Эрозия зубов: причины, симптомы и лечение
Добавил пользователь Евгений Кузнецов Обновлено: 01.11.2025
Эрозийные повреждения зубов являются одним из видов разрушения зубной эмали. Их часто путают с кариозным поражением, однако причины возникновения такого недуга и методы его лечения отличаются. Эрозия зачастую возникает на передних зубах - резцах и клыках. Ее расположение в большинстве случаев симметрично. На ранних стадиях она может оставаться незамеченной, однако при длительном отсутствии лечения симптомы могут усугубиться.
Записаться на прием
Запущенное заболевание вызывает большие эстетические проблемы. Поверхность зубов может поменять свой цвет, на ней появится пигментация. Такие изменения невозможно убрать стандартной чисткой и единственным способом их скрыть является использование специальных коронок, которые часто могут вызвать дискомфорт при ношении. Кроме того, эрозия на поздних стадиях способна вызывать сильные болевые ощущения, особенно при воздействии холодного, горячего, кислого и других раздражителей.
Классификация эрозии зубной эмали
Эрозия эмали зубов может длиться годами, не принося особого дискомфорта человеку. В других случаях она может оказаться очень быстротечной. В такой ситуации разрушение зуба наступает за несколько месяцев и устранить его практически невозможно.
Также эрозии различают по степени поражения зуба. При этом выделяют три стадии:
- На первой поражение касается только верхнего слоя эмали и является незаметным для невооруженного глаза. Оно не вызывает никаких неприятных ощущений.
- На второй стадии эрозии поражение достигает глубоких слоев эмали, приближаясь к дентину. При этом может появиться гиперчувствительность зубов, а пораженные участки становятся заметными.
- Третья стадия характеризуется поражением дентина, что сопровождается дискомфортом и болезненными реакциями на холод и другие раздражители. На местах локализации эрозии появляются четко заметные вмятины.
От того, на какой стадии находится заболевание, напрямую зависит выбор метода его лечения. Если на начальных этапах достаточно будет незначительных консервативных вмешательств, то на более поздних стадиях не обойтись без проведения серьезных стоматологических процедур.
Причины эрозии зубов
Среди основных причин эрозии эмали зубов выделяют такие:
- химические;
- механические;
- эндокринные;
- внешние;
- физиологические.
К первым, то есть химическим причинам эрозии, относится воздействие на зубную эмаль тех веществ, которые способны вызывать ее разрушение. В первую очередь, это кислоты, которые могут быть, как натуральными, так и искусственными. Часто употребляя в пищу кислые фрукты, салаты, обильно политые уксусом, человек может даже не подозревать, что его эмаль поддается разрушению. Тот же эффект наблюдается во время употребления различных сладостей и напитков, которые имеют большое содержание вредных кислот.
Механическое воздействие в большинстве случаев связано с неправильным выбором зубной щетки и пасты. Сегодня рынок изобилует средствами для отбеливания зубной поверхности. Основной их эффект заключается именно в стирании верхнего слоя эмали. Если такие воздействия будут чрезмерными, эмаль сотрется до критического состояния и возникнет эрозийное повреждение, которое далее будет усугубляться другими факторами.
К эндокринным причинам относятся заболевания щитовидной железы. Такие недуги негативно влияют на состояние зубов в целом и на качество эмали в частности.
Что касается внешних факторов, то они связаны с работой на вредном производстве, частым пребыванием в помещениях, где обильным является выделение вредных газов и пыли. Минералы, которые в них находятся, негативно влияют на весь организм и способствуют разрешению твердых тканей зубов.
Физиологическими причинами могут быть различные заболевания внутренних органов. Самыми опасными для состояния эмали являются болезни желудочно-кишечного тракта. Их последствиями часто бывают выбросы желудочных кислот в ротовую полость. Это провоцирует создание постоянной кислой среды, которая постепенно разрушает эмаль.
Симптомы эрозии
На начальных этапах повреждение эмали может оставаться незамеченным. Его не видно внешне, и оно не вызывает никаких болевых или неприятных ощущений. Однако, если заболевание не лечить, оно начинает прогрессировать и тогда появляются первые симптомы.
Самым верным признаком эрозии является гиперчувствительность зубной поверхности. Даже если внешне повреждений поверхности эмали не видно, при взаимодействии в холодным или горячим они дают о себе знать.
Если человек подозревает о наличии у себя эрозии, он может внимательно присмотреться к поверхности зубов. Пораженные участки в большинстве случаев меняют цвет. Изначально, на ранних стадиях, они темнеют по сравнению с поверхностью зубного ряда. Если недуг усугубляется, такие места локализации приобретают белый оттенок.
Диагностика эрозии
Выявить эрозию зубов на ранней стадии можно только при посещении стоматолога. Он проведет специальные манипуляции, которые подтвердят наличие поражения и позволят отличить его от кариеса.
Качественная диагностика у специалиста начинается с детального осмотра ротовой полости. Проводиться она должна под микроскопом, так как участки эрозии могут быть небольшого размера. Если врачом были выявлены подозрения на разрушение эмали, он проводит специальную пробу. Делают ее с помощью специальной йодной смеси по такому алгоритму:
- сначала поверхность зуба хорошо высушивают;
- далее на пораженные участки наносят йодсодержащие вещества;
- выжидают пол минуты.
Если причиной поражения действительно является эрозийное разрушение, соответствующие участки окрашиваются в ярко-желтый цвет.
В том случае, когда эрозия находится на более поздней стадии, стоматолог способен заметить ее при осмотре зубов, тогда последующие пробы или другие манипуляции не потребуются.
Основные методы лечения
Терапия эрозии должна иметь комплексный характер и зависит она от степени поражения эмали. На ранних стадиях достаточным будет проведение минерализации эмали. Она позволит укрепить поверхность зуба и избавить его от чувствительности. Проводится такая процедура с помощью специальных смесей, которые наносятся на зубы. Также на данном этапе может быть назначен электрофорез с кальцием.
Для подкрепления результата врач может прописать специальную диету, которая будет благоприятно влиять на состояние здоровья зубов.
Если разрушения зубной эмали эрозиями находятся на более поздних стадиях и отмечаются наличием серьезных симптомов, то в курс лечения обязательно включается реставрация. Она может быть проведена с помощью различных методов. Первый и самый простой из них - это использование пломбировочных материалов. Наносятся они по аналогии с лечением кариозного поражения.Если разрушения более обширные и глубокие, врач может порекомендовать использование виниров или металлокерамических коронок. Они смогут полностью закрыть области поражения эрозией и вернуть зубам гладкую поверхность. При этом полностью исчезает гиперчувствительность.
Важно! Не стоит забывать о том, что часто эрозийное разрушение зуба является следствием тех или иных заболеваний внутренних органов. Поэтому для качественного лечения необходимо провести комплексную диагностику и незамедлительную терапию соматических недугов.
Профилактика
Профилактика эрозии зубов - довольно проста. В первую очередь, она включает в себя нормализацию рациона питания. Из него необходимо исключить те продукты, которые могут спровоцировать повышение кислотности в полости рта. Следует уменьшить количество потребления уксуса, лимонной кислоты и т.д.
Для сохранения целостности эмали рекомендуется сократить количество искусственных красителей и кислот в рационе. Они часто входят в состав леденцов, жвачек, газированной воды, энергетиков и т.д. Лучше отдавать предпочтение натуральным сладостям и напиткам.
Очень важно правильно подобрать зубную щетку и пасту. Стоматологи рекомендуют выбирать щетки средней жесткости, которые на конце каждой щетинки имеют специальные закругления и не травмируют эмаль зубов. Что касается пасты, то она должна иметь в своем составе фтор, который благоприятно влияет на укрепление эмали. Лучше отказаться от паст и средств для ухода за полостью рта, которые содержат грубые абразивные частицы. Если же есть желание отбелить зубы, такие средства стоит использовать не больше двух раз в неделю.
Одним из главных залогов сохранения здоровья полости рта и в частности эмали зуба является систематическое посещение стоматолога. Он сможет вовремя выявить любые повреждения поверхности зуба и назначить качественное лечение эрозии. Это позволит избежать усугубления заболевания и необходимости проведения серьезных вмешательств.
Некроз зубов - симптомы и лечение
Что такое некроз зубов? Причины возникновения, диагностику и методы лечения разберем в статье доктора Чаманяна Роберта Михайловича, стоматолога со стажем в 12 лет.
Над статьей доктора Чаманяна Роберта Михайловича работали литературный редактор Елизавета Цыганок , научный редактор Пётр Козлов и шеф-редактор Маргарита Тихонова

Определение болезни. Причины заболевания
Некроз зубов, или некроз твёрдых тканей зуба (Pulp necrosis), — это поражение твёрдых зубных тканей (эмали, дентина и цемента), при котором на эмали появляются пятна, дырочки, наросты, полости и другие дефекты.
![Некроз зуба [21]](https://probolezny.ru/media/bolezny/nekroz-zubov/nekroz-zuba-21_s.jpg)
Некроз зубов — это редкая стоматологическая патология, которая не является следствием кариеса. На неё приходится не более 9 % болезней некариозного происхождения [2] . Так как заболевание редкое, сейчас нет систематизированных статистических данных о заболеваемости, распространённости и распределении по полу и возрасту.
Причины развития некроза зубов
Выделяют внешние и внутренние причины развития некроза зубов. К внешним причинам относятся:
- радиологическое излучение — обычно при лечении онкологических болезней с помощью облучения или химиотерапии, при этом в зону риска попадают как пациенты, так и медицинский персонал;
- длительные контакты с токсическими веществами — аэрозолями кислот и тяжёлых металлов;
- приём лекарств, в составе которых есть вредные для эмали зубов вещества — шипучих препаратов с витамином С, Хилака форте, препаратов тетрациклинового ряда, противовоспалительных и обезболивающих средств, например Ибупрофена);
- чрезмерное употребление кислотосодержащих продуктов — цитрусовых и кисломолочных продуктов [1][2][3] .
Среди внутренних причин выделяют:
- нарушение в работе желёз внутренней секреции, что ведёт к изменению гормонального фона (хотя на сегодняшний день нет исследований, которые доказывают влияние конкретных гормонов и/или эндокринных болезней на развитие некроза зубов);
- заболевания пищеварительной системы[4][5] .
При обнаружении схожих симптомов проконсультируйтесь у врача. Не занимайтесь самолечением - это опасно для вашего здоровья!
Симптомы некроза зубов
У пациентов в первую очередь пропадает блеск зубной эмали, после чего на поверхности появляются меловидные пятна. Если не обратиться к врачу, со временем такие пятна приобретают тёмно-коричневый оттенок. В центре некротических поражений твёрдые ткани размягчаются, эмаль становится хрупкой и образуется дефект [6] .
![Меловидные пятна на зубах [22]](https://probolezny.ru/media/bolezny/nekroz-zubov/melovidnye-pyatna-na-zubah-22_s.jpg)
Основными симптомами, из-за которых люди обращаются к врачу, является повышенная чувствительность при механическом, химическом и температурном воздействии. Обычно некроз поражает сразу несколько зубов, при этом они могут не соседствовать друг с другом.
Некротические поражения в основном развиваются на участках рядом с дёснами со стороны губ. Некротические очаги чаще растут в ширину, что отличает некроз от кариеса, который развивается в глубину.
Первостепенными симптомами патологии являются вяжущее чувство во рту, повышенная чувствительность зубов, ощущение, будто зубы прилипают друг к другу, когда смыкаются. Далее при прогрессировании некроза эмаль становится шероховатой и полностью матовой, часто теряет белизну, темнеет и приобретает грязно-серый оттенок [7] .
Заподозрить некроз можно в случае:
- меловидных пятен или потемнений на эмали;
- повышенной чувствительности к горячему, холодному, кислому и сладкому;
- болезненности зубов при чистке или контакте с твёрдыми продуктами;
- потери блеска и гладкости зубов, они становятся матовыми и шероховатыми;
- хрупкости эмали (в запущенных случаях пациент замечает на зубах отломы);
- чувства слипания при смыкании зубов;
- потери естественной белизны зубов (обычно они приобретают грязно-серый оттенок, но при контакте или длительном воздействии соляной кислоты зубы становятся жёлто-серыми, при контакте с серной кислотой цвет меняется от серого до чёрного).
Патогенез некроза зубов
Здоровые зубы имеют ровную гладкую белую эмаль с естественным блеском без дефектов, пятен, потемнений и пигментации. Твёрдая и прочная эмаль способствует нормальной работе зубного ряда, при которой контакт с любыми раздражителями, в том числе температурными, механическими или химическими, не причиняет боль.
Сегодня нет исчерпывающих научных данных о том, как именно предполагаемые причины некроза приводят к видимым проявлениям болезни. Некроз твёрдых тканей зуба считают самостоятельной болезнью, не связанной с кариесом. Однако в ряде исследований было выявлено, что некроз и кариес могут одновременно развиваться при радиационном лечении [8] . Предполагается, что к развитию некроза зубов после лучевой терапии приводит ксеростомия и угнетение иммунитета.
Также по мнению учёных, радиационное излучение угнетает ферментные системы, в том числе содержащие железо, которые участвуют в дыхании зубных тканей (кислородной фазе обмена веществ). Из-за нарушения дыхания продукты обмена веществ, которые ещё не закончили процесс окисления, скапливаются в зубных тканях. Это приводит к стойкому нарушению окисления продуктов обмена веществ [9] [10] .
Если причиной патологии становятся токсические вещества, в этом случае некроз обычно поражает центральные зубы и клыки, реже — моляры и премоляры. Это связано с тем, что перечисленные зубы больше контактируют с воздухом.
При нарушениях работы эндокринной системы и желёз внутренней секреции происходит изменение минерального состава зубных тканей, в результате чего развивается некроз. У пациентов с проблемами пищеварения повышается кислотность слюны. Контакт с ней и с кислотой желудочного сока также приводит к некротическому поражению зубов.
Некроз, вызванный внешними причинами, обычно проходит 5 этапов:
- определённые факторы подавляют иммунитет ротовой полости;
- кислотность слюны снижается до 5 pH;
- микроциркуляция в пульпе (мягкой части зуба, которая состоит из сосудов и нервов) существенно ухудшается;
- нарушается питание твёрдых тканей, дентин и эмаль не получают нужное количество минералов;
- зубные ткани истончаются, что ведёт к повреждению эмали.
При этом некроз всегда начинается с пришеечной области — у основания зуба.
Классификация и стадии развития некроза зубов
Некроз твёрдых тканей входит в группу «Некариозные поражения зубов». Она включает в себя болезни, появление и развитие которых не связано с микробами, например повышенную чувствительность зубов, наследственные нарушения развития зубов, травмы, гиперплазию и гипоплазию тканей, эрозию, медикаментозные нарушения развития и повышенную стираемость зубов.
Некроз обычно классифицируют по причинам, которые спровоцировали его, и по стадиям поражения тканей.
По причинам некроз может быть:
- радиационным — развивается после радиационного лечения или получения ионизирующего излучения при разных обстоятельствах (например, на работе или при чрезвычайных ситуациях);
- кислотным — формируется из-за воздействия кислот (серной, азотной, кислоты желудочного сока и других) [11] .
Врачи-стоматологи чаще используют классификацию, основанную на характере поражения:
- образующееся меловидное пятно — на эмали появляются пятна, теряется естественный блеск;
- сформированное меловидное пятно, которое обнажает дентин, — наблюдается светлый участок поражения дентина;
- пришеечный дефект — развивается у основания зуба с углублением в форме воронки [12] .
![Пришеечный дефект [23]](https://probolezny.ru/media/bolezny/nekroz-zubov/prisheechnyy-defekt-23_s.jpg)
Выделяют 4 стадии развития некроза твёрдых зубов:
- в пришеечной области — эмаль, которая находится у десны, теряет ценные минералы, в результате чего становится хрупкой и начинает скалываться;
- поражение дентина — в очагах, где скололась эмаль, дентин поражается и также становится мягким;
- увеличение площади поражения — прогрессирование болезни приводит к увеличению площади некроза;
- осложнённый некроз — при отсутствии своевременного адекватного лечения некроз твёрдых тканей зачастую сопровождается прогрессирующим кариесом и другими осложнениями.
Осложнения некроза зубов
Основное осложнение — это повреждение эмали и дентина. Если не лечить болезнь, поражение с внешней стороны зуба распространяется на поверхность со стороны языка, т. е. процессы горизонтального и вертикального стирания и разрушения постепенно распространяются на весь зуб. При этом коронка зуба укорачивается и принимает клиновидную форму [13] . Симптомами этого процесса является повышенная чувствительность зубов и болезненные ощущения во время еды и в ходе чистки.
![Стадии клиновидного дефекта [24]](https://probolezny.ru/media/bolezny/nekroz-zubov/stadii-klinovidnogo-defekta-24_s.jpg)
При некрозе одновременно страдают несколько зубов. Эти зубы почти полностью теряют способность измельчать пищу, что проявляется острой болью при жевании [14] .
Диагностика некроза зубов
Первичной диагностикой некроза является сбор анамнеза и клинический осмотр. Анамнез в этом случае имеет особенную важность, так как позволяет установить, был ли у пациента длительный контакт с радиационным излучением и токсичными веществами. Также врач уточняет, где и кем работает пациент, есть ли у него сопутствующие болезни и какие принимает лекарства.
При некрозе зондирование (прощупывание с помощью стоматологического зонда) полостей повреждения сопровождается болью, но простукивание безболезненно [15] .
В ходе диагностики важно определить, поражён ли корень зуба и ткани вокруг его верхней части. Для этого используют рентгенографическую диагностику. В зависимости от местоположения некроза применяют прицельную рентгенографию зуба, ортопантомограммау или компьютерную томографию [16] .
Дифференциальная диагностика
Дифференциальную диагностику проводят с другими типами некариозных поражений зубной эмали, основными из которых являются эрозия эмали и клиновидный дефект. Среди отличительных диагностических признаков радиационного или кислотного некроза зуба выделяют: отсутствие естественного блеска, нечёткие границы очага поражения, пятна на эмали меловидного типа и серо-тёмный цвет эмали.
Лечение некроза зубов
Тактика лечения напрямую зависит от стадии болезни и степени поражения зуба. Если некроз выявлен на начальном этапе, пациенту необходимо:
Если болезнь обнаружили на поздних стадиях, когда наблюдается обширная площадь поражения, назначают эстетическую реставрацию эмали: полости и повреждения заполняют пломбировочным материалом.
Если зона поражения превышает треть площади зуба, он не подлежит лечению и восстановлению. В этом случае зуб удаляют, затем проводят протезирование или устанавливает стоматологические ортопедические конструкции [19] .
В зависимости от причины развития болезни после лечения пациенту могут назначить дополнительное наблюдение у гастроэнтеролога, эндокринолога, кардиолога и др.
Чтобы укрепить иммунную систему и повысить способность организма адекватно реагировать на изменения внешней среды, также необходимо есть больше овощей и фруктов и принимать витамины с высоким содержанием кальция.
Прогноз. Профилактика
Благополучный исход болезни возможен при сочетании двух факторов: своевременного лечения и устранения фактора, который привёл к развитию некроза (радиации, воздействия кислот и т. д.). Если не лечить патологию, зона поражения распространится на весь зуб, после чего он потеряет способность измельчать пищу. Так как некроз встречается редко, сейчас нет достоверных сведений относительно прогноза болезни, включая случаи лечения и отсутствия терапии [20] .
Гиперестезия зубов
Гиперестезия зубов - обостренная чувствительность тканей зубов к механическим, химическим, температурным раздражителям. Проявляется резкими, интенсивными болями в момент действия раздражителя и быстро проходящими после прекращения его действия, чувством оскомины. Может развиваться при употреблении в пищу кислого, сладкого, соленого, холодного или горячего, при чистке зубов, что вызывает чувство дискомфорта. Гиперестезия зубов может быть обусловлена их механическим повреждением, эрозиями и истончением эмали. Лечение зависит от причины гиперестезии. Оно включает полную санацию ротовой полости, проведение глубокого фторирования, применение препаратов с солями калия и специальный уход за полостью рта.

Общие сведения
Гиперестезией зубов называют их повышенную чувствительность, которая характеризуется внезапным появлением болей ноющего или острого характера. Боли возникают без явных на то причин и так же внезапно проходят. Гиперестезии не обусловлены никакими стоматологическими заболеваниями, и они не являются осложнением кариеса. Температурные, химические и механические раздражители провоцируют гиперестезии зубов.
Причины гиперестезий зубов
Около половины взрослого населения обращаются за медицинской помощью с жалобами на повышенную чувствительность зубов. В большей степени это люди в возрасте от 30 до 60 лет. Женщины чаще подвержены гиперестезиям зубов, тогда как дети и люди старческого возраста практически не страдают. Это обусловлено тем, что в молодом возрасте дентин имеет мало повреждений, а в старческом он склеротичен, поэтому болевые реакции менее выражены.

Гиперестезии зубов наблюдаются при патологиях некариозного характера. Это истирание зубов или их патологическая стираемость, эрозии и клиновидные дефекты, сопровождающиеся убылью эмали и обнажением дентина.
Начальный кариес с локализацией в пришеечной области вызывает деминерализацию зубной эмали из-за повышения ее проницаемости под воздействием кислот. Это приводит к появлению гиперестезий зубов.
Непрофессиональное лечение кариеса и несоблюдение техники пломбирования и протравливания зубов часто осложняется появлением гиперестезий зубов. Травматические повреждения в виде расколов, сколов, трещин и обломов части коронки зуба ведут к повышению чувствительности из-за нарушения целостности зубной эмали.
Отбеливание зубов, особенно непрофессиональное, ведет к выходу из эмали макро- и микроэлементов, что повышает проницаемость зубной эмали и ведет к гиперчувствительности зубов в ответ на незначительные раздражители. При этом частые отбеливания, врожденная слабость зубной эмали и наличие нелеченных кариозных патологий усиливают болезненные ощущения. То есть, у лиц с большим количеством кариозных поражений, риск появления гиперестезии зубов выше.
Заболевания пародонта воспалительного и дистрофического характера, ведут к рецессии десны и к обнажению шеечной зоны зуба, это усиливает чувствительность зубов. Рецессию десны вызывают заболевания пародонта, и механические травмы, короткие уздечки верхней и нижней губ, языка и некачественно изготовленные зубные протезы и коронки. Использование жестких зубных щеток и агрессивная чистка зубов, неправильное использование зубных нитей, пренебрежение изоляцией десны во время отбеливания травмируют десну и приводят к ее рецессии с последующим возникновением гиперестезий зубов.
Гиперестезии зубов возникают и в результате травматичного проведения профессиональной чистки зубов, когда зубная эмаль повреждается инструментами или же прибегают к излишнему полированию области шейки и корня зуба. Кроме болевой реакции из-за местных раздражителей, гиперестезии зубов могут быть связаны с патологическими состояниями организма. Такие гиперестезии зубов называют системными или функциональными, к ним приводят психоневрозы, эндокринопатии, заболевания желудочно-кишечного тракта, нарушения обмена веществ и возрастные гормональные изменения.
Клинические проявления гиперестезий зубов
Гиперчувствительность зубов появляется при употреблении сладкого, кислого, соленого и острого. Холодная и горячая пища, воздух и прикосновения у пациентов с гиперестезиями также вызывают болезненные ощущения. При этом характер болей может быть незначительным и проявляться лишь дискомфортом, так и интенсивным со значительным болевым синдромом.
При незначительной интенсивности гиперестезий, зубы реагируют лишь на температурные раздражители. При средних проявлениях ткани зуба чувствительны как к переменам температур, так и к химическим раздражителям. Глубокие поражения зубной эмали проявляются интенсивностью гиперчувствительности зубов, зубы остро реагируют на все типы раздражителей, в том числе и на тактильные.
Во время появления болей отмечается повышенное слюноотделение, разговор и принятие пищи сопровождаются болезненностью, пациенты принимают вынужденное положение, при котором щеки минимально соприкасаются с зубами. Из-за этого лицо выглядит одутловатым.
Гигиена полости рта становится затрудненной, а в некоторых случаях невозможной. Это приводит к появлению зубного налета, что провоцирует множественный кариес, воспалительные и деструктивные изменения тканей пародонта. Эти факторы лишь усиливают проявления гиперестезий, в дальнейшем присоединяется рецессия или гиперплазия десен, которые еще более усиливают симптоматику. Таким образом, отсутствие лечения на начальном этапе гиперестезии зубов, приводит к постепенному прогрессированию и к присоединению других заболеваний полости рта.
Диагностика и лечение гиперестезий зубов
Диагностику проводят во время визуального и инструментального осмотров стоматолога. При этом выявляются трещины эмали, ее сколы и другие изменения. В результате осмотра выясняется степень чувствительности зубной эмали к различным раздражителям. В зависимости от степени выраженности гиперестезий, назначается схема лечения. Если гиперестезии появились в результате повреждений зубов, то их коррекция приводит и к исчезновению неприятных симптомов. Обязательно проводят профессиональную гигиену полости рта и лечение всех кариозных очагов.
Одна из методик устранения гиперестезии зубов заключается в воздействии на механизм развития. Перекрывая дентинные канальцы, добиваются прекращения тока зубной жидкости и восстановления давления внутри канальцев. Для этого применяют препараты, уплотняющие и перестраивающие структуру дентина. Они образуют соединения, закупоривающие дентинные канальцы. Также при таком методе лечения происходит связывание активного вещества с белками твердых тканей, которые оседая в канальцах, укрепляют их. Препараты для проведения такой методики содержат цитраты и ионы кальция, фтора и магния.
Эта методика применяется в виде наложения фторсодержащих препаратов (лаков и гелей) на зубную эмаль. Применение лечебных фторидосодержащих зубных паст, оказывает ежедневное воздействие, за счет чего достигается глубокое фторирование зубов. Фториды физически блокируют канальцы дентина, а ионы фтора вступают во взаимодействие с ионами кальция и заполняют дентинные канальцы нерастворимым соединением фторида кальция. Постепенно преципитаты скапливаются в канальцах и уменьшают их просвет. Скорость тока жидкости в дентинном канальце снижается и в результате ответная реакция на внешние раздражители становится менее выраженной.
Если же препарат содержит соли стронция, в частности соли соляной кислоты, то обтурация канальцев происходит за счет оседания комплекса солей с белковой матрицей дентина. Помимо этого, симптоматика гиперестезии зубов снижается из-за стимуляции образования заместительного дентина. Препараты, содержащие стронций, вызывают перестройку и уплотнение дентина, замещая кристаллы эмали на кристаллы кальциево-стронциево-гидроксиаппатитных соединений. Соединения кальция и стронция способны плотно закупоривать входные отверстия дентинных канальцев, за счет чего и уменьшается болезненность при гиперестезиях зубов.
Вторым направлением терапии гиперестезий зубов является снижение возбудимости нервных окончаний в дентинных канальцах. Для этого применяют соли калия, в результате происходит диффузия ионов калия в канальцы. При их кумуляции в нужном количестве они окружают сенсорные нервные окончания, создавая защитную оболочку и блокируя передачу нервных импульсов.
Уход за полостью рта при гиперестезии зубов
Существуют специальные средства ухода за полостью рта, которые при регулярном применении помогают пациентам устранить неприятные ощущения и не допустить развития гиперестезий с ярко-выраженным болевым синдромом. Это зубные пасты, длительность их использования определяется субъективными ощущениями пациента. При отсутствии болей можно переходить на обычные гигиенические пасты. Состав лечебных паст различен, поэтому следует периодически менять их, дабы повысить их эффективность.
Пасты должны содержать нитраты или хлориды калия, фторидовые соединения натрия, хлориды стронция, соединения кальция и цитраты. В зависимости от производителя состав паст и процентная концентрация активных веществ может быть различной. Но используя различные пасты, достигается эффект от воздействия по все направлениям. Поэтому периодическая замена паст более эффективна, чем длительное использование одной пасты.
В остальное время необходимо использовать зубные пасты с низким уровнем абразивности, либо гелевые зубные пасты. Зубные щетки должны быть мягкими или очень мягкими в зависимости от выраженности болевого синдрома. Важно выбирать зубные щетки, у которых кончики щетинок закруглены или сглажены, а форма подстрижки ровная. Целесообразно использование эликсиров для ополаскивания чувствительных зубов.
Соблюдая правильную технику чистки зубов и поддерживая гигиену полости рта можно уменьшить проявления гиперестезий. Рекомендуется использовать небольшое количество зубной пасты и проводить чистку зубов без лишних усилий не более рекомендованного стоматологом времени. После приема кислых, сладких блюд нужно хорошо прополаскивать полость рта.
Использование дополнительных предметов ухода, таких как зубная нить или зубочистка, не должно травмировать десневые сосочки.
Деминерализация эмали зубов - симптомы и лечение
Что такое деминерализация эмали зубов? Причины возникновения, диагностику и методы лечения разберем в статье доктора Панькиной Светланы Юрьевны, стоматолога со стажем в 7 лет.
Над статьей доктора Панькиной Светланы Юрьевны работали литературный редактор Юлия Липовская , научный редактор Пётр Козлов и шеф-редактор Маргарита Тихонова

Деминерализация эмали зубов ( tooth demineralization) — это разрушение зубной эмали из-за утраты минералов (в первую очередь кальция), от которых зависит её целостность и прочность. Можно сказать, что это начальная стадия кариеса . При этом состоянии эмаль утрачивает блеск, на ней появляются белые пятна.
Деминерализация считается одним из самых распространённых нарушений в стоматологии.
![Деминерализация и здоровая эмаль [13]](https://probolezny.ru/media/bolezny/demineralizaciya-emali-zubov/demineralizaciya-i-zdorovaya-emal-13_s.jpg)
Причины возникновения деминерализации эмали зубов
Факторы, которые предрасполагают к деминерализации эмали и развитию кариеса:
- Географический. Климатические условия и наличие различных минеральных веществ в почве и воде влияют как на организм в целом, так и на зубы. Например, в США заболеваемость кариесом составляет 99 %, а в Нигерии — всего 2 %. Это связано с количеством фтора в питьевой воде: ч ем больше фтора, тем выше стойкость людей к кариесу. Однако избыток фтора может привести к другому патологическому процессу — флюорозу, при котором зубы меняют цвет и на них появляются дефекты [1] .
- Профессиональный. Деминерализация зубов чаще возникает у людей, работающих в кондитерских цехах, на производстве кислот и щелочей, а также у людей, чья работа связана с повышенным стрессом [1] .
- Возрастной. Установлено, что деминерализация эмали и кариес чаще развиваются в возрасте от 2 до 40 лет. Скорее всего, это связано с тем, что после 2 лет ребёнок обычно ест больше углеводной пищи, если при этом в организме недостаточно фтора и не проводится нормальная гигиена, состояние полости рта будет ухудшаться. В 12 - 14 лет на зубы влияет гормональная перестройка организма. В возрасте 20 - 40 лет состояние полости рта во многом зависит от телесных заболеваний (например, расстройств ЖКТ), а после 40 лет активность всех функций организма снижается [11] .
- Половой. Женщины чаще страдают кариозными поражениями. Это может быть связано с более частым употреблением сладкого. Также в период беременности и лактации женщины передают ребёнку много витаминов и микроэлементов, поэтому прочность зубов может снижаться. Токсикоз, нарушение углеводного обмена, заболевания желудочно-кишечного тракта и щитовидной железы повышают риск д еминерализации эмали и образования кариеса.
Общие факторы риска:
- Генетическая предрасположенность.
- Несбалансированное питание и питьевая вода с низким содержанием минеральных веществ.
- Соматические заболевания. Больше всего на состояние полости рта влияют хронические патологии органов пищеварения. Например, гастрит, язвенная болезнь желудка и 12-перстной кишки, гепатит, панкреатит и другие болезни ЖКТ сопровождаются дефицитом витаминов, минеральных веществ, белков, углеводов и нарушением иммунной регуляции, что приводит к развитию различных заболеваний полости рта. Также могут повлиять другие патологии:
- При заболеваниях центральной нервной системы (детском церебральном параличе, эпилепсии и др.) повышается риск кариеса зубов из-за плохой гигиены полости рта.
- При патологиях системы кровообращения больные всех возрастов чаще страдают от кариеса и потери зубов [12] .
- Стрессы и экстремальные факторы: превышение скорости, невесомость, перегрузка организма, травмы, работа в высокогорьях.
Местные факторы риска:
- Плохая гигиена полости рта.
- Изменение свойств и состава слюны . Слюна очищает зубы и дёсны от прилипших частиц пищи и зубного налёта, тем самым снижает количество и активность бактерий. Если слюны выделяется меньше или меняются её свойства, риск деминерализации и кариеса увеличивается.
- Вредные привычки : курение , употребление алкоголя и большого количества сладкого [1][5][8][11][12] .
Симптомы деминерализации эмали зубов
Выявить первые признаки деминерализации достаточно трудно, особенно при обильных зубных отложениях ( налёте и камнях ). Вымывание минеральных компонентов, как правило, происходит незаметно.
Деминерализация эмали развивается постепенно: сначала структура эмали становится шероховатой и утрачивает естественный блеск, затем появляется меловидное пятно. Оно выглядит так, будто по зубу провели белым мелом.
![Меловидные пятна на эмали [14]](https://probolezny.ru/media/bolezny/demineralizaciya-emali-zubov/melovidnye-pyatna-na-emali-14_s.jpg)
Эмаль зуба становится более пористой, поэтому быстрее изменяет цвет (желтеет и темнеет) под воздействием неблагоприятных факторов. Также повышается чувствительность зубов на раздражители — сладкое и холодное.
При появлении первых подозрительных признаков нужно сразу записаться на приём к стоматологу. Если откладывать лечение, начнётся кариозный процесс и твёрдые ткани будут разрушаться [5] [8] [9] .
Патогенез деминерализации эмали зубов
Через несколько минут после еды на зубах появляется плёнка — пелликула, которая состоит из компонентов слюны. В этой плёнке ещё нет бактерий, разрушающих зуб. Патологический процесс начинается через несколько суток. Через 48 часов на пелликуле скапливается большое количество микроорганизмов. На 4 - 9 день на зубной эмали формируется зрелая бляшка — отложение, состоящее из микроорганизмов и продуктов их жизнедеятельности.
Микроорганизмы зубной бляшки усваивают сахариды, которые поступают с углеводной пищей, и вырабатывают кислоты. Эти кислоты растворяют кальций и разрушают поверхность эмали. Главную роль играет воздействие на твёрдые ткани зуба молочной кислоты.
Из-за повышенной проницаемости эмали под её поверхностью появляется очаг поражения (меловидное пятно) — признак деминерализации. В дальнейшем образуется кариозная полость [2] .

Классификация и стадии развития деминерализации эмали зубов
По характеру течения выделяют медленнотекущую и быстротекущую деминерализацию.
Стадии деминерализации:
- начальная;
- развившаяся;
- стадия дефекта.
Если на начальной стадии медленнотекущая и быстротекущая деминерализация проявляются одинаково — в виде белого пятна размером 1 - 3 мм — то на развившейся стадии появляются отличительные признаки:
- Для медленнотекущей деминерализации характерны однородные изменения поверхности эмали. При зондировании ( « прощупывании » зуба стоматологическим зондом) отмечается шероховатость эмали, но её поверхность ещё плотная.
- Быстротекущая форма на второй стадии более активна. Очаги деминерализации теряют чёткие границы. Поверхность эмали становится шероховатой, тусклой, как будто матовой. Зонд легко погружается в участок деминерализации. Эмаль утрачивает плотность, соскабливается стоматологическим экскаватором. При окрашивании очага специальными средствами интенсивность окрашивания увеличивается, так как эмаль становится более пористой. Быстротекущая деминерализация переходит в стадию дефекта, поэтому задача врача-стоматолога остановить процесс на раннем этапе [5][6][8] .
Осложнения деминерализации эмали зубов
Деминерализации зубов может привести к образованию среднего и глубокого кариеса.
Средний кариес затрагивает эмаль и поверхностный слой дентина. При зондировании отмечается болезненность в области эмалево-дентинного соединения. Температурные раздражители вызывают боль, но она быстро проходит после устранения раздражающего фактора.
При глубоком кариесе поражение твёрдых тканей зуба обширнее. Патология затрагивает глубокие слои дентина. При зондировании отмечается болезненность по дну кариозной полости. Температурные раздражители вызывают резкую, сильную боль, но после устранения раздражающего фактора она быстро проходит.
Если не вылечить кариес, развивается пульпит (воспаление сосудисто-нервного пучка зуба). В дальнейшем может развиться периодонтит (воспаление ткани между костной стенкой лунки и корнем зуба), что может привести к удалению зуба.

Ещё о дним осложнением деминерализации является эрозия тканей зуба . Она выглядит как овальный или округлый дефект эмали. Дно эрозии как правило гладкое, не тусклое и твёрдое. Дальнейшее углубление и распространение границ эрозии приводит к потере всей эмали и части дентина. При этом отмечается повышенная чувствительность дентина. Причиной возникновения эрозии является воздействие кислот на твёрдые ткани зуба. В отличие от кариозных поражений, эрозия не связана с бактериями полости рта [4] [5] [6] [8] .
![Эрозия тканей зуба [15]](https://probolezny.ru/media/bolezny/demineralizaciya-emali-zubov/eroziya-tkanyay-zuba-15_s.jpg)
Диагностика деминерализации эмали зубов
Диагностика начинается с опроса пациента, который включает сбор жалоб, анамнеза жизни и заболевания.
Сбор жалоб и анамнеза
На приёме врач сначала подробно расспросит, что беспокоит пациента. При деминерализации жалобы обычно связаны с появлением на зубах белых, жёлтых или тёмных пятен. Если пациент жалуется на боль, врач может спросить:
- где возникает боль;
- боль постоянная или появляется в ответ на раздражители;
- как долго она длится;
- какова интенсивность и характер боли: ноющая, рвущая или пульсирующая;
- в какое время суток возникает, беспокоит ли ночью;
- отдаёт ли в другие зоны, если да, то в какие;
- что помогает облегчить боль.
Чтобы установить связь заболевания с внешними факторами, условиями жизни или перенесёнными болезнями, врач собирает анамнез (историю) жизни. Уточняется:
- место рождения;
- материально-бытовые условия в детстве: где и в каких условиях рос и развивался, характер вскармливания и т. д.;
- трудовой анамнез: условия труда и профессиональные вредности в прошлом и по настоящее время;
- бытовые условия в настоящий момент;
- рацион питания;
- вредные привычки: курение, употребление алкоголя и др.;
- перенесённые ранее заболевания, травмы и операции;
- заболеваемость близких родственников;
- аллергический статус.
Сбор анамнеза заболевания. Врач уточняет:
- когда, где и при каких обстоятельствах возникло заболевание;
- с чем пациент его связывает;
- как болезнь начиналась — остро или постепенно;
- какими были первые симптомы;
- как болезнь развивалась от момента первых проявлений до настоящего времени;
- проводилось ли ранее какое-либо обследование и лечение, сколько длилось и каковы его результаты.
Все собранные сведения часто имеют решающее значение в постановке диагноза. Далее врач проводит обследование. В диагностике деминерализации эмали можно выделить основные и дополнительные методы.
Основные методы диагностики
- Осмотр . Чтобы провести осмотр, сначала врач высушивает эмаль струёй воздуха. При деминерализации на эмали видно чёткое матовое пятно белого цвета или пигментированный коричневатый очаг с шероховатой поверхностью.
- Зондирование . Здоровая эмаль при обследовании плотная и гладкая, текстура поражённой эмали шероховатая. Обычно зондирование при деминерализации безболезненно, боль возникает только при среднем и глубоком кариесе, а также при других некариозных патологиях.

- Термометрия . Это обследова ние позволяет определить реакцию зуба на тепло или холод. Термометрия может проводиться с помощью воды (холодной или тёплой) либо воздуха. При деминерализации поражение не доходит до дентина, поэтому обычно температурные раздражители не вызывают сильной боли, но при повышенной чувствительности боль может быть резкой.
Дополнительные методы диагностики
- Люминесцентный метод . Здоровая эмаль под действием ультрафиолетовых лучей даёт голубое свечение, а очаг деминерализации остаётся тёмным.
![Люминесцентный метод [13]](https://probolezny.ru/media/bolezny/demineralizaciya-emali-zubov/lyuminescentnyy-metod-13_s.jpg)
- Лазерная диагностика. Этот метод основан на том, что здоровая и поражённая эмаль по-разному отражают световые лучи. При деминерализации прибор издаёт звуковой сигнал и на экране появляются значения, отличные от нормы. Высокие показания прибора свидетельствуют о глубине поражения.
- Витальное окрашивание. На эмаль зуба наносится кариес-детектор — специальный краситель, который окрашивает очаги деминерализации. При других патологиях цвет эмали не меняется. Чем сильнее окрашивается пятно, тем интенсивнее процесс деминерализации.
![Витальное окрашивание [16]](https://probolezny.ru/media/bolezny/demineralizaciya-emali-zubov/vitalnoe-okrashivanie-16_s.jpg)
Дополнительные методы исследования нужны в тех случаях, когда есть сомнения в диагнозе и врачу нужно исключить другие патологии, т. е. провести дифференциальную диагностику.
Дифференциальную диагностику деминерализации тканей зуба проводят с начальными стадиями флюороза и гипоплазии эмали:
- При флюорозе , в отличие от деминерализации, поражаются несколько или все поверхности зубов, нет повышенной чувствительности на термические раздражители, поражение стабильно, (т. е. болезнь не прогрессирует), при зондировании поверхность поражения гладкая, а не шероховатая.
- Отличительные признаки гипоплазии : затронуты все или несколько зубов. Признаки поражения обычно находятся на вестибулярной (со стороны губ) поверхности резцов и клыков, буграх моляров и премоляров, что несвойственно для деминерализации. Поражение стабильно. При зондировании поверхность гладкая, блестящая, полированная [3][5][7][10] .
Лечение деминерализации эмали зубов
Лечение деминерализации эмали в большинстве ситуаций не требует применения бормашины. Чаще проводят р еминерализацию, г лубокое фторирование или л ечение по технологии Icon.
1. Реминерализация. Метод подразумевает наполнение эмали зуба минеральными компонентами. В основе реминерализирующих гелей — фосфор и кальций, которые обеспечивают прочность эмали.
Перед процедурой нужно провести профессиональную гигиену полости рта, т. е. удалить зубной камень и налёт. Затем эмаль высушивают тёплым воздухом и н а зубы наносят реминерализирующий гель на 15-20 минут. Обычно требуется 10-20 процедур. После каждой процедуры в течение двух часов нельзя есть и чистить зубы.
Преимущества реминерализующей терапии:
- защищает зубы от кариеса;
- устраняет гиперчувствительность зубов.
2. Глубокое фторирование. Это обработка твёрдых тканей зуба специальным фторсодержащим раствором. Перед процедурой также нужно провести профессиональную гигиену полости рта. Затем высушить эмаль тёплым воздухом и нанести на поверхность зубов препараты, содержащие фтор, гидроксид меди и кальций. Чтобы закрепить результат, врач может порекомендовать использовать фторсодержащие пасты. Хороший эффект появляется после 3-5 процедур.
Преимущества глубокого фторирования:
- участки деминерализации и микротрещины заполняются, эмаль становится плотнее;
- создаётся защитный барьер между бактериями полости рта и эмалью , который защищает зуб от разрушений и снижает риск развития кариеса;
- полученный результат сохраняется примерно на год, после этого нужно будет повторить курс.
3. Лечение по технологии Icon . Это современный безболезненный метод лечения деминерализации и раннего кариеса без бормашины, который даёт хороший результат. Суть метода в том, что поражённые участки заполняются специальным веществом, которое благодаря капиллярному эффекту проникает в пористую эмаль, делает её плотнее, а также уничтожает кариозные образования и препятствует размножению патогенных бактерий.
Этапы лечения по технологии Icon.
- На поражённый зуб устанавливается изоляционная система типа коффердам, которая защищает зубы от влаги и позволяет врачу лучше видеть зону поражения.
- Наносится первый компонент — гель соляной кислоты (Icon-Etch), который открывает поры эмали. Его выдерживают 2 минуты, затем в течение 30 секунд смывают водой.
- Обработанная область продувается сухим воздухом.
- На 30 секунд наносится второй компонент — этанол (Icon-Dry), который удаляет остатки жидкости.
- Наносится третий компонент — текучая смола (Icon-Infiltrant). Её нужно выдержать 3 минуты. Затем остатки смолы аккуратно сдувают и материал «засвечивают» на протяжении 40 секунд, чтобы он затвердел.
- Излишки смолы удаляются полировочными штрипсами и флоссами, затем снимается коффердам [4][6][7][8] .
4. Пломбирование. При деминерализации проводится редко, обычно только на стадии тёмного пятна, когда реминерализирующая терапия не помогает. В этом случае световая пломба считается наиболее эффективной, поскольку помогает защитить зуб от влияния внешних факторов и остановить развитие кариеса, а также вернуть эстетику зуба.
Этапы пломбирования световым композиционным материалом:
- Поверхность зуба очищается от налёта, подбирается цвет пломбы, например с помощью специальной шкалы Вита. В выборе цвета должны участвовать врач, ассистент и пациент. Желательно это делать при естественном освещении, лучше всего в первой половине дня, зуб при этом должен быть влажным.
- Если есть показания (например, гиперчувствительность), делается анестезия.
- Устанавливается коффердам.
- Очаг поражения препарируется, т. е. удаляются мёртвые ткани зуба.
- Выполняется кондиционирование (обработка кислотой) и адгезивный протокол — обработка поверхностей зуба спиртовым раствором и нанесение адгезива, который создаёт сцепление тканей зуба с пломбой.
- Послойно наносится световой композиционный материал, пломба шлифуется и полируется.
Прогноз деминерализации эмали зубов благоприятный, если своевременно её пролечить, в противном развивается кариес и другие осложнения [4] [6] [7] .
Эрозия зубов - симптомы и лечение
Что такое эрозия зубов? Причины возникновения, диагностику и методы лечения разберем в статье доктора Карелина Андрея Сергеевича, стоматолога-имплантолога со стажем в 11 лет.
Над статьей доктора Карелина Андрея Сергеевича работали литературный редактор Юлия Липовская , научный редактор Елена Страндстрем и шеф-редактор Лада Родчанина
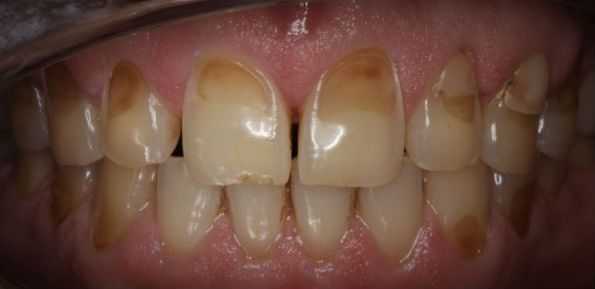
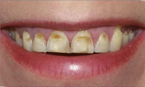
Эрозия твёрдых тканей зуба — это прогрессирующий дефект, при котором разрушаются эмаль и дентин. Диагностируется преимущественно у пациентов среднего и пожилого возраста. Обычно встречается на верхних резцах и клыках, имеет симметричный характер. Нижние резцы и края зубов поражаются крайне редко.

На раннем этапе эрозия имеет вид округлого дефекта с гладким дном на выступающей части передней поверхности резцов. Со временем эмаль полностью стирается, обнажается дентин, который затем тоже убывает. На начальной стадии дефект эмали может иметь размер всего несколько миллиметров, но при отсутствии своевременной стоматологической помощи поражается вся поверхность зуба. Если зона поражения находится в пределах эмали, цвет резцов не меняется. При обнажении дентина появляются жёлтые пятна.
В отличие от кариеса, эрозивные дефекты не связаны с размножением в ротовой полости патогенной микрофлоры [1] .
Причины эрозии зубов. Деминерализация эмали, которая приводит к возникновению эрозий, может быть вызвана разными причинами:
1. Химическая теория. Чаще всего эрозии вызваны воздействием различных кислот:
- Кислот, содержащихся в продуктах. У многих пациентов разрушение резцов связано с пищевыми привычками, а именно употреблением продуктов, содержащих кислоты. К ним относятся цитрусовые, кислые фрукты, кетчупы, уксус, майонез, горчица, соленья, газированные сладкие напитки, кисломолочные продукты, сухие вина. Если регулярно употреблять их, страдает эмаль зубов.
- Кислот на химических производствах. Люди, постоянно контактирующие с кислотами, тоже подвержены эрозии зубов.
- Кислоты́ желудочного сока. При гастроэзофагеальном рефлюксе происходит заброс содержимого желудка в ротовую полость, что тоже негативно влияет на эмаль. Если этот процесс происходит постоянно, развивается эрозия.
- Кислот в лекарственных препаратах (аспирин, витамин С) [2] .
2. Эндокринная теория. По данным исследований, эрозия зубов связана с гиперфункцией щитовидной железы. У пациентов с тиреотоксикозом (повышенным уровнем гормонов щитовидной железы) эрозия зубов встречается в 2 раза чаще, чем у пациентов с нормальным уровнем секреции тиреоидных гормонов. У больных гипотиреозом эрозия регистрируется в 2,5 раза реже, чем у здоровых людей. Это связано со снижением вязкости слюны при гиперфункции щитовидной железы. При этом меняется pH слюны и её буферная ёмкость [3] .
3. Механическая теория. По данным некоторых зарубежных исследователей, эрозия может быть ассоциирована с механическими воздействиями: использованием жёстких зубных щёток и абразивных зубных паст. Также в зоне риска находятся люди, которые неправильно чистят зубы и часто проходят процедуру отбеливания. Однако механические факторы не являются прямой причиной развития эрозии — они лишь усугубляют её течение, вызывая дискомфорт и боль [11] [12] [13] .
Симптомы эрозии зубов
Клинические проявления эрозий разнообразны. В классическом виде это округлый дефект с гладким дном на передней поверхности резцов. На начальной стадии он не заметен, но участок эмали теряет блеск. Это первый признак деминерализации. Далее эмаль разрушается, образуется вогнутость. При обнажении дентина дно дефекта приобретает желтоватый оттенок.

Если эрозия возникла вследствие гастроэзофагеального рефлюкса или постоянной рвоты, разрушаются внутренние поверхности зубов. В результате постоянного контакта с кислотой поражаются не только резцы, но и моляры и премоляры. В тяжёлых случаях страдает и жевательная поверхность зубов.

Эрозивные дефекты обычно сопровождаются выраженной болезненностью при действии раздражителей. При патологической стираемости зубов и других дефектах такой яркой клинической картины обычно не наблюдается. Эрозия отличается от патологической стираемости типичной округлой формой и локализацией преимущественно в средней трети коронки зуба [4] .
Патогенез эрозии зубов
Если при кариесе деминерализация одновременно затрагивает поверхностные и подповерхностные слои эмали, то при эрозии процесс поражения идёт постепенно, со временем углубляясь. Деминерализация, как правило, происходит при контакте с кислотами. Зубная эмаль утрачивает неорганические компоненты, преимущественно соли кальция, что снижает её прочность. На прилегающих к дефекту участках эмаль также теряет плотность и меняет свою структуру. Кристаллы гидроксиапатита, которые являются основой эмали и обеспечивают её прочность, становятся крупными, часто приобретают размытые контуры. Это отчётливо видно на сканограммах при изучении поражённых резцов.
Дентин поражённых зубов также неоднородный, часть канальцев облитерирована (закрыта). Структура дентина становится такой же, как и при повышенной стираемости зубов ( уменьшается размер дентинных канальцев и происходит избыточная минерализация). В пришеечной области сохраняется чёткая граница, эмаль наслаивается на цемент корня.

Если эрозия прогрессирует, сначала стирается поверхность эмали, после этого поражаются более глубокие её слои, затем склерозируется (твердеет) дентин, а на поздних стадиях вовлекается и пульпа. Без устранения провоцирующего фактора и замещения дефекта процесс не останавливается, что постепенно приводит к утрате зуба [5] .

Классификация и стадии развития эрозии зубов
Согласно Международной классификации болезней (МКБ-10), эрозия относится к заболеваниям твёрдых тканей зубов. Патологию разделяют по причинам, приводящим к возникновению дефектов эмали: эрозия может быть обусловлена диетой, регургитацией (забросом содержимого желудка в полость рта) либо рвотой, профессиональными вредностями и медикаментами. Также выделяют идиопатическую и неуточнённую формы заболевания.
Каждой форме присваивается отдельный шифр. Это позволяет стоматологу получить полную информацию о заболевании, назначить правильные лечебно-профилактические мероприятия и порекомендовать консультации профильных специалистов [6] .
По глубине дефекта выделяют три степени эрозии:
- Начальная стадия характеризуется незначительным дефектом. Поражается только наружный слой эмали.
- При средней степени поражена вся эмаль, дефект может достигать границы с дентином.
- Если поражён дентин, говорят о глубокой эрозии. Такой дефект отличается жёлтой пигментацией.
По клинической стадии процесса различают два типа эрозии:
- Активная эрозия. При активном процессе быстро идёт убыль твёрдых тканей, пациент предъявляет жалобы на гиперчувствительность. Эмаль становится матовой, покрывается налётом, который тяжело снимается.
- Стабильная эрозия. В стабильной стадии изменения идут медленно, после высушивания эмаль блестит, гиперчувствительность отсутствует. Но при изучении под микроскопом видно, что структура твёрдых тканей нарушена, отмечаются признаки деминерализации.
В процессе диагностики нужно дифференцировать эрозию с кариесом, стиранием эмали, клиновидным дефектом [7] .
Осложнения эрозии зубов
Исследования показывают, что качество жизни пациента страдает в той или иной мере при любой степени эрозии. На начальной стадии заболевание не беспокоит пациента, однако некоторые замечают косметический дефект в виде тусклых пятен, напоминающих зубной налёт. Это первый признак, который говорит о том, что защитные свойства твёрдых тканей зуба нарушены. Эмаль размягчается, становится более чувствительной к воздействию вредных факторов. Такой зуб быстро разрушается.
По мере истончения слоя эмали появляется чувствительность зубов при употреблении холодного, горячего, кислого и сладкого. Если дефект увеличивается, пациент может испытывать выраженную болезненность.
Когда обнажается дентин, дефект становится хорошо заметным окружающим. На зубах появляются жёлтые пятна, контрастирующие с белой эмалью. Поскольку эрозия часто развивается на верхних резцах, изменения заметны во время разговора или улыбки. Это вызывает психологический дискомфорт.

Эрозия приводит к нарушению жевательной функции. Обнажённый дентин чувствителен к прикосновениям, поэтому пациент испытывает болезненность во время еды. Если это происходит постоянно, развиваются хронические заболевания желудочно-кишечного тракта.
Если вовремя не посетить стоматолога и не начать лечение, в процесс вовлекается пульпа. Это может привести к поражению корня и утрате зуба.
Следует знать, что даже маленький дефект на поверхности зуба может привести к его потере, поэтому при первых признаках эрозии нужно обратиться за стоматологической помощью. Чем более поверхностный характер имеет поражение, тем легче остановить процесс и восстановить зубы [8] .
Диагностика эрозии зубов
Чтобы поставить диагноз, обычно достаточно беседы с пациентом, сбора анамнеза и осмотра ротовой полости. Приём стоматолога начинается с оценки жалоб пациента. В первой стадии обычно больного ничего не беспокоит, кроме изменения внешнего вида эмали. Для диагностики эрозии на начальной стадии используется йодная проба. После тщательного высушивания коронки на дефектную область наносится раствор йода. В ходе реакции повреждённые участки эмали окрашиваются в жёлтый цвет. При углублении дефекта появляется болезненность во время приёма определённых видов пищи, со временем боль становится более выраженной. Эти симптомы говорят стоматологу о нарушении структуры эмали.
На начальных стадиях при осмотре можно обнаружить, что эмаль теряет блеск, утрачивает свою структуру и приобретает "стеклянный" вид. Поражённые места напоминают участки, покрытые зубным налётом. Так же может выглядеть и начальная стадия кариеса. Для дифференциальной диагностики на поражённую область наносят краситель. При кариозных поражениях участок окрашивается, при эрозии — нет. Кроме того, кариозные поражения обычно расположены ближе к десне.
На более поздних стадиях углубление на поверхности зуба хорошо заметно. Оно имеет округлую форму, гладкие края и дно, что можно определить при зондировании стоматологическим инструментом. При поверхностных поражениях цвет углубления не отличается от оттенка зуба, но когда дефект доходит до дентина, появляется тёмная либо жёлтая пигментация.

Определение стадии заболевания и выявление причин дефекта твёрдых тканей позволяют выбрать оптимальную тактику лечения. Для установления причины появления эрозий нужно определить локализацию дефектов. Если нарушения связаны с пищевыми привычками или приёмом лекарственных препаратов, поражения располагаются на наружной поверхности верхних резцов. При гастроэзофагеальном рефлюксе эрозии обнаруживаются на внутренней поверхности моляров, а при хронической рвоте — на внутренней поверхности всех зубов [9] .
Пациентам с эрозией рекомендовано УЗИ щитовидной железы. Это позволит установить, связано ли изменение эмали с нарушением синтеза тиреоидных гормонов.
У пациентов с эрозией отмечается значительное снижение плотности эмали. Плотность дентина, наоборот, немного возрастает. При изучении химического состава твёрдых тканей в них отмечается снижение содержания кобальта, меди, цинка и железа.
Лечение эрозии зубов
Терапия должна быть комплексной, так как врачу необходимо не только устранить дефект твёрдых тканей, но и воздействовать на его причины, иначе зубы будут продолжать разрушаться. Например, если эрозия вызвана действием кислот, то в первую очередь необходимо скорректировать образ жизни и пищевые привычки пациента. Из рациона следует исключить продукты, содержащие кислоты. Нужно взять за правило проводить гигиену ротовой полости после каждого приёма пищи. Также стоматолог должен подобрать зубную щётку оптимальной жёсткости и рассказать, как правильно чистить зубы.

Если патология зубов вызвана другими заболеваниями , то в процессе лечения стоматологу приходится тесно сотрудничать с докторами других специальностей, например c эндокринологами или гастроэнтерологами.
Способ закрытия дефекта выбирают в зависимости от локализации эрозии. Если дефекты располагаются на окклюзионных (жевательных) поверхностях моляров и премоляров, необходимо делать акцент на прочности, если на передней поверхности резцов — на эстетике. Для восстановления целостности зубов используют композитные материалы. Препарирование тканей зуба обычно производят на глубину до 0,5 мм. Для реставрации передних зубов можно использовать готовые накладки из композитных материалов (виниры). Они имеют небольшую толщину и хорошую эстетичность. С их помощью можно устранить даже заметные дефекты и сделать улыбку привлекательной.

Если жевательные поверхности зубов значительно разрушены или эрозия сочетается с другими стоматологическими заболеваниями, то для реставрации используют коронки. Для жевательных зубов отлично подходит металлокерамика. Материал имеет оптимальное соотношение прочности, эстетичности и цены. Если эрозия сочетается с повышенной стираемостью вследствие бруксизма, используются окклюзионные шины [2] .

Чтобы улучшить качество жизни пациента, нужно не просто устранить дефект, но и снизить чувствительность зубов. Для этого используют препараты, оказывающие воздействие на нервные окончания либо закрывающие дентинные канальцы. Врач проводит соответствующие процедуры в стоматологическом кабинете, а также подбирает средства по уходу за зубами, снижающие чувствительность. Таким пациентам подходят зубные пасты с высоким содержанием кальция и фтора. Эти элементы частично закрывают дентинные канальцы, что постепенно снижает чувствительность зубов. В стоматологических кабинетах для снижения чувствительности зубов используют лазерные технологии. Нужно понимать, что для получения эффекта необходимо комплексное лечение, одних домашних средств недостаточно.
Эрозия твёрдых тканей зубов — довольно распространённое заболевание. Дефект появляется постепенно. От первых признаков заболевания до обнажения дентина может пройти 10-15 лет. При обнаружении заболевания на ранней стадии можно остановить процесс деструкции твёрдых тканей зуба, выявив причину и устранив её. Замещение такого дефекта композитными материалами или коронками также не составляет сложности. Если этиологический фактор будет продолжать действовать, деструкция эмали не прекратится, поэтому местное стоматологическое лечение даст кратковременный результат. При повреждении эмали и вовлечении в патологический процесс дентина разрушение идёт быстрее. Без своевременного комплексного лечения пациент может потерять зубы.
Для профилактики необходимо минимизировать воздействие факторов, разрушающих эмаль. Меры, позволяющие предотвратить развитие эрозии:
- Правильное питание. В рационе нужно ограничить количество газированных сладких напитков, уксуса, спиртного, цитрусовых, фруктовых соков. Кислые продукты не рекомендуется употреблять перед сном, а после них всегда следует полоскать рот. Соки лучше пить через трубочку, а витамины и таблетки не разжёвывать.
- Правильная гигиена ротовой полости. Использовать их нужно редко, перед применением проконсультироваться со стоматологом. Не следует использовать слишком жёсткие зубные щётки. Нельзя чистить зубы сразу после употребления кислых продуктов, лучше прополоскать рот, а полноценную гигиену ротовой полости провести через час.
- Укрепление зубов. Для этого используются аппликации фторидов, зубные пасты с фтором и кальцием. При выявлении первых признаков деминерализации эмали стоматолог назначит курс по восстановлению твёрдых тканей и подберёт специальные средства для ухода за ротовой полостью в домашних условиях.
- Лечение сопутствующих заболеваний. Гастроэзофагеальный рефлюкс, частая рвота, патология щитовидной железы, нарушения синтеза женских половых гормонов — провоцирующие факторы в развитии эрозии зубов. При обнаружении этих заболеваний нужно пройти курс лечения у профильного специалиста.
В лечении важен комплексный подход, который включает ортопедическое стоматологическое лечение, коррекцию образа жизни и лечение соматических заболеваний, провоцирующих разрушение эмали. Профилактика эрозий твёрдых тканей зубов проста и доступна. Выполняя все рекомендации и регулярно посещая стоматолога, можно избежать этого заболевания [10] .
Читайте также:
