Эндоскопическая передняя шейная декомпрессия межпозвонкового отверстия (операция Джо) - показания
Добавил пользователь Дмитрий К. Обновлено: 21.11.2025
Эндоскопическое удаление грыжи шейного отдела позвоночника — это минимально инвазивное хирургическое вмешательство, которое позволяет полностью удалить выпавший фрагмент дискового материала, а также избежать установки имплантов и межтеловых кейджей для стабилизации позвоночного сегмента. Операция выполняется через небольшой разрез на коже, который не превышает 7-8 мм, что исключает заметные рубцы на коже после хирургического вмешательства и сложную реабилитацию. Спинальный нейрохирург работает с современной эндоскопической техникой перед монитором с высоким видеоразрешением. Изображение на экране многократно увеличивается, хороший визуальный обзор делает эндоскопическое удаление грыжи шейного отдела максимально контролируемой процедурой. Выпавшие фрагменты дискового материала удаляются деликатно — без повреждения сосудов, нервных окончаний, мышечных волокон и костно-хрящевых структур. Продолжительность эндоскопической операции — 30-90 минут. После хирургического вмешательства боль проходит сразу, и уже через несколько часов пациент может сидеть и ходить.
Эндоскопическая операция на позвоночнике проводится по медицинским показаниям нейрохирурга, поскольку решение о целесообразности данного метода принимается врачом после изучения данных МРТ, клинической картины заболевания и анамнеза конкретного пациента. Если у вас обнаружена данная патология, то на вопрос, как лучше лечить грыжу шейного отдела позвоночника, сможет ответить опытный нейрохирург, владеющий разными методиками. К интервенционному лечению боли (без операции), микрохирургическим или эндоскопическим методам лечения грыжи шейного отдела прибегают в случае, если консервативная терапия оказалась неэффективной. При секвестрации грыжи и проявлении опасной неврологической симптоматики (онемении, слабости конечностей, функциональных нарушений в работе внутренних органов) может потребоваться срочное оперативное вмешательство.
Симптомы грыжи шейного отдела позвоночника
Межпозвонковая грыжа представляет собой смещение или выпадение фрагментов диска (пульпозного ядра или элемента окружающего его разорванного фиброзного кольца) в позвоночный канал. Компрессия нервных корешков и окончаний при этом вызывает боль и дискомфорт.
Причины межпозвонковой грыжи на уровне С1-С7 могут быть разнообразными: от генетической предрасположенности к дегенеративным заболеваниям опорно-двигательного аппарата до внешних травм и неправильных биомеханических паттернов (резких поворотов головы, систематических чрезмерных нагрузок).
К симптомам грыжи шейного отдела позвоночника относятся:
- неожиданная острая боль в шее;
- продолжительный и сильный болевой синдром в шее, который не поддается консервативной анальгезии;
- корешковый синдром (защемление нервных корешков), локализованный преимущественно в плечевом поясе;
- стеноз позвоночного канала;
- слабость, онемение, парез (частичный паралич) рук;
- атрофия мышц;
- нарушение координации движения;
- головокружения и головные боли;
- снижение когнитивных функций, ухудшение памяти.
Эти симптомы могут указывать на наличие межпозвонковой грыжи. Необходимо сделать МРТ, чтобы опровергнуть или подтвердить диагноз. Если обнаружена грыжа, но беспокоит она не сильно, и пациент еще не лечился консервативно, следует обратиться к неврологу. Если боль стала хронической, а симптоматика невыносимой, следует не теряя времени проконсультироваться с нейрохирургом для определения дальнейшей тактики лечения.
Особенность удаления грыжи шейного отдела позвоночника
Грыжи шейного отдела позвоночника встречаются реже, чем поясничные, и удалить их сложнее. Во-первых, этот отдел позвоночника отличается высокой подвижностью. Во-вторых, эстетические последствия хирургического вмешательства труднее скрыть. В-третьих, архитектура шейного отдела позвоночника пронизана сетью тончайших нервных сплетений и сосудов, питающих спинной и головной мозг, а сами позвонки меньше, чем в грудном или пояснично-крестцовом сегменте. Цена ошибки или неточности при выполнении такой операции велика. В этой связи предпочтение отдается эндоскопической операции на позвоночнике по удалению грыжи. Однако такая операция возможна, к сожалению, не всегда. Например, при наличии остеофитов в шейном отделе, значительного стеноза канала, которые выявляются по результатам КТ (компьютерной томографии), существует риск дестабилизации позвоночного сегмента в будущем. Поэтому целесообразнее в данном случае может быть микрохирургическая операция с установкой импланта или фиксирующего межтелового кейджа. На выбор того или иного метода удаления грыжи шейного отдела позвоночника влияет также локализация патологии и тип хирургического доступа, который возможен в данном случае, а также размер и специфика грыжевого образования.
Как проходит операция по эндоскопическому удалению грыжи шейного отдела
Нейрохирург делает небольшой (7 мм) надрез на задней поверхности шеи. Под контролем рентгена в рану устанавливается рабочий порт, в который вводится эндоскоп диаметром 6 мм, оснащенный микрощипцами, микрокамерой, световым и промывным каналами. Грыжа удаляется под детализированным визуальным контролем. В ходе вмешательства нейрохирург аккуратно раздвигает прилегающие мышцы, связки и волокна мягких тканей, не травмируя их. Чтобы получить доступ в позвоночный канал и провести декомпрессию спинномозгового корешка, выполняется небольшая фораминотомия (расширение межпозвонкового отверстия). После эндоскопического удаления грыжи шейного отдела, то есть очищения позвоночного канала, боль проходит сразу. Нейрохирург наносит единственный шов, который снимается через 10 дней. Подвижность возвращается в тот же день. Срок госпитализации — 1 сутки, после чего врач выписывает пациента из клиники домой с несложными рекомендациями по восстановлению. Восстановление проходит комфортно, поэтому в течение месяца пациент может вернуться к работе и привычной жизни.
Преимущества эндоскопического удаления грыжи шейного отдела позвоночника
Почему, оказавшись в ситуации выбора, лучше сделать эндоскопическую операцию по удалению грыжи в шейном отделе позвоночника?
- Не нужно дополнительно устанавливать фиксирующий межтеловой кейдж или имплант.
- Подвижность прооперированного сегмента позвоночника полностью сохранятся.
- Сохраняется целостность самого межпозвонкового диска (не нужно делать дисэктомию).
- Исключается развитие синдрома смежного сегмента.
- Отсутствуют риски повреждения нервных окончаний, сосудов и мышечных волокон.
- Высокая контролируемость.
- Хороший косметический эффект (отсутствуют заметные рубцы, что может быть особенно важно для пациентов с индивидуальной склонностью к келоидным и гипертрофическим рубцам кожи).
Декомпрессия позвоночника: как проводится операция, показания и осложнения
Микрохирургическая декомпрессия позвоночника - это хирургическое лечение с применением оптических интраоперационных приборов, направленное на устранение компрессии нервно-сосудистых структур позвоночного канала. Для освобождения сдавленных спинальных нервных образований и кровеносных сосудов в нейрохирургической практике применяются малотравматичные методы с высокой степенью визуализации оперируемого поля. Современная операция по декомпрессии позвоночного канала осуществляется через минидоступ, размером от 1 см до 4 см.
Дренирование после операции избавляет от отека.
Компрессионно-вертебральный синдром включает в себя серьезные неврологические расстройства. Они сопровождаются мучительными локальными и/или отраженными болями в спине и других участках тела, нарушениями чувствительных и опорно-двигательных функций конечностей, дисфункцией внутренних органов, в частности органов малого таза. Эти симптомы чаще вызывают дегенеративно-дистрофические заболевания (запущенный остеохондроз в 80%), посттравматические осложнения и опухоли, которые спровоцировали сужение полости спинномозгового канала. Как следствие, на нервные волокна и сосуды начинает воздействовать фактор патологического давления и тканевой травматизации, что выражается вышеперечисленными признаками.

Стеноз шейного отдела вследствие грыжевого выпячивания.
С лечением компрессии шейного отдела позвоночника, пояснично-крестцового или грудного, медлить нельзя! Долгое компрессионное воздействие может вызвать гибель жизненно важных структур, в итоге привести к параличу рук или ног, тяжелым необратимым мозговым нарушениям, критической несостоятельности мочеполовой системы, сердца, дыхательного центра. Профессионально оценить всю серьезность клинического случая, грамотно рекомендовать тот или иной вид терапии, может - невролог, нейрохирург, ортопед.
Декомпрессия всегда назначается сугубо при веских обстоятельствах, когда существуют:
- угрожающие жизни и трудоспособности человека спинальные диагнозы, расстройства ЦНС;
- стойкое или прогрессирующее угнетение двигательных функций костно-мышечного аппарата, несмотря на пройденный курс комплексного консервативного лечения;
- постоянные или часто возобновляющиеся выраженные боли, которые не купируют лекарства или все возможные безоперационные способы;
- расстройства дефекации, мочеиспускательного акта, половой системы.
Вмешательство заключается в хирургическом устранении патологических дефектов, вызывающих перекрытие канала позвоночника, сдавливание нервных и сосудистых образований. Это могут быть межпозвонковые грыжи, краевые костные разрастания позвонков, гипертрофированные связки, доброкачественные или злокачественные новообразования, гематомы, спайки.
Эффективность декомпрессии
В большинстве случаев микрохирургическая операция, цена на нее составляет от 60 тыс. до 200 тыс. рублей, позволяет достичь существенного облегчения состояния больного. Шансы на полноценное восстановление при условии своевременного ее проведения, достаточно высокие. Основная часть манипуляций (70%-80%) выполняется на поясничных уровнях, так как зона поясницы характеризуется как самая нагруженная и подвижная часть хребта, легкоуязвимая дегенерациям и травмам. Второй по распространенности областью для осуществления декомпрессий выступает шея.
Примерно 95% пациентов, поступивших изначально в стационар с ущемлением нерва шейного и поясничного отдела, после декомпрессии выписываются с заметными функциональными улучшениями. Многие их них отмечают ощутимое сокращение болевого синдрома и мышечной слабости конечностей уже в первые часы, сутки/двое после перенесенной операции. Примерно у 3% сохраняется симптоматика в неизменном виде, у 1%-2% наблюдается ухудшение состояния.
Озвученные проценты эффективности здесь учитывают весь комплекс возможных патологий, подлежащих в целом декомпрессионной микрохирургии. Поэтому прогностические данные могут отличаться в зависимости от конкретного диагноза, исходного неврологического статуса, индивидуальных особенностей организма, способа и категории сложности вмешательства.
Декомпрессивно-стабилизирующая хирургия
Декомпрессивные операции иногда сочетаются с имплантацией стабилизирующей системы, если есть необходимость устранения или предупреждения нестабильности позвонков. Фиксация (стабилизация) после освобождения нервно-сосудистых образований подразумевает скрепление предрасположенных к анормальному смещению позвонков специальными конструкциями и имплантатами неподвижного или динамического типа.
Неподвижная тактика соединения - это укладка в межпозвонковое отверстие костного трансплантата или кейджа для обездвиживания и формирования спондилодеза (сращения) двух и более позвонков с последующей фиксацией стабилизированного участка титановой металлоконструкцией. Костный материал для пересадки обычно берется у пациента из гребня повздовшной кости, реже применяют аллотрансплантаты.

Динамическая стабилизация - имплантация протезных устройств, которые надежно стабилизируют патологическую зону, но не блокируют полностью подвижность между телами позвонков. Диапазон движений не будет выходить за порог физиологически допустимых значений.
Как проходит операция
Удаление образований, сдавливающих позвоночный канал и нарушающих проводящие функции спинного мозга, возможно посредством двух способов:
- под контролем микроскопа и микрохирургического инструментария;
- при помощи эндоскопической системы.
Цели и задачи у этих двух процедур одинаковые, отличает же их друг от друга степень инвазивности, техническая составляющая процесса, некоторые расхождения в показаниях.
Эндоскопический вид
Эндоскопическая операция в нейрохирургии позвоночника применяется сравнительно недавно, за рубежом ее начали внедрять в средине 90-х, в России только спустя 10 лет. Эндоскопия по поводу декомпрессии - это самая миниинвазивная методика резекции патологических тканей через незначительный разрез (1-1,5 см) с использованием телескопического зонда и комплекта инструментов, которые вводятся в его рабочую полость. Сеанс длится в среднем 45 минут. На реабилитацию уходит примерно 60 суток.

Во время операции.
Методика, когда хирург производит резекционные мероприятия через тонкую эндоскопическую трубку диаметром всего в 6-8 мм, является наиболее корректной по отношению к здоровым кожным и окружающим мышечно-связочным структурам. Благодаря этому пациент легче и быстрее переносит восстановительные этапы.
Эндоскопия предельно минимизирует риски интра- и послеоперационных осложнений за счет высочайших возможностей увеличения операционного поля с четкой передачей его изображения на хирургический монитор в реальном времени. Оперативное вмешательство с эндоскопом также располагает уникальными способами доступа:
- TESSYS (трансфораминальный);
- CESSYS (переднелатеральный);
- iLESSYS (дорзальный, дорзолатеральный) и другими высокоперспективными в плане безопасности и минимальной инвазивности технологиями.

Составить представление о том, как эндоскопическим методом производится освобождение сдавленных составляющих элементов нервной и кровеносной системы в позвоночнике, вам поможет информация:
- Как правило, операция проходит под местной анестезией, но возможно и использование общего эндотрахеального наркоза.
- Далее следует обработка антисептическим раствором кожных покровов спины, если доступ создается сзади. На коже в проекции места поражения выполняется маленький разрез (не более 1,5 см) скальпелем.
- В созданное отверстие под контролем ЭОП в безопасную зону позвоночного пространства вводится дилататор (расширитель), затем по нему вводится рабочая гильза, и уже через гильзу устанавливают трубку эндоскопа. В основном приборе подключают камеру и световод.
- Под многократно увеличенным видеонаблюдением, используя сменные инструменты, которые помещаются внутрь эндоскопа, хирург выполняет необходимые манипуляции. Специалист аккуратно удаляет источник компрессионного синдрома, например, остеофиты костными кусачками, грыжу диска микрощупом. Таким образом, достигается декомпрессия нервов или сосудов, которые смогут восстановиться уже в скором времени.
- Иссеченные структуры выводятся через отсек эндоскопической системы, полость позвоночного канала тщательно промывается физиологическим раствором от хирургического «мусора». Далее прибор извлекается, после чего ранку дезинфицируют и накладывают на нее несколько швов.
Эндоскопия противопоказана при наличии сильно выраженного бокового и циркулярного стеноза, двусторонней каудогенной хромоты, грубых парезов, медианных грыж, опухолей паравертебральной локализации. Установка стабилизирующих устройств в большинстве случаев - невыполнимая задача при этой тактике.
Операция с микроскопом
Операция под микроскоп-контролем признана наиболее удачной и продуктивной тактикой декомпрессивной хирургии. Она позволяет осуществлять более широкий спектр манипуляций при огромном количестве диагнозов, в отличие от эндоскопического лечения. Что касается визуализации, то современные микроскопы обеспечивают 40-кратное увеличение, а это удовлетворяет на 100% всем требованиям для высокоточного проведения хирургических манипуляций на любом из отделов позвоночного столба.
К тому же, операциям с микроскопом подвластны всевозможные реконструктивные и стабилизирующие мероприятия различной степени сложности. Операционная агрессия гораздо меньше, чем при классических открытых вмешательствах, поэтому данная технология причисляется тоже к разряду малоинвазивной нейрохирургии. Разрез для качественной реализации микрохирургической декомпрессии на 1-ом уровне составляет около 3-4 см, анестезиологическое обеспечение - только общий наркоз. Длится процедура от 1 до 3 часов. Продолжительность послеоперационного восстановления составляет в среднем 2-3 месяца.
Каким образом для расширения позвоночного канала, где оказались зажатыми невральные структуры, выполняется широко практикуемый способ оперативного вмешательства с микроскопом, опишем далее.
- Пациента вводят в глубокое состояние сна посредством ингаляционной многокомпонентной анестезии.
- В районе стенозирующего очага создается наиболее выгодный доступ, чтобы по максимуму оставить интактными структуры опорного позвоночного комплекса.
- Отслеживая через сверхмощный микроскоп ход хирургического процесса, микрохирург отодвигает в безопасное место защемленный нерв.
- С помощью миниатюрных инструментов (боров, кусачек и пр.) специалист удаляет те части суставов, связок, позвонков, хрящевой ткани, которые чрезмерно разрослись и привели к компрессии. При необходимости позвоночник стабилизируют имплантатами.
- На завершающем этапе рану промывают, дезинфицируют и ушивают косметическим швом.
Пациенту обычно разрешается вставать и ходить уже ближе к вечеру после процедуры или на следующее утро. Минимальный срок госпитализации - 4 суток.
Тренажер для декомпрессии не альтернатива операции
При запущенных неврологических и функциональных расстройствах эффективным может быть только операция. Никакие безоперационные методы не способны полноценно расширить позвоночный канал и навсегда вызволить нервно-сосудистые структуры от гнета сформировавшихся дегенераций, новообразований. Имея сложный диагноз, на чудодейственный эффект от популярных тренажеров для декомпрессии уповать бессмысленно. На них уместно проходить декомпрессивную терапию исключительно при дегенеративно-дистрофических патологиях в неосложненных формах проявления, например, при начальной и средней стадии остеохондроза, протрузиях диска.
Если в больном позвоночнике сформировалась крупная грыжа или появились грубые массивные костные наросты на суставах и позвонках, которые и явились провокаторами нелегкого нейрогенного патогенеза, они не рассосутся и не пропадут, как не растягивай позвоночник на тренажере. Даже если вдруг противокомпрессионный эффект и произойдет, рецидивов в таких сложных ситуациях, к сожалению, не избежать. Кроме того, знаменитые декомпрессионные и антигравитационные тренажерные системы некоторым пациентам могут серьезно навредить, к примеру:
- легко травмировать ослабленные болезнью мышцы, сухожилия, связки;
- усилить прогрессию развития имеющейся патологии, усугубить и без того тяжелую симптоматику;
- спровоцировать еще какую-нибудь патологию скелетно-мышечного комплекса.
Нельзя, конечно, полностью отрицать пользу специальных тренажеров, они вполне могут сослужить для избранной категории людей неоценимую пользу, а именно:
- разгрузить позвоночник;
- повысить эластичность, выносливость мышц;
- снизить отечность нервного корешка, уменьшить болевой синдром.
Но только в том случае, если назначенные специалистом тренировки не идут в расход с показаниями и противопоказаниями. Поэтому разрешение и направление на подобные занятия вы должны получить исключительно у узкопрофильного врача высокого уровня. Проходите их только под наблюдением опытного инструктора по кинезитерапии с отменными рекомендациями.

Шрам после операции.
Заключение
Обязательно примите к сведению, что операция микрохирургической декомпрессии, когда она явно показана, - неизбежная и единственная эффективная мера лечения. Микрохирургия способна окончательно избавить от адской боли, функционального разлада работоспособности органов движения, вернуть утраченное качество жизни, причем зачастую на уровень здорового человека. Но доверять оперировать свой позвоночник необходимо только передовому хирургу!
Гарантированно пройти лечебно-хирургический сеанс качественно и без последствий доступно в Чехии, к тому же, в этой стране самые низкие цены в Европе на соответствующую категорию медпомощи. Чешские врачи спинальной микрохирургии и реабилитации - одни из первых в мире, кто заслуживает высочайшее доверие и уважение.
Операция на шейном отделе позвоночника: опасность, показания, хирургические техники, отзывы
Шейный (цервикальный) отдел - самая подвижная часть позвоночной системы, имеющая изначально узкий позвоночный канал и богатую нервно-сосудистую сеть. Его позвонки отличаются мелкими размерами и специфичным строением, при этом мышечный каркас, который осуществляет поддержку и работоспособность шейных элементов позвоночника, анатомически недостаточно сильный и выносливый. Все это объясняет широкую распространенность возникновения именно в этой хребтовой зоне различного рода дегенераций и травматических повреждений, характеризующихся яркой неврологической симптоматикой.

Строение шейного отдела позвоночника.
Однако большую тревогу вызывает тот факт, что шейные патологии часто сопровождают очень серьезные последствия, среди которых парез и паралич конечностей (особенно рук). Кроме того, запущенные формы болезней могут провоцировать тяжелую дыхательную недостаточность, стремительное ухудшение зрения и слуха, острое нарушение кровообращения в тканях головного мозга и пр. Поэтому лечение цервикальной зоны позвоночного столба предельно важно начинать как можно раньше, как только человек почувствовал первый дискомфорт в соответствующей области.
В противном случае заболевание примет агрессивный характер, что приведет к сильному сужению спинального канала, защемлению нервных корешков и/или пережиму артерий, возможно, к поражению спинного мозга со всеми вытекающими последствиями. Тяжелые состояния лечатся исключительно хирургическим путем.

Ущемление позвоночного канала вледствие выпячивания диска.
Вид оперативного вмешательства подбирается с учетом показаний. Отказываться от операции, если вам она рекомендована, нельзя. Вовремя неразрешенная проблема посредством хирургии грозит инвалидностью, причем иногда необратимой. Многие думают, что вторжение в позвоночник очень опасно, однако помните, что намного опаснее бояться операцию, в связи с чем откладывать ее на потом. Загляните в интернет, там выложено много видео, которые содержательно и наглядно показывают, как выполняется та или иная операция. Вы убедитесь, современная спинальная хирургия шагнула далеко вперед. Действующие сегодня уникальные методики, что подтверждают отзывы пациентов и клинические данные наблюдений, отличаются:
- высокой эффективностью (от 90% и выше);
- минимальной степенью травматизации анатомических структур;
- максимальной сохранностью нормальных функциональных возможностей оперируемого участка;
- незначительной вероятностью интра- или послеоперационных осложнений (в среднем до 5%);
- коротким сроком госпитализации (срок, когда выписывают из стационара, в большинстве случаев наступает в периоде между 3-10 сутками);
- относительно терпимым в плане болевых ощущений и не сильно продолжительным послеоперационным восстановлением (2-3 месяца).
Виды операций на шейном отделе позвоночника
Забегая немного вперед, отметим, что после любого типа операции необходимо провести восстановление, при этом очень качественно и полноценно. От вашей послеоперационной реабилитации, где особое место занимает лечебная гимнастика, будет зависеть окончательный результат хирургического лечения. Примите к сведению следующую информацию: отзывы квалифицированных специалистов дают вразумительно понять, что результаты даже самой успешной операции будут аннулированы, если после нее не последует грамотная и своевременная реабилитация.
Среди существующих хирургических методик, используемых с целью восстановления функциональности шейного отдела, наибольшее распространение обрели декомпрессионные тактики. Их применяют при компрессионном синдроме, то есть когда патологический дефект, возникший в пределах С1-С7 позвонков, производит давление на нервные корешки, артерии, спинной мозг и прочие структуры в соответствующей зоне. С целью декомпрессии довольно часто задействуются следующие методики:
- - иссечение межпозвоночной грыжи с неполным или тотальным удалением межпозвоночного диска, выполняется под контролем микроскопа; - частичная или полная резекция дужки позвонка, остистых отростков, фасеточных суставов, связок; - методика с использованием эндоскопа, реализуемая через миниатюрный доступ, назначается часто при грыжах, многих дегенеративно-дистрофических изменениях, опухолях; - «выпаривание» при помощи лазерного световода небольшого фрагмента ткани пульпозного ядра для втяжения образовавшейся протрузии диска (доступ осуществляется через пункционный прокол).
На шейных уровнях применяются и стабилизирующие тактики оперативных вмешательств, каждая из которых, кстати, может идти совместно и с другими видами операций. Наиболее популярные из стабилизирующих методов:
- - неподвижное соединение (сращивание) двух или более позвонков при их нестабильности;

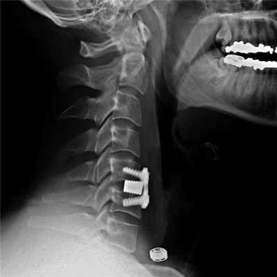
Импланты шейного отдела позвоночника на рентгене.
Реабилитация и восстановление после операции
Оперативное вмешательство на шее - это средство устранить главный повреждающий фактор (грыжу, остеофиты, опухоль и пр.). Полностью привести в порядок все двигательно-опорные возможности, функции ЦНС и отдельных органов, что пострадали во время болезни, а также ускорить регенерацию тканей после операционной травмы, поможет вам уже сугубо комплексная реабилитационная терапия. Очередная роль правильно организованного восстановительного процесса после манипуляций на шейном отделе - предупредить развитие всех возможных осложнений (мышечной атрофии, рубцов и спаек, инфекций и пр.), в том числе рецидивов основной болезни и появление новых дегенераций на других уровнях.
В среднем на полное восстановление уходит от 2 до 3 месяцев после произведенного сеанса хирургии. Длительность периода реабилитации зависит от тяжести клинического случая, примененного вида и масштабов вмешательства, индивидуальных особенностей организма больного, наличия/отсутствия осложнений. Поэтому в особых ситуациях реабилитацию требуется продлить и до полугода. После любой процедуры показана на определенный срок иммобилизация шеи, как правило, она заключается в ношении специального ортопедического воротника. В основной период реабилитации противопоказано делать резкие движения, прыгать и бегать, нельзя допускать вращений головой, интенсивных наклонов и поворотов шеи, махов и рывков руками и ногами, поднятие тяжестей выше 3 кг.
В раннюю послеоперационную фазу всегда прописываются по показаниям противотромбозные и антибактериальные препараты, противоотечные и обезболивающие средства, определенные физиотерапевтические процедуры. С первых дней назначается щадящий комплекс ЛФК, который по мере восстановления дополняется более сложными и активными элементами физических нагрузок. Планированием физической реабилитации (подбором сеансов физиотерапии, лечебной физкультуры и пр.) должен заниматься исключительно специалист! На поздних этапах показаны занятия в воде (аквагимнастика, плавание) и массаж, по завершении реабилитации рекомендуется продолжить восстановление в течение 14-30 суток в санатории.
Операция при стенозе шейного отдела позвоночника
Под стенозом шейного отдела принято обозначать патологическое сужение просвета позвоночного канала, где располагается одна из главных структур ЦНС - спинной мозг. При данной патологии зачастую необходимо срочно вовлекать нейрохирургию, так как она опасна критическим неврологическим дефицитом и вегетативными расстройствами. Цервикальная стриктура может привести к ишемии головного и спинного мозга, параличу верхних конечностей (могут пострадать и ноги) и даже к парализации всей части тела ниже пораженной области.

Запущенные остеофиты шейного отдела.
Первопричиной стеноза шейного отдела в доминирующем количестве случаев является последней стадии остеохондроз, операция при спинальном сужении рекомендуется как спасение от тяжелой инвалидизации больного. Стоит заметить, что остеохондроз нами указан как обобщающее понятие, включающее широкий спектр заболеваний, которым положил начало именно данный дегенеративно-дистрофический патогенез. В группу патологий, которые развились на почве запущенного остеохондроза, относят межпозвоночные грыжи, краевые разрастания на позвонках, спондилоартроз, окостенения связок и многие другие.
Если клиника симптомов не поддается консервативной терапии или неинвазивные способы не могут быть задействованными ввиду сильно прогрессирующего стеноза, назначается операция. Вмешательство предполагает использование декомпрессионной ламинэктомии под общим наркозом. При комбинированной проблеме, например, вместе с грыжей, ее сочетают с микродискэктомией и спондилодезом. При спондилодезе осуществляют скрепление смежных позвонков металлическими фиксаторами (стержнями, пластинами, крючками и пр.), установку межтеловых имплантатов или вживление костного трансплантата с металлической гильзой.

Установка металлической конструкции.
Хирургическая процедура при стенозе шейного отдела относится к травматичной и долгой (до 3 часов) операции. Однако ее польза при тяжелых диагнозах неоспорима: пациенты, страдающие в дооперационном периоде от нестерпимых корешковых болей, парестезий и пареза конечностей, в большинстве случаев существенное облегчение начинают ощущать уже на следующий день. Конечно, еще какое-то время, для максимального разрешения проблемы, потребуется интенсивная послеоперационная терапия. Риск отсутствия эффекта незначителен (3%). Малоэффективной или полностью неэффективной процедура может быть в редких ситуациях, причем вероятность неудовлетворительного исхода возрастает в разы (до 15%-20%), если спинномозговая компрессия длилась годами.
Где какие цены?
И, наконец, мы подошли к освещению не менее интересующего всех вопроса: сколько стоит операция на шейном отделе позвоночника и где делают ее на подобающем уровне. Ценовой диапазон достаточно широкий, на окончательную стоимость влияет разновидность и категория сложности оперативного вмешательства. Например, только одна ламинэктомия будет стоить примерно 20 тыс. рублей, но, как известно, она редко когда применяется самостоятельно. Вместе с ней зачастую требуется провести удаление грыжи, межпозвоночного диска, новообразования и др., что в свою очередь дополняется внедрением имплантационных систем для стабилизации. Таким образом, все хирургические манипуляции в совокупности могут потянуть на 100-400 тыс. рублей.
Теперь, что касается выбора нейрохирургического медучреждения. Если есть возможность, лучше проблему с позвоночником решать за границей - в Чехии, Германии или Израиле. Чешская Республика стоит на первом месте, поскольку ортопедия и нейрохирургия, система реабилитации после подобных вмешательств здесь развиты как нигде лучше.
Во всем мире Чехия ассоциируется с государством, где предоставляется наилучшая хирургическая и реабилитационная помощь людям с любыми заболеваниями позвоночника и всех звеньев опорно-двигательного аппарата, при этом по самым доступным расценкам. Цены в чешских клиниках при отменном профессионализме специалистов в 2 раза ниже, чем в других европейских странах, которые славятся высокоразвитой медициной и системой здравоохранения (Германия, Австрия и пр). А если сравнивать с Израилем или США, то Чехия и их не хуже, но зато ценами в сторону уменьшения отличается уже в целых 3 и более раз.
Если вы вынуждены оперироваться в России, выбирайте ведущие клиники в Москве или Санкт-Петербурге, которые много лет функционируют при НИИ нейрохирургии позвоночника или при институтах травматологии и ортопедии.
Факты об удалении грыжи шейного отдела позвоночника: при каком размере показана операция
Операция по удалению грыжи шейного отдела, согласно статистике, требуется 2% пациентов, имеющих в анамнезе данную патологию с локализацией в шее. И в основном это люди, у которых выпячивание пульпозного ядра превышает 6 мм. Почти в 80% случаев основной причиной грыжевого образования в шейных межпозвонковых дисках является запущенный остеохондроз, или дегенеративно-дистрофический процесс последних стадий, развившийся в очень подвижной и определенно нагруженной анатомической зоне позвоночного столба.

Грыжа шейного отдела на КТ.
Как свидетельствуют официальные медицинские источники и отзывы специалистов, межпозвоночная грыжа в шейно-хребтовой части встречается не так уж и часто, примерно в 6% случаев. Эта цифра указывает на то, что заболевание с такой локализацией по частоте возникновения уступает поясничному отделу, который поражается почти в 15 раз чаще. Недуг преимущественно поражает лиц трудоспособного возраста, людей от 25 до 55 лет.
- По мнению специалистов, эффективно ликвидировать грыжу шейного отдела можно только радикальным хирургическим способом. Да, нередко цена такого вмешательства - лишение позвоночника одной из биологической структуры (всего шейного диска). Но с современными нейрохирургическими технологиями функциональность прооперированного отдела и позвоночника в целом благополучно сохраняется за счет установки инновационных стабилизирующих систем и уникальных имплантатов диска. Эффективность полноценного хирургического лечения составляет 94%-100%. Риск повторного возвращения патологии составляет не более чем 5%, но при условии идеально произведенного удаления.
- Пункционные тактики, вроде выпаривания ядра лазером, хоть и имеют меньшую степень опасности в плане последствий, их результативность намного ниже, чем у проверенных временем полноценных операций. Лазерные методики в 20%-25% случаев не дают эффекта или приводят к ранним повторным рецидивам. У большинства людей, которым выполняли лазерную нуклеопластику, спустя короткий отрезок времени снова на том же месте формируется грыжа, что является поводом для повторной хирургии, причем преимущественно ее уже проводят согласно микрохирургическим и эндоскопическим технологиям.

Грыжа и клювовидные остеофиты, слева рентген, справа МРТ.
Познавательно! Верхняя часть позвоночного столба сильно предрасположена к появлению дегенераций и травм, которые перерастают в сложную проблему в виде дисковых деформаций, поскольку данная зона отличается одновременно и гипермобильностью, и слабо развитым мышечным аппаратом.
Показания к операции: когда нужно удалять
Как несложно понять из вступительной речи, все преимущества на стороне стандартной микродискэктомии, которую можно выполнять под контролем микроскопа или эндоскопа. Это наиболее перспективная методика на сегодняшний день, обладающая наивысшими возможностями при не такой уж и большой инвазии (разрез 1-4 см). Микрохирургия диска назначается при наличии серьезной угрозы жизни и трудоспособности пациента. Ей нет альтернативы, если диагностирован крупный (от 6 мм) размер грыжи, для операции подобного типа руководствуются и другими показаниями. Например, нужно ли оперировать пациента, специалист с большой вероятностью ответит «да» при таких клинических показателях, как:
- длительный и сильный болевой синдром, не поддающийся консервативной анальгезии;
- отсутствие эффекта после 1,5 месяцев качественного курса обычного лечения (физические методы + медикаментозная терапия);
- критическое ущемление нервных корешков и стеноз позвоночного канала; шейного отдела (нужно срочное вмешательство!);
- прогрессирующее снижение двигательных функций верхних или нижних конечностей, плечевого пояса, в том числе парезы рук или ног;
- сосудистые нарушения, в числе которых особую опасность вызывают выраженные нарушения кровообращения головного мозга, что в любой момент может стать причиной инсульта даже у молодых людей.
Что касается лазеролечения, суть которого состоит в целенаправленном прямом воздействии энергией лазера на внутреннее содержимое диска через малюсенький прокол, благодаря чему грыжа не удаляется, а только втягивается, однозначно критиковать такой метод будет неправильно. Он менее распространен ввиду ненадежности, но и у него есть достоинства: успешная декомпрессия лазером практически мгновенно избавляет от боли, нуклеопластика отличается самой минимальной травматизацией, послеоперационное восстановление протекает ускоренными темпами и практически безболезненно. Однако стоит принять к сведению, что, спектр показаний к лазеропластике довольно узкий, поскольку уместной она может быть только если:
- неврологическая симптоматика вызвана грыжей, не превышающей 6 мм;
- целостность фиброзного кольца не нарушена;
- от начала развития патогенеза прошло не более полугода;
- не обнаружены признаки стеноза позвоночника;
- нет грубых расстройств мышечного тонуса;
- отсутствуют парез, паралич рук, ног или других частей тела;
- возраст пациента - не старше 50 лет.
Сложности хирургии шейного отдела
Если вам будет проведена процедура частичного или полного удаления пораженного шейного диска вместе с грыжей, на благополучный эффект от проделанных манипуляций можно рассчитывать сугубо при правильном и строгом соблюдении в дальнейшем индивидуальной реабилитационной программы.
На территории России цена на оперативное пособие, предполагающее резекцию грыжи на любом из шейных уровней, на порядок выше, чем на других участках позвоночника. Объясняется этот факт тем, что провести манипуляции в достаточно непростом по анатомическим параметрам отделе - очень ответственная, повышенной сложности и «ювелирной» точности задача. Ориентировочный диапазон цен на полноценное вмешательство - от 100 тыс. до 300 тыс. рублей. Несложно догадаться, что стоимость будет увеличиваться при сочетании процедуры удаления со стабилизацией (установка эндофиксаторов, протезов, трансплантатов и пр.) прооперированной зоны.
Этот отдел буквально пронизан нервными сплетениями, а также сосудистыми ветвями, питающими одновременно и головной, и спинной мозг. Позвонки шейного сектора имеют мелкие размеры, их отростки снабжены отверстиями, служащими в качестве путей для прохождения вертебральных артерий, которые в свою очередь транспортируют необходимый объем крови к головному мозгу. Повреждения нервов, сосудов, спинного мозга в шейном отделе вызывают довольно серьезные последствия, так как они имеют непосредственную взаимосвязь с органами головы, верхними конечностями, дыхательным центром.
Как несвоевременно выполненная операция по поводу шейной грыжи, так и ошибки хирурга в ходе операционного процесса чреваты тяжелыми двигательными, координационными расстройствами, парезом и парализацией верхних конечностей, параличом диафрагмы, нарушением слуха и зрения, гипоксией мозга и пр.
Процесс операции и ее виды
В зависимости от показаний удалению подлежит либо патологическая выступившая ткань хряща с небольшой частью диска, либо весь видоизмененный межпозвоночный диск. Наиболее продуктивными тактиками, о чем говорят в отзывах специалисты, являются микродискэктомия и эндоскопическая дискэктомия.
При обоих видах операций наиболее применимо создание операционного доступа на передней поверхности шеи, задний доступ практически не используется в нейрохирургической практике в связи с повышенными рисками травматизации нервных корешков и кровеносных сосудов.
- Микродискэктомия - микрохирургическая процедура, предполагающая удаление грыжи шейного отдела под контролем операционного микроскопа, который располагают над оперируемой зоной. Анестезия, как правило, применяется общая. В области проекции проблемного сегмента врач делает разрез (3-4 см), затем осторожно раздвигает мышцы. Чтобы открыть путь к поврежденному диску, производится частичное удаление желтой связки, экономное спиливание края дужки позвонка, после чего открытый нервный корешок аккуратно сдвигается в сторону. Потом, собственно, выполняется удаление элементов пульпозной массы, которые провисли, секвестров, а в случае крайней необходимости диск удаляется тотально. Может понадобиться провести установку позвонковых фиксаторов, выполнить спондилодез или установить межтеловый имплант.
- Эндоскопическая дискэктомия - вид микрохирургии позвоночника, предназначенный в целях резекции грыжи в области шеи, манипуляции при котором выполняются с использованием видеоэндоскопа, введенного внутрь позвоночной полости через естественное отверстие между позвонками. Наркоз при этой операции используется местный. После введения в позвоночник через крохотный разрез (примерно 1 см) эндоскопического зонда начинается процесс тщательного осмотра проблемного участка. Затем в рабочий порт введенного спинального эндоскопа вставляется микрохирургический щуп, которым резецируется смещенная дисковая ткань, захватываются и извлекаются наружу обнаруженные свободные фрагменты хряща. Связочный аппарат и костные структуры, как правило, остаются нетронутыми, при этом диск полностью не удаляется, а только очищается от грыжи.
Внимание! Установку шейных имплантов и стабилизаторов, в чем часто возникает потребность, выполнить эндоскопически невозможно ввиду слишком малого доступа. Для внедрения «заместителей» лишенной части диска или всего диска, стабилизаторов позвонков нужен достаточных размеров доступ, как при микродискэктомии. Не произведенная необходимая стабилизация на уровнях шеи, как показывает клинический опыт, увеличивает риски возникновения нестабильности верхнего отдела позвоночника и формирования повторного грыжеообразования.
Реабилитация после удаления грыжи шейного отдела
На следующий день после оперативного вмешательства разрешается вставать и дозировано ходить, постепенно увеличивая нагрузку. Сразу назначается и начинает внедряться в действие программа восстановления, разработанная индивидуально для каждого отдельного пациента. Одной из особенностей реабилитационного режима является ношение воротника Шанца в течение 2-3 месяцев, сначала его используют круглосуточно, потом постепенно время ношения сокращают до 3 часов в сутки. В течение реабилитации запрещено поднимать тяжести выше 3 кг и делать резкие движения.
Послеоперационное восстановление обязательно предполагает использование медикаментозных препаратов (НПВС, сосудистых средств, витаминов, антибиотиков и пр.). Занятия лечебной физкультурой - важная составляющая часть реабилитации, способствующая предупреждению осложнений (рецидивов в том числе), восстановлению функционального потенциала костно-мышечного аппарата в целом и нормализации работоспособности шеи, плечелопаточного комплекса, конечностей.

Сразу после операции.
В комплексе с медикаментозной терапией и ЛФК прописывается курс физиотерапии. Физиотерапию включают примерно спустя 2 недели после операционных манипуляций, начинают обычно с магнито- и лазеротерапии, а еще через 14 суток вводят электролечение, на завершающих этапах - тепловые и водные процедуры. Прописывается и массаж, поначалу его выполняют только на конечностях, а вот массажные тактики для шейной области могут осуществляться не ранее чем через 1,5 месяца после операции и только профессиональным массажистом-реабилитологом. Через 6-8 недель, когда закончится основной курс реабилитации, рекомендуется санаторно-курортное лечение.
Важно! Хирургическое и реабилитационное лечение должны осуществляться исключительно под контролем хороших специалистов. Правильный подход к лечебному процессу, включая выбор достойного медучреждения по спинальной нейрохирургии и восстановлению, позволит не допустить дооперационных, интра- и послеоперационных осложнений, быстро восстановиться и вернуться к нормальному, активному образу жизни.

3 месяца после операции.
Где делать операцию?
Российские и украинские пациенты больше предпочитают лечиться за границей, где им обеспечат максимальные перспективы на благополучный прогноз. Самым популярным направлением среди отечественных граждан, нуждающихся в качественном удалении грыж шейного отдела и безупречном восстановлении, является Чешская Республика.

Центральный военный госпиталь г.Прага.
В медцентрах Чехии успешно практикуют самые передовые нейрохирургические методики и всегда предоставляют после операции высокоспециализированную реабилитационную помощь в полном объеме. Благодаря высокому профессионализму им удается возвращать к полноценной жизни даже самых тяжелых пациентов, клиническое состояние которых расценивалось в других странах как безнадежное. И что самое приятное, цены на высокотехнологичную хирургию позвоночника в Чехии существенно ниже, минимум в 2 раза, чем в том же Израиле или Германии.
Декомпрессия позвоночника
Тяжелым осложнением ряда заболеваний позвоночника является развитие компрессионно-вертебрального синдрома, т. е. серьезных неврологических расстройств. Это сопровождается мощными болями в спине, способными отдавать в другие части тела, включая ягодицы, ноги, грудь и т. д. Также люди с компрессионно-вертебральным синдромом страдают от нарушения чувствительности и подвижности конечностей, функционирования внутренних органов, в особенности малого таза.
Чаще всего основной причиной развития подобного состояния являются дегенеративно-дистрофические заболевания позвоночника, в частности запущенный остеохондроз. Именно он в 80% случаев приводит к возникновению компрессионно-вертебрального синдрома и характерных для него нарушений. Также сужение спинномозгового канала могут провоцировать опухоли и некоторые изменения в строении позвоночника, обусловленные получением травм разного характера.
Эти факторы оказывают патологическое давление на нервы, кровеносные сосуды, позвоночный канал и другие анатомические образования, что и провоцирует развитие агрессивной неврологической симптоматики. Ее появление является поводом для немедленного принятия мер, поскольку длительное компрессионное воздействие на позвоночник приводит к некрозу важных структур. Следствием этого становится:
- паралич рук, ног;
- необратимые мозговые нарушения;
- несостоятельность мочеполовой системы;
- тяжелые нарушения работы сердца и органов дыхания.
Характер осложнений напрямую зависит от того, в каком отделе позвоночника наблюдается компрессия. В таких ситуациях точно оценить тяжесть состояния больного и подобрать правильную тактику лечения может только высококвалифицированный специалист, в частности, невролог, вертебролог или нейрохирург.

Микрохирургическая декомпрессия позвоночника: что это
Микрохирургическая декомпрессия позвоночника - оперативное вмешательство, направленное на устранение сдавливающих нервно-сосудистые структуры позвоночного канала факторов. Оно подразумевает использование оптических интраоперационных приборов и незначительное травмирование мягких тканей, что существенно уменьшает кровопотери в ходе операции, облегчает и ускоряет реабилитацию, а также позволяет добиться хорошего косметического эффекта.

Современные декомпрессирующие микрохирургические операции выполняются через разрезы размером 1-4 см, а оптическое оборудование обеспечивает высокую степень визуализации операционного поля. Поэтому они принадлежат к числу малотравматичных хирургических вмешательств и при этом позволяют эффективно освобождать сдавленные спинномозговые корешки и кровеносные сосуды.
Суть операции заключается в хирургическом удалении патологических дефектов, которые провоцируют компрессию позвоночного канала, нервных корешков и сосудистых образований. В роли таковых зачастую выступают:
Их удаление позволяет освободить сдавленные нервы и сосуды, что создает предпосылки для их скорого восстановления.

Операция может осуществляться двумя способами: с помощью микрохирургических инструментов под контролем микроскопа или посредством эндоскопического оборудования. Обе техники декомпрессионной операции эффективны, но отличаются степенью травматизации тканей. Каждая из них имеет свои показания к проведению и ограничения. Поэтому выбор тактики декомпрессии позвоночника остается за нейрохирургом.
Эндоскопическая декомпрессионная операция
Этот вид хирургического вмешательства уже давно широко используется по всему миру и признан самым щадящим способом удаления патологически измененных тканей. Он подразумевает выполнение разрезов, размеры которых не превышают 1-1,5 см.

Через них в тело пациента вводится телескопический зонд и эндоскопическая трубка, являющаяся проводником для всего необходимого хирургические инструменты, посредством которых и резецируются измененные ткани в требуемом объеме. Современное оборудование дает возможность добиться высочайшего уровня увеличения операционного поля с высокой четкостью изображения, передающегося с введенной в тело видеокамеры на монитор в режиме реального времени.
Декомпрессия позвоночника эндоскопическим методом признана наиболее щадящей для здоровых мягких тканей. Поэтому она позволяет:
- сократить кровопотери;
- облегчить, а также ускорить процесс восстановления организма;
- минимизировать интра- и послеоперационные риски.
Эндоскопическая операция занимает около 45 минут и может выполняться под местной анестезией. Но при высоком уровне тревожности пациента и ряде других случаев применяют общий эндотрахеальный наркоз.

Декомпрессия позвоночника эндоскопическим методом может осуществляться тремя доступами:
- TESSYS (трансфораминальный) - используется латеральный задний доступ через так называемый треугольник Камбина, при этом пациент лежит на боку или на животе. Он подходит для удаления различных грыж межпозвонковых дисков и в ряде других ситуаций, включая синдром Кауда.
- CESSYS (переднелатеральный) - применяется для устранения патологий шейного отдела и подразумевает создание доступа к позвоночнику через передне-боковую поверхность шеи.
- iLESSYS (дорзальный) - используется для удаления патологических образований в поясничном отделе позвоночника и подразумевает доступ к нему через передне-боковую поверхность живота.
Суть операции заключается в следующем:
- Кожные покровы обрабатываются раствором антисептика, и выполняется разрез в проекции позвонка, провоцирующего развитие неврологической симптоматики.
- Через разрез в безопасную зону позвоночного пространства вводится расширитель под контролем ЭОП. По нему погружается рабочая гильза, сквозь которую проводят трубку эндоскопа. Ее диаметр составляет 6-8 мм. Подключают светодиод и камеру, моментально начинающую трансляцию изображения на монитор.
- Под многократным увеличением с помощью специальных инструментов, вводимых в операционное поле через трубку эндоскопа и сменяемых в ходе операции, нейрохирург выполняет резекцию патологически измененных тканей. Он последовательно устраняет образование, ставшее причиной развития компрессионно-вертебрального синдрома. Так для резекции костных остеофитов используются специальные кусачки, а для удаления грыжи межпозвоночного диска - микрощуп.
- Удаленные фрагменты выводятся из организма посредством специального отсека эндоскопической системы, а образовавшаяся полость тщательно промывается физиологическим раствором.
- Оборудование извлекают, а на послеоперационную рану накладывают швы.
Но эндоскопия может проводиться не во всех случаях наличия компрессионно-вертебрального синдрома. Из-за технических ограничений она не способна решить проблему:
- выраженного бокового и циркулярного стеноза позвоночного канала;
- двусторонней каудогенной хромоты; ;
- грубых парезов;
- паравертебральных опухолей.
Декомпрессионная операция с применением микроскопа
При невозможности проведения эндоскопического хирургического вмешательства или необходимости выполнения ряда сложных манипуляций для декомпрессии позвоночника используется операция с микроскопом. Она признана самой продуктивной тактикой декомпрессионной хирургии и может применяться при огромном количестве самых разнообразных диагнозов.
Современные микроскопы обеспечивают увеличение операционного поля до 40 раз, что на все 100% покрывает потребности хирурга в визуализации и позволяет выполнять каждое действие с высочайшей точностью на всех отделах позвоночника.

Этот вид хирургического вмешательства обладает всеми достоинствами классических открытых операций, но при этом отличается значительно меньшей травматичностью, что позволяет причислить операции с микроскопом к числу малоинвазивных.
Все действия хирург выполняет через разрез около 3-4 см. Хирургическое вмешательство проводится только под общим наркозом и требует от 1 до 3 часов. Его суть можно описать следующим образом:
- Кожные покровы обрабатываются раствором антисептика, и в проекции стенозирующего очага выполняется разрез удобным доступом. Его выбирают так, чтобы максимально защитить от повреждения структуры опорно-двигательного аппарата.
- Следя за каждым своим движением, нейрохирург отводит от выпирающей части позвонка нерв в безопасное место и приступает к удалению фрагментов видоизмененных суставов, связок, позвонков, межпозвонковых дисков и пр.
- При необходимости устанавливается стабилизирующая металлоконструкция.
- Послеоперационную рану промывают, дезинфицируют и накладывают швы.
После операции с микроскопом вставать и самостоятельно передвигаться можно уже в тот же день или на следующий. В стационаре больницы пациенту придется оставаться минимум 4 суток. При отсутствии осложнений его выписывают домой и направляют на прохождение курса реабилитации.
Декомпрессивно-стабилизирующая операция
Часто возникает необходимость сочетать декомпрессионные хирургические вмешательства с установкой стабилизирующей позвонки системы. Это является надежным залогом устранения риска возникновения или уже существующей нестабильности позвонков.

Стабилизирующие операции выполняют вторым этапом после устранения давления на нервно-сосудистые образования. Они заключаются в соединении склонных к смещению позвонков между собой специальными конструкциями жесткой или динамической фиксации, что невозможно эндоскопическим путем. Поэтому при возникновении необходимости в установке стабилизирующей системы декомпрессию позвоночника выполняют посредством операций с микроскопом.
Жесткие стабилизирующие системы
Системы жесткой фиксации подразумевают установку в межпозвонковое пространство костного трансплантата (обычно взятого из подвздошной кости пациента) или специального искусственного кейджа с последующим монтажом на два и более соседних позвонка металлической конструкции. В результате они обездвиживаются и со временем сращиваются между собой, т. е. происходит спондилодез.

Метод позволяет полностью устранить сегментарную нестабильность позвоночника, но при необходимости фиксации одновременно большого количества позвонков провоцирует уменьшение возможной амплитуды движений.
Жесткая стабилизация подразумевает использование техники транспедикулярной фиксации или транскутанной стабилизации. Они очень похожи между собой и отличаются одинаковой эффективностью, но последняя обладает лучшим косметическим эффектом, поскольку все манипуляции осуществляются через точечные проколы мягких тканей.
Суть метода состоит в применении специальных титановых винтов и пластин. Винты вкручиваются в точку пересечения поперечных отростков позвонка с суставными по обеим сторонам позвонка. Таким образом, фиксируется минимум 2 позвонка, хотя в ряде ситуаций требуется стабилизация значительного большего количества позвоночно-двигательных сегментов. Через шляпки винтов пропускают титановую пластину, обеспечивающую жесткость конструкции и распределение нагрузки на нее.

Динамическая стабилизация
Динамическая стабилизация заключается в имплантации конструкций, которые не только надежно фиксируют позвонки в анатомически правильном положении, но и не препятствуют их подвижности в естественных пределах. Это позволяет сохранить полноценную биомеханику позвоночника, но и стоит значительно дороже.

Метод предполагает использования специальных эндопротезов межпозвоночных дисков, которые устанавливаются между остистыми отростками позвонков. Современные эндопротезы производятся из биологически инертных материалов и полностью безопасны для организма. Они могут изготавливаться из титана, полиамида, термопластичных полимеров и т. д., а сочетание различных материалов обеспечивает возможность достижения максимального приближения к нормальной подвижности позвоночника.

Показания к декомпрессии позвоночника микрохирургическим способом
Декомпрессионные операции выполняются при наличии строгих показаний, а именно:
- опасных для трудоспособности и жизни пациента состояниях, расстройствах работы центральной нервной системы;
- стойком или прогрессирующем угнетении двигательных функций, наблюдающихся на фоне проведения консервативной терапии;
- постоянных или часто возникающих сильных болях, которые не удается устранить медикаментозно или даже блокадами позвоночника;
- потеря контроля над процессами дефекации и мочеиспускания;
- стойкая эректильная дисфункция, спровоцированная ущемлением соответствующего спинномозгового корешка.
Эффективность микрохирургической декомпрессии
В подавляющем большинстве случаев с помощью микрохирургической операции удается добиться существенного улучшения состояния пациента. Прогноз во многом зависит от своевременности ее проведения.
70-80% хирургических вмешательств такого рода выполняются на поясничном отделе позвоночника, поскольку именно на него приходится основная нагрузка, что и создает все предпосылки для возникновения дегенеративных изменений и травм. Несколько реже декомпрессия позвоночника микрохирургическим способом выполняется на уровне шейных позвонков.
Надо помнить, что любое хирургическое вмешательство, особенно на позвоночнике, это риск. Поэтому к ним прибегают только в крайних случаях при полной неэффективности консервативных методов лечения.
Согласно медицинской статистике, около 95% пациентов с ущемлением спинномозговых корешков шейного или поясничного отдела после проведения операции отмечают значительное улучшение и повышение уровня подвижности. Большинство пациентов говорят о существенном уменьшении болей и слабости мышц уже в первые часы после процедуры. Остальные отмечают такой положительный эффект спустя сутки или двое.

Только у 3% пациентов с компрессионно-вертебральным синдромом симптомы не уменьшаются, и лишь у 1-2 % людей наблюдается ухудшение состояния после микрохирургической декомпрессии.
При формировании статистики учитываются случаи микрохирургического устранения не только таких распространенных заболеваний позвоночника, вызывающих компрессию, как остеохондроз, межпозвоночные грыжи, но и онкологические.
Прогноз операции во многом зависит от:
- поставленного диагноза;
- тяжести неврологической симптоматики;
- наличия сопутствующих заболеваний и индивидуальных особенностей организма больного;
- сложности операции.
Есть ли безоперационная альтернатива?
Ведь если патологический процесс уже привел к образованию на краях позвоночника костных выступов, которые сдавили нервные структуры, то надеяться на их рассасывание под действием создаваемых тренажерами растягивающих усилий нерационально. Занятия могут привести к временному, причем обычно кратковременному улучшению, но не решить проблему. Обязательно последует рецидив компрессионно-вертебрального синдрома.
Более того, занятия на декомпрессионных и антигравитационных тренажерах в ряде случаев могут быть и вовсе опасными для пациентов. При определенных нарушениях они могут приводить к:
- травмированию ослабленных мышц, связок и сухожилий;
- прогрессированию имеющегося заболевания и усугублению его клинических проявлений;
- возникновению дополнительных патологий опорно-двигательного аппарата.
Декомпрессионные тренажеры эффективны только в неосложненных случаях дегенеративно-дистрофических заболеваний позвоночника. Только тогда они позволяют уменьшить нагрузку на него, укрепить мышцы и уменьшить боли. Поэтому только высококвалифицированный невролог может рекомендовать больному занятия на них или сразу же направлять его к нейрохирургу.
Таким образом, в ряде ситуаций декомпрессия позвоночника микрохирургическим способом - единственный и иногда неизбежный выход для пациентов с адскими болями в спине, тяжелыми нарушениями подвижности и резким снижением работоспособности. Эта малоинвазивная операция способна на только устранить симптомы поражения нервного корешка, но и влияющий на него фактор, что позволяет не просто улучшить ситуацию, а и добиться восстановления до уровня здорового человека.
Читайте также:
- Современная хирургия туберкулеза легких. Хирургия каверны
- Лазерная допплеровская флоуметрия (ЛДФ). Оценка кровотока в пародонте
- Нарушение зрения при перивентрикулярной лейкомаляции у ребенка
- Механизмы развития столбняка. Клиника и признаки столбняка
- Симптомы воспаления седалищного нерва. Лечение проблем седалищного нерва
