Эпифизеолиз головки бедренной кости - лучевая диагностика
Добавил пользователь Владимир З. Обновлено: 21.11.2025
Эпифизеолиз головки бедра - относительно редкое ортопедическое заболевание при котором эпифиз частично либо полностью отделяется от другой части кости в области ростковой зоны.
- Костная патология
- Аневризмальная киста кости (АКК)
- Ахондроплазия
- Болезнь Олье (Дисхондроплазия)
- Вальгусная деформация кости
- Гематогенный остеомиелит
- Гигантоклеточная опухоль
- Диагностика и лечение доброкачественных опухолей, опухолеподобных и воспалительных заболеваний костей
- Дисплазия тазобедренного сустава
- Малоинвазивные методы диагностики и лечение костной патологии
- Метафизарная дисплазия
- Множественная экзостозная хондродисплазия
- Неоссифицирующая фиброма кости
- Несовершенный остеогенез
- Остеоид-остеома кости
- Остеомиелит кости у детей
- Остеосаркома
- Остеосаркома бедренной кости
- Остеохондрома
- Острый гематогенный остеомиелит
- Синовиальный хондроматоз
- Аневризмальная киста позвоночника
- Гемангиома позвоночника
- Деформации позвоночника (сколиозы, кифозы, кифосколиозы)
- Кифоз
- Опухоли позвоночника
- Опухоли позвоночника любой локализации (первичные и метастазы)
- Остеобластома позвоночника и остеоидная остеома
- Остеоид-остеома позвоночника
- Остеохондрома позвоночника
- Спондилолистез
- Спондилоэфизарная дисплазия
- Лечение врожденного вывиха бедра хирургически
- Несовершенный остеогенез. Болезнь Лобштейна-Вролика
- Хирургическая коррекция врожденных и приобретенных деформаций конечностей
- Хирургическое лечение остеохондропатий
- Эпифизеолиз головки бедра
- S-образный сколиоз
- S-образный сколиоз (3—4 степень)
- Врожденная аномалия развития позвоночника
- Грудной сколиоз
- Кифосколиоз
- Поясничный сколиоз
- Сколиоз
- Сколиоз 3-4 степени
- Сколиоз у детей и подростков
- Киста бедренной кости
- Киста большеберцовой и малоберцовой кости
- Киста кости: особенности протекания и лечения у детей и взрослых
- Киста плечевой кости и плечевого сустава
- Киста руки: плеча, локтя и кисти
- Киста стопы: пяточной, таранной кости
- Киста тазобедренного сустава
- Костная киста позвоночника
- Экзостоз бедренной кости
- Экзостоз большеберцовой и малоберцовой кости
- Экзостоз ключицы
- Экзостоз коленного сустава
- Экзостоз кости
- Экзостоз кости ноги
- Экзостоз лопатки
- Экзостоз пальцев рук и ног
- Экзостоз плечевой кости
- Экзостоз стопы и его разновидность пяточный экзостоз
- Экзостозы позвоночника
- Экзостозы рук: поражение плечевого, локтевого сустава, предплечья и кисти
- Воронкообразная деформация грудной клетки
- Килевидная деформация грудной клетки
![]()
![]()
- 1 Юношеский эпифизеолиз головки бедра
- 2 Причины заболевания
- 3 Симптомы заболевания
- 4 Диагностика
- 4.1 Рентген
- 4.2 МРТ, КТ
Эпифизеолиз головки бедра - относительно редкое ортопедическое заболевание при котором эпифиз частично либо полностью отделяется от другой части кости в области ростковой зоны. Это довольно опасная патология, так как при отсутствии лечения могут развиться серьезные осложнения, одно из них - ранний тяжелый артроз тазобедренного сустава, который может становиться причиной инвалидности.
![Эпифизеолиз головки бедра]()
Юношеский эпифизеолиз головки бедра
Заболевание встречается в детском и подростком возрасте, так как именно в этот период идет активный рост костной ткани. Его распространенность составляет около 4-5 случаев на 100 тысяч человек. Мальчики подвергаются заболевания почти в 1.5 раза чаще, чем девочки.
Ростковая пластинка - это зона гиалинового хряща, которая находится на эпифизах костей. По мере роста хряща происходит его замещение костной тканью благодаря чему наблюдается рост костей в длину. Под влиянием негативных факторов целостность пластинки нарушается - возникает эпифизеолиз.
У мальчиков болезнь начинается в 13-14 лет, у девочек в 11-12, что соответствует периоду полового созревания. Но заболевание может возникнуть и в более раннем возрасте - в 5-7 лет. Примерно в 20% больных имеют двухстороннее поражение тазобедренных суставов. После возникновения признаков болезни на одном сочленении, второй страдает в среднем через 1 год.
![Юношеский эпифизеолиз головки бедра]()
Причины заболевания
Этиология болезни до конца не раскрыта, но доказано, что она имеет связь с гормональными нарушениями - их нормальным соотношением. Недостаток половых гормонов и повышение гормонов роста приводит к уменьшению прочности кости, ее разрыхлению. Данные изменения создают условия для смещения эпифизарной части головки бедренной кости. Чем оно сильнее, тем более выражена картина нарушений работы тазобедренного сустава.
Можно выделить ряд факторов, которые провоцируют заболевание:
сахарный диабет и другие эндокринные заболевания;
нарушение работы гипоталамо-гипофизарной системы;
наличие анатомических особенностей в строении бедренной кости;
избыточная масса тела;
нарушение обменных процессов.
Причиной могут становиться травмоопасные виды спорта. Есть высокий риск получить травмы при занятиях гандболом, гимнастикой, волейболом, футболом, некоторыми видами легкой атлетики. Определенную роль в развитии болезни может играть и астеническое телосложение. В данном случае из-за дефицита мышечной ткани на ростковые зоны приходится более высокая нагрузка.
![Травмоопасные виды спорта]()
Симптомы заболевания
Заболевание на ранних стадиях зачастую остается не диагностированным из-за не специфичности симптомов, их слабой выраженности, редкой встречаемости патологии. Проявлениями эпифизеолиза являются:
быстрая утомляемость мышц бедренной, ягодичной области;
периодические боли в области паховой связки;
изменение длины ноги, разворот колена внутрь;
напряжение паховых связок;
снижение амплитуды подвижности в пораженном сочленении;
боль в области сустава при попытки отвести конечность в сторону от центральной оси;
неправильное расположение стопы со стороны поражения.
Болезнь развивается постепенно, сначала наблюдаются периодические боли в области паха либо в колене после физических нагрузок. В дальнейшем появляется хромота, быстрая утомляемость нижней конечности, ограничение движений, которое со временем нарастает. В течение нескольких месяцев наблюдается дистрофия, которая в последующем переходит в полную атрофию мышц в области бедра, ягодиц.
![осмотр паховой зоны у подростков]()
Когда заболевание достигает третьей степени приходит момент, когда больной уже не может передвигаться самостоятельно - ему требуется посторонняя помощь. На данном этапе возрастает риск нарушения целостности капсулы сустава, перелома шейки бедра при физической нагрузки. Из-за того, что мышцы атрофируются, человек не может даже встать на ноги самостоятельно.
В дальнейшем появляются симптомы, которые схожи с переломом шейки бедра. Человека беспокоит постоянная сильная боль в области сустава, пораженная конечность находится в вынужденном положении. На поздних стадиях наблюдается тугоподвижность, верхние отделы кости полностью срастаются в неправильном положении.
Диагностика
Выявлением заболевания занимаются травматологи-ортопеды на основании жалоб пациента, осмотра и данных инструментальным методов диагностики. При выраженной степени патологии постановка диагноза не вызывает особых затруднений, но на ранних этапах ситуация совсем иная - выявить болезнь сложнее. При беседе выясняют жалобы, начало их появления, наличие травм, заболеваний у близких родственников и т.д. Важное значение имеют эндокринопатии, аномалии конституции.
При проведении осмотра обнаруживают боль при пальпации паховой зоны, напряженные, утолщенные связки. Далее проводят ряд функциональных диагностических тестов, которые помогают заподозрить эпифизеолиз. На поздних стадиях заметно смещение голеней, создается ощущение, будто они заплетаются друг за друга, что связано с ротацией бедренной кости.
![Диагностика у детей]()
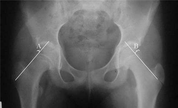
Рентген
Один из основных методов диагностики - рентгенография тазобедренных суставов, которую проводят в двух проекциях. По данным снимков можно обнаружить главные признаки заболевания и поставить правильный диагноз.
На начальных этапах развития определяют рыхлость, размытость очертаний эпифизарной пластины, увеличение ее границ. На эпифизе наблюдаются участки остеосклероза, остеопороза с пятнистой послойной структурой. На поздних стадиях болезни эпифиз головки бедренной кости соскальзывает медиально. На заключительной стадии появляются признаки консолидации перелома, изменение шейки бедра, сужение суставной щели.
МРТ, КТ
Для получения более подробной информации о пораженном суставе в дополнение к рентгенографии назначают КТ либо МРТ. С их помощью можно детализировать патологические изменения, точно оценить жизнеспособность головки бедра. Магнитно-резонансная и компьютерная томография имеют большую ценность в выявлении заболевания на ранних этапах развития. Они помогают точно определять направление, степень смещения, а при тяжелом течении выявлять аваскулярный некроз головки бедра.
![МРТ, КТ заболевания]()
Оперативное лечение
Согласно данным многих исследований, нет никаких консервативных методов лечения, которые бы могли защитить от соскальзывания головки относительно шейки и лежащих ниже отделов бедренной кости. Даже если проводить иммобилизацию, длительную разгрузку конечности смещение все равно нарастает. Поэтому главным и эффективным способом устранения заболевания является операция, во время которой закрепляют головку и шейку.
Вид и метод операции подбирают в индивидуальном порядке с учетом степени эпифизеолиза:
При первой степени развитие заболевания останавливают с помощью фиксации шейки кости и головки спицами на фоне открытой зоны роста. После ее закрытия спицы удаляют.
При хроническом течении патологии проводят эпифизеодез специальными спицами Ноулеза, устанавливают ауто- либо аллотрансплантанты в ростковую зону.
При обострении хронического течения показана трехплоскостная остеотомия бедра, которая помогает централизировать головку кости в вертлужной впадине.
Если у пациента острое смещение эпифиза, то чтобы ему не навредить в первую очередь проводят скелетное вытяжение в течение 3-4-х недель с дозированной внутренней ротацией. В дальнейшем проводят остеосинтез шейки и головки спицами совместно с применением костных трансплантатов.
При пятой степени используют корригирующую остеотомию.
Хирургическое вмешательство проводят с минимальным иссечением тканей.
![Оперативное лечение при эпифизеолизе головки бедра]()
Реабилитация после операции
После операции в течение 3-х недель необходимо соблюдать строгий постельный режим, в дальнейшем назначают расширенный постельный режим. Через 1-1.5 месяца разрешается ходить, но только с помощью костыля - без опоры на прооперированную ногу. Передвигаться без них можно будет спустя 3 месяца.
Пациентам назначают медикаментозную терапию и физиотерапевтические процедуры, такие как электрофорез, дарсонвализацию, а также щадящую лечебную физкультуру. После операции в течение 2-х лет необходимо регулярно приходить на осмотр к врачу. Для оценки состояния сустава 1 раз в 3-4 месяца необходимо рентгенографическое исследование.
![Реабилитация после операции]()
Эпифизеолиз имеет длительный скрытый период, при отсутствии лечения очень высок риск развития тяжелых осложнений. При ранней оперативной коррекции наблюдается выздоровление с достаточным сохранением функционирования сустава. При позднем проведении оперативного вмешательство функция сустава и конечности в целом снижается. При появлении первых подозрительных признаков необходимо сразу обратиться за консультацией к специалисту, чтобы как можно раньше диагностировать заболевание и принять меры.
Более 15 лет практического опыта в травматологии. Обследование и лечение пациентов с заболеваниями коленного и плечевого сустава.
Эпифизеолиз ( Перелом Салтера-Харриса )
Эпифизеолиз - это нарушение целостности кости по линии, которая полностью или частично проходит через хрящевую эпифизарную пластинку (зону роста). Возникает в детском возрасте, до закрытия ростковых зон. Проявляется отеком, болью и нарушением функции. Из-за неярко выраженной симптоматики может ошибочно расцениваться как ушиб. Диагностируется на основании анамнеза, данных объективного обследования, результатов рентгенографии, реже - МРТ и КТ. Лечение обычно консервативное - репозиция с последующей иммобилизацией. Реже осуществляется оперативная фиксация фрагментов.
МКБ-10
Общие сведения
Эпифизеолиз (перелом Салтера-Харриса) - травматическое повреждение костей, которое развивается только у пациентов детского возраста в период продолжающегося роста скелета. Впервые был описан в 1963 году. Составляет около 15% от общего количества переломов у детей. Почти в половине случаев возникает в области лучезапястного и локтевого суставов. Мальчики страдают вдвое чаще девочек. Эпифизеолиз хорошо срастается, но поражение эпифизарной пластинки может повлечь за собой дальнейшее нарушение роста кости.
Причины эпифизеолиза
Причиной повреждения кости становятся бытовые и уличные травмы. Механизм аналогичен вывихам и надрывам связок у взрослых. Эпифизеолиз развивается при резком подворачивании ноги, переразгибании кисти, падении на локоть или плечо, резком рывке за руку, скручивании конечности по оси. Иногда провоцируется быстрым интенсивным сокращением мышц. Предрасполагающими факторами являются:
- Мужской пол. Более частое возникновение эпифизеолиза у мальчиков объясняется двумя обстоятельствами - повышенным уровнем двигательной активности и поздним закрытием ростковых зон по сравнению с девочками.
- Периоды быстрого роста. Неравномерность роста костей и мягких тканей, необходимость адаптации к быстро меняющимся пропорциям тела становятся причиной нескоординированности движений и повышают вероятность травм.
- Астеническое телосложение. Из-за недостаточной мышечной массы ростковые зоны детей-астеников испытывают более высокую нагрузку в сравнении с эпифизарными пластинками нормостеников.
- Травмоопасные виды спорта. Вероятность повреждения конечностей повышается при занятиях футболом, волейболом, гандболом, художественной гимнастикой, некоторыми видами легкой атлетики.
Определенную роль играют обменные расстройства, недостаточное питание и снижение иммунитета. Корреляция между риском развития эпифизеолиза и возрастом ребенка точно не установлена. Одни специалисты указывают, что по статистике большинство повреждений приходится на возраст 10-18 лет. Другие исследователи отмечают, что у маленьких детей травмы чаще остаются недиагностированными из-за смазанной клинической картины и отсутствия изменений на рентгенограммах.
Патогенез
Эпифизарная пластинка - зона гиалинового хряща, которая располагается почти на конце кости, между эпифизом и метафизом. Хрящ растет, а затем замещается костной тканью, что обуславливает рост костей в длину. При повреждении, превышающем прочностные характеристики и эластичность хряща, целостность эпифизарной пластинки нарушается, возникает эпифизеолиз, обычно - с переходом на костные структуры.
Эпифизеолизы развиваются только в тех местах, где капсула сустава крепится к эпифизу или к ростковой зоне - в лучезапястном, локтевом, плечевом и голеностопном суставе, нижней трети бедра. Если эпифизарная пластинка покрыта суставной капсулой, которая прикрепляется к метафизу - повреждение невозможно, поэтому эпифизеолизов верхней трети голени не бывает.
Классификация
Классическая классификация, составленная Салтером и Харрисом с учетом расположения линии перелома, включает пять видов эпифизеолиза:
- 1 тип (6% случаев) - линия располагается в зоне эпифизарной пластинки, не затрагивая эпифиз и метафиз.
- 2 тип (75% случаев) - повреждаются ростковая зона и метафиз, эпифиз остается интактным.
- 3 тип (8% случаев) - поражаются эпифизарная пластинка и эпифиз, метафиз остается интактным.
- 4 тип (10% случаев) - линия проходит через все три структуры: ростковую зону, метафиз и эпифиз.
- 5 тип (1% случаев) - ростковая пластинка сдавливается между метафизом и эпифизом с развитием компрессионного перелома.
Позже были описаны еще четыре типа эпифизеолиза, в том числе с периферическим расположением, вызывающим угловую деформацию, с повреждением надкостницы, с последующим возможным нарушением эндесмального или энхондрального остеогенеза. Эти типы имеют меньшее клиническое значение из-за малой распространенности.
Симптомы эпифизеолиза
После травмы ребенок жалуется на боль. При осмотре выявляется припухлость, покраснение и ограничение движений. При пальпации определяется болезненность в проекции повреждения. Эпифизеолизы не сопровождаются крепитацией отломков, патологическая подвижность отсутствует. Наличие смещения обуславливает деформацию (обычно - нерезко выраженную), при отсутствии смещения контуры сегмента не нарушаются.
Движения нередко ограничиваются незначительно, небольшой отек напоминает ушиб, поэтому родители не обращаются за медицинской помощью. Косвенным признаком эпифизеолиза является повышение температуры тела до 37-38°С из-за всасывания содержимого травматической гематомы в первые дни после травмы.
Осложнения
В отдельных случаях возможно развитие контрактуры Фолькмана, особенно - при преждевременном наложении циркулярной повязки. Основными отдаленными осложнениями эпифизеолизов являются нарушение дальнейшего роста кости и деформация ее суставного конца. В слабо выраженном варианте эти осложнения встречаются достаточно часто. Так, преждевременное исчезновение ростковой зоны с небольшим укорочением выявляется у 15-20% больных, перенесших эпифизеолиз лучевой кости.
Диагностика эпифизеолиза осуществляется детскими ортопедами, может представлять затруднения, особенно у детей младшего возраста. Это обуславливает необходимость настороженности при характерных травмах и важность проведения расширенного обследования при сомнительных результатах базовых исследований. План диагностических мероприятий включает:
- Физикальное обследование. Контуры конечности сохранены или незначительно изменены. При осмотре обнаруживается боль в зоне повреждения, усиливающаяся при попытке активных и пассивных движений. Функция конечности зачастую ограничена умеренно или даже незначительно. Крепитация и патологическая подвижность отсутствуют, поэтому данные признаки не проверяют, чтобы не усугублять страдания пациента.
- Рентгенография. У детей старшего возраста при 2 и 4 типах перелома на снимках просматривается фрагмент метафиза, выявляется смещение ядер окостенения в эпифизарной зоне. У пациентов младшей возрастной группы и больных с остальными типами переломов изменения отсутствуют или нерезко выражены, поэтому в сомнительных случаях выполняют сравнительные рентгенограммы обеих конечностей.
- КТ и МРТ. Не входят в базовую программу обследования, применяются для уточнения данных при неоднозначных результатах рентгеновских снимков или при необходимости оперативного лечения. Позволяют с более высокой достоверностью определять наличие и расположение перелома.
Дифференциальную диагностику эпифизеолизов проводят с ушибами. При различении основываются на данных визуализирующих исследований.
Лечение эпифизеолиза
Лечение в подавляющем большинстве случаев (более 90%) консервативное. При переломах дистальных сегментов без смещения или с небольшим смещением терапия осуществляется амбулаторно. Сложные травмы и повреждения проксимальных сегментов являются показаниями для госпитализации.
Консервативная терапия
Тактику лечения определяют в зависимости от локализации эпифизеолиза, наличия и характера смещения. Возможны:
- Иммобилизация. При переломах без смещения накладывают гипсовую лонгету с захватом двух соседних суставов. Гипс циркулируют не ранее, чем через неделю, чтобы избежать нарушений кровообращения.
- Репозиция. Проводится даже при наличии незначительного смещения. У детей дошкольного и младшего школьного возраста выполняется под наркозом, в остальных случаях возможна местная анестезия. В особо сложных случаях репозицию проводят под рентген-контролем. Затем накладывают гипс, лечение осуществляют по тем же принципам, что при эпифизеолизе без смещения.
- Вытяжение. Применяется очень редко, обычно - при повреждениях плечевой и бедренной костей. Детям до 3 лет накладывают лейкопластырное вытяжение, пациентам старшей возрастной группы - скелетное.
В ходе лечения производят периодические контрольные снимки. Больным назначают физиотерапевтические методики, ЛФК, массаж. Срок иммобилизации определяется локализацией эпифизеолиза.
Хирургическое лечение
Показаниями к операции являются повреждения с ротацией отломка или интерпозицией мягких тканей, открытые травмы, сохранение смещения после двух попыток закрытой репозиции, патологические переломы и неправильно сросшиеся переломы. При фиксации отломков используют простые устройства для остеосинтеза, не повреждающие хрящевую ткань ростковой зоны, обычно - спицы Киршнера. В послеоперационном периоде назначают анальгетики и антибиотики, проводят восстановительные мероприятия.
Прогноз
При своевременно начатом лечении и адекватном устранении смещения прогноз благоприятный. Отломки хорошо срастаются, функция конечности полностью восстанавливается. В отдаленном периоде возможно преждевременное закрытие зоны роста с незначительным (визуально незаметным, не нарушающим функции) укорочением конечности. При сохранении смещения, сложных переломах повышается вероятность деформаций и значимых укорочений.
Профилактика
Первичная профилактика включает в себя предупреждение бытового и уличного детского травматизма, составление продуманных программ тренировок и постоянное наблюдение тренера за детьми, занимающимися спортом. Предупреждение отдаленных последствий заключается в повышенном внимании при обследовании пациентов с подозрением на эпифизеолиз, тщательной коррекции положения отломков, регулярном рентгенологическом контроле, обязательной реабилитации.
2. Особенности диагностики травматического эпифизеолиза/ Мусаев А.И.// Бюллетень медицинских интернет-конференций - 2018 - Т.8, №3.
4. Травматические эпифизеолизы и их рентгенологическая оценка/ Филлипов М.П.// Актуальные вопросы судебной медицины и экспертной практики - 2011 - №17.
Юношеский эпифизеолиз головки бедренной кости
Юношеский эпифизеолиз головки бедренной кости - это патология, при которой эпифиз полностью или частично отделяется от остальной части кости в проекции ростковой зоны. Возникает в пубертатном периоде на фоне эндокринных нарушений. Реже наблюдается при ХПН, после проведения радиотерапии или развивается идиопатически. Проявляется усиливающимися болями, к которым в последующем присоединяются ограничение движений, хромота и повышенная утомляемость конечности. В исходе формируется контрактура. Диагноз выставляется с учетом жалоб, данных осмотра и результатов рентгенографии. Лечение хирургическое - открытый остеосинтез, остеотомия, алло- или аутопластика.
Юношеский эпифизеолиз головки бедренной кости (ЮЭГБК) - достаточно редкое ортопедическое заболевание. Распространенность патологии составляет 4-5 случаев на 100 тыс. человек. Мальчики страдают в полтора раза чаще девочек. Первые проявления болезни обнаруживаются у девочек 11-12 лет и мальчиков - 13-14 лет, возникают одновременно с признаками полового созревания, но в литературе есть указания на возможность манифестации болезни в 5-7-летнем возрасте. Поражение обоих тазобедренных суставов выявляется у 20% пациентов, вторая нога вовлекается в процесс в течение 1 года.
Причины
Причины возникновения юношеского эпифизеолиза изучены недостаточно. Выявлена достоверная связь патологии с гормональными расстройствами и наследственной предрасположенностью. Считается, что в основе этиологии болезни лежит дисбаланс между гормонами роста, выделяемыми передней долей гипофиза, и половыми гормонами в фазе пубертата. В число факторов риска формирования юношеского эпифизеолиза входят:
- ожирение;
- заболевания эндокринной системы;
- половое недоразвитие;
- сахарный диабет;
- крипторхизм;
- гипогонадизм;
- недоразвитие наружных половых органов.
Изредка юношеский эпифизеолиз встречается у худых подростков. Подобные случаи рассматриваются как идиопатические, при применении визуализационных методик обнаруживаются локальные нарушения минерального обмена и ухудшение кровообращения головки бедра. По данным исследователей, иногда заболевание провоцируется рентгенотерапией или ХПН.
Нарушение соотношения между группами гормонов, влияющими на состояние эпифизарной пластинки, повышенная масса тела и определенные анатомические особенности бедренной кости приводят к соскальзыванию эпифиза. Эпифиз медленно смещается кзади и книзу. Шейка бедра вместе с нижним отделом бедренной кости лишается упора и разворачивается кнаружи. Степень нарушения функции тазобедренного сустава напрямую зависит от выраженности смещения эпифизарной зоны.
Выделяют 5 последовательных рентгенологических этапов развития эпифизеолиза головки бедра:
- 1 стадия - предсоскальзывания или предлистеза. Характеризуется патологическими изменениями ростковых зон эпифиза головки, апофизов большого и малого вертелов, гиперостозом верхней части шейки бедра.
- 2 стадия - смещения до предела толерантности сустава. Отмечается хроническое течение, сопровождающееся смещением эпифиза кзади до 30°, уменьшением эпицервикального угла до 60°.
- 3 стадия - смещения за пределы толерантности сустава. Хроническое смещение прогрессирует, головка смещается кзади на 30° и более, эпицервикальный угол составляет менее 60°, шеечно-диафизарный - менее 120°.
- 4 стадия - острого смещения эпифиза. Головка полностью отделяется от шейки, угол между диафизом и шейкой составляет 90-75°, на снимках определяется линия перелома, ранние признаки сращения между шейкой и головкой с сохранением смещения.
- 5 стадия - остаточных деформаций. Верхние отделы бедренной кости полностью срастаются в порочном положении.
Симптомы
Из-за неспецифичности, неяркой выраженности симптомов и незначительной распространенности патологии ранние стадии юношеского эпифизеолиза нередко остаются недиагностированными. Заболевание начинается постепенно с периодических болей в паху либо коленном суставе после физических нагрузок. В последующем развивается хромота, пациенты отмечают быструю утомляемость конечности. Выявляется нарастающее ограничение движений.
При общем объективном обследовании часто обнаруживается тучность, стрии на коже, повышение АД, уменьшение размеров половых органов. При локальном осмотре определяется незначительная или умеренная атрофия мышц в области голени, бедра и ягодицы. Основным клиническим признаком эпифизеолиза является стойкая наружная ротация бедра. Объем вращения кнутри ограничен, кнаружи - увеличен.
Попытки вывести конечность в правильное положение безуспешны, сопровождаются усилением боли. Отведение прямой ноги и наклон туловища кпереди ограничены. Наблюдается положительный симптом Тренделенбурга. Длина пораженной конечности уменьшается на 2-3 см. При попытке встать ровно с симметрично расположенными стопами больная сторона таза смещается кпереди, большие вертелы располагаются не на одной линии.
На 4 стадии симптомы напоминают перелом шейки бедренной кости. Пациенты предъявляют жалобы на сильную боль в проекции тазобедренного сустава. Конечность находится в вынужденном положении, опора невозможна. В анамнезе часто выявляется травма, тяжесть которой не соответствует обнаруженным патологическим изменениям: попытка сесть на шпагат, удар по большому вертелу, падение с велосипеда. На поздних стадиях определяется тугоподвижность.
Основным осложнением заболевания является ранний тяжелый артроз тазобедренного сустава. Ограничение подвижности, обусловленное юношеским эпифизеолизом и прогрессирующими дегенеративными изменениями в суставе, а также нарушение опоры на ногу становятся причиной инвалидизации пациентов.
Поражение головки бедра диагностируется травматологами-ортопедами на основании жалоб, результатов объективного обследования и визуализационных методик. Основным методом обследования является рентгенография тазобедренного сустава. Процедура выполняется в 2 проекциях, наиболее информативна боковая проекция. Изменения зависят от стадии заболевания.
Сначала ростковый хрящ на рентгеновских снимках расширяется, шейка становится слоисто-пятнистой из-за чередования участков остеосклероза и остеопороза. Затем обнаруживается прогрессирующее смещение головки, после этого просматривается линия перелома. На заключительной стадии выявляются признаки консолидации перелома, ремоделирование шейки бедра, сужение суставной щели.
Рентгенографию дополняют компьютерной томографией тазобедренного сустава, проводимой для детализации патологических изменений и оценки жизнеспособности головки бедра. Пациентам назначают консультацию эндокринолога и дополнительные исследования для диагностики гормональных нарушений. Дифференциальную диагностику юношеского эпифизеолиза осуществляют с болезнью Пертеса.
Лечение юношеского эпифизеолиза
По данным многочисленных исследований, не существует консервативных способов лечения, способных предотвратить соскальзывание головки относительно шейки и нижележащих отделов бедренной кости. Смещение нарастает даже при продолжительной разгрузке и иммобилизации конечности. Поэтому основным методом лечения является хирургическое вмешательство, в ходе которого производится фиксация головки и шейки. Металлоостеосинтез дополняется следующими оперативными методами:
- 1 степень - внесуставной эпифизеодез;
- 2 степень - установка алло- либо аутотрансплантатов в ростковую зону;
- 3 степень - межвертельная вальгизирующая деторсионно-ротационная остеотомия;
- 4 степень - закрытая репозиция, установка трансплантатов;
- 5 степень - эпифизеодез в сочетании с корригирующей остеотомией.
Продолжительность строгого постельного режима после операций на бедренной кости составляет 3 недели. Затем назначают расширенный постельный режим еще на 6 недель. Через 1,5 месяца разрешают ходьбу с костылями без опоры на пораженную конечность. Ходьба без костылей возможна через 3 месяца с момента вмешательства.
При поступлении больных с острым смещением эпифиза начале накладывают скелетное вытяжение сроком на 2 недели. В последующем изменяют положение конечности и продолжают вытяжение в течение еще 8 недель, накладывают гипсовую повязку сроком на 12 недель либо выполняют упомянутое выше оперативное вмешательство.
Прогноз определяется временем начала лечения и положением головки бедра в исходе заболевания. При ранней оперативной коррекции возможно выздоровление с достаточным сохранением функции сустава. При попытках консервативной терапии или позднем проведении оперативных мероприятий функциональность конечности снижается. Наиболее неблагоприятный исход наблюдается у больных ХПН, у которых процесс в 90% случаев носит двухсторонний характер, смещение эпифиза превышает 50°.
Первичные профилактические мероприятия не разработаны. Для раннего выявления патологии требуется настороженность специалистов при обнаружении неясных болей в тазобедренном суставе у подростков из группы риска. Профилактика неблагоприятных последствий ЮЭГБК заключается в адекватном выборе метода хирургического лечения с учетом стадии болезни.
Травматические эпифизеолизы и их рентгенологическая оценка
Анатомо-физиологические особенности растущей детской кости и происходящие в ней активные процессы перестройки могут настолько видоизменять течение и проявление патологического процесса, что иногда возникают значительные трудности в диагностике травмы.
Непрочность метафизарного отдела трубчатой кости, наличие рентгено-прозрачных ростковых зон, основных и добавочных ядер окостенения, многочисленные варианты строения растущей кости обусловливают еще одну особенность детской травмы, иногда весьма затруднительную в диагностике - эпифизеолизы и остеоэпифизеолизы. Эпифизеолиз - нарушение целости кости в несозревшем скелете, которое проходит полностью или частично по эпифизарной пластинке роста (полоска хряща, за счет которой у детей осуществляется рост трубчатых костей в длину. Остеоэпифизеолиз - травматический отрыв и смещение эпифиза с частью метафиза по линии росткового хряща до окончания процесса окостенения.
У новорожденных и детей грудного возраста отсутствуют или слабо выражены ядря окостенения в эпифизах, поэтому рентгенологическая диагностика эпифизеолиза и остеоэпифизеолиза без смещения затруднена. Смещение ядра окостенения по отношению к диафизу кости удается выявить только при сравнении со здоровой конечностью на рентгенограммах в двух проекциях. У более старших детей остеоэпифизеолиз диагностируется легче: на рентгенограммах находят отрыв костного фрагмента (осколка) метафиза трубчатой кости.
При диагностике эпифизеолизов и остеоэпифизеолизов имеет значение место прикрепления суставной капсулы к суставным концам кости: они возникают там, где суставная сумка прикрепляется к эпифизарному хрящу кости, например, на лучезапястном и голеностопном суставах, дистальном эпифизе бедренной кости. В местах же, где сумка прикрепляется к метафизу так, что ростковый хрящ покрыт ею и не служит местом ее прикрепления (например, тазобедренный сустав), эпифизеолиза не бывает.
Эпифизеолиз может быть и не травматического генеза - юношеский эпифизеолиз головки бедренной кости, типичный возраст развития которого составляет 12-14 лет. При этом травма в анамнезе может вообще отсутствовать, либо это небольшая травма, которая лишь позволяет выявить имеющийся эрифизеолиз. В таких случаях отмечается боль в тазобедренном суставе, хромота, ограничение движений в суставе. Диагноз уточняется при рентгенологическом исследовании. Юношеский эпифизеолиз - «чистый» эпифизеолиз, который при отсутствии смещения отломков рентгенонегативен и поэтому вызывает трудности диагностики. В распознавании таких эпифизеолизов полезна магнитно-резонансная томография.
В области плечевого сустава головка плечевой кости окостеневает за счет трех ядер окостенения - головки, большого и малого бугорков. Ядро малого бугорка существует очень недолго и почти не улавливается. До 7-8 лет имеются два ядра окостенения, которые затем сливаются, образуя целостную костную головку. Так как ростковая зона головки плечевой кости по передней поверхности расположена горизонтально, а сзади под углом поднимается кверху, то на задней рентгенограмме она образует фигуру треугольника. Основание этого треугольника нередко принимают за линию перелома. В силу анатомических особенностей (капсула сустава прикрепляется у анатомической шейки) в плечевом суставе чаще возникают остеоэпифизеолизы.
Особенно сложным в диагностическом плане является локтевой сустав; для избежания ошибок в трактовке повреждений этого сустава у детей необходимо знать сроки появления ядер окостенения и возрастные особенности каждого из них. В затруднительных случаях необходимо провести сравнительную рентгенографию обоих локтевых суставов. Однако встречаются анатомические варианты односторонней фрагментации ядер окостенения, при которых основную роль в диагностике играют данные анамнеза и результаты клинического обследования.
Неровность очертаний и множественность точек окостенения в блоке плечевой кости являются причиной частых диагностических ошибок. Диагноз перелома блока плечевой кости установить трудно, но возможно. Г.М. Тер-Еглизаров (1978) считает, что косвенным признаком перелома блока является нарушение правильных соотношений костей, образующих локтевой сустав, в боковой проекции. Проксимальный конец локтевой кости вместе с отломком блока смещен кверху и кпереди, что на рентгенограмме проявляется наслаиванием тени метафиза локтевой кости на головчатое возвышение и головку лучевой кости.
Довольно часто у детей наблюдаются надмыщелковые переломы плечевой кости. Это объясняется возрастными анатомическими особенностями ее дистального конца, который изогнут по отношению к диафизу под углом, открытым кпереди. Кость в этом месте истончена, кортикальный слой развит недостаточно, что обусловливает малую прочность данного отдела, особенно у детей в возрасте 7-9 лет. На рентгенограмме локтевого сустава в боковой проекции при этом выявляется следующее: в норме проекция головки мыщелка находится кпереди от продольной оси диафиза плеча, при надмыщелковом переломе - она смещена кзади.
Эпифизеолиз и метаэпифизеолиз головки мыщелка плечевой кости у детей - внутрисуставные переломы, наиболее часто происходящие в возрасте от 4 до 10 лет.
В возрасте 4-8 лет появляется ядро окостенения внутреннего надмыщелка плечевой кости. Внутренний надмыщелок изредка окостеневает из нескольких точек, причем это может наблюдаться лишь на одной стороне. При наличии травмы в анамнезе подобную картину нередко расценивают как перелом. Распознавание остеоэпифизаолиза внутреннего надмыщелка нередко затруднено. В пользу отрыва может свидетельствовать следующее: на рентгенограмме в задней проекции расстояние между апофизом и метафизом плеча увеличивается, но неравномерно; контуры апофиза со стороны метафиза становятся неравномерными, ось апофиза смещается относительно исходного состояния; надмыщелок смещается главным образом медиально и дистально. Синостоз внутреннего надмыщелка наступает в возрасте 15-19 лет.
Ядро окостенения наружного надмыщелка плеча существует непродолжительно: появляется в 9-10 лет и в 12-13 лет сливается с головчатым возвышением. Перелом наружного надмыщелка обычно связан с непрямым механизмом травмы: ребенок падает на кисть вытянутой руки, и основная сила удара передается на локтевой сустав по продольной оси лучевой кости, головка которой упирается в головку мыщелка плечевой кости и откалывает меньшую или большую часть дистального метафиза с наружной стороны, происходит смещение костного отломка (осколка). Причем, если плоскость перелома проходит только через ростковую зону, речь идет об эпифизеолизе головки мыщелка плечевой кости, но чистый эпифизеолиз возникает достаточно редко. Чаще плоскость перелома проходит в косом направлении через дистальный метаэпифиз плечевой кости (снизу и снутри, кнаружи и кверху). Поскольку метафизарный отдел кости менее прочен чем ростковая зона, то обычно наступает эпифизеолиз.
Локтевой отросток, как правило, имеет не менее двух точек окостенения; первая появляется в 7-9 лет, вторая в 10-11 лет. При дифференцировке их от травматических осколков необходимо помнить, что они, как правило, лишены нормальной костной структуры и имеют вид интенсивной тени (глыбки извести).
Синостоз локтевого отростка локализуется, как правило, у его основания, т.е. дистальнее ростковой зоны апофиза.
Значительные трудности нередко представляет диагностика подвывиха головки лучевой кости у детей. Д.Г.Рохлин (1936) предложил следующее правило: ось проксимального конца лучевой кости (выше уровня бугристости), продолженная до головчатого возвышения плечевой кости, делит последнее на две равные части. Это определяется и в профильной, и в атипичной проекциях. При смещениях лучевой кости ось делит головчатое возвышение на две неравные части.
В области тазобедренного сустава в возрасте 13-15 лет появляется ядро окостенения верхненаружного отдела вертлужной впадины, которое может быть принято за отрыв костного фрагмента. Что касается травмы тазобедренного сустава у детей, то наиболее трудными для диагностики являются разрывы У-образного хряща и травматические эпифизеолизы головки бедренной кости без смещения. Нередко диагноз устанавливают только по более поздним рентгенологическим симптомам: преждевременному синостозированию зон роста, резорбции в области головки или появлению периостальной мозоли. Вместе с тем необходимо дифференцировать травматический эпифизеолиз головки бедра от юношеского эпифизеолиза. Отличительным признаком является то, что травматический эпифизеолиз - всегда остеоэпифизеолиз, выявляется в возрасте 6-8 лет и ему предшествует значительная травма. Юношеский эпифизеолиз - только эпифизеолиз («чистый» эпифизеолиз) и травма в анамнезе может вообще отсутствовать.
Определенные диагностические трудности могут возникнуть и при исследовании коленного и голеностопного суставов в случае их травматизации.
Дольчатый надколенник, особенно двудольчатый, иногда ошибочно трактуют как перелом. При дольчатом надколеннике смежные контуры гладкие, покрыты замыкающей пластинкой, контуры фрагментов закруглены. Из травматических повреждений в области коленного сустава у детей чаще всего встречается эпифизеолиз дистального эпифиза бедренной кости. Его диагностика до 4-5 лет затруднительна, поскольку эпифиз по ширине значительно меньше метафиза и отделен от него широкой эпифизарной зоной. Однако в этом возрасте эпифизеолиз данной локализации встречается крайне редко.
В проксимальном эпифизе большеберцовой кости эпифизеолизы возникают крайне редко, так как проксимальный конец кости окружен мощными связками и сухожилиями. Окостенение дистального эпифиза большеберцовой кости происходит за счет костного зачатка, появляющегося через 1,5-2 года после рождения. Так по данным Н.С.Косинской (1958), точка окостенения возникает в медиальной половине хрящевого эпифиза и нередко у детей до 5-6 лет сохраняет это эксцентричное положение, которое иногда ошибочно расценивают как эпифизеолиз.
У верхушки внутренней лодыжки в 9-13 лет появляется добавочное ядро окостенения os subtibialis, которое обычно сливается с основной частью эпифиза в 12-14 лет. Os subtibialis нередко принимают за отрыв костного фрагмента. Все связки голеностопного сустава прикрепляются ниже эпифизарной линии, в связи с чем при травме создаются благоприятные условия для эпифизеолиза. При травме медиального отдела сустава происходит эпифизеолиз медиального фрагмента эпифиза. При этом медиальный отдел ростковой зоны выглядит расширенным, а в центральном отделе эпифиза нередко видна вертикальная линия перелома.
При травме латерального отдела сустава чаще всего происходит остеоэпифизеолиз наружной лодыжки. При остеоэпифизеолизе большеберцовой кости линия перелома метафиза поднимается вверх от ростковой зоны и происходит отрыв довольно крупного фрагмента клиновидной формы от заднее-наружного отдела метафиза большеберцовой кости. На рентгенограмме в задней проекции этот вид перелома улавливается с трудом, при этом очень информативна боковая рентгенограмма (Сhigot P.L., Estcve P., 1967). В тех случаях, когда ядер окостенения еще нет или эпифизарные зоны широкие, диагноз эпифизеолиза устанавливают по рентгенограмме, произведенной на 10-й день после травмы, поскольку в это время появляется периостальная мозоль. В сомнительных случаях производят рентгенограмму аналогичного сустава неповрежденной конечности. Иногда эпифизеолизы не проявляются рентгенографически.
Таким образом, рентгенодиагностика повреждений длинных трубчатых костей и суставов конечностей у детей, должна основываться, прежде всего, на знании их анатомо-физиологических, клинических и рентгенографических особенностей. Правильная и своевременная диагностика костной травмы является залогом не только правильного выбора врачом лечебной тактики, но также позволит судебно-медицинскому эксперту в содружестве с рентгенологом делать обоснованные выводы о ее механизме.
Вместе с тем, как показывает практика, производство рентгенограмм в двух стандартных общепринятых проекциях не всегда дает возможность эксперту четко определить механизм образования переломов в связи с тем, что может происходить смещение отломков не только по ширине и длине, но и изменение положения при вращении - это во первых; во вторых - морфологическая структура переломов костей в детском возрасте отличается от таковой у взрослых лиц, что требует определенных знаний детской травмы, а также выявление этих признаков и их трактовка на рентгенограммах. Все выше изложенное позволяет сделать вывод о том, что для более точного установления перелома и механизма его образования, рентгенографию костей необходимо производить в трех положения конечности, как например производится сигналитическая фотосъемка в судебной фотографии.
Эпифизеолиз — что это такое и как его лечить?
Осложнение при запущенном эпифизеолизе Клинические симптомы остеоэпифизеолиза Классификация болезни по развитию Симптомы развития эпифизеолиза Эпифизеолиз - внешние проявления патологии Диагностические меры при эпифизеолизе
Эпифизеолиз - это тяжёлое заболевание, при котором происходит повреждение ростковой зоны кости в области её головки вследствие перелома. Данная патология также известна как остеоэпифизеолиз. Такое название болезнь получила из-за того, что пластинки, обеспечивающие рост трубчатых костей в длину располагаются на концах кости - эпифизах.
Что за болезнь
Остеоэпифизеолиз встречается только у детей и подростков, так как в этом возрасте активно растут кости. У взрослого человека области деления на головке закрывает эпифизарная линия, представляющая собой плотную костную ткань, переломы в которой не возникают. Вследствие развития патологии прекращается рост костей в длину, а из-за повреждения происходит смещение концевых отделов и образование деформации конечностей. Среди клиницистов данная патология называется как перелом Салтера — Харриса в честь учёных, открывших и описавших ее.
![Эпифизеолиз - внешние проявления патологии]()
Для понимания развития патологии необходимо знать основные части трубчатой кости:
- Диафиз - тело кости, находится в центре;
- Эпифиз - это утолщенные концы. Различают проксимальный (верхний или головка) и дистальный (нижний). В них находятся клетки, обеспечивающие рост костей в длину;
- Метафиз - участок между диафизом и эпифизом.
Этиология
Точных причин развития эпифизеолиза не установлено, но врачи выделяют несколько факторов риска. По данным статистических исследований чаще всего у детей развивается остеоэпифизеолиз при следующих условиях:
- Отягощённая наследственность - по данным генетиков заболевание имеет аутосомно-доминантный тип наследования. Риск развития патологии возрастает у каждого второго перворожденного в семье;
- Возрастные перестройки организма - в переходном возрасте на фоне гормональных скачков возникают постоянные изменения концентрации гормонов роста, приводящие к изменению активности ростковых клеток головки трубчатой кости и возможному развитию остеоэпифизеолиза;
- Травмы эпифизов костей - способствуют развитию эпифизеолиза и многочисленные повреждения, приводящие к нестабильности ростковых зон на клеточном уровне.
Важно!
При травмах костей тазобедренного сустава эпифизеолиз встречается гораздо реже, чем при повреждении костей нижней части голени. Это объясняется тем, что тазобедренный сустав защищён мощными связками и мышцами, в отличие от голеностопа.
На основании статистических данных учёные выделяют несколько факторов риска, способствующих развитию эпифизеолиза головки трубчатых костей:
- Дети, быстро растущие и развивающиеся;
- Преимущественно мальчики;
- Активно занимающиеся подвижными видами спорта.
Как развивается патология
Точного механизма развития остеоэпифизеолиза не установлено. По гипотезе учёных под действием причинных факторов происходит ослабление прочности на границе головки кости, которая при сокращениях мышц испытывает нагрузки. Резкие движения (бег или прыжки) вначале приводят к постепенной деформации, а затем могут и спровоцировать перелом в ослабленной зоне со смещением эпифиза.
![Симптомы развития эпифизеолиза]()
Классификация заболевания
По МКБ-10 заболевание обозначается шифром М 91-93, в зависимости от локализации поражения. Для удобства используется несколько разновидностей классификации остеоэпифизеолиза.
По типу перелома
Данная классификация описана авторами - Салтером и Харрисом, открывшими первые пять форм заболевания. В дальнейшем Рангом и Огденом были добавлены ещё четыре патологии, которые встречаются гораздо реже.
Основные типы заболевания:
- I - самый тяжёлый, при котором перелом располагается поперечно и захватывает всю ростковую зону;
- II - характеризуется переломом, проходящим через эпифизарную пластинку и затрагивая метафиз;
- III - повреждение затрагивает головку и ростковую область;
- IV - вертикальный перелом проходит через ростковую область, повреждая метафиз и эпифиз с возможным его смещением;
- V - перелом ростковой зоны вертикальной нагрузкой;
- VI - возникает при повреждении ростковой зоны и угловых перемещений частей кости;
- VII - это закрытый остеоэпифизеолиз. Характеризуется обособленным переломом зоны роста, без смещения головки и метафиза;
- VIII - повреждение эпифизарной пластинки и образованием преждевременных зон окостенения;
- IX - травма надкостницы в зоне роста.
На заметку!
Лидирующие позиции по детской инвалидизации занимает юношеский эпифизеолиз головки бедренной кости. При малейших подозрениях на нестабильность тазобедренного сустава следует обратиться к врачу.
Классификация по стадиям развития
По данному признаку различают следующие виды остеоэпифизеолиза:
- Период предвестников - на этой стадии перелом отсутствует, но имеются признаки, говорящие о слабости эпифизарной зоны -болезненность после физической нагрузки, ощущение дискомфорта в зоне поражения;
- Острая стадия - характеризуется выраженными проявлениями клинических симптомов;
- Хроническая стадия - образуется деформированное срастание головки с метафизом. Развивается при отсутствии лечения.
![Классификация болезни по развитию]()
Классификация по степени повреждения
В зависимости от смещения отломленных участков различают следующие формы остеоэпифизеолиза:
- I степень - угол при переломе составляет менее 30°;
- II степень - угол между повреждёнными костными элементами 30-50°;
- III степень - самое тяжёлое проявление, эпифиз по отношению к метафизу находится под углом более 50°.
Клиническая картина
Клинические проявления заболевания характеризуются постепенным появлением симптомов остеоэпифизиолиза, так как эпифизарная пластинка истончается и под воздействием нагрузки возможно развитие перелома. Данные признаки появляются не всегда. К таким симптомам относятся:
- Эпизодические боли в крупных суставах нижней конечности;
- Изменение походки в виде прихрамывания из-за укорочения одной ноги;
- На поражённой стороне стопа разворачивается наружу.
Важно!
Если у вашего ребёнка периодически возникает дискомфорт, болезненность в суставах и соседних областях, требуется консультация лечащего врача.
Остеоэпифизеолиз также может привести к недостаточному развитию половых желёз, гипотрофии наружных мышц таза и голени, периодическим падением артериального давления.
Вне зависимости от поражённого сустава при возникновении перелома характерны следующие симптомы:
- Сильная боль в суставе, усиливающаяся при попытке пошевелить пальцами или переместить больную ногу;
- Появление отёка и подкожного кровотечения в поражённой области.
Особенности течения остеоэпифизеолиза костей тазобедренного сустава
Эпифизеолиз головки бедренной кости протекает с выраженным болевым симптомом в боковой области таза. Поражённая нога повёрнута наружу, наблюдаются ограничения поворота обеих ног в стороны - данное движение сопровождается болью. Амплитуда при вращении бедра поражённой конечности больше нормы. Перелом может возникнуть как в области головки, так и шейки бедра.
Основные клинические симптомы остеоэпифизеолиза:
- Симптом Гофмейстера - во время сгибания в коленном и тазобедренном суставе происходит поворот бедра кнаружи и его отклонение в бок;
- Симптом Тренделенбурга - если пациент стоит на больной ноге, то вторая половина таза опускается;
- Симптом ротации таза - если больной стоит на обеих ногах, то с поражённой стороны отмечается отклонение таза вперёд;
- Симптом перекрещивающихся голеней - при эпифизеолизе голень с больной стороны перекрещивает здоровую ногу, при двустороннем процессе наблюдается двусторонний перекрёст.
На заметку!
Симптомы проверяет медицинский работник. Самостоятельный осмотр без лечащего врача может навредить ребёнку.
![Клинические симптомы остеоэпифизеолиза]()
Поражение коленной чашечки
Остеоэпифизеолиз надколенника характеризуется возникновением сильной боли при разгибании голени. Это объясняется тем, что он входит в состав сухожилия четырёхглавой мышцы бедра и является мощным блоком при её сокращении. При разрыве чашечки отмечается сильнейшая боль в колене, невозможность разгибания голени и развитие гематомы.
Другие поражения нижней конечности
Помимо разрушения головки бедренной кости в патологию могут вовлекаться голень и стопа. Эпифизеолиз большеберцовой кости встречается крайне редко, развивается только при серьёзных гормональных или эндокринных расстройствах. Причиной перелома является резкий удар в переднюю область эпифиза.
Верхняя часть редко подвергается переломам, поскольку укреплена суставной капсулой и рядом расположенными мышцами. При остеоэпифизеолизе верхнего мыщелка большеберцовой кости возникает сильная боль в верхней части голени, развивается её скольжение относительно коленного сустава. Возможно образование шишки на передней поверхности, которая образуется при отклонении головки от метафиза. Затем образуется отёк и гематома.
Эпифизеолиз наружной лодыжки у детей возникает при резком отведении стопы, в результате чего возникает боковой перелом ростковой зоны нижнего эпифиза малоберцовой кости. Клиническая картина характеризуется сильным отёком голени и стопы, болью, которая не даёт ребёнку встать на поражённую ногу. Если доктор тянет наружный край стопы вверх, отмечается отклонение лодыжки вбок.
Эпифизеолиз пяточной кости возникает под действием осевой нагрузки, когда голень кратковременно «сдавливает» пяточную кость. Возникает перелом пяточной кости на две части.
Симптоматика сопровождается болями в области пятки, которая усиливается при попытке встать на поражённую ногу, гематомой и отёком в области лодыжки.
Эпифизеолиз выявляется при внешнем осмотре лечащего врача, а также на основании рентгенологического исследования. В качестве дополнительных методов возможно назначение компьютерной томографии и ядерного магнитного резонанса. По данным последней методики определяется способность поражённой головки к восстановлению. КТ показывает переломы более детально, назначается для уточнения характера повреждений.
![Диагностика периартрита коленного сустава]()
Осмотр лечащего врача
Первым этапом диагностики является осмотр пациента. Общими внешними признаками остеоэпифизеолиза являются отёк и гематома в области поражения (выше или ниже сустава), скольжение эпифиза при сгибании или разгибании.
Рентгенографическое исследование
Для окончательного подтверждения диагноза назначается рентген в передней и боковой проекциях. Внешние проявления эпифизеолиза на снимках характеризуют стадию заболевания:
- На начальных этапах патологии отмечается размытость и рыхлость очертаний эпифизарной пластины, расширение её границ. На рентгене в области эпифиза выявляются участки остеосклероза и остеопороза, которые имеют послойно пятнистую структуру;
- На поздних этапах остеоэпифизеолиза отмечается укорочение поражённой кости, смещение эпифиза и его соскальзывание назад на 2-3 мм, уменьшение угла между головкой и шейкой кости. При развитии эпифизеолиза головки бедренной кости на рентгене отмечается: нарушение поверхности шейки - вместо полукруглой становится гладкой и прямой, укорочение шейки и образование шипа на передне-верхней поверхности.
Если не начать своевременное лечение, то эпифизеолиз может нанести серьёзный вред здоровью и привести к инвалидности. Поражённая кость перестаёт расти в длину и деформирует поражённую ногу. Вторым серьёзным осложнением является отмирание пораженных тканей и образование гангрены.
Важно!
При диагностике и лечении остеоэпифизеолиза на ранних стадиях - прогноз благоприятный.
![Осложнение при запущенном эпифизеолизе]()
Лечение
При возникновении перелома эпифиза больному необходима срочная медицинская помощь. Лечение подбирается в зависимости от стадии заболевания. Наиболее часто встречаются первые пять типов эпифизеолиза, к которым подбирается необходимая терапия:
- I тип - при поперечном переломе устанавливается спица для фиксации эпифиза;
- II тип - при данной форме достаточно наложить гипсовую фиксирующую повязку;
- III тип - серьезное поражение, требующее фиксации частично отломленного мыщелка при помощи винтового соединения;
- IV тип - полностью отколотый эпифиз соединяют при помощи скелетного вытяжения с последующим остеосинтезом головки с использованием спиц и трансплантата;
- V тип - сдавленный перелом без смещения фиксируется гипсовой повязкой.
Все эти операции выполняются с минимальным иссечением тканей. Открытые хирургические вмешательства нежелательны, поскольку велика вероятность инфицирования с последующим некрозом головки кости и утратой функции сустава.
Своевременное обращение к врачу при эпифезиолизе - гарантия быстрого и полного выздоровления. Самолечение может ухудшить состояние пациента и привести к инвалидности.
Читайте также:
















