Этапы и техника операции при разрыве малоберцовой связки
Добавил пользователь Дмитрий К. Обновлено: 13.12.2025
Разрыв связок на уровне голеностопного сустава в большинстве случаев не требует хирургического лечения. После 2 недельного периода иммобилизации в ортезной повязке и 4 недель лечебной физкультуры, направленной на укрепление мышц голени и развитие мышечного баланса в 90 % случаев пациента ничего не беспокоит.
Но нас интересует судьба тех 10 %, у которых после разрыва связок голеностопного сустава развивается его нестабильность. Почти всегда эти пациенты получают такое же консервативное лечение, как и остальные, симптомы становятся менее выраженными, но не проходят полностью. В таких случаях следует обращаться за хирургической помощью, так как последствия нестабильности в голеностопном суставе могут быть очень серьёзными.
Клинический случай разрыва связок голеностопного сустава.
Пациент Ч. 23 года, травма во время игры в футбол, подвернул правую стопу кнаружи при резком толчке, услышал хруст, почувствовал резкую боль. Обратился в травмпункт, где выполнены рентгенограммы без нагрузки, рекомендована иммобилизация в ортезной повязке 2 недели и консервативное лечение. Учитывая отсутствие положительной динамики, принял решение обратиться на консультацию в клинику К+31.
В анамнезе неоднократные травмы голеностопного сустава. Длительное время (более 3 лет) отмечал ощущение «нестабильности, разболтанности» правого голеностопного сустава.
3-4 раза в год происходили эпизоды «подворачивания» голеностопного сустава кнутри после которых отмечал отёк в области наружной лодыжки и боль при ходьбе на протяжении 1-2 недель. Лечился консервативно, фиксация при помощи эластичного бинта, холод, мазь диклофенак местно, на фоне данного лечения отмечал постепенный регресс отёка и восстановление безболезненной амплитуды движений.
Последняя травма на футболе спрвоцировала усиление ощущения нестабильности, отёк был более выраженный. Отсутствие положительной динамики заставило пациента обратиться к врачу.
В нашей клинике пациент Ч. Был осмотрен врачом, заподозрено повреждение дистального межберцового синдесмоза, на фоне хронической нестабильнсоти голеностопного сустава. Были выполнены МРТ голеностопного сустава и рентгенография голеностопных суставов стоя с нагрузкой весом тела, а также стресс-рентгенограммы, в вынужденном положении, которые подтвердили диагноз.
Ниже представлены срезы МРТ в которых наглядно показано расположение повреждённых связочных структур.




Данные повреждения практически в 100 % случаев пропускаются при первичном обращении в травмпункт. При несвоевременном или неадекватном лечении нестабильность голеностопного сустава приводит к разрушению суставного хряща, выраженной боли, деформации, и в конечном счёте к полной утрате функции опоры и ходьбы. В зависимости от того какие связки разорваны и от того насколько выражена нестабильность, артроз развивается в разные сроки, от 1 года при разрыве синдесмоза, до 20 и более лет при изолированном разрыве передней таранно-малоберцовой связки.
Очень важно чтобы при первичном обращении в травмпункт, пациентам с повреждением связочного аппарата голеностопного сустава производились полноценные рентгенограммы, стоя с нагрузкой весом тела, косая проекция с внутренней ротацией голени 15 градусов, а при необходимости, и стресс-рентгенограммы.

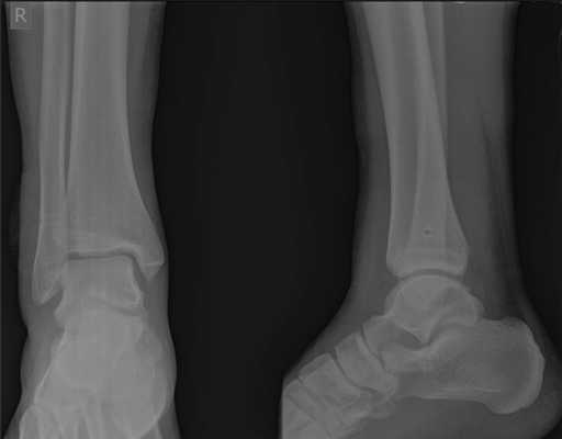
При детальном изучении снимков определяется увеличение межберцовой щели до 7,5 мм, уменьшения зоны перекрытия большеберцовой и малоберцовой костей до 5 мм, отсутствие на стороне поражения перекрытия тени таранной кости и малоберцовой кости.

На рентгенограмме костей правого и левого голеностопных суставов в прямой проекциии, снимки стоя - справа определяются признаки повреждения дистального межберцового синдесмоза - степень взаимного перекрытия берцовых костей 5мм (в норме больше 6мм) увеличенное большеберцовое - малоберцовое пространство - 7.5мм (в норме до 6мм).
При выполнении стресс рентгенограмм определяется выраженная латеральная нестабильность голеностопного сустава.

У данного пациента также определялась избыточная подвижность малоберцовой кости на уровне дистального межберцового синдесмоза при компрессии голени на уровне средней трети, которая клинически проявляется болью по переднему краю наружной лодыжки.

Учитывая молодой возраст, желание активно заниматься спортом, анамнестические данные свидетельствующие о хронической нестабильности правого голеностопного сустава принято решение о хирургическом лечении.
Ниже представлены этапы оперативного лечения.








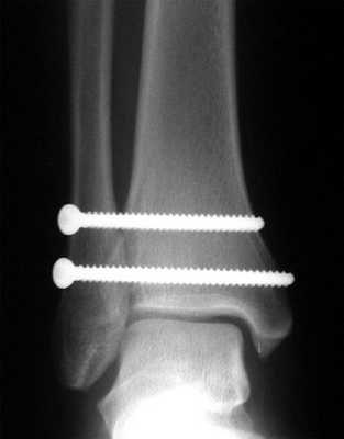
После восстановления латерального связочного комплекса по Брострому в модификации Голда и фиксации межберцового синдесмоза винтом производится оценка стабильности голеностопного сустава при помощи вальгус—стресс теста под контролем ЭОП.

Гипермобильность голеностопного сустава устранена, положение таранной кости остаётся неизменным несмотря на приложение вальгусной нагрузки.
Далее следует послойное ушивание раны, и наложение гипсовой лонгетной повязки.

Реабилитация после операции по восстановлению связок голеностопного сустава и фиксации дистального межберцового синдесмоза винтом.
В раннем послеоперационном периоде рекомендуется возвышенное положение конечности, аппликации холода по 30 минут каждые 3-4 часа 5 дней. Ходьба без осевой нагрузки при помощи костылей потребуется на протяжении 6 недель с момента операции. Лонгетная повязка позволяет выполнить перевязку на первые сутки после операции, при отсутсвии значительного геморрагического отделяемого можно наложить циркулярную полимерную повязку на 2 недели. Через 2 недели повязка рассекается по передней поверхности голени и стопы, удаляются послеоперационные швы, после чего иммобилизация возобновляется.
После снятия послеоперационных швов пациенту разрешается занимается ЛФК в голеностопном суставе. Для этого в полимерной повязке по передней поверхности делается продольный пропил шириной 2-4 см чтобы её можно было легко снимать. После снятия полимернойповязки пациент выполняет сгибательные и разгибательные движения в голеностопном суставе, исключаю пронацию, супинацию и ротацию. Дозированная осевая нагрузка (вес конечности) возможна с 3 недели после операции.
Через 6 недель производится удаление позиционного винта. С этого момента разрешается полная осевая нагрузка.

На рентгенограммах видно что после удаления позиционного винта взаимоотношения большеберцовой и малоберцовой костей остаётся прежним, что свидетельствует в пользу того что лечение прошло успешно.
После удаления позиционного винта основной упор делается на восстановление силы, выносливости мышц голени, а главное - улучшение мышечного баланса и проприорецепции. Разрешаются любые движения в голеностопном суставе, в том числе супинация и пронация. Использование резиновых лент с различной степенью сопротивления позволяет изолированно тренировать различные мышечные группы голени. Для тренировки мышечного баланса выполняются упражнения по удержанию равновесия на одной ноге сначала на твёрдом полу с дополнительной опорой на руки, потом на мягкой пенке, потом на толстой 10 см пенке, на полуфитболе. В конечном счёте необходимо добиться способности стоять на мыске одной ноги без дополнительной опоры на протяжении 20 секунд.

Никифоров Дмитрий Александрович
Хирургия стопы и голеностопного сустава, коррекция деформаций конечностей, эндопротезирование суставов, артроскопическая хирургия, спортивная травма.
Операция Брострома
Повреждение связок составляют около 85% от всех повреждений голеностопного сустава, а из них 80 % составляют наружно-супинационный механизм травмы. Повреждение связок голеностопного сустава составляют от 14 до 21 % от всех спортивных травм, около 40% у баскетболистов, 25 % у футболистов. У женщин эти повреждения встречаются чаще, чем у мужчин, при аналогичных нагрузках.
Часто, при неадекватном лечении острых повреждений связок голеностопного сустава, развивается хроническая наружная нестабильность. Для более детального обсуждения для начала рассмотрим анатомию связок этой области.
Наружные статические стабилизаторы голеностопного сустава состоят из трех связок. Передняя таранно-малоберцовая связка- 2-2,5 мм толщиной, 15-20мм длиной и 6-8мм шириной, начинается сзади от переднего края наружной лодыжки и прикрепляется к шейке таранной кости, где она сливается с передне-наружной капсулой сустава. Это самая слабая и часто повреждающаяся связка из наружных связок. Функция связки состоит в удерживания таранной кости от передне-наружного подвывиха.
Пяточно-малоберцовая связка 20-25 мм длиной, 6-8 мм толщиной, 3-4 мм шириной намного крепче, чем таранно-малоберцовая связка. Она начинается от верхушки наружной лодыжки продолжается глубже малоберцовых сухожилий, и прикрепляется к наружной поверхности пяточной кости. Это единственная из наружных связок, которая экстракапсулярная.
Задняя таранно-малоберцовая связка около 30 мм длиной, 5 мм шириной, и 5-8 мм толщиной самая мощная из латеральных связок. Она начинается от пальцевого вдавления наружной лодыжки и идет кзади и прикрепляется к заднему отделу таранной кости.
Чаще всего повреждается передняя таранно-малоберцовая связка, в результате чего развивается хроническая наружная нестабильность голеностопного сустава.
При хронической латеральной нестабильности голеностопного сустава передняя таранно-малоберцовая связка ослабленная, неэффективная для стабилизации голеностопного сустава. В анамнезе у пациентов обычно имеет место периодически растяжение связок в течение 2-х лет, имеется нестабильность таранной кости на рентгеновских снимках.
Диагностика достаточно легкая, и ставится на основании клинических и рентгенологических данных
При этом наблюдается положительный варус-тест, и на рентгенограммах подвывих таранной кости.
Предложено множество вариантов хирургического лечения наружной нестабильности голеностопного сустава, в том числе анатомическое восстановление связок, пересадка малоберцовых сухожилий, статическая стабилизация с помощью сухожильных трансплантатов и т.д.
Из наиболее распространённых операций анатомического восстановления наружной группы связок (в большей степени передней таранно-малоберцовой связки) можно считать операция Брострума, которая доказала свою эффективность и малотравматичность, достаточно широко применяется за рубежом.
Для доступа к наружному отделу голеностопного сустава разрез идет от верхушки наружной лодыжки, имея незначительную кривизну.
Когда связка идентифицируется, она иссекается на уровне сустава, по контурам переднего отдела наружной лодыжки. Надкостница, покрывающая кость, отделяется проксимально. Далее оценивается состояние капсулы с таранно-малоберцовой связкой, нежизнеспособные и дегенеративные ткани иссекаются, остается лоскут, который прикреплен к малоберцовой кости.
При классической операции Брострума, далее этот лоскут трансоссально сшивается к переднему отделу наружной лодыжки.
В последнее время был предложен вариант артроскопической операции, который известен как «ArthroBrostrum». При этой технике предполагается артроскопический доступ к наружному отделу сустава, чистится место прикрепления передней таранно-малоберцовой связки, вкручивается анкерный винт, и перкутанно связка сшивается и прикрепляется к наружной лодыжке.
В отделении травматологии и ортопедии Волынской больницы освоены и применяются на практике оба вида данного оперативного вмешательства, позволяющие эффективно решить проблему наружной нестабильности голеностопного сустава.
Разрыв межберцового синдесмоза
Разрыв межберцового синдесмоза встречается в 0,5% случаев повреждений связочного аппарата голеностопного сустава, и в 13% случаев переломов лодыжек. Как и многие другие виды повреждений связочного аппарата, часто пропускается на этапе первичного оказания медицинской помощи. При несвоевременном и неграмотном лечении приводит к формированию хронической нестабильности голеностопного сустава, остеохондральным повреждениям таранной и большеберцовой кости, быстрому формированию выраженного деформирующего артроза голеностопного сустава. Разрыв синдесмоза часто сопровождает переломы лодыжек тип В и С по Веберу, повреждение сухожилий малоберцовых мышц, перелом основания 5-й плюсневой кости, перелом переднего отростка пяточной кости, перелом наружного и заднего отростков таранной кости.
Механизм разрыва межберцового синдесмоза.
Разрыв межберцового синдесмоза чаще всего происходит при избыточной наружной ротации и дорсифлексии стопы. Возможны и другие механизмы, но их вклад в общую картину повреждения намного менее значителен.

Чаще всего данный механизм встречается в таких видах спорта как регби, футбол, американский футбол, баскетбол, волейбол, лёгкая атлетика (прыжки). У не-спортсменов повреждение чаще бывает ассоциировано с переломом лодыжек.
Анатомия межберцового синдесмоза.
Дистальный межберцовый синдесмоз состоит из следующих анатомических структур:
Передне-нижней большеберцово-малоберцовой связки. Она соединяет передне-наружный бугорок большеберцовой кости (бугорок Chaput’s) и передний бугорок малоберцовой кости (бугорок Wagstaffe’s). Задне-нижняя большеберцово-малоберцовая связка соединяет задний бугорок большеберцовой кости (бугорок Volkmann’s) и заднюю поверхность наружной лодыжки. Является наиболее мощным компонентом межберцового синдесмоза.

Помимо этих, расположенных кпереди и кзади от берцовых костей структур, непосредственно между ними находятся: поперечная большеберцово-малоберцовая связка, межкостная мембрана, межкостная связка и нижняя поперечная связка.

Основной биомеханической функцией синдесмоза является сопротивление силам осевой нагрузки, ротации и наружной трансляции таранной кости. Межберцовый синдесмоз обладает определённой степенью эластичности, во время нормальной ходьбы межберцовая щель может расширяться до 1 мм. Дельтовидная связка является опосредованным стабилизатором межберцового синдесмоза.
Симптомы разрыва межберцового синдесмоза.
-боль по передне-наружной поверхности голеностопного сустава
-боль в проекции дельтовидной связки (к низу от верхушки внутренней лодыжки)
-боль при осевой нагрузке
При осмотре необходимо пропальпировать все анатомические компоненты синдесмоза, боль в любом из них свидетельствует о его повреждении. Тест на сжатие (тест Hopkin’s) сжатие берцовых костей на уровне середины голени вызывает боль в проекции синдесмоза. Тест на наружную ротацию (боль в области синдесмоза при тыльном сгибании и наружной ротации стопы) при сгибании в коленном и тазобедренном суставе 90°. Тест Cotton’s - латеральная трансляция малоберцовой кости при выполнении переднего и заднего «выдвижного ящика» для голеностопного сустава вызывает боль в проекции синдесмоза. При длительном периоде времени прошедшем с момента повреждения, функциональные тесты становятся менее информативны.
Диагностика разрыва межберцового синдесмоза.
Помимо тщательного сбора анамнеза, осмотра и функциональных тестов, важную роль в диагностике повреждений межберцового синдесмоза играют инструментальные методы. В первую очередь выполняются рентгенограммы в прямой и боковой проекции голени на протяжении, для исключения высоких переломов лодыжек.

Вторым важным моментом является выполнение снимков с выведением межберцового «паза» (проекция Mortise, 15-20° внутренней ротации голени).

Её информативность значительно возрастает при выполнении рентгенограмм с нагрузкой и одновременно обеих нижних конечностей. Помимо «пазовой» рентгенограммы в диагностически неоднозначных случаях выполняют стресс-рентгенограммы с наружной ротацией.

Признаками, указывающими на разрыв межберцового синдесмоза служат:
-сниженное взаимное перекрытие берцовых костей, в норме >6 мм на передней и >1 мм на «пазовой» рентгенограммах.
-увеличенное медиальное чистое пространство >4 мм.
-увеличенное большеберцово-малоберцовой чистое пространство, в норме

При подозрительной на разрыв межберцового синдесмоза клинической картине и отрицательных результатах рентгенографии рекомендуется выполнение КТ или МРТ. Они позволяют выявить частичные повреждения. Также их роль неоценима в оценке качества устранения межберцового диастаза после операции.

Лечение разрывов межберцового синдесмоза.
В случае отсутствия диастаза при рентгенографии и клинически не выраженной нестабильности можно использовать консервативный метод лечения - иммобилизация в U-образной лонгете и ходьба с костылями без нагрузки 3 недели с момента травмы с последующей ходьбой в ортезе ограничивающем наружную ротацию стопы.
В подавляющем большинстве случаев возникает необходимость в оперативном лечении. Классическая методика заключается в фиксации синдесмоза позиционными винтами. Для этой цели подойдут 3,5 или 4,5 мм синдесмозные винты проведённые через 3 или 4 кортикальных слоя на 2-5 см выше дистального плато большеберцовой кости.

Установку винтов лучше производить в положении тыльного сгибания стопы, что позволяет предотвратить «перезатягивание». В послеоперационном периоде потребуется 6-12 недель ходьбы с костылями без нагрузки на оперированную конечность, с последующим удалением винтов.
Альтернативным вариантом является установка «пуговчатых» фиксаторов с использованием аутотрансплантатов или синтетических связок.

К плюсам данного метода относится возможность более ранней осевой нагрузки и отсутствие необходимости в удалении фиксаторов.
В случаях когда фиксация синдесмоза выполняется по поводу переломов лодыжек типа С по Веберу существует высокая вероятность (10%) формирования межберцового синостоза.
Если вы - пациент, и предполагаете, что у вас или ваших близких может быть разрыв межберцового синдесмоза и вы хотите получить высококвалифицированную медицинскую помощь, вы можете обратиться к сотрудникам центра хирургии стопы и голеностопного сустава.
Клинический пример лечения разрыва дистального межберцового синдесмоза в нашей клинике.
Пациент Д.27 лет, травма в результате неудачного приземления после прыжка старзанки на мелководье. Стопа ушла кнаружи относительно фиксированной голени. Произошёл перелом малоберцовой кости в средней трети с разрывом всех компонентов дистального межберцового синдесмоза и отрывной перелом внутренней лодыжки.

Данный тип переломов лодыжек считается очень тяжёлым и относится к категории 44С2 по классификации Ассоциации Остеосинтеза. Казалось бы, сломаны всего 2 кости, да и переломы по своей морфологии не особо и тяжёлые, почему же данный тип переломов лодыжек считается крайне тяжёлым?
Всё дело в повреждении мягких тканей, прежде всего разрыве всех 4 компонентов дистального межберцового синдесмоза - передней и задней нижних межберцовых связок, межкостной связки и межкостной мембраны. Вместе с отрывом медиальной лодыжки всё это делает перелом абсолютно нестабильным и требует операции в 100% случаев.

Добавить к этому значительное повреждение всех остальных мягких тканей - разрыв суставной капсулы, повреждение лимфатических и венозных сосудов, получаем выраженный отёк, накладывающий свой отпечаток, как на инфекционные риски, так и на заживление тканей в послеоперационном периоде.

Стопа при этом становится похожа на подушку, нередко в этом периоде (от 6 часов до 7 суток от травмы) из за выраженного отёка эпидермис может отслаиваться с формированием фликтен. Если это произошло, оптимальной тактикой может быть временный переход на аппарат внешней фиксации - в котором смещение таранной кости устраняется, а операцию сделать отсроченно после спадения отёка через 7-14 дней.
Целью операции является, прежде всего, восстановление нормальных взаимоотношений в голеностопном суставе. Если при обычном переломе лодыжек операция начинается с остеосинтеза латеральной лодыжки, то в данном случае лучше начинать, наоборот, с медиальной лодыжки, или с перелома заднего края (если он сломан и возможно выполнить его остеосинтез).
Это связано с тем что дистальный участок малоберцовой кости абсолютно нестабильный в вырезке большеберцовой кости, и поймать его правильную позицию не стабилизровав внутреннюю или заднюю лодыжку технически крайне затруднительно.
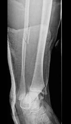
Собственно фиксация дистального межберцового синдесмоза возможна как при помощи винтов, так и при помощи пуговчатых фиксаторов. Фиксацию лучше выполнять через небольшой кусок 1\3 трубчатой пластины, чтобы распределить нагрузку на большую площадь. В противном случае существует риск последующего перелома малоберовой кости по винту, так как он будет концентрировать на себе всю нагрузку.
В случае если фиксация производится винтом или винтами, лучше использовать трёхкортикальный метод, так как он обеспечивает менее жёсткую фиксацию, и позволяет малоберцовой кости её нормальные физиологические движения в вырезке. Четырёхкортикальные винты блокируют малоберцовую кость более жёстко. И препятствуют тыльному сгибанию стопы. После начала нагрузки четырёхкортикальные винты часто ломаютя, по той же причине.
В послеоперационном периоде целесообразно «подстраховать» фиксацию первые 2 недели гипсовой лонгетной повязкой. А после снятия послеоперационных швов - циркулярной повязкой ещё на 4 недели. В повязке допустима дозированная нагрузка - весом конечности.

Во время операции необходимо произвести ревизию межберцовой щели из того же латерального доступа. Это необходимо: во-первых для контроля адекватного устранения смещения, во-вторых, для устранения интерпозиции связок образующих ДМБС и небольших костных фрагментов в малоберцовой вырезке, в-третьих для предупреждения мальпозиции малоберцовой кости при наложении костной цапки и при установке синдесмозных винтов.
Крайне важно контролировать позицию малоберцовой кости и на истинном боковом снимке, так как наиболее частой ошибкой является её трансляция кпереди при установке костной цапки.
При соблюдении всех вышеперечисленных нюансов, возможно адекватное устранение подвывиха, и возвращение малоберцовой кости в нормальную анатомическую позицию, что в конечном счёте обеспечивает максимально возможное восстановление функции.
Разрыв связок

Разрыв связок представляет собой полное или частичное нарушение их анатомической целостности. Состояние возникает при чрезмерных или продолжительных нагрузках на сустав (падение, неудачный прыжок, удар, нефизиологические изгибы и пр.).
Риск увеличивается при перенесенных ранее травмах и микротравмах связок, а также на фоне артрозов, рубцовых изменений и прочих дегенеративно-дистрофических процессах сухожильно-суставного аппарата. Восстановление функций поврежденного сустава после разрыва связок напрямую зависит от своевременности обращения за медицинской помощью.
Виды разрыва связок
В зависимости от степени повреждения связок выделяют два вида разрывов:
- полные: связка либо полностью разорвана на две части (повреждено 100% волокон), либо оторвана от места ее крепления;
- частичные: происходит надрыв части волокон, однако функции сустава в целом не нарушены, хотя и временно ограничены из-за болевых ощущений; нередко принимаются за растяжение.
В зависимости от причины возникновения выделяют два основных вида разрыва связок:
- травматические, полученные в результате повышенной травмирующей нагрузки;
- дегенеративные: являются следствием износа, возрастных изменений и суставных патологий.
В зависимости от локализации выделяют голеностопный, коленный, локтевой, плечевой, кистевой, крестообразный и другие виды разрыва.
Симптомы разрыва связок
Признаки разрыва связок во многом зависят от вида пострадавшего сустава, а также степени повреждения, однако имеется ряд сходных симптомов:
- острая боль при движении, а в тяжелых случаях и в покое;
- отек, умеренный при частичном повреждении и обширный при полном разрыве со сглаживанием контуров сустава и распространением за его пределы;
- кровоподтеки;
- болезненная пальпация в месте повреждения;
- ограничение движений и опоры на конечность, в тяжелых случаях может иметь место патологическая подвижность (нехарактерные для этого сустава движения);
- нестабильность поврежденного сустава, возможно визуальное изменение его контуров;
- характерный хруст, щелканье при движении.
Диагностика
Диагностическое обследование начинается со сбора анамнеза и клинического осмотра пациента травматологом. Для подтверждения диагноза и исключения сопутствующих травм (например, переломов), используются различные методы визуализации. В первую очередь выполняется рентгеновский снимок поврежденного сустава в двух проекциях.
Он помогает выявить не только повреждение связок, но и сопутствующие травмы, незамеченные на этом фоне — трещины, отрывы костных фрагментов и т.д. Также врач может назначить УЗИ для оценки повреждений мягких тканей в травмированной области, степени расхождения волокон и т.д. Если тяжесть травмы требует хирургического вмешательства или же необходимо выявить повреждение костных структур, врач может назначить ИРТ или КТ сустава.

Воспользуйтесь уникальной возможностью и получите бесплатную консультацию по поводу плановой операции. Подробнее.

Операции при разрыве связок
Выбор метода лечения разрыва связок зависит от степени повреждения, выраженности симптомов, травматизации костей или мышц и т.п. Если пострадало не более 50% волокон, достаточно консервативной терапии: иммобилизации, обезболивающих средств, ЛФК в период восстановления.
При более значительном повреждении восстановления можно добиться только хирургическим путем. Артроскопическая операция выполняется "закрытым" доступом через несколько проколов в проекции сустава. Показана в случаях застарелых травм или при разрыве внутрисуставных связок. Чаще всего метод используется при повреждении колена, его передней крестообразной связки.
Суть вмешательства заключается в реконструкции поврежденной связки с помощью установки аутотрансплантатов (с использованием донорских тканей самого пациента) или, реже, аллотрансплантатов (синтетический или биологический протез из донорского банка). Для крепления используются саморассасывающиеся винты. Выполненная операция позволяет восстановить стабилизацию сустава и его функциональность.
Для хирургического лечения свежих разрывов связок могут использоваться специальные виды швов и различные фиксаторы. Выбор оперативной методики делает лечащий травматолог на основе индивидуальной клинической картины, возраста, физической активности и образа жизни пациента.
Вовремя выполненная операция в большинстве случаев помогает полностью восстановить работу сустава и даже вернуться к высоким спортивным нагрузкам.

Реабилитация
Сроки восстановления и характер послеоперационной реабилитации зависит от вида сустава, нагрузки на него, тяжести повреждения и объема оперативного вмешательства. Пациент выписывается домой обычно через 1-2 дня после операции, после чего необходимо принимать назначенные препараты и соблюдать рекомендации лечащего врача по двигательному режиму.
При повреждении связок нижних конечностей необходимо использовать костыли с постепенным повышением нагрузки на больную ногу. Угол сгибания сустава также увеличивается по согласованию с врачом. Заключительный период послеоперационной реабилитации включает в себя специальную лечебную физкультуру.
Признаки повреждения связочного аппарата очень сходны с переломами в области сустава, вот почему точный диагноз можно поставить только при полноценном обследовании.
Физиотерапевтические процедуры значительно ускоряют процесс восстановления. Если врач назначил конкретный курс в период реабилитации, не стоит пренебрегать этой рекомендацией.
«Неотложная медицинская помощь», под ред. Дж. Э. Тинтиналли, Рл. Кроума, Э. Руиза, Перевод с английского д-ра мед. наук В.И.Кандрора, д. м. н. М.В.Неверовой, д-ра мед. наук А.В.Сучкова, к. м. н. А.В.Низового, Ю.Л.Амченкова; под ред. Д.м.н. В.Т. Ивашкина, Д.М.Н. П.Г. Брюсова; Москва «Медицина» 2001.
Травматология и ортопедия: учебник / под ред. Н.В.Корнилова. - 3-е изд., перераб. и доп. - М.: ГЭОТАР-Медиа, 2016.
Разрыв задней крестообразной связки - симптомы и лечение
Что такое разрыв задней крестообразной связки? Причины возникновения, диагностику и методы лечения разберем в статье доктора Коновалова Евгения Александровича, травматолога со стажем в 13 лет.
Над статьей доктора Коновалова Евгения Александровича работали литературный редактор Юлия Липовская , научный редактор Никита Геращенко и шеф-редактор Маргарита Тихонова
Определение болезни. Причины заболевания
Разрыв задней крестообразной связки (posterior cruciate ligament rupture) — это повреждение самой крупной внутрисуставной связки коленного сустава. Эта травма серьёзно снижает качество жизни, так как вызывает боль и чрезмерную подвижность сустава, что нарушает нормальную походку и значительно ускоряет износ и разрушение суставных поверхностей [1] .

Такая травма в основном встречается у мужчин, но случается редко. Так как задняя крестообразная связка (ЗКС) более толстая и прочная, она повреждается в среднем в 15 - 30 раз реже, чем передняя (ПКС) [11] .
Причины разрыва ЗКС
Как правило, разрыв ЗКС происходит из-за очень сильного удара по голени спереди. В каких случаях это может произойти:
- при дорожно-транспортном происшествии: когда бампер автомобиля ударяет пешехода по передней поверхности голени; когда водитель или пассажир ударяется передней поверхностью голени о приборную панель автомобиля при резком торможении или столкновении;
- в контактных и высокоскоростных видах спорта (футбол, хоккей, лыжи, рэгби и др.): когда лыжник или сноубордист ударяется передней частью голени о препятствие; при столкновении игроков, например во время футбола или регби и т. д.

При обнаружении схожих симптомов проконсультируйтесь у врача. Не занимайтесь самолечением - это опасно для вашего здоровья!
Симптомы разрыва задней крестообразной связки
Основные жалобы в остром периоде, который длится примерно 2 недели:
- Щелчок и боль в колене в момент травмы, после чего становится сложно или невозможно ходить.
- Выраженный отёк. Как правило, он развивается в течение первого часа после травмы. В отличие от повреждения ПКС, при разрыве ЗКС отёк и гематома распространяются и на заднюю поверхность голени. Это связано с тем, что задняя треть связки находится за пределами капсулы коленного сустава и сообщается с подколенной ямкой.
- Симптомы «псевдоблокады», т. е. невозможность согнуть или разогнуть ногу в суставе, при попытках это сделать ощущается противодействие.
При хроническом (застарелом) разрыве ЗКС беспокоит боль, ощущение «разболтанности» в коленном суставе и значительные затруднения при ходьбе. Боль появляется из-за повреждений хряща и мениска, как в момент травмы, так и в результате разрушения хряща. Иногда колено «не слушается», нога подгибается в колене, её сложно контролировать, всё это признаки нестабильности коленного сустава [6] .
Патогенез разрыва задней крестообразной связки
Задняя крестообразная связка, как и передняя, состоит из спирально идущих коллагеновых волокон, которые обеспечивают её прочность и сравнительно большую растяжимость. Верхним концом ЗКС и ПКС прикрепляются к бедренной кости, нижним — к углублениям на большеберцовой кости. Посередине связки перекрещиваются, поэтому их и называют крестообразными.

Основная функция крестообразных связок — поддерживать стабильность коленного сустава, обеспечивать правильные движения и взаимодействие суставов при ходьбе. ЗКС при этом удерживает голень от смещения назад.
Исходя из основной функции ЗКС, становится понятен и механизм получения травмы. Если в момент травмы голень сильно смещается назад, то ЗКС чрезмерно натягивается и, как следствие, происходит её разрыв [9] .
Нужно учитывать, что в крестообразных связках проходят нервные волокна, которые передают в головной мозг информацию о положении тела и отдельных его частей в пространстве. Повреждение этих волокон при разрывах связок приводит к последующей нестабильности сустава, так как без обратной связи от сустава невозможно скоординировать работу мышц, окружающих сустав. Это нарушает биомеханику движения и ведёт к преждевременному износу хрящей, менисков и других структур сустава.
Впоследствии развивается деформирующий гонартроз — суставной хрящ истончается и разрушается, а под ним повреждается кость. При этом появляется ноющая боль в колене, сначала при длительной нагрузке, затем в покое и даже ночью. Со временем из-за нарушения биомеханики походки и увеличения нагрузок на сустав развивается вальгусная (X-образная) либо варусная (O-образная) деформация коленного сустава [8] .

Классификация и стадии развития разрыва задней крестообразной связки
Степени повреждения ЗКС:
- Микроразрыв — незначительное растяжение связки. Может проявляться умеренным отёком сустава и болью. Движения могут быть ограничены, но стабильность сустава не нарушена.
- Частичный разрыв — умеренное растяжение. Отёк и боль выражены сильнее, стабильность сохранена, но появляется риск повторного разрыва из-за снижения прочности связки.
- Полный разрыв. Проявляется значительным отёком, сильной болью, нестабильностью в суставе, из-за чего невозможно опереться на ногу.
Типы повреждения задней крестообразной связки в зависимости от давности и распространённости процесса:
- острые разрывы;
- застарелые разрывы и хроническая недостаточность;
- частичные разрывы и рубцевание;
- отрыв костного фрагмента.
Чтобы оценить острые и хронические повреждения связок коленного сустава, в практике используется классификация вывихов в коленном суставе R. C. Schenck в модификации D. C. Wascher.
Осложнения разрыва задней крестообразной связки
- . Это шишка под коленом, которая связана со скоплением синовиальной жидкости. Избыток синовиальной жидкости вызван хроническим воспалением коленного сустава, а воспаление, в свою очередь, является следствием микротравм хряща из-за неправильных движений в суставе.
- Пателлофеморальный артроз. Представляет собой поражение хрящевой ткани надколенника и бедренной кости. Патология связана с чрезмерной нагрузкой на сустав, которая вызвана его нестабильностью.
- Рецидивирующая нестабильность.
Диагностика разрыва задней крестообразной связки
Предположить разрыв связки и в дальнейшем поставить окончательный диагноз можно ещё в острый период травмы. Прежде всего диагноз ставится на основании механизма травмы, а также жалоб, описанных выше, данных анамнеза, результатов инструментальных методов обследования и специальных тестов.
Чтобы диагностировать повреждение ЗКС, врач обязательно проводит специфические тесты:
- Тест Godfrey. Пациент лежит на спине, повреждённая нога согнута в коленном и тазобедренном суставе под углом 90°, мышцы максимально расслаблены. В этом положении при повреждении ЗКС голень провисает. Для сравнения нужно провести тест и на здоровой ноге.

- Тест «заднего выдвижного ящика». Пациент лежит на спине, нога согнута в коленном суставе под углом 60-90°. Врач давит на большеберцовую кость, оценивая на сколько она смещается назад (как выдвижной ящик) и есть ли болевые ощущения. Тест выполняется поочерёдно в трёх положениях голени: при развороте наружу, внутрь и в нейтральном положении. Смещение голени назад в нейтральном положении говорит о повреждении ЗКС и задненаружных стабилизаторов коленного сустава, а при развороте голени наружу — только ЗКС.
![Тест «заднего выдвижного ящика» [13]](https://probolezny.ru/media/bolezny/razryv-zadnej-krestoobraznoj-svyazki/test-zadnego-vydvizhnogo-yashika-13_s.jpg)
- Рекурвационный тест. Пациент лежит на спине, ноги выпрямлены. Врач поднимает повреждённую ногу за стопу. Если ЗКС повреждена, происходит переразгибание в коленном суставе. При сопутствующем разрыве ПКС степень переразгибания увеличивается. Обязательно нужно провести тест и на здоровой ноге, так как переразгибание может быть вариантом нормы или указывать на синдром гипермобильности суставов.
- Активный динамический тест четырёхглавой мышцы. Пациент лежит на спине, колено согнуто под углом 60°. При активном напряжении четырёхглавой мышцы бедра провисающая голень, смещается вперёд. Этот тест наиболее информативен при застарелых разрывах задней крестообразной связки.
![Активный динамический тест четырёхглавой мышцы [14]](https://probolezny.ru/media/bolezny/razryv-zadnej-krestoobraznoj-svyazki/aktivnyy-dinamicheskiy-test-chetyryohglavoy-myshcy-14_s.jpg)
- Реверсивный PIVOT-SHIFT тест. Пациент лежит на спине. Врач отводит и поворачивает наружу повреждённую ногу, согнутую в коленном суставе под углом 60-90°. В этом положении при наличии разрыва ЗКС определяется патологическое смещение голени назад. Затем врач устраняет подвывих — разгибает голень, что сопровождается щелчком и визуальным смещением голени вперёд.
- Обратный тест Lachman. Пациент лежит на животе. Врач обхватывает рукой верхнюю часть наружной поверхности голени, стопу фиксирует в подмышечной впадине. Другой рукой охватывает бедро чуть выше надколенника, затем пытается сместить голень вперед относительно бедра. О разрыве ЗКС при этом тесте будет говорить смещение голени назад [5] .
В остром периоде обязательно проводится рентгенография коленного сустава. Рентген позволяет исключить либо выявить сопутствующие повреждения костей, которые могут косвенно указывать на повреждение ЗКС или вызывать симптомы задней нестабильности сустава. Например, на рентгене можно выявить отрыв костного блока в месте крепления ЗКС. При этой патологии сустав тоже становится нестабильным, но ЗКС может быть не повреждена [2] .
Вместо рентгена можно сделать магнитно-резонансную томографию (МРТ) коленного сустава. Это самый информативный метод диагностики повреждений ЗКС. Он позволяет увидеть мягкие ткани сустава и поставить окончательный диагноз.
На разрыв ЗКС будут указывать следующие признаки: связку не видно, нарушена непрерывность волокон связки или они расположены неправильно. Косвенно о наличии разрыва говорит заднее смещение большеберцовой кости и волнистый контур связки.
![Здоровая ЗКС и её разрыв на МРТ [12]](https://probolezny.ru/media/bolezny/razryv-zadnej-krestoobraznoj-svyazki/zdorovaya-zks-i-eyo-razryv-na-mrt-12_s.jpg)
Чтобы оценить нестабильность сустава, может проводиться артрометрия при помощи артрометра КТ-1000, но этот аппарат есть не везде.
![Артрометр [15]](https://probolezny.ru/media/bolezny/razryv-zadnej-krestoobraznoj-svyazki/artrometr-15_s.jpg)
Лечение разрыва задней крестообразной связки
Консервативное лечение
Консервативные методы лечения включают:
- Пункцию сустава, если в нём скопилось много крови.
- Протокол RICE, при котором охлаждают место травмы (например, прикладывают лёд), накладывают компрессионную повязку, оставляют ногу в покое и кладут её на возвышенность.
- Пункцию сустава, противовоспалительные препараты, внешнюю фиксацию повреждённой ноги при помощи ортеза или суппорта.
- Физиотерапию после устранения симптомов острой фазы. Процедуры подбирает врач-физиотерапевт индивидуально для каждого пациента.
- Лечебную физкультуру, реабилитационные мероприятия и упражнения, направленные на восстановление работы повреждённого сустава и укрепление окружающих его мышц.
Консервативное лечение как самостоятельный метод обычно не способно полноценно восстановить функцию сустава, так как порванная ЗКС не может срастись самостоятельно. Это значит, что все симптомы и признаки нестабильности сустава никуда не исчезнут [3] .
Хирургическое лечение
Единственный метод, который позволяет полностью восстановить повреждённый сустав при разрыве ЗКС — это артроскопия.
Для восстановления связки используют два вида трансплантатов: аутотрансплантаты (из собственных сухожилий) и аллотрансплантаты (из трупных связок или сухожилий). В России в клинической практике чаще применяют первый вид.
Как и любая операция, артроскопия требует предоперационной подготовки и сдачи анализов.
На первом этапе операции хирурги-ортопеды извлекают и обрабатывают трансплантат, чаще всего его берут из собственной связки надколенника или из сухожилия полусухожильной мышцы.

На втором этапе формируют каналы в бедренной и большеберцовой кости, удаляют остатки разорванной ЗКС и проводят подготовленный трансплантат через костные каналы в физиологическое положение [7] .

Второй этап операции осуществляется артроскопически — через несколько проколов в коленном суставе с использованием видеоаппаратуры, что снижает травматичность операции и ускоряет восстановительный период. Длительность операции всегда строго индивидуальна.
Послеоперационный период
После операции в течение 3-4 дней пациент находится в стационаре. В этот период врач следит за состоянием больного и процессом заживления послеоперационной раны. Также проводится противовоспалительная и антибактериальная терапия, адекватное обезболивание и регулярные перевязки раны.
Через 3-4 дня после операции больного выписывают. После выписки пациент наблюдается в поликлинике, где ему делают перевязки, контролируют выполнение комплекса ЛФК и физиотерапевтических упражнений, которые помогают быстрее восстановиться. Это обязательная часть лечения, без качественной реабилитации невозможно добиться хорошего результата. На 14-е сутки после операции снимают операционные швы.
Прооперированную ногу обездвиживают на 4 недели с помощью гипса, тутора или шарнирного ортеза. В этот период придётся ходить на костылях, постепенно увеличивая нагрузку на ногу. В первые дни после операции нагружать ногу нельзя, затем нагрузку увеличивают на 25 % каждую неделю, к 4-й неделе обычно разрешается полная нагрузка. Когда опороспособность ноги восстанавливается до уровня 75 %, обычно это происходит к 3-й неделе, разрешается перейти на один костыль. Полностью отказаться от костыля можно, когда восстановится нормальная походка с перекатом от пятки к пальцам стопы [10] .

Заниматься спортом, например посещать спортзал, плавать или бегать, можно не раньше, чем через 6 месяцев после операции.
Послеоперационные осложнения
- Нагноение послеоперационной раны, гнойный синовит. Это самое тяжёлое осложнение, оно связано с несоблюдением асептических условий во время выполнения перевязок. Чаще всего это происходит, когда перевязки выполняются самостоятельно в домашних условиях.
- Отрыв трансплантата от места прикрепления в костном канале. Крайне редкое осложнение, обычно оно связано с травмой колена.
- Аллергические реакции на лекарственные препараты, используемые в лечении.
- Контрактура коленного сустава. Это ограничение движений в коленном суставе. Чаще всего она развивается из-за отсутствия или неправильной реабилитации после операции.
При использовании аллотрансплантата осложнением может стать его отторжение, крайне редко происходит заражение ВИЧ-инфекцией [3] .
Прогноз. Профилактика
Более чем у 95 % пациентов функции сустава полностью восстанавливаются, но для этого нужно своевременно и правильно провести лечение и реабилитацию.
Примерно к 4-му месяцу после операции искусственно созданная связка приживается. В дальнейшем трансплантат окончательно перестраивается и по свойствам становится максимально похож на полноценную «родную» ЗКС [4] .
Без операции прогноз неблагоприятный. Со временем развивается деформирующий гонартроз, который требует эндопротезирования — большой и травматической операции по замене коленного сустава на искусственный имплантат.
Рецидивы возможны, если пациент нарушает рекомендации врача или снова травмирует ногу. Также к повторному повреждению могут привести ошибки при проведении операции.
Профилактика разрыва ЗКС
Системы чётких и последовательных мероприятий по профилактике повреждений ЗКС не существует. Снизить риск травмы у спортсменов поможет полноценно выполненная разминка, укрепляющие тренировки и специальные упражнения. При беге, прыжках и рывках важно соблюдать правильную технику. В быту и на производстве нужно придерживаться общеизвестных правил безопасности.
Читайте также:
- Эндометриоз. Что это такое, какие опасности таит?
- Х-сцепленная умеренная глухота. Х-сцепленная глухота с врожденной фиксацией стремени и истечением перилимфы
- Причины и механизмы развития дивертикула пищевода
- Вегетативная нервная система (ВНС). Медиаторы вегетативной нервной системы
- Тиреоидная орбитопатия у ребенка
