УЗИ при дермоиде и эпидермоиде
Добавил пользователь Владимир З. Обновлено: 28.01.2026
Национальный центр офтальмологии им. акад. Зарифы Алиевой Минздрава Азербайджанской Республики, Джавадхана ул., 32/15, Баку, Азербайджанская Республика, AZ1114
Ретроспективный анализ различных признаков дермоидных кист периокулярной области
Журнал: Вестник офтальмологии. 2015;131(6): 16‑19
Цель — оценить роль клинических и радиологических признаков дермоидных кист в постановке достоверного диагноза и выборе метода лечения; выявить главные особенности гистопатологической структуры дермоидных кист. Материал и методы. Проведен ретроспективный анализ результатов клинико-инструментального обследования и лечения 52 пациентов с дермоидными кистами орбиты. Результаты. Больные в основном жаловались на появление безболезненного невоспалительного отека верхнего века соответственно месту локализации кисты. Ни у одного пациента мы не наблюдали появление диплопии, экзофтальма или изменения рефракции. На компьютерной томографии выявлялось образование округлой или овальной формы с четкими и ровными контурами. Заключение. Изучение клинических и радиологических признаков дермоидных кист и полная патогистологическая верификация данного диагноза позволяют нам заключить, что верная интерпретация клинической картины и результатов инструментальных методов исследования может привести к постановке достоверного диагноза до оперативного вмешательства.
Дермоидные кисты являются хористомами, возникающими в результате нарушения дифференцировки эпителиальных структур в местах закрытия эмбриональных щелей. Именно по этой причине в области головы образования чаще происходят из эпидермальных тканей, расположенных подкожно или в области швов костей черепа.
Большинство дермоидных кист клинически проявляются в течение первого десятилетия жизни и составляют приблизительно третью часть опухолей глазницы. По данным J. Shields (1986) и наблюдениям других авторов, дермоидная киста проявляется у детей преимущественно в возрасте до 5 лет [1]. Около 40% больных обращаются к врачу после 18 лет, что подтверждает крайне медленный рост кисты. Однако в пубертатном периоде и во время беременности отмечается ее увеличение.
При видимой локализации в веке наиболее часто киста встречается в верхненаружном квадранте. Дермоидные кисты этой локализации развиваются из лобно-скулового шва, обычно располагаются подкожно и не распространяются в полость орбиты [2, 3]. Исключение составляют котомковидные кисты, которые состоят из трех частей: головки кисты — ампулообразное расширение, наполненное слизистым содержимым, находится за пределами тарзоорбитальной фасции в глубине орбиты; хвоста кисты — располагается в височной ямке; и перешейка — находится в области лобно-скулового шва [4, 5]. При локализации в верхневнутреннем квадранте орбиты киста развивается из носолобного костного шва [6]. Эпителий внутренней стенки кисты секретирует слизистое содержимое с примесью кристаллов холестерина, что придает ему желтоватый оттенок. Могут присутствовать короткие жесткие волосы.
Цель работы — оценить роль клинических и радиологических признаков дермоидных кист в постановке достоверного диагноза и выборе метода лечения; выявить главные особенности гистопатологической структуры дермоидных кист.
Материал и методы
Были обследованы и прооперированы 52 пациента с данной патологией. Исследования проводились на базе отделений патологии зрения у детей и травмы, реконструктивной и пластической хирургии Национального центра офтальмологии им. акад. Зарифы Алиевой. Пациенты были рандомизированы по возрасту и локализации дермоидной кисты. Всем больным было проведено общеофтальмологическое обследование, включающее визометрию (знаковый проектор CCP-3100, «Huvits», Корея), тонометрию (пневмотонометр FT-1000, «Tomey», Япония), биомикроскопию (щелевая лампа TSL-5000, «Tomey», Япония), офтальмоскопию (фундус-линзы 78 дптр, «Ocular», США) и экзофтальмометрию по Гертелю. В целях выявления точной топографической локализации, а также получения информации о структуре опухоли всем пациентам проводилась компьютерная томография (КТ) (аппарат Multislice Presto 4, «Hitachi», Япония).
Всем больным было проведено хирургическое лечение. Патогистологическое исследование операционного материала проводилось на базе Национального центра онкологии им. акад. Зарифы Алиевой методом стандартного окрашивания гематоксилином и эозином.
Результаты и обсуждение
В нашем исследовании большинство пациентов были в возрасте до 15 лет (рис. 1). Клиническая картина зависит от локализации дермоидной кисты (рис. 2).

Рис. 1. Соотношение больных с дермоидной кистой по возрасту.

Рис. 2. Соотношение больных с дермоидной кистой по локализации.
При расположении в наружном отделе орбиты основной жалобой больных было появление безболезненного невоспалительного отека верхнего века соответственно месту локализации кисты. Наблюдалось частичное опущение века с латеральной стороны (рис. 3). Кожа века в этом месте была растянута, но окраска ее не изменена. У больных с дермоидной кистой медиальной стенки орбиты опухоль располагалась в верхневнутреннем квадранте. Киста этой локализации неподвижна и связана с надкостницей (рис. 4). Ни у одного пациента мы не наблюдали появление диплопии, экзофтальма или изменения рефракции. У 3 больных выявлялся болевой симптом, связанный с воспалительным процессом в кисте.

Рис. 3. Фотография больного с дермоидной кистой наружного квадранта орбиты.

Рис. 4. Фотография ребенка с дермоидной кистой внутреннего квадранта орбиты.
Все больные проходили КТ-исследование, благодаря которому можно изучить структуру самой опухоли, а также состояние подлежащих костей и степень распространения в орбиту. На К.Т. выявлялось образование округлой или овальной формы с четкими и ровными контурами. У всех кист отчетливо прослеживалась капсула, а также наличие серозного содержимого (рис. 5, 6). Узурацию костной стенки, описанную в литературе не встречали.

Рис. 5. Компьютерная томограмма дермоидной кисты внутреннего квадранта орбиты.

Рис. 6. Компьютерная томограмма дермоидной кисты наружного квадранта орбиты.
Лечение дермоидных кист только хирургическое (рис. 7). Для предотвращения повреждения капсулы в момент извлечения кисты целесообразно использовать поднадкостничный доступ. Удаление кисты с неповрежденной капсулой уменьшает риск развития рецидива (рис. 8). При удалении опухолей верхненаружного квадранта орбиты обязательно проводили ревизию височной ямки.

Рис. 7. Дермоидная киста орбиты до (а) и после (б) операции.

Рис. 8. Этап операции по удалению кисты орбиты.
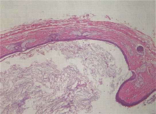
Во всех случаях операционный материал был отправлен на патогистологическое исследование (рис. 9). Препарат фиксировали в формалине и окрашивали гематоксилином и эозином. Стенка кисты выстлана многослойным плоским ороговевающим эпителием. В толще стенки эпидермоидной кисты обнаруживались сальные железы, волосяные фолликулы, воспалительные инфильтраты, представленные в основном лимфоцитами. Также было выявлено наличие признаков гранулематозного воспаления со скоплением большого количества макрофагов (рис. 10).

Рис. 9. Удаленная киста с неповрежденной капсулой (макропрепарат).

Рис. 10. Дермоидная киста, выстланная многослойным плоским эпителием с волосяными фолликулами (микропрепарат, окраска гематоксилином и эозином. Ув. 40).
Выводы
1. В нашем исследовании большинство пациентов были в возрасте до 15 лет. Это объясняется тем, что данная патология является врожденной и, несмотря на то что отличается медленным ростом, характеризуется ранним выявлением.
2. Изучение клинических и радиологических признаков дермоидных кист и полная патогистологическая верификация данного диагноза позволяют нам заключить, что верная интерпретация клинической картины и результатов инструментальных методов исследования может привести к постановке достоверного диагноза до оперативного вмешательства.
3. Наше исследование показало, что дермоидные кисты без внешних признаков воспаления не влияют на функции органа зрения.
4. Применение поднадкостничного доступа во время операции и радикальное удаление кисты с неповрежденной капсулой сводит к минимуму риск появления рецидивов в дальнейшем.
5. На основании исследования патогистологических результатов мы пришли к выводу, что независимо от возраста больного и наличия воспаления в клинической картине во всех препаратах присутствовали элементы воспаления, представленные макрофагами и лимфоцитами.
Ультразвуковое исследование новообразований кожи. Обзор литературы

В статье рассматриваются современные методы ультразвуковых исследований новообразований кожи. Проанализированы основные ультразвуковые характеристики наиболее распространенных дерматологических новообразований.
Ключевые слова: ультразвуковое исследование кожи; ультразвуковые датчики, доброкачественные образования кожи, злокачественные образования кожи, дерма.
Введение
Внастоящее время ультразвуковое исследование широко применяется в дерматологии и дерматокосметологии. Этот метод дает возможность исследовать состояния кожи, подкожной жировой клетчатки, ногтей и даже волос. Применение ультразвука в дерматологии растет в последние годы в связи с развитием новейшего оборудования, работающего с максимальной эффективностью, а также появлением зондов переменной частоты, позволяющих оптимально изучать поверхностные структуры. Среди преимуществ современной аппаратуры также отмечены достаточно легкие датчики, которые могут быть расположены на поверхности кожи в области различных частей тела, даже в анатомически сложных участках. Данное оборудование способствует более детальному изучению анатомических образований кожи и подкожно жировой клетчатки. Это в свою очередь может облегчить диагностику и лечение различных дерматологических заболеваний, среди которых доброкачественные (эпидермальная киста, атерома, киста пилонидальная, пиломатриксома, дерматофиброма, сосудистые аномалии) и злокачественные (плоскоклеточный рак кожи, меланома) новообразования. Применение данного метода открывает перспективы к возможной детализации информации не только в области патологического образования, но и окружающих тканей с целью обеспечения индивидуального подхода к терапии.
Кожа представляет собой самый большой орган человеческого тела, который обеспечивает жизненно важные процессы, такие как: регенерация, регуляция температуры, депо воды, жира, синтез витамина D и имеет открытую структуру. Данный факт способствует тому, что любая травма может легко повлиять на самооценку и качество жизни человека.
Кожа раскрывает такие характеристики человека, как возраст, пол, этническую принадлежность и здоровье. Волосы и ногти являются придатками кожи. Они поддерживают терморегуляцию и имеют защитную функцию, а также социальную роль [1,2].
Ультразвуковое исследование (УЗИ) в дерматологии началось с использования оборудования фиксированной частоты (20-100 MHz) и могло различать только глубокие слои кожи и не способно было детально рассмотреть поверхностные структуры кожи [3,4]. Ультразвуковые аппараты фиксированной частоты отличаются низким проникновением (5-6 мм при 20 МГц, 3 мм при 75 МГц и 1 мм при 100 МГц), а также отсутствием опции цветового допплера.
Проблема глубины проникновения очень актуальна, потому что нормальная кожа на различных участках тела имеет различную толщину. Для примера, толщина только дермы в области спины может превышать 3 мм [5,6].
В настоящее время применяется современное и уникальное оборудование для подробной визуализации кожи. Эти аппараты оснащены мощными процессорами и датчиками с верхним диапазоном частот от 15-22 МГц. На таком оборудовании существуют цветное допплеровское картирование, импульсный допплер. Данная аппаратура снабжена легкими датчиками, которые могут успешно располагаться на коже в разных частях тела. Более того, существуют датчики в форме хоккейной клюшки, позволяющие исследовать поверхность кожи на анатомически сложных участках (лицо, язык, ушная раковина и ногти).
Преимуществом ультразвука переменной частоты является хорошее проникновение и разрешение, а также возможность в реальном времени оценить состояние кожи, определить и измерить кровоток. Информация, предоставленная при ультразвуковом исследовании, в идеале должна отличаться или дополнять то, что уже диагностировано хорошим врачом в клинических условиях.
Таким образом, отчеты дерматологических исследований включают анатомические данные о размере, точном местоположении, кровоснабжении, активности и тяжести кожной патологии. Эта информация может позволить изменить тактику лечения, а также метод и степень хирургического вмешательства, предотвратить рецидивы и определить происхождение (дерматологическое или нет). Этот метод безопасен в применении, не требует введения контраста, отсутствует риск облучения. Следует добавить, что в наше время, высоко информированные пациенты требуют кроме правильно подобранного метода лечения, учитывать все возможные косметические моменты.
Цель данного обзора: дать представление о причинах проведения данного обследования, дать информацию о том, как его выполнять, учитывая технические требования и анатомическое строение кожи. Подробно разобрать ультразвуковую анатомию кожи и подкожно жировой клетчатки. Проанализировать основные ультразвуковые характеристики наиболее распространенных дерматологических новообразований.
В настоящее время для исследования кожи используется оборудование высокого разрешения, которое работает с зондами переменной частоты. В идеале рекомендуемая частота для изучения кожи — 7-15 МГц. При исследовании кожи используется техника, применяемая для локальных поражений кожи. Она состоит из физикального осмотра зоны интереса, а затем нанесения обильного количество геля на исследуемый участок кожи. После осмотра в серой шкале, следует цветовой Доплер. Оценивается степень эхогенности, производиться измерение размера и устанавливается локализация. Затем производиться идентификация и измерение кровотока (распределение сосудов, тип и степень кровотока в сосудах). Обязательно указываются вовлеченные в процесс более глубокие слои мягких тканей. При наличии асимметричных поражений, самая глубокая часть считается основной для измерения толщины при УЗИ обследовании [7,8]. При исследование ногтевых пластин исследованию подвергаются обе стороны ногтевых и около ногтевых пластин [9]. При ультразвуковом исследовании на волосистой части головы основным условием является смещение волос и создание проборов для оптимального контакта между кожей и ультразвуковым датчиком. [8,9] Исследование требует переменной степени освещенности в комнате. Яркое освещение используется для изучения участка кожи вовремя физикального осмотра. Непосредственно при ультразвуковом исследовании обычно используется затемнение в комнате. При наличии множественных пораженных зон используется последовательное освещение и затемнение для того, чтобы быть уверенным в правильном расположении датчика. Настройки оборудования должны включать энергетический Доплер, самые низкие частоты импульсов, а также самые низкие значения фильтра стенок и самые низкие значения PRF. Трехмерные реконструкции (с истечением 5-8 секунд) и цветовые фильтры обычно используются для того, чтобы улучшить представление и более детально изучить полученное изображение [9,10].
Ультразвуковая анатомия кожи
Кожа состоит из трех слоев: эпидермис, дерма, и подкожно жировая клетчатка, которая также называется гиподерма. Эти слои глубоко функционально связаны между собой. Следовательно, вовлечение в процесс одного слоя может вторично повлиять на другой, и многие патологические процессы в дерматологии затрагивают более чем один слой. Эхогенность слоев кожи обусловлена их составом. Кератин влияет на эхогенность эпидермиса. Коллаген влияет на эхогенность дермы. Жировые дольки обеспечивают основную эхогенность подкожно жировой клетчатки. Эпидермис при ультразвуковом исследовании представлен гиперэхогенной линией, исключение является кожа в области ладонях и подошв. В этих участках эпидермис представлен двухслойной, параллельной, гиперэхогенной структурой. Дерма выглядит как гиперэхогенная полоса, менее яркая, чем эпидермис. Гиподерма представлена гипоэхогенными жировыми дольками, разделенными гиперэхогенными волокнистыми перегородками «септы» [2,5,6]. Было отмечено, что в процессе старения, гипоэхогенные полосы в верхней части дерме, которые называются субэпидермальной зоной низкой эхогенности (СЗНЭ), были обнаружены в тех участках кожного покрова, которые наиболее подвержены солнечному воздействию. Например, лицо и предплечье. Таким образом, СЗНЭ представляется в качестве маркера для оценки фото старения кожи. [10]
Доброкачественные образования кожи
Эпидермальная киста (ЭК)
Эпидермальные кисты могут быть обусловлены эмбриологическими, травматическими или послеоперационными причинами. Гистологически, эпидермальные кисты состоят из стратифицированного плоского эпителия, и содержат кератин. На УЗИ, эпидермальные кисты хорошо различимы. Неповрежденная эпидермальная киста овальной или округлой формы, анэхогенной или гипоэхогенной структуры. Локализуется в дерме и подкожно жировой клетчатке. Редко, внутри кисты обнаруживаются гиперэхогенные линии, которые представлены фрагментами волоса. Также можно обнаружить гиперэхогенное пятно из-за кальциевого отложения. Гигантские кисты, которые содержат компактный кератин могут выглядеть, как гипоэхогенные, круглые или овальные образования, ‘похожие на луковицу’. Это обусловлено слоистым строением,более яркая эхогенность внутри полости и гипоэхогенные плотные, наружные оболочки. Воспаленные кисты гипоэхогенны и более крупные по размеру. Разрыв кисты при ультразвуковом исследовании характеризуется наличием неправильной или дольчатой формы. Сопровождается усилением эхогенности окружающей подкожной жировой клетчатки, это чаще всего связано с наличием отека. Кератин, который распространяется в окружающую ткань при травматизации кисты, производит реакцию ткани, подобную инородному телу.
Атерома
Киста сальной железы в 90 % случаях располагается на коже волосистой части головы. Атеромы содержат кератин, секрет сальной железы, а иногда и фрагменты волос. На УЗИ, они показаны как одиночные или множественные четкие, анэхогенные или гипоэхогенные структуры, расположенные в дерме и подкожной клетчатке. Внутри кисты могут обнаруживаться соединительнотканные волокна в субэпидермальной области. На УЗИ они могут проявлятся, как гипоэхогенный ободок и гиперэхогенный центр. Этот гиперэхогенный центр обычно состоит из пучков волос или кальциевых отложений, или из обоих частей. Воспаленная атерома при ультразвуковом исследовании характеризуется усиленным кровотоком по периферии кисты [9,11,12].
Киста пилонидальная (ПК)
Эти кисты обычно наблюдаются у мужчин и часто в межъягодичной области. Они могут быть связаны с травмой кожи, а также могут возникать, как самостоятельный элемент. ПК являются следствием обратного проникновения волосяных пучков через кожу, что приводит к растяжению фолликулярного мешка и очень часто к воспалительному процессу. Гистологически они состоят из синусов, выстланных плоским эпителием, содержащим фрагменты волоса, грануляции и воспаление ткани. Часто к ПК присоединяется бактериальная флора, что приводит к нагноению кисты. При ультразвуковом исследовании она представлена гипоэхогенной псевдокистой овальной формой. Они расположены в дерме и гиподерме. Воспаленные ПК показывают усиленную васкуляризацию по периферии. Важно отметить, что ультразвук позволяет определить степень воспалительного процесса. Может детально определить строение кисты, встречаются многокамерные кисты. Все это очень важно для планирования хирургического лечения [2,6,13,14].
Пиломатриксома
Это доброкачественные опухоли, развивающиеся из матрикса волоса. Их также называют кальцифицирующимися эпителиомами Малерба. Они наблюдаются чаще всего у детей и молодых людей. Преимущественно локализуются на волосистой части головы, шее и конечностях. Гистологически пиломатриксомы состоят из безъядерных клеток плоского эпителия, и гигантских клеток инородных тел. Оболочка кисты состоит из базолоидных клеток с базофильнными ядрами. Внутри опухоли очень часто отмечаются отмершие клетки кожи, кальцификаты и гигантские клетки инородных тел. Клинически неправильный диагноз сообщается до 56 % случаев [2,6,15]. При ультразвуковом исследовании данные образования могут показать широкий спектр проявлений. Наиболее распространенной ультразвуковой картиной является ‘мишень ’, когда гипоэхогенный ободок и гиперэхогенный центр. Чаще всего визуализируются в дерме и гиподерме. В центре образования при ультразвуковом исследовании могут определятся гиперэхогенные пятна. Это вызвано отложением кальция. При ультразвуковом исследовании, эти кальцинированные пятна дают симптом задней акустической тени. Кальций является ключевым элементом для диагностики этих опухолей, в 80 % случаев именно этот признак позволяет дифференцировать это образование 19. На Цветном допплере пиломатриксомы показывают переменную степень кровоснабжения, от гиповаскулярных к гиперваскулярным типам. При гиперваскулярной форме кровотока отмечается усиленный наружный (на оболочке) и внутренний (в центре) кровоток. При физикальном осмотре они могут даже имитировать гемангиомы. В более редких случаях пиломатриксома представлена полностью кальцинированным образованием, при этом на УЗИ это выглядит как гиперэхогенный узелок с задней акустической тенью. Пиломатриксома может представлять собой анэхогеную кисту с гиперэхогенным твердым узелком. Узел представлен крошечным гиперэхогенным пятном, окруженным септами, которые соединяют его с гипоэхогенной толстой, волокнистой стенкой [2,6,15-19].
Дерматофиброма
Это фиброзная опухоль, обычно локализуется в области нижних конечностях или на туловище преимущественно у женщин среднего возраста. Она также называется фиброзной гистиоцитомой. Дерматофиброма является реакцией кожи на травму или укусы насекомого, но может быть и первичным, самостоятельным образованием. Гистологически состоят из шпинделя клетки, гиалиновых коллагеновых стром, рассеянный липид-Ладена, гистиоцитов, многоядерных гигантских клеток и гемосидериновых отложений. При ультразвуковом исследовании, они представлены как образования не правильной или овальной формы. Гипоэхогенной и неоднородной структуры. Располагаются в дерме. Кровоснабжение гиповаскулярное с низкой скоростью кровотока [6].
Сосудистые аномалии
Классификация Mulliken и Glowacki, предложенная в 1982, подразделяется на 2 основных типа сосудистых аномалий:
Гемангиомы младенчества — это самые часто встречающиеся сосудистые образования мягких тканей у детей. Гистологически состоят из пролиферации эндотелия. Проявляются они сразу после рождения, могут локализоваться на различных участках тела. Характеризуются активным ростом сразу после рождения и в течение первых 1- 2 лет жизни. Затем наблюдается медленный период регрессии, который обычно длится от 4 до 5 лет. Эхографически гемангиомы различаются по фазе роста и развития. В фазе быстрого роста они представлены как гипоэхогенные солидные образования с усиленным кровотоком. В них можно различить артериальные и венозные сосуды, а иногда артериовенозные шунты. Во время фазы частичной регрессии часть гемангиомы превращается в гиперэхогенное, неправильной формы образование со сниженным кровотоком. В фазе полной регрессии гемангиома становится гиперэхогенной и гиповаскулярной [2,6].
Сосудистые пороки развития
Это аномальные разрастания сосудистой сети, и они не являются истинной опухолью. Они могут быть классифицированы согласно типу сосудов. На артериальные, венозные, капиллярные, лимфатические или смешанные. Также, они разделяется на сосудистые образования с высокой скоростью кровотока (артериальные и артериовенозные) и с низкой скоростью кровотока (венозные, капиллярные и лимфатические). На УЗИ, сосудистые мальформации обычно присутствует в центре анэхогенных протоков или лакунарных кистозных областях. Капиллярные мальформации с низкой скоростью кровотока можно распознать, как гиперэхогенные островки в гиподерме или гипоэхогенные зоны в дерме. Ультразвуковое исследование позволяет контролировать динамику лечения, а также выбрать правильную тактику лечения (эмболизация, склеротерапия, хирургическое иссечение или лазерная коагуляция). Такие возможности ультразвука позволяют реже прибегать к другим видам исследования, таким как МРТ. Исключением являются случаи со множественным поражением или вовлечением в процесс глубоких слоев ткани [2,6].
Вывод
Ультразвуковое исследование помогает в дифференциальной диагностике большинства кожных новообразований. Это облегчает подбор методов лечения и планирование хирургического вмешательства. УЗИ в полной мере отражает активность и тяжесть общей картины кожных образований, а также может предотвратить рецидивы повторного роста. Наконец, ранняя диагностика и подробная анатомическая информация об новообразовании может улучшить косметический прогноз.
- Farinelli N, Berardesca E: The skin integument: Variation relative to sex, age, race, and body region. In: Serup J, Jemec GBE, Grove GL (eds): Handbook of Non-Invasive Methods and the Skin, (ed2) Boca Raton, FL, Taylor & Francis. 2006. P. 27-31.
- Wortsman X: Common applications of dermatologic sonography. J Ultrasound Med. 2012. Vol. 31. №.1. P. 97-111.
- Fornage BD, McGavran MH, Duvic M, et al: Imaging of the skin with 20-MHz US. Radiology. 1993. №.189. P.69-76.
- Desai TD, Desai AD, Horowitz DC, et al: The use of high-frequency ultrasound in the evaluation of superficial and nodular basal cell carcinomas. Dermatol Surg. 2007. №.33. P.1220-1227
- Wortsman X, Wortsman J: Clinical usefulness of variable-frequency ultrasound in localized lesions of the skin. J Am Acad Dermatol. 2010. №.62. P.247-256
- Wortsman X: Sonography of cutaneous and ungual lumps and bumps. Ultrasound Clin. 2012.
- Aldrete JA: Modifications to the post anesthesia score for use in ambulatory surgery. J Perianesth Nurs. 1998. №.13. P.148-155
- Wortsman X, Wortsman J, Soto R, et al: Benign tumors and pseudotumors of the nail: A novel application of sonography. J Ultrasound Med. 2010. №.29. P.803-816
- Wortsman X, Wortsman J, Matsuoka L, et al: Sonography in pathologies of scalp and hair. Br J Radiol. 2012. №.85. P.647-655
- Gniadecka M: Effects of ageing on dermal echogenicity. Skin Res Technol. 2001. №.7. P.204-207
- Folpe AL, Reisenauer AK, Mentzel T, et al: Proliferating trichilemmal tumors: Clinicopathologic evaluation is a guide to biologic behavior. J Cutan Pathol. 2003. №.30. P. 492-498
- Chang SJ, Sims J, Murtagh FR, et al: Am J Neuroradiol. 2006. №.27. P.712-714
- Harlak A, Mentes O, Kilic S, et al: Sacrococcygeal pilonidal disease: Analysis of previously proposed risk factors. Clinics. 2010. №.65. P.125-131
- Mentes O, Oysul A, Harlak A, et al: Ultrasonography accurately evaluates the dimension and shape of the pilonidal sinus. Clinics. 2009. №.64. P.189-192
- Roche NA, Monstrey SJ, Matton GE: Pilomatricoma in children: Common but often misdiagnosed. Acta Chir Belg. 2010. №.110. P.250-254
- Hwang JY, Lee SW, Lee SM: The common ultrasonographic features of pilomatricoma. J Ultrasound Med. 2005. №.24. P.1397-1402
- Choo HJ, Lee SJ, Lee YH, et al: Pilomatricomas: The diagnostic value of ultrasound. Skeletal Radiol. 2010. №.39. P.243-250
- Solivetti FM, Elia F, Drusco A, et al: Epithelioma of Malherbe: New ultrasound patterns. J Exp Clin Cancer Res. 2010. №.29. P.42
- Wortsman X, Wortsman J, Arellano J, et al: Pilomatrixomas presenting as vascular tumors on color Doppler ultrasound. J Pediatr Surg. 2010. №.45. P.2094-2098
Основные термины (генерируются автоматически): киста, жировая клетчатка, дерма, кожа, волосистая часть головы, образование, переменная частота, скорость кровотока, УЗИ, воспалительный процесс.
УЗИ при дермоиде и эпидермоиде
ГКБ им. С.П. Боткина, 2-й Боткинский проезд, д. 5, Москва, Россия, 125284;
ФГБУ «НЦАГиП им. В.И. Кулакова» Минздрава России, Москва, Россия
Кафедра факультетской терапии №2 ГБОУ ВПО "Первый Московский государственный медицинский университет им. И.М. Сеченова;
Кафедра акушерства и гинекологии ГБОУ ДПО "Российская медицинская академия последипломного образования", Москва
ГКБ им. С.П. Боткина, 2-й Боткинский проезд, д. 5, Москва, Россия, 125284
Российская медицинская академия последипломного образования, Москва, Россия, 125993
ФГАОУ ВО Первый МГМУ им. И.М. Сеченова Минздрава России, Москва, Россия
Наблюдение зрелой тератомы с необычными клиническим течением и эхографическими характеристиками у молодой женщины
Журнал: Проблемы репродукции. 2017;23(6): 24‑27
Представлено клиническое наблюдение дермоидной кисты яичника у женщины 19 лет. Случай интересен как нехарактерным для данного типа новообразований клиническим течением (болевой синдром, быстрое увеличение в объеме, асцит), но главным образом эхографической картиной, заставившей исключать на различных этапах паразитарную инвазию.
Дермоидная киста (тератома) — опухоль, происходящая из первичных клеток гонад эмбриона, встречается у 26,3% больных с доброкачественными опухолями яичника. В дермоидной кисте малигнизация происходит в 1,7% наблюдений, при этом наиболее частой формой злокачественного роста в незрелой (малигнизированная) тератоме является плоскоклеточная карцинома, хотя встречаются и более редкие новообразования, например, рак кишечной трубки или рак щитовидной железы. Подобное разнообразие объясняется просхождением опухоли из всех трех зародышевых листков. Однако большинство кистозных тератом доброкачественные и включают жировую ткань, ткань зубов, волосы, что дает типичную и хорошо известную специалистам картину при ультразвуковом исследовании (УЗИ). В связи с этим дооперационное предположение о наличии именно такого новообразования оправдывается в абсолютном большинстве случаев.
Данный случай интересен в первую очередь весьма необычной эхографической картиной новообразования, заставившей проводить дифференциальный диагноз не только между злокачественной и доброкачественной формами дермоида, но и с паразитарной кистой.
Больная N., 19 лет, доставлена в Городскую клиническую больницу им. С.П. Боткина бригадой скорой медицинской помощи с жалобами на общую слабость, увеличение размеров живота, чувство «распирания» и тупые боли по всему животу.
Из анамнеза известно, что в течение полутора месяцев пациентка отмечала увеличение живота в объеме, общую слабость, в течение недели перед поступлением в стационар появились и усилились боли по всей поверхности живота, стала повышаться температура тела до 38 °C. Обратилась к гинекологу, проведен осмотр, сразу после осмотра экстренно госпитализирована.
Больная родом из Калмыкии, студентка, учится и проживает в Москве. Родилась третьим ребенком в семье, масса тела при рождении 4000 г, длина — 52 см. Росла и развивалась нормально. Перенесла простудные заболевания. Менархе в 13 лет, цикл регулярный, установился сразу, менструации через 28 дней, по 5 дней, умеренные, безболезненные. Генеративная функция не выполнена: беременностей не было. Обращает внимание, что родная сестра больной оперирована 2 раза в связи с дермоидными кистами яичников.
При общем осмотре гемодинамические показатели стабильны, температура тела 38 °C, живот увеличен в объеме за счет образования, исходящего из малого таза. Симптомы раздражения брюшины и симптом поколачивания отрицательные.
При влагалищном исследовании стенки влагалища чистые, шейка матки не эрозирована, отдельно при пальпации дифференцировать матку и придатки невозможно, из малого таза исходит образование не менее 20 см в диаметре с четкими контурами, плотноэластической консистенции, малоподвижное, чувствительное при пальпации. Образование занимает нижние отделы брюшной полости. Параметрии свободны, своды выражены. Выделения — бели.
Результаты некоторых лабораторных и инструментальных методов обследования на момент поступления
Общий клинический анализ крови: Hb — 105 г/л, гематокрит 31,9%, эр. — 3,91·10 12 /л, тр. — 403·10 9 /л, л. — 15,1·10 9 /л (сдвига ядра нейтрофилов нет), э. — в норме — 0,15·10 9 /л.
Биохимический анализ крови, коагулограмма, общий анализ мочи в пределах физиологической нормы. Мазок на флору и цитологию без патологии.
Обращает внимание умеренное повышение концентрации маркеров СА-125 — 60,4 (0—35) Е/мл и СА-19−9 — 53,0 (2,5—33) Е/мл. Концентрация прочих исследованных маркеров была в пределах нормы: раково-эмбриональный антиген — 1,52 (0,2—5) нг/мл, СА-15−3 — 11,8 (0—35) Е/мл, альфа-фетопротеин — 0,457 (0,2—10) нг/мл.
На ЭКГ синусовый ритм, частота сердечных сокращений 85 в минуту, нормальное положение электрической оси сердца.
На обзорном рентгеновском снимке брюшной полости «свободного» газа и горизонтальных уровней жидкости нет. Рентгенография органов грудной клетки патологии не выявляла. При эзофагогастродуоденоскопии выявлен поверхностный гастрит, при колоноскопии — патологии толстой кишки не обнаружено. При эхографии органов брюшной полости выявлены умеренные диффузные изменения поджелудочной железы.
По данным УЗИ почек и мочевыводящих путей, имеются признаки нарушения уродинамики: справа чашечки расширены до 12 мм, лоханка до 31 мм, слева соответственно до 5 и 17 мм, мочеточник справа расширен до 10 мм, слева — до 5 мм. Заключение: выраженная каликопиелоуретероэктазия справа, незначительная каликопиелоуретероэктазия слева, вероятнее всего, обусловленные сдавлением объемным образованием мочевых путей.

Необычными оказались результаты УЗИ органов малого таза. Матка визуализирована смещенной книзу, с четкими, ровными контурами, размером 35×31×33 мм, структура миометрия — однородная, М-эхо — 10 мм, соответствовало фазе менструального цикла (день менструального цикла на момент исследования 12-й). Шейка матки — 28×24 мм, обычного строения, канал шейки матки не расширен. Левый яичник — 41×27×31 мм, с мелкими фолликулами. В проекции правого яичника визуализировано объемное образование, выходившее из малого таза, занимавшее практически всю брюшную полость до гипогастрия. Контуры образования четкие, ровные, размер 190×100×180 мм, содержимое гетерогенное со взвесью и множественными округлыми гиперэхогенными образованиями внутри. Участков избыточной васкуляризации не выявлено. Имелось небольшое количество («следы») «свободной» жидкости в малом тазу. Заключение: объемное образование малого таза и гипогастрия, вероятнее всего, исходящее из правого яичника (Тератома? Паразитарная киста?) (рис. 1). Рис. 1. Эхографическая картина новообразования (а, б — различные сечения). Видны свободно плавающие в кистозной полости гиперэхогенные «шары» примерно одинакового строения и диаметра, на основании чего заподозрено наличие паразитарной инвазии.
Компьютерная томография (КТ) брюшной полости, забрюшинного пространства, малого таза и магнитно-резонансная томография (МРТ) малого таза с внутривенным контрастированием дали практически одинаковые результаты. Получена картина объемного жидкостного образования в малом тазу и нижних отделах брюшной полости, не накапливавшего контрастный препарат, с округлыми образованиями, свободно «плавающими» внутри, не спаянными друг с другом и со стенками. Не исключалось наличие тератомы или паразитарной кисты. Подтверждено наличие каликопиелоуретероэктазии с двух сторон, больше выраженной справа (по-видимому, результат сдавления мочеточников), а также минимального асцита.
С учетом причудливого нетипичного строения образования потребовалось проведение дифференциального диагноза с паразитарной кистой брюшной полости. По рекомендации инфекциониста и паразитолога взяты анализ крови на IgG антитела к эхинококку, альвеококку. анализ кала на яйца глист и простейшие — признаков паразитарной инвазии не выявлено. Также пациентка была консультирована урологом.
На основании описанной выше совокупности данных был поставлен диагноз: опухоль правого яичника, подозрение на малигнизацию. Паразитарная киста правого яичника? Анемия легкой степени тяжести. Двусторонняя каликопиелоуретероэктазия. Больной назначена антибактериальная, антианемическая терапия.
По решению мультидисциплинарного консилиума в качестве доступа для операции была выбрана лапаротомия (поскольку нельзя было исключить как злокачественный характер образования, так и паразитарную инвазию, но в обоих случаях необходимо минимизировать риск диссеминации). Предполагалось выполнить удаление правых придатков матки, однако больная была поставлена в известность о возможности изменения и расширения объема операции в зависимости от интраоперационных находок и данных экспресс-морфологического исследования.
Перед операцией по решению консилиума было проведено двустороннее стентирование мочевыводящих путей.

Экстренная операция. Нижняя срединная лапаротомия. Удаление правых придатков матки. Биопсия левого яичника. Резекция большого сальника. Типичным путем выполнена нижняя срединная лапаротомия. Обнаружено, что в полости таза имеется небольшое количество светлой жидкости (жидкость взята для цитологического исследования и посева), матка и ее левые придатки не изменены. Справа яичник представлен опухолевидным образованием до 20 см, его наружная капсула гладкая (рис. 2). Рис. 2. Опухоль выведена из брюшной полости. Маточная труба распластана по поверхности образования, фимбрии выражены, брюшина не изменена.
Органы брюшной полости без патологии. Большой сальник тощий, макроскопически не изменен. Парааортальные лимфатические узлы пальпаторно не увеличены. Заключение экстренной морфологической диагностики: серозная киста яичника с признаками перекрута? ишемически-дистрофическими изменениями, окончательный ответ после плановой проводки материала. Согласно результатам экстренного цитологического исследования смывов из брюшной полости, атипические клетки не найдены, кислотоустойчивые микроорганизмы не обнаружены, при экстренном цитологическом исследовании содержимого опухоли правого яичника дано заключение о том, что подобная цитологическая картина может иметь место при дермоидной кисте яичника.
Учитывая молодой возраст пациентки, локализацию опухоли в пределах правого яичника, нереализованную репродуктивную функцию, умеренное повышение уровня онкомаркеров, отсутствие данных о малигнизации по данным экспресс-морфологических исследований, решено выполнить удаление правых придатков матки, биопсию правого яичника, резекцию большого сальника.
В плановом морфологическом исследовании опухоль правого яичника верифицирована как зрелая кистозная тератома яичника, частично выстланная многослойным плоским эпителием, частично — эпителием кишечного типа, в стенке обнаружен крупный хрящ. В биоптате левого яичника обнаружено сочетание кисты желтого тела и эндометриоидной кисты яичника. Большой сальник без роста опухоли. Посев из брюшной полости роста микроорганизмов не выявил.
Послеоперационный период протекал без осложнений. Проводилась комплексная инфузионная, антибактериальная, противомикробная, обезболивающая, антианемическая терапия и профилактика тромбоэмболических осложнений. Стент левого мочеточника удален на 3-и сутки. Стентирование правого мочеточника продлено на месяц. (Через 1 мес стент правого мочеточника удален).
Заключение

Данный случай примечателен не столько своими клиническими особенностями (хотя для доброкачественного дермоида нехарактерны такой быстрый рост, анемия, асцит, увеличение концентрации онкомаркеров и нарушения уродинамики), сколько эхографической картиной. Наличие свободно плавающих в полости кисты округлых образований примерно одинакового размера (рис. 3), Рис. 3. Новообразование вскрыто. Видно жидкое содержимое, в котором свободно плавают шаровидные структуры. несмотря на отрицательные результаты исследований, проведенных паразитологом, и отсутствие эозинофилии, не позволяло исключить паразитарную кисту вплоть до момента операции. Применение помимо УЗИ также КТ и МРТ с усилением не способствовало уточнению диагноза.
Авторы заявляют об отсутствии конфликта интересов.
Сведения об авторах
Майя Ильинична Купрашвили — к.м.н., н.с., врач ультразвуковой диагностики ГКБ им. С.П. Боткина, Москва, Россия; Maiia Il. Kuprashvili — PhD, researcher, doctor of department of ultrasonic diagnostics, S.P. Botkin City Clinical Hospital, Moscow, Russia
ОльгаЛеонидовнаГлазкова — к.м.н., доц. каф. акушерстваигинекологииГБОУДПОРМАНПО, Москва, Россия; Olga L. Glazkova, PhD in medicine, associate professor at the chair of obstetrics and gynaecology, Russian Medical Academy of Post-Graduate Education: Address: 2/1, ul. Barrikadnaya, Moscow, Russia, 125993; Phone: (495) 915-3835
Ольга Юрьевна Игнатченко — к.м.н., зав. 22 отд. гинекологии, ГКБ им. С.П. Боткина, Москва, Россия; Olga Yu. Ignatchenco — PhD, chief of the gynecological department №22 of Moscow city hospital named by S.P. Botkin, Address: 5, 2-nd Botkinsky side-street Moscow, Russia
Татьяна Владимировна Шевякова — к.м.н., зав. отд. ультразвуковой диагностики, ГКБ им. С.П. Боткина; Tatiana V. Shevyakova — PhD,chief of the ultrasonic diagnostics department of Moscow city hospital named by S.P.Botkin, Address: 5, 2-nd Botkinsky side-street Moscow, Russia; Phone: (499) 762-6132
Ольга Анатольевна Романовская — врач ультразвуковой диагностики, ГКБ им. С.П. Боткина, Москва, Россия; Olga A. Romanovskaya —doctor of department of ultrasound diagnostics, S.P. Botkin City Clinical Hospital, Moscow, Russia
Елизавета Евгеньевна Масс — студентка 6 курса ФГАОУ ВО Первый МГМУ им. И.М. Сеченова Минздрава России
Лилиана Вячеславовна Сумягина — к.м.н., ассистент кафедры акушерства и гинекологии ГБОУ ДПО ДМА НПО
Киста головного мозга ( Церебральная киста )
Киста головного мозга — объемное внутричерепное образование, представляющее собой наполненную жидкостью полость. Часто имеет скрытое субклиническое течение без увеличения размеров. Проявляется в основном симптомами внутричерепной гипертензии и эпилептическими пароксизмами. Возможна очаговая симптоматика, соответствующая расположению кисты. Диагностируется по результатам МРТ и КТ мозга, у детей грудного возраста — по данным нейросонографии. Лечение проводится при прогрессирующем росте кисты и развитии осложнений, состоит в хирургическом удалении или аспирации кисты.
МКБ-10


Общие сведения
Киста головного мозга — локальное скопление жидкости в оболочках или веществе головного мозга. Киста малого объема, как правило, имеет субклиническое течение, выявляется случайно при нейровизуализирующем обследовании мозга. Киста большого объема из-за ограниченности внутричерепного (интракраниального) пространства приводит к внутричерепной гипертензии и сдавлению окружающих ее мозговых структур. Клинически значимый размер кист значительно варьирует в зависимости от их локализации и компенсаторных возможностей. Так, у детей раннего возраста, за счет податливости костей черепа зачастую наблюдается длительное латентное течение кист без признаков выраженной ликворной гипертензии.
Киста головного мозга может обнаруживаться в различные возрастные периоды: от новорожденности до пожилого возраста. Следует отметить, что врожденные кисты чаще проявляются в среднем возрасте (обычно в 30-50 лет), чем в детстве. Согласно общепринятой в клинической неврологии практике в отношении замерших или медленно прогрессирующих кист малого объема применяется наблюдательно-выжидательная тактика ведения.
Классификация кисты головного мозга
В зависимости от места расположения выделяют арахноидальную и внутримозговую (церебральную) кисту. Первая локализуется в мозговых оболочках и образуется за счет скопления цереброспинальной жидкости в местах их врожденной дупликатуры или спаек, сформировавшихся в результате различных воспалительных процессов. Вторая располагается во внутренних структурах головного мозга и формируется на участке погибшей в результате различных патологических процессов мозговой ткани. Отдельно выделяют также кисту шишковидной железы, кисту сосудистого сплетения, коллоидную и дермоидную кисты.
Все мозговые кисты по своему генезу классифицируются на врожденные и приобретенные. К исключительно врожденным относятся дермоидная и коллоидная киста головного мозга. В соответствии с этиологией среди приобретенных кист различают посттравматические, постинфекционные, эхинококковые, постинсультные.
Причины кисты головного мозга
Факторами, провоцирующими формирование врожденной кисты мозга, являются любые неблагоприятные воздействия на плод в антенатальном периоде. К ним относят фетоплацентарную недостаточность, внутриутробные инфекции, прием беременной лекарственных средств с тератогенным эффектом, резус-конфликт, гипоксию плода. Врожденные кисты и другие аномалии развития головного мозга могут возникнуть, если развитие плода происходит в условиях внутриутробной интоксикации при наркомании, алкоголизме, никотиновой зависимости будущей матери, а также при наличии у нее хронических декомпенсированных заболеваний.
Приобретенная киста формируется вследствие черепно-мозговой травмы, родовой травмы новорожденного, воспалительных заболеваний (менингита, арахноидита, абсцесса головного мозга, энцефалита), острых нарушений мозгового кровообращения (ишемического и геморрагического инсульта, субарахноидального кровоизлияния). Она может иметь паразитарную этиологию, например, при эхинококкозе, церебральной форме тениоза, парагонимозе Киста ятрогенного происхождения может сформироваться как осложнение операций на головном мозге. В ряде случаев различные дистрофические и дегенеративные процессы в головном мозге также сопровождаются замещением церебральных тканей кистой.
Отдельную группу составляют факторы, способные спровоцировать увеличение размеров уже имеющегося интракраниального кистозного образования. Подобными триггерами могут выступать травмы головы, нейроинфекции, воспалительные внутричерепные процессы, сосудистые нарушения (инсульты, затруднение венозного оттока из полости черепа), гидроцефалия.
Симптомы кисты головного мозга
Наиболее характерна манифестация мозговой кисты с симптомов интракраниальной гипертензии. Пациенты жалуются на практически постоянную цефалгию, ощущение подташнивания, не связанное с едой, чувство давления на глазные яблоки, понижение работоспособности. Могут отмечаться нарушения сна, шум или ощущение пульсации в голове, расстройства зрения (падение остроты зрения, двоение, сужение зрительных полей, появление фотопсий или зрительных галлюцинаций), легкая тугоухость, атаксия (головокружения, шаткость, дискоординация движений), мелкоразмашистый тремор, обмороки. При высокой внутричерепной гипертензии наблюдается повторяющаяся рвота.
В ряде случаев киста головного мозга дебютирует впервые возникшим эпилептическим пароксизмом, за которым следуют повторные эпиприступы. Пароксизмы могут носить первично-генерализованный характер, иметь вид абсансов или фокальной джексоновской эпилепсии. Очаговая симптоматика наблюдается гораздо реже общемозговых проявлений. В соответствии с локализацией кистозного образования она включает геми- и монопарезы, сенсорные расстройства, мозжечковую атаксию, стволовые симптомы (глазодвигательные расстройства, нарушение глотания, дизартрию и др.).
Осложнения
Осложнением кисты может являться ее разрыв, окклюзионная гидроцефалия, сдавление головного мозга, разрыв сосуда с кровоизлиянием в кисту, формирование стойкого эпилептогенного очага. У детей кисты, сопровождающиеся выраженной внутричерепной гипертензией или эписиндромом, могут обуславливать задержку психического развития с формированием олигофрении.
Отдельные виды кист головного мозга
Арахноидальная киста чаще имеет врожденный или посттравматический характер. Расположена в мозговых оболочках на поверхности мозга. Наполнена цереброспинальной жидкостью. По некоторым данным, до 4% населения имеют арахноидальные кисты головного мозга. Однако клинические проявления наблюдаются лишь в случае большого скопления жидкости в кисте, что может быть связано с продукцией ликвора выстилающими полость кисты клетками. Резкое увеличение размеров кисты угрожает ее разрывом, приводящим к смертельному исходу.
Киста шишковидной железы (пинеальная киста) — кистозное образование эпифиза. Отдельные данные свидетельствуют о том, что до 10 % людей имеют малые бессимптомные пинеальные кисты. Кисты диаметром более 1 см отмечаются намного реже и могут давать клиническую симптоматику. При достижении значительных размеров, киста шишковидной железы способна перекрывать вход в водопровод мозга и блокировать ликвороциркуляцию, обуславливая окклюзионную гидроцефалию.
Коллоидная киста составляет около 15-20% внутрижелудочковых образований. В большинстве случаев располагается в передней области III желудочка, над отверстием Монро; в отдельных случаях — в IV желудочке и в районе прозрачной перегородки. Наполнение коллоидной кисты отличается большой вязкостью. Основу клинических проявлений составляют симптомы гидроцефалии с приступообразным нарастанием цефалгии при определенных положениях головы. Возможны поведенческие расстройства, снижение памяти. Описаны случаи возникновения слабости в конечностях.
Дермоидная киста (эпидермоид) является аномалией эмбрионального развития, при которой клетки, дающие начало коже и ее придаткам (волосам, ногтям), остаются внутри головного мозга. Содержимое кисты наряду с жидкостью представлено элементами эктодермы (волосяными фолликулами, сальными железами и т. п.). Отличается происходящим после рождения быстрым увеличением в размерах, в связи с чем подлежит удалению.
Диагностика
Клиническая симптоматика и данные неврологического статуса позволяют неврологу заподозрить наличие интракраниального объемного образования. Для проверки слуха и зрения пациент направляется на консультацию отоларинголога и офтальмолога; проводится аудиометрия, визиометрия, периметрия и офтальмоскопия, на которой при выраженной гидроцефалии отмечаются застойные диски зрительных нервов. Повышенное внутричерепное давление можно диагностировать при помощи эхо-энцефалографии. Наличие эпилептических пароксизмов является показанием к проведению электроэнцефалографии. Однако, опираясь лишь на клинические данные, невозможно верифицировать кисту от гематомы, абсцесса или опухоли головного мозга. Поэтому при подозрении на объемное образование мозга необходимо применение нейровизуализирующих методов диагностики.

КТ головного мозга. Определяются кисты посттравматического характера в передних отделах обеих лобных долей
Использование УЗИ позволяет выявить некоторые врожденные кисты еще в период внутриутробного развития, после рождения ребенка и до закрытия его большого родничка диагностика возможна при помощи нейросонографии. В дальнейшем визуализировать кисту можно посредством КТ или МРТ головного мозга. Для дифференцировки кистозного образования от опухоли мозга эти исследования проводят с контрастированием, поскольку в отличие от опухоли, киста не накапливает в себе контрастное вещество. Для лучшей визуализации кистозной полости возможно введение в нее контраста путем пункции кисты. В отличие от МРТ, КТ головного мозга дает возможность судить о вязкости содержимого кисты по плотности ее изображения, что учитывается при планировании хирургического лечения. Основополагающее значение имеет не только установление диагноза, но и непрерывное наблюдение за кистозным образованием для оценки изменения его объема в динамике. При постинсультном генезе кисты дополнительно прибегают к сосудистым обследованиям: дуплексному сканированию, УЗДГ, КТ или МРТ сосудов головного мозга.
Лечение кист головного мозга
Консервативная терапия малоэффективна. Лечение возможно только хирургическим путем. Однако большинство кист не нуждаются в активном лечении, поскольку имеют малый размер и не прогрессируют в размере. В отношении их проводится регулярное динамическое наблюдение при помощи МРТ- или КТ-контроля. Нейрохирургическому лечению подлежат кисты, клинически проявляющиеся симптомами гидроцефалии, прогрессивно увеличивающиеся в размере, осложненные разрывом, кровотечением, сдавлением мозга. Выбор метода операции и хирургического подхода осуществляется на консультации нейрохирурга.
В случаях тяжелого состояния пациента с расстройством сознания (сопор, кома) в экстренном порядке показано наружное вентрикулярное дренирование для уменьшения внутричерепного давления и сдавления мозга. В случае развития осложнений в виде разрыва кисты или кровоизлияния, а также при паразитарной этиологии кисты хирургическое вмешательство выполняется с целью радикального иссечения кистозного образования; хирургическим доступом является трепанация черепа.
В остальных случаях операция носит плановый характер и осуществляется преимущественно эндоскопическим способом. Преимуществом последнего является малая травматичность и укороченный восстановительный период. Для его осуществления необходимо лишь фрезевое отверстие в черепе, через которое выполняется аспирация содержимого кисты. С целью предупреждения повторного скопления жидкости в кистозной полости производится ряд отверстий, соединяющих ее с ликворными пространствами мозга, или осуществляется кистоперитонеальное шунтирование. Последнее предполагает имплантацию специального шунта, по которому жидкость из кисты поступает в брюшную полость.
В послеоперационном периоде проводится комплексная реабилитационная терапия, в которой при необходимости принимают участие нейропсихолог, врач ЛФК, массажист, рефлексотерапевт. Медикаментозная составляющая включает рассасывающие средства, препараты, улучшающие кровоснабжение и метаболизм головного мозга, противоотечные и симптоматические медикаменты. Параллельно с целью восстановления мышечной силы и чувствительной функции, адаптации пациента к физическим нагрузкам, проводится физиотерапия, ЛФК, массаж, рефлексотерапия.
Прогноз
Клинически незначимая замершая киста головного мозга в большинстве случаев сохраняет свой непрогрессирующий статус и никак не беспокоит пациента в течение жизни. Своевременно и адекватно проведенное хирургическое лечение клинически значимых кист обуславливает их относительно благоприятный исход. Возможен остаточный умеренно выраженный ликворно-гипертензионный синдром. В случае формирования очагового неврологического дефицита он может иметь стойкий резидуальный характер и сохраняться после проведенного лечения. Эпилептические пароксизмы зачастую проходит после удаления кисты, но затем часто возобновляются, что обусловлено формированием спаек и другими изменениями прооперированной области мозга. При этом вторичная эпилепсия отличается резистентностью к проводимой антиконвульсантной терапии.
Профилактика
Поскольку приобретенная киста головного мозга зачастую является одним из вариантов разрешения инфекционных, сосудистых, воспалительных и посттравматических интракраниальных процессов, то ее профилактикой является своевременное и корректное лечение указанных заболеваний с применением нейропротекторной и рассасывающей терапии. В отношении врожденных кист профилактикой служит охранение беременной и плода от влияния различных вредоносных факторов, корректное ведение беременности и родов.
Читайте также:
- Техника бокового межтелового спондилодеза поясничного отдела позвоночника
- Причины боли на тыле стопы. Диагностика и лечение
- Показания для дренирования псевдокисты поджелудочной железы в тощую кишку
- Техника, этапы операции подмышечной транспозиции локтевого нерва
- Профессиональная заболеваемость и заболевания в нашей стране
