легкое (по данным Розенштрауха Р. В.)
| Первичная опухоль | Частота (%) |
| Хориоэпителиома | 55,4 |
| Рак почки | 34,7 |
| Остеосаркома | 32,3 |
| Семинома | 21,5 |
| Меланома кожи | 20,5 |
| Рак молочной железы | 15,7 |
| Рак легкого | 6,6 |
| Карцинома толстого кишечника | 5,6 |
| Рак матки, саркома матки | 4,2 |
| Рак желудка | 1,6 |


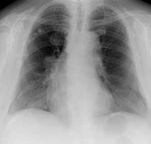
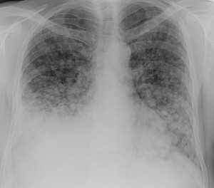
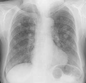
Метастазы в легких — фото рентгенограммы. Округлые тени — метастазы рака пищевода. Хорошо виден большой узел округлой формы вблизи переднего отрезка 2-го ребра. На снимке справа - циркулярное сужение пищевода за счет опухолевого утолщения его слизистой оболочки.


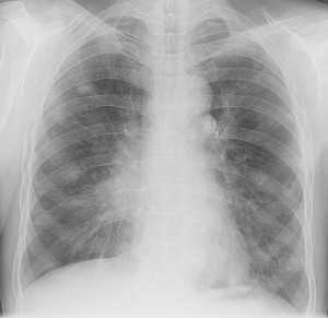
Как выглядят метастазы в легких на рентгене? Слева — узловые образования у пациента с раком яичка. Справа - метастазы рака яичников гематогенного характера с выраженным опухолевым лимфангиитом (обратите внимание на деформированный сетчатый, линейный характер легочного рисунка).
МЕТАСТАЗЫ В ЛЕГКИХ: КЛИНИЧЕСКИЕ СИМПТОМЫ И ПРИЗНАКИ
В подавляющем большинстве случаев вторичные опухоли протекают бессимптомно, по крайней мере, до тех пор, пока не произойдет прорастание в просвет бронха, в плевру, средостение, перикард или сосуды, метастазирование в лимфоузлы средостения. Пациенты предъявляют жалобы на симптомы раковой интоксикации, которые, впрочем, могут быть обусловлены также наличием первичной опухоли.
Одними из первых симптомов являются кашель, одышка, боли в грудной клетке. Наличие крови в мокроте - неблагоприятный признак, который свидетельствует о прорастании бронха опухолью.
Имеет место определенная зависимость между клиническими проявлениями и органной принадлежностью метастазов. Так, по данным Н. И. Рыбаковой, одышка была выявлена в 13% случаев, при этом у большинства пациенток была опухоль молочной железы.
Боли в груди могут быть ранним признаком при субплевральной локализации вторичных очагов.
Рак груди метастазирует лимфогенно в лимфатические узлы средостения, которые, увеличиваясь, нарушают кровообращение. Кроме этого, при раке груди часто возникает опухолевый плеврит. В совокупности эти факторы провоцируют развитие выраженной одышки.
КАК ПОНЯТЬ, ДЕЙСТВИТЕЛЬНО ЛИ В ЛЕГКИХ МЕТАСТАЗЫ?
Иногда дифференциальная диагностика вторичных поражений легких бывает очень сложной и требует глубоких знаний рентгенодиагностики органов грудной клетки. Наиболее профессионально этим занимаются в специализированных легочных учреждениях, например в Санкт-Петербургском НИИ фтизиопульмонологии. Поэтому при сомнениях в диагнозе врачи рекомендуют получить Второе мнение — повторное описание диска КТ, МРТ или рентгенографии с целью подтверждения или опровержения диагноза, а также более точной и детальной оценки изменений. Такую консультацию можно получить с помощью службы консультаций НТРС, которая объединяет известных врачей-диагностов из профильных центров России.
Ниже подробно рассматриваются лучевые признаки легочных метастазов.
КТ-ПРИЗНАКИ МЕТАСТАЗОВ В ЛЕГКИЕ
Метастазы чаще всего представлены узловыми образованиями в легочной ткани вне строгой связи с легочными артериями или венами. Для них характерны следующие КТ-признаки:
Вторичные узлы гематогенного характера чаще всего имеют ровные края, четкие контуры и однородную структуру. Возможны изменения структуры опухоли вследствие кровоизлияния в паренхиму, обызвествлений, некроза центральной части узла, а также рубцов. Края узла могут стать нечеткими, расплывчатыми, если опухоль провоцирует отек легочной паренхимы, либо «лучистыми», если имеет место опухолевый лимфангиит.


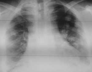
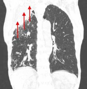
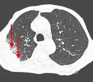
Слева - рак почки с метастазами в легкие, прогноз в данном случае неблагоприятный ввиду метастатического плеврита и дыхательной недостаточности. Определяются очаги с обеих сторон. Справа - мелко- и среднеочаговая диссеминация при раке печени.

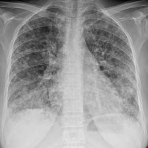
Множественные гематогенные вторичные узлы при раке почки, компьютерная томография (КТ).
Лимфогенные метастазы на рентгене и КТ выглядят как множественные мелкие очаги с диссеминированным распространением, локализованные в междольковых перегородках, в плевральных листках. Вокруг можно видеть характерную картину ракового лимфангиита. Кроме того, практически всегда выявляются патологически измененные и увеличенные лимфатические узлы средостения. Лимфогенное метастазирование необходимо дифференцировать с милиарным туберкулезом, саркоидозом. Иногда это требует привлечения Второго мнения.


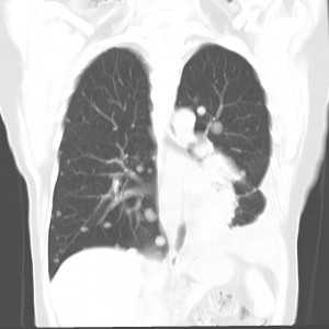
КТ: метастазы в легких при раке молочной железы. На изображении справа красной звездочкой отмечен опухолевый узел в молочной железе, красными стрелками - область прорастания опухоли в грудную стенку. Синими звездочками отмечен карциноматозный плеврит — скопление жидкости в плевральной полости. Слева стрелкой отмечен вторичный узел.
Контактные метастазы представлены мягкотканным объемным образованием, прорастающим из сопредельного органа. Это может быть пищевод, трахея, гортань, реже опухоль исходит из плевры (мезотелиома), диафрагмы, ребер, позвонков.


Пример контактного распространения опухоли: мезотелиома плевры, прорастающая в верхнюю легочную долю и грудную стенку. Спиральная компьютерная томография (МСКТ).
Чаще всего метастазы выглядят как множественные очаги. Одиночные вторичные узлы крайне редки и встречаются меньше чем в 5% случаев. Чем больше узлов выявлено, тем выше вероятность их метастатической природы. Одиночный метастаз нужно дифференцировать с первичным раком, для этого обычно требуется тканевое исследование после оперативного вмешательства или биопсии.
Гематогенные метастазы наиболее часто локализуются в периферических отделах легких, вдали от крупных сосудисто-бронхиальных пучков, вблизи плевральной оболочки. При множественных поражениях гематогенного характера наблюдается тенденция к увеличению количества очагов в направлении «сверху-вниз». Чаще гематогенные метастазы расположены хаотично, вне четкой связи с бронхами и видимыми легочными сосудами. Практически не бывает такого, чтобы гематогенные вторичные узлы находились только с одной стороны, или занимали только одну долю или сегмент. При наличии такого распределения в первую очередь нужно думать о туберкулезе (верхние доли), множественных абсцессах и т. д.
Лимфогенные метастазы проявляются увеличением лимфатических узлов средостения в сочетании с мелкоочаговой диссеминацией с очагами до 2-3 мм в диаметре вблизи плевры и в междольковых перегородках, а также по ходу бронхов и сосудистых пучков.


Гематогенные метастазы саркомы мягких тканей бедра на КТ (справа) и рентгенограмме (слева).
Контактные метастазы обычно единичны и располагаются на границе с другими органами, реже со стороны диафрагмы.
Отдельно рассматриваются метастазы первичного рака легкого - гематогенного и лимфогенного характера. Гематогенные могут быть локализованы на стороне поражения или с обеих сторон. Лимфогенные — в лимфоузлах корня на стороне поражения, а также на противоположной стороне. Чем дальше расположены метастазы от основной опухоли, тем хуже прогноз.

Обратите внимание на увеличение и нарушение структуры корня правого легкого. Это центральный рак. Кроме того, выявлены очаговые тени в обоих легочных полях (гематогенное распространение), а также «лучи», идущие радиально от опухоли корня (лимфогенное распространение).
КАК ОТЛИЧИТЬ МЕТАСТАЗЫ В ЛЕГКИХ ОТ САРКОИДОЗА ИЛИ ТУБЕРКУЛЕЗА?
Крайне важно уметь отличить на КТ-изображениях метастазы в легких и следующие очаговые образования:
Первичными злокачественными опухолями
- первичным периферическим раком
- бронхиоло-альвеолярным раком
- лимфомой, саркомой Капоши
Доброкачественными опухолями
Гранулематозами
Воспалительными заболеваниями
- септической очаговой пневмонией и множественными абсцессами
Сосудистыми аномалиями
Нормальными анатомическими образованиями
Отличительные признаки гематогенных метастазов при компьютерной томографии (КТ)
Сделать КТ легких в Санкт-Петербурге
Василий Вишняков, врач-радиолог
Кандидат медицинских наук, член Европейского общества радиологов
2 комментария много:
Dorogoi Pavel! zdravstvuite. u menia takoi diletantni vopros k vam . u moego sina posle lechenia seminomi:bili sdelani dve operacii, pravaia orxeqtomia, potom ximioterapia BEP , potom nabludenie 3-x mesiachnoe,
posle, nabludenia okazalos odin limfouzel stal progressirovat a dva naoborot umenshilis. potom spomoshu
laparaskopii dlia diagnostiki udalili limfadenopatiu i sdelali imunohistologiu, kotori pokazal
opiat metastaz seminomi,i pozitivnie kletki razmnojenia 40%-ov. posle naznachili luchevuu terapiu
i cheraz dva mesiaca pozavchera sdelali kate. kate pokazal metastazi v liogkix i vseredinke
shei , a v jivote tishina , limfouzli unichtojilis.
za ves etot period nekogda v liogkix nichego ne bilo, bilo vsio chisto, i vse organi chistii v chom mi vo vremia lechenii dopustili oshibku, i mojno ili net, chtobi sdelali operaciu peresadki moegoego liogkogo,
moemu sinu, i u oboix budet odno liogkoe. ogromnoe spasibo zaranee
Диагностика метастаза в сердце и перикард на рентгене, КТ, МРТ, ПЭТ
Перикард наиболее часто вовлечен в процесс метастазирования - на его долю приходится 64-69% всех сердечных метастазов. Метастазирование опухоли в перикард может привести к перикардиту с последующим развитием серозно-геморрагического или геморрагического выпота. Достоверную диагностику перикардиальной жидкости обеспечивают современная эхокардиография (Эхо-КГ) и компьютерная томография (КТ) сердца. На ранних этапах метастазирования клетки рака обнаружить трудно, на поздних стадиях онкологического заболевания опухолевые клетки также удается обнаружить далеко не у всех пациентов, однако установление злокачественной природы выпота до появления его клинических признаков имеет большое значение для правильного выбора тактики лечения. В случае тампонады сердца проводят «лечебный» перикардиоцентез, при острых перикардитах с массивным перикардиальным выпотом и выпотах неясной этиологии показано проводить диагностический перикардиоцентез. Для установления природы выпота необходимо цитологическое исследование эвакуированной жидкости. В большинстве случаев для постановки диагноза бывает достаточным цитологического исследования перикардиального выпота без исследования биоптата. В статье приведены два клинических случая метастазирования различных опухолей в перикард с развитием угрозы тампонады сердца.
Ключевые слова: метастатическое поражение, перикард, тампонада сердца, цитологическое исследование.
Metastatic tumors of the pericardium (clinical cases)
Nikolenko L.A. 1 , Alyokhin D.I. 2 , Nikolenko E.S. 2
1 «Federal Center of Cardiovascular Surgery», Chelyabinsk
2 «South Ural State Medical University», Chelyabinsk
Pericardium is most often involved in the metastasis process, accounting for 64-69% of all cardiac metastases. Dissemination of the tumor in the pericardium can lead to pericarditis, followed by the development of serous-hemorrhagic or hemorrhagic effusion. A reliable diagnosis of pericardial fluid is provided by modern echocardiography and computed tomography (CT) of the heart. In the early stages of metastasis, it is difficult to detect cancer cells; in later stages of cancer, tumor cells can be detected in not all the patients, however, the establishment of a malignant nature of effusion prior to the appearance of its clinical signs is of great importance for the correct choice of treatment tactics. In the case of cardiac tamponade, a "therapeutic" pericardiocentesis is performed, in acute pericarditis with massive pericardial effusion and effusions of unclear etiology, a "diagnostic" pericardiocentesis is indicated. To determine the nature of the effusion, a cytological study of the evacuated fluid is necessary. In most cases, a cytologic examination of pericardial effusion without a biopsy specimen is sufficient to establish a diagnosis. The article presents two clinical cases of metastasis of various tumors in the pericardium with the development of the threat of cardiac tamponade.
Key words: metastatic lesion, pericardium, cardiac tamponade, cytological examination.
For citation: Nikolenko L.A., Alyokhin D.I., Nikolenko E.S. Metastatic tumors of the pericardium (clinical cases) // RMJ. 2017. № 14. P. 1077-1079.
Для цитирования: Метастатические опухоли перикарда (клинические случаи). РМЖ. Медицинское обозрение. 2017;25(14):1077-1079.
Представлен клинический случай метастатической опухоли перикарда
Список литературы Свернуть Развернуть
1. Yusuf S.W., Bathina J.D., Qureshi S. et al. Cardiac tumors in a tertiary care cancer hospital: clinical features, echocardiographic findings, treatment and outcomes // Heart Int. 2012.Vol. 7. P. e4.
2. Bussani R., De Glorgio D., Abbate A., Silvestri F. Cardiac metastases // J Clin Pathol. 2007. Vol. 60. P. 27-34.
3. Butany J., Leong S.W., Carmichael K., Komeda M. 30-year analysis of cardiac neoplasms at autopsy // Can J Cardiol. 2005. Vol. 21. P. 675-680.
4. Шуйкова К.В., Емелина Е.И., Генделин Г.Е., Сторожаков Г.И. и др. Метастатическое поражение сердца у пациента с анапластической крупноклеточной лимфомой (описание случая и обзор литературы) // Клин. онкогематология. 2010. Т. 3. № 10. С. 262-268 [Shujkova K.V., Emelina E.I., Gendelin G.E., Storozhakov G.I. i dr. Metastaticheskoe porazhenie serdca u pacienta s anaplasticheskoj krupnokletochnoj limfomoj (opisanie sluchaja i obzor literatury) // Klin. Onkogematologija. 2010. T. 3. № 10. S. 262-268 (in Russian)].
5. Долгов В.В., Шабалова И.П., Миронова И.И., Джангирова Т.В., Коротаев А.Л. Выпотные жидкости. Лабораторное исследование. М. - Тверь: Триада, 2006. 161 с. [Dolgov V.V., Shabalova I.P., Mironova I.I., Dzhangirova T.V., Korotaev A.L. Vypotnye zhidkosti. Laboratornoe issledovanie. M. - Tver': Triada, 2006. 161 s. (in Russian)].
6. Aaron D. Goldberg, Ron Blankstein and Robert F. Padera Tumors Metastatic to the Heart // Circulation. 2013. Vol. 128. P. 1790-1794.
7. Глузман Д.Ф. Диагностическая иммуноцитохимия опухолей. Киев: Морион, 2003. 156 с. [Gluzman D.F. Diagnosticheskaja immunocitohimija opuholej. Kiev: Morion, 2003. 156 s. (in Russian)].
Контент доступен под лицензией Creative Commons «Attribution» («Атрибуция») 4.0 Всемирная.
Диагностика рака легких ПЭТ-КТ
Рак легкого является ведущей причиной смерти от рака во всем мире и обусловливает 1,59 миллионов смертей в год. Несмотря на прогресс, достигнутый в лечении пациентов, страдающих этой болезнью, пятилетняя выживаемость все еще остается невысокой, составляя приблизительно 15-16%. Основным фактором риска развития рака является табакокурение, повышающим вероятность его возникновения более чем в десять раз по сравнению с некурящими людьми. Другими состояниями, при которых повышен развития новообразования, являются идиопатический легочный фиброз и воздействие канцерогенов, например, асбеста.
Правильное определение стадии является крайне важным и необходимым моментом, позволяющим правильно спланировать лечение и оценить выживаемость. У больных раком легких является методом выбора при определении стадии опухоли, более эффективным, чем другие лучевые методы, такие как КТ или рентгенография. Благодаря возможности одновременной оценки анатомических и функциональных изменений, ПЭТ-КТ позволяет добиться большей точности по сравнению с ПЭТ и КТ в отдельности.
Этот метод диагностики позволяет более четко определить первичную опухоль, отличить опухолевую ткань от участков ателектаза и фиброзных изменений, расположенных рядом. Доказана высокая эффективность в оценке состояния лимфоузлов, а также обнаружения отдаленных метастазов. Также была подтверждена ценность этого метода как инструмента прогнозирования выживаемости путем оценки метаболизма в опухоли при первичном исследовании и в определении раннего (промежуточного) и завершающего ответа на химиотерапию. В последних литературных источниках этот метод был упомянут как рекомендуемый с экономической точки зрения.
Что такое ПЭТ-КТ?
Стадии рака легкого
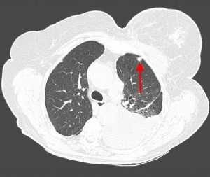
В первичном обследовании пациента, страдающего раком легкого, должны принимать участие несколько специалистов: опытный рентгенолог, специалист по ядерной медицине (радионуклидным методам — сцинтиграфии и ПЭТ), рентгенохирург (специалист в области интервенционной радиологии), пульмонолог, торакальный хирург; необходимо также использовать точные и экономически эффективные методы диагностики. Существующие на данный момент руководства содержат рекомендации, что методы нужно выполнять любому пациенту, у которого имеется высокий риск рака, предпочтительно с выполнением гистологического исследования и взятием образцов ткани. Это позволяет не только установить точный гистологический вариант опухоли, но и правильно стадировать заболевание. Во многих случаях предпочтительнее выполнить биопсию подозрительных лимфоузлов средостения, а не первичной опухоли, что позволяет лучше оценить стадию (например, при биопсии лимофузла с выполнением ПЭТ ставится стадия T2N2, в то время как без ее использования - T2Nx). Кроме того, для опухолей, осложненных обструктивной пневмонией, и образований с выраженными некротическими изменениями, данные играют важную роль для определения области биопсии.

Опухоль левого легкого с частичным некрозом и деструкцией ребер. Визуализируются два метастаза в подключичных лимфоузлах и в мышцах (стрелки), которые на КТ не видны. Необходимо выполнить трансторакальную биопсию той части опухоли, которая расположена в периферических отделах, чтобы получить образец жизнеспособных тканей.
Варианты рака легкого
Остальные 10-15% случаев обусловлены мелкоклеточным раком, биологически более агрессивным, при котором стадирование, лечение и прогноз отличаются от таковых при немелкоклеточном раке. Этот тип рака очень тесно связан с курением. Выделяют две стадии заболевания: ограниченную, при которой опухоль располагается в половине грудной клетки на стороне поражения, в том числе в средостении и ипсилатеральной надключичной области; и распространенную, когда опухоль распространяется за пределы одной половины грудной клетки. Поскольку мелкоклеточный рак легочной ткани в корне отличается от немелкоклеточного, его диагностика при помощи будет обсуждаться в специально отведенной главе в конце этой статьи.
Визуализация первичной опухоли: Т-стадия
С помощью КТ можно достоверно оценить размер опухоли практически во всех случаях. Тем не менее, при наличии обусловленных опухолью осложнений, например, ателектаза легкого или обструктивной пневмонии, истинный размер первичной опухоли оценить сложнее. Позволяет отличить паренхиму спавшегося участка легочной ткани от злокачественной опухоли, т. к. опухоль характеризуется интенсивным захватом ФДГ, а спавшееся легкое — нет. Также он помогает оценить опухолевую инвазию (прорастание) в плевру и средостение. Накопление плеврой ФДГ всегда является патологическим, и при наличии новообразования органов дыхания крайне подозрительно на метастатическое поражение. При прорастании опухоли в средостение необходимо выполнять КТ с внутривенным введением йодсодержащего контрастного вещества с целью определения взаимоотношения опухоли, крупных кровеносных сосудов и перикарда.
Интенсивный захват ФДГ первичной опухолью обусловлен ее биологическим типом и степенью «агрессивности» опухолевых клеток; повышенный захват ФДГ может становиться прогностическим фактором рецидива. В исследовании Kim et al. была продемонстрирована группа пациентов, подвергшихся оперативному вмешательству по поводу новообразований легких, у которых при патологическом исследовании была установлена стадия N0. У пациентов, у которых возник рецидив опухоли, максимальный стандартизированный уровень накопления (SUV max) первичной опухолью легкого был выше, чем у пациентов, у которых рецидива не было. Пороговое значение SUV max, отделяющее пациентов с высоким уровнем рецидива, было определено равным 6,9. Было также сделано заключение, что для пациентов высокой группы риска по развитию рецидива предпочтительна изначально более «агрессивная» терапия. Таким образом, помогает точно спрогнозировать, как будет вести себя опухоль после лечения.
ПЭТ-КТ лимфоузлов: N-стадия
С помощью ПЭТ можно обнаружить метастатическое поражение лимфоузлов корней легких и средостения лучше, чем с помощью любого другого метода, так как метаболически активные лимфоузлы при ПЭТ-КТ, даже малого размера, характеризуются повышенным захватом ФДГ. Это справедливо и для тех случаев, когда морфологические признаки злокачественного поражения узлов могут не обнаруживаться на КТ-изображениях. Также метод позволяет оценить увеличенные лимфоузлы, не накапливающие или минимально накапливающие радиофармпрепарат, которые часто носят реактивный характер или отражают остаточные изменения в отсутствие опухолевого поражения. При определении стадии N чувствительность составляет 81% против 61% у КТ, и специфичность 90%, в то время как КТ характеризуется специфичностью 79%.
Наибольшее преимущество в оценке средостения — это возможность исключить злокачественное поражение любого лимфоузла с высокой степенью точности. То есть, отсутствие интенсивного захвата ФДГ лимфоузлом достоверно говорит об истинном отсутствии метастазов (прогностическое значение отрицательного результата равно 99%). В то же время не все лимфоузлы средостения, характеризующиеся повышенным метаболизмом, обязательно являются злокачественными; ложноположительный результат может быть обусловлен воспалительными изменениями. Это объясняет, почему изменения со стороны средостения должны оцениваться количественно с использованием SUV (стандартизированного уровня накопления). Пороговое значение SUV max в пределах 4,0-5,3 позволяет рассматривать изменения со стороны лимфоузлов средостения как положительные (то есть, метастатическое поражение есть).
Лучшее картирование лимфоузлов средостения позволяет избежать медиастиноскопии, ограничившись трансбронхиальной игольной аспирацией под контролем УЗИ, особенно в труднодоступных областях, таких как аортопульмональное окно или область, находящаяся позади бифуркации трахеи.
Особенное значение в стадировании поражения лимфатических узлов имеет на ранних стадиях заболевания (I и II), что позволяет избежать ненужной торакотомии.
Оценка метастазов: M-стадия
У 40-50% пациентов, страдающих раком органов дыхания, в момент установления диагноза присутствуют метастазы. Наличие отдаленных метастазов в корне меняет план лечения этих пациентов, делая оперативное вмешательство намного более сложным, что приводит к гораздо более неблагоприятному прогнозу. ПЭТ-КТ имеет неоспоримые преимущества в диагностике метастазов по сравнению с традиционными методами исследования, особенно в случаях одновременного метастатического поражения множества органов, часто без какой-то определенной локализации вследствие диссеминации процесса. Повышенное накопление ФДГ в метастазах рака легкого и возможность исследования всего тела делают методом выбора при выявлении метастазов (вне головного мозга). Также метод позволяет выявить отдаленные метастазы, о которых до проведения исследования ничего не было известно, вплоть до 30% всех случаев.
Самые частые вторичные изменения при раке легкого - метастазы в кости, которые имеют место у 8-27% пациентов на момент установления диагноза. Вторичные изменения костей лучше обнаруживаются при помощи ПЭТ, чем при использовании других методов диагностики. Так, больше чем в половине случаев костных метастазов поражается только костный мозг и не происходит существенного нарушения костной структуры, из-за чего при помощи рентгенографии и КТ их не удается обнаружить, и даже сцинтиграфия скелета с использованием метилендифосфоната Tc-99m оказывается малоспецифичной при обнаружении этого типа поражений. Метастазы в кости могут иметь исключительно литический характер и интенсивно накапливать ФДГ, но в то же время гиперфиксация препарата в очагах поражения может и не определяться.

Типы метастазов в кости при раке легкого. (a) Остеобластический. (b) Остеолитический. (c) Смешанный. (d) Поражение костного мозга.
У пациентов, страдающих раком легкого, часто возникают метастазы в органы брюшной полости. Чаще всего поражаются печень и надпочечники. Поскольку также могут встречаться доброкачественные изменения печени и надпочечников, необходимо использовать диагностические методы, позволяющие распознать их и отличить от метастазов. В случаях изменений со стороны надпочечников, умеренное или выраженное накопление ФДГ обладает высокой прогностической ценностью положительного результата для метастазов. Чувствительность и специфичность ПЭТ с использованием SUV (стандартизированного уровня накопления) в целом в популяции составляет 87% и 87%, в то время как у пациентов с раком легкого 94% и 82% соответственно. Лучшим пороговым значением SUV max, позволяющим дифференцировать злокачественные и доброкачественные поражения, по-видимому, является 2,5.
В случаях метастазов в печень, практически все доброкачественные поражения (кисты, гемангиомы, фокальная нодулярная гиперплазия) характеризуются меньшим или идентичным по сравнению с паренхимой печени уровнем накопления ФДГ. Любой узел, любые объемные образования, накапливающие ФДГ интенсивнее, чем нормальная паренхима печени, крайне подозрительны на злокачественные изменения.
Метастазы в печени при аденокарциноме правого легкого. Определяется один метастаз в печени, который не виден на КТ с контрастным усилением.
Для обнаружения метастазов в надпочечники, почки и кости, в случаях, когда невозможно проведение, приемлемой альтернативой является МРТ всего тела с выполнением программы DWI. Позволяет оценить метастазы в областях, изменения в которых не стадируются при традиционных методах диагностики, например, в коже, скелетных мышцах, мягких тканях, поджелудочной железе, почках.
Второе мнение по ПЭТ-КТ
Необходимым условием достоверного определения стадии злокачественного новообразования является правильная оценка результатов ПЭТ-исследования. При неоднозначных или противоречивых результатах рекомендуется получить второе мнение специализированного радиолога. Повторный экспертный анализ исследования в профильном центре позволяет избежать ошибки интерпретации снимков, сделать более обоснованные выводы о стадии процесса, наличии или отсутствии метастазов, вторичных очагов в лимфатических узлов. Это исключительно важно и планировании тактики операции, химио- и лучевого лечения.
Стадирование метастазов в головной мозг
Даже несмотря на то, что вторичные изменения головного мозга не так часто встречаются у пациентов с раковыми опухолями легких, они имеют большое значение, поскольку их наличие приводит к высокому уровню заболеваемости и смертности, чего в некоторых случаях можно избежать или минимизировать путем подбора соответствующего лечения. Поскольку головной мозг характеризуется высоким базовым метаболизмом глюкозы, вторичные очаги в нем могут быть замаскированы, а чувствительность ПЭТ-исследования в обнаружении метастазов - ограничена. В связи с этим, в соответствии с существующими на данный момент протоколами рекомендуется дополнительное использование МРТ. В случаях, когда провести МРТ невозможно, можно сделать КТ с внутривенным контрастным усилением. Это дает схожие результаты с МРТ головного мозга.
Одновременное присутствие легочной и внелегочной опухоли
У 1-8% пациентов, страдающих раком легкого, на момент установления диагноза обнаруживается рак иной локализации. Большинство этих новообразований также тесно связаны с табакокурением. И, действительно, у 6,5% хронических курильщиков, которым была выставлена та или иная стадия рака любого типа, на момент установления диагноза обнаруживался одновременно существующий рак других органов и систем.
В случаях множественного рака используемые диагностические критерии являются следующими:
- Оба очага гистологически различны.
- Гистологический тип один и тот же, но нет поражения лимфоузлов и экстраторакальных метастазов.
На основании этих критериев, частота синхронного множественного рака легкого, описанная в литературе, составляет 0,5-3,3%. Наиболее часто одновременно существующие раковые опухоли, обнаруживаемые у пациентов, страдающих раком легкого, располагается в молочных железах, в голове и шее, пищеводе и щитовидной железе. Более чем 80% этих синхронных поражений обнаруживаются на ранней стадии, что предполагает возможность лечения, устраняющего причину заболевания. Тем не менее, возможность лечения в значительной степени зависит от того, насколько далеко зашла раковая опухоль на момент установления диагноза.
ПЭТ-КТ: планирование лучевой терапии
Возможность ПЭТ различить метаболически активную ткань опухоли от ателектаза, обструктивной пневмонии или фиброзных изменений имеет решающее значение в определении объема опухоли. Это очень полезно при планировании лучевой терапии, так как позволяет скорректировать форму и размер облучаемого объема тканей и уменьшить степень облучения непораженных опухолью органов (например, пищевода, сердца, спинного мозга), находящихся вблизи опухоли. Кроме того, использование ПЭТ значительно изменяет поле облучения по сравнению с КТ. Так, использование ПЭТ в дополнение к традиционным методам диагностики приводило к изменению объема облучаемых тканей более чем у 20% пациентов, и изменение стадии происходило в 20-50% случаев. В различных источниках описывается, что изменения планируемого целевого объема достигают 50% у пациентов с немелкоклеточным раком.
Контроль лечения и прогноз рака легкого
Наиболее важный прогностический фактор опухоли, подвергаемой хирургическому лечению — это степень ее диссеминации на время установления диагноза. В случает отсутствия метастазов пятилетняя выживаемость равна 57-67%; в случае вторичного поражения лимфоузлов ворот легкого — 47% , при поражении лимфоузлов средостения на стороне, противоположной опухоли — 23%. Обнаружение отдаленных метастазов является одним из основных критериев невозможности удаления опухоли хирургическим путем. Ввиду важности изложенных фактов особое значение принимает второе мнение по ПЭТ.
Читайте также:
- Гипонатриемия при гемодинамической недостаточности сердца. Избыток воды
- Острый диссеминированный энцефаломиелит (ОДЭМ) у детей
- Обсессии, компульсии, фобии, страхи, ипохондрические опасения у пациента
- Как уберечь ребенка от гриппа без прививки? Профилактика гриппа у детей
- Дефицит витаминов и заболевания спинного мозга. Диагнсотика дефицита витаминов.
