Диагностика метастазов в череп и мозговые оболочки по КТ, МРТ
Добавил пользователь Евгений Кузнецов Обновлено: 28.01.2026
Метастазы в головной мозг (по данным Б. В. Гайдара, Т. Е. Рамешвили и др.) составляют до 40% всех опухолей, возникающих внутри полости черепа.
Сделать МРТ головного мозга в Санкт-Петербурге
ИСТОЧНИК МЕТАСТАЗОВ В ГОЛОВНОЙ МОЗГ
В головной мозг обычно распространяются злокачественные новообразования почек, легких, молочной железы, щитовидной железы, реже — новообразования мочевого пузыря, яичников и простаты. Самая частая ситуация — рак легкого с метастазами в головной мозг. Также склонность к распространению в полость черепа имеют меланомы, практически никогда не метастазируют саркомы. Примерно в 7,8% случаев определить первичную опухоль не представляется возможным.
Частота метастазирования различных опухолей в головной мозг (Б. В. Гайдар, Т. Е. Рамешвили)
| Локализация опухоли | Частота метастазирования |
| Аденокарцинома бронха | 50% |
| Рак молочной железы | 15% |
| Меланома | 10,5% |
| Опухоли органов брюшной полости и таза | 9,5% |
ЛОКАЛИЗАЦИЯ МЕТАСТАЗОВ В ГОЛОВНОЙ МОЗГ
Существуют разные типы расположения вторичных опухолей в полости черепа. Эти типы зависят от того, какие именно структуры поражены. Опухоли метастазируют:
1) В кости черепа
2) В твердую мозговую оболочку. Такой тип распределения вторичных опухолей характерен больше всего для аденокарциномы предстательной железы, светлоклеточного рака почки, меланомы.
3) В мягкую оболочку мозга (синонимы: карциноматозный менингит, карциноматоз мягкой оболочки мозга). Опухоли, чаще всего метастазирующие в мягкую мозговую оболочку: аденокарцинома бронха, молочной железы, желудка
4) Метастазы собственно в головной мозг, в паренхиму головного мозга.
- 80% всех вторичных опухолей локализуются в полушариях мозга
- 15% в мозжечке
- 5% в мозговом стволе
МЕХАНИЗМ РАСПРОСТРАНЕНИЯ ОПУХОЛЕЙ В МОЗГ
Существуют несколько путей распространения раковых клеток по организму. Чаще всего распространение опухоли происходит гематогенным путем (через артериальные кровеносные сосуды). Обычно вторичные опухоли происходят из внутрилегочных узлов (причем, это может быть и первичный рак, и метастаз в легкое). Реже происходит распространение опухолей позвоночника через венозную систему позвонков.
Большое значение в распространении опухолевого поражения имеет спинномозговая жидкость (ликворный путь). Таким образом метастазируют первичные опухоли спинного и головного мозга (медуллобластома, глиболастома, пинеобластома). Возможно также контактное распространение метастатической опухоли по мозговым оболочкам. В некоторых случаях встречается и лимфогенный путь распространения.
КЛИНИЧЕСКИЕ ПРОЯВЛЕНИЯ МЕТАСТАЗОВ В ГОЛОВНОЙ МОЗГ
Симптомы при метастазах в головном мозге может быть аналогичны таковым при первичных опухолях, выраженность симптоматики зависит от размера, локализации и количества метастазов, а также от типа их роста, сдавления окружающих мозговых структур, выраженности отека мозговой ткани и т. д.
Наиболее частые симптомы метастазов в головной мозг:
- Парезы и параличи
- Нарушение речи
- Нарушения сознания (помрачнение или отсутствие)
- Судороги (генерализованные или локальные)
- Нарушение психических функций
КТ-ПРИЗНАКИ МЕТАСТАЗОВ В ГОЛОВНОЙ МОЗГ
Как выглядят метастазы в головной мозг на компьютерной томографии (КТ)? Практически во всех случаях выявляется единичное (реже) либо множественные (чаще) объемные образования, которые отвечают следующим параметрам:
- Форма неправильная или сферическая
- Структура неоднородная, в центре очага может обнаруживаться область низкой плотности, обусловленная некрозом и распадом центральной части опухоли. По периферии — более плотный «ободок», который отражает активную часть опухоли, имеющую кровеносные сосуды и обладающую способностью к росту. Этот «ободок» окружен зоной низкой плотности, отражающей отек ткани мозга. Ширина данной зоны может быть различной — от нескольких мм до нескольких десятков см. Относительно однородная структура без наличия участка низкой плотности в центре и без перифокального отека. Такая структура метастаза свидетельствует о его относительной «доброкачественности»
- Отношение к прилежащим мозговым структурам. Очаги могут оказывать объемное воздействие различной степени выраженности на прилежащие отделы мозга, вызывая их смещение. Например, объемное образование в височной доле чаще всего приводит к выбуханию гиппокампа под намет мозжечка (височно-тенториальная дислокация), объемное образование мозжечка может воздействовать на мозговой ствол, приводя к его сдавлению, и т. д. Смерть при метастазах в мозг может наступить в результате сдавления мозгового ствола и нарушения дыхания и сердечной деятельности. В зависимости от локализации, вторичные очаги могут приводить к сдавлению церебральной ликворной системы, приводя к развитию окклюзионной гидроцефалии (резкому расширению центральных ликворных пространств на фоне повышения внутримозгового давления при окклюзии путей оттока ликвора из полости черепа)
- Тип роста. Метастазы могут обладать инфильтративным типом роста (расти, разрушая окружающие ткани) и экспансивным типом (расти, раздвигая окружающие ткани). В первом случае они чаще всего дают осложнения в виде кровоизлияния, то во втором обычно обуславливают возникновение дислокаций.
- Параметры контрастного усиления. Типичные вторичные опухоли в головном мозге увеличивают свою плотность в периферических отделах при внутривенном введении контраста, принимая вид «кольца», «полукольца», «спирали». Гораздо реже наблюдается равномерное контрастное усиление очага. Обычно центральная зона опухоли не усиливается, как и область перифокального отека.




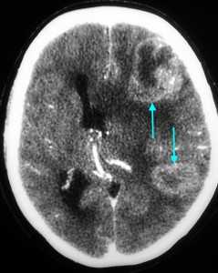
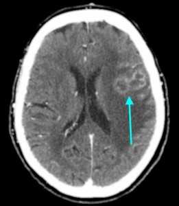
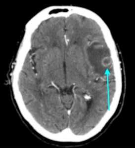
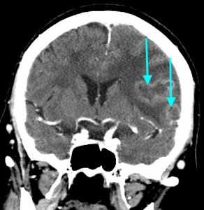
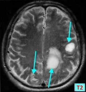
Метастазы головного мозга, фото. На КТ с контрастным усилением у пожилой пациентки (в верхнем ряду слева) с жалобами на головные боли выявлены множественные объемные образования в левом полушарии мозга, интенсивно накапливающие контрастное вещество. Образования имеют характерную форму в виде «кольца». На изображениях в нижнем ряду и вверху справа определяются множественные очаги в головном мозге: отчетливо видны округлые образования с более плотным «ободком» по периферии, располагающиеся в левой теменной доле.
МРТ-признаки метастазов в мозг
МРТ — более чувствительный и специфичный метод в выявлении метастазов ЦНС по сравнению с компьютерной томографией. Вторичные опухоли имеют ряд общих черт при МР-исследовании.
Т1 ВИ (без контрастного усиления)
- Изоинтенсивный либо умеренно гипоинтенсивный сигнал по отношению к белому веществу мозга от активной части опухоли
- Гипоинтенсивный сигнал от центральной зоны (некроза и распада)
Т2 ВИ
- Гиперинтенсивный сигнал от центрального участка метастаза
- Повышение интенсивности сигнала от отечных тканей мозга, окружающих вторичную опухоль, вследствие чего метастазы становятся более четкими на изображениях
МРТ с контрастным усилением
- Выраженное увеличение интенсивности сигнала
- Усиление сигнала по периферии в виде «кольца» или «короны»
- Помогает дифференцировать кровоизлияиния в метастаз от геморрагического инсульта (выраженное усиление сигнала на Т1 ВИ)


Метастазы головного мозга на МРТ. Фото. Определяются множественные метастазы в мозг при раке легкого: слева в режиме Т1-ВИ в виде гипоинтенсивных образований, справа — в режиме Т2-ВИ виде множественных участков повышенного сигнала, окруженных зоной перифокального отека. У пациента подтверждена первичная опухоль легкого.
Отдельно необходимо рассмотреть МР-признаки метастазов меланомы в головной мозг, которые обладают сигнальными характеристиками, отличающимися от других опухолей вследствие наличия меланина в структуре. Метастазы безамилоидной меланомы выглядят на МРТ аналогично метастазам других опухолей, описанным выше. На Т1-ВИ они имеют резко гиперинтенсивный (высокий, яркий) сигнал, а наТ2-ВИ — изо- либо гипоинтенсивный (пониженный) сигнал.
Позитронно-эмиссионная томография (ПЭТ) в диагностике вторичных опухолей ЦНС
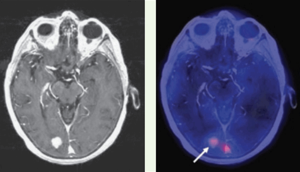
Типичная картина вторичных очагов в головной мозг при ПЭТ — наличие зон повышенного захвата радиофармпрепарата (ФДГ — фтордезоксиглюкоза, либо препаратов меченых аминокислот, таких как метионин) с наличием очагов некроза, протяженных зон отека со сниженным захватом ФДГ.

Как выглядят метастазы на ПЭТ-КТ? Здесь виден опухолевый очаг в правой затылочной доле, значительно накапливающий РФП (меченный радиоактивным фтором метионин). ПЭТ-КТ — метод, признанный «золотым стандартом» не только в выявлении метастазов в мозг, но и позволяющий достоверно отличить их от других образований (кисты, абсцессы, гематомы, каверномы и т.п.). От тщательного анализа ПЭТ зависит результат диагностики.
ДИФФЕРЕНЦИАЛЬНАЯ ДИАГНОСТИКА МЕТАСТАЗОВ В ГОЛОВНОЙ МОЗГ
Одиночные метастазы необходимо отличать от абсцесса, паразитарной кисты, первичной опухоли мозга, лакунарного ишемического инсульта, геморрагического инсульта, рассеянного склероза при обострении процесса. С этой целью необходимо принимать во внимание анамнез заболевания, наличие первичной опухоли другого органа, а также данные методов лучевой диагностики. На первый план выходит не только качество аппаратуры, но профессионализм рентгенолога, оценивающего снимки. Иногда отличить метастазы мозга от других образований бывает сложно, поэтому приходится прибегать к помощи Второго мнения.
ПРОГНОЗ И ПРОДОЛЖИТЕЛЬНОСТЬ ЖИЗНИ У ПАЦИЕНТОВ С МЕТАСТАЗАМИ В ГОЛОВНОЙ МОЗГ
В целом, прогноз при выявлении метастазов в головной мозг является неблагоприятным. Тот факт, сколько живут пациенты с метастазами в головном мозге, во многом зависит от наличия острой симптоматики, обусловленной следующими моментами:
- Сдавление, дислокации и вклинения структур головного мозга
- Вторичный ишемический инсульт либо кровоизлияние
- Перекрытие путей оттока ликвора и развитие внутричерепной гипертензии
- Прорастание в оболочки мозга и кости
- Прорастание опухоли в сосуды мозга
При наличии хотя бы одного из состояний, перечисленных выше, возникает значительный риск для жизни пациента. Наоборот, при отсутствии осложнений, продолжительность жизни даже при наличии метастазов в мозге может быть достаточно длительной и достигать нескольких лет.
МЕТАСТАЗЫ ГОЛОВНОГО МОЗГА — ЛЕЧЕНИЕ
Как лечить метастазы в головной мозг?
1) Хирургическое лечение — удаления образования из ткани мозга может быть показано в случае одиночной опухоли. Решение о том, прибегать или нет к такому лечению, принимает только нейрохирург.
2) Химиотерапия. Адекватно подобранное химиолечение способно значительно увеличить продолжиьтельность жизни даже при отсутствии радикального удаления опухоли. Тип выбранного препарата зависит от гистологического типа первичной опухоли и подбирается химиотерапевтом.
3) Облучение головного мозга при метастазах дает хорошие результаты при наличии хорошей аппаратуры и отсутствии противопоказаний. Вариантами лучевой терапии являются кибернож и гамма-нож. Фактически, здесь речь идет о лучевой хирургии: направленный пучок излучения разрушает патологическую ткань. Показания к этому методу определяются совместно лучевым терапевтом и нейрохирургом.
ВТОРОЕ МНЕНИЕ
Повторная расшифровка результатов КТ или МРТ при метастазах имеет смысл при сомнениях в диагнозе, при необходимости экспертной оценки, при выборе специализированного лечения. Консультирование снимков специализированными рентгенологами в сложных или онкологических случаях стало частью дорогостоящего лечения за рубежом. В России действует Национальная телерадиологическая сеть — служба удаленных консультаций ведущих диагностов, с помощью которой можно получить альтернативное заключение по исследованию (КТ, МРТ или ПЭТ).
Василий Вишняков, врач-радиолог
Менингиомы головного мозга
Менингиомы являются наиболее часто обнаруживаемыми внутричерепными опухолями. Они представляют собой примерно 38% всех внутричерепных опухолей у женщин и 20% — у мужчин. Они чаще встречаются у женщин, чем у мужчин, и обычно диагностируются у лиц старше 30 лет.
Развитие методов визуализации, таких как компьютерная томография (КТ) и магнитно-резонансная томография (МРТ) улучшило возможности предварительной оценки успеха операционного лечения, то есть полного удаления опухоли. Методы визуализации позволяют получить информацию о месте прикрепления опухоли к твердой мозговой оболочке, локализации и тяжести отека, смещении жизненно важных нейро-сосудистых структур, что требуется для планирования оперативного лечения, а также определяет исход лечения.
Всемирная организация здравоохранения (ВОЗ) подразделяет менингиомы на 3 большие категории, включающие 15 подтипов:
Нейрорадиологи и нейрохирурги должны быть готовы к тому, что иногда выглядят на КТ и МРТ нетипичным образом, что может быть связано с различными гистологическими подтипами опухоли.
Атипичные и злокачественные гистологические типы опухолей, а также опухоли с гетерогенным характером контрастирования на КТ отличаются большей вероятностью рецидивирования. Развиваются из паутинной мозговой оболочки, в частности, из менинготелиальных клеток. Большинство растут в сторону мозговой ткани и представляют собой отграниченные образования округлой или дольчатой формы, четкого контура и с основанием на твердой мозговой оболочке. Плоские опухоли, т.н. en plaque , инфильтрируют твердую мозговую оболочку и растут в виде тонкого листа или бляшки на протяжении твердой мозговой оболочки свода черепа, серпа или намета мозжечка. Место прикрепления к твердой мозговой оболочке может выглядеть в виде относительно тонкой ножки или, наоборот, широкого основания. Поскольку мягкая и паутинная мозговые оболочки формируют мембранный барьер между опухолью и тканью головного мозга, некоторые растут в сторону подпаутинного пространства, но инвазивный рост в ткань головного мозга наблюдается нечасто.
Диагностика менингиомы
МРТ считается предпочтительным методом исследования для диагностики менингиом и их последующего наблюдения. МРТ позволяет с большой точностью обнаружить менингиомы типа en plaque или задней черепной ямки, которые легко пропустить при КТ. Исторически у КТ есть ряд ограничений в осуществлении снимков в любых других проекциях, кроме аксиальной. Тем не менее, современная спиральная КТ, или мультидетекторная КТ (МДКТ/МСКТ), позволяют значительно улучшить качество сагиттальных и корональных изображений, получаемых на основании аксиального снимка. По сравнению с МРТ, на КТ труднее различить различные варианты строения мягких тканей.

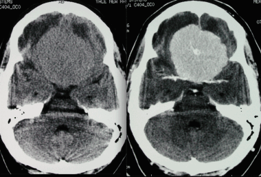
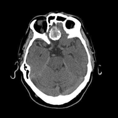
Менингиома лобной доли: КТ-картина. После введения контрастного вещества виден характерный вид «колеса со спицами» в структуре слабо контрастируемой опухоли. Несмотря на то, что данный паттерн чаще наблюдается при ангиографии, он также отмечается на томографических изображениях.

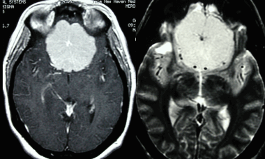
МРТ того же пациента, выполненная после предыдущей КТ: аксиальное Т1-взвешенное изображение после введения гадолиния и аксиальное Т2-взвешенное изображение. Видна крупная менингиома лобной области, расположенная срединно, со специфическим паттерном «колеса со спицами».
Дифференциальный диагноз в случае менингиомы головного мозга проводится с метастазами в твердую мозговую оболочку (чаще всего первичными очагами опухоли являются рак груди или простаты), гемангиоперицитомой, гранулематозными заболеваниями (в т.ч. саркоидозом и туберкулезом), идиопатическим гипертрофическим пахименингитом, экстрамедуллярным гемопоэзом, гемангиомой, а также венозными синусами или синусами твердой мозговой оболочки. Иногда различить указанные состояния сложно, в таких случаях рекомендуется повторный профессиональный анализ КТ или МРТ. При специфической анатомической локализации опухоли во внимание следует принимать и другие возможные диагнозы, включающие вестибулярную шванному для опухолей мозжечково-мостового угла, макроаденому гипофиза и краниофарингиому для опухолей параселлярной области, хордому/хордосаркому для объемных образований в области ската.
Рентгенография при менингиоме
В большинстве случаев обзорная рентгенография черепа не обладает диагностической ценностью, поскольку не позволяет получить никаких данных, которые могли бы указывать на наличие менингиомы. Иногда могут отмечаться кальцифицированные участки или зоны реактивного гиперостоза. В редких случаях могут быть видны участки остеолиза.

8. На рентгеновском снимке во фронтальной плоскости хорошо заметно кальцифицированное образование в области лобной пазухи. На снимке в латеральной проекции образование визуализируется кверху от решетчатой пластинки. Несмотря на то, что по результатам исследования можно заподозрить, обнаруженные признаки неспецифичны, и поэтому обнаруженное внутричерепное образование требует дообследования при помощи КТ.
Большинство рентгеновских снимков не отображают признаков наличия заболевания. Менингиомы типа en plaque характеризуются диффузным гиперостозом, чаще в области крыла клиновидной кости и птериона. Такие результаты исследования с большой долей вероятности свидетельствуют о наличии
болезни.
Кальцинаты внутри опухоли являются значительно более редким рентгенографическим проявлением менингиомы; это зачастую приводит к ложно-отрицательным результатам. Большинству пациентов не проводится рентгенографическое исследование, поскольку диагноз был подтвержден при помощи КТ или МРТ.
КТ при менингиоме
Компьютерная томография (КТ) часто используется для оценки опухолей мозга. Обычно на изображении без контрастного усиления она представлена в виде четко очерченного внемозгового (экстрааксиального) образования с ровными краями, прилегающего к твердой мозговой оболочке. Примерно 70-75% обладают повышенной плотностью по сравнению с окружающей их паренхимой головного мозга, а около 25% — изоденсивны. Редкая группа опухолей (липобластный подтип) содержат включения жира и, таким образом, характеризуются пониженной рентгеновской плотностью.
Сделать КТ головного мозга в Санкт-Петербурге
Кальцинаты являются другой частой находкой; их обнаруживают в 20-25% случаев. Кальцинаты на КТ могут быть узловыми, точечными или сплошными плотными. Часто наблюдается вазогенный паренхиматозный отек окружающей мозговойо ткани, визуализирующийся на снимке как участок паренхимы пониженной плотности. В некоторых случаях отек настолько выражен, что, ввиду преимущественного поражения белого вещества, может выглядеть в виде пальцевидных зон низкой плотности. Впрочем, отек отсутствует примерно в 50% случаев вследствие медленного роста опухоли.

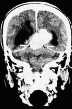
Псаммоматозная менингиома. КТ-исследование кальцифицированного объемного образования, обнаруженного на рентгеновском снимке. На томограмме, полученной на уровне верхней границы орбит, видна опухоль в области решетчатой пластинки (в области ольфакторной ямки).
Преимуществом КТ над МРТ является лучшая визуализация костной ткани. Гиперостоз подлежащей кости отмечается у 15-20% пациентов. Также можно обнаружить бо́льшую выраженность сосудистых борозд и нерегулярность строения компактного вещества коркового слоя кости. Реже в образовании отмечаются кровоизлияния, образование кист и участки некроза. Кисты как компонент менингиомы могут возникать внутри опухоли или между опухолью и подлежащей тканью головного мозга (с препятствием оттоку спинно-мозговой жидкости).

Менингиома теменно-затылочной области: объемная 3D-реконструкция.
Внутривенное введение контраста помогает в оценке менингиомы: в более 90% случаев наблюдается интенсивное равномерное повышение плотности после введения контраста.
Неоднородный характер контрастирования может быть следствием некроза или, реже, кровоизлияния.

З адняя тенториальная менингиома на корональном КТ-изображении с контрастным усилением. К намету мозжечка прилежит объемное образование повышенной плотности с четкими краями. Визуализируются застой спинно-мозговой жидкости, легкий отек прилежащих тканей, гомогенный характер контрастирования, а также расширение желудочков.
Примерно 90% менингиом видны на КТ-изображениях. Основная роль КТ, по сравнению с МРТ, заключается в отображении изменений в подлежащих костях и наличия кальцинатов в опухоли.
Нетипичная КТ-картина является основной причиной ошибок в предоперационной постановке диагноза. Так, могут быть пропущены менингиомы задней черепной ямки . Кроме этого, КТ не в состоянии отобразить наличие кист во внутричерепных менингиомах. Ложно-отрицательные результаты могут быть получены при наличии кистозных образований в менингиомах головного мозга. К ложно-положительным результатам могут приводить обширные зоны отложения кальция в твердой мозговой оболочке, которые могут имитировать заболевание. Снизить число ошибок, обусловленных человеческим фактором, помогает второе мнение.

Анапластическая менингиома лобной доли. Н а КТ-изображении в режиме мозгового окна и костного окна Хаунсфильда видна крупная внутрикостная менингиома. Обнаруживаемые КТ-феномены неспецифичны и могут включать различные изменения от остеолиза до остеосклероза. Внутрикостные менингиомы составляют менее 1% опухолей костной ткани.
МРТ при менингиомах
МРТ с использованием гадолиния является наилучшим способом визуальной оценки менингиом. Важными преимуществами МРТ в диагностике менингиом являются хорошая визуализация разных типов мягкой ткани, возможность получения изображений в разных плоскостях, а также реконструкции объемного (3 D ) изображения.
МРТ также хорошо демонстрирует васкуляризацию опухоли, прорастание артерий и инвазию опухоли в венозные синусы, а также взаимное расположение опухоли и подлежащих структур. Особенно полезной МРТ с гадолинием оказывается для отображения структур параселлярного пространства, задней черепной ямки, и, в редких случаях, опухолевых отсевов по путям оттока спинномозговой жидкости. Возможность получения изображений в разных плоскостях позволяет наилучшим образом визуализировать зону контакта менингиомы с мозговыми оболочками, капсулу опухоли, а также выявить особенности контрастирования мозговых оболочек в участках, непосредственно прилежащих к опухоли.

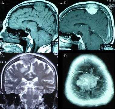
Фалькс-менингиома на МРТ.
А: на Т1-взвешенном МР-изображении отмечается солидное образование, характеризующееся изоинтенсивностью по отношению к твердой мозговой оболочке, инвазией в кость и сдавлением теменных зон коры.
В: На Т1-взвешенном МР-изображении с контрастным усилением видна частично контрастируемая опухоль.
С: На корональном Т2-взвешенном изображении видно изоинтенсивное образование, что соответствует плотной ткани. Такая картина характерна для фибробластных менингиом.
D : На Т1-взвешенном МР-изображении с контрастным усилением визуализируется гиперинтенсивное образование внутри мозгового вещества кости.
На Т2-взвешенных изображениях, полученных без контрастного усиления, интенсивность сигнала в большинстве случаев не отличается от таковой серого вещества коры. Фиброматозные менингиомы могут иметь более гипоинтенсивный сигнал по сравнению с корой головного мозга. Т1-взвешенные изображения могут использоваться для оценки наличия некроза и кист, а также следов кровоизлияний в опухоль. На Т2-взвешенных изображениях интенсивность сигнала варьируется. Т2-взвешенные изображения тоже могут быть использованы для обнаружения последствий кровоизлияний в опухоль и визуализации кистозных образований. Кроме этого, Т2-взвешенная ИП используется для определения наличия кармана между опухолью и паренхимой головного мозга с затеканием СМЖ, что свидетельствует об экстрааксиальном расположении образования.
Гиперинтенсивность сигнала на Т2-взвешенных изображениях указывает на мягкотканую структуру опухоли и ее обильную капиллярную васкуляризацию. Это более характерно для агрессивных ангиобластных или менинготелиальных опухолей. Интенсивность сигнала на Т2-взвешенных изображениях хорошо коррелирует как с гистологическим строением, так и с консистенцией менингиомы. В целом, участки пониженной интенсивности в опухоли соответствуют более плотной, фиброзной, структуре образования (например, в случае фибробластных менингиом), в то время как гиперинтенсивные участки указывают на более мягкотканую структуру опухоли (например, в случае ангиобластной менингиомы).

А: на МР-ангиограмме в латеральной проекции отмечается окклюзия верхнего сагиттального синуса вследствие опухолевой инвазии.
В: МРТ-реконструкция изображения визуализирует окклюзию сагиттального венозного синуса и объемный характер опухоли.
Последовательность FLAIR (режим инверсия-восстановление с подавлением сигнала от воды) удобно использовать для визуализации сопутствующего отека, а также т.н. «дурального хвоста». Дуральный хвост представляет собой линейный участок контрастного усиления, соответствующей непосредственно прилежащей к опухоли твердой мозговой оболочке. Дуральный хвост наблюдается примерно в 65%, а также в 15% случаев при других опухолях. Несмотря на то, что данный признак не является специфичным, при его наличии такой диагноз становится одним из наиболее вероятных.
Как при МРТ, так и при КТ одинаково отвечают на введение контрастного вещества. Интенсивное контрастирование гадолинием наблюдается в более 85% случаев. Кольцевое распределение контраста может соответствовать капсуле образования. Использование гадолиния также улучшает визуализацию плоских менингиом типа en plaque , которые могут быть не видны на изображениях без контрастного усиления.

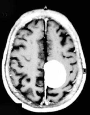
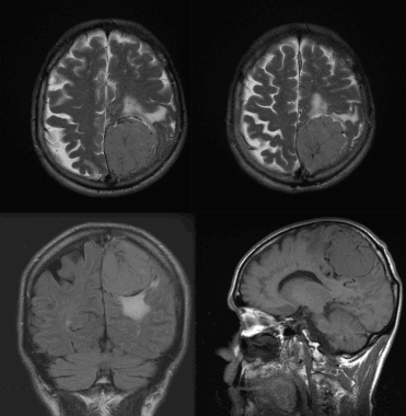
Парасагиттальная менингиома на МРТ с контрастным усилением. Видно гомогенное округлое образование, активно накапливающее контрастное вещество.

Менингиома височной области. На серии последовательных МР-изображений видно крупное образование правой височной области с паттерном контрастирования по типу «колеса со спицами», местным объемным воздействием, отеком окружающих тканей и гиперостозом подлежащей кости.

Атипичная с деструкцией пирамиды височной кости. На корональном Т2-взвешенном и контрастированном Т1-взвешенном МР-изображении виден быстрый рост конвекситального объемного образования в сторону намета мозжечка и пирамиды височной кости.

Менингиома теменной области. МР-изображения, полученные с использованием следующих последовательностей: аксиальное Т2-взвешенное, аксиальное Т2-взвешенное, корональное FLAIR -изображение и сагиттальное Т1-изображение. Крупная левосторонняя менингиома выглядит в виде экстрааксиального образования с паттерном «колеса со спицами» и отеком окружающих тканей.
ДОПОЛНИТЕЛЬНЫЕ ТЕХНИКИ КТ И МРТ
Разные гистологические подтипы по-разному выглядят на МРТ, но лишь на основании данных МРТ нельзя поставить морфологический диагноз.
Большинство легко диагностировать при помощи стандартной МРТ. Впрочем, атипичная МР-картина может вызывать сомнения в диагнозе.
Проводились исследования роли МР-спектроскопии и других имитирующих состояний. Исследования показали стабильно повышенные уровни аланина, холина, глутамат-глутаминового комплекса и пониженные уровни N -ацетиласпартата и креатина. В особенности обращало на себя внимание повышение величины химического сдвига: в случае глутамина до 3,8 и аланина до 1,48. Диагностическая ценность уровня липидов и лактата, хоть они и соответствовали таковым при злокачественных глиомах или метастазах, в случае менингиом остается противоречивой. Также было показано, что для менингиом характерен низкий уровень миоинозитола и креатина.
МР-спектроскопия с использованием фосфора-31 демонстрирует характерную щелочную среду и низкие уровни фосфокреатина и фосфодиэстераз.
Были сделаны различные выводы касательно роли диффузионно-взвешенной МРТ. Измеряемый коэффициент диффузии (ИКД) для высокодифференцированных опухолей обычно оказывался ниже по сравнению с окружающей тканью головного мозга. Некоторые исследования показали схожую тенденцию в случае менингиом, но по данным других исследований значения ИКД для 1-й и 2-й степеней злокачественности статистически достоверно не различались.

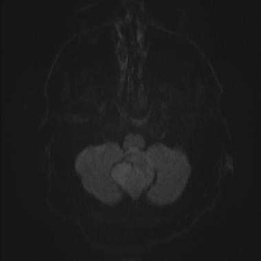
Менингиома задней черепной ямки: диффузионно-взвешенное МР-изображение (DWI). Сигнал умеренно повышен, что соответствует умеренному ограничению диффузии.
По результатам изучения роли перфузионно-взвешенной МРТ также был сделан ряд выводов. Гиперваскуляризированным менингиомам обычно характерен повышенный уровень перфузии. Также была оценено значение перфузионно-взвешенной МРТ в определении подтипа менингиомы и в постоперационном динамическом наблюдении.
Использование контрастных веществ на основе гадолиния сопряжено с развитием нефрогенного системного фиброза (НСФ) или нефрогенной фиброзирующей дермопатии (НФД). Заболевание развивалось у пациентов с хронической болезнью почек в стадиях от умеренной до терминальной после введения контрастного вещества на основе гадолиния для проведения МРТ или МРА.
Было показано, что значение измеряемого коэффициента диффузии (ИКД), равное 0,85, при использовании диффузионно-взвешенной МРТ позволяет отдифференцировать менингиому 1-й степени злокачественности от опухолей 2-й и 3-й степеней злокачественности. В исследовании на 389 пациентах 1-я степень злокачественности по ВОЗ была диагностирована в 271 случае (69,7%), 2-я степень - в 103 случаях (26,5%), 3-я степень - у 15 больных (3,9%).
В целом, чувствительность и специфичность МРТ в случае менингиом довольно высоки. Доказано, что МРТ лучше отображает саму опухоль и ее расположение относительно окружающих структур. Впрочем, использование МРТ не позволяет достоверно определить наличие кальцинатов в опухоли; также затруднительным представляется визуализация свежего кровозлияния.
Также должна учитываться возможность ложно-отрицательных данных о кальцинатах в опухоли. Трудности отображения свежих кровоизлияний в опухоль являются недостатком МРТ и могут привести к ошибочным результатам исследования.
Метастазы в головном мозге
Метастатический рак мозга (другое название — вторичный рак мозга) — распространение раковых клеток в головном мозге из злокачественной опухоли, расположенной в другой части тела. Некоторые факты и цифры:
- Вторичный раз могла встречается в 10 раз чаще, чем первичный, то есть тот, который изначально развивается в головном мозге; в головной мозг возникают у 20-40% онкологических больных (в среднем у каждого четвертого);
- Ежегодно метастатический раз мозга диагностируют у 50 000 — 70 000 россиян;

Пару десятилетий назад при множественных метастазах в головной мозг на пациенте можно было ставить крест - нейрохирургические учреждения, делавшие успехи в терапии первичных опухолей головного мозга, таких больных не брали, потому как оперативное лечение в этом случае уже было почти невозможным. Даже в столице не более трёх специалистов готовы были попробовать лучевую терапию, между тем как по данной теме было защищено несколько диссертаций, демонстрирующих очень неплохой результат. Но практическая деятельность сталкивалась с клиническими трудностями, делающими спасение пациента весьма трудоёмким.
Метастазы злокачественных опухолей в головном мозге постигают каждого четвёртого больного, при посмертном исследовании их находят у шести из десяти. Метастазы выявляются на порядок чаще, чем первичные опухоли центральной нервной системы, которыми охотно занимаются нейрохирурги. Российская онкологическая статистика учитывает только первичные опухоли головного мозга и вообще первичные раки, но не знает, сколько больных имеют метастазы куда бы то ни было, а не только в головной мозг.

Метастазы в головном мозге.
Любая опухоль метастазирует в мозг, но чаще всего рак лёгкого, особенно крайне агрессивный мелкоклеточный — до 80% больных, а также рак молочной железы, кишки, почки и меланома, но все они метастазируют много реже рака лёгкого. Сегодня метастазы в головном мозге находят чаще, чем в конце прошлого века, чему весьма способствуют методы нейровизуализации — КТ и МРТ и увеличение выживаемости онкологических больных в результате успехов онкологической науки. Заметно повысилась и активность онкологов, не только решающихся на лечение самых непростых больных, но и имеющих возможность выхаживать таких пациентов.

Андрей Львович Пылёв, главный врач сети "Евроонко", онколог, кандидат медицинских наук
Как правило, большинство больных к моменту выявления внутричерепных метастазов имеют другие, подчас неизлечимые и распространённые, очаги опухоли, состояние их оставляет желать лучшего, а локальная терапия внутричерепных метастазов чревата ранним рецидивом. Внедрение высокотехнологичного лечения, как хирургического, так и лучевого, помогло избавиться от профессионального пессимизма и увеличило 5-летнюю выживаемость пациентов, придав их жизни вполне приемлемое качество.
Почему возникают метастазы в головном мозге?
Метастазирование — довольно сложный процесс. Он состоит из нескольких этапов. Опухоль должна прорасти в соседние ткани, затем ее клетки отрываются и проникают в кровеносные или лимфатические сосуды. Мигрируя с током крови, раковые клетки оседают в разных органах. Какое-то время они «дремлют», затем начинается бурный рост.
Чаще всего — в 48% случаев — метастазы в мозг связаны с раком легких. Наиболее агрессивен немелкоклеточный рак легкого — он метастазирует в мозг в 80% случаев. Реже встречаются метастазы при раке молочной железы (15%), мочеполовой системы (11%), остеогенной саркоме (10%), меланоме (9%), раке головы и шеи (6%).

Метастаз в головном мозге в динамике
Клинические проявления метастазов
Симптоматика зависима от размеров внутричерепных опухолевых очагов, их количества и расположения. Принципиально клинические симптомы можно разделить на две группы:
- локальные, обусловленные расположением опухоли в конкретном отделе мозга, отвечающем за определённые функции определённого органа;
- общемозговые симптомы, связанные с размером дополнительной опухолевой ткани, мешающей функционированию самого мозга.
К примеру, опухоль рядом со структурами, обеспечивающими иннервацию глаза, проявится выпадением полей зрения, когда глазом не воспринимаются отдельные участки сектора обзора. Множество мелких узлов даст картину отёка головного мозга, поскольку лишние граммы опухоли в замкнутой черепной коробке мешают нормальной циркуляции жидкостей и сдавливают нормальные ткани.
У половины больных вторичные новообразования головного мозга откликаются головной болью, очень часто интенсивность боли меняется вместе с положением головы, когда при наклоне под определённым углом частичное восстановление циркуляции ликвора временно приводит к уменьшению боли. К сожалению, со временем рост метастазов сделает боль постоянной, а замкнутость пространства приведёт к невыносимой интенсивности. Нередки головокружения и двоение, если смотреть обоими глазами.

Коридор клиники Евроонко
У каждого пятого пациента развиваются двигательные нарушения вплоть до пареза половины тела. У каждого шестого страдают интеллектуальные способности, столько же мучается от изменений поведения, нарушений движений и походки, чуть реже отмечаются судороги, но и совершенно бессимптомное течение, когда метастатические образования выявляют лишь при обследовании, тоже не редкость. Тем не менее, при увеличении размеров опухоли даже в такой относительно благоприятной ситуации довольно быстро нарушаются функции организма.
Отёк ткани вокруг опухоли — перифокальный отёк вкупе с повышением внутричерепного давления (ВЧД) вызывают общемозговые симптомы с головной болью, головокружением, двоением, рвотой при малейшем движении или даже при открывании глаз, постоянной икотой, приводят к угнетению сознания вплоть до мозговой комы. Снижение частоты сердцебиений и дыханий при очень высоком «верхнем» систолическом давлении свидетельствуют о крайне высоком и чреватом гибелью внутричерепном давлении.
В практике выделяют варианты развития первичной симптоматики при метастазах рака в центральную нервную систему по превалирующему комплексу клинических признаков.
- Похожий на инсульт апоплексический вариант, развивается остро и проявляется очаговыми нарушениями — свидетельством поражения определённого участка мозга. Такой вариант, как правило, связан либо с закупоркой сосуда, либо его разрывом опухолью с последующим кровоизлиянием в головной мозг.
- Ремиттирующий вариант характеризуется волнообразным течением, когда симптомы то уменьшаются, то прогрессируют, напоминая атеросклеротическое поражение сосудов.
У некоторых больных метастазы головного мозга протекают бессимптомно. Обнаруживают их только во время обследования.
Как диагностируют метастазы в головном мозге?
«Золотой стандарт» в диагностике метастатического рака головного мозга — магнитно-резонансная томография (МРТ). Во время этого исследования получают изображения внутренних структур тела, используя сильное магнитное поле. По снимкам врач может судить о количестве, размерах, расположении метастатических очагов.

Биопсия — исследование, во время которого получают фрагмент ткани и исследуют его на предмет раковых клеток. Если у человека уже диагностирован рак в другом органе и обнаружены очаги в головном мозге, потребности в данном методе диагностики обычно нет. Биопсия нужна, если есть очаги в мозге, но не найдена первичная опухоль.
Лечение метастазов
Без лечения продолжительность жизни больного от момента выявления метастатического поражения головного мозга едва ли превышает месяц, но это в среднем. Только добавление высоких доз гормонов способно двукратно увеличить продолжительность жизни и несколько улучшить её качество, но опять только на время, тогда как химиолучевое лечение может дать до полугода жизни.
Тактика лечения зависит от некоторых факторов:
- Количество, размер и расположение метастазов;
- Возможность удалить очаги хирургическим путем;
- Чувствительность первичной опухоли к химиопрепаратам и лучевой терапии;
- Общее состояние больного;
- Наличие других метастазов, возможность бороться с ними.
Прогностически неблагоприятна локализация опухоли в недоступной для манипуляций задней черепной ямке, нарушение циркуляции ликвора и вероятность вклинения опухоли в естественные черепные отверстия.
Несомненно, что только хирургическое пособие вкупе с дополнительным лекарственным и лучевым лечением даёт большие надежды. Но нейрохирургическое вмешательство возможно при одном или единичных опухолевых узлах, и, конечно, технически доступных. Паллиативную операцию выполняют при угрожающем нарастании давления и кровотечении, когда удаление даже одного из множества узлов способно радикально улучшить клиническую картину, чтобы присовокупить в дальнейшем консервативное лечение. Возможны разные варианты удаления опухолевых узлов.

При технически не удаляемых и чувствительных к противоопухолевым лекарствам видах рака, таких как молочная железа, мелкоклеточный рак лёгкого и герминогенные опухоли яичка, на первом этапе прибегают к химиотерапии, к которой в дальнейшем присоединяют облучение всего массива головного мозга. При радиочувствительных опухолях лечение можно начать с тотального облучения мозга. При опухолях не более 3,5 см и менее четырёх узлов как единственный метод эффективна стереотаксическая радиохирургия. К опухоли подводят с разных сторон несколько пучков радиоволн, они пересекаются в одном месте - там, где находится метастаз. В итоге раковые клетки уничтожаются, а окружающие здоровые ткани получают минимальную безопасную дозу. В комплексе с облучением мозга и химиотерапией результат лучше.

Система для стереотаксической радиохирургии
Лучевая терапия всегда сопровождается нарастанием отёчности ткани мозга, поэтому облучение всегда проводится на фоне дегидратации — симптоматической терапии, разгружающей от излишней жидкости. Поэтому радиолог может отказать в лечении пациенту, устойчивому к мочегонным препаратам, а также при уже смещённом головном мозге, поскольку дальнейшее смещение может стать для больного фатальным. Не возьмут на облучение тяжёлого пациента с выраженными клиническими проявлениями, тем более с судорогами или мутным сознанием. Уже после одного-двух сеансов облучения к имеющемуся высокому внутричерепному давлению присоединится лучевой отёк ткани, и без того очень неважное состояние пациента ухудшиться.
Возможны варианты последовательностей и сочетания методов, как при впервые выявленных метастазах в головной мозг, так и при рецидиве после лечения. Во всяком случае, при невозможности активной тактики и прогрессировании процесса клинические руководства рекомендуют прибегнуть к химиотерапии на фоне наилучшей поддерживающей симптоматической терапии (стероиды, обезболивающие, противосудорожные препараты и др.). Схема определяется первичной опухолью, то есть при раке лёгкого помогают одни препараты, при раке почки — другие. Химиотерапию проводят до выявления признаков прогрессии опухоли.
Терапия метастазов злокачественных опухолей в головной мозг не дело энтузиастов-одиночек, это работа команды онкологов, нейрохирургов, радиологов, химиотерапевтов и реаниматологов, вооружённых знаниями и отличным оборудованием для диагностики и лечения, как в клиниках «Евроонко».
Каковы прогнозы при метастазах в головной мозг?
Прогноз зависит от типа первичной опухоли, количества метастазов, возраста и состояния пациента. В среднем пациенты живут 2-3 месяца. Но если метастазы единичные, пациенту меньше 65 лет, и в организме нет других метастазов, средняя продолжительность жизни может составить 13,5 месяцев.
Врачи онкологи и реаниматологи «Евроонко» знают, как помочь пациенту с метастатическим раком. Грамотное лечение избавит от тяжелых симптомов, подарит драгоценное время.
МРТ и КТ при метастазах в мозге - что покажет

МРТ головного мозга с контрастом, КТ головного мозга с контрастом являются аппаратными методами диагностики метастаз в головном мозге. Исходя из первичных симптомов, истории болезни, противопоказаний и диагностических целей, врач невролог или онколог назначает необходимые способы обследования.
В большинстве случаев, МРТ головного мозга с контрастом выбирается как первичный метод диагностики. Если результаты исследования носят тревожный или неясный характер, дополнительно назначается:
Метастазы головного мозга возникают при распространении раковых клеток из области первоначального образования. Любой рак может распространиться на головной мозг, но наиболее часто это состояние возникает при раке легких, молочной железы, толстой кишки, почек и меланоме. Метастазы могут образовывать одну или несколько опухолей в головном мозге. По мере роста опухолей создается давление на окружающие ткани головного мозга, что приводит к снижению их функциональности. Явление сопровождается симптомами, такими как головная боль, изменения личности, потеря памяти и судороги. Лечение матастазного рака может включать хирургическое вмешательство, лучевую терапию, химиотерапию, иммунотерапию или комбинацию нескольких методов. Зачастую лечение часто направлено на уменьшение боли и симптомов, вызванных раком.
Симптомы метастатического рака головы
Признаки, вызванные метастазами мозга могут варьироваться в зависимости от местоположения, размера и скорости роста метастатических опухолей:
- головная боль, иногда сопровождающаяся тошнотой и рвотой;
- психические изменения, такие как трудности запоминания;
- судороги;
- слабость или онемение на одной стороне тела.
Причины
Метастазы мозга возникают, когда раковые клетки открепляются от области первоначального зарождения. Клетки могут перемещаться по кровотоку или лимфатической системе и метастазировать в головной мозг, где начинается их размножение. Метастатический рак, который распространяется из своего первоначального местоположения, известен под названием первичного рака. Например, рак, распространившийся из молочной железы в головной мозг, называется метастатическим раком молочной железы, а не раком головного мозга.
МРТ или КТ при метастазах в головном мозге что лучше выбрать
При подозрении на метастазы в головной мозг, онколог проводит ряд исследований:
- Неврологический осмотр. Неврологический осмотр может включать проверку зрения, слуха, равновесия, координации, силы и рефлексов. Обнаружение проблем позволяет выявить пораженную область мозга.
- Магнитно-резонансная томография головного мозга с контрастом используется для диагностики метастазов в головной мозг.
- Компьютерная томография (КТ) и позитронно-эмиссионная компьютерная томография (ПЭТ- КТ) используется, если первичная опухоль, вызывающая метастазы в головной мозг не обнаружена.
Признаки метастазов мозга на КТ
- Может наблюдаться гиперденсный геморрагический компонент различной степени выраженности.
- Накапливающее контраст объемное образование с отсутствием «доброкачественного» склеротического ободка.
- Метастазы могут выглядеть как накапливающие контраст двояковыпуклые объемные образования, смещающие головной мозг.
Признаки метастазов мозга на МРТ
- Объемные образования имеют гипоинтенсивный по отношению к серому веществу (СВ) сигнал.
- Геморрагический компонент с соответствующими сигнальными характеристиками.
- Гиперинтенсивное утолщение.
- Гиперинтенсивный вазогенный отек.
- Может наблюдаться ограничение диффузии в области МПТМО.
- Накапливающие контраст двояковыпуклые образования, смещающие головной мозг.
- Инвазия в нижележащую мозговую ткань
Разница между МРТ и КТ
Компьютерная томография и магнитно-резонансная томография используются для получения изображений органов и тканей в трехмерной проекции. Разница в томографии заключается в том, что при МРТ используются радиоволны, а при КТ - рентгеновские лучи для получения изображения. Хотя оба томографических метода имеют высокую информативность, есть диагностические различия, которые могут сделать каждый из них более подходящим вариантом в зависимости от обстоятельств.
КТ-сканирование более быстрая форма диагностики, чем магнитно-резонансная томография, и обычно используется для экстренного обследования. При использовании как КТ, так и МРТ существуют определенные риски. Они зависят от типа визуализации, а также от способа ее проведения. К рискам КТ относятся: вред для внутриутробного ребенка при беременности и доза радиации. Риски МРТ включают реакции на металлические импланты в теле из-за сильного магнитного поля, громкий шум от аппарата, повышенная, клаустрофобические риски.
Если врачу нужны более детальные изображения мягких тканей, связок или органов высоким состоянием воды, обычно назначается магнитно-резонансная томография. Если необходимо получить хорошие изображение костных структур и полых органов, обычно рекомендуется компьютерная томография.
Покажет ли МРТ головного мозга опухоль

Коротко отвечая на вопрос, покажет ли опухоль МРТ головного мозга, можно сказать уверенное ДА. Магнитно-резонансная томография является приоритетным методом дифференциальной диагностики различных объемных образований в головном мозге, оболочке головного мозга, гипофизе, нервных жилах, сосудах. Данная методика активно используется при онкопоиске, поскольку позволяет визуализировать не только первичный очаг образования, но и метастатические поражения вещества головного мозга.
Когда нужно сделать МРТ головного мозга при опухоли
Ранняя диагностика опухолей головного мозга - это трудная задача по двум основным причинам:
- Многие опухоли мозга на ранних этапах не дают никакой клинической симптоматики, поэтому пациенту заподозрить что-то неладное по изменению в своем самочувствии очень сложно;
- Неврологические симптомы опухоли носят разнообразный характер и сильно зависят от локализации новообразования.
Свидетельствовать о возможной патологии могут:
- головные боли непонятного происхождения;
- частые головокружения;
- резкие перепады давления и сопутствующие им тошнота, рвота;
- повторяющиеся боли в шее;
- нарушение зрения и слуха;
- обморочные состояния;
- спутанность сознания, ухудшение памяти;
- мигренеподобные приступы;
- нарушения сознания, эпилепсия и другие припадки.
При клиническом осмотре больного невролог или онколог не сможет диагностировать объемное образование. Для этого потребуется аппаратная диагностика, например, МРТ или КТ головного мозга.
Покажет ли МРТ опухоль головного мозга
В большинстве случаев приоритетным методом выявление опухолевых образований будет магнитно-резонансная томография, поскольку белое и серое вещество очень хорошо визуализируется на снимках МРТ. Физика получения изображений при магнитно-резонансной томографии основывается на эффекте ядерного магнитного резонанса. Когда тело пациента помещается внутрь сканера, на мозговые структуры оказывает влияние сильное магнитное поле и радиочастотные импульсы. Под их воздействием атомы водорода в клетках начинают совершать колебательные движения. Этот резонанс фиксирует компьютер томографа, оцифровывает и переводит в трёхмерные изображения обследуемой области. Поскольку структуры головы на 80% состоят из воды, аппарат поможет сделать снимки очень высокой контрастности и четкости. Это позволяет врачам оценить:
- местоположение опухоли;
- ее размеры и форму;
- степень инвазии в соседние структуры;
- тканевой состав.
Для того, чтобы лучше всего разглядеть очаги при подозрении на объемное образование, МРТ головного мозга проводится с контрастированием. В ходе этой процедуры пациенту через вену на локтевом сгибе вводят специальный контрастный препарат на базе солей редкоземельного металла гадолиния. Контрастный состав максимально увеличивает тканевую контрастность, а по типу накопления и сбрасывания контрастного препарата врачи могут провести виртуальную гистологию опухоли и сказать, носит ли образование доброкачественный или злокачественный характер.
Особенно хорошо МРТ головы с контрастом способно показать:
- опухоли мозжечка
- глиобластому
- эпендимому
- глиальные опухоли
- метастазы
- невриномы
- менингеальные опухоли
- новообразования ствола головного мозга.
Как выглядит опухоль головного мозга на МРТ- фото
| МРТ здорового головного мозга | Глиома | Глиобластома |
Признаки опухоли на МРТ снимках
- наличие зоны измененного МР-сигнала от тканей мозга;
- гиперинтенсивный МР сигнал, гипоинтенсивный МР сигнал, гетерогенно изменений МР сигнал, изоинтенсивный МР сигнал;
- ориентировочные размеры, форма, контуры объемного образования;
- смещение, давление или изменение величины и деформации желудочков;
- аксиальная дислокация;
- блокада ликворных путей с развитом окклюзионной гидроцефалии;
- наличие перифокального отека;
- латеральная дислокация срединных структур или сосудистого сплетения “масс-эффекта”.
Пример МРТ расшифровки опухоль головного мозга
На серии МР-томограмм, взвешенных по Т1 и Т2-ВИ, tirm, получены суб- и супратенториальные структуры, определяются округлое объёмное патологическое образование, располагающееся по конвекситальной поверхности левой лобной доли, размером до 20х17х19 мм. Образование имеет достаточно чёткие округлые контуры, прилежит широким основанием к твердой мозговой оболочке, структура его несколько неоднородная. Вокруг образования имеется небольшой ликворный ободок и умеренно выраженный перифокальный отек головного мозга. Менингеальная оболочка на этом уровне утолщена с признаками симптома «хвоста», что наиболее характерно для менингиомы.
Срединные структуры не смещены.
Субкортикально, паравентрикулярно в белом веществе головного мозга определяются единичные очаги глиоза, имеющие четкие контуры, характеризующиеся гиперинтенсивным сигналом на Т2 ВИ и Tirm ИП, гипо- изоинтенсивным на Т1 ВИ, размерами до 3-4 мм в диаметре.
Боковые желудочки обычной конфигурации, существенно не расширены, минимально асимметричны (D>S).
Вокруг боковых желудочков имеются небольшие глиозные изменения.
III-й, IV-й желудочки, базальные цистерны не деформирован.
Стволовые структуры мозга не деформированы, имеют не измененный МР-сигнал.
Субарахноидальное пространство вне зоны патологических изменений выражено неравномерно, умеренно расширено по конвекситальной поверхности лобных, теменных долей.
Супраселлярная не деформирована. Гипофиз обычного расположения и размеров. Топография перекреста зрительных нервов не изменена.
Мосто-мозжечковые цистерны не деформированы.
Миндалины мозжечка расположены обычно.
Определяется пристеночный отёк слизистой в клетках решетчатого лабиринта и левой верхнечелюстной пазухе, имеющий повышенный сигнала на Т2 ВИ.
МР-картина объемного образования левой лобной доли с небольшим перифокальным отеком головного мозга (менингиома?).
МР-картина немногочисленных очагов глиоза вещества головного мозга сосудистого характера.
Качественная МРТ диагностика опухолей головного мозга
Для качественной томографии и безошибочной диагностики при подозрении на опухоль рекомендуется:
- проводить МРТ головного мозга на аппарате мощностью не менее 1,5 Тесла;
- шаг сканирования должен быть не менее 3 мм;
- рекомендовано применение контрастного усиления.
Мощное магнитное поле томографа при обследовании головного мозга обуславливает ряд противопоказаний. Особенность поля МРТ аппарата взаимодействовать с объектами, содержащими металл, сдвигать их с места и нарушать работу электронных систем, ограничивает проведение МРТ процедуры для пациентов, в теле которых установлены любые металлические имплантаты. Поэтому к томографическому исследованию не допускаются пациенты, которые имеют:
- протезы из металла, пластины, хирургические скобки, шунты и штифты, сосудистые катетеры из ферромагнитных материалов, а также любые металлические предметы как пули, осколки, застрявшие в теле
- искусственные сердечный клапаны, стимуляторы сердечной деятельности и дефибрилляторы
- ушной кохлеарный имплант
- вшитые медицинские помпы для дозированной подачи медикаментов
- зажимы и клипсы на сосудах.
Обращаем Ваше внимание на то, что наличие зубных протезов в общем и целом не является противопоказанием для проведения МР-сканирование головного мозга. Исключением может стать лишь очень узкая группа протезов, которые вызывают искажение изображения во время диагностики.
Если у Вас есть сомнения в отношении возможности проведения томографического исследования, позвоните нам, и мы поможем найти приемлемое решение для Вашего индивидуального случая.
Вопросы


Покажет ли МРТ опухоль головного мозга без контраста
Крупные опухоли видны на нативных бесконтрастных снимках. Мелкие метастазные поражения на базовом обследовании могут плохо визуализироваться. Признаки опухоли почти всегда видны на нативном МРТ снимке, однако не достаточно четко, чтобы провести качественную дифференциальную диагностику. Поэтому врач-рентгенолог, обнаружив в ходе бесконтрастного обследования признаки объемного образования, предлагает пациенту дополнить исследование контрастной процедурой.
| Вид исследования | Минимальная Цена | Цена на 3 Тесла |
|---|---|---|
| МРТ головного мозга | от 2800 руб. | от 5200 руб. |
| МРТ сосудов головного мозга | от 2800 руб. | от 8200 руб. |
| МРТ гипофиза | от 2800 руб. | от 5200 руб. |
| МРТ пазух носа | от 2800 руб. | от 5200 руб. |
| МРТ орбит и зрительных нервов | от 3200 руб. | от 5200 руб. |
| МРТ уха и слуховых нервов | от 3200 руб. | от 5200 руб. |
| МРТ черепно-мозговых нервов | от 3200 руб. | от 5200 руб. |
| Стоимость введения контрастного вещества | от 3500 руб. | от 3500 руб. |
Как МРТ определяет злокачественную опухоль
Злокачественные опухоли составляют до 50% всех опухолей головного мозга. Эти опухоли врач определяет по:
- нечеткости и неровности контуров и формы опухоли;
- большому перифокальному отеку;
- наличию “масс-эффекта”;
- неоднородному накоплению контрастного усиления;
- типу накопления контраста.
Как часто нужно делать МРТ после удаления опухоли
Периодичность МРТ головного мозга после удаления опухоли обычно определяет лечащий врач. Чаще всего после оперативного вмешательства первое обследование проводят через один месяц. Далее контрольные сканирования осуществляют раз в полгода в течение 3 лет после хирургического вмешательства.
Читайте также:
- Случай респираторной поддержки при апноэ во сне
- Гнатостат Симона. Графические методы составления зубной дуги.
- Исследования для диагностики глазных болезней
- Техника, этапы операции реконструкции связок по поводу хронической медиальной нестабильности голеностопного сустава
- Признаки воспаления глаза. Распространение воспаления тканей глаза
