Диагностика порэнцефалической кисты по КТ, МРТ
Добавил пользователь Владимир З. Обновлено: 22.11.2025
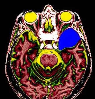
МРТ головного мозга. Т2-взвешенная аксиальная томограмма. Арахноидальная киста. Цветовая обработка изображения.
Кисты головного мозга в большинстве своем относятся к аномалиям развития. Некоторые образования, возникшие на почве нарушения развития, имеют сходные с кистами черты.
Эпидермоидные кисты (эпидермоиды) - доброкачественные врождённые образования. Они происходят из эктопических эпидермальных клеток и развиваются в период закрытия, в 3-5 нед. эмбриогенеза, как следствие неполного разделения нейрональной и покровной эктодермы. Частота составляет около 1% от внутричерепных образований. Обычно диагностируются в возрасте 25 - 45 лет. Локализация эпидермоидов может быть любой, но типичная - мосто-мозжечковый угол (третье по частоте образование этой области), предмостовая цистерна, параселлярная область, четверохолмие и желудочковая система, очень редко в полушариях, спинном мозге и интрадиплоидно. Растут они интра- или экстрадурально, экспансивно, медленно, сдавливая ствол мозга, внутричерепные нервы, но не разрушая кость. Иногда захватывают сосуды и нервы. По характеру роста их можно отнести к опухолевидным образованиям. Вокруг эпидермоидов нередко развивается асептическое воспаление, а при разрыве содержимое (жир, кератин) прорывается в ликворные пространства. Клинические проявления зависят от локализации и масс-эффекта.
При МРТ головного мозга картина неспецифическая и зависит от содержимого кисты. Если она не содержит жира, то имеет ликворную интенсивность сигнала . В таком случае эпидермоидная киста трудно отличима от арахноидальной, хотя, как правило, не столь однородная. На МРТ типа FLAIR и диффузионно-взвешенных МРТ изображениях содержимое эпидермоидов светлее ликворного. Жировое содержимое, такие эпидермоиды еще называют холестеатомой, приводит к высокому сигналу на Т1-взвешенных МРТ головного мозга. Видимо, он обусловлен липидами, но не холестеролом. На Т2-взвешенных МРТ головного мозга он менее интенсивен чем ликвор. Контуры эпидермоидов всегда четкие. Холестеатомы составляют всего 3-5% от эпидермоидов. В 15-20% случаев встречается кальцификация по переферии кисты. Редко наблюдается контрастирование стенок.
МРТ головного мозга. Т1-взвешенные корональная и сагиттальная МРТ. Эпидермоидная киста левой височной доли.
Дермоидные кисты встречаются реже эпидермоидных, составляя около 0,3 % от внутричерепных образований. Обычно выявляются в возрасте между 10 и 20 годами. Морфологически от эпидермоидов их отличает наличие эктодермальных элементов - волосяных фолликулов, потовых желёз и т.д. Типично они расположены по средней линии (в отличие от эпидермоидов, которые чаще внеосевые): в супраселлярной цистерне, субфронтально, вокруг моста и, очень редко парапиниально, периорбитально, в IV желудочке, в области конского хвоста и интрадиплоидно. От эпидермоидных кист на МРТ головного мозга их отличает только выраженная неоднородность структуры, кроме того, они всегда яркие на Т1-взвешенных МРТ головного мозга за счёт большого содержания липидов. При разрыве и прорыве в субарахноидальное пространство в нём появляется уровень, на Т1-взвешенных МРТ головного мозга светлый жир плавает на ликворе.
Липома представляет собой скопление в субарахноидальном пространстве зачаточных жировых клеток с примесью коллагена. Происходят липомы из остатков примитивной эмбриональной оболочки. Эта мальформация оболочек мозга связана с нарушением дифференцировки мезенхимы на мягкую мозговую оболочку и субарахноидальное пространство. Частота липомы составляет менее 0.5% от внутричерепных образований. Обычно липомы локализуется в мозолистом теле, в межполушарной щели, воронке гипофиза и гипоталамусе, реже вокруг червя мозжечка и пластины четверохолмия и мосто-мозжечковом углу и Липомы мозолистого тела сочетаются с его агенезией и в 60% случаев с распространением на сосудистое сплетение. При МРТ головного мозга липома четко очерчена, без отека вокруг и масс-эффекта, кость не разрушает. Структура образования чаще однородная, жировой интенсивности сигнала - то есть выраженно гиперинтенсивная на Т1-взвешенных МРТ и немного менее интенсивная по отношению к ликвору на Т2-взвешенных МРТ. Иногда встречаются неоднородные липомы с участками низкого сигнала от кальцинатов и сосудов, проходящих ее насквозь. При сомнениях в диагнозе надо выполнить МРТ головного мозга с подавлением жира или можно сделать КТ. На КТ липома всегда резко гиподенсна и может содержать включения кальция.

МРТ головного мозга. Сагиттальная Т1-взвешенная МРТ. Липома мозолистого тела.
Эпендимальные кисты встречаются очень редко. Они представляют собой врождённую отшнуровку внутри желудочков или цистернах . На МРТ головного мозга контур кисты четкий, сигнал ликворной интенсивности или чуть светлее за счет отсутствия пульсации и примеси белка, структура однородная. В отличие от кист прозрачной перегородки она не расщеплена, а смещена.
Арахноидальные кисты представляют собой скопление ликвора между листками расщепленной паутинной оболочки. Арахноидальная киста обычно не сопровождается другими мальформациями. Незначительная часть арахноидальных кист имеет приобретенное происхождение - следствие лептоменингита, операции или кровоизлияния. Частота составляет около 1% от внутричерепных образований. Соотношение полов М:Ж, как 4:1. Типичная локализация - средняя черепная ямка (в области Сильвиевой борозды 50%), межполушарная щель, мосто-мозжечковый угол (11%), за скатом или на уровне четверохолмия (10%), в области червя мозжечка (9%), реже в области межножковой и предмостовой цистерн (3%), а также супраселлярной и хиазмальной цистерн. Ретроцеребеллярная арахноидальная киста довольно часто встречаются за мозжечком и отличима от mega cisterna только по неизменённой задней черепной ямке. Содержимое кисты чисто ликворное, стенки гладкие, чётко очерченные, внутри кисты могут быть перегородки. Мелкие арахноидальные кисты очень трудно увидеть. Меняя ширину окна и его уровень на Т1-взвешенных МРТ изображениях можно заметить, что киста чуть светлее ликвора. Дифференциальная диагностика с эпидермальными кистами лучше осуществляется с помощью МРТ последовательности FLAIR. Эпидермальные кисты становятся яркими, в отличие от гипоинтенсивных арахноидальных.
Нейроглиальные (нейроэпителиальные) кисты - врождённые кисты различной этиологии, локализующиеся в паренхиме мозга или в области сосудистого сплетения желудочков. Обычно округлые, с гладкими стенками. Очень часто такие кисты сочетаются с аномалиями развития: отсутствием прозрачной перегородки и полимикрогирией. При МРТ головного мозга содержимое кист ликворное, иногда с небольшой примесью белка.
Коллоидная киста - это врождённое нейроэпителиальное образование. Коллоидная киста выстлана эпителием и имеет фиброзную капсулу. Она составляют около 1-2% объемных внутричерепных образований. Обычно диагностируются в возрасте между 30 и 50 годами. При МРТ головного мозга видно, что киста всегда расположена в переднее-верхнем отрезке III желудочка между отверстиями Монро. Контур ее четкий, форма округлая, содержимое бывает неоднородное. Размер от 3 мм до 4 см, при больших размерах она закрывает отверстия Монро и вызывает окклюзионную гидроцефалию. Сигнал зависти от примеси белка к ликвору. При наличии белкового мукоидного содержимого киста гиперинтенсивна на Т1-взвешенных МРТ и гипоинтенсивна на Т2-взвешенных МРТ, но встречаются варианты гиперинтенсивные на томограммах обоих типов кольцевидные или смешанные . Контрастирования не наблюдается.
КТ и МРТ головного мозга. Коллоидная киста III желудочка.
Киста кармана Ратке представляет собой редко встречающееся образование из остатков эмбриональной эктодермы (щель Ратке), расположенное между долями гипофиза. Выявляется в любом возрасте, но чаще в 50-60 лет. Клинические проявления связаны с масс-эффектом. При головного мозга выявляется небольшая (3-5 мм) киста с четким контуром, без отека вокруг, однородная по структуре. Сигнал зависит от содержимого. При серозном содержимом сигнал типично жидкостный, при мукоидном киста светлая на Т1-взвешенных МРТ. В редких случаях киста достигает больших размеров и даже выходит за пределы седла. Стенка кисты иногда усиливается при контрастировании.
МРТ головного мозга. Т2-взвешенная корональная МРТ. Киста кармана Ратке.
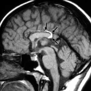
Пинеальная киста расположена в проекции шишковидной железы. Встречается с частотой 4-11%. Размеры обычно не превышают 1 см, но изредка встречаются больших размеров. В таких случаях она вызывает окклюзионную гидроцефалию. При головного мозга она имеет все признаки кисты с примесью белка в жидкости, то есть немного светлая на Т1-взвешенных. Изредка встречается геморрагическое содержимое. Киста может контрастироваться по периферии.

МРТ головного мозга. Сагиттальная Т1-взвешенная МРТ. Пинеальная киста.
Кисты средней линии - киста прозрачной перегородки (cavum septi pellucidi), полость Верге (cavum Vergae) и киста промежуточного паруса (cavum veli interpositi) - являются нормальными структурами головного мозга плода. В течение 6 месяцев после рождения у большинства людей они запустевают, но могут и сохраниться, визуализируясь при этом на МРТ головного мозга. По-видимому, эти полости не имеют клинического значения и относятся к случайным находкам при томографии. Киста прозрачной перегородки (еще называют V желудочком) является медиальной стенкой боковых желудочков и ограничена спереди коленом мозолистого тела, сверху мозолистым телом и сзади столбами свода . Полость Верге представляет собой продолжение кисты прозрачной перегородки кзади и расположена между телами желудочков . Обычно обе кисты сочетаются. Киста промежуточного паруса расположена в крыше III желудочка (tela choroidea), между треугольниками боковых желудочков на уровне отверстий Монро. Она ограничена сверху мозолистым телом, cзади цистерной четверохолмия и снизу III желудочком.
При МРТ в СПб мы обращаем внимание на возможность не только врожденных, но и редких состояний, к которым относятся приобретенные кисты головного мозга, причиной которых могут быть:
- последствия ОНМК
- опухолевые кисты
- паразитарные кисты

МРТ головного мозга. Корональная Т1-взвешенная МРТ. Многокамерные эхинококковые кисты.
Кисты головного мозга одинаково хорошо видны в высоких полях и низкопольных открытых МРТ. МРТ СПб дает место выбора выполнения МРТ.
Диагностика порэнцефалической кисты по КТ, МРТ

Заболевания
Порэнцефалия
Морфология: Порэнцефалия - это ликворосодержащая полость, связанная с субарахноидальным пространством или желудочками мозга. Порэнцефалия может быть истинной и ложной, которые отличаются наличием или отсутствием серого вещества по краю расщелины.
Истинная порэнцефалия (шизэнцефалия) всегда носит врожденный характер и предполагает существование расщелин в веществе мозга, которые соединяют желудочек и субарахноидальное пространство.
Вторичная порэнцефалия является последствием травмы, воспалительных процессов (менингита, энцефалита, вентрикулита), цереброваскулярных поражений (внутримозгового кровоизлияния), оперативного вмешательства (в том числе после пункции желудочка, а также возникает вследствие плохого функционирования шунта).
Радиографические признаки:
При УЗ-исследовании в антенатальный период могут визуализироваться одна/несколько внутричерепных кист, которые сообщаются с желудочковой системой и/или субарахноидальным пространством. Также может наблюдаться асимметрия боковых желудочков - смещение срединного эха.
Порэнцефалические кисты проявляются в виде интракраниальных кист с кхорошо очерченными краями и центральной плотностью, соответствующей таковой для ЦСЖ. Не наблюдается масс-эффекта на прилежащую паренхиму, хотя кисты большого размера могут оказывать локальное воздействие. Порэнцефалические кисты не имеют солидного компонента и не накапливают контрастное вещество.
Как и на КТ, порэнцефалические кисты хорошо визуализируются при МРТ, и часто их локализация соответствует сосудистой территории. Кисты ограничены белым веществом головного мозга, в котором может наблюдаться глиоз (как говорилось выше, это зависит от период, в котором произошел инсульт; чаще наблюдается в семейных случаях). Еще раз стоить отметить, что поверхность кисты не выстилается серым веществом, что характерно для арахноидальных кист и шизэнцефалии. Обычно кисты сообщаются с желудочковой системой и/или субарахноидальным пространством.
Порэнцефалическая киста
Порэнцефалическая киста — это формирование в головном мозге патологических полостей разной формы и размера, заполненных жидкостью. Заболевание возникает первично во внутриутробном периоде под воздействием генетических, тератогенных или гипоксических влияний, а также вторично — на фоне энцефалитов, церебральных кровоизлияний. Порэнцефалия проявляется эпилептическими приступами, снижением двигательных функций, отставанием в интеллектуальном развитии. Диагностика болезни требует выполнения МРТ, КТ, нейросонографии и ЭЭГ. Лечение проводится консервативным (антиконвульсанты, дегидратанты, ноотропы) или хирургическим способом.
МКБ-10
Общие сведения
Впервые термин «порэнцефалия» употреблен 1859 г. при описании дефекта мозговых полушарий у новорожденных. Истинная врожденная порэнцефалия более известна под названием шизэнцефалия. Тяжелая степень патологии называется поликистозом головного мозга. Частота встречаемости составляет около 2-3 случая на 100000 населения, половых различий в заболеваемости нет. Порэнцефалические кистозные образования не теряют своей актуальности в детской неврологии, что связано с отсутствием эффективных методов терапии, риском необратимого неврологического дефицита.
Причины
Первичная (истинная) порэнцефалическая киста формируется во время внутриутробного развития ребенка под действием генетических мутаций (COL4A1, EMX2), гипоксии плода, тератогенных факторов (химические токсины, нейроинфекции, некоторые медикаменты) и обычно манифестирует у новорожденных. Точные причины врожденного порока пока не установлены. Этиологическая структура вторичной порэнцефалии более изучена и включает следующие факторы:
- Воспалительные процессы. Формирование порэнцефалии возможно у пациентов с менингитами, энцефалитами, вентрикулитами, которые имеют затяжное или хроническое течение. Патологические изменения вызваны разрастанием соединительной ткани, заполнением ликвором образовавшейся полости.
- Внутримозговые кровоизлияния. Возникновение порэнцефалических кист возможно при резорбции и организации больших очагов, появившихся после ЧМТ, геморрагического инсульта. Нередко это встречается у новорожденных, перенесших гипоксию или родовую травму головы.
- Оперативные вмешательства. К ятрогенным факторам развития кистозной полости относят осложнения после пункции церебральных желудочков, в том числе при плохом функционировании шунта, продолжающемся гипертензионно-гидроцефальном синдроме.
Патогенез
Порэнцефалия возникает в период внутриутробного развития в результате нарушений морфогенеза церебральных нервных тканей либо при разнообразных расстройствах церебрального кровообращения. В патогенезе играют роль генетически обусловленные нарушения структуры сосудов (при наличии патологических цепей коллагена), тератогенные влияния. У новорожденных важным звеном механизма формирования кистозных образований является гипоксически-ишемическая энцефалопатия.
Размеры патологических полостей широко варьируют, в тяжелых случаях они занимают все мозговое полушарие. Изнутри новообразования имеют гладкую поверхность, покрытую эпендимоподобной оболочкой. Микроскопически определяются участки гетеротопированной коры головного мозга. Порэнцефалические кисты могут быть заполнены ликвором либо кистозной жидкостью, которая имеет желтый цвет, содержит много белковых включений.
Симптомы порэнцефалической кисты
Клиническая симптоматика весьма разнообразна, что зависит от размеров, количества, локализации объемных образований. Крупные кистозные полости манифестируют в период новорожденности или на первом году жизни ребенка. Первыми признаками обычно становятся различные виды судорожных приступов: генерализованные тонико-клонические, простые и сложные фокальные припадки, фокальные пароксизмы со вторичной генерализацией.
Уже в первые месяцы жизни определяется патологическая спастичность мышц, из-за чего у новорожденного или младенца отмечается скованность движений с уменьшенной амплитудой, становление моторных навыков отстает от возрастных норм. Постепенно двигательные нарушения прогрессируют: развиваются парезы и параличи мускулатуры, в процесс вовлекаются мышцы бульбарной группы, что проявляется расстройствами глотания, гуления, произношения первых слов.
Неврологические признаки во многом определяются расположением порэнцефалической кисты. Зачастую поражается зрительный анализатор: снижается острота зрения, сужаются зрительные полей, появляются фотопсии. Поражение височной доли головного мозга чревато ощущением шума в голове, вестибулярными нарушениями, затруднениями речевого развития. При повреждении мозжечка жалобы дополняются тремором рук, неустойчивостью позы и походки.
По мере взросления ребенка когнитивный дефицит становится более заметным. Больные с большими порэнцефалическими кистами значительно отстают в речевом развитии, часто вообще не говорят или изъясняются отдельными словами. Дети страдают различной степенью умственной отсталости, не могут обучаться в обычных классах. Также нередки случаи психических отклонений, прежде всего — расстройств аутистического спектра.
Осложнения
При крупных церебральных полостях у новорожденных первых дней жизни наступают тяжелые нарушения витальных функций, которые заканчиваются смертью в неонатальном периоде. Если ребенка удается спасти, у него выявляется глубокий неврологический дефицит, отсутствует психомоторное развитие, требуется медицинская помощь в отделении интенсивной терапии. Такие пациенты погибают в раннем возрасте.
При формировании синехий в кистозной полости скапливается избыточное количество ликвора, что является предиктором развития гидроцефалии. В таких случаях у новорожденных наблюдается увеличение размеров и деформация головы, учащение судорожных припадков, нарушения сознания. При комбинации порэнцефалии с агенезией мозолистого тела происходит усугубление двигательных нарушений, повышается риск возникновения фармакорезистентной эпилепсии.
Диагностика
При клиническом осмотре новорожденного неонатологом, детей другого возраста ‒ педиатром, а затем детским неврологом определяются разнообразные очаговые признаки: односторонний гемипарез, бульбарный синдром, гипорефлексия, симптомы когнитивного дефицита. К обследованию привлекается детский офтальмолог для оценки состояния глазного дна. Чтобы подтвердить наличие порэнцефалических кист, проводятся следующие диагностические исследования:
- Нейросонография. УЗИ головного мозга — информативный метод обследования новорожденных, с помощью которого визуализируются заполненные жидкостью церебральные полости, определяется их размер и локализация. По показаниям исследование дополняют УЗДГ церебральных сосудов.
- МРТ головного мозга. Самый точный метод верификации диагноза, который показывает все структурные изменения нервной ткани, используется для дифференциальной диагностики истинных кистозных полостей (выстланы диспластическим серым веществом коры) и вторичной порэнцефалии (образования изнутри покрыты белым веществом мозга). Допускается для обследования новорожденных и грудных детей.
- КТ головного мозга. Компьютерная томография выполняется у детей старшего возраста, у взрослых. Новорожденным и младшим детям производится в исключительных случаях по назначению врача. По данным снимков удается обнаружить объемное полое новообразование, которое не имеет солидного компонента, не поглощает рентген-контрастное вещество. Характерная особенность — отсутствие масс-эффекта даже при большом размере порэнцефалической кисты.
- ЭЭГ. Всем больным с судорожным синдромом, включая новорожденных, рекомендуется электроэнцефалография для исследования электрической активности мозга. По ее результатам обнаруживаются участки спонтанной эпилептиформной активности, как правило, сопровождающиеся вторичной билатеральной синхронизацией.
В современной неврологии истинная порэнцефалия в большинстве случаев диагностируется антенатально в ходе планового ультразвукового скрининга беременности. Информация о наличии аномалии необходима акушерам-гинекологам для рационального выбора тактики родоразрешения, планирования экстренной помощи новорожденным в течение первых часов жизни.
Лечение порэнцефалических кист
Специфическая помощь пациентам с порэнцефалическими кистами не разработана, поэтому лечение сводится к поддерживающей терапии. Больные находятся под диспансерным наблюдением детского невролога, в программу обследования входят регулярное проведение нейровизуализации для контроля размеров кисты. В индивидуальный план лечения при порэнцефалии, составленный в соответствии с клиническими проявлениями болезни у пациента, могут включаться:
- Противосудорожная терапия. Для купирования эпилептических приступов подбираются индивидуальные комбинации антиконвульсантов разного типа действия. Требуется постоянный контроль их эффективности, учитывая частые случаи фармакорезистентных судорог при порэнцефалических кистах.
- Симптоматическая терапия. Чтобы активизировать кровоснабжение и трофику церебральных тканей, показаны нейрометаболические препараты, ноотропы, средства, улучшающие микроциркуляцию. При повышении внутричерепного давления применяются осмодиуретики, салуретики.
- Нейрохирургическое лечение. Если возможен оперативный доступ к кистозной полости, осуществляется ее вскрытие, аспирация жидкого содержимого, иссечение сосудистого сплетения. При осложненном течении заболевания необходимо вентрикулоперитонеальное или вентрикулоатриальное шунтирование.
- Реабилитация. Для улучшения координации движений и мышечной силы назначается кинезиотерапия, механотерапия, массаж. Детям необходимы занятия с логопедом, дефектологом, нейропсихологом.
Прогноз и профилактика
При некрупных порэнцефалических кистах прогноз благоприятный, если отсутствует грубый неврологический дефицит. Большие образования, занимающие значительную часть головного мозга несовместимы с жизнью: наблюдается внутриутробная гибель плода либо смерть новорожденного. Профилактика истинной порэнцефалии предполагает правильное ведение беременности и подготовку к родам, вторичной — своевременное лечение воспалительных и сосудистых патологий ЦНС.
1. МРТ-паттерны гипоксически-ишемического поражения головного мозга у доношенных новорожденных/ Т.В. Мелашенко, А.В. Поздняков, В.С. Львов, Д.О. Иванов// Педиатр. — 2017. — №6.
2. Порэнцефалия: случай из практики/ Х.Н. Максудова, Л.М. Шашкина, Д.К. Расулова// Вестник КазНМУ. — 2015. — №2.
Порэнцефалия - редкое врожденное заболевание, характеризующееся кистозной дегенерацией и энцефаломаляцией с образованием порэнцефалических кист. Термин по-разному используется среди рентгенологов, его самое широкое определение - расщелина или кистозная полость в головном мозге, а его более узкое определение - фокальная кистозная область энцефаломаляции, которая сообщается с желудочковой системой и/или субарахноидальным пространством.
Терминология
В данной статье под термином «порэнцефалия» будет пониматься кистозное поражение головного мозга вследствие энцефалокластического повреждения (внутриутробные инфекции или ишемия), ограниченное белым веществом и которые сообщается с желудочковой системой и/или субарахноидальным пространством.
Клиническое представление
Поскольку порэнцефалические кисты широко различаются по размеру и расположению, клинические проявления также варьируют. Для пациентов с порэнцефалическими кистами характерны как бессимптомное течение, так и глубокие нарушения.
Часто признаки и симптомы проявляются на первом году жизни, причем спастичность и эпилептические приступы являются одними из самых ранних проявлений. Также часто встречаются нарушения речи, умственная отсталость и моторный дефицит.
Окружность головы также может варьировать. В некоторых случаях наличие перетяжек (синехий) в кисте может создавать односторонний клапанный эффект, что приводит к увеличению размеров кисты, нарастанию гидроцефалии и, соответственно, увеличению окружности головы.
Патология
Порэнцефалические кисты - достаточно редкая врожденная аномалия. Обычно кисты ограничены белым веществом головного мозга. Считается, что их появление связано с энцефаломаляцией вследствие локального инсульта на ранних этапах гестации. Глиозные изменения возникают в том случае, если ишемическое событие произошло на более поздних сроках, обычно после начала 3 триместра, хотя в некоторых случаях глиоз может развиваться и при инсультах на сроках ранее 20 недель.
Этиология
- перинатальная ишемия головного мозга;
- травма;
- инфекция;
- антенатальное внутримозговое кровоизлияние;
- семейные случаи порэнцефалиии: мутации в гене COL4A1 (т.н. COL4A1-ассоциированные заболевания) приводят к снижению прочности сосудов, что приводит к антенатальным/перинатальным геморрагическим инсультам;
Радиографические признаки
УЗИ
КТ
МРТ
Содержимое кист по сигнальным характеристикам идентично таковым для ЦСЖ:
- Т1: гипоинтенсивное;
- Т2: гиперинтенсивное;
- FLAIR: подавление сигнала содержимого;
- DWI: нет рестрикции диффузии;
Лечение и прогноз
Все мероприятия носят поддерживающий характер. Тяжесть нарушений в некоторой степени связана с размером и расположением кист.
МРТ кист головного мозга

МРТ головного мозга. Арахноидальная киста полюса левой височной доли. Цветовая обработка.
Кисты головного мозга - это аномалии его развития. При МРТ в СПб мы видим задачу в дифференциальной диагностике с кистозными формами опухолей. При МРТ головного мозга некоторые виды кист, особенно дермоидные, сами напоминают опухоль.
При МРТ головного мозга картина неспецифическая и зависит от содержимого кисты. Если она не содержит жира, топри МРТ головного мозга эпидермоидная киста имеет ликворную интенсивность сигнала. В таком случае эпидермоидная киста трудно отличима от арахноидальной, хотя, как правило, не столь однородная. На FLAIR томограммах и диффузионно-взвешенных МРТ головного мозга содержимое эпидермоидов светлее ликворного. Жировое содержимое, такие эпидермоиды еще называют холестеатомой, приводит к высокому сигналу на Т1-зависимых МРТ головного мозга. Видимо, он обусловлен липидами, но не холестеролом. На Т2-взвешенных МРТ головного мозга он менее интенсивен чем ликвор. Контуры эпидермоидов на МРТ всегда четкие. Холестеатомы составляют всего 3-5% от эпидермоидов. В 15-20% случаев встречается кальцификация по переферии кисты. Редко наблюдается усиление стенок кисты при МРТ головного мозга с контрастированием.

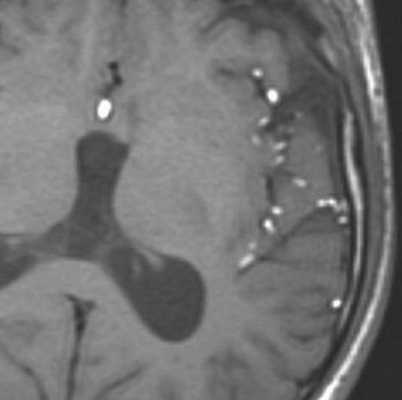
МРТ головного мозга. Т2-взвешенная аксиальная МРТ. Эпидермоидная киста в области предмостовой цистерны слева.
Дермоидные кисты встречаются реже эпидермоидных, составляя около 0,3 % от внутричерепных образований. Обычно выявляются в возрасте между 10 и 20 годами. Морфологически от эпидермоидов их отличает наличие эктодермальных элементов - волосяных фолликулов, потовых желёз и т.д. Типично они расположены по средней линии (в отличие от эпидермоидов, которые чаще внеосевые): в супраселлярной цистерне, субфронтально, вокруг моста и, очень редко парапинеально, периорбитально, в IV желудочке, в области конского хвоста и интрадиплоидно. От эпидермоидных кист на МРТ головного мозга их отличает только выраженная неоднородность структуры, кроме того, они всегда яркие на Т1-зависимых МРТ головного мозга за счёт большого содержания липидов. При разрыве и прорыве в субарахноидальное пространство в нём появляется уровень, на Т1-зависимых МРТ головного мозга светлый жир плавает на ликворе.

МРТ головного мозга. Т1-взвешенная аксиальная МРТ. Прорыв дермоидной кисты в субарахноидальное пространство.
Эпендимальные кисты встречаются очень редко. Они представляют собой врождённую отшнуровку внутри желудочков или цистернах. При МРТ головного мозга контур кисты четкий, сигнал ликворной интенсивности или чуть светлее за счет отсутствия пульсации и примеси белка, структура однородная. В отличие от кист прозрачной перегородки при МРТ головного мозга видно, что она не расщеплена, а смещена.

МРТ головного мозга. Т2-взвешенная аксиальная МРТ. Эпендимальная киста.
Арахноидальные кисты представляют собой скопление ликвора между листками расщепленной паутинной оболочки. Арахноидальная киста обычно не сопровождается другими мальформациями. Незначительная часть арахноидальных кист имеет приобретенное происхождение - следствие лептоменингита, операции или кровоизлияния. Частота составляет около 1% от внутричерепных образований. Соотношение полов М:Ж, как 4:1. Типичная локализация - средняя черепная ямка (в области Сильвиевой борозды 50%), межполушарная щель, мосто-мозжечковый угол (11%), за скатом или на уровне четверохолмия (10%), в области червя мозжечка (9%), реже в области межножковой и предмостовой цистерн (3%), а также супраселлярной и хиазмальной цистерн. В зависимости от размера предложено делить кисты на 3 типа (Galassi, 2006), что однако, не имеет практического значения. Ретроцеребеллярная арахноидальная киста довольно часто встречаются за мозжечком и отличима от mega cisterna только по неизменённой задней черепной ямке. При МРТ головного мозга содержимое кисты чисто ликворное, стенки гладкие, чётко очерченные, внутри кисты могут быть перегородки. Мелкие арахноидальные кисты очень трудно увидеть при МРТ головного мозга. Меняя ширину окна и его уровень на Т1-зависимых МРТ изображениях можно заметить, что киста чуть светлее ликвора. Дифференциальная диагностика с эпидермальными кистами лучше осуществляется с помощью МРТ последовательности FLAIR. На них при МРТ головного мозга эпидермальные кисты становятся яркими, в отличие от гипоинтенсивных арахноидальных. Вероятно, вариантом арахноидальной кисты является нейроэпителиальная киста, которая при МРТ головного мозга имеет типичное расположение в области хориоидальной щели.

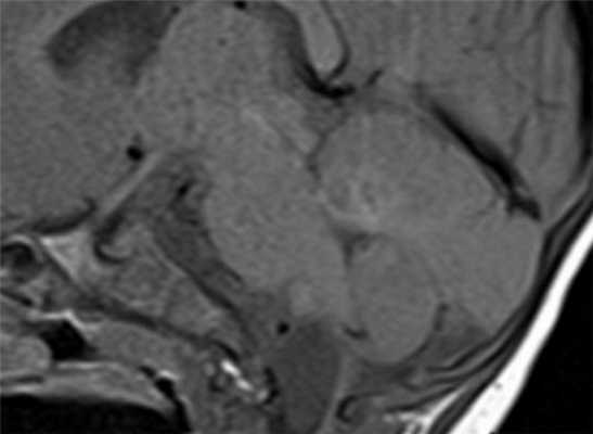
МРТ головного мозга. Т1-взвешенная сагиттальная МРТ. Арахноидальная киста в области большого затылочного отверстия.
Порэнцефалические кисты - врождённые кисты различной этиологии, локализующиеся в паренхиме мозга или в области сосудистого сплетения желудочков.При МРТ головного мозга они обычно округлые, с гладкими стенками. Очень часто такие кисты сочетаются с аномалиями развития: отсутствием прозрачной перегородки и полимикрогирией. Содержимое порэнцефалической кисты при МРТ головного мозга ликворное, иногда с небольшой примесью белка.
Коллоидная киста - это врождённое нейроэпителиальное образование. Коллоидная киста выстлана эпителием и имеет фиброзную капсулу. Она составляют около 1-2% объемных внутричерепных образований. Обычно диагностируются в возрасте между 30 и 50 годами. Всегда расположена в переднее-верхнем отрезке III желудочка между отверстиями Монро. Контур ее четкий, форма округлая, содержимое бывает неоднородное. Размер от 3 мм до 4 см, при больших размерах она закрывает отверстия Монро и вызывает окклюзионную гидроцефалию. Сигнал зависти от примеси белка к ликвору. При наличии белкового мукоидного содержимого киста гиперинтенсивна на Т1-взвешенных МРТ головного мозга и гипоинтенсивна на Т2-взвешенных МРТ, но встречаются варианты гиперинтенсивные на МРТ головного мозга обоих типов взвешенности кольцевидные или смешанные. При МРТ головного мозга с контрастированием усиления сигнала не наблюдается.
Киста кармана Ратке представляет собой редко встречающееся образование из остатков эмбриональной эктодермы (щель Ратке), расположенное между долями гипофиза. Выявляется в любом возрасте, но чаще в 50-60 лет. Клинические проявления связаны с масс-эффектом. При МРТ головного мозга выявляется небольшая (3-5мм) киста с четким контуром, без отека вокруг, однородная по структуре. Сигнал на МРТ головного мозга зависит от содержимого. При серозном содержимом сигнал типично жидкостный, при мукоидном киста светлая на Т1-взвешенных МРТ головного мозга. В 70-80% случаев внутри кисты выявляется неконирастирующийся узелок («пятно») - признак патогномоничный для кисты кармана Ратке. В редких случаях киста достигает больших размеров и даже выходит за пределы седла. Стенка кисты иногда усиливается при МРТ головного мозга с контрастированием. Дифференциальная диагностика при МРТ головного мозга должна проводиться с арахноидадьной и эпидермоидной кистами, тератомой, кистозной аденомой гипофиза и краниофарингиомой. Иногда при МРТ головного мозга киста кармана Ратке напоминает “пустое” турецкое седло. При маленьких размерах кисты ее на до дифференцировать на МРТ с микроаденомой гипофиза.

МРТ головного мозга. Т1-взвешенная сагиттальная МРТ. Киста кармана Ратке.
Пинеальная киста расположена в проекции шишковидной железы. Встречается с частотой 4-11%. Размеры обычно не превышают 1 см, но изредка встречаются больших размеров. В таких случаях она вызывает окклюзионную гидроцефалию. При МРТ головного мозга она имеет все признаки кисты с примесью белка в жидкости, то есть немного светлая на Т1-зависимых МРТ. Изредка встречается геморрагическое содержимое. Киста может по усиливаться периферии при МРТ головного мозга с контрастированием.

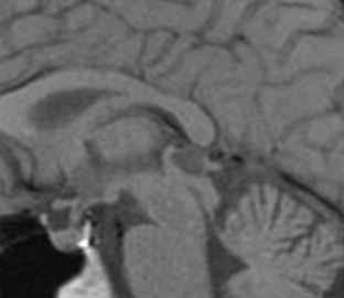
МРТ головного мозга. Т1-взвешенная сагиттальная МРТ. Пинеальная киста.
Кисты средней линии - киста прозрачной перегородки (cavum septi pellucidi), полость Верге (cavum Vergae) и киста промежуточного паруса (cavum veli interpositi) - являются нормальными структурами головного мозга плода. В течение 6 месяцев после рождения у большинства людей они запустевают, но могут и сохраниться. По-видимому, эти полости не имеют клинического значения и относятся к случайным находкам при МРТ головного мозга . Киста прозрачной перегородки (еще называют V желудочком) является медиальной стенкой боковых желудочков и ограничена спереди коленом мозолистого тела, сверху мозолистым телом и сзади столбами свода. Полость Верге представляет собой продолжение кисты прозрачной перегородки кзади и расположена между телами желудочков (рис.105). Обычно обе кисты сочетаются. Киста промежуточного паруса расположена в крыше III желудочка (tela choroidea), между треугольниками боковых желудочков на уровне отверстий Монро. Она ограничена сверху мозолистым телом, cзади цистерной четверохолмия и снизу III желудочком.
Читайте также:
