Эозинофильное воспаление при других легочных заболеваниях.
Добавил пользователь Евгений Кузнецов Обновлено: 18.12.2025
Легочные эозинофилии включают гетерогенную группу болезней, характеризующихся затемнениями в легких, связанными с эозинофилией ткани легкого и/или периферической крови. Хотя воспалительный инфильтрат состоит из макрофагов, лимфоцитов, нейтрофилов и эозинофилов, важным маркером для диагностики и лечения является эозинофилия. По этиологии эозинофильные болезни легких подразделяются на первичные, или идиопатические (простая легочная эозинофилия, хроническая эозинофильная пневмония, острая эозинофильная пневмония, гипе-рэозинофильный синдром), вторичные, или известной природы (аллергический бронхолегочный аспергиллез, бронхоцентрический гранулематоз, паразитарные инвазии, лекарственные реакции, грибковая и микобактериальная инфекция, болезни легких, вызванные облучением и воздействием токсинов). Легочная эозинофилия также может быть связана с системными заболеваниями (синдром Черджа—Строс) и новообразованиями. Клинико-рентгенологическая картина различных эозинофильных болезней легких существенно не различается. Для верификации диагноза необходимо учитывать наличие у пациента бронхиальной астмы и внелегочных проявлений, уровень эозинофилии в крови, бронхоальвеолярной лаважной жидкости и общего IgE, а также данные компьютерной томографии грудной клетки и гистологического исследования легочной ткани. В данной статье представлены современная классификация, клинико-рентгенологическая и гистологическая характеристики различных, преимущественно идиопатических, эозинофильных болезней легких.
Ключевые слова
Полный текст
Об авторах
Эльдар Хусеевич Анаев
д-р мед. наук, зав. лаб. неинвазивных методов диагностики
Список литературы
© ООО "Консилиум Медикум", 2012
Эта статья доступна по лицензии Creative Commons Attribution-NonCommercial-ShareAlike 4.0 International License.
Эозинофильная пневмония ( Легочная эозинофилия , Пневмония Лёффлера , Синдром Лера-Киндберга , Эозинофильный летучий инфильтрат легкого )
Эозинофильная пневмония - это аллерго-воспалительное поражение легочной ткани, сопровождающееся образованием неустойчивых мигрирующих инфильтратов эозинофильной природы и развитием гиперэозинофилии. Заболевание обычно протекает с недомоганием, субфебрилитетом, небольшим сухим кашлем, иногда со скудной мокротой; при острой форме - с болью в груди, миалгией, развитием острой дыхательной недостаточности. Установить эозинофильную пневмонию позволяют данные рентгенографии и КТ легких, общего анализа крови, бронхоальвеолярного лаважа, аллергопроб, серодиагностики. Основу лечения составляют специфическая гипосенсибилизация и гормональная терапия.
МКБ-10

Общие сведения
Эозинофильная пневмония (эозинофильный «летучий» инфильтрат легкого) - респираторное заболевание, связанное с патологическим накоплением эозинофилов в альвеолах и повышением их уровня в крови и мокроте. Эозинофильная пневмония чаще диагностируется у населения и туристов в странах с тропическим климатом (Индонезии, Индии, Малайзии, тропической Африке, Ю. Америке).
Эозинофильная пневмония протекает по типу долевой пневмонии или бронхопневмонии, затрагивает обычно верхние отделы легких. Отмечается очаговое или диффузное воспаление альвеол, интерстициальной ткани, сосудов, бронхиол с их обильной инфильтрацией эозинофилами. Типичен преходящий характер инфильтратов с полным регрессом без вторичных рубцовых и склеротических изменений тканей.
Выделяют 3 формы легочной эозинофилии - простую (пневмония Лёффлера), острую и хроническую (синдром Лера-Киндберга). На хронизацию процесса указывают длительное (>4 недель) сохранение и рецидивирование эозинофильных инфильтратов. Эозинофильной пневмонией одинаково часто болеют лица обоего пола, преимущественно в 16-40-летнем возрасте; хроническая форма чаще развивается у женщин, страдающих бронхиальной астмой.
Причины
Эозинофильное поражение легочной ткани инициируют патогены инфекционно-аллергической и аллергической природы, вызывающие сенсибилизацию организма пациента. В качестве них могут выступать:
- Паразитарная (глистная) инвазия. В 1932 г Лёффлер впервые определил роль гельминтов в этиологии эозинофильной пневмонии, возникающей при транзиторном повреждении легочной ткани в процессе миграции личинок паразитов через легкие. К появлению пневмонии Лёффлера может привести практически любой гельминтоз - аскаридоз, стронгилоидоз, шистосомоз, анкилостоматоз, парагонимоз, токсокароз, трихинеллез и др. Довольно часто при легочной эозинофилии выявляются нематоды Toxocara cati и T. canis, аскариды собак и кошек. Личинки и яйца глистов могут попадать в ткань легких с током крови, взрослые паразиты (Paragonimus westermani) - через кишечную стенку, диафрагму и плевру, вызывая эозинофильное воспаление с образованием инфильтратов.
- Ингаляционные и лекарственные аллергены. Эозинофильная пневмония может быть результатом аллергической реакции на прием медикаментов (пенициллина, ацетилсалициловой кислоты, сульфаниламидов, нитрофуранов, изониазида, гормональных и рентгенконтрастных препаратов, соединений золота), на контакт с химическими агентами на производстве (солями никеля), цветочной пыльцой (ландыша, лилии, липы). Пневмония Леффлера может быть проявлением сывороточной болезни, иметь связь с аллергией на туберкулин.
- Грибковая инфекция. Атопическая сенсибилизация дыхательного тракта к спорам грибов (особенно, рода Aspergillus) также способствует развитию эозинофильных легочных инфильтратов.
Патогенез
Развитие эозинофильной пневмонии опосредовано реакциями гиперчувствительности немедленного типа. Помимо гиперэозинофилии в крови пациентов часто выявляется повышенный уровень IgE (гипериммуноглобулинемия). За образование аллерго-воспалительных очагов в легочной ткани ответственны тучные клетки, активированные иммунными (IgE) и неиммунными (гистамином, системой комплемента) механизмами и продуцирующие медиаторы аллергии (главным образом, эозинофильный хемотаксический фактор анафилаксии). В ряде случаев эозинофильная пневмония развивается за счет выработки преципитирующих антител к антигенам (реакции по типу феномена Артюса).
Симптомы эозинофильной пневмонии
Клиническая картина бывает весьма вариабельной. Аллергическое воспаление легких может иметь бессимптомное течение с отсутствием или очень скудной выраженностью жалоб и определяться только рентгенологическим и клинико-лабораторным методом. Часто пневмония Лёффлера протекает с минимальными проявлениями, манифестируя симптомами катарального ринофарингита. Больные ощущают легкое недомогание, слабость, повышение температуры до субфебрильной, небольшой кашель, чаще сухой, иногда с незначительной вязкой или кровянистой мокротой, болезненность в области трахеи.
При массивном гематогенном распространении яиц и личинок глистов в организме присоединяется сыпь на коже, зуд, одышка с астматическим компонентом. Эозинофильная инфильтрация других органов сопровождается легкими, быстро исчезающими признаками их поражения - гепатомегалией, симптомами гастрита, панкреатита, энцефалита, моно- и полиневропатией.
Острая эозинофильная пневмония протекает тяжело, с интоксикацией, фебрилитетом, болью в груди, миалгией, быстрым (в течение 1-5 суток) развитием острой дыхательной недостаточности, респираторного дистресc-синдрома. Для хронической формы типично подострое течение с потливостью, потерей массы тела, нарастанием одышки, развитием плеврального выпота.
Эозинофильная пневмония обычно длится от нескольких дней до 2-4 недель. Выздоровление может наступать спонтанно. При хронической форме продолжительное существование инфильтратов и рецидивы способствуют постепенному прогрессированию заболевания, развитию легочного фиброза и дыхательной недостаточности.
Диагностика
Диагностика эозинофильной пневмонии включает проведение рентгенографии и КТ легких, общего анализа крови, анализа кала на яйца глист, бронхоальвеолярного лаважа, аллергопроб, серологических (РП, РСК, ИФА) и клеточных тестов (реакции дегрануляции базофилов и тучных клеток). Пациенты с эозинофильной пневмонией, как правило, имеют предшествующий аллергологический анамнез. Аускультация определяет небольшое количество влажных мелкопузырчатых хрипов или крепитацию. При обширных инфильтратах заметно укорочение легочного звука при перкуссии. Инструментально-лабораторный комплекс:
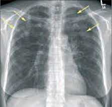
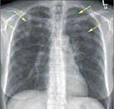
- Рентгенография легких. На снимках видны субплеврально расположенные одиночные (реже множественные, двусторонние) нечеткие затемнения средней интенсивности неправильной формы размером до 3-4 см. В окружении инфильтрата легочный рисунок усилен, тень корня легкого слегка расширена. Характерна быстрая динамика инфильтратов с миграцией по легочным полям и исчезновением не позднее 1-2 недель после обнаружения (чаще через 1-3 дня) без остаточной рубцовой деформации. При длительно поддерживающемся инфильтративном воспалении в ткани легких могут образоваться фиброзные очаги и кистозные полости.
- Лабораторные данные. В периферической крови на начальной стадии заболевания регистрируется лейкоцитоз, гиперэозинофилия (10-25%), при хронизации процесса уровень эозинофилов близок к норме. Часто выявляется высокое содержание в крови IgE (до 1000 МЕ/мл). В анализе лаважной жидкости также появляются эозинофилы (при острой форме - до 40% и более) и кристаллы Шарко-Лейдена. Анализ кала, проводимый с учетом цикла развития паразитов, при некоторых гельминтозах позволяет обнаружить яйца глист. По данным биопсии в альвеолах и интерстиции определяются эозинофилы, лимфоциты и макрофаги, гранулемы, поражение мелких сосудов.
- Аллергопробы. Этиологическая диагностика эозинофильной пневмонии включает провокационные назальные и ингаляционные тесты, кожные пробы с аллергенами пыльцы, гельминтов, спор грибов, серологические анализы. «Никелевая» эозинофильная пневмония обычно сочетается с аллергическим контактным дерматитом и подтверждается положительным компрессным (аппликационным) тестом с никелем.
- ФВД. Бронхиальную проходимость оценивают при проведении спирометрии, бронхомоторных тестов.
Дифференцировать эозинофильную пневмонию необходимо с пневмониями бактериального и вирусного генеза, туберкулезом, синдромом Вайнгартена, альвеолитом, десквамативным интерстициальным фиброзом. При атопической отягощенности показана консультация аллерголога, при респираторном рините - отоларинголога.
Лечение эозинофильной пневмонии
Основным в лечении является устранение действия этиологически значимого фактора: контакта с аллергенами (аэроаллергенами, лекарствами), проведение дегельминтизации. Назначаются антигистаминные препараты, противопаразитарные средства. Имеются случаи спонтанного выздоровления без фармакотерапии. В случае тяжелой глистной инвазии с обезвоживанием организма или невозможности полного изъятия аллергена из окружающей среды лечение проводится стационарно, в отделении пульмонологии.
При острой форме эозинофильной пневмонии применяются глюкокортикоиды, на фоне которых происходит быстрая (в течение 48 часов) регрессия воспаления. Дозу ГК подбирают индивидуально и снижают постепенно во избежание обострения. В тяжелых случаях требуются ИВЛ, длительная гормональная терапия. При бронхообструкции показаны ингаляционные ГК, бета-адреномиметики. Для лучшего отхождения мокроты используются отхаркивающие средства, дыхательная гимнастика. Проводится лечение сопутствующей бронхиальной астмы.
Прогноз и профилактика
Прогноз эозинофильной пневмонии в целом благоприятный, возможно самопроизвольное разрешение инфильтратов. Правильное лечение и наблюдение пульмонолога позволяет избежать хронизации процесса и рецидивов. Профилактика эозинофильной пневмонии сводится к мерам гигиены, предотвращающим заражение организма гельминтами, контролю за приемом медикаментов, ограничению контакта с аэроаллергенами, проведению специфической гипосенсибилизации. При необходимости рекомендуется смена места работы.
2. Легочные эозинофилии: диагностика, подходы к терапии/ Э.Х.Анаев, А.Г.Чучалин// Пульмонология. - 2012 -№ 4.
3. Эозинофильная пневмония в практике врача-терапевта: трудности диагностики/ Болдырева Л.Н., Пантелеева Е.Н.//Справочник поликлинического врача. - 2011 - №9.
4. Трудности этиологической диагностики легочной эозинофилии/ Николаева С.С., Растомпахова Т.А.// Сибирский медицинский журнал. - 2011.
Пневмония
Пневмония - острое поражение легких инфекционно-воспалительного характера, в которое вовлекаются все структурные элементы легочной ткани, преимущественно - альвеолы и интерстициальная ткань легких. Клиника пневмонии характеризуется лихорадкой, слабостью, потливостью, болью в грудной клетке, одышкой, кашлем с мокротой (слизистой, гнойной, «ржавой»). Пневмония диагностируется на основании аускультативной картины, данных рентгенографии легких. В остром периоде лечение включает антибиотикотерапию, дезинтоксикационную терапию, иммуностимуляцию; прием муколитиков, отхаркивающих, антигистаминных средств; после прекращения лихорадки - физиотерапию, ЛФК.


Пневмония - воспаление нижних дыхательных путей различной этиологии, протекающее с внутриальвеолярной экссудацией и сопровождающееся характерными клинико-рентгенологическими признаками. Острая пневмония встречается у 10-14 человек из 1000, в возрастной группе старше 50 лет - у 17 человек из 1000. Актуальность проблемы заболеваемости острой пневмонией сохраняется, несмотря на внедрение новых антимикробных препаратов, также как сохраняется высокий процент осложнений и летальность (до 9%) от пневмоний.
Среди причин смертности населения пневмония стоит на 4-ом месте после заболеваний сердца и сосудов, злокачественных новообразований, травматизма и отравлений. Пневмония может развиваться у ослабленных больных, присоединяясь к течению сердечной недостаточности, онкологических заболеваний, нарушениям мозгового кровообращения, и осложняет исход последних. У пациентов со СПИДом пневмония является основной непосредственной причиной гибели.

Причины и механизм развития пневмонии
Среди этиофакторов, вызывающих пневмонию, на первом месте стоит бактериальная инфекция. Чаще всего возбудителями пневмонии являются:
- грамположительные микроорганизмы: пневмококки (от 40 до 60%), стафилококки (от 2 до 5%), стрептококки (2,5%);
- грамотрицательные микроорганизмы: палочка Фридлендера (от 3 до 8%), гемофильная палочка (7%), энтеробактерии (6%), протей, кишечная палочка, легионелла и др. (от 1,5 до 4,5%);
- микоплазмы (6%);
- вирусные инфекции (вирусы герпеса, гриппа и парагриппа, аденовирусы и т. д.);
- грибковые инфекции.
Также пневмония может развиваться вследствие воздействия неинфекционных факторов: травм грудной клетки, ионизирующего излучения, токсических веществ, аллергических агентов.
Факторы риска
К группе риска по развитию пневмонии относятся пациенты с застойной сердечной недостаточностью, хроническими бронхитами, хронической носоглоточной инфекцией, врожденными пороками развития легких, с тяжелыми иммунодефицитными состояниями, ослабленные и истощенные больные, пациенты, длительно находящиеся на постельном режиме, а также лица пожилого и старческого возраста.
Особо подвержены развитию пневмонии курящие и злоупотребляющие алкоголем люди. Никотин и пары алкоголя повреждают слизистую оболочку бронхов и угнетают защитные факторы бронхопульмональной системы, создавая благоприятную среду для внедрения и размножения инфекции.
Инфекционные возбудители пневмонии проникают в легкие бронхогенным, гематогенным или лимфогенным путями. При имеющемся снижении защитного бронхопульмонального барьера в альвеолах развивается инфекционное воспаление, которое через проницаемые межальвеолярные перегородки распространяется на другие отделы легочной ткани. В альвеолах происходит образование экссудата, препятствующего газообмену кислорода между легочной тканью и кровеносными сосудами. Развиваются кислородная и дыхательная недостаточность, а при осложненном течении пневмонии - сердечная недостаточность.
В развитии пневмонии выделяется 4 стадии:
- стадия прилива (от 12 часов до 3 суток) - характеризуется резким кровенаполнением сосудов легких и фибринозной экссудацией в альвеолах;
- стадия красного опеченения (от 1 до 3 суток) - происходит уплотнение ткани легкого, по структуре напоминающей печень. В альвеолярном экссудате обнаруживаются эритроциты в большом количестве;
- стадия серого опеченения - (от 2 до 6 суток) - характеризуется распадом эритроцитов и массивным выходом лейкоцитов в альвеолы;
- стадия разрешения - восстанавливается нормальная структура ткани легкого.
Классификация
1. На основании эпидемиологических данных различают пневмонии:
- внебольничные (внегоспитальные)
- внутрибольничные (госпитальные)
- вызванные иммунодефицитными состояниями
- атипичного течения.
2. По этиологическому фактору, с уточнением возбудителя, пневмонии бывают:
- бактериальными
- вирусными
- микоплазменными
- грибковыми
- смешанными.
3. По механизму развития выделяют пневмонии:
- первичные, развивающиеся как самостоятельная патология
- вторичные, развивающиеся как осложнение сопутствующих заболеваний (например, застойная пневмония)
- аспирационные, развивающиеся при попадании инородных тел в бронхи (пищевых частиц, рвотных масс и др.)
- посттравматические
- послеоперационные
- инфаркт-пневмонии, развивающиеся вследствие тромбоэмболии мелких сосудистых ветвей легочной артерии.
4. По степени заинтересованности легочной ткани встречаются пневмонии:
- односторонние (с поражением правого или левого легкого)
- двусторонние
- тотальные, долевые, сегментарные, субдольковые, прикорневые (центральные).
5. По характеру течения пневмонии могут быть:
- острые
- острые затяжные
- хронические
6. С учетом развития функциональных нарушений пневмонии протекают:
- с наличием функциональных нарушений (с указанием их характеристик и выраженности)
- с отсутствием функциональных нарушений.
7. С учетом развития осложнений пневмонии бывают:
- неосложненного течения
- осложненного течения (плевритом, абсцессом, бактериальным токсическим шоком, миокардитом, эндокардитом и т. д.).
8. На основании клинико-морфологических признаков различают пневмонии:
- паренхиматозные (крупозные или долевые)
- очаговые (бронхопневмонии, дольковые пневмонии)
- интерстициальные (чаще при микоплазменном поражении).
9. В зависимости от тяжести течения пневмонии делят на:
- легкой степени - характеризуется слабо выраженной интоксикацией (ясное сознание, температура тела до 38°С, АД в норме, тахикардия не более 90 уд. в мин.), одышка в покое отсутствует, рентгенологически определяется небольшой очаг воспаления.
- средней степени - признаки умеренно выраженной интоксикации (ясное сознание, потливость, выраженная слабость, температура тела до 39°С, АД умеренно снижено, тахикардия около 100 уд. в мин.), частота дыхания - до 30 в мин. в покое, рентгенологически определяется выраженная инфильтрация.
- тяжелой степени - характеризуется выраженной интоксикацией (лихорадка 39-40°С, помутнение сознания, адинамия, бред, тахикардия свыше 100 уд. в мин., коллапс), одышкой до 40 в мин. в покое, цианозом, развитием осложнений. Рентгенологически определяется обширная инфильтрация.
Симптомы пневмонии
Крупозная пневмония
Характерно острое начало с лихорадки свыше 39°С, озноба, болей в грудной клетке, одышки, слабости. Беспокоит кашель: сначала сухой, непродуктивный, далее, на 3-4 день - с «ржавой» мокротой. Температура тела постоянно высокая. При крупозной пневмонии лихорадка, кашель и отхождение мокроты держатся до 10 дней.
При тяжелой степени течения крупозной пневмонии определяется гиперемия кожных покровов и цианоз носогубного треугольника. На губах, щеках, подбородке, крыльях носа видны герпетические высыпания. Состояние пациента тяжелое. Дыхание поверхностное, учащенное, с раздуванием крыльев носа. Аускультативно выслушиваются крепитация и влажные мелкопузырчатые хрипы. Пульс, частый, нередко аритмичный, АД снижено, сердечные тона глухие.
Очаговая пневмония
Осложнения пневмонии
Особенности течения пневмонии обусловлены степенью тяжести, свойствами возбудителя и наличием осложнений. Осложненным считается течение пневмонии, сопровождающееся развитием в бронхолегочной системе и других органах воспалительных и реактивных процессов, вызванных непосредственно воспалением легких. От наличия осложнений во многом зависит течение и исход пневмонии. Осложнения пневмонии могут быть легочными и внелегочными.
Легочными осложнениями при пневмонии могут быть:
- обструктивный синдром
- абсцесс, гангрена легкого
- парапневмонический экссудативный плеврит.
Среди внелегочных осложнений пневмонии часто развиваются:
- острая сердечно-легочная недостаточность
- эндокардит, миокардит
- менингит и менингоэнцефалит
- инфекционно-токсический шок
- анемия
- психозы и т. д.
При диагностике пневмонии решаются сразу несколько задач: дифференциальная диагностика воспаления с другими легочными процессами, выяснение этиологии и степени тяжести (осложнений) пневмонии. Пневмонию у пациента следует заподозрить на основании симптоматических признаков: быстрого развития лихорадки и интоксикации, кашля.
- Физикальное исследование. Определяется уплотнение легочной ткани (на основании перкуторного притупления легочного звука и усиления бронхофонии), характерной аускультативной картины - очаговых, влажных, мелкопузырчатых, звучных хрипов или крепитации.
- Лабораторная диагностика. Изменения в общем анализе крови при пневмонии характеризуются лейкоцитозом от 15 до 30 • 109/л, палочкоядерным сдвигом лейкоцитарной формулы от 6 до 30%, повышением СОЭ до 30-50 мм/ч. В общем анализе мочи может определяться протеинурия, реже микрогематурия. Баканализ мокроты при пневмонии позволяет выявить возбудителя и определить его чувствительность к антибиотикам.
- Рентгенография легких.Рентгенограммы при пневмонии обычно делают в начале заболевания и спустя 3-4 недели для контроля разрешения воспаления и исключения другой патологии (чаще бронхогенного рака легких). При любых видах пневмоний чаще процесс захватывает нижние доли легкого. На рентгенограммах при пневмонии могут выявляться следующие изменения: паренхиматозные (очаговые или диффузные затемнения различной локализации и протяженности); интерстициальные (легочный рисунок усилен за счет периваскулярной и перибронхиальной инфильтрации).
- УЗИ. По данным эхокардиографии и УЗИ плевральной полости иногда определяется плевральный выпот.

Лечение пневмонии
Пациентов с пневмонией, как правило, госпитализируют в общетерапевтическое отделение или отделение пульмонологии. На период лихорадки и интоксикации назначается постельный режим, обильное теплое питье, высококалорийное, богатое витаминами питание. При выряженных явлениях дыхательной недостаточности больным пневмонией назначают ингаляции кислорода. Основные направления терапии:
- Антибиотикотерапия. Основным в лечении пневмонии является антибактериальная терапия. Назначать антибиотики следует как можно ранее, не дожидаясь определения возбудителя. Подбор антибиотика осуществляет врач, никакое самолечение недопустимо! При внегоспитальной пневмонии чаще назначают пенициллины (амоксициллин с клавулановой к-той, ампициллин и т. д.), макролиды, цефалоспорины. Выбор способа введения антибиотика определяется тяжестью течения пневмонии. Для лечения внутрибольничных пневмоний используют пенициллины, цефалоспорины, фторхинолоны (ципрофлоксацин, офлоксацин и т. д.), карбапенемы, аминогликозиды. При неизвестном возбудителе назначают комбинированную антибиотикотерапию из 2-3 препаратов. Курс лечения может продолжаться от 7-10 до 14 дней, возможна смена антибиотика.
- Симптоматическая терапия. При пневмониях показано проведение дезинтоксикационной терапии, иммуностимуляции, назначения жаропонижающих, отхаркивающих и муколитических, антигистаминных средств.
- Физиолечение. После прекращения лихорадки и интоксикации режим расширяют и назначают проведение физиотерапии (электрофорез с кальцием хлоридом, калием йодидом, гиалуронидазой, УВЧ, массаж, ингаляции) и ЛФК для стимуляции разрешения воспалительного очага.
Лечение пневмонии проводится до полного выздоровления пациента, которое определяется нормализацией состояния и самочувствия, физикальных, рентгенологических и лабораторных показателей. При частых повторных пневмониях одной и той же локализации решается вопрос о хирургическом вмешательстве.
Прогноз
При пневмонии прогноз определяется рядом факторов: вирулентностью возбудителя, возрастом пациента, фоновыми заболеваниями, иммунной реактивностью, адекватностью лечения. Неблагоприятны в отношении прогноза осложненные варианты течения пневмоний, иимунодефицитные состояния, устойчивость возбудителей к антибиотикотерапии. Особенно опасны пневмонии у детей до 1 года, вызванные стафилококком, синегнойной палочкой, клебсиеллой: летальность при них составляет от 10 до 30%.
При своевременных и адекватных лечебных мероприятиях пневмония заканчивается выздоровлением. По вариантам изменений в легочной ткани могут наблюдаться следующие исходы пневмонии:
- полное восстановление структуры легочной ткани - 70 %;
- формирование участка локального пневмосклероза - 20 %;
- формирование участка локальной карнификации - 7%;
- уменьшение сегмента или доли в размерах - 2%;
- сморщивание сегмента или доли - 1%.
Профилактика
Меры предупреждения развития пневмонии заключаются в закаливании организма, поддержании иммунитета, исключении фактора переохлаждения, санации хронических инфекционных очагов носоглотки, борьбе с запыленностью, прекращении курения и злоупотребления алкоголем. У ослабленных лежачих пациентов с целью профилактики пневмонии целесообразно проведение дыхательной и лечебной гимнастики, массажа, назначение антиагрегантов (пентоксифиллина, гепарина).
1. Внебольничная пневмония у взрослых: практические рекомендации по диагностике, лечению и профилактике (Пособие для врачей)/ Чучалин А.Г., Синопальников А.И., Козлов Р.С., Тюрин И.Е.,С.А. Рачина// Клиническая микробиология и антимикробная химиотерапия. - 2010 - Т. 12, №3.
3. Внутренние болезни в 2-х томах: учебник/ Под ред. Мухина Н.А., Моисеева В.С., Мартынова А.И. - 2010.
4. Пневмонии: сложные и нерешенные вопросы диагностики и лечения/ Новиков Ю.К.// Русский медицинский журнал. - 2004 - №21.
Эозинофилия
Эозинофилия (эозинофильный лейкоцитоз) - это увеличение в крови уровня эозинофилов больше 500 в 1 мкл крови или больше 5%. Чаще всего встречается при аллергических реакциях, паразитарных инвазиях, может свидетельствовать о тяжелых заболеваниях легких, онкологических гематологических патологиях. Специфических проявлений нет. Клиническая картина зависит от заболевания, при котором наблюдается повышенное содержание эозинофилов. Уровень эозинофилов исследуется в венозной или капиллярной крови путем подсчета лейкоцитарной формулы в общем анализе крови. Для коррекции эозинофилии необходимо лечение заболевания, которое ее вызвало.
На сегодняшний день существуют две основные классификации эозинофилии - по уровню повышения эозинофилов и по этиопатогенетическому фактору. По количеству клеток различают следующие эозинофилии:
- Легкие. Уровень эозинофилов от 500 до 1500.
- Умеренные. Концентрация эозинофилов от 1500 до 5000.
- Выраженные. Содержание эозинофилов составляет более 5000. Наиболее характерны для гельминтозов, гематологических болезней.
Умеренные и выраженные эозинофилии объединяют термином гиперэозинофилии. По патофизиологическому механизму эозинофилии разделяют на:
- Клональные. Эозинофилы являются частью злокачественного клона. Встречаются при миелопролиферативных гемобластозах (лейкозах), системных заболеваниях тучных клеток (мастоцитозе).
- Реактивные. Общий механизм возникновения - гиперпродукция Т-хелперами интерлейкина-5, который стимулирует костномозговую выработку эозинофилов. Развиваются как ответная реакция на различные внешние воздействия на макроорганизм - аллергены, паразитарные инвазии и т.д. Составляют около 90% всех эозинофилий.
Отдельно выделяют транзиторную (кратковременную) эозинофилию, не связанную напрямую с конкретными заболеваниями. Количество эозинофилов может увеличиться при употреблении некоторых лекарственных препаратов (антибиотиков, противотуберкулезных средств), введении вакцины против гепатита А, при проведении гемодиализа, воздействии локальной радиационной терапии. Точный патофизиологических механизм повышения эозинофилов при этих обстоятельствах неизвестен.
Причины эозинофилии
Аллергии
Это наиболее частая причина эозинофилии. Любые реакции гиперчувствительности сопровождаются увеличением продукции эозинофилов костным мозгом. Патогенез эозинофилий при аллергиях хорошо изучен. При попадании в организм аллергена (ингаляционно, через кожу или слизистые) он взаимодействует с IgE на мембране базофилов. Это приводит к их дегрануляции последних и высвобождению гистамина, лейкотриенов и других медиаторов, в результате чего в тканях развивается аллергическое воспаление, что и обусловливает симптоматику со стороны кожи (атопический дерматит, крапивница), слизистых оболочек (аллергический ринит, конъюнктивит), а также дыхательной системы (бронхиальная астма).
Параллельно с этим базофилами выделяется эозинофильный хемотаксический фактор анафилаксии, который стимулирует миграцию эозинофилов из периферической крови к очагу воспаления. Эозинофилы, в свою очередь, подавляют выработку медиаторов аллергии. Во время разгара аллергической реакции (обострения) уровень эозинофилии максимальный; по мере разрешения симптомов он постепенно снижается и нормализуется в стадию ремиссии.
При выраженном обострении содержание эозинофилов, наоборот, может быть снижено (эозинопения) или даже равно нулю (анэозинофилия). Такое случается, когда произошла массивная миграция эозинофилов к очагу аллергического воспаления, а новые эозинофилы еще не успели синтезироваться в костном мозге. Также, если во время рецидива бронхиальной астмы присоединится вторичная бактериальная инфекция (бронхит), то показатели эозинофилов могут оставаться в пределах нормы.
В основном при аллергиях встречается легкая степень эозинофилии. Для бронхиальной астмы, особенно атопической и аспириновой формы, характерна умеренная эозинофилия. При аллергических патологиях повышенное содержание эозинофилов наблюдается не только в крови, но и в других биологических жидкостях (в мокроте и бронхоальвеолярной жидкости - при бронхиальной астме, в носовой слизи - при рините, в соскобе с конъюнктивы - при конъюнктивите).
Гельминтозы
Другой частой причиной эозинофилий (особенно среди детей) является заражение гельминтами. Эозинофилия в данном случае обусловлена двумя патогенетическими механизмами. Во-первых, эозинофилы обладают противопаразитарной активностью - они выделяют эозинофильный катионный белок и активные формы кислорода, которые губительны для гельминтов. Во-вторых, продукты метаболизма гельминтов способны индуцировать реакции гиперчувствительности. Именно поэтому глистные инвазии часто сопровождаются аллергической симптоматикой.
Самые частые гельминтозы, сопряженные с высокой эозинофилией среди детей - аскаридоз, токсокароз, среди взрослых ‒ анкилостомидоз, описторхоз. При стронгилоидозе эозинофильный лейкоцитоз долгое время может быть единственным проявлением. Эозинофилия выявляется уже на 4-5 день инфицирования. Затем она очень быстро нарастает и достигает максимума примерно к 30-40 дню, а потом медленно начинает уменьшаться, но продолжает оставаться на высоких цифрах длительное время. Уровень эозинофилов очень большой (может составлять от 20% до 70-80%). Резкое нарастание эозинофилии происходит во время стадии миграции личинок по организму и проникновения в ткани.
Заболевания легких
Существует группа болезней легких, называемых легочными эозинофилиями, которые объединяет большое содержание эозинофилов в крови, в бронхоальвеолярной жидкости и образование эозинофильных инфильтратов в легочной ткани. Точный патогенез эозинофилии периферической крови и инфильтрации эозинофилами легочной ткани при большинстве этих заболеваний неизвестен. Различают следующие легочные эозинофилии:
- Эозинофильные пневмонии. К ним относятся синдром Леффлера (простая легочная эозинофилия), острые, хронические эозинофильные пневмонии (ОЭП, ХЭП). При синдроме Леффлера наблюдается легкая эозинофилия, которая быстро и самостоятельно разрешается. Для ХЭП характерен постоянный умеренный эозинофильный лейкоцитоз. При ОЭП отмечается эозинофилия, резко нарастающая до высоких цифр (до 25%) и столь же стремительно регрессирующая на фоне терапии глюкокортикостероидами.
- Аллергический бронхолегочный аспергиллез. Обусловлен гиперчувствительностью больных к грибкам рода аспергилл. Патогенез сходен с аллергическими патологиями (IgE-опосредованная реакция). Эозинофилия умеренная, возникает только в фазу обострения. В период ремиссии уровень эозинофилов находится пределах нормальных значений.
- Синдром Черджа-Стросса. Эозинофильный гранулематоз с полиангиитом ‒ тяжелое заболевание неизвестной этиологии из ряда системных васкулитов, поражающее несколько внутренних органов. Эозинофильный лейкоцитоз наиболее высокий среди всех легочных эозинофилий, в период рецидива может доходить до 50%.

Болезни крови
Во время некоторых злокачественных гематологических заболеваний в крови наблюдается повышенный уровень эозинофилов с разным патогенетическим механизмом. При миелопролиферативных патологиях (остром и хроническом эозинофильном лейкозе, хроническом миелолейкозе), агрессивном системном мастоцитозе эозинофилия обусловлена опухолевой (клональной) пролиферацией эозинофильного ростка кроветворения.
Эозинофилия нарастает медленно, в течение нескольких лет. При мастоцитозе достигает умеренных значений, при лейкозах - выраженных (до 60-70%). Уменьшается очень медленно, под действием химиотерапии. Кроме периферической крови, эозинофилия наблюдается также в миелограмме (мазке пунктата костного мозга). Для лейкозов существует специфичный лабораторный признак ‒ одновременное увеличение эозинофилов и базофилов (базофильно-эозинофильная ассоциация).
При лимфогранулематозе и неходжкинских лимфомах эозинофилия возникает вследствие продуцирования лимфатическими клетками цитокинов (в том числе интерлейкин-5), которые стимулируют пролиферацию нормальных эозинофилов. Эозинофильный лейкоцитоз умеренный, медленно нарастающий.
Заболевания ЖКТ
Эозинофилия сопровождает некоторые болезни органов пищеварения. К ним относят эозинофильный эзофагит, гастрит и энтероколит. Морфологическим субстратом является инфильтрация эозинофилами стенок пищевода, желудка, кишечника. Патогенез до сих пор остается предметом дискуссий.
Предполагается, что у наследственно предрасположенных лиц воздействие пищевых аллергенов на слизистую оболочку вызывает активацию антиген-презентирующих клеток (Т-лимфоцитов), вырабатывающих интерлейкины и эотаксин-3. В результате этого происходит миграция эозинофилов и инфильтрация ими слизистой оболочки органов ЖКТ. Эозинофильный лейкоцитоз обычно легкий и наблюдается только во время выраженного обострения заболевания. Высокая концентрация эозинофилов в биоптате слизистых, напротив, встречается постоянно.
Эндокринопатии
Некоторые гормоны, например, глюкокортикостероиды (гормоны коры надпочечников), стимулируют апоптоз (запрограммированную клеточную гибель) эозинофилов. Поэтому заболеваниям, сопровождающимся снижением уровня глюкокортикостероидов, сопутствует эозинофилия. К таким патологиям относятся первичная надпочечниковая недостаточность (болезнь Аддисона), врожденная дисфункция коры надпочечников, а также множественные эндокринопатии, такие как синдром Шмидта, пангипопитуитаризм. Степень эозинофилии легкая. Количество эозинофилов быстро нормализуется после введения глюкокортикоидов.
Иммунодефицитные состояния
Эозинофилия встречается при, так называемых, первичных иммунодефицитах - тяжелых болезнях с высокой летальностью, обусловленных генетическим дефектом одного или нескольких компонентов иммунной системы (клеточных, гуморальных реакций, фагоцитоза и пр.). Такими заболеваниями являются синдром Вискотта-Олдрича и синдром Джоба (гипер-IgE-синдром). Эозинофилия, вероятно, связана с аномальной гиперпродукцией иммуноглобулина Е. Уровень эозинофилов в тканях и крови очень высокий (до 60%), не поддается коррекции.
Злокачественные новообразования
Некоторые опухоли, особенно аденокарциномы легких, органов пищеварительной и мочеполовой системы, имеют способность к выработке эозинофильного хемотаксического фактора, стимулирующего костномозговую продукцию эозинофилов. При таких заболеваниях эозинофильный лейкоцитоз нарастает медленно, достигает высоких значений (до 20-40%). Концентрация эозинофилов периферической крови возвращается к норме после долгой химиотерапии или хирургического удаления злокачественного образования.
Эозинофилия выявляется при подсчете лейкоцитарной формулы клинического анализа крови. Так как спектр патологий, сопровождающихся эозинофилией, довольно широк, при впервые выявленных изменениях в анализах необходимо обратиться к врачу-терапевту. Для подтверждения заболевания, вызвавшего эозинофилию, с учетом клинических и анамнестических данных назначается обследование, которое может включать:
- Анализы крови. Определяется уровень эритроцитов, лейкоцитов, тромбоцитов. Проверяется наличие специфических антител к гельминтам, грибкам, антицитоплазматических антител (ANCA), концентрация некоторых гормонов (кортизола, паратгормона, эстрогенов, андрогенов). Проводится генетическое исследование на первичные иммунодефициты, а также иммунофенотипирование, иммуногистохимический анализ клеток крови для обнаружения специфических опухолевых антигенов (CD-маркеров).
- Аллергодиагностика. Для выявления аллергена выполняются различные аллергопробы - кожные (скарификационные, аппликационные, прик-тесты), провокационные (назальные, ингаляционные, конъюнктивальные), прямой и непрямой базофильный тесты. Методом ИФА измеряется уровень иммуноглобулина E (IgE).
- Исследование мокроты. Осуществляется микроскопическое исследование мокроты для изучения клеточного состава (количества эозинофилов, наличия кристаллов Шарко-Лейдена, спиралей Куршмана), выявления личинок гельминтов. Проводится бактериологический, микологический посев мокроты с определением чувствительности к антибактериальным и противогрибковым препаратам.
- Рентгенологические исследования. Одним из наиболее информативных методов диагностики легочных эозинофилий считается рентгенография грудной клетки. На снимках обнаруживаются летучие (мигрирующие) эозинофильные инфильтраты в виде участков затемнения. При аллергическом бронхолегочном аспергиллезе могут быть видны бронхоэктазы, фиброз верхних отделов легких.
- Эндоскопия. При подозрении на эозинофильное поражение органов желудочно-кишечного тракта проводятся фиброгастродуоденоскопия и фиброколоноскопия со взятием биопсийного материала. Для морфологической картины, помимо эозинофильной инфильтрации, характерен фиброз собственной пластинки слизистой оболочки.
- Спирометрия. При поражении дыхательной системы выполняется оценка функции внешнего дыхания. Измеряется степень проходимости бронхов мелкого и среднего калибра, растяжимость легочной ткани. Для пациентов с бронхиальной астмой типично уменьшение объема выдыхаемого воздуха (индекс Тиффно) и улучшение дыхательной функции после фармакологической пробы с сальбутамолом. При легочных эозинофилиях наблюдается снижение жизненной емкости легких.
- Гистология. С целью подтверждения синдрома Черджа-Стросса берется биопсия легкого. Отмечаются периваскулярные эозинофильные инфильтраты. Для изучения морфологической картины костного мозга (в случае подозрения на лейкоз) прибегают к стернальной пункции и трепанобиопсии. Обнаруживаются гиперплазия гранулоцитарного ростка кроветворения, гиперклеточность за счет эозинофильных миелобластов.

Коррекция
Самостоятельная коррекция эозинофилии невозможна. Для нормализации уровня эозинофилов необходимо бороться с причиной. Если эозинофилия легкая, связана с приемом ЛС или вакцинацией либо приходится на период реконвалесценции - беспокоиться не стоит. Нужно понаблюдать кровь в динамике через 7-10 дней. При обнаружении стойкой или высокой эозинофилии в анализе крови следует обратиться к специалисту, чтобы тот на основании осмотра, жалоб, анамнеза провел диагностический поиск этиологического фактора и назначил соответствующее лечение. Для терапии большинства болезней, сопровождающихся эозинофилией, используются лекарственные препараты из группы антигистаминных средств или глюкокортикостероидов.
Только по одному лишь эозинофильному лейкоцитозу в крови невозможно предсказать риск возникновения тех или иных последствий для здоровья и жизни человека. Прогноз всегда определяется основным заболеванием и своевременностью его диагностирования - он может варьироваться от благоприятного при аллергическом конъюнктивите до высокой вероятности летального исхода при злокачественных новообразованиях или миелопролиферативных патологиях. Поэтому любое превышение референсных значений эозинофилов в клиническом анализе крови требует тщательного обследования для установления причины.
2. Дифференциальный диагноз внутренних болезней: Алгоритмический подход/ Хили П.М., Джекобсон Э.Дж. - 2014.
4. Синдромная диагностика и базисная фармакология заболеваний внутренних органов. В 2 томах, т. 2/ под ред. Г.Б. Федосеева, Ю.Д. Игнатова. - 2004.
Эозинофилия - лечение в Москве


Комментарии к статье
Да, интересно пришли к адекватному результату. У нас врачи даже особо не заинтересовались этой патологией-я поняла, что найти истинную причину очень сложно-почти что пальцем в небо. Или лечить одновременно все возможные причинные направления.
Эозинофильное воспаление при других легочных заболеваниях.
Цель исследования: изучение показателей системного воспаления в периферической крови и местного воспаления в дыхательных путях и выявление их возможных взаимосвязей с клинико-функциональными параметрами у больных бронхиальной астмой (БА) в сочетании с хронической обструктивной болезнью легких (ХОБЛ).
Материал и методы: в настоящее исследование включены 144 пациента: 1-ю группу составили больные БА аллергического генеза тяжелого течения (n=32), во 2-ю группу вошли больные с сочетанием БА и ХОБЛ (n=38), 3-ю группу составили больные ХОБЛ тяжелого течения — GOLD 3 (n=34). В контрольную группу (n=40) вошли практически здоровые добровольцы. Проведены общеклиническое исследование, оценка функции внешнего дыхания, определение уровня ИЛ-8, ИЛ-1β, ИЛ-10 и миелопероксидазы (МПО) в периферической крови, измерение уровня оксида азота в выдыхаемом воздухе и анализ клеточного состава индуцированной мокроты.
Результаты исследования: при БА, ХОБЛ и их сочетании отмечается дисбаланс провоспалительных (ИЛ-1β, ИЛ-8) и противовоспалительного (ИЛ-10) цитокинов в периферической крови. При сочетании БА и ХОБЛ наблюдается повышение уровня оксида азота в выдыхаемом воздухе и содержание МПО в периферической крови, что взаимосвязано с выраженностью бронхиальной обструкции. Анализ клеточного состава индуцированной мокроты показал, что при изолированной тяжелой БА преобладает эозинофильный тип воспаления, при ХОБЛ (GOLD 3) чаще встречается нейтрофильный биофенотип, а при сочетании БА и ХОБЛ в 51% случаев регистрируется смешанный тип воспаления, в 29% — малогранулоцитарный, в 11% — эозинофильный и лишь у 9% пациентов — нейтрофильный.
Заключение: сочетание БА и ХОБЛ характеризуется более тяжелым течением, низкими показателями функции внешнего дыхания, гиперинфляцией легочной ткани, дисбалансом провоспалительных и противовоспалительных цитокинов, инициацией оксидативного и нитрозативного стрессов. Клеточный состав индуцированной мокроты свидетельствует об эозинофильном типе воспаления при БА, нейтрофильном типе при ХОБЛ и смешанном типе у большинства больных БА в сочетании с ХОБЛ.
Ключевые слова: бронхиальная астма, хроническая обструктивная болезнь легких, миелопероксидаза, цитокины, индуцированная мокрота, оксид азота.
Association between indicators concerning systemic inflammation and cellular composition of induced sputum in bronchial asthma and chronic obstructive pulmonary disease
I.V. Demko 1,2 , E.A. Sobko 1,2 S.V. Chubarova 1 , E.S. Kublik 1 , E.S. Mineieva 1 , N.S. Eidenmiller 2
1 Krasnoyarsk State Medical University named after Prof. V.F. Voino-Yasenetsky, Krasnoyarsk
2 Regional Clinical Hospital, Krasnoyarsk
Aim: to study the indicators of systemic inflammation in the peripheral blood and topical inflammation in the respiratory tract. Adding that, to identify their possible relationships with clinical and functional parameters in patients with bronchial asthma (BA) and chronic obstructive pulmonary disease (COPD).
Patients and Methods: the present study included 144 patients. Group 1 consisted of patients with severe allergic BA (n=32), group 2 — patients with BA and COPD (n=38), group 3 — patients with GOLD 3 COPD (n=34). Control group (n=40) included healthy volunteers. A general clinical study, pulmonary function test, determination of IL-8, IL-1β, IL-10 and myeloperoxidase in peripheral blood, exhaled nitric oxide test, and cellular composition analysis of induced sputum were performed.
Results: an imbalance of pro-inflammatory (IL-1β, IL-8) and anti-inflammatory (IL-10) cytokines in the peripheral blood were recorded in BA, COPD and their combination. In BA with COPD, an increase in exhaled NO level and the myeloperoxidase presence in peripheral blood were observed, which was interconnected with the severity of bronchial obstruction. Upon analyzing the cellular composition of induced sputum, it was noted that eosinophilic inflammation type prevailed in isolated severe BA, whereas in COPD (GOLD 3), the neutrophilic biological phenotype was more common, and in BA with COPD, a mixed inflammation type was registered in 51% of cases, in 29% — inflammation with low count of granulocytes, in 11% — eosinophilic, and only in 9% of patients — neutrophilic biological phenotype of inflammation.
Conclusion: the combination of BA and COPD is characterized by a more severe course, low rates of pulmonary function test, pulmonary hyperinflation, an imbalance of pro-inflammatory and an ti-inflammatory cytokines, and the initiation of oxidative and nitrotyrosine stress. The cellular composition of induced sputum indicates the eosinophilic inflammation type in asthma, the neutrophilic type in COPD, and the mixed type in most patients with BA and COPD.
Keywords: bronchial asthma, chronic obstructive pulmonary disease, myeloperoxidase, cytokines, induced sputum, nitric oxide.
For citation: Demko I.V., Sobko E.A., Chubarova S.V. et al. Association between indicators concerning systemic inflammation and cellular composition of induced sputum in bronchial asthma and chronic obstructive pulmonary disease. RMJ. 2020;4:11-15.
Для цитирования: Взаимосвязь показателей системного воспаления и клеточного состава индуцированной мокроты при сочетании бронхиальной астмы и хронической обструктивной болезни легких. РМЖ. 2020;4:11-15.
Введение
Хроническая обструктивная болезнь легких (ХОБЛ) и бронхиальная астма (БА) — хронические заболевания, широко распространенные в общей популяции. В настоящее время продолжаются научные исследования, посвященные изучению взаимосвязи этих двух заболеваний 2. Эозинофильное и нейтрофильное воспаление рассматриваются в качестве центрального звена патогенеза и клинических особенностей БА и ХОБЛ [4]. Одни авторы предполагают, что тяжесть течения БА связана с преобладанием эозинофильного воспаления, другие рассматривают роль нейтрофилов в формировании тяжелого течения заболевания, что может быть ассоциировано со снижением чувствительности к противовоспалительным эффектам глюкокортикостероидов. Вместе с тем в рекомендациях Глобальной Инициативы для хронической обструктивной болезни легких (Global Initiative for Chronic Obstructive Lung Disease, GOLD) 2019 г. [5] обсуждается роль эозинофилов в формировании воспаления при ХОБЛ и рассматриваются новые подходы к ведению больных, основанные на уровне эозинофилов в периферической крови и частоте обострений [6].
В настоящее время доказано, что избыток протеиназ в легочной ткани, а также инициация окислительного стресса являются ведущими механизмами формирования воспаления при ХОБЛ. Роль нейтрофилов в потенцировании оксидативного стресса и регуляции воспаления связана, в частности, с таким ферментом, как миелопероксидаза (МПО) [7, 8]. МПО участвует в элиминации микроорганизмов, персистирующих в нейтрофилах и моноцитах, в формировании высокореактивных прооксидантов в пределах фагосомы 10 и играет важную роль в обеспечении эффективности клеточного ответа 13.
В настоящее время широко обсуждается вопрос о том, что хроническое воспаление дыхательных путей и инициация оксидативного стресса играют главенствующую роль в патогенезе бронхообструктивных заболеваний [14]. Большой интерес вызывает изучение системного воспаления с целью выявления возможных биомаркеров. Так, в докладе, опубликованном Европейским агентством по лекарственным средствам, отмечается, что биомаркеры занимают важное место в разработке современных лекарственных средств и переходе лечения от старого принципа «один размер для всех» к новому — «специфичный препарат в правильной дозе для определенного состояния» [15].
Настоящее исследование является продолжением нашей работы, опубликованной ранее [16]. В доступной литературе нет достаточных данных о роли МПО в формировании воспаления и оксидативного стресса при сочетании БА и ХОБЛ у одного человека, что и послужило поводом к дальнейшему продолжению исследования.
Цель исследования
Изучение показателей системного воспаления в периферической крови и местного воспаления в дыхательных путях и выявление их возможных взаимосвязей с клинико-функциональными параметрами у больных БА в сочетании с ХОБЛ.
Задачи
Изучить содержание провоспалительных (ИЛ-1β, ИЛ-8) и противовоспалительного (ИЛ-10) цитокинов, МПО, С-реактивного белка (СРБ) в периферической крови у больных БА, ХОБЛ, а также при их сочетании.
Выявить специфику клеточного состава индуцированной мокроты у больных БА, ХОБЛ и БА в сочетании с ХОБЛ.
Оценить содержание оксида азота (NO) в выдыхаемом воздухе при БА, ХОБЛ, а также при их сочетании.
Выявить возможные взаимосвязи между клинико-функциональными параметрами и показателями системного воспаления, а также исследовать ассоциацию уровня NO и параметров клеточного профиля индуцированной мокроты.
Материал и методы исследования
В настоящее исследование включены 144 человека: 1-ю группу составили больные с БА аллергического генеза тяжелого течения (n=32); во 2-ю группу вошли больные с сочетанием БА и ХОБЛ (n=38); 3-ю группу составили больные ХОБЛ тяжелого течения, соответствующего критериям GOLD 3 (n=34); в контрольную группу (n=40) вошли практически здоровые добровольцы со средним возрастом 48 [41; 58] лет.
Основные клинико-анамнестические данные пациентов трех групп представлены в таблице 1.

Пациенты обоих полов в возрасте от 40 до 75 лет; отсутствие острых респираторных заболеваний в течение предыдущего месяца; объем форсированного выдоха за 1-ю секунду (ОФВ1) до применения бронходилататора ≥30% и
Наличие в анамнезе хронических заболеваний легких, кроме астмы и ХОБЛ, сахарного диабета 1 типа, неконтролируемого сахарного диабета 2 типа, гастроэзофагеальной рефлюксной болезни, инфаркта миокарда в течение предшествующих 12 мес., злокачественных новообразований, тяжелой почечной и печеночной недостаточности, злоупотребления алкоголем, курения (у больных БА), а также беременные и кормящие грудью женщины.
Для постановки диагноза сочетания БА и ХОБЛ у пациента должны были присутствовать два главных критерия или один главный и два малых критерия. Главные критерии: значимое увеличение ОФВ1 >400 мл и >15% (подтверждение обратимой бронхиальной обструкции), эозинофилия мокроты или ранее диагностированная БА. Малые критерии: повышение сывороточного иммуноглобулина Е (IgE), атопия в анамнезе, прирост
ОФВ1 >200 мл и >12% в двух измерениях и более [17,18].
Исследование функции внешнего дыхания (ФВД) проводили на базе отделения функциональной диагностики КГБУЗ «Краевая клиническая больница». Оценка параметров ФВД проводилась при помощи спирографии с регистрацией показателя «поток-объем» на аппарате общей плетизмографии (Erich Jaeger, Германия) c компьютерной спирометрией в соответствии с критериями Американского торакального и Европейского респираторного обществ до и после ингаляции бронхолитического препарата (сальбутамола) [19].
Индуцированную мокроту получали путем последовательной ингаляции 3, 4 и 5% гипертонического раствора хлорида натрия через ультразвуковой небулайзер (OMRON NE-U-17, Япония) сеансами по 5 мин под контролем ФВД с последующим подсчетом не менее 400 клеток в 100 полях зрения. Индуцированную мокроту оценивали по общепринятой методике не позднее 2 ч после ее выделения. Полученное количество клеток выражали в процентах. На основании полученных результатов определяли 4 клеточных фенотипа: 1) эозинофильный (≥3% эозинофилов); 2) нейтрофильный (≥61% нейтрофилов); 3) смешанный (≥3% эозинофилов, ≥61% нейтрофилов); 4) малогранулоцитарный (эозинофилов
Определение NO в выдыхаемом воздухе проводилось с помощью аппарата NО Breаth (ppb).
Определение в плазме периферической крови интерлейкинов ИЛ-1β, ИЛ-10, ИЛ-8 и МПО выполнено на базе иммунологической лаборатории КГБУЗ «Краевая клиническая больница». Их содержание в плазме крови определялось методом иммуноферментного анализа на полуавтоматическом иммуноферментном анализаторе Multiskan Fc (Termo Fisher Scientific, Финляндия) с использованием коммерческого набора Cloud-Clone Corp. (№ SES134Hu).
Уровень СРБ в плазме крови исследовали с помощью метода кинетики фиксированного времени путем фотометрического измерения реакции антиген-антитело между антителами к человеческому СРБ, иммобилизованными на полистироловых частицах.
Статистическая обработка результатов
Результаты обработаны с помощью пакета прикладных программ Statistica 7.0 for Windows. Количественные значения представлены в виде медианы (Ме) и интерквартильного интервала (Q1 и Q3), где Q1 — 25-й процентиль, Q3 — 75-й процентиль. Качественные переменные описаны абсолютными значениями и в виде процентных долей и их стандартных ошибок. При сравнительном анализе групп по количественным признакам использовали непараметрический U-критерий Манна — Уитни (не зафиксировано нормальное распределение выборок, определяемое по методу Колмогорова — Смирнова и критерию Шапиро — Уилка). Для оценки связи признаков применен корреляционный анализ с расчетом корреляции по методу Спирмена. Различия считались статистически значимыми при р
Результаты и их обсуждение
Основные клинико-функциональные показатели больных БА, ХОБЛ и БА в сочетании с ХОБЛ были изучены и опубликованы нами ранее [14]. Согласно полученным данным в группе больных БА в сочетании с ХОБЛ регистрировалось наибольшее количество ночных и дневных симптомов, а также наибольшая частота использования короткодействующих β2-агонистов в течение суток. Данные медицинской документации показали, что пациенты этой группы имели более частые обострения и госпитализации в стационар в течение года.

Во всех группах наблюдалось увеличение содержания ИЛ-8, ИЛ-1β, МПО, СРБ в плазме крови (табл. 3). Необходимо отметить, что уровень ИЛ-8 был значимо выше в группах больных БА в сочетании с ХОБЛ и при изолированной ХОБЛ в сравнении с показателями больных БА (р<0,05). В группе больных с тяжелым течением ХОБЛ регистрировалась наиболее высокая концентрация ИЛ-1β, в то время как уровень противовоспалительного цитокина ИЛ-10 был ниже, чем в других группах.

В настоящее время продолжает активно изучаться содержание уровня NO в выдыхаемом воздухе при различных обструктивных заболеваниях легких. Уровень NO в выдыхаемом воздухе был сравнительно выше при сочетанной патологии (р=0,001) и при изолированной тяжелой БА по сравнению с показателями при тяжелой ХОБЛ (р<0,003) (рис.1).

Одним из наиболее важных диагностических методов, используемых в клинике легочных заболеваний, является исследование мокроты. В настоящее время большую распространенность получило исследование индуцированной мокроты [20, 21].
При оценке клеточного состава индуцированной мокроты в группе больных тяжелой аллергической БА в 52% случаев регистрировался эозинофильный биофенотип воспаления, у 13% — малогранулоцитарный, в 27% и 7% случаев — смешанный и нейтрофильный. При ХОБЛ в 65% случаев регистрировался нейтрофильный биофенотип, в 35% — малогранулоцитарный. При сочетанной патологии в большем проценте случаев (51%) встречался смешанный (эозинофильно-нейтрофильный) биофенотип воспаления. В 29% случаев наблюдался малогранулоцитарный, у 11% пациентов регистрировался эозинофильный и у 9% — нейтрофильный биофенотип воспаления.
Результаты проведенного корреляционного анализа свидетельствуют о взаимосвязи клинико-функциональных параметров и показателей про- и противовоспалительных цитокинов. В группе больных БА в сочетании с ХОБЛ выявлена положительная корреляционная связь между содержанием СРБ в плазме крови и частотой госпитализаций (r=0,55; p=0,025), между концентрацией ИЛ-8 и количеством обострений (r=0,735; p=0,004); между уровнем ИЛ-8 в крови и содержанием нейтрофилов в индуцированной мокроте (r=0,8; р<0,001). Кроме того, отмечена взаимосвязь между маркерами системного воспаления и показателями ФВД. Так, показана отрицательная корреляционная связь между ОФВ1 и содержанием ИЛ-8 в крови (r=-0,6; р=0,030); уровнем СРБ и ФЖЕЛ (r=-0,9; р=0,037). Также в этой группе пациентов прослеживается положительная корреляционная связь между уровнем МПО в периферической крови и содержанием NO в выдыхаемом воздухе (r=0,60; р=0,001). Такая связь может быть объяснена следующими патофизиологическими механизмами: во-первых, NO является донором для гемовой группы МПО, а во-вторых, NO может служить физиологическим субстратом МПО, т. к. он является продуктом цитокин-индуцибельной NO-синтазы (iNOS), которая содержится в нейтрофилах [9].
Таким образом, проведенный анализ свидетельствует о том, что сочетание БА и ХОБЛ характеризуется клиническими, функциональными и лабораторными особенностями. Полученные нами данные о преобладании смешанного биофенотипа воспаления в дыхательных путях при сочетании БА и ХОБЛ частично объясняют неэффективность фармакотерапии, что приводит к более частым обострениям и госпитализациям, снижению показателей ФВД, развитию гиперинфляции. Необходимо проведение дальнейших исследований. В частности, особый интерес представляют разработка лечебных программ и выбор наиболее оптимальных схем лечения.
Выводы
При БА, ХОБЛ и их сочетании отмечается дисбаланс провоспалительных (ИЛ-1β, ИЛ-8) и противовоспалительного (ИЛ-10) цитокинов в периферической крови с преобладанием первых. Универсальным индикатором системного воспаления для всех групп является СРБ, повышенный уровень которого в периферической крови связан с составом индуцированной мокроты, а также уровнем цитокинов и МПО.
При сочетании БА и ХОБЛ отмечается повышение уровня NO в выдыхаемом воздухе и МПО в периферической крови, что ассоциировано с выраженностью бронхиальной обструкции и свидетельствует о развитии и инициации оксидативного и нитрозативного стрессов.
При анализе биофенотипов индуцированной мокроты можно отметить, что при изолированной тяжелой БА преобладает эозинофильный тип, при ХОБЛ (GOLD 3) в большем проценте случаев отмечается нейтрофильный биофенотип воспаления, в то время как при сочетании БА и ХОБЛ в 51% случаев встречается смешанный тип воспаления, в 29% — малогранулоцитарный, в 11% — эозинофильный, и лишь у 9% пациентов отмечается нейтрофильный паттерн воспаления.
Результаты проведенного корреляционного анализа свидетельствуют о наличии связи клинико-функциональных параметров с уровнем про- и противовоспалительных цитокинов у больных БА в сочетании с ХОБЛ.
Читайте также:
