Дренирование ликворной системы. Отогенные абсцессы мозга
Добавил пользователь Владимир З. Обновлено: 19.12.2025

Летом 2018 года в Областную больницу №3 г. Тобольска из сельского фельдшерско-акушерского пункта доставлена женщина 48 лет.
Жалобы
Женщина была доставлена из труднодоступного региона — "Тобольского Заболотья", в котором нет дороги, связывающей населённый пункт с "большой землёй". Это затрудняло транспортировку пациентки.
Анамнез
В связи с угнетённым сознанием поступившей собрать анамнез заболевания не удалось. Родственники больной, проживающие в Тобольске, общались с ней редко и что-либо рассказать не могли.
Информацию о поступившей пациентке направили в тюменский "Федеральный центр нейрохирургии" для оказания высококвалифицированной помощи, однако оформить направление на лечение не удалось, так как у женщины отсутствовал паспорт гражданина РФ: из документов при ней был только паспорт гражданина СССР, СНИЛС и медицинский полис от 2001 года.
Обследование
При осмотре офтальмологом выявлена гипертоническая ангиопатия (поражение) сосудов сетчатки. При осмотре нейрохирургом установлен характер нарушения сознания — наблюдается глубокое оглушение (11 баллов по шкале комы Глазго), левая часть тела глубоко парализована (гемипарез).
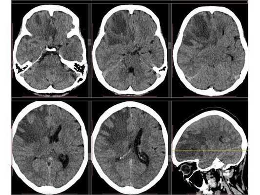
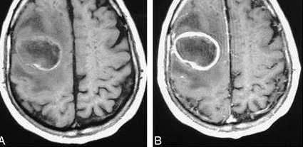
Рентгенография лёгких: без патологии. УЗИ органов брюшной полости: выявлены хронический холецистит, хронический панкреатит, диффузные изменения печени и поджелудочной железы. ЭКГ: в норме. На КТ головного мозга визуализировалось объёмное образование в правой лобной доли. Это вызвало подозрение на абсцесс, но отсутствие уровня жидкости, лихорадки и менингеального синдрома у пациентки в большей степени склонило клиническую мысль в сторону онкологического поражения. В связи с этим пациентку госпитализировали в отделении неврологии. Однако при осмотре онкологом и гинекологом данных, которые бы подтверждали наличие онкологии головного мозга, обнаружено не было. В качестве дообследования проведена КТ головного мозга с контрастным усилением. Она выявила объёмное образование в правой лобной доли с чётко очерченной капсулой. Рядом с образованием располагался отёк, срединные структуры были смещены влево примерно на 5 мм.
Диагноз



3D-реконструкция объёмного образования правой лобной доли головного мозга, выполненная на основании сканов КТ с контрастным усилением


Интраоперационная фотография, выполненная после аспирации гнойного содержимого из полости абсцесса и промывания полости антисептическими растворами
Лечение
На основании диагноза проведена краниотомия (трепанация черепа) и удаление абсцесса правой лобной доли: ⠀• выполнен дугообразный разрез мягких тканей в правой лобно-височной области; ⠀• наложено фрезевое отверстие у основания скулового отростка лобной кости, из которого краниотомом выпилен костный лоскут 6*5 см; ⠀• для остановки кровотечения использован хирургический воск и электрокоагуляция по ходу доступа; ⠀• произведено подковообразное вскрытие твёрдой мозговой оболочки основанием к сагиттальному синусу: абсцесс был хорошо отграничен капсулой и подпаянной к коре головного мозга твёрдой мозговой оболочкой; ⠀• тонким шпателем твёрдая мозговая оболочка постепенно отделена от коры, абсцесс вскрыт — получен гной, внешне напоминающий сливки, с гнилостным запахом; ⠀• аспирировано (удалено) около 60 мл гноя; ⠀• полость абсцесса многократно промыта водными растворами перекиси водорода и фурацилина, мозг запал, имеется хорошая пульсация; ⠀• твёрдая мозговая оболочка ушита, по периметру подшито трепанационное окно, костный лоскут уложен на место, на рану наложены послойные швы и асептическая повязка. При оперативных вмешательствах по поводу абсцесса головного мозга принято оставлять дренаж в полости абсцесса. Однако, с учётом наличия хорошо сформированной капсулы, которая была визуализирована после промывания полости антисептическими растворами, принято решение не оставлять дренаж.
В ходе лечения сознание стало ясным, общемозговые и менингеальные симптомы регрессировали, частично регрессировал паралич левой части тела. Рана после операции зажила первичным натяжением, швы сняты. Пациентка выписана на амбулаторное лечение.
Заключение
Представленный клинический случай может быть рассмотрен как возможный вариант хирургической тактики при хорошо отграниченном абсцессе. Так, аспирация гнойного содержимого абсцесса без удаления капсулы и без дренирования её с последующей антибактериальной терапией, в подобных случаях является достаточным. Единственное, что стоило бы добавить к тактике обследования подобного абсцесса — выполнение перед операцией диагностической люмбальной пункции.
Абсцесс головного мозга ( Церебральный абсцесс )
Абсцесс головного мозга — это ограниченное скопление гноя в полости черепа. Различают три вида абсцессов: внутримозговые, субдуральные и эпидуральные. Симптомы абсцесса головного мозга зависят от его месторасположения и размеров. Они не являются специфичными и могут составлять клинику любого объемного образования. Диагностируется абсцесс головного мозга по данным КТ или МРТ головного мозга. При абсцессах небольшого размера подлежат консервативному лечению. Абсцессы, расположенные вблизи желудочков головного мозга, а также вызывающие резкий подъем внутричерепного давления, требуют хирургического вмешательства, при невозможности его проведения - стереотаксической пункции абсцесса.
МКБ-10

Общие сведения
Абсцесс головного мозга — это ограниченное скопление гноя в полости черепа. Различают три вида абсцессов: внутримозговые (скопление гноя в веществе мозга); субдуральные (расположенные под твердой мозговой оболочкой); эпидуральные (локализованные над твердой мозговой оболочкой). Основными путями проникновения инфекции в полость черепа являются: гематогенный; открытая проникающая черепно-мозговая травма; гнойно-воспалительные процессы в придаточных пазухах носа, среднем и внутреннем ухе; инфицирование раны после нейрохирургических вмешательств.

Причины
Среди выделенных возбудителей гематогенных абсцессов головного мозга преобладают стрептококки, часто в ассоциации с бактериотидами (Bacteroides spp.). Для гематогенных и отогенных абсцессов характерны Enterobacteriaceae (в том числе Proteus vulgaris). При открытой проникающей черепно-мозговой травме в патогенезе абсцесса мозга преобладают стафилококки (St. aureus), реже Enterobacteriaceae.
При различных иммунодефицитных состояниях (иммунодепрессивная терапия после трансплантации органов и тканей, ВИЧ-инфекция) из посева содержимого абсцесса головного мозга выделяют Aspergillus fumigatus. Однако идентифицировать возбудителя инфекции в содержимом абсцесса мозга довольно часто не представляется возможным, так как в 25-30 % случаев посевы содержимого абсцесса оказываются стерильными. Болезнь провоцируется следующими патологическими состояниями:
- Воспалительные процессы в легких. Чаще всего причиной образования гематогенных абсцессов головного мозга являются бронхоэктатическая болезнь, эмпиема плевры, хроническая пневмония, абсцесс легкого). Бактериальным эмболом становится фрагмент инфицированного тромба, который попадет в большой круг кровообращения и потоком крови разносится в сосуды мозга, где фиксируется в мелких сосудах (прекапилляре, капилляре или артериоле). Незначительную роль в патогенезе абсцессов могут играть хронический (или острый) бактериальный эндокардит, инфекции ЖКТ и сепсис.
- Черепно-мозговая травма. В случае открытой проникающей ЧМТ абсцесс мозга развивается вследствие прямого попадания инфекции в полость черепа. В мирное время доля таких абсцессов составляет 15-20%. В условиях боевых действий она возрастает в разы (минно-взрывные ранения, огнестрельные ранения).
- ЛОР-патологии. При гнойно-воспалительных процессах в придаточных пазухах носа (синуситы), среднем и внутреннем ухе возможны два пути распространения инфекции: ретроградный — по синусам твердой мозговой оболочки и мозговым венам; и непосредственное проникновение инфекции через твердую оболочку мозга. Во втором случае отграниченный очаг воспаления первоначально формируется в мозговых оболочках, а затем — в прилежащем отделе мозга.
- Послеоперационные осложнения. Абсцессы мозга, формирующиеся на фоне интракраниальных инфекционных осложнений после нейрохирургических вмешательств (вентрикулиты, менингиты), возникают, как правило, у тяжелых, ослабленных больных.
- Другие заболевания. Незначительную роль в патогенезе гематогенных абсцессов могут играть хронический (или острый) бактериальный эндокардит, инфекции ЖКТ и сепсис.
Патогенез
Формирование абсцесса мозга проходит в несколько этапов.
- 1-3 сутки. Развивается ограниченное воспаление мозговой ткани — энцефалит (ранний церебрит). На данном этапе воспалительный процесс обратим. Возможно как спонтанное его разрешение, так и под влиянием антибактериальной терапии.
- 4-9 сутки. В результате недостаточных защитных механизмов или в случае неверного лечения воспалительный процесс прогрессирует, в его центре полость, заполненная гноем, способная к увеличению.
- 10-13 сутки. На этой стадии вокруг гнойного очага формируется защитная капсула из соединительной ткани, которая препятствует распространению гнойного процесса.
- Третья неделя. Капсула окончательно уплотняется, вокруг нее формируется зона глиоза. В дальнейшем развитие ситуации зависит от вирулентности флоры, реактивности организма и адекватности лечебно-диагностических мероприятий. Возможно обратное развитие абсцесса мозга, но чаще увеличение его внутреннего объема или образование новых очагов воспаления по периферии капсулы.
Симптомы абсцесса головного мозга
На сегодняшний день патогномоничная симптоматика не выявлена. Клиническая картина при абсцессах головного мозга схожа с клинической картиной объемного образования, когда клинические симптомы могут варьироваться от головной боли до тяжелейших общемозговых симптомов, сопряженных с угнетением сознания и выраженными очаговыми симптомами поражения головного мозга.
В некоторых случаях первым проявлением болезни становится эпилептиформный припадок. Могут наблюдаться менингеальные симптомы (при субдуральных процессах, эмпиеме). Эпидуральные абсцессы головного мозга зачастую ассоциируются с остеомиелитом костей черепа. Наблюдается прогредиентное нарастание симптоматики.
Диагностика
Для диагностирования абсцесса головного мозга огромное значение имеет тщательный сбор анамнеза (наличие очагов гнойной инфекции, острое инфекционное начало). Наличие воспалительного процесса, сопряженного с появлением и усугублением неврологических симптомов — основание для дополнительного нейровизуализационного обследования.
Точность диагностирования с помощью КТ головного мозга зависит от стадии формирования абсцесса. На ранних стадиях заболевания диагностика затруднена. На этапе раннего энцефалита (1-3 сутки) КТ определяет зону сниженной плотности неправильной формы. Введенное контрастное вещество накапливается неравномерно, преимущественно периферических отделах очага, реже в центре.
На более поздних этапах энцефалита контуры очага приобретают ровные округлые очертания. Контрастное вещество распределяется равномерно, по всей периферии очага; плотность центральной зоны очага при этом не меняется. Однако на повторной КТ (через 30-40 минут) определяется диффузия контраста в центр капсулы, а также наличие его и в периферической зоне, что не характерно для злокачественных новообразований.
Инкапсулированный абсцесс мозга на КТ имеет вид округлого объемного образования с четкими ровными контурами повышенной плотности (фиброзная капсула). В центре капсулы зона пониженной плотности (гной), по периферии видна зона отека. Введенное контрастное вещество накапливается в виде кольца (по контуру фиброзной капсулы) с небольшой прилежащей зоной глиоза.
На повторной КТ (через 30-40 минут) контрастное вещество не определяется. При исследовании результатов компьютерной томографии следует учесть, что противовоспалительные препараты (глюкокортикостероиды, салицилаты) в значительной степени влияют на скопление контраста в энцефалитическом очаге.
МРТ головного мозга — более точный метод диагностирования. При проведении МРТ на первых стадиях формирования абсцесса мозга (1-9 сутки) энцефалитический очаг выглядит: на Т1-взвешенных изображениях — гипоинтенсивным, на Т2-взвешенных изображениях — гиперинтенсивным. МРТ на поздней (капсулированной) стадии абсцесса головного мозга: на Т1-взвешенных изображениях абсцесс выглядит, как зона пониженного сигнала в центре и на периферии (в зоне отека), а по контуру капсулы сигнал гиперинтенсивный. На Т2-взвешенных изображениях центр абсцесса изо- или гипоинтенсивный, в периферической зоне (зоне отека) гиперинтенсивный. Контур капсулы четко очерчен.
Дифференциальная диагностика абсцесса головного мозга должна проводиться с первичными глиальными и метастатическими опухолями полушарий мозга. При сомнениях в диагнозе следует проводить МЗ-спектроскопия. В таком случае дифференциация будет основываться на различном содержании аминокислот и лактата в опухолях и абсцессах головного мозга.
Иные способы диагностики и дифференциальной диагностики абсцесса головного мозга малоинформативны. Увеличение СОЭ, повышенное содержание С-реактивного белка в крови, лейкоцитоз, лихорадка — симптомокомплекс практически любых воспалительных процессов, включая внутричерепные. Бакпосевы крови при абсцессах головного мозга в 80-90% стерильны.
Лечение абсцесса головного мозга
На энцефалитической стадии абсцесса (анамнез - до 2 недель), а также в случае небольшого абсцесса головного мозга (до 3 см в диаметре) рекомендовано консервативное лечение, основой которого должна стать эмпирическая антибактериальная терапия. В некоторых случаях возможно проведение стереотаксической биопсии в целях окончательной верификации диагноза и выделения возбудителя.
Абсцессы, вызывающие дислокацию мозга и повышение внутричерепного давления, а также локализованные в зоне желудочковой системы (попадание гноя в желудочковую систему зачастую приводит к летальным исходам) — абсолютные показания к хирургическому вмешательству. Травматические абсцессы головного мозга, расположенные в зоне инородного тела также подлежат хирургическому лечению, так как данный воспалительный процесс не поддается консервативному лечению. Несмотря на неблагоприятный прогноз, грибковые абсцессы также являются абсолютным показанием к хирургическому вмешательству.
Противопоказанием к хирургическому лечению являются абсцессы мозга, расположенные в жизненно важных и глубинных структурах (зрительный бугор, ствол мозга, подкорковые ядра). В таких случаях возможно проведение стереотаксического метода лечения: пункция абсцесса мозга и его опорожнение с последующим промыванием полости и введением антибактериальных препаратов. Возможно как однократное, так и многократное (через установленный на несколько суток катетер) промывание полости.
Тяжелые соматические заболевания не являются абсолютным противопоказанием к проведению хирургического лечения, так как стереотаксическая операция может проводиться и под местной анестезией. Абсолютным противопоказанием к проведению операции может быть только крайне тяжелое состояние пациента (терминальная кома), так как в таких случаях любое оперативное вмешательство противопоказано.
Медикаментозное лечение
Целью эмпирической (в отсутствии посева или при невозможности выделения возбудителя) антибактериальной терапии является покрытие максимально возможного спектра возбудителей. Рекомендуемые программы лечения:
- При абсцессе головного мозга без ЧМТ или нейрохирургического вмешательства в анамнезе показан следующий алгоритм лечения: ванкомицин; цефалоспорины III поколения (цефотаксим, цефтриаксон, цефиксим); метронидазол. В случае посттравматического абсцесса головного мозга метронидазол заменяют на рифампицин.
- Возбудителем абсцесса головного мозга у пациентов с иммунодефицитными состояниями (кроме ВИЧ) чаще всего является Cryptococcus neoformans, реже Сandida spp или Aspergillius spp. Поэтому в данных случаях назначают амфоретицин В или липосомальный амфоретицин В. После исчезновения абсцесса (по данным нейровиуализационных исследований) применяют флуконазол в течение 10 недель, впоследствии дозу уменьшают вдвое и оставляют в качестве поддерживающей.
- У пациентов с ВИЧ возбудителем абсцесса головного мозга чаще всего является Toxoplasma gondii, поэтому эмпирическое лечение больных должно включать в себя сульфадиазин с пириметамином.
После выделения возбудителя из посева лечение необходимо изменить, учитывая антибиотикограмму. В случае стерильного посева следует продолжить эмпирическую антибактериальную терапию. Продолжительность интенсивной антибактериальной терапии — не менее 6 недель, после этого рекомендуется сменить антибиотики на пероральные и продолжить лечение еще 6 недель.
Назначение глюкокортикоидов оправдано только в случае адекватной антибактериальной терапии, так как только при положительном прогнозе глюкокортикоиды могут вызвать уменьшение выраженности и обратное развитие капсулы абсцесса головного мозга. В иных случаях их применение может вызвать распространение воспалительного процесса за пределы первичного очага.
Хирургическое лечение
Основными методами хирургического лечения внутримозговых абсцессов являются простое или приточно-отточное дренирование. Их суть заключается в установке в полость абсцесса катетера, через который осуществляется эвакуация гноя с последующим введением антибактериальных препаратов. Возможна установка второго катетера меньшего диаметра (на несколько суток), через который проводится инфузия раствора для промывания (чаще всего, 0,9 % раствора хлорида натрия). Дренирование абсцесса необходимо сопровождать антибактериальной терапией (сначала эмпирической, далее — с учетом чувствительности к антибиотикам выделенного патогена).
Стереотаксическая аспирация содержимого абсцесса без установки дренажа — альтернативный метод хирургического лечения абсцесса головного мозга. Главные его преимущества — снисходительные требования к квалификации медперсонала (для контроля над функционированием приточно-отточной системы необходимы пристальное внимание и специальные знания) и меньший риск вторичного инфицирования. Однако в 70% использования данного метода возникает необходимость повторных аспираций.
В случае множественных абсцессов головного мозга необходимо в первую очередь дренировать очаг, наиболее опасный в отношении осложнений (прорыв гноя в желудочковую систему, дислокация мозга), а также наиболее значимый в клинической картине. В случае эмпиемы или субдурального абсцесса головного мозга применяют дренирование, не используя приточно-отточную систему.
Прогноз при абсцессе головного мозга
В прогнозировании абсцессов головного мозга большое значение имеет возможность выделить возбудителя из посева и определить его чувствительность к антибиотикам, только в этом случае возможно проведение адекватной патогенетической терапии. Кроме этого, исход заболевания зависит от количества абсцессов, реактивности организма, адекватности и своевременности лечебных мероприятий. Процент летальных исходов при абсцессах головного мозга — 10%, инвалидизации — 50%. Почти у трети выживших пациентов последствием заболевания становится эпилептический синдром.
При субдуральных эмпиемах прогнозы менее благоприятны из-за отсутствия границ гнойного очага, так это свидетельствует высокой вирулентности возбудителя, либо о минимальной сопротивляемости пациента. Летальность в таких случаях — до 50%. Грибковые эмпиемы в сочетании с иммунодефицитными состояниями в большинстве случаев (до 95%) приводят к летальному исходу.
Эпидуральные эмпиемы и абсцессы головного мозга обычно имеют благоприятный прогноз. Проникновение инфекции через неповрежденную твердую мозговую оболочку практически исключено. Санация остеомиелитического очага позволяет устранить эпидуральную эмпиему. Своевременное и адекватное лечение первичных гнойных процессов, а также полноценная первичная обработка ран при ЧМТ позволяют в значительной степени снизить возможность развития абсцесса головного мозга.
1. Абсцессы головного мозга: диагностика и лечение/ Ырысов К.Б., Арстанбеков Н.А., Мамашарипов К.М.// Наука и новые технологии - 2011 - № 6
2. Современная терапия абсцесса головного мозга/ Амчеславский В.Г. , Шиманский В.Н. , Шатворян Б.Р. // РМЖ (Русский медицинский журнал) - 2000 - №13
3. Диагностика абсцессов головного мозга/Султанов Б.М., Ырысов К.Б., Мамашарипов К.М.// Вестник КГМА им. И.К. Ахунбаева. - 2012 - № 1
Ликворея
Ликворея - это истечение спинномозговой жидкости (ликвора) через дефекты в твердой мозговой оболочке. Патология в основном возникает при черепно-мозговых травмах, реже причиной выступают церебральные опухоли, врожденные дефекты, осложнения нейрохирургических вмешательств. При ликворее прозрачная жидкость без запаха вытекает из уха или носа, зачастую присоединяются нарушения сознания и признаки очагового повреждения структур ЦНС. Для диагностики заболевания выполняется КТ и МРТ головного мозга, эхоэнцефалография, рентгенконтрастные исследования. Лечение проводится консервативным и/или хирургическим способом.



Ликворея возникает у 2-3% людей с травмами головы и в 5-11% случаев при переломе основания черепа. При тяжелых повреждениях лицевого скелета и назоэтмоидальноорбитального комплекса частота осложнения достигает 40%. Патология имеет большое клиническое значение в клинической неврологии, поскольку указывает на обширную травматизацию внутричерепных структур и требует неотложного комплексного лечения. Усилия врачей направлены на совершенствование диагностики ликвореи, что важно для ее своевременной и адекватной терапии.
Причины ликвореи
Основным этиологическим фактором патологического состояния называют ЧМТ, которые сопровождаются повреждениями костных структур и подлежащих оболочек мозга. Чаще всего проблема развивается при травмах основания черепа, пирамиды височной кости, лобной пазухи. По биомеханике повреждения различают ЧМТ следующих видов: ударно-противоударные, ускорения-замедления и сочетанные. Другие причины ликвореи:
- Объемные новообразования. Опухоли мозга и костных структур, имеющие инвазивный тип роста, способны повреждать оболочки и формировать дефект для истечения ликвора. Патология наблюдается при запущенных стадиях, когда новообразование достигает больших размеров.
- Врожденные пороки развития. При черепно-мозговых и спинномозговых грыжах развиваются патологические пути оттока цереброспинальной жидкости (ЦСЖ). Патология проявляется с раннего детства, сопровождается другими неврологическими нарушениями.
- Ятрогенные факторы. Вторичная ликворея возникает как осложнение нейрохирургических операций, при которых случайно травмируется твердая мозговая оболочка. Такая ситуация возможна при тяжелых травмах головы, дефиците современного оборудования для интраоперационной нейровизуализации.
При переломах черепа смещенные костные фрагменты повреждают мозговые оболочки, в результате чего наблюдается истечение ликвора. Существует 3 ведущих механизма повреждений: ущемление отломками костей, прободение церебральных оболочек, обширные разрывы без признаков регенерации. Пролабирование оболочек мозга в костные дефекты препятствует их заражению и способствует формированию грыжи, содержащей элементы мозгового вещества.
Высокая частота ликвореи обусловлена особенностями анатомического строения основания черепа. Кости имеют неоднородную структуру, содержат большое количество воздухоносных полостей и отверстий для сосудисто-нервных пучков. Мозговые оболочки плотно прилегают к твердым структурам, поэтому их разрывы наблюдаются даже при минимальных травмах головы и смещении внутричерепного содержимого.

Классификация
По времени развития выделяют первичную (раннюю) ликворею, появляющуюся в первые 24 часа после травмы, и вторичную (позднюю) возникающую спустя несколько дней и даже недель. Отдельным вариантом является скрытая ликворея, когда пациенты не замечают выделения ЦСЖ из носа или ушного прохода. В практической неврологии и нейрохирургии важное значение имеет классификация болезни по локализации:
- Назальная - вытекание цереброспинальной жидкости из одного или обоих носовых ходов.
- Отоликворея - истечение ликвора из наружного слухового прохода.
- Послеоперационная - патологическое выделение ликвора после трепанации черепа и других нейрохирургических манипуляций.
Симптомы ликвореи
В 97% случаев наблюдается вытекание прозрачной жидкости из носового или слухового хода. Ликворея носит постоянный или интермиттирующий характер, объем выделений варьирует от 1 до 30 мл в сутки. При перемене положения тела и наклонах головы количество отделяемого возрастает. Жидкость не имеет запаха и посторонних включений, при назальной форме пациенты могут принимать ее за первый симптом насморка или респираторной аллергии.
В горизонтальном положении, особенно во время сна, ликвор затекает из носовой полости в горло и раздражает слизистые. Больных беспокоят мучительные кашлевые приступы, которые уменьшаются в позе полусидя. Профузная ликворея сопровождается попаданием ЦСЖ в желудок. При этом возникает клиника острого неинфекционного гастрита: боли и рези в эпигастрии, дискомфорт после еды, тошнота и рвота.
Клиническая картина посттравматической ликвореи нередко сопровождается признаками сотрясения или ушиба головного мозга. Пациенты предъявляют жалобы на головные боли, слабость, головокружение и сильную тошноту. Симптомы усиливаются при попытках встать с постели и активных движениях. Также возникают вегетативные реакции: приливы крови к лицу, чрезмерная потливость, нарушения сердечного ритма.
Неврологические проявления включают асимметрию сухожильных рефлексов, анизокорию, нистагм. При более серьезных травмах головного мозга возникает двигательная дисфункция, умеренные менингеальные симптомы. Больные сообщают о кратковременной потере памяти на момент травмы, реже встречается ретроградная и антеградная амнезия.
Осложнения
Первичная оценка состояния пациентов с предполагаемой ликвореей проводится врачом-неврологом. Степень нарушения сознания определяется с помощью Шкалы Комы Глазго, далее проводится полный неврологический осмотр. Для обследования больных с сочетанными травмами привлекают нейрохирурга, анестезиолога-реаниматолога, травматолога. В комплексную диагностическую программу входят следующие методы:
- КТ головного мозга. Рентгенологическая диагностика с высокой точностью показывает костные дефекты, которые могут стать причиной повреждения dura mater. Дополнительные сведения для нейрохирургии дает церебральная МРТ, направленная на визуализацию содержимого черепной коробки.
- КТ-цистернография. Нейровизуализация с эндолюмбальным введением рентгеноконтрастных веществ - «золотой стандарт» в диагностике ликвореи. Методика определяет локализацию ликворных фистул, состояние костных структур пораженной области.
- Эхоэнцефалография. Церебральная сонография используется для быстрой и неинвазивной диагностики внутричерепных новообразований, визуализации косвенных признаков повреждения головного мозга. Важнейший показатель ЭхоЭГ - состояние срединных структур (М-эхо).
- ЛОР-обследование. При риноскопии определяется гиперемия и отечность слизистой оболочки, истечение водянистой жидкости по носовым ходам. Для уточнения топики патологического процесса проводится эндоскопия носа. При отоликворее визуализируется травматическая перфорация барабанной перепонки.
- Анализ ликвора. Микроскопическое и микробиологическое исследование вытекаемой жидкости необходимо для подтверждения ликвореи. При обнаружении в ликворе признаков гнойного воспаления, проводится расширенная диагностика для определения патогенного возбудителя.
Дифференциальная диагностика
При нетяжелых вариантах ЧМТ важно отличать назальную ликворею от серозного ринита, поскольку выделяющаяся жидкость не имеет патогномоничных признаков. ЦСЖ содержит много глюкозы (2,3-4 ммоль/л) и мало белка (0,1-0,22 ммоль/л), чем отличается от воспалительного экссудата, который образуется при ЛОР-заболеваниях. Дифференциальная диагностика также проводится с доброкачественными опухолями назальной полости, которые продуцируют слизь.

КТ-цистернография. Симптом «ликворной дорожки» — контрастированная СМЖ в правой половине полости носа (стрелка)
Лечение ликворея
Консервативная терапия
Основная задача - создать благоприятные условия для закрытия дефекта мозговых оболочек и формирования рубца на месте истечения ликвора. Пациентам назначают строгий постельный режим, приподнимание головного конца кровати на 30-70°. На период лечения исключаются любые физические нагрузки, натуживание, эмоциональное перенапряжение. Комплексная терапия при ликворее включает следующие направления:
- Дегидратация. Мочегонные препараты используются для уменьшения внутричерепного давления и нормализации циркуляции ликвора. Это ускоряет закрытие и регенерацию повреждений церебральных оболочек.
- Антибактериальная терапия. Превентивный прием противомикробных препаратов необходим для профилактики гнойных менингитов. Лекарства подавляют бактерии, колонизирующие верхние дыхательные пути, и препятствуют их распространению на структуры ЦНС.
- Дренирование ЦСЖ. Процедура проводится при неэффективности других консервативных методов лечения. Ликвороприемник устанавливают на уровне головы больного, чтобы избежать вторичной внутричерепной гипотензии.
Помощь нейрохирургов требуется при ликворее, продолжающейся более 7 суток. Чтобы устранить дефект и прекратить истечение цереброспинальной жидкости, проводятся открытые транскраниальные или мини-инвазивные трансназальные вмешательства. Преимущества эндоскопической хирургии: минимальная травматизация тканей, отсутствие риска послеоперационной аносмии. Техника операции подбирается индивидуально с учетом характера и тяжести травмы.
Существует 2 точки зрения относительно сроков выполнения нейрохирургического вмешательства. Сторонники ранних операций (в первые 1,5 недели после травмы) сообщают, что со временем возрастает риск развития менингита, из-за чего адекватное лечение осложняется. Медики, предпочитающие отсроченные операции, подчеркивают высокую частоту самопроизвольного прекращения ликвореи в течение 2-3 недель консервативной терапии.
Результативность хирургического вмешательства зависит от расположения ликворной фистулы, точности предоперационной диагностики, опыта нейрохирурга. Большинству пациентов требуется однократная операция. При повреждении латеральной стенки клиновидной пазухи может потребоваться повторное вмешательство, поскольку интраоперационная визуализация таких дефектов затруднена.
Реабилитация
Восстановительный период после операций в нейрохирургии занимает около 6 недель. Пациентам назначают комплексное медикаментозное лечение: антибактериальные, дегидратационные и симптоматические препараты. Поясничный дренаж устанавливается не более чем на 2-3 суток. Постепенная активизация пациентов начинается со второго дня послеоперационного периода, при этом важно избегать наклонов головы, поднятия тяжестей, повышения внутрибрюшного давления.
Прогноз и профилактика
Отогенный абсцесс мозга и мозжечка

Отогенными абсцессами мозга и мозжечка называют полости в непосредственно в самом мозге или мозжечке, которые заполнены гноем, и отграничены от окружающей мозговой ткани соединительнотканной капсулой или воспалительно-размягченным веществом мозга.

В зависимости от срока возникновения, отогенные абсцессы делят на ранние и поздние, которые формируются позднее чем через 3 месяца. Ранние абсцессы последовательно проходят следующие стадии:
- Гнойно-некротический энцефалит;
- Формирование пиогенной капсулы;
- Манифестация абсцесса;
- Терминальная стадия абсцесса мозга.
Поздние абсцессы подразделяются на быстро и медленно развивающиеся, а также бессимптомные формы.
Причины возникновения и течение болезни
Местом локализации отогенных абсцессов являются височная доля мозга и мозжечок, расположенные в непосредственной близости от очага инфекции. На стадии энцефалита (1-3 дня) вокруг кровеносных сосудов развивается местная воспалительная реакция, которая сопровождается отёком тканей мозга и образованием некротической зоны. На поздней стадии энцефалита (4-9 день) в мозговой ткани наблюдается максимальный отёк, размеры некроза увеличиваются, и происходит формирование гноя. Вокруг зоны воспаления из фибробластов формируется ретикулярная сеть, являющаяся предшественником коллагеновой капсулы, т.е. той капсулы которая будет окаймлять абсцесс мозга.
На ранней стадии формирования капсулы (1-13 день) происходит уплотнение коллагенновой сети, а некротический центр изолируется от окружающего его мозгового вещества. На поздней стадии формирования капсулы, происходящей на 14 день или позже, абсцесс имеет следующие 5 слоёв:
- некротический центр;
- периферическую зону воспалительных клеток и фибробластов;
- коллагеновую капсулу;
- область вновь образованных сосудов;
- область реактивного глиоза с его отёком.
Для того чтобы капсула хорошо сформировалась нужно две недели. На её формирование оказывают влияние множество факторов: источник инфекции, вид возбудителя, состояние иммунитета пациента, применение антибиотиков и глюкокортикостероидов.
Клиническая картина
Клиническая картина зависит от места локализации абсцесса и его размера, стадии развития патологического процесса, реакции окружающих тканей. В течение заболевания имеется 4 стадии: начальная, латентная, явная и терминальная.
Начальная стадия продолжается от одной до двух недель и называется энцефалической стадией абсцесса мозга. Для неё характерны такие симптомы, как вялость, высокая температура тела, головная боль, тошнота и рвота.
Продолжительность латентной стадии в среднем 2 недели. Она характеризуется 4-мя группами симптомов.
К первой группе относится проявления, которые характерны для нагноительных процессов: отсутствие аппетита, вялость, задержка стула, неприятный запах изо рта, истощение, «обложенность» языка, изменения в составе крови, характерные для воспалительного процесса.
Ко второй группе относятся общемозговые симптомы: головная боль, брадикардия (снижение частоты сердечных сокращений ниже 60 ударов), ригидность затылочных мышц, положительные симптомы Кернига и Брудзинского.
В третьей группе представлены симптомы нарушения деятельности проводниковых систем и подкорковых ядер: гемипарезы (парез одной половины тела) и гемипараличи, парез лицевого нерва по центральному типу, судорожные припадки, парез глазодвигательного нерва, пирамидные симптомы (Бабинского, Оппегейма и т.д.).
Четвертая группа симптомов очень важна для определения локализации процесса и отражает гнёздную симптоматику. Если у праворуких пациентов появляется амнестическая и сенсорная афазия (расстройство речи), то это свидетельствует о том, что абсцесс локализуется в области левой височной доли мозга. Если у больных отмечается атаксия (нарушение координации движений) и головокружения, то вероятнее всего абсцесс располагается в правой височной доле и распространяется на проводящий путь, который связывает правую височную долю и левый мозжечок. Также могут отмечаться психические расстройства эмоционального и личностного характера, которые проявляются эйфорией или депрессивным состоянием, отсутствием критического отношения к своей болезни, психомоторным возбуждением, негативизмом (противостояние и противоречие другим людям). При поражении правой височной доли важным признаком является нарушение полей зрения - гемианосмия, с выпадением одноименных половин зрения каждого глаза.
При абсцессе мозжечка наблюдается снижение тонуса мышц с пораженной стороны. Основным признаком является атаксия, которую обычно обнаруживают при ходьбе и выполнении координационных проб (пальце-пальцевая, пальценосовая, адиадохокинез (неспособность выполнять быстрые, чередующиеся движения), исследование в позе Ромберга). Характерными являются падения и промахивания со стороны пораженного мозжечка. Очень показательным является нистагм (непроизвольное движение глазных яблок), направленный вверх и в обе стороны, нередко множественный.
При исследовании крови выявляется умеренный нейтрофильный лейкоцитоз, увеличенное СОЭ. При неосложненном абсцессе цереброспинальная жидкость вытекает под большим давлением. Чаще всего она бывает светлой и имеет умеренный сдвиг: незначительный плеоцитоз (увеличение числа клеток) до уровня 100-200 клеток в 1 мкл. и умеренное повышение белка. В случае прорыва абсцесса в субарахноидальное пространство спинномозговая жидкость становится гнойной. При абсцессе мозжечка при взятии спинномозговой пункции жидкость нужно выпускать медленно и небольшими порциями, чтобы избежать вклинивания ствола мозга в затылочное отверстие.
На терминальной стадии развития заболевания проявляют себя дислокационные симптомы: анизокория (неравные размеры зрачков), ограничение взора, нарушение ритмичности дыхания, потеря сознания. Продолжительность этой стадии абсцесса мозга и мозжечка составляет несколько дней и заканчивается смертью пациента. При этом наблюдается нарастающий отёк мозга, паралич центров, имеющих жизненно важное значение, или прорыв абсцесса в желудочки мозга. Довольно редко прорыв абсцесса в желудочки мозга и гнойный вентрикулит (воспаление желудочков мозга) заканчиваются благоприятным исходом.
Для того чтобы провести точную диагностику места расположения абсцесса мозга и мозжечка, проводят компьютерную и магнитно-резонансную томографию головного мозга. При проведении компьютерной томографии выявляется тонкая, гладкая стенка абсцесса, которая имеет правильные контуры. Магнитно-резонансная томография позволяет также определить капсулу абсцесса. Если нет возможности провести вышеперечисленные виды исследования, можно провести пневмоэнцефалографию или радиоизотопную сцинтиграфию головного мозга.
Абсцесс мозга и мозжечка следует отличать от гнойного менингита, негнойного локальногоэнцефалита, серозного лептоменингита (арахноидита), гнойного лабиринтита. При менингите наблюдается высокая температура и тахикардия (увеличение частоты сердечных сокращений), а при абсцессе температура тела субфебрильная и отмечается выраженная брадикардия. Больные менингитом возбуждены, а при абсцессе сонливы и заторможены, на глазном дне имеется характерный «застойный сосок». Различить менингит и абсцесс можно при исследовании спинномозговой жидкости: при менингите будет высокий плеоцитоз, а при абсцессе наблюдается умеренный плеоцитоз и увеличение количества белка. При арахноидите отсутствуют изменения в спинномозговой жидкости. В отличие от энцефалита при абсцессе мозга симптомы интоксикации отсутствуют.
При этом заболевании необходима срочная госпитализация в лор-стационар, где пациенту в обязательном порядке проведут хирургическую санацию уха с дренированием абсцесса мозга и мозжечка.
Прогноз
Прогноз на выздоровление зависит от своевременности диагностики, правильности применения комплекса антибиотиков широкого спектра действия, а также других необходимых лекарственных средств.
Информацию из данного раздела нельзя использовать для самодиагностики и самолечения. В случае боли или иного обострения заболевания диагностические исследования должен назначать только лечащий врач. Для постановки диагноза и правильного назначения лечения следует обращаться к Вашему лечащему врачу.
Экстрадуральный отогенный абсцесс
Экстрадуральный отогенный абсцесс - это скопление гноя между твёрдой мозговой оболочкой и костями черепа.

Экстрадуральный отогенный абсцесс развивается в случае, если воспалительный процесс из барабанной полости и сосцевидного отростка распространяется на полость черепа. Местом локализации этого заболевания является задняя или средняя черепная ямка. Такой вид абсцесса может развиться при остром среднем отите или обострении хронического течения гнойного среднего отита. При хроническом среднем отите во время проведения операции довольно часто обнаруживают нагноившуюся холестеатому (массы образующиеся при разрушении височной кости), которая разрушает крышу барабанной полости. В случае если местом локализации экстрадурального абсцесса является задняя черепная ямка, то развивается гнойный лабиринтит (воспаление внутреннего уха).
Симптомы заболевания проявляются очень слабо, в основном пациенты отмечают не очень сильные головные боли, которые возникают на стороне поражённого уха. В случае глубокой локализации абсцесса, когда в него вовлекается гассеров узел (нервный узел, который лежит на чувствительном корешке троичного нерва), возможны тригеминальные боли (интенсивные приступообразные боли в области лица). Если местом расположения абсцесса является задняя черепная ямка, то боль возникает в области шеи. У некоторых пациентов боль может сопровождаться сонливостью, а также тошнотой и рвотой. Общее состояние больного может быть как вполне удовлетворительным, так и тяжелым. Температура тела может вирировать от нормальной, до субфебрильной. В случае если температура резко поднимается, то это означает что развивается менингит, сепсис или синустромбоз (форма нарушения мозгового кровообращения). При проведении анализов крови каких-либо отклонений от нормы как правило не выявляется. Незначительные изменения крови возникают, если развивается обширный пахименингит (воспаление твердой мозговой оболочки).
Поставить правильный диагноз достаточно сложно из-за скудности клинических симптомов. В некоторых случаях наблюдается лёгкое проявление менингеальных знаков. Крайне редко возникают очаговые симптомы, которые могут проявляться парезами (ослабление произвольных движений) конечностей со стороны противоположной стороне поражения, нарушением их чувствительности, а также эпилептическими припадками. Если абсцесс располагается в задней черепной ямке, то может возникнуть нистагм (непроизвольное движение глазных яблок), а также нарушения в координации гомолатеральных конечностей (т.е. расположенных с той же стороны, что и пораженное полушарие мозга), может произойти снижение тонуса мышечной ткани. Если гнойник расположен глубоко, то возможен парез отводящего нерва. Самыми эффективными методами диагностики этого заболевания является компьютерная и магнитно-резонансная томография. Абсцесс диагностируется как плосковыпуклая, двояковыпуклая или серповидная зона, имеющая измененную плотность (в пределах 60-65 НU). Такое обследование позволяет выявить признаки, которые свидетельствуют об оттеснении твёрдой мозговой оболочки от костей черепа.
При экстрадуральном отогенном абсцессе имеется только один способ лечения - хирургический, который следует осуществлять в условиях лор-стационара.
При данном заболевании прогноз весьма настороженный и благоприятным может быть, только в случае раннего выявления заболевания, скорейшего обращения и полного объёма хирургического и консервативного лечения.
Читайте также:
