ЭРХПГ, КТ, МРТ, УЗИ признаки холангита от химиотерапии
Добавил пользователь Евгений Кузнецов Обновлено: 21.01.2026
Холангиография — обследование желчных путей под рентгеном или МРТ с помощью контрастирования специальным веществом. Фактически холангиография «рисует» картину выведения желчи в данный конкретный период времени и показывает внутренние препятствия для нормального функционирования системы — камни, опухоль, рубцовое сужение. Холангиография — процесс обследования, а зафиксированная рентгеном картинка — холангиограмма.
Показания
Желчь синтезируется клетками печени и по внутрипеченочным протокам собирается в желчном пузыре, лежащим на нижней поверхности печени. Через некоторое время после еды желчь из пузыря подается в двенадцатиперстную кишку, где она взаимодействует с полупереваренной пищей, расщепляя её компоненты на составные части. Желчный пузырь и двенадцатиперстная кишка соединены общим желчным протоком, куда чуть выше кишки впадает проток поджелудочной железы.
При холангиографии контрастное для рентгена вещество окрашивает внепеченочные протоки, показывая их структуру и проходимость, фиксируя места сужения и причину сужения. Поэтому к холангиографии прибегают в случаях:
- Желтухи неинфекционной природы, когда из-за механического препятствия нормальному току желчи желчные кислоты попадают не в кишку, а всасываются в кровь, что возможно при закупорке главного желчного протока — холедоха камнем, сдавлении его рубцами, а также блокировке опухолью дуоденального сосочка — места впадения протока в двенадцатиперстную кишку.
- Рака поджелудочной железы, когда необходимо восстановить проходимость сдавленного раковым конгломератом холедоха специальным дренажом или стентом, чтобы улучшилось состояние, регрессировала механическая желтуха и больного подготовили к плановой операции.
- Воспаления поджелудочной железы с частыми обострениями для поиска причины хронизации патологии.
- Наличия патологических гнойных ходов — свищей между поджелудочной и двенадцатиперстной, сформировавшихся после тяжелого панкреатита.
После установления точной причины патологии желчевыведения, холангиография из диагностического мероприятия может стать лечебной процедурой, ликвидирующей это патологическое препятствие.

Виды холангиографии
Контрастное вещество в желчь может попасть двумя путями — непосредственно смешиваясь с желчью в протоке или после внутривенного введения первоначально попадая в печеночный кровоток, а оттуда выделяясь с желчью.
Непосредственное смешивание контраста с желчью возможно несколькими способами:
- ретроградная или, по-русски, противоточная холангиография (РХПГ, ЭРХПГ) сегодня «золотой стандарт» обследования при патологии желчевыведения, осуществляется при одновременной эндоскопии двенадцатиперстной кишки и рентгеновском обследовании;
- чреспеченочная холангиография предполагает введение контраста в крупный желчный проток при пункции через брюшную стенку, процедура не свободна от непосредственных осложнений, поэтому предпочтительно проводить её перед операцией;
- чрескожная холангиография выполняется при лапароскопии, и контрастное вещество сначала иглой вводят в желчный пузырь, манипуляция чревата последующим истечением желчи по сформированному толстой иглой ходу;
- фистулохолангиография возможна при наличии свищей, потому что контрастируется свищевой ход и далее прослеживается выделение препарата соединённым с ним протоком.
Выделение контраста при введении его в кровеносную систему осуществляется:
- при внутривенной холангиографии, сегодня признанной не сильно результативной т точной манипуляцией, вследствие чего от неё отказались в пользу более точного обследования;
- магнитно-резонансная холангиография исключает прокол пузыря и желчных путей, гарантируя высокое качество обследования и 90% точность диагностики, но при крошечных камушках уступает эффективности ЭРХПГ, да и довольно дорогая процедура, требующая специального оборудования.
По времени выполнения холангиография подразделяется на следующие виды:
- предоперационную, чаще всего выполняется именно ЭРХПГ, реже — чрескожная-чреспеченочная диагностическая манипуляция;
- интраоперационную — во время хирургического вмешательства путём введения катетера в проток;
- послеоперационную, как правило используемую для контроля результата оперативного вмешательства, когда подача контраста осуществляется через ранее установленный дренажный катетер.
Безусловное лидерство принадлежит ЭРХПГ, сочетающей высокую чувствительность и такую же точность диагностики, возможность детального эндоскопического осмотра верхних отделов желудочно-кишечного тракта и выполнения лечебной процедуры сразу же после выявления причины патологии.
Подготовка к ЭРХПГ
Эндоскопическая ретроградная холангиопанкреатография не проводится амбулаторно в поликлинике, необходима кратковременная госпитализация пациента, поскольку требуется предварительная медикаментозная подготовка к процедуре. Вмешательство требует хорошей анестезии или даже наркотизации, а после манипуляции осуществляется мониторинг состояния и своевременное выявление осложнений, если таковые случились.

Накануне процедуры пациенту даются успокоительные средства, позитивно действующие на центральную и периферическую нервную систему, и расслабляющие мышечные слои желудочно-кишечного тракта спазмолитические препараты. Очень выраженная перистальтика кишечника купируется введением лекарственных средств. Перед введением гастроскопа обезболивается глотка, но также возможно выполнение диагностической манипуляции под наркозом, что облегчает переносимость пациентом и повышает возможности визуализации патологии.
Что касается личной подготовки пациента, то он должен отказаться от еды как минимум за 12 часов.
Методика ЭРХПГ
Совмещение эндоскопии с рентгеновским обследованием оптимально во всех отношениях: максимально возможная диагностика и доступность для осмотра «укромных уголков» при фиксации всего процесса выявления патологии на рентгеновском снимке и диске, что позволит последующее консультирование привлечёнными специалистами не в слепую, а по видео.
Первым этапом выполняется последовательная эндоскопия пищевода, желудка, двенадцатиперстной кишки. Далее по специальному каналу эндоскопа вводится катетер, кончик которого направляется в общий желчный проток, куда и подается контрастное вещество. Расположение контраста в анатомической зоне снимается на рентгеновскую пленку, а процесс движения эндоскопической аппаратуры фиксируется на видео. При обнаружении какого-либо новообразования внутри кишки или протока щипчиками берётся кусочек ткани — биопсия, если камень блокирует проток — тоже щипчиками крошится и удаляется. При сужении протока устанавливается стент или дренажный катетер.
Осложнения
ЭРХПГ сопряжена с внедрением внутрь, то есть инвазивная процедура, плюс используется инородное для организма контрастного вещества. Самое частое, но по факту очень редкое осложнение — воспалительные изменения нежной ткани поджелудочной железы — в среднем у трёх на сотню пациентов. Проявляется клинически панкреатитом — боль в животе, втрое повышение специфического фермента крови — амилазы. Как правило, осложнение развивается уже на первые сутки, за пару дней купируется. В нашей клинике разработана методика снижения и профилактики этого вида осложнений ЭРХПГ.
Вдвое реже возникает кровотечение из места манипуляции, когда при рассечении дуоденального сосочка повреждается сосуд у пациента с нарушениями свёртывания крови, что нередко возникает при длительной или выраженной желтухе.
Разрыв протока возможен у одного-двух пациентов из сотни, что обусловлено рыхлостью тканей при сниженной из-за рубцов растяжимости. Осложнение успешно лечится при своевременном выявлении.
И самое банальное и частое — аллергическая реакция на контрастное вещество. Причём неоднократное обследование с использованием контраста не гарантирует её отсутствие в последующем, аллергия возникает по принципу: вчера не было, а сегодня возникла.
Холангиографию в «Евроонко» проводят опытные врачи-специалисты на современном оборудовании. Узнайте больше, свяжитесь с нами.
Холангит
Холангит - это неспецифическое воспалительное поражение желчных протоков острого или хронического течения. При холангите отмечается боль в правом подреберье, лихорадка с ознобами, диспепсические расстройства, желтуха. Диагностика холангита включает анализ биохимических показателей крови, проведение фракционного дуоденального зондирования с бакисследованием желчи, УЗИ, чрескожной чреспеченочной холангиографии, РХПГ. В лечении холангита используется антибиотикотерапия, дезинтоксикационная терапия, назначение ферментов, ФТЛ (грязелечение, хлоридно-натриевые ванны, парафино- и озокеритотерапия, УВЧ, диатермия), иногда - хирургическая декомпрессия желчных путей.
МКБ-10
Общие сведения
При холангите могут поражаться внутри- или внепеченочные желчные протоки. Заболевание чаще возникает у женщин в возрасте 50—60 лет. Изолированный холангит развивается редко. В практической гастроэнтерологии холангит, как правило, диагностируется совместно с гастродуоденитом, холециститом, гепатитом, желчнокаменной болезнью, панкреатитом. Заболевание может носить острое или хроническое течение.
Причины холангита
В этиологическом отношении различают инфекционный и асептический холангит. Инфекционные холангиты могут иметь бактериальную, вирусную, паразитарную этиологию:
- Бактериальные холангиты. Большая часть холангитов обусловлена попаданием в желчные протоки микробных возбудителей (чаще - кишечной палочки, протея, стафилококков, энтерококков, неклостридиальной анаэробной инфекции, реже — микобактерий туберкулеза, брюшнотифозной палочки, бледной спирохеты). Микроорганизмы проникают в желчные ходы преимущественно восходящим путем из просвета 12-перстной кишки, гематогенным - через воротную вену, лимфогенным - при холецистите, панкреатите, энтерите.
- Вирусные холангиты. Мелкие внутрипеченочные желчные протоки, как правило, воспаляются при вирусном гепатите.
- Паразитарные холангиты. Чаще всего развиваются при сопутствующем описторхозе, аскаридозе, лямблиозе, стронгилоидозе, клонорхозе, фасциолезе.
Асептический ферментативный холангит может развиваться в результате раздражения стенок желчных ходов активированным панкреатическим соком, имеющим место при панкреатобилиарном рефлюксе. В этом случае вначале возникает асептическое воспаление, а присоединение инфекции происходит вторично, в более позднем периоде. По асептическому типу также протекает склерозирующий холангит, обусловленный аутоиммунным воспалением желчных протоков. При этом, наряду со склерозирующим холангитом, часто отмечаются неспецифический язвенный колит, болезнь Крона, васкулит, ревматоидный артрит, тиреоидит.
Предрасполагающие факторы
Предпосылками для развития холангита служит холестаз, встречающийся при:
- дискенезии желчевыводящих путей;
- аномалиях желчных ходов;
- кисте холедоха;
- раке желчных путей;
- холедохолитиазе;
- стенозе фатерова сосочка.
Предшествовать началу холангита могут ятрогенные повреждения стенок протоков при эндоскопических манипуляциях (ретроградной панкреатохолангиографии, установке стентов, сфинктеротомии), оперативных вмешательствах на желчных путях.
Классификация
Течение холангита может быть острым и хроническим. В зависимости от патоморфологических изменений острый холангит может принимать катаральную, гнойную, дифтеритическую или некротическую форму.
- Катаральный холангит. Характеризуется гиперемией и отеком слизистой желчных протоков, лейкоцитарной инфильтрацией их стенок, десквамацией эпителия.
- Гнойный холангит. Происходит расплавление стенок желчных ходов и образование множественных абсцессов.
- Дифтеритический холангит. Протекает тяжело, характеризуется образованием фибринозных пленок на стенках желчных ходов
- Некротический холангит. Крайне тяжелый вариант с появлением очагов некроза.
Наиболее часто встречается хронический холангит, который может развиваться как исход острого воспаления или с самого начала приобретать затяжное течение. Выделяют следующие формы хронического воспаления:
- латентная;
- рецидивирующая;
- длительно текущая септическая;
- абсцедирующая;
- склерозирующая. При склерозирующем холангите в стенках желчных ходов разрастается соединительная ткань, что вызывает стриктуры желчных протоков и еще большую их деформацию.
По локализации воспаления различают холедохит (воспаление холедоха - общего желчного протока), ангиохолит (воспаление внутрипеченочных и внепеченочных желчных ходов), папиллит (воспаление фатерова сосочка).
Симптомы холангита
Острый холангит
Клиника острого холангита развивается внезапно и характеризуется триадой Шарко: высокой температурой тела, болями в правом подреберье и желтухой.
В тяжелых случаях к триаде Шарко могут присоединяться нарушения сознания и явления шока - в этом случае развивается симптомокомплекс, называемый пентадой Рейнолдса.
Хронический холангит
Клинические проявления хронического холангита носят стертый, но прогрессирующий характер. Заболевание характеризуется тупыми болями в правом боку слабой интенсивности, ощущением дискомфорта и распирания в эпигастрии. Желтуха при хроническом холангите развивается поздно и свидетельствует о далеко зашедших изменениях. Общие нарушения при хроническом холангите включают субфебрилитет, утомляемость, слабость.
В половине случаев наблюдаются неосложненные формы холангита, у 40% пациентов развиваются осложнения, у 10% - полиорганная недостаточность. Осложнениями холангита могут стать холецистопанкреатит, гепатит, биллиарный цирроз печени, печеночная недостаточность. Септические осложнения представлены множественными абсцессами печени, перитонитом, сепсисом, инфекционно-токсическим шоком.
Диагностика
Заподозрить холангит, как правило, удается на основании характерной триады Шарко; уточняющая диагностика осуществляется на основании лабораторных и инструментальных исследований.
- Лабораторные анализы. Биохимические пробы косвенно свидетельствуют о холестазе; при холангите отмечается увеличение уровня билирубина, щелочной фосфатазы, трансаминаз, aльфа-амилазы. С целью исключения паразитарной инвазии показано исследование кала на яйца гельминтов и простейшие.
- Дуоденальное зондирование. Для выявления возбудителей холангита проводится фракционное дуоденальное зондирование с бактериологическим посевом желчи. В 60% случаев при холангите имеет место смешанная бактериальная флора.
- Ультразвуковая диагностика. К визуализирующим методам диагностики холангита относятся УЗИ брюшной полости и печени, ультрасонография желчных путей. С их помощью удается получить изображение желчных протоков, выявить их расширение, определить наличие структурных и очаговых изменений в печени.
- Лучевая диагностика. Среди инструментальных методов диагностики холангита ведущая роль отводится эндоскопической ретроградной панкреатохолангиографии, магнитно-резонансной панкреатохолангиографии (МРПХГ), чрескожной чреспечёночной холангиографии. На полученных рентгенограммах и томограммах хорошо визуализируется структура желчевыводящих путей, что позволяет выявить причину их обструкции.
Дифференциальная диагностика холангита необходима с ЖКБ, некалькулезным холециститом, вирусным гепатитом, первичным билиарным циррозом, эмпиемой плевры, правосторонней пневмонией.
Лечение холангита
Важнейшими задачами при холангите являются купирование воспаления, дезинтоксикация и декомпрессия желчных путей. В зависимости от причин и наличия осложнений лечение холангита может проводиться консервативными или хирургическими методами.
Консервативная терапия
Консервативное ведение пациента с холангитом заключается в обеспечении функционального покоя (постельного режима, голода), назначении спазмолитических, противовоспалительных, антибактериальных, противопаразитарных средств, инфузионной терапии, гепатопротекторов.
Этиотропное лечение холангита проводится с учетом обнаруженных возбудителей: при бактериальной флоре обычно применяются цефалоспорины в комбинации с аминогликазидами и метронидазолом; при выявлении глист или простейших - противопаразитарные средства. При выраженной интоксикации показано проведение плазмафереза.
В период ремиссии холангита широко используется физиотерапевтическое лечение: индуктотермия, УВЧ, микроволновая терапия, электорофорез, диатермия, грязевые аппликации, озокеритотерапия, парафинотерапия, хлоридно-натриевые ванны.
Хирургическое течение
Поскольку лечение холангита невозможно без нормализации функции желчеотведения, довольно часто приходится прибегать к различного рода хирургическим вмешательствам. С целью декомпрессии желчных протоков могут проводиться:
- эндоскопическая папиллосфинктеротомия;
- экстракция конкрементов желчных протоков;
- эндоскопическое стентирование холедоха;
- чрескожное транспеченочное дренирование желчных протоков;
- наружное дренирование желчных протоков и др. вмешательства.
Наиболее эффективным методом лечения склерозирующего холангита служит трансплантация печени.
Прогноз и профилактика
При холангите, осложненном абсцедированием, циррозом, печеночно-почечной недостаточностью, генерализованным септическим процессом, прогноз неудовлетворительный. Своевременная терапия катарального холангита позволяет добиться излечения; при гнойной, дифтеритической и некротической форме - прогноз более серьезный. Длительное течение хронического холангита может привести к стойкой инвалидизации.
Профилактика холангита диктует необходимость своевременного лечения гастродуоденита, бескаменного холецистита, ЖКБ, панкреатита, глистных и протозойных инвазий; наблюдения у гастроэнтеролога после перенесенных хирургических вмешательств на желчных путях.
Холедохолитиаз - симптомы и лечение
Что такое холедохолитиаз? Причины возникновения, диагностику и методы лечения разберем в статье доктора Михайличенко Вячеслава Юрьевича, хирурга со стажем в 21 год.
Над статьей доктора Михайличенко Вячеслава Юрьевича работали литературный редактор Елизавета Цыганок , научный редактор Елена Максимова и шеф-редактор Маргарита Тихонова

Определение болезни. Причины заболевания
Холедохолитиаз (Choledocholithiasis) — это одна из форм желчнокаменной болезни, при которой камни находятся в желчных протоках. Он встречается у 10-35 % пациентов, страдающих желчнокаменной болезнью [1] [3] .

Желчнокаменная болезнь — одна из наиболее частых причин, по которой пациенты обращаются в хирургическую клинику. При этом и маленькие, и большие камни одинаково опасны. Так, маленькие камни могут попасть в общий желчный проток и вызвать тем самым механическую желтуху, а большие часто становятся механической преградой между желчным пузырем и кишкой, вызывают гнойные осложнения или кишечную непроходимость.

Даже если желчнокаменная болезнь протекает бессимптомно, при обнаружении камней в желчных протоках их следует удалить. Как правило, это можно сделать только с помощью операции. Исключение составляют лишь пожилые люди с большим количеством сопутствующих патологий, для которых операция сопряжена с большим риском. В этом случае врачи применяют наблюдательную тактику.
Причины холедохолитиаза
Болезнь появляется по разным причинам. Их можно разделить на две группы:
- Нарушение оттока желчи — сужение желчных протоков или места впадения в двенадцатиперстную кишку, давление извне и т. д.
- Нарушения химического состава желчи (так называемые литогенные свойства желчи) — повышают риск появления камней. Довольно часто камни образуются в желчном пузыре, а затем мигрируют в желчный проток, провоцируя холедохолитиаз [2][3] .
Химический состав желчи может измениться при беременности и после родов, поэтому если женщина чувствуют боль в правом подреберье, она должна обязательно пройти УЗИ органов брюшной полости, даже если в дородовом периоде никаких патологий не было [1] [4] [6] .
При обнаружении схожих симптомов проконсультируйтесь у врача. Не занимайтесь самолечением - это опасно для вашего здоровья!
Симптомы холедохолитиаза
Если холедохолитиаз вызван мелкими камнями, болезнь может протекать бессимптомно [5] . Но, как правило, холедохолитиаз проявляется триадой симптомов:
- желчной коликой;
- желтухой;
- холангитом.
Желчная колика возникает, когда камень повреждает стенку протока. Это происходит из-за нарушенного оттока желчи, которая скапливается и расширяет желчный проток. В итоге с одной стороны в протоке повышается давление, с другой начинает продвигаться камень. При этом у больного появляется приступообразная боль в правом подреберье, которая отдаёт в поясницу и желудок. Часто колика сопровождается тошнотой и рвотой.
Желтуха проявляется после приступа колики. У больного желтеют кожа и белки глаз, затем темнеет моча и обесцвечивается кал. При выраженной желтухе появляется кожный зуд, из-за чего пациент расчёсывает себе кожу.
![Признаки желтухи [29]](https://probolezny.ru/media/bolezny/holedoholitiaz/priznaki-zheltuhi-29_s.jpg)
Холангит (воспаление желчного протока) появляется, когда в желчь попадает инфекция. Для него характерно повышение температуры, усиление потоотделения, тошнота, рвота, сильная боль в правом подреберье и выраженная слабость.
При прогрессировании процесса присоединяется картина острого панкреатита (воспаления поджелудочной железы), которое сопровождается опоясывающими болями, вздутием живота и резким ухудшением общего состояния: у больного учащается пульс, возникает одышка и рвота, которая не приносит облегчения. Если не оказать хирургическую помощь вовремя, это осложнение может привести к развитию панкреонекроза и летальному исходу.
Патогенез холедохолитиаза
В основе патогенеза лежит повышение давления желчи в желчных протоках, в результате чего камни, сформированные в желчном пузыре, движутся в разные стороны. Это приводит к развитию колики, а при сужении просвета желчного протока появляется желтуха.
Желтуха обычно имеет периодический характер. После употребления жирной пищи происходит рефлекторный выброс желчи, в результате которого камень закрывает просвет протока. При скоплении желчи появляются приступы желтухи. Затем, когда потребность в желчи снижается, также уменьшается давление потока и камни опускаются, открывая проток. С оответственно , желтуха тоже проходит.
При присоединении инфекции прогрессирующий холангит может осложняться внутрипечёночным гнойным воспалением и размножением в крови токсинов и бактерий [2] [6] . Стоит отметить, что проток поджелудочной железы соединяется с желчным протоком, поэтому если один из них воспаляется, то второй также вовлекается в воспалительный процесс.

Классификация и стадии развития холедохолитиаза
Согласно Международной классификации болезней 10-го пересмотра, существуют следующие формы холедохолитиаза:
- К 80.5 Камни желчного протока без холангита или холецистита — камень в желчном, общем и печёночном протоках и желчном пузыре, а также желчная колика;
- К 80.4 Камни желчного протока с холециститом — любое состояние, описанное в К 80.5, с воспалением желчного пузыря;
- К 80.3 Камни желчного протока с холангитом — любое состояние, описанное в К 80.5, с холангитом;
- К 80.8 Другие формы холелитиаза — различные генетические формы холедохолитиаза, болезни печени на фоне нарушений оттока желчи и др. [28]
Осложнения холедохолитиаза
Сам по себе холедохолитиаз может протекать бессимптомно, поэтому механическая желтуха, холангит, острый панкреатит и рубцовое сужение желчных протоков с постепенным развитием желтухи — уже признаки осложнения [11] [18] [27] . Желтуха может развиться как при перекрытии просвета желчного протока камнем, так и при сужении протока из-за появления рубцов.
В среднем в 50 % случаев может развиться одно из следующих осложнений желчнокаменной болезни:
- (развивается в 50 % случаев камненосительства);
- непроходимость желчных протоков (в 10 - 25 % случаев при камнях в желчном пузыре);
- обтурационный папиллолитиаз (проявляется в виде желтухи и боли в области печени, желудка и селезёнки);
- сужение фатерова сосочка (места впадения в двенадцатиперстную кишку);
- рак желчного пузыря (на фоне камненосительства развивается у 70-95 % пациентов);
- холангит и развивающийся на его фоне гепатит;
- панкреатит с последующим омертвением тканей поджелудочной железы;
- механическая желтуха;
- желчный свищ (патологическое соустье между желчными путями и соседними органами или свободной брюшной полостью) [11] .
Диагностика холедохолитиаза
Диагностика холедохолитиаза преимущественно основана на инструментальных методах обследования.
Инструментальная диагностика
В первую очередь пациентам с подозрением на холедохолитиаз проводят ультразвуковое исследование желчевыводящей системы, причём его используют на протяжении всего периода болезни, чтобы отследить динамику лечения. УЗИ помогает оценить состояние протока поджелудочной железы, показывает ворота печени и забрюшинное пространство. Иногда ультразвуковое исследование не позволяет рассмотреть камни в желчном протоке из-за вздутия кишечника, толстой передней брюшной стенки или скопления различных веществ в области ворот печени. Однако в 90 % случаев УЗИ справляется со своей задачей. В некоторых случаях УЗИ также помогает дифференцировать холедохолитиаз и опухоли в печени, желчном пузыре и протоках [7] [8] [9] .
Наибольшей популярностью среди современных методов исследования пользуется эндоУЗИ — высокоточный метод, который сочетает в себе возможности эндоскопической и ультразвуковой диагностики. Он позволяет выполнять детальную ультразвуковую диагностику с последующим забором тканей для их исследования на клеточном уровне. УЗИ проводят с помощью гибкого эндоскопа со стороны просвета двенадцатиперстной кишки [21] [23] [25] [27] .
За несколько часов перед УЗИ и эндоУЗИ нельзя есть. Также на несколько дней необходимо исключить продукты, вызывающие брожение и вздутие кишечника, например мучные изделия, чёрный хлеб, сырые овощи и фрукты, бобовые, молоко, соки, газированные напитки и т. д.
Чтобы исключить патологии фатерова сосочка и двенадцатиперстной кишки, все больные с холедохолитиазом в обязательном порядке проходят эзофагогастродуоденоскопию (ЭГДС) [10] [11] .

Ещё одним способом диагностики холедохолитиаза является магнитно-резонансная холангиопанкреатография (МРХПГ). Это высокоточный метод диагностики желчевыводящей системы и поджелудочной железы, который позволяет более чётко увидеть патологию желчной системы. Контрастное усиление повышает качество диагностики, при этом метод остаётся абсолютно безопасным для пациента. Такой вид МРТ проводят:
- для уточнения диагноза патологии желчевыводящей системы, которая включает в себя печень, желчный пузырь, внутрипечёночные и внепечёночные желчные протоки;
- при диагностике камней желчного протока, которые нельзя увидеть при рентгене;
- при подозрении на наличие опухолей в желчных протоках и протоке поджелудочной железы [13][14] .
Подготовка к МРТ такая же, как и для УЗИ.
Спиральная компьютерная томография (СКТ) сканирует каждый миллиметр изучаемой зоны, что позволяет довольно чётко поставить диагноз. Значимость метода значительно увеличивается при использовании внутривенного контрастирования: изучение артериальной и венозной фаз кровоснабжения помогают дифференцировать доброкачественные и злокачественные образования в структуре желчных протоков, поджелудочной железе и желчевыводящей системе [11] [12] . КТ с контрастированием не всегда показывает камни напрямую, но их наличие можно заподозрить по косвенным признакам, например по частичной деформации желчного протока.
Если с помощью всех вышеперечисленных методов обследования выявить болезнь так и не удалось, врачи прибегают к наиболее информативному методу — эндоскопической ретроградной холангиопанкреатографии (ЭРПХГ) — катетеризации фатерова сосочка и введению в него контраста под рентген-контролем [17] [19] . С помощью этого метода можно обследовать желчевыводящую систему и проток поджелудочной железы.
ЭРПХГ также позволяет ввести баллон и расширить проток, опустить камни в двенадцатиперстную кишку или измельчить их с помощью механического разрушения или лазера. Кроме того, этот способ помогает вывести жидкость из протока через нос, что является первым этапом лечения механической желтухи [15] [16] .
Несмотря на универсальность метода существуют противопоказания к его проведению:
- болезни пищевода, сопряжённые с невозможностью провести эндоскоп в желудок;
- нарушения свёртывания крови;
- язвы в желудочно-кишечном тракте, например при ожоге пищевода, аневризме аорты и т. д.
Кроме того, ЭРХПГ может привести к следующим осложнениям:
- острому панкреатиту (обычно лёгкому, но возможны и тяжёлые формы);
- кровотечению (как правило, небольшому);
- холангиту (чаще всего развивается при неадекватном дренировании желчных протоков);
- язвам (очень редко).
Подготовка к ЭРХПГ такая же, как и для УЗИ, но непосредственно перед исследованием пациенту делают инъекцию Октрестатина или его аналогов, а также применяют противовоспалительные средства.
Иногда применяют чрескожную чреспечёночную холангиографию (ЧЧХГ), суть которой заключается в следующем: под контролем УЗИ врач прокалывает желчный проток через кожу и ткань печени, вводит контрастирующее вещество и под рентген-контролем определяет уровень сужения [1] [3] [6] . Метод актуален при сужении нижней части протока или нескольких его частей [20] [21] .
Таким образом врачи используют ЭРПХГ и ЧЧХГ не только в диагностических, но и в лечебных целях. Если есть противопоказания к реконструкции общего желчного протока и удалению опухоли с помощью операции, при проведении ЧЧХГ совместно с ЭРПХГ восстанавливают отток желчи наружу или в просвет кишки и накладывают каркас, расширяющий просвет протока. Хотя такие манипуляции не могут полностью устранить причину болезни, они улучшают общее состояние пациента [24] . Особой подготовки к ЧЧХГ не требуется.
Дифференциальная диагностика
Каждый метод диагностики имеет свои преимущества и недостатки, поэтому врачи руководствуются определённым алгоритмом использования тех или иных способов при дифференциальной диагностике:
- при подозрении на желчнокаменную болезнь и холедохолитиаз — УЗИ, ЭРХПГ в сочетании с эндоскопической папиллосфинктеротомией (оперативное устранение причин механической желтухи), при сомнительном результате - МРХПГ;
- при подозрении на рак головки поджелудочной железы — УЗИ и СКТ;
- при подозрении на внешнее сдавливание или рак желчных протоков — УЗИ, МРХПГ, при сомнительном результате — СКТ;
- при подозрении на рак большого сосочка двенадцатиперстной кишки — УЗИ, ЭРХПГ и эндоскопическая биопсия [26][27] .
Лабораторная диагностика
При холедохолитиазе отмечают повышение уровня следующих компонентов крови:
- билирубина (преимущественно за счёт прямого билирубина);
- аланинаминотрансферазы (АЛТ);
- аспартатаминотрансферазы (АСТ);
- гамма-глутамилтрансферазы (ГТП);
- щёлочной фосфатазы.
В некоторых случаях изучают цитокиновые маркеры эндотоксикоза, которые указывают на скопление токсических веществ в организме [22] .
Лечение холедохолитиаза
Чтобы удалить камни из желчных протоков и восстановить проход желчи, хирурги в основном используют технологии с минимальным проникновением в организм. Когда это невозможно, врачи проводят классические обширные открытые операции, но это происходит крайне редко.
При лечении холедохолитиаза часто применяют ЭРХПГ со сфинктеротомией, когда под контролем дуоденоскопа хирург рассекает фатеров сосочек и с помощью корзинок, баллонов или зажимов выводит камни из желчных протоков. Этот малотравматичный метод также позволяет поставить стент (специальный каркас) в желчный проток или выполнить дренирование. Чтобы раздробить камни на более мелкие части, совместно с ЭРХПГ применяют лазер.

Чрескожные и чреспечёночные вмешательства обычно только облегчают состояние пациента, так как расширяют желчный проток с помощью стента и специального баллона. Эти манипуляции выполняют как по ходу тока желчи, так и против неё, в зависимости от того, куда вводят катетер: через кожу или в просвет двенадцатиперстной кишки. В сложных случаях с центрального и бокового участков сужения вводят проводники и соединяют их, а затем растягивают протоки.
При лапароскопических методах лечения, которые выполняют на видеоэндоскопической стойке или роботической установке, врач рассекает желчный проток и удаляет камни [2] [4] [6] . Но, несмотря на развитие хирургии, иногда в ходе таких манипуляций возникают осложнения, требующие открытой обширной операции.

Камни до 15 мм иногда можно растворить. Это удаётся в 10 % случаев желчнокаменной болезни. Для этого больным назначают спазмолитики, препараты урсодезоксихолевой кислоты и диету с исключением острой, жирной пищи и газированных напитков. Эту терапию можно проводить только пациентам с нечастыми приступами желчной колики при наличии рентгенонегативных камней в желчных протоках. Грамотное лечение под контролем опытного гастроэнтеролога и соблюдение диетических рекомендаций позволяют сохранить желчный пузырь и восстановить его работу
Прогноз. Профилактика
Если начать лечение холедохолитиаза вовремя, прогноз благоприятный. При удалении камней рецидивов обычно не бывает.
Если холедохолитиаз возник из-за нарушения химического состава желчи, пациентам назначают препараты урсодезоксихолевой и/или хенодезоксихолевой кислоты. Они разжижают желчь и растворяют клетки конкрементов.
Профилактика холедохолитиаза
Профилактика болезни предполагает активный образ жизни, здоровое питание и отказ от вредных привычек. Однако эти меры лишь снижают риск болезни и не предупреждают её развитие в полной мере.
Иногда для профилактики желчнокаменной болезни врач может назначить желчегонные препараты, например экстракт бессмертника песчаного, но если камни находятся в желчных протоках или желчном пузыре, такие средства принимать запрещено, так как они могут привести к движению камней и закупорке желчных протоков [22] [23] [26] . При выявлении камней в желчных протоках следует сразу обратиться к профессиональному хирургу: он поможет как можно скорее определиться с тактикой лечения.
Информацию из данного раздела нельзя использовать для самодиагностики и самолечения. В случае боли или иного обострения заболевания диагностические исследования должен назначать только лечащий врач. Для постановки диагноза и правильного назначения лечения следует обращаться к Вашему лечащему врачу.
Для корректной оценки результатов ваших анализов в динамике предпочтительно делать исследования в одной и той же лаборатории, так как в разных лабораториях для выполнения одноименных анализов могут применяться разные методы исследования и единицы измерения.
Холангит: причины появления, симптомы, диагностика и способы лечения.
Определение
Холангитом называют воспаление желчных протоков. Желчь - это желтая, коричневая или зеленоватая жидкость, вырабатываемая клетками печени и необходимая для осуществления процесса пищеварения (желчь обеспечивает «дробление» жира на мелкие фракции (эмульгирование), активирует ферменты (липазу) поджелудочного и кишечного сока, облегчает всасывание жирорастворимых витаминов, усиливает перистальтику кишечника и обладает бактерицидными свойствами). Образуясь в печени, желчь течет по внутрипеченочным желчным протокам, которые объединяются в левый и правый долевые желчные протоки, выходящие за пределы печени и объединяющиеся в общий печеночный проток. Процесс выработки желчи в организме происходит постоянно, хотя нужна она только во время пищеварения, когда пища находится в желудке. Поэтому желчь хранится в желчном пузыре до тех пор, пока не потребуется. Когда в желудок попадает пища, по пузырному протоку желчь начинает поступать в двенадцатиперстную кишку.

Холангит - это воспаление, которое может возникнуть в любом из перечисленных вне- и внутрипеченочных желчных протоков.
Причины возникновения холангита
Привести к холангиту могут вирусы (вирусный гепатит) и бактерии (кишечная палочка, клебсиелла, протей, стафилококк, энтерококк, неклостридиальная анаэробная инфекция, микобактерии туберкулеза, брюшнотифозная палочка, бледная спирохета), а также паразитарные заболевания (описторхоз, аскаридоз, лямблиоз, стронгилоидоз, клонорхоз, фасциолез).
Для развития воспалительного процесса в желчных протоках должны создаться определенные условия. Во-первых, должен быть возбудитель, так как желчь обычно стерильна. Вторым фактором является нарушение оттока желчи в результате обструкции (закупорки) желчных протоков, например, из-за образования камня, опухоли, стриктуры (патологического сужения), при повреждении желчных протоков во время операции или вследствие проведения лучевой терапии.
Наиболее частая причина острого холангита - холедохолитиаз (камень в желчных протоках) - на него приходится до 88% случаев.
Кроме того, стать причиной нарушения движения желчи в тонкую кишку могут заболевания двенадцатиперстной кишки, поджелудочной железы, кисты общего желчного протока, болезнь Кароли, дискинезия сфинктера Одди, «синдром культи пузырного протока». Обструкцию могут вызвать паразиты, попавшие в желчные протоки. Так называемые «рефлюксные холангиты» возникают при патологическом забросе содержимого тонкой кишки в желчевыводящие пути.
Другим видом холангита является первичный билиарный холангит (ПБХ) - редкое заболевание, поражающее в основном женщин и возникающее в результате аутоиммунного воспалительного поражения печени. Точные причины развития этой патологии неизвестны.
Выделяют также первичный склерозирующий холангит (ПСХ), причины развития которого также до сих пор не установлены. Предполагают роль как генетических, так и приобретенных факторов: например, вирусные инфекции, генетическую предрасположенность, действие иммунных механизмов, портальную бактериемию (попадание бактерий в воротную вену печени), абсорбируемые кишечные токсины, токсичные желчные кислоты, токсическое воздействие меди. Первичный склерозирующий холангит часто сочетается с другими аутоиммунными заболеваниями, например, с целиакией или неспецифическим язвенным колитом, поэтому в его развитии, вероятно, играют значимую роль нарушения иммунных механизмов.
Классификация заболевания
По течению холангит подразделяют на острый и хронический.
В зависимости от причины холангит бывает:
- первичный (бактериальный, гельминтозный, аутоиммунный, первичный склерозирующий);
- вторичный;
- симптоматический.
Также выделяют катаральный, гнойный, обструктивный и деструктивный негнойный холангиты.
Симптомы холангита
Острый холангит
Острый холангит сопровождается повышением температуры тела, ознобом, тошнотой и рвотой, появляется боль в правом подреберье и/или эпигастрии (в верхней части живота), повышается давление. Кожа и слизистые приобретают желтую окраску, появляется кожный зуд, моча становится темной, а кал - обесцвеченным. Пациенты жалуются на сухость во рту, выраженную слабость, возможны нарушения психики и изменение сознание.
Окрашивание кожи и слизистых в желтый цвет возникает, когда в крови слишком много билирубина - пигмента, входящего в состав желчи. При холангите желтуха носит механический характер, то есть она вызвана блокадой оттока желчи. При повышении содержания желчных кислот в крови нервные окончания раздражаются, и больных беспокоит сильный зуд. Пигмент выводится из организма почками, и моча приобретает темный цвет. При обструкции протоков желчь не попадает в кишечник, из-за чего кал не может приобрести характерный оттенок и имеет цвет «белой глины».
Тяжелое течение острого холангита сопровождается развитием полиорганных нарушений с возможным поражением сердечно-сосудистой, дыхательной систем, нарушением функции печени, почек, гематологической и неврологической дисфункцией.

Хронический холангит
Хронический холангит проявляется тупыми неинтенсивными болями в правом боку, чувством распирания в эпигастрии, утомляемостью, слабостью, повышением температуры до субфебрильных значений (до 38оС). В запущенных случаях развивается желтуха.
Диагностика холангита
На амбулаторном этапе проводят следующе исследования:
- общий (клинический) анализ крови;
Синонимы: Общий анализ крови, ОАК. Full blood count, FBC, Complete blood count (CBC) with differential white blood cell count (CBC with diff), Hemogram. Краткое описание исследования Клинический анализ крови: общий.
Лучевая диагностика патологии желчного пузыря и желчевыводящих путей

Доступная эффективность. Универсальный ультразвуковой сканер, компактный дизайн и инновационные возможности.
Введение
Заболевания желчного пузыря - это особый раздел в современной медицине, которому специалисты уделяют повышенное внимание 7. С одной стороны, патология желчного пузыря (например, полипы), может протекать совершенно бессимптомно, но имеет тенденцию к малигнизации 7. С другой стороны, некоторые заболевания, такие как конкременты желчного пузыря и желчевыводящих путей, сопровождаются сильными приступами болей и могут привести к тяжелым осложнениям. В результате длительного давления камнем на слизистую оболочку пузыря в ней могут возникнуть язвы и пролежни, образоваться дивертикулоподобные выпячивания, внутренние и наружные желчные свищи, перфоративные отверстия с развитием подпеченочного или поддиафрагмального абсцессов, желчного перитонита. Перемещение желчных камней может сопровождаться закупоркой пузырного протока, водянкой желчного пузыря или его эмпиемой. При обтурации камнем выходного отдела общего желчного протока наступает механическая желтуха. Длительное нахождение камня в желчных протоках и присоединение инфекции ведут к развитию холангита. Выпадение крупного желчного камня из желчного пузыря в кишку через образовавшееся соустье может привести к непроходимости кишечника [1, 3, 5-8, 10-12]. Поэтому своевременная диагностика заболеваний желчного пузыря и протоковой системы имеет очень важное значение.
Образование желчи в печени - процесс непрерывный, однако поступление ее в кишечник в норме происходит преимущественно в процессе пищеварения. Это обеспечивается резервуарной функцией желчного пузыря и его ритмическими сокращениями с последовательным расслаблением сфинктера Люткенса и далее сфинктера Одди, расположенного в месте впадения общего желчного протока в кишку (рис. 1).

1 - дно желчного пузыря;
2 - пузырный проток;
3 - собственная печеночная артерия;
4 - воротная вена;
5 - желудочно-печеночная связка;
6 - левая доля печени;
7 - хвостатая доля печени;
8 - нижняя полая вена;
9 - хвостатый отросток;
10 - шейка желчного пузыря;
11 - правая доля печени;
12 - тело желчного пузыря;
13 - квадратная доля печени.
Натощак желчный пузырь содержит 30-80 мл желчи, но он может концентрировать печеночной желчи в 5-10 раз больше. При застое желчи в пузыре ее количество может увеличиваться. У женщин желчный пузырь в состоянии функционального покоя имеет несколько больший объем, чем у мужчин, но сокращается быстрее. С возрастом сократительная функция желчного пузыря снижается.
Ультрасонография является одним из самых информативных и доступных инструментальных методов диагностики заболеваний желчного пузыря 4.
Акустические свойства ультразвука позволяют выявлять мельчайшие эхогенные структуры, находящиеся в желчном пузыре.
С помощью УЗИ значительно сокращается время диагностического поиска. В отличие от компьютерной томографии (КТ) и магнитно-резонансной томографии (МРТ) при УЗИ врач-исследователь сам непосредственно участвует в получении изображения, что имеет свои плюсы и минусы. Положительной является возможность более целенаправленного и детального исследования изучаемого объекта. Отрицательная сторона - качество изображения и его расшифровка в значительной степени зависят от опыта исследователя и правильности применяемых им методик.
Полипы в желчном пузыре имеются у 6% всего населения. В 80% случаев полипы в желчном пузыре отмечаются у рожавших женщин в возрасте после 30 лет. Так как полипы клинически себя никак не проявляют, диагностика их чаще всего случайна и происходит при проведении УЗИ у пациента по совершенно другим причинам 9.
Хотя причины появления полипов на стенках в желчного пузыря не установлены, а симптомы неочевидны, известны четыре типа таких образований. Наиболее часто по статистике в желчном пузыре у пациентов сегодня встречаются следующие типы [4, 5, 9].
Воспалительный полип желчного пузыря - является своего рода воспалительной реакцией самой слизистой оболочки желчного пузыря, проявляется у пациента в виде различных разрастаний грануляционной внутренней ткани пораженного органа.
Нередко врачи также ставят диагноз аденомы желчного пузыря. Так происходит потому, что это своего рода доброкачественная опухоль в виде полиповидного разрастания железистой ткани желчного пузыря больного.
Также следует отметить папиллому или полипоз желчного пузыря у некоторых пациентов. Такая папиллома представляет собой доброкачественную опухоль слизистой оболочки пузыря в виде различных по виду и структуре своеобразных папиллом или сосочковых разрастаний.
К самому распространенному типу относят так называемый холестериновый полип желчного пузыря, который представляет собой возвышение слизистой оболочки пузыря с холестриновыми отложениями на ней. Холестероз достаточно часто встречается среди пациентов, направленных на операцию с клиническим диагнозом "полипы" или "полипоз желчного пузыря", по некоторым данным от 42 до 95% случаев.
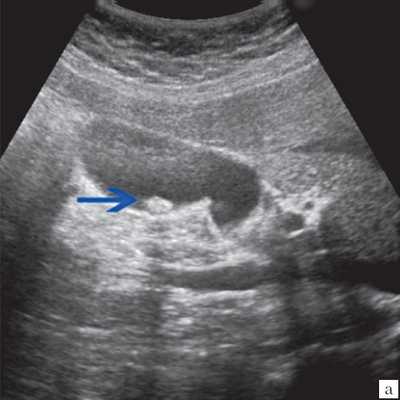
Ультрасонография является эффективным средством выявления полиповидной формы холестероза 8. Традиционной считается следующая сонографическая характеристика холестериновых полипов: неподвижные гиперэхогенные структуры, которые не дают акустической тени и прикрепляются к стенке желчного пузыря. Контуры таких образований, как правило, ровные, а размеры таких образований различны, чаще не превышают 10 мм (рис. 2).

a) Одиночный полип в желчном пузыре (гиперэхогенное пристеночное неподвижное образование, с ровными контурами, без акустической тени).

б) Одиночный полип в желчном пузыре.

в) Полиповидно-сетчатая форма холестероза, полипы размерами до 5 мм, повышенной эхогенности.

г) Одиночный полип в желчном пузыре.
Однако, по некоторым данным, размеры холестериновых полипов могут быть более 20 мм. Кроме того, полипы больших размеров (в 7% от общего числа) могут иметь пониженную эхогенность и фестончатый контур.
Мелкие холестериновые включения, образующие диффузную сеточку в толще подслизистого слоя размерами 1-2 мм, выглядят как локальное утолщение или уплотнение стенки желчного пузыря и в некоторых случаях (см. рис. 2) вызывают реверберацию (эхографический симптом "хвост кометы").
При распространенном холестерозе визуализируются множественные гиперэхогенные образования, дающие картину "земляничного" желчного пузыря (рис. 3).

а) Множественные полипы в желчном пузыре, картина "земляничного" желчного пузыря.

б) В режиме цветного допплеровского картирования кровоток не регистрируется.
Характер ножки полипа традиционно учитывается в онкологической практике как признак, ассоциированный со злокачественной природой образования. Вероятность возможной малигнизации больше, если у него имеется широкое основание, а не тонкая ножка. Однако необходимо принимать во внимание возможность ложноположительной диагностики широкого основания при полипах больших размеров из-за их ограниченной смещаемости в просвете желчного пузыря. Дрожание, напоминающее пламя свечи, наблюдается у полипов небольших размеров и вытянутой формы, и указывает на их тонкую ножку 7.
Желчнокаменная болезнь (cholelithiasis; калькулезный холецистит) - заболевание, обусловленное наличием конкрементов в желчном пузыре и желчных протоках. Частота образования желчных камней увеличивается с возрастом, достигая 45-50% у женщин старше 80 лет. У мужчин желчные камни встречаются в 3-5 раз реже, у детей - крайне редко. Только в 20% случаев желчные камни существуют бессимптомно ("немые" конкременты) [5].
Существует два основных механизма образования желчных камней: печеночнообменный и пузырно-воспалительный. Печеночно-обменный механизм заключается в формировании желчных камней вследствие таких факторов, как несбалансированное питание с преобладанием в рацио не грубодисперсных животных жиров (свиного, бараньего, говяжьего) в ущерб растительным; нейроэндокринные нарушения, например, связанные с дисфункцией эндокринной системы возрастного характера и гипофункцией щитовидной железы; поражения печеночной паренхимы токсического и инфекционного генеза; гиподинамия и застой желчи. В результате печень продуцирует литогенную желчь, т. е. способную образовывать холестериновые или смешанные камни. При пузырно-воспалительном механизме желчные камни формируются под влиянием воспалительного процесса в желчном пузыре, приводящего к физико-химическим сдвигам в составе желчи (дисхолии). Изменение рН желчи в кислую сторону, характерное для любого воспаления, приводит к уменьшению защитных свойств коллоидов, в частности белковых фракций желчи, переходу мицеллы билирубина из взвешенного состояния в кристаллическое. При этом образуется первичный кристаллизационный центр с последующим наслоением других ингредиентов желчи, слизи, эпителия и др.
Желчные камни - плотные образования, количество которых может составлять от одного до нескольких тысяч, размер - до нескольких сантиметров в диаметре, масса - до 30 г и более. В желчном пузыре чаще встречаются камни округлой формы, в общем желчном протоке - эллипсоидной или продолговатой, во внутрипеченочных протоках ветвистой. В зависимости от состава различают холестериновые, пигментно-холестериновые, холестериново-пигментно-известковые, пигментные и известковые камни; на распиле они имеют пигментное ядро и слоистое строение.
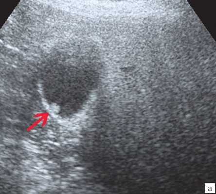
Клиническая картина желчнокаменной болезни многообразна [5-6, 10]. Условно выделяют хроническую болевую, хроническую рецидивирующую, диспептическую, стенокардитическую и ряд других клинических форм. Характерным ультразвуковым признаком конкремента в желчном пузыре является его акустическая тень. Такая тень возникает из-за высокой плотности камня по сравнению с мягкими тканями. Наличие или отсутствие тени помогает отличить камень от полипа желчного пузыря (рис. 4).

а) Одиночный конкремент желчного пузыря (подвижная гиперэхогенная структура, дающая четкую теневую дорожку).
Читайте также:
