ЭРХПГ, КТ, МРТ, УЗИ признаки холангиопатии при СПИД
Добавил пользователь Евгений Кузнецов Обновлено: 15.12.2025
Информацию из данного раздела нельзя использовать для самодиагностики и самолечения. В случае боли или иного обострения заболевания диагностические исследования должен назначать только лечащий врач. Для постановки диагноза и правильного назначения лечения следует обращаться к Вашему лечащему врачу.
Для корректной оценки результатов ваших анализов в динамике предпочтительно делать исследования в одной и той же лаборатории, так как в разных лабораториях для выполнения одноименных анализов могут применяться разные методы исследования и единицы измерения.
Холангит: причины появления, симптомы, диагностика и способы лечения.
Определение
Холангитом называют воспаление желчных протоков. Желчь - это желтая, коричневая или зеленоватая жидкость, вырабатываемая клетками печени и необходимая для осуществления процесса пищеварения (желчь обеспечивает «дробление» жира на мелкие фракции (эмульгирование), активирует ферменты (липазу) поджелудочного и кишечного сока, облегчает всасывание жирорастворимых витаминов, усиливает перистальтику кишечника и обладает бактерицидными свойствами). Образуясь в печени, желчь течет по внутрипеченочным желчным протокам, которые объединяются в левый и правый долевые желчные протоки, выходящие за пределы печени и объединяющиеся в общий печеночный проток. Процесс выработки желчи в организме происходит постоянно, хотя нужна она только во время пищеварения, когда пища находится в желудке. Поэтому желчь хранится в желчном пузыре до тех пор, пока не потребуется. Когда в желудок попадает пища, по пузырному протоку желчь начинает поступать в двенадцатиперстную кишку.

Холангит - это воспаление, которое может возникнуть в любом из перечисленных вне- и внутрипеченочных желчных протоков.
Причины возникновения холангита
Привести к холангиту могут вирусы (вирусный гепатит) и бактерии (кишечная палочка, клебсиелла, протей, стафилококк, энтерококк, неклостридиальная анаэробная инфекция, микобактерии туберкулеза, брюшнотифозная палочка, бледная спирохета), а также паразитарные заболевания (описторхоз, аскаридоз, лямблиоз, стронгилоидоз, клонорхоз, фасциолез).
Для развития воспалительного процесса в желчных протоках должны создаться определенные условия. Во-первых, должен быть возбудитель, так как желчь обычно стерильна. Вторым фактором является нарушение оттока желчи в результате обструкции (закупорки) желчных протоков, например, из-за образования камня, опухоли, стриктуры (патологического сужения), при повреждении желчных протоков во время операции или вследствие проведения лучевой терапии.
Наиболее частая причина острого холангита - холедохолитиаз (камень в желчных протоках) - на него приходится до 88% случаев.
Кроме того, стать причиной нарушения движения желчи в тонкую кишку могут заболевания двенадцатиперстной кишки, поджелудочной железы, кисты общего желчного протока, болезнь Кароли, дискинезия сфинктера Одди, «синдром культи пузырного протока». Обструкцию могут вызвать паразиты, попавшие в желчные протоки. Так называемые «рефлюксные холангиты» возникают при патологическом забросе содержимого тонкой кишки в желчевыводящие пути.
Другим видом холангита является первичный билиарный холангит (ПБХ) - редкое заболевание, поражающее в основном женщин и возникающее в результате аутоиммунного воспалительного поражения печени. Точные причины развития этой патологии неизвестны.
Выделяют также первичный склерозирующий холангит (ПСХ), причины развития которого также до сих пор не установлены. Предполагают роль как генетических, так и приобретенных факторов: например, вирусные инфекции, генетическую предрасположенность, действие иммунных механизмов, портальную бактериемию (попадание бактерий в воротную вену печени), абсорбируемые кишечные токсины, токсичные желчные кислоты, токсическое воздействие меди. Первичный склерозирующий холангит часто сочетается с другими аутоиммунными заболеваниями, например, с целиакией или неспецифическим язвенным колитом, поэтому в его развитии, вероятно, играют значимую роль нарушения иммунных механизмов.
Классификация заболевания
По течению холангит подразделяют на острый и хронический.
В зависимости от причины холангит бывает:
- первичный (бактериальный, гельминтозный, аутоиммунный, первичный склерозирующий);
- вторичный;
- симптоматический.
Также выделяют катаральный, гнойный, обструктивный и деструктивный негнойный холангиты.
Симптомы холангита
Острый холангит
Острый холангит сопровождается повышением температуры тела, ознобом, тошнотой и рвотой, появляется боль в правом подреберье и/или эпигастрии (в верхней части живота), повышается давление. Кожа и слизистые приобретают желтую окраску, появляется кожный зуд, моча становится темной, а кал - обесцвеченным. Пациенты жалуются на сухость во рту, выраженную слабость, возможны нарушения психики и изменение сознание.
Окрашивание кожи и слизистых в желтый цвет возникает, когда в крови слишком много билирубина - пигмента, входящего в состав желчи. При холангите желтуха носит механический характер, то есть она вызвана блокадой оттока желчи. При повышении содержания желчных кислот в крови нервные окончания раздражаются, и больных беспокоит сильный зуд. Пигмент выводится из организма почками, и моча приобретает темный цвет. При обструкции протоков желчь не попадает в кишечник, из-за чего кал не может приобрести характерный оттенок и имеет цвет «белой глины».
Тяжелое течение острого холангита сопровождается развитием полиорганных нарушений с возможным поражением сердечно-сосудистой, дыхательной систем, нарушением функции печени, почек, гематологической и неврологической дисфункцией.

Хронический холангит
Хронический холангит проявляется тупыми неинтенсивными болями в правом боку, чувством распирания в эпигастрии, утомляемостью, слабостью, повышением температуры до субфебрильных значений (до 38оС). В запущенных случаях развивается желтуха.
Диагностика холангита
На амбулаторном этапе проводят следующе исследования:
- общий (клинический) анализ крови;
Синонимы: Общий анализ крови, ОАК. Full blood count, FBC, Complete blood count (CBC) with differential white blood cell count (CBC with diff), Hemogram. Краткое описание исследования Клинический анализ крови: общий.
Холангиопатия при СПИДе
Холангиопатия при СПИДе представляет собой билиарную обструкцию вследствие билиарных стриктур, вызванных различными оппортунистическими инфекциями.
До начала использования антиретровирусной терапии холангиопатия встречалась у 25% пациентов со СПИДом СПИД Инфекция вирусом иммунодефицита человека (ВИЧ) вызывается одним из 2 похожих ретровирусов (ВИЧ-1 и ВИЧ-2), которые разрушают CD4+ лимфоциты и ослабляют клеточный иммунитет, увеличивая риск оппортунистических. Прочитайте дополнительные сведения Cryptosporidium parvum). Другие инфекционные агенты включают цитомегаловирусы Цитомегаловирусная инфекция (ЦМВ) Цитомегаловирус (ЦМВ, вирус герпеса человека 5 типа) может вызывать инфекции широкого диапазона тяжести. Синдром, инфекционного мононуклеоза без тяжелого фарингита, - распространенное явление. Прочитайте дополнительные сведения , микроспоридии Микроспоридиоз Микроспоридиоз - инфекция, вызываемая microsporidia. Клиническая симптоматика развивается в основном у пациентов со СПИДом и включает хроническую диарею, диссеминированную инфекцию и заболевания. Прочитайте дополнительные сведения и виды циклоспоры (Cyclospora). У большинства пациентов развиваются стеноз папиллы, внутрипеченочный или внепеченочный склерозирующий холангит Склерозирующий холангит Склерозирующий холангит - хронический холестатический синдром, который характеризуется воспалением, фиброзом и нарушением структуры внутрипеченочных и внепеченочных желчных протоков. Прогрессирующее. Прочитайте дополнительные сведения . Более половины имеют оба отклонения.
Среди клинических симптомов часто встречаются боль в правом верхнем квадранте живота и эпигастрии, диарея. В более редких случаях наблюдаются лихорадка и желтуха Желтуха Желтуха - это окрашивание кожи и слизистых в желтый цвет, вызванное гипербилирубинемией. Желтуха становится видимой при повышении билирубина примерно от 2 до 3 мг/дл (34-51 мкмоль/л). (См. также. Прочитайте дополнительные сведения Cryptosporidium. Основной признак - водянистая диарея, часто с другими признаками нарушения по желудочно-кишечного тракта. Болезнь. Прочитайте дополнительные сведенияДиагностика холангиопатии при СПИДе
Обычно УЗИ и эндоскопическая ретроградная холангиопанкреатография (ЭРХПГ)
Визуализация Визуальные исследования печени и желчного пузыря Визуальные методы исследования позволяют точно диагностировать патологию билиарного тракта и важны для определения очаговых повреждений печени (например, абсцесс, опухоль). Они ограничены в. Прочитайте дополнительные сведения 95%). Тем не менее, эндоскопическая ретроградная холангиопанкреатография зачастую является необходимой процедурой. Эндоскопическая ретроградная холангиопанкреатография дает возможность установить диагноз, позволяет врачам взять пробу для биопсии из тонкого кишечника, чтобы выявить возбудителя болезни. и обеспечивает возможность ослабления стриктуры. КТ и магнитно-резонансная холангиопанкреатография играют поддерживающую диагноз роль.
Лечение холангиопатии при СПИДе
Эндоскопическая сфинктеротомия, часто выполняемая во время эндоскопической ретроградной холангиопанкреатографии, может значительно облегчить боль, желтуху Желтуха Желтуха - это окрашивание кожи и слизистых в желтый цвет, вызванное гипербилирубинемией. Желтуха становится видимой при повышении билирубина примерно от 2 до 3 мг/дл (34-51 мкмоль/л). (См. также. Прочитайте дополнительные сведенияУрсодезоксихолевая кислота может играть роль в лечении внутрипеченочного протокового склероза и холестаза.
Авторское право © 2022 Merck & Co., Inc., Rahway, NJ, США и ее аффилированные лица. Все права сохранены.
Холангит
Холангит - это неспецифическое воспалительное поражение желчных протоков острого или хронического течения. При холангите отмечается боль в правом подреберье, лихорадка с ознобами, диспепсические расстройства, желтуха. Диагностика холангита включает анализ биохимических показателей крови, проведение фракционного дуоденального зондирования с бакисследованием желчи, УЗИ, чрескожной чреспеченочной холангиографии, РХПГ. В лечении холангита используется антибиотикотерапия, дезинтоксикационная терапия, назначение ферментов, ФТЛ (грязелечение, хлоридно-натриевые ванны, парафино- и озокеритотерапия, УВЧ, диатермия), иногда - хирургическая декомпрессия желчных путей.
МКБ-10
Общие сведения
При холангите могут поражаться внутри- или внепеченочные желчные протоки. Заболевание чаще возникает у женщин в возрасте 50—60 лет. Изолированный холангит развивается редко. В практической гастроэнтерологии холангит, как правило, диагностируется совместно с гастродуоденитом, холециститом, гепатитом, желчнокаменной болезнью, панкреатитом. Заболевание может носить острое или хроническое течение.
Причины холангита
В этиологическом отношении различают инфекционный и асептический холангит. Инфекционные холангиты могут иметь бактериальную, вирусную, паразитарную этиологию:
- Бактериальные холангиты. Большая часть холангитов обусловлена попаданием в желчные протоки микробных возбудителей (чаще - кишечной палочки, протея, стафилококков, энтерококков, неклостридиальной анаэробной инфекции, реже — микобактерий туберкулеза, брюшнотифозной палочки, бледной спирохеты). Микроорганизмы проникают в желчные ходы преимущественно восходящим путем из просвета 12-перстной кишки, гематогенным - через воротную вену, лимфогенным - при холецистите, панкреатите, энтерите.
- Вирусные холангиты. Мелкие внутрипеченочные желчные протоки, как правило, воспаляются при вирусном гепатите.
- Паразитарные холангиты. Чаще всего развиваются при сопутствующем описторхозе, аскаридозе, лямблиозе, стронгилоидозе, клонорхозе, фасциолезе.
Асептический ферментативный холангит может развиваться в результате раздражения стенок желчных ходов активированным панкреатическим соком, имеющим место при панкреатобилиарном рефлюксе. В этом случае вначале возникает асептическое воспаление, а присоединение инфекции происходит вторично, в более позднем периоде. По асептическому типу также протекает склерозирующий холангит, обусловленный аутоиммунным воспалением желчных протоков. При этом, наряду со склерозирующим холангитом, часто отмечаются неспецифический язвенный колит, болезнь Крона, васкулит, ревматоидный артрит, тиреоидит.
Предрасполагающие факторы
Предпосылками для развития холангита служит холестаз, встречающийся при:
- дискенезии желчевыводящих путей;
- аномалиях желчных ходов;
- кисте холедоха;
- раке желчных путей;
- холедохолитиазе;
- стенозе фатерова сосочка.
Предшествовать началу холангита могут ятрогенные повреждения стенок протоков при эндоскопических манипуляциях (ретроградной панкреатохолангиографии, установке стентов, сфинктеротомии), оперативных вмешательствах на желчных путях.
Классификация
Течение холангита может быть острым и хроническим. В зависимости от патоморфологических изменений острый холангит может принимать катаральную, гнойную, дифтеритическую или некротическую форму.
- Катаральный холангит. Характеризуется гиперемией и отеком слизистой желчных протоков, лейкоцитарной инфильтрацией их стенок, десквамацией эпителия.
- Гнойный холангит. Происходит расплавление стенок желчных ходов и образование множественных абсцессов.
- Дифтеритический холангит. Протекает тяжело, характеризуется образованием фибринозных пленок на стенках желчных ходов
- Некротический холангит. Крайне тяжелый вариант с появлением очагов некроза.
Наиболее часто встречается хронический холангит, который может развиваться как исход острого воспаления или с самого начала приобретать затяжное течение. Выделяют следующие формы хронического воспаления:
- латентная;
- рецидивирующая;
- длительно текущая септическая;
- абсцедирующая;
- склерозирующая. При склерозирующем холангите в стенках желчных ходов разрастается соединительная ткань, что вызывает стриктуры желчных протоков и еще большую их деформацию.
По локализации воспаления различают холедохит (воспаление холедоха - общего желчного протока), ангиохолит (воспаление внутрипеченочных и внепеченочных желчных ходов), папиллит (воспаление фатерова сосочка).
Симптомы холангита
Острый холангит
Клиника острого холангита развивается внезапно и характеризуется триадой Шарко: высокой температурой тела, болями в правом подреберье и желтухой.
В тяжелых случаях к триаде Шарко могут присоединяться нарушения сознания и явления шока - в этом случае развивается симптомокомплекс, называемый пентадой Рейнолдса.
Хронический холангит
Клинические проявления хронического холангита носят стертый, но прогрессирующий характер. Заболевание характеризуется тупыми болями в правом боку слабой интенсивности, ощущением дискомфорта и распирания в эпигастрии. Желтуха при хроническом холангите развивается поздно и свидетельствует о далеко зашедших изменениях. Общие нарушения при хроническом холангите включают субфебрилитет, утомляемость, слабость.
Осложнения
В половине случаев наблюдаются неосложненные формы холангита, у 40% пациентов развиваются осложнения, у 10% - полиорганная недостаточность. Осложнениями холангита могут стать холецистопанкреатит, гепатит, биллиарный цирроз печени, печеночная недостаточность. Септические осложнения представлены множественными абсцессами печени, перитонитом, сепсисом, инфекционно-токсическим шоком.
Диагностика
Заподозрить холангит, как правило, удается на основании характерной триады Шарко; уточняющая диагностика осуществляется на основании лабораторных и инструментальных исследований.
- Лабораторные анализы. Биохимические пробы косвенно свидетельствуют о холестазе; при холангите отмечается увеличение уровня билирубина, щелочной фосфатазы, трансаминаз, aльфа-амилазы. С целью исключения паразитарной инвазии показано исследование кала на яйца гельминтов и простейшие.
- Дуоденальное зондирование. Для выявления возбудителей холангита проводится фракционное дуоденальное зондирование с бактериологическим посевом желчи. В 60% случаев при холангите имеет место смешанная бактериальная флора.
- Ультразвуковая диагностика. К визуализирующим методам диагностики холангита относятся УЗИ брюшной полости и печени, ультрасонография желчных путей. С их помощью удается получить изображение желчных протоков, выявить их расширение, определить наличие структурных и очаговых изменений в печени.
- Лучевая диагностика. Среди инструментальных методов диагностики холангита ведущая роль отводится эндоскопической ретроградной панкреатохолангиографии, магнитно-резонансной панкреатохолангиографии (МРПХГ), чрескожной чреспечёночной холангиографии. На полученных рентгенограммах и томограммах хорошо визуализируется структура желчевыводящих путей, что позволяет выявить причину их обструкции.
Дифференциальная диагностика холангита необходима с ЖКБ, некалькулезным холециститом, вирусным гепатитом, первичным билиарным циррозом, эмпиемой плевры, правосторонней пневмонией.
Лечение холангита
Важнейшими задачами при холангите являются купирование воспаления, дезинтоксикация и декомпрессия желчных путей. В зависимости от причин и наличия осложнений лечение холангита может проводиться консервативными или хирургическими методами.
Консервативная терапия
Консервативное ведение пациента с холангитом заключается в обеспечении функционального покоя (постельного режима, голода), назначении спазмолитических, противовоспалительных, антибактериальных, противопаразитарных средств, инфузионной терапии, гепатопротекторов.
Этиотропное лечение холангита проводится с учетом обнаруженных возбудителей: при бактериальной флоре обычно применяются цефалоспорины в комбинации с аминогликазидами и метронидазолом; при выявлении глист или простейших - противопаразитарные средства. При выраженной интоксикации показано проведение плазмафереза.
В период ремиссии холангита широко используется физиотерапевтическое лечение: индуктотермия, УВЧ, микроволновая терапия, электорофорез, диатермия, грязевые аппликации, озокеритотерапия, парафинотерапия, хлоридно-натриевые ванны.
Хирургическое течение
Поскольку лечение холангита невозможно без нормализации функции желчеотведения, довольно часто приходится прибегать к различного рода хирургическим вмешательствам. С целью декомпрессии желчных протоков могут проводиться:
- эндоскопическая папиллосфинктеротомия;
- экстракция конкрементов желчных протоков;
- эндоскопическое стентирование холедоха;
- чрескожное транспеченочное дренирование желчных протоков;
- наружное дренирование желчных протоков и др. вмешательства.
Наиболее эффективным методом лечения склерозирующего холангита служит трансплантация печени.
Прогноз и профилактика
При холангите, осложненном абсцедированием, циррозом, печеночно-почечной недостаточностью, генерализованным септическим процессом, прогноз неудовлетворительный. Своевременная терапия катарального холангита позволяет добиться излечения; при гнойной, дифтеритической и некротической форме - прогноз более серьезный. Длительное течение хронического холангита может привести к стойкой инвалидизации.
Профилактика холангита диктует необходимость своевременного лечения гастродуоденита, бескаменного холецистита, ЖКБ, панкреатита, глистных и протозойных инвазий; наблюдения у гастроэнтеролога после перенесенных хирургических вмешательств на желчных путях.
Лучевая диагностика патологии желчного пузыря и желчевыводящих путей

Эталон новых стандартов! Беспрецедентная четкость, разрешение, сверхбыстрая обработка данных, а также исчерпывающий набор современных ультразвуковых технологий для решения самых сложных задач диагностики.
Введение
Заболевания желчного пузыря - это особый раздел в современной медицине, которому специалисты уделяют повышенное внимание 5. С одной стороны, патология желчного пузыря (например, полипы), может протекать совершенно бессимптомно, но имеет тенденцию к малигнизации 8. С другой стороны, некоторые заболевания, такие как конкременты желчного пузыря и желчевыводящих путей, сопровождаются сильными приступами болей и могут привести к тяжелым осложнениям. В результате длительного давления камнем на слизистую оболочку пузыря в ней могут возникнуть язвы и пролежни, образоваться дивертикулоподобные выпячивания, внутренние и наружные желчные свищи, перфоративные отверстия с развитием подпеченочного или поддиафрагмального абсцессов, желчного перитонита. Перемещение желчных камней может сопровождаться закупоркой пузырного протока, водянкой желчного пузыря или его эмпиемой. При обтурации камнем выходного отдела общего желчного протока наступает механическая желтуха. Длительное нахождение камня в желчных протоках и присоединение инфекции ведут к развитию холангита. Выпадение крупного желчного камня из желчного пузыря в кишку через образовавшееся соустье может привести к непроходимости кишечника [1, 3, 5-8, 10-12]. Поэтому своевременная диагностика заболеваний желчного пузыря и протоковой системы имеет очень важное значение.
Образование желчи в печени - процесс непрерывный, однако поступление ее в кишечник в норме происходит преимущественно в процессе пищеварения. Это обеспечивается резервуарной функцией желчного пузыря и его ритмическими сокращениями с последовательным расслаблением сфинктера Люткенса и далее сфинктера Одди, расположенного в месте впадения общего желчного протока в кишку (рис. 1).

1 - дно желчного пузыря;
2 - пузырный проток;
3 - собственная печеночная артерия;
4 - воротная вена;
5 - желудочно-печеночная связка;
6 - левая доля печени;
7 - хвостатая доля печени;
8 - нижняя полая вена;
9 - хвостатый отросток;
10 - шейка желчного пузыря;
11 - правая доля печени;
12 - тело желчного пузыря;
13 - квадратная доля печени.
Натощак желчный пузырь содержит 30-80 мл желчи, но он может концентрировать печеночной желчи в 5-10 раз больше. При застое желчи в пузыре ее количество может увеличиваться. У женщин желчный пузырь в состоянии функционального покоя имеет несколько больший объем, чем у мужчин, но сокращается быстрее. С возрастом сократительная функция желчного пузыря снижается.
Ультрасонография является одним из самых информативных и доступных инструментальных методов диагностики заболеваний желчного пузыря 10.
Акустические свойства ультразвука позволяют выявлять мельчайшие эхогенные структуры, находящиеся в желчном пузыре.
С помощью УЗИ значительно сокращается время диагностического поиска. В отличие от компьютерной томографии (КТ) и магнитно-резонансной томографии (МРТ) при УЗИ врач-исследователь сам непосредственно участвует в получении изображения, что имеет свои плюсы и минусы. Положительной является возможность более целенаправленного и детального исследования изучаемого объекта. Отрицательная сторона - качество изображения и его расшифровка в значительной степени зависят от опыта исследователя и правильности применяемых им методик.
Полипы в желчном пузыре имеются у 6% всего населения. В 80% случаев полипы в желчном пузыре отмечаются у рожавших женщин в возрасте после 30 лет. Так как полипы клинически себя никак не проявляют, диагностика их чаще всего случайна и происходит при проведении УЗИ у пациента по совершенно другим причинам 6.
Хотя причины появления полипов на стенках в желчного пузыря не установлены, а симптомы неочевидны, известны четыре типа таких образований. Наиболее часто по статистике в желчном пузыре у пациентов сегодня встречаются следующие типы [4, 5, 9].
Воспалительный полип желчного пузыря - является своего рода воспалительной реакцией самой слизистой оболочки желчного пузыря, проявляется у пациента в виде различных разрастаний грануляционной внутренней ткани пораженного органа.
Нередко врачи также ставят диагноз аденомы желчного пузыря. Так происходит потому, что это своего рода доброкачественная опухоль в виде полиповидного разрастания железистой ткани желчного пузыря больного.
Также следует отметить папиллому или полипоз желчного пузыря у некоторых пациентов. Такая папиллома представляет собой доброкачественную опухоль слизистой оболочки пузыря в виде различных по виду и структуре своеобразных папиллом или сосочковых разрастаний.
К самому распространенному типу относят так называемый холестериновый полип желчного пузыря, который представляет собой возвышение слизистой оболочки пузыря с холестриновыми отложениями на ней. Холестероз достаточно часто встречается среди пациентов, направленных на операцию с клиническим диагнозом "полипы" или "полипоз желчного пузыря", по некоторым данным от 42 до 95% случаев.
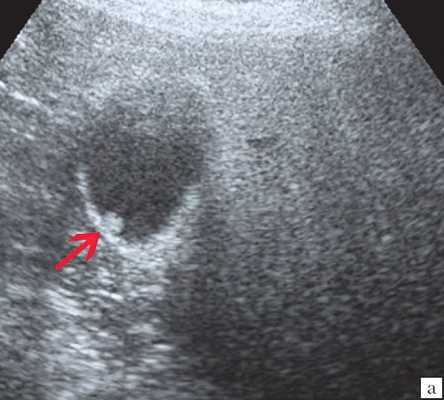
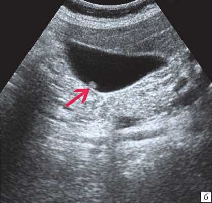
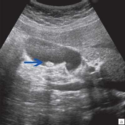
Ультрасонография является эффективным средством выявления полиповидной формы холестероза 6. Традиционной считается следующая сонографическая характеристика холестериновых полипов: неподвижные гиперэхогенные структуры, которые не дают акустической тени и прикрепляются к стенке желчного пузыря. Контуры таких образований, как правило, ровные, а размеры таких образований различны, чаще не превышают 10 мм (рис. 2).

a) Одиночный полип в желчном пузыре (гиперэхогенное пристеночное неподвижное образование, с ровными контурами, без акустической тени).

б) Одиночный полип в желчном пузыре.

в) Полиповидно-сетчатая форма холестероза, полипы размерами до 5 мм, повышенной эхогенности.

г) Одиночный полип в желчном пузыре.
Однако, по некоторым данным, размеры холестериновых полипов могут быть более 20 мм. Кроме того, полипы больших размеров (в 7% от общего числа) могут иметь пониженную эхогенность и фестончатый контур.
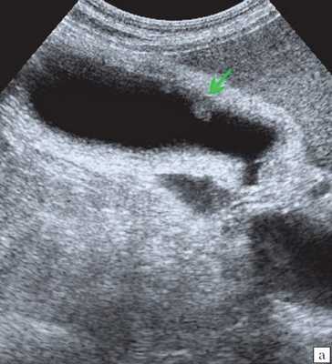
Мелкие холестериновые включения, образующие диффузную сеточку в толще подслизистого слоя размерами 1-2 мм, выглядят как локальное утолщение или уплотнение стенки желчного пузыря и в некоторых случаях (см. рис. 2) вызывают реверберацию (эхографический симптом "хвост кометы").
При распространенном холестерозе визуализируются множественные гиперэхогенные образования, дающие картину "земляничного" желчного пузыря (рис. 3).

а) Множественные полипы в желчном пузыре, картина "земляничного" желчного пузыря.

б) В режиме цветного допплеровского картирования кровоток не регистрируется.
Характер ножки полипа традиционно учитывается в онкологической практике как признак, ассоциированный со злокачественной природой образования. Вероятность возможной малигнизации больше, если у него имеется широкое основание, а не тонкая ножка. Однако необходимо принимать во внимание возможность ложноположительной диагностики широкого основания при полипах больших размеров из-за их ограниченной смещаемости в просвете желчного пузыря. Дрожание, напоминающее пламя свечи, наблюдается у полипов небольших размеров и вытянутой формы, и указывает на их тонкую ножку 4.
Желчнокаменная болезнь (cholelithiasis; калькулезный холецистит) - заболевание, обусловленное наличием конкрементов в желчном пузыре и желчных протоках. Частота образования желчных камней увеличивается с возрастом, достигая 45-50% у женщин старше 80 лет. У мужчин желчные камни встречаются в 3-5 раз реже, у детей - крайне редко. Только в 20% случаев желчные камни существуют бессимптомно ("немые" конкременты) [5].
Существует два основных механизма образования желчных камней: печеночнообменный и пузырно-воспалительный. Печеночно-обменный механизм заключается в формировании желчных камней вследствие таких факторов, как несбалансированное питание с преобладанием в рацио не грубодисперсных животных жиров (свиного, бараньего, говяжьего) в ущерб растительным; нейроэндокринные нарушения, например, связанные с дисфункцией эндокринной системы возрастного характера и гипофункцией щитовидной железы; поражения печеночной паренхимы токсического и инфекционного генеза; гиподинамия и застой желчи. В результате печень продуцирует литогенную желчь, т. е. способную образовывать холестериновые или смешанные камни. При пузырно-воспалительном механизме желчные камни формируются под влиянием воспалительного процесса в желчном пузыре, приводящего к физико-химическим сдвигам в составе желчи (дисхолии). Изменение рН желчи в кислую сторону, характерное для любого воспаления, приводит к уменьшению защитных свойств коллоидов, в частности белковых фракций желчи, переходу мицеллы билирубина из взвешенного состояния в кристаллическое. При этом образуется первичный кристаллизационный центр с последующим наслоением других ингредиентов желчи, слизи, эпителия и др.
Желчные камни - плотные образования, количество которых может составлять от одного до нескольких тысяч, размер - до нескольких сантиметров в диаметре, масса - до 30 г и более. В желчном пузыре чаще встречаются камни округлой формы, в общем желчном протоке - эллипсоидной или продолговатой, во внутрипеченочных протоках ветвистой. В зависимости от состава различают холестериновые, пигментно-холестериновые, холестериново-пигментно-известковые, пигментные и известковые камни; на распиле они имеют пигментное ядро и слоистое строение.
Клиническая картина желчнокаменной болезни многообразна [5-6, 10]. Условно выделяют хроническую болевую, хроническую рецидивирующую, диспептическую, стенокардитическую и ряд других клинических форм. Характерным ультразвуковым признаком конкремента в желчном пузыре является его акустическая тень. Такая тень возникает из-за высокой плотности камня по сравнению с мягкими тканями. Наличие или отсутствие тени помогает отличить камень от полипа желчного пузыря (рис. 4).

а) Одиночный конкремент желчного пузыря (подвижная гиперэхогенная структура, дающая четкую теневую дорожку).
Читайте также:
