Временное клипирование артерий головного мозга. Показания
Добавил пользователь Евгений Кузнецов Обновлено: 21.11.2025

Аневризма сосудов головного мозга - это серьезное заболевание, при котором в стенке артерий головного мозга образуется локальное выпячивание, обусловленное истончением и потерей эластичности пораженного участка стенки. Как показывает статистика, с данной патологией сталкивается около 5% населения. При отсутствии лечения она может осложняться таким жизнеугрожающим состоянием, как разрыв аневризмы. Основным методом лечения этой болезни является хирургическое вмешательство. В данное статье мы поговорим о такой оперативной технике, как клипирование аневризмы сосудов головного мозга.
Суть метода, его преимущества и недостатки

В 2012 году ученые из Новосибирского научно-исследовательского института патологии кровообращения им. акад. Е.Н. Мешалкина опубликовали работу, по результатам которой было установлено, что микрохирургическое клипирование остается достаточно надежным и эффективным методом выключения церебральных аневризм для пациентов, находящихся в хорошем клиническом состоянии.
Клипирование аневризм сосудов головного мозга является довольно сложной операцией, требующей проведения трепанации черепа. Суть данного метода заключается в наложении специального устройства, называемого клипсой, на шейку аневризмы с внешней стороны сосуда. Таким образом патологически измененный участок отсекается от общего кровотока.
Как мы уже сказали, первоочередным недостатком данного метода является сложность проведения операции. Кроме этого, осуществить клипирование не удастся в том случае, если аневризма расположена глубоко в головном мозге. Также нельзя исключать вероятность развития различных послеоперационных осложнений.
Однако, несмотря на это, клипирование аневризм сосудов головного мозга считается одним из наиболее эффективных методов выключения пораженного сосудистого участка из мозгового кровотока.
Показания и противопоказания к операции
Основными показаниями к проведению клипирования аневризмы являются размер выпячивания более 7-10 миллиметров, а также наличие риска разрыва патологически измененного участка сосуда.
Абсолютными противопоказаниями являются:
- Сосудистый спазм, выявляющийся с помощью рентгеноконтрастного исследования;
- Тяжелые соматические патологии в стадии обострения;
- Нарушение свертываемости крови;
- Декомпенсированный сахарный диабет;
- Острые инфекции.
Возможные осложнения и прогноз

Как показывает статистика, с различными осложнениями при проведении клипирования аневризмы сосудов головного мозга сталкиваются около 8% пациентов, для 10% из которых все заканчивается летальным исходом.
Данная операция может сопровождаться как незначительными, так и крайне серьезными осложнениями. В ближайшем периоде пациент может столкнуться с повторными кровотечениями, послеоперационным спазмом сосудов, тромбоэмболией.
В отдаленном периоде нередко наблюдаются частые головные боли, речевые и психомоторные расстройства, проблемы с памятью, двигательные нарушения и так далее.
Прогноз при таком хирургическом вмешательстве более чем в 80% случаев благоприятный. Большинству пациентов удается вернуться к исходному образу жизни, части из них - к трудовой деятельности.
Читайте далее

Мозг ребенка и жиры пищи: зачем нужны омега-3 кислоты?
Питание многих детей к школьному возрасту существенно отличается от здорового, сбалансированного рациона.
Клипирование аневризмы головного мозга: показания, проведение, альтернативы, реабилитация

Аневризма - это патология, которая характеризуется расширением просвета сосуда, выпячиванием сосудистой стенки и формированием аневризматического мешка, обусловленная воздействием факторов врожденного или приобретенного характера. Как правило, аневризма развивается в стенке артерий, а не вен, и чаще всего локализуется в сосудах головного мозга и в аорте.
Операция клипирования аневризмы, используется в основном при локализации в сосудах головного мозга, поэтому речь пойдет о данной патологии.
Аневризма головного мозга встречается не только у взрослых, но и у детей. В последнем случае развитие патологии обусловлено врожденными причинами, в частности, формированием сосудистой (артерио-венозной) мальформации, или неправильного развития сосудов головного мозга плода во время беременности. У взрослых аневризма может никак себя не проявлять с детского возраста, или формироваться под воздействием приобретенных причин - атеросклероза, сифилиса, патологии сосудов и др.
Из клинических проявлений аневризмы головного мозга можно отметить как незначительные признаки (головные боли, тошнота, общая слабость, нечеткость и помутнение зрения), так и яркую симптоматику, обусловленную не только значительными размерами аневризмы, но и спонтанным ее разрывом с возникновением кровоизлияния в мозг. Опасность аневризмы в том, что человек с ее разрывом и кровоизлиянием может просто мгновенно погибнуть или остаться глубоким инвалидом. Поэтому при диагностированной аневризме сосудов головного мозга принимается решение о ее клипировании или эмболизации.
Сущность методики, преимущества и недостатки
Клипирование аневризмы головного мозга - это наложение специального устройства, называемого клипсой, на шейку аневризмы с внешней стороны сосуда. Такая операция является одной из самых сложных в нейрохирургии и проводится с помощью открытого доступа - трепанации черепа.
Клипирование аневризмы головного мозга
Эмболизация аневризмы, как альтернатива открытому клипированию - это внутрисосудистое, (эндоскопическое, эндоваскулярное) вмешательство, целью которого является заполнение аневризмы изнутри баллоном или спиралью, которые полностью «выключают» аневризматический мешок из кровотока.

Каждый из методов имеет свои преимущества и недостатки. Так, например, эндоваскулярное вмешательство менее травматично для пациента, после него не остаются рубцы, а также минимален риск возникновения инфекционных осложнений. В то же время клипирование аневризмы предпочтительнее, так как оно более надежно в плане отключения аневризмы от мозгового кровотока.
Недостатком клипирования является тот факт, что операцию невозможно осуществить при глубоком расположении аневризмы в головном мозге пациента. Недостатком обеих методик является риск возникновения постоперационных осложнений (не более 8%).
Таким образом, выбор методики осуществляется не только в зависимости от исходного состояния аневризмы, но и от ее локализации. Поэтому в каждом случае должны быть тщательно взвешены и оценены показания для операции и риски возможных осложнений.
Показания к операции
Операция на аневризме сосудов головного мозга показана, если у пациента обнаружено аневризматическое выпячивание, размером более 7-10 мм, подтвержденное инструментальными методами диагностики:
- Ультразуковым исследованием сосудов головного мозга,
- МРТ и/или КТ головного мозга, в том числе с использованием рентгеноконтрастного вещества, введенного в сосудистое русло пациента,
- Спинномозговой пункцией с исследованием ликвора (спинномозговой жидкости) на предмет субарахноидального кровоизлиянияпри разорвавшейся аневризме.
Противопоказания для операции
Тактика хирургического лечения у пациентов с кровоизлиянием определяется на основании шкалы, разработанной специально для нейрохирургов (шкала Hunt и Hess (1968); шкала WFNS SAH Scale (1988)). Основными критериями здесь является наличие клинических проявлений аневризмы, двигательных или речевых нарушений, а также сосудистого спазма у пациента (ангиоспазма), диагностированного по результатам рентгеноконтрастного исследования. Так, у пациента с выраженным ангиоспазмом следует воздержаться от операции, так как риск постоперационных осложнений превышает пользу от операции.
Кроме этого, операция противопоказана при наличии у пациента тяжелых острых соматических заболеваний или декомпенсации хронических заболеваний - острого инфекционного процесса, нарушения свертываемости крови, тяжелого сахарного диабета, тяжелого обострения бронхиальной астмы и др.
Подготовка к клипированию аневризмы головного мозга

Подготовка к клипированию или к эндоваскулярному лечению аневризмы различается в зависимости от того, по каким показаниям проводится вмешательство.
Так, при проведении операции в плановом порядке пациент должен получить консультацию невролога, нейрохирурга, а также предоставить этим врачам методы обследования, подтверждающие диагноз и/или выписки из стационара, где пациент получал лечение.
Из необходимых анализов, требующихся для госпитализации в клинику, практикующую подобные операции, следует отметить общеклинические анализы крови и мочи, анализ крови на свертываемость, анализ крови на антитела к ВИЧ и вирусным гепатитам, и флюорографию.
После необходимого обследования и консультации нейрохирурга, определившего показания для клипирования, пациент направляется на госпитализацию в соответствующую клинику. Далее начинается этап непосредственно предоперационной подготовки.
При проведении операции по экстренным показаниям, когда пациент поступает в нейрохирургический стационар с клиникой развившегося внутримозгового кровотечения, после необходимого минимума обследований (КТ, МРТ или УЗИ сосудов) начинается предоперационная подготовка. Проводится коррекция высокого или низкого артериального давления, коррекция гиповолемии (обезвоживания) и водно-электролитного состава крови с помощью препаратов и лечебных растворов (физ. раствор, глюкоза, Рингер и др).
Как проводится операция?
Операция на аневризме всегда проводится с использованием общего наркоза.
При клипировании после осуществления доступа к головному мозгу обнажаются ткани, под которыми располагается аневризма. Далее острым путем рассекаются прилегающие ткани и обнажается несущая артерия. При выделении шейки аневризмы на нее накладывается клипса. При малых размерах аневризмы используются оптические инструменты с увеличением масштаба операционного поля. Иногда у пациента во время операции обнаруживается сложное анатомическое строение аневризмы и окружающих тканей, а также значительные размеры аневризматического выпячивания. В этом случае может быть использовано временное наложение клипс, которые снимаются после осуществления основного этапа операции - наложения клипсы на шейку аневризмы.

техника клипирования аневризмы головного мозга
При эндоваскулярном вмешательстве доступ к аневризме осуществляется путем пункции бедренной артерии и ведения зонда под МРТ-контролем к месту операции. На конце зонда располагается баллон, вводимый в просвет аневризмы. После того, как баллон установлен и зафиксирован в аневризме, происходит эмболизация («закупорка») аневризмы, и она становится функционально неактивной.

эндоваскулярная эмболизация аневризмы
Все этапы операции осуществляются под строгим МРТ или КТ-контролем. После вмешательства пациент около пяти суток находится в отделении реанимации, после чего может быть переведен в отделение нейрохирургии.
Какова стоимость операции
В связи с тем, что клипирование аневризмы является очень сложной и опасной операцией, ее проводят не во всех крупных городах России. Так, клиники с соответствующей кадрово-технической оснащенностью существуют в Москве, Тюмени, Уфе, Кирове, Волгограде, Краснодаре и некоторых других областных центрах.
Относительно стоимости операции следует отметить, что плановое вмешательство может быть выполнено по квоте, выделенной из средств Минздрава РФ, но для этого пациент должен обратиться в региональный отдел Минздрава и предоставить все документы, подтверждающие необходимость проведения вмешательства.
В том случае, когда пациент ждать несколько недель или месяцев не намерен, он может быть прооперирован в любом городе на свое усмотрение, но за свой счет. Стоимость операций при этом зависит от многих факторов и составляет от 12 тыс руб до 180 тыс руб при эндоскопической операции и от 22 тыс руб до 170 тыс руб при клипировании аневризмы.

аневризма до/после операции
Возможные осложнения
Осложнения при клипировании аневризмы составляют не более 8%. Однако определенный риск все равно существует, поэтому пациент должен быть тщательно осведомлен о всех возможных последствиях. Последствия могут быть как незначительными, так и серьезными, и даже жизнеугрожающими.
В первом случае после операции у пациента нарушается память, речь, внимание, развиваются двигательные нарушения, а также возникают интенсивные головные боли.
В последнем случае осложнения обусловлены развитием постоперационного сосудистого спазма, приводящего к возникновению ишемии и отека легких. Несмотря на тяжесть этих состояний, все они могут быть скоррегированы соответствующей терапией в условиях реанимационного отделения (антиоксиданты, нейропротекторы, маннитол и др).
При эндоваскулярном вмешательстве возможно прободение стенки сосуда или аневризмы баллоном или спиралью, а также тромбоэмболические осложнения, могущие стать причиной летального исхода.
Профилактикой осложнений является технически правильное проведение оперативного вмешательства, а также беспрерывное наблюдение за пациентом в раннем постоперационном периоде.
Образ жизни

Разумеется, операция по устранению аневризмы в подавляющем большинстве случаев приводит к полному ее выключению из кровотока, и отсутствию риска ее разрыва с кровоизлиянием в ткани мозга. Но это не означает, что пациент после операции может сразу приступить к привычному образу жизни, который он вел до вмешательства. Да, жизнь после операции меняется кардинально, и каждому пациенту перед хирургическим лечением следует это учитывать. Зачастую многим людям после операции приходится заново учиться ходить, принимать пищу, разговаривать, читать и писать. Но это вовсе не означает, что стоит отказывать от клипирования аневризмы, так как ее разрыв без хирургического лечения может стать причиной гибели.
После выписки из стационара, где проводилась операция, пациент направляется на долечивание и реабилитацию в поликлинику по месту жительства. На этом этапе лечением пациента занимается невролог, нейрохирург (если есть в штате поликлиники) и эпилептолог (если у пациента была или наблюдается симптоматическая эпилепсия). Кроме этого, немаловажную роль в реабилитации играют врач-реабилитолог, врач ЛФК, логопед, психолог и другие специалисты.
Прогноз
Прогноз в большинстве случаев после операции на аневризме головного мозга благоприятный. Однако, не стоит забывать о постоперационной летальности, которая в общем (по данным разных клиник), составляет не менее 10%. В то же время летальность среди пациентов, не получивших хирургического лечения, колеблется в пределах 20%. То есть летальность среди лиц, получивших оперативное лечение, ниже в два раза, чем среди лиц, такое лечение не получивших.
Относительно прогноза для здоровья можно сказать, что для 7% пациентов операция на аневризме является инвалидидизирующей, а 80-90% прооперированных пациентов возвращаются практически к исходному уровню здоровья. Относительно трудового прогноза - более 40% пациентов могут вернуться к трудовой деятельности.
В заключение следует отметить, что все показания и противопоказания к клипированию и к эндоскопическому лечению аневризмы определяются только врачами при очном осмотре пациента. Конечно, операция на головном мозге - это не банальная царапина, но в том случае, когда врач открыто говорит пациенту о том, что без операции он может умереть - на хирургическое вмешательство следует согласиться. Самое главное при этом - позитивный настрой и вера в благополучный исход операции, ведь летальный исход и осложнения, как правило, более вероятны у пациентов с гигантскими размерами аневризмы, а также с повторными кровоизлияниями в мозг.
Лечение аневризмы головного мозга

По статистике, 85% субарахноидальных кровоизлияний (одна из форм инсульта) случается в результате разрыва аневризмы сосудов головного мозга. Именно поэтому раннее выявление патологии и ее правильное лечение помогает избежать опасных последствий, среди которых инвалидизация и даже летальный исход. Аневризмы лечат хирургическим путем, однако всегда ли операция необходима? О том, когда патологическая артерия представляет опасность и какие варианты терапии применяются, расскажет MedAboutMe.
Причины аневризм: травмы, гипертензия, атеросклероз
Аневризма — это растяжение артерии, вызванное патологией ее стенки. В норме сосуд имеет достаточно упругие стенки, которые легко выдерживают давление пульсирующей по ним крови. Но иногда они истончаются и со временем растягиваются — именно так и получается аневризма. Диагностируется такой дефект в любом возрасте. У детей поражение сосудов мозга чаще всего связано с пороками развития. А во взрослом возрасте его могут вызвать прежде всего черепно-мозговая травма или атеросклероз. Причем после травмы аневризма может вырасти очень быстро и за короткие сроки разорваться. Поэтому людям, пострадавшим в несчастных случаях, дорожно-транспортных происшествиях и т. п. очень важно посетить невролога и обследовать мозг.
Поражение сосудов может быть спровоцировано инфекцией или опухолью. В первом случае могут наблюдаться множественные дефекты, а сосуды будут повреждены во всем теле.
Также при оценке состояния больного врач учитывает провоцирующие факторы. Росту аневризмы способствует, в частности, следующее:
- Артериальная гипертензия. При постоянно повышенном давлении слабая стенка растягивается намного быстрее, и даже небольшой дефект может привести к кровоизлиянию в мозг.
- Курение. Никотин пагубно влияет на состав крови, увеличивает ее свертываемость. Повышается риск закупорки сосуда тромбами.
- Употребление алкоголя. Повышает артериальное давление, учащает сердцебиение, чем дает дополнительную нагрузку на артерии.
- Лишний вес. Ожирение также вызывает гипертензию.
- Наркомания. Особенно часто аневризмы диагностируются у зависимых людей, употребляющих кокаин.
Диагностика аневризмы сосудов головного мозга

Сама растянутая стенка сосуда не болит, поэтому аневризма может существовать бессимптомно. Жалобы появляются, если образование достаточно велико и начинает сдавливать различные участки мозга. В этом случае симптоматика может быть похожа на ту, которая возникает при опухолях. У человека появляются головокружения, проблемы со зрением (например, двоение картинки), слухом (звон в ушах), реже с речью. При тяжелых случаях могут быть обмороки. И все же аневризма чаще всего выявляется случайно, при обследованиях, назначенных по поводу других заболеваний.
Наиболее показательной в плане первичной диагностики является компьютерная томография (КТ). Такое обследование не занимает много времени, при этом на получившихся снимках мозг просматривается достаточно хорошо, и врач замечает наличие патологии.
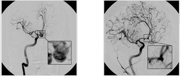
Если при такой диагностике обнаружены проблемы с сосудами, для уточнения диагноза, понимания точных размеров аневризмы и ее расположения проводится компьютерная томография с контрастом — КТ-ангиография. Контрастное вещество вводится в сосудистое русло, в результате на снимках каждая артерия хорошо просматривается, обнаружить на ней различные дефекты становится намного проще. В некоторых случаях в качестве альтернативы используется магнитно-резонансная томография (МРТ).
Электроэнцефалография назначается при подозрении на разрыв аневризмы. В ходе диагностики можно выявить, поражен ли мозг и где именно локализовано кровоизлияние. Транскраниальная доплерография (ТДКГ) помогает обнаружить спазм сосуда.
Запись к нейрохирургу: показания к операции при поражении артерий

Единственно возможное лечение аневризм — операция. Однако далеко не все они нуждаются в хирургическом вмешательстве. Если артерия расширена незначительно, то разрыв ее стенки минимальный, а значит, и осложнения исключены. Это касается прежде всего милиарных аневризм, которые в диаметре не превышают 3 мм. Также вопрос о целесообразности операции обсуждается при патологии размером 4-15 мм, поскольку такие растяжения сосудов тоже разрываются крайне редко.
Плановое хирургическое вмешательство обязательно при больших (16-25 мм) и гигантских (более 25 мм) аневризмах, поскольку здесь риск кровоизлияния в мозг очень высокий.
Если же речь идет о мелких дефектах, основная задача врача — наблюдение и оценка динамики прогрессирования аневризмы. Так, если у человека диагностирована такая патология, ему потребуется регулярная запись к нейрохирургу для плановой диагностики. Цель таких проверок — понять, увеличивается ли аневризма в размерах. Если это происходит, может быть назначена операция, но если размеры расширения остаются прежними, риски от хирургического вмешательства превышают потенциальную опасность аневризмы.
Человек, которому не показана операция, должен следить за своим здоровьем, чтобы предотвратить расширение сосуда. Так, среди таких неблагоприятных факторов отмечаются прежде всего вредные привычки и гипертензия, поскольку повышенное давление увеличивает нагрузку на артериальные стенки.
Хирургическое лечение при больших аневризмах и инсульте

Цель операции при аневризме — исключить пораженный участок артерии из кровообращения. Таким образом предотвращаются разрыв сосуда и развитие инсульта. В этом случае хирургическое вмешательство проводится планово, а не экстренно. Поскольку само вмешательство может вызвать целый ряд осложнений (образование новых аневризм, повреждение соседних сосудов, кровотечения и прочее), проводить операцию нужно только в специализированном медицинском центре. Экстренная операция назначается в том случае, если аневризма разорвалась.
Классическим вариантом хирургического вмешательства при аневризмах головного мозга является их клипирование. Через отверстие в черепе растянутый участок зажимается металлической клипсой, таким образом в него уже не попадает кровь, он не может разорваться или дальше расширяться.
Альтернативным методом является эндоваскулярная эмболизация. При таком вмешательстве трепанация черепа не нужна. Через сосуд в теле вводится катетер, который врач аккуратно проталкивает непосредственно к поврежденному участку. Дальше аневризма заполняется специальным баллоном или же отделяемой спиралью. Таким способом можно полностью исключить поврежденный участок из системы кровообращения в 40%. В других случаях она блокируется не менее чем на 95%, поэтому эффективность операции все равно очень высока.
Операция на аневризму сосудов головного мозга: показания, проведение, реабилитация после

Аневризма мозговых сосудов - очень коварная патология. Долгое время она может протекать бессимптомно, и ее обладатель даже не догадывается о наличии аномалии. Вместе с тем, любая аневризма несет в себе риск кровоизлияния, последствия от которого могут стать фатальными, поэтому операция на аневризму - единственно верное решение при ее обнаружении.
Аневризма мозговых сосудов чаще имеет артериальное строение, может располагаться в самых разных отделах черепа и иметь размеры от микроскопических до гигантских. Конечно, риск разрыва несоизмеримо выше при крупном образовании, но и при мелких аневризмах он есть.
По статистике, аномалии мозговых сосудов можно обнаружить у 5% населения, а разрыв их приходится на самый активный возраст - 30-50 лет. У детей кровоизлияния из аневризм встречаются крайне редко.

виды аневризм сосудов головного мозга
По размеру аневризмы бывают мелкими, средних размеров, крупными и гигантскими, одно- и многокамерными. В зависимости от локализации бывает аневризма сонной артерии (внутренней), передней и средней мозговых, вертебро-базилярного бассейна. Примерно 15% случаев составляют множественные сосудистые аномалии.
Из всех кровоизлияний внутри черепа субарахноидальное - одно из самых тяжелых, а причиной его в 85% случаев становится сосудистая мальформация. Кровь при этом проникает под мягкую мозговую оболочку, сдавливает мозг, нарушает движение ликвора, провоцирует тяжелые неврологические нарушения, а дислокация структур ствола мозга имеет высокий риск гибели в острейшем периоде заболевания.
Оперативное лечение аневризм проводится к отделениях сосудистой хирургии. Оно ставит целью не только борьбу с последствиями разрыва образования, но и его профилактику, что еще более важно. Диагностировать аневризму можно с помощью МРТ, но только в том случае, если пациент сам обратится за помощью. Бессимптомные формы патологии часто остаются вне поля зрения врачей, составляя большую угрозу для здоровья и жизни больных.
При появлении любых признаков нарушения деятельности мозга, сильных головных болей, особенно, повторяющихся, при неблагополучном семейном анамнезе в плане сосудистой патологии мозга следует как можно раньше обратиться за помощью для исключения или подтверждения диагноза, а также своевременного хирургического лечения, которое поможет не допустить развития сценария, угрожающего жизни.
Показания и сроки выполнения операции при аневризме головного мозга
Показанием к операции при аневризме сосудов головного мозга считается уже само наличие аневризмы, даже если она небольшая и протекает бессимптомно. Пациенты с аневризмами живут в буквальном смысле на пороховой бочке, которая может «рвануть» в любой момент. Стресс и постоянные переживания от осознания этого риска могут спровоцировать колебания давления и ангиоспазм, тем самым приблизив момент разрыва, поэтому операцию если и откладывают, то не на длительное время.

Лишь в редких случаях врачи могут принять выжидательную тактику: когда аневризма очень маленькая, расположена глубоко, и операция может нанести больший вред, недели ее наличие, однако, как показывает практика, зачастую нерешительность врача и промедление играют отрицательную роль - патология прогрессирует и следует разрыв.
Неразорвавшиеся аневризмы требуют планового хирургического лечения в нейрохирургии или сосудистом отделении, при этом важно, чтобы его проводили специалисты, имеющие достаточный опыт подобных вмешательств, а клиника имела минимальные показатели смертности и инвалидности среди пациентов.
Часто больные, у которых диагностирована аневризма, сами мучаются вопросом: делать или не делать операцию? Наслушавшись и начитавшись о возможных последствиях лечения, боясь неврологических осложнений от вмешательства, они всерьез задумываются об отказе от него. В таких случаях стоит все же думать не столько о рисках плановой операции, которая может быть малоинвазивной и безопасной, сколько о вероятности кровоизлияния с совсем другой негативной статистикой.

разрыв аневризмы мозга
Разрыв аневризмы в обязательном порядке подлежит хирургической коррекции, но есть некоторые различия по срокам ее выполнения, которые связаны с индивидуальными особенностями течения патологии.
В острейшем и остром периоде кровоизлияний (первые две недели с момента разрыва) показаниями к операции считают:
- Состоявшийся разрыв при неосложненном течении патологии;
- Стабильное состояние пациента;
- Большой риск повторного кровоизлияния;
- Угроза выраженного спазма сосудов и, как следствие, ишемии мозга.
Пациентам в тяжелом и критическом состоянии в этот срок выполняется хирургическая операция только по жизненным показаниям - сдавление мозга, смещение стволовых структур, острая гидроцефалия, массивные очаги некроза мозговой ткани. В иных случаях операцию откладывают на момент стабилизации состояния.
По прошествии первых 14 суток с момента излития крови из аневризмы операцию проводят больным:
- В тяжелом состоянии по причине осложненного течения (выраженный ангиоспазм);
- С аневризмами, трудно доступными для удаления.
Повторное кровоизлияние - одно из опаснейших осложнений, которое дает крайне высокие показатели летальности, поэтому требует экстренной хирургической помощи. Если состояние больного столь тяжело, что операция чрезвычайно рискованна, то наблюдение осуществляют в нейрореанимации, оказывая паллиативную помощь - дренирование желудочков для снижения давления в черепе.
Вопрос хирургического лечения разорвавшихся аневризм при сильной ишемии мозга остается открытым и спорным, до сих пор точно не определены четкие показания к операции у таких пациентов. Вмешательство и общий наркоз могут усугубить повреждение мозговой ткани, поэтому операцию проводят сразу же только при компенсированном ангиоспазме, в других случаях тактика выжидательная.
Предоперационная подготовка

аневризма сосудов мозга на снимке
При плановых клипированиях аневризмы специалисты располагают временем для тщательного обследования пациента и подготовки его к вмешательству. В качестве консервативной терапии назначаются антигипертензивные средства, препараты, нормализующие ритм сердца при аритмиях, проводится коррекция липидного спектра при наличии отклонений.
Перед планированием операции больной подвергается всевозможным обследованиям, включая анализы крови, мочи, коагулограмму, кардиограмму и т. д., как и при других оперативных вмешательствах. Для локализации и уточнения характера сосудистого образования проводят КТ, МРТ с контрастированием, ангиографию, ультразвуковое исследование с допплером.
В случае разорвавшихся аневризм больной поступает в стационар с клиникой острого субарахноидального или внутримозгового кровоизлияния и направляется в нейрохирургическое отделение, времени на обследования фактически нет, поэтому приходится ограничиваться минимумом, позволяющим определиться с расположением мальформации.
Как трепанация, так и эндовазальная хирургия предполагают общий наркоз, хотя в последнем случае возможно применение местной анестезии. Перед операцией пациент беседует с хирургом и анестезиологом (кроме случаев коматозного состояния и острого кровотечения), не ест ближайшие 8 часов до операции, старается выспаться. Волосы в месте трепанации сбриваются.
Техника операций по удалению аневризм
Основными видами вмешательств на сосудистых мальформациях мозга признаны:
- Удаление аневризмы при открытом доступе;
- Эндоваскулярная методика.
Лечение аневризмы при трепанации
Эффективность открытых операций достигает 98%, проводятся они при достаточной доступности аневризмы и в случае разрыва. Пациенту проводится общий наркоз, хирург осуществляет трепанацию черепа, разрезает твердую мозговую оболочку, отыскивает целую аневризму либо место ее разрыва. Далее необходимо выключить мальформацию из общего кровотока. Делается это обычно с помощью металлической клипсы, напоминающей прищепку, которая помещается на сосуд, питающий аневризму, и перекрывает движение по нему крови.
После «выключения» аневризмы твердая мозговая оболочка ушивается, костный лоскут укладывается на место, накладываются швы на кожный лоскут. При сильном отеке мозга возможна декомпрессионная трепанация с оставлением открытого костного окна до того момента, как отек спадет и не будет угрожать смещением стволовых структур. Фрагмент кости на время помещается в клетчатку живота для сохранения жизнеспособности, а затем возвращается на место.

Открытая операция на мозге может повлечь повреждение его ткани и неврологические расстройства впоследствии, поэтому важно действовать предельно осторожно. При наличии кровоизлияния, сгустки и жидкая кровь удаляются из черепа, при проникновении ее в желудочковую систему производится дренирование полостей мозга.
После клипирования аневризмы важно оценить сохранность кровотока по здоровым сосудам мозга еще до того, как операционная рана будет ушита. С этой целью используют интраоперационную допплерографию микродатчиком. Если кровоток в порядке, то операцию можно считать успешной и завершать.
Видео: открытое клипирование аневризмы внутренней сонной артерии
Эндоваскулярное лечение
К числу малоинвазивных вмешательств относят эндовазальное лечение аневризм мозга. Показаниями к нему являются:
- Глубокое и труднодоступное расположение сосудистого клубка;
- Близость жизненно важных структур, что делает открытую операцию очень опасной;
- Старческий возраст и сопутствующая патология, препятствующие общему наркозу и трепанации;
- Неэффективность клипирования при трепанации.

эндоваскулярное лечение аневризм мозга
Доступ при эндоваскулярной операции осуществляют через бедренную артерию, в которую вводят катетер, доставляющий к аномальным сосудам отделяющийся баллон или специальные спирали, вызывающие прекращение кровотока в образовании. Могут быть использованы также стенты, блокирующие аневризму, но обеспечивающие беспрепятственное движение крови по магистралям мозга.
Сначала в просвет аневризмы устанавливается самая крупная спирать, затем полость заполняется более мелкими, которые вызывают тромбоз и выключение аневризмы из кровотока. При широкой шейке питающего сосуда установка спиралей дополняется стентированием.
Разновидностью эндоваскулярного лечения является эмболизация сосудов аневризмы, когда стенки их склеиваются при помощи спирта, хирургического геля, специальных составов. Для устранения аневризмы может потребоваться несколько таких процедур.
При проведении операций на сосудах мозга используется операционный микроскоп, специальный стол с фиксирующей скобой, эндоскопическая и микрохирургическая техника. Состояние кровотока контролируется микродатчиками УЗИ.
Видео: репортаж о малоинвазивном лечении аневризмы мозга
Послеоперационный период
После операции на аневризме минимум сутки пациент находится в отделении нейрореанимации под пристальным контролем врачей. В этот период он получает медикаментозную поддержку в виде анальгетиков, диуретиков, ноотропных препаратов и нейропротекторов в случае состоявшегося кровотечения. Проводится профилактика отека мозга и вторичных неврологических осложнений.
При улучшении самочувствия через сутки больного переводят в отделение нейрохирургии, при ухудшении показана экстренная компьютерная томография, возможно - повторное вмешательство.
Любые операции на сосудах мозга чреваты осложнениями, особенно это касается открытых трепанаций и манипуляций непосредственно вблизи тканей мозга. Среди последствий операции вероятны:
- после разрыва аневризмы, по причине которого возможны некрозы нервной ткани и неврологический дефицит;
- Повторные кровоизлияния;
- Инфекционно-воспалительные изменения в зоне вмешательства (кране редко);
- Тяжелые неврологические нарушения.
Реабилитация после операции на аневризме включает двигательную активность, массаж, физиотерапевтическое лечение. Если неразорвавшаяся аневризма была клипирована эндоскопически, то уже на 3-4 сутки пациент возвращается к привычной жизни, необходимости в каких-либо специальных восстановительных мероприятиях нет.
При состоявшемся кровоизлиянии может потребоваться длительное время для восстановления нарушенных функций мозга. Хорошо, если период реабилитации пройдет в специализированном центре для инсультных больных или санатории. Там специалисты определят необходимые физические занятия и их интенсивность, проведут курсы массажа, обеспечат консервативное лечение неврологических расстройств.
Прооперировать аневризму можно также платно. Стоимость открытой операции колеблется в пределах 20-50 тысяч рублей, эндоваскулярной - начиная с 12-15 тысяч. В цену включены расходные материалы, оплата работы персонала, условия пребывания в больнице и его продолжительность.
В целом, прогноз при своевременно пролеченной аневризме без разрыва благоприятный. В случае кровоизлияний он определяется массивностью гематомы и тем, как сильно был задействован в этом мозг. До 80% больных успешно восстанавливаются, не менее половины из них возвращаются к трудовой деятельности.
Сложнее дело обстоит при повторных кровотечениях из аневризматических сосудов. Смертность при этом достигает 50% и более, четверть больных навсегда остаются глубокими инвалидами. Именно это обстоятельство и заставляет проводить экстренные операции при первичном кровоизлиянии для предупреждения рецидива, риск которого очень высок в первые дни и недели с момента разрыва аневризмы.
Операция по удалению аневризмы головного мозга
Весь контент iLive проверяется медицинскими экспертами, чтобы обеспечить максимально возможную точность и соответствие фактам.
У нас есть строгие правила по выбору источников информации и мы ссылаемся только на авторитетные сайты, академические исследовательские институты и, по возможности, доказанные медицинские исследования. Обратите внимание, что цифры в скобках ([1], [2] и т. д.) являются интерактивными ссылками на такие исследования.
Если вы считаете, что какой-либо из наших материалов является неточным, устаревшим или иным образом сомнительным, выберите его и нажмите Ctrl + Enter.
Патологическое выпячивание стенки церебральной артерии вырезать практически невозможно, и в нейрохирургии операция по удалению аневризмы головного мозга означает лечение хирургическим путем - зажатие (клипирование) аневризмы, ее эндоваскулярную эмболизацию и стентирование. [1]
Показания
Хирургическое вмешательство показано при артериальных аневризмах сосудов головного мозга и внутренней сонной артерий в случаях увеличения деформации стенки артерии, усиления неврологической симптоматики, разрыва аневризмы или его высокого риска.
При этом термин операции и ее тип определяют по наличию/отсутствию спазма сосудов, церебрального отека, гематомы, гидроцефалии и кровоизлияния в подпаутинное пространство - субарахноидального кровоизлияния, клиническую тяжесть которого и прогностическую выживаемость пациентов оценивают по шкале Ханта-Гесса (Hunt&Hess или Н-Н). Максимальная выживаемость у пациентов с 1-2-3 степенями тяжести (70%, 60% и 50% соответственно), поэтому успешность операции достаточно высокая.
Если у пациентов 4-я степень (ступор, неполный паралич или повышенный тонус всех мышц - децеребрационная ригидность, а также нарушения функций вегетативной нервной системы), выживаемость оценивается в 20%. А при коматозном состоянии (5-я степень тяжести) происходит нарастающая гипоксия тканей мозга, и вероятность выживания не превышает 10%. В таких случаях вмешательство возможно только после выхода пациентов из ступора/комы.
Подготовка
Если операция по поводу аневризмы головного мозга проводится в экстренном порядке, подготовка к ней заключается в:
- цифровой субтракционной ангиографии головного мозга;
- ультразвуковой транскраниальной допплерографии сосудов головного мозга;
- компьютерной томографии (КТ) или магнитно-резонансной томографии (МРТ) головного мозга и его сосудов.
При выявлении аневризмы до того, как операция станет неотложной, необходимо пройти указанную выше инструментальную диагностику и сдать: анализы крови (общий, на тромбоциты и фибриноген, на тромбиновое и протромбиновое время) и анализ ликвора.
За несколько дней до процедуры следует прекратить прием любых лекарственных средств, включая Аспирин и НПВП (нестероидные противовоспалительные препараты); за восемь часов до процедуры пациенту не следует что-либо есть и пить. Также заранее анестезиологом определяется средство для наркоза.
К кому обратиться?
Техника проведения Операция по удалению аневризмы головного мозга
Используемые нейрохирургами методы зависят от локализации, размера и формы аневризмы (мешотчатой или веретенообразной), также учитывается степень тяжести состояния пациента, его возраст и общий анамнез.
Традиционным является хирургическое клипирование аневризмы головного мозга, для которого необходимо обнажить кость черепа и сделать в ней отверстие, то есть проводится костно-пластическая краниотомия (трепанация) на волосистой части головы и открытая операции на головном мозге с использованием микрохирургической техники. Когда доступ к пораженному сосуду получен, шейка аневризмы пережимается - с помощью крошечного титанового зажима (клипсы) - и изолируется от артерии, перекрывая к ней кровоток т, таким образом, предотвращая дальнейший рост или разрыв патологического выпячивания стенки сосуда.
Место трепанации закрывается снятым костным и мягкотканым лоскутами и фиксируется швами с наложением повязки.
Внутрисосудистая или эндоваскулярная операция аневризмы головного мозга - минимально инвазивная установка спирали внутри артерии - является более поздним методом лечения аневризм головного мозга; ее также называют эндоваскулярной спирализацией, а зарубежные специалисты - койлингом. Данная процедура без нарушения целостности черепа позволяет блокировать ток крови в церебральную аневризму и предотвратить ее разрыв. [2]
Техника проведения заключается во введении в бедренную артерию (через прокол кожи и стенки сосуда в паховой области) проводникового катетера и микрокатетером, который под контролем рентгенологической визуализации продвигают вверх - до достижения артерии головного мозга, где локализована аневризма. Катетер подводят до области аневризмы и выпускают через ее устье микроскопическую спираль (платиновую или покрытую платиной), которая вызывает образование тромба и закупорку (окклюзию) аневризмы. Поэтому данная процедура определяется как эндоваскулярная эмболизация или эндоваскулярная окклюзия аневризм головного мозга.
Для удержания спиралей внутри аневризмы используются сетчатые металлические стенты - открываемые с помощью баллона или самораскрывающиеся, одновременно проводя стентирование пораженной артерии, то есть процедура может быть одноэтапной.
Стентирование аневризмы головного мозга - эндолюминальная (внутрипросветная) процедура, техника выполнения которой аналогична эндоваскулярной эмболизации и тоже проводится под общей анестезией.
В случаях веретенообразной аневризмы установка стента способна обеспечить полную окклюзию аневризмы и сохранить проходимость основного сосуда. При аневризмах больших размеров и широкой шейке применяются стенты FD (flow diverter - отклонитель потока), которые восстанавливают пораженную артерию и блокируют приток крови к аневризме за счет образования фиброзной преграды.
Эндоваскулярная окклюзия (эндоваскулярная спирализация) и стентирование церебральных аневризм может проводиться в два этапа: сначала устанавливается стент, который за 6-12 недель прирастает к сосудистой стенке (происходит процесс его эндотелизации), а затем проводится имплантация спирали внутри сосуда. [3]
Противопоказания к проведению
Противопоказаниями к проведению операции при церебральных артериальных аневризмах являются: острый период с отеком и прогрессирующей гипоксией головного мозга - ишемический инсульт; тромбоз церебральной артерии; отсутствие сознания (ступор) или коматозное состояние пациента; период обострения хронических соматических заболеваний; острые инфекции; беременность.
Последствия после процедуры
Операции на аневризме головного мозга могут иметь такие последствия и осложнения, как:
- кровоподтеки, гематома и кровотечение, связанные с повреждение кровеносного сосуда;
- тромбоз и тробоэмболия (с нарушением снабжения тканей кислородом);
- церебральный вазоспазм - сужение просвета артерий головного мозга;
- отек мозга;
- гидроцефалия;
- ишемический инсульт;
- развитие инфекции (в том числе, костного лоскута);
- судорожные припадки;
- головокружение, спутанность сознания;
- повреждение черепных нервов с развитием очаговых неврологических симптомов (проблем с координацией, зрением, речью, памятью и др.).
Наиболее частые последствия после эмболизация аневризмы сосудов головного мозга связаны с перфорацией сосуда; миграцией стента; ятрогенным (внутрипроцедурным) разрывом аневризмы - стентом, спиралью, проводниковым катетерои или микрокатетером; тромбоэмболией (в том числе тромбозом стента) и ишемическими осложнениями.
Крупные аневризмы головного мозга (а также гигантские мешотчатые с широкой шейкой) после применения метода эндоваскулярной спирализации иногда могут рецидивировать.
Уход после процедуры
После операции клипирования (которая может длиться от трех до пяти часов) пациенты первое время находятся в палате интенсивной терапии - с постоянным электрофизиологическим мониторингом и соответствующим медицинским уходом. Для полного восстановление после трепанации черепа и открытой операции на сосудах головного мозга, в среднем, потребуется три-шесть недель, но при кровотечении из аневризмы это может занять три месяца и более.
Если проводилась эндоваскулярная эмболизация аневризмы, и перед операцией не было кровоизлияния в головной мозг, пребывание в лечебном учреждении может длиться всего несколько дней; при наличии осложнений лечение в стационаре может быть продолжительным.
После имплантации стента необходима длительная антиагрегантная терапия: пациентам назначается прием Аспирина (200 мг в день) и ингибитора агрегации тромбоцитов Клопидогреля (75 мг в сутки) в течение 3 месяцев.
Головные боли, возникающие после спирализации аневризмы у половины пациентов, как правило проходят через несколько дней. Однако в случаях разрыва аневризмы после процедуры может возникнуть легкая тошнота и субфебрильная температура, а головные боли могут длиться до полугода. Для их облечения принимают Парацетомол и другие НПВП.
Как долго длится восстановление и реабилитация после операции на аневризме головного мозга, зависит от пациента и степени повреждения головного мозга, наличия или отсутствия разрыва аневризмы и кровотечения. И продолжительность этого периода колеблется от двух недель до нескольких месяцев. А в первые две-три недели следует максимально ограничивать физические нагрузки.
Жизнь после эмболизации аневризмы головного мозга требует внесения целого ряда изменения, в частности: следует бросить курить, соблюдение сбалансированную диету с уменьшением употребления жиров и увеличением доли цельнозерновых продуктов, свежих овощей и фруктов в рационе. И обязательно принимать меры по снижению высокого АД.
Читайте также:
- Диагностика холеры. Микробиологическая диагностика холеры. Выявление холеры. Лечение холеры. Профилактика холеры.
- Случай успешного лечения некротической формы хронического рецидивирующего афтозного стоматита
- Холестеатома ненатянутой части барабанной перепонки
- Варикозное расширение вен пищевода
- Алгоритм обследования при краниосиностозе по Европейским рекомендациям
