Диагностика спонтанного внутричерепного кровоизлияния по КТ, МРТ
Добавил пользователь Евгений Кузнецов Обновлено: 22.11.2025
Магнитно-резонансная томография - это передовой метод, позволяющий отслеживать наличие кровоизлияний, судить о том, насколько серьезна проблем, как она локализована. Метод не инвазивный и дает для врачей максимум информации для диагностики и последующего лечения.
В этом материале мы рассмотрим диагностику гематомы с использованием магнитно-резонансной томографии. Это позволит понять, видна ли гематома, как она определяется.
Особенности гематомы
Одна из наиболее серьезных патологий, которые могут появляться при травмировании черепа человека - внутричерепное кровоизлияние. Оно также называется гематомой - большим скоплением крови, которое сложно диагностировать не инвазивными методами.
Гематома представляет большую опасность для организма человека. Основная проблема заключается в том, что мозговое кровоснабжение сильно нарушается.
Так как черепная коробка - это замкнутое пространство, таким образом, увеличивается давление внутри него. Стремительно развиваются локальные повреждения нервной ткани.
Большое значение имеет раннее диагностирование и использование правильного метода лечения. При сильном повышении внутричерепного давления, которое длится долго, есть вероятность летального исхода.
Если упустить время для выявления, есть большая вероятность того, что мозг умрет. Результатом становится смерть.
Есть сразу несколько симптомов, которые становятся признаками внутричерепного кровоизлияния. К ним относятся такие, как:
- Сильная головная боль различной локализации.
- Значительное возрастание внутричерепного давления.
- Тошнота и периодическая рвота.
- Нарушения ясности сознания, вероятность его кратковременной потери.
- Судороги.
У многих пациентов также возникает большой список неврологических изменений. К ним относятся такие, как парез, нарушение чувствительности кожных покровов. Могут быть заторможены рефлексы, увеличены или уменьшены зрачки.
Динамика протекания патологических процессов может быть разной. При отрицательных появлениях, есть вероятность серьезных нарушений в работе сердечно-сосудистой системы.
Некоторые пациенты могут в результате гематомы впасть в кому. Наблюдаются случаи остановки дыхания.
Большой риск гематомы заключается в том, что объемы накапливания крови могут меняться очень быстро. При этом использование большинства стандартных методов диагностики часто оказывается затруднено.
В подобных условиях компьютерная томография становится лучшим решением. Она позволяет получить максимум информации, проанализировать, где располагается гематома, каких размеров она успела достичь, на протяжении какого срока развивается патология.
Магнитно-резонансная томография позволяет быстро получить максимум информации. Таким образом, удается зафиксировать повреждения аксонов нервных клеток, сделать выводы о том, как протекает лечебный и восстановительный процесс.
МРТ также активно используется для того, чтобы выявлять инсульт. При этом стоит обратить внимание на то, что именно таким методом удается понять, какой вид инсульта случился у человека - геморрагический или ишемический.
Можно ли использовать МРТ для диагностики гематомы
Большое значение при проведении диагностики имеет срок травмирования головы. Рентгенологи отмечают, что гематому очень сложно увидеть, когда травма получена в период с 24 до 72 часов.
Опасность здесь заключается в вероятности получения ложноотрицательного результата. Таким образом, есть значительная вероятность отсроченного лечения, которое не возымеет нужного эффекта.
Когда после получения травмы проходят сутки, лучшим решением станет проведение компьютерной томографии. Она показывает, как были повреждены костные структуры и ткани.
Удается четко визуализировать повреждения разных участков черепа человека. Таким образом, можно понять, если ли ушиб мозга, где именно он располагается.
Часто проведение магнитно-резонансной томографии в таком случае рекомендуется нейрохирургами. Это нужно для того, чтобы выявить, есть ли повреждения или изменения различных церебральных структур.
При получении сильного травмирования головы, может проводиться компьютерная томография (КТ) и магнитно-резонансная томография (МРТ).
Первый вариант предполагает использование рентгеновского излучения. Это значительно уменьшает доступность периодического проведения подобного исследования.
Магнитно-резонансная томография позволяет добиться большого успеха в вопросах диагностирования мозгового кровоизлияния.
Часто прохождение подобного обследования рекомендуется после госпитализации. Таки образом удается зафиксировать наличие накопления крови, ее локализацию, степень повреждений, которые были нанесены структурам головного мозга.
МРТ активно применяется для диагностики в силу высокой информативности. Именно таким образом удается определить не только характер гематомы, но и последствия различных повреждений. К ним относятся такие, как:
- Рубцово-атрофические изменения.
- Повреждение коры.
- Нарушение целостности стволовых и экстрапирамидных структур.
Чем больше времени проходит с момента получения травмы и начала накопления крови внутри черепа, тем проще провести визуализацию с использованием магнитно-резонансной томографии.
Внутримозговое кровоизлияние
Внутричерепное кровоизлияние (нетравматические внутричерепные кровоизлияния) - клиническая форма острого нарушения мозгового кровообращения, возникающая вследствие разрыва интрацеребрального сосуда или повышенной проницаемости его стенки и проникновения крови в паренхиму мозга [1,2,18,19].
ВВОДНАЯ ЧАСТЬ
Код(ы) МКБ-10:
| МКБ-10 | |
| Код | Название |
| I 61 | Внутримозговое кровоизлияние |
| I 62 | Другое нетравматическое внутричерепное кровоизлияние |
Дата разработки/пересмотра протокола: 2013 года (пересмотрен 2017 г.)
Сокращения, используемые в протоколе:
| АД | - | артериальное давление. |
| АЛТ | - | аланинаминотрансфераза |
| АСТ | - | аспартатаминтрансфераза |
| БСФ | - | биосоциальные функции |
| ВЧД | - | внутричерепное давление |
| ГИ | - | геморрагический инсульт |
| ДТЧ | - | декомпрессивная трепанация черепа |
| ЗЧЯ | - | задняя черепная ямка |
| ИВЛ | - | искусственная вентиляция легких |
| КТ | - | компьютерная томография |
| МДК | - | мультидисциплинарная команда |
| МР | - | медицинская реабилитация |
| НВК | - | нетравматическое внутричерепное кровоизлияние |
| ОАК | - | общий анализ кровт |
| ОАМ | - | общий анализ мочи |
| ТМО | - | твердая мозговая оболочка |
| ЦПД | - | центральное перфузионное давление |
| ЧМТ | - | черепно-мозговая травма |
| ЧСС | - | частота сердечных сокращений. |
| ШКГ | - | шкала комы Глазго |
Пользователи протокола: неврологи, нейрохирурги, анестезиологи-реаниматологи, врачи общей практики, терапевты, врачи скорой помощи.
Категория пациентов: взрослые.
Шкала уровня доказательности:
| А | Высококачественный мета-анализ, систематический обзор РКИ или крупное РКИ с очень низкой вероятностью (++) систематической ошибки результаты которых могут быть распространены на соответствующую популяцию. |
| В | Высококачественный (++) систематический обзор когортных или исследований случай-контроль или Высококачественное (++) когортное или исследований случай-контроль с очень низким риском систематической ошибки или РКИ с невысоким (+) риском систематической ошибки, результаты которых могут быть распространены на соответствующую популяцию. |
| С | Когортное или исследование случай-контроль или контролируемое исследование без рандомизации с невысоким риском систематической ошибки (+). Результаты которых могут быть распространены на соответствующую популяцию или РКИ с очень низким или невысоким риском систематической ошибки (++ или +), результаты которых не могут быть непосредственно распространены на соответствующую популяцию. |
| D | Описание серии случаев или; Неконтролируемое исследование или; Мнение экспертов. |
| GPP | Наилучшая клиническая практика |

Автоматизация клиники: быстро и недорого!
- Подключено 300 клиник из 4 стран
- 800 RUB / 4500 KZT / 27 BYN - 1 рабочее место в месяц

Автоматизация клиники: быстро и недорого!
- Подключено 300 клиник из 4 стран
- 1 место - 800 RUB / 4500 KZT / 27 BYN в месяц
Мне интересно! Свяжитесь со мной
Классификация
Классификация [1,2,3,5,16] (УД-В).
По этиологии развития кровоизлияния:
· артериальная гипертензия;
· сосудистые аневризмы и артерио-венозные мальформации;
· амилоиднаяангиопатия, артерииты,васкулиты;
· тромбоцитопения, гемофилия;
· прием антикоагулянтов, антиагрегантов и фибринолитических средств (ацетилсалициловая кислота, гепарин, варфарин);
· кровоизлияния в опухоль головного мозга;
· кавернозные и венозные ангиомы;
· болезнь мойя-мойя;
· расслоение артерии;
· алкоголизм с нарушением функции печени и гипокоагуляциией;
· прием наркотиков (амфетамин, кокаин, метамфетамин);
· генетический дефект строения соединительной ткани (дисплазии).
Формы геморрагического инсульта:
· острейшая- характеризуется стремительным развитием коматозного состояния, угнетением дыхания и сердечной деятельности. Летальный исход в течение нескольких часов. Острейшая форма развивается при массивных кровоизлияниях в полушария мозга, в мост, в мозжечок;
· острая форма - симптомы развиваются постепенно, в течение нескольких часов. При ранней постановке диагноза и оказании помощи возможно улучшение состояния, хотя полное восстановление наступает редко. При несвоевременном оказании помощи - наступает смерть. Развивается при кровоизлияниях в латеральные части полушарий;
· подострая форма - еще более медленное развитие симптомов. Характерно для лиц пожилого возраста.
Внутримозговые гематомы подразделяют по локализации и объему.
В подавляющем большинстве случаев (90%) гематомы локализуются в супратенториальных отделах мозга. Различают лобарные, медиальные, латеральные, смешанные внутримозговые гематомы, редкие формы кровоизлияния (внутрижелудочковые, субдуральные);
· лобарные - кровоизлияния, при которых кровь не выходит за пределы коры и белого вещества соответствующей доли головного мозга;
· кровоизлияние в подкорковые ядра (кнаружи от внутренней капсулы) принято обозначать как латеральный инсульт, а кровоизлияние в таламус - как медиальный инсульт (кнутри от внутренней капсулы);
· смешанные внутримозговые гематомы (встречаются чаще) кровь распространяется в пределах нескольких анатомических зон;
· кровоизлияние в задней черепной ямке (10%) от всех внутримозговых гематом(мозжечок, мост, ствол);
· внутрижелудочковые кровоизлияния;
· субдуральные гематомы.
Диагностика
МЕТОДЫ, ПОДХОДЫ И ПРОЦЕДУРЫ ДИАГНОСТИКИ
Диагностические критерии
Жалобы:
· острейшее начало с очень сильной головной болью;
· угнетение сознания;
· рвота;
· грубые очаговые неврологические симптомы;
· возможны менингеальные симптомы;
· возможны судорожные припадки.
Анамнез:
· артериальная гипертензия;
· сахарный диабет;
· заболевания крови;
· атеросклероз;
· прием антикоагулянтов.
Физикальноеобследование
Объективный осмотр:
· кожные покровы, как правило, багрово красные, покрытые потом.
· дыхание шумное, стридорозное или типа Чейн-Стокса,
· пульс напряженный, замедленный,
· артериальное давление обычно высокое, быстро возникает гипертермия.
Неврологический осмотр:
· развитие выраженной общемозговой симптоматики, превалирующая над очаговой, приводящая нередко уже через несколько минут к коматозному состоянию больного, тошнота, рвота, психомоторное возбуждение, могут быть эпилептические припадки.
NB! Развитие очаговых симптомов геморрагического инсульта (нетравматического кровоизлияния) обусловлено следующими основными факторами:
· локализацией кровоизлияния;
· нарушение функции участков мозга, сдавленных гематомой;
· повышение внутричерепного давления и отек мозга;
· нарушение ликвороциркуляции;
· смещение структур мозга, в связи с давлением гематомы;
· прорыв крови в желудочки и субарахноидальное пространство;
· развитие острой внутренней гидроцефалии.

Описание неврологического статуса с оценкой по шкале NIHSS[1,11,12,19]:
· кровоизлияния в области базальных ядер почти всегда развивается у больных с выраженной артериальной гипертензией и преимущественно днем. Часто они возникают при резком физическом напряжении или стрессе. Симптомы развиваются внезапно и достигают максимума в течение нескольких секунд. Больные сразу падают и наступает кома. Сразу же выявляется паралич или выраженный парез на стороне, противоположной зоне поражения, обнаруживаются патологические стопные рефлексы. Характерны отклонение взора в сторону поражения, нарушения дыхания и выраженные общемозговые симптомы - гиперемия, рвота, брадикардия. АД чаще повышено;
· по мере нарастания объема гематомы, проявляется отек вокруг очага поражения, повышается внутричерепное давление, рано появляются симптомы вклинения;
· при прорыве массивных глубинно расположенных гематом в боковой желудочек внезапно наступает еще более резкое ухудшение состояния. Углубляется кома, угасают сухожильные рефлексы, не вызываются стопные рефлексы. Нарушения стволовых функций проявляется резким нарушением дыхания, нарушениями сердечного ритма, гипертермией, гипергликемией;
· кровоизлияния в зрительный бугорчасто сопровождаются прорывом крови в 3-й желудочек. Кровоизлияния малого объема проявляются контралатеральной гемианопсией, контралатеральным гемипарезом, гемианестезией и «таламической рукой» - сгибание в лучезапястном и пястно-фаланговом суставах при одновременном разгибании в межфаланговых суставах. Иногда на стороне поражения возникает гиперкинез;
· массивные кровоизлияния, локализующиеся в непосредственной близости от ликворопроводящей системы, часто осложняются острой окклюзионной гидроцефалией. Резкое нарушение циркуляции ликвора способствует смещению полушарных структур и развитию верхнего вклинения;
· при гематомах в височной и теменной долях преобладает контралатеральный гемипарез (плегия) с низким мышечным тонусом, сухожильные рефлексы чаще угнетены, но могут быть повышены. При поражении доминантного полушария выявляются афатические нарушения.
· Шкала комы Глазго:
· 15 баллов - сознание ясное;
· 14 баллов - легкое оглушение
· 13 баллов - умеренное оглушение;
· 12 баллов - глубокое оглушение;
· 11-9 баллов - сопор;
· 8-7 баллов -умеренная кома;
· 6-5 баллов -глубокая кома;
· 4-3 балла- запредельная кома, смерть мозга.
Лабораторные исследования: отсутствуют специфические изменения со стороны анализов крови и мочи.
Инструментальные исследования:
· КТ головного мозга является обязательным методом обследования пациентов с нетравматическими внутричерепными кровоизлияниями. Острые внутричерепные кровоизлияния имеют однотипные и хорошо выявляющиеся признаки на изображениях, получаемых при рентгеновской КТ. В первые часы ГИ формируется сгусток крови, в виде образования высокой плотности (55-90 ед. Н), вокруг которого имеется гиподенсивная полоска, соответствующая жидкой части крови, также определяется феномен седиментации. Повышение рентгеновской плотности сгустка определяется концентрацией гемоглобина. К концу первых суток развивается гиподенсивныйперифокальныйвазогенный отек. При рассасывании кровоизлияния наблюдается прогрессирующее снижение плотности сгустка, начиная с периферических отделов - феномен «тающего кусочка сахара». В изоденсивной стадии диагностика кровоизлияния методом КТ затруднена так же тем, что обычно регрессирует перифокальный отек и объемное воздействие зоны кровоизлияния на структуры мозга. В дальнейшем, в гиподенсивной стадии, при формировании постгеморрагической кисты надежность КТ-диагностики геморрагического характера поражения существенно понижается(УД-А)[4,9,19].
· КТ ангиография сосудов головного мозга. В случае подозрения на наличие церебральной аневризмы, мальформации/опухоли КТ ангиография является методом дифференциальной диагностики. Кроме того КТ ангиография является важным инструментом в определении дальнейшей тактики лечения(УД-В)[17,19].
· МРТ головного мозга имеет большую диагностическую ценность кровоизлияний, особенно в подостром и хроническом периодах заболевания(УД-В)[8,19].
Таблица 1 - Характер изменений МР-сигнала при внутримозговой гематоме.
| стадия | срок | пространство | форма гемоглобина | интенсивность сигнала по сравнению с таковой от вещества мозга | |
| - | - | - | - | T1-ВИ | T2-ВИ |
| Острейшая | внутриклеточное | Оксигемоглобин | Изоинтенсивное | Слабогипер-интенсивное | |
| Острая | 1-3 дня | внутриклеточное | Деоксигемоглобин | Слабо-гипоинтенсивное | Сильно-гипоинтенсивное |
| Подострая | - | - | - | - | - |
| ранняя | 3-7 дней | внутриклеточное | Метгемоглобин | Сильно-гиперинтенсивное | Сильно-гипоинтенсивное |
| поздняя | 7-14 дней | внеклеточное | Метгемоглобин | Сильно-гиперинтенсивное | Сильно-гиперинтенсивное |
| Хроническая: | >14 дней | - | - | - | - |
| центральная часть | - | внеклеточное | Гемохроматин | Изоинтенсивное | Слабогипер-интенсивное |
| ободок | - | внутриклеточное | Гемосидирин | Слабо-гипоинтенсивное | Сильногипо-интенсивное |
· консультация терапевта - для диагностики и лечения сопутствующих соматических заболеваний;
· консультация анестезиолога-реаниматолога - при нарушении витальных функций и решения вопроса о переводе в отделение интенсивной терапии.

Диагностический алгоритм:
Внутримозговая гематома ( Интрапаренхиматозная гематома головного мозга )
Внутримозговая гематома — ограниченное скопление крови в веществе головного мозга, оказывающее сдавливающее, смещающее и повреждающее воздействие на расположенную вблизи мозговую ткань. Внутримозговая гематома клинически характеризуется общемозговыми и очаговыми симптомами, которые зависят от места расположения гематомы и ее объема. Наиболее достоверно внутримозговая гематома диагностируется сочетанным применением КТ и МРТ головного мозга, а также ангиографического исследования сосудов мозга. Небольшая внутримозговая гематома может быть пролечена консервативно, большая внутримозговая гематома — только хирургически, путем удаления или аспирации.
МКБ-10


Общие сведения
Внутримозговая (интрапаренхиматозная) гематома - разновидность внутричерепной гематомы, характеризующаяся скоплением крови в паренхиме мозга. Чаще имеет посттравматическое происхождение. В структуре всех внутричерепных гематом внутримозговые кровоизлияния составляют порядка 30%. В несколько раз чаще диагностируются у мужчин. Возрастной пик приходится на молодой трудоспособный возраст - от 35 до 50 лет. Представляют серьезную опасность в связи с тяжестью развивающихся церебральных нарушений и высоким процентом летальности.

Причины
В зависимости от генеза внутричерепные гематомы могут быть посттравматическими и нетравматическими. Внутримозговая гематома может образоваться в результате:
- ЧМТ. Чаще всего излитию крови способствует разрыв церебрального сосуда в момент черепно-мозговой травмы или посттравматическое диапедезное кровотечение в контузионном очаге.
- Патологии церебральных сосудов. Непосредственная причина - разрыв аневризмы головного мозга или артерио-венозной мальформации.
- Аррозивного кровотечения. Деструкция сосудистой стенки может развиваться при внутримозговой опухоли, из-за чрезмерного повышения внутрисосудистого давления при артериальной гипертензии и/или нарушения эластичности сосудистой стенки при атеросклерозе, системных васкулитах, диабетической макроангиопатии и др.
- Изменений свойств крови. Внутримозговая гематома может быть связана с изменением реалогических свойств крови при гемофилии, лейкемии, заболеваниях печени (хроническом гепатите, циррозе), лечении антикоагулянтами и т. п.
Патогенез
Внутримозговая гематома может состоять как из жидкой, так и из свернувшейся крови. В некоторых случаях помимо крови внутримозговая гематома содержит мозговой детрит, по своему количеству значительно уступающий объему скопившейся в гематоме крови. Количество крови, которое вмещает внутримозговая гематома, колеблется от 1 до 100 мл. Увеличение размеров внутримозговой гематомы происходит, как правило, в течение 2-3 часов после начала кровотечения, а при нарушении свертывания крови и дольше.
Образовавшаяся внутримозговая гематома сдавливает окружающие ее мозговые ткани, приводя к их повреждению и некрозу. Наряду с этим внутримозговая гематома вызывает повышение внутричерепного давления и может стать причиной отека головного мозга. Внутримозговая гематома значительных размеров может приводить к смещению структур головного мозга и развитию так называемого дислокационного синдрома. Кроме того, кровотечение приводит к рефлекторному спазму сосудов головного мозга и ишемии, в первую очередь в расположенных вблизи гематомы областях.
Ишемия является дополнительным повреждающим фактором, приводящим к распространению патологических изменений далеко за пределы образующейся гематомы. Примерно в 14% наблюдений внутримозговая гематома прорывается в желудочки головного мозга, приводя к кровоизлиянию в желудочки. Согласно некоторым данным в 23% случаев внутримозговая гематома сочетается с образованием в оболочках головного мозга субдуральной, эпидуральной или эпи-субдуральной гематомы.
На сегодняшний день клиническая неврология использует несколько классификаций внутримозговых гематом, дающих представление о их различных характеристиках: расположении, размерах, этиологии. В зависимости от локализации выделяют центральную, субкортикальную и кортико-субкортикальную внутримозговую гематому, а также гематому мозжечка. Различают лобарные, медиальные, латеральные и смешанные внутримозговые гематомы. По размеру внутримозговая гематома может классифицироваться как:
- малая (до 20 мл, диаметр по КТ не более 3 см)
- средняя (20-50 мл, КТ-диаметр 3-4,5 см)
- большая (>50 мл, КТ-диаметр >4,5 см).
По причине возникновения внутримозговая гематома может быть посттравматической, гипертензионной, аневризматической, опухолевой и пр. Для посттравматической гематомы применяется классификация по времени ее возникновения. Первичная внутримозговая гематома образуется сразу же после ЧМТ, отсроченная внутримозговая гематома — через сутки и более.
Симптомы внутримозговой гематомы
Общемозговые симптомы
В большинстве случаев интрапаренхиматозная гематома сопровождается выраженной общемозговой симптоматикой. У пациентов наблюдается головокружение, интенсивная головная боль, тошнота и рвота. Более половины случаев внутримозговой гематомы характеризуется нарушением сознания от сопора до комы. Иногда угнетению сознания предшествует период психомоторного возбуждения. Образование внутримозговой гематомы может протекать с наличием стертого светлого промежутка в состоянии пациента, с более длительным светлым промежутком или без него.
Очаговые симптомы
Очаговая симптоматика внутримозговой гематомы зависит от ее объема и локализации. Так, при небольших гематомах в области внутренней капсулы имеет место более выраженный неврологический дефицит, чем при значительно больших гематомах, локализующихся в менее значимых в функциональном плане участках мозга. Наиболее часто внутримозговая гематома сопровождается гемипарезом, афазией (расстройством речи), нарушениями чувствительности, не симметричностью сухожильных рефлексов правых и левых конечностей, судорожными эпилептическими приступами. Могут наблюдаться анизокория, гемианопсия, лобные симптомы: расстройство критики и памяти, нарушение поведения.
Дислокационный синдром
Обширная внутримозговая гематома быстро приводит к появлению дислокационного синдрома, возникающего в результате смещения мозговых структур. Вызывая увеличение объема содержимого черепной коробки, внутримозговая гематома приводит к смещению мозговых структур в каудальном направлении и вклинению миндалин мозжечка в большое затылочное отверстие. Следствием этого является сдавление продолговатого мозга, клинически проявляющееся стволовой симптоматикой: нистагмом, нарушением глотания (дисфагией), расстройством дыхательного ритма, диплопией, тугоухостью, вестибулярной атаксией, гипо- или аносмией, косоглазием и опущением верхнего века, брадикардией, гипертермией и подъемом артериального давления.
Кровоизлияние в желудочки
Внутримозговая гематома с прорывом крови в желудочки характеризуется гипертермией, быстро развивающимся угнетением сознания вплоть до комы, наличием менингеальных симптомов, горметоническими судорогами — приступообразным повышением тонуса мышц конечностей, в результате которого руки оказываются согнуты и приведены к туловищу, а ноги максимально разогнуты.
Внутримозговая гематома отсроченного характера клинически проявляется отсутствием улучшения в состоянии пациента или резким ухудшением его состояния спустя сутки и более после полученной травмы.
Современные методы нейровизуализации позволяют не только диагностировать внутримозговую гематому, но и выявить причину ее появления. Ведущим диагностическим методом являются:
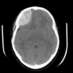
- КТ головного мозга. Как правило, на томограммах внутримозговая гематома имеет вид очага гомогенной плотности округлой или овальной формы. Если гематома сформировалась в результате ушиба головного мозга, то она обычно имеет неровный контур. С течением времени происходит уменьшение плотности гематомы до изоплотного состояния, при котором ее плотность соответствует плотности мозговой ткани. Для малых гематом этот период составляет 2-3 недели, а для средних — до 5 недель.
- МРТ головного мозга. При уменьшении плотности гематома лучше визуализируется при помощи МРТ, хотя в начальном периоде применение МРТ может привести к ошибочному диагнозу в пользу опухоли с кровоизлиянием. Поэтому, при наличие такой возможности, многие неврологи и нейрохирурги предпочитают использовать в ходе диагностики оба способа нейровизуализации (КТ и МРТ).
- Церебральная ангиография. С целью выявления сосудистых нарушений, обусловленных рефлекторным ангиоспазмом, а также для диагностики аневризм и артерио-венозных мальформаций применяется ангиография головного мозга или магнитно-резонансная ангиография (МРА). Самостоятельно применяться в диагностике внутримозговой гематомы ангиография не может, поскольку не дает возможности точно отдифференцировать участок ушиба головного мозга от гематомы.

Дифференцировать внутримозговую гематому следует с опухолью полушарий мозга, очагом ушиба мозга, ишемическим инсультом, кистой и абсцессом головного мозга.
Лечение внутримозговой гематомы
Консервативная терапия
Внутримозговая гематома может быть пролечена консервативным или оперативным способом. Решение о выборе лечебной тактики обычно принимает нейрохирург. Проведение консервативной терапии под контролем КТ возможно при диаметре внутримозговой гематомы до 3 см, удовлетворительном состоянии сознания пациента, отсутствии клинических данных за дислокационный синдром и сдавление продолговатого мозга. В рамках консервативной терапии осуществляется введение гемостатиков и препаратов, уменьшающих проницаемость сосудов. Необходима профилактика тромбоэмболии, коррекция артериального давления. Для снижения внутричерепного давления под контролем электролитного состава крови применяют диуретики.
Нейрохирургическое лечение
Большой диаметр внутримозговой гематомы, выраженная очаговая симптоматика, нарушение сознания являются показанием к хирургическому лечению. Наличие признаков сдавления ствола мозга и/или дислокационного синдрома служит поводом для неотложного оперативного вмешательства:
- Транскраниальное удаление. Является операцией выбора при гематомах различной локализации и размера.
- Эндоскопическая эвакуация. Менее травматичный способ хирургического лечения внутримозговой гематомы. Применяется при наличии технической возможности.
- Стереотаксическая аспирация. Применима в отношении гематом малого размера, сопровождающихся значительным неврологическим дефицитом.
При множественных гематомах удалению зачастую подлежит лишь наибольшая из них. Если внутримозговая гематома сочетается с гематомой оболочек того же полушария, то ее удаление производится совместно с удалением субдуральной гематомы. Если внутримозговая гематома малого или среднего размера локализуется на другой стороне от гематомы оболочек, то она может не удаляться.
Прогноз и профилактика
К основным факторам, от которых зависит прогноз, относятся: размер и расположение гематомы, возраст пациента, наличие сопутствующей патологии (ожирения, гипертонической болезни, сахарного диабета и др.), степень и длительность нарушения сознания, сочетание внутримозговой гематомы с гематомами оболочек, своевременность и адекватность оказанной медицинской помощи. Наиболее неблагоприятен прогноз в отношении гематом, прорывающихся в желудочки головного мозга. Основные причины летального исхода — это отек и дислокация головного мозга. Около 10-15% пациентов с геморрагическим инсультом погибают от рецидива кровоизлияния, а примерно 70% имеют стойкий инвалидизирующий неврологический дефицит. Профилактика заключается в предотвращении травм головы, профилактике и своевременном лечении цереброваскулярных заболеваний.
Диагностика спонтанного внутричерепного кровоизлияния по КТ, МРТ
Субарахноидальное кровоизлияние (САК) рассасывается сравнительно быстро. Уже через 1 - 2 недели на КТ не выявляется заметных следов такого кровоизлияния. КТ позволяет выявлять свертки и жидкую кровь в цистернах и других субарахноидальных пространствах в остром периоде САК. Через 5 - 7 дней от начала заболевания (травмы) частота выявления САК существенно уменьшается. При нетравматическом САК могут выявляться КТ-признаки разрыва аневризмы, как причины кровотечения. Сама же аневризма может и не контурироваться. Обычные МРТ-режимы (Т1- и Т2-ВИ*) при САК малоинформативны. Но FLAIR-режим**, по сравнению с КТ, более информативен. Это обусловлено тем, что белки плазмы и продукты распада крови, попавшие в субарахноидальное пространство, содержат связанную воду, которая и дает высокий сигнал в режиме FLAIR. Субарахноидальные пространства, содержащие нормальный ликвор, в режиме FLAIR дают гипоинтенсивный сигнал, что резко отличает их от пространств, заполненных кровью. Режим FLAIR способен выявить САК давностью до 2 недель. Особенно значительны преимущества режима FLAIR перед КТ при небольшой примеси крови в ликворе.
Внутримозговые кровоизлияния рассасываются значительно медленнее, чем САК. Они могут выявляться даже через несколько месяцев после возникновения. Рассасывание излившейся в мозг крови происходит в определенной последовательности. При этом изменяется количество продуктов распада гемоглобина, что определяет степень плотности геморрагического очага на КТ в единицах Хаунсфилда (G. Hounsfield - ед. Н), а также интенсивность сигнала на МРТ.
Кровоизлияния разделяют по стадиям (срокам возникновения): (1) острая - о - 2 дня; (2) подострая - 3 - 14 дней; (3) хроническая - больше 14 дней.
В первые минуты или часы после кровоизлияния (острейшая стадия) в гематоме присутствует только оксигемоглобин, который диамагнитен. Гематома обычно изоинтенсивна с хоботком низкого МР-сигнала на Т1-ВИ (в отличие от зоны ишемии) и гиперинтенсивна на Т2-ВИ и FLAIR.
В острой стадии кровоизлияния (до 2 суток) диоксигемоглобин, оставаясь внутри интактных эритроцитов, проявляется очень низким сигналом на Т2-ВИ (выглядит темным). Так как диоксигемоглобин не изменяет времени релаксации Т1, то острая гематома в этом режиме ВИ обычно не проявляется и выглядит изоинтенсивной или имеет тенденцию к гипоинтенсивному сигналу. На этой стадии кровоизлияния выявляется перифокальный отек мозга, хорошо определяемый на Т2-ВИ в виде зоны повышенного сигнала, окружающего гипоинтенсивную область острой гематомы. Такой эффект наиболее выражен на Т2-ВИ, режиме FLAIR на высокопольных томографах. На низкопольных томографах его выраженность значительно меньше.
В подострой стадии кровоизлияния гемоглобин редуцируется до метгемоглобина, который обладает выраженным парамагнитным эффектом. В раннюю подострую стадию (3 - 7 сутки) метгемоглобин располагается внутриклеточно и характеризуется коротким временем релаксации Т2. Это проявляется низким сигналом на Т2-ВИ и гиперинтенсивным на Т1-ВИ. В позднем периоде подострой стадии (1 - 2-я неделя) продолжающийся гемолиз приводит к высвобождению из клеток метгемоглобина. Свободный метгемоглобин имеет короткое время релаксации Т1 и длинное Т2 и, следовательно, обладает гиперинтенсивным сигналом на Т1-ВИ и Т2-ВИ и FLAIR.
В конце подострой и начале хронической стадии по периферии внутримозговой гематомы откладывается гемосидерин, что сопровождается формированием зоны низкого сигнала. В это время в центре гематомы во всех режимах МРТ возникает повышенный сигнал, а на ее периферии - сниженный. Отек головного мозга к этому времени, как правило, исчезает или уменьшается. Гемосидерин сохраняется в течение длительного времени. Поэтому такие изменения на МРТ свидетельствуют о ранее перенесенном кровоизлиянии.
При КТ-исследованиях, сразу после кровоизлияния отмечается высокая плотность гематомы примерно до 80 ед. Н, что обусловлено структурой излившейся¸ неподвижной крови. Этот очаг обычно окружен различной по размерам зоной пониженной плотности. Вследствие распада гемоглобина, в сроки от нескольких дней до 2 недель плотность гематомы уменьшается, становясь идентичной плотности мозгового вещества (изоденсивная фаза). В это время КТ-диагностика геморрагий становится трудной.
В остром периоде кровоизлияния надежность и специфичность МРТ-диагностики уступают методу КТ. Учитывая более короткое время исследования и меньшую стоимость, КТ является методом выбора в остром периоде внутримозгового кровоизлияния. При МРТ исследовании наиболее информативным, особенно на высокопольных томографах, является режим на основе градиентного эхо с получением Т2-ВИ и FLAIR. При выраженной анемии (что встречается у пострадавших с сочетанной ЧМТ), а также при коагулопатиях, даже в острой стадии развития внутримозгового кровотечения, плотность гематомы на КТ может не отличаться от плотности мозговой ткани. Поэтому у таких больных желательно кроме КТ производить и МРТ в режиме FLAIR, а на КТ оценивать косвенные признаки гематомы (смещение срединных структур мозга, деформацию ликворопроводящей системы и др.).
Начиная с момента появления внеклеточного метгемоглабина (с конца первой недели), МРТ более точно и надежно, по сравнению с КТ, выявляет внутримозговое кровоизлияние. В позднем периоде кровоизлияния только МРТ-исследование позволяет установить геморрагический характер патологии.
Острые травматические оболочечные гематомы, как и внутримозговые, имеют низкий сигнал на Т2-ВИ и изоинтенсивный сигнал на Т1-ВИ. На КТ-томограммах острые эпидуральные гематомы и большинство субдуральных гематом имеют однородную гиперденсивную структуру с показателями плотности 60 - 70 ед. Н. Поэтому при исследовании в обычном для головного мозга окне, особенно субдуральные гематомы небольшой (3 - 6 мм) толщины могут сливаться с изображением костей черепа, что затрудняет их диагностику. Выявить гематому помогает изменение окна так, чтобы различить кость и примыкающую ней гематому.
К концу 1-й недели оболочечная (особенно субдуральная) гематома становится неоднородной из-за появления в ней сгустков крови на фоне лишенной эритроцитов сыворотки крови или спинномозговой жидкости. Если гематома остается в полости черепа 2 - 4 недели, то форменные элементы рассасываются, ее рентгеновская и КТ-плотность снижается до изоденсивной, однако объем гематомы при этом не только не уменьшается, но может и увеличиваться. На истинный объем эпидуральной гематомы может указывать величина пространства, образованного отслоенной от костей черепа твердой мозговой оболочкой. Содержимое этого пространства состоит из гиперденсивной и изоденсивной (не видимой на КТ) частей гематомы. Так как в течение первых недель после травмы оболочечная гематома становится изоденсивной, то она может быть не выявлена. Это чаще бывает при двусторонних гематомах или при их локализации в базальных отделах мозга или в задней черепной ямке, когда поперечная дислокация срединных структур мозга или отсутствует или она минимальна. У таких больных подозрение на оболочечную гематому должны вызывать узкие желудочки со сближенными лобными рогами, резко сдавленные субарахноидальные пространства и транстенториальное вклинение.
Выявить изоденсивную подострю субдуральную гематому можно, если удается увидеть отодвинутую от внутренней костной пластинки кору головного мозга. Выполнение этой задачи облегчает выполнение тонких КТ-срезов или внутривенного контрастирования. В этой фазе эволюции гематомы отмечается повышение интенсивности МР-сигнала на Т1 и Т2-ВИ и, в отличие от КТ, диагностика оболочечных гематом не вызывает затруднений.
Заключение. Современный уровень развития КТ- и МРТ-методов диагностики позволяют успешно решать большинство диагностических задач при острых внутричерепных кровоизлияниях. Однако у ряда больных в различных стадиях развития таких патологических процессов для точной диагностики применения какого-то одного метода может быть недостаточно. Тогда желательно использовать оба (КТ и МРТ) метода в соответствующих режимах, а при отсутствии такой возможности - скрупулезно оценивать вторичные признаки геморрагических процессов.
Справочная информация. Динамика КТ-плотности и интенсивности МРТ-сигнала в зависимости от времени образования внутримозговых кровоизлияний:
(1) КТ-плотность очага кровоизлияния по ед. Н:
- < 1 сут. - острейшая стадия - плотность резко повышена (от 60 до 80 ед. Н);
- 1 - 3 дня - острая стадия - плотность от 60 до 80 ед. Н;
- 3 - 7 дней - ранняя подострая стадия - плотность умеренно повышена (от 40 до 70 ед. Н);
- 1 - 2 нед. - поздняя подострая стадия - плотность снижается до изодненсивной;
- более 1 мес. - хроническая стадия - плотность снижена до ликворных значений (4 - 15 ед. Н).
(2) Интенсивность МР-сигнала от очага кровоизлияния - режим Т2-ВИ):
- < 1 сут. - острейшая стадия - гиперинтенсивный по периферии, в центре гипоинтнесивный сигнал;
- 1 - 3 дня - острая стадия - гипоинтнесивный сигнал, окруженный зоной гиперинтнесивного сигнала (от зоны отека мозга);
- 3 - 7 дней - ранняя подострая стадия - то же;
- 1 - 2 нед. - поздняя подострая стадия - гиперинтенсивный сигнал;
- более 1 мес. - хроническая стадия - гипо- или гиперинтнесивный сигнал.
(3) Интенсивность МР-сигнала от очага кровоизлияния - режим Т1-ВИ:
- < 1 сут. - острейшая стадия - изоинтенсивный сигнал;
- 1 - 3 дня - острая стадия - гипоинтенсивный сигнал;
- 3 - 7 дней - ранняя подострая стадия - кольцо гиперинтенсивного сигнала;
- 1 - 2 нед. - поздняя подострая стадия - гиперинтенсивный сигнал в центре гематомы, гипоинтнесивный по ее периферии;
- более 1 мес. - хроническая стадия - гипоинтенсивный сигнал.
(4) Интенсивность МР-сигнала от очага кровоизлияния - режим FLAIR:
- < 1 сут. - острейшая стадия - гиперинтенсивный сигнал;
- 1 - 3 дня - острая стадия - гиеринтенсивный сигнал;
- 3 - 7 дней - ранняя подострая стадия - то же;
- 1 - 2 нед. - поздняя подострая стадия - гиперинтенсивный сигнал, в центре гематомы гипоинтенсивный;
- более 1 мес. - хроническая стадия - гипоинтенсивный сигнал.
* ВИ - взвешенное изображение; ** FLAIR - Fluid Attenuated Inversion Recovery (режим с подавлением сигнала свободной воды).
по материалам статьи «Особенности КТ- и МРТ-диагностики при внутричерепных кровоизлияниях и инфарктах мозга» В.В. Лебедев, Т.Н. Галян (НИИ скорой помощи им. Н.В. Склифосовского, Москва); статья опубликована в журнале «Нейрохирургия» №4, 2006
МРТ диагностика кровоизлияний в мозг

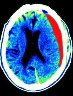
МРТ головного мозга. Т1-взвешенная аксиальная МРТ. Субдуральная гематома. Цветовая обработка изображения.
Все кровоизлияния в мозг могут быть разделены на следующие типы:
- интрапаренхимальное
- субарахноидальное
- субдуральное
- эпидуральное
- внутрижелудочковое
- внутриопухолевое
Интрапаренхимальные кровоизлияния являются следствием гипертонии и проявляются в виде кровоизлияний в вещество мозга (геморрагический инсульт) и гипертензивных синдромах. Геморрагический инсульт возникает вследствие разрыва изменённых (гиалиноз, микроаневризмы) сосудов при повышении артериального давления. Частота геморрагического инсульта составляет около 9 случаев на 100 тысяч населения. Это 10-18% от всех смертей. По отношению к всем острым нарушениям мозгового кровообращения (ОНМК) на геморрагический инсульт приходится 10-20%. Кроме того, еще наблюдаются вторичные диапидезные кровоизлияния при ишемическом типе ОНМК. Также кровоизлияния типичны для венозных инфарктов. Возраст пациентов обычно старше 45 лет. Локализация геморрагического инсульта может быть почти любой, но чаще это базальные ядра, таламус, мозжечок.
Диагностика состоит в выполнении КТ и МРТ головного мозга. Отображение крови на МРТ зависит от сроков.

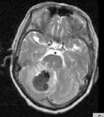
МРТ головного мозга. Аксиальная Т2-взвешенная МРТ. Кровоизлияние в мозжечок.

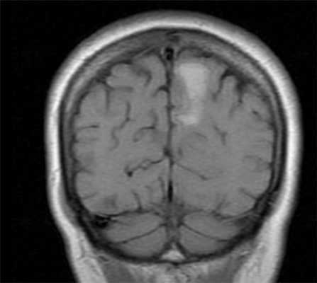
МРТ головного мозга. Т1-взвешенная корональная МРТ. Смешанный ишемический инсульт. Ранняя подострая стадия.
Субарахноидальное кровоизлияние (САК) - это кровоизлияние между арахноидальной и мягкой мозговыми оболочками. Эпидемиология САК отличается в разных странах, в России около 6 на 100 тысяч населения. Самой частой причиной САК является травма, затем разрыв мешотчатой аневризмы (85% от нетравматических спонтанных кровоизлияний). На оставшиеся 15% нетравматических кровоизлияний приходятся доброкачественное перимезэнцефальное кровоизлияние неясной этиологии и разрыв вен. Смертность от САК очень высокая, и зависит от массивности и расположения кровоизлияния.
Клинические проявления состоят из:
- Неожиданно приступ тяжёлой головной боли
- Фотофобия, тошнота, рвота
При неврологическом осмотре выявляются менингеальные знаки - часто единственный признак САК. Ксантохромия СМЖ появляется через 12 и более часов после САК и может быть только методом позднего его подтверждения. Предлагаются разные подходы к лучевой диагностике САК. В первые сутки предпочтительна МРТ, так как кровь уже может быть видна на Т2-МРТ градиентного типа или FLAIR. В более поздние сроки, до 3-5 дня предпочтительнее КТ. Затем опять МРТ, которая чувствительнее КТ в подострую и хроническую фазы кровоизлияния.
Количество крови оценивается по шкале Фишера. Она делит кровоизлияние на 4 группы:
- Не визуализируется кровь
- Диффузное САК с толщиной до 1 мм, без сгустков
- Сгустки крови и (или) толщина САК больше 1 мм
- Внутримозговое или внутрижелудочковое кровоизлияние в сочетании с САК

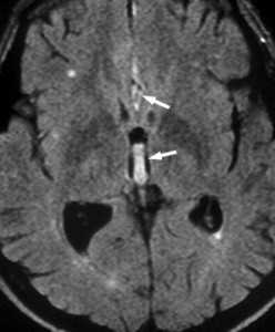
МРТ головного мозга. Аксиальная МРТ типа FLAIR. Аневризма и САК, внутрижелудочковое кровоизлияние.
Субарахноидальное кровоизлияние опасно вазоспазмом, который наблюдается на 5-7 сутки. Сам спазм хорошо определяется при дуплексном сканировании. При МРТ головного мозга можно выявить ранние признаки ишемического инсульта.

МРТ головного мозга. Диффузионно-взвешенная МРТ последовательность. ОНМК в острой стадии вследствие вазоспазма.
Субдуральная гематома обычно возникает вследствие разрыва вен. Причины субдуральной гематомы - травма, антикоагулянтная терапия, резкая декомпрессия при шунтировании желудочков по поводу гидроцефалии. Очень редко встречаются субдуральные гематомы при разрыве аневризм и АВМ. Клинические проявления связаны смасс-эффектом. Частота субдуральных гематом составляет около 1 случая на 10 тысяч населения. Располагаются субдуральные гематомы по конвекситальной поверхности, изредка, вдоль межполушарной щели и намёта, в области задней черепной ямки. Может быть сочетание субдуральной гематомы с кровоизлиянием в соседние участки мозга. прогноз в этих случаях неблагоприятный. Отображение гематомы на КТ и МРТ зависит от их давности. Субдуральные гематомы имеют форму серпа.

МРТ головного мозга. Аксиальная Т2-взвешенная МРТ. Подострая субдуральная гематома.
Эпидуральная гематома (экстрадуральная гематома) имеет травматическое происхождение. Это скопление крови внутренний костной пластинкой и твердой мозговой оболочкой. Обычно гематома расположена под областью перелома костей черепа. Причиной кровоизлияния является разрыв оболоченной артерии. Встречаются эпидуральные гематомы вдвое реже субдуральных. По форме гематома двояковыпуклая. Чаще всего диагностируется в неотложных условиях методом КТ. МРТ обычно применяется при спинальных эпидуральных гематомах.

КТ. Эпидуральная гематома.
Внутрижелудочковые кровоизлияния бывают первичные и вторичные. Первичные кровоизлияния наблюдаются при внутрижелудочковых опухолях, некоторых аневризмах (задней нижней мозжечковой со скоплением крови в 4 желудочке) и субэпендимальных кавернозных ангиомах. Вторичные кровоизлияния возникают как следствие прорыва крови в желудочки при интрапаренхимальных кровоизлияниях и САК.

МРТ головного мозга. Аксиальная Т2-взвешенная МРТ типа FLAIR. Внутрижелудочковое кровоизлияние.
Внутриопухолевые кровоизлияния встречаются редко. обычно они не обширные, как, например, при апоплексиях аденом гипофиза. Апоплексия - это острое нарушение кровоснабжения гипофиза с некрозом или кровоизлиянием. Частота около 10% случаев макроаденом. Клинически апоплексия появляется головными болями, рвотой и зрительными нарушениями. Изредка обширные кровоизлияния наблюдаются в метастазах.

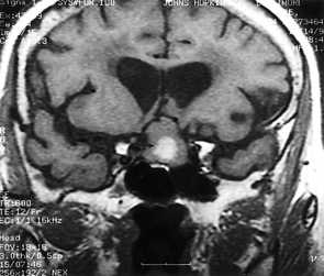
МРТ головного мозга. Корональная Т1-взвешенная МРТ. Апоплексия макроаденомы гипофиза с кровоизлиянием.
Внутримозговое кровоизлияние любого типа относится к экстренным состояниям и МРТ в СПб выполняется, как правило в приемном покое больницы, либо делают срочно КТ. В подострую стадию возможности МРТ СПб позволяют выполнять исследование стационарных условиях и в хронической на открытом МРТ.
Читайте также:
