Диагностика перелома корней зубов. Лечение переломов корней зубов
Добавил пользователь Евгений Кузнецов Обновлено: 01.11.2025
Перелом корня зуба - травматическое повреждение зуба, сопровождающееся нарушением целостности его корня. Пациенты жалуются на усиление болезненности в участке поврежденного зуба при жевании, откусывании пищи. В ходе обследования выявляют отечную гиперемированную слизистую. Вертикальная перкуссия при переломе корня зуба положительная. Может наблюдаться патологическая подвижность зубов 1, 2 или 3 степени. Диагноз «перелом корня зуба» ставят, исходя из жалоб пациента, собранного анамнеза, данных клинического осмотра, результатов рентгенографии и ЭОД. Выбор тактики лечения зависит от возраста больного, состояния его иммунной системы, уровня и направления линии перелома.

Общие сведения
Перелом корня зуба - патологическое состояние, возникающее при нарушении целостности корня. В детском возрасте перелом корня зуба диагностируют крайне редко (0,5%). У взрослых травмы зубов, сочетанные с разломом корня, выявляют в 2 % случаев. Основную группу пациентов составляют люди в возрасте от 40-45 до 50 лет. У 4% больных перелому корня предшествует ранее проведенное эндодонтическое лечение каналов. Чаще встречаются горизонтальные переломы корня зуба с локализацией костного дефекта в участке между средней третью и верхушкой резцов. Разлом корней больших и малых коренных зубов в 80% случаев является продольным, при этом только у 10 % обследованных диагностируется неполный перелом корня зуба. Свищевой ход формируется в каждого 10 пациента, обратившегося в стоматологию. Смещение отломков зафиксировано в 3% случаев.
Причины переломов
Перелом корня зуба возникает вследствие травматических повреждений (травм зубов) при падении, ударе в лицо. Линия перелома обычно проходит на уровне средней трети верхних резцов. Очень часто повреждение корней диагностируют при переломах альвеолярного отростка и тела верхнечелюстной кости, при этом перелом корня зуба практически всегда сочетается с разрывом периодонтального связочного аппарата.
Перелом корня зуба может возникнуть при проведении стоматологических манипуляций на этапе расширения корневых каналов или в момент установки штифта. Приложение чрезмерного усилия ведет к нарушению целостности истонченных стенок корня в продольном направлении. Также частой причиной перелома корня зуба является несоблюдение протокола лечения: восстановление коронковой части светоотверждаемым материалом при наличии прямых показаний к протезированию, использование консольных конструкций, мостовидных протезов большой протяженности промежуточной части.
Чрезмерное расширение каналов, их агрессивная механическая обработка, неравномерное распределение жевательного давления - все эти факторы в разы повышают риск возникновения перелома корня зуба. Травмирующее давление может передаваться на корень не только перпендикулярно, но и параллельно его продольной оси. При прямых ударах перелом корня зуба сочетается с повреждением альвеолярного отростка. Вертикальные силы развиваются вследствие воздействия зубов-антагонистов в момент смыкания зубных рядов при условии наличия очагов жевательной перегрузки.
Классификация
В зависимости от направления линии повреждения переломы корня разделяют на 4 группы:
- Поперечные. Линия разлома проходит параллельно жевательной поверхности. На рентгенограмме удается рассмотреть 1-2 полоски просветления, соответствующие уровню повреждения.
- Вертикальные. Фрагменты, образовавшиеся при переломе корня зуба, параллельны продольной оси. Зачастую вертикальные переломы сочетаются с повреждением коронки.
- Косые. Разлом корня проходит под углом к оси зуба в щечно-оральном или медио-дистальном направлении.
- Оскольчатые. Характеризуются образованием нескольких линий перелома, пересекающихся между собой в разных направлениях.
По локализации различают апикальный, срединный и пришеечный переломы корня зуба.
Симптомы перелома корня зуба
Клиническая картина при переломе корня зависит от уровня повреждения, состояния пульпы, степени смещения фрагментов. Если перелом корня зуба сочетается с повреждением костей лицевого скелета, на коже определяют ссадины, раны. Мягкие ткани отечны. Слизистая оболочка в участке перелома корня зуба гиперемирована, болезненна. При повреждении пульпы пациенты указывают на появление самопроизвольной боли. В результате внутреннего кровоизлияния коронковая часть зубов приобретает розовый оттенок.
При смыкании челюстей болезненность усиливается. Поврежденный зуб может находиться как в зубном ряду, так и вне его (с вестибулярным или оральным наклоном). При осмотре определяют патологическую подвижность зубов 1, 2 или 3 степени. Зубоэпителиальное прикрепление при переломе корня зуба разрушается, вследствие чего образуются пародонтальные карманы. С десневой борозды наблюдается кровоточивость. При отсутствии лечения со временем на слизистой оболочке в проекции линии перелома образуется свищевой ход, через который выбухают грануляции. При обострении воспалительного процесса отмечается гноетечение.
Диагностика перелома корня зуба
Диагностика перелома корня включает сбор жалоб, клинический осмотр, ЭОД. Решающими при постановке диагноза являются результаты рентгенологического исследования. Как правило, среди основных причин разлома корня пациенты указывают травматические повреждения. Патогномоничных симптомов при переломе корня зуба нет. В ходе физикального обследования врач-стоматолог выявляет ряд неспецифических признаков: припухлость слизистой в зоне перелома, положительную вертикальную перкуссию, патологическую подвижность поврежденных зубов, разрушение зубоэпителиального соединения, наличие пародонтальных карманов. При переломе корня коронковая часть зуба может частично или полностью отсутствовать. При вертикальном разломе корня линия перелома проходит через две аппроксимальные и жевательную поверхности или в вестибуло-оральном направлении. Отломанные фрагменты подвижны.
При косых медио-дистальных переломах корня зуба, а также в случае, когда линии перелома перпендикулярны рентгеновскому лучу, обнаружить разлом корня с помощью прицельной рентгенологической диагностики довольно сложно. Для уточнения характера патологии проводят КТ. При горизонтальных, вертикальных вестибуло-оральных переломах корня зуба на рентгенограммах выявляют расширение периодонтальной щели. Зона разрежения костной ткани в виде тонкой полоски просветления проходит в участке повреждения. При позднем обращении пациентов рентгенографически в проекции перелома корня зуба определяют участок деструкции кости с нечеткими контурами, наблюдаются признаки резорбции корня. Прицельную рентгенографию проводят дважды: в момент травмы и через неделю.
Результаты ЭОД свидетельствуют о состоянии пульпы. Чтобы получить наиболее достоверные данные, исследование выполняют несколько раз. Сразу после повреждения показатели жизнеспособности пульпы, как правило, снижены (значение в диапазоне от 100 мкА и выше). Со временем витальность пульпы может восстановиться. Дифференцировать перелом корня зуба необходимо с ушибом и вывихом зуба, переломом альвеолярной пластинки. Обследование проводят стоматолог-терапевт и стоматолог-хирург.
Лечение перелома корня зуба
Тактика врача при переломе корня определяется характером и локализацией повреждения, возрастом пациента, уровнем смещения фрагментов. При выявлении поперечного перелома апикальной трети с нарушением витальности пульпы проводят экстирпацию коронковой и корневой пульпы, медикаментозную и механическую обработку каналов с последующим их пломбированием временной кальцийсодержащей пастой. После обтурации корневых каналов методом латеральной или вертикальной конденсации гуттаперчи производят хирургическое вмешательство, цель которого при переломе корня зуба заключается в удалении отломанного апикального фрагмента. При сохранении витальности пульпы показана иммобилизация зуба специальной каппой или проволочной шиной, зафиксированной к 2 интактным зубам по обе стороны от поврежденного с помощью жидкого фотополимерного материала.
Если при поперечно-срединном переломе корня необратимых изменений в пульпе не наблюдается, чтобы обеспечить необходимые условия для сращения фрагментов, применяют каппу, стекловолоконную или проволочно-композитную шины. В случае выявления признаков нежизнеспособности пульпы терапия перелома корня зуба включает этап эндодонтического лечения, установку штифта с репозицией, фиксацией, иммобилизацией отломков. При вертикальном или косом переломе однокорневые зубы подлежат удалению. В случае разлома одного из корней моляров или премоляров выполняют зубосохраняющие операции. При гемисекции зуба через жевательную поверхность по бифуркации в щечно-оральном направлении бором разрезают коронку. Поврежденный корень удаляют. Сохранившийся здоровый корень используют в качестве опоры при протезировании. Выявление разлома корня временного зуба является прямым показанием к его удалению.
При своевременном обращении пациента и квалифицированно спланированном лечении горизонтального перелома корня зуба средней или апикальной трети прогноз благоприятный. Сохранение жизнеспособности пульпы повышает вероятность заживления перелома, так как именно витальная пульпа способствует формированию твердых тканей в эндодонте. При горизонтальном пришеечном переломе корня зуба прогноз неблагоприятный. Все временные, а также постоянные однокорневые зубы с косыми, продольными, оскольчатыми переломами корня подлежат удалению, так как в динамике сращения фрагментов не происходит, у пациентов наблюдается резорбция корней с признаками хронического воспалительного процесса.
Перелом зуба
Перелом зуба - травматическое повреждение зуба, сопровождающееся нарушением целостности его корня или коронки. Встречаются различные виды перелома зуба: перелом эмали, дентина и корня зуба. Проявляются резкой подвижностью и смещением травмированного зуба, интенсивной болью. При переломах коронки зуб удается сохранить с последующим косметическим восстановлением, при переломе корня - требуется его удаление. При травме корня высок риск развития периостита, остеомиелита и др. осложнений.
МКБ-10


Перелом зуба - это травма зуба, полученная при воздействии механической силы. При переломе нарушается анатомическая целостность корня зуба или его коронки. Причинами перелома зуба являются механические травмы, полученные в результате удара, падения или же во время жевания, когда в пище присутствуют твердые инородные тела. Фронтальные зубы верхней челюсти более подвержены переломам, чем зубы нижней челюсти, нередко переломы зубов сочетаются с их неполными вывихами.
Клинические проявления перелома зуба
При переломе зуба возникает сильная нестерпимая боль, пострадавший испытывает затруднения при открытии рта и при смыкании зубов. Кроме того, перелому зуба предшествует какая-либо травма, отмечается кровоточивость десен и патологическое расшатывание зуба.
Болезненные ощущения при механическом и термическом раздражении зависят от типа и локализации перелома, а так же от подвижности зуба. Во время осмотра обнаруживается отек мягких тканей приротовой полости и точечные кровоизлияния в кожу и слизистую. Перелом коронки зуба клинически проявляется в виде ее дефекта, часто такой перелом сопровождается вскрытием пульповой камеры. При переломе корня зуба, зуб становится подвижным, его перкуссия резко болезненна, а коронка иногда приобретает розовый оттенок.
Перелом зуба может быть незначительным в виде откола эмали зуба, либо значительными когда отмечается перелом дентина с обнажением или без обнажения пульпы и перелом корня зуба. Полными называются переломы со вскрытием пульпы, неполными - без вскрытия пульпы.
Диагностика и лечение переломов зуба

Диагноз ставится стоматологом на основании наличия травмы в анамнезе болезни, характерных клинических проявлений и жалоб пациента. Перед выбором методики лечения проводят одонтометрическое и рентгенологическое исследование. Тактика лечения и прогноз зависят от степени повреждения тканей зубной эмали. Так, если при отломе фрагмента коронки вскрытия полости зуба не произошло, то проводится реставрация зуба: коронка подлежит восстановлению при помощи композитных пломбировочных материалов.
Продольный, оскольчатый и косой переломы корня зуба требуют удаления зуба, так как корень в этом случае невозможно использовать в качестве опоры для штифта. После экстракции зуба необходимо решение вопроса о протезировании. Современная стоматология предлагает альтернативный способ замещения образовавшегося в результате перелома зуба дефекта зубного ряда - проведение имплантации зубов.
Поперечный перелом корня зуба позволяет восстановить зуб с помощью искусственной металлокерамической коронки.
Так же тактика лечения зависит от уровня перелома зуба, если перелом произошел в верхней части, то канал пломбируется, а верхушечная часть зуба остается без вмешательств. При переломе в срединной части показана трепанация зуба с удалением пульпы, далее канал пломбируют, а обломки зуба соединяют с помощью штифтов.
При переломе зуба, который сопровождается вскрытием его полости и повреждением пульпы, поврежденная пульпа должна быть удалена, а корневой канал запломбирован. Если есть необходимость, то используют внутриканальные штифты и пломбировку коронковой части зуба.
Переломы любой сложности с сохранением корня зуба позволяют установить внутриканальный штифт после вычищения и пломбировки канала, что позволяет, не прибегая к зубопротезированию, восстановить целостность и функциональность зубного ряда.
Пломбировка корневых каналов является лишь частью лечения, после которого нужно полностью восстановить анатомическое положение зубов. Это позволяет избежать формирования неправильного прикуса и исключить травмы во время смыкания зубов.
Лечение переломов зубов необходимо проводить в максимально короткие сроки, так как при отсутствии контакта с зубом антагонистом возникает наклон и смещение соседних зубов. Это может потребовать дополнительного ортодонтического лечения перед протезированием.
Травмы зубов
Травмы зубов - нарушение анатомической целостности зуба и/или его связи с околозубными тканями, приводящее к обратимой либо необратимой утрате его функциональных свойств. Травмы зубов представлены ушибом, трещиной, переломом коронки или корня, повреждением зачатка зуба, вывихом зуба. Клиника травм зубов различна и может включать боль в зубе, его подвижность, изменение формы или положения в зубном ряду, нарушение функции жевания и пр. Диагноз травмы зуба устанавливается на основании клинико-рентгенологических данных. Способ лечения травмы зуба определяется, исходя из вида повреждения, и может быть консервативным (восстановление коронки зуба, эндодонтическая терапия, шинирование и т. д.) или хирургическим (реплантация или удаление зуба).

Травмы зубов - обобщающий термин, объединяющий различные по своим механизмам повреждения структур зуба и окружающих тканей. Частота травм зубов в структуре стоматологической патологии неуклонно увеличивается, что связано с ростом травматизма в целом. У лиц мужского пола травмы зубов встречаются в 1,5-2 раза чаще, чем у представительниц женского пола. Травмы зубов часто сочетаются с повреждением челюстей, поэтому их лечение требует взаимодействия специалистов в области стоматологии и травматологии. В силу анатомо-топографических особенностей в большинстве случаев возникают травмы верхних медиальных резцов (61%), преимущественно верхней челюсти, у пациентов с неправильным прикусом (дистальным, открытым).
Причины травм зубов
Обычно острые травмы зубов являются следствием одномоментных, чрезвычайных по силе воздействий: падения, удара в челюсть во время аварии, драки, спортивных занятий и т. п. Хронические травмы зубов возникают в результате длительной травматизации и могут быть связаны с привычкой держать во рту посторонние предметы, грызть ногти, перекусывать нитки и другими причинами. В результате длительного механического воздействия на зуб возникают истончение и сколы эмали, приводящие к разрушению зуба. В этом случае травма зуба может произойти при обычном по силе воздействии на зуб, например, пережевывании пищи.
Кроме этого, травмы зубов могут возникать при нарушении техники проведения стоматологического лечения. Например, трещина зуба может образоваться в результате установки неподходящего по размеру внутриканального штифта, а вывих зуба возникать в результате неосторожного удаления соседних зубов при помощи элеватора. Возможно травмирование зубов неправильно подобранными и установленными ортодонтическими аппаратами, завышающими пломбами и т. д. В стоматологии нередки осложненные травмы зубов, являющиеся следствием пришеечного кариеса, флюороза, гипоплазии эмали, кист корня зуба, опухолей челюстей и прочих одонтогенных заболеваний.
Классификация травм зубов
Таким образом, в зависимости от длительности воздействия причинных факторов травмы зубов могут быть острыми и хроническими. По времени возникновения различают травмы временных и постоянных зубов. В порядке убывания частоты среди травм молочных зубов встречаются вывихи зуба, реже - переломы корней и коронок; среди травм постоянных зубов наиболее часты переломы коронок, за ними следуют вывихи и ушибы зубов, переломы корней.
Согласно классификации ВОЗ, травмы зубов делятся на 8 классов:
- Класс I - ушибы зубов, сопровождающиеся незначительными нарушениями целостности их структуры (трещинами эмали)
- Класс II - неосложненные переломы коронковой части зуба
- Класс III - осложненные переломы коронковой части зуба
- Класс IV - полные переломы зубных коронок
- Класс V - продольные коронково-корневые переломы
- Класс VI - переломы зубных корней
- Класс VII - неполные вывихи (подвывихи) зубов
- Класс VIII - полные вывихи зубов
В зависимости от завершенности формирования корневой системы в некоторых классах выделяются типы травм зубов:
- травматическое повреждение зуба с незавершенным ростом корня
- травматическое повреждение зуба с незаконченным формированием верхушки корня
- травматическое повреждение зуба, имеющего полностью сформированную корневую систему.
Кроме «чистых» травм зубов встречаются комбинированные травмы, объединяющие две или более формы: сочетание неполного вывиха с переломом коронки или корня зуба, одновременное сочетание перелома зубной коронки и корня, сочетание вколоченного вывиха с переломом коронки/корня зуба и т. п.
Ушиб зуба
Симптомы ушиба зубов
Ушиб зуба - закрытая механическая травма зуба, не приводящая к нарушению его анатомической целости. При ушибе зуба отмечается повреждение тканей периодонта (ишемия, надрыв или разрыв волокон). В случае полного разрыва сосудисто-нервного пучка происходит кровоизлияние в пульпарную камеру и гибель пульпы зуба.
Данный вид травмы зуба проявляется постоянной ноющей зубной болью, усиливающейся при надкусывании и перкуссии зуба. Вследствие отека периодонтальных тканей у пациента возникает ощущение выхода зуба из лунки, может определяться его умеренная подвижность. Следствием кровоизлияния в пульпу зуба может являться окрашивание коронки в розовый цвет.
Диагностика и лечение ушиба зубов
Ушиб диагностируется на основании анамнеза (факта травмы зубов), клинических и объективных признаков (болезненности перкуссии, потемнения коронки и пр.) и инструментальных данных. Рентгенография позволяет увидеть расширение периодонтальной щели и исключить перелом корня зуба. С целью контроля жизнеспособности пульпы после полученной травмы зуба необходим повтор электроодонтодиагностики в динамике через 3-4 недели.
Лечение данной травмы предполагает механическое щажение поврежденного зуба вплоть до стихания болевых ощущений. Рекомендуется исключение из рациона твердой пищи, жевания на больной стороне. Для исключения контакта с зубами антагонистами производится сошлифовывание режущих краев или бугров. С целью купирования воспалительных явлений стоматолог может назначить пациенту медикаментозное лечение, физиотерапию. В случае установления факта гибели пульпы выполняется ее экстирпация с последующим пломбированием каналов.
Вывих зуба
Симптомы вывиха зубов
Вывих зуба подразумевает такой вид травмы, при которой зуб частично или полностью утрачивает связь с лункой. Неполный вывих зуба (экструзия) возникает в результате надрыва или разрыва периодонтальных волокон и повреждения стенки альвеолы. Данная разновидность травмы характеризуется болью, подвижностью и изменением положения зуба, нарушением функции жевания. Коронка зуба при неполном вывихе смещается в вестибулярном, оральном, дистальном или других направлениях, а корень зуба - в противоположную сторону. Вследствие нарушения целостности тканей периодонта могут образовываться патологические, кровоточащие зубо-десневые карманы. Неполные вывихи зубов могут осложняться образованием зубных гранулем и корневых кист, хроническим периодонтитом, нарушением развития корня зуба, расширением или облитерацией зубных каналов.
При полном вывихе (авульсии, травматической экстракции зуба) происходит разрыв всех периодонтальных тканей и круговой связки зуба, что сопровождается его выпадением из лунки. Чаще наблюдается полный вывих центральных резцов верхней челюсти. Стоматологический осмотр выявляет отсутствие зуба в зубном ряду, наличие на его месте пустой лунки со свежим сгустком крови или признаками продолжающегося кровотечения. При травмах зубов, сопровождающихся их вывихом, нередко имеются ушибы и раны мягких тканей лица, губ, слизистой полости рта.
Вколоченный вывих зуба (интрузия) сопровождается внедрением корня зуба в толщу кости альвеолярного отростка и погружением коронковой части зуба в лунку. При таком виде травмы коронка становится короче окружающих зубов, возникают боли, луночное кровотечение.
Диагностика и лечение вывиха зубов
Данные разновидности травм зубов диагностируются на основании клинических данных (смещения или отсутствия зуба) и рентгенологических признаков. Данные рентгенологического или радиовизиографического обследования позволяют уточнить положение зуба и состояние альвеолярной кости. Жизнеспособность пульпы при травмах зубов определяется посредством ЭОД.
При неполном вывихе показано проведение терапии, направленной на сохранение зуба: репозиция вывихнутого зуба с его фиксацией с помощью капп, шин, проволочных шинирующих конструкций. Назначается щадящий режим, противовоспалительная и антибактериальная терапия с повторным осмотром через 1 месяц. При гибели пульпы проводится эндодонтическое лечение.
Лечение полного вывиха может включать проведение протезирования или дентальной имплантации; в ряде случаев - реплантацию зуба - возвращение его в лунку с последующим шинированием и контролем приживления.
При вколоченных вывихах возможно проведение одномоментной репозиции зуба под местной анестезией с его последующей иммобилизацией; длительной репозиции (ортодонтического лечения); удаления зуба с его замещением протезом; удаления зуба с его реплантацией.
Перелом зуба
Симптомы перелома зубов
Данный вид травмы зубов (перелом зуба) включает переломы коронковой части зуба в пределах эмали или дентина, отлом коронки, переломы корней.
Переломы коронок клинически проявляются нарушением формы зуба, эстетическим недостатком, болью в зубе. Зуб сохраняет свою неподвижность. Острые края дефекта коронки зуба могут травмировать слизистую оболочку полости рта, языка и губ. При данном виде травмы зуба возможно развитие острого травматического пульпита или периодонтита.
Переломы корней зубов могут быть косыми, поперечными, продольными, оскольчатыми; с локализацией в нижней, средней или верхней трети; со смещением или без смещения отломков. Этот тип травмы сопровождается болевыми ощущениями при надкусывании и перкуссии зуба, подвижностью коронки различной степени выраженности.
Диагностика и лечение перелома зубов
Переломы коронковой части зуба диагностируются с помощью стоматологического осмотра. Для подтверждения/исключения перелома корня зуба показана прицельная рентгенография; для оценки состояния пульпы - электроодонтометрия.
Лечение перелома коронки заключается в восстановлении коронковой части зуба композиционными материалами либо культевой вкладкой и несъемной коронкой. При осложненном переломе зуба показано лечение пульпита с последующей реставрацией зуба. При переломах корней варианты лечения могут включать удаление зуба, эндодонтическое лечение корня с последующей установкой штифтового зуба.
Прогноз и профилактика
Возможность сохранения зуба при его травме зависит от вида повреждения, сроков обращения к стоматологу, возраста пациента, состояния его общего здоровья и стоматологического статуса. Методы современной терапевтической и хирургической стоматологии, ортопедии, ортодонтии позволяют сохранять и восстанавливать собственные зубы даже в самых сложных клинических случаях. При невозможности сохранения зуба всегда существует альтернатива его замены искусственным аналогом с высокими эстетическими и функциональными характеристиками.
Профилактика травм зубов во многом зависит от поведения самого индивида, его осторожности в быту и на производстве. При занятиях травмоопасными видами спорта необходимо использовать защитные каппы и шлемы.
Случай перелома корня жевательного зуба из-за неравномерного распределения нагрузки пломбой, занимавшей 2/3 коронки
В стоматологическую поликлинику в феврале 2019 года обратился пациент с жалобами на боль при накусывании на зуб 1.6 (верхний правый жевательный зуб) и его подвижность.
Жалобы
Болезненные ощущения усиливаются при приёме пищи и надавливании на зуб. Обезболивающие препараты их не облегчают. Как правило, боль исчезает сама во время покоя.
Анамнез
Зуб 1.6 пролечен более трёх лет назад от кариеса. Тогда же пациенту было предложено установить металлокерамическую коронку, от которой он отказался. Ему поставили пломбу, после чего зуб перестал беспокоить. В дальнейшем травм зуба не возникало.
В целом пациент рос и развивался без особенностей. На данный момент проживает в хороших бытовых условиях. Перенесённые заболевания — ОРВИ, ОРЗ. Аллергологический анамнез не отягощён. Операций и хронических заболеваний не было.
Обследование
Конфигурация лица не изменена. Кожные покровы чистые, физиологической окраски, без видимых патологических элементов. Околоушные, заушные, подчелюстные, подбородочные и шейные лимфоузлы не пальпируются. Рот открывается без затруднений.
Слизистая оболочка в области зуба 1.6 физиологической окраски, безболезненная при пальпации. Сам зуб находится под пломбой, занимающей более 2/3 коронки. На нёбной поверхности зуба виден дефект, широко сообщающийся с полостью зуба, при его зондировании возникает боль. В области дефекта есть пародонтальный карман (пространство между десной и зубным корнем) более 4 мм. Определяется поперечная линия перелома нёбного корня ниже уровня десны на 3 мм. Сам нёбный корень в лунке подвижен, при этом щёчные корни остаются неподвижными. Перкуссия (постукивание) зуба 1.6 болезненная. Противоположный жевательный зуб 4.6 находится под металлической коронкой. Пациент направлен на прицельный внутриротовой рентгеновский снимок зуба. Из-за особенностей прицельной рентгенограммы, наложения структур друг на друга и наличия снимка только в одной проекции линия перелома нёбного корня зуба 1.6 определяется недостаточно чётко. Но в связи с наличием явных клинических признаков, указывающих на перелом корня зуба, принято решение о его удалении.
Диагноз
Лечение
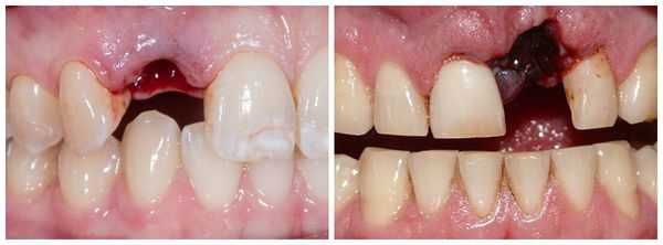
Под инфильтрационной (местной) анестезией "Ультракаин Д-С форте" 1,7 мл больной зуб удалён с помощью элеватора. Произведён кюретаж (вычищение) лунки, затем в неё введена гемостатическая губка с йодоформом для остановки кровотечения и предотвращения бактериального заражения. Наложены сближающие швы нитью Кетгут 4-0 № 1, аппликация с гелем "Метрогил Дента" на 15 минут и холод местно. Выполнен контроль гемостаза. После удаления зуба пациенту даны рекомендации по уходу за полостью рта в послеоперационный период, назначено местное и общее противовоспалительное лечение.
На перевязке через два дня после удаления зуба у пациента жалоб не было. В области удалённого зуба 1.6 слизистая оболочка слабо гиперемирована (воспалена), отёчна и слабо болезненна при пальпации. Гемостатическая губка в лунке сохранена, швы состоятельные. Рана промыта антисептическим раствором, наложена повязка с гелем "Метрогил Дента" на 15 минут. Следующая перевязка назначена через три дня.
Спустя пять дней после удаления больного зуба пациент не предъявлял жалоб. Слизистая оболочка в области удалённого зуба бледно-розового цвета, умеренно увлажнённая, безболезненная при пальпации. Лунка активно эпителизируется (заживает). Проведена антисептическая обработка и снятие швов, наложена повязка с гелем "Метрогил Дента" на 15 минут.
Заключение
Данный клинический случай показывает, что при обширном кариозном процессе, занимающем более 2/3 коронки зуба, показана постановка коронки, чтобы правильно распределить жевательное давление на зуб и избежать его перегрузки. Если этого не сделать, то может возникнуть перелом корня зуба, что и случилось у данного пациента.
Вывих зуба - симптомы и лечение
Что такое вывих зуба? Причины возникновения, диагностику и методы лечения разберем в статье доктора Гаспаряна Карена Камоевича, стоматолога-хирурга со стажем в 17 лет.
Над статьей доктора Гаспаряна Карена Камоевича работали литературный редактор Юлия Липовская , научный редактор Сергей Федосов и шеф-редактор Лада Родчанина
Определение болезни. Причины заболевания
Вывих зуба — это патологическое перемещение зуба по отношению к альвеоле (костной лунке, в которой фиксируется зуб), вызванное насильственным механическим воздействием и сопровождающееся повреждением периодонта (связки, которая окружает зуб) и сосудисто-нервного пучка зуба (пульпы) [1] .

Травмы челюстно-лицевой области встречаются довольно часто как у детей, так и у взрослых. По статистике больше всего повреждениям подвержены верхние передние зубы — клыки и резцы [12] . Вывих зуба является одной из самых распространённых травм в этой области.
Вывих зуба может быть вызван следующими причинами [1] [10] :
- повреждением челюстно-лицевого аппарата в результате механической травмы, нанесённой при ударе, падении с высоты и т. д. (чаще возникает у детей, подростков и спортсменов);
- множественными травмами головы (например в дорожно-транспортных происшествиях);
- травмами, полученными в результате откусывания слишком жёсткой, твёрдой пищи;
- травмами, полученными в результате попадания в пищу инородных твёрдых частиц (косточек из плодов и ягод, костных обломков и др.);
- некоторыми вредными привычками, легкомысленным отношением к состоянию здоровья своих зубов (например открывание зубами бутылок, раскалывание скорлупы орехов и прочее);
- некорректным удалением зубов, в результате чего происходит вывих находящегося рядом зуба (как правило, постоянного).
При обнаружении схожих симптомов проконсультируйтесь у врача. Не занимайтесь самолечением - это опасно для вашего здоровья!
Симптомы вывиха зуба
Симптомы зависят от вида вывиха зуба [1] [11] :
- Неполный вывих : боль усиливается при контакте с зубом, например во время приёма пищи; на слизистой оболочке полости рта имеются маленькие ранки, ссадины и гематомы; мягкие ткани отёчны; наблюдается смещение зуба в сторону и его значительная подвижность; вынужденное положение челюсти в связи с наличием болевых ощущений.

- Полный вывих: сопровождается сильной болью; зуб в лунке отсутствует; пустая лунка кровоточит; десна изменена в цвете; имеется припухлость; может возникнуть гематома; происходит локальное повышение температуры; некоторое время могут наблюдаться дефекты речи.

- Вколоченный вывих : пациент чувствует постоянную боль, усиливающуюся при давлении, жевании, смыкании челюстей; при пальпации десны появляется её гиперемия (покраснение) и отёчность; возникает незначительное кровотечение из места травмы. Что интересно, при перкуссии (постукивании) травмированного зуба человек не ощущает болевых ощущений и дискомфорта. При визуальном осмотре заметно укорочение зуба или же он полностью "спрятан" в лунке, при этом неподвижен.

Для всех видов вывиха характерна следующая симптоматика: боль в области причинного зуба, кровоточивость, отёчность десны.
Патогенез вывиха зуба
Для каждого вида вывиха зубов характерен индивидуальный патогенез [1] .
Неполный вывих характеризуется сохранением зуба в его лунке и сопровождается разрывом части волокнистых структур, окружающих и удерживающих зуб, либо растяжением волокон в той или иной степени. Для данной патологии характерно изменение положения коронки зуба и корня в зубном ряду по отношению к стенкам альвеолы. Зуб имеет неправильное положение вследствие смещения в вестибулярную ( в сторону губы) или оральную сторону, в сторону соседнего зуба или поворота вокруг оси. Это приводит к нарушению формы зубного ряда. Неполный вывих может сочетаться с переломом коронки, корня зуба или альвеолярного отростка.
Полный вывих характеризуется полным разрывом волокнистых структур периодонта (в том числе круговой связки зуба). При этом травмированный зуб в лунке отсутствует, а сосудисто-нервный пучок зуба всегда разрывается. Вывих может сопровождаться переломом края альвеолы. Иногда зуб может присутствовать в альвеоле за счёт единичных сохранившихся волокон круговой связки. По статистике полному вывиху чаще подвергаются фронтальные зубы верхней челюсти, реже — нижней. Меньше других подвержены полному вывиху клыки.
Вколоченный вывих — это травма считается наиболее неблагоприятной. Тело зуба под воздействием большой давящей силы погружается в ткани челюсти (он входит глубоко в лунку) и корень внедряется вглубь альвеолярного отростка и тела челюсти. Для вколоченного вывиха также характерен полный разрыв волокон периодонта. Крайне редко некоторая их часть сохраняет свою непрерывность, но существенно растягивается и надрывается. Сосудисто-нервный пучок, как правило, разрывается. Из-за внедрения более широкой части зуба в более узкую происходит деформация стенок альвеолы: они раздвигаются и ломаются. Данный вид вывиха иногда сопровождается поворотом зуба вокруг оси, смещением в вестибулярном или оральном направлении. Особенно это касается верхних зубов, когда вследствие вывиха может произойти повреждение носовых (гайморовых) пазух.
Классификация и стадии развития вывиха зуба
Согласно Международной классификации болезней 10 пересмотра (МКБ-10) код вывиха зуба — S03.2. Различают три вида [1] [3] :
- неполный вывих (при этом зуб частично остается в костной лунке);
- полный вывих (зуб полностью отсутствует в лунке);
- вколоченный вывих (зуб вколачивается в костную лунку).
- изолированный вывих (имеется только вывих зуба);
- вывих, сопровождающийся переломом коронки или корня зуба (при этом наблюдается подвижность зуба или отсутствие его части);
- вывих, сочетающийся с переломом альвеолярного отростка или челюсти (сопровождается отёчностью мягких тканей в области травмы).
Вывих зуба относится к травмам зубов (кроме вывиха сюда относятся ушиб зуба и перелом). При ушибе травмированный зуб остается на месте, при переломе — отсутствует часть зуба.
Осложнения вывиха зуба
Вывих зуба — это достаточно серьёзная проблема. Если вовремя не обратиться к врачу, то можно получить ряд осложнений [9] :
- Остановка роста зубного корня (наблюдается при вывихе зуба у детей) — приводит к развитию неполноценного зуба, может развиться гипоплазия (недоразвитие) эмали зуба.
- Укрепление зуба в неправильном положении (вестибулярная или оральная позиция зуба, разворот зуба) — приводит к аномалиям прикуса.
- Искривление зубного корня, изменение его длины.
- Выпадение зуба из лунки.
- Резорбция корня — патологическое рассасывание корней из-за наличия очага хронического воспаления (определяется только рентгенологически).

- Перелом коронки и корня зуба — наблюдается повышенная подвижность зуба или отсутствие его части.
- Травматический пульпит (воспаление пульпы зуба) — характеризуется самопроизвольными болями или реакцией на термические раздражители.
- Некроз (омертвение тканей) пульпы — может возникнуть при полном и вколоченном вывихах. (воспаление околокорневых тканей) — сопровождается резкой болью при касании зуба.

- Перелом стенок альвеолы.
- Периостит (воспаление ткани, покрывающей кость) — характеризуется появлением гнойного очага в области причинного зуба.
- Абсцесс (гнойное воспаление мягких тканей) — возникает отёк, припухлость, болезненные ощущениям и др.
Диагностика вывиха зуба
Диагностика данного вида травмы несложна. Вывих зуба редко остаётся незамеченным со стороны пациента из-за ярко-выраженног о болевого синдрома и невозможности приёма пищи, поэтому пациент самостоятельно обращается за помощью к стоматологу.
При первичном визуальном осмотре специалист определяет характер травмы без труда, так как признаки вывиха проявляются достаточно ярко. Но для более детального изучения характера и формы патологии (для оценки состояния челюсти, соседних зубов и иннервации в области повреждённого зуба) стоматолог назначает рентгенологическое исследование: ортопантомографию (ОПТГ) или компьютерную томографию челюсти . Это поможет дифференцировать вывих от иных форм травмы зуба (ушиба и перелома), кроме этого оценить структуру костной ткани, окружающей зуб на предмет трещин и перелома.

Также пациенту может быть назначена электро одонто диагностика (ЭОД) , по результатам которой врач сможет понять, в каком состоянии находится пульпа: если пульпа не реагирует на ток, она является нежизнеспособной. Полученные диагностические данные определят дальнейшую тактику лечение [2] [8] .
Лечение вывиха зуба
До обращения к врачу пациенту необходимо оказать первую доврачебную помощь, которая заключается в следующем [4] :
- Необходимо осмотреть полость рта на наличие кровотечения, костных отломков или выпавшего зуба.
- В случае обнаружения кровотечения необходимо принять меры для его остановки.
- Если вывих полный, то необходимо наложить стерильный тампон, чтобы остановить кровотечение. Его изготавливают из марлевой повязки, которую сворачивают несколько раз, затем накладывают на кровоточащую лунку (на 15-30 минут) и закрывают челюсть, тем самым обеспечивая кровоостанавливающий эффект.
- Далее нужно приложить холод к щеке или губам в проекции травмы зуба. Это поможет предотвратить возникновение отёка, уменьшить кровотечение и снизить болезненные ощущения.
- Если травма вколоченная, то необходимо избежать давления на зуб или лунку, так как это может значительно усилить боль.
- Если зуб выпал, то его необходимо сохранить. Для этого нужно взять чистую ткань или марлю, смоченную водой, и обернуть ею зуб. Обработку поверхности зуба проводить не следует, стоматолог все сделает сам.
- Далее обеспечить срочную доставку пациента к стоматологу.
После осмотра врач-стоматолог выбирает стратегию лечения данной травмы в зависимости от типа повреждения , а также от степени поражения зуба и окружающих его тканей. Ставится главный вопрос: "Можно ли сохранить зуб?" На него может ответить только стоматолог после комплексной диагностики .
Главным критерием считается состояние костной ткани около корня травмированного зуба. Если отмечается сохранность не менее половины длины зубного корня — зуб рекомендуется сохранить.
Лечение неполного вывиха
Если у пациента наблюдается неполный вывих, то лечение начинают с проводникового обезболивания, после чего врач аккуратно репонирует (устанавливает в лунку) зуб. Репозиция проведена правильно, если при смыкании челюстей отсутствует соприкосновение травмированного зуба с антагонистом.
Поставить зуб на место сложнее, если с момента вывиха прошло более двух суток, так как в месте травмы уже образовался организующийся кровяной сгусток. В этом случае следует произвести раскачивание зуба с последующей репозицией по вышеприведённой методике.
Но если больной обратился за помощью через несколько недель и зуб уже самостоятельно укрепился в неправильном положении, поставить его в зубную дугу можно только с помощью ортодонтических аппаратов.
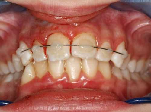
После проведённых лечебных мероприятий вывихнутый зуб иммобилизируют (обездвиживают). Для этого врач использует индивидуальную шину-каппу, изготовленную непосредственно на пациенте. В шину обязательно включают не менее двух здоровых зубов по обе стороны от неполного вывиха. Шину накладывают минимум на 5-6 недель.

Перед шинированием и в динамике лечения проверяют электровозбудимость (реакцию на электрический ток) сосудисто-нервного пучка. Понижение или отсутствие электровозбудимости не только в первые 1-2 недели после травмы не обязательно говорит о необратимых изменениях. Реакция пульпы может приходить в норму в течение нескольких месяцев. Но если обнаруживаются клинические признаки гибели пульпы, её необходимо удалить, а канал пролечить, иначе оставшаяся в канале мёртвая пульпа приводит к развитию острого периодонтита или периостита.
После неполного вывиха не исключена внешняя резорбция (рассасывание) корня, которая не прогрессирует. При этом выраженность процесса резорбции определяется степенью смещения корня зуба при вывихе: чем больше смещение, тем большая поверхность корня может подвергнуться разрушению.
Лечение неполного вывиха молочного зуба заключается в противовоспалительной терапии, антисептической обработке раны и рентгенологическом контроле через 1, 3 и 6 месяцев.
Лечение полного вывиха
В случае полного вывиха зуба, если с момента травмы прошло не более двух суток, проводится его реплантация (установка зуба обратно в лунку) [8] .
Но есть случаи, в которых она не показана:
- нарушение целостности стенок лунки и развивающийся воспалительный процесс;
- выраженное разрушение непосредственно травмированного зуба.
Чем раньше проводится реплантация, тем выше вероятность положительного результата. Резорбция корня в данной ситуации менее выражена и протекает медленнее.
Реплантацию проводят по общепринятой методике:
- Травмированный зуб промывают и помещают в изотонический раствор натрия хлорида с антибиотиками до самой операции.
- Если после вывиха прошло не более 10 часов, можно реплантировать зуб, не проводя эндодонтическое лечение (лечение корневых каналов). В таком случае эндодонтическое лечение зуба проводят через 2-3 недели после реплантации, когда становится очевидным приживление зуба.
- Если с момента вывиха прошло более 10 часов, пульпу полностью удаляют, а канал после механической и медикаментозной обработки пломбируют. Зуб после реплантации выводят из прикуса и укрепляют путём шинирования с помощью пластмассовой шины-каппы. Снимают её только через 3-4 недели.
- После реплантации необходимо в течение от одного до двенадцати месяцев проводить рентгенологический контроль. Это позволяет судить о состоянии корня зуба, периодонта и кости.

Необходимо отметить, что самые благоприятные результаты получены при проведении реплантации через 20-30 минут после вывиха.
Лечение полного вывиха молочного зуба заключается в противовоспалительной терапии, антисептической обработке лунки. Реплантация временного зуба не проводится.
Лечение вколоченного вывиха представляет определённые трудности.
Можно придерживаться выжидательной тактики, направленной на самостоятельное выдвижение травмированного зуба. Чаще всего данная методика применяется при вколоченных вывихах временных резцов: в данном случае выдвижению зуба способствует дальнейшее формирование корня зуба, если зона роста зуба сохранилась.
Первые признаки самопроизвольного выдвижения зуба возможно увидеть через неделю-полторы после вывиха, но иногда сроки увеличиваются до четырёх-шести недель.
При появлении признаков острого воспалительного процесса необходимо эндодонтически пролечить зуб. Резорбция корня в случае вколоченного вывиха также возможна, но она менее объёмна, чем при реплантации.
Вероятность самопроизвольного выдвижения зуба снижается при сильном вколачивании, большом воспалительном процессе, наличии инфекции на верхушке зуба.
Репозицию вколоченной травмы с фиксацией на 4-6 недель нужно проводить не позже трёх суток после вывиха. Эта манипуляция сопровождается потерей краевого участка альвеолы и последующей резорбцией корня зуба. Полноценное лечение корневых каналов зуба производится после укрепления зуба в лунке [6] .
Также можно использовать ортодонтические конструкции для выдвижения зуба. Это целесообразно при неглубоком вколачивании зуба в лунку, когда часть коронки зуба дает техническую возможность зафиксировать на ней ортодонтическую конструкцию. Для предупреждения развития анкилоза (неподвижности) ортодонтическое выдвижение зуба необходимо начинать сразу после травмы. Такая тактика снижает степень резорбции корня.
Необходимо отметить, что аппаратное ортодонтическое лечение у детей начинают не ранее, чем через 3-4 недели после травмы.
При лечении вколоченного вывиха иногда допустимо удалить зуб с последующей его реплантацией. Стоит помнить одно правило: чем раньше проведена реплантация зуба при вывихе, тем позже наступают осложнения в виде резорбции корня.
Показанием к удалению вколоченного зуба без его реплантации являются резвившийся анкилоз и значительная травма альвеолы (перелом стенок) [5] [7] .
Прогноз. Профилактика
В случае соблюдения всех индивидуальных рекомендаций врача прогноз должен быть благоприятным. Но также нельзя исключать и возможность возникновения патологической резорбции корня зуба, что может привести к его дальнейшему удалению. Это может произойти при чрезмерной жевательной нагрузке на репонированный (вправленный) зуб, повторной травме зуба, использовании репонированного зуба в качестве опоры (при шинировании, установке брекетов), неправильном репонировании в полости рта.
Профилактика данного заболевания должна заключаться в устранении вредных привычек, избегании травмирующих ситуаций, соблюдении правил безопасности и более бережном отношении к собственной полости рта [1] .
Читайте также:
