Фиксация кости винтами - лучевая оценка
Добавил пользователь Владимир З. Обновлено: 01.11.2025
Переломы дистального метафиза лучевой кости являются одной из наиболее распространённых травм в практике травматолога ортопеда. И как это часто бывает с часто встречающейся травмой, многие аспекты, как самого повреждения, так и методов лечения, остаются скрыты не только от пациентов, но и от практикующих врачей. По этой причине хочется отдельно рассмотреть эту проблему и разобрать её на реальных клинических примерах из нашей практики.
Этиология переломов луча в типичном месте.
В большинстве случаев это падение с опорой на выпрямленную руку, в случае молодых пациентов чаще встречается высокоэнергетическая травма, падение во время занятий спортом, с велосипедов или других катящихся девайсов, дорожно-транспортные происшествия. В случае пациентов старше 50 лет, особенно женщин, переломы дистального отдела луча чаще носят низкоэнергетический характер и происходят на фоне остеопороза. Низко-энергетические переломы дистального метаэпифиза лучевой кости являются показанием к проведению денситометрии и последующей консультации эндокринолога и значимо увеличивают риск последующих остеопоротических переломов.
Сопутствующие повреждения.
50% этих переломов являются внутрисуставными, могут сопровождаться повреждением дистального радиоульнарного сочленения, в 40 % случаев встречается повреждение триангулярного хряща, в 30% повреждение ладьевидно-полулунной связки, в 15% случаев полулунно-трёхгранной связки.
Классификация переломов луча в типичном месте.
Классификация Фернандеса (Fernandez)
Тип перелома в зависимости от механизма повреждения
Стабильность (риск вторичного смещения в гипсе)
1 тип - простой разгибательный

Стабильный, риск вторичного смещения небольшой.
1)Без смещения\ 2)дорсальное смещение (перелом Коллиса) 3)Ладонное смещение (перелом смита)
2) чрезкожная фиксация спицами
3) Внешний фиксатор
2 тип, срезающий суставную поверхность

Нестабильный, всегда происходит вторичное смещение
1) открытая репозиция. Внутренняя фиксация
3 тип с компрессией суставной поверхности

Может быть как стабильным так и нестабильным в зависимости от качества кости и количества фрагментов
При отсутсвии значительного смещения может быть консервативным.
Открытая репозиция и Остеосинтез.
Альтернативно - пины или
4 тип - отрыв связочных структур с вывихом лучезапястного сустава
Закрытое или открытое устранение. Внешний фиксатор. Фиксация костных фрагментов пинами\винтами
5 тип - комбинированный, высокоэнергетическая травма
Комбинированные закрытый\открытый метод 0000,
Ну и конечно же любимая всеми нами классификация АО.

Классификация АО очень подробная, внутри каждой группы, как правило, есть ещё 3 подгруппы, и в конечном счёте она охватывает практически всё возможное разнообразие переломов данной анатомической области.
Врачи амбулаторного звена часто склонны упрощать подход к лечению и зачастую даже не информируют пациентов о возможных осложнениях и функциональном результате. По этой причине первично крайне нестабильные переломы могут лечиться консервативно и срастаются в заведомо неправильном положении, что может послужить причиной развития артроза и стойкого ограничения функции конечности. Когда речь идёт о пожилом пациенте с низкими функциональными запросами это может быть приемлемо и даже желаемо, чтобы не подвергать человека ненужным операционным рискам ради получения результата который не сильно нужен в этой категории больных. Но когда речь идёт о молодых пациентах, которым предстоит долгая трудовая жизнь, занятия спортом и многое другое, то выбор тактики для получения оптимального результата становится принципиально важен.
Хорошие результаты лечения зависят от многих факторов: 1) восстановление суставной поверхности 2) восстановление нормальных анатомических взаимоотношений 3) ранние движения в суставах кисти и лучезапястном суставе.
Соблюдения этих принципов можно достичь как консервативно, так и оперативно, но консервативное лечение имеет целый ряд ограничений.
Показаниями для консервативного лечения являются экстраартикулярные (внесуставные) переломы, с укорочением не более 5 мм и угловой деформацией не более 20 градусов. Такие переломы можно стабилизировать в гипсовой повязке и для них не характерно вторичное смещение. Все остальные типы переломов (а их большинство) склонны к вторичному смещению в гипсе, и множественные перегипсовки не исправят положения. Конечно если пациент твёрдо решил отказаться от операции несмотря на возможные осложнения, то лечение проводится методом гипсовой иммобилизации.
Хирургические методы включают 1)закрытую репозицию и чрезкожную фиксацию спицами, 2) закрытую\минимально открытую репозицию и остеосинтез с использованием внешних фиксаторов 3) открытая репозиция и накостный остеосинтез с использованием пластин и винтов.
Показаниями для хирургического лечения являются противопоказания для консервативного: укорочение более 5 мм, угловая деформация более 20 градусов, внутрисуставные переломы, многооскольчатые переломы с дефектами ладонной или тыльной кортикальной пластинок.
Консервативное лечение переломов луча в типичном месте.
Гипсовая иммобилизация на срок от 4 до 6 недель в зависимости от морфологии перелома, возраста пациента, наличия\отсутсвия остеопороза. При простых переломах дистального отдела лучевой кости когда гипсовая иммобилизаия обеспечивает адекватную стабильность уже через 4 недели можно приступить к разработке активных движений в лучезапястном суставе. Когда гипсовая иммобилизация используется для лечения оскольчатых, нестабильных, внутрисуставных переломов как вынужденная мера, например при отказе от операции, иммобилизация должна быть более длительной, так как имеется риск несращения перелома и формирования ложного сустава.
В случае если при первой репозиции не удалось добиться нормального положения отломков такой перелом скорее всего сместится в последующем.
К возможным осложнениям гипсовой иммобилизации стоит отнести острый синдром карпального тоннеля, комплексный регионарный болевой синдром (когда гипсовая иммобилизация накладывается на фоне выраженного отёка).
Хирургическое лечение переломов луча в типичном месте.
Закрытая репозиция и чрескожная фиксация спицами.
Может удерживать репозицию в саггитальном плане и по длине при сохранной кортикальной пластинке по ладонной поверхности. При оскольчатом переломе и смятии кости по ладонному кортексу репозицию удержать не может.
Используется техника Капанджи (Kapandji) и техника Рейхак (Rayhack) при которой репозиция производится под артроскопическим контролем.
82-90 % отличных результатов когда используется по показаниям.
Наружная фиксация.
Если используется только наружный фиксатор невозможно восстановить нормальную ладонную ангуляцию суставной поверхности.
По этой причине часто используется в комбинации с пинами, спицами и в ряде случаев с пластинами.
Внешний фиксатор использует для стабилизации перелома лигаментотаксис. Ставить пины внешнего фиксатора на лучевой кости лучше под прямым контролем зрения чтобы избежать повреждения поверхностной ветви лучевого нерва. При создании дистракции не следует «перерастягивать» сустав, суставная щель не должна быть более 5 мм. Также не стоит избыточно отводить кисть в локтевую и ладонную сторону так как при оскольчатом повреждении ладонного кортекса это всё равно не позволит поставить суставную поверхность под правильным углом.
Время иммобилизации не должно превышать 8 недель и наружный фиксатор не должен мешать ранним движениям всеми пальцами.
Осложнения внешнего фиксатора: 1) возможно несращение преелома из-за недостаточной стабильности, 2) тугоподвижность лучезапястного сустава и снижение силы хвата 3) инфекция в месте введения пинов 4) рефлекторная симпатическая дистрофия 5) ятрогенное повреждение поверхностного лучевого нерва 6) нейропатия срединного нерва
Открытое лечение перелома с внутренней фиксацией.
Смещение суставной поверхности более 2 мм, переломы типа Бартона (Barton) Смятие кортекса по ладонной поверхности, «вдавленные» переломы суставной поверхности.
Хирургическая техника.
В настоящее время предпочтение отдаётся волярным пластинам. Современные пластины имеют малую толщину, предизогнуты согласно нормальной анатомии, блокируемые винты позволяют добиться стабильной фиксации даже в тяжёлых случаях, когда имеется дефект кости в метафизарной зоне и эпифиз представлен тонкой полоской кости.
Для профилактики КРБС (комплексного регионарного болевого синдрома) в настоящее время рекомендуется использовать Витамин С по 200 мг ежедневно на протяжении 45 дней после травмы.
Клинический пример лечения перелома дистального метафиза лучевой кости при помощи открытой репозиции и остеосинтеза пластиной.
Пример 1.
Пациентка М 65 лет, травма в результате падения на улице с опорой на кисть. В анамнезе множественные переломы, миеломная болезнь в стадии ремиссии (7 лет). После падения обратилась в РТП где ей была наложена гипсовая повязка. По какой то причине репозиция не производилась. После обращения в нашу клинику госпитализирована для оперативного лечения.
Внешний вид конечности после снятия гипсовой повязки. Рентгенограммы выполненные при помощи ЭОП на операционном столе выявили полное смещение всего дистального метафиза лучевой кости к тылу на целый поперечник.

Когда имеешь дело с таким переломом на фоне остеопороза становится ясно, что в метафизарной зоне будет «каша» из множества мелких отломков, и что суставная поверхность будет расколота минимум на 3 части.
В такой ситуации требуется надёжная фиксация при помощи пластины с угловой стабильностью, так как риск вторичного смещения в гипсовой повязке крайне высокий. При отказе от операции возможно лечение методом гипсовой иммобилизации, при этом перелом срастётся с небольшим смещением, но в функциональном плане рука будет работать удовлетворительно. По этой причине у пожилых пациентов с низкими функциональными запросами лечение может проводится методом гипсовой иммобилизации.
Но наша пациентка хотела максимального восстановления функции, силы хвата, амплитуды движений и нормальных анатомических взаимоотношений своей конечности, по этой причине было принято решение о выполнении операции.
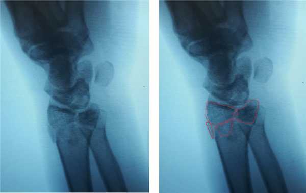
Интраоперационно под контролем ЭОП произведена закрытая репозиция перелома.

После репозиции на рентгенограммах отчётливо виден многоооскольчатый, нестабильный характер перелома.
Произведён доступ к месту перелома по ладонной поверхности предплечья. При ревизии выявлено множество мелких осколков в метафизарной области по волярному кортексу. Произведена открытая репозиция перелома, временная фиксация спицами. Накостно уложена пластина VA-LCP™ Two-Column Distal Radius Plate

После рентгенконтроля производится введение блокируемых винтов диаметром 2,4 или 2,7 мм.

Данная пластина отлично подходит для фиксации оскольчатых переломов дистального метаэпифиза лучевой кости, однако в ряде случаев, когда перелом располагается более дистально, предпочтительнее использовать пластину другой конструкции (Volar rim).
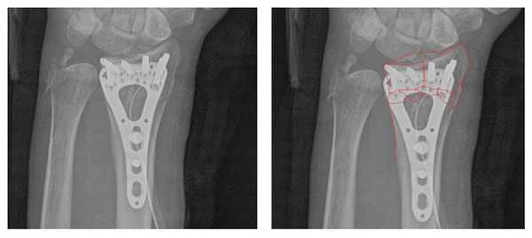
Окончательный остеосинтез после проведения всех винтов выглядит на рентгенограмме примерно так. На левой части рисунка схематично отображено расположение фрагментов кости, фиксированных пластиной.


В случаях оскольчатых переломов дистального метафиза лучевой кости со значительным смещением рекомендуется использовать активный вакуумный дренаж. Это позволяет снизить давление в сгибательном компартменте, уменьшает отёк и пропитывание тканей кровью, и предотвращает развитие КРБС (комплексного регионарного болевого синдрома). Также для профилактики КРБС рекомендуется использование витамина С в дозе 200 мг\сут до 45 дней после травмы. Локальная криотерапия, хивамат, магнит, возвышенное положение конечности, способствуют уменьшению отёка и позволяют раньше приступить к реабилитационным мероприятиям.
Функция конечности через 3 недели после остеосинтеза.

В более простых случаях, когда суставная поверхность представлена одним большим фрагментом кости, фиксация LCP пластиной настолько надежная и стабильная, что позволяет начать активную разработку движений уже на следующий день после операции, и использовать руку для бытовых нужд уже через 2 недели после операции.
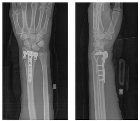
Например у Пациентки А, 24 лет, операция выполнена по поводу относительно простого перелома дистального метаэпифиза лучевой кости с угловым смещением к тылу на 30 градусов и укорочением лучевой кости на 7 мм. Учитывая молодой возраст и высокие функциональные запросы принято решение о выполнении остеосинтеза. Учитывая сохранность волярного кортекса использована пластина меньшего размера, которая установлена более проксимально, с целью максимального сохранения кровоснабжения эпифиза лучевой кости.

Через 6 недель наблюдается рентгенологическое сращение перелома. Функция конечности к этому времени уже практически полностью восстановлена.

В случае дистальных переломов, расположенных ближе к лучезапястному суставу, может возникнуть необходимость расположить пластинку ближе к суставной поверхности. Для этого лучше использовать специальную пластинку VA-LCP™ Volar Rim Distal Radius Plate.

Клинический пример. Пациентка С. 36 лет, травма при падении во время матча по большому тенису, получила закрытый оскольчатый перелом дистального метаэпифиза лучевой кости с большим количеством мелких фрагментов в метафизарной зоне.

На 7 сутки после получения травмы пациентка обратилась в Клинику К+31, учитывая нестабильный характер перелома предложено оперативное вмешательство. Для остеосинтеза использована пластина VA-LCP™ Volar Rim Distal Radius Plate.

Такая фиксация даже при таких тяжёлых дистальных переломах позволяет начать раннюю активизацию, занятия лечебной физкультурой в кратчайшие сроки после операции. Для профилактики КРБС при тяжёлых оскольчатых переломах рекомендуется использование витамина С в дозе 200 мг в сутки до 45 дней после травмы, возвышенное положение конечности в покое, хивамат, гипербарическая оксигенация, использование таких препаратов как актовегин и трентал.

Никифоров Дмитрий Александрович
Хирургия стопы и голеностопного сустава, коррекция деформаций конечностей, эндопротезирование суставов, артроскопическая хирургия, спортивная травма.
Оценка клинической эффективности применения plga-винтов при лечении переломов и ортопедических заболеваний
Лавырев Р.М., Гурьев В.В., Склянчук Е.Д., Краснощеков А.Н., Яхьяев В.Д.
Введение. Биодеградируемые имплантаты для фиксации костей применяются в течение более 25 лет. Одно из самых распространенных показаний к их применению на сегодняшний день - это переломы дистального метаэпифиза лучевой кости. Многочисленные исследования показали эффективность фиксации биодеградируемыми имплантатами при коррекции плоскостопия, включая Hirvensalo и соавт. (1988), описавшего использование пинов из полигликолиевой кислоты (PGA) [1] и Brunetti с соавт. (1991) [2], описавших использование пинов из поли-парадиксона (PDS). Проблемы, возникшие при использовании чистого PGA или PDS, заключались в слишком быстром распаде полимера и окрашивании, что приводило к осложнениям, включавшим в себя воспалительный процесс и остеолиз. Такие осложнения наблюдались преимущественно при использовании имплантатов из чистого PGA.
Развитие производства имплантатов из чистой полимолочной кислоты (PLLA), включая пины и винты, было многообещающим, оно включало в себя многочисленные исследования, которые показали минимальное количество проявлений остеолиза и возникновения реакции на инородное тело. Однако существенная проблема заключалась в том, что время распада чистой полимолочной кислоты было очень долгим, и составляло до 5 лет.

Новейшие имплантаты из комбинаций полигликолиевой и полимолочной кислот, известные как PLGA, обеспечивают такую же прочную фиксацию, что и имплантаты из чистой PLLA. Винт, изготовленный из PLGA (85% поли молочной кислоты и 15% полигликолиевой кислоты), показывает высокие биомеханические результаты (прочность на изгиб, твердость) (рис.1). Кроме того, в тканях они распадаются гораздо быстрее (18 месяцев) и при их применении воспалительные реакции возникают достаточно редко и слабо выражены [3].
Учитывая очевидные преимущества современных биодеградируемых фиксаторов перед металлическими (не требуют удаления) и заявленную производителями их высокую механическую прочность в сочетании с оптимальными сроками резорбции материала в тканях без образования токсических продуктов, представляется перспективным клиническое применение PLGA-фиксаторов при лечении переломов и ортопедических заболеваний.
Цель исследования - улучшение хирургической техники и клинической эффективности восстановления целостности костей.
Материалы и методы. В Центре травматологии и ортопедии ЧУЗ «Клиническая Больница «РЖД-Медицина» им. Н.А. Семашко», выполнен ряд операций с использованием биодеградируемых винтов фирмы Биоретек.
1. Остеосинтез перелома шейки бедренной кости - 1 случай.
2. Остеосинтез внутрисуставных переломов мыщелков плечевой кости, головки лучевой кости, мыщелков больше берцовой кости - 5 случаев.
3. Остеосинтез переломов фаланг пальцев, пястных и плюсневых костей - 5 случаев.
4. Остеосинтез надколенника - 1 случай.
5. Остеосинтез лодыжек с фиксацией синдесмоза - 6 случаев.
6. Фиксация при корригирующих остеотомиях стоп - 5 случаев.
7. Пломбировка остеомиелитической полости биодеградируемым винтом с антибактериальным покрытием - 1 случай.
Оценка результатов с применением клинических, лабораторных и рентгенологических методов исследования.
Результаты. При проведении операций выявлено, что остеосинтез костей с использованием биодеградируемых винтов имеет достаточно высокий уровень прочности фиксации. Немаловажным оказалось, что для винтов подходит стандартная отвертка распространенной сегодня системы АО, ограничивающая вращение винта и позволяющая легко вводить имплантат в кость. Как только отвертка убирается можно видеть, что винт полностью введен в просверленное отверстие, потому что головка немного «утоплена» по сравнению с поверхностью кости. Это позволяет избежать повреждения мягких тканей.
В послеоперационном периоде во всех наших наблюдениях признаков воспаления, аллергических реакций обнаружено не было. Сращение синтезированных костей достигнуто в среднефизиологические сроки, переломов винтов не было. За весь период наблюдения за пациентами, каких либо проявлений остеолиза костных отломков вокруг винтов рентгенологически не зафиксировано. У всех пациентов получены хорошие функциональные результаты лечения.
Таким образом, комбинация полимолочной и полигликолиевой кислот, применяемая при изготовлении винтов, возможно, является сегодня наиболее оптимальным вариантом, совмещающим в себе необходимую прочность и сбалансированный по времени процесс их биодеградации в тканях.
Выводы: 1) полученные результаты положительно характеризуют применение биодеградируемых винтов для прочной фиксации костей; 2) хирургическая технология и инструментарий для установки винтов позволяет снизить травматичность и длительность операции; 3) в тканях винты не вызывают местно-раздражающего и воспалительного действия; 4) продукты биодеградации винтов не влияют отрицательно не сроки костного сращения и не вызывают остеолиза костных отломков.
Сравнительная оценка эффективности фиксации фрагментов ладьевидной кости запястья винтами различной конструкции
Проведено экспериментально-клиническое исследование эффективности фиксации фрагментов ладьевидной кости запястья винтами различной формы. Компрессирующие свойства винта модифицированной авторами конструкции оказались в 1,4 раза выше, чем конического, и в 2,5 раза выше, чем цилиндрического винта. Модифицированный винт применен при лечении 5 больных со свежими и у 14 — с несросшимися переломами ладьевидной кости. При свежих переломах консолидация наступила у всех пациентов, при несросшихся переломах — у 92,7% больных
Ключевые слова
Полный текст
Переломы ладьевидной кости составляют от 54 до 88% всех переломов костей запястья, причем около половины из них не срастается [1, 3~6, 9-11, 18]. Длительная консолидация этих переломов связана с целым рядом причин: запоздалой диагностикой, несоблюдением сроков и правил рациональной иммобилизации, нестабильностью костных фрагментов, неадекватным лечением на разных этапах и др. Используемые в медицинской практике различные способы лечения рассматриваемых повреждений часто не дают желаемого результата. В костной ткани и параартикулярных структурах (связочно-капсульном аппарате) развиваются патологические процессы, которые приводят к деформирующему артрозу и тугоподвижности кистевого сустава, асептическому некрозу, формированию ложного сустава ладьевидной кости со снижением или утратой профессиональной трудоспособности, вплоть до полной потери функции кисти и инвалидизации больного. Все это определяет необходимость разработки более эффективных методов лечения, в которых учитывался бы не только характер повреждения ладьевидной кости, но и ее анатомические особенности, локализация в кистевом суставе, строение ее губчатого вещества, сопутствующие повреждения связочного аппарата и т.д.
Применение компрессионного остеосинтеза винтом открывает новые возможности в лечении переломов ладьевидной кости запястья [2, 8, 12-15]. Однако хотя этот метод используется в травматологической практике уже более 35 лет, до сих пор не решен вопрос о наиболее целесообразной конструкции винта.
Задачами нашего исследования были: 1) создание наиболее рациональной конструкции компрессирующего винта для ладьевидной кости запястья; 2) сравнительный анализ результатов лечения с использованием винтов различной конструкции.
Материал и методы
Для исследования были выбраны три вида винтов: цилиндрический, конический и модифицированный нами винт типа Herbert (удостоверение на рац. предложение № 885 от 14.01.00, выданное ВМИ ФПС России при НГМА).
Усовершенствованный нами винт имеет две стягивающие разношаговые резьбы. Изготавливается он из титана и состоит из удлиненной головки (выполняющей дополнительную компрессирующую функцию, а также облегчающей поиск винта в операционной ране при его удалении) и стержня. Шаг и глубина резьбы на головке меньше, чем на дистальном конце винта. Диаметр стержня меньше, чем на уровнях нарезки (3,5 или 4,5 мм). В головке винта предусмотрено шестигранное углубление под специально разработанную для этого Т-образную отвертку (удостоверение на рац. предложение № 860 от 10.10.99, выданное ВМИ ФПС России при НГМА), что позволяет производить достаточную компрессию во время операции, а после наступления консолидации отломков легко удалять винт. В набор входят винты длиной от 20 до 28 мм (соответственно размаху колебаний продольного размера ладьевидной кости запястья [4].
Для изучения надежности фиксации отломков ладьевидной кости винтом предложенной конструкции и сравнения его компрессирующих свойств с таковыми винтов цилиндрической и конической формы были проведены биомеханические исследования. Выполнено три серии экспериментов — по 5 опытов с каждым видом винта. Использовали стандартные модели (размером 8x8x23 мм), изготовленные из пенополиуретана, а также препараты ладьевидной кости запястья, взятые от трупов людей в возрасте от 20 до 25 лет, после их предварительной фиксации в течение 1~2 сут в нейтральном 10% растворе формалина.
Испытания проводили на машине растяжения— сжатия МРС-250, развивающей максимальное усилие до 500 кг с диапазоном скорости нагружения от 0,06 до 600 мм/мин. Определяли предельное статическое напряжение сжатия после моделирования перелома (на синтетических образцах, а затем на препаратах ладьевидной кости запястья) и скрепления фрагментов винтами различной формы. Полученные данные обрабатывали с использованием статистических критериев для выборок малого объема и статистических таблиц для нормального распределения [7, 17] с достоверностью данных для р
Результаты и обсуждение
Результаты экспериментов, проведенных на пенополиуретановых моделях, достоверно не отличались от данных исследований на препаратах ладьевидной кости запястья и были уточнены при помощи методов математического анализа с привлечением таблицы Пирсона [17] для малых вариационных рядов. Это позволяет утверждать, что использование пенополиуретановых моделей в качестве стандартных образцов для изучения биомеханики переломов ладьевидной кости и эффективности фиксации ее фрагментов винтами различной конструкции вполне обоснованно.
Было выявлено, что наибольшее сжимающее напряжение достигается при использовании модифицированного нами винта — в среднем 6,665 кг/мм 2 , что соответственно в 1,4 и 2,5 раза больше, чем при применении конического (4,813 кг/мм 2 ) и цилиндрического (2,691 кг/мм 2 ) винтов. Результаты экспериментальных исследований дают основание говорить, что для остеосинтеза фрагментов ладьевидной кости запястья предпочтительно использовать винт модифицированной нами конструкции, так как он обладает лучшими компрессирующими свойствами, а следовательно, может обеспечить более надежную фиксацию отломков и стабильность остеосинтеза на весь период консолидации.
Для сравнительного анализа результатов лечения больных с переломами рассматриваемой локализации было изучено 129 историй болезни (1974-2001 гг). Все наблюдавшиеся пациенты были распределены по трем группам: в 1-й группе (80 человек) компрессионный остеосинтез ладьевидной кости производился винтом цилиндрической формы, во 2-й группе (30) — конической формы, в 3-й группе (19) — модифицированным нами винтом. В каждой группе были выделены пациенты со свежими (до 12 нед после травмы) и несрос-шимися (более 12 нед) переломами [1, 2, 4].
Больным со свежими переломами после операции накладывалась тыльная гипсовая лонгета от верхней трети предплечья до основных фаланг пальцев кисти при ее тыльном сгибании с дополнительной фиксацией I пальца. Лонгета снималась сразу после удаления швов (в среднем на 10-е сутки). При несросшихся переломах ладьевидной кости гипсовая иммобилизация продолжалась в среднем до 6 нед, затем следовали щадящая реабилитация и постепенный переход к легкому труду.
Результаты лечения больных с переломами ладьевидной кости запястья методом компрессионного остеосинтеза винтом
Система пластин с угловой стабильностью (LCP) - новый АО стандарт накостного остеосинтеза

Система имплантатов с угловой стабильностью (LCP) является последней АО-разработкой в области накостного остеосинтеза пластинами, сочетающей в себе характеристики традиционных пластин и внутреннего фиксатора. Это достигается за счет комбинированного отверстия, одна половина которого (гладкая) предназначена для введения стандартных винтов, а другая половина, снабженная резьбой, — для введения блокирующихся винтов. Для фиксации через отверстия пластины LCP могут быть использованы любые виды традиционных винтов, а также блокирующиеся винты с резьбой (LHS). Поскольку механические характеристики пластины не изменились при добавлении комбинированных отверстий, имеется полный диапазон узких (3,5 мм) и широких (4,5/5,0 мм) АО пластин. Система LCP адаптирована к отдельным анатомическим зонам, например к проксимальному отделу плечевой кости, дистальному отделу лучевой кости; есть также специально разработанная система имплантатов для остеосинтеза при корригирующих остеотомиях большеберцовой кости Tomofix®. Начиная с четвертого квартала 2000 г. по декабрь 2002 г. авторами было имплантировано 310 LCP конструкций 274 пациентам. 303 (97,7%) пластины использованы для фиксации 285 переломов различной локализации у 267 пациентов, включая 17 (5,9%) переломов у детей,9 (3,2%) «околопротезных» переломов,5 (1,8%) случаев замедленной консолидации и 4 (1,4%) патологических перелома. 7 (2,3%о) пластин применены для фиксации фрагментов после остеотомии. Из общего числа пластин 111 (35,8%) фиксировали блокирующимися винтами,194 (62,6%) — обоими типами винтов и только 5 (1,6%)) пластин — традиционными винтами. 73 (23,5%) пластины имплантировали через минимально инвазивный доступ и 237 (76,5%) — из открытого доступа. Послеоперационные осложнения наблюдали у 14 (5,2 %) из 267 пациентов. Расшатывание имплантатов отмечено в 1,4 % случаев, глубокая инфекция — в 1,05%, остеомиелит, рефрактуры и послеоперационные гематомы — по 0,7%. Вторичное неправильное сращение и проблемы при удалении фиксатора имели место у одного (0,35%) пациента. Случаев замедленной консолидации или несращения не наблюдалось.
Разработка имплантатов
В 1988 г. Perren и соавт. [22] доказали, что часто определяемая рентгенологически потеря костной массы под пластиной in situ не связана с «шунтированием» нагрузки, а является результатом на рушения кровоснабжения кости и ее ремоделирования вследствие давления пластины на периостальный слой. Поэтому исследователи начали поиск решений, которые позволили бы уменьшить площадь контакта пластины с подлежащей костью, а также ее давление на поверхность кости. Это привело к созданию в 1990 г. динамической компрессирующей пластины LC-DCP из титана [23], нижняя поверхность которой имеет выемки, что уменьшает площадь контакта с костью, способствуя сохранению локального кровоснабжения.
Совершенно иная биомеханическая концепция лежит в основе внутреннего фиксатора, обеспечивающего относительную стабильность посредством простого «перемыкания» зоны перелома. У фиксатора с точечным контактом PC-Fix площадь контакта нижней поверхности пластины с костью и силы, передающиеся на кость, сведены к минимуму [24], а винты блокируются в отверстиях пластины. Блокирующиеся винты обеспечивают возможность монокортикальной фиксации, уменьшая тем самым объем повреждения эндостального кровоснабжения по сравнению с таковым при бикортикальной фиксации. Абсолютно новое поколение винтов было создано для системы PC-Fix II. Это винты, блокирующиеся в отверстиях пластины за счет резьбы на их конической головке (LHS), благодаря чему обеспечивается не только угловая, но и аксиальная стабильность.
Стабильность традиционного остеосинтеза пластинами основывается на трении между пластиной и костью, возникающем при затягивании винтов. При этом действующие силы переносятся от одного фрагмента кости к другому, что требует одинакового качества кости. В случае использования пластин LCP стабильность не зависит от качества кости, поскольку действующие силы на одном фрагменте переносятся через винты на пластину, а на другом фрагменте — от пластины на винты, не нагружая кость (рис. 1).
Рис. 1. При традиционном остеосинтезе пластинами (а) стабильность основывается на трении между пластиной и костью, достигаемом при компрессии, поэтому требуется однородное качество кости. При использовании внутреннего фиксатора с жестким контактом между винтом и пластиной (б) стабильность не зависит от качества кости, так как последняя не нагружается.
Так как стабильность конструкции не зависит от трения, не требуется и точного моделирования пластины, что позволяет избежать первичной потери репозиции при затягивании винтов. Стандартные винты не обеспечивают аксиальной стабильности, поэтому при нагрузке могут возникать маятниковые движения.
Это в свою очередь может привести к расшатыванию винтов в отверстиях пластины и впоследствии - к смещению костных фрагментов и «оседанию» перелома. Необходимость в монокортикальной фиксации винтами породила создание самосверлящих/самонарезающих винтов с меньшим шагом резьбы и наличием сверлящего и нарезающего края. В ходе экспериментальных исследований [31] была подтверждена клиническая адекватность концепции внутреннего фиксатора. Haas и соавт. [10] опубликовали данные клинического исследования, проведенного в нескольких центрах и включающего 387 случаев диафизарных переломов костей предплечья (из них открытые переломы — 21%, инфекция при закрытых переломах — 0,6%, при открытых — 1,2%). Замедленное сращение и несращение переломов отмечено в 3,9%, расшатывание имплантатов — в 1,8% случаев.
Концепция внутреннего фиксатора получила дальнейшее развитие с созданием системы для малоинвазивной стабилизации переломов LISS [7] - анатомически смоделированного фиксатора для дистального отдела бедренной кости (LISS-DF) и проксимального отдела большеберцовой кости (LISS-PT). Нововведением стало то, что винты в метафизарной области фиксируются в положении расхождения для лучшего захвата кости при остеопорозе. Конструкция этих имплантатов предполагает применение минимально инвазивной хирургической техники и дает возможность вводить винты через проколы в мягких тканях с использованием направляющего устройства, интегрированного в рукоятку для введения фиксатора. Были опубликованы данные об отличных результатах фиксации [1, 29] в указанных анатомических областях за счет повышенной стабильности [17].
Развитие хирургической техники
Одновременно с разработкой новых плас- тин/фиксаторов изменялась и хирургическая техника с той же целью — сохранить кровоснабжение. В отличие от открытой репозиции и внутренней фиксации, при использовании новой техники имеется возможность предотвратить нанесение дополнительных повреждений мягким тканям и кровеносным сосудам и тем самым снизить частоту осложнений, повысить процент сращений и уменьшить потребность в костной пластике [9]. В ранних публикациях об использовании волнообразных [4] и мостообразных пластин [11] при многофрагментарных диафизарных переломах только для «перемыкания» зоны перелома был продемонстрирован впечатляющий эффект данной «бесконтактной» техники фиксации. В результате были разработаны техники минимально инвазивного остеосинтеза пластинами (MIPO) и минимально инвазивного чрескожного остеосинтеза пластинами (MIPPO), которые получили название «биологичного» остеосинтеза [30]. Эти новые концепции предусматривают восстановление правильной длины кости, ее оси и устранение ротационного смещения путем «перемыкания» перелома без осуществления компрессии и без достижения абсолютной стабильности. Так как имплантат фиксируется вне зоны перелома, действующие силы переносятся на пластину и достигается относительная стабильность, то хирурги не стараются избежать формирования костной мозоли, а, наоборот, считают это благоприятным явлением. В ходе экспериментальных исследований было показано, что в случае сохранения кровеносных сосудов [6] при многооскольчатых переломах достигается наиболее надежное сращение [3, 12], отмечаются низкие показатели инфекционных осложнений, несращений и рефрактур [2, 13, 30, 15]. Закрытая репозиция является условием достижения «биологичной» фиксации без обнажения зоны перелома [14, 18, 21, 27]. Для этих целей временно используют наружные фиксаторы, применяют дистракторы или ручную тракцию, а также непосредственно пластину. Как только достигнуто устранение ротации, восстановление длины и оси кости, можно манипулировать малыми фрагментами чрескожно или оставить их in situ. Однако при суставных переломах следует прежде всего выполнить анатомическую репозицию и стабильную фиксацию с использованием межфрагментарной компрессии и уже затем производить «перемыкающую» фиксацию многофрагментарного метафизарного перелома. Разработанное в последнее время поколение внутренних фиксаторов полностью соответствует философии «биологичного» остеосинтеза [26].
Система имплантатов с угловой стабильностью LCP
Разработка системы пластин с угловой стабильностью была начата Wagner и Frigg [34], которые руководствовались желанием скомбинировать в одном имплантате две техники остеосинтеза пластинами, учитывая исключительную эффективность их одновременного применения при определенных типах переломов, например при околосуставных или сегментарных.
Основной отличительной особенностью пластины LCP является так называемое комбинированное отверстие: одна часть его аналогична отверстию динамической компрессирующей пластины, а другая часть представляет собой коническое резьбовое отверстие (рис. 2).
Рис. 2. Комбинированное отверстие — основная особенность пластины LCP. Гладкая часть отверстия предназначена для введения стандартных винтов, резьбовая часть — для введения блокирующихся винтов.
Через часть отверстия для динамической компрессии могут быть введены любые стандартные винты с той же возможностью их инклинации, что и в динамической компрессирующей пластине с ограниченным контактом LC-DCP (рис. 3).
Рис. 3. Благодаря наличию комбинированного отверстия можно использовать как все виды стандартных винтов, так и винты с резьбой.
Поперечное сечение пластины внутри комбинированного отверстия наименьшее в той его части, которая предназначена для динамической компрессии, — таким образом, пропорции 3,5 мм и 4,5 мм АО пластин и их механические характеристики сохраняются, несмотря на добавление резьбовой части отверстия [8].
Имеются два вида блокирующихся винтов: самонарезающие (кодируются зеленым цветом), требующие предварительного рассверливания кости, и одновременно самосверлящие и самонарезающие (кодируются синим цветом). Оба типа винтов снабжены двойной конической резьбой на головках для блокирования в отверстиях пластин. Самонарезающие винты предпочтительнее использовать в тех случаях, когда длина винта имеет критическое значение, например в метафизарной области или при бикортикальной фиксации. Самосверлящие блокирующиеся винты следует применять только при монокортикальной фиксации для предотвращения повреждения мягких тканей на противоположном кортикальном слое (когда это возможно). Направление комбинированных отверстий пластины (ориентация резьбовой части) асимметрично относительно центра пластины. Это необходимо учитывать при введении стягивающих винтов через отверстия пластины.
Хотя контакт пластины с периостальным слоем является точечным, для сохранения щели между костью и пластиной можно временно ввести в отверстия пластины «держатели пространства» с резьбой.
При разработке пластин LCP одним из условий было соответствие новых имплантатов хорошо известным формам и пропорциям АО пластин, поэтому система LCP охватывает все типы пластин 3,5 мм и 4,5/5,0 мм, а также реконструктивных и треть-трубчатых пластин.
Для определенных анатомических областей были разработаны пластины особой формы — например, предварительно смоделированная пластина 3,5 мм для проксимального отдела плеча (LPHP) и пластина PHILOS, обеспечивающие дивергенцию и конвергенцию метафизарных винтов для увеличения устойчивости к вырывающим нагрузкам. Недавно появились пластины 2,4 мм для дистального отдела лучевой кости и пластины для фиксации переломов пилона большеберцовой кости. К наиболее актуальным разработкам относятся имплантаты для фиксации околосуставных переломов совершенно особой формы (метафизарные пластины): на одной стороне пластина имеет более плоский профиль, что соответствует анатомии метафизарной области и позволяет вводить винты 3,5 мм вместо винтов 4,5/5,0 мм, которые используются для остеосинтеза в диафизарной области.
Для фиксации фрагментов при клиновидных плюс-остеотомиях в проксимальной части большеберцовой кости имеются пластины Tomofix®, которые можно фиксировать на медиальной поверхности проксимального отдела кости, не раздражая медиальную коллатеральную связку блокирующимися винтами.
Для фиксации стандартных винтов в пластине LCP могут быть использованы хорошо знакомые хирургам инструменты для систем имплантатов 3,5 мм и 4,5/5,0 мм, однако требуются новый универсальный направитель сверла в виде втулки, новые сверла и отвертки с ограничением скручивающего усилия.
Остеосинтез пластинами с угловой стабильностью LCP наиболее показан при внутри- и околосуставных переломах, особенно в условиях остеопороза, импрессии костной ткани и наличия костных осколков, когда требуется сохранить их в правильном положении после репозиции. Пластины эффективны при остеосинтезе диафизарных переломов у пожилых больных с выраженным остеопорозом.
Особенности хирургической техники
- Поскольку механические характеристики пластины LCP не изменились по сравнению с DCP, для изгибания пластин вполне достаточно стандартных инструментов. Однако для предотвращения деформации резьбовой части комбинированного отверстия рекомендуется вводить два резьбовых «держателя пространства» в отверстия, расположенные непосредственно рядом с местом изгибания пластины. При диафизарных переломах порозной кости может оказаться полезным моделирование прямых пластин последовательно на нескольких уровнях с созданием «волнообразной кривизны». Введенные блокирующиеся винты имеют разную инклинацию и фиксируются в кости с определенным интервалом, что обеспечивает более высокую устойчивость к вырывающим нагрузкам (рис. 4).
Рис. 4. Прямые LCP пластины можно изгибать последовательно на нескольких сегментах для создания волнообразной поверхности, что обеспечивает различную инклинацию винтов и большую устойчивость к вырывающим нагрузкам.
- Чрескожное введение пластины упрощается при использовании одной резьбовой втулки, соединенной с пластиной, которая служит рукояткой для введения пластины под мягкие ткани и обеспечивает легкое манипулирование имплантатом во всех направлениях (рис. 5).
Рис. 5. При чрескожном остеосинтезе (МIРРО) регулируемая втулка сверла LCP может служить в качестве рукоятки для введения и установки пластины.
- Как только имплантат установлен insitu, выполняется предварительная фиксация двумя спицами Киршнера, которые вводят через направители сверла, что помогает проверить репозицию и расположение имплантата по отношению к кости под контролем ЭОП. Как вариант, один конец пластины можно зафиксировать сверлом через направитель сверла.
- Для фиксации заранее анатомически смоделированных пластин, например пластин для проксимальной части плеча LPHP, очень рекомендуется использовать регулируемый блок направителя после того, как пластина расположена insitu (рис. 6). В противном случае ввинчивание резьбовых направителей сверла в отверстия пластины может существенно усложниться из-за различающихся предварительно заданных углов введения винтов.
Рис. 6. В метафизарной части заранее анатомически смоделированных пластин (в данном случае — LPHP) с различной инклинацией винтов рекомендуется использовать направляющий блок для правильного расположения резьбовых направителей сверла.
- При использовании винтов с резьбой на головке основное значение имеет их оптимальное расположение в отверстии пластины и применение специальной отвертки для предотвращения осевого скручивания во избежание повреждения блокируемых поверхностей и гексагонального (шестигранного) шлица на головке винта.
- В случае использования блокирующихся винтов хирург не должен полагаться на свои ощущения при затягивании винтов. Необходим рентгеноскопический контроль за правильным расположением пластины на поверхности кости, чтобы исключить введение винтов мимо кости (рис. 7).
Рис. 7. Точное расположение пластины является обязательным для предотвращения некорректного введения винтов (стрелка), поскольку при затягивании винтов всегда сложно определить необходимые для этого усилия.
- Иногда при блокируемой фиксации полезно подтянуть сегмент кости к пластине. Это можно сделать с помощью втулки-держателя для винтов, соединенной с отверткой. Головка блокирующегося винта вывинчивается из отверстия пластины и удерживается втулкой-держателем. При повторном введении винта срабатывает механизм стягивания, вследствие чего фрагмент кости притягивается к пластине
Этот маневр следует использовать только при имплантации длинных пластин, в других случаях фиксатор будет подвергаться чрезмерным нагрузкам. Таким же образом можно сформировать щель между костью и пластиной, используя блокирующиеся винты. Головка винта частично вывинчивается из отверстия пластины, и аксиальная нагрузка, передаваемая от отвертки на винт, способствует отдалению фрагмента кости. После достижения репозиции винт блокируется в пластине.
- В качестве альтернативы смещенные фрагменты можно фиксировать к пластине стягивающим винтом, введенным через пластину. В конце остеосинтеза стягивающий винт можно заменить блокирующимся.
- Иногда желательна рефиксация оторванных су- хожилий/мышц, как, например, при переломах проксимального отдела плеча. В пластине для проксимального отдела плеча (LPHP) отверстия по краям имплантата служат для проведения серкляжа. С другими видами пластин можно использовать специальный держатель для серкляжа, который ввинчивается в резьбовую часть комбинированного отверстия.
- Для удаления винтов, застрявших в пластине из-за разрушения гексагонального шлица, разработаны специальные инструменты.
Клинические данные
Применение системы LCP начато нами в четвертом квартале 2000 г., а с 2001 г. данная система стала стандартом для остеосинтеза пластинами. Всего по декабрь 2002 г. имплантировано 310 пластин LCP 274 пациентам: 303 пластины (97,7%) — для стабилизации переломов и 7 (2,3%) — при корригирующих остеотомиях. Среди 274 больных было 168 (61,3%) женщин и 106 (38,7%) мужчин, средний возраст пациентов составлял 59,8 года (от 8 до 94 лет; стандартное отклонение 22,1 года). 24 (7,7%) из 310 имплантатов были удалены после консолидации костных фрагментов. Локализация переломов представлена в табл. 1.
Табл. 1. Локализация переломов (корригирующих остеотомий), фиксированных пластинами LСР
Лечение переломов лучевой кости
Перелом «луча в типичном месте» обычно возникает при прямом падении на вытянутую руку. Помимо резкой боли в руке, может появиться штыкообразная деформация, изменение положения кисти. В процесс перелома бывают вовлечены нервы и сосуды запястья, которые могут быть зажаты отломками, что проявляется онемением в пальцах, похолоданием кисти.
Для уточнения характера перелома и выбора дальнейшей тактики лечения используется рентгенография, в ряде случаев - компьютерная томография. Иногда требуется УЗИ кистевого (лучезапястного) сустава.
Поскольку лучевая кость примыкает к кисти, очень важно восстановить анатомию и объем движений в суставе, чтобы в дальнейшем избежать проблем с ним. Раньше такие переломы лечили только консервативно, в гипсовой повязке, но часто отломки смещались, кость срасталась неправильно, что в дальнейшем сказывалось на функции конечности - рука не сгибалась и/или не разгибалась до конца - формировалась тугоподвижность сустава (контрактура), оставался болевой синдром. К тому же длительное пребывание в гипсе отрицательно сказывалось на кожных покровах.
Длительность больничного листа при переломе дистального метаэпифиза лучевой кости зависит от рода деятельности пациента. К примеру, для офисных работников средний срок нетрудоспособности - 1,5 месяца. Для профессий, связанных с физической нагрузкой, срок нетрудоспособности может быть больше.
Консервативное лечение перелома лучевой кости (гипсовая или пластиковая повязка)
При переломах без смещения можно применять консервативное лечение - в гипсовой повязке или использовать пластиковый гипс, который более комфортен и не боится воды. Средний срок пребывания в гипсе - около 6 недель. Однако, данный метод лечения имеет свои недостатки - после консервативного лечения сустав требует разработки движений, реабилитации. При лечении перелома даже с небольшим смещением отломков, в гипсе может произойти вторичное смещение отломков из-за особенностей анатомии лучевой кости.
Оперативное лечение перелома лучевой кости (остеосинтез)
Практически все переломы лучевой кости со смещением требуют оперативного лечения - сопоставления и фиксирования отломков кости - остеосинтеза. Именно этот метод позволяет восстановить функцию кисти наиболее полноценно и добиться хороших функциональных результатов.
Лучевая кость первично срастается примерно за 6-8 недель, однако полная перестройка кости продолжается до 2 лет после перелома. Спустя этот срок пациент может начинать полноценно пользоваться рукой. Но разрабатывать руку с помощью определенных, рекомендованных врачом, упражнений, благодаря использованию фиксаторов можно уже в первые сутки после вмешательства. Легкие спортивные физические нагрузки можно начинать примерно спустя 3 месяца после операции.
В зависимости от типа перелома (оскольчатый, многооскольчатый, со значительным или незначительным смещением) можно выделить несколько возможных вариантов фиксации -пластиной, фиксированной винтами; аппаратом внешней фиксации; винтами или спицами.
В ряде случаев при выраженном отеке вначале на кисть накладывается аппарат внешней фиксации, а после спадения отека он заменяется на пластину (или другой фиксатор, в зависимости от типа перелома).
Остеосинтез лучевой кости пластиной
При значительном смещении отломков используется остеосинтез лучевой кости металлической пластиной, специально разработанной для данной области. После сопоставления отломков, пластина фиксируется винтами к поврежденной кости. После установки пластины, на кожу накладываются швы, также применяется гипсовая лонгета. После операции назначается лекарственная терапия: обезболивающие препараты, препараты кальция для стимуляции сращения кости, при необходимости - препараты местного действия для уменьшения отека. Средний срок пребывания в стационаре - 7 дней. Швы снимаются в спустя 2 недели, на контрольном приеме у травматолога, тогда же пациент отказывается и от гипсовой повязки. Рука находится в возвышенном положении на косыночной повязке. Необходимости в удалении пластины, как правило, нет.
Аппарат внешней фиксации
В некоторых случаях - в пожилом возрасте, при выраженном отеке кисти и лучезапястного сустава, делать доступ для установки пластины бывает нежелательно в силу различных факторов (отек, состояние кожи). В таких случаях устанавливают аппарат внешней фиксации - он фиксирует отломки с помощью спиц, которые проходят через кожу в кость. Аппарат выступает над кожей небольшим блоком (около 12 см длиной и 3 см высотой). Преимущество этого вида остеосинтеза в том, что нет необходимости делать большие разрезы кожи, однако за аппаратом нужно следить весь срок его ношения - делать перевязки, чтобы спицы не воспалились.
После операции рука 2 недели находится в гипсовой лонгете, затем пациент начинает разрабатывать лучезапястный сустав в аппарате, который этому не препятствует.
Аппарат внешней фиксации удаляется примерно через 6 недель, после проведения рентген-контроля, в условиях стационара. Перевязки необходимо проводить через день, в амбулаторном режиме. Рука носится в возвышенном положении на косыночной повязке.
Фиксация спицами или винтами

При незначительном смещении отломков лучевая кость фиксируется спицами или винтами через небольшие проколы кожи. По стандартному протоколу, на 2 недели накладывается гипсовая лонгета, затем пациент начинает разрабатывать руку. Спустя 6 недель спицы извлекаются.
В ряде случаев возможно применение саморассасывающихся имплантатов (винтов, спиц), удалять которые не нужно.
Застарелые, неправильно сросшиеся переломы лучевой кости
При застарелых неправильно сросшихся переломах, пациентов могут беспокоить болевые ощущения, присутствовать ограничения движения - тугоподвижность сустава, и другие неприятные последствия (онемение и отечность пальцев кисти). В подобных случаях рекомендовано оперативное лечение, чаще всего - с фиксацией пластиной. Кость разобщается, выставляется в правильное положение и фиксируется. Если есть зона дефекта кости - например, если кость срослась с укорочением, то он заполняется либо собственной костью человека: производится пересадка кости, которая берется, обычно, из гребня подвздошной (тазовой) кости, либо искусственной костью, которая примерно за 2 года перестраивается в собственную костную ткань.
Дальнейшее послеоперационное лечение при застарелых и неправильно сросшихся переломах лучевой кости аналогичны описанным ранее. Однако,может потребоваться более длительная реабилитация.
Анестезия при оперативном лечении перелома дистального метаэпифиза лучевой кости
Для проведения всех вышеописанных операций, как правило, используется проводниковая анестезия - раствор анестетика вводится в зону плечевого сплетения, где проходят нервы, которые отвечают за чувствительность и движения верхней конечности, и рука полностью немеет. Подобная анестезия достаточно легко переносится, длится 4-6 часов. Фактически это разновидность местной анестезии. Кроме того, делается премедикация - успокаивающий укол перед операцией, и во время операции человек спит своим сном. Возможно применение общей анестезии. Окончательный выбор метода анестезии определяется врачом-анестезиологом накануне операции при совместной беседе с пациентом.
Читайте также:


