Ценность медиастинотомии. Метастазы рака легкого в средостение
Добавил пользователь Владимир З. Обновлено: 22.01.2026
Рак легких является достаточно опасным онкологическим заболеванием. Около половины всех пациентов умирают в течение года после постановки диагноза. Наиболее грозным является рак легких с метастазами, так как в этом случае опухолевый процесс распространяется на другие органы. Эта особенность затрудняет лечение и неблагоприятно сказывается на прогнозе.
Метастазы образуются в результате переноса раковых клеток из первичного очага. Наиболее значимым является гематогенное метастазирование ввиду активного кровоснабжения легких. Кроме того, метастазы могут развиваться и при переносе раковых клеток лимфатической жидкостью. Независимо от пути распространения, метастазы являются очень опасными, особенно если они поражают жизненно важные органы. В этом случае развиваются дополнительные симптомы, которые не характерны для локального рака легких.
Клинические проявления рака легких с метастазами
На начальных стадиях рак легкого, как правило, себя не проявляет. Первые симптомы затрагивают только дыхательную систему. Среди них отмечаются:
- Кашель с кровью.
- Затрудненное дыхание.
- Боль в проекции легких.
- Одышка.
- Изменение голоса.
- Развитие пневмонии.
Рак легких с метастазами в печени и почках
Почки и печень играют важную роль в процессе обезвреживания и выведения токсических веществ, поэтому эти органы хорошо кровоснабжаются и чаще всего поражаются метастазами. В частности, при раке легких метастазы данной локализации выявляются достаточно часто. В результате функция данных органов нарушается, что в конечном итоге сказывается на состоянии пациента.
Симптомы распространения метастазов на почки и печень при раке легких:
- Пожелтение кожных покровов и склер глаз из-за замедленного вывода билирубина.
- Потемнение мочи и осветление кала.
- Асцит (скопление жидкости в брюшной полости).
- Проблемы с перевариванием пищи из-за недостаточного продуцирования желчи.
- Постоянное ощущение тошноты, независимо от приема пищи.
- Появление крови в моче.
- Изменение показателей биохимического анализа крови.
Кроме того, пациенты могут предъявлять жалобы на боль в области поясницы (при появлении метастазов в почках) и в области правого подреберья (при метастазировании рака легких в печень).
Рак легких с метастазами в костях и позвоночнике
Поражение костных структур и позвоночника происходит на 3- 4 стадии рака легких. Наиболее часто метастазами повреждается тазобедренный сустав, позвоночник, ребра, плечевая кость и др. Помимо основных симптомов, характерных для рака легких, в этом случае могут развиваться следующие клинические проявления:
- Патологические переломы.
- Острые боли при ходьбе и выполнении различных движений.
- Нарушение подвижности рук и ног.
- Развитие межреберной невралгии.
Также при разрушении костей повышается уровень кальция в крови, что приводит к появлению таких симптомов, как усталость, плохой аппетит, сухость во рту, постоянная жажда.
Метастазы рака легких в головном мозге

При раке легких мозг реже повреждается вторичным опухолевым процессом, чем печень. Однако такие нарушения являются одними из самых тяжелых и существенно ухудшают прогноз. При распространении метастазов из первичного очага рака легких в различные отделы головного мозга, развиваются следующие симптомы:
- Нарушение зрения, слуха, речи, глотания.
- Сильные головные боли, которые сложно устранить обычными средствами.
- Нарушение чувствительности и двигательной активности различных участков тела.
- Нарушение процессов мочеиспускания и дефекации.
- Снижение интеллектуальных способностей.
Очень часто при метастазировании рака легких в головной мозг, пациент утрачивает способность к самообслуживанию и не может выполнять простейшие действия, поэтому он нуждается в регулярном наблюдении и уходе.
Метастазы рака легких в лимфатических узлах
При раке легких поражению подвергаются, в первую очередь, регионарные лимфатические узлы, расположенные рядом с опухолью. По мере прогрессирования основного заболевания, метастазы выявляются и в более отдаленных лимфоузлах. При этом развиваются симптомы, которые не характерны для рака легких на начальных стадиях. Среди них можно выделить:
- Выраженное снижение иммунитета.
- Увеличение и болезненность лимфоузлов при пальпации.
- Изменение в показателях крови.
- Значительное снижение массы тела.
В некоторых случаях симптомы поражения лимфатических узлов проявляются раньше, чем симптомы первичного очага в легких. Однако не все люди догадываются, что проблема связана со злокачественной опухолью и поэтому не придают значения данным проявлениям.
Лечение рака легких с метастазами
Эффективное лечение пациентов с раком легких при осложнениях в виде метастазов в других органах практически невозможно. Исключение составляют те случаи, когда первичную опухоль можно удалить хирургическим путем, и при этом у пациента обнаруживаются единичные метастазы, которые также поддаются удалению. В остальных случаях основной целью лечения является замедление развития рака легких, снижение выраженности симптомов, улучшение качества жизни пациента и увеличение ее продолжительности. Такое лечение рака легких подразумевает применение консервативных методов.

Таргетная терапия
Таргетная терапия воздействует непосредственно на клетки рака легких. Подходящие препараты назначают в зависимости от того, какой ген в организме подвергся мутации:
- Если изменения произошли в гене ALK или ROS1, то больным назначают Кризотиниб.
- При мутациях в гене EGFR назначают Афатиниб.
- При изменениях в гене BRAF применяют Траметиниб.
Препараты, которые применяются при таргетной терапии рака легких, действуют разными способами. Одни нарушают кровоснабжение опухоли, другие блокируют ферменты, которые необходимы для размножения раковых клеток. Независимо от механизма действия, отмечается один и тот же эффект — замедление роста, а в некоторых случаях и уменьшение первичного очага, снижение скорости распространения метастазов, улучшение общего состояния пациента.
Химиотерапия при раке легких
В большинстве случаев применяется полихимиотерапия, которая подразумевает назначение двух или более препаратов. Точные схемы, количество курсов и общая продолжительность лечения подбираются индивидуально для каждого пациента. В отличие от таргетной терапии, химиотерапия влияет и на здоровые клетки, которые активно делятся. Поэтому при лечении рака легкого таким способом отмечается высокая вероятность развития побочных эффектов.
Симптоматическое лечение рака легких с метастазами
В эту группу входят методы, направленные на устранение симптомов, которые связаны с поражением легких и других органов, пораженных метастазами. Наиболее часто пациенты нуждаются в снятии болезненных ощущений, которые невозможно устранить обычными препаратами, которые продаются в аптеке. В этих случаях при раке легких назначают наркотические анальгетики, которые вводятся при помощи капельниц в стационаре под контролем медицинского персонала. Дополнительно назначаются препараты других групп (антибиотики, противовоспалительные средства), которые призваны устранить симптомы у конкретного пациента.
Сколько живут при раке легких с метастазами
Вопрос продолжительности жизни всегда волнует пациентов, которые столкнулись со злокачественным поражением легких. При распространении процесса на другие органы, прогноз будет самым неблагоприятным. Точная продолжительность жизни при раке легких зависит от многих факторов. Наибольшее значение имеет точная локализация метастазов, их количество, размер и локализация первичного очага, общее состояние пациента. Например, при метастазировании рака легких в печень, средняя продолжительность жизни составляет около 6 месяцев. Если метастазы выявляются в головном мозге, то этот показатель увеличивается до года. При распространении рака легких на лимфатические узлы и костную систему, средняя продолжительности жизни может составить 2-3 года.
Метастазы в легкие
Метастазы в легкие - вторичные новообразования, возникшие при миграции злокачественных клеток из другого органа. На начальной стадии проявляются симптомами общей интоксикации и повторяющимися простудными заболеваниями. В последующем появляются одышка, боли в области грудной клетки и кашель с примесью крови. Диагноз выставляется с учетом клинических проявлений, данных рентгенографии, КТ грудной клетки, гистологических и цитологических исследований. Лечение - химиотерапия, радиотерапия, лазерная резекция, радиохирургия и традиционные хирургические вмешательства.


Общие сведения
Метастазы в легкие - вторичные злокачественные очаги в легочной ткани. Возможен лимфогенный, гематогенный или имплантационный путь миграции клеток из новообразования, расположенного в другом органе. Являются одними из самых распространенных вторичных опухолей. Среди пациентов преобладают мужчины старше 60 лет. Прогноз при метастазах в легких обычно неблагоприятный. Из-за множественного метастазирования, позднего обнаружения очагов в легочной ткани и сопутствующего поражения других органов радикальное лечение, как правило, невозможно. Исключением являются солитарные метастазы в легких, возникшие спустя долгое время после проведения специфической терапии либо оперативного удаления первичного новообразования. Лечение проводят специалисты в сфере онкологии и пульмонологии.

Этиология и патанатомия метастазов в легкие
Причиной частого поражения легочной ткани при злокачественных новообразованиях различной локализации является хорошо развитая сеть кровеносных и лимфатических сосудов в ткани легкого. Клетки первичной опухоли мигрируют по лимфатической или кровеносной системе, оседают в легочной ткани или под плеврой и дают начало метастазам.
Кроме того, возможно имплантационное (аспирационное) метастазирование, при котором злокачественные клетки распространяются по бронхам из распадающегося новообразования верхних дыхательных путей, бронха, легкого или агрессивно растущей опухоли близлежащего органа. Вторичные опухоли в легочной ткани могут сами становиться источником метастазов в других органах.
Метастазы в легких чаще диагностируются при первичном раке молочной железы, желудка, пищевода, мочевого пузыря, колоректальном раке, раке простаты, печени, меланоме и опухолях почек, но могут выявляться и при других онкологических заболеваниях. Обычно представляют собой узлы диаметром от нескольких миллиметров до 5 и более сантиметров. Чаще бывают множественными. Метастазы в легких при меланоме могут быть коричневыми, буровато-черными, белыми или частично пигментированными. Узлы при саркоме и раке - белыми либо розовато-серыми. Реже метастазы в легких представляют собой диффузную сеть, распространяющуюся под плеврой и в толще легочной ткани - такие вторичные новообразования обнаруживаются при раковом лимфангите, обусловленном миграцией злокачественных клеток по лимфатическим сосудам.
Классификация метастазов в легкие
Метастатические очаги в легких классифицируют по нескольким признакам:
- По типу новообразований: очаговые и инфильтративные формы.
- По количеству вторичных опухолей: солитарные (одиночные), единичные (не более 3), множественные (более 3).
- По диаметру: крупные и мелкие.
- По локализации: односторонние и двухсторонние.
С учетом особенностей распространения различают две формы метастазов в легких: диссеминированную и медиастинальную. При диссеминированной форме в легочной ткани выявляются множественные вторичные опухоли (как правило - преимущественно в нижних отделах). При медиастинальной форме вначале поражаются лимфатические узлы средостения, а потом опухолевые клетки по лимфатическим сосудам мигрируют в ткань легкого. С учетом особенностей рентгенологической картины выделяют четыре формы метастазов в легкие:
- Узловая. Включает в себя солитарную и множественную формы. На рентгенограммах выявляются узлы с четкими контурами, локализующиеся преимущественно в нижних отделах. Легочная ткань за пределами очагов сохраняет свою нормальную структуру.
- Псевдопневматическая (диффузно-лимфатическая). На снимках обнаруживаются множественные тонкие тяжи уплотненной ткани, расположенные в перибронхиальной зоне. Ближе к очагу тяжи имеют расплывчатые контуры, по мере удаления границы уплотнений становятся более четкими.
- Плевральная. Напоминает картину экссудативного плеврита. В плевральной полости может выявляться выпот. На поверхности легких обнаруживаются бугристые напластования.
- Смешанная. Наблюдается сочетание двух или более вышеописанных форм.
При определении тактики лечения метастазов в легких имеет значение степень чувствительности опухоли к различным видам терапии. С учетом этого показателя можно условно выделить следующие типы метастазов в легких:
- Реагирующие на радиотерапию и химиотерапию (при остеогенной саркоме, раке яичника и раке яичка).
- Устойчивые к химиотерапии (при раке шейки матки и меланоме).
- Реагирующие на гормональную терапию (при гормональноактивных новообразованиях половых органов).
Симптомы метастазов в легкие
На начальной стадии метастазы в легкие обычно протекают бессимптомно. Могут выявляться общие признаки онкологического заболевания: немотивированная слабость, апатия, анемия, потеря аппетита, снижение массы тела, повышение температуры тела. Первым проявлением метастазов в легкие обычно становятся повторяющиеся простудные заболевания: грипп, бронхит, пневмония. Иногда симптомы возникают только на заключительной стадии, при множественных узлах в легких, вовлечении бронхов и плевры.
При поражении значительной части легкого либо сдавлении бронха развивается одышка. Кашель при метастазах в легких вначале сухой, чаще возникает по ночам. В последующем появляется слизисто-гнойная мокрота без запаха, нередко - с примесью крови. При сужении бронхов мокрота становится более густой, гнойной. Возможны легочные кровотечения. Метастазы в легкие, распространяющиеся на плевру, ребра и позвоночник, провоцируют развитие болевого синдрома. При метастазах в лимфоузлах левой части средостения может наблюдаться осиплость голоса и афония, при поражении лимфоузлов правой части средостения - отек верхней половины тела, обусловленный сдавлением верхней полой вены.
Диагностика метастазов в легкие
Диагноз выставляется с учетом анамнеза, клинических проявлений, результатов инструментальных и лабораторных исследований. Пациентов с подозрением на метастазы в легких направляют на рентгенографию грудной клетки, позволяющую оценивать состояние легочной ткани, определять тип, характер и количество вторичных новообразований, наличие выпота в плевральной полости. Пациентам также назначают КТ легких - эта современная методика дает возможность выявлять мелкие метастазы диаметром менее 0,5 мм, в том числе расположенные субплеврально.

КТ ОГК. Множественные мягкотканные очаги в обоих легких у пациента с первичным раком предстательной железы
При необходимости снизить лучевую нагрузку (при метастазах в легких у детей, при многочисленных исследованиях для выявления первичного очага и метастатических поражений других органов, при продолжительном наблюдении) и подозрении на наличие мелких метастазов проводят МРТ легких - эта методика позволяет обнаруживать вторичные очаги диаметром менее 0,3 мм. Метастазы в легкие подтверждают на основании результатов цитологического исследования мокроты и плеврального выпота или гистологического исследования биоптата, полученного в процессе бронхоскопии, чрескожной пункционной биопсии легкого или (реже) открытой биопсии.
Для выявления метастазов других локализаций проводят расширенное обследование, включающее в себя УЗИ органов брюшной полости, сцинтиграфию костей скелета, КТ и МРТ позвоночника, КТ и МРТ головного мозга, УЗИ органов малого таза, УЗИ забрюшинного пространства и другие исследования. Метастазы в легкие дифференцируют с периферическим раком легких, доброкачественным новообразованием легкого, пневмонией, кистой легкого и туберкулемой.
Лечение при метастазах в легких
Лечебная тактика определяется видом первичной опухоли, ее реакцией на терапию, количеством и диаметром метастазов в легких, наличием или отсутствием метастатического поражения других органов, общим состоянием пациента и некоторыми другими факторами. Основной лечебной методикой обычно является химиотерапия, которая может применяться изолированно или в сочетании с другими методами. При метастазах в легких, возникших при диссеминации гормонозависимых опухолей, назначают гормональную терапию. Наилучший эффект гормонального лечения отмечается при раке простаты и раке молочной железы.
Радиотерапию назначают при вторичных очагах ретикулосаркомы, саркомы Юинга, остеогенной саркомы и некоторых других опухолей, чувствительных к лучевому воздействию. Показания к хирургическому лечению при метастазах в легких ограничены. Оперативное вмешательство целесообразно при одиночных метастазах, изолированном поражении периферической части легкого, контролируемом первичном новообразовании и отсутствии метастазов в другие органы. Иногда двухэтапную резекцию легкого и резекцию печени выполняют при одиночных метастазах в легком и метастатическом раке печени. В ряде случаев применяют радиохирургию либо осуществляют лазерную резекцию вторичного очага. При сдавлении крупных бронхов производят эндобронхиальную брахитерапию.
Прогноз при метастазах в легких
Прогностически неблагоприятными факторами считаются появление метастазов в легких ранее, чем через год после радикального лечения первичного новообразования, диаметр узлов более 5 см, быстрый рост вторичных очагов и увеличение внутригрудных лимфоузлов. Длительное выживание в некоторых случаях возможно после хирургических вмешательств по поводу одиночных метастазов в легких, возникших спустя год и более после радикального лечения первичной опухоли.
К числу факторов, не оказывающих существенного влияния на продолжительность жизни при метастазах в легких, относят локализацию вторичного очага (центральный или периферический), сторону поражения, наличие либо отсутствие метастатического поражения плевры. Пятилетняя выживаемость пациентов с одиночными метастазами в легких после проведения комбинированной терапии составляет около 40%. Наилучшие результаты отмечаются при первичных новообразованиях тела матки, костей, почек, молочной железы и мягких тканей.
Медиастинотомия
Весь контент iLive проверяется медицинскими экспертами, чтобы обеспечить максимально возможную точность и соответствие фактам.
У нас есть строгие правила по выбору источников информации и мы ссылаемся только на авторитетные сайты, академические исследовательские институты и, по возможности, доказанные медицинские исследования. Обратите внимание, что цифры в скобках ([1], [2] и т. д.) являются интерактивными ссылками на такие исследования.
Если вы считаете, что какой-либо из наших материалов является неточным, устаревшим или иным образом сомнительным, выберите его и нажмите Ctrl + Enter.
Одной из процедур торакальной хирургии является медиастинотомия (лат. mediastinum - средостение + греч. tome - сечение), которая заключается в открытии прямого доступа к анатомическим структурам, расположенным в центральных отделах грудной полости.
Показания
Прямой доступ предполагает разрез (хирургический надрез, рассечение тканей), и медиастинотомия - это выполнение такого рассечения в верхней части грудной клетки, в результате чего образуется небольшое отверстие, ведущее в средостение.
Основные показания к проведению данной хирургической процедуры связаны с диагностикой. Во-первых, это необходимость визуализации патологических образований и лимфатических узлов с помощью вводимого в медиастинальное пространство эндоскопа или пальпаторного исследования врачом. И такую процедуру называют медиастиноскопией. [1]
Во-вторых, это проведение гистологического (морфологического) исследования тканей - биопсии, для которой необходимо взять ее образец (биоптат). Только биопсия дает возможность определить характер новообразований средостения, а ее проведение методом трансторакальной аспирации далеко не всегда бывает удачным. [2]
Таким образом, медиастинотомия бывает необходима для гистологического подтверждения диагноза или выявления подозреваемых заболеваний и предполагаемых патологических состояний, включая:
- рак легких - с уточнением стадии, степени метастазов в лимфатические узлы и резектабельности опухоли (в соответствии с общепринятой номенклатурой поражения лимфоузлов - картой стадирования MD-ATS);
- локализованные в средостении лимфомы (лимфобластная, Т-клеточная, Ходжкина);
- бронхогенную карциному; (которое может свидетельствовать о злокачественном новообразовании); ;
- расширение средостения неясной этиологии;
- гнойный медиастинит;
- гиперплазию и опухоль тимуса (вилочковой железы);
- нейрогенные опухоли, локализующиеся в паравертебральной (околопозвоночной) борозде.
Кроме того, медиастинотомическим доступом производится резекция пораженных лимфоузлов, а также лечение (путем удаления нагноения и дренирования) абсцесса средостения и инфекций заглоточного пространства, которые часто распространяются в средостение - в его передний и задний отделы. [3]
Через медиастинотомию в области шеи проводится удаление вилочковой железы -трансцервикальная тимэктомия, а передняя медиастинотомия применяется для установки электродов кардиостимулятора.
Метастазы в лимфоузлах
В медицинской практике известны следующие пути распространения злокачественных новообразований:
- лимфогенное;
- гематогенное;
- смешанное.
Лимфогенное метастазирование характеризуется проникновением опухолевых клеток в лимфатический сосуд и далее посредством тока лимфы в близлежащие или отдаленные лимфатические узлы. Лимфогенным путем чаще распространяются эпителиальные раковые образования (например, меланома). Опухолевые процессы во внутренних органах: желудке, толстой кишке, гортани, матке - способны таким образом создавать метастазы в лимфоузлах.
К гематогенному пути относят распространение опухолевых процессов с помощью тока крови из пораженного органа в здоровый. Причем лимфогенный путь приводит к регионарным (близлежащим к пораженному органу) метастазам, а гематогенный способствует распространению пораженных клеток в отдаленные органы. Лимфогенное метастазирование хорошо изучено, что позволяет распознавать большую часть опухолей на этапах зарождения и оказывать своевременную медицинскую помощь.
В зоне шеи лимфатические узлы составляют коллектор, накапливающий лимфу, поступающую из органов головы, грудины, верхних конечностей, а также из брюшины, туловища и ног. Медики установили закономерность между путем метастазирования и ходом лимфатического русла. В связи с этим метастазы в лимфоузлах, расположенные на уровне подбородка и под челюстью, выявляются при опухолевых процессах нижней губы, переднего отдела языка и ротовой полости, верхней челюсти. Метастазы злокачественных новообразований задних отделов языка, дна рта, щитовидной железы, зон глотки и гортани распространяются в лимфатические узлы зоны шеи, а именно в область сонного сосудисто-нервного пучка. Метастазы в лимфоузлах области над ключицей (снаружи грудино-ключично-сосцевидной мышцы) нередко развиваются при раке молочной железы или легких. Злокачественные новообразования брюшинного отдела метастазируют в лимфатические узлы над ключицей (внутрь грудино-ключично-сосцевидной мышцы). Паховые лимфоузлы содержат метастазы при раке нижних конечностей, зон крестца и ягодиц, а также наружных половых органов.
Под метастазом понимают вторичное патологическое поражение клеток, разрастающееся в тканях человеческого организма из очага первичного заболевания.
Функция лимфатической системы - поддержание обменных процессов, а также очистительная (фильтрующая) на клеточном уровне, как дополнение сердечнососудистой системы. Лимфатические узлы объединены в группы в соответствии с локализацией в теле человека и служат для выработки лимфоцитов - иммунных клеток, борющихся с вредоносными чужеродными микроорганизмами, проникающими в организм.
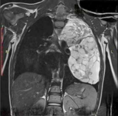
Опухоли средостения: что это такое, классификация.
Опухоли средостения - общее название новообразований, которые расположены в медиастинальном пространстве груди. В 40% случаев диагностирования опухоли являются злокачественными, и тогда ставится диагноз рак средостения. Все опухоли делятся на две большие группы - первичные и вторичные. В первом случае речь идет о тех новообразованиях, которые формируются непосредственно в области средостения, во втором - опухоли образуются сначала в тканях, расположенных вне обозначенной области, а рак средостения развивается уже из метастаз. Иногда опухоли средостения называют рак тимуса, но это не совсем корректное обозначение диагноза. Дело в том, что он обозначает наличие злокачественных клеток в вилочковой железе, тогда как опухоли средостения могут начать свой рост и из других структур.


В зависимости от локализации опухоли различают следующие виды злокачественных новообразований:
- передняя часть средостения - герминогенные опухоли, тимомы, лимфомы, дизэмбриогенетические опухоли, феохромоцитомы;
- средняя часть средостения - метастатическая карцинома, лимфома;
- задняя часть средостения - нейрогенные опухоли, вторичные опухоли (меланомы, саркомы).
Отдельно в медицине рассматриваются мезенхимальные опухоли - представляют собой рак мягких тканей, к таковым относятся липомы и гемангиомы, лейомиосаркомы и фибромы. Поражают разные части средостения, относятся к группе вторичных, потому что «вырастают» из метастаз.
К редким опухолям средостения относятся липо- и фибросаркомы. Их опасность заключается в том, что они долгое время протекают бессимптомно и пациент обращается за помощью к врачу при выраженных нарушениях, когда рак находится уже на 3 и 4 стадии развития. Также к этой группе относится рак тимуса (тимома) - развивается в клетках вилочковой железы.
Какие симптомы укажут на рак средостения?
Рак может протекать в двух стадиях - бессимптомной и с выраженными признаками. Продолжительность прогрессирования опухоли средостения без симптомов зависит от нескольких факторов - место локализации новообразования, уровень общего иммунитета, возраст человека. Часто бессимптомно протекающий рак диагностируется случайно, во время проведения стандартной процедуры флюорографии в рамках диспансеризации.
К основным признакам рака средостения относятся:
- кашель - сухой, приступообразный, не проходящий даже после прохождения курса лечения;
- одышка - появляется сначала после физических нагрузок, но очень быстро начинает беспокоить человека и в покое;
- боль в области груди - возникает спонтанно, периодически исчезает, усиливается во время кашля, носит давящий характер;
- кровохарканье - симптом, присущий редким опухолям средостения, свидетельствует о стремительном росте опухоли и повреждении структур дыхательных путей;
- внезапное похудение - больной начинает терять вес даже на фоне привычного аппетита: до 15 кг в течение 3-4 недель;
- общая слабость - больной испытывает постоянное желание лечь и отдыхать, работоспособность уменьшается и не восстанавливается даже после качественного отдыха;
- незначительное повышение температуры тела - происходит спонтанно, не превышает субфебрильных показателей.
Злокачественные опухоли растут достаточно быстро, поэтому переход из бессимптомной стадии в форму с выраженной клинической картиной недолгий. Могут проявляться и дополнительные симптомы типа отечности верхней части туловища и лица, синюшного цвета лица, расширения подкожных вен шеи.
Самым ранним проявлением рака средостения считается болевой синдром, особенно часто он проявляется при раке тимуса. В таком случае боли идентичны приступам стенокардии. Существует и ряд специфичных признаков опухолей средостения:
- для мезенхимальных опухолей характерны зуд кожи и повышенная потливость в ночное время суток;
- герминогенные опухоли могут сопровождаться птозом (опущением) век, понижением уровня глюкозы в крови;
- при нейрогенных опухолях нередко отмечается спонтанное повышение артериального давления;
- редкие опухоли средостения проявляются изжогой, диареей (поносом).
Общие симптомы, слабовыраженная клиническая картина, многообразие признаков, которые присущи и другим патологиям, делают диагностику только по жалобам пациента и стандартным обследованиям практически невозможной. Кроме этого, опухоли средостения могут быть и доброкачественными - например, рак тимуса по своей клинической картине полностью идентичен признакам доброкачественных новообразований в вилочковой железе.
Диагностика опухоли средостения.
Опухоль средостения может быть диагностирован инструментальными методами, которые являются самыми информативными:
- В большинстве случае комплексного рентгенологического исследования достаточно для выявления опухоли разных отделов средостения, в том числе и рака тимуса. Врачи не только подтверждают факт наличия новообразования, но и могут дать ему характеристику - форму, размер и локализация. Если подозревается рак средостения любого вида, то пациенту назначается рентгеноскопия грудной клетки. Если есть подозрение на развитие мезенхимальной опухоли, то проводится рентгенография пищевода. Назначается для подтверждения диагноза и получения данных о нейрогенной опухоли - размер, степень распространения, форма, точная локализация. Данные такого исследования более точные, чем рентгенография. На их основе врач может проработать тактику проведения хирургического вмешательства. Дополнительно выполняется магнитно-резонансная томография, она дает возможность определить степень поражения мягких тканей средостения, подтвердить или опровергнуть факт распространения метастаз в лимфатические узлы. Опухоли средостения могут прорастать в бронхи, трахею и для исключения или подтверждения такого роста используется бронхоскопия, видеоторакоскопия или медиастиноскопия.
Если перечисленных обследований недостаточно, то назначается хирургическая биопсия. Морфологическое исследование биологического материала позволяет полностью охарактеризовать рак средостения. Эта манипуляция важна для классификации опухоли - будет ли диагностирован именно рак тимуса или опухоль представляет собой доброкачественное образование.
Если есть подозрение на тимому (рак тимуса), то целесообразно проводить ультразвуковое исследование. Оно не выявит опухоль средостения, но даст возможность оценить состояние лимфатических узлов и жировой ткани в подключичной области.
К общим методам диагностики относятся анализы крови (общий, биохимический, коагулограмма), анализ мочи (общий), ЭКГ.
Лечение опухолей средостения.
Самым эффективным методом лечения опухолей средостения считается его хирургическое удаление, которое всегда сопровождается и специфической терапией. Если диагноз был поставлен на ранней стадии, врач может четко определить размер и форму опухоли, то применяется радиохирургический метод ее удаления по системе КиберНож. В случае больших размеров опухоли средостения удаляются классическим хирургическим методом с последующей химиотерапией. Диагностирование рака на поздней стадии делает нецелесообразным оперативное удаление новообразования, поэтому пациенту назначают только поддерживающее лечение (химиотерапия или лучевая) - рак средостения прекращает стремительно разрастаться, снижается вероятность распространения метастаз, облегчается симптоматика.
Если диагностирован рак тимуса (тимома), то врач опирается на данные исследований - каков размер опухоли средостения, есть ли ее разрастание. В некоторых случаях сначала проводится несколько курсов химиотерапии и только после этого назначается хирургическое лечение. Дополнительно, после проведения операции по удалению опухоли средостения, пациенту назначают гормональные препараты, иммуноподдерживающие средства.
Принимать решение о проведении терапевтического лечения или хирургического удаления опухоли средостения может только лечащий врач. Операция выполняется только в том случае, если специалист будет уверен в том, что он сможет удалить сразу все новообразование. Так как диагноз рак средостения часто ставится на поздних стадиях заболевания, то даже хирургические методы могут быть бесполезными по причине распространения метастаз, поражения внутренних органов и мягких тканей вокруг средостения.
Прогноз рака средостения.
Теоретически прогнозы на выздоровление при диагностировании опухоли средостения (рака тимуса) положительные. Но проблема заключается в сложностях диагностики - клиническая картина не типичная для злокачественных образований, часто люди либо предпринимают попытки лечения сами, либо обращаются со стандартными жалобами к врачу и им ставят неверный диагноз. Пока проводится лечение неверного заболевания, время проходит и наступает рак, средостения достигает тяжелой стадии. При своевременном выявлении рака тимуса вероятность благоприятного исхода составляет 68%.
Опухоли средостения (рак тимуса) возможно вылечить, но при условии своевременного выявления. Хирургический метод и последующая химиотерапия дают возможность полностью выздороветь. По причине неспецифической клинической картины диагностирование на ранней стадии затруднено, поэтому важно проходит диспансеризацию - это реальный шанс полностью избавиться от злокачественных образований.
Читайте также:
