Показания для тотального эндопротезирования локтевого сустава при переломах дистального конца плечевой кости
Добавил пользователь Евгений Кузнецов Обновлено: 13.12.2025
1 ФГБУ «Новосибирский научно-исследовательский институт травматологии и ортопедии им. Я.Л. Цивьяна» Минздрава России
В статье представлен собственный опыт 365 случаев эндопротезирования локтевого сустава вследствие травматического воздействия. Проведен анализ наблюдений в сфере тотального эндопротезирования локтевого сустава, результаты анализа дифференцированы в зависимости от характера и длительности травматического воздействия. На основании собственных наблюдений сформулирован алгоритм послеоперационного ведения пациентов с привлечением специалистов восстановительного лечения, неврологов и нейрохирургов. Представлены показания и противопоказания к выполнению эндопротезирования локтевого сустава. Описана взаимосвязь проблем, характерных для пациентов, которым выполнено тотальное эндопротезирование, с длительностью травмы, состоянием сустава и результатами органосохраняющих оперативных вмешательств. Представлены клинические примеры лечения пациентов с травмой локтевого сустава. На основании анализа литературных данных и собственного более чем тридцатилетнего опыта отмечены позитивные стороны примененного метода эндопротезирования локтевого сустава. Приведены отдаленные результаты эндопротезирования локтевого сустава.
1. Chalidis B., Dimitriou C., Papadopoulos P. Total elbow arthroplasty for the treatment of insufficient distal humeral fractures. A retrospective clinical study and review of the literature // Injury. 2009; 40(6): 582-590.
3. Асланова С.У. О хирургическом лечении посттравматических контрактур локтевого сустава / С.У. Асланова, Д.А. Еримбетов, А.М. Мухамедиев // Современные методы лечения больных с травмами и осложнениями: материалы всерос. науч.-практ. конф. - Курган, 2006. - С. 40-41.
4. Бабовников А.В. Клинико-диагностический алгоритм ведения пациентов с переломами локтевого сустава / А.В. Бабовников, Д.А. Пряжников, С.Ф. Гнетецкий // Остеосинтез и эндопротезирование: тез. докл. междунар. Пирогов. науч.-практ. конф. - М., 2008. - С. 11.
5. Lenoir H., Micallef J.P., Djerbi I. et al. Total elbow arthroplasty: Influence of implant positioning on functional outcomes // Orthopaedics & Traumatology: Surgery & Research. 2015; 101 (6): 721-727.
6. Панков И.О. Осложнения и исходы при лечении переломов дистального суставного конца плечевой кости // Современные технологии в травматологии и ортопедии: ошибки и осложнения - профилактика и лечение: материалы Междунар. конгр. - М., 2004. - С. 124.
7. Каллаев Н.О. Сравнительные результаты оперативного лечения около- и внутрисуставных переломов дистального конца плечевой кости / Н.О. Каллаев, Т.Н. Каллаев, М.М. Омаров // Остеосинтез и эндопротезирование: тез. докл. междунар. Пирогов. науч.-практ. конф. - М., 2008. - С. 82.
8. Barthel P.Y., Mansat P., Sirveaux F. et al. Is total elbow arthroplasty indicated in the treatment of traumatic sequelae? 19 cases of Coonrad-Morrey(®) reviewed at a mean follow-up of 5.2 years // Orthopaedics & Traumatology: Surgery & Research. 2014; 100 (1): 113-118. doi: 10.1016/j.otsr.2013.10.012.
9. Jenkins P.J., Watts A.C., Norwood T. et al. Total elbow replacement: outcome of 1,146 arthroplasties from the Scottish Arthroplasty Project // Acta Orthopaedica. 2013; 84 (2):119-123. DOI: 10.3109/17453674.2013.784658.
10. Науменко Л.Ю., Носивец Д.С. Сравнительная характеристика методов оперативного лечения при переломах дистального метаэпифиза плечевой кости / Л.Ю. Науменко, Д.С. Носивец // Травма. - 2009. - Т. 10. - № 3. - С. 301-307.
11. Прохоренко В.М., Слободской А.Б. Эндопротезирование локтевого сустава: монография. - Новосибирск: Наука, 2010. - С. 141.
12. Tian W., He C., Jia J. Total elbow joint replacement for the treatment of distal humerus fracture of type c in eight elderly patients // International Journal of Clinical and Experimental Medicine. 2015; 8 (6):10066-10073.
13. Linn M.S., Gardner M.J., McAndrew C.M. et al. Is primary total elbow arthroplasty safe for the treatment of open intra-articular distal humerus fractures? // Injury. 2014; 45(11):1747-1751. DOI: 10.1016/j.injury.2014.07.017.
14. Эндопротезирование локтевого сустава / А.Б. Слободской, В.М. Прохоренко, А.Г. Дунаев и др. // Гений ортопедии. - 2011. - № 3. - С. 61-65.
Лечение при тяжелых переломах костей, образующих локтевой сустав, преодоление их последствий, а также борьба с целым рядом заболеваний, приводящих к серьезным деструктивным изменениям в локтевом суставе, является одной из наиболее трудных задач современной травматологии и ортопедии. Это связано со сложностью анатомии и биомеханики локтевого сустава, склонностью его к гетеротопической оссификации, быстрому развитию тугоподвижности, вплоть до контрактур и анкилозов, а также к развитию трофических расстройств 1.
Внутрисуставные повреждения локтевого сустава составляют 15-20% всех переломов верхней конечности и относятся к одним из наиболее тяжелых повреждений костей конечностей. Лечение пациентов с такими повреждениями проходит значительно труднее, чем с повреждениями верхней конечности других локализаций, а в плане прогноза это наиболее неблагоприятные переломы 6. Неблагоприятные исходы при лечении таких переломов составляют от 9 до 45,5%, инвалидизация достигает 12-20% 8.
Даже полная адаптация отломков, выполненная закрытым или открытым путем, и применение различных современных методов фиксации не всегда приводит к хорошей функции и не гарантирует отсутствие последующих осложнений [1; 4; 11].
Метод эндопротезирования локтевого сустава внедрен в практику для сохранения стабильности и подвижности сустава. Данный метод хирургической помощи относится к артропластической операции. Впервые в мире эндопротезирование локтевого сустава осуществил Robinean в 1925 году у больного с ревматоидным артритом [11].
Основные задачи при эндопротезировании локтевого сустава: устранить боль, восстановить функцию, восстановить стабильность.
Показаниями для эндопротезирования локтевого сустава являются:
- контрактуры локтевого сустава с рентгенологически подтвержденной утратой суставной щели;
- анкилозы вследствие закрытых и открытых переломов, ожога, специфических и неспецифических воспалительных заболеваний, тяжёлой черепно-мозговой травмы;
- застарелые вывихи предплечья, осложнённые параартикулярными оссификатами;
- «болтающийся» локтевой сустав, развившийся после первичного травматического дефекта или резекции локтевого сустава по поводу воспалительных или травматических изменений, а также после ранее проведенной артропластики.
Противопоказаниями к эндопротезированию локтевого сустава являются:
- выраженные изменения со стороны сердечно-сосудистой, дыхательной и других систем, препятствующие проведению полноценного обезболивания, физиотерапевтического лечения;
- наличие очага инфекции в организме больного;
- отсутствие функции мышц сгибателей или разгибателей предплечья [12; 13].
В Новосибирском НИИТО накоплен опыт клинического наблюдения патологии локтевого сустава в течение более чем 30 лет. В работе использованы эндопротезы локтевого сустава фирмы ЭСИ (авторская разработка В.М. Прохоренко), а также эндопротез фирмы Zimmer (рис. 1). Во всех случаях использовался связанный тип имплантатов с цементной интрамедуллярной фиксацией.
А Б
Рис. 1. Виды эндопротезов локтевого сустава, применяемые в Новосибирском НИИТО:
ЭСИ (А); эндопротез фирмы Zimmer (Б)
Цель исследования: анализ 365 случаев эндопротезирования локтевого сустава при внутрисуставных (бесперспективных случаях) переломах, последствий травмы и хирургического лечения области локтевого сустава.
Материал и методы
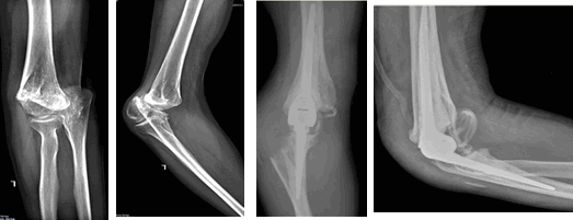
В 141 случае к нам обращались пациенты с внутрисуставными переломами дистальной трети плечевой и (или) проксимальной трети локтевой кости. Оперативное лечение в объеме эндопротезирования было выполнено в плановом порядке, после предварительного обследования. Во всех случаях данной группы оперативное лечение в объеме реконструкции и накостного остеосинтеза не представлялось перспективным ввиду обширности травмы костной структуры и незначительной величины костных фрагментов. Интраоперационно были удалены все нежизнеспособные костные фрагменты, после чего выполнялось стандартное первичное эндопротезирование локтевого сустава. Объем движений в локтевом суставе по Марксу составлял 5-0-150. Учитывая сохранность стереотипа движений, данная группа пациентов благоприятно реагировала на оперативное лечение с восстановлением объема движений 0-0-150 в послеоперационном периоде (рис. 2).
Рис. 2. Тотальное эндопротезирование при внутрисуставном переломе дистального метаэпифиза плечевой кости
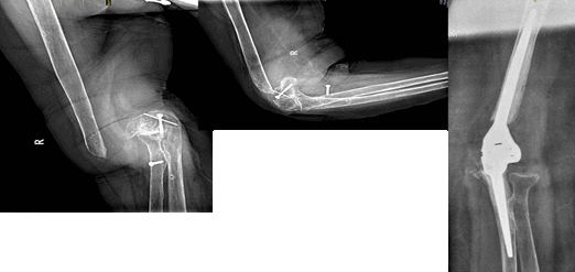
В 56 случаях оперативное лечение выполнялось на измененном локтевом суставе, после перенесенного травматического повреждения. Пациентам данной группы проводилось консервативное лечение и длительный этап реабилитационных мероприятий, не имеющий положительного эффекта. Особенностью данной группы является многоплоскостная деформация плечевой или локтевой костей, патологический стереотип движения. Всем пациентам выполнялось первичное эндопротезирование, по возможности с минимальной резекцией костной ткани. Однако из-за длительного порочного положения локтевого сустава интраоперационно мы сталкивались с выраженной ретракцией мышц, корректируемой за счет дополнительного опила плечевой кости. В послеоперационном периоде пациентам данной группы требовалась помощь специалистов отделения восстановительного лечения, увеличивалась и продолжительность реабилитационного периода. На контрольном осмотре через год у пациентов данной группы сохранялось ограничение движения в локтевом суставе в объеме 0-10-140. Данный объем движений является неполным, но достаточным для самообслуживания и улучшения качества жизни (рис. 3).

Рис. 3. Тотальное эндопротезирование при посттравматическом кубартрозе
В 168 случаях в нашу клинику обращались пациенты, перенесшие оперативные вмешательства на локтевом суставе. По нашим наблюдениям, выбор металлоконструкций не являлся определяющим с точки зрения хирургического разрешения проблемы перелома плечевой и (или) локтевой кости. К данной группе мы отнесли пациентов с металлоконструкциями (спицы, винты, накостные пластины и т.д.) и с удаленной металлоконструкцией. Характерными особенностями данной группы стали:
- огромное количество рубцовой ткани в области локтевого сустава,
- нейропатия одного или нескольких периферических нервов,
- гипертрофированные или втянутые кожные рубцы,
- остеолиз с формированием ложного сустава или обширные костные разрастания со стойкой контрактурой.
Интраоперационно, помимо необходимости удаления металлоконструкции, возникала необходимость выполнять кожную пластику, невролиз, костную пластику. В 3 случаях во время обработки костно-мозгового канала мы столкнулись со склерозной перестройкой костной ткани, потребовавшей дополнительно к эндопротезированию выполнить канатный остеосинтез. Объем движений во время операции достигал 0-0-150. В послеоперационном периоде пациентам требовалась помощь неврологов, специалистов отделения восстановительного лечения и терпение для достижения удовлетворительного результата. Однако через год на контрольном осмотре отмечалось ограничение движений в локтевом суставе (0-30-110) и необходимость нейрохирургической коррекции (рис. 4).

Рис. 4. Тотальное эндопротезирование при «болтающемся» локтевом суставе
Послеоперационное ведение пациентов. В первые послеоперационные сутки оперированная конечность должна находиться в возвышенном положении. Основным фиксирующим устройством является косыночная повязка. После удаления дренажа, через одни сутки пациенту назначается ЛФК для разработки пальцев кисти и плечевого сустава. Во время перевязки пациенту разрешается выполнять качательные движения в локтевом суставе. В первые двое суток наиболее эффективным является «Криотур», оказывающий противоотечное действие на мягкие ткани. В раннем послеоперационном периоде применение массажа, УВЧ, тепловых процедур на область оперированного локтевого сустава противопоказано в связи с большим риском развития гетеротопической параартикулярной оссификации.
На третьи-пятые сутки, после уменьшения отека и болевого синдрома, к движениям пальцами кисти и движениям в плечевом суставе добавляется изометрическое напряжение сгибателей и разгибателей в области плеча. Наряду с изометрическими упражнениями хорошо зарекомендовала себя аппаратная разработка локтевого сустава. Бережно и аккуратно осуществляя движения в локтевом суставе, аппарат препятствует фиброзу окружающих имплантат мягких тканей (рис. 5).
Рис. 5. Аппаратная разработка локтевого сустава
После шестых суток начинается активная гимнастика оперированного сустава. Активная разработка локтевого сустава не подразумевает резких и осевых нагрузок. Движения для активной разработки должны быть постепенными и плавными. Сразу после операции допускается назначение физиотерапевтического лечения с целью уменьшения отека, анальгезии, максимальной релаксации мышечно-связочного аппарата оперированной конечности. В этой связи показано применение магнитотерапии, лазеротерапии, воздействие на биологически активные точки верхней конечности. С целью профилактики развития оссификатов и контрактур, после спадания отека целесообразно назначение электрофореза с лидазой и другими ферментными препаратами.
Оценка результатов лечения больных после эндопротезирования локтевого сустава проводилась по «Оценке хирургии локтя» (American elbow surgeons assessment & ASES, R.R. Richards et al., 1994). Тест позволяет оценить выраженность болевого синдрома, амплитуду движений в локтевом суставе, состояние сустава, силу руки и повседневную жизненную активность. Максимальное число баллов (100) по этой шкале соответствует нормальному состоянию локтевого сустава [14].
Из 365 оперированных больных отдаленные результаты изучены у 320, что составляет 87,6%. Хорошие и отличные результаты были отмечены у 286 человек (89,4%). Удовлетворительные результаты отмечены у 20 пациентов (6,2%), которые сохранили трудоспособность, хотя и перешли на более легкую работу. У 14 пациентов (4,4%) результаты операции признаны неудовлетворительными в связи с развитием послеоперационных осложнений различного характера и необходимостью ревизионных хирургических пособий. В одном случае в раннем послеоперационном периоде возникла инфекция области хирургического вмешательства. Пациенту выполнялись санационные перевязки, хирургическая обработка раны, однако инфекционный процесс купирован не был, и пациенту было выполнено удаление эндопротеза. Второй этап хирургического лечения стал возможен только после купирования инфекционного процесса.
Локтевой сустав является одним из самых сложных суставов человеческого тела. Никто не сомневается в том, что локтевой сустав является функциональным ключом верхней конечности. Нарушение функции любого из составляющих локтевой сустав сочленений ведет к ограничению функции смежных сегментов, прежде всего ограничивает возможности такого сегмента, как кисть. Эндопротезирование локтевого сустава зарекомендовало себя, как эффективный способ восстановления мобильности утраченного локтевого сустава. Практический опыт обосновывает необходимость расширения показаний к выполнению эндопротезирования при многофрагментарных внутрисуставных переломах дистального метаэпифиза плечевой и проксимальной трети локтевой костей (С2-3 по классификации АО).
Эндопротезирование локтевого сустава: показания, противопоказания к операции
Замена локтевого сустава достаточно редкое мероприятие, но иногда, случается так, что без этого лечения никак не обойтись. Ситуация усугубляется отсутствием большого количества экспертов в данной области травматологии, ввиду редкости проведения таких операций. Но обо всем по порядку. Локоть образуется при соединении трех костей: плечевая, лучевая, локтевая. Каждая пара из них формирует мелкий сустав. Всего их три:
- плечелоктевая;
- плечелучевая;
- лучелоктевая проксимальная.
Артроз локтевого сустава
Сгибание и разгибание конечности осуществляется плечелоктевым, вращение руки обеспечивается лучелоктевым. Встречаются все три соединения в суставной капсуле.
Каждый из суставов и костей может нуждаться в замене. Чаще всего причиной для этого являются травматические повреждения. Но иногда и последствия заболевания могут стать предписанием для эндопротезирования.
- Оскольчатый перелом;
- Деформирующий артроз, возникший в результате травм, на последних стадиях;
- Неврогенные патологии;
- Спортивные повреждения.
В некоторых ситуациях оперативные манипуляции такого рода противопоказаны:
- Ухудшение ревматоидного артрита;
- Остеопороз;
- Наличие инфекции или процесса воспалительного характера;
- Легочная, сердечно-сосудистая или почечная недостаточность от 3-й степени;
- Некомпенсированный сахарный диабет.
Существуют и индивидуальные противопоказания, которые определяет врач.
Описание операции
Имплантат изготавливается до начала хирургических манипуляций. Для получения точных размеров проводятся измерения с использованием диагностического оборудования.
Эндопротезирование проводится под эндотрахеальным наркозом. Больной находится в горизонтальном положении лицом вниз. Конечность с пораженным суставом отведена в сторону. На руку между плечом и локтем накладывается жгут, чтобы снизить потери крови. Разрез выполняется по задней поверхности сустава. Нерв отделяется и закрепляется с помощью держателя. Сухожилия и фасции рассекаются.

Затем специалист находит локтевой отросток, выполняет его остеотомию, а затем удаляет и его, и получившиеся обломки. После этого раскрываются костные каналы. Теперь врач примеряет шаблоны протеза. Они должны не только подходить по размерам, но и открывать все возможности относительно движения руки. Если шаблоны полностью соответствуют собственным размерам, то происходит установка реального эндопротеза.

Вставное соединение крепится бесцементной и цементной фиксацией. Локтевой нерв закрывается от металлической конструкции и фиксируется в отдельном канале. Это необходимо для избежания его травмирования. При зашивании на поверхность выводится дренажная трубка. После окончания операции рука больного разгибается и накладывается мягкая удерживающая повязка. В таком положении пациент должен пребывать не менее пяти дней.
Реабилитация
В отличие от других методов хирургического вмешательства при переломах, после эндопротезирования необходимо разрабатывать руку, а не держать ее в неподвижном состоянии. Сразу после зашивания можно проводить такие занятия, как сжимание и разжимание кулака, движение пальцами в виде «ходьбы» и скрещивание.
После того как формирующая повязка будет снята можно начинать разминать сам локоть. Начало занятий должно проходить под контролем реабилитолога. В первые дни движения ограничиваются сгибанием на 90° и вращением. С каждым днем набор нагрузок увеличивается и усложняется. В конце третьей недели больной должен проводить разминку руки с небольшим грузом. В европейских клиниках имеются специальные тренажеры, предназначенные для ускорения заживления постоперационных ран.
Возможные осложнения

Как и любое вмешательство, установка протеза может привести к ряду осложнений. Так если в организме имеются инфекционные очаги, то они могут спровоцировать развитие воспалений в тканях, принимавших участие в процедуре. Попадание инфекции извне практически исключено, т.к. все инструменты проходят тщательную стерилизацию, но риск такой всегда присутствует.
Перенесенные операции такого рода относятся к такой категории информации, которая должна в обязательном порядке озвучиваться, если планируется любое другое оперативное лечение. Здесь не важна его сложность, это может быть даже банальное удаление или пломбирование зуба. В идеале лучше избегать подобных воздействий в течение одного года после установки эндопротеза. А в последующие два года перед каждым вмешательствам хирурга необходима дополнительная антибактериальная обработка.
Также стоит выделить и более специфичные проблемы:
- Остеолиз - разрушение тканей, контактирующих с имплантатом. Причиной его может стать остеопороз, метастазы в полости костей, ревматоидный артрит и ряд прочих заболеваний, связанных с нарушением обменных процессов и аутоиммунными факторами и инфекциями.
- Переломы протеза. Такое может возникнуть по ряду причин. К примеру, повторный перелом, несоответствие имплантатов анатомическим размерам, исчерпан срок годности имплантата (10-20 лет). Разница в размерах возможна при неправильном измерении шаблона, что случается крайне редко. Чаще всего протез ломается вследствие нерациональных действий его владельца - сильно превысил допустимую нагрузку, попал в аварию и т.д.
В клиниках Европы используются протезы с увеличенным сроком эксплуатации, поэтому чаще всего имплантат устанавливается один и на всю жизнь.
Диагностика
Непосредственно перед операцией проводится ряд диагностических мер:
- Исследование рентгеном в двух положениях;
- ЭКГ;
- Компьютерная томография;
- Коагулограмма крови;
- Электронейромиография (учение состояния периферической нервной системы) при необходимости.
Обследования проводятся не только в области локтя, но и в отношении состояния всего организма, чтобы избежать осложнений.
Типы эндопротезов
Модели эндопротезов локтевого сустава
Существует два вида эндопротезов:
Помимо них возможны и конструктивные варианты типа «частично сочлененные». Также выделяют две категории по методу установки:
Сочлененные модели представляют собой готовое соединение, которое способно заменить поврежденный стык. Несочлененные же заменяют только одну кость или ее часть. Тотальные формы предназначены для полной замены сустава, включая две или все три составляющие, участвующие в сочленении. Частичные подразумевают установку в стык с родными структурами.
В современной медицине специалисты редко устанавливают тотальные модели и стараются обойтись частичным. Но если при обследовании у пациента обнаружены патологии, при которых установка только участка сочленения может привести к серьезным проблемам, то используется тотальный тип.
Стоимость эндопротезирования может варьироваться от 5 до 30 тысяч евро. На этот параметр оказывает влияние сразу несколько факторов:
- Марка;
- Модель;
- Сложность работы;
- Использование дополнительных средств реабилитации.
Понятно, что экономить на таких моментах не стоит, т.к. это может привести к потере двигательной способности конечности. Однако можно выбрать медицинский центр, в котором ценовая политика более лояльная, а качество работы врача будет соответствовать европейским стандартам. Среди всех европейских стран самыми оптимальные условия предлагает Чехия. Именно здесь по самым выгодным ценам можно установить эндопротез самого высокого качества.
Замена плечевого сустава: цена операции и имплантата
Плечо - самый подвижный сустав. Утрата нормального диапазона движений вследствие болезни или травмы сильно ухудшает качество жизни человека, а иногда даже ставит ее под угрозу.
При травме достаточно рентгеновского снимка, чтобы понять, насколько серьезно повреждение и какие меры необходимо принимать. Но иногда точно понять причину болей и нарушения подвижности по снимкам не представляется возможным, и не всегда проблема кроется в патологических процессах непосредственно в суставе.

Например, такое опухолевое образование как энходрома (доброкачественная опухоль из хрящевой ткани), может подобраться к нему, развиваясь в плечевой кости. Если причиной боли является сильно разросшаяся энходрома - операция плечевого сустава неизбежна.
В таких случаях в качестве диагностического метода назначается артроскопия - малоинвазивное вмешательство (разрез всего 4 мм). Во время процедуры врач может досконально рассмотреть состояние хрящей, связок, мышц, сухожилий, костной поверхности.При помощи артроскопии можно удалить поврежденные части хряща, воспаленные и поврежденные мягкие ткани, а также свободные тела в суставной жидкости.
Виды доступных для проведения данным методом операций:
- фиксация связок плеча при их повреждении;
- фиксация и сращивание сухожилий при защемлении;
- реконструкция вращательной манжеты;
- восстановление и совмещение костных образований в области суставной сумки при их смещении;
- лечение врожденных патологий у детей;
- удаление осколков при переломе;
- шлифовка и придание формы хрящевой прокладке при ее деформации;
- при бурситах: удаление утолщений из полости сумки и промывание антисептиком.

После процедуры заживление и реабилитация происходит в течение 2-х недель. Подобные виды малоинвазивного вмешательства доступны во всех регионах страны, поскольку аппарат не относится к категории сверхдорогих, а результат во многом определяется грамотностью хирурга.
Например, проводятся следующие артроскопические операции в Челябинске на плечо:
- тугоподвижность (адгезивный или слипчивый капсулит);
- устранение импинджмент-синдрома;
- восстановление вращательной манжеты;
- устранение нестабильности.
Эндопротезирование плечевого сустава
Современная медицина обладает большим арсеналом средств для лечения различного рода травматических повреждений плечевого сустава. Но иногда необходима его тотальная или частичная замена.
- остеонекроз - отмирание клеток головки кости;
- многооскольчатые сложные переломы и раскол головки;
- плохо сросшиеся старые переломы без возможности восстановления нормальной анатомии сустава;
- артрит;
- необратимые патологии вращательной манжеты;
- опухолевые заболевания.

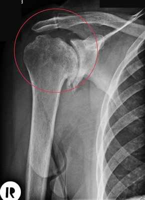
Артроз плечевого сустава на рентгене.
Виды протезирования
В зависимости от степени повреждения выделяют следующие виды эндопротезирования плеча:
- Поверхностное. Применяется, когда минимальны повреждения головки кости пациента и много костной ткани можно сохранить. Головка обтачивается специальным инструментом, на нее «сажается» имплантат, замещающий собой поверхность сустава.
- Однополюсное. Производится имплантация либо лопаточной впадины, либо костной головки.
- Полное. При этом меняются все соприкасающиеся части: и головка, и впадина. Причем возможны два варианта замены: имплантируются только суставные элементы или производится установка протезов на стержне с креплением в костной полости.
- Ревизионное. Выполняется в случае необходимости замены изношенного имплантата или его отдельных элементов. Также проводятся ревизионные вмешательства при развитии осложнений в виде отторжения, воспалений, нагноений.

На эндопротезирование плечевого сустава цена зависит от перечня услуг, оказываемых клиникой в рамках операции, способа оперативного вмешательства, метода фиксации протеза.
Виды эндопротезов и цены
Имплантаты на ножке по своему строению могут быть анатомическими и обратными. Анатомический состоит из трех частей: головка, ножка и впадина. Назван так, поскольку полностью повторяет структуру человеческого плеча и по биомеханике, и по форме.
Установка такого протеза возможна только в том случае, если вращательная манжета не повреждена. При замене используется продукция таких мировых производителей как DePuy, Zimmer, Smith&Nephew, Biomet, Aesculap — B. Braun.

Обратный или реверсивный используется, когда вращательная манжета не функционирует и нарушена стабильность. Тогда головка крепится к суставной впадине (гленоидальному компоненту), а вогнутый имплантат впадины на ножке фиксируется на плечевой кости.

Для однополюсного эндопротезирования используются гемипротезы, то есть заменяющие только одну часть сустава. По способу установки делятся на поверхностные и штыревые (внедряются в кость).
Также имплантаты могут быть цельными или сборными (модульными). Модульные позволяют за счет подбора различных размеров элементов корректировать при необходимости положение плеча. Существуют следующие способы крепления протезов к кости:
- бесцементный. Фиксация производится «вколачиванием». Подходит для имплантации в плотную костную ткань, способную надежно удерживать ножку;
- цементный. Ножка закрепляется с помощью специального раствора. Используется при недостатке или плохом качестве собственной костной ткани.
Ревизионное эндопротезирование в случае обширного поражения тканей, замены эндопротеза или сильного разрушения кости требует специального имплантата, который частично компенсировал бы функциональную недостаточность мышц. Например, Delta XTEND производства компании DePuy. Центр ротации у него смещен вниз и кнаружи, что увеличивает диапазон движений, сохраняя при этом стабильность сустава.
Цена на лечение
На протезы плечевого сустава цена достаточно высокая, начинается от 140 000 рублей. Плюс стоимость пребывания в стационаре, анализы, анестезия, имплантация и реабилитация. В таких случаях государство предусматривает бесплатное лечение по квотам. Квоту на проведение имплантации можно получить по месту постоянной прописки, имея полис ОМС.
Получение квоты
- Обратиться в свою клинику по месту жительства с целью получения направления в лечебное учреждение, предоставляющее услуги по эндопротезированию. Врач оформляет пакет документов для получения квотного талона.
- Эти документы предоставляются пациентом в местный территориальный орган здравоохранения, где при положительном решении выдается талон на бесплатное оказание высокотехнологичных видов помощи.
Из минусов бесплатного лечения: срок ожидания очереди может затянуться на год. Также замена плечевого сустава по квоте не предполагает выбора фирмы-производителя имплантата.
Что касается ревизионных операций, то бесплатное или платное удаление плечевого эндопротеза определяется степенью срочности вмешательства. Иногда нет времени на улаживание формальностей по сбору документов. Такая процедура обычно стоит дешевле первичного эндопротезирования.
Эндопротезирование локтевого сустава

Одним из наиболее сложных механизмов в человеческом организме является локтевой сустав. Он объединяет собой плечо, то есть верхнюю конечность от плеча до локтя, и предплечье, то есть ту часть руки, которая располагается ниже локтя и выше кисти.
Внутри плеча функционирует лишь одна плечевая кость, а внутри предплечья таких костей две - лучевая и локтевая. Это свидетельствует о том, что локтевой сустав соединяет и обеспечивает активность сразу трех костей с тремя простыми суставами - плечелоктевым, плечелучевым и лучелоктевым. Все вышеназванные образования объединяются в одну капсулу и образуют один сложный по строению и функциям локтевой сустав.
Также сложностью расположения данного костного образования в организме служат факты того, что рядом с ним проходят в организме локтевые, лучевые и срединные нервы и сеть кровеносных сосудов.
Заболевания в изучаемом участке
Болезни локтевых суставов могут быть спровоцированы нарушениями трофики, воспалительными процессами, травмами. Однако из-за сложного строения и места дислокации в организме поражаются такие участки особенным образом.
Даже незначительное травмирование этой зоны без возникновения переломов, мышечных разрывов или кровотечений может вызывать анкилоз, контрактуру и прочие аномалии. К тому же, чаще всего традиционное лечение локтевых суставов дает минимальный эффект, наиболее популярными методиками решения проблем с данными участками в организме являются хирургические операции.
Среди нередких болезней, поражающих область локтевого сустава, врачи выделяют эпикондилиты наружных или внутренних надмыщелков плечевых костей, деформирующие артрозы, бурситы, артриты, расслаивающие остеохондриты, патологические невриты, сдавление локтевых нервов, вальгусную нестабильность и многочисленные травмы участка.
По причине многофункциональности и сложности строения при заболеваниях данных областей часто возникают и осложнения ближайших сосудистых магистралей и нервов. При проблемах с локтевыми суставами каждый случай пациента детально диагностируют, подвергая его физикальному обследованию, рентгенографии, ультразвуковым исследованиям и компьютерной либо магнитно-резонансной томографии, а уже потом стараются назначать терапию.
Виды лечения

К основным традиционным неинвазивным методикам терапии локтевого сустава классически относят назначение анальгетиков, препаратов противовоспалительного характера, применение методик лечебной физкультуры, физиотерапевтические процедуры, стараются ограничивать двигательную активность в пораженном участке, назначают местно глюкокортикостероидные инъекции и прочие препараты.
Лечат данные участки и при помощи новейших ортопедических методик, например, в случаях артроза применяется генотерапия либо ударно-волновая терапия.
Как уже отмечалось выше, в локтевом суставе консервативные виды терапии часто не приносят эффективности, и приходится прибегать к хирургическим методикам. При этом пациенту необходима такая операция, которая сохранит полный функционал данной области, и будет состоять в реконструировании связочного аппарата, пересадке тканей хряща, суставной артропластике.
Очень часто в таких случаях применяют малоинвазивную артроскопию, гораздо реже - эндопротезирование локтевого сустава. Эндопротезирование или полная либо частичная замена локтевого сустава является сложной операцией, которую в описываемой области используют реже, чем в других областях скелета, поскольку локтевой сустав несет гораздо меньшую физическую нагрузку, чем тот же коленный, например.
Чтобы заменить локтевой сустав на эндопротез, необходимо правильно выбрать имплантат для этой цели:
- эндопротез проверяется на выдержку механических нагрузок;
- имплантат после хирургии должен обеспечивать беспрепятственное движение в зоне установки;
- для протеза подбирают стойкие, но обязательно биологически совместимые материалы.
В настоящее время в хирургических клиниках применяют всего две разновидности эндопротезов для замены локтевых суставов - шарнирные металлические и бесшарнирные силиконовые.
Абсолютным показанием для эндопротезирования описываемой области служит необратимый деформирующий процесс в локтевом суставе с сопутствующими анатомическими изменениями множественного вида в области прилежащих костей и в высоте суставной щели.
Противопоказаниями к проведению эндопротезирования изучаемой области выступают инфекционные процессы в человеческом организме, остеопорозы и иные костные особенности, повреждения нервов в локтевой зоне, атрофирование мышечной ткани локтевого сустава, ревматоидные артриты.
Проведение операции по эндопротезированию

Накануне проведения эндопротезирования специалист детально опрашивает пациента на предмет деталей возникновения патологии, направляет его на дополнительные диагностические процедуры и анализы, и только после этого оценивает стадию поражения локтевого сустава и необходимость применения той или иной хирургической методики. При выборе эндопротезирования пораженной области необходимо будет утвердить со специалистом модель протеза, ход проведения хирургического вмешательства и его способ.
При данной операции пациенту вводится общая анестезия, после чего в районе сустава, который требуется заменить, врач выполняет надрез. После надрезания ткани специалистом раздвигаются мышцы, и лишь после этого пораженный участок подлежит удалению и замене имплантатом.
В ходе эндопротезирования хирург осуществляет резекцию костных тканей локтевого сустава, высверливание каналов, в которые будут помещены ножки протеза, закрепление протеза при помощи костного цемента. После установки имплантата мышцы возвращают на исходное положение и разрез ушивается.
После проведения эндопротезирования сразу же, спустя всего лишь сутки, прооперированный сустав начинают разрабатывать. Это происходит под обязательным контролем физиотерапевта. Для облегчения болевых ощущений пациенту прописывают анальгетики и противовоспалительные средства. Впоследствии разработкой сустава пациент начинает заниматься самостоятельно, согласно инструкциям специалистов из клиники.
Риски и осложнения после эндопротезирования
В ходе любого хирургического вмешательства существует вероятность получить инфекционное заболевание, которое не обязательно будет спровоцировано хирургом в процессе операции. Оно может быть вызвано и проведением стоматологических процедур после эндопротезирования, и возбудителями инфекций в мочевыводящей системе.
Поэтому целых 2 года после эндопротезирования локтевого сустава стоит применять антибиотики накануне посещения стоматологов либо любых других врачей с инвазивными методиками лечения.
Рядом с установленным имплантатом может начаться процесс остеолиза или разрушения соседней кости из-за того, что организм среагировал на прямой контакт металлических и пластиковых компонентов протеза, на контакт протеза и костного цемента, на контакт протеза с костью.
В редких случаях возможен перелом установленного протеза, если пациент слишком активно старается двигать локтевым суставом после операции либо часто испытывает непомерные физические нагрузки в данной области.
Чтобы не допускать переломов установленных эндопротезов, необходимо соблюдать все предписания врачей и не увлекаться физической активностью, связанной с функционированием имплантата.
После проведения эндопротезирования локтевых суставов в будущем возможно возникновение необходимости повторения такой операции.
Бывают случаи аллергических реакций на компоненты материалов протезов, смещения системы вследствие неправильного установления, цементирования, ударов.
У некоторых пациентов возникают сердечно-сосудистые аномалии, которые провоцируются костным цементом и выражаются в образовании кровяных сгустков, гипотонии, сердечных приступах.
В ходе замены сустава могут повреждаться соседние нервы, сосуды и костная ткань.
Эндопротезирование плечевого сустава

Под эндопротезированием плечевого сустава понимается полная или частичная замена поврежденных участков такого сустава на эндопротезы, то есть искусственные его заменители. Эндопротезирование в случае с данным участком тела является высокоэффективной и часто - единственно возможной операцией для возобновления функционала и подвижности всей руки.
Функционал плечевого сустава может быть нарушен в результате переломов, ушибов, других травм, различных заболеваний, например, артрозов, артритов, неврологического дефицита плечевого сплетения и прочих. Характерной особенностью всех аномалий в данной области является возникновение сильных болей в плече. При этом пациент подсознательно ограничивает двигательную активность, а это отражается на мышечной работе, результатом чего может стать полная атрофия плеча.
Различные патологические состояния плечевого сустава можно лечить традиционными и хирургическими методами, однако если начать терапию несвоевременно, момент будет упущен и для восстановления полноценной деятельности руки необходимо будет только эндопротезирование.
Анатомические особенности плечевого сустава
Наиболее подвижным суставом человеческого скелета как раз и является плечевой сустав, образуемый окончаниями трех костей - плечевой, гленоидальной лопаточной впадиной и ключицей. При этом ключица хоть напрямую и не контактирует с плечевым суставом, но ее влияние на данную область очень весомое.
Верхняя часть плечевой кости представляет собой полусферическую головку, а также большой и малый бугорки с нисходящими гребнями, межбугорковую борозду, анатомическую и хирургическую шейки. При этом головка совпадает по форме с суставной лопаточной впадиной, немного превышая ее в размере.
На краю суставной впадины располагается эластичная суставная дуга. Плотная капсула данного сустава надежно прикрепляется к кости в районе анатомической шейки. Также к кости крепятся и мышцы, образующие манжету и имеющие возможность движения в области плечевого сустава в любой плоскости. Это надостная, подостная, подлопаточная и малая круглая мышцы. Однако в процессах обеспечения двигательной активности участвуют еще и большая круглая, большая грудная и широчайшая спинная мышцы.
Вверху и внизу в суставной впадине размещены специальные бугорки, служащие местами крепления мышц. Сверху крепится головка двуглавой плечевой мышцы, а к нижнему бугорку прикреплена в организме одна из трех головок трехглавой мышцы.
Сложнейшие анатомические особенности строения плечевого сустава обеспечивают его многоуровневую всестороннюю подвижность. Одновременно такое строение требует тщательного планирования лечения и хирургического вмешательства, поскольку в ходе терапевтических или хирургических процедур важно соблюсти здоровье всех входящих в функционал составляющих.
Когда необходимо эндопротезирование и виды протезов

Среди основных показаний к проведению эндопротезирования плечевого сустава выделяются:
- болезнь Хасса, при которой клетки головки плечевой кости постепенно отмирают и рассасываются;
- переломы проксимального отдела, характеризующиеся многооскольчатостью;
- лопаточные переломы суставной впадины, характеризующиеся оскольчатостью;
- артропатия разрыва во вращательной манжете;
- ревматоидные артриты плечевых суставов.
Все вышеназванные проблемы вызывают в области плечевого сустава необратимые процессы, приводящие к его атрофированию. Решить такие проблемы путем традиционного неинвазивного лечения не представляется возможным, поэтому в данном случае врачи настаивают на проведении эндопротезирования. Делать это необходимо по показаниям как можно раньше, чтобы не запускать процессы атрофирования.
Эндопротезирование плечевого сустава может быть четырех основных видов:
- Поверхностным, в ходе которого необходимо замещение лишь суставной поверхности. Головка сустава остается на месте, хирург устраняет хрящевой покров головки, на место которого и ставится впоследствии протез.
- Однополюсным, при котором необходимо заменять лишь одну суставную часть из двух, входящих в плечевой сустав. Обычно замене подлежит либо лопаточная суставная впадина, либо головка плечевой кости.
- Тотальным, в ходе чего полностью заменяется весь сустав на эндопротез. При этом также различают 2 разновидности - замену поверхностей суставов и использование эндопротезов «на ножках».
- Ревизионным, включающим в себя замену не сустава, а уже утратившего функциональность ранее установленного эндопротеза.
Важно понимать, что при однополюсных и тотальных эндопротезированиях имплантаты с ножкой закрепляются ею внутрь канала плечевых костей.
Что необходимо перед и после эндопротезирования
Накануне назначаемой операции пациенту обязательно нужно проходить соответствующие диагностические процедуры, включающие сдачу анализов мочи и крови, проведение электрокардиографии, рентгенографию. Бывают случаи, когда специалистам, помимо всего вышеназванного, требуются для подготовки плана операции и результаты компьютерной либо магнитно-резонансной томографии.
После изучения всех анализов врач выбирает тип протезирования, который необходим конкретному пациенту, исходя из его возраста, протекания патологии и того объема двигательной активности, которого нужно достичь в ходе хирургии.

На сутки после проведения операции руку необходимо зафиксировать специализированной слинг-повязкой. Для облегчения болевых ощущений и предупреждения развития инфекционных болезней пациентам назначают обезболивающие средства и антибиотики.
Уже на вторые сутки врачи рекомендуют начинать нагружать и разрабатывать плечевой сустав. Движения необходимо осуществлять понемногу, слегка превозмогая болевые ощущения, но не заставляя себя испытывать нестерпимые ощущения.
Каждый последующий раз амплитуду движений руки необходимо немного увеличивать. После третьих суток разработку сустава можно производить при помощи специальных аппаратов. Послеоперационные швы при данной операции снимаются спустя 14 дней.
Поскольку эндопротезирование плечевого сустава является высокоточным хирургическим вмешательством, разработку поставленного протеза можно и нужно начинать, как можно раньше. Реабилитационный период может быть разным по длительности, в зависимости от возраста пациента, типа протеза и индивидуальных особенностей организма. В ходе всего реабилитационного периода врач должен контролировать процесс разработки и заживления.
Бывают ситуации, когда после тяжелейших травм функции плечевого сустава восстанавливаются не в полном объеме.
Однако данную особенность грамотные специалисты чаще всего видят еще до операции, поэтому реабилитационные процедуры направлены на достижение конкретного спектра двигательной активности, которую предполагает доктор.
Осложнения при эндопротезировании
Как и при любой другой операции, при эндопротезировании плечевого сустава нельзя исключать осложнения. К общим осложнениям врачи обычно относят возникновение аллергии на анестетики либо возникновение сердечного приступа.
Также вероятны и инфекционные осложнения, которые не обязательно будут вызваны самим хирургическим вмешательством.
Часто даже если после эндопротезирования сходить к стоматологу, например, можно внести инфекцию в кровоток, после чего вставленный протез может инфицироваться. Такая ситуация может приводить даже к необходимости срочных операций.
Врачи советуют каждый раз перед посещением стоматологических кабинетов либо других специалистов, которые могут проводить не просто осмотры, а и какие-либо манипуляции инвазивного характера, принимать курсы антибактериальных препаратов во избежание подобных осложнений.
Иногда возможен вариант выскакивания или вывиха эндопротезов в плечевых суставах. Такое случается в первые месяцы ношения протезов. Избежать подобного осложнения можно при помощи соблюдения всех предписаний врачей, которые учитывают необходимые и допустимые объемы нагрузок на эндопротез.
Также в результате получения травм можно сломать кость около протеза. Характер устранения данной проблемы всегда зависит от характера полученного перелома.
Сам протез должен длительно (около 20 лет) служить своему владельцу, однако нужно понимать, что он не вечен и когда-то срок его эксплуатации завершится. Протез может начать расшатываться, доставлять болезненные ощущения, сковывать активность. Все это является предписанием для проведения ревизионного эндопротезирования.
Читайте также:
