Диагностика синдрома базальноклеточного невуса на МРТ, КТ головного мозга
Добавил пользователь Владимир З. Обновлено: 21.11.2025
Медицинская визуализация позволяет выяснить внутреннее строение и функции человеческого тела без хирургического вмешательства.
К таким методам относятся:
- рентгенологические методы: флюорография, классическая рентгенография (рентген), компьютерная томография (КТ), ангиография.
- ультразвуковое исследование (УЗИ)
- Магнитно-резонансная томография (МРТ)
- радиоизотопные исследования: сцинтиграфия, позитронно-эмиссионная томография (ПЭТ)
- комбинированные методики: однофотонная эмиссионная компьютерная томография (ОФЭКТ), ПЭТ/КТ, ПЭТ/МРТ.
Кому показана КТ?
Это послойное исследование тела рентгеновским пучком с компьютерным анализом плотности тканей в области исследования и построением модели тела человека. При меланоме КТ может назначаться в следующих случаях:
- при диагностированной меланоме для обнаружения отдаленных метастазов;
- при лекарственном лечении меланомы для контроля эффективности лечения;
- при наблюдении за пациентом после радикального лечения.
Какие виды КТ бывают?
Компьютерные томографы делятся на виды по их техническим характеристикам. Выделяют односрезовые и многосрезовые, последовательные, спиральные и мультиспиральные томографы. Они отличаются качеством и скоростью получения изображений. На данный момент большинство работающих томографов являются многосрезовыми и мультиспиральными. При их применении выше качество получаемого изображения, однако может быть выше и цена исследования.
КТ можно разделить по:
- типу исследуемых зон: КТ органов грудной клетки, брюшной полости или забрюшинного пространства;
- по использованию контрастирующих препаратов: КТ с контрастом и без него.
В чем разница в КТ с контрастом и без?
Контрастирование при КТ — это введение в организм человека веществ, которые поглощают рентгеновское излучение сильнее, чем обычные ткани человека, поэтому контраст хорошо виден на получаемых изображениях.
Применение контраста позволяет более точно охарактеризовать строение органов, а также в некоторой степени указывает на их функциональное состояние.
После введения контраста внутривенно, что ощущается как обычная внутривенная инъекция, он с током крови распространяется по всем органам. Контрастное вещество в больших объемах накапливается в хорошо кровоснабжаемых тканях, например, в опухоли или метастазах. Это позволяет отличить доброкачественные образования от злокачественных или выявить невидимую при обычном исследовании опухоль.
Внутривенное контрастирование позволяет четче обозначить сосуды. Это может быть важно при подозрении на врастание опухоли в сосуды и может повлиять на тактику лечения.
При приеме внутрь (через рот) контраст распределяется по стенкам пищевода, желудка и кишечника. Это позволяет оценить их структуру и наличие изъязвлений или образований в стенке органов.
Контрастирование применяется не всегда, но при диагностике злокачественных образований является необходимым в подавляющем большинстве случаев.
Применение контраста может быть сопряжено с некоторыми побочными эффектами. Это аллергические реакции или нарушения работы почек, поэтому перед КТ с контрастом необходима консультация врача.
Кому показана МРТ?
Магнитно-резонансная томография — это способ получения послойных изображений органов и тканей с использованием ядерного магнитного резонанса. Этот метод принципиально отличается от рентгеновского излучения. Несмотря на наличие слова «ядерный» в названии, данный метод никак не связан с ионизирующим излучением и не несет лучевой нагрузки на организм пациента.
Согласно российским рекомендациям, показания для назначения МРТ аналогичны показаниям для КТ, за исключением КТ органов грудной клетки. Ее нельзя заменить заменить МРТ из-за технических особенностей метода МРТ.
Однако иностранные рекомендации отдают предпочтение назначению КТ с контрастом во всех случаях, кроме исследования головного мозга, где МРТ с контрастом более предпочтительно. Таким образом, выбор метода исследования определяется лечащим врачом с учетом особенностей клинической ситуации конкретного пациента.
В чем разница между МРТ и КТ?
Физические основы обоих методов объясняют плюсы и минусы каждого из методов.
- Исследование проводится быстрее. Обычно оно занимает не более 10 минут, в то время как МРТ может проводится до 60 и более минут в зависимости от локализации и выбранных рентгенологом схем исследования.
- Больше разрешающая способность, то есть способность определить самые маленькие изменения, например, мельчайшие метастазы в легких. Толщина получаемого «среза» при проведении КТ на современных томографах составляет 0,5 мм, а для самых распространенных сегодня аппаратов МРТ оптимальной толщиной среза являются 2-5 мм. Уменьшение данного параметра приведет к выраженному увеличению времени исследования и потере качества.
- наличие рентгеновского излучения;
- КТ хуже, чем МРТ, отображает мягкие ткани.
- как уже было сказано ранее, преимущество над КТ в плане отображения мягких тканей, что хорошо видно на картинке выше. МРТ выигрывает при диагностике заболеваний головного и спинного мозга, отдельных органов брюшной полости и органов малого таза.
- отсутствие излучения и наличие множества импульсных последовательностей, что позволяет оценить исследуемую область по множеству характеристик.
- более длительное время проведения исследования;
- чувствительность к движениям пациента во время сканирования; ряду пациентов с имплантированными устройствами или протезами.
Какие еще методы бывают?
Помимо КТ и МРТ чаще всего применяются:
- УЗИ. Может использоваться для оценки лимфатических узлов при первом обнаружении меланомы для диагностики их поражения метастазами; для оценки объема жидкости в плевральной или брюшной полости в случае их метастатического поражения. Однако УЗ-исследование других областей тела с целью выявления отдаленного метастазирования не позволяет полноценно оценить все возможные локализации. Также УЗИ не подходит для динамического наблюдения или контроля эффективности лечения, так как качество исследования сильно зависит от конкретного врача УЗИ-диагностики и не позволяет объективно отразить динамику изменений.
- ПЭТ/КТ. Данный метод может применяться как замена КТ органов грудной клетки, брюшной полости и малого таза в тех же ситуациях, когда назначается КТ.
- Применение классической рентгенографии и флюорографии с целью первичной диагностики, контроля эффективности лечения или динамического наблюдения нецелесообразно в силу низкой чувствительности этих методов, но возможно в ряде других клинических ситуаций и определяется лечащим врачом для конкретного пациента.
Помогают ли онкомаркеры в диагностике меланомы?
На настоящий момент при диагностике меланомы не существует онкомаркеров, определение которых в крови позволяет диагностировать или заподозрить меланому.
При уже диагностированной меланоме есть ряд доказанных показателей, чей уровень в крови или опухолевых клетках может говорить о прогнозе для жизни или о предполагаемом ответе на лечение.
Единственный применяемый прогностический маркер — уровень лактатдегидрогеназы в крови (ЛДГ, LDH) у пациентов с метастатической меланомой. Более высокие уровни ЛДГ связаны с более низкой продолжительностью жизни данных пациентов.
Также существует несколько предиктивных маркеров — показателей, предсказывающих лучший ответ на определенную терапию среди тех, у кого они были выявлены.
Факоматозы и их диагностика

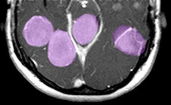
МРТ головного мозга. Т1-взвешенная МРТ с контрастированием. Множественные менингиомы при нейрофиброматозе 2 типа. Цветовая обработка изображения.
Факоматозы (нейрокожные нарушения) - это группа врожденных дисплазий эмбриональной эктодермы (кожи, центральной и переферической нервной систем, глаза) и эндодермы (эпителиальной выстилки желудочно-кишечного тракта).
К факоматозам относят:
- Нейрофиброматоз тип I (болезнь Реклингхаузена)
- Нейрофиброматоз тип II
- Туберозный склероз (синдром Бурневиля)
- Болезнь Гиппель-Линдау
- Синдром Стурге-Вебера
- Редкие заболевания - синдром Клиппеля-Треноне-Вебера, синдром Протея, синдром Ослера-Рандю-Вебера, синдром Вайбурна-Масона, болезнь Фабри, синдром кожной гемангиомы, атаксия-телеангиэктазия (синдром Луи-Бара), менингоангиоматоз (синдром Ульмана), нейрокожный меланоз, гипомеланоз Ито, синдром эпидермального невуса, базальноклеточный невус.
Все перечисленные заболевания выявляются при МРТ головного мозга.
Нейрофиброматоз I типа (болезнь Реклингхаузена) имеет аутосомно - доминантный тип наследования (50%), сцепленный с 17 парой хромосом, или с её спонтанными мутациями. Частота заболевания составляет один на 4000 населения. Диагностическими критериями служат (National Institutes of Health, 1988) не менее 6 кожных пятен (макулы цвета “кофе с молоком” размером не менее 5 мм в пре- и 15 мм в послепубертатном периоде), и не менее 2 любых нейрофибром, либо одна плексиформная (подкожная) нейрофиброма, множественные веснушки в подмышечных и паховых областях, костные дисплазии (истончение кортикального вещества длинных трубчатых костей с коксартрозом или без него, дисплазия клиновидной кости ), двухсторонние глиомы зрительных нервов, 2 или более пигментированные гамартомы радужной оболочки глаза (узлы Лиша) и наличие ближайшего родственника с этим заболеванием. Для постановки диагноза достаточно наличия 2 из перечисленных критериев. Кроме того, характерны следующие сопутствующие патологии: невриномы, кожные нейрофибромы, макроцефалия, астроцитомы, множественные менингиомы, кифосколиоз, саркома Юинга, сирингомиелия. Из опухолей головного мозга наиболее часто (в 5-15% случаев НФ I) встречается пилоцитарная астроцитома зрительного нерва и тракта . На МРТ астроцитома видна в виде утолщения зрительного нерва. Образование изоинтенсивно или немного гипоинтенсивно на Т1-взвешенных МРТ и гиперинтенсивно на Т2-взвешенных МРТ. Среди других локализаций астроцитома может быть в стволе, гипоталамусе, III желудочке. Редко обнаруживаются анапластические астроцитомы полушарий и мозжечка. У детей при НФ I встречаются очаги , напоминающие гамартомы. Они выявляются в ножках мозга, мосте, бледном шаре, среднем мозге, зрительном бугре, продолговатом мозге, реже белом веществе полушарий и мозжечка. На Т2-взвешенных МРТ очаги слегка гиперинтенсивны, на Т1-взвешенных МРТ изоинтенсивны белому веществу, за исключением бледного шара, где они тоже чуть гиперинтенсивны. Они не превышают 15 мм в размерах, не вызывают масс-эффекта и не контрастируются. Предположительно, очаги представляют собой участки изменённого миелина.
Третьим образованием диагностируемым при нейрофиброматозе I типа является нейрофиброма, обычно расподоженная в орбите и распространяющаяся в полость черепа и на кавернозный синус. Нейрофиброма слегка гиперинтенсивнее мышцы на Т1-взвешенных МРТ и выраженно гиперинтенсивнее на Т2-взвешенных МРТ. Кистозный компонент опухоли может давать сниженный сигнал в ее центре на Т1-взвешенных томограммах. При нейрофиброматозе I типа встречается также эктазия твердой мозговой оболочки в расширенном слуховом канале и стеноз водопровода. Эктазию важно не путать с невриномой. Стеноз водопровода не связан с опухолевой компрессией, но приводит к гидроцефалии.
Нейрофиброматоз II типа также имеет аутосомно-доминантный тип наследования, но сцепленный с 22 парой хромосом. Его частота составляет один на 100 тыс. населения. Диагностическими критериями служат (National Institutes of Health, 1988) двухсторонние невриномы слуховых нервов, выявляемые на КТ или МРТ, либо сочетание наследственной предрасположенности (наличие двухсторонних неврином у ближайшего родственника) с односторонней невриномой или двумя другими типичными опухолями (плексиформная нейрофиброма, менингиома, глиома, невринома любой локализации) плюс кожные пятна. В отличие от НФ I кожные пятна единичные и не служат главным критерием, а опухолевое поражение ассоциируется не с астроцитомами, а с невриномами и менингиомама. Сопутствующими патологиями являются менингоангиоматоз, глиальные узлы, эпендимальные эктопии, гипертрофический глиоз зрительного нерва, сирингомиелия, комплекс Арнольда-Киари. Типичная невринома развивается из шванновской оболочки слуховых нервов (VIII пара), обычно с обеих сторон , реже тройничного нерва или других. При МРТ невриномы гипо- или изоинтенсивны белому веществу на Т1-взвешенных МРТ и изо- или гиперинтенсивны на Т2-взвешенных МРТ. Хорошо усиливаются гадолинием. Менингиомы, как правило, сопутствуют невриномам. Локализация не отличается от случаев не связанных с нейрофиброматозом, но встречается также нетипичное поражение сосудистого сплетения. Картина менингиом при нейрофиброматозе II типа имеет все типичные признаки.
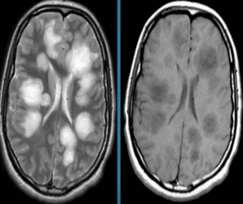
Туберозный склероз (синдром Бурневиля) встречается реже нейрофиброматоза. Его частота по данным литературы составляет около одного на 180 тыс. населения. От 20 до 40% случаев туберозного склероза унаследованы по аутосомно- доминантному типу, остальные возникли вследствии мутаций предположительно 9 и 11 пар хромосом (тип 1), либо 19 пары (тип 2). Поражение может затрагивать практически любые органы. Патогномоничными поражениями ЦНС являются корковые узлы в головном мозге и множественные субэпендимальные глиальные узлы , а также внутрижелудочковая гигантоклеточная астроцитома, встречаются сопутствующие аномалии - агенезия мозолистого тела, пахигирия, аневризмы. Характерны дерматологические проявления в виде множественных ангиофибром лица в форме «бабочки», бледные пятна на лице и груди, фибромы кожи, под ногтями и сетчатке глаза. Из других проявлений встречаются множественные ангиолипомы почек и печени, рабдомиомы сердца, лимфангиоматоз лёгких, костные склеротические и кистозные изменения. Диагноз туберозного склероза ставится при наличии у пациента 2 из перечисленных характерных признаков.
Корковые узлы - самое частое проявление туберозного склероза. Они расположены в коре головного мозга, деформируют её, захватывают прилегающее белое вещество и подвергаются кальцификации . При МРТ узлы изоинтенсивны серому веществу на Т1-взвешенных МРТ и чуть гиперинтенсивнее его на Т2-взвешенных. Контрастирование наблюдается в 5% случаев. В белом веществе обнаруживаются тяжи , отходящие радиально от желудочков. Корковые узлы и тяжи нередко называют «гамартомами», хотя они представляют собой скорее демиелинизацию и кальцификацию, чем истинную гетеротопию.
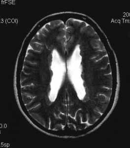
Туберозный склероз. Гамартомы. КТ, Т2-зависимая МРТ и FLAIR
Субэпендимальные, то есть проецирующиеся в желудочек, но растущие со стороны паренхимы мозга, узлы чаще расположены рядом с хвостатым ядром или гипоталамической бороздой сразу за отверстием Монро, реже в области III, IV желудочков и Сильвиева водопровода. На Т2-взвешенных томограммах субэпендимальные узлы умеренно гиперинтенсивны и часто содержат кальцинаты . От астроцитом их отличает не столь яркий сигнал и меньшие размеры. Контрастирование при введении препаратов гадолиния иногда наблюдается и в субэпендимальных узлах , и всегда в астроцитомах.

Туберозный склероз. Субэпендимальные узлы. Аксиальная Т-зависимая МРТ.
Болезнь Гиппеля - Линдау представляет собой симптомокомплекс, состоящий из гемангиобластом ЦНС (40% случаев) и сетчатки глаза (45%), и висцеральных проявлений в виде кист почек (75%), печени и поджелудочной железы. Диагноз ставится при наличии двух и более гемангиобластом или одной гемангиобластомы и висцеральных изменений, либо только висцеральных проявлениий при наличии семейной наследственности. Болезнь Гиппеля-Линдау в 20% случаев имеет врожденное семейное происхождение с аутосомно-доминантным типом наследования, в остальных связана с мутацией 3 пары хромосом. Частота примерно 1 случай на 36 тыс. населения. Кроме гемангиобластом и характерных висцеральных изменений при болезни Гиппель - Линдау встречается сопутствующие патологии: карцинома почки (более четверти наблюдений) и поджелудочной железы, феохромоцитома (около 10%, часто двухсторонняя), рабдомиома сердца, кисты лёгких, эпидидимит.
Гемангиобластомы при болезни Гиппеля - Линдау всегда множественные и примерно в половине случаев локализуются в мозжечке, реже стволе, спинном мозге и полушариях. При мозжечковой локализации опухоль чаще расположена поверхностно. При МРТ определяется неоднородный узел, гиперинтенсивный на Т2-взвешенных и изо- или гипоинтенсивный на Т1-взвешенных МРТ. В ряде случаев визуализируются патологически расширенные сосуды, имеющие характерное отсутствие сигнала. Кальцификации узлов не наблюдается. Гемангиобластомы хорошо контрастируются гадолинием. Чисто солидные гемангиобластомы наблюдаются только в 10% случаев. Окружающая узел киста гиперинтенсивна на томограммах обоих типов взвешенности, так как содержит примесь белка.
Синдром Стурге - Вебера ненаследуемое заболевание, ее морфологическим субстратом является ангиоматоз, связанный с тем, что сохраняются синусоидальные эмбриональные сосуды. Таким образом, синдром Стурге - Вебера представляет собой аномалию развития в “чистом” виде. Артериальный и венозный ангиоматоз приводят к избыточной васкуляризации оболочек мозга, кальцификации оболочечных артерий. Поражаются мягкие мозговые оболочки, обычно затылочной доли, причем с одной стороны (75% случаев). Кора мозга над ангиомой атрофируется и кальцифицируется . Нередко выявляется патологически расширенная кортикальная вена. Описано также увеличение сосудистого сплетения, гемиатрофия мозга на стороне поражения, ускорение и нарушение миелинизации, мегалэнцефалия и гидроцефалия. В постановке диагноза помогает наличие невуса кожи лба, который расположен по ходу первой ветви тройничного нерва, с той же стороны, что и очаг в мозге. Из других проявлений заболевания встречаются костные - ипсилатеральная гипертрофия черепа и синусов, глазные - ипсилатеральный экзофтальм, глаукома (30%), колобома радужной оболочки, гемангиома сосудистого сплетения глаза, висцеральные - ангиоматоз щитовидной железы, лёгких, поджелудочной железы, печени, почек, кишечника. Клинически синдром проявляется контрлатеральным гемипарезом, гомонимной гемианопией, судорогами (80% случаев) и умственной отсталостью (60%). При МРТ выявляется хорошо контрастирующийся ангиоматозный клубок сосудов, утолщенная оболочка, расширенная кортикальная вена и, иногда, расширенное сосудистое сплетение.
МРТ СПб дает место выбора выполнения МРТ головного мозга. При МРТ в СПб мы выступаем за комплексный подход к диагностике факоматозов с исследованием всех их проявлений. Обычно факоматозы лучше видны в высоких полях, но многие, особенно, опухоли видны и в низкопольных открытых МРТ.
Расшифровка МРТ головного мозга
Результаты МРТ головного мозга - это серия снимков в нескольких плоскостях, представляющих собой послойные виртуальные срезы толщиной в пару миллиметров, сделанные через исследуемую область. Полная и точная интерпретация снимков магнитно-резонансной томографии - работа врача-рентгенолога, имеющего специализацию в соответствующей области. Задача данного материала - знакомство с основными принципами расшифровки результатов МРТ головного мозга, но не обучение данному процессу.
Как выглядит снимок МРТ головного мозга
Классический пример МРТ снимков головного мозга показан на рисунках ниже. Магнитно-резонансная томография выполняется в поперечной (или аксиальной - рисунок снизу) и продольной (или сагиттальной — рисунок сверху) плоскостях.


Исследование выполняется в нескольких режимах. Основные из них Т1 и Т2. Изображения, полученные в данных режимах, часто также называют Т1-взвешенными или Т2-взвешенными снимками. Изображения, показанные выше, сделаны в Т1-режиме.


Главное отличие этих режимов - в том, как на снимках отображается жидкость и воздух. В Т1 режиме ткани, содержащие большое количество воды, имеют более темную окраску, в то время как в Т2 режиме они яркие, светлые. Это легко понять, посмотрев на снимки выше - глазные яблоки визуализируются в виде светлых парных округлых образований с одной стороны яркие и светлые, с другой - темные. Следовательно, снимок справа сделан в Т1 режиме, снимок слева - в Т2. Также существует разница в том, как в этих режимах отображается серое вещество головного мозга. В Т2 режиме оно светлее, чем белое вещество.
На самом деле режимов намного больше - FLAIR, DWI, STIR и так далее. Какой-то режим используется для подавления сигнала от богатых жиром тканей, какой-то - для изучения плотности распределения протонов в тканях, третий - для оценки броуновского движения молекул воды. Вот почему полный курс МРТ-диагностики для врачей длится не один месяц.
Норма и отклонения на МРТ головного мозга
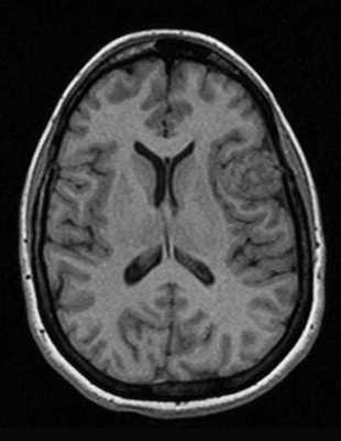
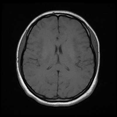
Как же узнать, есть ли на снимках признаки болезни? Самое главное - запомнить, как выглядит головной мозг здорового человека. Врач, изучая снимки пациентов, постоянно сравнивает их с нормальными снимками, хранящимися у него в голове. Чтобы понять, как это происходит - посмотрите на снимки внизу:


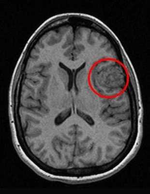
Перед вами - два снимка, сделанных в одном режиме. Снимок снизу - норма. Какое заболевание, в таком случае, есть на верхнем снимке? Чтобы понять это, нужно сравнить эти изображения. Явно видно отличие - на верхнем снимке в правой части головного мозга есть новообразование. Разница еще заметнее, если сравнить левую и правую части того же снимка.


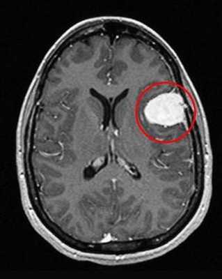
Отметим его красной окружностью. Визуально оно представляет собой узел, неоднородный по окраске и отличающийся от серого и белого вещества головного мозга. В таких случаях, чтобы точно определить границы опухоли и определить её тип исследование повторяют с контрастом. Введение контрастного препарата в кровь через локтевую вену приводит к накоплению контрастного вещества в тканях опухоли - нормальные здоровые ткани его практически не накапливают. И мы получаем следующую картину, показанную на рисунке справа. Яркая окраска опухоли соответствует накопленному контрасту - теперь можно не только сказать, где опухоль, но и примерно определить, что это доброкачественная опухоль, так как она имеет четкие границы (злокачественные опухоли прорастают окружающие ткани, из-за чего границы будут размытыми и не такими четкими).
Таким образом расшифровка результатов МРТ головного мозга проводится путем сравнения полученных снимков с нормой. При отсутствии отличий можно говорить о том, что пациент, чьи снимки исследует врач, скорее всего здоров. Сравнивается все - форма, размеры анатомических структур, локализация, симметричность, количество спинномозговой жидкости в полостях головного мозга, и множество других параметров. Каждое заболевание, будь то инсульт или рассеянный склероз, имеет свои характерные признаки.
Как читать результаты МРТ головного мозга
Теперь попробуем прочитать заключение МРТ головного мозга с расшифровкой снимков на следующем примере:

- Техника сканирования - перечисляются режимы, в которых проводилось исследование;
- На серии томограмм определяются мелкие очаги ишемии - участки белого вещества головного мозга, испытывающие дефицит кислорода (возрастные изменения). Любые очаговые изменения вне зависимости от локализации — патология;
- Далее описывается кора головного мозга - незначительная атрофия лобно-височных долей также является возрастными изменениями (исследование проводилось у пожилого человека);
- Затем описывается система желудочков головного мозга - полостей, в которых циркулирует спинномозговая жидкость - если они не расширены, имеют нормальную форму, значит все в норме.
- Мозолистое тело, мозжечок и ствол мозга без изменений;
- Далее идет описание гипофиза - железы, расположенной на основании мозга (незначительное уплощение возможно в норме), области перекреста зрительных нервов, синусы внутренней сонной артерии - также без изменений, так как нет асимметрии, их контуры четкие и ровные;
- Затем идет описание глазных яблок и содержимого глазниц - без патологических сигналов, т.е. в норме;
- Область мостомозжечкового угла - место отхождения слухового или преддверно-улиткового нерва, отвечающего за слух - без изменений, нерв определяется с обеих сторон;
- Описываются придаточные пазухи носа - в правой гайморовой пазухе имеется киста - остальные пазухи в норме, пневматизация обычная (содержат воздух, а не гной или жидкость);
- Далее идет исследование сосудов головного мозга или МР-ангиография - отсутствие изменений калибра, симметричность, отсутствие смещения и сужения просвета - норма. Небольшое сужение допускается;
- Затем проводится венография - отсутствие изменений и нормальный калибр - норма.
В заключение выносят только патологические изменения - в данном случае это очаги ишемии, атрофия лобно-височных областей, киста гайморовой пазухи. В целом картина соответствует возрасту пациента - 65 лет. МРТ-признаки сосудистой энцефалопатии - окончательный диагноз будет определен лечащим врачом. Обратите внимание - в норме на снимках отсутствуют изменения, очаговые или диффузные (распространенные равномерно), кисты, опухоли, новообразования, участки патологической гипер или гипоинтенсивности сигнала. Анатомические образования имеют четкие ровные контуры, не смещены, симметричны. Сосуды симметричны, без признаков сужения просвета, с нормальным ходом и калибром, интралюминарный сигнал (фактически кровь в сосуде) гомогенный, что говорит об отсутствии тромбов в просвете артерии или вены.
Подобным путем проводится расшифровка и описание снимков в любой клинике. Однако точность сделанного заключения зависит от квалификации врача МРТ-диагностики.
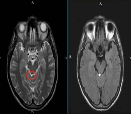
Очаги в головном мозге на МРТ

Токсоплазмоз на МРТ головного мозга
Магнитно-резонансная томография является безболезненным и информативным способом исследования головного мозга. Послойное МР-сканирование позволяет детально рассмотреть все участки органа, оценить их структуру. С помощью определенных последовательностей можно подробно изучить белое и серое вещество, сосуды, желудочковую систему.
МРТ считают эффективным методом выявления очаговых поражений мозга. К таковым относят ограниченные участки с нарушенной структурой внутри вещества органа. Подобные изменения часто сопровождаются масс-эффектом, отеком, деформацией окружающих областей. Очаги в головном мозге на МРТ выглядят как зоны изменения МР-сигнала. По специфическим признакам, локализации, размерам и степени влияния на окружающие структуры рентгенолог может сделать предположения о характере патологии. Пользуясь перечисленными сведениями, врач ставит диагноз, составляет для пациента прогноз и подбирает лечение.
Очаги на МРТ головного мозга: что значит?
Результатом магнитно-резонансной томографии является серия послойных снимков исследуемой области. На изображениях здоровые ткани выглядят как чередующиеся светлые и темные участки, что зависит от концентрации в них жидкости и применяемой импульсной последовательности. По срезам врач-рентгенолог оценивает:
- развитость и положение отдельных структур;
- соответствие интенсивности МР-сигнала норме;
- состояние извилин и борозд;
- размеры и строение желудочковой системы и подпаутинного пространства;
- параметры слуховых проходов, глазниц, придаточных синусов;
- структуру сосудистого русла;
- строение черепных нервов и церебральных оболочек;
- наличие признаков патологии (очаговые изменения, отек, воспаление, повреждения стенок артерий и вен).

Липома четверохолмной цистерны на МРТ (обведена кругом)
МРТ назначают, если у пациента наблюдаются неврологические отклонения, обусловленные поражением мозговой ткани. Симптомами могут быть:
- головные боли;
- нарушения координации движений;
- дисфункции органов слуха или зрения;
- нарушения концентрации внимания;
- расстройства памяти;
- проблемы со сном;
- психоэмоциональные расстройства;
- парезы/параличи конечностей и/или мышц лица;
- чувствительные нарушения;
- судороги и пр.
Магнитно-резонансная томография головы позволяет врачу точно определить локализацию очаговых изменений и выяснить природу плохого самочувствия у пациента. В ДЦ «Магнит» на вооружении специалистов новейшие аппараты для МР-сканирования, которые позволяют с высокой достоверностью провести исследование.
Виды очагов на МРТ головы
Цвет получаемого изображения нормальных мозговых структур и патологических изменений зависит от используемой программы. При сканировании в ангиорежиме, в том числе с применением контраста, на снимках появляется разветвленная сеть артерий и вен. Очаговые изменения бывают нескольких типов, по их характеристикам врач может предположить природу фокусов.
При патологии мозгового вещества нарушаются свойства пораженных фокусов, что проявляется резким изменением МР-сигнала по сравнению со здоровыми областями. Применение определенных последовательностей (диффузионно-взвешенных, FLAIR и пр.) или контрастирования позволяет более четко визуализировать локальные изменения. То есть, если рентгенолог видит на результатах МРТ единичный очаг, для более подробного его изучения будут применены разные режимы сканирования либо контрастирование.
При сравнении изменений со здоровыми участками мозга выделяют гипер-, гипо- и изоинтенсивные зоны (соответственно яркие, темные и такие же по своему цвету, как рядом расположенные структуры).

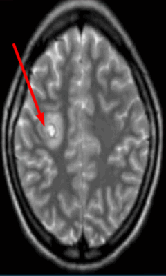
Абсцесс головного мозга на МРТ (указан стрелкой)
Гиперинтенсивные очаги
Выявление гиперинтенсивных, т.е. ярко выделяющихся на МР-сканах, очагов заставляет специалиста подозревать опухоль головного мозга, в том числе метастатического происхождения, гематому (в определенный момент от начала кровоизлияния), ишемию, отек, патологии сосудов (каверномы, артерио-венозные мальформации и пр.), абсцессы, обменные нарушения и т.п.

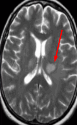
Опухоль головного мозга на МРТ (указана стрелкой)
Субкортикальные очаги
Поражение белого вещества головного мозга обычно характеризуют, как изменения подкорковых структур. Выявленные при МРТ субкортикальные очаги говорят о локализации повреждения сразу под корой. Если обнаруживают множественные юкстакортикальные зоны поражения, есть смысл подозревать демиелинизирующий процесс (например, рассеянный склероз). При указанной патологии деструктивные изменения происходят в различных участках белого вещества, в том числе прямо под корой головного мозга. Перивентрикулярные и лакунарные очаги обычно выявляют при ишемических процессах.
Очаги глиоза
При повреждении мозговой ткани включаются компенсаторные механизмы. Разрушенные клетки замещаются структурами глии. Последняя обеспечивает передачу нервных импульсов и участвует в метаболических процессах. За счет описываемых структур мозг восстанавливается после травм.
Выявление глиозных очагов указывает на предшествующее разрушение церебрального вещества вследствие:
- родовой травмы;
- гипоксических процессов;
- наследственных патологий;
- гипертонии;
- эпилепсии;
- энцефалита;
- интоксикации организма;
- склеротических изменений и др.
По количеству и размерам измененных участков можно судить о масштабах повреждения мозга. Динамическое наблюдение позволяет оценить скорость прогрессирования патологии. Однако изучая зоны глиоза нельзя точно установить причину разрушения нервных клеток.
Очаги демиелинизации
Некоторые заболевания нервной системы сопровождаются повреждением глиальной оболочки длинных отростков нейронов. В результате патологических изменений нарушается проведение импульсов. Подобное состояние сопровождается неврологической симптоматикой различной степени интенсивности. Демиелинизация нервных волокон может быть вызвана:
- мультифокальной лейкоэнцефалопатией;
- рассеянным склерозом;
- диссимулирующим энцефаломиелитом;
- болезнью Марбурга, Девика и многими другими.
Обычно очаги демиелинизации выглядят как множественные мелкие участки гиперинтенсивного МР-сигнала, расположенные в одном или нескольких отделах головного мозга. По степени их распространенности, давности и одновременности возникновения врач судит о масштабах развития заболевания.

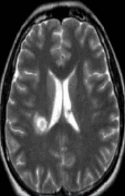
Очаг демиелинизации на МРТ
Очаг сосудистого генеза
Недостаточность мозгового кровообращения являются причиной ишемии церебрального вещества, что ведет к изменению структуры и потере функций последнего. Ранняя диагностика сосудистых патологий способна предотвратить инсульт. Очаговые изменения дисциркуляторного происхождения обнаруживают у большинства пациентов старше 50 лет. В последующем такие зоны могут стать причиной дистрофических процессов в мозговой ткани.

Лакунарный инфаркт головного мозга на МРТ (указан стрелкой)
Заподозрить нарушения церебрального кровообращения можно по очаговым изменениям периваскулярных пространств Вирхова-Робина. Последние представляет собой небольшие полости вокруг мозговых сосудов, заполненные жидкостью, через которые осуществляется трофика тканей и иммунорегулирующие процессы (гематоэнцефалический барьер). Появление гиперинтенсивного МР-сигнала указывает на расширение периваскулярных пространств, поскольку в норме они не видны.
Иногда при МРТ мозга обнаруживаются множественные очаги в лобной доле или в глубоких отделах полушарий, что может указывать на поражение церебральных сосудов. Ситуацию часто проясняет МР-сканирование в ангиорежиме.

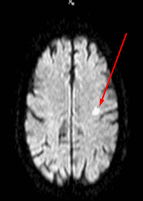
Очаги ишемии на МРТ
Очаги ишемии
Нарушения мозгового кровообращения приводят к кислородному голоданию тканей, что может спровоцировать их некроз (инфаркт). Ишемические очаги при Т2 взвешенных последовательностях выглядят как зоны с умеренно гиперинтенсивным сигналом неправильной формы. На более поздних сроках при проведении в Т2 ВИ или FLAIR режиме МРТ единичный очаг приобретает вид светлого пятна, что указывает на усугубление деструктивных процессов.
Что означают белые и черные пятна на снимках МРТ?
Зоны измененного МР-сигнала могут означать:
- ишемию тканей;
- отек;
- некроз;
- гнойное расплавление;
- опухолевую трансформацию;
- метастатическое поражение;
- глиоз;
- демиелинизацию;
- дегенерацию и др.
Врач-рентгенолог описывает интенсивность сигнала, размеры и локализацию очага. С учетом полученных сведений, жалоб пациента и данных предыдущих обследований специалист может предположить природу патологических изменений.

Острый рассеянный энцефаломиелит на МРТ
Причины возникновения очагов на МРТ головного мозга
Если при МРТ головного мозга выявлены очаги, их расценивают как симптомы патологии органа. Зоны гипер- или гипоинтенсивного МР-сигнала свидетельствуют о нарушении структуры определенного участка церебрального вещества. Очаговые изменения могут быть единичными или множественными, крупными, мелкими, диффузными и т.п.. Подобное наблюдается при:
- ;
- ангиопатии; ;
- хронической недостаточности мозгового кровообращения;
- рассеянном склерозе или иных демиелинизирующих заболеваниях; , Пика, Паркинсона и т.п.;
- энцефаломиелите и других заболеваниях.
Очаговые изменения могут быть результатом некроза, гнойных процессов, ишемии, воспаления тканей, разрушения нервных волокон и т.п. Фокальная патология на МР-сканах почти всегда свидетельствует о развитии серьезного заболевания, а в некоторых случаях указывает на опасность для жизни больного.
Что лучше: КТ или МРТ головного мозга?
Компьютерная томография - это тип исследования, при котором происходит послойное сканирование органа пациента. Для проведения процедуры используется мультиспиральный компьютерный томограф. В основе принципа его действия лежит отражение рентгеновского излучения от тканей и костей. Результат исследования представляется в виде на мониторе врача и может быть записан на диск.
Аппарат для КТ представляет собой круг вокруг стола с подвижными датчиками, которые, вращаясь в процессе исследования, делают снимки с разных ракурсов.
Так как при использовании этого метода пациент получает определенную дозу облучения, исследование не рекомендуется проходить часто.
Магнитно-резонансная томография - это обследование, в основе которого лежит эффект магнитного резонанса, отражающегося от более или менее плотных тканей.
Для него также используется томограф, но другого, чаще закрытого типа. Он оснащен выдвижным столом, на который укладывают пациента, и трубообразным аппаратом, в который этот стол задвигают.
Это довольно безопасный метод обследования, хотя при его использовании и существует ряд ограничений, в основном связанных с наличием в организме металлических имплантатов.
В каких случаях назначают КТ, а в каких МРТ?
Поскольку в основе обоих типов обследования лежат разные физические и химические явления, эффективность каждого из них варьируется в зависимости от анализируемых тканей.
Когда врач назначает МРТ мозга или КТ, он руководствуется тем, что именно нужно исследовать. Так, КТ считается более эффективной при обследовании твердых тканей, костей черепа и их нарушений, а МРТ - для анализа мягких тканей.
Основные показания для проведения КТ
Исследование назначают в таких случаях:
- Пациент получил травму
- Постоянные головные боли после удара
- Патологическое изменение костной ткани головы
- Диагностировано сотрясение мозга
- Необходимо подтвердить или опровергнуть наличие кровоизлияния
- Мозговые структуры сместились
- Есть вероятность наличия инородного тела
Основные показания для проведения МРТ
Такое исследование назначают в следующих случаях:
- Подозрение на опухоль
- Регулярные головные боли, головокружения, обмороки
- Пациент перенес инсульт
- Потеряны слух или зрение
- Травмы, гематомы и отеки
- Ухудшение памяти, проблемы с концентрацией внимания
- Невозможность проведения КТ
Также МРТ назначают, чтобы оценить:
- Правильность лечения
- Состояние мозга после обнаружения злокачественного образования
- Пред- и послеоперационное состояние
Ребенку рекомендуют томографию, если:
- У него были патологии при внутриутробном развитии
- Он отстает от сверстников по различным показателям
- Ребенок страдает от судорог, головокружений, потери сознания
- Он заикается или имеет другие проблемы с речью
Противопоказания
Компьютерную томографию не делают в следующих случаях:
- При беременности пациентки
- При большой массе тела (более 130 кг) больного
С осторожностью применяют ее для кормящих матерей, а если процедура выполнена, еще сутки нельзя кормить ребенка грудью.
Если исследование будет проводиться с контрастным веществом, противопоказаний больше:
- Аллергия на йод
- Сахарный диабет
- Эндокринные заболевания
- Проблемы с работой печени и почек
МРТ нельзя проходить тем пациентам, у которых:
- Есть металлические протезы из материалов, которые взаимодействуют с магнитным полем
- Сердечные клапаны и водители ритма
- Металлические клипсы на сосудах при аневризме
- Слуховые аппараты
- Несъемные зубные протезы из стали и подобных материалов
Исследование применяется с ограничениями, когда:
- Пациентка находится в первом триместре беременности
- Больной страдает боязнью замкнутого пространства
- У пациента есть коронки, брекеты
Также препятствием к обоим исследованиям может стать неспособность пациента пролежать неподвижно в течение нужного времени сильных болей в спине.
Если пациент знает о наличии ограничения (установлена беременность, ранее диагностирован диабет, есть металлические имплантаты и тому подобное), он должен заранее сообщить об этом врачу.
Преимущества каждого вида томографии
Чтобы сделать выбор между МРТ мозга или КТ, необходимо рассмотреть их назначение и преимущества для конкретного диагноза, а также принять во внимание типы тканей, которые нужно изучить.
Преимущества КТ
Компьютерная томография - один из самых точных способов исследования нарушений, связанных с состоянием мозга. Она особенно эффективна, если необходимо определить аномалии, возникшие травмы, а также иные проблемы с костями и плотными тканями черепа.
Это происходит потому, что особым образом отражаются от плотных костных тканей. Однако доза облучения, которую получает пациент, гораздо ниже по сравнению с иными рентгеновскими исследованиями. Таким образом можно диагностировать различные заболевания без использования инвазивных методов, что делает процедуру безболезненной.
При помощи КТ можно диагностировать перенесенный инсульт, нарушения артерий при атеросклерозе, изменения в структуре коры головного мозга и поражения лицевых костей. Она позволяет рассмотреть такие нарушения в мельчайших деталях и выявить причины возникновения заболеваний.
Время проведения процедуры - не более пятнадцати минут. Нет риска искажения результата, если пациент случайно сдвинется.
Пациенты, страдающие клаустрофобией, легко переносят компьютерную томографию, потому что используется открытый аппарат, в который погружается только голова, а не все тело.
Важно, что результат КТ можно рассмотреть сразу же, хотя в некоторых случаях изображение может быть недостаточно контрастным.
Преимущества МРТ
томография не менее точна, чем КТ, но область ее применения несколько иная. Она позволяет диагностировать заболевания мягких тканей мозга и показывает результаты в трех плоскостях:
- Аксиальная (горизонтальная проекция)
- Фронтальная (прямая проекция)
- Сагиттальная (боковая проекция)
МРТ позволяет очень четко увидеть проблемы с мягкими тканями: доброкачественные и злокачественные (рак) новообразования (их форму, локализацию и объем), нарушения работы гипофиза, нервные и мышечные волокна. Можно увидеть и измерить объемы отеков, опухоли нервной системы и другое. Кости же будут отображаться опосредованно.
Этот метод безопасен, поэтому его можно применять для диагностики беременных пациенток, но только во втором и третьем триместрах. Также его разрешено использовать для диагностики детей с трехлетнего возраста. Ребенку необходимо объяснить, как будет проходить исследование, чтобы он не боялся и постарался не двигаться.
МРТ можно делать несколько раз за небольшой временной отрезок.
Процедура длится около получаса. В этот период требуется, чтобы пациент лежал неподвижно. В противном случае изображение может исказиться и результат получится недостоверным или неточным.
Для больных с боязнью замкнутых пространств исследование может быть проведено в состоянии медикаментозного сна.
Технические параметры
МРТ дает чрезвычайно четкое изображение (за исключением костей) в виде проекций с разных ракурсов; КТ же предоставляет картинку менее четкую, но структура костей видна хорошо, а изображение представлено на мониторе в виде .
Другой важный момент - количество времени, которое необходимо провести в аппарате. Для КТ оно составляет от 5 до 15 минут, для МРТ - порядка получаса. Пациент должен быть максимально неподвижен. Но для результатов компьютерной томографии не столь критично, если больной немного сдвинется. В данные же исследования такое движение может привнести серьезное искажение.
КТ помогает поставить срочный диагноз, если пациент серьезно травмирован, у него присутствуют симптомы кровоизлияния в мозг.
Для выбора наиболее результативного метода обследования (МРТ мозга или КТ) необходимо обращать внимание на множество факторов. Это способен сделать только квалифицированный врач. Пациент обязан предоставить всю информацию, которая поможет в этом.
Читайте также:
- Симптомы заболеваний склеры, радужной оболочки и цилиарного тела глаза
- Абсорбирующий желатин и окисленная целлюлоза. Гипоталамо-гипофизарная система
- Гепарин при инфаркте миокарда. Значение гепарина при ИБС
- Синдром Висслера (Wissler)
- Асимметричные сросшиеся близнецы. Причины образования двойниковых уродов
