Доступ и ход операции правосторонней резекции печени - гемигепатэктомии
Добавил пользователь Евгений Кузнецов Обновлено: 21.11.2025
ФГБУ «ГНЦ ФМБЦ им. А.И. Бурназяна» ФМБА России, Москва, Россия
ФГБУ "Федеральный медицинский биофизический центр им. А.И. Бурназяна" ФМБА России, Москва
Лапароскопическая донорская правосторонняя гемигепатэктомия (первый опыт в Российской Федерации)
Журнал: Эндоскопическая хирургия. 2017;23(3): 37‑40
Введение
Трансплантация печени является основным методом лечения пациентов с терминальными диффузными заболеваниями печени или ранней гепатоцеллюлярной карциномой на фоне цирроза или без цирроза печени [1].
Совершенствование хирургической техники, новые достижения в фармакологии — появление современных лекарственных препаратов, новых консервирующих растворов, развитие интенсивной терапии и диагностики привели к значительному увеличению числа трансплантаций печени во всем мире и значительному повышению выживаемости пациентов — пятилетняя выживаемость составляет более 74,6% (по данным United Network for Organ Sharing (UNOS), 2009).
Однако трансплантация печени доступна ограниченному количеству больных в связи с дефицитом донорских органов. Трансплантация печени от живого родственного донора является эффективной опцией лечения пациентов с терминальными диффузными заболеваниями печени в условиях ограниченного ресурса посмертного донорства. Непосредственные результаты и выживаемость реципиентов после родственной трансплантации сравнимы с трупной трансплантацией печени [2, 3].
Получение жизнеспособного трансплантата от живого родственного донора является наиболее распространенной операцией при трансплантации печени в варианте «adult-to-adult» и является операцией выбора при недостатке донорских органов. Однако частота послеоперационных осложнений после донорской правосторонней гемигепатэктомии может достигать 16,0—78,3% [4, 5] и превышает частоту осложнений при левосторонней гемигепатэктомии у доноров [4].
D. Cherqui и соавт. [7] впервые доложили о лапароскопическом изъятии левого латерального сектора печени у живых доноров для трансплантации ребенку в 2002 г. [3, 6]. В дальнейшем ряд авторов описали сравнение и сопоставимую эффективность лапароскопической и открытой левосторонней латеральной секторэктомии и отметили ряд преимуществ лапароскопического метода [6, 8]. С тех пор многие центры трансплантации во всем мире стали выполнять эти вмешательства у живых доноров [3]. Применение лапароскопических методик, меньшие размеры кожных разрезов приводят к снижению кровопотери, сокращению послеоперационного пребывания в стационаре, более быстрому физическому выздоровлению, умеренной стоимости лечения, улучшению качества жизни и более быстрому возврату к работе [1, 3, 8].
В 2006 г. A. Koffron и соавт. [9] доложили об успешной лапароскопически-ассистированной донорской правосторонней гемигепатэктомии (с использованием мануального порта) .
Впервые полностью лапароскопическая донорская правосторонняя гемигепатэктомия была описана в 2013 г. [10], после чего стало увеличиваться число спорадических случаев данных вмешательств во многих трансплантационных центрах [3]. На сегодняшний день лапароскопическая донорская правосторонняя гемигепатэктомия рассматривается как допустимый и безопасный метод в некоторых центрах трансплантации печени, которые обладают большим опытом лапароскопических вмешательств [2].
В Российской Федерации с мая 2016 г. в ФГБУ «ФНЦТИО им. акад. В.И. Шумакова» стартовала программа лапароскопического изъятия фрагментов печени для трансплантации, где выполняют лапароскопические левосторонние латеральные секторэктомии печени у живого родственного донора [1].
Лапароскопических донорских правосторонних гемигепатэктомий в России до настоящего момента выполнено не было.
Мы приводим клинический случай первой в Российской Федерации лапароскопической донорской правосторонней гемигепатэктомии с целью получения жизнеспособного трансплантата правой доли печени.
Клинический случай
Пациентка К., 29 лет, поступила в клинику в качестве потенциального родственного донора фрагмента печени для своей сестры. Рост — 150 см, масса тела — 48 кг, ИМТ=21,33 кг/м 2 , окружность грудной клетки — 72 см, окружность живота — 68 см.
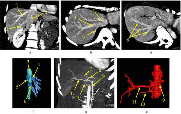
По данным компьютерной томографии: печень обычной формы. Кранио-каудальный размер правой доли — 150 мм. Объем паренхимы печени — 896 мл, объем правой доли — 596 мл. Объем остающейся левой доли печени (futureremnantliver — FRL) составил 33,5% к общему объему паренхимы печени. Индекс плотности паренхимы составил 10 ед., данных за стеатоз не получено. Паренхима равномерно накапливает контраст, без очаговых изменений. Внутри- и внепеченочные желчные протоки не расширены. Желчный пузырь не увеличен, без рентгенконтрастных включений. Левая печеночная артерия отходит от чревного ствола, питает сегменты S4a, b. Сегменты S2, S3 снабжаются ветвью левой желудочной артерии. Правая печеночная артерия отходит от верхней брыжеечной артерии, имеет диаметр 3 мм. Пузырная артерия, диаметром 1,5 мм отходит от верхней брыжеечной артерии дистальнее устья правой печеночной артерии (рис. 1).

Рис. 1. Компьютерная томография печени, венозная фаза (а—в). 3D-моделирование эфферентных сосудов правой доли печени. Боковая проекция. Вид справа (г). Компьютерная томография печени, артериальная фаза (д). 3D-моделирование афферентных сосудов печени (е). 1 — правая печеночная вена; 2 — правая нижняя печеночная вена; 3 — нижняя полая вена; 4 — левая и средняя печеночные вены, совместно впадающие в нижнюю полую вену; 5 — правая верхняя печеночная вена (отток от S7 печени); 6 — три правые нижние печеночные вены (отток от S5, S6, S7 печени); 7 — левая печеночная артерия; 8 — левая желудочная артерия; 9 — верхняя брыжеечная артерия; 10 — пузырная артерия (отходит от верхней брыжеечной артерии); 11 — правая печеночная артерия (отходит от верхней брыжеечной артерии).
Портальная система равномерно контрастирована, имеет место бифуркация ствола порты, поперечный размер портальной вены — 10 мм. Левая и средняя печеночная вены совместно впадают в нижнюю полую вену. В левую печеночную вену впадают две ветви, дренирующие S8 диаметром около 3 мм, одна из которых впадает в среднюю печеночную вену рядом с кавальными воротами, а также две ветви от S5, также имеющие диаметр около 3 мм. Диаметр средней печеночной вены — 7 мм. Правая печеночная вена имеет диаметр 9 мм, впадает в нижнюю полую вену на расстоянии 9 мм от средней печеночной вены. От сегмента S7 на уровне кавальных ворот, в нижнюю полую вену впадает ветвь диаметром 4 мм. От сегментов S7, S5, S6 в нижнюю полую вену, чуть выше уровня портальных ворот, рядом впадают три дополнительные ветви печеночных вен диаметром 4, 7 и 8 мм (см. рис. 1). Патологии органов брюшной полости и забрюшинного пространства не выявлено.
По данным магнитно-резонансной томографии, холангиографии (рис. 2): печень в размере не увеличена, контуры ровные, четкие, структура однородная, без очаговых образований. Внутри- и внепеченочные желчные протоки не расширены. Внутрипеченочные сосуды не изменены. Желчный пузырь нормальных размеров — 3,3×1,5 см, имеется перегиб ближе к шейке, содержимое однородное. Стенки пузыря тонкие. Гепатикохоледох визуализируется на всем протяжении, имеет равномерный просвет диаметром 4 мм. Визуализируется бифуркация желчевыводящих путей на правый и левый долевые протоки диаметром 2 мм, имеется дополнительный правый долевой проток диаметром 2 мм, сегментарные протоки не визуализируются. Отчетливо определяется пузырный проток 1,5 мм в диаметре (см. рис. 2). Патологии органов брюшной полости и забрюшинного пространства не выявлено.

Рис. 2. Магнитно-резонансная холангиография. 1 — правый долевой желчный проток; 2 — левый долевой желчный проток; 3 — общий печеночный желчный проток; 4 — общий желчный проток; 5 — пузырный проток; 6 — желчный пузырь; 7 — дополнительный правый желчный проток.
Индекс отношения трансплантата к массе тела реципиента (Graft Recipient Body Weight Ratio — GRWR) составил 1,1.
Пациентка обследована по программе подготовки родственных доноров к операции. Принято решение о трансплантации правой доли печени реципиенту (сестре) — пациентке Ш., 18 лет, с диагнозом: цирроз печени в исходе аутоиммунного гепатита высокой активности, класс С по Чайлда—Пью, MELD 28, прогрессирующее течение.
4 мая 2017 г. в Центре хирургии и трансплантологии ФГБУ «ГНЦ ФМБЦ им. А.И. Бурназяна» впервые в РФ выполнена лапароскопическая донорская правосторонняя гемигепатэктомия.
Ход операции
Установлены 6 троакаров, 1—12 мм, 3—10 мм, 2—5 мм (рис. 3). При ревизии: печень обычных формы, цвета и консистенции, край ее острый, каких-либо патологических изменений органов брюшной полости не выявлено. Выполнена холецистэктомия «от шейки» с клипированием желчепузырного протока и желчепузырной артерии. Рассечен передний листок брюшины печеночно-двенадцатиперстной связки. Выделен общий печеночный проток, при этом обнажен дистальный отдел правого печеночного протока. Правая печеночная артерия отходит от верхней брыжеечной артерии, проходит латеральнее общего желчного протока, внешним диаметром 4 мм выделена на протяжении, взята на держалку. Выделена правая долевая ветвь воротной вены, взята на держалку. Мобилизована и пересечена круглая связка, серповидная связка рассечена спереди назад (рис. 4) до передней поверхности нижней полой вены (НПВ). Правая и левая коронарные связки частично рассечены, надпеченочный отдел НПВ выделен из окружающих тканей. Полностью мобилизована правая доля печени. Мобилизован нижнезадний край печени в области НПВ. Произведено прецизионное выделение коммуникантных вен диаметром от 0,5 до 3 мм от 5 и 8 сегментов печени к НПВ, их лигирование и рассечение. Выделены и взяты на держалки три дополнительные крупные нижние правые печеночные вены (вены Макуучи) от S6, S7, S8 печени диаметром до 8—9 мм (рис. 5). Выделены элементы гепатодуоденальной связки (рис. 6, а). Временно наложены зажимы на праводолевую ветвь воротной вены и правой печеночной артерии (рис. 6, б), визуализирована линия Rex-Cantlie, намечена линия резекции печени. Транссекцию паренхимы печени (рис. 7) производили правее проекции срединной вены с ее сохранением у донора с помощью ультразвукового диссектора Harmonic, электрохирургического скальпеля Enseal G2, аппарата LigaSure. Сосудисто-секреторные элементы клипированы и рассечены по линии транссекции паренхимы печени при сохраненном кровообращении (рис. 8). После разделения паренхимы печени выделено устье правой печеночной вены. Два правых печеночных протока клипированы c помощью клипатора Hemalock, пересечены (рис. 9). В правой подвздошной области установлен порт для ручного ассистирования Endopath Dextrus Ethicon. Правая печеночная артерия клипирована с помощью клипатора Hemalock, пересечена (рис. 10). Клипирована правая долевая воротная вена с помощью клипатора Hemalock (рис. 11). Добавочные вены от S6, S7, S8 печени клипированы с помощью клипатора Hemalock, пересечены (рис. 12). Правая доля печени отделена от НПВ. Правая печеночная вена, совместно с верхней правой печеночной веной, пересечены с помощью сшивающего аппарата Echelon (рис. 13). Пересечена правая долевая вена (рис. 14). Правая доля печени извлечена через порт для ручного ассистирования и передана для консервации. Выполнен контроль гемостаза и желчеистечения культи левой доли печени.

Рис. 3. Схема установки лапароскопических троакаров и порта для ручного ассистирования (1).

Рис. 4. Мобилизация печени.

Рис. 5. Мобилизация нижней правой печеночной вены (1) и коротких печеночных вен (2).

Рис. 6. Мобилизация портальных ворот печени (а). Пережатие правой ветви воротной вены и правой печеночной артерии (б). 1 — правая ветвь воротной вены; 2 — правая печеночная артерия.

Рис. 7. Диссекция печеночной паренхимы. 1 — правая доля печени; 2 — зона диссекции; 3 — левая доля печени; 4 — резиновая держалка на правой ветви воротной вены; 5 — резиновая держалка на правой печеночной артерии.

Рис. 8. Мобилизация и пересечение межкавальных перетоков правой и левой долей печени (указано стрелками).

Рис. 9. Пересечение правого долевого желчного протока.

Рис. 10. Пересечение правой печеночной артерии (указано стрелкой).

Рис. 11. Клипирование правой долевой воротной вены (указано стрелкой).

Рис. 12. Пересечение нижней правой печеночной вены (указано стрелками).

Рис. 13. Пересечение правой печеночной вены.

Рис. 14. Пересечение правой долевой воротной вены.
Длительность операции составила 545 мин. Кровопотеря — 350 мл.
На этапе «backtable» выполнена сложная реконструкция сосудов трансплантата: сформировано единое соустье между тремя нижними правыми печеночными венами (вены Макуучи); также сформировано единое соустье между правой печеночной веной и верхней правой печеночной веной.
При имплантации донорской печени сформирован анастомоз между единым соустьем трех нижних печеночных вен трансплантата и НПВ реципиента, сформирован анастомоз между единым соустьем правой и верхней правой печеночными венами трансплантата и НПВ реципиента.
Сформирован анастомоз между воротной веной реципиента и правой долевой воротной веной трансплантата.
Сформирован прецизионный анастомоз между правой печеночной артерией реципиента и правой печеночной артерией трансплантата.
Реконструкция желчных протоков выполнена по типу бигепатикоэнтеростомии по Ру.
Послеоперационный период протекал без серьезных особенностей. Пациентка на первые послеоперационные сутки переведена из отделения реанимации в хирургический стационар. На 11-е послеоперационные сутки пациентка выписана из стационара (рис. 15).

Рис. 15. Пациентка на 11-е послеоперационные сутки.
Заключение
Данный случай демонстрирует возможность выполнения донорской правосторонней гемигепатэктомии при сохраненном кровоснабжении полностью лапароскопическим доступом.
Для выполнения полностью лапароскопической донорской правосторонней гемигепатэктомии требуется большой опыт выполнения открытых операций на печени, в том числе у доноров, квалифицированные специалисты, владеющие современными технологиями лапароскопической хирургии.
Особенностью лапароскопической донорской правосторонней гемигепатэктомии являются клипирование правой долевой воротной вены без ее пересечения, последующее прошивание и пересечение правой печеночной вены, а затем пересечение правой долевой воротной вены, являющееся завершающим этапом лапароскопического изъятия правой доли печени.
При выполнении лапароскопической донорской правосторонней гемигепатэктомии необходимо сохранение жизнеспособности доли печени до момента ее изъятия, что является непростой задачей. Особенные трудности могут возникать при наличии нетипичных вариантов сосудистой анатомии печени, вариабельность которой достаточно высока.
Все успешные технологии донорской правосторонней гемигепатэктомии должны быть полностью транслированы из открытой операции, в том числе последовательность пересечения сосудистых и билиарных структур.
Наше клиническое наблюдение демонстрирует возможности успешного и безопасного применения технологии полностью лапароскопического изъятия правой доли печени при трансплантации печени у взрослых, однако кандидаты на прижизненное донорство правой доли печени с целью необходимого уровня донорской безопасности должны проходить тщательную селекцию в первую очередь в отношении сосудистой и билиарной анатомии у донора.
ГЕМИГЕПАТЭКТОМИЯ
Гемигепатэктомия (греч. hemi- полу + hepar, hepat[os] печень + ectome иссечение, удаление) — один из вариантов резекции печени — удаление анатомически обособленной половины печени. Впервые операцию Гемигепатэктомии произвел Вендель (W. Wendel) в 1911 г. Гемигепатэктомия относится к категории наиболее сложных оперативных вмешательств на органах брюшной полости и применяется крайне редко.
Выделение правой и левой половин печени производят соответственно бассейнам правой и левой ветвей воротной вены. Прочие элементы глиссоновой системы печени — ветви печеночной артерии и внутрипеченочные желчные протоки — относительно постоянно сопутствуют ветвям воротной вены. Классическое деление печени на правую и левую доли по серповидной связке и щели круглой связки не соответствует анатомическому делению бассейнов правой и левой ветвей воротной вены. Наибольшее признание получила схема Куино (см. Печень), согласно к-рой в печени различают 5 секторов (или долей) и 8 сегментов. Граница между анатомическими половинами печени проходит вправо от серповидной связки соответственно так наз. линии Рекса—Кантли — от левого края нижней полой вены к середине ложа желчного пузыря.
Анатомические половины печени имеют автономную кавальную систему вен. В толще паренхимы соответственно линии Рекса — Кантли залегает средняя печеночная вена, собирающая кровь от правого околосрединного сектора и IV сегмента левой половины печени.
Содержание
Показания
Показания: гл. обр. первичные злокачественные опухоли печени, реже альвеолярный эхинококк, поликистоз, множественные абсцессы, травматические повреждения.
При распространенном патологическом процессе может возникнуть необходимость резекции более половины печени. Такие операции называют расширенной гемигепатэктомией. Расширенная правосторонняя Г.— иссечение правой анатомической половины и IV сегмента левой половины печени. Расширенная левосторонняя Гемигепатэктомия может быть выполнена в двух вариантах: 1) иссечение левой половины с V сегментом правой половины печени и 2) иссечение всей левой половины и правого околосрединного сектора. Перед Г. необходимо установление точного нозологического и топического диагноза. Наиболее результативными для уточнения внутриорганной топографии патол, образования являются контрастные методы исследования портальной системы — спленопортография (см.) и трансумбиликальная гепатопортография.
Противопоказания
Противопоказания: общее тяжелое состояние больного и выраженные нарушения функции печени.
Предоперационная подготовка
Предоперационная подготовка включает коррекцию констатированных биохимических сдвигов, витаминотерапию и подготовку сердечно-сосудистой системы сердечными гликозидами. В предоперационном периоде с помощью биохимических исследований и функциональных проб должны быть оценены компенсаторные возможности непораженной паренхимы печени.
Техника операции
Обезболивание — эндотрахеальный наркоз с управляемым дыханием.
Хирургический доступ при Гемигепатэктомии должен обеспечивать возможность хорошего подхода к воротам печени, нижней полой и печеночным венам. Для левосторонней Г. обычно используют абдоминальные доступы: верхнюю срединную лапаротомию (при необходимости дополненную срединной стернотомией) или комбинированный разрез Брегадзе — параллельно левой реберной дуге с переходом на VIII межреберье справа. Правосторонняя Г. выполняется из торако-френо-абдоминального доступа. В зависимости от высоты стояния правого купола диафрагмы торакотомия (см.) производится по VI, VII или VIII межреберьям, а лапаротомия (см.) — от реберной дуги к пупку. Целесообразно произвести сначала абдоминальную часть разреза и из него осуществить ревизию брюшной полости. В случае операбельности разрез расширяют на грудную стенку.
Существуют три методики обработки сосудов печени при Г.: 1) перевязка в воротах без предварительного рассечения печени; 2) перевязка по мере их обнаружения, с подходом к ним через паренхиму печени в относительно бессосудистых участках (по линии Рекса — Кантли) — так наз. фиссуральный способ; при фиссуральном доступе к сосудам ножка печени временно пережимается; 3) промежуточная техника, объединяющая в себе элементы первых двух.
Хирурги в странах Европы, Америки и в СССР чаще применяют перевязку сосудов и желчных протоков в воротах печени и реже фиссуральный способ.
Хирурги некоторых стран Азии, имеющие наибольший опыт Г.,— Тон Тхат Тунг, Накаяма, Лин (K.Nakayama, Т. Lin) пользуются почти исключительно фиссуральным способом. К преимуществам этого метода они относят ускорение операции, меньшую кровопотери) и возможность безопасной обработки сосудов при многочисленных вариантах их ветвления в воротах. Лин (1960) опубликовал метод операции, заключающийся в пальцевом разделении паренхимы и контроле встречных сосудов. Накаяма (1958) пользуется специальным зажимом, который разрывает паренхиму печени, но задерживается на сосудах.
Правосторонняя гемигепатэктомия
Для мобилизации правой половины печени рассекают правую треугольную, серповидную, печеночно-диафрагмальную и печеночно-почечную связки. Тупо отпрепаровывают внебрюшинное поле печени от диафрагмы. В воротах печени перевязывают правые ветви воротной вены и печеночной артерии, затем правый печеночный проток. Правую ветвь печеночной артерии до перевязки временно пережимают и убеждаются, что она не снабжает левую половину печени.
После окончания воротного этапа операции перевязывают правую верхнюю, правую среднюю и нижнюю вены, правые притоки средней печеночной вены и отдельные мелкие печеночные вены.
После удаления правой доли осуществляют дополнительный гемостаз и холестаз по линии сечения. Для обнаружения мелких желчных протоков вводят р-р метиленового синего в печеночный или общий желчный проток.
Культю печени укрывают большим сальником, связками или лоскутом диафрагмы. Операцию завершают декомпрессией печеночного протока через культю пузырного (если производилась холецистэктомия) или через общий желчный проток по Керу, Вишневскому или Дольотти (см. Желчные протоки, операции). Резиновые дренажи подводят к культе печени и в правую плевральную полость.
Левосторонняя гемигепатэктомия
Операция является технически более простой, т. к. удаляется меньшая по объему и более доступная часть печени.
Мобилизация левой половины печени достигается пересечением малого сальника, левой треугольной и серповидной связок. Перевязывают в воротах левую ветвь воротной вены, левую ветвь печеночной артерии и левый печеночный проток, а из кавальной системы вен — левую печеночную вену и левые ветви средней печеночной вены. При типичных анатомических взаимоотношениях наиболее удобна следующая последовательность перевязки элементов глиссоновой системы: артерия, вена, проток. Печеночные вены перевязывают после окончания воротного этапа операции. При этом ориентируются на левый край нижней полой вены, чтобы не перевязать основной ствол средней печеночной вены, т. к. ее правые притоки относятся к правой половине печени. Обработку линии сечения паренхимы печени и дренирование желчевыводящих путей производят так же, как при правосторонней Г.
Осложнения
Наиболее тяжелыми осложнениями во время Гемигепатэктомии являются кровотечение в результате разрыва стенки нижней полой вены или фибринолиза, воздушная или опухолевая эмболия легочной артерии. Учитывая опасность разрыва нижней полой вены, под нее ниже и выше печени подводят провизорные турникеты. Возникший разрыв ушивают П-образными швами атравматической иглой. Во избежание воздушной эмболии во время обработки печеночных вен больного переводят в положение Тренделенбурга и повышают внутрилегочное давление в процессе искусственной вентиляции легких.
Послеоперационное ведение
Послеоперационное ведение направлено на предупреждение возникновения ограниченного и разлитого желчного перитонита, печеночно-почечной недостаточности, тромбоза притоков и ветвей воротной вены, эмболии легочной артерии, позднего фибринолиза, а также осложнений, возникающих и после других операций на органах брюшной полости. Правосторонняя Г. может осложняться также пневмотораксом, образованием желчно-плевральных и желчно-бронхиальных свищей.
Результаты операции
Послеоперационная летальность после Гемигепатэктомии высокая; она выше при правосторонних Гемигепатэктомиях и несколько ниже при левосторонних. По сборной статистике Бруншвига (G. Brunschwig) с соавт., летальность после Гемигепатэктомии составляет 25—35%. Отдаленные результаты Гемигепатэктомии описаны как единичные наблюдения.
Удаление доли или сегмента печени — см. Печень, операции.
Библиография: Боровков С. А. Операции на печени, М., 1968, библиогр.; Брегадзе И. Л. и Константинов В. М. Альвеолярный Эхинококкоз (альвеококкоз), М., 1963, библиогр.; Тон Тхат Тунг, Хирургия печени, пер. с франц., М., 1967, библиогр.; Шапкин В. С. Резекция печени, М., 1967, библиогр.; Bengmark S. u. a. Physiologie der Leberresektion, Zbl. Chir., S. 1642, 1973; Воurgeon R. et Guntz M. La place de Thepatectomie dans le traitement du kyste hydatique du foie, Rev., Int. Hepat., t. 10, p. 1021, 1960; Brunsсhwig G. Hepatic lobectomy, Amer. J. Surg., v. 97, p. 148, 1959; Couinaud С. Distribution de l’artere hepatique dans le foie, Acta anat. (Basel), t. 22, p. 49, 1954; он же, Le foie, P., 1957; Lin T. Y., Chen K. M. a. Liu T. K. Total right hepatic lobectomy for primary hepatoma, Surgery, v. 48, p. 1048, 1960; Nakayama K. Simplified hepatectomy, Brit. J. Surg., v. 45, p. 645, 1958; Reiffersсhei d M. Chirurgie der Leber, Stuttgart, 1957, Bibliogr.; Sсhweizer O. a. Howland W. S. Anesthetic management during total hepatic lobectomy, Surg. Gynec. Obstet., v. 110, p. 61,1960.

Гемигепатэктомия - сложнейшая операция по удалению анатомически обособленной половины самой большой железы в организме человека, а именно - печени. Этот орган участвует во многих процессах жизнеобеспечения, в частности, регулирует обмен и накапливает углеводы, белки, гормоны, витамины и минеральные вещества, очищает организм от ядов и токсинов, участвует в процессе пищеварения и кроветворения у плода. Также она служит как резервуар для крови. Поэтому удаление доли печени проводится лишь в случаях, когда консервативные методы не были эффективны или патология органа представляет угрозу для жизни.
Методы резекции печени
Отдельные нервные окончания и кровеносные сосуды, которые подходят к печени, позволяют разделить ее на 5 секторов и 8 сегментов. Благодаря этому, а также наличию отдельных желчевыводящих протоков, есть возможность проводить операции по удалению одного или нескольких сегментов, не нарушая функционирование органа. Наиболее распространенным методом при разнообразных патологических изменениях печени является резекция, однако на сегодняшний день, в зависимости от необходимого объема вмешательства, существуют разные техники выполнения.
Так, разделяют две основные категории операций - это анатомическая или периферическая, которые еще называют типичной и атипичной резекцией. В первом случае учитывается структура железы, во втором - анатомическое строение роли не играет, поскольку удаление происходит у краев печени. Важной при проведении типичного оперативного вмешательства является перевязка магистральных сосудов и протоков в воротах печени, поэтому атипичные операции считаются менее сложными.
К первой группе операций относится так называемая сегментэктомия, когда делается резекция лишь одного сегмента, и секциоэктомия - она делается при необходимости удалить несколько сегментов. Если удаляется полностью левая или правая доля органа - это гемигепатэктомия, которая бывает также расширенной, когда вместе с одной половиной дополнительно вырезается сегмент другой.
Ко второй группе причисляют клиновидную, краевую, плоскостную и поперечную резекции, что зависит от того, возле какой поверхности или края расположена проблема.

Устранение патологии возможно и другими способами, не только при помощи скальпеля. Это:
- Лапароскопия с использованием радиочастотной абляции, когда паренхима иссекается с помощью радиочастотного излучения.
- Химиоэмболизация проводится при обнаружении злокачественного образования на ранней стадии. Суть метода заключается в введении химиопрепарата непосредственно в тот кровеносный сосуд, который снабжает проблемный сегмент, что позволяет убить клетки опухоли. При этом отток лекарств из секции блокируется.
- Алкоголизация предусматривает введение этанола с помощью шприца в нужный сегмент, что приводит к деструкции опасных клеток.
Показания для проведения гемигепатэктомии
Такое оперативное вмешательство является очень сложным, поэтому для проведения гемигепатэктомии нужны серьезные показания и тщательное обследование. Обязательными являются общий и биохимический анализ крови, а также на ВИЧ и СПИД, коагуло- и липидограммы, печеночные пробы и онкологические маркеры в крови, а также анализы на наличие вирусной природы В и С.
К тому же врач может назначить рентген органов грудной клетки, УЗИ, КТ или МРТ печени, ЭКГ. Вдобавок при наличии новообразований на органе проводят тонкоигольную биопсию, а для исследования сосудистого русла вводят контрастное вещество.
Проводить резекцию печени путем гемигепатэктомии необходимо при злокачественных опухолях и метастазах от новообразований в других органах, например, при раке желудка, матки, почек или простаты. Некоторые доброкачественные опухоли также являются показанием для оперативного вмешательства.
Аварии и бытовые травмы, когда повреждение печени сопровождается нарушением анатомической целостности тканей, требуют немедленного проведения гемигепатэктомии.
Также удаление части железы проводится при абсцессах, которые связаны с размножением инфекции или септическим поражением, поликистозе, аномальных развитиях органа и при необходимости трансплантации рассекаемой части печени.
Особенности право- и левосторонней гемигепатэктомии
Левосторонняя гемигепатэктомия технически считается более простой, поскольку большая по объему и более доступная доля печени остается. После мобилизации печени для начала также перевязывают левые ветви артерии, воротной вены и протоков в воротах печени. Только после этого этапа переходят к печеночным венам.
Важно не перевязать основной ствол средней печеночной вены, поскольку ее протоки снабжают правую половину печени. Последующий этап проводится так же, как и при правосторонней гемигепатэктомии.
В ходе правосторонней гемигепатэктомии удаляют с 5 по 8 сегменты печени, для чего орган перемещают в плевральную полость и перевязывают сосуды и печеночный проток. Когда становится видна стенка воротной вены, выделяют ее правый ствол и пережимают. После наблюдения за изменением цвета печени сосуды перевязывают и рассекают.
Далее находят нижнюю полую вену и разделяют ее брюшинный покров. Перевязываются правые печеночные вены, и печень разделяется по ходу срединной щели. Желчный пузырь отделяют в сторону оставшейся доли железы. Орган продолжают рассекать по фиссуре и перевязывают оставшиеся вены. После резекции органа закрывают рану, для чего используют большой сальник или желчный пузырь.
Последствия данного оперативного вмешательства
Во время операции, а также после процедуры гемигепатэктомии, часто возникают осложнения, которые несут риск для жизни пациента. Так, бывает сложно или невозможно остановить внутреннее кровотечение, а также разрыв печеночных вен, если во время процедуры туда попал воздух. Не исключена остановка сердца из-за применения анестезии.
В послеоперационный период возможны разнообразные воспаления внутренних органов, например, желчного пузыря и его протоков, а также формирования абсцесса. Ненадлежащий уход и обработка раны могут привести к ее нагноению. Кроме того, часто наблюдаются у больных нарушения работы желудочно-кишечного тракта, что проявляется в неустойчивом стуле, вздутии и болевых ощущениях.
Доступ и ход операции правосторонней резекции печени - гемигепатэктомии
Хирургическая гепатология остается одним из наиболее динамично развивающихся направлений современной хирургии. За последние два десятилетия существенно изменились и продолжают меняться представления о лечении многих заболеваний печени и желчевыводящих протоков, улучшилась техника выполнения резекций печени, усовершенствовалось анестезиологическое обеспечение этих операций, значительно расширились показания к ним, накоплен опыт применения малоинвазивных методик. Все эти достижения относятся к хирургии первичных и вторичных злокачественных опухолей печени.
Среди вторичных злокачественных новообразований печени ведущее место занимают метастазы колоректального рака. Синхронное метастатическое поражение печени диагностируется у 25% больных, еще у 35—45% метастазы выявляются при динамическом наблюдении (преимущественно в течение первых 3 лет после удаления первичного очага) [4, 7]. При отсутствии лечения средняя продолжительность жизни этой категории больных редко достигает 1 года, варьируя от 6 до 18 мес [14].
Первичный рак печени является не менее актуальной проблемой современной онкологии, занимая 6-е место в структуре онкологической заболеваемости в мире, что составляет 5,7% [13, 20]. Около 85% всех первичных злокачественных опухолей печени представлены гепатоцеллюлярным раком. Примерно 5—10% первичных опухолей печени приходится на холангиоцеллюлярный рак, а остальная часть — на более редкие новообразования: гемангиосаркому, гепатобластому и мезенхимальные опухоли.
В настоящее время абсолютное большинство исследователей в качестве стандарта лечения метастазов колоректального рака в печени признают комбинированное лечение с проведением после- или периоперационной системной полихимиотерапии. Несмотря на появление новых эффективных химиопрепаратов, основным условием успешного лечения пациентов с метастатическим колоректальным раком является выполнение операции в объеме R0 (макро- и микроскопическое отсутствие резидуальной опухоли). Резекция печени с последующим проведением системной химиотерапии позволяет достичь 5-летней выживаемости у 35—60% больных, что показано многими авторами на большом числе наблюдений [4, 11, 21].
При первичном раке печени хирургическое вмешательство является единственным эффективным вариантом лечения, позволяющим добиться длительной общей и безрецидивной выживаемости больных. Общая 5-летняя выживаемость после R0-резекций по поводу гепатоцеллюлярного рака варьирует от 25 до 55%, при холангиоцеллюлярном раке — от 26 до 35% [9, 15]. Операции у пациентов с солитарными опухолями размером менее 5 см и хорошими функциональными резервами печени позволяют повысить показатели 5-летней выживаемости до 70%. К сожалению, резекционные методы применимы только у 20—30% больных первичным раком печени вследствие распространенности заболевания на момент диагностики либо сопутствующего цирроза печени [9].
Как показали исследования, анатомические резекции печени при ее метастатическом поражении обеспечивают лучшие отдаленные результаты по сравнению с атипичными [8, 10]. При первичном раке печени целесообразность выполнения экономных атипичных резекций также спорна. Однако, несмотря на предпочтительность обширных анатомических резекций с точки зрения онкологического радикализма, они не всегда оказываются возможными в связи с высоким риском развития фатальных осложнений (прежде всего — тяжелой печеночной недостаточности). Основными противопоказаниями к обширным резекциям являются выраженное снижение функционального резерва печени, малый объем остающейся функционирующей паренхимы, а также билобарное поражение, исключающее возможность одномоментного удаления всех очагов. Одним из вариантов решения данной проблемы в группе больных с метастатическими опухолями является выполнение двухэтапных анатомических резекций (с эмболизацией или лигированием одной из ветвей воротной вены). Другим возможным вариантом являются сегментарные резекции. Для достижения наилучших онкологических результатов, а также с целью снижения травматичности, подобные операции следует выполнять максимально анатомично. В связи с этим важнейшую роль играет техническое выполнение оперативного вмешательства.
До настоящего времени многие хирурги предпочитают фиссуральный способ выполнения сегментарных резекций. Хотя такие операции и не являются в прямом смысле «атипичными» резекциями, а скорее представляют собой «сегмент-ориентированные» резекции, они не лишены ряда недостатков. В первую очередь это сложность соблюдения истинных межсегментарных границ, поскольку их расположение в правой доле печени отличается значительной вариабельностью [2].
Проблему определения истинных межсекторальных и межсегментарных границ позволяет решить воротный доступ к глиссоновым ножкам, который не предполагает рассечения их капсулы и раздельной диссекции сосудисто-секреторных элементов [3].
Однако, несмотря на явные преимущества данного доступа к афферентным сосудам печени, он не лишен и определенных недостатков, так как предполагает травматичное рассечение печени с целью достижения глиссоновых ножек. В связи с этим существует риск повреждения крупных ветвей средней печеночной вены. С целью минимизации риска данных осложнений в настоящее время все шире применяется модифицированный атравматичный воротный доступ к глиссоновым пучкам, который позволяет избежать значительного рассечения паренхимы печени. Основоположником методики считается японский хирург Ken Takasaki [22]. При этом необходимо отметить тот факт, что задолго до появления работ K. Takasaki в наше стране были проведены исследования по изучению возможности изолированного выделения глиссоновых пучков при выполнении анатомических резекций печени [1]. Эти пионерские работы неразрывно связаны с именем проф. Э.И. Гальперина, внесшего значительный вклад в развитие отечественной и мировой хирургической гепатологии.
В ходе выполнения обширных анатомических резекций печени ключевыми моментами операции являются выделение гилюсных и глиссоновых элементов (в том числе интрапаренхиматозно), а также последующее уверенное, но деликатное разделение паренхимы печени по линии резекции. Выполнение сегментарных резекций по истинным анатомическим границам сегментов также невозможно без выделения и интрапаренхиматозной обработки отдельных глиссоновых пучков.
Усовершенствование методики разделения паренхимы печени позволяет добиться лучшей визуализации интрапаренхиматозных трубчатых структур и уменьшения объема интраоперационной кровопотери, снижения частоты послеоперационных осложнений. Для достижения данной цели разработано множество методов, основанных на различных физических принципах, начиная с дигитоклазии и методики «crush clamp» («раздавливания зажимом») и заканчивая радиочастотной термоабляцией, аргоновой коагуляцией, ультразвуковой и водоструйной диссекцией [12].
В настоящем исследовании нами проанализированы результаты выполнения анатомических резекций печени с применением водоструйного диссектора ERBEJET2 производства компании «ERBE», Германия.
Материалы и методы
В отделении абдоминальной онкологии МНИОИ им. П.А. Герцена в период с 2005 по 2011 г. проведено хирургическое лечение 112 больных с первичными и метастатическими опухолями печени. Среди оперированных пациентов мужчин было 54 (48,2%), женщин — 58 (51,8%). Возраст больных варьировал от 23 до 78 лет, средний возраст составил 57,5±11,2 года. Распределение больных в зависимости от гистологической структуры опухоли (первичный или метастатический рак печени) и локализации опухолевых очагов в печени представлено в табл. 1.

Анатомические резекции печени по поводу первичных и метастатических опухолей были выполнены 61 пациенту, атипичные резекции — 51 больному. В группе анатомических резекций правосторонняя гемигепатэктомия выполнена 27 (44,3%) больным, левосторонняя гемигепатэктомия — 4 (6,6%), расширенные гемигепатэктомии — 8 (13,1%), бисегментэктомии — 16 (26,2%), сегментэктомия — 3 (4,9%), медианная резекция печени (анатомическое удаление SIV—SV—SVIII) — 3 (4,9%). Объемы выполненных оперативных вмешательств представлены в табл. 2.
При выполнении атипичных резекций печени нами использовались различные методы диссекции паренхимы, включая монополярную и биполярную коагуляцию, гармонический скальпель, радиочастотную абляцию с поэтапным рассечением паренхимы, микроволновую абляцию.
Выполнение атипичных резекций печени, безусловно, не предусматривало выполнения сосудистой изоляции. При этом необходимость в применении маневра Прингла возникла лишь в единичных случаях, в основном, при множественных атипичных резекциях печени.
При выполнении анатомических резекций печени мы использовали два принципиально разных подхода.
В 1-й группе больных (18 пациентов, оперированных с 2005 по 2007 г. включительно) применяли традиционный воротный доступ. После выполнения сосудистой изоляции резецируемой части печени (в подавляющем большинстве случаев доли печени) производили диссекцию паренхимы в пределах ишемизированной зоны (5—10 мм от линии демаркации). Для разделения паренхимы применяли монополярную и биполярную коагуляцию, гармонический скальпель, клипирование и лигирование трубчатых структур, а при резко выраженной кровоточивости паренхимы радиочастотную абляцию. При невозможности достичь адекватного гемостаза непосредственно в момент диссекции паренхимы применяли маневр Прингла.
Во 2-ю группу (с 2008 по 2011 г.) включили 43 больных, у которых при выполнении анатомических резекций печени использовали модифицированный воротный доступ с интрапаренхиматозным выделением глиссоновых пучков. После выделения гилюсных элементов и выполнения лимфаденэктомии гепатодуоденальной связки осуществляется доступ к воротной пластинке с обеих сторон от долевых глиссоновых ножек. Затем выполняется диссекция паренхимы печени в плоскости глиссоновой ножки резецируемой доли печени. Применение на данном этапе водоструйного диссектора позволяет прецизионно отделить паренхиму печени от воротной пластинки и выделить глиссонову ножку на необходимом протяжении без значимого повреждения ветвей печеночных вен и желчных протоков. После обеспечения полноценного доступа к долевой ножке ее берут на турникет. При необходимости выполнения сегментарных резекций печени доступ к секторальным ножкам осуществляется в проекции места ветвления долевой ножки на секторальные аналогичным образом. Дальнейшая селективная изоляция секторальных и сегментарных ножек позволяет после реализации демаркации удалить пораженный сектор или сегмент в соответствии с их истинными анатомическими границами. Так, при выполнении изолированной сегментэктомии SVIII по данной методике производится последовательное выделение из окружающей паренхимы правой долевой ножки, правого переднего секторального глиссонова пучка и, наконец, сегментарного пучка к SVIII.

После развития демаркации, диссекция паренхимы печени производится в пределах ишемизированной зоны (5—10 мм от линии демаркации). На этом этапе мы параллельно используем водоструйный диссектор, гармонический скальпель, моно- и биполярную коагуляцию, а также клипирование и лигирование трубчатых структур. При этом применение водоструйного диссектора в абсолютном большинстве случаев позволяет разделить паренхиму печени без нарушения целостности мелких глиссоновых пучков, ветвей печеночных вен и желчных протоков (рисунок). Рисунок 1. Разделение паренхимы печени с использованием водоструйного диссектора.
К техническим преимуществам применяемого аппарата следует отнести также возможность регулирования давления струи жидкости в достаточно широких пределах, что позволяет непосредственно во время операции подобрать индивидуальный режим (интенсивности) диссекции в зависимости от состояния паренхимы печени (выраженный фиброз, жировая дистрофия и т.д.). Сосуды и желчные протоки отчетливо визуализируются в виде различного диаметра фиброзных тяжей и уверенно обрабатываются под контролем зрения любым из доступных методов. Мы предпочитаем обработку мелких трубчатых структур гармоническим скальпелем, клипирование (лигирование) более крупных сосудов и желчных протоков. Маневр Прингла применяли в случае значительной хрупкости и кровоточивости паренхимы печени, когда невозможно достичь адекватного гемостаза непосредственно в момент диссекции паренхимы.
Результаты
Нами проанализированы непосредственные результаты анатомических резекций печени, выполненных по традиционной методике и по описанной выше модифицированной методике с применением водоструйного диссектора.
При анализе результатов были оценены: продолжительность операции, объем интраоперационной кровопотери, необходимость применения маневра Прингла, частота развития послеоперационных осложнений, госпитальная летальность. Дополнительно оценивали долю анатомических сегментарных резекций печени (сегментэктомии, бисегментэктомии) до и после применения описанной методики.
Сравнительный анализ непосредственных результатов анатомических резекций в зависимости от использования стандартной методики и модифицированной методики (с применением водоструйного диссектора и выделением глиссоновых пучков) показал отсутствие достоверных различий в продолжительности операции. Так, среднее время операции в контрольной группе составило 386,6±133,4 мин, в основной — 375,6±107,0 мин (p>0,05). При этом необходимо отметить, что техника выполнения вмешательства с применением водоструйного диссектора требует от хирурга последовательной, терпеливой диссекции тканей с поочередным использованием данного аппарата и других генераторов (гармонический скальпель, коагулятор). Данное обстоятельство закономерно приводит к некоторому увеличению продолжительности операции на этапе освоения метода, что справедливо практически для любой хирургической технологии.
При анализе влияния техники выполнения анатомических резекций печени на объем интраоперационной кровопотери зафиксировано статистически значимое снижение среднего объема и медианы объема кровопотери в группе больных, оперированных по модифицированной методике. В данной группе пациентов медиана объема кровопотери составила 700 мл по сравнению с 2250 мл в группе резекций, выполненных по стандартной методике (табл. 3).
Кроме того, в группе больных, оперированных с применением модифицированного воротного доступа, удалось существенно уменьшить частоту использования маневра Прингла по сравнению с контрольной группой пациентов (16,2 и 55,5% соответственно).
С одной стороны, эти отличия могут быть объяснены оптимальной сосудистой изоляцией резецируемых отделов печени, что позволяет выполнять резекцию в пределах истинных анатомических границ сегмента, сектора или доли. С другой стороны, применение водоструйного диссектора на этапе разделения паренхимы после сосудистой изоляции позволяет улучшить визуализацию сосудистых элементов (в первую очередь ветвей печеночных вен), уменьшить риск травматизации данных структур и обеспечить их уверенную обработку под контролем зрения.

При сравнении частоты и структуры послеоперационных осложнений статистически значимых различий в исследуемых группах выявлено не было. В большинстве осложнения были обусловлены формированием отграниченных жидкостных скоплений в зоне резекции печени (биломы, организовавшиеся гематомы). Во всех случаях адекватное дренирование жидкостных скоплений под контролем УЗИ позволило благополучно выписать больных. В послеоперационном периоде умерли 3 пациента из 1-й группы и 1 больной — из 2-й. Таким образом, послеоперационная летальность в исследуемых группах составила 16,7 и 2,3% соответственно. В 3 случаях причиной смерти явилась тяжелая печеночная недостаточность, развившаяся в раннем послеоперационном периоде. Вероятно, методика выполнения вмешательства не могла оказать существенного влияния на возникновение этого фатального осложнения. Послеоперационная смерть 1 больного (правосторонняя гемигепатэктомия с применением традиционной методики) связана со сверхмассивной интраоперационной кровопотерей — более 1,5 л. К сожалению, у данного больного имела место существенная недооценка распространенности опухолевого процесса на этапе предоперационного обследования (табл. 4).
Нами было изучено влияние модифицированной методики на структуру выполняемых операций. До начала ее использования доля анатомических резекций печени составляла 46,2% (18 пациентов из 39). Начало активного использования водоструйного диссектора и постоянное стремление к выполнению «сегмент-ориентированных» резекций печени с интрапаренхиматозной обработкой глиссоновых пучков привели к значительному увеличению количетва истинных анатомических резекций, их доля достигла 59% (43 пациента из 73). Эти изменения обусловлены не только отказом от выполнения атипичных резекций печени в пользу «истинных» сегментэктомий, но и возможностью онкологически оправданной редукции объема резекции печени (например, выполнение по поводу солитарного метастатического очага диаметром до 6 см на границе SVI—SVII не правосторонней гемигепатэктомии, а анатомической бисегментэктомии SVI—SVII). Другой яркой иллюстрацией может послужить медианная резекция печени (трисегментэктомия SIV—SV—SVIII) с одномоментной атипичной резекцией левой доли у пациента с билобарными метастазами колоректального рака.
Заключение
Наш опыт применения водоструйного диссектора в ходе выполнения анатомических резекций печени по поводу первичных и метастатических опухолей свидетельствует о безопасности и эффективности данной методики. Основным преимуществом водоструйной диссекции при осуществлении модифицированного воротного доступа к глиссоновым ножкам является возможность прецизионного отделения паренхимы печени от воротной пластинки и выделения глиссоновой ножки на необходимом протяжении без повреждения ветвей печеночных вен, желчных протоков. С другой стороны, применение водоструйного диссектора на этапе разделения паренхимы позволяет улучшить визуализацию сосудистых элементов, уменьшить риск травматизации данных структур, что потенциально ведет к сокращению объема интраоперационной кровопотери и уменьшению частоты послеоперационных осложнений. Полученные нами результаты не противоречат и данным мировой литературы.
Таким образом, на современном этапе развития хирургической техники залогом успешного выполнения обширных анатомических резекций печени является использование широкого арсенала медицинской аппаратуры: современных генераторов, хирургического инструментария, шовных материалов, анестезиологической аппаратуры и пр. С нашей точки зрения, водоструйные диссекторы могут по праву занять свое место в длинном списке оборудования, применяемого в хирургической гепатологии, и внести свой вклад в улучшение результатов лечения пациентов с первичными и метастатическими опухолями печени.
Читайте также:
