Диагностика саркомы аорты на КТ, МРТ
Добавил пользователь Евгений Кузнецов Обновлено: 11.12.2025
Мультиспиральная компьютерная томография (МСКТ, КТ) брюшного отдела аорты - один из самых востребованных методов диагностики сосудистого русла на КТ. Процедура часто назначается сосудистыми хирургами перед оперативными вмешательствами, поскольку позволяет получить исчерпывающие данные о патологии брюшной аорты и точно спланировать ход хирургического лечения.
КТ брюшной аорты в медицинском центре “Магнит” выполняется на современном томографе Siemens Somatom Emotion 16 2016 года установки. Мы проводим исследования каждый день, 24 часа в сутки, поэтому Вы можете записаться на любое удобное для Вас время и пройти КТ брюшного отдела аорты и ее ветвей в комфортном для Вас режиме.
Что показывает КТ брюшной аорты
Компьютерная томография брюшной аорты - современный малоинвазивный диагностический метод, позволяющий врачам получить ответы на все важные вопросы, касающиеся хода главного сосуда в теле человека, ее ответвлений, а также выявить любые патологические изменения.

3D-реконструкция аорты - брюшной отдел и бифуркация
КТ брюшной аорты показывает:
нисходящую часть аорты от диафрагмального отверстия до места бифуркации;
разделение на подвздошные артерии;
сосуды, питающие органы брюшной полости - чревный ствол, брыжеечные артерии;
сосуды, питающие органы забрюшинного пространства - почечные, артерии надпочечников.
Аорта проходит за брюшиной, слева от позвоночного столба. На всем протяжении ее брюшной части сопровождается нижней полой веной - главным венозным сосудом нижней половины человеческого организма. При КТ брюшной аорты также можно оценить состояние нижней полой вены в венозную фазу контрастирования.
КТ брюшной аорты с контрастом
Исследование сосудов брюшной полости с помощью компьютерной томографии всегда выполняется с применением контрастного усиления. Это связано с особенностями метода - в КТ используется рентгеновское излучение, которое слабо задерживается жидкими средами. применение контраста помогает удержать лучи и тем самым лучше визуализировать ход сосудов и состояние их стенок.

Стрелками обозначены участки сужения почечных артерий, выявленные на КТ
В нашем центре применяется неионный контраст, который отличается хорошей переносимостью и редким возникновением аллергических реакций. Препарат полностью выводится из организма в течение суток и не оказывает негативного воздействия на здоровье пациента.
Показания к КТ брюшной аорты
КТ исследование аорты на уровне брюшной полости выполняется при наличии медицинских показаний - первично по назначению врача-клинициста и в дальнейшем в рамках контроля за течением заболевания. Список показаний включает в себя:
аневризматические расширения нисходящей аорты, выявленные ранее при УЗИ брюшной полости, для контроля динамики и при риске диссекции имеющейся аневризмы;
атеросклеротический процесс в области брюшной аорты, почечных артерий и других крупных ветвей;
поиск причины артериальной гипертензии, при подозрении кардиолога на вторичный ее характер;
травматические повреждения (чаще закрытая травма живота) - для исключения повреждения проводят КТ брюшной аорты или ее ветвей;
в онкологической практике при подозрении на прорастание опухоли в стенку сосудов;
исключение поражения сосудов при системных заболеваниях соединительной ткани, в том числе синдроме Марфана.
Самым частым показанием для исследования является аневризма брюшной аорты. Заболевание может развиться на фоне атеросклероза, поражения сосудистой стенки системными процессами , воспалением или как последствие травмы. Расслоение оболочек - серьезная патология, которую можно обнаружить на КТ брюшной аорты даже на самых начальных этапах развития и вовремя принять необходимые лечебные меры. В этом случае исследование могут порекомендовать сосудистые хирурги, терапевты или врачи УЗ-диагностики, которые выявили изменения. Часто КТ брюшной аорты назначают перед хирургическими операциями для точного планирования, а также после выполненных вмешательств для оценки их эффективности. Нередко исследование выполняется с периодичностью 1 или 2 раза в год, когда необходим контроль за состоянием аневризмы брюшного отдела аорты в динамике.

Аневризматические расширения брюшной аорты обозначены стрелками
Другим частым патологическим изменением является коарктация аорты. Это врожденное сужение просвета сосуда, которое может быть разной степени выраженности и выявляться в разных отделах сосуда. Если коарктация ярко проявляется - она обнаруживается в детском возрасте и требует оперативного лечения. Когда степень сужения невелика, человек может не догадываться о наличии у него заболевания до тех пор, пока просвет аорты не уменьшится под действием других факторов, чаще всего атеросклеротического процесса. В таком случае КТ брюшной аорты покажет точный уровень и степень стенозирования просвета и поможет определить оптимальную лечебную тактику.
Противопоказания к исследованию
Как и любая другая медицинская процедура, КТ брюшной аорты и ее ветвей имеет ряд ограничений . Поскольку исследование проводится с применением рентгеновских лучей и контрастного вещества, противопоказания обусловлены обоими этими факторами:
беременность любого срока;
аллергические реакции на введение контрастного препарата в прошлом, аллергия на йод-содержащие лекарства;
повышенный уровень креатинина крови, свидетельствующий о снижении функциональной способности почек;
низкий уровень ТТГ, регулирующего активность щитовидной железы, которая синтезирует свои гормоны с включением в них йода;
вес свыше 150 кг, что связано с конструктивными особенностями томографа.
В период кормления грудью женщине может быть проведена КТ брюшной аорты, но требуется прекратить кормление минимум на сутки после процедуры, а также сцеживать молоко самое меньшее дважды, чтобы контрастный препарат не оказал влияния на ребенка.
Обо всех заболеваниях лучше предупредить медицинский персонал до начала процедуры. Если вы сомневаетесь, можно ли вам сделать КТ брюшной аорты - лучше посоветоваться со своим лечащим врачом или специалистом нашего центра - консультация врача КТ у нас бесплатная.
Как проводится КТ брюшной аорты
Само исследование достаточно простое и не доставляет пациенту дискомфорта - нужно спокойно лежать во время процедуры сканирования, чтобы не возникло двигательных артефактов. Введение контраста проходит с применением специального аппарата - инъектора. Автоматизация введения препарата помогает абсолютно точно разграничить артериальную и венозную фазы контрастирования и тем самым получить наиболее информативные изображения.

Контрастирование в МЦ “Магнит” выполняется с помощью инъектора
Мы просим своих пациентов приходить на КТ брюшной аорты заранее, примерно за 15-30 минут до начала процедуры. Это нужно для того, чтобы без спешки заполнить всю необходимую документацию, а также проконсультироваться с врачом при необходимости. С собой возьмите паспорт, направление, все предыдущие обследования, а также результаты анализа крови на креатинин не старше 10 дней. Это гарантирует отсутствие почечной недостаточности, которая не позволяет проводить КТ брюшной аорты и ее ветвей.
Сканирование длится совсем недолго: вместе с укладкой, подключением инъектора и всей необходимой настройкой программ, занимает около 20 минут. После окончания процедуры врач начинает анализировать полученные изображения - с одной зоны сканирования может быть получено до тысячи снимков. Время подготовки заключения зависит от сложности клинического случая и обычно составляет не более 2 часов. После специалист, проводивший компьютерную томографию брюшной аорты, расскажет обо всех выявленных изменениях и поможет определиться с дальнейшей тактикой.
КТ брюшной аорты в Санкт-Петербурге
В медицинском центре “Магнит” в СПб КТ брюшной аорты выполняется на современном томографе Сименс, который отличается высоким качеством получаемых изображений и низкой лучевой нагрузкой. Большим преимуществом проведения компьютерной томографии у нас является цена исследования - поскольку контрастный препарат уже включен в стоимость процедуры, Ввы точно знаете, во сколько Ввам обойдется КТ брюшной аорты, без скрытых платежей и навязывания дополнительных услуг.
Компьютерная томография аорты и ее ветвей

Мультиспиральная компьютерная томография (МСКТ) аорты - это вид компьютерной томографии используемый для получения плоских и трехмерных изображений брюшной аорты и ее ветвей с помощью внутривенного введения контраста. Мультиспиральная компьютерная томография позволяет получить трехмерное изображение любого отдела аорты и ее висцеральных ветвей. Данное исследование прекрасно подходит для выявления аневризм аорты и висцеральных ветвей, атеросклеротических сужений и других заболеваний аорты.
МСКТ аорты в Инновационном сосудистом центре
Мультиспиральная компьютерная ангиография брюшной аорты широко применяется врачами нашей клиники для предоперационной диагностики проблем с аортой и ее ветвями. Данная технология позволяет распланировать хирургическое вмешательство, подобрать правильный размер стент-графта при аневризме аорты и инструмент для прохождения хронических окклюзий. Мы так же используем МСКТ для оценки послеоперационных результатов после стентирования или резекции аневризмы аорты, состояния сосудистых реконструкций в отдаленном периоде.
Подготовка к исследованию
В течение суток перед выполнением МСКТ не следует принимать пищу, которая вызывает газообразование в кишечнике (горох, бобовые, салаты, фрукты, свежий, черный хлеб и сырые овощи). За 3-4 часа до исследования необходимо воздержаться от приема пищи, а в течение 3 часов до исследования, желательно равными порциями принять 2 литра жидкости (негазированная, обычная вода).
Как проходит МСКТ аорты
Продолжительность самого исследования примерно 15-20 минут. Исследование обычно проводится в положении на спине. На протяжении исследования нельзя двигаться. Дышать нужно спокойно и равномерно. Возможно, что Вас попросят задержать дыхание на короткое время. Задержка дыхания очень важна для получения качественных изображений. Контрастное вещество вводится внутривенно в объеме до 50-150 мл специальным устройством инъектором, синхронизированным с работой компьютерного томографа.
Иногда при введении контрастного вещества могут возникать тошнота, ощущение жара, тревоги, кожные реакции в месте инъекции. Эти реакции обычно бесследно проходят после исследования и не требуют никакого лечения.
После исследования
После проведения МСКТ с контрастированием не требуется каких-то специальных ограничений. Желательно пить побольше воды, чтобы контраст побыстрее выводился. Место пункции для введения контраста заклеивается специальной наклейкой, которую к вечеру можно удалить.
Возможные осложнения МСКТ аорты
Осложнения данного исследования связаны исключительно с реакцией на контрастное вещество. При тяжелых аллергических реакциях на йод возможно развитие аллергической сыпи и даже анафилактического шока. У больных с почечной недостаточностью может ухудшиться состояние почек иногда до анурии. В таких случаях необходима заместительная терапия (гемодиализ) в стационаре. К счастью, такие реакции после исследования очень редки.
УЗИ, КТ или МРТ брюшной аорты - что лучше выбрать?

В медицинских клиниках неинвазивное обследование брюшной аорты можно сделать с помощью УЗИ, КТ и МРТ. Последовательность применения этих методов исследования обычно соотвествует нарастанию инвазивности. В качестве первого метода диагностики чаще всего применятся ультразвуковое исследование. Если его данные носят тревожный характер, например, есть признаки окклюзий и аневризм, пациента направят на дообследование с помощью МРТ и КТ ангиографии брюшной полости. На сегодняшний день это наиболее высокоточные виды диагностики ангио-патологий брюшной аорты и ее ветвей.
Чем отличается МРТ от КТ брюшной аорты?
Компьютерная томография (КТ) и магнитно-резонансная томография (МРТ) - это два принципиально разных диагностических метода. Метод КТ основан на измерении и сложной компьютерной обработке разности ослабления рентгеновского излучения различными по плотности тканями. При магнитно-резонансной томографии используют не радиоактивное излучение, а эффект магнитного поля и ядерного резонанса. Поэтому проходить МРТ обследование брюшной аорты можно неограниченное количество раз с любым временным интервалом. Оно также безопасно, как и УЗИ. Полученные как при МРТ, так и при КТ брюшной аорты снимки имеют высокое разрешение и могут стать основой для построения 3D модели сосудистого русла, что расширяет возможности по его обследованию.
Что входит в МРТ брюшной аорты и ее ветвей
В стандартный протокол МРТ брюшной аорты и ее ветвей входит обследование следующих структур:
- брюшная аорта
- чревный ствол
- селезеночная артерия
- общая печоночная артерия
- левая желудочная артерия
- общая печеночная артерия
- верхняя брыжеечная артерия
- нижняя брыжеечная артерия
- почечные артерии
- бифуркация аорты
Что входит в КТ брюшной аорты и ее ветвей
В стандартный протокол КТ ангиографии брюшной аорты и ветвей входит обследование следующих структур:
общая печёночная артерия
левая желудочная артерия
общая печеночная артерия
верхняя брыжеечная артерия
нижняя брыжеечная артерия
общая подвздошная артерия
внутренняя подвздошная артерия
наружная подвздошная артерия
общая бедренная артерия
глубокая артерия бедра
поверхностная бедренная артерия
передняя большеберцовая артерия
задняя большеберцовая артерия
Что лучше: МРТ или КТ брюшной аорты?
Специалисты рентгенологи обращают внимание, что не существует хороших или плохих диагностических методов. Выбор наиболее правильного вида диагностики должен осуществлять лечащий врач на основе данных по состоянию здоровья пациента и первичному обследованию. Как МРТ, так и КТ брюшной аорты и ее ветвей одинаково хорошо покажут основные патологи этой части сосудистой системы:
- аневризмы и псевдоаневризмы, тромбы;
- окклюзионно-стенотические поражения чревного ствола и верхней брыжеечной артерии;
- диссекцию аорты;
- аортит;
- окклюзии ветвей брюшной аорты;
- инфекционный эндокардит;
- ослабление и истончение артериальной стенки;
- аортоартериит Такаясу;
- стеноз;
- опухолевые поражения.
По сравнению с компьютерной томографией МРТ брюшной аорты создает более четкие и детальные снимки мягких тканей и опухолевых поражений, на которых хорошо просматриваются мельчайшие кровеносные сосуды ветвей. КТ будет предпочтительным методом исследования для выявления аневризмы аорты, ее типа и степени угрозы здоровью пациента. КТ брюшной аорты с внутривенным контрастированием позволяет хорошо визуализировать аневризму аорты, очень точно оценить её размеры, обнаружить расслоение стенки. Однако компьютерная томография не всегда дает точные сведения о вовлечении в процесс ветвей аорты, сопутствующих окклюзионных и стенотических поражениях артерий.
КТ аорты в обязательном порядке делается с применением контрастного вещества на базе йода. Это существенным образом увеличивает стоимость томографии. МРТ аорты во многих случаях не требует контрастирования, поскольку кровь сама является хорошим парамагнетиком в магнитном поле томографа. Это делает магнитно-резонансную томографию более дешевым и безопасным обследованием сосудистой системы.
МРТ брюшной аорты
КТ брюшной аорты
Разница в противопоказаниях к МРТ и КТ
Поскольку сканирование с помощью МРТ проходит с применением очень сильного магнитного поля, то основными противопоказаниями к этому исследованию будет:
- наличие ферромагнитного металла в теле, например, стальных протезов;
- электронные импланты, не совместимые с МРТ, например, водители ритма типа кардиостимуляторов.
КТ брюшного отдела аорты из-за лучевой нагрузки и применения йодосодержащего контраста имеет более широкий спектр противопоказаний:
- любой срок беременности;
- кормление грудью;
- детский возраст;
- аллергическая реакция на йод;
- почечная недостаточность;
- прием сахароснижающих препаратов.

Терапевт, Гастроэнтеролог, Кардиолог
- Гранов A.M., Полысалов В.Н., Таразов П.Г., Сайкин В.Х. Клинические аспекты диагностики и лечения аневризм селезеночной артерии // Клиническая медицина. — 1990.-Т. 11
- Белов, Ю.В. Клинико-инструментальная диагностика аневризм нисходящей и торакоабдоминальной аорты / Ю.В.Белов, Р.Н.Комаров //Хирургия.-2007.-№2.
- Синицын В.Е., Дадвани С.А., Мершина Е.А. и др. Магнитно-резонансная ангиография в диагностике и хирургическом лечении заболеваний брюшной аорты и артерий нижних конечностей // Ангиология и сосудистая хирургия, - 2001. - Т.7. - №2.
- Иваницкий, А.В. Лучевая диагностика расслаивающей аневризмы аорты
- Покровский A.B. Заболевания аорты и ее ветвей. — М. Медицина. — 1979.
- Покровский A.B., Казанчян П.О., Дюжиков A.A. Диагностика и лечение хронической ишемии органов пищеварения. — Ростов н/Д. Рост, ун-та. 1982.
- Зубарев, А.Р. Ультразвуковая диагностика разрывов аневризм брюшного отдела аорты / А.Р.Зубарев, Р.А.Григорян // Диагностика и хирургическое лечение аневризм аорты: Сборник статей. Майкоп, 1992.
- Казанчян, П.О. Современные аспекты диагностики аневризм брюшной аорты /П.О.Казанчян и др. //Грудная и сердечно-сосудистая хирургия. 1993.-№2.
- Компьютерная томография в диагностике аневризм брюшной аорты / А.П.Савченко, В.В.Китаев, Е.А.Семченко, Т.И.Дорошева // Клиническая медицина. 1985.-№5.
- Роль спиральной компьютерной ангиографии в диагностике осложнений аневризм аорты / Ф.А.Шарифуллин, Ф.М.Ахмеджанов, Т.Г .Бармина, О.А. Забавская, И.Е. Попова // Вестник рентгенологии и радиологии.-2006.-№2
Информационные статьи о диагностике

МРТ брюшной полости - это метод неинвазивной диагностики, дающий возможность за одно сканирование визуализировать анатомические изменения в органах зоны живота. С помощью исследования можно также наблюдать за успешностью назначенной терапии или ходом послеоперационного периода восстановления. МРТ позволяет оценить структуру желудка, печени, поджелудочной железы, селезенки, желчного пузыря, почек и надпочечников,

МРТ брюшной полости и забрюшинного пространства - это комплексное обследование зоны живота и забрюшины. Магнитно-резонансная томография относится к группе высокоинформативных методов обследования и в большинстве случаев за одно исследование позволяет установить точный диагноз. Проведение МРТ диагностики не требует хирургического вмешательства и не вызывает дискомфорта у пациента. Поскольку МР-исследование не

Главной целью проведения МРТ брюшной полости является изучение состояния внутренних органов данной области для выявления имеющихся патологий у пациента. С помощью магнитно-резонансного сканирования медицинские специалисты могут не только получить общее понимание наличия проблем в брюшной полости пациента
КТ сосудов, или КТ-ангиография: как и для чего делается

Компьютерная томография (КТ) сосудов, или КТ-ангиография - это исследование, которое делается с помощью мультиспирального компьютерного томографа (МСКТ) и применяется для визуализации крупных кровеносных сосудов (главным образом, артерий) с целью выявления их патологических изменений. Любое медицинское отображение сосудов называется ангиографией, и наряду с КТ-ангиографией существуют еще классическая субтракционная ангиография (ДСА, DSA), которая выполняется в условиях рентген-операционной, и МР-ангиография - это исследование делается на магнитно-резонансном томографе.
Сделать КТ-ангиографию в Санкт-Петербурге
ЗАЧЕМ ДЕЛАЕТСЯ КТ СОСУДОВ
КТ сосудов применяется для оценки состояния самых разных сосудов организма. В основном, речь идет об артериях - сосудах, приносящих кровь к органам. В случае закупорки сосудов, нарушения кровотока по ним, или изменений сосудистой стенки КТ-ангиография выявляет различные патологические признаки. Чаще всего КТ артерий применяется перед операцией устранения атеросклеротических бляшек или тромбов - в качестве одного из этапов предоперационной подготовки. Например, это исследование демонстрирует хирургу наличие атеросклеротических бляшек, стенозов и окклюзий крупных артерий, помогает точно оценить диаметр сосудов и т.п.
КТ-ангиография выполняется с целью оценки сосудов:
- головного мозга и шеи (КТ БЦА) - чаще всего, при атеросклерозе как один из этапов предоперационной подготовки
- легочных артерий (ангиопульмонография) - для исключения тромбоэмболии легочной артерии
- живота - для исключения тромбоза брыжеечных сосудов
- аорты - для исключения аневризмы и расслоения (диссекции) стенки
- нижних и верхних конечностей - при атеросклерозе
- сердца (КТ-коронарография) - при ишемическое болезни перед шунтированием или стентированием сосуда
ПОКАЗАНИЯ К КТ СОСУДОВ
- повреждение сосудов
- атеросклеротический стеноз и окклюзия
- тромбоз крупных сосудов
- опухоли (для оценки кровотока перед химиоэмболизацией)
- аневризмы
- врожденные аномалии сердца и сосудов
- ишемическая болезнь сердца — коронарография перед операцией
- подготовка к трансплантации органа
- стентирование (для ориентации)
- тромбоэмболия легочных артерий
КАК ДЕЛАЕТСЯ КТ СОСУДОВ
КТ-ангиография является минимально инвазивной процедурой, и требует только введения йодсодержащего контрастного вещества в периферическую вену, все остальное делает аппарат и врач.
Перед исследованием в процедурном кабинете вам установят катетер с широким просветом в периферическую вену, чаще всего в локтевом сгибе. Затем вам нужно будет лечь на стол томографа, обычно на спину. Катетер в вене подсоединяется к автоматическому инъектору, предназначенному для дозированного введения контраста. После этого начинается введение контраста, включается режим сканирования, и стол с пациентом медленно движется. Во время исследования стол может передвигаться несколько раз (для получения различных фаз контрастирования).
При КТ коронарных артерий для синхронизации работы томографа с ритмом сердца используется ЭКГ: на грудную клетку помещаются электроды. Во время исследования может потребоваться задержать дыхание, о чем вам автоматически сообщат. Важно оставаться неподвижным: любые движения, в т. ч. дыхательные, могут становиться причиной помех - артефактов, затрудняющих анализ снимков или даже делающих его невозможным.
После завершения исследования медсестра извлечет катетер из вены и наложит тугую повязку, которую можно будет снять через полчаса - час. Продолжительность исследования в большинстве случаев невелика, обычно не превышает 10 минут. После исследования нужно пить больше жидкости для облегчения выведения контраста.
ПОДГОТОВКА К КТ СОСУДОВ
- За 1-3 суток
- Сдать анализ крови (креатинин, мочевина, скорость клубочковой фильтрации)
- В некоторых случаях (индивидуально, обсуждается с врачом) не употреблять пищу перед КТ сосудов; не употреблять алкоголь
- Нежелательно надевать украшения и иные металлические предметы; это не возбраняется, но перед исследованием предметы из металла необходимо будет снять; перед исследованием в кабинете вам выдадут специальную одноразовую одежду
- Предупредить врача об аллергии на йод, на контраст, на любые другие препараты или пищевые продукты; о заболеваниях сосудов, любых других заболеваниях; указать отсутствие беременности, при грудном вскармливании - проконсультироваться с врачом
КАК ВЫГЛЯДИТ ОБОРУДОВАНИЕ ДЛЯ КТ СОСУДОВ?
Компьютерный томограф — специальное устройство, напоминающее коробку (гентри), с коротким туннелем в центре. Вам будет необходимо лечь на специальный стол, на котором вы поедете в центральный туннель. При исследовании трубка сканера, закрытая кожухом, будет вращаться вокруг вас внутри гентри. Данные, полученные при исследовании, передаются в отдельную комнату, где они обрабатываются и анализируются доктором. Во время исследования персонал будет поддерживать с вами зрительный и слуховой контакт, вы в любое время сможете сообщить врачу или лаборанту о любых необычных ощущениях по громкой связи.
КАК РАБОТАЕТ КТ
Компьютерная томография (КТ) в чем-то напоминает обычное рентгеновское исследование. Главная часть томографа - трубка, генерирующая рентгеновские лучи, проходящие через тело пациента и в разной степени задерживаемые различными тканями. При КТ трубка вращается вокруг вас, облучая тело под разными углами. Детекторы с противоположной стороны принимают излучение, ослабленное в разной степени после прохождения через тело. Одновременно стол движется по отношению к гентри, в результате чего сканирование осуществляется по спирали. Полученные данные собираются и передаются в мощный компьютер, который по специальным алгоритмам обрабатывает их. В результате обработки получаются изображения, пригодные для просмотра на мониторе и различных вариантов программной обработки.
КАКИЕ ОЩУЩЕНИЯ ПРИ КТ СОСУДОВ?
КТ сосудов обычно выполняется быстро, просто и безболезненно; томограф с большим количеством детекторов позволяет значительно сократить время исследования. Некоторые болевые ощущения могут быть связаны с установкой катетера. При введении контраста в вену часто возникает ощущение тепла, распространяющегося по телу - это нормально. К ненормальным ощущениям, о которых нужно немедленно известить персонал, относятся сильная боль и чувство распирания в месте, где установлен катетер; затруднение дыхания, кашель, тошнота. Эти ощущения возникают редко. После исследования вы несколько минут находитесь под наблюдением медперсонала, чтобы не пропустить побочные реакции.
КТО СМОТРИТ КТ СОСУДОВ
Полученные данные интерпретирует рентгенолог (радиолог, лучевой диагност) - врач, получивший специальное послевузовское образование и имеющий нужный сертификат. Время ожидания результатов исследования индивидуально и зависит от клиники, загруженности доктора: от получаса до нескольких суток. В случае сомнительных или противоречивых результатов исследования нужно получить второе мнение опытного радиолога с пересмотром КТ, специализирующегося именно на сосудистых болезнях. Второе мнение можно заказать во всероссийской службе консультаций Национальной телерадиологической сети.
ЧЕМ ОТЛИЧАЮТСЯ КТ И МРТ СОСУДОВ (КТ-АНГИОГРАФИЯ и МР-АНГИОГРАФИЯ?)
При КТ сосудов необходимо введение контраста в вену. Изображение строится на основании разницы в плотности контрастированных сосудов и окружающих тканей. Также КТ относится к рентгеновским методам, поэтому при этом исследовании всегда присутствует лучевая нагрузка, хотя и в небольших дозах.
В отличие от КТ-ангиографии, МРТ сосудов (МР-ангиография) не использует ионизирующее излучение и делается, как правило, без внутривенного контрастирования, однако визуализация сосудов с его помощью хуже, нет возможности оценить состояние стенки сосуда, невозможно точно измерить степень сужения сосуда. МР-ангиография выявляет только изменения хода сосуда и наличие или отсутствие аневризм (грубо).
УЗИ-исследование сосудов (допплер, УЗДГ, ЦДК) таке не использует ионизирующее излучение и делается с помощью датчика, поставленного врачом на область интереса. При этом исследовании появляется возможность оценить скорость кровотока и более точно рассмотреть изменения сосудистой стенки.
ЧТО ВИДНО ПРИ КТ СОСУДОВ?
При КТ ангиографии появляется возможность различить артериальные и венозные сосуды (КТ-артериография/КТ-венография), оценить их ход и извитость, наличие атеросклеротических бляшек и тромбов, наличие аномалий и аневризм, повреждения сосудов (в результате травмы или операции), оценить кровоснабжение опухолей перед их эмболизацией. Рассмотрим несколько примеров.
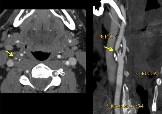
Что выявляет КТ-ангиография. Патологическая извитость внутренних сонных артерий в шейном сегменте (С1). Хорошо виден ход сосудов, можно оценить их диаметр, состояние стенок. Трехмерная (3D) реконструкция сосудов.
![]()
Как выглядит атеросклероз на КТ? Ангиография выявляет сужение правой внутренней сонной артерии атеросклеротической бляшкой. Исследование также позволяет наиболее точно изменить степень сужения сосуда (процент стеноза по методикам ESCT или NASCET). Ангиографию обязательно делать людям с выявленной патологией сосудов на УЗДГ, а также пациентам с повторяющимися инсультами.
![]()
Как выглядит АВМ на КТ. Артерио-венозная мальформация - врожденная патология, выглядящая на КТ как «клубок» извитых и неравномерно расширенных артерий и вен. Может содержать обызвествления и тромбы. Возможен также смешанный вариант - лимфатико-вено-артериальная мальформация.
![]()
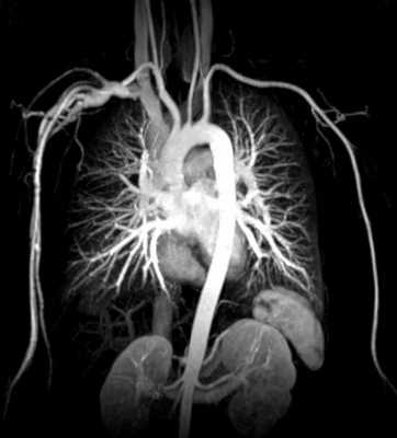
Как выглядит аневризма аорты на КТ. Аневризма аорты - расширение основного артериального сосуда. Она может быть как в грудном отделе аорты, так и в брюшном, так и в обоих сразу. Сегодня при подозрении на аневризму аорты КТ выполняется обязательно. Исследование выявляет размеры и форму аневризмы, а также позволяет исключить опасное осложнение - расслоение стенки аорты!
![]()
Как выглядит КТ-коронарография. Исследование сосудов сердца, или коронарных артерий, выявляет множественные мягкие и кальцинированные атеросклеротические бляшки, суживающие просвет сосуда. В случае клинических проявлений ишемии необходима операция — стентирование артерии.
НАСКОЛЬКО ВРЕДНО ДЕЛАТЬ КТ СОСУДОВ?
Негативное воздействие, связанная с ионизирующим рентгеновским излучением, часто преувеличивается пациентами и даже врачами. В целом дозы, полученные при исследовании, не превышают стандартные дозы для лучевых рентгеновских исследований и составляют несколько мЗв.
Вместе с тем, всегда необходимо взвесить, насколько КТ-ангиография действительно необходима, и не проводить исследование без явных показаний.
Также существуют различные риски исследования, связанные с контрастированием:
Что покажет КТ брюшного отдела аорты и ее ветвей, ангиография с контрастом или без?
![КТ брюшного отдела аорты и ее ветвей]()
КТ брюшной аорты и ее ветвей - информативный рентгенологический способ выявления заболеваний самого крупного кровеносного сосуда человеческого тела. Благодаря послойному сканированию тканей врач видит серию тонких срезов изучаемой зоны.
Обследование осуществляется посредством томографа - сложного диагностического аппарата. В его составе:
кольцевая часть, где закреплены специальные регистраторы и движется рентгеновская трубка;
датчики, фиксирующие информацию после прохождения лучей через ткани тела;
программное обеспечение, преобразующее данные в рисунок ;
программа реконструкции 3D-изображения изучаемой области.
Лучевая нагрузка при проведении КТ брюшной аорты и ее ветвей значительно ниже, чем у обычного рентгенологического исследования. Метод обладает большой информативностью, пациент не испытывает боли, дискомфорта. Компьютерная томография применяется в гастроэнтерологии, терапии патологических состояний сосудов, при хирургическом лечении аномалий внутренних органов.
Что покажет КТ брюшного отдела аорты и ее ветвей
В брюшном отделе от аорты отходят крупные кровеносные сосуды, осуществляющие кровоснабжение внутренних органов: почечная артерия, брыжеечные (верхняя, нижняя), чревной ствол (с общей печеночной и селезеночной артериями). Они обеспечивают питание печени, почек, надпочечников, селезенки, желудка и поджелудочной железы, большей части кишечника. Патологические изменения, протекающие в стенках вен и артерий, являются одной из причин острой абдоминальной ишемии. Это собирательный диагноз, который означает нарушение кровоснабжения органов, находящихся в области живота. Такое заболевание крайне опасно, быстрое установление причины в этом случае поможет сохранить жизнь и здоровье пациента .
Выявить причину такой ишемии с помощью опроса, осмотра довольно сложно, поэтому КТ брюшной аорты и ее ветвей является важным дополнительным методом обследования, играющим решающую роль при постановке диагноза.
В результате томографии можно увидеть:
наличие тромбов и эмболов в просвете сосуда;
атеросклеротические бляшки на стенках вен или артерий;
стеноз (сужение) сосуда;
окклюзию (непроходимость) артерий, вен;
наличие опухоли сосуда, близлежащих органов;
аневризмы абдоминальных кровеносных сосудов.
Компьютерная томография брюшной аорты и ее ветвей дает оценку характера кровоснабжения систем органов в области живота и забрюшинного пространства. В процессе обследования различают начальную (артериальную) фазу, сразу после введения рентген-контрастного вещества. Этот этап визуализирует состояние аорты и отходящих от нее артерий.
Затем наступает паренхиматозная фаза КТ, когда окрашенная жидкость с током крови наполняет близлежащие органы. При этом можно оценить интенсивность их кровоснабжения, изменение формы, размеров, структуры.
Венозная фаза КТ брюшной аорты и ее ветвей характеризуется распространением контрастного раствора по системе вен, она дает возможность определить состояние этих сосудов, их проходимость, тонус стенок и просвет.
Метод компьютерной томографии применяют для контроля динамики заболевания, при подготовке к хирургическому вмешательству, а также после него, для визуализации процессов восстановления тканей.
Аневризма брюшного отдела аорты на КТ
Аневризма брюшной аорты является часто встречаемым сосудистым заболеванием. Для него характерно постепенное истончение и выпячивание локального участка стенки сосуда. На ранних стадиях заболевание протекает практически бессимптомно. В процессе развития аномалии или при наличии осложнений состояние пациента резко ухудшается и требует немедленного врачебного вмешательства.
Если диагноз не был поставлен своевременно, и лечение не проводилось, происходит разрыв аорты с последующим внутренним кровотечением, практически неизбежно приводящем к смерти пациента.
Обследование брюшной аорты и ее ветвей с помощью КТ визуализирует поперечные размеры сосуда, вовлеченность стенки, локализацию возможных патологических изменений:
расслоение стенки сосуда;
ограниченное или генерализованное расширение поперечного диаметра аорты;
патологические изменения структуры сосудистой стенки;
нечеткость контуров аорты и ответвлений.
При абдоминальном УЗИ изображение может терять четкость по причине повышенного газообразования в кишечнике, выраженности подкожной жировой клетчатки в области живота. КТ брюшной аорты и ее ветвей отличается высоким качеством визуализации, показывает даже незначительные отклонения в строении сосудистой стенки, позволяя диагностировать заболевание на ранних стадиях.
КТ ангиография брюшного отдела аорты и ее ветвей
Особенностью мультиспиральной компьютерной томографии брюшной аорты и ее ветвей является обязательное применение рентген-контрастного вещества. Для этого используют препараты йода, которые отличаются высокой степенью поглощения излучения. При попадании красящего раствора в сосудистое русло на снимках появляется четкое отображение кровеносной сети, а 3D-модель показывает изменения в динамике кровоснабжения, патологические состояния артерий и вен, наличие тромбов, окклюзий.
Показаниями к проведению КТ ангиографии брюшной аорты и ее ветвей являются:
травмы живота с возможным повреждением артерий, вен, паренхимы внутренних органов (печени, почек, селезенки);
доброкачественные и злокачественные новообразования в брюшной полости;
внутренние кровотечения в полость живота и желудочно-кишечные кровотечения;
заболевания кровеносных сосудов абдоминальной области.
Различают плановую и экстренную КТ брюшной аорты и ее ветвей. В срочном порядке направление на ангиографию дают для уточнения локализации травмирующего воздействия на сосуд, разрыва аневризмы, когда требуется проведение хирургического лечения. Показанием для экстренного обследования служит травма паренхиматозных органов, мезентериальный тромбоз, эмболия артерий.
КТ обследование брюшной аорты и ее ветвей проходит последовательно. Пациента помещают на специальный передвижной стол, который расположен горизонтально. Врач находится в отдельном помещении, связь с ним осуществляется посредством переговорного устройства.
Контраст вводят внутривенно с помощью катетера, предварительно сделав серию нативных снимков. Для введения препарата, при использовании томографов последних поколений, применяют инфузомат, который дает возможность установить определенную скорость подачи раствора. Затем выполняют послойное КТ сканирование брюшной полости в области аорты и ее основных ответвлений. В процессе обследования на мониторе компьютера происходит реконструкция всех крупных сосудов внутренних органов в рассматриваемой зоне.
Процедура КТ длится не более 20 минут, все это время больной должен лежать без движения. Пациента фиксируют с помощью специальных удерживающих устройств. Фотографии, 3D-модель, вместе с описанием рентгенолога записывают на цифровой носитель и выдают на руки, больной получает заключение в день обращения.
Как подготовится к КТ исследованию брюшной аорты
КТ брюшной аорты и ее ветвей проводится с введением контрастного раствора. Грамотная подготовка снизит вероятность развития осложнений и повысит безопасность исследования.
Предварительно врач собирает анамнез, уточняет дату последней компьютерной томографии, если процедура проводится не впервые. В процессе опроса выявляют возможные противопоказания:
непереносимость йодсодержащих веществ;
Пациентам, страдающим аллергией на препараты йода, необходимо заранее сообщить об этом врачу. На основании этой информации специалист примет решение о проведении премедикации и введении контраста, или выберет другой метод обследования.
Предварительно больному нужно сдать кровь на креатинин. Выведение из организма контрастного раствора осуществляется почками, поэтому ОПН (острая почечная недостаточность) является противопоказанием к проведению КТ брюшной аорты и ее ветвей.
Следует проследить за отсутствием в рассматриваемой области предметов одежды, аксессуаров, обладающих рентген-контрастностью. За несколько дней до обследования желательно не употреблять тяжелую пищу и продукты, способствующие повышению газообразования. Наличие каловых масс и метеоризм могут влиять на качество изображения. Перед процедурой необходимо отказаться от пищи и воды (не менее чем за 4 часа до сеанса).
Соблюдение рекомендаций при подготовке к сеансу значительно повышает точность, результативность метода. Серия послойных изображений и 3D-визуализация помогают оценить функциональное состояние абдоминальной кровеносной системы, провести дифференциальную диагностику возможных нарушений и выбрать эффективное лечение.
Читайте также:





