Диагностика пиальной артериовенозной фистулы по КТ, МРТ, ангиограмме
Добавил пользователь Владимир З. Обновлено: 21.01.2026
Какой метод диагностики темпорального артериита выбрать: МРТ, КТ, ангиографию
Метод выбора
- Методикой выбора при диагностике темпорального (височного) артериита является допплеровское ультразвуковое сканирование в цветовом режиме
- «Золотым стандартом» верификации диагноза является биопсия височной артерии
- В качестве альтернативного диагностического метода может использоваться МРТ.
Что покажет УЗИ височных сосудов с ЦДК
- Концентрическое, выраженно гипоэхогенное утолщение сосудистой стенки (феномен гало) височной артерии (воспалительный отек артериальной стенки)
- Признаки стеноза (более чем двукратное увеличение пиковой систолической скорости кровотока)
- Признаки окклюзии.
Что покажут снимки МРТ головного мозга при височном артериите
- Утолщение артериальной стенки и окружающих тканей
- Выраженное муральное усиление при визуализации в постконтрастном Т1-взвешенном режиме с усилением сигнала от жировой ткани.
Проводят ли обычную, КТ- и МР-ангиографию при болезни Хортона
- Признаки стеноза или окклюзии артерий проксимальных отделов верхних и нижних конечностей (подключичная, подмышечная и бедренная артерии)
- Признаки аневризмы и/или расслоения аорты (более характерна локализация патологии в грудном отделе аорты).
Что покажет ПЭТ в FDG-режиме
- Методика скрининга в рамках диагностики васкулита экстракраниальных артерий.

При визуализации поперечного сечения идентифицируется гипоэхогенное утолщение сосудистой стенки поверхностной височной артерии (феномен со гало). Утолщение стенки составляет 0,7 мм.
Клинические проявления
Общая симптоматика при болезни Хортона:
- Слабость
- Лихорадка
- Пониженное настроение (депрессивный фон)
- Потеря аппетита
- Снижение веса.
Сосудистая симптоматика гигантоклеточного артериита:
- головные боли (с преимущественной локализацией в височной области)
- Чувствительность при пальпации поверхностной височной артерии, ощущение уплотнения данной артерии
- Перемежающаяся дисфункция жевательного аппарата
- Ухудшение зрения, вплоть до слепоты
- Перемежающаяся хромота
- Инсульт головного мозга
- Инфаркт миокарда
Полимиалгическо-ревматическая симптоматика (примерно 50% случаев):
- боли в мышцах шеи, плечевого пояса и таза
- По результатам лабораторных анализов — увеличение скорости оседания эритроцитов (СОЭ) >50 мм/ч, а также концентраций С-реактивного белка.
Принципы лечения гигантоклеточного артериита
- Глюкокортикоиды
- Рентгенологическое интервенционное лечение
- Хирургическое лечение.
Течение и прогноз
- Обычно наблюдается положительный эффект от применения глюкокортикоидов.
Что хотел бы знать лечащий врач?
- Степень распространенности, а также активность патологического процесса (поражения артерий)
- Исключение стеноза экстракраниального сегмента НСА до взятия биопсии поверхностной височной артерии, поскольку данная артерия может являться составляющей коллатерального кровотока между экстракраниальной и интракраниальной артериальной системой.

Гигантоклеточный артериит. МРТ в аксиальной проекции, а, b Визуализация с субтракцией сигнала от жировой ткани в Т2-взвешен- ном режиме. Вся окружность мозгового черепа визуализируется на уровне височной доли (а), поскольку это срез правой экстракраниальной височной области (b). Концентрическое утолщение стенки правой поверхностной височной артерии (стрелка) и отек окружающей паренхимы,
В проекции утолщенной артериальной стенки определяется выраженное гомогенное усиление.
Какие заболевания имеют симптомы, схожие с болезнью Хортона
Артериит Такаясу
- Как правило, поражение дуги аорты и ветвей первого порядка
Атеросклеротическое поражение сосудов
- Утолщение сосудистой стенки характеризуется более выраженной гиперэхогенностью, а также неправильными контурами просвета
КТ и МРТ диагностика пиальной артериовенозной мальформации головного мозга
Какой метод диагностики пиальной ангиомы выбрать: МРТ, КТ, ангиографию
Информативна ли МСКТ сосудов мозга при мальформации
- Обычно визуализируется гиперденсный клубок сосудов
- Расширение глубоких и поверхностных мозговых вен
- Может наблюдаться обызвествление
- Отсутствие объемного воздействия, за исключением случаев острых кровоизлияний
- На постконтрастных изображениях наблюдается гирляндоподобная картина усиления.
Что покажут снимки МРТ головного мозга при пиальной ангиоме
- Гирляндоподобные, гипоинтенсивные зоны с отсутствием сигнала от потока лучше всего визуализируются на Т2-ВИ и взвешенном по протонной плотности изображении
- Прилежащая ткань головного мозга на Т2-ВИ выглядит гиперинтенсивной вследствие хронической ишемии (феномен обкрадывания)
- Значительное контрастное усиление, в частности, дренирующих вен.
Зачем проводят МР-ангиографию при пиальной артериовенозной мальформации
- ДСА показана для подтверждения диагноза, визуализации ангиоархитектоники и планирования лечения
- Расширение питающих артерий
- Преждевременное заполнение и, как правило, расширение вен
- Клубок сосудов расположен между питающими сосудами и дренирующими венами
- Могут встречаться артериальные или венозные аневризмы и стенозы дренирующих вен
- В ряде случаев показано высокоселективное зондирование отдельных питающих артерий
Что хотел бы знать лечащий врач
- Сосудистая анатомия
- Классификация АВМ
- Дифференциальный диагноз между фистулезными и узловыми АВМ.
Какие заболевания имеют симптомы, схожие с пиальной ангиомой в мозге
Артериовенозная дуральная фистула:
- Шунт в твердую мозговую оболочку
Злокачественная глиома с артериовенозным шунтом:
-Солидный характер контрастного усиления
- Типичная картина роста
Принципы лечения артериовенозной мальформации сосудов головного мозга
Лечение артериовенозных мальформаций — это всегда операция
- Эндоваскулярная эмболизация фибриновым клеем
- Нейрохирургическое удаление АВМ (согласно классификации Spetzler-Martin)
- Лучевая терапия
- Комбинированное лечение
- При поражениях IV и V класса по классификации Spetzler-Martin эффективность лечения сомнительна.
Врачи каких специальностей диагностируют и лечат пиальную мальформацию мозга
- Невропатолог (определение неврологического дефицита)
- Нейрохирург (определение тактики лечения)
Прогноз
- Летальность после первого кровоизлияния составляет 10-18%
- Риск повторного кровоизлияния после первого эпизода составляет 6-7% в первый год.
Возможные осложнения
- Разрыв артериовенозной мальформации с кровоизлиянием в головной мозг
- Стойкие параличи/парезы
- Летальный исход вследствие разрыва мальформации

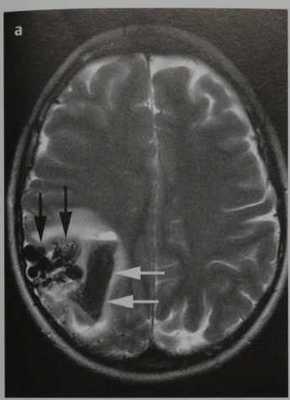
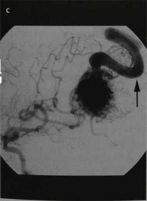
Пиальная артериовенозная мальформация головного мозга . МРТ, Т2-ВИ в аксиальной плоскости (а, b). ДСА в боковой проекции после введения КС в правую внутреннюю сонную артерию (с). Тубулярное отсутствие сигнала от потока в очаге АВМ (черные стрелки) на Т2-ВИ (а). Гипоинтенсивная гематома на Т2-ВИ (дезоксигемоглобин; а, белые стрелки).

Тубулярное отсутствие сигнала на поверхности головного мозга (вена; b, стрелка).

Определяется раннее контрастное усиление поверхностной мозговой вены, начинающейся от ветвей средней мозговой артерии (с, стрелка), и виден располагающийся между ними клубок сосудов (очаг, с)
Артериовенозная фистула
МКБ-10
Общие сведения
Артериовенозная фистула представляет собой прямое соустье артерии с веной, пропускающее кровь, минуя капилляры. Это достаточно редкое заболевание - частота патологических почечных шунтов не превышает 1 случая на 1000 человек, спинальные фистулы встречаются еще реже (1 на 100 тыс.). Однако среди сосудистых мальформаций мозга на долю фистульных образований приходится 60-80%, распространенность периферических вариантов достигает 20%. Патологические соустья бедренной артерии составляют 12-30%, сонной и подключичной - до 25% от общего числа подобных дефектов. Женщины страдают артериовенозными дисплазиями в 2-3 раза чаще мужчин.
Причины
Возникновение фистул опосредовано повреждением артериальной и венозной стенок под воздействием внешних или внутренних факторов. Наряду со структурными дефектами и заболеваниями, все большую роль в этиологии артериовенозных шунтов приобретают ятрогенные факторы. В сосудистой хирургии выделяют следующие группы причин:
- Врожденные аномалии. Большинство врожденных мальформаций являются результатом нарушений эмбриогенеза между 4 и 10 неделями гестации. Предполагается влияние внутриутробных инфекций, интоксикаций, артериальной гипертензии у матери и приема некоторых лекарств во время беременности.
- Наследственные заболевания. Трансформация мелких сосудов в артериовенозные шунты и аневризмы наблюдается при наследственной патологии - болезни Рандю-Ослера-Вебера (семейной геморрагической телеангиэктазии), синдроме «голубого пузырчатого невуса». Прослеживается связь с генными мутациями, нарушающими нормальный ангиогенез (PTEN, RASA 1).
- Хроническая патология. Отмечена связь пульмональных фистул с хроническими легочными инфекциями и паразитарными инвазиями (туберкулезом, шистосомозом, актиномикозом), метастазами рака щитовидной железы. Патология встречается при циррозе печени и врожденных пороках сердца.
- Механические травмы. Появление многих приобретенных дефектов связывают с механическим повреждением вены и артерии, расположенных рядом и плотно прилегающих друг к другу. Так обычно происходит при колющих, огнестрельных, реже - тупых ранениях, переломах основания черепа и длинных трубчатых костей со смещением отломков.
- Инвазивные вмешательства. Вероятность появления патологических соустий увеличивается при катетеризации сосудов (трансфеморальной аорто- и коронарографии, чрескожной чреспеченочной холангиографии), биопсии паренхиматозных органов (печени, почек). С подобной проблемой сталкиваются после эндопротезирования коленных суставов, операций на межпозвонковых дисках, нефростомии.
- Хирургические манипуляции. Искусственно созданное соустье между артериальным руслом и венозной системой необходимо при терминальной почечной недостаточности для облегчения процедуры гемодиализа. По сравнению с остальными видами сосудистого доступа, артифициальное соединение имеет более высокую долгосрочную проходимость с хорошей скоростью потока и низким риском осложнений.
В этиопатогенезе фистульных аномалий немаловажная роль отводится эрозиям и спонтанным разрывам артериальных аневризм в близлежащие вены. Значимыми и независимыми факторами риска патологических соустий являются прием антикоагулянтов (гепарина, варфарина), артериальная гипертензия, женский пол.
Патогенез
Точный патогенез артериовенозных мальформаций первичного характера неизвестен. В концевых артериальных петлях может возникнуть аномалия, приводящая к расширению тонкостенных капиллярных мешочков. По иным предположениям, дисплазии становятся результатом неполной резорбции сосудистых перегородок, разделяющих артериальное и венозное сплетение во внутриутробном периоде развития плода. Предполагается, что небольшие фистулы возникают при нарушении формирования капилляров.
Травматическим шунтам предшествует образование аневризмы и гематомы. Сращение сосудов происходит по типу заживления раны первичным натяжением. Кровь, вылившаяся в окружающие ткани и частично рассосавшаяся, организуется с формированием трубчатого хода, сообщающего артерию с веной. Стенки патологического шунта укрепляют гладкомышечные, соединительнотканные элементы и эндотелий, проникающие со стороны поврежденных ветвей. Постоянный кровоток через свищевой ход предотвращает его заращение.
Шунтирование крови по патологическим соустьям провоцирует обкрадывание тканей, расположенных дистальнее. При изменении давления и характеристик кровотока по обе стороны дефекта возникают турбулентные потоки, создающие условия для дальнейшего повреждения сосудистой стенки и дегенеративных процессов. В периферических тканях наблюдаются явления артериальной ишемии и венозной гипертензии, компенсаторно развивается сеть коллатералей. Крупные свищи провоцируют увеличение объема циркулирующей крови, нарушение сердечной деятельности, венозную недостаточность.
Классификация
Артериовенозные фистулы входят в структуру сосудистых мальформаций. На изолированную форму (прямое соединение) приходится 11% случаев, а смешанный шунт (с наличием клубка измененных ветвей) характерен для 53% пациентов. В клинической ангиологии такие соустья классифицируются на основании следующих критериев:
- По происхождению. Первичные фистулы имеют врожденный характер, вторичные являются приобретенными. Последние разделяются на травматические, ятрогенные и спонтанные. Врожденные всегда возникают изолированно, без связи с другими факторами. Травматические фистулы на верхних и нижних конечностях встречаются одинаково часто (20%), доля внутригрудных и внутрибрюшных составляет около 4%.
- По локализации. Исходя из расположения, различают центральные (церебральные, спинальные) и периферические шунты (легочные, коронарные, почечные, печеночные, подкожные). В зоне головы и шеи встречаются экстрацеребральные (дуральные, каротидно-кавернозные соустья), интрацеребральные (пиальные), экстракраниальные (магистральных сосудов шеи), эктра-интракраниальные (артерио-югулярные) образования.
- По распространенности. Аномальные соединения между артериями и венами бывают ограниченными и диффузными, единичными и множественными. Распространенные формы имеют четкую генетическую обусловленность и могут входить в клиническую структуру синдромов Кобба, Клиппеля-Треноне, Паркса-Вебера.
- По размеру. Градация артериовенозных фистул по величине дефекта является одним из определяющих критериев, влияющих на выбор лечебной тактики. Учитывая диаметр вены, выделяют несколько разновидностей аномальных соустий: малые (от 1 до 3 мм), средние (3-6 мм), крупные (более 6 мм).
Существует ангиографическая классификация фистул, применимая к подкожным образованиям, расположенным в области туловища и конечностей. Рассматривая морфологию шунта, выделяют три типа поражения: I - артериовенозный, II - артериоловенозный, III - артериоловенулярный.
Симптомы артериовенозной фистулы
Характер симптоматики определяется локализацией шунтов и их размерами. Небольшие образования на конечностях, в легких, почках и головном мозге обычно протекают бессимптомно и бывают случайной диагностической находкой. Врожденная патология проявляется еще в раннем детстве или в более старшем возрасте. Клиническая картина посттравматических свищей развивается сразу после повреждения либо спустя несколько недель, месяцев.
Подкожный сосудистый свищ заметен по расширению вены, пальпаторной и визуальной пульсации, локальной отечности. Врожденные процессы зачастую сопровождаются изменением кожной окраски на красно-багровую. Над фистульным образованием локальная температура повышена, в дистальных отделах наблюдаются признаки ишемии: похолодание, бледность, сухость кожи. При аускультации над пульсирующей аномалией выслушивается систолический и диастолический шум. Если сильно прижать образование пальцем, то происходит замедление частоты сердечных сокращений (феномен Бранхама-Николадони).
Значительный сброс крови из артериального в венозное русло при больших свищах ведет к возникновению признаков гиперкинетического кровотока: тахикардии, увеличения систолического и пульсового давления, снижения толерантности к физическим нагрузкам. Каротидно-кавернозные свищи могут проявляться пульсирующим экзофтальмом, односторонним покраснением склеры и конъюнктивы, двоением в глазах, снижением остроты зрения, шумом в ушах. Церебральные мальформации провоцируют развитие судорожного синдрома, головных болей, явлений неврологического дефицита (речевых нарушений, мышечной слабости, координаторных и чувствительных расстройств, снижения памяти и внимания).
Начальные симптомы спинальных образований неспецифичны, включают трудности при подъеме по лестнице, нарушение походки, сегментарные сенсорные расстройства (парестезии, гипо-, анестезию), корешковые боли в конечностях. Неврологические симптомы постепенно прогрессируют и имеют восходящий характер. На поздних стадиях наблюдаются нарушения мочеиспускания, дефекации, эрекции. Иногда заболевание имеет острое начало и прогрессирующие развитие с промежуточными ремиссиями.
Осложнения
Длительно существующие сосудистые шунты сопровождаются повышением давления в отводящих венах, что провоцирует их варикозное расширение с тромбозом и трофическими нарушениями. Сброс большого объема крови мимо капилляров приводит к перегрузке сердца, кардиомегалии, развитию хронической циркуляторной недостаточности и эндокардита. Серьезные последствия фистул связаны с их разрывом и возникающим внутренним кровотечением.
Очаг в веществе головного мозга осложняется геморрагическим инсультом с развитием стойкого неврологических расстройств и инвалидизацией пациента. Почечные аномалии сопровождаются внутрибрюшным и забрюшинным кровотечением, а разрыв магистральных стволов может иметь самые неблагоприятные последствия, вплоть до летального исхода.
Диагностика
Распознавание врожденных и приобретенных артериовенозных свищей в большинстве случаев осуществляется средствами инструментальной диагностики. Клиническими методами можно выявить лишь периферическую аномалию (на туловище, конечностях) или по совокупности симптомов заподозрить ее присутствие в каком-либо органе. Точную визуализацию сосудистого образования обеспечивают следующие диагностические процедуры:
Диагностическая программа составляется сосудистым хирургом или более узкими специалистами. В дополнение к описанным исследованиям, назначают КТ или МРТ головы, позвоночника, внутренних органов. Учитывая локализацию патологии, может потребоваться консультация нейрохирурга, пульмонолога, уролога и других врачей. К общей патологии, с которой следует дифференцировать артериовенозную фистулу, относят схожие мальформации (капиллярные, плексиформные), сосудистые аневризмы, гемангиомы, варикозную болезнь.
Лечение артериовенозной фистулы
Целью лечения является закрытие патологического соустья с сохранением проходимости основных сосудов. В основу положен принцип изоляции и разрушения аномальной связи артериального русла с венозным. Выбор оптимальной тактики проводится с учетом локализации, размера и типа соустья, динамики кровотока, особенностей дистальных участков. На практике применяют несколько способов коррекции дефекта:
Аномальные шунты небольших размеров, не являющиеся гемодинамически значимыми, подлежат наблюдению. Являясь косметическим дефектом, они могут удаляться лазерной коагуляцией. Крупные подкожные свищи требуют открытого хирургического доступа с реконструкцией сосудов. При доброкачественных фистулах назначают консервативную терапию (компрессионный трикотаж, нестероидные противовоспалительные средства, ангиопротекторы). Есть данные об успешном медикаментозном лечении врожденных артериовенозных дисплазий ингибиторами металлопротеиназ и некоторыми иммунодепрессантами.
Прогноз и профилактика
Известны случаи спонтанного регресса первичных артериовенозных фистул. При длительно сохраняющихся шунтах риск разрыва и сердечной декомпенсации делает прогноз неблагоприятным. Но после радикальной коррекции удается полностью избавиться от сосудистого дефекта, нормализовав гемодинамику и восстановив функцию пораженной области. Меры профилактики приобретенных соустий включают предупреждение травматизма, соблюдение техники выполнения инвазивных вмешательств, своевременное лечение хронических заболеваний. Риск врожденных мальформаций можно снизить при исключении негативного влияния на плод в период беременности.
1. Современные концепции лечения артериовенозных ангиодисплазий (мальформаций). Согласительный документ/ Покровский А.В. и др.// Ангиология и сосудистая хирургия - 2015 - №29.
2. Клинические рекомендации по диагностике и лечению артериовенозных мальформаций центральной нервной системы/ Парфенов В.Е., Свистов Д.В., Элиава Ш.Ш., Яковлев С.Б., Тиссен Т.П., Иванов А.Ю.,Иванов П.И. - 2014.
3. Рентгенэндоваскулярные методы диагностики и лечения цереброваскулярной патологии: Автореферат диссертации/ Боломатов Н.В. - 2014.
4. Артериовенозные фистулы головы и шеи. Клиника, ангиоархитектоника, эндоваскулярное лечение: Автореферат диссертации/ Яковлев С.Б. - 2008.
КТ и МРТ диагностика дуральной артериовенозной фистулы на снимках головного мозга
Это сосудистая мальформация головного мозга , представляющая собой соединения между двумя кровеносными сосудами, а именно между артерией и веной твердой мозговой оболочки.
- Наиболее частая локализация: поперечный (50%) и пещеристый синус (16%).
- Частота: 10-15% всех внутричерепных артериовенозных сосудистых мальформаций
- Локальный артериовенозный шунт в твердой мозговой оболочке (стенка синуса, венозное сплетение основания черепа, место, где кортикальные вены впадают в венозный синус).
- Этиология неизвестна; вероятно, возникает вследствие приобретенной патологии синуса твердой мозговой оболочки, например, воспаления, тромбоза или травмы.
Классификация и планирование лечения (Djidjian Merland):
- Тип I: Дренирование в венозный синус с нормальным направлением кровотока (рефлюкс отсутствует)
- Тип II: Дренирование в венозный синус с рефлюксом в другой синус или в вены
- Тип II а: Рефлюкс в близлежащий синус
- Тип II b: Рефлюкс в кортикальные вены
- Тип III: Прямой отток в кортикальные вены
- Тип IV: Аналогично типу III, но с варикозно расширенными венами
- Тип V: Краниальные фистулы с перимедуллярным венозным или ради- куломедуллярным дренированием.
- Данная сосудистая мальформация головного мозга имеет множественные симптомы и проявления.
- В зависимости от типа фистулы она может быть бессимптомной;
- вызывать функциональные симптомы, например, звон в ушах (тип I);
- повышенное внутричерепное давление (сниженная острота зрения, хемоз, экзофтальм, головная боль, вклинение миндалин мозжечка; тип II а);
- очаговую неврологическую симптоматику, миелопатию и внутримозговое кровоизлияние (типы IIЬ, II а и Ь, и III-V).
Какой метод диагностики фистулы выбрать: МРТ, КТ, ангиографию
Метод выбора:
Что покажут снимки КТ и МРТ головного мозга наличии фистулы
- Обычно неинформативны
- Нередко имеется частичная или полная окклюзия пораженного венозного синуса вследствие тромбоза
- Реже артерия, питающая фистулу, расширена или имеется артериальный кровоток в дренирующих венах.
Проводят ли ангиографию сосудов мозга
- Одна питающая артерия, несколько питающих артерий или фистула, возникающая непосредственно из крупной артерии, например, из внутренней сонной артерии.
- Они часто кровоснабжают дуральный синус через диффузную сосудистую сеть, что приводит к его преждевременному контрастному усилению
- В зависимости от типа фистулы также наблюдается контрастное усиление кортикальных вен или верхней глазной вены
- Визуализация всех питающих артерий
- Подтвердить и установить локализацию фистулы
- Определение типа фистулы

Какие заболевания имеют симптомы, схожие с артериовенозной фистулой оболочки мозга
Пиальная АВМ:
- Артериовенозное «короткое замыкание» в мягкой мозговой оболочке
Гломусные опухоли:
-Типичная МР-картина с опухолеподобным «солидным» контрастным усилением и характерной картиной «соли и перца»
-Локализация: бифуркация общей сонной артерии (сонный гломус), верхний узел (яремный ганглий) или нижний узел (узловатый ганглий) блуждающего нерва, барабанная полость.
Спинальные дуральные артериовенозные фистулы (СДАВФ)
Спинальные дуральные фистулы (СДАВФ) являются наиболее распространенным типом сосудистой мальформации спинного мозга и составляет ~70% всех поражений.
Эпидемиология
Чаще болеют мужчины (5:1). Пик заболеваемости между 5 и 6 декадой.
Патоморфология
Спинальные дуральные артериовенозные фистулы являются разновидностью артериовенозных мальформаций (АВМ) и характеризуются образованием патологического соустья между артериями твердой оболочки спинного мозга, дурального выворота корешка и спинальной сегментарной дренирующей веной. Заболевание характеризуется шунтированием в спинальную венозную систему (перимедуллярные вены) большого количества крови, повышением венозного давления во всей спинальной венозной системе, что затрудняет отток крови из капиллярной системы спинного мозга, обусловливает возникновение так называемой «гипертензивной венозной миелопатиии»

Клинические проявления
В случае локализации артериовенозной дуральной фистулы в спинальной твердой мозговой оболочке, проявления связаны со сдавлением фистулой нервных корешков или ткани спинного мозга. При этом, симптоматика обычно медленно прогрессирует. Отмечаются парезы и параличи ног, иногда и рук, нарушается чувствительность ног, а также страдают функции кишечника и мочевого пузыря. Все это связано с характерной поясничной локализацией дуральной спинальной фистулы. У мужчин может быть импотенция.
Радиологические признаки
Читайте также:
