Диагностика посттравматического отека головного мозга по КТ, МРТ
Добавил пользователь Евгений Кузнецов Обновлено: 01.11.2025
Информацию из данного раздела нельзя использовать для самодиагностики и самолечения. В случае боли или иного обострения заболевания диагностические исследования должен назначать только лечащий врач. Для постановки диагноза и правильного назначения лечения следует обращаться к Вашему лечащему врачу.
Для корректной оценки результатов ваших анализов в динамике предпочтительно делать исследования в одной и той же лаборатории, так как в разных лабораториях для выполнения одноименных анализов могут применяться разные методы исследования и единицы измерения.
Отек мозга: причины появления, при каких заболеваниях возникает, диагностика и способы лечения.
Определение
Отек мозга - это состояние, характеризующееся накоплением жидкости в клетках и межклеточном пространстве мозга с увеличением объема содержимого черепа и повышением внутричерепного давления (ВЧД).
Содержимое полости черепа условно можно разделить на три части: паренхима мозга, ликвор и кровь. На вещество мозга приходится 80-85% объема (около 1200 мл), на ликвор и кровь 5-15% и 3-6% соответственно. Внутри- и внеклеточная жидкость в мозге составляет 60-70% всего внутричерепного объема. В течение суток у здорового человека вырабатывается и поглощается до 500-600 мл ликвора.
Ткань мозга - это гетерогенная (неоднородная) среда с переменными свойствами, практически несжимаемая. Увеличение объема одного из компонентов черепа приводит к уменьшению других.
Гидростатическое давление цереброспинальной жидкости в системе желудочков мозга и в субарахноидальном пространстве, оказываемое на полушария мозга, называется внутричерепным давлением (ВЧД), которое в норме составляет 7-15 мм рт. ст.
Выделяют следующие степени внутричерепной гипертензии:
- 1-я степень (умеренно повышенное ВЧД) - 15-20 мм рт. ст.;
- 2-я степень (повышенное ВЧД) - 20-40 мм рт. ст.;
- 3-я степень (значительно повышенное) - свыше 40 мм рт. ст.
Разновидности отека мозга
По распространенности отека головного мозга (ОГМ) различают:
- локальный отек,
- трифокальный отек,
- долевой полушарный отек,
- диффузный отек.
При отеке головного мозга выделяют три клинических синдрома:
- Общемозговой синдром, возникающий вследствие повышения внутричерепного давления.
- глазодвигательные расстройства (III и VI пары),
- менингеальные симптомы,
- гиперрефлексия,
- заторможенность, снижение памяти.
- Синдром диффузного рострокаудального нарастания неврологической симптоматики (очаговых и стволовых синдромов), возникающий в результате постепенного вовлечения в процесс корковых, затем подкорковых и в конечном итоге стволовых структур мозга.
- Синдром дислокации мозговых структур, возникающий как следствие смещения больших полушарий мозга и/или полушарий мозжечка и приводящий к компрессии ствола мозга, характеризуется последующим нарушением жизненно важных функций дыхания и кровообращения. Поражаются глазодвигательные нервы, сужаются поля зрения, повышается тонус мышц, урежается пульс, нарушается функция глотания, появляется ригидность мышц затылка, может быть остановка дыхания.
- окклюзионный - при блокаде ликворопроводящих путей,
- арезорбтивный - вследствие нарушения всасывания ликвора.
- КТ головного мозга и черепа и МРТ головного мозга позволяют выявить у больного опухоли, кисты, сосудистые мальформации, аневризмы, отек. По результатам повторных исследований можно следить за изменениями объема головного мозга и выявляемой в ней зоны отека, за сопутствующими деформациями мозговых структур и изменением формы и размера желудочков мозга.
- Сильное нарушение кровообращения.
- Гибель нейронов.
- Дислокация мозговых структур.
- Вазогенный отек. Встречается у пациентов чаще всего. Обычно на фоне этого наблюдается снабжение белого мозгового вещества жидкостью из сосудов. Патология начинает развиваться из-за того, что у человека стремительно развивается сбой в работе гематоэнцефалического барьера. Часто в центре такого патологического процесса оказывается какое-либо новообразование. Также среди потенциальных источников формирования отека - инсульты, очаги кровоизлияния, абсцессы и многое другое.
- Интерстициальный вазогенный отек. Это состояние является осложнением описанного выше. Процесс становится следствием значительного увеличения давления в желудочках. В таком случае стремительно развивается пропотевание спинномозговой жидкости. Начинается проникновение в интерстициальное пространство. В результате белое вещество начинает постепенно отекать. Чаще всего подобные состояния характеризуют течение менингита или обструктивной гидроцефалии.
- Цитотоксический отек. Формируется в сером веществе в результате действия сильной интоксикации, ишемического инсульта. Может стать следствием травмирования, а также перенесенных инфекций. Гематоэнцефалический барьер также оказывается поврежден, процесс изменения структуры затрагивает клеточные мембраны.
- Легкая. В эту категорию относятся легкие сотрясения и ушибы. Обычно они не сильно отражаются на общем состоянии здоровья, но могут запустить негативные процессы в организме с далеко идущими последствиями.
- Средняя. Это ушиб головного мозга средней тяжести. Может приводить к сильным изменениям в функционировании органа, достаточно сложен в лечении и реабилитации.
- Тяжелая. Последствия от таких ушибов оказываются наиболее тяжелыми. Иногда у пациентов может наблюдаться опасное сдавливание головного мозга, которое приводит к множеству негативных последствий.
- Закрытая. В ее случае кожный покров остается нетронутым. Со стороны иногда оказывается сложно понять, что человек попал в подобное происшествие.
- Открытая. На мягких тканях головы наблюдаются раны, есть сильное кровотечение.
- Проникающая. Наиболее опасная из всех. Сопровождается повреждением твердых мозговых оболочек. У пациента может наблюдаться течение спинномозговой жидкости. В череп начинает проникать воздух.
- Сотрясение головного мозга.
- Ушибы разной степени тяжести - легкой, средней, тяжелой.
- Сдавление мозга при вдавленном переломе и внутричерепной гематоме.
- Диффузное аксональное повреждение мозга (ДАП).
- Внешние проявления. Это могут быть гематомы, вогнутость черепа, кровотечение, открытая рана.
- Бледность. Часто сопровождается общей слабостью, головокружением, сонливостью, заторможенностью, тошнотой и рвотой.
- Нарушение сознания. Обычно проявляется при средних и сильных ушибах, сотрясениях. Человек может потерять сознание, столкнуться с амнезией, сопором, сомноленцией. Иногда пациенты впадают в кому. У ряда больных наблюдается спутанность сознания - человек не может выполнять даже простые действия или ведет себя неадекватно.
- Неврологические нарушения. Наиболее распространенные из них - атаксия и конвульсивные судороги.
- Поражение нервов черепа. Часто сопровождают ушибы или сильное сдавливание головы человека.
- Очаговые поражения. Также могут наблюдаться при сдавливании или ушибе. МРТ помогает определить, есть ли такие поражения, где они сосредоточены, насколько обширны и серьезны.
- Состояние оболочек мозга. Особенно важно получить об этом представление, если попавший в больницу пациент будет с открытой травмой.
- Определит состояние черепа, мозга, мягких тканей, кровеносной системы.
- Выявить все повреждения и их последствия.
- Спланировать проведение операции, а также проследить динамику восстановления после травмирования.
- Эффективность при исследовании старых травм. Лучше всего использовать такое средство, если ЧМТ была получена три или более дней назад.
- Высокая скорость. Компьютерная томография в разы быстрее, чем магнитно-резонансная.
- Меньше требований к неподвижности пациента. Во время МРТ нужно сохранять неподвижность, но некоторые пациенты с ЧМТ жалуются на судороги и конвульсии. Таким образом пройти КТ для многих становится намного легче - снимки сложнее испортить, а процедура значительно быстрее.
- сильную головную боль;
- тошноту с рвотой;
- двигательные нарушения, дискоординацию движений;
- зрительные расстройства, галлюцинаторный синдром.
- Тяжёлые черепно-мозговые травмы — перелом основания черепа, ушиб головного мозга, субдуральная или внутримозговая гематома;
- перенесённые хирургические вмешательства;
- нарушения кровообращения на фоне повышенного артериального, внутричерепного давления и других причин — ишемического и геморрагического инсульта, кровоизлияния в желудочки, субарахноидального кровоизлияния;
- новообразования головного мозга — первичные опухоли, например, глиома, медуллобластома, астроцитома или поражение метастазами из других органов;
- инфекционные заболевания — менингит, энцефалит и другие, которые спровоцировали осложнения;
- гнойные процессы в мозговых тканях — субдуральная эмпиема;
- острые инфекции, которые локализуются за пределами головного мозга — корь, паротит, скарлатина, токсоплазмоз;
- эндогенные инфекции при тяжёлом течении сахарного диабета, острой почечной или печеночной недостаточности.
- Локальный или региональный — охватывает определенную часть головного мозга, в которой происходит патологический процесс или растет онкологическое новообразование, чаще всего возникает из-за гематомы;
- генерализованный — распространяется на всю площадь органа, например, после обширных черепно-мозговых травм, вследствие сильной интоксикации, нарушения оттока ликвора или нейроинфекций.
- Вазогенный — последствие повышенной проницаемости гематоэнцефалического барьера, когда жидкость из сосудов переходит в белое вещество, развивается при абсцессах, опухолях, ишемии;
- цитотоксический — результат дисфункции глиальных клеток, охватывает преимущественно пространство серого мозгового вещества, связан с гипоксией, вирусными инфекциями, интоксикациями, ишемическим инсультом;
- осмотический — связан с повышенной осмолярностью церебральных тканей, например, при утоплении, неправильном гемодиализе, полидипсии;
- интерстициальный — развивается вокруг церебральных желудочков, когда через их стенки пропотевает жидкая часть ликвора.
- Фето-фетальный трансфузионный синдром
- Болезни экспансии нестабильных нуклеотидных повторов. Примеры
- Механизм образования нативной структуры белков шаперонами
- Декомпрессия после насыщенного погружения. Декомпрессия после экскурсионного погружения
- Болезнь Вейля—Васильева. Болезнь свинопасов. Лихорадка рисовых полей. Бруцеллез.
Отек средних отделов ствола мозга (мост) вызывает периодическое дыхание, двустороннее максимальное сужение зрачков (миоз). Распространение отека на продолговатый мозг приводит к нарастанию нарушений жизненно-важных функций: дыхания и сердечно-сосудистой деятельности.
У пациентов отмечается распространенная мышечная гипотония, арефлексия глубоких рефлексов, расширение обоих зрачков с отсутствием их реакции на свет, глазные яблоки неподвижны.
Возможными причинами развития ОГМ могут быть травмы, нарушение мозгового кровообращения, гипертонический криз, геморрагический и ишемический инсульт, опухоли мозга, энцефалит или менингоэнцефалит, гипоксическая энцефалопатия, токсическая энцефалопатия, облучение мозга, эпилептический статус.
В развитии отека мозга преобладающими могут быть сосудистые (вазогенные) причины, тканевые факторы, цитотоксические и осмотические процессы. Форма отека мозга зависит от характера обусловившего его патологического процесса и возраста больного.
В настоящее время принято деление ОГМ на несколько основных видов.
- Цитотоксический отек мозга характеризуется перераспределением воды из межклеточного во внутриклеточный сектор мозговой ткани и сохранностью проницаемости гематоэнцефалического барьера (ГЭБ) для белка в результате нарушения функции клеточных мембран.
Обычно имеет место сочетание нескольких видов отека мозга или определенная последовательность их развития.
Так, при черепно-мозговой травме в первые часы преобладают явления вазогенного отека, к которому в дальнейшем присоединяется цитотоксический. При ишемии головного мозга сначала развивается цитотоксический, а затем вазогенный отек.
Жидкость при отеке накапливается в ткани головного мозга неравномерно: в белом веществе она располагается преимущественно во внеклеточных пространствах, в сером - внутри клеток.
К каким врачам обращаться при отеке мозга
Диагностикой и лечением отека головного мозга занимается врач-реаниматолог в условиях отделения интенсивной терапии совместно с врачом-невропатологом .
Осмотр окулиста позволяет выявлять застойные диски зрительных нервов глазного дна.
Диагностика и обследования при появлении запаха аммиака
Диагноз ОГМ основывается на клинических данных и данных дополнительных методов исследования.
Для определения степени угнетения сознания используют шкалу Глазго:
15 баллов - ясное сознание;
13-14 баллов - умеренное оглушение;
10-12 баллов - глубокое оглушение;
8-9 баллов - сопор;
6-7 баллов - умеренная кома;
4-5 баллов - глубокая кома;
3 балла - терминальная (запредельная) кома.
К методам, подтверждающим диагноз ОГМ, относят данные МРТ, компьютерной томографии (КТ) и нейросонографии (у новорожденных и детей до года), электроэнцефалографии (ЭЭГ), Эхо-ЭС, нейрофтальмоскопии, церебральной ангиографии, сканирования мозга с применением радиоактивных изотопов, ангиографии, сонографии зрительного нерва и люмбальной пункции.
Применение комплекса исследований у больных, находящихся в критических состояниях, позволяет провести раннюю диагностику отека и осуществить динамический контроль над течением процесса.
Сканирование головного мозга, черепа и окружающих их тканей, позволяющее диагностировать различные патологии.
Отек головного мозга на МРТ
Выполнение магнитно-резонансной томографии считается в медицинской практике одним из лучших методов для определения многочисленных патологий головного мозга.
В ходе процедуры используется специальное устройство, называемое томографом. Оно создает сильное магнитное поле и регистрирует резонанс, который появляется в результате этого.
Метод получил большое распространение благодаря своей информативности. Он позволяет выполнить наиболее детальное обследование и сформировать трехмерную модель органа, понять, в каком состоянии он находится на данный момент.
Минимальное количество противопоказаний позволяет проводить процедуру даже для детей и беременных женщин. При этом допускается и периодическое обследование - оно дает понять, насколько успешно протекает восстановительный процесс, нужно ли менять методику лечения.
В этом материале мы расскажем о том, как МРТ используется при диагностике отека головного мозга. Это крайне опасное состояние, которое может оказать сильное негативное влияние на организм человека.
Особенности формирования отека головного мозга
Отеком головного мозга называется увеличение в объеме его тканей. Оно становится результатом накопления жидкости. Оно может происходить как постепенно на протяжении длительного времени, так и стремительно.
На фоне отека структура мозга меняется, функциональность клеток также претерпевает сильные изменения. Процесс становится результатом многих заболеваний и может расцениваться как осложнение.
Главная опасность заключается в сдавливании. Мозг находится внутри черепа - места для увеличения размеров там практически нет. Таким образом, на фоне отека наблюдается сразу несколько опасных процессов, среди которых:
Если не диагностировать развитие отека вовремя и не предоставить пациенту квалифицированную помощь, итогом становится летальный исход. МРТ считается одним из наиболее точных методов диагностики, позволяет понять, насколько сильно был поврежден мозг.
Основные виды отека мозга, диагностируемые при помощи МРТ
В процессе диагностики патологии врачи используют КТ или МРТ. При этом удается понять, какая форма отека наблюдается у конкретного пациента. Варианты могут быть следующими:
Вне зависимости от того, какой тип патологии характерен для конкретного случая, нужно как можно скорее провести диагностику и предоставить пациенту лечение. В противном случае не удастся избежать смерти.
КТ при отеках головного мозга
Время проведения: 10-35 минут
Необходимость применения контрастирующего вещества: по назначению врача
Необходимость подготовки к исследованию: нет
Наличие противопоказаний: да
Ограничения: имеются
Время подготовки заключения: до 1 часа
Дети: старше 14 лет
Отеком мозга является процесс, характеризующийся чрезмерным накоплением в клетках и межклеточном пространстве головного мозга жидкости. В результате этого мозг растет в размерах и сдавливается в ограниченном пространстве, в следствие чего растет внутричерепное давление, появляется гипоксия, пережимаются кровеносные сосуды и массово гибнут нервные клетки мозга.
Данная патология является вторичной и чаще всего подразумевает неблагоприятный исход.
Отек мозга классифицируют на:
цитотоксический, который возникает из-за недостатка поступления АТФ и кислорода, и как следствие, повышения осмотического давления внутри клетки и чрезмерному поступлению в нее воды. Чаще всего встречается при ишемии на фоне ишемическго инсульта и разнообразных отравлениях;
вазогенный, при котором на пораженных участках мозговой ткани вследствие циркуляторных нарушений расширяются кровеносные сосуды и в них растет давление. Из-за этого процесса жидкостные кровяные компоненты проникают сквозь стенку сосуда и проникают в мозговую ткань. Часто такой вид отека встречается при опухолях, после черепно-мозговых травм, геморрагического инсульта и в результате прочих патологий;
интерстициальный, возникающий при гидроцефалии. Гидроцефалией называется расширение желудочков мозга, основной причиной которого является чрезмерная выработка ликвора и его дальнейшее скопление в полостях мозга. Заболевание может развиться как следствие перенесенного менингита, энцефалопатий, травм мозга, острого нарушения мозгового кровообращения, а также внутриутробных инфекций, если речь идет о гидроцефалии у маленького ребенка.
Основными причинами патологии являются:
сотрясения, гематомы, ушибы и другие последствия травм;
энцефалит и другие перенесенные воспалительные заболевания;
кровоизлияние в следствие разрыва аневризмы и по прочим причинам;
ишемия мозга и сопутствующие нарушения;
острые инфекционные процессы, например, скарлатина;
отравления и интоксикации.
К симптомам заболеваниям относят наличие у пациента:
нарушений движения конечностей;
зрительных, речевых расстройств;
падения артериального давления.
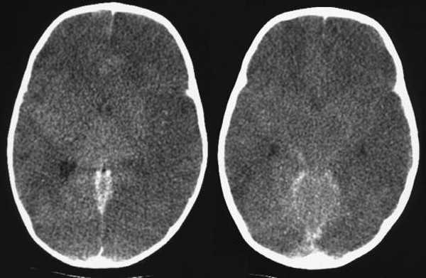
В настоящее время одна из ключевых ролей в диагностике отека мозга принадлежит КТ. Получая послойные снимки головного мозга, данная методика позволяет визуализировать признаки патологии, к которым относят деформацию желудочковой системы мозга, уменьшенное пространство между костной тканью черепа и мозгом, сдавление желудочков. КТ позволяет точно определить область локализации, выраженность, распространенность отека, установить причины патологии, выявить признаки компрессии головного мозга.

Другими признаками патологии являются изменение величины или исчезновение на снимке желудочков и субарахноидальных щелей.
Отметим важную роль КТ в диагностике гидроцефалии, которая также характеризуется патологическим заполнением мозговых тканей жидкостью. Гидроцефалия головного мозга на КТ изображениях выглядит как расширение желудочков мозга. При этом их ширина на коронарных и аксиальных срезах сравнивается с нормой - ширина передних рогов не должна быть более 12-14 мм у пациентов среднего возраста, 15-16 мм у пациентов пожилого возраста. Также существуют специальные желудочковые индексы, на основании которых может быть достоверно диагностирована данная патология. Помимо этого, для понимания характера этого нарушения (окклюзионная либо заместительная) измеряют ширину латеральных ликворных пространств. В первом случае ликворные пространства являются суженными, желудочки резко расширены и имеют вздутый вид, а угол между боковыми желудочками мозга в коронарной проекции является меньшим, чем 110 градусов. При угле более 110 градусов, равномерно расширенном наружном и внутреннем ликворном пространстве можно диагностировать атрофические мозговые нарушения.
Также при помощи КТ можно отслеживать изменения объемов мозга и диагностируемого участка отека, проводить оценку сопутствующих деформаций структур головы и выполнять динамический контроль выраженности отека и изменения величины и формы желудочков мозга.
Другим современным методом диагностики отека мозга является МРТ, с помощью которой точно определяют область отека, размеры и форму мозговых желудочков, цистерн головного мозга, субарахноидального пространства, а также устанавливают причину патологического процесса.
Дополнительными методиками диагностики этого нарушения являются осмотр глазного дна, ангиография и прочие.
МРТ головного мозга при черепно-мозговых травмах
Метод магнитно-резонансной томографии часто используется в рентгенологии для определения наличия у пациента определенной травмы, а также ее тяжести, нанесенных организму негативных последствий.
Это требуется для того, чтобы понять, в каком состоянии находится человек, насколько велика угроза для его здоровья и жизни. Также получение четких диагностических данных помогает понять, какие методы лечения нужно выбрать в конкретной ситуации.
Одна из наиболее опасных травм- черепно-мозговая. И именно при ее диагностике МРТ показывает себя лучше всего. Когда травма еще совсем свежая - ей нет трех дней, именно применение магнитно-резонансной томографии становится самым эффективным средством для контроля состояния пациента.
Именно снимок МРТ позволяет понять, затронут ли мозг, требуется ли для полного выздоровления человека хирургическое вмешательство. Разберем подробнее, при каких черепно-мозговых травмах (ЧМТ) можно использовать магнитно-резонансную томографию и что это дает врачам.
Классификация травм при проведении МРТ
Опасность черепно-мозговой травмы часто заключается в том, что она не слишком сильно выдает себя. Так человек может упасть, удариться, боль быстро пройдет. Но при этом, через несколько месяцев или лет застарелое сотрясение может снова напомнить о себе самыми непредсказуемыми проявлениями.
По статистике, в России СМТ чаще всего получают из-за падения с высоты собственного роста. На втором месте - криминальное травмирование.
На третьем - дорожно-транспортные происшествия. В группе риска может оказаться каждый - от ребенка до пожилого человека.
Применение МРТ наиболее полно показывает, в каком состоянии находится мозг после травмирования, есть ли опасность для здоровья и другие виды угроз.
Основная классификация такой проблемы принята по степени тяжести:
Еще один критерий отличия - наличие различных повреждений. Когда задет только череп, травма признается изолированной. Когда травма сочетается с другими органами - сочетанной.
Комбинированными называются травмы, при которых на организм человека кроме непосредственного механического давления также оказывается химическая, лучевая и другие виды нагрузок.
Обычно последний вариант фиксируется на различных промышленных производствах, становится следствием несчастных случаев, несоблюдения техники безопасности.
МРТ становится хорошим средством диагностики в зависимости от того, есть ли повреждения кожи головы, мягких тканей, костей черепа.
Есть три основных варианта классификации травм по такому параметру:
Наибольшую опасность представляют открытые и проникающие травмы. Именно они становятся причиной развития гнойно-инфекционных осложнений, могут вести к летальному исходу.
При каких травмах лучше делать магнитно-резонансную томографию
На практике применение магнитно-резонансной томографии лучше всего помогает, когда у пациента наблюдаются такие травмы, как:
МРТ можно делать и в том случае, если пациент по каким-то причинам получил сдавление головы. Это поможет дать наиболее полную клиническую картину проблемы, отыскать правильные средства для ее лечения и скорейшего устранения.
При каких признаках нужно обращаться ко врачу
Особенность некоторых типов травм заключается в том, что их оказывается очень сложно диагностировать. Человек может удариться головой, не получить даже видимых повреждений, но при этом мозг оказывается задет.
Есть несколько основных признаков получения пациентом ЧМТ:
Травматологи часто диагностируют изменение некоторых стандартных показателей организма пациента. К ним относится появление гипертензии и брадикардии, нарушение дыхательного ритма. Обычно все это проявляется, когда по каким-то причинам сильно возрастает внутричерепное давление.
Что будет видно на МРТ при ЧМТ?
Рентгенологи с использованием томографов отслеживают большинство признаков черепно-мозговых травм. К ним относятся такие, как:
Использованные в МРТ технологии помогают посрезово моделировать состояние мозга, понять, несколько сильно он травмирован.
Как проводится МРТ при черепно-мозговых травмах
Сам процесс проведения МРТ стандартный. Пациента помещают внутрь томографа, в котором создается сильное магнитное поле и эффект резонанса.
Главное требование - соблюдение неподвижности на протяжении всего времени сеанса. Важно понимать, что длительность может отличаться в зависимости от типа повреждений и других параметров.
Как уже отмечалось выше, обследование таким методом проводят при свежих травмах. Через три дня после получения, снимок становится менее эффективным, чем использование альтернативного метода - компьютерной томографии.
Применение МРТ позволяет достичь сразу нескольких целей:
Когда МРТ будет завершено, вы примерно через полчаса получите результаты, а также развернутое заключение, составленное рентгенологом по итогам обследования.
Наш оператор перезвонит вам в течении 20 мин
КТ или МРТ?
Когда речь заходит о правильной диагностике черепно-мозговой травмы, кроме МРТ многие врачи также рекомендуют использовать и другой метод - КТ. Это компьютерная томография, которая использует в работе рентген.
Создание большого количества снимком помогает составить полноценную модель человеческого мозга, костей черепа.
У КТ есть несколько преимуществ:
При этом в некоторых случаях КТ оказывается менее информативным методом, лучше рассмотреть альтернативный вариант и использовать МРТ. Еще один недостаток - наличие лучевого воздействия на организм.
Это сильно затрудняет процесс периодической диагностики, которую нужно проводить на протяжении длительного времени для отслеживания динамики хода лечения или восстановительного процесса.
Какой вариант обследования лучше всего выбрать при сотрясении головного мозга
Травматологи сходятся во мнении о том, что при свежих травмах головного мозга лучше всего использовать именно магнитно-резонансную томографию. Она намного более информативна, даже врачам дает много полезных сведений о состоянии пациента.
Метод также значительно более безопасный. Сеансы можно проводить периодически, в том числе, для детей.
В нашем центре вы сможете быстро пройти МРТ при черепно-мозговой травме. Используем передовое оборудование экспертного класса, а заключение готовят врачи-рентгенологи с большим опытом.
Удобное расположение, доступные цены и специальные скидки стабильно привлекают к нам клиентов. Чтобы записаться на посещение в удобное время и получить ответы на все касающиеся процедуры вопросы, просто оставьте заявку на сайте или звоните нам.
Отёк мозга причины, симптомы, методы лечения и профилактики
Отёк мозга — патологическое состояние, при котором в церебральных тканях стремительно накапливается жидкость. Отёк головного мозга опасен для жизни и здоровья и требует незамедлительной врачебной помощи: если не оказать ее, пациент может погибнуть.
Отёк мозга может развиться после перенесённых черепно-мозговых травм, обширных инсультов, на фоне опухолей головного мозга, инфекционных заболеваний и гнойных процессов. Проблема дает о себе знать расстройствами сознания вплоть до комы, судорогами, а затем — мышечной атонией. Если вы заметили такие признаки у близкого, безотлагательно вызывайте скорую помощь.

Симптомы отёка мозга
Основной признак отёка мозга — расстройство сознания. Оно может проявляться в виде лёгкого сопора с сохранением рефлексов и отсутствием возможности двигаться или комы. В большинстве случаев пациент теряет сознание, у него происходят судороги, которые сменяются мышечной атонией.
Если отёк мозга развивается при хронической или медленно прогрессирующей церебральной патологии, на начальном периоде больной может оставаться в сознании. В таком случае он жалуется на:
Самые опасные проявления отёка мозга — парадоксальное дыхание с глубокими вдохами и поверхностными выдохами, нестабильность пульса, подъем температуры выше 40°C. Симптомы сопровождают сдавление ствола мозга и требуют незамедлительной помощи врача.
Статью проверил
Дата публикации: 24 Марта 2021 года
Дата проверки: 24 Марта 2021 года
Дата обновления: 24 Октября 2022 года
Содержание статьи
Причины
Разновидности
Отёк головного мозга может произойти у новорожденных и взрослых пациентов. Проблема возникает при инфекционных и неинфекционных поражениях и разделяется на разновидности по пораженной площади и особенностям патогенеза:
По локализации
По патогенезу
Диагностика
Чтобы диагностировать отёк головного мозга, врач собирает анамнез, оценивает неврологический статус, по возможности — проводит компьютерную или магнитно-резонансную томографию головного мозга, клинический и биохимический анализы крови.
В клинике ЦМРТ проводят первичную диагностику отёка головного мозга в условиях стационара максимально оперативно, параллельно с лечебными мероприятиями:
Читайте также:
