Фиксация и передача сил зубного протеза. Физиологические предпосылки создания зубного протеза
Добавил пользователь Евгений Кузнецов Обновлено: 15.12.2025
Зубное протезирование восстанавливает зубной ряд и его функции в случае утери нескольких или всех зубов. Вернуть себе возможность нормально жевать, улыбаться и говорить без опаски меняет жизнь пациентов к лучшему. Однако, успех протезирования во многом зависит от того, как крепятся протезы зубов и насколько прочно это крепление.
Каждый вид ортопедической реставрации имеет свой способ фиксации, а то и несколько.
Задача ортопеда - обеспечивать не только фиксацию зубных протезов (удержание его во рту в покое), но и стабилизацию (удержание во время работы челюстей).
Методы фиксации протезов при полном отсутствии зубов
Удержание пластиночного съемного протеза во рту в покое происходит за счет сочетания нескольких факторов:
- Адгезии (прилипания, сцепления). При наличии влажной прослойки, 2 соприкасающихся объекта прилипают друг к другу. Влажность обеспечивает слюна. Ее вязкость снижает или увеличивает адгезию. Однако, одной этой силы недостаточно, чтобы удержать конструкцию.
- Анатомической ретенции. Выступающие части органов ротовой полости ограничивают движение реставрации. При большой потере костной ткани ретенция значительно снижается.
- Клапанной фиксации. При надевании, протез слегка продавливает слизистую, вытесняя воздух из-под базиса (основы). Слизистая возвращает свою форму и не дает воздуху поступить обратно. Образуется вакуум. Из-за разницы в давлении реставрация присасывается.
Это основной способ, благодаря которому, держатся верхние протезы. С нижними конструкциями дело обстоит сложнее. Чтобы их зафиксировать, часто приходится прибегать к дополнительным средствам.
Средства, повышающие силу фиксации
Установка съемных зубных протезов и привыкание к ним, проходят легче при использовании искусственных адгезивов. Применение адгезивных средств увеличивает стабильность протеза и служит профилактикой воспаления протезного ложа. Исследования подтверждают, что использование адгезивов сокращает период привыкания к искусственной челюсти с 15-30 до 5-8 дней [1] .
Чтобы усилить фиксацию и стабилизацию протеза применяют:
- Адгезивный порошок. Порошок наносят на влажную поверхность, протез вставляют в рот и сильно сжимают зубы на несколько секунд. Для лучшей фиксации съемного зубного протеза рекомендуется воздержаться от приема пищи сразу после установки реставрации. Носить реставрацию на порошке можно до 12 часов.
- Кремы и гели. Принцип действия одинаков, просто у крема более плотная структура. Адгезивное вещество наносят на внутреннюю поверхность протеза. Во рту, под воздействием слюны крем (гель) расширяется, образуя прокладку между слизистой и поверхностью реставрации. Действуют адгезивы от 12 до 24 часов.
- Прокладки. Прокладки, как и другие адгезивы, позволяют надевать зубные протезы без страха их смещения во время еды или кашля. Перед употреблением, прокладки держат в теплой воде в течении 5 секунд. Затем помещают на базис и конструкцию вводят в ротовую полость.
- Пленки. Принцип действия такой же, как у прокладок. Пленку подгоняют под основу протеза, делают надрезы для лучшего прилегания, накладывают на основу и протез помещают в рот. Срок действия - до 10 часов, затем менять пленку и надевать реставрацию нужно снова.
Методы фиксации частичных съемных протезов
Фиксация частичных протезов происходит под воздействием тех же факторов, что и полных: адгезии, анатомической ретенции и клапанного эффекта. Однако у частичных конструкций есть дополнительные механизмы, которые помогают фиксировать зубные протезы. Это делает конструкции более устойчивыми, повышает их стабильность.
Так при установке съемных зубных протезов бюгельного типа используют:
- Кламмеры. Существует несколько видов кламмеров, но общее действие у них одно - закрепить реставрацию на опорных зубах и перераспределить давление на них. Частичные пластиночные протезы также крепятся кламмерами.
- Аттачменты. Это небольшие замочки, которые соединяются по типу матрицы и патрицы. Крепления бывают внутризубные (более сложный вид) или внезубные. Ставят зубные протезы на подвижные и неподвижные аттачменты. Замковые крепления более эстетичны, чем кламмерные, но для них требуется обточка опорных зубов.
- Телескопическая система фиксации. Крепить зубные протезы телескопическим способом начали относительно недавно, но метод уже положительно себя зарекомендовал. Суть его заключается в том, что внутреннюю коронку надевают на опорный зуб, а сверху закрепляют внешнюю коронку, которая соединена с бюгелем. Это самый эстетичный и стабильный вид фиксации.
- Балочная фиксация. Патрицей выступает балка, шинирующая зубы во рту, а матрицей - соответствующее ей углубление на внутренней стороне протеза. Наличие балки повышает устойчивость оставшихся зубов и усиливает фиксацию. Балочные конструкции служат хорошо и долго.
- Магнитная система фиксации. Метод основан на свойстве полюсов с противоположными зарядами притягиваться, а с одинаковым отталкиваться. Магниты устанавливают в базис протеза и в специальные импланты. Или в протез противоположной челюсти. Метод не нашел широкого применения из-за того, что притяжение ослабевает при боковых движениях.
Фиксация условно-съемных протезов
Условно-съемными называют конструкции, которые снять возможно, но для этого требуются определенные манипуляции. Лучше такую процедуру проводить у стоматолога.
Крепятся зубные протезы такого типа на импланты. Способов крепления 2: кнопочный и балочный.
Балочный способ такой же, как при бюгельном протезировании. Балка выполняет роль патрицы и крепится к имплантам. А матрица находится в теле протеза. За счет балки происходит равномерное распределение жевательной нагрузки.
Кнопочный метод тоже использует патрицу и матрицу, но при этом балка отсутствует. Роль патрицы выполняет абатмент (переходной элемент).
Крепление несъемных протезов
Протезы, которые невозможно снять, не повредив, называют несъемными.
К ним относятся:
- Коронки. Помогают сохранить сильно разрушенные зубы, восстановить промежутки в зубном ряду.
- Мостовидные протезы. Призваны восстановить функцию утраченного зуба. К сожалению, кроме обточки зубов под коронки, у мостов есть еще один недостаток. Костная ткань при таком протезировании продолжает убывать, принося функциональные и эстетические изменения.
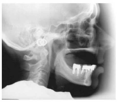
- Протезы на имплантах (при винтовой фиксации протеза, его можно снимать в кабинете стоматолога). Имплант полностью берет на себя функции зуба. Останавливает потерю костной ткани, принимает жевательную нагрузку.
- Микропротезы (виниры). Принадлежат к эстетической стоматологии, их главная цель - восстановление улыбки
За исключением имплантации, ставится протез зуба при данных способах на препарированную единицу. Для виниров степень препарирования небольшая, снимают только верхний слой эмали.
Для коронок зуб обтачивают тем сильнее, чем толще коронка. Самые толстые коронки из металлокерамики. Из современных керамических составов коронки получаются прочными, легкими и тонкими. Самые тонкие изделия - из диоксида циркония. Он очень твердый, выдерживает нагрузки при минимальной толщине.
Если коронковая часть зуба сильно разрушена, фиксировать зубные протезы приходится на штифте или культевой вкладке. Это стержень из прочного материала, из стекловолокна или металла, который вводят в зубной канал. Он служит опорой для реставрации.
Как ставят протезы зубов на импланты
Есть несколько способов:
- при одиночных дефектах, на имплант ставится протез зуба в виде коронки;
- при дефектах нескольких зубов можно установить мостовидный протез;
- при полном отсутствии зубов протезируется вся челюсть.
Количество имплантов при последнем способе зависит от протокола. Это может быть 4 или 6 имплантов, а при использовании метода Resmile количество имплантов определяет врач, исходя из конкретного клинического случая и комбинирует штифты разного вида для наиболее качественного результата.
Фиксировать зубные протезы на импланты можно двумя способами:
- На цементе. Современные стоматологические цементы надежно закрепляют реставрации и служат продолжительное время.
- На винтах. Это более сложный вид фиксации, требует большого мастерства от врача. Главным достоинством установки зубных протезов на винты, является возможность снять конструкцию без повреждения, провести необходимые манипуляции, а потом поставить обратно.
От того, насколько прочно зафиксирован протез, зависит время привыкания и удобство использования. Способ фиксации подбирает ортопед, опираясь на свой опыт и учитывая конкретные проблемы пациента.
[1] Мирсаев Т.Д. “ Средства, улучшающие адгезию съемных конструкций зубных протезов” Издательский дом “Тираж” 2019
Системный подход в изготовлении полных съемных протезов
Так уже исторически сложилось в стоматологии, что врачи почти никогда не ассоциируют полные съемные протезы с высоким уровнем эстетики, и располагают их на диаметрально противоположном конце пирамиды потребностей при лечении пациентов с полной адентией по сравнению с другими конструкциями. Но на сегодняшний день применение имплантатов позволило свести эти два аспекта в единую систему координат. Полные протезы с опорой на дентальных имплантатах являются достаточно эффективным вариантом лечения пациентов с полной или частичной адентией, обеспечивая достаточно прогнозированный и успешный вариант реабилитации. Но, как некогда заключили доктор Уолтер «Джек» Турбифил, DDS, «использование имплантатов никогда не избавит стоматолога от необходимости убедиться в соответствии протеза всем физиологическим и механическим критериям».

Реабилитация полностью беззубого пациента сопряжена со множеством проблем. Положение зубов, эстетические параметры, фонетическая функция, окклюзионная плоскость, вертикальная составляющая прикуса и положение мыщелков сустава определяются согласно каноническим ортопедическим принципам. Но большинство данных принципов, к сожалению, нивелируется при состоянии полной адентии. Даже если пациент уже некоторое время пользуется определенной конструкцией протеза, то и ее не стоит расценивать как некоторую референтную определяющую, поскольку старые протезы очень редко связаны с тем, чего пациент на самом деле хочет. Кроме того, в ходе лечения пациентов с полной адентией стоматолог сталкивается с проблемами психологического характера, связанными с потерей пациентом зубов, развитием ксеростомии и нейромышечных нарушений. Это также является одной из причин, почему стоматологи часто уклоняются от лечения больных с полным отсутствием зубов.
Пошаговый аналоговый протокол изготовления конструкций полных съемных протезов почти не изменился с момента его изобретения. По имеющимся оттискам отливаются модели, на которых техник моделируют восковый базис и прикусные валики - вот и все. На этом этапе для правильного определения надлежащей позиции передних зубов, передачи данных о вертикальной составляющей прикуса и положении сустава крайне важна надлежащая коммуникация между врачом-стоматологом и зубным техником. Даже при условии применения в работе цифровых технологий клиницист должен уметь оценить фонетическую функцию у пациента, проверить эстетические параметры и скорректировать потенциальные нарушения в конструкции протеза. При использовании конструкций полных съемных протезов в качестве временных или постоянных реставраций, или даже в качестве диагностических конструкций, протокол их изготовления требует определенного уровня систематичности в своей реализации. Последний должен включать:
- Регистрацию положения режущего края зубов верхней челюсти
- Регистрацию положения режущего края зубов нижней челюсти
- Определение надлежащей вертикальной составляющей прикуса
- Регистрацию центрального соотношения
- Соответствующую установку гипсовых моделей в артикулятор
- Проверку фонетической функции
Отправной точкой для изготовления полного съемного протеза является определение вертикального и горизонтального положения передних зубов верхней челюсти. Это достигается за счет использования пластинки базисного воска и воскового валика (фото 1).
Фото 1. Восковый валик верхней челюсти с маркировкой срединной линии и высокой линии улыбки.

Восковой валик контурируется и корригируется по форме, чтобы соответствовать положению окружающих структур, включая:
- Горизонтальное и вертикальное положение режущего края зубов верхней челюсти
- Среднюю линию верхней челюсти
- Щечные коридоры
- Окклюзионную плоскость верхней челюсти
- Высокую линию улыбки
Чтобы проверить правильность положения, можно зафиксировать их в восковом базисе (фото 2). Для подтверждения правильности положения зубов врач должен проверить произношение пациентом звуков «Ф» и «В»: при этом пациент должен касаться передними верхними зубами линии перехода влажной части нижней губы в сухую. Для регистрации данного положения врач может попросить пациента сосчитать до 50 или 60 в голос. С диагностической целью врач также может получить фотографии положения воскового базиса и зубов в состоянии покоя, при высокой улыбке, а также - в профиль. Дополнительно можно записать несколько видео пациента в ходе разговора, после чего все эти данные можно передать зубному технику.
Фото 2. Вид воскового валика с установленными зубами 8 и 9.

После определения надлежащего положения режущего края зубов верхней челюсти необходимо зарегистрировать позицию режущего края зубов нижней челюсти. Для этого используют пластинку базисного воска и восковый валик (фото 3). Высота воскового валика в переднем участке нижней челюсти должна составлять 18 мм от уровня преддверья до прогнозированного положения режущего края резцов. Для того, чтобы исключить ограничения при артикуляции нижней челюсти, дистальные части воскового валика делают ниже окклюзионной плоскости, после чего на валике формируют надрезы для соединения с восковым валиком верхней челюсти. По сути, применение специального воска в проекции передних зубов нижней челюсти является начальной точкой следующего этапа - определения вертикальной составляющей прикуса.
Фото 3. Использование специальной порции желтого воска для проверки фонетической функции с высотой равной 18 мм от преддверья полости рта.

Определение вертикальной составляющей прикуса
С целью регистрации вертикального положения прикуса используется именно звук «С», поскольку таковой формируется при повторяющемся движении челюсти независимо от того, имеются у пациента зубы, или нет. Программирование мышц для произношения данного звука обеспечивается на протяжении всего периода формирования и роста. Траектория данного движения зависит от класса скелетного соотношения, имеющегося у пациента. Например, при 2 классе скелетных соотношений нижней челюсти приходиться преодолеть сравнительно большее расстояние для произношения звука «С», нежели при 1 классе.
После регистрации надлежащего положения передних зубов верхней челюсти восковой валик фиксируется на нижнюю челюсть, и врач просит пациента сосчитать до 60 или 70. Клиницист наблюдает за движениями нижней челюсти и корректирует нижний восковый валик до тех пор, пока пациент не сможет четко произнести звук «С». Если во время произношения звука «С», восковый валик нижней челюсти ударяется по передний зубам на верхней челюсти, то его можно несколько срезать. Также можно модифицировать конфигурацию валика в язычно-вестибулярном направлении (фото 4).
Фото 4. Вид в профиль: передние зубы установлены в верхнем восковом валике, а на нижнем валике установлена порция воска для проверки фонетической функции.

Еще одним фактором, определяющим вертикальный параметр окклюзии, является доступное «заднее пространство для произношения». Последнее представляет собой промежуток между задними зубами в момент, когда нижняя челюсть передвигается вперед для произношения звука «С». Величина промежутка между задними зубами также будет варьировать в зависимости от класса скелетного соотношения, отмечающегося у пациента: у пациента со 2 классом соотношений величина такового будет больше, чем у пациента с 1 классом. Если же при произношении звука «С» задние зубы полностью соприкасаются, то это значит, что вертикальный размер окклюзии является слишком большим. Метод оценки надлежащего вертикального пространства для произношения, который нацелен на регистрацию параметра высоты прикуса, не стоит путать с методом регистрации свободного пространства в положении центрального соотношения. Свободное пространство в положении центрального соотношения представляет собой пространство между окклюзионными поверхностями верхних и нижних зубов в состоянии, когда мышцы нижней челюсти полностью расслаблены, в то же время при оценке надлежащего вертикального пространства для произношения мышцы являются активными. Положение челюсти в состоянии покоя является крайне вариабельным, и, следовательно, не может быть использовано для определения высоты прикуса (фото 5).
Фото 5. Измерение вертикальной составляющей прикуса в состоянии окклюзии и высота прикуса в состоянии покоя.

После того как врач зафиксировал соотношение зубов при произношении звука «С», он может установить вертикальный параметр окклюзии, уменьшив вертикальное пространство для произношения на несколько миллиметров. Если же этого не сделать, то зубы будут нефизиологично контактировать во время фонетической функции.
Регистрации центрального соотношения
Центральное соотношение определяется как «челюстно-нижнечелюстное соотношение, не зависящее от контакта с зубами, при котором мыщелки сустава контактируют с самой тонкой бессосудистой частью суставных дисков в передне-верхнем положении напротив заднего ската суставных бугров». Данное положение является повторяющимся и воспроизводимым. При протезировании полными съемными протезами важно восстановить прикус пациента в гармонии с центральным соотношением при соответствующей высоте прикуса. Это минимизирует возможность развития дефектных окклюзионных контактов, которые могут провоцировать развитие болезненных ощущений и нарушать ретенцию и стабильность протезов. Перед регистрацией центрального соотношения таковое должно быть первично установленным самим пациентом. Для этого врачом проводится бимануальная манипуляция с нагрузкой мыщелков тремя возрастающими уровнями силы (фото 6). После каждого уровня нагрузки врач спрашивает пациента о наличиеи каких-либо признаков напряжений или болезненности в области сустава. При отсутствии таковых на каждом уровне нагрузке врач констатирует достижение положения центрального соотношения. В ходе проведения данной диагностической манипуляции восковые валики не вводятся в ротовую полость пациента, поскольку центральное соотношение не зависит от контакта зубов.
Фото 6. Техника бимануальной манипуляции.

После проверки центрального соотношения оно регистрируется при помощи специальных аппаратов. Наиболее точным из таких является прибор для трассировки готической дуги. Данный аппарат характеризуется наличием ряда преимуществ, в том числе то, что он позволяет избавиться от физических помех на восковых валиках, стабилизирует базисные пластины и устанавливает мыщелки в центральном соотношение во время функциональных движений.
При работе с трассировщиком готической дуги предпочтительно использовать отдельный набор базисных пластин. Базисная пластина верхней челюсти удерживает ударную пластину (фото 7), а базисная пластина нижней челюсти - удерживает штифт (фото 8).
Фото 7. Фиксация ударной плоскости на восковом валике верхней челюсти для контроля движений готической дуги.

Фото 8. Фиксация трассирующего пина на восковом валике нижней челюсти для контроля движений готической дуги.

После установки базисных пластин внутрь ротовой полости пациента просят переместить нижнюю челюсть вперед и назад, вправо, а затем назад, влево и затем назад. Эта серия движений повторяется несколько раз, и нацелена на тренировку пациента, позволяя депрограммировать мышцы, чтобы гарантировать позиционирование мыщелков в центральном соотношении. После этого ударную пластину покрывают перманентным черным маркером, и пациента просят снова выполнить функциональные движения для трассировки. Когда штифт находится в точке пересечения трех линий трассировки, это значит, что челюсть находится в центральном положении (фото 9). С помощью бора на ударной пластине в точке пересечения этих линий формируется ямка. Затем пациента просят передвинуть нижнюю челюсть назад до тех пор, пока штифт не попадет в ямку. При таком фиксированном положении между пластинками вводят материл для регистрации прикуса, который позволит зафиксировать достигнутое пространственное положение челюстей.
Фото 9. Трассировка движений готической дуги: в области пересечений устанавливается центральное соотношение.

Фиксация моделей в артикуляторе
Фото 10. Вид вилки лицевой дуги с восковой композицией протеза.

Сначала в артикуляторе фиксируют модель верхней челюсти. После этого устанавливают базисные пластинки з регистратом движений готической дуги, что позволяет правильно сопоставить нижнюю челюсть. Штифт артикулятора при этом устанавливают на отметке «ноль». После этого удаляют трассировщик движений готической дуги и соединяют восковые композиции. Штифт артикулятора на данном этапе корректируют таким образом, чтобы порция воска, которая использовалась для проверки фонетической функции, не контактировала с восковым валиком верхней челюсти (фото 11).
Фото 11. Отсутствие контакта между порциями воскового материала при формировании надлежащей окклюзионной схемы.

Данное положение штифта отображает корректный параметр вертикальной составляющей прикуса, который был диагностирован у пациента. Учитывая данный критерий, зубной техник проводит установку зуба по лингвализированной окклюзионной схеме для достижения баланса между билатеральной сбалансированной окклюзией и центральным соотношением. Лингвализированная окклюзионная схема не предусматривает контакта передних зубов, именно поэтому штифт артикулятора устанавливается так, чтобы вышеупомянутые части восковой композиции не контактировали.
Проверка фонетической функции
На этапе примерки протеза обязательно проверяют параметры эстетики и фонетической функции. Пациента несколько раз просят произнести звук «С» и оценивают изменения соотношения челюстей. Такой подход способствует достижению более прогнозированных и успешных результатов.
Выводы
Реабилитация пациентов с полной адентией является непростой клинической задачей. Однако при реализации вышеописанного систематического подхода врачу удается добиться надлежащего восстановления функции, эстетики и фонетики в результате проведенного лечения (фото 12).
Фото 12. Вид окончательных конструкций полных съемных протезов в ротовой полости.

Данный подход также можно использовать при реабилитации пациентов съемными конструкциями на имплантатах, поскольку адаптивная способность таковых несколько ниже, чем обычных съемных протезов, учитывая стабильность установленных внутрикостных опор.
Биомеханика и окклюзия при полном протезировании
У многих пациентов, страдающих от полной адентии обеих челюстей долгое время, часто наблюдается прогрессирующая потеря костной ткани, в условиях которой дентальные имплантаты можно установить только в переднем отделе нижней челюсти между ментальными отверстиями. Съемные конструкции протезов, особенно те, которые не поддерживаются зубами, обеспечивают сомнительный уровень стабильности во время функционирования.

При восстановлении окклюзионных схем следует учитывать специфику дизайна протеза: поддерживается ли он собственными зубами или имплантатами, или же полностью ложится на слизистую костного гребня. Площадь поверхности конструкции, влияние атмосферного давления, форма резидуального гребня и особенности его морфологии, наличие ретенционных элементов, механические параметры опоры, а также факторы, способствующие смещению протеза, являются теми критериями, учет которых просто обязателен для обеспечения эффективных результатов стоматологической реабилитации.
Фото 1. Пациент с дефицитом костной ткани, ограничивающим возможность установки имплантатов.

Фото 2. Вид дефицитного гребня верхней челюсти.

Фото 3. Вид резидуального гребня верхней челюсти с адекватной морфологией.

Атмосферное давление
Можно, конечно, спросить: а давление воздуха тут причем? Разница данного параметра на внутренней и внешней частях протеза обеспечивает плотный контакт конструкции со слизистой резидуального гребня. Атмосферное давление величиной 15 фунтов на квадратный дюйм, а не феномен присасывания протеза, является первичным фактором обеспечения ретенции конструкции и адекватности ее функционирования (фото 4).
Фото 4. Влияние атмосферного давления на протез.

Периферийное уплотнение
Периферийное уплотнение протеза является также значимым фактором обеспечения ретенции полных съемных протезов, который предполагает изъятие воздуха из пространства между внутренней поверхностью конструкции и мягкими тканями, покрывающими костные структуры. При попадании воздуха в это пространство протез автоматически теряет ретенцию. Достичь хорошего периферийного уплотнения можно благодаря получению адекватного оттиска, который должен несколько компрессировать область слизистой и обеспечивать точное отображение тканей протезного ложа. Для поддержки подобного уплотнения также не обойтись без слюны, которая играет роль смачивающего агента между двумя разнородными поверхностями.
Площадь поверхности, форма и морфологические особенности резидуального гребня
McGarry и коллеги предложили систему классификации резидуального гребня в условиях полной адентии, которая учитывает разные анатомические условия зубочелюстного аппарата для поддержки съемных протезов. Сложность протезирования возрастает вместе с вертикальной и горизонтальной потерей костной ткани, которые ограничивают возможности для обеспечения разницы в давлении вне протеза и под ним.
Относительная стабильность
Концепция относительной стабильности учитывает особенности движения челюстей и протезов во время актов глотания, речи и жевания. Стратегия лечения должна быть основана на оценке каждой отдельной клинической ситуации с адаптацией соответствующих механических принципов, обеспечивающих стабилизацию протеза на гребне челюсти. Площадь поверхности беззубой верхней челюсти обычно больше аналогичного показателя на нижней, следовательно, и возможностей для стабилизации верхнего съемного протеза намного больше. Специфика топографии гребня нижней челюсти, активность языка и лицевых мышц, напротив, провоцируют относительную нестабильность съемной конструкции на нижней челюсти, в условиях которых, кроме того, довольно сложно расширить границы протеза. Абатменты для имплантатов по типу локаторов значительно улучшают ретенцию съемных конструкций, обеспечивая антиротационную их стабильность (фото 5).
Фото 5. Абатменты-локаторы для стабилизации протеза.

Количество и топография установки имплантатов также влияют на относительную стабильность протеза, таким образом, обеспечивая фиксацию протеза на локаторах хотя бы в переднем отделе, которой можно добиться того, что он будет сохранять свою ретенцию даже в условиях деформации под окклюзионной нагрузкой. Факторы, способствующие смещению протеза, включают: движение мышц в зонах их прикрепления, наличие чрезмерных окклюзионных контактов во время функционирования, активное взаимодействие с языком. Резистентность и ретенция протеза в большей мере определяются объемом вертикальной и горизонтальной редукции тканей, поскольку стабильность конструкций уменьшается при прогрессивной утрате кости.
Жевательный цикл
Чтобы понять какие же силы действуют на протез, важно отделить цикл жевания от акта откусывания пищи. Lundeen и Gibbs визуализировали процесс жевания различных продуктов как вертикальное движение челюстей без контакта зубов до тех пор, пока таковой не восстановиться в дистальном участке. Ударное жевательное движение реализуется латерально к сагиттальной плоскости по каплевидной траектории (фото 6 - 7). Простой способ визуализировать эту картину - наблюдать, как кто-то жует пищу или жевательную резинку.
Фото 6. Схематическое изображение цикла жевания: вид спереди.

Фото 7. Схематическое изображение цикла жевания: вид справа.

Механика рычага
Понимание системы рычагов 1 класса является базовым при проектировании дизайна окклюзионных схем на съемных протезах. У рычага 1 класса присутствует груз и плечо рычага с точкой опоры между ними (фото 8): когда усилие приложено около точки опоры, осуществляется минимальное смещение груза.
Фото 8. Рычаг 1 класса.

Когда усилие прилагается дальше от точки опоры - груз сместить намного проще. Рассмотрим сценарий, при котором резорбция костного гребня нижней челюсти прогрессировала в большей мере в медиальном и нисходящем направлении. Гребень, по своей сути, и есть рычагом, а точки опоры представлены на нем зеленым цветом (фото 9).
Фото 9. Ограниченный контакт в дистальном участке внутри от желтой линии.

Если провести линию вне точки опоры с одной стороны гребня (на фото - оранжевым цветом) и продолжить ее на этой же стороне челюсти (снова минуя точку опоры), то сила, направленная вниз (белая линия), будет проходить как раз по точкам опоры с разных сторон челюсти, смещая вышеспроектированную линию против резидуального гребня. Сила (красная стрелка), приложенная латерально к любой точке опоры, приведет к отрыву линии от точки опоры на противоположной стороне (синяя стрелка). Аналогичная ситуация наблюдается и при резорбции альвеолярного гребня верхней челюсти (фото 10).
Фото 10. Ограниченный контакт в дистальном участке внутри от желтой линии.

Зубы в протезе смоделированы так, чтобы воссоздать лингвальную окклюзионную схему, а также ограничить действие не вертикальных векторов нагрузок при контакте протезов с зубами (фото 11).
Фото 11. Лингвальный тип контакта.

Зубы в дистальных участках сконструированы таким образом, чтобы ограничить контакт верхних лингвальных бугорков с центральными ямками зубов на нижней челюсти. Рассмотрим сценарий на дуге верхней челюсти, когда кость резорбировалась в медиальном и заднем направлениях (фото 12).
Фото 12. Ограничение контакта во фронтальном участке.

Начиная впереди от резидуального гребня, можно продолжить данную линию кзади в направлении к твердому небу, позиционируя рычаг на резидуальном гребне во фронтальном участке. Силы, приложенные впереди рычага, отделяют вышеупомянутую линию от твердого неба, а контакт зубов впереди от рычага, следовательно, смещает протез от области неба. В ситуации с обширной потерей костной ткани в переднем участке контакт между фронтальными зубами способствует смещению протеза на верхней челюсти, особенно при дефицитных вертикальных и горизонтальных параметрах костной ткани. Поэтому подобного контакта следует избегать. Сила, приложенная позади точки опоры при закрытии, напротив, прижимает зубной протез к твердому нёбу. Откусывание пищи предполагает ее разрезание резцами с дальнейшим фронтальным движением зубов, что в принципе независимо от основного жевательного цикла. Пациентам с полными протезами рекомендуется проталкивать пищу более назад, чтобы минимизировать контакт резцов, и сразу перейти к жевательному циклу. Таким образом, удастся избежать смещения протезов на обеих челюстях.
Клинические случаи
На фото 13 изображен случай соотношения гребня по 3 классу со значительной потерей костной ткани на верхней челюсти, как раз напротив нижнего протеза, фиксированного на локаторах. На фото 14 видно, что окклюзионный контакт ограниченный только задними зубами. На фото 15 изображена ситуация с обширной потерей кости на обеих челюстях.
Фото 13. Соотношение челюстей по 3 классу. Резорбированный гребень нижней челюсти с установленными абатмент-локаторами.

Фото 14. Лингвальная окклюзионная схема.

Фото 15. Значительная резорбция верхней челюсти с ороантральным соустьем.

Фото 16. Хирургическая ревизия сложности резорбции гребня.

Фото 17. Ограниченный контакт бугров (по желтой линии).

Фото 18. Установка имплантатов на нижней челюсти.

Была разработана лингвальная окклюзионная схема для ограничения контакта лингвальных бугров верхних задних зубов с центральными ямками нижних задних зубов, особенно на нижней левой стороне, для стабилизации относительно неустойчивого верхнего протеза (фото 19). Контакта между передними зубами во время вертикального закрытия избегали (фото 20-21).
Фото 19. Лингвальная схема контактов верхних зубов, смещённая от центральных фиссур нижних зубов.

Фото 20. Ограничение контактов до лингвальных бугров на съемном протезе верхней челюсти в области дистальных зубов.

Фото 21. Ограничение контактов до лингвальных бугров на съемном протезе верхней челюсти в области дистальных зубов.

Пациенту было рекомендовано проталкивать пищу назад, чтобы избежать смещения протеза по причине нагрузки спереди - такой прием помогает стабилизировать протез в области твердого неба (фото 22).
Фото 22. Пациенту было рекомендовано проталкивать пищу назад при откусывании.

Резюме
При разработке окклюзионных схем съемных протезов необходимо учитывать критерий обеспечения их относительной стабильности с учетом соотношения зубов-антагонистов. Контакт между дистальными зубами, особенно при значительной резорбции костного гребня, осуществляется в вертикальном направлении по каплевидной траектории движении. Окклюзионный контакт при закрытии рта должен быть ограниченным и смещенным лингвально, чтобы обеспечить максимально возможную стабилизацию конструкций съемных протезов.
Адаптация к зубным протезам
Ортопедическое лечение является серьёзным вмешательством в человеческий организм, одной из основных проблем которого является привыкание пациента к инородному телу. Функциональная реабилитация пациентов с полным отсутствием зубов является трудной и до конца не решённой задачей в стоматологии. Проблема адаптации является актуальным вопросом на сегодняшний день. Адаптация к протезам — сложный психологический и физиологический процесс привыкания к зубным, челюстным или лицевым протезам. Протез воспринимается пациентом как инородное тело, являясь раздражителем. Он изменяет привычное состояние органов полости рта, уменьшая собственное пространство полости рта, изменяя положение артикуляционных пунктов, которые участвуют в звукопроизношении. Окклюзионные взаимоотношения между искусственными зубами могут поменять тип движений нижней челюсти при жевании пищи. С изменением межальвеолярной высоты появляются новые возможности для деятельности ВНЧС и жевательных мышц.
Съёмный протез является раздражителем, вызывающим возбуждение в коре головного мозга, которое представляется в виде рефлекторных реакций. Если раздражитель не получает подкрепления, то развиваются явления угасания, которые проявляются в виде снижения или подавления возбудимости и проводимости (И. П. Павлов) [1, с.271]. Помимо физиологической адаптации происходит психологическая, снижается раздражительность, стыдливость, исчезают препятствия в общении. Для нормального привыкания к протезу врач должен успокоить пациента, разъяснить правила пользования протезом, объяснить, что все неприятные ощущения пройдут. Успех адаптации также зависит от грамотного взаимодействия врача с пациентом.
В. Ю. Курляндский выделяет несколько фаз адаптации к протезам:
Первая фаза — фаза раздражения.
В день наложения протеза у пациента наблюдается повышенная саливация, нарушается дикция и появляется рвотный рефлекс. Протез оказывает механическое раздражение на рецепторы корня языка или мягкого нёба, что приводит к возникновению рвоты. Усиленное дыхание может способствовать прекращению рвоты.
Вторая фаза — фаза частичного торможения.
Она наблюдается со второго по четвёртый день после наложения протеза. В этой фазе начинает стихать ответная реакция на раздражение. Исчезает ощущение инородного тела, восстанавливается речь, сокращается саливация и уменьшается рвотный рефлекс.
Третья фаза — фаза полного торможения.
Длительность её составляет от пяти до тридцати трёх дней. Пациент перестаёт ощущать дискомфорт при пользовании протезом, начинает испытывать неудобство в момент извлечения его.
Эти явления больше выражены при наличии в полости рта полного съёмного или частичного пластиночного протеза и значительно меньше — при пользовании дуговым протезом.
На коррекцию протезов обязательно назначают на следующий день и дают наставления:
а) после каждого приема пищи протезы нужно снять, промыть водой, а полость рта прополоскать;
б) на ночь протезы снимать, тщательно чистить жесткой зубной щеткой с мылом и хранить в закрытом сосуде «Дента» в прохладной фильтрованной воде с добавлением в нее нескольких миллилитров зубного бальзама. Содержимое сосуда необходимо менять ежедневно [2, с.397].
При последующих коррекциях, которые проводят сначала раз в 3 дня, а затем раз в неделю, определяют болезненные точки. Их выверяют с помощью гипсового порошка или зубной пасты на слизистой оболочке и переносят на протез, корректируют с последующим шлифованием и полированием.
Пациенты, которые протезируются повторно, привыкают к ним значительно быстрее — за 6-8 суток. На скорость адаптации влияют также фиксация, стабилизация протезов и отсутствие болевых симптомов.
В адаптационном периоде врач не только проводит необходимые процедуры по корректированию протезов, но и оценивает качество проведённого лечения в целом.
В некоторых случаях требуется провести психологическую подготовку, объясняя пациенту, что эти явления скоро пройдут. В некоторых случаях требуется произвести несколько ложных укорочений заднего края протеза, после чего больные обычно отмечают облегчение. В действительности укорачивать протез нельзя, так как разомкнётся задний клапан и протез будет плохо фиксироваться. Рвотный рефлекс обычно исчезает через 8-10 суток.
Фиксация протезов на беззубых челюстях улучшается к 7-му дню пользования ими, наивысшей точки достигает через месяц и сохраняется на протяжении года, а затем начинает ослабевать. Такие же результаты даёт и жевательная эффективность протезов.
Объективными методами оценки эффективности протезов в функциональном отношении являются:
Результаты ортопедического лечения можно считать положительными, если после протезирования:
‒ адекватно восстановилась функция речи;
‒ фиксация и стабилизация протезов хорошая;
‒ соблюдены нормы эстетики;
‒ возникла возможность принимать твердую пищу;
‒ пациент удовлетворён качеством протеза.
Срок пользования пластиночными протезами (в среднем) определяется в 3-4 года [3, с.287]. Через 3-4 года эффект разжёвывания пищи остается высоким, но достигается значительным увеличением времени разжевывания пищи по сравнению с данными, получаемыми к концу первого года. К этому времени в результате атрофии челюстей определяется несоответствие протезного ложа базису протеза, что проявляется в виде балансирования и ухудшения фиксации протезов. Кроме того, если в протезе поставлены искусственные зубы из пластмассы, режущие края и жевательные бугорки у них истираются, вследствие чего уменьшается нижняя треть высоты лица. Таким больным нужно изготавливать новые протезы. Если на протезах поставлены зубы из фарфора, то устранение балансирования и восстановление функциональной присасываемости можно достичь при помощи перебазировки протезов клиническим или лучше лабораторным методом.
В современном обществе тема адаптации к зубным протезам стала наиболее актуальна в связи с увеличением случаев развития аллергии на них. Знание особенностей и сроков адаптации позволяет врачу грамотно выполнять свою работу, а пациентам быть довольными результатом.
1. Гаврилов Е. И., Щербаков А. С. Ортопедическая стоматология. 1998
2. Копейкин В. Н., Руководство по ортопедической стоматологии. 1993
3. Лебеденко И. Ю. Руководство по ортопедической стоматологии. 2005
Основные термины (генерируются автоматически): протез, инородное тело, пациент, рвотный рефлекс, день, наложение протеза, ортопедическое лечение, полость рта, стабилизация протезов, фаза.
Как быстро привыкнуть к съемным зубным протезам

Протезирование завершено. Позади остались слепки, примерки. Дело за малым - привыкнуть к своей новой челюсти. Оказывается, это не так-то просто. Любая съемная конструкция воспринимается организмом, как инородное тело. Ему нужно время, чтобы начать воспринимать съемную челюсть, как свою. Как привыкнуть к съемным протезам?
Стоматолог обязательно предупреждает пациента о том, какая реакция может быть на протез:
- повышенное слюноотделение;
- приступы тошноты;
- позывы к рвоте;
- напряжение щек и губ;
- нарушение дикции;
- трудности с жеванием.
Все внимание сосредоточено на инородном теле во рту. Трудно бороться с желанием снять протез.
В некоторых случаях, наблюдаются нетипичные реакции на протезирование. К врачу безотлагательно нужно обратиться если:
- наблюдается покраснение и отек в местах соприкосновения с протезом;
- на деснах появились ранки, изъязвления;
- больно глотать;
- во рту чувство жжения.
Признаки аллергии на протез
Это могут быть признаки аллергической реакции на материалы конструкции.
Сколько привыкать к зубным протезам
Стоматологи выделяют 3 фазы адаптации:
- Первая фаза - раздражения. И хотя врачи имеют в виду раздражение нервных рецепторов, название фазы как нельзя лучше передает состояние пациента. Раздражение и желание вытащить инородный предмет - 2 основных чувства первого дня. Преодолеть их помогает психологический настрой и любая, желательно приносящая удовольствие, деятельность.
- Вторая фаза - частичного торможения. Затем приходит награда за терпение и упорство. Реставрация по-прежнему мешает, но уже не так сильно. Слюноотделение снижается, тошнота проходит. Щеки и губы напрягаются меньше. Восстанавливается функция жевания. Занимает эта фаза около 5 дней.
- Третья фаза - полного торможения. Нормализуется дикция, жевание больше не вызывает дискомфорта, нет ощущения инородного тела. Пациент испытывает неудобство, когда челюсти нет на месте. Адаптация завершена.
Факторы, влияющие на сроки адаптации
Индивидуальные особенности человека, его психотип и желание, влияют на то, как быстро он сможет привыкнуть к съемным зубным протезам.
К другим факторам относятся:
- Насколько хорошо конструкция фиксируется во рту. Если реставрация плохо присасывается к небу, это доставляет постоянный дискомфорт. Привыкнуть к такому протезу тяжело. Он съзжает, повреждает слизистые.
- Есть ли болевые ощущения. Трудно ощущать искусственную челюсть, как свою, когда постоянно испытываешь боль.
- Конструкция протеза. К бюгельным протезам привыкнуть легче, чем к пластинчатым. Привыкнуть к верхнему протезу займет больше времени.
- Качество изготовления зубного протеза. Рвотный рефлекс не исчезнет, если слишком длинный дистальный (задний) край будет раздражать небо. Плохо подогнанная реставрация натирает десны, доставляет дискомфорт при жевании. Такая конструкция нуждается в коррекции.
Привыкание к съемным зубным протезам происходит гораздо быстрее, если протез не первый. Обычно, это занимает 3-5 дней.
Как быстро привыкнуть к зубным протезам
Несложные рекомендации помогут пройти все 3 фазы привыкания гораздо быстрее. Однако, следует помнить, что главное - психологический настрой. Он поможет легче переносить дискомфорт и бороться с искушением снять протез. Визуализация новой улыбки, представление изменений во внешности и в жизни, размышление о том, какие проблемы решит новая челюсть, способствуют эмоциональному и физическому расслаблению и ускоренной адаптации. Особенно это касается верхней челюсти, ведь привыкнуть к протезу с небом сложнее. Он занимает много места, перекрывает вкусовые рецепторы, сильно мешает.

Ускорить привыкание к зубному протезу поможет:
- Диета. В первые дни после установки реставрации лучше избегать твердой пищи. Каши, супы-пюре, творожки и йогурты помогут пережить самые трудные первые дни, пока функция жевания не восстановится.
- Медленное пережевывание. Обязательно задействовать в процессе обе стороны, для равномерного распределения нагрузки.
- Адгезивные препараты. Кремы и гели типа Corega (Корега) помогают лучше зафиксировать челюсть, пока мышечный аппарат привыкает к перестройке.
- Пониженные физические нагрузки на челюсть. В первое время, лучше резать продукты на кусочки, избегать откусывания.
- Разговоры и чтение вслух. Дикция после протезирования зубов восстановится быстрее, если много говорить. Чем больше тренироваться, тем быстрее фонетический аппарат приспособится к новому состоянию. Можно медленно считать до 100. Читать прозу и стихи, постепенно увеличивая темп. Разговаривать с близкими людьми.
Совет стоматологов: на период привыкания не снимать конструкцию на ночь. Это также способствует ускоренной адаптации к зубным протезам.
Что делать если
- Тошнит из-за зубного протеза. При приступах тошноты рекомендуется делать частые глотательные движения. Хорошо помогают мятные леденцы. Их рассасывает, но не в коем случае не грызут.
- Наблюдается сильный рвотный рефлекс. Рекомендации включают те же леденцы и глубокое спокойное дыхание. Расслабление наступает быстрее, если выдох длиннее вдоха. Например, вдох на счет до 4-х, а выдох - до 6-ти. Можно набрать в рот соленой воды. Ее не нужно глотать, только подержать некоторое время и выплюнуть. Если ничего не помогает, нужно обратиться к врачу. Он или проведет коррекцию, или пропишет специальные лекарственные средства.
- Выделяется много слюны. Это временное явление, оно пройдет через 1-2 дня. И тут на помощь приходят конфеты, которые можно долго сосать. Мозг будет ассоциировать слюноотделение с конфетой, а не с искусственной челюстью.
- Протез натирает. Нужно обратиться в стоматологию, чтобы ортопед провел коррекцию. Нельзя самим подпиливать конструкцию, это может привести к поломке реставрации. Перед визитом к стоматологу протез надо не снимать минимум 3 часа, чтобы врач увидел места, где реставрация натирает.
Любая поверхность в ротовой полости после еды покрывается пелликулой - микробной бляшкой. Отложения могут раздражать слизистую, провоцировать неприятный запах изо рта, окрашиваться пигментами. Поэтому за ортопедическими реставрациями нужен тщательный уход:
- механическое очищение щеткой и водой;
- использование лечебно-профилактической зубной пасты;
- отказ от отбеливающих паст;
- регулярное применение антисептических растворов.
Съемное протезирование не останавливает атрофию костной ткани. Десны проседают, рельеф их меняется. Частью ухода за реставрацией является ее регулярная (примерно раз в год) перебазировка. Ортопед добавляет пластмассу в места образовавшихся пустот, улучшая прилегание, а значит, фиксацию.

Корректировка протеза
Привыкание к зубным протезам занимает максимум месяц, а эстетический и функциональный эффект длится годы. Правильный настрой поможет адаптироваться к реставрации в максимально короткие сроки.
Читайте также:
