Диагностика мультисистемной атрофии по КТ, МРТ, ПЭТ головного мозга
Добавил пользователь Владимир З. Обновлено: 28.01.2026
ПЭТ-КТ головного мозга — современный метод исследования, позволяющий при помощи специальных радиофармпрепаратов получить информацию о функциональном состоянии различных отделов головного мозга. В то время, как МРТ и КТ используются для исследования анатомической структуры мозговой ткани, ПЭТ-КТ применяется для оценки ее функциональной активности, в связи с чем ее называют функциональной томографией. Таким образом, позитронно-эмиссионная томография является качественно новым диагностическим методом, благодаря которому стала возможна диагностика заболеваний на самом раннем этапе их развития - до появления морфологических изменений.
Стоимость ПЭТ-КТ головного мозга в Москве
- разное ~ 34 667р. 7 цен
- 18F-ФDG (фторид) ~ 50 200р. 3 цены
- 18F-фторид натрия ~ 49 500р. 1 цена Динамика цен
Позитронная Эмиссионная Томография головного мозга, совмещенное с КТ головного мозга (для топометрии)

Показания
Позитронно-эмиссионную томографию головного мозга в неврологии чаще всего назначают для оценки таких метаболических процессов мозговой ткани, как утилизация кислорода, обмен глюкозы, капиллярный кровоток и перфузия, сродство специфических рецепторов и их количество. Полученная информация позволяет выявить отклонения в жизнедеятельности клеток головного мозга, которые возникают на начальных стадиях заболевания. Благодаря этому многие неврологические патологии диагностируются намного раньше, чем при проведении КТ или МРТ головного мозга.
При сосудистых заболеваниях ПЭТ-КТ дает возможность обнаруживать даже незначительные гемодинамические нарушения, определять степень их выраженности и распространенности, проводить дифференциацию сосудистой деменции от других ее видов. В диагностике объемных процессов головного мозга ПЭТ применяется для раннего выявления опухолей, их дифференциальной диагностики с другими объемными образованиями (абсцесс, киста), оценки степени злокачественности. Кроме того, методика используется для уточнения размеров и границ неоплазий, четко не визуализирующихся на КТ или МРТ, оценки результатов радиологического лечения и химиотерапии, радикальности удаления новообразований.
При эпилепсии процедуру назначают для выявления местоположения эпилептического очага. С помощью этого метода нейрохирурги определяют наиболее значимые функциональные зоны мозга, чтобы избежать их повреждения в ходе хирургического вмешательства. Острые травмы и посттравматический период являются показанием для проведения ПЭТ-КТ в случаях, если данные КТ или МРТ не дают полного объяснения клинической картины, имеющейся у пациента.
Противопоказания
Поскольку позитронно-эмиссионная томография является лучевым методом исследования, она абсолютно противопоказана при беременности. Методика с осторожностью применяется у больных с суб- и декомпенсированной формой сахарного диабета (сахар крови > 6,5 ммоль/л), при острых инфекциях и обострении хронических воспалительных заболеваний. При тяжелом состоянии пациента манипуляция не рекомендована из-за необходимости долго сохранять неподвижность. При наличии относительных противопоказаний, ПЭТ-КТ головного мозга может быть проведена, если это жизненно необходимо для больного.
Методика проведения
Пациенту рекомендуется не принимать пищу в течение 6 часов перед исследованием. Накануне вечером следует воздержаться от обильного ужина (лучше поужинать кисло-молочными продуктами). Процедура выполняется с помощью томографов напоминающих аппараты для МРТ и КТ. Перед началом манипуляции больному внутривенно вводят радиофармпрепарат, который представляет собой меченое радионуклидом химическое соединение, принимающее участие в метаболизме клеток головного мозга. Обычно применяют глюкозу.
Затем пациенту необходимо спокойно лежать в течение 30-60 минут, чтобы препарат успел распределиться по телу. Запрещается двигаться или разговаривать, поскольку соединение может скопиться в работающих мышцах, что повлияет на достоверность результатов. Потом больного помещают в камеру томографа, где специальные перемещающиеся датчики регистрируют зоны скопления радиофармпрепарата и особенности его распределения. Полученная информация поступает на монитор в виде функциональных изображений. Сканирование продолжается 30-40 мин. После завершения процедуры пациенту рекомендуют обильное питье для ускорения выведения препарата из организма. Обработка полученных данных может занимать от 2-3 часов до нескольких дней.
Осложнения при проведении ПЭТ-КТ не наблюдаются. Меченый препарат, используемый в ходе манипуляции, практически безвреден и не вызывает побочных реакций, поскольку вводится в очень малой дозе. Доза рентгеновского облучения не превышает лучевую нагрузку при проведении рентгенографии грудной клетки.
Стоимость ПЭТ-КТ головного мозга в Москве
Позитронно-эмиссионная томография относится к числу малораспространенных процедур, выполняется в небольшом количестве крупных медицинских учреждений столицы. Стоимость исследования включает собственно сканирование, расходы на приобретение фармпрепарата, все сопутствующие медицинские манипуляции и интерпретацию результатов специалистом. На цену ПЭТ-КТ головного мозга в Москве оказывает влияние форма собственности клиники (государственная, частная), квалификация врача (высшая категория, ДМН, КМН), порядок проведения (вне очереди, по предварительной записи) и наличие дополнительного сервиса.
Диагностика мультисистемной атрофии по КТ, МРТ, ПЭТ головного мозга
Звоните нам по телефону 8 (812) 241-10-46 с 7:00 до 00:00 или оставьте заявку на сайте в любое удобное время
Ваша заявка принята!
Благодарим за обращение.
В ближайшее время с вами свяжется наш специалист.
Атрофия головного мозга: причины, симптомы, диагностика
Атрофические изменения коры головного мозга приводят к разрушению нейронных связей, снижению активности функциональных центров. Состояние приводит к нарушению внутримозгового метаболизма, слабоумию, формированию ряда психических заболеваний (Альцгеймера, боковой амиотрофический склероз, деменция).
Клинические симптомы зависят от вида, стадии, степени заболевания. Мультисистемная форма сопровождается диффузной гибелью нейронов, постепенной утратой функций организма.
Атрофия мозга на МРТ
Причины возникновения атрофии мозга
После 50 лет увеличивается риск нейродегенеративных состояний. Повышают вероятность появления нозологической формы провоцирующие факторы:
- Снижение функции почек (недостаточность);
- Длительное увеличение внутричерепного давления (гидроцефалия);
- Частое употребление алкоголя, наркотические средства;
- Инфекционное поражение коры мозга (ретровирусы, полиомиелит, энцефалит);
- Черепно-мозговая травма;
- Сосудистые заболевания (тромбоз, атеросклероз, аневризма);
- Метаболические состояния;
- Психические болезни - Альцгеймера, синдрома Иценко-Кушинга, Паркинсона, Уиппла, Геллервордена-Шпатца.
Увеличивает вероятность нозологии - метаболические расстройства, родовые травмы, половые инфекции, недостаток витаминов группы B, фолиевой кислоты.
Основные причины возникновения атрофии коры мозга
Научные исследования показывают высокую вероятность поражения кортикальных и субкортикальных структур у людей 50-55 лет из-за генетической предрасположенности. Кортикальная атрофия развивается у пациентов, страдающих наследственной хореей Хантингтона.
- Черепно-мозговые травмы, сопровождающиеся гематомой, гибелью нейронов, формированием кист;
- Хронический алкоголизм, наркомания, прием некоторых медикаментов обеспечивает уменьшение толщины полушарий мозга, подкоркового шара. Длительная спиртовая интоксикация нарушает внутриклеточный метаболизм, обеспечивает постепенное отмирание нейронов;
- Хроническую церебральную (мозговая) ишемию формируют сосудистые заболевания (атеросклероз, гипертоническая болезнь). Недостаток поступления кислорода способствует необратимой гибели тканей;
- Врожденная гидроцефалия у новорожденных приводит к повышению внутричерепного давления, атрофии мозгового вещества;
- Более семидесяти процентов случаев заболевания у людей старше 55 лет приходится на долю нейродегенеративных заболеваний - Пика, Леви, Альцгеймера, Паркинсона. Нозологии формируют старческое слабоумие.
Менее частые этиологические факторы нозологии - гипоксия новорожденных, гидроцефалия, множественные врожденные кисты у ребенка.
Причины церебральной атрофии новорожденных
Основным этиологическим фактором уменьшения толщины полушарий новорожденных является внутриутробная гипоксия, проблемы во время родов. Повреждения головы малыша при прохождении по родовым путям провоцируют черепно-мозговую травму, способствуют появлению гидроцефалии (водянки).
Причины атрофических церебральных изменений новорожденных:
- Повреждение костей черепа;
- Увеличение количества спинномозговой жидкости (гидроцефалия);
- Внутриутробные инфекции (цитомегалия, герпес, менингит).
Не существует эффективных методов лечения атрофии новорожденных. Своевременное выявление с помощью МРТ позволяет назначить поддерживающую терапию, уменьшить прогрессирование заболевания. Умеренные изменения коррелируются медикаментозной терапией. Ребенок сможет посещать детский сад, учиться в специальной школе.
Субатрофия мозга - первая стадия старческого слабоумия
До возникновения клинических симптомов развиваются субатрофические изменения. Внешние симптомы отсутствуют. Состояние сопровождается частичным снижением функции сегмента полушарий.
Морфологические виды субатрофии:
- Лобная;
- Лобно-височная;
- Теменно-затылочная.
Первая разновидность характеризуется снижением умственной активности, потерей речевых и двигательных функций.
Повреждение лобно-височных областей приводит к снижению слуховой способности человека, утрачиваются коммуникативные функции (сложности общения с другими людьми), нарушается функционирование сердечнососудистой системы.
Субатрофия уменьшает объем серого и белого вещества. Возникают нарушения проводниковой, двигательной функции, мелкой моторной активности.
Особенности кортикальной атрофии
Отмирание корковых клеток начинается с лобных долей, где располагаются функциональные центры контроля движения, речи. Постепенно атрофия распространяется на окружающие структуры. У пожилых людей патология приводит к старческому слабоумию.
Диффузные кортикальные изменения сопровождаются расстройством микроциркуляции, прогрессирующими клиническими симптомами. Нарушается мелкая моторика верхних конечностей, координация движений. Патологический комплекс приводит к болезни Альцгеймера, старческому слабоумию.
МРТ при кортикальной атрофии показывает уменьшение размеров лобных долей. Если изменения с обеих сторон, нарушается работа внутренних органов, контролируемых лобными долями.
Врожденная корковая атрофия новорожденных локализуется с одной стороны. Симптоматика выражена слабо. С помощью реабилитационных процедур удается социализировать ребенка.
Клинические симптомы мультисистемной атрофии
Диффузная нейродегенерация сопровождается проблемами со стороны половой, мочевыводящей сферы. Некроз многих отделов мозга одновременно сопровождается разнообразными клиническими симптомами:
- Мышечный тремор при Паркинсонизме;
- Нарушение походки, координации подвижности;
- Потеря эрекции;
- Вегето-сосудистые расстройства.
До появления магнитно-резонансной томографии ранняя диагностика заболевания проблематична. Только ядерно-магнитный резонанс верифицирует уменьшение толщины мозговой паренхимы.
Клинические симптомы мозговой атрофии
Проявления патологии во многом определяются причинами и провоцирующими факторами. У большинства пожилых людей присутствует деменция, синдром лобной доли, внутренняя полиорганная патология.
Чем проявляется синдром лобной доли:
- Отсутствие аппетита;
- Потеря памяти, интеллектуальной активности;
- Частые эмоциональные срывы;
- Отсутствие коммуникации с окружающими людьми;
- Раздражительность;
- Отсутствие самокритики.
Психоорганический синдром сопровождается цереброастеническими расстройствами, аффективными нарушениями, амнезией.
Адекватная оценка окружающих событий, самокритика у пациента отсутствует. Появляется примитивность мышления, одностороннее представление сути детали. Речевой запас уменьшается, появляется парамнезия.
Сопутствующие аффективные расстройства приводят к депрессивному синдрому, неадекватному психическому состоянию. Плаксивость, обидчивость, раздражительность, необоснованная агрессия - типичные проявления патологии.
Виды и классификация атрофии головного мозга
По степени опасности разделяют два вида атрофических изменений мозга:
Первый вид является естественным. На протяжении развития человека сопровождает вначале гибель пупочных артерий, артериального протока (новорожденных). После полового созревания утрачиваются ткани вилочковой железы.
В пожилом возрасте возникают дегенеративные изменения половой сферы. У людей преклонного возраста появляется кортикальная деструкция, инволюция лобной части. Состояния является физиологическими.
Виды патологической атрофии:
- Дисфункциональная - развивается при снижении функциональной активности мозга;
- Компрессионная - провоцируется повышенным давлением на мозговые ткани (гидроцефалия, гематома, обильное скопление крови);
- Ишемическая (дисциркуляторная) возникает по причине сужения просвета артерий атеросклерозом, сгустками крови, повышенной неврогенной активностью. Генерализованная церебральная гипоксия сопровождается не только умственным слабоумием, склеротическими внутримозговыми изменениями;
- Нейротическая (неврогенная) формируется из-за снижения поступления нервных импульсов к внутреннему органу. Состояние формируется из-за постепенных кровоизлияний, присутствия внутримозговых опухолей, атрофии зрительного или тройничного нерва. Возникает при хронической интоксикации, воздействии физических факторов, лучевой терапии, длительном лечении нестероидными противовоспалительными препаратами;
- Дисгормональная - возникает на фоне эндокринного дисбаланса со стороны яичников, семенников, щитовидной железы, молочных желез.
Морфологические виды атрофии мозга:
- Гладкая - поверхность мозга сглаживается;
- Бугристая - неравномерное распределение участков некроза формирует особую структуру;
- Смешанная.
Классификация по распространенности повреждения:
- Очаговая - прослеживаются лишь отдельные участки атрофического повреждения мозговой коры;
- Диффузная - распространяется по всей поверхности паренхимы;
- Частичная - некроз ограниченной части мозга;
- Полная - атрофические изменения белого и серого вещества, дегенерация тройничного и зрительного нерва.
Характер морфологических изменений мозга выявляет магнитно-резонансное сканирование. Проводить сканирование следует после появления первых клинических симптомов.
Формы мультисистемной атрофии
Опасность множественных поражений мозговых структур определяется комплексом патологических повреждений со стороны полушарий, подкорковых образований, мозжечка, спинномозгового ствола, белого вещества. Сопутствующие изменения зрительного нерва приводит к слепоте, тройничного нерва - нарушению иннервации лица.
Формы мультисистемной атрофии:
- Оливопонтоцеребеллярная - повреждения мозжечка с нарушением подвижности;
- Стриатонигральная дегенерация - мышечный тремор с проявления Паркинсонизма;
- Синдром Шая-Дрейджера - вегето-сосудистая дистония, снижение артериального давления;
- Амиотрофия Кугельберга-Веландера - атрофия мозга с гипотрофией мышц, гиперплазией соединительнотканных волокон.
Симптоматика определяется преимущественной формой поражения.
Основные стадии атрофических мозговых изменений
Заболевание имеет пять степеней течения. По клиническим симптомам удается верифицировать нозологии, начиная с второй-третьей стадии.
Степени кортикальной атрофии:
- Клинически симптомы отсутствуют, но патология быстро прогрессирует;
- 2 степень - характеризуется снижением коммуникабельности, отсутствием адекватной реакции на критические замечания, увеличивается число конфликтов с окружающими людьми;
- Отсутствие контроля поведения, беспричинный гнев;
- Потеря адекватного восприятия ситуации;
- Исключение психоэмоцинальной составляющей поведенческих реакций.
Выявления любого симптома требует дополнительного изучения структуры мозга.
Принципы диагностики атрофии
Первоначальный этап предполагает сбор анамнеза, осмотр, физикальное обследование. Второй этап - клинико-инструментальные методы (УЗИ, КТ, МРТ головного мозга, сцинтиграфия, ПЭТ/КТ). Повреждение зрительного нерва подтверждается офтальмоскопией, тонометрией, контрастной КТ или МРТ-ангиографией.
Лучшим способом выявления патологии мягких тканей головного мозга является МРТ. Процедуру нужно выполнять несколько раз (с разницей через месяц), чтобы выявить атрофию разной глубины, распространенности.
Магнитно-резонасное обследование выявляет самые мелкие локальные очаги, помогает правильно установить степень прогрессирования болезни.
Мультисистемная атрофия
Мультисистемная атрофия — прогрессирующая дегенеративная патология головного мозга с преимущественным поражением глиальных клеток базальных ганглиев, мозжечка, вегетативных центров. Клинически проявляется сочетанием паркинсонизма с мозжечковой, вегетативной и пирамидной недостаточностью. Диагностируется преимущественно по клиническим данным, дополнительно проводится церебральная МРТ, ортостатическая проба, ЭМГ сфинктеров. Терапия мультисистемной атрофии симптоматическая (сосудистая, нейрометаболическая), большинство случаев резистентны к лечению препаратами леводопы.
Общие сведения
Термин «мультисистемная атрофия» (множественная системная атрофия, МСА) был введён в 1969 году. В 1989 году были обнаружены патогномоничные для МСА цитоплазматические включения в олигодендроглиоцитах. Понятие мультисистемная атрофия объединяет три патоморфологически сходные нозологии, клинически представляющие собой сочетание паркинсонического синдрома, вегетативной дисфункции, мозжечковой атаксии и пирамидной недостаточности. Ранее специалисты в области неврологии относили указанные заболевания в группу «паркинсонизм-плюс». На МСА приходится 10-12% случаев паркинсонизма. Встречаемость патологии в 20 раз меньше чем болезни Паркинсона. Заболеваемость составляет 3 случая на 100 тыс. населения. Дебют клинических проявлений приходится на возраст 50-60 лет. Характерно быстрое прогрессирование симптоматики.
Причины мультисистемной атрофии
Наследственный характер МСА не прослеживается, текущие наблюдения не обнаруживают семейных случаев заболевания. Однако многие исследователи предполагают генетическую детерминированность патологии как предрасположенность к развитию МСА при воздействии неблагоприятных факторов. Отдельные учёные связывают повышенный риск возникновения МСА с полиморфизмом в гене альфа-синуклеина. Этиофакторы, провоцирующие заболевание, точно не определены. Одно из проведённых исследований выявило указания на контакт с токсическими веществами (пестицидами, органическими растворителями) в анамнезе 11% пациентов с МСА.
Патогенез
Механизм развития неизвестен. Особенностью дегенеративных изменений является преимущественное поражение глиальных клеток с накоплением альфа-синуклеина, тау-протеина и ряда других нейронных белков. Патологические включения обнаруживаются в олигодендроглиоцитах надсегментарных двигательных структур (пирамидная, экстрапирамидная система, моторная область коры, мозжечок) и вегетативных центров ЦНС. Наряду с поражением чёрной субстанции происходит дегенерация дофаминовых рецепторов скорлупы, обуславливающее развитие устойчивого к дофаминергической терапии «постсинаптического» паркинсонизма. Морфологическая картина характеризуется асимметричными атрофическими изменениями белого вещества, преобладанием поражения олигодендроглиоцитов, менее выраженным повреждением нейронов. Мультисистемная дегенерация затрагивает строго определённые структуры головного мозга. Каждая клиническая форма имеет свою типичную локализацию дегенеративного процесса.
Классификация
В соответствии с современными взглядами на проблематику мультисистемная атрофия включает три нозологические формы. В основу систематизации положены клинические особенности заболевания. В зависимости от превалирующего синдрома выделяют следующие варианты:
- Стриатонигральная дегенерация (СНД). Дегенеративные изменения наиболее выражены в стриатуме и чёрной субстанции. Ведущим клиническим синдромом является паркинсонизм.
- Оливопонтоцеребеллярная атрофия (ОПЦА). Мультисистемная дегенерация распространяется на мозжечок, нижние оливы и мост. В клинической картине доминирует мозжечковый синдром. К МСА относят только спорадические случаи ОПЦА.
- Синдром Шая-Дрейджера. Превалирует прогрессирующая вегетативная недостаточность с выраженной ортостатической гипотензией. Ряд авторов предлагают не выделять синдром Шая-Дрейджера как третий вариант патологии, поскольку типичная для него вегетативная симптоматика в той или иной степени наблюдается при всех формах МСА.
Симптомы мультисистемной атрофии
Манифестация приходится на возрастной период 45-60 лет. У 60% пациентов МСА стартует нарушениями двигательной сферы, у 40% вегетативной симптоматикой. В начальном периоде в 60% случаев наблюдаются симптомы паркинсонизма: брадикинезия, замедленность движений, шаркающая походка, гипомимия, монотонность голоса. Их отличительной особенностью является изначальная симметричность проявлений. У 30% больных отмечаются мозжечковые расстройства: постуральные нарушения, дисметрия, адиадохокинез, интенционный тремор. В 10% случаев мозжечковая атаксия сочетается с паркинсонизмом.
Развёрнутая мультисистемная атрофия протекает с паркинсоническим синдромом у 90% больных. Мозжечковые нарушения слабо проявлены из-за выраженной ригидности. Об их наличии свидетельствует широкая постановка стоп при ходьбе, скандированный тип речи, усиление тремора в руке при приближении к цели (например, при попытке взять чашку). Смешанное мозжечково-паркинсоническое нарушение речи при МСА, получившее название дизартрофония, представляет собой мозжечковую дизартрию, сочетающуюся с монотонностью и приглушенностью речи. Пирамидная симптоматика характеризуется повышением сухожильных рефлексов и появлением стопных знаков, классические спастические парезы отсутствуют.
Тремор носит постурально-кинетический характер, возникает в результате сочетания дрожательного гиперкинеза и небольших миоклонических подёргиваний. Возможны дистонические проявления (спастическая кривошея, лицевой гемиспазм, фокальные дистонии конечностей), в отдельных случаях наблюдающиеся уже в дебюте заболевания. Вегетативная недостаточность проявляется ангидрозом, расстройством тазовых функций, ортостатическим коллапсом с обмороками, иногда — триадой Горнера, синдромом Рейно. Выраженные нарушения когнитивной сферы нехарактерны.
Осложнения
Тазовые нарушения осложняются присоединением вторичной инфекции с возникновением восходящего воспаления органов мочевыводящей системы: уретрита, цистита, пиелонефрита. При отсутствии своевременного лечения возможно проникновение инфекционных агентов в кровь с развитием сепсиса. Вовлечение в патологический процесс черепно-мозговых нервов приводит к прогрессирующему бульбарному параличу с характерной для него дисфагией. Последняя может осложниться попаданием пищи в дыхательные пути с последующей аспирационной пневмонией. Бульбарный паралич голосовых связок опасен появлением асфиксии, которая может стать причиной внезапной смерти.
Диагностика
Мультисистемная атрофия диагностируется на основании клинических данных, сбор которых зачастую требует наблюдения пациента в динамике. Диагноз вероятной МСА устанавливается при сочетании вегетативной недостаточности с хотя бы одним из следующих синдромов: резистентный к препаратам леводопы паркинсонизм, мозжечковая дисфункция. Против диагноза МСА выступает дебют заболевания до 30-летнего возраста, семейный анамнез, расстройство когнитивной сферы (деменция), наличие другого заболевания, являющегося причиной аналогичной симптоматики. Достоверная диагностика возможна только в результате патоморфологической экспертизы. С целью подтверждения диагноза необходимо проведение следующих исследований:
- Осмотр невролога. В неврологическом статусе выявляется паркинсонизм-плюс — сочетание признаков паркинсонизма с дополнительной симптоматикой (пирамидной, вегетативной, мозжечковой). Когнитивные расстройства, признаки очагового поражения коры (агнозия, апраксия) не определяются.
- МРТ головного мозга. В начальной стадии может соответствовать норме. В дальнейшем обнаруживаются атрофические изменения головного мозга, наиболее выраженные в мозжечке и подкорковых ганглиях. МРТ позволяет исключить рассеянный склероз, энцефалит, опухолевые процессы.
- Исследование вегетативной системы. Проводится ортостатическая проба, подтверждающая выраженное падение артериального давления при переходе в горизонтальное положение. Для диагностики тазовых нарушений осуществляется электромиография сфинктерного аппарата.
Дифференцируется мультисистемная атрофия с болезнью Паркинсона, сосудистым паркинсонизмом, спиноцеребеллярными атаксиями. Главным отличием МСА от классической болезни Паркинсона является наличие дополнительных симптомов, выходящих за рамки расстройств экстрапирамидной системы, слабая эффективность дофаминергической терапии. Сосудистый паркинсонизм отличается сопутствующими когнитивными нарушениями. Спиноцеребеллярные атаксии имеют наследственный характер, в сложных диагностических случаях исключаются при помощи ДНК-диагностики.
Лечение мультисистемной атрофии
Поскольку этиопатогенез остаётся неясным, лечение осуществляется в рамках симптоматической терапии. На начальной стадии заболевания у трети пациентов эффективны фармпрепараты леводопы, однако они усугубляют дистоническую симптоматику и течение ортостатической гипотонии. При отсутствии терапевтического эффекта, выраженных побочных явлениях леводопу отменяют. Применяют средства, улучшающие метаболизм церебральных тканей: вазоактивные, нейрометаболические препараты. Лечение ортостатической дисфункции осуществляется путём наложения компрессионных бинтов на нижние конечности, повышения содержания соли в рационе, приподнимания головного конца кровати.
Прогноз и профилактика
На сегодняшний день мультифокальная атрофия относится к неизлечимым заболеваниям. Симптоматическая терапия позволяет несколько облегчить состояние больного, но не может остановить прогрессирование дегенеративных процессов. Длительность жизни пациентов не превышает 7 лет. Летальный исход обусловлен осложнениями бульбарного синдрома, интеркуррентными инфекциями, сердечно-сосудистой недостаточностью. Профилактические мероприятия не разработаны, поскольку отсутствуют точные данные об этиологии поражения.
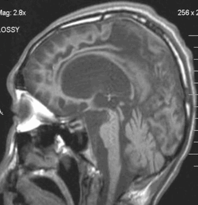
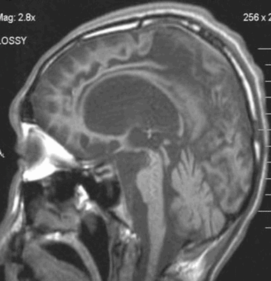
Атрофия головного мозга на МРТ

Магнитно-резонансная томография признана одним из наиболее информативных нейровизуализационных методов исследования. В ходе процедуры получают детальные послойные снимки головного мозга, позволяющие оценить соответствие органа нормам.
МРТ актуальна при диагностике посттравматических состояний, воспалительных, опухолевых, нейродегенеративных изменений. Одно из самых тяжелых нарушений, выявляемых с помощью томографии — атрофия головного мозга. Это хроническое прогрессирующее заболевание, сопровождающееся гибелью нейронов, уменьшением объема и плотности структур головного мозга.

Атрофия лобных и височных долей на МР-сканах
В основе патологии лежат органические изменения в нервной ткани. Прогрессирование атрофии ведет к снижению функциональных возможностей ЦНС. Фактически это означает постепенное угасание работы (инволюцию) мозга вплоть до остановки жизненно важных процессов. Прогнозы неблагоприятные, так как изменения необратимы. Перспективы зависят от этиологии, формы, скорости прогрессирования болезни и качества оказываемой медицинской помощи.
Посредством МР-томографии можно выявить и определить локализацию указанных процессов на ранних этапах развития.
Признаки атрофии головного мозга
Патология может быть первичной и вторичной. Классификация обусловлена причинами развития заболевания. При первичной атрофии выявляют аномалии головного мозга и генетические нарушения. Отклонения могут манифестировать в любом возрасте, часто быстро прогрессируют, сложно поддаются коррекции.

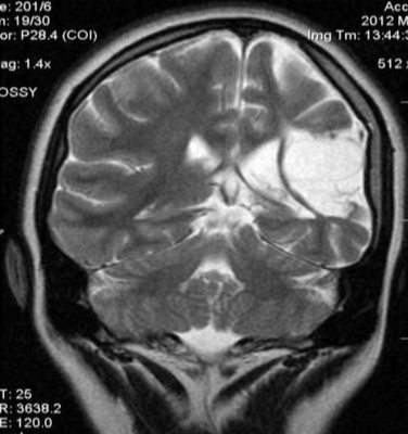
Левосторонняя инволюция ткани головного мозга
Вторичная атрофия связана с воздействием внешних и внутренних неблагоприятных факторов. Инволюция нервной ткани может быть следствием черепно-мозговых травм, патологий сосудов, метаболических нарушений, вредных привычек, воздействия радиации и т.д. В данном случае устранение причины может способствовать замедлению развития заболевания. Правильная медикаментозная терапия способна обеспечить стабильное удовлетворительное состояние и качество жизни пациента на долгие годы.
Клинические проявления атрофии включают расстройства высшей нервной деятельности, нарушения синхронизации функций различных частей организма.
Симптомами заболевания могут быть:
проблемы со скелетной мускулатурой (от снижения тонуса до полной утраты способности двигаться);
снижение слуха и зрения вплоть до полной утраты;
речевые нарушения (от обеднения словарного запаса до невозможности изъясняться);
снижение или утрата обоняния;
изменение чувствительности разных частей тела;
нарушение координации движений;
потеря пространственной ориентации;
изменение поведения (от раздражительности до паранойи);
эмоциональная нестабильность (от чрезмерного возбуждения до полной аутизации).
Проблема диагностики атрофии головного мозга заключается в отсутствии или слабом проявлении симптомов на ранних этапах развития заболевания. Выделяют следующие стадии патологии:
Первая. Органические изменения в мозге минимальны, но уже присутствует слабая неврологическая симптоматика. Отмечают снижение способности к концентрации внимания, расстройство памяти, эмоциональную лабильность.
Вторая. Появляются нарушения слуха, зрения, речи. Существенно меняется поведение человека, возможны нелогичные поступки, которые сам больной не может объяснить или сразу забывает.
Третья. Личностная деградация достигает апогея. Больной теряет способность обслуживать себя самостоятельно, переходит в полную зависимость от окружающих. В таком состоянии человек может прожить несколько лет. Смерть наступает в результате разрушения центров по контролю жизненно-важных функций.
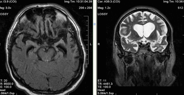
Как выглядит атрофия головного мозга на МРТ?

Диффузная атрофия головного мозга с вентрикуломегалией
Явление дифференцируют с истинной гидроцефалией. Главный МРТ-признак атрофии головного мозга — пропорциональное расширение внутренних и наружных ликворных церебральных пространств, что указывает на уменьшение объема структур органа. Выраженность изменений оценивают с помощью церебро-вентрикулярного индекса (ЦВИ Эванса). Учитывают и другие отклонения в ткани головного мозга.
Симптомы патологии на МРТ-снимках:
увеличение ЦВИ Эванса;
расширение субарахноидальных борозд и щелей;
снижение плотности мозговой ткани;
дистрофия белого вещества;
уменьшение долей мозга в размерах.
В зависимости от локализации патологических изменений и степени вовлеченности структур атрофия может быть:
кортикальной (главный признак — инволюция коры на уровне лобных и височных долей);
мультисистемной или диффузной (очаги обнаруживаются сразу на нескольких участках);
генерализованной (изменения происходят во всех отделах органа).
Методы диагностики МСА на ранних стадиях

Аутопсическим индикатором становится большое скопление α-синуклеина в олигодендроцитах вкупе со стриатонигральной дегенерацией или оливопонтоцеребеллярной атаксией.
МСА выделилась в отдельную нозологическую форму в 1969 г., обобщив три ранее отдельных диагноза. До начала XX века заболевание существовало под разными названиями: стриатонигральная дегенерация (СНД), оливомостомозжечковая атрофия (ОПЦА) и синдром Шая-Дрейджера (по имени исследователей Джорджа Милтона Шая и Глена Алберта Дрейджера).Термин МСА служит отныне отдельной клинико-патоморфической единицей для разнообразных сочетаний симптомов МСА. Термин «синдром Шая-Дрейджера» более не используется.
На данный момент заболевание имеет два подкласса: МСА-п (паркинсонического типа, или стратонигральная дегенерация, MSA-p - англ.) и МСА-ц (оливопонтоцеребеллярная атрофия, MSA-c - англ.). Различие двух типов становится ярче по мере прогрессирования заболевания.
Диагностика МСА очень затруднительна. Как правило, начало болезни приходится на шестой десяток жизни пациента. Продолжительность жизни варьируется от 6 до 15 лет после постановки диагноза.
Симптоматика носит смешанный характер: помимо паркинсонизма, мозжечковой атаксии, двигательной атаксии, ортостатического коллапса , выявляются проблемы вегетативной системы (см. Табл. 1, и рис.1). Преобладание паркинсонизма или же мозжечковой атаксии предопределяет возможность (possible) или вероятность заболевания (probable, definite) и выбор подтипа.

Рис. 1 Мультидисциплинарное проявление МСА. Перевод на русский язык. Источник: Fanciulli, Alessandra, and Gregor K. Wenning. “Multiple-system atrophy.” New England Journal of Medicine 372.3 (2015): 249-263
В ходе лечения на первых порах можно отметить реакцию на леводопосодержащие медикаменты, но со временем их эффективность снижается. Для обоих типов МСА характерно драматически быстрое развитие болезни. Потеря автономности пациента сопровождается трудностями пищеварения, дыхания (стридор может вести к необходимости трахеостомии). По статистике, приведённой A. Фанчулли и Г. Веннингом, во время сна у 40% пациентов замечено ночное апноэ. На поздних стадиях заболевания следует избегать условий для развития пневмонии. Кроме того, МСА сопутствует гипертензия в позе лёжа. Во время сна у пациентов отмечается нарушение движений глазных яблок во время быстрого сна [5]. Также замечено уменьшение потоотделения, недержание (в т.ч. ночной полиурией), у мужчин - эректильная дисфункция. При этом следует учитывать, что последние два из перечисленных симптомов могут быть не связаны с МСА. Но в любом случае требуется превентивное и постоянное лечение инфекций мочевыводящих путей.
На более развитых стадиях болезни у 50% пациентов по статистике Фанчулли и Веннинга испытывают парализующую боль. Характерным условием для развития этого симптома была дистония. Симптом чаще наблюдается у женщин.
В обыденной жизни пациенты сталкиваются не только с ограничениями медицинского характера, но и с каждодневными трудностями, которые накладывает болезнь. Внешние проявления болезни выражаются в необычной походке, положении головы. Из-за спазмов на лице больных МСА иногда появляется “сардоническая улыбка”. При МСА-п непроизвольно происходит сильный наклон или вытягивание головы вперёд. Скованность и замедленность движений затрудняют выполнение рутинных задач.
Редкое заболевание известно далеко не всем, и порой вызывает непонимание окружающих. Поэтому в публичных местах из-за физических ограничений пациенты испытывают стресс, ограничивают себя в социализации, избегают людных мест, что создаёт дополнительные факторы для усугубления сопутствующей депрессии и психологического дискомфорта (см. «нейропсихологические проявления», Табл. 1).
Читайте также:
- Желчевыводящие пути и желчный пузырь. Строение желчного пузыря.
- Диагностика остеосаркомы грудной клетки на рентгене, КТ
- Трахеостомия у детей. Стоматологические операции у детей
- Ценность медиастинотомии. Метастазы рака легкого в средостение
- Рост базальноклеточного рака. Структура базальноклеточного рака.
