Диагностика тромбоза кавернозных вен головного мозга по КТ, МРТ, ангиограмме
Добавил пользователь Евгений Кузнецов Обновлено: 01.11.2025
Звоните нам по телефону 8 (812) 241-10-46 с 7:00 до 00:00 или оставьте заявку на сайте в любое удобное время
Ваша заявка принята!
Благодарим за обращение.
В ближайшее время с вами свяжется наш специалист.
категории статей
МРТ венозных синусов головного мозга
Магнитно-резонансная томография головного мозга визуализирует любые сосуды головного мозга в нативном режиме. Визуализация становится более качественной после внутривенного введения контрастного вещества (МР-ангиография, МРА, МР-венография).
Процедура хорошо визуализирует мягкие ткани, поэтому отслеживает сосудистые образования внутри любого органа. Комплексная программа с ангиографическим режимом включает перечень обследуемых зон:
- Головной мозг;
- Шея;
- Коронарные сосуды и шея;
- Аорта;
- Кровоснабжение разных отделов головного мозга.
Исследование проводится для обнаружения участков сужения, тромбов, атеросклероза, аневризм, артерио-венозных мальформаций, васкулитов.
Частные диагностические центры предлагают услуги:
- Бесконтрастную МРТ венографию интракраниальных вен и венозных синусов;
- Контрастное обследование внутричерепных вен;
- МР-ангиографию шеи и головы.
Рассмотрим подробнее особенности процедур.
Большинство клиник предлагает обследование высокопольными томографами (мощностью более 1,5Т), но качественно отследить сосудистую проходимость позволяют среднепольные аппараты, некоторые виды низкопольных аналогов.

МР-ангиография при нарушении венозного кровоснабжения височных долей
МРТ сосудов головного мозга: артериография, венография
Магнитно-резонансная томография - метод послойного сканирования области исследования через заданное количество миллиметров. Сравнение, анализ полученных сотен полученных томограмм осуществляется программным обеспечением.
Преимущественный анализ сосудов с помощью магнитно-резонансного сканирования - МР-ангиография (МРА).
Чем отличает МРТ головного мозга от МРТ сосудов? Первое обследование проводится для тщательного изучения церебральной паренхимы, турецкого седла, нервных волокон, гипофиза. Назначается с целью определения опухолей, кист, расширения венозных синусов, воспалительных очагов, отеков, кровоизлияния, гематом. Вторая разновидность используется преимущественно для анализа состояния вен и артерий. Исследование определяет проходимость сосудов, выявляет тромбы, аномалии, мальформации, аневризмы, васкулиты, ангиомы, другие патологические изменения.
Оптимальное оборудование по цене и качеству, позволяющее качественное провести обе процедуры, - МР-сканеры мощностью более 1,5 Тесла.
Комплексные программы МРА:
- Головной мозг, венография, артериография;
- Мозговые ткани, артерии;
- Мозг и вены (венозные синусы);
- МР-венография, МР-ангиография.
Определяет правильный метод сканирования лечащий врач, рентгенолог. Перечень методов может указываться в направлении, определяться специалистами во время выполнения томографии.
Что такое МРТ венография, томография вены Галена: показания
МР-обследование венозной сети назначается для обнаружения ряда заболеваний:
- Мальформация - смешение артериальной и венозной крови;
- Подозрение на расслоение стенки;
- Опухолевое прорастание сосудов;
- Тромбоз (тромбофлебит);
- Атеросклероз артерий;
- Аномалии развития и положения.
Венозная сеть головного мозга состоит из поверхностных и глубоких сосудов. Последние сливаются в один большой сосуд под названием «вена Галена». Цистерны располагаются по краю сагиттального синуса, проецируются в один большой сосуд (прямой).
С помощью МРТ вены Галена изучается не только строение, проходимость, но и скорость прохождения крови (в норме от четырех до восемнадцати миллисекунд). По структуре образование может иметь рассыпное или магистральное строение.
Люди с долихоцефалической формой черепа имеют магистральные вены длиной до трех сантиметров, семью протоками.
Длина галеновой вены существенно зависит от формы головы пациента. С особенностью ознакомлены врачи лучевой диагностики.
Что показывает МР-венография:
- Артериовенозные мальформации - патологические соустья между артериями и венами;
- Эмболизация - закупорка венозной или артериальной мальформации;
- Церебральные венозные дистонии - нарушение тонуса сосудов с патологией распределения крови;
- Тромбозы;
- Участки сужения, стенозы.
Причину назначения артериографии, венографии указывает в направлении врач.
Перед сканированием рентгенолог анализирует амбулаторную карту, историю болезни пациента.
МР-венография и артериография - в чем разница
Ход процедуры по обследованию церебральных артерий и вен аналогичный. Бесконтрастный способ предполагает использование специальных ангиографических режимов оборудования. При необходимости тщательного изучения внутреннего состояния сосудов внутривенно вводится контраст. Сканирование осуществляется последовательно по ходу распределения препарата по артериальным и венозным стволам.
Рациональность введения гадолиния («гадодиамид») определяется врачом лучевой диагностики. Процедура может проводиться предварительно или назначаться после нативной томографии с целью уточняющего обследования - выявление аневризм, атеросклероза, стеноза, васкулитов.
МР-артериография - изучение артерий путем выполнения магнитно-резонасного сканирования. Можно совмещать исследование с венографией для уменьшения времени сканирования, экономии ресурсов.
Разница между методами лишь в предмете исследования.
Томография с ангиографическим режимом головы и шеи предполагает изучение не только церебрального кровоснабжения, но и системы брахиоцефального ствола, включающего целый ряд сосудов, обеспечивающих насыщение кровью основание черепа. Рациональность дополнительного контрастирования определяется необходимостью верификации опухолей, имеющих собственную систему капилляров. Обследование обнаруживает даже небольшие новообразования диаметром несколько миллиметров.
МРА шеи и головы рекомендуется:
- При подозрении новообразований гипофиза;
- Определении степени рассеянного склероза;
- Верификации патологических очагов спинного и головного мозга;
- Диагностике метастазов.
Предварительной подготовки МРА не требует, но при аллергии к гадолинию, почечной недостаточности, боязни замкнутых помещений контрастирование проводить противопоказано. За несколько 2 часа до контрастного исследования нужно отказаться от приема еды.
Показания к магнитно-резонансной томографии вен головного мозга
МРТ вен и венозных синусов - дорогостоящая процедура, назначаемая по показаниям:
- Необъяснимое головокружение;
- Припадки эпилепсии;
- Беспричинные головные боли с определенной периодичностью;
- Ишемические заболевания;
- Быстрое падение зрения;
- Расстройство сознательной деятельности;
- Недостаточность шейного кровообращения (вертебробазилярная);
- Повышенное внутричерепное давление;
- Онкологические болезни;
- Атеросклероз;
- Перенесенные черепно-мозговые травмы;
- Церебральные тромбозы;
- Периферические васкулиты;
- Ангиопатия при сахарном диабете;
- Постинсультные состояния;
- Внутриушной шум.
Клинические показания к МРТ вен головного мозга:
- Проблемы с памятью;
- Различные виды цефалгий;
- Зрительная патология;
- Высокое внутричерепное давление;
- Черепно-мозговые травмы.
Критерии направления зависят от степени тяжести, длительности сохранения клинических симптомов, эффективности консервативного лечения.
Особенности МРТ венозных синусов
Человеческий мозг содержит десяток цистерн. Венозные полости обеспечивают накопление крови.
Виды церебральных синусов:
- Нижний (сагиттальный) - локализуется внизу серпа;
- Верхний - находится вверху серповидного отростка;
- Поперечный - располагается сзади мозжечка;
- Прямой - идет вдоль мозжечка и серповидного отростка;
- Затылочный - расщепляется на несколько образований, переходит в яремную вену или сигмовидный синус;
- Межпещеристый - по периферии турецкого седла, образует кольцо вместе с пещеристыми синусами;
- Кавернозный - находится сбоку турецкого седла. Содержит отводящий нерв, сплетение сонной артерии;
- Нижний и верхний каменистые - располагаются вдоль каменистой бороды (сверху и снизу);
- Клиновидно-теменной - локализуется возле малых крыльев клиновидной кости.
После черепно-мозговой травмы повышается вероятность тромбоза синуса (закупорка тромбом). Патология провоцируется также инфекцией, опухолью, геморрагическим инфарктом.
Неврологи чаще назначают МР-томографию пещеристого синуса из-за содержания внутри полости ряда важных анатомических структур:
- Нервные сплетения с наличием III, IV, V, VI черепных нервов;
- Внутренняя сонная артерия;
- Гипофиз прилежит к наружной стенке пазухи.
Строение пещеристой пазухи более сложное по сравнении с другими аналогами.
Тромбоз венозного синуса на МРТ
Встречаемость образования тромбов внутри церебральных синусов - один случай на миллион человек. Научная литература описывает увеличение частоты встречаемости нозологии в последние годы на фоне бесконтрольного приема гормональных средств, частого промышленного травматизма, онкологической патологии.
Основные причины возникновения венозного тромбоза:
- Распространенные инфекции - вирусные, грибковые, бактериальные;
- Воспалительные процессы головы - мастоидит, отит, тонзиллит;
- Внутричерепные кровоизлияния, последствия введения наркоза;
- Прием гормональных препаратов;
- Кесарево сечение, токсикозы беременных женщин;
- Аутоиммунные системные болезни - артериит, саркоидоз, красная волчанка;
- Сильное обезвоживание;
- Высокое артериальное давление;
- Нарушение свертывающей системы с образованием тромбов;
- Операции на внутренних органах с повреждением артерий, вен.
По системе венозных синусов кровь оттекает от поверхностной сети в яремные вены к правому предсердию сердца. Опасность попадания тромбов внутрь системы определяется отсутствием клапанов, что обеспечивает свободное распределение любых частиц с поверхностных в глубокие вены. Свободная миграция повышает риск кровоизлияний, гематом.
Назначение на МРТ венозных синусов выдается при наличии подозрительных симптомов.
МРТ тромбоз кавернозного синуса
Клиническая картина синус-тромбоза
Острые симптомы тромбоза венозных синусов достаточно специфичны. В течение двух дней возникают неврологические признаки поражения определенной зоны головного мозга. Другие проявления обуславливаются заболеванием, спровоцировавшим развитие патологии.
При хроническом течении симптомы нарастают постепенно. Преобладает один из трех видов патологических синдромов:
- Очаговая неврология;
- Судороги;
- Черепная гипертензия.
Очаговые неврологические проявления сопровождаются расстройством двигательной и тактильной чувствительности (параличи, парезы, гипестезии).
При внутримозговом отеке, гипертонии, постинсультных состояниях возможны судороги, интенсивные головные боли.
Увеличение внутричерепного давления обусловлено блокадой распределения спинномозговой жидкости внутри желудочков. Клиническая картина - двоение объектов в глазах, зрительные расстройства, рвотный рефлекс.
Септические тромбофлебиты сопровождаются повышением температуры, интоксикационным синдромом, комой, избыточной потливостью.
Неспецифичные симптомы зависят от локализации тромбоза:
- Поражение кавернозного синуса - гнойные очаги в ушах, на лице, носовых пазухах. Интоксикационный синдром сопровождается лихорадкой, застоем глазного дна;
- Блокада сагиттальной полости - выраженность венозной сети височной, лобной области, носовые кровотечения, судороги;
- Тромбофлебит поперечных вен - гнойный процесс сосцевидного отростка височной кости, болевые ощущения внутреннего уха.
Диагностика КТ венозных синусов - информативный и доступный способ. МРТ ГМ с контрастом назначают с целью обследования вен и окружающих анатомических структур.
Применение МРТ в исследовании вен головного мозга
Роль расстройства венозного кровообращения в происхождении и течении сосудистых заболеваний головного мозга длительное время недооценивалось. Это объясняется имевшимися ранее трудностями прижизненной оценки церебральной венозной гемодинамики при использовании традиционных методов регистрации венозного кровотока в сосудах головного мозга, а также недостаточным вниманием со стороны исследователей данному разделу ангиологии.
Появление современных методов нейровизуализации, в частности МРТ диагностики, значительно облегчило выявление подобных заболеваний.
Рассмотрим несколько примеров патологических процессов, выявляемых методом МРТ диагностики с применением МР-венографии.
ТРОМБОЗ ВЕН И СИНУСОВ МОЗГА
Причиной развития тромбоза вен и синусов твердой мозговой оболочки могут быть септические поражения, травмы, сдавление синуса опухолью, системные поражения соединительной ткани.
Кроме того синус-тромбозы могут развиваться по причине тромбофлебита конечностей или воспалительных очагов в организме (в послеродовом периоде, после аборта, при инфекционных заболеваниях, а также заболеваниях ушей и придаточных пазух носа).
С учетом возраста пациента, степени развития коллатерального кровообращения, а также локализации патологического процесса, клинические проявления венозных тромбозов достаточно вариабельны и неспецифичны.
Выделить типичные клинические проявления синус-тромбоза весьма сложно, но наиболее частыми начальными симптомами являются следующие:
1. головная боль
2. отек диска зрительного нерва (признак внутричерепной гипертензии)
3. фокальный неврологический дефицит
4. нарушения сознания (появляются в случае поражения вещества головного мозга в виде прогрессирующего отека, развивающегося инфаркта или кровоизлияния).
В случае поражения синусов общемозговые симптомы зависят от величины и скорости нарастания тромбоза.
Очаговые симптомы развиваются при вовлечении в процесс вещества головного мозга, т.е. при развитии коркового венозного инфаркта. Появляются корковый моторный дефицит, корковые симптомы и припадки, соответственно локализации пораженного синуса.
При возникновении клинической картины тромбоза вен и синусов головного мозга на МРТ в большей части случаев обнаруживается признаки обширных зон ишемии и геморрагии. Однако в некоторых случаях при стандартных методах нейровизуализации выявить изменения в паренхиме мозга не удается.
Методом выбора в подобных случаях является магнитно-резонансная томография (МРТ) головного мозга с применением МР-венографии.

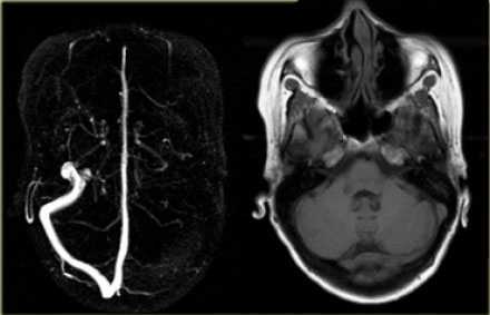
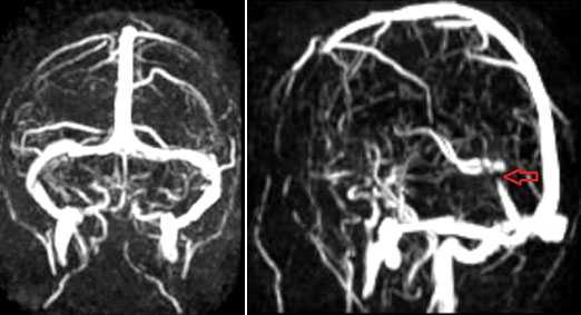
Тромбоз правого поперечного синуса - гипоинтенсивные участки по Т2 (внутриклеточный дезоксигемоглобин).
Для подтверждения тромбоза венозного синуса и определения точной локализации и протяженности тромба необходимо проведение МР-венографии.

МР-венография - отсутствие визуализации кровотока в правом поперечном синусе и яремной вене.

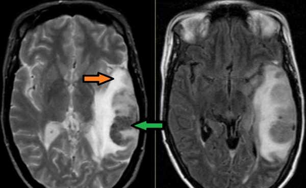
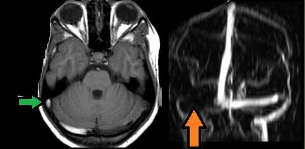
МРТ головного мозга: справа (зеленая стрелка) на Т2-взвешенном изображении отмечается имеющийся в норме феномен «пустоты потока» от правого сигмовидного синуса и яремной Вены. Слева (оранжевая стрелка) отмечается аномально высокий сигнал, в результате, вероятнее, тромбоза. Для подтверждения синус-тромбоза и окончательного определения локализации и протяженности тромбоза необходимо проведение МР-венографии.

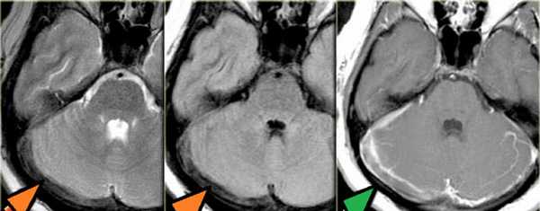
МР-венография: тромбоз левого поперечного синуса. Отмечается потеря МР-сигнала от левого поперечного синуса.
Наличие визуализации синуса на «сырых» данных или же МРТ головного мозга подтверждает тромбоз синуса и исключает его гипоплазию.

МР-венография: тромбоз правого поперечного синуса. Отмечается потеря МР-сигнала от правого поперечного синуса.
Наличие визуализации синуса на «сырых» данных или же МРТ головного мозга подтверждает тромбоз синуса и исключает его гипо- и аплазию.

Тромбоз правого поперечного синуса. Отсутствие феномена «пустоты потока» от правого поперечного синуса на МРТ головного мозга. Отсутствие визуализации правого поперечного синуса на МР-венографии.
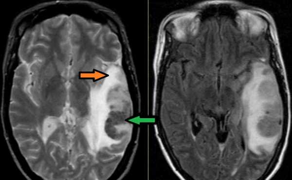
Как указывалось выше, в случаях возникновения клинической картины церебрального венозного тромбоза по ходу вен и синусов на МРТ головного мозга в части случаев обнаруживается зона ишемии и геморрагии.

МРТ головного мозга: отмечается сочетание вазогенного (оранжевая стрелка), цитотоксического отека и кровоизлияния (зеленая стрелка). Данная МР-картина, а также расположение патологической зоны в проекции височной доли, заставляет задуматься о геморрагическом венозном НМК вследствие тромбоза вены Лаббе. Для подтверждения необходимо проведение МР-венографии или МРТ с контрастным усилением.
СТЕНОЗЫ, УЧАСТКИ ПАТОЛОГИЧЕСКОГО РАСШИРЕНИЯ И ГИПОПЛАЗИЯ ВЕНОЗНЫХ СТРУКТУР ГОЛОВНОГО МОЗГА

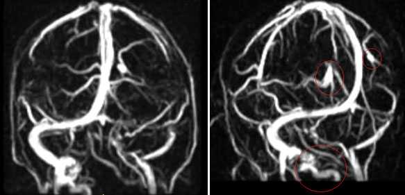
МРА-картина выраженной асимметрии венозной сети с преобладанием и нерезкой дилатацией вен правой гемисферы (поперечного, сигмовидного синусов и яремной вены справа); гипоплазии левого поперечного и сигмовидного синуса. Единичные участки (2) локального расширения вен в парасагиттальных отделах левой гемисферы, большой вены мозга. Асимметричная, расширенная и выражено извитая венозная структура экстракраниальных отделов справа.

МРА признаки незначительной дилатации верхнего сагиттального синуса, локального снижения кровотока и сужения просвета дистальных отделов прямого синуса; асимметрии просвета поперечных, сигмовидных синусов и внутренних яремных вен.
СОСУДИСТЫЕ МАЛЬФОРМАЦИИ
1. Венозная мальформация (венозная ангиома).
Встречается относительно часто и не является истинной мальформацией, в большей степени представляет собой вариант строения венозного оттока.
Течение обычно бессимптомное. Редко бывают судороги.

Венозная мальформация. Схема. Определяются мелкие расширенные венулы в виде «зонтика», «головы медузы», дренирующиеся в крупную транскортикальную вену, которая, в свою очередь впадает в верхний сагиттальный синус.

а) Т1 с внутривенным контрастированием. Стрелки показывают расширенные вены глубокого белого вещества, дренирующиеся в расширенную транскортикальную вену;
б) МР-венография с контрастированием показывает венозную дисплазию, дренирующуюся в расширенную внутреннюю мозговую вену. Венозная мальформация.
2. Мальформация большой вены мозга (вены Галена).
Центрально расположенная АВМ, дренирующаяся в вену Галена, с формированием ее варикозного расширения. У новорожденных могут возникать явления сердечной недостаточности за счет большого объема шунтового кровотока.

а) Мальформация (варикозное расширение) вены Галена, схема.
б)Т1-sag определяется расширенная вена Галена (открытая стрелка), дренирующаяся (стрелка) в сагиттальный синус;
в) МР-объемная реконструкция.
Когда нужна КТ-ангиография?
Чтобы кровеносная система нормально функционировала, важно иметь здоровые сосуды. О том, как помогает проверить их состояние КТ-ангиография, о показаниях к такому исследованию нам рассказала врач-рентгенолог «Клиники Эксперт» Курск Екатерина Александровна Нехаева.
— Среди методов исследования сосудов особое место занимает КТ-ангиография. Екатерина Александровна, что это такое? В чём суть этого исследования?
— Это современный и один из наиболее информативных методов диагностики патологии сосудов, основанный на применении рентгеновского излучения. От обычного рентгена его отличает гораздо большая информативность. Врач с помощью специальной программы может сформировать трёхмерную модель сосудов исследуемой области.
КТ-ангиография всегда выполняется с контрастом, то есть с внутривенным введением контрастного препарата. Так кровеносные сосуды становятся более заметными на снимках по сравнению с окружающими тканями. Это даёт возможность с высокой точностью оценить их просвет, расположение, синтопию (взаимоотношение с окружающими анатомическими структурами) и прочие параметры. Эти параметры определяют доступность сосудов для хирурга, например, при планировании вмешательств. Всю эту информацию мы стараемся отразить в протоколе максимально подробно (особенно если направляющий врач в направлении ставит перед нами конкретные вопросы).
— Сосуды каких частей тела, органов человека можно обследовать с помощью КТ-ангиографии?
— КТ-ангиография широко используется с целью оценки сосудов головы, шеи, крупных сосудов брюшной полости и забрюшинного пространства, сосудов подвздошных областей, нижних конечностей, коронарных артерий, а также лёгочных артерий и вен.
Читайте материал по теме:
— Когда пациенту может понадобиться КТ-ангиография?
— В основном показания к исследованию определяет направляющий доктор. Обычно это сосудистые хирурги, потому как КТ-ангиография зачастую производится непосредственно перед предполагаемым хирургическим вмешательством, чтобы врач при выполнении операции мог учитывать расположение и размер сосудов.
Наиболее распространённые патологии и иные поводы, с которыми приходят (или поступают) к нам пациенты, - это:
- облитерирующий атеросклероз сосудов нижних конечностей (поражение крупных артерий ног, приводящее к сужению артерий и нарушению кровообращения);
- атеросклеротическое поражение артерий головы и шеи, коронарных артерий и др.;
- аномалии развития сосудов;
- аневризма;
- разрыв аорты;
- тромбоз артерий;
- ишемическая болезнь сердца;
- синдром экстравазальной компрессии кровеносного сосуда (т. е. когда сосуд сдавливается чем-то извне);
- повреждение сосудов;
- осмотр после проведённой операции и др.
Читайте материалы по теме:
— Что выявляет КТ-ангиография?
— Она помогает обнаружить стенотические изменения (зоны сужения) или аневризматические участки (места расширения) сосудов, наличие и распространённость атеросклеротических изменений (с определением точного размера и структуры бляшек), сдавление сосудов опухолью и т. д.
КТ-ангиография позволяет также выявить аномалии развития сосудов, наличие различных вариантов отхождения и взаиморасположения сосудов, которые тоже зачастую бывают клинически значимыми.
— Екатерина Александровна, в чём преимущества КТ-ангиографии, если сравнивать её, например, с МРТ и УЗИ? И может ли она полностью заменить эти методы?
— КТ-ангиография однозначно более информативна, чем перечисленные методы, так как позволяет визуализировать саму сосудистую стенку, в то время как на МРТ и УЗИ мы видим только сигнал тока крови по сосудам. Также только благодаря такой КТ-диагностике мы можем видеть атеросклеротические бляшки, оценить их размеры, структуру, форму.
С помощью КТ-ангиографии сосудов головного мозга можно рассмотреть внутричерепные (интракраниальные) сосуды намного лучше, чем при проведении ультразвуковых исследований, поскольку возможности УЗИ ограничены из-за экранирования ультразвука костями черепа.
КТ-ангиография может полностью заменить МР-ангиографию, поскольку последняя уступает ей в чувствительности и специфичности. С другой стороны, при выполнении МРТ нет лучевой нагрузки, присущей компьютерной томографии. На УЗИ преимуществом является лишь возможность оценить скорость кровотока в динамике, а также отсутствие противопоказаний, характерных для рентгеновских исследований и внутривенного контрастирования.
В любом случае оптимальный выбор того или иного метода исследования, в зависимости от вопросов, которые стоят перед рентгенологом, всегда остаётся за направляющим врачом-клиницистом.
Подробнее об УЗИ сосудов - наша статья: Доплер, дуплекс, триплекс. Каким бывает УЗИ сосудов?
— Нужна ли подготовка перед КТ-ангиографией?
— В целом, никакой особенной подготовки не нужно. Но если пациенту за несколько дней до компьютерной томографии проводили рентгенологическое обследование желудка и (или) кишечника с сернокислым барием, то следует подождать 3-4 дня, пока барий выведется из организма. Также если пациент употребляет метформин (препарат для лечения диабета второго типа), то после согласования с лечащим врачом необходимо прервать приём лекарства за два дня до обследования.
— Расскажите поподробнее, как проводится КТ-ангиография
— Человек помещается на выдвижной стол компьютерного томографа. Предварительно ему в локтевую вену устанавливается катетер, через который с помощью специального прибора (инъектора) вводится рентгеноконтрастный препарат. Вначале выполняется «нативное» (предварительное бесконтрастное) сканирование, а затем сканирование с введением контраста. При исследовании некоторых областей может потребоваться задержка дыхания в среднем на 10 секунд. Специалист во время всего сеанса находится в соседней комнате и общается с пациентом по громкой связи. Продолжительность процедуры примерно 20 - 30 минут.
— Всем ли можно проводить это исследование? Или к КТ-ангиографии есть противопоказания?
— Да, они есть. Это:
- нарушение функционирования почек;
- тиреотоксикоз (повышение уровня гормонов щитовидной железы) и тиреотоксический криз;
- аллергия на йодсодержащие контрастные препараты;
- беременность.
— Требуется ли направление для того, чтобы пройти КТ-ангиографию?
— Да, направление от лечащего врача необходимо в абсолютном большинстве случаев.
— Екатерина Александровна, а проводят ли это исследование детям?
— Да. Для выполнения компьютерной томографии детям используются специальные протоколы сканирования, применение которых подразумевает максимально возможное снижение лучевой нагрузки на организм ребёнка. Тем не менее, КТ-ангиографию детям проводят по строгим показаниям и с обязательным направлением от лечащего врача.
Если вам нужно сделать КТ-ангиографию, записаться на это исследование можно здесь
ВНИМАНИЕ: услуга доступна не во всех городах
Беседовала Марина Воловик
Редакция рекомендует:
Для справки:
Нехаева Екатерина Александровна
В 2013 г. окончила Курский государственный медицинский университет.
В 2015 г. - ординатура по общей хирургии.
Прошла профпереподготовку по рентгенологии.
В настоящее время - врач-рентгенолог в «Клинике Эксперт» Курск. Принимает по адресу: ул. Карла Либкнехта, д. 7.
Другие статьи по теме
Компьютерная томография костей черепа - исследование довольно распространённое. Однако при некоторых болезнях. КТ височных костей: когда бывает нужно это исследование?
Когда необходима КТ головного мозга? Как её проводят? Насколько безопасно такое исследование? Не только МРТ. Что покажет КТ головного мозга?
Доктор направил вас на МСКТ для определения количества кальция в артериях сердца. МСКТ для определения коронарного кальция: что это за исследование?
Тромбоз кавернозного синуса: причины, симптомы, диагностика
Тромбоз кавернозного синуса является последствием инфекционных процессов. Симптомы заболевания сопровождаются нервными расстройствами, мышечными судорогами, головными болями, повышением температуры.
Распространение инфекционного процесса на синусы осуществляется из ушей, придаточных пазух носа, ротовой полости.
Что такое тромбоз кавернозного синуса
Закупорка протока тромбом на фоне бактериального или вирусного воспаления нарушает венозный отток от мозговой ткани, глазниц. Кавернозный синус расположен возле турецкого седла. Область сообщается с носовыми пазухами, полостью уха.
Первый вид провоцируются инфекциями. При второй разновидности не обнаруживаются микробы, а этиологическим фактором тромбообразования является повреждение сосудистой стенки возле локализации кавернозного синуса.
Зачем нужен человеку пещеристый синус
От поверхностных частей головного мозга кровь оттекает по поверхностным венам в яремные вены через синусы мозговой оболочки. Блокада проходимости тракта приводит к застою, отеку, локальному или общему повышению внутричерепного давления. Скоплению сгустков крови способствует замедление кровотока.
Циркуляция крови по пещеристому тракту обеспечивается из сфеноидального синуса, средней мозговой артерии, глазных вен. Анатомическая структура участвует в регуляции церебрального кровотока, поэтому любые изменения приводят к головным болям, головокружению.
Клинические симптомы зависят от распространенности процесса, распространения на окружающие структуры:
- Отводящий нерв;
- Глазодвигательные волокна;
- Периартериальное симпатическое сплетение;
- Внутренняя сонная артерия.
Поражение стенки основной пазухи, внутренней полости кавернозного синуса, гассерова узла. Межкавернозные полости плотно соприкасаются между собой, поэтому микроорганизмы способны проникать через стенку. Инфекция спокойно проникает через перегородку, поэтому одонтогенные, риногенные, отогенные воспалительные процессы должны подавляться вначале развития.
Тромбофлебиты лицевой области часто способствуют воспалению кавернозных синусов. Инфекция контактным путем поражает близлежащие отделы головного мозга.
Причины возникновения тромбоза кавернозного синуса
Этиологические факторы тромбофлебита кавернозного синуса:
- Неинфекционные;
- Инфекционные;
- Невыясненные.
Инфекционные причины максимально часто вызывают нозологию. Болезни зубов, ушей, околоносовых полостей без лечения способствую хронизации инфекции, вероятности проникновения микроорганизмов внутрь черепной коробки.
Неинфекционные причины тромбоза кавернозного синуса:
- Сердечные болезни;
- Нарушение ритма;
- Повышенное тромбообразование;
- Аутоиммунные заболевания;
- Ранний послеродовый этап;
- Прерывание беременности;
- Внутримозговые новообразования;
- Системная красная волчанка;
- Сахарный диабет;
- Метаболическая патология;
- Открытые и закрытые травмы головы.
Обнаружение инфекционной патологии лица, околоносовой полости, височной области приводит
Клиника синдрома кавернозного синуса
Типичный симптом патологии - болевые ощущения в лицевой области с одной стороны. Нарастают ощущения ночью, после физических нагрузок. Через некоторое время возникает отечность век, повышение температуры.
Офтальмологические признаки кавернозного синдрома:
- Экзофтальм;
- Офтальмоплегия;
- Отек лицевого нерва.
Клиника двухстороннего тромбоза кавернозных синусов:
- Судороги части лица;
- Падение активности мозга;
- Спутанность сознания;
- Отсутствие тактильной чувствительности лица.
Асептическая форма не сопровождается повышением температуры. Септический тромбоз сочетается с интоксикационным синдромом:
Кавернозный тромбоз сопровождается рядом патологических синдромов:
- Затруднения подвижности глаз;
- Отечность век;
- Двоение объектов, мелькание мушек.
Диагностирует тромбоз синуса невропатолог, так как появляется симптоматика поражения нервов. Задача специалиста - провести дифференциальную диагностику между нозологией и воспалением околоносовых пазух (синуситы).
Классификация кавернозного тромбоза по МКБ
Код заболевания по международной классификации десятого пересмотра - «G08». Согласно устаревшей версии МКБ 9 нозологическая форма кодировалась «325».
Тромбофлебит и флебиты обозначаются «I80». Другие разновидности кодируются согласно основной нозологии, способствующей закупорке сосуда.
Часто обнаруживается флебит лицевых вен, пещеристого синуса. Этиологическим фактором нозологий являются воспалительные процессы - остеомиелит, фурункул, карбункул. У детей переохлаждение лица способно спровоцировать синдром тройничного нерва, который является основной распространения инфекции.
Анатомия синусов мозга
Прочный костный остов черепной коробки предотвращает мозговую ткань от внешних повреждений, но анатомия предоставляет мало возможностей для подстраивания под изменяющиеся условия внутри черепа.
Компрессия головного мозга гематомой, опухолью приводит к давлению на внутренние анатомические структуры. В зависимости от локализации компрессии формируется клиника.
Синусы головного мозга:
- Каменистые (верхний, нижний);
- Сагитальные (верхний, нижней);
- Клиновидный;
- Поперечный;
- Затылочный;
- Прямой;
- Сигмовидный;
- Кавернозный (пещеристый);
- Яремный;
- Сигмовидный.
Уникальная структура крупных мозговых вен с содержанием твердой оболочки позволяет поддерживать форму. Постоянное зияние просвета обеспечивает опасность проникновение микробов. Тромбофлебит глазных вен повышает опасность тромбоза пещеристого синуса.
Признаки тромбофлебита пещеристого синуса
Раннее обнаружение, своевременное лечение позволяет исключить необратимые повреждения черепных нервов:
- Пульсирующие, давящие головные боли;
- Синюшность глаз за счет отека зрительного нерва;
- Паралич взора;
- Утрата чувствительности верхней части лица;
- Гипертермия.
Запущенная стадия характеризуется потерей сознания, судорожный синдром, расстройства работы гормональной системы.
Диагностика
Методами нейровизуализации (МРТ головного мозга и КТ) удается обнаружить поражение пещеристых синусов. Видимость мозговых сосудов достигается путем контрастирования сосудов, позволяющего выявить нарушения венозного дренажа. Вазогенный отек верифицирует только магнитно-резонансная томография, которая качественно показывает мягкие ткани.
Дополнительные способы диагностики - каротидная ангиография, пневмоэнцефалография, вентрикулография.
Клинический осмотр невролога, офтальмолога позволит выявить первоначальные симптомы заболевания.
КТ артерий головного мозга

Компьютерная томография головного мозга является одним из наиболее информативных методов диагностики.
Исследование назначают при:
частых головных болях неясного происхождения,
повторяющихся приступах тошноты, рвоты;
ухудшении зрения, помутнении или болях в глазах;
гуле, жужжании, шуме и свисте в ушах;
онемении конечностей, судорогах;
заторможенности, спутанности сознания;
проблемах с координацией движений;
частых потерях равновесия;
повышении внутричерепного давления.
КТ артерий головного мозга делают после недавно перенесенного инсульта или черепно-мозговой травмы, при планировании оперативных вмешательств на сосудах головы.
Из-за взаимозависимости шейных и мозговых сосудов может понадобиться комплексное проведение КТ шеи и головного мозга. В ходе сканирования создается множество послойных изображений, позволяющих получить полную картину состояния сосудистой системы.
В медицинском центре «Магнит» диагностику проводят на мультиспиральном томографе (МСКТ) Siemens Somatom Emotion 16. Это аппарат, оснащенный большим количеством датчиков, за счет чего время обследования сокращается, и пациент испытывает минимальную лучевую нагрузку. Снимки и заключение КТ головного мозга можно получить на руки и по электронной почте.
Что покажет КТ артерий головного мозга
КТ артерий головного мозга позволяет оценить анатомическое строение и взаиморасположение сосудов и обнаружить отклонения от нормы. Обследование дает возможность не только определить проблемы с кровоснабжением мозга, но и при помощи программного обеспечения преобразовать полученную информацию в трехмерную пространственную модель.
КТ артерий головного мозга показывает:
пороки развития сосудов (аневризмы, артерио-венозные мальформации);
тромбозы и эмболии ;
доброкачественные и злокачественные опухоли;
стенозы сосудов головного мозга;
церебральные васкулиты (воспаления сосудистой стенки);
кровоизлияния в полость черепа и прочие повреждения сосудов в результате травм головы;
ангиопатии различного происхождения;
острые нарушения мозгового кровообращения ишемического и геморрагического характера, т.е. очаги ишемии или инфаркта (инсульты);
На основании данных КТ артерий головного мозга врач делает заключение о состоянии просвета сосудов, их стенки и других показателях функционирования кровеносной системы.
КТ ангиография артерий и сосудов мозга
Ангиография - это исследование сосудов с применением контрастного вещества. КТ артерий головного мозга с контрастированием актуальна, когда другие технологии диагностики сосудов головы и шеи не показывают полную клиническую картину. По своей информативности она приближается к “золотому стандарту” диагностики - дигитально-субтракционной церебральной ангиографии, но является неинвазивным методом исследования и не требует госпитализации в стационар.
Компьютерная ангиография головы нужна:
при подозрении на инсульт;
для определения характера кровоснабжения новообразований;
при наличии воспалительных процессов в сосудах;
при подозрении на сдавление сосудов опухолями или прорастание последних раковых в стенки артерий и вен;
перед хирургическими вмешательствами;
для контроля в послеоперационном периоде.
Помимо этого компьютерная томография головного мозга проводится при наличии противопоказаний к магнитно-резонансной ангиографии.
Препарат для контрастирования изготавливают на основе йода. Распространяясь по кровотоку после введения в вену, средство окрашивает сосуды и накапливается в тканях, что способствует усилению видимости исследуемых структур. В течение 12-24 часов после КТ артерий головного мозга контраст выходит из организма естественным путем.
Особенности КТ ангиографии артерий и сосудов мозга
Процедура КТ головного мозга с контрастом требует подготовки:
определения наличия у пациента аллергии на йод;
анализа крови на уровень содержания креатинина;
Пациент должен предупредить врача о принимаемых лекарственных препаратах, так как некоторые из них в сочетании с контрастированием могут вызвать нежелательные последствия. Минимум за 12 часов до процедуры прием лекарств должен быть прекращен по согласованию с лечащим врачом.
На время КТ артерий головного мозга пациента помещают в кольцеобразную камеру аппарата. В этот момент важно сохранять полную неподвижность и выполнять команды. Это обеспечит максимальную четкость фото, которые затем будет анализировать специалист.
Сначала выполняют сканирование без контрастного препарата, потом через венозный катетер внутрь вводят красящее вещество. Человек может ощутить тепло во всем теле, привкус металла во рту и легкую тошноту. Иногда при введении контраста появляются головокружение и общая слабость. Это тоже вариант нормы. По окончании КТ-диагностики головного мозга неприятные симптомы в течение короткого времени пройдут сами.
Следующую серию снимков делают после распределения красителя по сосудам. Весь процесс исследования занимает 15-20 минут. Для анализа изображений в медицинском центре «Магнит» отводится два часа.
КТ артерий мозга с контрастом - противопоказания
Процедура с контрастным усилением имеет ряд противопоказаний. МСКТ или КТ сосудов головного мозга с контрастированием не делают в следующих случаях:
Индивидуальная непереносимость компонентов контраста.
При попадании внутрь йода происходят химические реакции, приводящие к образованию белковых хелатных соединений. Эти белки воспринимаются организмом как чужеродные и вызывают аллергическую реакцию. Симптомы аллергии при контрастировании могут быть дерматологическими (сыпь, зуд, покраснение кожи) или системными (затрудненное дыхание, отечность лица, бронхоспазм, отек Квинке, анафилактический шок). Не только непереносимость йода, но и любая серьезная аллергия увеличивает риск возникновения реакции на контрастные вещества.
Повышенный уровень креатинина в крови.
Важно, чтобы препарат для контрастного усиления КТ артерий головного мозга как можно быстрее был выведен почками из крови. Если в результатах анализа показатели креатинина выше нормы, это говорит о том, что выделительная функция почек нарушена. Тогда велик риск, что посторонние вещества задержатся в организме, из-за чего здоровье ухудшится.
Прием метформина при лечении сахарного диабета.
Данный препарат снижает скорость клубочковой фильтрации почек, таким образом увеличивая повреждающее действие контраста. Мало того, при совмещении с йодсодержащими медикаментами метформин может спровоцировать развитие лактоацидоза - крайне опасного осложнения, при котором в организме накапливается молочная кислота. Если больной сахарным диабетом принимает метформин, необходимо, чтобы эндокринолог отменил или заменил препарат за двое суток до компьютерной томографии головного мозга с контрастированием.
Также исследование не проводят:
при тяжелом состоянии и очень плохом самочувствии пациента - во время диагностики ситуация может усугубиться;
беременным женщинам - из-за вреда рентгеновского излучения для плода;
детям до 12 лет - в более раннем возрасте труднее попасть в вену и объяснить ребенку необходимость и ход проводимых манипуляций.
Лактация не является противопоказанием к МСКТ и КТ артерий головного мозга. Но так как часть красителя проникает в молоко, после процедуры необходимо отказаться от двух последовательных кормлений. При подготовке к компьютерной томографии головного мозга с контрастированием мамам рекомендуется заранее сцедить и сохранить молоко.
КТ или МРТ артерий мозга, что лучше?
Несмотря на высокую точность, ни один из методов не является универсальным. Каждый имеет свои возможности и ограничения.
МРТ отличается минимальным количеством противопоказаний и за счет отсутствия рентгеновского излучения является безвредным, в том числе для маленьких детей и беременных женщин. В большинстве случаев при магнитно-резонансной диагностике можно обойтись без специальной подготовки и использования контраста. Но данный способ обследования не подходит людям с металлическими коронками, имплантами и кардиостимуляторами.
МРТ позволяет изучить состояние вещества мозга, но недостаточно эффективна для оценки состояния сосудов и при черепно-мозговых травмах в остром периоде. В таких случаях более информативной является КТ артерий головного мозга, которая показывает трещины черепа, разрывы сосудов, нарушения со стороны желудочковой системы.
В отличие от КТ артерий головного мозга при МРТ хуже видны мелкие кровоизлияния в мозговое вещество. Также компьютерная томография лучше диагностирует аневризмы и артерио-венозные мальформации: врач видит не только протяженность патологического участка, но и внутренние тромбы и сгустки. Это дает возможность сделать заключение об операбельности больного.
Когда речь идет об угрожающих жизни состояниях (травмах при ДТП, инсультах), прибегают к компьютерной томографии. Она позволяет провести срочную диагностику и не требует так много времени, как магнитный резонанс.
Однозначно ответить на вопрос, какое исследование лучше, непросто. Каждый метод по-своему незаменим. Выбирая способ обследования в конкретной ситуации, врач ориентируется на показания, противопоказания, возможности томографа и другие нюансы.
Читайте также:
- Влияние звука на хронаксию вестибулярного аппарата
- Факторы определяющие действие яда: структура, дисперсность, растворимость
- Назначили смекта порошок
- Эффективность вакцин. Проверка эффективности вакцин. Индекс защиты вакцины. Индекс эффективности вакцины.
- Показания для тотального эндопротезирования локтевого сустава при переломах дистального конца плечевой кости
