Фертильность после лечения внематочной беременности метотрексатом
Добавил пользователь Евгений Кузнецов Обновлено: 11.12.2025
Частота кесарева сечения неуклонно растет во всем мире, несмотря на заявление Всемирной организации здравоохранения (ВОЗ) в 2015 г. в пользу вагинальных родов. В качестве глобального стандарта для оценки, мониторинга и сравнения показателей кесарева сечения в медицинских учреждениях с течением времени и между учреждениями ВОЗ предлагает использовать классификационную систему Robson [1].
Одним из наиболее распространенных гинекологических последствий кесарева сечения является рубец на матке с недостаточным заживлением, известный как дефект перешейка матки или истмоцеле [2, 3].
Истмоцеле определяется как дивертикул на передней стенке перешейка матки или цервикального канала, расположенный в области рубца после кесарева сечения. Распространенность симптоматического истмоцеле после кесарева сечения до сих пор неизвестна, с широкими вариациями в различных исследованиях, в пределах от 19,4 до 88% [4].
По данным J. Larsen, M. Solomon [5] несостоятельный рубец на матке после кесарева сечения был выявлен у 1 из 500 женщин. При этом 4% от всех внематочных беременностей были в рубце на матке [5, 6].
Согласно результатам мировой статистики, в настоящее время около 1% всех беременностей — эктопические [7, 8].
Более того, согласно статистическим данным, за последние десятилетия отмечена тенденция к неуклонному росту частоты внематочной беременности во всем мире (за 20 лет в 4 раза).
В зависимости от локализации плодного яйца эктопическую беременность подразделяют на трубную, яичниковую, расположенную в рудиментарном роге матки, и брюшную. Частота редких форм эктопической беременности достигает 5—8,3% от числа всех внематочных беременностей, а течение характеризуется массивным кровотечением нередко с фатальным исходом. Согласно данным Росстата, в России в 2017 г. внематочная беременность в структуре материнской смертности составила 8,1%, а в 2018 г. снизилась в 2 раза, составив 4,1% [цит. по 9—11].
Имплантация плодного яйца в рубце на матке после кесарева сечения впервые была описана в 1978 году [5]. В зависимости от глубины имплантации описываются два различных типа беременности в рубце на матке:
1-й тип — с прогрессирующим в сторону полости матки течением;
2-й тип — с расположением плодного яйца в проекции истмоцеле и истончением миометрия передней стенки матки [12—14].
Клинические рекомендации 2017 г., утвержденные Российским обществом акушеров-гинекологов и согласованные с Минздравом России, относят беременность в рубце после кесарева сечения в анатомическую классификацию внематочной беременности [15]. Беременность в рубце после кесарева сечения может привести к опасным для жизни последствиям, таким как массивное кровотечение и разрыв матки. Идеальное лечение должно привести к устранению плодного яйца, восстановить дефект матки и сохранить фертильность с избежанием массивного кровотечения. В настоящее время доступное лечение, описанное в литературе, включает медикаментозную терапию, эмболизацию маточных артерий (ЭМА) в сочетании с баллонной дилатацией и кюретажем стенок полости матки, гистероскопическую, лапаротомную, лапароскопическую или трансвагинальную резекции.
В настоящее время не существует идеального метода лечения в этой сложной клинической ситуации. Как известно, медикаментозная терапия включает длительное время восстановления, в то время как эмболизация маточных артерий имеет такие осложнения, как посттромботический синдром, повреждение функции яичников и мочевыделительной системы, даже легочную эмболию. Проведение эмболизации маточных артерий также требует вмешательства рентгенолога, что может ограничить доступность лечения [16—19]. В соответствии с рекомендациями ASRM (2006); ACOG (2015); РОАГ (2014); RCOG (2016) для медикаментозного прерывания беременности проводится терапия метотрексатом или метотрексатом в сочетании с фолиевой кислотой [20—22].
В Российской Федерации инструкцией по применению метотрексата не предусмотрены показания и схемы лечения при внематочной беременности, в связи с чем его использование может рассматриваться лишь как альтернатива органоуносящей операции при необходимости сохранения репродуктивной функции после разрешения этического комитета и после получения информированного добровольного согласия пациентки только в гинекологических стационарах медицинских организаций 3-го уровня.
Кроме того, ни медикаментозная терапия, ни ЭМА в сочетании с дилатацией и кюретажем не могут устранить расслоение рубца, и в какой-то степени это не способствует уменьшению частоты рецидива, особенно у пациенток, планирующих беременность [23].
Выбору оптимальной тактики при беременности в рубце может способствовать ранняя диагностика патологии. Кроме того, ранняя диагностика позволяет определить показания к малоинвазивным и органосохраняющим методам лечения. В связи с этим целью исследования явилось определение возможности хирургической коррекции и органосохраняющей операции при беременности в рубце на матке после кесарева сечения в зависимости от степени деструктивных изменений миометрия передней стенки матки, диагностированных при помощи УЗИ и интраоперационного визуального осмотра.
Материал и методы
Работа выполнена на базе гинекологического отделения ГБУЗ МО Московского областного научно-исследовательского института акушерства и гинекологии (МОНИАГ). За 2016—2019 гг. нами были обследованы и прооперированы 19 женщин с эктопической беременностью в зоне рубца на матке после кесарева сечения.
Всем больным проведено полное клинико-лабораторное обследование.
Ультразвуковое исследование проводилось на аппарате VOLUSONE 10 GE и WS80A SAMSUNG MEDISON с применением конвексного и вагинального датчика (трансабдоминальное и трансвагинальное сканирование) в режиме «серой шкалы». Для контроля локализации сосудистой сети хориона — с применением режима цветового допплеровского картирования. В задачи УЗИ при наличии беременности в рубце входило ее подтверждение, уточнение гестационного срока по копчико-теменному размеру эмбриона, определение наличия остаточного (резидуального) миометрия в зоне рубца, определение признаков врастания хориона (наличие маточной грыжи и выбухания хориальной ткани в сторону мочевого пузыря, изменения хориальной ткани в виде лакун), предположительное определение степени деструктивных изменений миометрия, стенки мочевого пузыря и шейки матки.
Статистическая обработка результатов исследования проводилась с использованием программ Microsoft Excel, Statistica.
Результаты
Средний возраст пациенток составил 31,2 года. При анализе гинекологических заболеваний у пациенток основной группы чаще всего встречался эндометриоз различной локализации (31,6%) (здесь и далее % вычислен условно, так как число наблюдений менее 20), в 10,5% наблюдений — заболевания шейки матки, в 5,3% — миома матки. Артифициальный аборт в анамнезе отмечался у каждой четвертой женщины, неразвивающаяся беременность у каждой пятой, самопроизвольные выкидыши у 10,6% пациенток. В том числе выскабливание стенок полости матки по поводу вышеуказанных состояний было проведено у 21,1% пациенток в периоде от 2 до 5 лет после абдоминального родоразрешения.
Абдоминальное родоразрешение в анамнезе, выполненное в плановом порядке, имели 5 (26,3%) пациенток, а в экстренном — 14 (73,7%) пациенток в среднем в сроке гестации 38 нед. Одно оперативное родоразрешение отмечалось менее чем в 1 /2 наблюдений, тогда как два и более — в более половины наблюдений. Показаниями к абдоминальному родоразрешению в 36,8% наблюдений стал несостоятельный рубец на матке, у 26,4% пациенток — показания со стороны плода, в 15,8% — клинически узкий таз, у 5,3% обследуемых — аномалии родовой деятельности. Осложнения послеродового периода с последующей госпитализацией в гинекологические стационары имели 10,5% пациенток.
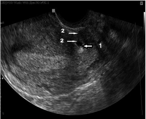
При обращении в поликлиническое отделение ГБУЗ МО МОНИИАГ сроки диагностики эктопической беременности в рубце были следующими: 6—7 нед — у 7 (36,84%) беременных; 9—10 нед — у 10 (52,63%); 13 недель — у 2 (10,53%) пациенток. Прогрессирующая беременность отмечена у 13 (68,4%) женщин, неразвивающаяся беременность — в 6 наблюдениях (31,6%). У 2 (10,5%) пациенток при сроке гестации до 7 нед выявлена типичная локализация плодного яйца в проекции «ниши», истмоцеле, не отмечено признаков несостоятельности рубца на матке, толщина резидуального миометрия составила от 3 до 5 мм (рис. 1).

Рис. 1. Беременность в рубце без признаков его несостоятельности.
Стрелками отмечено: 1 — плодное яйцо; 2 — сохранный миометрий.
С учетом технических возможностей пациенткам планировалось проведение вакуум-аспирации плодного яйца под контролем УЗ-исследования с решением вопроса о необходимости метропластики в отдаленном периоде.
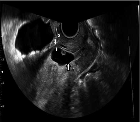
У 14 (73,7%) пациенток при типичной локализации плодного яйца в проекции рубца после кесарева сечения выявлено истончение миометрия передней стенки с остаточной толщиной миометрия менее 2 мм, деформацией передней стенки матки, «выбуханием» плодного яйца в сторону мочевого пузыря (рис. 2). В двух наблюдениях имелись признаки инвазии хориона в миометрий (рис. 3). С учетом высокого риска гестационных осложнений в виде врастания плаценты, кровотечения, разрыва матки беременным было предложено прерывание беременности с одновременной метропластикой.

Рис. 2 Беременность в рубце с признаками его несостоятельности, истончение миометрия.
1 — плодное яйцо; стрелками указан остаточный миометрий.

Рис. 3. Беременность в рубце с признаками его несостоятельности, инвазия хориона в миометрий, высокий риск врастания плаценты.
1 — хорион; стрелками указан остаточный миометрий.
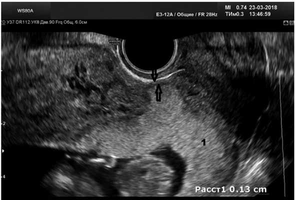
У 3 (15,8%) пациенток при первичном обращении в сроки беременности 10 нед (1 беременная) и 13 нед (2 пациентки) при неразвивающейся беременности отмечены признаки врастания хориона с тотальной деструкцией нижней трети передней стенки матки, перешейка и частично верхней трети передней губы шейки матки с признаками инвазии хориона в стенку мочевого пузыря (рис. 4). Попытки метропластики в данной ситуации интраоперационно осложнились кровотечением, по жизненным показаниям объем операции расширен до гистерэктомии.

Рис. 4.Тотальная деструкция передней стенки матки в области рубца, частичная деструкция передней губы шейки матки при беременности в рубце.
1 — задняя губа шейки матки; 2 — передняя губа шейки матки; между стрелками — зона деструкции.
Всем пациенткам проведено хирургическое лечение. Приоритетом в выборе хирургической коррекции была возможность проведения органосохраняющей операции с восстановлением фертильности. Метропластика с одномоментным прерыванием беременности путем вакуум-аспирации плодного яйца во время операции (см. таблицу) выполнена 14 (73,7%) пациенткам, в двух (10,5%) наблюдениях проведена вакуум-аспирация плодного яйца под контролем УЗ-исследования без метропластики. А трем (15,8%) пациенткам проведена радикальная операция в связи с отсутствием технических возможностей сохранения матки.
Таблица. Объем хирургического лечения обследованных пациенток
Ингибиторы ароматазы как средство терапии внематочной беременности

На сегодняшний день единственной альтернативой хирургическому вмешательству при внематочной беременности является метотрексат (МТХ) — антагонист фолиевой кислоты, предотвращающий деление клеток трофобласта за счет ингибирования дигидрофолатредуктазы. Использование MTX дает хорошие результаты — успешное разрешение беременности происходит в 93 % случаев [1]. Нежелательные побочные эффекты, как правило, реализуются в виде тошноты и стоматита, намного реже — гепато- и нефротоксичности, миелосупрессии. MTX нельзя использовать у пациенток с иммунодефицитом, анемией, тромбоцитопенией, заболеваниями легких, язвенной болезнью, нарушениями функции печени и почек, а также во время грудного вскармливания [2]. Таким образом, формируется достаточно большая группа женщин, для которых медикаментозное, органосохраняющее лечение внематочной беременности остается недоступным. В 2020 году началось активное исследование летрозола — ингибитора ароматазы третьего поколения, показывающего результаты, сопоставимые с метотрексатом, но с меньшими ограничениями для применения и меньшим числом побочных эффектов [3, 5].
Летрозол — ингибитор ароматазы третьего поколения, подавляющий выработку эстрогена. В данный момент он используется при эстроген-зависимом раке молочной железы у женщин в постменопаузе и для индукции овуляции у женщин с синдромом поликистозных яичников [1].
Механизм действия летрозола связан с ингибированием ароматазы и ферментного комплекса цитохрома p450, находящегося в том числе в гранулезных клетках и жировой ткани. Он отвечает за преобразование андрогенов в эстрогены. Развивается острая гипоэстрогения, в ответ увеличивается секреция ФСГ гипоталамусом [4]. С точки зрения прерывания беременности интересен именно гипоэстрогенный эффект. Известно, что эстрогены играют важную роль в поддержании беременности на ранних стадиях. У женщин с угрозой прерывания беременности в первом триместре аномальные концентрации эстрадиола связаны с последующей потерей беременности; в исследованиях на животных моделях введение ингибиторов синтеза плацентарных эстрогенов приводило к потере беременности в 66 % случаев [3, 6, 7]. Предполагается, что в отсутствие эстрогена прогестерон не может выполнять свои физиологические функции из-за негативного воздействия на рецепторы прогестерона [5].
Это запустило цикл исследований летрозола в качестве препарата для прерывания беременности на ранних сроках. Исследования на животных показали, что комбинация мифепристона (антипрогестин) и летрозола действует синергетически и вызывает почти 100 % прерывание беременности у крыс. В исследованиях на беременных женщинах предварительный прием летрозола и последующее введение мизопростола (аналог простагландина Е1) повышает эффективность медикаментозного аборта [3].
В 2020 году было проведено первое исследование летрозола в качестве терапии внематочной беременности. Согласно результатам, летрозол был так же эффективен, как и метотрексат, с показателем успеха 86 % в обеих группах лечения. Уровни β-хорионического гонадотропина человека снижались быстрее у женщин, получавших летрозол, чем метотрексат. Препарат не влиял на гематологические параметры (тогда как применение метотрексата было связано с увеличением ферментов печени и снижением гемоглобина и количества тромбоцитов), не влиял на уровень антимюллерова гормона через 3 месяца после лечения [1].
Результаты исследования многообещающие, так как многие врачи до сих пор опасаются использовать метотрексат в качестве первой линии лечения пациенток с внематочной беременностью из-за серьезных побочных эффектов. Летрозол, успешно зарекомендовавший себя в онкологии и репродуктологии, действует «мягче» своего конкурента, имеет лучший профиль безопасности и хорошие показатели эффективности, что делает его кандидатом на средство первой линии при внематочной беременности.
Применение метотрексата при внематочной беременности

Внематочная беременность является лидером среди причин материнской смертности в первом триместре. Она может не только дать осложнения, но и послужить причиной снижения способности к зачатию из-за утраты или нарушения функции маточной трубы. Учитывая растущие показатели бесплодия среди женщин, необходимо использование одновременно эффективных и органосохраняющих методов лечения. С недавних пор широкое распространение в акушерской практике получил метотрексат.
Метотрексат (MTX) — антагонист фолиевой кислоты, широко используемый при лечении онкопатологии, тяжелого псориаза и ревматоидного артрита. MTX является антиметаболитным препаратом, который действует на активно пролиферирующие клетки, в том числе на трофобласт. Механизм действия заключается в ингибировании фермента дигидрофолатредуктазы (DHFR), что в свою очередь вызывает истощение кофакторов, необходимых для синтеза ДНК и РНК.
Первое упоминание метотрексата в качестве альтернативы хирургическому вмешательству при внематочной беременности относится к 1982 году, когда для лечения интерстициальной беременности было использовано местное введение препарата. На сегодняшний день его применение возможно при любой локализации плодного яйца, более того, использование фармакотерапии в случае шеечной или интерстициальной беременности, а также у женщин, перенесших сальпингэктомию, является наиболее предпочтительным в связи с высоким риском бесплодия после хирургического вмешательства.
В первую очередь перед лечением необходимо исключить наличие жизнеспособной маточной беременности, так как в противном случае метотрексат негативно повлияет на плод. Определяется уровень β-ХГЧ для последующего контроля эффективности терапии. Противопоказания к терапии MTX определяются на основании анамнестических данных, анализа крови, оценки функции почек и печени. Консервативное ведение внематочной беременности возможно при соблюдении следующих критериев:
- Стабильная гемодинамика.
- Отсутствие противопоказаний к терапии MTX.
- Концентрация
β-ХГЧ в сыворотке крови ≤5000 мМЕ/мл. - При трансвагинальном УЗИ сердечная деятельность плода не обнаружена.
- Возможность последующего наблюдения и доступ к неотложной медицинской помощи в разумные сроки в случае разрыва фаллопиевой трубы.
Метотрексат можно вводить системно (перорально, внутримышечно, внутривенно) или путем прямой инъекции в плодное яйцо под контролем трансвагинального УЗИ или лапароскопически. Побочные эффекты такого лечения, как правило, ограничиваются стоматитом или конъюнктивитом, в некоторых случаях пациентки жалуются на проявления гастрита или энтерита, может быть выявлено повышение уровня печеночных ферментов. Появление побочных эффектов зависит от выбранной схемы лечения и чаще наблюдается при многодозовой схеме.
Таблица 1. Рекомендации RCOG (2016) по применению метотрексата.

Если β-ХГЧ снижается менее чем на 15 % за 4-7 дней, необходимо повторить трансвагинальное УЗИ и ввести метотрексат повторно при наличии признаков беременности. Если β-ХГЧ снижается более чем на 15% за 4-7 дней, исследование β-ХГЧ повторяют еженедельно до снижения уровня менее 15 МЕ/л.
Прогностические факторы для успешного лечения метотрексатом включают начальное значение ХГЧ 5 нг/мл на момент постановки диагноза. Также имеются данные о неблагоприятном прогностическом значении размера плодного яйца более 4 мм (3,5 мм в случае, если определяется сердечная деятельность плода).
Отдельно хочется отметить применение метотрексата в случае беременности, локализованной в рубце после кесарева сечения. Это редкая и наиболее опасная форма внематочной беременности, так как нередко прерывание данной беременности сопровождается массивным кровотечением с последующей экстирпацией матки. Использование метотрексата в данном случае позволяет сохранить матку, а зачастую и жизнь женщины. Применяется как местное введение препарата, так и системное, при этом оба способа являются одинаково эффективными.
Фертильность женщин, прошедших терапию метотрексатом, выше, чем женщин после сальпингоэктомии, и сравнима с результатами после лапароскопической сальпингостомии, в связи с чем фармакотерапию внематочной беременности можно считать эффективной и безопасной альтернативой хирургическому лечению.
Нехирургическое лечение ранней внематочной беременности. Часть 2

Нехирургическое лечение ранней внематочной беременности возможно в виде выжидательной тактики или фармакологического лечения: метотрексат, простагландины или мифепристон. Возможность выжидательного отношения к диагностированной внематочной беременности несет в себе риск разрыва маточной трубы.
Метод ограничен случаями:
- с диаметром опухоли до 3,5 см;
- ультразвуковое исследование подтвердило отсутствие кровотечения;
- отмечается снижение уровня бета-ХГЧ и сбалансированное кровообращение у пациента.
Спонтанную эктопическую резорбцию внематочной беременности можно ожидать у 88% пациенток с исходной концентрацией бета-ХГЧ ниже 200 мкл / мл.
Практический метод — лечение метотрексатом
Показания к лечению метотрексатом следующие:
- Пациентка находится в стабильном гемодинамическом состоянии, без активного кровотечения или признаков крови в брюшной полости.
- Диагноз не был поставлен лапароскопией.
- Готовность сохранить фертильность.
- Значительный риск общей анестезии.
- Уверенность в том, что пациентка явится на следующие проверки.
Следующее следует рассматривать как относительные показания:
- Диаметр сплошного поражения не более 3,5 см в наибольшем измерении.
- Отсутствие сердцебиения плода.
- Концентрация бета-ХГЧ не выше установленного значения (6000-15000 мЕд / мл).
Противопоказания к терапии метотрексатом следующие:
- Кормление грудью.
- Очевидный иммунодефицит или его лабораторное подтверждение.
- Алкоголизм, алкогольные проблемы с печенью или другие хронические заболевания печени.
- Гематологические заболевания, такие как гипоплазия костного мозга, лейкопения, тромбоцитопения или выраженная анемия.
- Известная гиперчувствительность к метотрексату.
- Активное заболевание легких .
- Язвенная болезнь.
- Другие заболевания печени, почек или гематологические заболевания.
К относительным противопоказаниям относятся:
- выявленный гестационный мешок диаметром не менее 3,5 см;
- выявленная функция сердца плода.
Перед введением метотрексата следует определить функцию почек, печени и костного мозга, группу крови, резус и наличие антител. Резус-отрицательные пациенты должны получать 50 мг анти-D иммуноглобулина (12). Лечение метотрексатом используется в различных местах плодного яйца, и его эффективность наиболее высока до шестой недели беременности при диаметре поражения до 3,5 см.
Лечение метотрексатом требует сотрудничества пациента и определенных ограничений (лекарства, половой акт), тщательного наблюдения и наблюдения, включая возможность быстрого вмешательства. Необходимо наблюдать возможные побочные эффекты и строго контролировать эффективность терапии с помощью контрольных тестов уровня бета-ХГЧ на 1, 2, 5, 10 и 15 дней лечения и каждые 5-7 дней наблюдения.
Повторные ультразвуковые исследования, особенно когда, несмотря на лечение, хорионический гонадотропин все еще определяется, что может занять месяц или больше. Метотрексат чаще всего вводят в дозе 50 мг / м2 площади. тело за один укол. После первоначального повышения уровень бета-ХГЧ должен снизиться с седьмого дня после приема. При отсутствии снижения уровня бета-ХГЧ на 15% в период между 4 и 7 днями после приема пациенту требуется хирургическое лечение или введение второй дозы метотрексата, если нет противопоказаний, и, возможно, в дальнейшем, пока концентрация бета-ХГЧ не снижается.
Побочные эффекты метотрексата: тошнота, рвота, гастрит, диарея, расстройства пищеварения, головокружение, нейтропения, алопеция (редко), пневмония, боль в животе, повышение уровня бета-ХГЧ в течение трех дней после приема, вагинальное кровотечение или кровянистые выделения. .
Наличие боли в животе потенциально опасно, так как может маскировать разрыв маточной трубы. Диагноз ставится на основании уменьшения боли с течением времени (1-2 дня), отсутствия острых абдоминальных симптомов и гемодинамических нарушений. Лечение простагландинами в форме внутримышечных инъекций или инъекций в маточную трубу во время лапароскопического вмешательства пока не пользуется популярностью, и нет сравнительных данных об эффективности этого метода в отношении фертильности и локализации последующих беременностей.
Лечение внематочной беременности должно, по возможности, учитывать сохранение женской фертильности и избегать возможных осложнений, включая разрыв органа и кровотечение в брюшную полость. В настоящее время предпочтительнее лечить внематочную беременность с помощью лапароскопии, что в равной степени относится к беременности, расположенной в фаллопиевой трубе, а также к яичниковой и интрамуральной беременности.
С помощью лапароскопии возможно как консервативное, так и радикальное лечение. Консервативное лечение направлено на эвакуацию оплодотворенного плодного яйца при малейшем нарушении фаллопиевой трубы. Возможность лапароскопического лечения зависит от его продвижения. Размер до 5 см позволяет проводить консервативное лечение, заключающееся в рассечении маточной трубы электрокоагуляцией , лазером или ножницами с отсасыванием тканей плода. Место разреза маточной трубы оставляют без наложения швов после проверки гемостаза и отсутствия кровотечения. В случае кровотечения накладываются аппроксимирующие швы или коагулируются биполярным электродом.

Электрокоагуляция
В качестве превентивной меры с помощью противорастовой профилактики в брюшную полость вводят декстран, физиологический раствор или раствор Рингера, а в курс лечения включают дексаметазон примерно на 3 дня.
Вероятность спаек после лапароскопического вмешательства ниже, чем после традиционных операций по вскрытию брюшной стенки.
Концентрация бета-ХГЧ контролируется через два и четыре дня после процедуры. Сохранение повышенных уровней бета-ХГЧ может быть показанием для дополнительного применения при лечении метотрексатом.
Если решено проводить радикальное лечение, следует принять во внимание резекцию маточной трубы, иссечение рога матки или удаление яичника в случае беременности в яичнике.
Лапароскопия как метод лечения внематочной беременности характеризуется высоким процентом сохранившихся маточных труб, незначительным оставлением следов на кожных покровах живота, быстрым периодом восстановления и коротким периодом госпитализации.
После хирургического лечения внематочной беременности фертильность снижается. Однако это больше зависит от состояния второй маточной трубы, чем от техники процедуры и типа лечения, применяемого на стороне, пораженной развитием внематочной беременности. Около одной трети пострадавших женщин затем рожают здорового ребенка.
Источники
- Руководство Американского колледжа акушеров и гинекологов — Фармакологическое лечение трубной беременности. Практическая медицина;
- Несс Р. и др.: Фибронектин плода как маркер, позволяющий различать внематочную и внутриутробную беременность.: Am. J. Obstet. Gynecol.;
- Зауэр М.: Внематочная беременность — диагностика. Гинекология. Alfa medica press.;
- Сломко З.: Внематочная беременность. Гинекология.
- Бичиско Р.: Внематочная беременность. Акушерство и гинекология;,
- Бронерт Дж .: Диагностика аномальной имплантации плодного яйца. Ультразвук в акушерстве и гинекологии;
- Fylstra D .: трубная беременность: обзор современной диагностики и лечения;
- Мутриновский А .: Проблемы внематочной беременности с особым акцентом на лапароскопию. Достижения медицинских наук;
- Шиманский Р.: Внематочная беременность — современные методы диагностики и терапии. Новая медицина.
[contact-form-7 title=»Без названия»]
Клиника абортов и контрацепции в Санкт-Петербурге — отделение медицинского гинекологического объединения «Диана»
Запишитесь на прием, анализы или УЗИ через контактную форму или по т. +8 (812) 62-962-77. Мы работаем без выходных с 09:00 до 21:00.
Мы находимся в Красногвардейском районе, рядом со станциями метро «Новочеркасская», «Площадь Александра Невского» и «Ладожская».
Стоимость медикаментозного аборта в нашей клинике 3300 руб. В стоимость входят все таблетки, осмотр гинеколога и УЗИ для определения сроков беременности.
Внематочная беременность - симптомы, диагностика, факторы риска

Внематочная беременность - это состояние, при котором оплодотворенная яйцеклетка имплантируется вне полости матки, например, в фаллопиеву трубу или яичник. Патология составляет около 2% всех беременностей и всегда связана с угрозой жизни.
Рассказываем о симптомах внематочной беременности, как она лечится и исключает ли она шансы на последующее материнство.
Что такое внематочная беременность?
Внематочная беременность — это следствие имплантации оплодотворенной яйцеклетки вне эндометрия. Первое описание такой патологии датируется 963 годом, ее автором был ученый из Андалусии Альбукасис.
Ранее, до внедрения сальпингэктомии, смертность среди женщин с внематочной беременностью достигала 70% случаев. Иссечение фаллопиевой трубы, предложенное английским врачом Л. Тейтом, снизило смертность до 5%.
Сейчас врачи имеют несколько методов диагностики и лечения внематочной беременности. Но из-за риска разрыва фаллопиевой слизи и кровоизлияния, патология все же остается состоянием, угрожающим здоровью и жизни женщины.
Виды внематочной беременности
Внематочная беременность протекает в области фаллопиевой трубы в 97% случаев, в брюшной полости — 1,4%, в яичнике или на яичнике — 0,2%, в области шейки матки — 2%. До 80% беременностей с фаллопиевыми трубами расположены в луковичной части этого органа, 12% - в тазовой части, а 5% - в гифах.
Из всех внематочных беременностей фаллопиева наименее опасна. Риск смерти женщины с такой беременностью в 17 раз ниже, чем в случае беременности в брюшной полости.
Крайне редко у одной женщины развиваются две внематочные беременности одновременно или диагностируется внематочная и внутриутробная беременность. Частота первой из этих патологий — 1 на 725 внематочных беременностей, а второй: 1 на 4000-7000 беременностей.
Одновременная имплантация оплодотворенных яйцеклеток в полость матки и вне ее чаще всего происходит в случае беременностей, полученных на основе вспомогательных репродуктивных технологий.
Причины внематочной беременности
Во многих случаях трудно определить однозначные причины внематочной беременности. Выделяются четыре группы факторов, повышающих риск возникновения аномалии:
- механические факторы;
- функциональные нарушения;
- вспомогательная репродукция;
- неэффективная контрацепция.
Механические факторы
Механическими факторы тормозят оплодотворенную яйцеклетку на пути к матке или полностью блокируют ее. Это:
- воспаление фаллопиевой трубы, приводящее, в том числе, к сужению ее просвета, образованию дивертикула и слепых карманов;
- спайки, вызывающие изгиб и сужение просвета фаллопиевого потока;
- врожденные дефекты маточных труб;
- предыдущая внематочная беременность — риск того, что ситуация повторится, возрастает до 7-15%;
- индуцированные выкидыши;
- опухоли, заставляющие трубу скручиваться;
- операция на фаллопиевой трубе.
Функциональные нарушения
Функциональные факторы риска внематочной беременности:
- Нарушение фаллопиевой перистальтики, которое может быть результатом изменения концентрации гормонов (прогестерона и эстрогена), а также изменения количества и чувствительности адренергических рецепторов гладкой мускулатуры фаллопиевой трубы. Такие отклонения возникают, например, в результате применения прогестагенных контрацептивов;
- Количественные изменения в адренергических рецепторах - например, в результате курения сигарет.
Вспомогательная репродукция
Повышенное количество внематочных беременностей наблюдается у женщин, использовавших методы вспомогательной репродукции: индукция овуляции, перенос гамет в фаллопиеву трубу, экстракорпоральное оплодотворение.
Неэффективная контрацепция
Повышение риска внематочной беременности происходит у женщин, перенесших стерилизацию, а также у тех, кто поставил внутриматочную спираль или принимает прогестагенные таблетки.
Наиболее важный из этих факторов риска — предыдущее воспаление органов малого таза. Вероятность аномальной имплантации яйцеклетки также возрастает после операции на маточных трубах и яичниках.
Кроме того, важные факторы — заболевания, передающиеся половым путем. Известно, например, что вероятность внематочной выше у женщин, перенесших хламидиоз. Бактерии Chlamydia trachomatis связаны с производством белка PKROKR2 в фаллопиевй трубе, что способствует имплантации эмбриона за пределы матки.
Внематочная беременность - симптомы
Симптомы внематочной беременности чаще всего неспецифичны и указывают на другие заболевания. Если быть точным, то это:
- боль в животе, часто наряду с мышечной защитой (напряжение мышц живота) и положительным симптомом Блюмберга, т.е. обострением боли после снятия руки, давящей на живот;
- остановка менструаций;
- боль в плечах и области ключицы — этот симптом — результат раздражения диафрагмального нерва и возникает как следствие кровотечения в брюшную полость;
- кровотечение из половых путей;
- давление напрямую кишку;
- болезненность придатков — односторонние болевые случаи возникают относительно редко;
- болезненность нижней части живота;
- увеличение матки;
- обмороки - редкий симптом, обычно возникает в результате появления крови в животе;
- субфебрильные состояния.
Диагностика внематочной беременности: ультразвуковые исследования
Обследование, дающее возможность диагностировать до 99% случаев внематочной беременности, — УЗИ с использованием трансвагинального зонда. Во время обследования можно не только исключить наличие гестационного фолликула в полости матки, но и определить наличие изменений в непосредственной близости от придатков.
По результату УЗИ, внематочная беременность может быть описана, например, как гетерогенная структура в непосредственной близости от яичника или как гипоэхогенное кольцо.
Высокая чувствительность ультразвукового исследования возможна благодаря использованию методики Доплера, дающей возможность определить или исключить артериальные потоки в непосредственной близости от трофобласта, развивающегося вне полости матки.
Нужно отметить, что трансвагинальное УЗИ — очень безопасный, неинвазивный и безболезненный вариант обследования.
Внематочная беременность - диагноз: повышение ХГЧ
Гормон ХГЧ (хорионический гонадотропин) — гормон, вырабатываемый бластоцистой после имплантации эмбриона. В процессе диагностики внематочной беременности учитывается концентрация этого гормона и ее повышение в течение 48 часов.
При концентрации хорионического гонадотропина выше 1000-1500 мДжм/мл, эмбрион уже должен быть виден в полости матки. Если это не так, весьма вероятно, что оплодотворенная яйцеклетка не достигла полости матки и развивается в пределах трубы, яичников или шейки матки.
Но нужно учитывать, что отсутствие видимости эмбриона при столь высоком уровне бета-ХГЧ возможно и у женщин с многоплодной (внутриутробной) беременностью. Поэтому, если у пациентки нет никаких симптомов отклонений (боли в животе и т.д.), обследование нужно повторить через 2-3 дня.
В диагностическом процессе повышение уровня хорионического гонадотропина крайне важно. При нормальной беременности концентрация гормона удваивается в течение 2 дней, в то время как в 70% внематочных беременностей наблюдается постоянный уровень гормона.
В этом вопросе нужно соблюдать осторожность. Примерно в 10% нормальных беременностей удвоение уровня гормонов занимает немного больше времени, поэтому, если пациентка не сообщает о каких-либо симптомах, может быть реализован выжидательный подход для контроля увеличения бета-ХГЧ в последующие дни.
Диагностика внематочной беременности: определение уровня прогестерона
Последний тест, полезный при диагностике внематочной беременности, — определение уровня прогестерона. Если концентрация гормона низкая, т.е. менее 5 пг/мл, весьма вероятно, что беременность погибла, не развивается должным образом или что это внематочная беременность.
Нужно, однако, отметить, что мнения специалистов о полезности теста на концентрацию прогестерона противоречивы - например, в США он используется редко, чаще всего в случаях применения методов вспомогательной репродукции.
Выявит ли тест на беременность внематочную беременность?
Можно ли обнаружить внематочную беременность с помощью домашнего теста на беременность? К сожалению, этот метод совершенно бесполезен для диагностики таких серьезных отклонений. Тест на беременность может показать, произошло ли оплодотворение, но он не говорит, где находится эмбрион.
Также в случае внематочной беременности тест на беременность также может указывать на отрицательный результат.
Подводя итог: если есть какие-либо симптомы, свидетельствующие о внематочной или внутриутробной беременности, развивающейся ненормально, показана срочная консультация гинеколога.
Внематочная беременность - ведение
Внематочную беременность можно лечить хирургическим, фармакологическим путем, а в некоторых случаях врач ожидает некоторое время.
Хирургическое лечение
Хирургическое лечение внематочной беременности может состоять из лапаротомии (вскрытие брюшной полости) или лапароскопии (хирургическое вмешательство с использованием оптического джойстика).
Сейчас, как правило, используется лапароскопия. В случае беременности в фаллопиевых трубах, их разрезают с помощью электрохирургической иглы, ножниц или лазера. Затем оплодотворенную яйцеклетку удаляют с помощью щипцов, а разрез оставляют заживать самостоятельно.
В том случае, если кровотечение очень интенсивное, может потребоваться удаление всей трубы.
Медикаментозное лечение внематочной беременности
Внематочную беременность можно лечить фармакологически - при таком методе повышаются шансы на сохранение репродуктивной функции. Препарат выбора в Европе — метотрексат. Он может быть использован там, где:
- у больной нет кровотечения в брюшную полость;
- правильно работают почки и печень;
- уровень бета-ХГЧ ниже 3500 мдж/мч;
- диаметр поражения в трубе менее 4 см;
- отсутствует частота сердечных сокращений эмбриона.
Когда врач решает ожидать
Примерно в 25% случаев внематочных беременностей может быть реализована выжидательная процедура, включающая в себя анализ клинических признаков, мониторинг уровня хорионического гонадотропина и ультразвуковое наблюдение.
Исследования показывают, что это позволяет избежать медицинских вмешательств у 70% пациенток с такими показаниями.
Можно ли спасти внематочную беременность?
Для многих женщин внематочная беременность, а точнее необходимость удаления оплодотворенной яйцеклетки, — личная трагедия. Поэтому женщины часто интересуются возможностью сохранения эмбриона, т.е. переноса его в полость матки.
К сожалению, реимплантация эмбриона невозможна. Сразу после оплодотворения, когда развивающийся эмбрион перемещается в полость матки, происходят изменения в эндометрии. Движение эмбриона и изменение слизистой оболочки матки - идеально синхронизированные процессы, приводящие к образованию короткого «окна имплантации». Если оплодотворенная яйцеклетка не закрепилась во время этого «окна» в матке, происходят дальнейшие изменения в эндометрии - она перестает быть дружественным к эмбриону.
Удаление эмбриона, то есть крайне чувствительной, деликатной структуры, с места имплантации вызывает его необратимое повреждение.
Подведем итог: к сожалению, пока нет технологии, позволяющей перенести эмбрион из трубы в матку. При этом плод не может развиваться вне этого органа - чтобы защитить жизнь пациентки, внематочная беременность должна быть прервана вскоре после постановки диагноза.
Возможно ли повторение внематочной беременности?
Исследования показывают, что одна внематочная беременность увеличивает риск другой на 10-20%. Во многих случаях это связано не с самим лечением, а с наличием факторов риска. Поэтому единственный способ снизить риск повторной имплантации беременности вне полости матки — прохождение тщательных обследований и лечения.
Читайте также:
- Диагностика лепры. Принципы микробиологической диагностики проказы. Лечение лепры. Методы лечения проказы.
- Многопучковые блокады. Клиническое значение многопучковых блокад сердца
- Материматическая модель респираторного тракта. Дыхательный контур в уравнении
- Примеры анализа затрат-полезности. Анализ затрат-полезности лечения депрессии
- Сосудисто-вегетативные нарушения глухих детей. Неправильное воспитание глухих
