Заболевания десен - причины, симптомы, диагностика и лечение
Добавил пользователь Владимир З. Обновлено: 01.01.2026
Гингивит - воспалительный процесс слизистой оболочки десен. Характеризуется отечностью и покраснением десен, кровоточивостью при еде и минимальном контакте, неприятным запахом изо рта, иногда - возникновением эрозий. При соблюдении гигиены полости рта и своевременном лечении наступает полное излечение. Может наблюдаться хроническое, рецидивирующее течение, ведущее к развитию пародонтита с последующим обнажением шеек зубов, их расшатыванием и потерей.


Общие сведения
Гингивит (Gingivit) - это острое или хроническое воспаление десен, встречающееся довольно часто. Причиной гингивита является нарушение ухода за полостью рта, люди молодого возраста и дети в период прорезывания зубов более подвержены гингивиту.
Причины гингивита
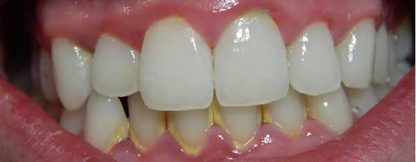
Основной причиной гингивита является клейкий зубной налет. Он скапливается вдоль краев десен и в труднодоступных для чистки зубов местах, через 72 часа налет уплотняется и образуется зубной камень, который невозможно удалить с помощью обычной чистки зубов.
В пубертатном периоде и во время менструаций вероятность возникновения гингивита возрастает. Женщины, длительно принимающие оральные контрацептивы, тоже попадают в группу риска. Прием иммуносупрессоров, в частности - циклоспорина, и гипотензивных средств, содержащих нифедипин, в качестве побочного действия провоцируют развитие гипертрофического гингивита. Эти препараты вызывают гиперплазию тканей десны, что затрудняет уход за зубами и ежедневное удаление налета. Скопление налета и размножение микроорганизмов способствуют развитию гингивита.
Эндогенными причинами гингивита является рост зубов. Поскольку растущий зуб травмирует десну, то у детей в период прорезывания зубов часто диагностируется катаральный гингивит. Недостаток витамина С, заболевания желудочно-кишечного тракта, снижение общего и местного иммунитета занимают в патогенезе гингивита существенное значение. Так, у людей без патологий краткосрочная невозможность соблюдать гигиену полости рта не ведет к развитию гингивита.
Воздействие внешних физических факторов, таких как травмы, ожоги, лучевое облучение и влияние агрессивных химических веществ на десну являются самыми распространенными причинами гингивита. Бактериальные агенты вызывают гингивит в большей части у детей и у взрослых с нарушениями иммунной системы.
В последнее время существенную роль в возникновении гингивита играют ятрогенные факторы, когда пациенты со слабой психикой, под гнетом информационного потока о важности ухода за полостью рта, обнаруживают у себя симптомы гингивита. Неправильное поведение врача, так же может спровоцировать появление гингивита психогенного характера. Гингивиту более подвержены курильщики, пациенты с зубным камнем и люди, употребляющие чрезмерно горячую или холодную пищу.
У детей до полового созревания иммунная защита только формируется, поэтому наличие очагов хронической инфекции, кариес зубов ведет к развитию гингивита. Процент заболеваемости гингивитом у детей с туберкулезной инфекцией, ревматизмом, болезнями печени и желчного пузыря выше. При сахарном диабете изменяется химический состав слюны, ее антибактериальные свойства снижаются. Среди лиц, страдающих любой формой сахарного диабета, гингивит встречается в 70% случаев.
Гингивит редко развивается как самостоятельное заболевание. Гораздо чаще он является симптомом других заболеваний полости рта или же следствием заболеваний внутренних органов.
Клинические проявления гингивита

В большинстве случаев гингивит протекает без нарушения зубодесневого соединения. Если воспалена вся десна челюсти или обеих челюстей, то гингивит принял распространенный характер. Но чаще диагностируют локализованный гингивит, когда поражен незначительный отрезок десны. При ограниченном гингивите также имеются поражение близлежащих зубов. Если гингивитом поражены только десневые сосочки, то диагностируют папиллит, при поражениях всего десневого края говорят о маргинальном течении гингивита.
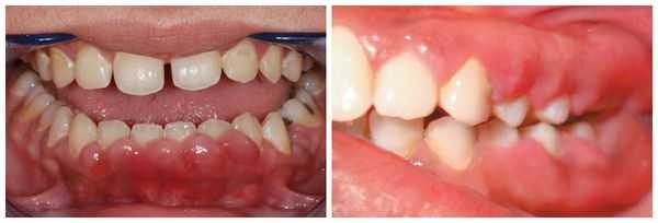
При остром гингивите имеются классические проявления воспалительного процесса - отечность, гиперемия, местное увеличение температуры тканей, болезненность и гиперсаливация. Отмечается кровоточивость десен, точечные кровоизлияния, иногда при гингивите могут быть изъязвления десен.
Хронический гингивит возникает вследствие длительного воздействия неблагоприятных факторов. И чаще всего его клиническая картина смазана. Основным проявлением хронического гингивита является гиперплазия десен, иногда десневой тканью покрыта вся коронка зуба, чего в норме не должно быть.
Для катарального гингивита характерна ярко-выраженная воспалительная реакция, присутствует покраснение и отечность десен. Воспаленная поверхность становится чувствительной к переменам температур. Некоторые пациенты при катаральном гингивите отмечают зуд и болезненность во время приема пищи.
При язвенно-некротическом гингивите на слизистой оболочке десен появляются изъязвленные участки и участки некроза. Десны резко болезненны. Из-за размножения гнилостной микрофлоры появляется галитоз - зловонное дыхание. Страдает общее состояние пациента: поднимается температура, иногда до фебрильных значений, увеличиваются регионарные лимфатические узлы. Из-за болезненности нарушается прием пищи, иногда при гингивите наблюдается стойкий отказ от питания (анорексия), нарастает общая слабость и симптомы истощения.
Гипертрофический гингивит клинически проявляется увеличением десневых сосочков, которые со временем покрывают большую часть зуба. На начальных этапах гипертрофический гингивит практически не проявляется, неприятные ощущения тоже отсутствуют. Гиперплазию тканей обычно замечают во время профилактического осмотра стоматолога. Но со временем, при отсутствии терапии, нарастает болезненность десен во время приема пищи и во время прикосновений. Чистка зубов для пациентов с гипертрофическим гингивитом становится тяжелопереносимой и болезненной процедурой, в результате они отказываются от ухода за полостью рта, в связи с чем присоединяется множественный кариес.
Помимо явлений гингивита и кариеса, присутствует неприятный запах изо рта, скопление зубного налета и зубного камня. Прием пищи становится резко болезненным. Особенно острая реакция наблюдается при приеме кислой, горячей и острой пищи. При атрофическом гингивите возникает атрофия десен. Уровень десны постепенно снижается, обнажается шейка зуба, а потом и его корень. Субъективно проявляется только болезненностью во время принятия холодной или горячей пищи.
Во время менопаузы у женщин часто развивается гингивит десквамативного характера. Образование кератинсодержащих клеток эпителия уменьшается, что проявляется увеличением проницаемости слизистой. Десны легко повреждаются, кровоточат и болезненны даже при незначительном прикосновении. Иногда явлениям гингивита предшествует образование пузырьков.
Гингивит не является самостоятельным заболеванием. В основном это одно из клинических проявлений пародонтита и пародонтоза, поэтому важно своевременно выявлять признаки гингивита и проводить терапию.
Диагностика и лечение гингивита

Диагностируют гингивит во время визуального и инструментального осмотров. Дополнительной диагностики не требуется. Однако для выявления основной причины необходим тщательный опрос пациента и обследование его другими пародонтологом. До выявления и коррекции заболевания, которое является причиной гингивита, прибегают к местному лечению.
При гингивите необходимо очистить зубы от зубного налета и зубного камня и порекомендовать пациентам тщательно соблюдать гигиену полости рта. Лицам, которые предрасположены к возникновению гингивита, нужно чаще посещать стоматолога для проведения профессиональной гигиены полости рта.
Показано использование препаратов, которые улучшают местный иммунитет. После принятия пищи обязательно полоскание рта антисептическими растворами и отварами трав. Полоскание неагрессивными составами, например отваром ромашки, можно проводить без ограничений, но следует иметь в виду, что при гингивите с осторожностью нужно использовать растворы соды и спиртовые растворы лекарственных трав. Если при гингивите ярко выражен болевой синдром, то оправдан прием анальгетиков.
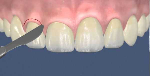
Гипертрофический гингивит часто возникает из-за неправильного пломбирования и установки коронок. Замена реставраций приводит к полному излечению. Гингивит, возникший на фоне беременности, приема препаратов, саморазрешается после родов или отмены лекарственных средств. Если же гиперплазия тканей носит стойкий характер, то показана гингивэктомия с удалением разрастаний.
Прогноз при гингивите благоприятный, но при отсутствии лечения процесс может перейти в глубокую форму - развиться пародонтоз, при котором возможно выпадение зубов.
Заболевания десен
Заболевания десен - группа болезней, характеризующихся поражением тканей десны. Пациенты жалуются на гиперемию, отечность десен, кровоточивость во время чистки. При гипертрофическом гингивите возникает гиперплазия десневого края. В случае язвенно-некротических заболеваний десен выявляют участки поражения, покрытые серо-зеленым налетом. Интерпроксимальные сосочки зияют. Диагностика заболеваний десен сводится к сбору жалоб, составлению анамнеза заболевания, проведению клинического и рентгенологического исследований. Лечение включает санацию полости рта, устранение местных раздражающих факторов, повышение местной и общей резистентности организма.
Заболевания десен - воспаление десневого края инфекционного (бактериального, вирусного, кандидозного) или травматического происхождения, протекающее без нарушения целостности зубоэпителиального прикрепления. Выраженный прирост показателя распространенности заболеваний десен приходится на период полового созревания, что связано с изменением гормонального фона у подростков. Исследования показали, что после 60 лет частота диагностирования гингивита достигает 100%. Заболевания десен чаще встречаются у представителей мужского пола, что объясняется неудовлетворительным уровнем гигиены, наличием вредных привычек. В прогностическом отношении при своевременно начатом комплексном лечении заболеваний десен удается полностью купировать воспаление, предотвратить вовлечение в патологический процесс тканей пародонта.
Причины
Основными местными причинами заболеваний десен являются твердые и мягкие зубные отложения. Вследствие токсического воздействия на ткани десны продуктов жизнедеятельности микроорганизмов, входящих в состав зубной бляшки, развивается катаральная форма гингивита. Также встречаются заболевания десен вирусного, микотического, бактериального (фузоспирохетозного) генеза. Механические, термические и химические раздражители способны спровоцировать развитие воспаления с преобладанием экссудативного компонента. Продуктивные гиперпластические процессы возникают при прогестеронзависимом гингивите. Данная форма заболеваний десен встречается преимущественно в пубертатном периоде, во время беременности, а также при приеме гормональных препаратов.
Форсированное ортодонтическое лечение с применением высоких сил также вызывает гиперплазию десны. Наряду с первичным воспалением выделяют вторичные (симптоматические) заболевания десен, проявляющиеся при гиповитаминозе, эндокринных нарушениях, болезнях крови, патологиях органов пищеварительной системы. К местным предрасполагающим факторам, способствующим развитию гингивита, относят патологии прикуса, скученность зубных рядов. При остром течении заболеваний десен ткани становятся отечными, появляются зоны кровоизлияний. Вокруг кровеносных сосудов сосредотачиваются клетки воспалительного инфильтрата: лимфоциты, гистиоциты. Микроскопически при хроническом гингивите наблюдается созревание грануляций, замещение коллагеновых волокон грубой соединительной тканью. Скопления лейкоцитов представлены в незначительном количестве.
Классификация заболеваний десен
В стоматологии различают три группы заболеваний десен:
- Заболевания десен, спровоцированные патогенной микрофлорой зубной бляшки. К этой категории относят также симптоматический гингивит, свидетельствующий о наличии фоновой соматической патологии.
- Заболевания десен травматической или инфекционной этиологии (вызванные вирусами простого герпеса, дрожжевыми грибами). Различают также гингивит ятрогенного происхождения, развивающийся при нарушении протокола лечения пациентов.
- Язвенно-некротические заболевания десен. Возникают на фоне сниженной местной и общей реактивности организма вследствие активизации микробной ассоциации, состоящей из фузобактерий и спирохет. Гингивит Венсана чаще выявляют у мужчин в возрасте до 30 лет.
По локализации воспаления различают поражения интерпроксимальных сосочков, маргинального края и альвеолярной десны. По распространенности патологический процесс может быть локализованным или генерализованным.
Симптомы заболеваний десен
При катаральном гингивите десна становится болезненной, отечной, гиперемированной. Нередко пациенты жалуются на кровоточивость при приеме жесткой пищи или во время чистки зубов. Заболевания десен, протекающие с преобладанием продуктивного компонента, сопровождаются разрастанием десневого края. Маргинальная десна приобретает валикообразную форму. Отмечается неприятный запах изо рта. При язвенно-некротических заболеваниях десен выявляется поражение межзубных сосочков. При прогрессировании воспалительного процесса зона некроза распространяется на маргинальную часть. В ходе осмотра выявляют некроз десневого края. При попытке удалить грязно-серый налет обнажается кровоточащая болезненная поверхность. Общее состояние у пациентов с язвенно-некротическими заболеваниями десен ухудшается. Наблюдается гипертермия, нарушение сна, отсутствие аппетита. Регионарные лимфатические узлы увеличены.
Десквамативная форма гингивита протекает с образованием участков слущивания эпителия на фоне воспаленной десны. Если причиной заболеваний десен является герпетическая инфекция, во время инкубационного периода появляется ощущение жжения слизистой. В течение последующих 1-2 дней на слизистой возникают пузырьки, которые очень быстро вскрываются, вследствие чего образуются эрозии. При тяжелой форме происходит повторное подсыпание элементов поражения. При осмотре удается выявить не только пузырьки, но и эрозии, корки. Наблюдается повышение температуры, регионарный лимфаденит.
При микотических заболеваниях десен на слизистой обнаруживают белесоватый налет, который легко снимается шпателем или ватным шариком, но в течение небольшого отрезка времени появляется снова. Пациентов беспокоит зуд, жжение, сухость слизистой. При механическом повреждении на десне образуется эрозивный участок. При воздействии термического фактора возникает десквамация поверхностного эпителия. Также возможно отторжение тканей десны с формированием язвенной поверхности. Заболевания десен, развивающиеся в результате контакта слизистой со щелочью, протекают с формированием зоны колликвационного некроза. Участок поражения распространяется как в глубину, так и в ширину. Коагуляционный (сухой) некроз наблюдается при воздействии кислот.
Диагностика
Диагностика заболеваний десен сводится к сбору жалоб, составлению анамнеза, проведению клинического осмотра и дополнительных методов исследования. В ходе физикального обследования при заболеваниях десен выявляют отечность, гиперемию десневого края. При гипертрофическом гингивите врач-стоматолог обнаруживает утолщение и разрастание десны. При язвенно-некротических заболеваниях десен определяют серо-зеленые наслоения, которыми покрыта маргинальная часть десны. При удалении налета оголяется болезненная кровоточащая эрозивная поверхность.
В большинстве случаев индекс гигиены Федорова-Володкиной у пациентов с заболеваниями десен неудовлетворительный. При осмотре отмечают множественные над- и поддесневые отложения, кариозные дефекты. Проба Шиллера-Писарева при заболеваниях десен положительная. Окрашивание ткани десны в желто-коричневый цвет после нанесения йодсодержащих препаратов подтверждает развитие воспалительного процесса. С помощью индекса PMA определяют уровень поражения. При воспалении интерпроксимальных сосочков значение показателя составляет 25%, при вовлечении в патологический процесс маргинального края PMA - 50%. В случае заболеваний десен, сопровождающихся поражением альвеолярной части, значение превышает 50%. Для диагностики герпетической инфекции показаны вирусологический тест, иммунохимический и цитологический анализы.
Микотическую этиологию заболеваний десен устанавливают методом бактериоскопии. Выявление в мазке почкующихся клеток и нитей псевдомицелия подтверждает развитие кандидозного гингивита. В отличие от пародонтита, при гингивите деструктивные изменения костной ткани на рентгенограмме отсутствуют. Дифференцируют заболевания десен с воспалительными и дистрофическими болезнями пародонта. Пациента обследует стоматолог-терапевт. При подозрении на развитие симптоматического (вторичного) гингивита показаны консультации терапевта, гематолога, эндокринолога, гастроэнтеролога.
Лечение заболеваний десен
Лечение заболеваний десен направлено на устранение микробной контаминации, ускорение процессов регенерации. С этой целью проводят санацию полости рта - процедуры профессиональной гигиены, лечение кариеса и его осложнений. При нерациональном протезировании показано повторное ортопедическое лечение. Местно при заболеваниях десен назначают полоскания полости рта антисептическими растворами на основе хлоргексидина биглюконата. Хорошей противовоспалительной активностью обладают отвары лекарственных трав. Лечение язвенно-некротических заболеваний десен состоит из следующих этапов: обезболивания, антисептической обработки, удаления некротизированных тканей, стимуляции процессов эпителизации.
При заболеваниях десен, сопровождающихся гиперплазией, проводят гингивэктомию. Этиотропная терапия герпетического поражения включает применение противовирусных препаратов, проявляющих активность относительно внутриклеточных вирусов. Общее лечение включает иммуномодуляторы, десенсибилизирующие средства, поливитаминные комплексы. При заболеваниях десен микотической природы назначают противогрибковые препараты. При гингивите травматического происхождения показаны полоскания полости рта антисептическими растворами, а также использование кератопластиков в виде аппликаций. Прогноз при заболеваниях десен благоприятный. При раннем выявлении и комплексном лечении удается купировать воспаление, предотвратить вовлечение в патологический процесс тканей пародонта.
Гингивит - симптомы и лечение
Что такое гингивит? Причины возникновения, диагностику и методы лечения разберем в статье доктора Карелина Андрея Сергеевича, стоматолога со стажем в 11 лет.
Над статьей доктора Карелина Андрея Сергеевича работали литературный редактор Юлия Липовская , научный редактор Сергей Федосов и шеф-редактор Лада Родчанина
Определение болезни. Причины заболевания
Гингивит — воспалительное заболевание дёсен, которое проявляется болезненностью, отёчностью, кровоточивостью и выделением экссудата (жидкости, которую продуцируют ткани в ответ на воспаление).

Воспалённая десна становится мягкой, шероховатой, неплотно прилегает к коронкам зубов. По данным Всемирной организации здравоохранения, более чем у 90-95 % взрослых людей присутствуют воспалительные процессы мягких тканей ротовой полости, а утрата зубов из-за воспаления дёсен и пародонта (тканей, окружающих зуб) случается в 5 раз чаще, чем от кариозных поражений [1] .
В большинстве случаев гингивит возникает из-за скопления зубного налёта в результате плохой гигиены ротовой полости. Бляшки из налёта постоянно раздражают слизистую, формируют карманы (увеличивают расстояние между зубом и мягкими тканями), в которых активно размножаются бактерии. Т. е. чаще всего причиной воспаления дёсен являются бактерии. Кроме того, гингивит может быть следствием аллергии, грибковых и вирусных инфекций.
Провоцирующие факторы в развитии воспаления дёсен:
- изменения гормонального фона;
- сахарный диабет;
- авитаминоз;
- приобретённые (ВИЧ) и врождённые иммунодефициты (синдром Ди Джорджи);
- беременность;
- лейкоз;
- недостаток витамина С;
- отягощённая наследственность (есть близкие родственники, которые страдали воспалительными заболеваниями дёсен);
- повреждение десны [1] .
Повреждения слизистой могут возникать при неправильном прикусе, стоматологических манипуляциях, воздействии агрессивных химических веществ, использовании жёсткой зубной щётки, употреблении твёрдой пищи. Даже незначительная травма эпителия — это входные ворота для инфекции.
К ятрогенным (связанным с врачебными манипуляциями) факторам, способствующим воспалению, относятся острые края зубных протезов, коронок, неотполированные пломбы, прилегающие к десне.
При обнаружении схожих симптомов проконсультируйтесь у врача. Не занимайтесь самолечением - это опасно для вашего здоровья!
Симптомы гингивита
На начальной стадии заболевания пациенты жалуются на дискомфорт в ротовой полости. При осмотре поражённый участок десны гиперемирован (т. е. имеется покраснение), увеличен в объёме. Возможна кровоточивость во время употребления твёрдой пищи и чистки зубов. Боли на ранней стадии заболевания, как правило, ещё нет. Многие пациенты жалуются на повышенное слюновыделение.

Воспалённая десна отстаёт от поверхности зуба, в образовавшейся полости скапливаются остатки пищи, появляется неприятный запах изо рта. Если не лечить заболевание, в кармане активно размножаются бактерии, развивается кариес шейки зуба [2] .
Со временем появляется боль в десне, которая усиливается во время приёма пищи и при стоматологическом осмотре. Особенно болевой синдром выражен при употреблении горячего, холодного и кислого. При выраженном воспалении или распространённом процессе могут появляться не только местные, но и общие симптомы: повышение температуры, слабость, повышенная утомляемость, раздражительность.
При осмотре стоматолог видит изменение цвета поражённых участков слизистой, гипертрофию (увеличение объёма) межзубных сосочков и края десны. Обычно в области воспаления присутствует зубной налёт, зубной камень и поражения кариесом. При обследовании стоматологическим инструментом десна может кровоточить. При хроническом воспалении клиническая картина стёрта, но может наблюдаться выраженная гипертрофия мягких тканей. При длительно текущем процессе разросшаяся десна может закрывать практически всю коронку зуба. При десквамативной ( с появлением пузырьков на дёснах) и язвенной форме гингивита на десне могут образовываться пузырьки и язвочки [3] .

Патогенез гингивита
Развитие гингивита начинается с формирования бляшек из зубного налёта. Они образуются после отсутствия полноценной гигиены ротовой полости в течение 1-2 дней. Наиболее частые места образования бляшек — межзубные промежутки и пришеечная зона.

Из слюны и выделяемой десной жидкости формируется плёнка — пелликула. В норме она выполняет защитную функцию, но на начальных стадиях гингивита способствует адгезии (прилипанию) бактерий, которые присутствуют в ротовой полости даже у здорового человека. Обычно это аэробные кокки и палочки.
Микроорганизмы активно размножаются, в глубине их колонии образуется анаэробная (бескислородная) среда. Это создает оптимальные условия для размножения агрессивной грамотрицательной микрофлоры. Эти бактерии продуцируют токсины, которые способны проникать в ткани и разрушать слизистую оболочку, что приводит к эрозивным изменениям эпителия.
Организм пытается противостоять повреждающему действию и в ответ запускает воспалительную реакцию с целью уничтожения патогенных факторов . В некоторых случаях иммунитет самостоятельно справляется с микрофлорой, но чаще воспаление прогрессирует или приобретает хронический характер.
Разрушающее действие микроорганизмов и воспалительный процесс ведут к ухудшению микроциркуляции в десне, снижению активности антиоксидантных защитных механизмов. Это приводит к агрессивному воздействию на эпителий факторов системы комплемента (защитных белков, циркулирующих в крови), что вызывает прогрессирующее разрушение слизистой. У пациентов с дефектами иммунитета, гормональными нарушениями, болезнями крови, травматическим повреждением дёсен и истончённой слизистой мягкие ткани более уязвимы, процесс их деструкции идёт более активно.
Если патологический процесс активно развивается, в мягких тканях возрастает количество клеток иммунной системы (лимфоцитов и макрофагов). Они разрушают клетки и фибриллярные структуры цитоплазмы ( жесткие, параллельно расположенные волокна, которые определяют форму клетки) . Это приводит к расширению пространства между десной и зубом, истончению эпителиального слоя.
Воспаление может полностью пройти с наступлением выздоровления, либо перейти в хроническую форму. Во втором случае процессы регенерации нарушаются, эпителий замещается грануляционной тканью (соединительной тканью, которая образуется при заживлении тканевых дефектов), которая может сильно разрастаться, прикрывая коронку зуба [4] .
Классификация и стадии развития гингивита
Согласно Международной классификации болезней 10 пересмотра (МКБ-10), выделяют острое и хроническое течение гингивита:
- При остром течении пациент ощущает болезненность и дискомфорт, часто бывают кровотечения, мягкие ткани гиперемированы.
- Хроническое воспаление иногда вызывает дискомфорт, пациента беспокоит неприятный запах изо рта, край десны часто утолщён в виде валика. Хроническую форму гингивита делят на такие виды:
- хронический без дополнительных уточнений;
- десквамативный (с появлением пузырьков на дёснах);
- гиперпластический (проявляется разрастанием десны);
- простой маргинальный (поражающий край десны);
- язвенный [5] .
По распространённости воспалительного процесса гингивит может быть локальным либо генерализованным (распространённым). В последнем случае часто выявляются общие симптомы в виде повышения температуры и слабости.
По тяжести течения:
- Лёгкие поражения слизистой — поражаются только межзубные сосочки.
- Поражения средней тяжести — в воспалительный процесс вовлекается свободный край десны.
- Тяжёлые поражения слизистой — воспаляются мягкие ткани, прикреплённые к зубу.
По морфологическим признакам:
- Катаральный гингивит. Х арактерно выделение большого количества экссудата, выраженное покраснение слизистой, отёчность, болезненность, локальное повышение температуры.
- Гипертрофический гингивит. Сосочки между зубами увеличиваются, со временем они могут полностью закрывать коронки зубов. Десна приобретает синюшный оттенок, кровоточит во время еды, чистки зубов или при стоматологическом осмотре, формируются глубокие десневые карманы.
- Язвенный гингивит. Слизистая приобретает серый оттенок, видны очаги деструкции [6] .
На ранней стадии заболевания отмечается покраснение, припухлость, кровоточивость дёсен. Если вовремя обратиться к стоматологу, можно быстро снять воспаление и полностью восстановить мягкие ткани. Если не лечить заболевание, развиваются деструктивные процессы в десне, дефекты замещаются грануляционной тканью. Если воспаление будет прогрессировать и дальше, процесс может перейти на ткани пародонта, что может привести к утрате зубов.
Осложнения гингивита
Гингивит — это не такое безобидное заболевание, как кажется некоторым пациентам. Многие полагают, что воспаление пройдёт само, не оставив следа. Это возможно только при небольшом очаге поражения и хорошем иммунитете. Следует помнить, что воспалённая десна — это источник инфекции, которая может распространяться в ротовой полости и вызывать серьёзные последствия. Именно поэтому при первых симптомах нужно обращаться за медицинской помощью. Самые распространённые осложнения гингивита:
- язвенно-некротические изменения слизистой; (воспаление пародонта); (воспаление соединительной связки, фиксирующей зуб в кости челюсти) ;
- распространение инфекции за пределы ротовой полости.
При гингивите на слизистую полости рта действуют иммунные силы организма (лимфоциты и макрофаги) и токсины, которые выделяют бактерии. Если воспалительный процесс вовремя не купировать, эпителий начнёт разрушаться. На начальных стадиях этот процесс обратим, но при длительном течении заболевания десна гипертрофируется за счёт грануляционной ткани. В этом случае терапевтическое лечение может быть неэффективным.
Микрофлора, которая поразила десну, может распространяться на ткани пародонта. Это приводит к шаткости зубов, а со временем — к их утрате. Таким образом, вследствие заболеваний дёсен можно потерять совершенно здоровые зубы.

Бактерии, размножающиеся между десной и зубом, могут вызывать пришеечный кариес. Кроме того, это постоянный источник неприятного запаха изо рта, от которого не избавит даже чистка зубов и использование растворов для полоскания и освежения дыхания.
В тяжёлых случаях воспалительный процесс переходит на костную ткань челюсти. Это очень опасное осложнение, которое сложно поддаётся лечению и может привести к необратимым изменениям лицевого скелета, утрате нескольких или всех зубов. Возможно развитие остеомиелита челюсти, когда разрушается костная ткань и образуются свищи — ходы, через которые гной из области корня зуба выходит в ротовую полость. Заболевание существенно ухудшает состояние пациента, приводит к общей интоксикации: слабости, снижению работоспособности, повышению температуры тела, боли в мышцах и суставах.
Инфекция по кровеносному руслу может распространяться далеко за пределы ротовой полости. В этом случае возможно развитие воспалительных заболеваний ЛОР-органов: ангины Винсента, парафарингеального абсцесса. Воспаляться могут не только соседние органы. С током крови инфекция может попасть в любой орган. Если гингивит вызван стрептококком, у пациента может развиться миокардит (воспаление сердечной мышцы) или пиелонефрит ( воспаление ткани почек) [7] .
Диагностика гингивита
Диагностика начинается с того, что врач слушает жалобы пациента и собирает анамнез. Обычно клиническая картина довольно типична. Необходимо выяснить, как давно появились первые симптомы, проводилось ли какое-либо лечение. При сборе анамнеза нужно обратить внимание на наличие хронических заболеваний, гормональных нарушений, оценить состояние иммунитета. Эти факторы важны при выборе тактики лечения.
При осмотре стоматолог без труда выявит изменённый участок десны. Задача доктора — определить тяжесть поражения, оценить распространённость процесса, выявить, задействованы ли в воспалении ткани пародонта и периодонта. Также нужно выяснить причину гингивита и устранить её. Если десна постоянно повреждается острым краем коронки, то снятие воспаления — это временная мера. Без устранения повреждающего фактора болезнь будет рецидивировать.
Если есть подозрение на распространение процесса за пределы десны, необходимы дополнительные обследования, позволяющие оценить состояние корня зуба, костной ткани челюсти, пародонта. С этой целью широко используют рентгенографию [8] .
Если процесс генерализован (распространён по организму), пациенту необходимо сдать общий анализ крови. Он позволяет оценить ответ организма на воспаление и определить степень тяжести состояния.
Для диагностики используют и дополнительные методы:
- проба Шиллера — Писарева — определение гликогена, содержание которого резко возрастает при воспалении;
- определение индекса кровоточивости;
- проба Кулаженко — определение стойкости и проницаемости микроциркуляторного русла;
- полярография — определение уровня кислорода в тканях пародонта;
- реопародонтография — исследование функционального состояния сосудов тканей пародонта путём регистрации пульсирующего в них потока крови .
Часто гингивит выявляется во время профилактического осмотра. При этом пациенты не предъявляют жалоб, так как на ранних стадиях процесс может протекать бессимптомно. Именно поэтому важно каждые 6 месяцев посещать стоматолога.
Лечение гингивита
Для успешного лечения нужно в первую очередь устранить причину воспаления. С этой целью обязательно проводится удаление налёта и зубного камня.

При начальных стадиях заболевания этой процедуры и использования местных антисептиков достаточно. Для снятия воспаления используется метронидазол, хлоргексидин, настои шалфея и ромашки. Для улучшения регенерации показано местное применение "Солкосерила", облепихового масла.
Если коронка, пломба или скол зуба приводят к постоянному повреждению десны, необходимо провести лечение зуба и устранить повреждающий фактор. К десне должна прилегать гладкая поверхность без шероховатостей и острых краёв.
Если воспаление имеет распространённый характер, нарушено общее самочувствие пациента, а в анализе крови есть признаки воспаления, назначают курс антибиотиков, активных в отношении грамотрицательной флоры. Также используют иммуностимуляторы и витамины [2] .
Если у пациента выражен болевой синдром, к терапии добавляют обезболивающие препараты. С этой целью используют препараты из группы НПВС (нестероидных противовоспалительных средств).
В комплексной терапии гингивита в качестве дополнительного лечения иногда используются физиотерапевтические методы лечения:
- электрофорез с алоэ, аскорбиновой кислотой;
- фонофорез с гепариновой мазью;
- облучение кварцевой лампой;
- лазеротерапия [12] ;
- дарсонвализация;
- вакуумный массаж десен [9] .
При гипертрофической форме гингивита перечисленные лечебные мероприятия могут не дать положительного результата. В таком случае для уплотнения разросшихся мягких тканей в межзубные сосочки делают инъекции склерозирующих средств. Если таким способом устранить разросшуюся грануляционную ткань не удалось, используют криодеструкцию (заморозку и удаление тканей с помощью жидкого азота), диатермокоагуляцию (иссечение слизистых тканей при помощи горячего инструмента) или удаление с помощью скальпеля — гингивэктомию [10] .

Прогноз. Профилактика
При своевременном начале лечения заболевания, особенно при катаральной форме (характеризуется покраснением и отёчностью дёсен), прогноз всегда благоприятный. Мягкие ткани полностью восстанавливаются, а при устранении причины воспаления оно не развивается снова.
При обширном поражении и разрастании десны приходится частично удалять десневые сосочки, это может привести к обнажению шеек зубов. Если таким пациентам регулярно не проводить профилактические мероприятия, быстро развивается пародонтит.
Если не пройти курс лечения, воспаление дёсен, как правило, заканчивается утратой зубов. Микрофлора поражает ткани пародонта, фиксирующие зуб, он начинает шататься и со временем выпадает.
Часто неблагоприятный прогноз при гингивите бывает у больных сахарным диабетом. Нарушение микроциркуляции, обусловленное основным заболеванием, приводит к нарушению трофики тканей, замедляет процессы регенерации. Таким пациентам необходима постоянная поддерживающая терапия, которая замедляет наступление необратимых изменений, а также контроль уровня глюкозы в крови.
Для профилактики гингивита нужно соблюдать следующие рекомендации:
- регулярно чистить зубы (2 раза в день);
- использовать щётку с мягкой щетиной;
- после еды пользоваться зубной нитью и ополаскивателем;
- каждые шесть месяцев проводить профессиональную чистку зубов у стоматолога;
- не пропускать плановые визиты к доктору;
- своевременно лечить кариес;
- если пломба или коронка травмирует десну, срочно обращаться к стоматологу;
- избегать употребления твёрдой пищи, травмирующей дёсны.
Если кровоточивость дёсен отмечается более трёх суток, не нужно заниматься самолечением, необходимо обратиться за медицинской помощью. Начальные стадии гингивита можно быстро вылечить с помощью местной терапии. Запущенное заболевание плохо поддаётся лечению и может закончиться необратимыми последствиями [11] .
Заболевания пародонта
Заболевания пародонта - группа болезней, сопровождающихся поражением твердых и мягких тканей, окружающих зубы. При остром пародонтите пациенты жалуются на кровоточивость, отечность, болезненность десен, наличие гнойного отделяемого из пародонтальных карманов. При пародонтозе происходит равномерная резорбция кости, признаки воспаления отсутствуют. Идиопатические заболевания пародонта сопровождаются лизисом костной ткани. Диагностика заболеваний пародонта включает сбор жалоб, клинический осмотр, рентгенографию. Лечение предполагает ряд терапевтических, хирургических и ортопедических мероприятий.
Заболевания пародонта - нарушение целостности тканей пародонта воспалительного, дистрофического, идиопатического или неопластического характера. По данным статистики, заболевания пародонта встречаются у 12-20% детей в возрасте 5-12 лет. Хронический пародонтит выявляют у 20-40% людей до 35 лет и у 80-90% населения в возрасте после 40 лет. Пародонтоз встречается в 4-10% случаев. Наиболее высокий показатель распространенности заболеваний пародонта наблюдается среди пациентов старших возрастных групп. При инсулинозависимом сахарном диабете поражение пародонта определяется у 50% больных. Также выявлена корреляционная связь между выраженностью пародонтита и длительностью течения сахарного диабета 1 типа. Исследования, проведенные в разные годы, показывают рост заболеваемости с прогрессом цивилизации. Идиопатические заболевания пародонта чаще диагностируют у мальчиков до 10 лет. Прогноз при заболеваниях пародонта зависит от причин развития, наличия сопутствующей патологии, уровня гигиены, своевременности обращения пациентов в медицинское учреждение.
Причины и классификация
Основная причина заболеваний пародонта воспалительного характера - пародонтопатогены: Porphyromonas gingivalis, Actinomycetes comitans, Prevotella intermedia. Под влиянием их токсинов происходит альтерация зубоэпителиального соединения, которое служит барьером, препятствующим проникновению инфекционных агентов в направлении корня зуба. Причины идиопатических заболеваний пародонта до конца не выяснены. Ученые считают, что в основе Х-гистиоцитозов лежит иммунопатологический процесс. Весомая роль отводится генетической предрасположенности. Пародонтоз, как правило, является одним из симптомов гипертонии, нейрогенных или эндокринных нарушений.
Опухолевидные заболевания пародонта развиваются в результате хронического раздражения мягких тканей разрушенными стенками зубов, острыми краями глубоко посаженных коронок, неправильно смоделированными кламмерами съемного протеза. Провоцирующими факторами служат гормональные сдвиги, возникающие вследствие нарушения секреции гормонов надпочечниками, щитовидной и поджелудочной железами, дефицит микроэлементов и витаминов, стрессовые ситуации. Неблагоприятными местными условиями, способствующими возникновению заболеваний пародонта, являются патологии прикуса, скученность зубных рядов, аномалии положения отдельно стоящих зубов. Локализированный пародонтит развивается в результате артикуляционной перегрузки зубов, что нередко наблюдается у пациентов с вторичной адентией.
5 основных категорий
- Гингивит. Воспаление тканей десны.
- Пародонтит. Воспалительное заболевание пародонта, при котором наблюдается прогрессирующая деструкция мягких тканей и кости.
- Пародонтоз. Дистрофическое поражение пародонта. Протекает с равномерной резорбцией кости. Признаки воспаления отсутствуют.
- Идиопатические заболевания пародонта. Сопровождаются прогрессирующим лизисом тканей.
- Пародонтомы. К этой группе относят опухоли и опухолевидные процессы.
Симптомы заболеваний пародонта
При пародонтите легкой степени тяжести симптомы заболевания пародонта слабо выражены. Периодическая кровоточивость возникает во время чистки зубов, при употреблении жесткой пищи. В ходе осмотра выявляют нарушение целостности зубоэпителиального соединения, присутствуют пародонтальные карманы. Зубы неподвижны. Вследствие оголения корня зуба возникает гиперестезия. При пародонтите средней степени тяжести наблюдается выраженная кровоточивость, глубина пародонтальных карманов - до 5 мм. Зубы подвижны, реагируют на температурные раздражители. Зубные перегородки разрушаются до 1/2 высоты корня. При воспалительном поражении пародонта 3 степени пациенты указывают на гиперемию, отечность десен. Пародонтальные карманы достигают более 6 мм. Определяют подвижность зубов 3 степени. Резорбция кости в участке поражения превышает 2/3 высоты корня.
При обострении заболеваний пародонта воспалительного характера возможно ухудшение общего состояния, слабость, повышение температуры. При пародонтозе (дистрофическом заболевании пародонта) возникает убыль кости. Признаков воспаления нет, слизистая плотная, розовая. При осмотре обнаруживают множественные клиновидные дефекты. Зубные ячейки атрофируются постепенно. На начальном этапе заболевания пародонта дистрофического характера неприятных ощущений не возникает. У пациентов со средней степенью тяжести пародонтоза появляются жжение, зуд, гиперестезия. При тяжелой степени заболевания пародонта из-за потери костной ткани между зубами образуются промежутки - тремы. Наблюдается веерообразное расхождение коронок.
Пародонтомы - доброкачественные опухолевидные и опухолевые заболевания пародонта. При фиброматозе появляются плотные безболезненные разрастания без изменения цвета десны. Ангиоматозный эпулис представляет собой грибовидное выпячивание мягкоэластической консистенции красного цвета. В отдельную группу выделяют идиопатические заболевания пародонта, сопровождающиеся прогрессирующим лизисом тканей. У пациентов возникают глубокие пародонтальные карманы с гнойным отделяемым. Зубы становятся подвижными, смещаются.
На начальной стадии болезни Хенда-Шюллера-Крисчена развивается гиперплазия десневого края. В дальнейшем образуются язвенные поверхности. Зубы приобретают патологическую подвижность. Из пародонтальных карманов выделяется гнойный экссудат. Синдром Папийона-Лефевра - дискератоз подошв и ладоней. После прорезывания временных зубов у пациентов с этим синдромом возникают признаки гингивита. Вследствие прогрессирующего пародонтолизиса зубы становятся подвижными, появляются патологические карманы. После выпадения постоянных зубов разрушение костной ткани прекращается. При болезни Таратынова происходит постепенное замещение костной ткани разросшимися клетками ретикулоэндотелиальной системы с повышенным количеством эозинофильных лейкоцитов. Начинается все с гингивита, но вскоре образуются патологические карманы, заполненные грануляциями. Наблюдается патологическая подвижность зубов.
Диагностика заболеваний пародонта
Диагностика заболеваний пародонта сводится к сбору жалоб, составлению анамнеза, проведению физикального обследования, рентгенографии. При осмотре пациентов с заболеваниями пародонта врач-стоматолог оценивает состояние мягких тканей, определяет целостность зубоэпителиального прикрепления, наличие и глубину пародонтальных карманов, степень подвижности зубов. Для выбора этиотропной терапии воспалительных заболеваний пародонта проводят бактериологическое исследование содержимого десневых карманов.
При пародонтозе с помощью реопародонтографии определяют сниженное количество капилляров, низкий уровень парциального давления кислорода, что свидетельствует об ухудшении трофики пародонта. Решающее значение при постановке диагноза «заболевания пародонта» имеют результаты рентгенографии. При патологии пародонта воспалительного характера на рентгенограмме обнаруживают участки остеопороза, деструкции костной ткани. При хроническом течении заболеваний пародонта наблюдается горизонтальная резорбция кости. Об абсцедировании свидетельствуют участки вертикальной деструкции.
Идиопатические заболевания пародонта протекают с лизисом и образованием в костной ткани полостей овальной формы. При пародонтозе наряду с разрежением кости развиваются склеротические изменения. Для дифдиагностики заболеваний пародонта, сопровождающихся прогрессирующим пародонтолизисом, назначают биопсию. При эпулисе на рентгенограмме обнаруживают очаги остеопороза, деструкцию кости с нечеткими контурами. Признаки периостальной реакции отсутствуют. Дифференцируют разные формы заболеваний пародонта между собой. Пациента обследует стоматолог-терапевт. При опухолевых процессах показана консультация хирурга-стоматолога. В случае выявления идиопатических заболеваний пародонта осмотр проводят педиатр, гематолог, эндокринолог, стоматолог.
Лечение заболеваний пародонта
Выбор индивидуальной схемы лечения заболеваний пародонта зависит от этиологии и степени тяжести поражения. При пародонтите назначают профессиональную чистку, ревизию пародонтальных карманов, противовоспалительную и антибиотикотерапию. Из хирургических вмешательств в стоматологии проводят кюретаж, гингивотомию. Зубы 3-4 степени подвижности подлежат удалению. Действенными ортопедическими мероприятиями при заболеваниях пародонта являются шинирование и избирательное пришлифовывание.
С помощью временных шин удается зафиксировать подвижные зубы, что способствует более равномерному распределению жевательной нагрузки. Для улучшения кровоснабжения при пародонтозе используют физиотерапию - вакуум- и гидротерапию, электрофорез. При гигантоклеточном эпулисе новообразование удаляют в пределах здоровых тканей вместе с надкостницей. В отношении фиброматозного и ангиоматозного эпулиса придерживаются выжидательной тактики, так как после устранения местных раздражающих факторов может наблюдаться регресс новообразования.
При идиопатических заболеваниях пародонта назначают симптоматическое лечение - кюретаж пародонтальных карманов, гингивотомию, выскабливание патологического очага с введением остеоиндуктивных препаратов. При подвижности 3-4 степени зубы подлежат удалению с последующим протезированием. При болезни Папийона-Лефевра лечение симптоматическое - прием ретиноидов, смягчающих кератодермию и замедляющих лизис костной ткани. Для предотвращения инфицирования участка поражения назначают антисептики в виде ротовых ванночек, антибиотики. Прогноз при заболеваниях пародонта зависит не только от характера патологии, уровня гигиены, наличия вредных привычек и генетической предрасположенности, но и от своевременности обращения пациентов в медицинское учреждение, адекватности проводимого лечения.
Пародонтоз - симптомы и лечение
Что такое пародонтоз? Причины возникновения, диагностику и методы лечения разберем в статье доктора Длугоборской Юлии Викторовны, стоматолога со стажем в 11 лет.
Над статьей доктора Длугоборской Юлии Викторовны работали литературный редактор Елена Бережная , научный редактор Сергей Федосов
Пародонтоз — это заболевание тканей пародонта дистрофического характера.
К тканям пародонта относятся ткани, главной задачей которых является удержание зуба в кости челюсти. К ним относится: десна; связочный аппарат, удерживающий зуб — периодонт; цемент зуба — внешняя поверхность зуба, покрывающая его корень; и альвеолярная часть кости челюсти.
Согласно мировой статистике, пародонтозом страдают около 60% населения.
Риск возникновения заболевания увеличивается с возрастом и связан с нарушением обмена веществ в организме, снижением прочности костей всего организма и челюстей в том числе (остеопороз). Главной причиной пародонтоза является недостаточное кровоснабжение десен (нарушение трофики тканей, недостаточное количество кислорода и других веществ).

Факторы развития
Данное заболевание часто характерно для людей, страдающих:
- сахарным диабетом;
- злокачественными образованиями; [1]
- патологиями печени;
- атеросклерозом;
- повышенной кислотностью желудка;
- эндокринными заболеваниями;
- хроническими заболеваниями почек;
- нехваткой витаминов и микроэлементов в организме;
- нервно-психическими заболевания (уменьшается количество слюны и образуется больше налета, а также выделяется гормон кортизол, замедляющий процесс заживления тканей). [2]
На течение пародонтоза значительно влияет такая пагубная привычка, как курение: помимо снижения иммунных сил организма в целом, страдают десны вследствие нарушения поступления кислорода в ткани, а также их раздражения. Поэтому замечено, что у курильщиков течение заболеваний пародонта хуже втрое по сравнению с некурящими. [1] Последние годы ученые выявили также важную роль наследственного фактора в возникновении пародонтоза. [3]
Среди причин возникновения пародонтоза зубов следует выделить:
- Наличие зубных отложений (зубных камней, налета) на зубах (данный фактор создает скопление бактерий на зубах, которые в процессе своей жизнедеятельности вызывают воспаление десен и поддерживают его.
- Неправильное смыкание и положение зубов в зубном ряду (нарушение прикуса).
- Повышенное жевательное давление.
Отличие пародонтоза от пародонтита
При пародонтите повышается подвижность зубов, воспаляется слизистая оболочка и костная ткань, окружающая зуб. При пародонтозе этих признаков нет.
Симптомы пародонтоза
Первые признаки пародонтоза
Подвижность зубов на ранних стадиях не наблюдается. В начале болезни пациенты могут отмечать дискомфорт, зуд в области десен, кроме того, для пародонтоза характерна повышенная чувствительность зубов. Количество зубных отложений, как правило, незначительное.
Основные симптомы пародонтоза
Клиническая картина пародонтоза: оголение шеек зубов (часть зуба около десны) и корней, рецессия (опущение) десен, [4] зуб становится «вытянутым», при этом воспаление, отечность и кровоточивость отсутствует, цвет десны бледно-розовый (может быть бледнее цвета здоровой десны), десна плотно охватывает зуб (в отличие от воспалительного заболевания тканей пародонта - гингивита и пародонтита).
Пародонтоз часто сопровождается появлением клиновидных дефектов (в околодесневой области). Клиновидный дефект — это поражение зубов некариозного характера, в виде «ступени» возле десны, со стороны щек и губ. Чаще всего страдают передние зубы и клыки, реже — зубы в боковых отделах. Если к процессу присоединяется воспаление в десневой ткани, то пациент замечает кровоточивость десен при чистке зубов, приеме жесткой пищи, может появиться неприятный запах изо рта.
Пациенты с пародонтозом редко обращаются к стоматологу на ранних стадиях, ведь выраженных болевых ощущений нет. Течение заболевания хроническое, вялое и продолжительное. Скорость прогрессирования пародонтоза напрямую связана с возрастом пациента, его общим состоянием здоровья, уходом за зубами, образом жизни и лечением либо игнорированием лечения патологии.
Патогенез пародонтоза
При пародонтозе изменения затрагивают невидимую для глаз человека часть — костную ткань челюсти. Изменения, которые происходят в ней, приводят к подвижности зубов и как результат — их удалению. На уровне кости изменения затрагивают процесс образования костной ткани: новая ткань на фоне разрушения не успевает восстановиться с помощью специальных клеток, строящих ее. Ткань кости челюсти постепенно убывает. Этот процесс виден только на рентгенограмме челюстей. [5]

При пародонтозе появляются нарушения в кровеносных сосудах, питающих кость: сужается их просвет за счет утолщения и изменения стенок сосудов. На поверхности десны нарушается обмен белка на клеточном уровне, в более глубоких слоях слизистой оболочки десен происходит разрушение волокон соединительной ткани, которые создают поддержку зубов в челюсти.
На фоне этих нарушений страдает обмен питательных веществ в деснах и возникает их недостаток — дистрофия.

На данный момент существует также мнение о разрушении тканей кости клетками собственного организма при пародонтозе. [6] Согласно этой теории, в организме при определенных обстоятельствах начинается иммунная перестройка: клетки, которые обычно отвечают за борьбу с бактериями, вирусами и другими чужеродными клетками, начинают принимать за таковые собственные клетки. Запускается иммунный ответ, который направляет свои силы на ткани пародонта (на костную ткань, сосуды и нервы пародонта). Таким образом, данный процесс можно сравнить с отторжением органов донора при пересадке в другой организм. [7]
Классификация и стадии развития пародонтоза
В классификации болезней пародонта пародонтоз занимает отдельное место. По отечественной классификации, принятой еще в конце ХХ века, его относят к дистрофическим заболеваниям.
По своей распространенности на ткани пародонтоз может быть только одного вида: генерализованный (т. е. распространяется на верхнюю и нижнюю челюсть и все зубы).
По характеру течения пародонтоза выделяют:
- Хроническое течение.
- Стадию ремиссии.
Острое течение не характерно для данной патологии.
Следует отметить, что классификация ВОЗ на территории некоторых стран Европы и Америки включает 2 формы пародонтоза: воспалительно-дистрофическую и дистрофическую.
Стадии пародонтоза
Различают легкую, среднюю и тяжелую степень пародонтоза.
Для легкой степени тяжести характерно отсутствие жалоб, изменения в костной ткани видны только на рентгеновском снимке.
Средняя степень пародонтоза характеризуется оголением шеек зубов и корней (до 3мм), на рентгеновском снимке можно заметить снижение высоты костных перегородок между зубами, достигающее половины высоты корней зубов. Пациенты могут жаловаться на появление неприятных ощущений в деснах, зуда, на изменение положения зубов (наклон, смещение в виде веера).
При тяжелой степени пародонтоза оголение шеек зубов и корней доходит до 5 мм, костные перегородки разрушены уже на 2/3 длины корней зубов, что приводит к появлению подвижности зубов и изменению их положения в челюсти и смыкания между собой.
Осложнения пародонтоза
По мере возникновения и развития пародонтоза прогрессирует и подвижность зубов, что приводит к их потере. В результате этого жевательное давление распределяется на оставшиеся зубы неравномерно, и это еще больше усугубляет течение заболевания. После потери зубов без надлежащего лечения процесс атрофии костной ткани не заканчивается, а продолжает разрушать челюсть. [9] Потеря полноценной функции жевания приводит к затрудненному пережевыванию пищи, а это в свою очередь нарушает функцию пищеварения, таким образом возникают заболевания желудка и кишечника, организм не в полной мере получает питательные вещества и витамины. Кроме того, страдает внешний вид и произношение звуков, если зубы утрачиваются в зоне улыбки.
Не стоит забывать, что к пародонтозу может присоединиться воспалительный процесс, а из тканей десны инфекция по кровеносным и лимфатическим сосудам попадает во внутренние органы, вызывая сердечно-сосудистые заболевания, нарушая работу почек, может провоцировать ревматизм в суставах. Могут возникать абсцессы (гнойники) в области десен за счет проникновения гноя через карман между зубом и десной.
В полости рта инфекция может вызвать воспаление в надкостнице (периостит), которое далее прогрессирует в абсцесс (ограниченное воспаление) и флегмону (неограниченное воспаление), лимфаденит челюстно-лицевой области (воспаление в лимфатических узлах), остеомиелит. Такие тяжелые состояния уже угрожают жизни, и лечение проводится в стационаре.
Диагностика пародонтоза
Диагностирует пародонтоз, как правило, врач стоматолог-терапевт либо пародонтолог. Заподозрить начало заболевания доктору помогает клинический опыт, так как жалоб и видимых изменений в полости рта может и не быть.
Выяснение подробностей относительно состояния здоровья, наличия хронических заболеваний и вредных привычек, рода профессиональной деятельности — неотъемлемая часть сбора информации о пациенте. Ведь причина возникновения пародонтоза часто зависит именно от этих факторов.
При осмотре и обследовании специалист определяет уровень гигиены полости рта пациента, наличие и характер зубных отложений, изменения цвета, плотности десны, наличие рецессии десны, клиновидных дефектов, проверяет целостность зубного ряда и наличие жевательной перегрузки на зубы, наличие неправильного смыкания зуба, проблем с прикусом.
Воспаление в десне определяется с помощью пробы Шиллера-Писарева и оценивается по балльной шкале до и в процессе лечения. Состояние сосудов тканей пародонта можно оценить с помощью определения стойкости мелких кровеносных сосудов (автор — Кулаженко, ведется учет времени образования гематом в области десны при воздействии вакуума). Для этих целей также используется метод реопародонтографии, фотоплетизмографии, биомикроскопии. Для определения насыщенности тканей пародонта кислородом в последние годы применяется метод полярографии.
Степень разрушения кости челюстей исследуют с помощью рентгенологического исследования (панорамная рентгенография, компьютерная томография), по которой можно различить стадии пародонтоза. Плотность костной ткани изучают с помощью эхоостеометрии. Изучение состава слюны и микрофлоры полости рта дает большие возможности в терапии пародонтоза. [8]
Дифференциальная диагностика пародонтоза проводится с пародонтитом.
Лечение пародонтоза
Лечение пародонтоза подбирается индивидуально, в зависимости от клинической ситуации и общего состояния организма. Оно должно быть направлено не только на коррекцию патологии в полости рта, но и на устранение причин, повлекших за собой возникновение пародонтоза. [10]
Зачастую, благодаря современному оборудованию и анестезии, лечение проходит безболезненно.
- Медикаментозная терапия при пародонтозе: Трентал (улучшает микроциркуляцию крови, разжижает кровь, показан при атеросклерозе), Инсадол (также улучшает микроциркуляцию, ускоряет образование новой костной ткани, повышает иммунитет), Тыквеол (борется с атеросклерозом, снимает воспаление, способствует регенерации тканей).
- Препараты для нормализации обмена веществ: витамины С, А, Е, РР, группы В.
- Физиотерапия при пародонтозе: водная терапия (гидротерапия как на весь организм, так и местно, в полости рта) для повышения микроциркуляции; электрофорез лекарственных средств, применение аппарата Д‘Арсонваля, оксигенотерапия, магнитолазерная терапия, [12] фототерапия. [11]
- Народные средства для лечения пародонтоза: отвары женьшеня, элеутерококка, аралии маньчжурской, моралиевого корня, розеолы розовой (не показана при гипертонии). Они не излечат от пародонтоза, но помогут уменьшить воспаление полости рта.
- Зубные пасты и гели. Пародонтоз — это невоспалительное заболевание, поэтому паста, гель или ополаскиватель напрямую не помогут. Но такая терапия не помешает: тщательная гигиена полости рта препятствует образованию зубного налёта и камня.
При лечении пародонтоза в домашних условиях можно применять массаж дёсен.
Непосредственно в полости рта стоматологом должны быть произведены такие манипуляции:
- профессиональная гигиена полости рта — снятие твердых и мягких зубных отложений; [13]
- лечение кариеса и его осложнений, устранение всех очагов инфекции;
- коррекция преждевременных контактов зубов; [14]
- исправление неправильного положения зубов и прикуса (ортодонтическое лечение);
- замещение дефектов зубов и отсутствующих зубов коронками, протезами и другими конструкциями для полноценного жевания и правильного распределения нагрузки; [15]
- хирургическое лечение (лоскутные операции на тканях десны).
К дополнительным методам лечения относятся:
- Избирательное пришлифовывание зубов. При пародонтозе зубы со временем сдвигаются и перестают нормально смыкаться. При проведении процедуры выявляют участки зубов, к оторые соприкасаются друг с другом и не позволяют нормально сомкнуть челюсти . Их стачивают стоматологическими борами, после чего челюсти начинают смыкаться со множественными контактами зубов.
- Шинирование подвижных зубов. Проводится только при очень тяжёлых формах, когда из-за выраженного оголения корней зубы становятся подвижными. Несколько зубов скрепляют друг с другом пломбировочным материалом и специальной проволокой, например стекловолоконной. Процедура позволяет устранить подвижность зубов.
Диета при пародонтозе
В рационе должно быть достаточно овощей, фруктов, рыбы, молочных продуктов и меньше сладостей. Правильное питание обеспечит организм витаминами и минералами, которые важны для иммунитета, здоровья дёсен и зубов. Диета с ограничением сахара предотвратит интенсивное размножение бактерий в полости рта.
Прогноз заболевания зависит от стадии, на которой пациент обращается за помощью. Чем более ранняя стадия пародонтоза, тем выше вероятность успешного лечения. Стоит обратить внимание, что течение пародонтоза хроническое и длительное, развитие заболевания и уже наступившие изменения можно остановить, подобрав комплексное лечение. [16]
К сожалению, запущенные стадии пародонтоза приводят к расшатыванию зубов, их выпадению и разрушению костной ткани. [17] Образовавшийся дефект в челюсти восполнить достаточно сложно, так, например, успех имплантации и дальнейшего протезирования у больных пародонтозом значительно ниже, чем у людей со здоровым пародонтом.
Гигиена полости рта при пародонтозе
Предотвратить пародонтоз поможет тщательная и регулярная гигиена полости рта. Следует пользоваться зубной щеткой, пастой, зубной нитью и разнообразными ершиками для чистки зубов в труднодоступных местах.
К другим мерам профилактики пародонтоза, как, впрочем, и других заболеваний десен, относятся:
- пальцевой массаж дёсен (с помощью ирригатора либо самомассаж);
- профессиональной гигиене полости рта у стоматолога раз в полгода, лечение всех очагов инфекции в полости рта;
- устранении дефектов зубного ряда (отсутствующих зубов) своевременно (для предотвращения изменений в костной ткани челюстей);
- исключении профвредностей;
- нормализации распорядка дня;
- профилактике нарушения общего состояния организма;
- рациональном питании (жесткая пища, наличие в рационе овощей, фруктов, рыбы, молочных продуктов, ограничение потребления сахара и сладостей); [18]
- отказе от вредных привычек (курение, алкоголизм, наркотическая зависимость);
- избегании стрессовых ситуаций. [19][20]
За дополнение статьи благодарим Петра Козлова — стоматолога, научного редактора портала "ПроБолезни".
Читайте также:
- Высвобождение энергии из продуктов. Физиология аденозинтрифосфата (АТФ)
- Ишемия нижних конечностей: причины, симптомы и лечение
- Выбор метода анестезии. Согласие пациента на анестезию
- Бета-адреноблокаторы в анестезиологии. Показания и механизмы действия
- Аспергиллома и туберкулома легкого. Признаки аспергилломы легкого.
