ЭхоКГ в реанимации (ОРИТ) при боли в груди
Добавил пользователь Евгений Кузнецов Обновлено: 02.11.2025
Эхокардиографию можно надлежащим образом использовать для диагностики и контроля за лечением в неотложных ситуациях. К опасным для жизни патологиям, при которых оценка с помощью эхокардиографии в реальном времени может иметь решающее значение, относятся тампонада сердца при перикардите, расслоение аорты, острый инфаркт миокарда (ИМ), острая тромбоэмболия легочной артерии (ТЭЛА) и травма сердца. Эти состояния могут вызвать сильную боль в груди, одышку с гипоксией, гипотензию и, в конечном итоге, кардиогенный и респираторный шок.
Даже в тех случаях, когда основная причина ухудшения состояния пациента неясна, например, изолированная глубокая гипотензия, нельзя недооценивать важность эхокардиографии для быстрой оценки функции сердца и исключения этих критических отклонений у нестабильного пациента. Раскрытие этой темы предназначено для использования в качестве руководства по эхокардиографии при сценарии острого состояния пациента. В этих ситуациях врач УЗИ должен быстро понять
- клинический сценарий,
- показания к эхокардиографии, то есть конкретный вопрос, который задают клиницисты, и
- ключевые патологии, которые необходимо исключить или выявить.
Если обнаружена конкретная патология, последующие решения по клиническому ведению могут выходить за рамки конкретного специалиста по УЗИ и данного текста, но они затрагиваются в интересах облегчения быстрого установления диагноза у пациента.
Экстренные сердечно-сосудистые ситуации и УЗИ сердца
Кардиогенный шок сопровождается выраженной гипотонией и часто дыхательной недостаточностью. В частности, систолическое артериальное давление падает ниже 80 мм рт.ст. с признаками недостаточности органов-мишеней (прохладные конечности, нарушение мышления), а также одышка, тахипноэ и гипоксия. Это распространенный и убедительный повод для проведения экстренной эхокардиографии.
В самом широком смысле существует четыре очень распространенных острых, угрожающих жизни состояния, при которых эхокардиография может помочь в диагностике и / или отборе больных: ИМ (и связанные с ним осложнения), тампонада сердца, расслоение аорты и ТЭЛА. Каждый из них имеет определенные клинические параметры, признаки и симптомы, которые заставят клинициста заподозрить их наличие у данного пациента. Хотя врач УЗИ может оценить все эхокардиографические признаки за одно обследование, лучше всего иметь представление о наиболее вероятном подозреваемом состоянии (ях), чтобы ускорить соответствующую визуализацию и лечение пациента.
Острый инфаркт миокарда и механические осложнения инфаркта миокарда полностью обсуждаются в других статьях блога. Для быстрого ознакомления наиболее важные эхокардиографические диагнозы воспроизведены в таблице.
Глобальный отказ ЛЖ
недостаточность ПЖ / инфаркт ПЖ
Перикардит
Злокачественные опухоли
На фоне аневризмы аорты
Для ясности: у пациента, у которого явно наблюдаются острые симптомы инфаркта миокарда и подъем сегмента ST на электрокардиограмме (ЭКГ), коронарная ангиография и срочная реваскуляризация являются лечением первой линии, и получение эхокардиограммы для подтверждения аномалий движения стенок будет только подспорьем к соответствующему лечению. После стабилизации состояния пациента или реваскуляризации, если происходит острая декомпенсация, основные результаты для оценки с помощью эхокардиографии подробно описаны ниже.
Обратите внимание, что эти механические осложнения обычно возникают через 5-14 дней после фактической окклюзии коронарной артерии. Все они представляют собой некроз ткани сосочковой мышцы по сравнению с гипо-акинезией стенок желудочка разной степени из-за гипоксии. Обычно они возникают у пациентов, перенесших обширные инфаркты, отсроченную или безуспешную реваскуляризацию. Уровень смертности всех высок и зависит от быстрой идентификации, стабилизации и восстановления.

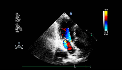
Острая митральная регургитация (молотящая створка МК) на эхокардиографии
Митральная регургитация (МР) может возникать как остро, так и хронически у пациентов с ИМ. Когда в дни после большого инфаркта миокарда возникает внезапная гипотензия и респираторный дистресс, одной из возможных причин может быть разрыв тела, кончика или хорд сосочковой мышцы, вызывающий острую тяжелую МР. Приводим алгоритм действия
Чтобы оценить молотящий митральный клапан:
- Получите стандартный вид парастернальной продольной оси, показывающий митральный клапан. Оцените нормально ли встречаются кончики створок митрального клапана (т. е. касаются друг друга чуть ниже фиброзного кольца)? Или кончик одной створки пролабирует или свободно движется и возвращается в левое предсердие в систолу?
- Поместите цветной допплеровский сектор на митральный клапан и левое предсердие. Посмотрите есть ли струя митральной регургитации (высокоскоростной или турбулентный пятнистый поток в систоле)? Во многих случаях он будет направлен эксцентрически либо к передней, либо к задней стенке левого предсердия. Как правило, молотящая створка МК направляет струю MР в сторону от самой поврежденной створки.
- Повторите двумерное (2D) изображение и цветное допплеровское сканирование митрального клапана в апикальном четырехкамерном и апикальном трехкамерном срезе. По техническим причинам низкое качество изображения нередко препятствует абсолютному определению того, есть ли молотящая створка МК, но есть эксцентрическая струя значимой МР или хордальная структура, колеблющаяся в левом предсердии проксимальнее митрального клапана, что повышает вероятность разрыва митрального аппарата.
Неотложное лечение: даже подозрение на молотящую створку митрального клапана обычно должно вызывать немедленную консультацию кардиохирурга. При необходимости чреспищеводная эхокардиография (ЧПЭхоКГ) может быть выполнена в операционной, или, если пациент находится в отделении интенсивной терапии на ИВЛ и вазопрессорной поддержкой, обеспечивающей достаточную стабилизацию, можно рассмотреть возможность проведения ЧПЭхоКГ у постели больного для подтверждения или опровержения диагноза. Вазопрессоры и внутриаортальный баллонный насос (ВАБН) могут обеспечить достаточную стабилизацию перед операцией, чтобы доставить пациента в операционную.
Дефект межжелудочковой перегородки на УЗИ сердца
Другой причиной внезапной артериальной гипотензии и отека легких у пациента в пери- и постинфарктном периоде является разрыв межжелудочковой перегородки. Дефект заставляет насыщенную кислородом кровь течь из левого желудочка в правый и смешиваться с деоксигенированной кровью. Дефекты межжелудочковой перегородки (ДМЖП) могут возникать в переднем отделе перегородки (лучше всего видно в парастернальных окнах) из-за переднего ИМ или в нижнем отделе перегородки (лучше всего в апикальном четырехкамерном и субкостальном окнах) в результате нижнего ИМ. Оба типа ДМЖП могут быть проверены на предмет использования парастернальных окон по короткой оси. Использование цветного допплера имеет важное значение для обнаружения этих разрывов на эхокардиографии, потому что разрыв ткани часто имеет щелевидную или змеевидную форму и может быть плохо заметен на одном только 2D-изображении.

Чтобы оценить ДМЖП придерживайтесь следующего алгоритма:
- Получите стандартный парастернальный вид сердца по длинной оси, показывающий левый желудочек (ЛЖ) и правый желудочек (ПЖ). Имеет ли межжелудочковая перегородка нормальную толщину и сокращается ли она во время систолы?
- Поместите цветное допплеровское окно на межжелудочковую перегородку, особенно на любые акинетические участки или сегменты с пропаданием эхо-сигнала (анэхогенные зоны). Цветовой поток слева направо, проникающий через перегородку, указывает на ДМЖП.
- Проведите линию курсора непрерывноволнового допплера (CW) через цветовой поток. Если измерить пиковую скорость огибающей непрерывного допплеровского потока, градиент межжелудочкового давления (ΔP) = 4 × пиковый градиент 2 (где пиковый градиент выражен в м/с). Чем уже шейка цветного потока и чем выше пиковая скорость потока, тем больше она ограничивает ДМЖП.
- Поверните датчик по часовой стрелке на 90 градусов и получите парастернальные окна по короткой оси ЛЖ и межжелудочковой перегородки. Наклоните датчик апикально, чтобы развернуть плоскость изображения от основания к вершине. Ищите акинетические области или пропадание фокального эхо. Поверните сектор цветного допплера, чтобы покрыть межжелудочковую перегородку, и аналогичным образом проведите датчиком от основания к верхушке, ища цветовой поток слева направо.
- В апикальной четырехкамерной проекции исследуйте межжелудочковую перегородку на 2D-изображениях, затем разместите цветной допплеровский сектор над перегородкой.
- В субкостальной четырехкамерной проекции включите сектор цветного допплера и поместите его над межжелудочковой перегородкой. Опять же, обратите внимание на цветовой поток через перегородку слева направо.
Неотложное лечение - раннее хирургическое закрытие, которое снижает смертность. Разрыв базальной перегородки технически сложнее полностью восстановить, отчасти из-за близости к митральному клапану. У плохих кандидатов на оперативное вмешательство можно рассмотреть возможность чрескожного закрытия окклюдером.
Псевдоаневризма на эхокардиографии
Псевдоаневризма или ложная аневризма — это локально локализованный разрыв всех слоев миокарда, который местно сдерживается только тромбом и спайками перикарда. У них обычно узкая шейка, которая позволяет кровотоку свободно сообщаться с полостью левого желудочка и имеет тенденцию к росту и разрыву.
Для оценки псевдоаневризмы на УЗИ сердца надо помнить, что наиболее частыми локализациями являются базальный нижний или нижнебоковой (для нижнего ИМ) и апикальный сегменты (для переднего ИМ). Они могут сильно различаться по размеру от очень маленьких пространств до больших скоплений жидкости. Поэтому внимательно посмотрите на 2D-изображения:
- На верхушке ЛЖ на апикальных четырех- и двухкамерных окнах и
- На базальных нижних и нижнебоковых сегментах на парастернальных и продольных трех- и двухкамерных окнах для любого анэхогенного пространства.
- Если видно какое-либо анэхогенное или неоднородно эхогенное пространство, особенно если оно кажется выпуклым во время систолы, поместите цветной допплеровский сектор над областью, включая ближайший желудочек, и посмотрите, нет ли кровотока из ЛЖ в пространство.
- Если диагноз все еще не определен, а состояние пациента стабильно, использование внутривенного эхокардиографического контраста может продемонстрировать поток в псевдоаневризму.

Неотложное лечение. Если эхокардиография повышает вероятность псевдоаневризмы, но не может подтвердить ее или не может отличить ее от аневризмы, для постановки точного диагноза может потребоваться МРТ сердца или ангиография ЛЖ. Существует 30-45% риск развития полного разрыва свободной стенки и коэффициент смертности до 50%, поэтому неотложная операция по закрытию или пластике разрыва считается окончательной терапией псевдоаневризмы.
Свободный разрыв стенки желудочка сердца на УЗИ
Полный разрыв свободной стенки желудочка обычно бывает внезапным и катастрофическим и редко позволяет провести эхокардиографию. Его можно заподозрить, если за большим ИМ без реперфузии следует острый кардиогенный шок, особенно при наличии признаков тампонады или электромеханической диссоциации. Обычно разрыв свободной стенки, который быстро перерос в полный разрыв, тампонаду с гемоперикардом и, в конечном итоге, приводит к смерти пациента. Немедленное хирургическое вмешательство - единственная надежда на то, чтобы пережить это с помощью временных мер, включая жидкости, инотропы, ВАБН и / или вспомогательные устройства для периферического желудочка, используемые при необходимости для доставки пациента на операцию.
Немеханические причины кардиогенного шока и эхокардиография
Если вышеуказанные механические причины сердечного шока, включая тампонаду, не обнаруживаются при эхокардиографии, необходимо рассмотреть другие возможные причины, которые могут этому способствовать, например, следующие:
Правила жизни пациентов после коронарного стентирования
Дорогие друзья. Этот текст мы написали специально для наших пациентов после ангиопластики и стентирования коронарных артерий. Надеемся, что Вы найдете здесь ответы на основные вопросы.
4 совета пациентам после стентирования
Стентами мы восстанавливаем кровоток по артериям. Но не вылечиваем ишемическую болезнь сердца. Все теперь зависит от правильного медикаментозного лечения и Вашего образа жизни. Что самое важное?
- Прием дезагрегантов (препараты, снижающие риск тромбозов и «разжижающие кровь»): аспирин, плавикс, брилинта, эффиент. Схема зависит от многих факторов. Главное: мы просим Вас никогда самостоятельно не отменять дезагреганты в первый год после стентирования. Это грозит тромбозом стента- жизнеопасным осложнением! Старайтесь никогда не пропускать прием этих препаратов. Временная отмена возможна только по согласованию с лечащим врачом и, как правило, сопровождается «переводом на другой препарат».
- Снижение «вредного» холестерина» - холестерина ЛПНП (липопротеидов низкой плотности). Именно от уровня вредного холестерина зависит прогрессирование Вашего заболевания. По современным стандартам его уровень должен быть ниже 1.5 ммоль/л. Для абсолютного большинства наших пациентов такой уровень достигается высокими дозами статинов (Аторвастатин от 40 мг, Розувастатин от 20 мг). Мы убедительно просим Вас не отказываться от статинов и не снижать их дозы из-за «риска для печени», «чрезмерного снижения холестерина» и т.д. Мы каждый день видим плачевные результаты недостаточной терапии статинами. Непереносимость статинов возникает у 2-3 % пациентов. У кардиологов КардиоКлиники большой опыт работы с такими больными, и мы обязательно найдем решение для Вас.
- Курение. Сколько бы лет Вы не курили - нужно бросать. Большинство наших пациентов курят 30 лет и больше. Тем не менее, бросив курить, Вы значительно снизите риск инфаркта миокарда и повторных вмешательств на сосудах сердца. Лучше прибавьте немного веса, но останьтесь живым.
- Наблюдение у кардиолога. Наблюдаться у врача обязательно, первый раз в течение месяца после стентирования, затем можно и 1 раз в год. Врач проконтролирует липидограмму, артериальное давление, пульс, выполняет нагрузочную пробу, чтобы определить Ваше состояние.

Не ограничен. Важный период- первые 12 месяцев, пока стент «врастает» в стенку артерии. Риск рестеноза в первый год в «покрытых» стентах, которые мы используем, не выше 1-2%. Дальше все зависит от правильного лечения, прежде всего от приема статинов. Сужения в стенте, которые возникают через 2 года и позже, почти всегда связаны с новыми холестериновыми бляшками.
Практически любую. Если мы не планируем дальнейшего стентирования, то считаем кровоснабжение миокарда достаточным. А значит и ограничений в физической нагрузке у Вас нет. Вы можете жить полноценной жизнью: бег, бассейн, силовые тренировки не противопоказаны начиная со следующего дня после выписки из стационара. Часто для того, чтобы убедиться в качестве выполненной операции, мы проводим нагрузочный тест- стресс-эхокардиографию. Почти всегда ее можно выполнять в первые дни после операции. Тест покажет не только есть ли признаки ишемии (нехватки крови сердцу), но и адекватность медикаментозной терапии.
Единственная «проблема» после стентирования- инактивированные нашими препаратами тромбоциты. То есть Ваша кровь первый год - очень «жидкая». Поэтому мы просим избегать травмоопасных видов спорта и отложить плановые хирургические операции. Кроме того, мы просим принимать препараты для защиты слизистой желудка, чтобы снизить риск кровотечений. При любых вопросах, связанных с возможной отменой или уменьшением дозы наших препаратов - обязательная консультация кардиолога, хотя бы звонок в Клинику.
Можно в умеренных количествах- до 100 г крепкого алкоголя или 250-300 г вина. Все, что больше - риск сгущения крови и подъема давления.
Да. Через год мы, скорее всего, отменим часть антитромботиков, но основные препараты (статины, аспирин, гипотензивные препараты) нужно будет принимать всегда.
Да, без всяких ограничений. Коронарные стенты очень тонкие и не создадут никаких проблем в этих ситуациях.
Анализ крови на липидограмму, контроль давления, пульса - первый раз через месяц после операции, затем - 1 раз в год.
Очень важно обратиться к врачу если Вы наблюдаете: 1. возобновление стенокардии, т.е. кратковременная тяжесть или дискомфорт в груди/шее/нижней челюсти, возникающий при физической нагрузке. 2. Любые непонятные боли в груди или внезапная одышка. 3. Кровотечение.
Специальных процедур не требуется, мойте руку с мылом. При возникновении воспаления, инфекции - обратитесь в Клинику, мы разберемся.
Позвонить в Клинику в любое время (телефон реанимации работает круглосуточно). Лечащий врач или заведующий отделением рентгенхирургии свяжутся с Вами.
Значение эхокардиографии при остром коронарном синдроме
В статье приводятся возможности и ограничения ультразвуковой диагностики у больных с острым коронарным синдромом. Основное внимание уделено возможностям эхокардиографической диагностики инфаркта миокарда и его осложнений, а также дифференциальной диагностике острого коронарного синдрома с неишемическими состояниями, вызывающими боль в грудной клетке и инфарктоподобные изменения электрокардиограммы. Приводятся данные о существенном снижении частоты развития ряда осложнений инфаркта миокарда у больных, которым выполнялась тромболитическая терапия или интервенционные процедуры реваскуляризации миокарда.
Значение методов визуализации при остром коронарном синдроме (ОКС) определяется вероятностью развития ишемической болезни сердца (ИБС). При высокой вероятности ИБС у больных с ОКС ведущее значение приобретает коронарография (КГ) не только как метод диагностики, но и как метод лечения больных с ОКС. У больных со средней и низкой вероятностью развития ИБС в случае появления болей в грудной клетке не всегда потребуется проведение КГ. У таких больных ведущими среди методов визуализации могут оказаться нагрузочные пробы для выявления ишемии миокарда, в частности, нагрузочная эхокардиография (ЭхоКГ), а также мультиспиральная компьютерная томография (МСКТ) для выявления коронарного кальция и оценки состояния коронарных артерий (КА).
ЭхоКГ представляет собой основной метод неинвазивной визуализации при ОКС по целому ряду причин. Это наиболее доступный и широко распространенный неинвазивный метод, который позволяет проводить диагностику быстро и непосредственно у постели больного без использования ионизирующих излучений, в связи с чем может быть использован неоднократно на всех стадиях инфаркта миокарда (ИМ). Поэтому в соответствии с рекомендациями Европейского общества кардиологов (2011 г.) ЭхоКГ должна стандартно использоваться у всех пациентов в отделениях кардиореанимации и интенсивной терапии [1].
Значение ЭхоКГ у больных с ОКС определяется двумя моментами. С одной стороны, ЭхоКГ позволяет проводить диагностику ИМ на основе выявления нарушений локальной сократимости (НЛС) миокарда желудочков. С другой стороны, ЭхоКГ позволяет идентифицировать неишемические состояния, вызывающие боль в грудной клетке и инфарктоподобные изменения на электрокардиограмме (ЭКГ). Это может наблюдаться у больных с гипертрофической кардиомиопатией (ГКМП), аортальным стенозом, тромбоэмболией легочной артерии (ТЭЛА), расслоением аорты, при перикардитах и некоторых других состояниях.
ГКМП свойственна клиническая триада, включающая стенокардию, нарушения ритма и синкопальные состояния. Другим важным обстоятельством может быть указание на наличие случаев внезапной смерти у родственников пациента в семейном анамнезе в сочетании с систолическим шумом при аускультации и нередкими инфарктоподобными изменениями на ЭКГ у этих больных. Изменения ЭКГ обычно проявляются глубокими отрицательными зубцами Т в грудных отведениях (рис. 1), заставляющих врача предполагать развитие интрамуральных очаговых изменений миокарда левого желудочка (ЛЖ).
Рисунок 1. ЭКГ больного с гипертрофической кардиомиопатией.
Это нередко приводит к типичному сценарию у таких больных с неоднократной их госпитализацией в стационар с подозрением на развитие ИМ при всяком обращении за медицинской помощью по поводу возникновения болей в грудной клетке. В итоге при расспросе пациент указывает на якобы перенесенные им множественные ИМ, которых может быть до 5—10 и более. При ЭхоКГ у таких больных выявляется выраженная асимметричная гипертрофия межжелудочковой перегородки (МЖП) ЛЖ небольших размеров. Эти изменения нередко сопровождаются динамической обструкцией выносящего тракта ЛЖ с характерными для нее движениями створок митрального (переднесистолическое движение створок митрального клапана — МК к МЖП) и аортального клапанов (среднесистолическое прикрытие створок аортального клапана) (рис. 2).
Рисунок 2. Выраженная эксцентричная гипертрофия левого желудочка с толщиной межжелудочковой перегородки 2,8 см у больного с гипертрофической кардиомиопатией.
Подобная картина ЭхоКГ и отсутствие типичной динамики на ЭКГ позволяют установить диагноз ГКМП. Следует отметить, что у больных с ГКМП при ЭхоКГ могут быть выявлены НЛС в зонах миокарда, соответствующих выраженной гипертрофии, обычно в базальных и средних отделах МЖП. Подобные НЛС обычно не свидетельствуют в пользу ИМ, а обусловлены относительной гипокинезией значительно гипертрофированного миокарда. Выявляемые при этом зоны нарушенной сократимости в большей степени соответствуют локализации значительно гипертрофированного миокарда, а не стандартным зонам его коронарного кровоснабжения.
Инфарктоподобные изменения ЭКГ могут также наблюдаться при выраженной гипертрофии ЛЖ другого генеза, чаще всего при аортальном стенозе или длительной артериальной гипертензии. Выявление стеноза аортального клапана, отсутствие НЛС ЛЖ при ЭхоКГ и отсутствие динамики ЭКГ позволяет дифференцировать аортальный стеноз при ОКС.
Боль в грудной клетке не относится к числу типичных симптомов при ТЭЛА, однако может встречаться от 10% [1] до 34% случаев [2]. МСКТ является методом выбора среди визуализирующих способов диагностики ТЭЛА. Дефекты наполнения контрастного вещества внутри артерий свидетельствуют о наличии тромбоэмболов в стволе, главных и долевых ветвях легочной артерии с чувствительностью 95—99%. Для сегментарных ветвей легочной артерии чувствител.
Рекомендации ACC/AHA 2021 по боли в груди: обзор ключевых положений
Боль в груди является одной из наиболее распространенных жалоб как при обращении пациентов за экстренной помощью, так и в амбулаторной практике. Наиболее опасной является боль в груди, обусловленная сердечно-сосудистыми заболеваниями.
До недавнего времени существовало большое количество рекомендаций, посвященных диагностике и лечению состояний, для которых боль в груди является одним из ведущих симптомов (стенокардия напряжения [1,2], острый коронарный синдром [3,4], гастроэзофагеальная рефлюксная болезнь и др.), однако отсутствовали рекомендаций, в которых был бы дан четкий алгоритм обследования пациентов с болью в груди. В связи с чем эксперты Американской коллегии кардиологов (American College of Cardiology) и Американской ассоциации сердца (American Heart Association) разработали документ, посвященный обследованию пациентов с болью в груди [5]. Далее кратко будут представлены ключевые положения этого документа.
1. Острая боль в груди - это впервые возникшая боль или боль, которая отличается от предыдущей по интенсивности и/или продолжительности. Стабильная боль в груди называют хронические симптомы, которые имеют постоянные провоцирующие факторы. Хотя термин «боль в груди» широко используется в клинической практике, следует помнить о том, что пациенты могут также описывать давление, стеснение, тяжесть и жжение. Для всех этих ощущений может быть характерна иррадиация в плечо, руку, шею, верхнюю часть живота и челюсть. Следует классифицировать боль в груди как сердечную; возможно, сердечную и несердечную (а не как типичную и атипичную).
2. Боль в груди является наиболее частым симптомом при остром коронарном синдроме как у мужчин, так и у женщин. Однако у женщин нередко имеются и такие симптомы, как тошнота, сердцебиение и одышка.
3. Следует информировать пациентов о необходимости обращения за неотложной помощью при возникновении острой боли в груди.
4. Для исключения/подтверждения острого коронарного синдрома при острой боли в груди (а также в некоторых случаях при стабильной) необходима регистрация электрокардиограммы.
5. Учитывая очень высокую специфичность и чувствительность высокочувствительного тропонина относительно выявления повреждения миокарда, именно тропонин является основным биомаркером, определение которого необходимо у пациентов с острым коронарным синдромом.
6. Для пациентов как с острой, так и стабильной болью в груди обследование должно проводиться с учетом общего сердечно-сосудистого риска с тщательной оценкой возможного риска и пользы для пациента.
7. При обследовании пациента со стабильной болью в груди следует вовлекать его в принятие решений, информировать о стоимости, потенциальном риске диагностических тестов и возможных опциях.
Диагностический алгоритм для пациентов с острой болью в груди:
· У пациентов с острой болью в груди и низким сердечно-сосудистым риском (риск смерти или больших сердечно-сосудистых событий в ближайшие 30 дней <1%) необходимость в срочных диагностических тестах чаще всего отсутствует.
· Среди пациентов с острой болью в груди и промежуточным риском (пациенты без признаков высокого риска) в случае отсутствия диагностированной коронарной болезни сердца дополнительное обследование может включать функциональные тесты (электрокардиография с нагрузкой, стресс-эхокардиография, стресс-МРТ сердца) или компьютерную томографию коронарных артерий.
· Среди пациентов с острой болью в груди, промежуточным риском и известной коронарной болезнью сердца дополнительное обследование может включать функциональные тесты или компьютерную томографию коронарных артерий при необструктивном поражении коронарных артерий, функциональные тесты при обструктивном поражении и коронароангиографию при поражении ствола левой коронарной артерий, проксимальном или многососудистом поражении.
· У пациентов с острой болью в груди и высоким риском (новые изменения на электрокардиограмме, положительный анализ на тропонин, вновь возникшая систолическая дисфункция левого желудочка, впервые возникшая умеренная-тяжелая ишемия во время функционального теста, гемодинамическая нестабильность) следует выполнить коронароангиографию.
· Неишемические причины острой боли в груди включают в себя острый аортальный синдром (компьютерная томография), острою тромбоэмболию легочной артерии (стандартный алгоритм), миокардит (МРТ сердца) или клапанную патологию (эхокардиография).
Диагностический алгоритм для пациентов со стабильной болью в груди:
· У пациентов со стабильной болью в груди без диагностированной коронарной болезни сердца при низкой вероятности обструктивного поражения коронарных артерий и благоприятном прогнозе следует выполнить оценку предтестовой вероятности ишемической болезни сердца после чего - провести соответствующее обследование.
· У пациентов со стабильной болью в груди, промежуточным риском без диагностированной коронарной болезни сердца следует обсуждать выполнение компьютерной томографии коронарных артерий и/или визуализирующих стресс-тетсов.
· Пациентам диагностированной обструктивной коронарной болезнью сердца и стабильной болью в груди на фоне оптимальной медикаментозной терапии рекомендовано выполнение визуализирующих стресс-тестов для диагностики ишемии и оценки риска. Пациентам высокого риска и/или имеющим умеренную-тяжелую ишемию при визуализирующем стресс-тесте необходимо выполнение коронароангиографии.
· У пациентов с необструктивной ишемической болезнью сердца при сохранении боли на фоне оптимальной медикаментозной терапии необходимо выполнение компьютерной томографии коронарных артерий или стресс-теста.
· У пациентов с документированной необструктивной ишемической болезнью сердца, стабильными симптомами и подтвержденной ишемии по данным визуализирующих методов возможно проведение обследования с целью выявление микроваскулярной дисфункции.
Эхокардиография (УЗИ сердца)
Медицинский редактор: Строкина О.А. - терапевт, врач функциональной диагностики.
Июль, 2019.
Синонимы: УЗИ сердца, эхокардиография, эхокардиоскопия, ЭХОКС, ЭХОКГ.
Эхокардиография - ультразвуковое исследование сердца, позволяющее провести оценку всех структур и функциональное состояние органа.
Обследование проводится врачом функциональной диагностики в амбулаторных или стационарных условиях в течение 15-30 минут, редко длительность доходит до 60 минут, но только в очень сложных случаях и совместно с консилиумом врачей.
Показания
Патологий, при которых необходимо провести эхокардиографию довольно много, и все они связаны так или иначе с дифференциальным диагнозом болезней сердца или аорты. К срочным показаниям для трансторакальной ЭХОКГ относятся:
- острые, колющие, режущие боли в области сердца, которые пациент ощущает впервые;
- давящие, сжимающие боли, возникшие в первый раз или усилившиеся по интенсивности и продолжительности;
- внезапно возникшая одышка.
Кроме того обязательно периодическое исследование сердца при его хронических заболеваниях и при наличии факторов риска:
- , в том числе стенокардия, развившийся ранее инфаркт миокарда; ;
- бактериальный эндокардит (воспаление внутренней оболочки сердца);
- пороки сердца - приобретенные и врожденные;
- протезированные клапаны;
- некоторые малые аномалии развития сердца (двустворчатый аортальный клапан, пролапс митрального клапана); ; ;
- опухоли сердца;
- заболевания аорты; ;
- шумы в сердце;
- нарушения ритма сердца;
- травмы грудной клетки;
- профессиональные занятия спортом.
Виды эхокардиографии
Ультразвуковое исследование сердца проводится разными способами:
Трансторакальная ЭХО-КГ

Фото: классическое положение тела при проведении обычного УЗИ сердца.
Через грудную клетку. Используются обычные ультразвуковые датчики небольшого размера, которые специалист прикладывает к коже. Это наиболее часто используемое в практике исследование из-за простоты самой процедуры и доступности оборудования.
Противопоказаний к трансторакальной ЭХО-КГ нет, однако обследование может быть затруднено в при невозможности проведения исследования на левом боку. Например при тяжелой степени сердечной недостаточности, когда пациент не в состоянии находиться в положении лежа из-за возникающей выраженной одышки. Также сложности возникают при наличии у больного заболеваний легких, которые увеличивают их воздушность (хроническая обструктивная болезнь легких - ХОБЛ) и тем самым препятствуют проникновению ультразвука до сердца. Также существуют и другие патологические состояния, которые могут усложнить обследование.
После трансторакального обследования в покое осложнений не бывает.
Стресс-эхокардиография
Это специфическая методика процедуры позволяющая оценить работу сердца в условиях повышенной активности человека. Для этого в начале проводят обычное трансторакальное исследование, а потом дают физическую нагрузку (приседания, велотренажер) или проводят фармакологическую пробу для имитации повышения физической активности. Первый вариант более предпочтителен, поскольку более физиологичен и вероятность проявления какой-либо нежелательной реакции минимальна. Естественно рядом с пациентом необходимо присутствие врача-реаниматолога и кардиолога, которые смогут адекватно и своевременно отреагировать на острые ситуации (выраженный болевой синдром в области сердца, шок, потеря сознания, остановка сердца, аритмии и т.д.).
При исследовании с физической нагрузкой или фармакологической пробой могут появиться:
- аллергия на лекарственный препарат;
- аритмия;
- боли в области сердца;
- потеря сознания;
- шок и др.
Перечисленные реакции возникают крайне редко и быстро купируются (излечиваются) при наличии рядом реаниматолога или кардиолога.
Черспищеводная ЭХО-КГ (ЧПЭХО)
Процедура похожа на ФГДС - используется специальный эндоскоп с ультразвуковым датчиком на конце, который доктор вводит через рот до уровня сердца (на эндоскопе присутствуют специальные отметки с расстоянием). Датчик прижимается к стенке пищевода и изображение органа появляется на экране монитора аппарата. Этот вид обследования проводится реже, так как это более сложная технология, предусматривающая использование отдельного датчика с эндоскопом и специально обученного специалиста функциональной диагностики и медицинской сестры.
ЧПЭХО проводят, когда нет возможности провести трансторакальное исследование: выраженная подкожно жировая клетчатка, серьезные легочные заболевания, или просто в силу конституции человека легкие большей частью прикрывают сердце. Кроме того доступ через пищевод позволяет с большей точностью выявить дефекты межжелудочковой и межпредсердной перегородок, а также обнаружить тромб в ушке левого предсердия, которое не визуализируется при трансторакальном доступе. Такая процедура обязательна к проведению перед лечением (электроимпульсная терапия - восстановление ритма с помощью небольшого разряда дефибриллятора) определенных видов аритмий.
Из-за большей инвазивности ЧПЭХО для его проведения существует ряд противопоказаний:
- крайне тяжелое состояние пациента;
- заболевания пищевода - злокачественные новообразования, стриктуры (сужения), дивертикулы, варикозное расширение вен пищевода, эзофагит 1 .
Во время ЧПЭХО осложнения также крайне редки и связаны в первую очередь с введением эндоскопа. К таковым относятся перфорация пищевода или повреждение его стенки и голосовых связок. Кроме того возможно появление аритмии.

Фото: схема проведения чреспищеводного УЗИ с контрастом
ЭХО-КГ с контрастом (контрастное УЗИ сердца)
Также выделяют эхокардиографию с контрастированием правых камер сердца с использованием обычного физиологического раствора в качестве контрастного вещества и контрастное УЗИ всего сердца с помощью инновационного препарата SonoVue (Соновью). Этот препарат представляет собой микропузырьки с газообразным содержимым. Благодаря свойству ультразвука отражаться от границы сред с разной плотностью (наибольшая разница плотности на границе ткань-газ), контраст “светится”. Такая методика появилась сравнительно недавно и позволяет:
- более четко определить размеры полостей сердца,
- выявить с большей точностью минимальные дефекты перегородок и другие пороки сердца;
- более точно определить функцию левого желудочка за счет проникновения контраста внутрь сердечной мышцы.
ЭХО-КС с контрастированием используется и при доступе через грудную клетку, и через пищевод.
УЗИ с контрастом обычно проводится для диагностики пороков сердца и для подтверждения разрыва миокарда.
Проведение эхокардиографии с контрастированием противопоказано при:
- остром коронарном синдроме;
- нестабильной стенокардии;
- инфаркте миокарда в острой стадии;
- острой сердечной недостаточности III-IV степени;
- тяжелой легочной гипертензии;
- острых стадиях неврологических заболеваний;
- неконтролируемой артериальной гипертензии;
- нахождении пациента на ИВЛ;
- беременности и грудном вскармливании;
- аллергии на компоненты контрастного вещества.
Осложнения при контрастировании ограничиваются локальными реакциями в месте введения препарата в вену или артерию и теоретически непереносимостью препарата. Основную опасность при исследовании с контрастированием представляет то, что его чаще проводят в совокупности с физической нагрузкой или фармакологической пробой, соответственно и осложнения те же.
Как проводится УЗИ сердца
Во время эхокардиоскопии доктор использует различные режимы УЗ аппарата:
- одномерный (М-режим),
- двумерный (В-режим),
- режим допплера (оценка скорости потоков крови в камерах и сосудах),
- цветового допплера - ЦДК (для определения направления потоков крови и выявления патологических),
- энергетический допплер (регистрирует сам факт наличия кровотока в сосудах),
- тканевой допплер (более глубокая оценка сократимости миокарда, основанная на исследовании характера движения стенок от датчика и к нему),
- 3D-эхокардиография (максимальную пользу приносит перед операциями на клапанах - они практически полностью визуализируются до вмешательства, что важно для определения тактики хирургом).
Трансторакальное УЗИ
Эхокардиография через грудную клетку проводится в кабинете ультразвуковой или функциональной диагностики. Иногда в стационаре из-за тяжести пациента и невозможности транспортировки для его обследования используют переносной аппарат УЗИ. Медсестра или врач просят больного раздеться сверху до пояса, в том числе необходимо снять нижнее белье женщинам. Далее пациенту необходимо лечь на кушетку на левый бок и положить левую руку под голову. При этом головной конец кушетки немного приподнят - так достигается максимальное расстояние межреберных промежутков для лучшей визуализации сердца.
Положение больного по отношению к врачу может быть различное, все зависит от предпочтений последнего и обустройства кабинета. Пациент может быть повернут лицом или спиной к доктору, головой к аппарату или от него.
Специалист смазывает датчик УЗ-проводящим гелем для лучшего контакта с кожей, прикладывает его к левой части грудной клетки, визуализирует сердце, выводя стандартные позиции его для произведения измерений.
Чреспищеводное ЭХОКГ
Чреспищеводное ЭХО проводится строго натощак в кабинете УЗИ или функциональной диагностики. Берут согласие пациента на проведение исследования, объяснив перед этим всю его суть и ход событий. Горло орошают лидокаином с помощью спрея, просят удалить зубные протезы и лечь на кушетку на левый бок, согнув ноги в коленях и положив руки под щеку или на живот. В рот вставляется загубник, чтобы пациент не прикусил зонд. Затем врач вводит эндоскоп. В начале просит больного совершить глотательные движения для более легкого продвижения аппарата. Доведя до определенной позиции, врач начинает само обследование. Оно длится 10-20 минут.
ЭХОКГ с контрастом
При использовании контрастного вещества его вводит в одну из вен или артерий на бедре - зависит от вида препарата и цели исследования. При этом УЗ датчик остается на пациенте, чтобы вовремя зарегистрировать все данные и провести измерения.
Расшифровка результатов
Во время исследования врач оценивает линейные размеры и объемы камер сердца, локальную и общую (фракция выброса) сократимость и скорость кровотока через клапаны, в сосудах.
| Показатель | Значение для женщин | Значение для мужчин | ||||||
|---|---|---|---|---|---|---|---|---|
| норма | незначительное нарушение | умеренное нарушение | значительное нарушение | норма | незначительное нарушение | умеренное нарушение | значительное нарушение | |
| Толщина межжелудочковой перегородки | 6-9 мм | 10-12 мм | 13-15 мм | более 16 мм | 6-10 мм | 11-13 мм | 14-16 мм | более 17 мм |
| Толщина задней стенки левого желудочка | 6-9 мм | 10-12 мм | 13-15 мм | более 16 мм | 6-10 мм | 11-13 мм | 14-16 мм | более 17 мм |
| Масса миокарда левдого желудочка (ММЛЖ) | 66-150 г | 151-171 г | 172-192 г | более 193 г | 66-150 г | 151-171 г | 172-192 г | более 193 г |
| Индекс ММЛЖ (более значимый показатель - учитывает рост пациента) | 43-95 г/м2 | 96-108 г/м2 | 109-121 г/м2 | более 122 г/м2 | 49-115 г/м2 | 116-131 г/м2 | 132-148 г/м2 | более 149 г/м2 |
| Фракция выброса | более 55% | 45-54% | 30-44% | менее 30% | более 55% | 45-54% | 30-44% | менее 30% |
| Сократимость | не нарушена | |||||||
В заключении пациент может обнаружить следующие термины:
- акинез - отсутствие сокращения мышцы\стенки;
- гипокинез - минимальное сокращение;
- дискинез - асинхронность сокращений стенок;
- гипертрофия - утолщение;
- диастолическая дисфункция - нарушение расслабления сердечной мышцы;
- систолическая дисфункция - нарушение сократительной способности миокарда;
- дилатация - расширение полости.
Что показывает ЭХОКГ
В процессе проведения процедуры врач проводит структурную визуализацию и гемодинамическую (допплерография) 3 .
Структурная визуализация включает:
- Визуализация перикарда (например, для исключения перикардиального выпота);
- Визуализация левого или правого желудочка и их полостей (для оценки гипертрофии желудочков, аномалии движения стенок, а также для визуализации тромбов);
- Визуализация клапанов (митральный стеноз, стеноз аорты, пролапс митрального клапана);
- Визуализация магистральных сосудов (рассечение аорты);
- Визуализация предсердий и перегородок между камерами сердца (врожденный порок сердца, травматические повреждения).
- Визуализация кровотока через сердечные клапаны (клапанный стеноз и регургитация)
- Визуализация кровотока через камеры сердца (расчет сердечного выброса, оценка диастолической и систолической функции сердца)
ЭХОКГ при сердечной недостаточности
- Дает возможность определить причины развития хронической формы (ХСН)
- Фракция выброса левого желудочка:
- снижена (систолическая ХСН);
- нормальная (диастолическая ХСН).
ЭХОКГ при нарушениях ритма сердца
Важно! Тахикардия затрудняет проведение исследования и точность оценки полученных результатов.
Используется трансторакальная ЭХОКГ и ЧП ЭХОКГ.
- Размеры полостей сердца, особенно предсердий
- Наличие тромбов
- Оценка фракции выброса не всегда достоверна
ЭХОКГ для оценки состояния онкологических больных
Поражение сердца у онкологических больных:
- опухолевая интоксикация;
- кардиотоксичность химиопрепаратов;
- кардиотоксичность лучевой терапии.
Показания к специализированной эхокардиографии для определения кардиотоксичности:
- всем пациентам с онкологическими заболеваниями перед началом лечения;
- получающим химиотерапию или лучевую терапию (после каждого курса);
- получавшим в прошлом химиотерапию или лучевую терапию (регулярность зависит от схемы лечения).
Сравнительная характеристика ЭХОКГ с другими методами
Эхокардиография несмотря на свою огромную пользу остается все-таки субъективным методом. Врачами по-разному проводятся измерения и трактуются некоторые показатели. Порой одной ЭХО-КГ бывает недостаточно или провести ее невозможно в силу каких-либо причин. Тогда на помощь придут другие методики исследования сердца:
- Электрокардиограмма - самый простой способ выявить сердечные проблемы. Аппаратами ЭКГ оснащены все лечебно-профилактические учреждения страны и машины скорой помощи. ЭКГ выявляет нарушения ритма и дает вероятную характеристику локальной сократимости (изменения при инфаркте миокарда), однако при ЭХО-КГ все может выглядеть совершенно по-другому.
- Рентгенография органов грудной клетки позволяет определить границы сердца и выявить кардиомегалию. Для точной диагностики причин необходима визуализация органа. используется для уточнения данных эхокардиографии, изучения морфологии, функций сердечных камер, клапанов. Сейчас она все больше используется для диагностики некоронарогенных болезней миокарда, различных кардиомиопатий.
- Компьютерная томография с контрастированием очень эффективна при исследовании коронарных артерий. Ее стоимость меньше КАГ (коронароангиография) Также можно определить все размеры и объемы сердца, но не даст возможности видеть его работу в реальном времени.
- Коронарная ангиография (КАГ) - “золотой стандарт” в исследовании коронарных артерий с помощью контрастного вещества с выявлением стенозов и последующим возможным их стентированием (способ расширения просвета сосуда). Ее недостатки - очень высокая стоимость и инвазивность процедуры.
- Позитронно-эмиссионная томография - редкое исследование с введением радиофармпрепарата. Прекрасно визуализирует участки с недостаточным кровоснабжением (ишемия) миокарда
Эхокардиография является основным и самым доступным методом визуализации сердца, позволяющим поставить точный диагноз, своевременное лечение, а также оценить его эффективность. Несмотря на субъективность метода, при постоянном обучении, повышении квалификации, обмене опытом с коллегами специалист повышает свою грамотность в обследовании и сводит к минимуму возможность ошибок.
Эхокардиография не стоит на месте. Продолжаются попытки дополнить метод все новыми возможностями визуализации, некоторые из них позволяют максимально объективно проводить исследования и минимизировать различия толкования между разными специалистами.
- Саидова М.А. Чреспищеводная эхокардиография: показания, техника проведения. - Болезни сердца и сосудов, №4 2007. Marwick T.H., пер. с англ.: к.м.н. Крикунова П.В. Рекомендации по применению эхокардиографии при артериальной гипертензии у взрослых: отчет Европейской ассоциации по сердечно-сосудистой визуализации (EACVI) и Американского эхокардиографического общества (ASE). Системные гипертензии. №2 2017. Ishak A Mansi, MD. Echocardiography. - Medscape, Jan 2014.
Важно! Все материалы носят справочный характер и ни в коей мере не являются альтернативой очной консультации специалиста.
Этот сайт использует cookie-файлы для идентификации посетителей сайта: Google analytics, Yandex metrika, Google Adsense. Если для вас это неприемлемо, пожалуйста, откройте эту страницу в анонимном режиме.
Читайте также:
