Гистиоцитарная реакция при пневмониях. Типы пневмонических процессов
Добавил пользователь Владимир З. Обновлено: 21.11.2025
И. Г. Березняков
Диагностика и антибактериальная терапия атипичных пневмоний
Харьковский институт усовершенствования врачей
В Международной классификации болезней, травм и причин смерти (МКБ) X пересмотра (1992) пневмония определяется как «группа различных по этиологии, патогенезу и морфологической характеристике острых очаговых инфекционно-воспалительных заболеваний легких с преимущественным вовлечением в воспалительный процесс респираторных отделов и обязательным наличием внутриальвеолярной воспалительной экссудации». Инфекционный характер заболевания отличает пневмонии от пневмонитов (альвеолитов), которые могут быть составной частью клинической картины других болезней (например, системной красной волчанки), развиваться под воздействием ионизирующего излучения (радиационный пневмонит), лекарственных препаратов (например, при длительном употреблении амиодарона) и т. д. [1].
Диагноз пневмонии является клинико-рентгенологическим. В типичных случаях заболевание характеризуется совокупностью субъективных, объективных, лабораторных и инструментальных признаков, имеющих различное доказательное значение. Самыми характерными жалобами являются кашель, отхождение мокроты, боли в грудной клетке, одышка и лихорадка. Ни одна из них, взятая по отдельности или в каком-либо сочетании, не позволяет диагностировать пневмонию. Из объективных симптомов на это заболевание определенно указывают только усиление голосового дрожания на стороне поражения и крепитация. Ценность других признаков (укорочение перкуторного тона, бронхиальное дыхание, влажные хрипы и т. д.) ограничивается тем, что они либо не являются патогномоничными для пневмонии, либо встречаются достаточно редко. Типичные лабораторные изменения (лейкоцитоз со сдвигом лейкоцитарной формулы влево, ускоренная СОЭ) указывают на наличие воспаления в организме больного, но не дают возможности диагностировать его локализацию. Рентгенологическое исследование позволяет верифицировать диагноз.
Появлению термина «атипичные пневмонии» способствовали три обстоятельства. Первым из них было недостаточно четко очерченное клиническое наблюдение, что у ряда больных заболевание протекало более легко по сравнению с типичными долевыми пневмококковыми поражениями легких. Второе — невозможность выделить возбудителя заболевания с помощью традиционного бактериологического исследования мокроты. И третье — отсутствие какого-либо эффекта от назначения пенициллина и сульфаниламидов. В последующем было установлено, что полусинтетические пенициллины, цефалоспорины и аминогликозиды также не оказывают лечебный эффект в подобных случаях.
С течением времени этиология атипичных пневмоний была расшифрована. Оказалось, что возбудителями заболевания являются вирусы и внутриклеточные микроорганизмы: риккетсии, хламидии, микоплазма и легионелла. Поскольку изолированные вирусные воспаления легких встречаются крайне редко, а врачи чаще имеют дело с вирусно-бактериальными ассоциациями, в последние годы в группу атипичных пневмоний относят заболевания, вызванные только внутриклеточными микроорганизмами.
Таким образом, в настоящее время под «атипичными пневмониями» понимают заболевания, вызванные внутриклеточными микроорганизмами, причем возбудители не выявляются при обычном бактериологическом исследовании мокроты и нечувствительны к наиболее распространенным средствам эмпирической антибактериальной терапии: пенициллинам, цефалоспоринам и аминогликозидам [2]. Подобное определение одновременно разочаровывает и порождает вопросы. Разочаровывает потому, что эффективность пробной антибактериальной терапии оценивают спустя 48-72 часа от начала лечения и это время может быть потрачено впустую, если антибиотик был выбран неправильно. Естественными же вопросами будут:
1) каковы возможности ранней диагностики атипичных пневмоний?
2) какие медикаменты следует назначать при подозрении на это заболевание?
В таблице 1 перечислены трудности, возникающие в этиологической диагностике пневмоний. Следует добавить, что культуральная диагностика атипичных пневмоний доступна только специализированным лабораториям, а серотипирование в подавляющем большинстве случаев прикладного значения не имеет. Так, антитела к легионеллам появляются в крови через 5-10 дней после начала заболевания и достигают максимальных титров через 2-4 недели [3].
Основную массу больных воспалениями легких составляют пациенты с так называемыми «внебольничными» пневмониями, т. е. с заболеваниями, возникшими у людей, находящихся вне пределов стационара. Данные эпидемиологических исследований свидетельствуют, что возбудители внебольничных пневмоний остаются не идентифицированными (нераспознанными) приблизительно у 30-50% больных (таблица 2). В тех же случаях, когда удается выяснить этиологию заболевания, доля атипичных пневмоний достигает 25%.
Хламидии являются этиологическим фактором пневмонии у 10-12% больных (в отдельных исследованиях — до 21%). Характерны эпидемические подъемы заболеваемости с циклом 4-6 лет и длительностью эпидемии в закрытых коллективах 4-7 месяцев. Микоплазма ответственна за развитие пневмонии в 2-20% случаев, а в закрытых коллективах в летнее время (например, у военнослужащих) — до 50%. Наиболее часто поражаются молодые люди, особенно в возрасте до 20 лет. Напротив, в возрастной группе старше 60 лет этиологическая роль микоплазмы практически нулевая. Хламидии и микоплазма чаще обнаруживаются при легком течении пневмонии и у амбулаторных больных встречаются примерно в 25% случаев. Легионелла вызывает пневмонии менее чем у 5-7% пациентов (в отдельных исследованиях — до 15%). Для Украины легионелла пока является скорее эпизодическим возбудителем, в то время как в Испании этот микроб по своему удельному весу в этиологии пневмоний вышел на второе место после пневмококка.
В целом, возможности своевременной этиологической диагностики атипичных пневмоний являются весьма скудными. С другой стороны, эти заболевания никак нельзя причислить к казуистически редким. Определенную помощь в предположительной расшифровке возбудителей может оказать тщательный учет совокупности эпидемиологических, клинических, лабораторных и инструментальных признаков (таблицы 3-6). В то же время, возможности такого подхода не следует переоценивать. К этиологическому диагнозу при пневмониях приравниваются, пожалуй, только два симптома: выделение «ржавой» мокроты свидетельствует о пневмококковой природе заболевания, а сине-зеленая мокрота указывает на инфицирование синегнойной палочкой.
Подводя итог обсуждению клинических особенностей атипичных пневмоний, можно заключить, что они не имеют каких-либо патогномоничных симптомов, которые позволили бы поставить такой диагноз уже при первом обращении больного к врачу. Банальная бактериальная пневмония может протекать как атипичная и, наоборот, атипичная может клинически ничем не отличаться от банальной бактериальной.
Терапия пневмоний включает в себя назначение этиотропных и симптоматических средств. Этиотропное лечение сводится к назначению антибактериального препарата, к которому чувствителен возбудитель заболевания. Симптоматические средства применяются для устранения или облегчения таких симптомов, как боли в грудной клетке, кашель и т. д.
Большинство больных внебольничными (в том числе атипичными) могут, да, наверное, и должны лечиться дома. В таблице 7 сформулированы основные требования к антибактериальным средствам для амбулаторной терапии воспалений легких.
Примечания:
темный цвет — микробы чувствительны к данному препарату
светлый цвет — низкая чувствительность или резистентность
Учитывая крайне низкую вероятность своевременной этиологической диагностики атипичных пневмоний в рутинной амбулаторной практике, антибиотик, выбранный для лечения, в идеале должен быть эффективным не только в отношении внутриклеточных микроорганизмов, но и других возможных возбудителей заболевания. Как следует из рисунка 1, этому требованию лучше всего удовлетворяют макролиды.
Спирамицин и рокситромицин также относятся к медикаментам для людей со средним и высоким уровнем доходов. Они обладают во многом сходными характеристиками: близкий спектр действия, 2-кратный прием в течение дня, низкая частота побочных эффектов, высокое качество антибиотиков, сопоставимая клиническая эффективность при инфекциях различных локализаций. Однако спирамицин, в отличие от рокситромицина, накапливается преимущественно в легочной ткани. И поскольку речь идет об атипичных пневмониях, то логично отдать предпочтение тому препарату, который в большей мере накапливается в пораженной ткани. Назначается спирамицин внутрь по 1 таблетке (3 млн ЕД.) 2 раза в день, рокситромицин - по 1 таблетке (150 мг) 2 раза в день.
Альтернативой макролидам являются антибиотики группы тетрациклинов и фторхинолоны. Лучшим из тетрациклинов на сегодняшний день является доксициклин (вибрамицин). Препарат назначается внутрь по 1 таблетке (100 мг) 2 раза в день в первый день лечения и по 1 таблетке 1 раз в день — в последующие дни. Недостатками фторхинолонов (ципрофлоксацин, офлоксацин) являются низкая активность в отношении микоплазм и пневмококков (самого частого возбудителя внебольничных пневмоний).
Длительность лечения определяется в зависимости от клинических обстоятельств. Следует предостеречь от слишком быстрого прекращения антибактериальной терапии в связи с наклонностью инфекций «атипичными» микроорганизмами к рецидивированию. С другой стороны, продолжать лечение антибиотиками до обязательного восстановления нормальной рентгенологической картины также нецелесообразно. Дело в том, что остаточные изменения на рентгенограммах могут обнаруживаться спустя 1,5-2 месяца после клинического излечения микоплазменной пневмонии и даже через 4-6 месяцев — после легионеллезной. В целом, длительность антибиотикотерапии при атипичных пневмониях несколько больше, чем при банальных бактериальных, но обычно не превышает 2-3-х недель. Излечение от пневмонии диагностируется по клиническим данным. Больные, у которых после завершения антибактериальной терапии сохраняются остаточные изменения на рентгенограммах, нуждаются в реабилитации (санатории-профилактории, курорты, общеукрепляющие процедуры и т. д.).
Пневмония
Пневмония - острое поражение легких инфекционно-воспалительного характера, в которое вовлекаются все структурные элементы легочной ткани, преимущественно - альвеолы и интерстициальная ткань легких. Клиника пневмонии характеризуется лихорадкой, слабостью, потливостью, болью в грудной клетке, одышкой, кашлем с мокротой (слизистой, гнойной, «ржавой»). Пневмония диагностируется на основании аускультативной картины, данных рентгенографии легких. В остром периоде лечение включает антибиотикотерапию, дезинтоксикационную терапию, иммуностимуляцию; прием муколитиков, отхаркивающих, антигистаминных средств; после прекращения лихорадки - физиотерапию, ЛФК.
МКБ-10


Общие сведения
Пневмония - воспаление нижних дыхательных путей различной этиологии, протекающее с внутриальвеолярной экссудацией и сопровождающееся характерными клинико-рентгенологическими признаками. Острая пневмония встречается у 10-14 человек из 1000, в возрастной группе старше 50 лет - у 17 человек из 1000. Актуальность проблемы заболеваемости острой пневмонией сохраняется, несмотря на внедрение новых антимикробных препаратов, также как сохраняется высокий процент осложнений и летальность (до 9%) от пневмоний.
Среди причин смертности населения пневмония стоит на 4-ом месте после заболеваний сердца и сосудов, злокачественных новообразований, травматизма и отравлений. Пневмония может развиваться у ослабленных больных, присоединяясь к течению сердечной недостаточности, онкологических заболеваний, нарушениям мозгового кровообращения, и осложняет исход последних. У пациентов со СПИДом пневмония является основной непосредственной причиной гибели.

Причины и механизм развития пневмонии
Среди этиофакторов, вызывающих пневмонию, на первом месте стоит бактериальная инфекция. Чаще всего возбудителями пневмонии являются:
- грамположительные микроорганизмы: пневмококки (от 40 до 60%), стафилококки (от 2 до 5%), стрептококки (2,5%);
- грамотрицательные микроорганизмы: палочка Фридлендера (от 3 до 8%), гемофильная палочка (7%), энтеробактерии (6%), протей, кишечная палочка, легионелла и др. (от 1,5 до 4,5%);
- микоплазмы (6%);
- вирусные инфекции (вирусы герпеса, гриппа и парагриппа, аденовирусы и т. д.);
- грибковые инфекции.
Также пневмония может развиваться вследствие воздействия неинфекционных факторов: травм грудной клетки, ионизирующего излучения, токсических веществ, аллергических агентов.
Факторы риска
К группе риска по развитию пневмонии относятся пациенты с застойной сердечной недостаточностью, хроническими бронхитами, хронической носоглоточной инфекцией, врожденными пороками развития легких, с тяжелыми иммунодефицитными состояниями, ослабленные и истощенные больные, пациенты, длительно находящиеся на постельном режиме, а также лица пожилого и старческого возраста.
Особо подвержены развитию пневмонии курящие и злоупотребляющие алкоголем люди. Никотин и пары алкоголя повреждают слизистую оболочку бронхов и угнетают защитные факторы бронхопульмональной системы, создавая благоприятную среду для внедрения и размножения инфекции.
Патогенез
Инфекционные возбудители пневмонии проникают в легкие бронхогенным, гематогенным или лимфогенным путями. При имеющемся снижении защитного бронхопульмонального барьера в альвеолах развивается инфекционное воспаление, которое через проницаемые межальвеолярные перегородки распространяется на другие отделы легочной ткани. В альвеолах происходит образование экссудата, препятствующего газообмену кислорода между легочной тканью и кровеносными сосудами. Развиваются кислородная и дыхательная недостаточность, а при осложненном течении пневмонии - сердечная недостаточность.
В развитии пневмонии выделяется 4 стадии:
- стадия прилива (от 12 часов до 3 суток) - характеризуется резким кровенаполнением сосудов легких и фибринозной экссудацией в альвеолах;
- стадия красного опеченения (от 1 до 3 суток) - происходит уплотнение ткани легкого, по структуре напоминающей печень. В альвеолярном экссудате обнаруживаются эритроциты в большом количестве;
- стадия серого опеченения - (от 2 до 6 суток) - характеризуется распадом эритроцитов и массивным выходом лейкоцитов в альвеолы;
- стадия разрешения - восстанавливается нормальная структура ткани легкого.
Классификация
1. На основании эпидемиологических данных различают пневмонии:
- внебольничные (внегоспитальные)
- внутрибольничные (госпитальные)
- вызванные иммунодефицитными состояниями
- атипичного течения.
2. По этиологическому фактору, с уточнением возбудителя, пневмонии бывают:
- бактериальными
- вирусными
- микоплазменными
- грибковыми
- смешанными.
3. По механизму развития выделяют пневмонии:
- первичные, развивающиеся как самостоятельная патология
- вторичные, развивающиеся как осложнение сопутствующих заболеваний (например, застойная пневмония)
- аспирационные, развивающиеся при попадании инородных тел в бронхи (пищевых частиц, рвотных масс и др.)
- посттравматические
- послеоперационные
- инфаркт-пневмонии, развивающиеся вследствие тромбоэмболии мелких сосудистых ветвей легочной артерии.
4. По степени заинтересованности легочной ткани встречаются пневмонии:
- односторонние (с поражением правого или левого легкого)
- двусторонние
- тотальные, долевые, сегментарные, субдольковые, прикорневые (центральные).
5. По характеру течения пневмонии могут быть:
- острые
- острые затяжные
- хронические
6. С учетом развития функциональных нарушений пневмонии протекают:
- с наличием функциональных нарушений (с указанием их характеристик и выраженности)
- с отсутствием функциональных нарушений.
7. С учетом развития осложнений пневмонии бывают:
- неосложненного течения
- осложненного течения (плевритом, абсцессом, бактериальным токсическим шоком, миокардитом, эндокардитом и т. д.).
8. На основании клинико-морфологических признаков различают пневмонии:
- паренхиматозные (крупозные или долевые)
- очаговые (бронхопневмонии, дольковые пневмонии)
- интерстициальные (чаще при микоплазменном поражении).
9. В зависимости от тяжести течения пневмонии делят на:
- легкой степени - характеризуется слабо выраженной интоксикацией (ясное сознание, температура тела до 38°С, АД в норме, тахикардия не более 90 уд. в мин.), одышка в покое отсутствует, рентгенологически определяется небольшой очаг воспаления.
- средней степени - признаки умеренно выраженной интоксикации (ясное сознание, потливость, выраженная слабость, температура тела до 39°С, АД умеренно снижено, тахикардия около 100 уд. в мин.), частота дыхания - до 30 в мин. в покое, рентгенологически определяется выраженная инфильтрация.
- тяжелой степени - характеризуется выраженной интоксикацией (лихорадка 39-40°С, помутнение сознания, адинамия, бред, тахикардия свыше 100 уд. в мин., коллапс), одышкой до 40 в мин. в покое, цианозом, развитием осложнений. Рентгенологически определяется обширная инфильтрация.
Симптомы пневмонии
Крупозная пневмония
Характерно острое начало с лихорадки свыше 39°С, озноба, болей в грудной клетке, одышки, слабости. Беспокоит кашель: сначала сухой, непродуктивный, далее, на 3-4 день - с «ржавой» мокротой. Температура тела постоянно высокая. При крупозной пневмонии лихорадка, кашель и отхождение мокроты держатся до 10 дней.
При тяжелой степени течения крупозной пневмонии определяется гиперемия кожных покровов и цианоз носогубного треугольника. На губах, щеках, подбородке, крыльях носа видны герпетические высыпания. Состояние пациента тяжелое. Дыхание поверхностное, учащенное, с раздуванием крыльев носа. Аускультативно выслушиваются крепитация и влажные мелкопузырчатые хрипы. Пульс, частый, нередко аритмичный, АД снижено, сердечные тона глухие.
Очаговая пневмония
Осложнения пневмонии
Особенности течения пневмонии обусловлены степенью тяжести, свойствами возбудителя и наличием осложнений. Осложненным считается течение пневмонии, сопровождающееся развитием в бронхолегочной системе и других органах воспалительных и реактивных процессов, вызванных непосредственно воспалением легких. От наличия осложнений во многом зависит течение и исход пневмонии. Осложнения пневмонии могут быть легочными и внелегочными.
Легочными осложнениями при пневмонии могут быть:
- обструктивный синдром
- абсцесс, гангрена легкого
- парапневмонический экссудативный плеврит.
Среди внелегочных осложнений пневмонии часто развиваются:
- острая сердечно-легочная недостаточность
- эндокардит, миокардит
- менингит и менингоэнцефалит
- инфекционно-токсический шок
- анемия
- психозы и т. д.
Диагностика
При диагностике пневмонии решаются сразу несколько задач: дифференциальная диагностика воспаления с другими легочными процессами, выяснение этиологии и степени тяжести (осложнений) пневмонии. Пневмонию у пациента следует заподозрить на основании симптоматических признаков: быстрого развития лихорадки и интоксикации, кашля.
- Физикальное исследование. Определяется уплотнение легочной ткани (на основании перкуторного притупления легочного звука и усиления бронхофонии), характерной аускультативной картины - очаговых, влажных, мелкопузырчатых, звучных хрипов или крепитации.
- Лабораторная диагностика. Изменения в общем анализе крови при пневмонии характеризуются лейкоцитозом от 15 до 30 • 109/л, палочкоядерным сдвигом лейкоцитарной формулы от 6 до 30%, повышением СОЭ до 30-50 мм/ч. В общем анализе мочи может определяться протеинурия, реже микрогематурия. Баканализ мокроты при пневмонии позволяет выявить возбудителя и определить его чувствительность к антибиотикам.
- Рентгенография легких.Рентгенограммы при пневмонии обычно делают в начале заболевания и спустя 3-4 недели для контроля разрешения воспаления и исключения другой патологии (чаще бронхогенного рака легких). При любых видах пневмоний чаще процесс захватывает нижние доли легкого. На рентгенограммах при пневмонии могут выявляться следующие изменения: паренхиматозные (очаговые или диффузные затемнения различной локализации и протяженности); интерстициальные (легочный рисунок усилен за счет периваскулярной и перибронхиальной инфильтрации).
- УЗИ. По данным эхокардиографии и УЗИ плевральной полости иногда определяется плевральный выпот.

Лечение пневмонии
Пациентов с пневмонией, как правило, госпитализируют в общетерапевтическое отделение или отделение пульмонологии. На период лихорадки и интоксикации назначается постельный режим, обильное теплое питье, высококалорийное, богатое витаминами питание. При выряженных явлениях дыхательной недостаточности больным пневмонией назначают ингаляции кислорода. Основные направления терапии:
- Антибиотикотерапия. Основным в лечении пневмонии является антибактериальная терапия. Назначать антибиотики следует как можно ранее, не дожидаясь определения возбудителя. Подбор антибиотика осуществляет врач, никакое самолечение недопустимо! При внегоспитальной пневмонии чаще назначают пенициллины (амоксициллин с клавулановой к-той, ампициллин и т. д.), макролиды, цефалоспорины. Выбор способа введения антибиотика определяется тяжестью течения пневмонии. Для лечения внутрибольничных пневмоний используют пенициллины, цефалоспорины, фторхинолоны (ципрофлоксацин, офлоксацин и т. д.), карбапенемы, аминогликозиды. При неизвестном возбудителе назначают комбинированную антибиотикотерапию из 2-3 препаратов. Курс лечения может продолжаться от 7-10 до 14 дней, возможна смена антибиотика.
- Симптоматическая терапия. При пневмониях показано проведение дезинтоксикационной терапии, иммуностимуляции, назначения жаропонижающих, отхаркивающих и муколитических, антигистаминных средств.
- Физиолечение. После прекращения лихорадки и интоксикации режим расширяют и назначают проведение физиотерапии (электрофорез с кальцием хлоридом, калием йодидом, гиалуронидазой, УВЧ, массаж, ингаляции) и ЛФК для стимуляции разрешения воспалительного очага.
Лечение пневмонии проводится до полного выздоровления пациента, которое определяется нормализацией состояния и самочувствия, физикальных, рентгенологических и лабораторных показателей. При частых повторных пневмониях одной и той же локализации решается вопрос о хирургическом вмешательстве.
Прогноз
При пневмонии прогноз определяется рядом факторов: вирулентностью возбудителя, возрастом пациента, фоновыми заболеваниями, иммунной реактивностью, адекватностью лечения. Неблагоприятны в отношении прогноза осложненные варианты течения пневмоний, иимунодефицитные состояния, устойчивость возбудителей к антибиотикотерапии. Особенно опасны пневмонии у детей до 1 года, вызванные стафилококком, синегнойной палочкой, клебсиеллой: летальность при них составляет от 10 до 30%.
При своевременных и адекватных лечебных мероприятиях пневмония заканчивается выздоровлением. По вариантам изменений в легочной ткани могут наблюдаться следующие исходы пневмонии:
- полное восстановление структуры легочной ткани - 70 %;
- формирование участка локального пневмосклероза - 20 %;
- формирование участка локальной карнификации - 7%;
- уменьшение сегмента или доли в размерах - 2%;
- сморщивание сегмента или доли - 1%.
Профилактика
Меры предупреждения развития пневмонии заключаются в закаливании организма, поддержании иммунитета, исключении фактора переохлаждения, санации хронических инфекционных очагов носоглотки, борьбе с запыленностью, прекращении курения и злоупотребления алкоголем. У ослабленных лежачих пациентов с целью профилактики пневмонии целесообразно проведение дыхательной и лечебной гимнастики, массажа, назначение антиагрегантов (пентоксифиллина, гепарина).
1. Внебольничная пневмония у взрослых: практические рекомендации по диагностике, лечению и профилактике (Пособие для врачей)/ Чучалин А.Г., Синопальников А.И., Козлов Р.С., Тюрин И.Е.,С.А. Рачина// Клиническая микробиология и антимикробная химиотерапия. - 2010 - Т. 12, №3.
3. Внутренние болезни в 2-х томах: учебник/ Под ред. Мухина Н.А., Моисеева В.С., Мартынова А.И. - 2010.
4. Пневмонии: сложные и нерешенные вопросы диагностики и лечения/ Новиков Ю.К.// Русский медицинский журнал. - 2004 - №21.
Острая пневмония
Острая пневмония - остропротекающий воспалительный процесс в паренхиме и интерстиции легких, в этиологии которого определяющая роль принадлежит инфекционному фактору. Острая пневмония сопровождается ознобом, стойкой лихорадкой, кашлем со слизисто-гнойной мокротой, недомоганием, головной болью, одышкой и тахикардией. Воспаление легких диагностируют по клинико-рентгенологической картине, аускультативным данным, результатам лабораторных исследований. Терапия острой пневмонии направлена на все звенья этиопатогенеза и включает в себя назначение антибиотиков, муколитиков, бронходилататоров, отхаркивающих и антигистаминных средств, инфузионной терапии, оксигенотерапии, физиолечения.


Острая пневмония - инфекционно-воспалительное поражение респираторных отделов легких, протекающее с интоксикационным и бронхолегочным синдромом, характерными рентгенологическими изменениями. Острая пневмония относится к наиболее распространенным заболеваниям дыхательной системы, нередко сопровождается осложнениями, обусловливает до 9% летальных исходов, что требует усиленного внимания специалистов в области терапии и пульмонологии. По характеру течения острую пневмонию разделяют на остротекущую (до 3 недель) и затяжную (до 2 месяцев), развивающуюся обычно на фоне снижения иммуно-биологической реактивности макроорганизма. Случаи острой пневмонии заметно учащаются в зимне-весенний период, особенно при резких колебаниях погоды, во время эпидемических вспышек респираторных инфекций.

Причины острой пневмонии
Доминирующая роль в этиологии острой пневмонии принадлежит инфекции, в первую очередь, бактериальной. Обычно возбудителями заболевания становятся пневмококки (30-40%), микоплазма (6-20 %), золотистый стафилококк (0,4-5%), палочка Фридлендера, реже - гемолитический и негемолитический стрептококк, синегнойная и гемофильная палочки, грибы и их ассоциации; среди вирусов - вирус гриппа, РС-вирус, аденовирусы. Чисто вирусные острые пневмонии встречаются редко, обычно ОРВИ облегчают колонизацию ткани легкого эндогенной или реже экзогенной бактериальной микрофлорой. При орнитозе, ветряной оспе, коклюше, кори, бруцеллезе, сибирской язве, сальмонеллезе развитие острой пневмонии определено специфическим возбудителем данной инфекции. Микроорганизмы попадают в нижние отделы дыхательного тракта бронхогенным путем, а также гематогенным (при инфекционных заболеваниях, сепсисе) и лимфогенным (при ранении грудной клетки) путями.
Острая пневмония может возникать после воздействия на респираторные отделы легких химических и физических агентов (концентрированных кислот и щелочей, температуры, ионизирующего излучения), как правило, в сочетании с вторичным бактериальным инфицированием аутогенной микрофлорой из зева и верхних дыхательных путей. Вследствие длительного использования антибиотиков в развитии острых пневмоний стала более значимой роль условно-патогенной микрофлоры. Имеются случаи аллергических (эозинофильных) острых пневмоний, обусловленных гельминтозами и приемом лекарственных препаратов. Острая пневмония может протекать неосложненно и с осложнениями; в легкой, средней или тяжелой степени; с отсутствием или развитием функциональных нарушений.
К возникновению острой пневмонии предрасполагают различные факторы, снижающие резистентность макроорганизма: длительные интоксикации (в т. ч., алкогольная и никотиновая), переохлаждение и повышенная влажность, сопутствующие хронические инфекции, респираторная аллергия, нервные потрясения, младенческий и пожилой возраст, продолжительный постельный режим. Проникновению инфекции в легкие способствует нарушение проходимости и дренажной функции бронхов, угнетение кашлевого рефлекса, недостаточность мукоцилиарного клиренса, дефекты легочного сурфактанта, снижение местного иммунитета, в т. ч., фагоцитарной активности, уровня лизоцима и интерферона.
При острой пневмонии воспаление затрагивает альвеолы, межальвеолярные перегородки и сосудистое русло легких. Причем на разных участках пораженного легкого могут одновременно наблюдаться различные фазы - прилива, красного и серого «опеченения», разрешения. Морфологические изменения при острой пневмонии вариативны в зависимости от вида возбудителя. Некоторые микроорганизмы (стафилококк, синегнойная палочка, стрептококк) выделяют экзотоксины, вызывающие глубокое повреждение легочной ткани с появлением множественных мелких, иногда сливающихся очагов абсцедирующей пневмонии. При острой фридлендеровской пневмонии организуются обширные инфарктоподобные некрозы в легких. Интерстициальное воспаление доминирует при пневмониях пневмоцистного и цитомегаловирусного генеза.
Классификация острых пневмоний опирается на различия этиологии, патогенеза, анатомических и клинических проявлений. По клинико-морфологическим свойствам различают паренхиматозную и интерстициальную пневмонию; крупозную (лобарную или плевропневмонию) и очаговую (бронхопневмонию); по распространенности воспаления - мелкоочаговую, очаговую (в границах нескольких долек), крупноочаговую и сливную (с охватом большей части доли).
Острые пневмонии возникают первично или вторично в качестве осложнений инфекционных заболеваний (ОРВИ, гриппа, кори), хронической патологии органов дыхания (бронхита, опухоли), сердечно-сосудистой системы, почек, крови, системных заболеваний, метаболических нарушений. С учетом эпидемических критериев разграничивают внебольничные и госпитальные формы острой пневмонии.
По причинному фактору выделяют инфекционные (бактериальные, вирусные, микоплазменные, риккетсиозные, грибковые, смешанные), аллергические, застойные, посттравматические острые пневмонии, а также пневмонии, вызванные химическими или физическими раздражителями. Аспирационные пневмонии могут развиваться при вдыхании инородных тел (пищевых частичек, рвотных масс); инфаркт-пневмонии - вследствие тромбоэмболии сосудистой сети легких.
Симптомы острой пневмонии
Клиническая картина острой пневмонии может различаться уровнем выраженности общих и бронхолегочных проявлений, что в значительной степени определяется возбудителем, состоянием здоровья больного, течением сопутствующей патологии. Для большинства форм острой пневмонии характерно постоянное присутствие общих нарушений: озноба, резкого подъема температуры и стойкой лихорадки, общей слабости, потливости, головной боли, тахикардии, возбуждения или адинамии, расстройства сна. Кашель при острой пневмонии носит различный характер, сопровождаясь выделением слизисто-гнойной мокроты, учащенным дыханием (до 25-30 в мин.), болью в груди или под лопаткой. Очаговая пневмония (бронхопневмония) в большинстве случаев начинается на фоне бронхита или острого катара верхних дыхательных путей. Типична фебрильная лихорадка неправильного типа, у пожилых и ослабленных лиц может держаться нормальная или субфебрильная температура.
Гриппозная пневмония обычно развивается остро в первые-третьи сутки заболевания гриппом. Протекая, как правило, легче бактериальной, иногда может приобретать тяжелейшее течение со значительной интоксикацией и высокой лихорадкой, упорным кашлем, быстрым развитием отека легких. Поздняя пневмония, возникающая в период выздоровления от гриппа, обусловлена бактериальной микрофлорой.
Стафилококковая пневмония нередко возникает как осложнение сепсиса. Для нее характерна склонность к абсцедированию, сопровождающемуся тяжелым общим состоянием, фебрильной температурой, кашлем с гнойной или слизисто-гнойной мокротой, а у детей и стариков - тяжелым молниеносным течением. Возможно развитие эмпиемы легких. Количество смертельных исходов при данном виде острой пневмонии остается высоким. Стрептококковые пневмонии наблюдаются реже, осложняя течение ОРВИ, кори, коклюша, хронических заболеваний легких, сопровождаясь некрозами легочной ткани, экссудативным плевритом. Пневмония, вызванная синегнойной палочкой, протекает тяжело: с риском диссеминации, абсцедирования, а при прорыве гнойника в плевру - развития пиопневмоторакса.
Ярко выраженная клиника крупозной пневмонии разворачивается внезапно, выражаясь в потрясающих ознобах, лихорадке до 39-40°C, нарастающей одышке, кашле со ржавой мокротой, тахипноэ (30-40 в мин.) и тахикардии (100 - 120 уд. в мин.), сильных болях в грудной клетке (при вовлечении диафрагмальной плевры - с иррадиацией в брюшную полость). Высокая температура может сохраняться несколько дней, спадая затем в течение 1-3 суток. При тяжелом течении крупозной пневмонии появляется диффузный цианоз, гипотония, у больных может возникнуть возбуждение, заторможенность, состояние острого психоза; у пожилых лиц с сопутствующей патологией - нагноительные процессы в легких и плевре; высок риск летального исхода.
Осложнения
В исходе острой пневмонии возможны
- осложнения со стороны легких (пара- и метапневмонический плеврит, острая дыхательная недостаточность, пневмосклероз, ателектаз, абсцесс легкого)
- внелегочные осложнения (инфекционно-токсический шок, гнойные и фибринозные серозиты, менингит, инфекционно-аллергический миокардит и др.).
В 1-4% случаев вероятен переход острой пневмонии в хроническую форму.
Диагноз острой пневмонии основан на клинико-рентгенологических данных, результатах оценки ФВД, исследования лабораторных показателей. Оценка перкуссии при крупозной пневмонии выявляет притупление оттенка звука по мере усиления экссудации альвеол. Аускультативно на вдохе выслушивается крепитация, иногда мелкопузырчатые хрипы, позднее - бронхиальное дыхание, бронхофония, шум трения плевры.
В крови показателен лейкоцитоз, убыстрение СОЭ, положительные острофазовые реакции; в моче - протеинурия, возможны цилиндрурия и микрогематурия. В мокроте при острой очаговой пневмонии обнаруживается множество бактерий, лейкоцитов и слущенного эпителия дыхательного тракта, при крупозной форме - эритроциты.
При подозрении на острую пневмонию назначается рентгенография легких в двух проекциях в динамике (на 7-10 день и 3-4 неделе). Рентгенологическим доказательством инфильтративных изменений при крупозной и крупноочаговой пневмонии является сегментарное или долевое гомогенное интенсивное затенение легочной ткани; при бронхопневмонии - неоднородное затенение части доли средней и малой интенсивности с захватом перибронхиальных и периваскулярных участков. В случае замедления рассасывания инфильтратов при острой пневмонии показана КТ легких.

КТ органов грудной клетки. Участок воспалительной инфильтрации (пневмония) в задних каудальных отделах нижней доли правого легкого
Бакпосев мокроты, крови, мочи позволяет установить возбудителя и его антибиотикочувствительность. Изменения ФВД рестриктивного типа (снижение ЖЕЛ, МВЛ, повышение МОД) характерны для обширной сливной очаговой и крупозной пневмонии. Бронхоскопию и бронхографию выполняют при затяжном течении острой пневмонии, что позволяет выявить наличие бронхоэктазов, полостей распада в легочной ткани. В рамках проводимой диагностики исключаются бронхит, рак легкого, туберкулез, инфаркт легкого, ателектатические бронхоэктазы.
Лечение острой пневмонии
Больным с острой пневмонией требуется раннее начало лечения, обычно, в условиях стационара. В течение лихорадочного периода показано соблюдение постельного режима, обильное питье и легкоусваиваемое калорийное питание, витамины. При острой пневмонии результативна этиотропная терапия антибактериальными препаратами, назначаемыми, исходя из клинико-рентгенологических особенностей. Применяются полусинтетические пенициллины (ампициллин, амоксициллин), аминогликозиды (гентамицин), цефалоспорины (цефтриаксон), макролиды (эритромицин, азитромицин), тетрациклины, в качестве резервных - рифампицин, линкомицин. В острую фазу и при тяжелом течении могут назначаться 2-3 антибиотика или сочетание антибиотика с метронидазолом, сульфаниламидами. Интенсивность курса антибиотикотерапии зависит от тяжести и распространенности поражения легких.
Больным острой пневмонией показаны бронхолитические и отхаркивающие препараты, муколитики. Для устранения интоксикации осуществляют инфузии солевых растворов, реополиглюкина, в случае одышки и цианоза требует назначения оксигенотерапии. При сердечно-сосудистой недостаточности назначаются сердечные гликозиды, сульфокамфокаин. Дополнительно к антибиотикотерапии используются противовоспалительные и антигистаминные средства, иммунокорректоры. В стадии разрешения острой пневмонии эффективно физиолечение (ингаляции, электрофорез с хлористым кальцием, УВЧ, вибромассаж, ЛФК).
Прогноз и профилактика
Прогноз острой пневмонии при раннем полноценном лечении достаточно благоприятный. Очаги фибринозного воспаления подвергаются рассасыванию в течение 2-4 недель, деструктивные - в течение 4-6 недель. На протяжении полугода и дольше могут сохраняться остаточные явления. Крайне тяжелое течение с осложнениями и смертельным исходом чаще встречается у младенцев, пожилых и стариков, ослабленных больных с серьезными сопутствующими заболеваниями.
К мерам профилактики острой пневмонии относятся отказ от вредных привычек, занятия спортом и закаливание, полноценное питание, санация хронических очагов инфекции, вакцинация против гриппа, предупреждение стрессов. Переболевшие острой пневмонией стоят на диспансерном учете у пульмонолога в течение полугода.
1. Внебольничная пневмония у взрослых: практические рекомендации по диагностике, лечению и профилактике/ Чучалин А.Г., Синопальников А.И., Козлов Р.С., Тюрин И.Е., Рачина С.А.
2. Острая интерстициальная пневмония/ Авдеев С.Н., Черняев А.Л.// Пульмонология и аллергология. - 2006 - №1.
Криптогенная организующаяся пневмония
Криптогенная организующаяся пневмония - это один из вариантов интерстициального заболевания легких, который характеризуется поражением бронхиол, альвеолярных ходов и альвеол. Причины ее развития неизвестны. Заболевание проявляется непродуктивным кашлем, болями в грудной клетке, одышкой и астеническим синдромом. Диагностика болезни проводится по результатам рентгенографии и КТ легких, бронхоскопии, исследования промывных вод, полученных при бронхоальвеолярном лаваже. Лечение консервативное: длительная терапия глюкокортикостероидами до полного регресса признаков заболевания.


Криптогенная организующееся пневмония (ОП) составляет от 2 до 13% среди всех интерстициальных поражений бронхолегочной системы. Частота этого заболевания достигает 10 случаев на 100 тыс. взрослого населения, хотя истинная распространенность может быть выше из-за сложности постановки диагноза. Пик диагностики приходится на возраст 50-60 лет, мужчины и женщины болеют одинаково часто. Патология не теряет актуальности для практической пульмонологии, поскольку ее частота постоянно возрастает, протоколы диагностики и лечения требуют дальнейшего усовершенствования.

Причины
Приставка «криптогенная» при определении диагноза организующейся пневмонии указывает на неизвестное происхождение заболевания. В отличие от вторичных форм ОП, которые имеют четкие этиологические факторы - возникают после бактериальной пневмонии, лучевой терапии, воздействия лекарств и токсинов, - криптогенная форма не связана ни с одним из этих факторов и устанавливается только после их исключения.
Патоморфология
Макроскопически очаги криптогенной пневмонии представлены плотной тканью серо-красного цвета с желтоватым оттенком. Их размер колеблется от 2-3 мм до сегмента и даже целой доли легкого. При микроскопическом исследовании обнаруживается организующийся экссудат, который состоит из фибрина, лимфоцитов, плазматических клеток и макрофагов с пенистой цитоплазмой. Основу очагов в бронхиолах и альвеолах составляет грануляционная ткань.
При длительно существующем процессе в патологическом очаге присутствуют фибробласты, которые расположены параллельно друг другу. В межклеточном матриксе определяется большое количество мукополисахаридов. Для очагов организующейся криптогенной пневмонии также характерно наличие тонкостенных сосудов. Легочные альвеолы имеют утолщенные стенки за счет лимфоцитарно-гистиоцитарной инфильтрации.
По общепринятой систематизации криптогенную организующуюся пневмонию относят к одному из 7 вариантов идиопатических интерстициальных пневмоний. Некоторые авторы предлагают исключить ее из этой классификации, поскольку ограничения воздушного потока в бронхиальном дереве при данном варианте ОП преобладают над фиброзными изменениями в легких. Существует рентгенологическая классификация заболевания, согласно которой выделяют 4 формы:
- Классическая. Патология представлена множественными альвеолярными инфильтратами, которые преимущественно поражают периферические отделы легких. У 20% пациентов возможны диффузные узелково-сетчатые изменения в легочной паренхиме.
- Нодулярная (фокальная). Проявляется одиночным узловым образованием которое чаще всего расположено в верхней доле легкого. Это сложная для диагностики форма ОП, поэтому окончательный диагноз зачастую устанавливается уже после операции по поводу удаления атипичного опухолевого образования.
- Инфильтративная. Данная форма характеризуется многочисленными сетчатыми изменениями в легочной ткани, которые сопровождаются небольшими участками уплотнения и фиброза.
- Атипичная. Самый редкий вариант криптогенной ОП, который представлен изолированными инфильтратами вокруг бронхов и легочных сосудов, микронодулярными изменениями в паренхиме легких.
Симптомы криптогенной организующейся пневмонии
Заболевание манифестирует гриппоподобным синдромом. Самым распространенным симптомом является сухой кашель, который возникает у 70% пациентов. К типичным проявлениям относят лихорадку (возникает в 50% случаев), одышку (50%), боли в грудной клетке (30%). Развернутая клиническая картина болезни напоминает бактериальную пневмонию, поэтому такие пациенты могут длительно время получать неэффективное лечение антибиотиками.
Для организующейся пневмонии типично затяжное течение. Симптомы разной интенсивности продолжаются дольше 3 месяцев. Помимо респираторных нарушений, пациенты предъявляют жалобы на снижение массы тела, постоянную слабость, ухудшение работоспособности. Вследствие дыхательных нарушений и гипоксии возникают головокружения, нарушения памяти и концентрации внимания.
Заболевание отличается относительно благоприятным течением. У 20% пациентов происходит самопроизвольное разрешение патологических очагов, после чего легочная ткань восстанавливает нормальную структуру. При симптоматических формах болезни правильная и своевременная терапия позволяет достичь регресса патологии. Осложнения в виде дыхательной недостаточности и фиброза легких наблюдаются крайне редко, хотя не исключены рецидивы криптогенной ОП.
Пациенты с типичными бронхолегочными симптомами направляются на консультацию пульмонолога. У большинства больных при первичном осмотре и физикальном исследовании определяется клиническая картина инфекционной пневмонии. Для исключения этой формы воспаления легких и постановки окончательного диагноза проводится ряд инструментальных и лабораторных методов диагностики, таких как:
- Рентгенография легких. При изучении рентгенограммы отмечаются очаги поражения в легочной ткани по типу инфильтратов, сетчатых изменений, ограниченного уплотнения и фиброза. Рентгенологические находки соответствуют вышеназванным формам криптогенной пневмонии.
- КТ легких. Более чувствительный метод диагностики необходим для выявления мелких инфильтратов, которые не видны на рентгенограммах. В 20% случаев определяется обратный гало-признак - очаг «матового стекла, окруженный венчиком периферической консолидации. Изредка на КТ обнаруживают бронхоэктазию.
- Бронхоальвеолярный лаваж. При микроскопии промывных вод бронхов обнаруживают увеличение числа клеточных элементов, среди которых преобладают лимфоциты (20-40%), нейтрофилы (10-20%) и эозинофилы (5-10%). Характерным признаком организующейся пневмонии называют «пенистые» макрофаги.
- Бронхоскопия. Эндоскопическая визуализация бронхиального дерева необходима для дифференцировки с другими патологиями. При осмотре не обнаруживают локальных воспалительных изменений или повышенного образования слизи, что позволяет исключить классическое инфекционное поражение. Исследование зачастую дополняют биопсией с гистологическим исследованием легочной ткани.
- Функциональные тесты. У 50% пациентов наблюдается рестриктивные нарушения дыхания. Характерно снижение диффузионной способности легких и ее отношения к альвеолярному объему, усиление дыхательных расстройств при физической нагрузке. Неблагоприятные результаты исследования выявляются у курильщиков со стажем, имеющих криптогенную ОП.
- Лабораторные методы. В гемограмме обнаруживают признаки системной воспалительной реакции: лейкоцитоз, увеличение СОЭ. При биохимическом исследовании у 80% пациентов определяется повышенный уровень С-реактивного белка. Для исключения инфекционной природы болезни показана микроскопия и посев мокроты.
Дифференциальная диагностика
Классический вариант ОП дифференцируют с эозинофильной пневмонией, множественными инфарктами легких, гранулематозом Вегенера и аллергическим ангиит-гранулематозом Чарджа-Стросс. При ограниченных узловых инфильтратах исключают бронхоальвеолярных рак и лимфому легких. Мигрирующие инфильтраты требуют дифференциальной диагностики с аспергиллезом, паразитарными инвазиями. При верификации диагноза исключают вторичные ОП: постинфекционную, пострадиационную, посттрансплантационную.

Лечение криптогенной организующейся пневмонии
Основным методом лечения является длительный прием глюкокортикостероидов (ГКС). Криптогенная форма ОП показывает высокую чувствительность к этим препаратам, поэтому клинико-лабораторное улучшение на форме кортикостероидной терапии - дополнительный критерий подтверждения диагноза. Применение ГКС необходимо для быстрого и полного исчезновения фиброзной ткани из легких и бронхиол.
Общепринятый протокол терапии предполагает назначение препаратов в течение 24 недель с постепенным уменьшением дозы до поддерживающей. При недостаточной эффективности лечение продлевают до 12 месяцев. В тяжелых случаях используется пульс-терапия ГКС в виде внутривенного болюсного введения. По показаниям терапевтическую схему усиливают иммуносупрессорами. При легком течении криптогенной ОП возможно назначение макролидов.
Учитывая высокий риск рецидива, пациенты с криптогенной организующейся пневмонией находятся на диспансерном учете у пульмонолога. При повторном возникновении симптоматики необходимы высокие дозы кортикостероидов сроком до 12 недель, после чего дозировки постепенно снижают и отменяют препараты. Рецидивы возникают в первый год после диагностики заболевания, более поздние обострения могут указывать на альтернативный диагноз (например гранулематоз Вегенера).
Хотя криптогенная ОП успешно поддается терапии кортикостероидами, в течение 2-6 месяцев после отмены препаратов возможны рецидивы. Повторные обострения возникают у 58% пациентов. Они успешно купируются фармакотерапией, поэтому прогноз для здоровья и жизни благоприятный. У большинства больных удается полностью восстановить дыхательную функцию и работу легких. Меры профилактики болезни не предусмотрены.
1. Случай криптогенной организующейся пневмонии/ Ю.Г. Белоцерковская, И.Е. Тюрин, С.Н. Швайко// Consilium Medicum. - 2020. - №11.
2. Рецидивирующая криптогенная организующаяся пневмония на фоне саркоидоза легких/ Ю.А. Рызванович, Е.В. Вовкогон// Российский электронный журнал лучевой диагностики. - 2013. - №3.
3. Дифференциальная диагностика криптогенной организующейся пневмонии у больного с вторичным иммунодефицитом/ Е.А. Байгозина, В.И. Совалкин, Е.П. Подгурская// Клиническая медицина. — 2012. - №11.
Гистиоцитарная реакция при пневмониях. Типы пневмонических процессов
ФГУ "НИИ пульмонологии" ФМБА России
Гистологическая дифференциальная диагностика гранулематозных болезней легких (часть I)
Журнал: Архив патологии. 2019;81(1): 65‑70
Гранулематозные болезни — это гетерогенная группа заболеваний различной этиологии, проявляющихся разнообразными клиническими синдромами и вариантами тканевых изменений, неоднородной чувствительностью к терапии и преобладанием общего доминирующего гистологического признака — наличием гранулем, определяющих клинико-морфологическую сущность каждой болезни. Гранулема является хронической воспалительной реакцией, в которой принимают участие клетки макрофагальной системы и другие клетки воспаления. После воздействия антигена происходит активация T-лимфоцитов, макрофагов, эпителиоидных клеток и гигантских многоядерных клеток, приводящая к образованию гранулемы. Гранулема включает также внеклеточный матрикс, продуцируемый фибробластами, позволяющий отграничить и изолировать антиген. Гранулематозные заболевания классифицируются по этиологии на инфекционные и неинфекционные. Однако, согласно последним исследованиям, патогенные микроорганизмы могут быть причиной развития гранулем при заболеваниях, ранее считавшихся неинфекционными. В ряде случаев классифицировать гранулематозный процесс как инфекционный и неинфекционный весьма трудно. Цель настоящего исследования — привлечь внимание читателей к разнообразию гранулематозных заболеваний, описать ключевые моменты патолого-анатомических проявлений различных болезней неинфекционной природы, а также определить подход к дифференциальной диагностике гранулематозов.
Название «гранулема» происходит от латинского слова granulum, означающее «зерно», греческое окончание (-oma) используется для обозначения узелкового образования. Таким образом, гранулема представляет собой узелковое очерченное образование. При микроскопической оценке термин используется для обозначения компактных агрегатов клеток. Микроскопически гранулемы могут состоять из гистиоцитов и/или эпителиоидных клеток, гигантских многоядерных клеток и других клеток воспаления (лимфоциты, нейтрофилы, эозинофилы). Эпителиоидные и гигантские многоядерные клетки являются производными моноцитов/макрофагов, первые являются дифференцированными секреторными клетками, тогда как последние специализированы на функции фагоцитоза [1]. Гигантские многоядерные клетки образуются путем слияния или неполного клеточного деления, что было доказано в экспериментальных исследованиях [2], причем раньше образуются гигантские клетки инородных тел, затем - клетки Пирогова—Лангханса. Лимфоциты располагаются преимущественно по периферии гранулемы и представляют популяцию T-клеток, тогда как B-лимфоциты разрозненно лежат вне гранулемы. В зависимости от заболевания T-лимфоциты представлены преимущественно T-хелперами 1 и 2 или же цитотоксическими T-супрессорами.
Гранулематозные болезни — гетерогенная группа заболеваний различной этиологии, проявляющихся разнообразными клиническими синдромами и вариантами тканевых изменений, неоднородной чувствительностью к терапии, при этом преобладает общий доминирующий гистологический признак — наличие гранулем, определяющих клинико-морфологическую сущность каждой болезни [3]. Настоящая публикация преследует цель привлечь внимание читателей к разнообразию гранулематозных заболеваний легких, описать ключевые моменты патолого-анатомических проявлений различных заболеваний инфекционной и неинфекционной природы, а также определить подход к дифференциальной диагностике гранулематозов.
При гранулематозных заболеваниях неинфекционной природы, как правило, развиваются ненекротические гранулемы, за некоторыми исключениями, о которых будет сказано ниже.
Саркоидоз

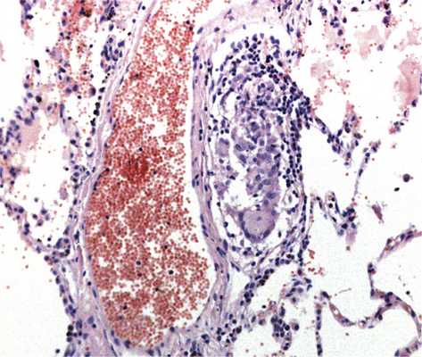
Поражение легких при саркоидозе описано в 90% наблюдений. Морфологическим субстратом саркоидоза является эпителиоидно-клеточная гранулема — компактное скопление мононуклеарных фагоцитов — макрофагов и эпителиоидных клеток. Каждая саркоидная гранулема имеет следующие стадии развития: 1) ранняя или лимфогистиоцитарная гранулема иногда с примесью нейтрофилов (рис. 1); Рис. 1. Ранняя фаза саркоидной гранулемы: периваскулярная лимфогистиоцитарная нечетко очерченная гранулема с единичной многоядерной клеткой. Здесь и на рис. 2—8: окраска гематоксилином и эозином, ×200. 2) гранулема со скоплением эпителиоидных клеток в центре и макрофагов по периферии; 3) эпителиоидно-лимфоцитарная гранулема; 4) гранулема с гигантскими многоядерными клетками (сначала клетки «инородных тел», а в последующем клетки Пирогова—Лангханса); 5) гранулема с ранними признаками некроза (пикноз ядер) или апоптоза (появление апоптотических телец) эпителиоидных или гигантских клеток в центре; 6) гранулема с центральным фибриноидным, гранулярным, ишемическим некрозом, как правило, в виде мелких фокусов; 7) гранулема с парциальным фиброзом (или гиалинозом, при окраске серебром выявляют ретикулиновые волокна); 8) гиалинизированная гранулема.
Процесс организации гранулем начинается с периферии, что придает им четко очерченный, «штампованный» вид (рис. 2). Рис. 2. Множественные четко очерченные эпителиоидно-клеточные саркоидные гранулемы в виде конгломератов, ×40. Зачастую при саркоидозе в одном и том же материале можно встретить гранулемы разного «возраста», от ранних, рыхлых, нечетко оформленных гистиоцитарных до четко очерченных («штампованных») эпителиоидно-клеточных, нередко гранулемы располагаются в виде конгломератов (рис. 3) Рис. 3. Типичная «штампованная» саркоидная гранулема, ×100. [4].
Значительное число лимфоцитов в ткани легких при саркоидозе представлено преимущественно Т-клетками. Для дифференциальной диагностики саркоидоза полезно оценивать бронхоальвеолярный смыв, в котором при этом заболевании среди лимфоцитов преобладают Т-хелперы (CD4+), соотношение CD4/CD8 составляет 3,5—10:1 (в норме 1,8:1). Гигантские клетки в составе гранулем могут содержать в цитоплазме включения, такие как астероидные тельца, тельца Шауманна или кристаллоидные структуры. Эти включения характерны для саркоидоза, однако не являются патогномоничными, так как могут присутствовать и при других гранулематозных заболеваниях [5].
При исследовании биоптатов бронхов и легких при гранулематозных заболеваниях, как правило, обнаруживают диссеминированное поражение с васкулитом, периваскулитом, перибронхитом; гранулемы чаще всего локализуются в межальвеолярных перегородках. Гранулематозное поражение бронхов и бронхиол при саркоидозе встречается часто и описано у 15—55% пациентов. Нередко гранулемы располагаются в стенке сосуда, частота гранулематозного васкулита может достигать 69%. В этих наблюдениях следует дифференцировать саркоидоз с некротизирующим саркоидным гранулематозом, который ряд авторов относят к узловой форме саркоидоза [6]. Для последнего характерно развитие некрозов.
В целом для саркоидоза характерными являются наличие четко очерченных, «штампованных гранулем», располагающихся по ходу лимфатических сосудов, концентрический фиброз вокруг гранулем, гиалиноз внутри и между гранулемами, гранулематозный васкулит, отсутствие хронического интерстициального воспаления вне гранулематозного поражения и фокусов организующейся пневмонии.
Помимо саркоидоза, встречается так называемая неспецифическая саркоидная реакция в виде эпителиоидно-клеточного гранулематоза. Она обычно наблюдается в регионарных лимфатических узлах, но может встречаться и в ткани легких при псевдоопухолях, злокачественных новообразованиях, паразитарных заболеваниях, экзогенном аллергическом альвеолите, туберкулезе. Гистологически саркоидная реакция отличается ограниченностью и топической связью с указанными патологическими процессами.
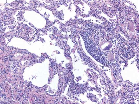
Гиперсенситивный пневмонит

В основе патогенеза гиперсенситивного пневмонита лежит развитие иммунологической реакции легочной ткани по III (иммунокомплексному) и IV типу при ингаляции аллергена. Этиологическим фактором болезни обычно являются термофильные бактерии, грибы, животные протеины. Другие бактерии и их продукты, амебы и некоторые химические вещества значительно реже являются причиной развития заболевания. При гиперсенситивном пневмоните гранулемы нечетко организованы, более «рыхлые», состоят из гистиоцитов, лимфоцитов, многоядерных клеток, иногда — эозинофилов (рис. 4) Рис. 4. Гиперсенситивный пневмонит: нечетко очерченная гранулема, состоящая из гигантских многоядерных клеток с игольчатыми структурами, окруженных лимфоцитами, лимфоцитарная инфильтрация межальвеолярных перегородок, ×100. [7], характерна перибронхиолярная локализация гранулем. Для диагностики гиперсенситивного пневмонита следует выявить триаду признаков: неспецифическую интерстициальную пневмонию в перибронхиолярных зонах, ненекротизирующие гистиоцитарные (гигантоклеточные гранулемы), фокусы облитерирующего бронхиолита. При повышении числа лимфоцитов в бронхоальвеолярном смыве, в отличие от саркоидоза, среди них преобладают цитотоксические Т-клетки и Т-супрессоры (CD8+), соотношение CD4/CD8
Хроническая аллергическая болезнь, вызванная металлами
Хронический бериллиоз представляет собой аллергический гранулематоз. Гранулемы сходны с таковыми при саркоидозе, могут быть несколько крупнее. Как и при саркоидозе, гранулемы располагаются перилимфатически, со сходным клеточным составом, включая субпопуляции T-лимфоцитов, характерно поражение лимфатических узлов. Такой же вариант гранулематоза может развиваться в результате действия циркония. Диагностику следует основывать на данных анамнеза и тесте трансформации лимфоцитов в ответ на действие того или иного металла [9].
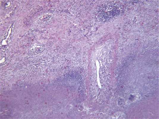
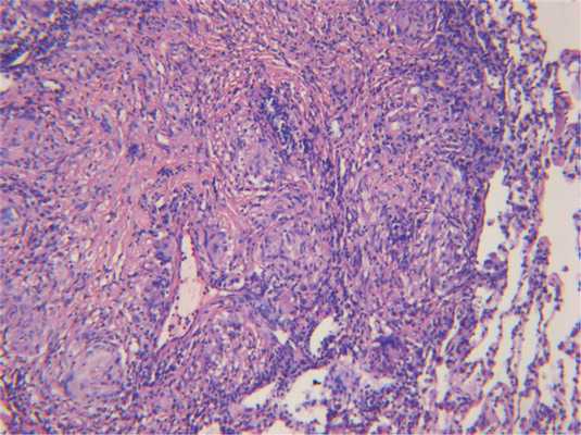
Особую сложность представляет, на наш взгляд, дифференциальная диагностика некротических гранулематозных процессов. Инфекционные заболевания, как одну из наиболее частых причин некротических гранулематозных процессов, следует дифференцировать прежде всего с полиангиитом с гранулематозом (ранее — гранулематоз Вегенера), аспирационной пневмонией, реже — с узелковой формой ревматоидного артрита, некротизирующим саркоидным гранулематозом (НСГ), инфарктом легкого и лимфоматоидным гранулематозом [10]. Несмотря на специфические гистологические изменения при этих заболеваниях, существует тем не менее перекрест, и лишь комбинация множества гистологических особенностей позволяет сформулировать окончательный диагноз. Инфекционная некротическая гранулема обычно имеет ровные контуры, как правило, эозинофильный некроз, окруженный валом гистиоцитов и гигантских многоядерных клеток. Напротив, при полиангиите с гранулематозом зоны некроза обычно с неровными контурами, напоминающими географическую карту, с большим количеством клеточного детрита, что придает некрозу «грязный» вид (рис. 5). Рис. 5. Гранулематоз Вегенера: некроз с клеточным детритом в виде «географической карты», ×40. Зоны некроза также окружены гистиоцитарным валом, однако гигантские клетки обычно немногочисленны и лежат разрозненно, не формируя компактные гранулемы. Характерной чертой полиангиита с гранулематозом является наличие некротического васкулита с фибриноидным некрозом мышечной оболочки (рис. 6), Рис. 6. Гранулематоз Вегенера: фибриноидный некроз стенки сосуда с лимфолейкоцитарной инфильтрацией, ×100. встречаются такие сосуды в зоне воспаления, поражение стенки часто эксцентрично, при этом заболевании поражаются ветви легочных артерий и вен. Возможно также развитие капиллярита, что сопровождается внутриальвеолярными кровоизлияниями. Некротический васкулит часто можно встретить в зоне воспаления и некроза и при инфекционном процессе, поэтому для подтверждения диагноза полиангиита с гранулематозом необходимо внимательно оценить сосуды вне зон некроза, желательно при этом использовать дополнительные окраски для выявления эластической ткани (по Верхофф, Ван-Гизону и т. д.). Кроме того, для полиангиита с гранулематозом в отличие от инфекционного гранулематоза нехарактерно вовлечение в процесс лимфатических узлов [11].
Некротический гранулематоз встречается также при аллергическом ангиите с гранулематозом (ранее — болезнь Черджа—Стросса) в сочетании с некротическим васкулитом и эозинофильной пневмонией. Гранулемы при аллергическом ангиите с гранулематозом хорошо оформленные, с центральным некрозом, содержащим множество эозинофилов, имеет место эозинофильная инфильтрация стенок сосудов и бронхиол, некротический васкулит с наличием эозинофилов и гигантских многоядерных клеток. Однако классическая триада изменений в виде гранулематоза, некротического васкулита и эозинофильной пневмонии в легких встречается нечасто, поэтому для установления диагноза необходимы дополнительные клинические и лабораторные данные.

Некротические гранулемы могут формироваться в легком и при ревматоидном артрите, однако диагноз в этом случае следует формулировать с осторожностью. Прежде всего следует учитывать клинические данные, поскольку узелковые формы ревматоидного артрита развиваются только в активной фазе заболевания, у серопозитивных пациентов с наличием выраженного суставного синдрома. При этом заболевании некроз, как правило, окрашен эозинофильно, клеточный детрит располагается обычно между некрозом и окружающим его гистиоцитарным валом, может сочетаться с васкулитом, однако некротический васкулит нехарактерен (рис. 7) Рис. 7. Ревматоидный артрит: обширная зона некроза с гистиоцитарным валом по периферии, лимфоидная инфильтрация стенок сосудов с обтурацией просветов, ×40. [12]. Описанные гистологические изменения практически неотличимы от таковых инфекционного гранулематоза, кроме того, описаны редкие наблюдения сочетания ревматоидного артрита и туберкулеза, поэтому необходимо исключить наличие инфекции.
При дифференциальной диагностике васкулитов с развитием гранулематозной реакции, описанных выше, следует учитывать специфические серологические признаки того или иного заболевания.

Инфекционный гранулематоз следует также дифференцировать с НСГ. Последний имеет также некоторые сходства с полиангиитом с гранулематозом. При НСГ характерно развитие интерстициального некроза, который чаще эозинофильно окрашен, однако иногда может содержать клеточный детрит. Однако некроз при НСГ сочетается с имеющимися ненекротизирующими гранулемами саркоидного типа, состоящими преимущественно из эпителиоидных и гигантских многоядерных клеток с небольшим числом лимфоцитов, эти гранулемы имеют тенденцию к слиянию, часто располагаются вблизи кровеносных сосудов или в их стенке, не приводя, однако, к развитию васкулита (рис. 8) Рис. 8. Некротизирующий саркоидный гранулематоз: гранулематозный васкулит, ×100. [6]. Для диагностики НСГ необходимо наличие триады признаков: гранулемы саркоидного типа, гранулематозного васкулита и некротического воспаления.
Поскольку некроз при инфекционном гранулематозе может быть коагуляционного типа, его также следует дифференцировать с инфарктом легкого. В стадии организации инфаркты могут быть окружены фибробластами и клетками воспаления, напоминая гранулематозное воспаление. В резецированных кусочках легкого при инфаркте, как правило, можно обнаружить тромбы в ветвях легочной артерии, явившиеся причиной развития инфаркта [13].
Наличие гигантских многоядерных клеток «инородных тел» и выраженной воспалительной реакции при аспирационной пневмонии в ряде случаев может напоминать гранулематозный процесс, для диагностики этого заболевания необходима тщательная оценка гистологических срезов с целью обнаружения различных инородных остатков пищи (растительных клеток, фрагментов поперечнополосатых мышц и др.).

Дифференциально-диагностические признаки основных неинфекционных заболеваний легких приведены в таблице. Ключевые диагностические признаки основных неинфекционных заболеваний легких [14]
Таким образом, для проведения дифференциальной диагностики гранулематозных заболеваний необходимо оценить форму (очерченность, «зрелось») гранулемы, ее клеточный состав, наличие/отсутствие некроза, цвет некроза, клеточную реакцию по периферии некроза, состояние ткани легкого вне зоны гранулематозного воспаления, а также другие специфические признаки. Дифференциальная диагностика гранулематозных процессов инфекционной природы будет рассмотрена в части II.
Авторы заявляют об отсутствии конфликта интересов.
Сведения об авторах
Читайте также:
- Внутриутробное переливание крови плоду. Профилактика изоиммунизации беременности.
- КТ височных костей при разрыве цепи слуховых косточек
- Зрение при нарушении обмена стерола (холестерина, желчных кислот)
- Стадии рака яичника и пути его метастазирования
- Вальгусная деформация коленных суставов (genu valgum): атлас фотографий
