КТ височных костей при разрыве цепи слуховых косточек
Добавил пользователь Евгений Кузнецов Обновлено: 07.01.2026
Список сокращений:
КТ — компьютерная томография
МРТ — магнитно-резонансная томография
ОАЭ — отоакустическая эмиссия
КСВП — коротколатентные слуховые вызванные потенциалы
КИ — кохлеарная имплантация
По данным отечественных и зарубежных авторов, кохлеарная имплантация (КИ) в настоящее время является самым эффективным методом лечения глухоты [1—3]. Успешное проведение КИ является залогом эффективной реабилитации пациентов.
Перед операцией проводится тщательное обследование пациентов для выявления показаний и противопоказаний к хирургическому этапу К.И. Предоперационная подготовка включает в себя сбор анамнеза, клинический осмотр, аудиологическое обследование: регистрацию отоакустической эмиссии (ОАЭ) и коротколатентных слуховых вызванных потенциалов (КСВП), проведение акустической импедансометрии, при возможности — тональной пороговой и речевой аудиометрии, сурдопедагогическую консультацию; для пациентов старшего возраста желательно проведение промонториального теста. Также необходимы консультация педиатра, невролога, терапевта и/или других специалистов, у которых больной состоит на учете.
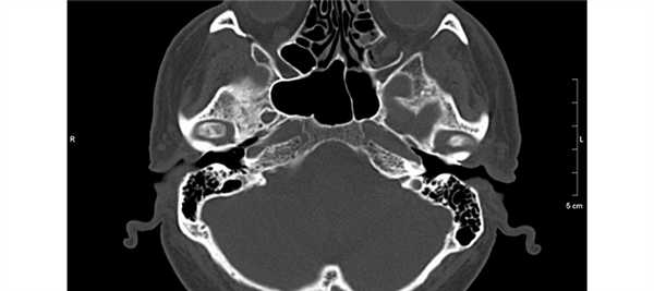
КТ крайне важна при обследовании пациентов с глухотой, так как позволяет получать изображения сложных анатомических структур височной кости с точностью до 0,5 мм, оценить степень развитости и пневматизации сосцевидного отростка и барабанной полости, определить уровень и протяженность атрезии наружного слухового прохода, топографии лицевого нерва, характер изменения цепи слуховых косточек, состояние улитки и окон лабиринта, положение крупных сосудов, полукружных каналов и внутреннего слухового прохода.
Различают следующие варианты врожденных аномалий внутреннего уха, которые можно определить только по данным КТ: кохлеарная гипоплазия, общая полость улитки, преддверия и полукружных каналов (на КТ определяется общая полость, имеющая кистообразную форму, которая представляет улитку и вестибулярный аппарат без дальнейшей дифференцировки); аномалия Мондини I—II — деформация, которая представлена нормальным базальным завитком улитки в комбинации со слиянием второго и третьего завитков. В случае деформации Michel улитка и полукружные каналы отсутствуют (тотальная аплазия лабиринта), а среднее и наружное ухо визуализируются без патологических изменений [4].
Полным противопоказанием для проведения КИ являются отсутствие слухового нерва и аплазия улитки.
Также по данным КТ можно определить аномальное сужение или расширение внутреннего слухового прохода. Узкий (менее 2 мм) слуховой проход свидетельствует об отсутствии слухового нерва. Широкий внутренний слуховой проход встречается как аномалия развития, при нейрофиброматозе; кроме этого, встречается бульбообразное расширение внутренних слуховых проходов неясной этиологии или после перенесенного менингита или менингоэнцефалита [5, 6].
КТ позволяет определить размеры улитки, которые не меняются с возрастом и составляют в среднем 8,0×5,0×6,0 мм [5, 6]. За этими размерами скрываются индивидуальные особенности строения улитки, которые могут влиять на процесс интракохлеарного размещения электродов, а также быть прогностическими критериями при планировании хирургического вмешательства.
Пациентам, оглохшим вследствие перенесенного менингита, необходимо в обязательном порядке проводить МРТ височных костей для выявления поражения ЦНС органического характера и изменений во внутреннем ухе, так как МРТ позволяет более четко (по сравнению с КТ) диагностировать облитерацию улитки, развивающуюся вследствие перенесенного воспалительного процесса. По данным разных авторов, частота сенсоневральной тугоухости вследствие менингита составляет 4—40%. Чаще глухота развивается у детей до 3 лет на фоне менингококкового, пневмококкового, гриппозного менингита, а также менингита, вызванного палочкой Афанасьева—Пфейффера [7].
Цель исследования — определение возможностей КТ и МРТ в диагностике врожденной и приобретенной патологии внутреннего уха у глухих пациентов.
Пациенты и методы
Для выполнения поставленной цели в консультативно-диагностической поликлинике ФГБУН РНПЦ аудиологии и слухопротезирования ФМБА России и в ЛОР-отделении ДГКБ св. Владимира ДЗМ были обследованы две группы пациентов. В 1-ю группу были включены 75 пациентов — кандидатов на КИ в возрасте от 1 года до 43 лет с врожденной или приобретенной посттравматической глухотой. 2-ю группу составили 75 пациентов в возрасте 3—12 лет с глухотой, развившейся после перенесенного острого бактериального менингита.
Всем пациентам проводили КТ и МРТ височных костей. КТ височных костей была выполнена полипозиционно в коронарной и аксиальной проекциях с шагом 0,5 мм и МРТ — в стандартных отведениях в SEFSE FLAIR Т1 и Т2 взвешенном изображении в аксиальной, коронарной и сагиттальной проекциях с акцентом на внутреннее ухо.
Результаты и обсуждение
У 5 пациентов 1-й группы отмечалисьпосттравматические изменения височных костей (у 4 процесс носил односторонний характер, у 1 — двусторонний): у пациента с двусторонним поражением височных костей имели место разрыв и дислокация цепи слуховых косточек, изменений в структурах внутреннего уха выявлено не было. У остальных 4 был диагностирован поперечный перелом пирамиды височной кости: линия перелома проходила через область лабиринта и хорошо определялась на томограммах, при этом у одного из этих пациентов была обнаружена полная облитерация улитки, у другого был найден участок костной плотности в преддверии (давность травмы составила 25 и 8 лет соответственно).
У 2 больных был выявлен локальный порок развития слуховых косточек: гипоплазия цепи слуховых косточек и аномалия развития молоточка в сочетании с уплотнением мембраны круглого окна.
У 9 пациентов определялись воспалительные изменения в среднем ухе: мягкотканные компоненты в барабанной полости и клетках сосцевидного отростка, проявление хронического среднего отита, в том числе у одного больного с холестеатомой барабанной полости и деструкцией промонториальной стенки.
Также в 1-й группе в одном наблюдении было выявлено двустороннее симметричное расширение внутренних слуховых проходов, потребовавшее дополнительного обследования пациента.
Анализ КТ и МРТ 75 пациентов 2-й группы — кандидатов на КИ с двусторонней глухотой после перенесенного менингита показал, что у 63 пациентов (84% наблюдений) изменения височных костей отсутствовали. В одном случае была выявлена аномалия Арнольда—Киари (врожденная аномалия развития головного мозга), при которой основные изменения связаны с нарушением функций мозжечка и продолговатого мозга.
У 11 (14,6%) пациентов были обнаружены изменения внутреннего уха: у 1 больного с рецидивирующим менингитом, приведшим к глухоте, на КТ обнаружен склеротический тип строения сосцевидного отростка (результат ранее перенесенных отитов), дефект дна барабанной полости над луковицей яремной вены и дополнительный венозный коллектор, идущий от луковицы яремной вены в заднюю черепную ямку. По данным МРТ, структуры внутреннего уха — без изменений, количество внутриулитковой жидкости — удовлетворительное с двух сторон.
Один пациент после перенесенного менингита имел КТ-признаки двусторонней частичной костной облитерации лабиринта без вовлечения улиток с двух сторон. Данные МРТ подтвердили находки КТ: правая и левая улитки — без патологических изменений.
У 1 пациента после перенесенного менингита по данным КТ имелась картина двусторонней частичной костной облитерации лабиринта с вовлечением улитки справа. На МРТ патологические изменения структур внутреннего уха отсутствовали, количество внутриулитковой жидкости было удовлетворительным с двух сторон.
Один пациент, по данным КТ височных костей, имел двустороннюю облитерацию лабиринта, включая улитки с двух сторон, с большей выраженностью патологических изменений справа. На МРТ было выявлено уменьшение количества жидкости в улитке справа, слева количество жидкости в улитке соответствовало норме (рис. 1, 2).

Рис. 1. КТ, аксиальная проекция. Облитерация улитки (стрелка).

Рис. 2. МРТ, аксиальная проекция. Справа — полное отсутствие жидкости в улитке (короткая стрелка), слева — частичное (длинная стрелка).
У одного пациента на КТ определялись двусторонняя аномалия внутреннего уха по типу Мондини (рис. 3), двусторонний локальный порок развития цепи слуховых косточек, костная облитерация лабиринта, включая улитку справа. На МРТ внутриулитковая жидкость справа не определялась, слева количество внутриулитковой жидкости было в норме.

Рис. 3. КТ, аксиальная проекция. Аномалия Мондини, состояние после КИ.
По данным КТ височных костей, 5 пациентов имели двустороннюю частичную облитерацию лабиринта с односторонним вовлечением улитки. По данным МРТ, с одной стороны количество внутриулитковой жидкости было в норме, с другой — внутриулитковая жидкость не была обнаружена.
Один пациент, по данным КТ, имел двустороннее бульбообразное расширение внутреннего слухового прохода, что явилось рентгенологической находкой, при этом, по данным МРТ, внутриулитковая жидкость с двух сторон определялась в удовлетворительном количестве, патологии VII—VIII пар ЧМН не было.
Таким образом, среди обследованных 75 пациентов с глухотой, развившейся вследствие острого бактериального менингита, у 11 (14,6%) были выявлены изменения структур височных костей. Анализ данных КТ с изменениями височных костей всех 11 пациентов (22 уха) выявил частичную облитерацию улиток в 20 наблюдениях, у 1 пациента с одной стороны на фоне аномалии Мондини облитерации улитки не было выявлено, с другой — была обнаружена полная костная облитерация улитки. По данным МРТ, в тех же наблюдениях нормальное количество жидкости в улитке было выявлено в 15 случаях, в 1 — определялось уменьшенное количество внутриулитковой жидкости, в 6 — жидкость отсутствовала. Данные результаты повлияли не только на выбор стороны операции, но и позволили хирургу выбрать необходимый тип электродной решетки кохлеарного импланта: в 6 случаях использовалась прямая электродная решетка, в 5 — перимодиолярная.
В то же время отсутствие поражения улитки в 84% наблюдений после перенесенного менингита является хорошим прогностическим показателем успешной реабилитации оглохшего вследствие менингита больного.
Все пациенты обеих групп были успешно прооперированы, операцию перенесли удовлетворительно, перимодиолярная электродная решетка была введена полностью у 144 пациентов. У пациентов с облитерацией улитки, выявленной в предоперационном периоде, в 5 случаях электродная решетка импланта double array и в 1 — прямая были введены не полностью, так как облитерация основного завитка составляла более 4,0 мм.
Выводы
1. КТ и МРТ височных костей позволяют выявить индивидуальные особенности строения наружного, среднего и внутреннего уха, которые могут влиять на процесс интракохлеарного размещения электродной решетки кохлеарного импланта в улитке и являются прогностическими критериями при планировании хирургического вмешательства.
2. МРТ имеет преимущество перед КТ в диагностике ранней облитерации улитки.
3. КТ и МРТ являются обязательными методами обследования пациентов с глухотой, возникшей вследствие менингита. Совокупность данных КТ и МРТ позволяет хирургу выбрать оптимальную сторону проведения КИ.
Что покажет КТ височных костей, как делают, подготовка и противопоказания

Височная кость является важной анатомической структурой - она участвует в формировании черепной коробки, здесь расположен слуховой аппарат, проходят крупные нервы и артерии. Обычные методы диагностики, такие как рентгенография или УЗИ, зачастую не позволяют диагностировать патологические изменения в этой области. КТ височных костей − более точное исследование, которое дает возможность выявлять заболевания на ранней стадии.
Что покажет КТ височных костей
Во время КТ получают послойные снимки височной кости и окружающих тканей в трех плоскостях. Толщина среза составляет всего несколько миллиметров, что позволяет врачу-рентгенологу рассмотреть не только все анатомические образования, но и минимальные патологические изменения.
На полученных снимках хорошо видны следующие структуры:
пирамида височной кости;
ячейки и антрум сосцевидного отростка;
улитка, преддверие, передний и задний полукружный каналы;
слуховые косточки среднего уха;
стенки наружного слухового прохода;

Снимок (томограмма) височных костей в осевой проекции
С помощью КТ височных костей можно выявить любые заболевания воспалительного, травматического, опухолевого характера. Метод применяется для диагностики следующих патологий:
объемных образований, кист костной ткани и слухового аппарата;
воспалительных процессов (мастоидиты, отиты, остеомиелиты);
травматических повреждений (трещины, переломы);
дегенеративных изменений (отосклероз, дисплазия);
Большим преимуществом КТ перед другими диагностическими методами является возможность получения трехмерной модели височной кости. 3D-изображение необходимо перед хирургическим вмешательством, часто по поводу установки имплантата внутреннего уха, поскольку дает максимально четкое представление об особенностях анатомии у конкретного пациента.
Иногда во время КТ височной кости дополнительно вводят контрастирующее вещество на основе йода. Введенный фармпрепарат хорошо поглощает рентгеновские лучи и делает изображения более отчетливыми. Контрастирование необходимо для уточнения характера изменений в мягкотканных образованиях, прилегающих к височной кости. Также методика позволяет отчетливо визуализировать церебральные артерии и вены. Вместе с тем, данная процедура обходится немного дороже стандартного исследования: пациенту нужно будет доплатить за количество использованного контраста.
Показания к КТ височных костей
В большинстве случаев КТ височных костей назначают ЛОР-врачи, неврологи, нейрохирурги, реже специалисты другого профиля. Обычно основанием для проведения томографии являются выявленные на рентгенограмме или во время УЗИ патологические изменения. Именно КТ височных костей позволяет разрешить все сомнения и поставить точный диагноз.
Показаниями для компьютерной томографии височной кости служат:
нарушения работы слухового аппарата (прогрессирующее ухудшение слуха, звон или шум в ухе и пр.);
вестибулярные расстройства (головокружение, шаткость при ходьбе);
длительный болевой синдром в области уха, в половине головы, особенно сопровождающийся неврологической симптоматикой;
выделения из слухового прохода различного характера (гной, кровь, ликвор);
клинические данные, свидетельствующие об опухолевом процессе;
нарушение работы лицевого нерва с развитием слабости мимической мускулатуры;
травмы головы с подозрением на перелом основания черепа и височной кости.
Также рекомендуют КТ височных костей перед запланированным хирургическим вмешательством, для контроля за проводимой терапией.
Кому противопоказана КТ височной кости
Компьютерная томография височных костей не проводится женщинам в период беременности, поскольку рентгеновские лучи негативно влияют на развитие плода. В случае томографии с контрастированием противопоказаниями являются:
нарушение фильтрационных характеристик почек;
непереносимость препаратов на основе йода;
повышенная функция щитовидной железы.
Как проходит компьютерная томография височных костей
Записаться в диагностический центр «Магнит» можно по телефону, указанному на сайте. Сотрудник подберет для вас наиболее удобное время, разъяснит особенности процедуры, одновременно вы сможете уточнить точную стоимость обследования.
Идя на томографию, потребуется взять с собой направление, имеющиеся на руках медицинские документы. В случае запланированной КТ височных костей с контрастированием нужно заранее сдать анализ на креатинин. Он необходим для оценки функционального состояния почек.
В центре «Магнит» обследование проводят на современном мультиспиральном томографе Siemens. Аппарат установлен в отдельной комнате, где и будет проходить сканирование.

Внешний вид компьютерного томографа и положение пациента на столе аппарата перед началом исследования
Непосредственно перед исследованием специалист центра проинструктирует больного и предложить занять положение на спине на столе томографа.
Во время сканирования стол с пациентом будет плавно перемещаться по направлению к тоннелю аппарата. Таким образом, голова будет находиться на уровне источника излучения и датчиков. Каких-либо неприятных ощущений во время исследования не возникает, тем более что сама процедура длится всего 1-2 минуты.
Все это время персонал будет находиться в соседней комнате и наблюдать за ходом исследования. В тоннеле томографа есть переговорное устройство, по которому пациент всегда может связаться с медперсоналом.
КТ височной кости с введением контраста длится немного дольше: от 15 до 25 минут, так как исследование включает несколько этапов. Первоначально выполняют нативное сканирование, после которого внутривенно вводят йодсодержащий препарат (Ультравист). Контраст относительно редко вызывает побочные реакции, иногда наблюдаются небольшое головокружение или подташнивание. Эти неприятные явления самостоятельно проходят в течение нескольких минут. Завершающий этап - повторное сканирование с получением максимально контрастных изображений.
После получения снимков и их обработки компьютерной программой врачу потребуется некоторое время для анализа данных. Обычно на это уходит не более 1,5-2 часов .
Когда назначают КТ височных костей детям
Данный вид исследования рекомендуют детям только при наличии веских оснований. Это связано с тем, что организм ребенка более чувствителен к рентгеновскому излучению, чем у взрослого пациента. КТ височных костей назначают тогда, когда другие методы исследования (рентген, УЗИ, МРТ) не дают достаточно информации для постановки диагноза. Детям компьютерная томография височных костей чаще всего проводится в случае черепно-мозговой травмы с переломами костей черепа, одностороннего нарушения слуха, при подозрении на новообразование.
В центре «Магнит» мультиспиральную КТ делают детям начиная с пяти лет. Современное оборудование и программное обеспечение позволяют подобрать оптимальный режим сканирования и, таким образом, существенно снизить лучевую нагрузку на организм. Процедуру с контрастированием в нашем центре проводят детям, достигшим двенадцатилетнего возраста.

Положение ребенка на столе компьютерного томографа перед исследованием
Компьютерная томография височной кости не причиняет маленькому пациенту дискомфорта или боли. Поскольку сканирование длится считанные минуты, дети хорошо переносят диагностику. Однако при запланированной томографии родителям все же следует психологически подготовить ребенка: рассказать о процедуре и почему так важно ее пройти.
Преимущества КТ височных костей
Компьютерная томография является оптимальным вариантом для исследования костей, в том числе черепа. Костная ткань хорошо поглощает рентгеновские лучи, в результате получают четкие ее изображения. Данный метод незаменим в диагностике скрытых переломов и трещин, он хорошо выявляет деструктивные изменения.

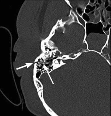
На КТ-снимке виден перелом пирамиды височной кости (указан стрелками)
Другими преимуществами мультиспиральной томографии являются:
высокая скорость сканирования;
относительно низкий уровень лучевой нагрузки;
неинвазивность и безболезненность;
доступность для выполнения пациентам с ферромагнитными имплантатами, электронными устройствами;
возможность получения трехмерной модели исследуемой зоны.
КТ височных костей имеет вполне доступную цену. В диагностическом центре «Магнит» ее можно пройти за 2450 рублей. Такая низкая, по сравнению с другими медучреждениями Санкт-Петербурга, цена объясняется проводимой в этом месяце специальной акцией.
Что показывает КТ уха? КТ или МРТ что лучше? Подготовка, показания и противопоказания

При снижении слуха или полной его потери обосновано проведение КТ уха. Это современный высокоинформативный способ визуализации, использующий рентгеновские лучи и компьютерную обработку данных для построения объемного изображения. Контрастное усиление при выполнении КТ уха позволяет дать оценку не только костным структурам, но и мягким тканям, нервам и сосудам данной области, что важно для определения дальнейшей тактики действий - консервативной терапии или оперативного лечения.
Нормальная анатомия уха
Компьютерная томография дает исчерпывающую информацию о патологических процессах наружного и среднего уха. К КТ-сканированию прибегают при атрезии наружного слухового прохода (из-за отсутствия отверстия при отоскопии невозможно увидеть состояние барабанной перепонки и структур среднего уха). Необходимость визуализации, как дополнительного звена обследования, возникает при неэффективности терапии или при подозрении на развитие осложнений. Что показывает КТ среднего уха:
воспаление и его последствия;
патологические изменения височной кости;
опухоли (остеома, шваннома, параганглиома и пр.) и их инвазию в окружающие структуры ;
врожденные пороки развития;
состояние костного лабиринта;
деструктивно-дегенеративные процессы (остеодистрофия, фиброзная остеодисплазия, послевоспалительная оссификация, склеротические изменения и пр.);
инородные тела в ухе.
Компьютерное сканирование височной кости позволяет провести дифференциальную диагностику опухолей с воспалением, уточнить анатомические особенности, определить необходимость операции и ее объем. Исследование полезно в оценке осложнений после хирургических вмешательств.
КТ внутреннего уха показано при подозрении на патологический процесс в зоне, ограниченной височной костью. Чем раньше сделать компьютерное сканирование - тем больше шансов на выполнение успешной операции, в том числе - для восстановления или сохранения слуха. Структуры среднего и внутреннего уха спрятаны за барабанной перепонкой, что ограничивает прямую неинвазивную оценку. Выполнение отоскопии не дает полномасштабной картины, поэтому для определения степени заболевания, точного месторасположения патологического процесса, вовлеченных структур и возможных деструктивных изменений кости выполняют КТ и/или МРТ. Наиболее часто в данной области встречаются хронические и острые воспалительные заболевания (инфекционный и секреторный отит), реже - опухоли (шваннома среднего уха и параганглиома). КТ внутреннего уха с контрастом показывает евстахиеву трубу, улитку, слуховой и вестибулярный нервы, сосуды и кости, что позволяет выявить причину неблагополучия при соответствующих жалобах.
Как делают КТ уха

Положение пациента при обследовании
Пациента укладывают на стол (положение горизонтальное). Для удобства и фиксации используют упругие валики и ремни, эта мера необходима чтобы на полученных томограммах не было артефактов (размытостей, как на снимках обычным фотоаппаратом движущегося объекта). В середине исследования для лучшей визуализации мельчайших деталей внутривенно вводят контрастное вещество. Это делает медсестра одномоментно, или радиофармпрепарат поступает автоматически с помощью инжектора в определенные фазы исследования (болюсное усиление). Стол скользит вглубь томографа, вокруг головы в кольце аппарата с характерным пощелкиванием начинают вращаться датчики, улавливающие ответ органов и структур на поток рентгеновских частиц, испускаемых излучателем. Информация передается на компьютер, а специальная программа восстанавливает полученные срезы в единое целое.
Под рукой пациента есть “тревожная кнопка”: об ухудшении самочувствия (липкий пот, предобморочное состояние, резкая нехватка воздуха) следует немедленно поставить в известность персонал. При использовании современных контрастных препаратов генерализованные реакции гиперчувствительности встречаются крайне редко, менее, чем в 1-5% случаев.
Что лучше: КТ или МРТ уха

КТ (А) и МРТ(В) - картина холестериновой гранулемы
Эта дилемма волнует многих пациентов, но вид исследования выбирает лечащий врач, опираясь на результаты предыдущей диагностики и на конкретные жалобы. Отказываться от КТ уха из-за ложных соображений о вреде процедуры не стоит, современные мультидетекторные томографы позволяют минимизировать влияние лучевой нагрузки для большей категории лиц (исключение - беременные и дети, не достигшие 14 лет). В ряде наблюдений, особенно, если визуализируется опухолевый процесс, может понадобиться и МРТ, и КТ уха - эти способы взаимодополняют друг друга. Выполнение магнитно-резонансного сканирования обосновано, если после проведенной КТ остались сомнения в диагнозе. МРТ лучше демонстрирует менингоцеле, холестеатому, неврит лицевого нерва, внутричерепную патологию, вызванную процессами в среднем ухе, что не всегда показывает компьютерная томография высокого разрешения. КТ среднего уха часто не способна визуализировать степень возможной облитерации улитки после перенесенного воспаления или отдаленные последствия перелома височной кости. Точная оценка состояния имеет решающее значение для планирования кохлеарной имплантации.
Компьютерная томография ребенку или беременной женщине может быть выполнена по жизненным показаниям. Предпочтительнее в период гестации - МРТ, которое не использует рентгеновское облучение, а магнитное поле не представляет опасности для организма.
Подготовка к КТ-исследованию уха

Неплотный перекус за 40 минут до КТ нейтрализует вегетативные симптомы
Длительной подготовки КТ уха не подразумевает, достаточно выбрать удобную одежду без металлических деталей и оставить все украшения дома. Съемные зубные протезы, пирсинг Вас также попросят убрать. Если планируется введение контрастного вещества, необходимо обратить внимание на следующие аспекты:
Анализ крови на креатинин. Его можно сдать в поликлинике и принести результат с собой (не позднее 10-дневного срока выполнения), или сделать непосредственно перед компьютерной диагностикой. В центре “Магнит” такая услуга предусмотрена, но на обследование следует явиться на 15 минут раньше.
Перерыв в приеме Метформина и его аналогов. Пациенты с сахарным диабетом, контролирующие уровень глюкозы медикаментозно, за 48 часов до диагностической процедуры должны прекратить лечение сахароснижающими средствами. Перед этим обязательна консультация и разрешение эндокринолога.
Лактация. В этот период исследование не приведет к негативным последствиям, если сделать запас молока на два последующих кормления. После компьютерной томографии для избежания мастита рекомендовано сцеживание.
Неплотный перекус. Введение контрастного вещества могут сопровождать ряд вегетативных реакций (металлический привкус, тошнота, головокружение). Чтобы этого не произошло, нужно съесть легкий завтрак за 40 минут до диагностической процедуры.
КТ уха с контрастом

В диагностическом центре “Магнит” используют современный контрастный препарат с максимальным профилем безопасности
Нативная КТ уха показывает преимущественно костные структуры. Для оценки сосудов, мягких тканей, распространенности патологического процесса и определения степени вовлеченности соседних областей необходимо выполнение контрастирования. Усиленная компьютерная томография обеспечивает превосходную визуализацию разницы между костными структурами, воздухом и мягкими тканями в сочетании с высоким пространственным разрешением, и является методом выбора для исследования структур среднего уха. КТ височной кости с контрастированием позволяет дифференцировать воспалительные изменения, холестеатому и опухоль. Цена на КТ уха с усилением несколько выше, так как включает стоимость радиофармпрепарата.
Показания и противопоказания

На КТ уха направляет ЛОР-врач, если первичные способы диагностики показали неоднозначные результаты
При всех необъяснимых симптомах обосновано прохождение диагностики. Показания к КТ уха следующие:
ухудшение/потеря слуха с оценкой ее возможных причин;
выделения из слухового канала;
длительно существующее воспаление в среднем или внутреннем ухе, не поддающееся лечению;
головокружения, шаткость походки, нистагм;
травма уха, височной кости;
подозрение на опухолевый процесс;
выявление аномалий развития;
динамическое наблюдение изменений после консервативной терапии или хирургического вмешательства;
диагностика осложнений: петрозита, лабиринтита, лабиринтного свища, внутричерепного абсцесса или абсцесса мозга, менингита.
Общим противопоказанием к нативному КТ уха является беременность, при контрастировании к этому добавляются:
отягощенный аллергологический анамнез: генерализованная аллергическая реакция на радиофармпрепарат по типу отека Квинке или анафилатического шока;
урологическая и нефрологическая патология, сопровождаемая хронической почечной недостаточностью;
гиперфункция щитовидной железы.
Пациентам с выраженной степенью ожирения (масса тела выше 150 кг) исследование не проводят по техническим причинам.
Фото томографии уха
Расшифровкой полученных данных занимается врач-рентгенолог, на руки пациенту выдают заключение и снимки в электронном виде. Представляем Вашему вниманию несколько фото КТ уха, с типичными патологическими процессами:

Шваннома лицевого нерва: осевое КТ-изображение (костное окно) демонстрирует расширение ганглия, присутствует однородная масса мягких тканей (стрелка)

Хроническое воспаление среднего уха с холестеатомой: коронарная КТ показывает боковой свищ полукруглого канала (стрелка), вызванный эрозией кости из-за роста новообразования

Хроническое воспаление среднего уха: осевая КТ демонстрирует очаговую кальцификацию (стрелка) в барабанной полости - тимпаносклероз.
КТ височных костей
Лечение заболеваний ЛОР-органов требует подробного изучения структур среднего и внутреннего уха, сосудов и нервов, расположенных рядом. Для получения точной картины состояния этих органов применяется КТ височной области. Это один и наиболее информативных диагностических методов, который, в отличие от рентгена, позволяет изучить не только костные, но и тканевые структуры.
Височные кости выполняют ряд важнейших функций в организме человека. К ним крепятся нервные волокна, артерии, подвижная верхняя челюсть. Это естественная защита системы вестибулярного аппарата и внутреннего уха, поэтому любое малейшее повреждение может привести к крайне неприятным последствиям. У человека могут возникнуть проблемы со зрительной и слуховой функцией, работой мозга и работой кровеносных сосудов. При таких осложнениях важна быстрая и максимально информативная диагностика, поэтому и используется КТ височной доли.

Содержание
Что показывает компьютерная томография височных костей?
Строение височной области достаточно сложное - здесь много протоков, нервных окончаний и костных тканей. На основе получаемого снимка специалист изучает состояние среднего и внутреннего уха, вид костных тканей черепа, состояние слухового прохода.
На основании полученных сведений, можно выявить:
- Мастоидит.
- Отит (острый и хронический).
- Опухолевые образования.
- Отосклероз.
- Трещины и переломы костных тканей.
- Абсцессы и различные инфекционные процессы.
- Кровоизлияния.
- Оценка проходимости сосудов и выявление их патологий.
- Изменения структуры сосцевидного отростка и пирамид.
Если есть подозрения на изменения мягких тканей, то возможно одновременное использование с МРТ. Компьютерная томография широко применяется для выявления патологий уха, что является первым шагом в составлении грамотной терапии.

Показания к проведению процедуры
КТ височных костей проводится при наличии следующих показаний:
- Частые головокружения.
- Перенесенные ранее травмы височной области.
- Шум в ушах.
- Хронический отит.
- Проблемы с подвижностью верхней челюсти.
- Боль в данной области.
- Выделения (часто с гноем) из слухового прохода.
- Значительное ухудшение или полная потеря слуховой функции.
- Ухудшение зрения.
- Перед предстоящим хирургическим вмешательством.
Часто компьютерная томография проводится при уже фактически поставленном диагнозе. Основное обоснование - это дополнительное изучение состояния внутренних структур при отсутствии результатов от проведенного лечения.

Противопоказания к КТ
КТ височной части головы предполагает воздействие рентгеновского излучения на организм человека. Поэтому есть ряд ограничений и абсолютных противопоказаний к проведению данной процедуры.
Специалисты рекомендуют воздержаться от КТ пациенткам с болезненным ПМС. Определенным ограничением можно назвать лишний вес человека, ведь некоторые диагностические аппараты могут выдержать не более 120 кг.
Если проводится КТ височных костей с контрастом, то противопоказания следующие:
- Индивидуальная непереносимости организмом препаратов на основе йода.
- Нарушения в работе сердечно-сосудистой и эндокринной системы. Здесь все зависит от степени тяжести заболеваний, поэтому решение принимается в индивидуальном порядке.
- Почечная недостаточность.
Можно ли делать КТ височной кости детям и беременным?
Компьютерная томография височных костей может проводиться ребенку, но только в том случае, если есть реальная опасность для жизни и здоровья. Также нужно учитывать, что во время процедуры пациент должен сохранять полную неподвижность в течение определенного времени, поэтому при обследовании детей они могут вводиться в состояние медикаментозного сна (возраст - от 3 до 5 лет).
Что касается беременности, то она является абсолютным противопоказанием к проведению процедуры, вне зависимости от триместра. Период лактации не является противопоказанием, но если используется контрастное вещество, то в течение 48 часов после процедуры необходимо исключить грудное вскармливание. Объясняется это тем, что препарат проникает в молоко и может негативно воздействовать на организм ребенка.
Как часто можно проводить компьютерную томографию?
Рентгеновское излучение негативно влияет на организм, когда речь идет о превышении допустимой нормы. Поэтому существует ограничение - не более 1-2 раз в год. Если есть острая врачебная необходимость, то повторное проведение процедуры возможно только через 3 недели.
Подготовка к КТ
Перед компьютерной томографией необходимо снять с себя все металлические предметы: заколки, цепочки, серьги, пирсинг, протезы и т.д. Также специалисты рекомендуют отказаться от курения и употребления спиртного в день проведения процедуры.
Если используется контрастное вещество, то в дополнение ко всем вышеуказанным мерам, добавляется отказ от питья (за 2 часа до процедуры) и приема пищи (примерно за 5 часов до КТ).
Особенности проведения КТ височных костей при отите
Бактериальное воспаление среднего уха приводит к скоплению гноя внутри, который в дальнейшем выходит наружу. Также появляется перфорационное отверстие в барабанной перепонке.
Это достаточно опасное состояние, которое приводит к следующим последствиям:
- Потеря слуха.
- Эпидуральные гематомы.
- Проникновение гноя в кровеносную систему.
- Возникновение абсцесса и т.д.
Сложность диагностики заключается в том, что проведение КТ височной кости при отите часто завершается постановкой совершенно иного диагноза - мастоидита. Объясняется это обнаружением асептической жидкости внутри сосцевидных ячеек. Грамотный же специалист должен определить точную причину имеющейся симптоматики у пациента. В частности, на мастоидит указывает воспаление костных перегородок.
Как делают КТ височных костей в специализированных клиниках?
Во время проведения компьютерной томографии, пациент располагается на специальном столе. Когда начинается обследование, стол заезжает во внутреннюю часть основного аппарата.
Сам томограф совершает вращательные движения вокруг головы человека. При этом возможен небольшой шум от его работы. Для получения максимально достоверных результатов, необходимо соблюдать абсолютную неподвижность. В некоторых случаях возможна иммобилизация головы с помощью ремней. Во время процедуры врач может попросить пациента задержать дыхание или сменить положение головы. Все это можно делать только по команде специалиста.
Компьютерная томография может делаться в нескольких проекциях:
- Фронтальная. Пациент лежит на животе или спине.
- Поперечная - на спине.
- Латеральная. При диагностике состояния височной области используется крайне редко.
У пациента есть возможность связи со специалистом во время проведения КТ. Это необходимо в том случае, если во время обследования человеку станет плохо. Если пациент страдает от клаустрофобии, то перед проведением компьютерной томографии он принимает седативные препараты, которые исключат появление панических атак.
При использовании контрастного вещества, оно вводится непосредственно перед началом процедуры. У человека возможен легкий приступ тошноты и головокружения - это абсолютно нормальная реакция организма на введенный препарат.
Сколько длится процедура?
Стандартная КТ височных костей для изучения структуры среднего и внутреннего уха проводится за 5-7 минут. Если применяется контрастное вещество, то время увеличивается до 25-30 минут. Сначала проводится аллергическая проба, вводится сам препарат, только после чего переходят к основной процедуре.
Какие показатели говорят о норме?
На основании полученного снимка врач выявляет имеющиеся патологии височной области. О норме говорят следующие показатели:
- Четкие и ровные стенки.
- Нормальная пневмотизация.
- Хорошая визуализация слуховых косточек.
- Нормальная конфигурация слухового прохода.
Любой воспалительный или гнойный процесс легко определяется при помощи данного диагностического метода. Каждое отклонение от нормы будет выявлено, что крайне важно для быстрой постановки диагноза.

Где можно сделать КТ височных костей в Санкт-Петербурге?
Если вы ищите, где сделать КТ височной кости в СПб, то диагностический рентген-центр «ЛУЧ» готов предложить вам свои профессиональные услуги. Оборудование европейского качества позволяет получать максимально достоверные диагностические сведения, которые необходимы для постановки правильного диагноза.
Наши услуги заинтересуют тех, кто не хочет тратить время на ожидание в очереди. Предварительная запись по телефону на конкретный день и время исключает эту необходимость.
Для удобства пациентов мы можем записать результаты исследования на цифровой носитель. Вы сможете предоставлять DVD-диск в любое медицинское учреждение. Также возможна отправка результатов по электронной почте.
Записаться к нам на прием можно по контактному номеру телефона, либо через онлайн-форму на сайте.
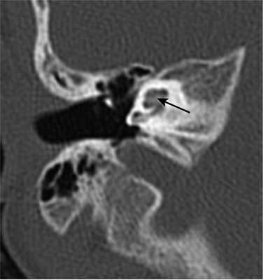
КТ височных костей при разрыве цепи слуховых косточек
Отосклероз относят к наследственным болезням с аутосомно-доминантным типом наследования. Морфологическим субстратом его является ограниченный остеодистрофический процесс, при котором в костных капсулах обоих лабиринтов параллельно протекают резорбция кости под влиянием остеокластов (отоспонгиоз) и ее новообразование (отосклероз). Заболевание характеризуется снижением слуха, шумом в ушах и головокружением. Главными диагностическими критериями отосклероза являются двусторонняя кондуктивная тугоухость, нормальные барабанные перепонки, хорошая проходимость слуховых труб, семейный анамнез. Выделяют тимпанальную, кохлеарную и смешанную формы заболевания. Для диагностики используют тимпанометрию, акустическую рефлексометрию, компьютерную томографию. Дифференциальную диагностику проводят с патологией среднего уха (экссудативный отит, последствия перенесенного гнойного отита, разрыв цепи слуховых косточек, фиксация молоточка (наковальни), врожденные пороки развития среднего уха), гидродинамическими нарушениями лабиринта (перилимфатическая фистула, синдром Минора, синдром расширенного водопровода преддверия) и врожденными синдромами.
Ключевые слова: отоспонгиоз, отосклероз, тугоухость, шум в ушах, головокружение.
Differential diagnosis of otosclerosis
Boyko N.V. 1, Kolesnikov V.N. 1, Anokhina E.A. 2
1 Rostov State Medical University, Rostov-on-Don
2 Rostov Regional Clinical Hospital No. 1, Rostov-on-Don
Otosclerosis is a hereditary disease with autosomal dominant type of inheritance, with the morphological substrate formed by a limited osteodystrophic process, in which the bone resorption take place in the bone capsules of both labyrinths under the influence of osteoclasts (otospiensis) and its neoplasm (otosclerosis). The disease is characterized by hearing loss, tinnitus and vertigo. The main diagnostic criteria of otosclerosis are the bilateral conductive hearing loss, a normal tympanic membrane, a good patency of the auditory tube, the family history. There are tympanic, cochlear and mixed forms of the disease. The tympanometry, acoustic reflexometry, computer tomography are used for diagnostics. Differential diagnostics is performed with the pathology of the middle ear (exudative otitis media, consequences of transferred purulent otitis, rupture of the auditory ossicle, fixation of the malleus (anvil), congenital malformations of the middle ear); hydrodynamic abnormalities of the labyrinth (perilymphatic fistula, Minor's syndrome, the syndrome of an enlarged aqueduct of the vestibule) and congenital syndromes.
Key words: otospongiosis, otosclerosis, hearing loss, tinnitus, vertigo.
For citation: Boyko N.V., Kolesnikov V.N., Anokhina E.A. Differential diagnosis of otosclerosis // RMJ. 2017. № 6. P. 404-408.
Статья посвящена вопросам дифференциальной диагностики отосклероза
Отосклероз относят к наследственным болезням с аутосомно-доминантным типом наследования. Морфологическим субстратом заболевания является ограниченный остеодистрофический процесс, при котором в костных капсулах обоих лабиринтов параллельно протекают два процесса: резорбция кости под влиянием остеокластов (отоспонгиоз) и ее новообразование (отосклероз). Вновь образованные участки костной ткани имеют чужеродную структуру, они больше по объему.
Распространенность
При локализации отосклеротического очага вне окна преддверия процесс обнаруживается при гистологическом исследовании секционного материала у 10% популяции. Однако лишь у одного человека из 10 гистологически подтвержденный отосклероз приводит к клинически значимой потере слуха. Таким образом, клинически манифестированный отосклероз встречается у 1% популяции.
Клиника
Заболевание начинается, как правило, в возрасте 18-30 лет.
Основные симптомы отосклероза:
1) снижение слуха (100% случаев);
2) шум в ушах (75-93% случаев);
3) головокружение и расстройство равновесия (5-25% случаев).
Снижение слуха развивается исподволь, постепенно прогрессирует, хотя скорость этого процесса весьма вариабельна.
По скорости прогрессирования тугоухости выделяют:
• медленно текущие формы (социально непригодный слух развивается в среднем в течение 9-10 лет от начала заболевания);
• молниеносные формы (в течение нескольких месяцев развивается почти полная глухота за счет вовлечения в процесс нервных элементов внутреннего уха);
• затянувшиеся формы (дебют в пожилом возрасте).
Особенности проявления тугоухости
1. Тугоухость почти всегда двусторонняя, но нередко больной жалуется на одностороннее снижение слуха, поскольку тугоухость всегда асимметрична и больному лучше слышащее ухо кажется здоровым. Разница в остроте слуха обоих ушей обычно незначительна.
2. При отосклерозе не бывает полной глухоты, больной слышит себя даже при высокой степени тугоухости, в связи с чем не развивается деформация речи, как это бывает при нейросенсорной тугоухости.
3. Начало развития заболевания у женщин часто связано с беременностью и родами.
4. Характерно улучшение слуха в шумной обстановке (paracusis Willisii), понижение разборчивости речи при глотании и жевании (deprecusis Scheer), одновременном разговоре нескольких лиц (симптом Тойнби) и при напряженном внимании (симптом Урбанича - Вальбе).
Шум в ушах обычно имеет тенденцию к усилению по мере прогрессирования тугоухости, переносится больными значительно тяжелее, чем при других формах тугоухости. В ряде случаев ушной шум лишает больных сна и аппетита и порой доводит до отчаяния, близкого к самоубийству.
Субъективный ушной шум чаще всего бывает низкотональным и напоминает шум падающей воды, ветра, прибоя, шелест листвы, гул проводов, может походить на жужжание, шипение, щелканье. Шум большей частью имеет постоянный характер, но может усиливаться под влиянием алкоголя, психических волнений, переутомления, во время насморка, после физической работы, спортивных занятий.
Выраженность субъективного шума имеет 3 степени:
I степень - ушной шум больного почти не беспокоит, и наличие этого симптома выявляется при активном опросе;
II степень - жалобы на шум в ушах предъявляются наряду с другими жалобами;
III степень - ощущение шума в ушах является ведущей жалобой больного.
Головокружение у больных с отосклерозом встречается достаточно редко. Жалобы пациента варьируют от неопределенной неустойчивости до приступов системного головокружения. Характерно позиционное головокружение, возникающее в определенном положении, при определенном повороте головы, при быстрых наклонах и запрокидывании головы, быстром вставании с постели. Причиной головокружений считают интоксикацию нервных окончаний статокинетического рецептора при распространении отосклероза на полукружные каналы и внутренний слуховой проход, а также физическую или физиологическую обструкцию водопровода преддверия, биохимические изменения состава перилимфы при вовлечении костной капсулы внутреннего уха, гидропс лабиринта в начальной стадии развития заболевания.
Диагностика
Диагноз отосклероза устанавливают на основании анамнеза, упомянутых выше симптомов, течения болезни и данных исследования слуха.
Главными клиническими критериями отосклероза являются:
1) двусторонняя кондуктивная тугоухость;
2) нормальные барабанные перепонки;
3) хорошая проходимость слуховых труб;
4) семейный анамнез.
Описанные в литературе отоскопические признаки отосклероза (широкие наружные слуховые проходы - симптом Тилло - Верховского; уменьшение или отсутствие продукции серы - симптом Тойнби - Бинга; пониженная чувствительность кожи наружного слухового прохода и барабанной перепонки - симптом Фрешельса; повышенная подвижность барабанной перепонки, ее истончение - симптомы Холмгрена, Лемперта) в настоящее время утратили свое диагностическое значение [1, 2]. Симптом просвечивания через барабанную перепонку гиперемированной слизистой оболочки промонториума (симптом Шварца) также не рассматривается как признак активности отосклероза.
Диагностика отосклероза основана на результатах клинического и аудиологического исследования.
Клинические формы отосклероза подразделяют на тимпанальную, кохлеарную и смешанную.
При тимпанальной форме происходит фиксация основания стремени в окне преддверия, его подвижность нарушается. При тональной аудиометрии у больных тимпанальной формой отосклероза определяется повышение порогов слуха по воздушной проводимости при сохранении слуха по костной проводимости, наличие костно-воздушного интервала (табл. 1). Возможно наличие зубца Кархарта - повышения порогов слуха по костной проводимости на 20-30 дБ в области 2000 Гц. Зубец Кархарта не является следствием поражения звуковоспринимающих структур и исчезает после успешного хирургического лечения.
При кохлеарной форме отмечаются прогрессирующая потеря слуха не только относительно низких, но и относительно высоких тонов, нисходящий тип кривой, отсутствие костно-воздушного интервала (рис. 1).
Основные диагностические критерии кохлеарной формы отосклероза:
1) семейный анамнез, подтвержденный стапедопластикой;
2) симметричная прогрессирующая двусторонняя сенсоневральная тугоухость с фиксацией стремени в одном ухе;
3) необычно хорошая разборчивость речи для сенсоневральной тугоухости;
4) начало развития тугоухости в соответствующем возрасте и прогрессирование без видимых причин;
5) на КТ - признаки деминерализации капсулы лабиринта;
6) оn/off-эффект при проведении импедансометрии (см. рис. 1в).
Аудиометрические изменения при кохлеарной форме отосклероза определяют необходимость проведения дифференциального диагноза с нейросенсорной тугоухостью (табл. 2).
Смешанная форма отосклероза характеризуется повышением порогов слуха как по воздушной, так и по костной проводимости, нисходящий тип кривой, костно-воздушный интервал сохранены.
Тимпанометрия. При отосклерозе подвижность барабанных перепонок сохранена, в 95% случаев обнаруживается тип тимпанограммы А (по J. Jerger) [3]. У 5% больных фиксация стремени приводит к некоторому снижению податливости звукопроводящей системы, которое сопровождается снижением амплитуды тимпанометрической кривой, и закруглению ее пика. Такую тимпанограмму относят к типу As. В некоторых случаях регистрируется тимпанограмма типа Аd, отражающая повышение амплитуды колебания барабанной перепонки при ее истончении.
Акустическая рефлексометрия является весьма информативным методом исследования для диагностики отосклероза, основана на регистрации изменений податливости звукопроводящей системы, происходящих при сокращении стременной мышцы. Адекватными стимулами для реализации акустического рефлекса служат тональные и шумовые сигналы, интенсивность которых превышает пороговые (для конкретного испытуемого) значения. Действие акустического стимула на одно ухо сопровождается сокращением мышц стремени с обеих сторон.
Определение акустического рефлекса стременной мышцы основано на регистрации изменений акустического импеданса, вызванных сокращением мышцы стремени. Необходимым условием для успешного выполнения акустической рефлексометрии является достаточный уровень стимулирующего звука. В норме порог акустического рефлекса составляет 80-90 дБ над индивидуальным порогом слуховой чувствительности (см. рис. 1а). При нейросенсорной тугоухости, сопровождающейся феноменом ускоренного нарастания громкости, пороги рефлекса значительно снижаются, достигая 35-60 дБ, а в ряде случаев 10-15 дБ. Акустический рефлекс при отосклерозе при звуковой стимуляции интенсивностью 110-115 дБ отсутствует (см. рис. 1б) или оказывается инвертированным, что считается признаком отосклеротической фиксации стремени [4].
Компьютерная томография
В последние годы появились данные о возможности использования рентгенологического метода диагностики отосклероза, который выявляет мельчайшие детали морфологического строения височной кости и обнаруживает характерные изменения в области окон преддверия и улитки, полукружных каналов и внутреннего слухового прохода.
Методика выполнения спиральной компьютерной томографии (СКТ): аксиальные и коронарные срезы с толщиной среза 0,5-0,6 мм и интервалом 0,2 мм.
Компьютерная томография позволяет обнаружить очаги новообразованной костной ткани вокруг овального, круглого окна и/или отосклеротические фокусы в костной капсуле лабиринта. Этот симптом в англоязычной литературе получил название halo sign - симптом ореола.
КТ-признаки отосклероза:
• капсула улитки имеет пониженную плотность;
• края обычные;
• толщина стремени более 0,6 мм;
• увеличение толщины передней части основания стремени (треугольная форма);
• симптом ореола;
• истончение ножек стремени.
В типичных случаях диагностика отосклероза не представляет трудности. Однако в некоторых случаях (атипичное течение, односторонняя форма заболевания, малый костно-воздушный интервал на аудиограмме, вестибулярные нарушения, нарушение разборчивости речи) заподозрить отосклероз бывает непросто [5]. Помимо этого, многие заболевания, характеризующиеся наличием кондуктивной тугоухости, могут проявляться симптомами, весьма сходными с отосклерозом.
Диффенциальная диагностика отосклероза
Патология среднего уха
Отосклероз следует дифференцировать с рядом заболеваний среднего уха, сопровождающихся кондуктивной тугоухостью. В этих случаях, помимо отсутствия семейного анамнеза, выявляют ряд опорнодиагностических признаков, характерных для конкретной патологии.
Экссудативный отит характеризуется наличием прогрессирующей тугоухости, на ранних стадиях - кондуктивной, на более поздних - смешанной. Заболевание часто начинается после перенесенного ОРВИ. Важным дифференциально-диагностическим признаком является тимпанограмма: тип В, сохранение ипси- и контралатерального акустического рефлекса. На СКТ височных костей наблюдатся патологическое содержимое в клетках сосцевидного отростка и барабанной полости без костных изменений.
Последствия перенесенного гнойного отита (адгезивный средний отит, тимпаносклероз), чаще - одностороннего. При отоскопии обнаруживаются очаги мирингосклероза или участки атрофии барабанной перепонки, ретракционные карманы. Тимпанограмма: тип Е или D, ипси- и контралатеральный акустический рефлекс на исследуемом ухе могут отсутствовать.
Разрыв цепи слуховых косточек. В анамнезе травма, односторонний характер тугоухости. Возможны изменения барабанной перепонки при отоскопии. На аудиограмме определяется равномерное повышение порогов по воздушной проводимости по всей тон-шкале, с большим костно-воздушным интервалом, при проведении тимпанометрии - тип Ad, отсутствие ипси- и контралатерального акустического рефлекса.
Фиксация молоточка (наковальни). Процесс, как правило, односторонний. На аудиограмме: кондуктивная тугоухость, возможен зубец, подобный зубцу Кархарта, на частоте 0,5 кГц. Тимпанограмма с наличием on/off-эффекта (в момент начала «включения» рефлекса имеется узкий пик). При проведении СКТ височных костей возможна дислокация молоточка и визуализация оссифицированной наружной связки (что является наиболее частой причиной фиксации).
Врожденные пороки развития среднего уха. Односторонний процесс, развивается с раннего детства. При осмотре часто встречается патология ушной раковины или изменения слухового прохода. На аудиограмме: кондуктивная тугоухость без сенсоневрального компонента. Тимпанограмма: тип А или Ad, ипси- и контралатеральный акустический рефлекс отсутствует. При проведении СКТ выявляются поражения костных структур барабанной полости в виде дисплазии или аплазии слуховых косточек, дистопии канала лицевого нерва, костные изменения в области окон лабиринта.
Гидродинамические нарушения лабиринта
Перилимфатическая фистула может возникать в следующих ситуациях: 1) травмы среднего и внутреннего уха (черепно-мозговые травмы с повреждением височной кости, акустические травмы и баротравмы, ятрогенные повреждения, возникшие в ходе операций на ухе) [6, 7]; 2) перепады внутричерепного давления (внутричерепная гипертензия при черепно-мозговых травмах, нарушение венозного оттока, значительное физическое или психоэмоциональное напряжение, сморкание); 3) хронические отиты, сопровождающиеся холестеатомой и деструкцией костных стенок лабиринта [8, 9]; 4) врожденные аномалии строения внутреннего уха (например, синдром расширенного водопровода преддверия).
Непосредственной причиной перилимфатической фистулы могут быть: разрыв мембраны круглого окна, разрыв кольцевидной связки, перелом подножной пластинки, перелом промонториума, разрыв стенки перепончатого лабиринта в области дефекта костной стенки полукружного канала. Примерно у половины пациентов проявления перилимфатической фистулы представлены развитием внезапной глухоты, ушного шума, головокружения и рвоты. В остальных случаях могут наблюдаться изолированные вестибулярные или слуховые нарушения различной степени выраженности. Головокружение появляется при громком звуке (феномен Туллио), при натуживании, чихании, кашле, при пробе Вальсальвы, при повышении давления в наружном слуховом проходе или при надавливании на козелок (фистульная проба).
Слуховые расстройства, как правило, носят характер смешанной тугоухости (наличие костно-воздушного интервала на тональных аудиограммах, приемущественно на низких частотах), часто в сочетании с выраженным ушным шумом.
Синдром Минора - синдром дегисценции костной̆ стенки верхнего полукружного канала - может возникнуть в результате травмы, новообразования или в результате врожденной аномалии развития височной кости [10]. Характеризуется слуховыми и вестибулярными нарушениями. Больные жалуются на заложенность, пульсирующий шум в ухе, гиперакузию и аутофонию. Снижение слуха носит флюктуирующий характер, на аудиограмме отмечается кондуктивная тугоухость, стапедиальные рефлексы сохранены. Вестибулярные нарушения в виде головокружения, сопровождающегося тошнотой, осциллопсией, нистагмом, появляются при громких звуках, а также при изменении давления в барабанной полости (при сморкании, в самолете). На СКТ во фронтальной или в косой коронарной̆ проекции определяется наличие дегисценции верхнего полукружного канала, возможно, в сочетании с дегисценцией крыши барабанной полости.
Синдром расширенного водопровода преддверия («фонтанирующее окно», синдром gusher) является врожденной изолированной аномалией развития височной кости [11]. Проявляется вестибулярными нарушениями и тугоухостью, которая в 90% бывает двусторонней. Потеря слуха может быть стабильной, флюктуирующей или прогрессирующей. Возможен вариант клинического течения с развитием остро наступившей, прогрессирующей тугоухости, развивающейся после минимальных травм головы или после тяжелых физических нагрузок [12]. Такие случаи объясняются развитием перилимфатической фистулы. Наибольшие трудности в диагностике отмечаются в случаях стабильной тугоухости. На аудиограммах обнаруживается нейросенсорная или смешанная тугоухость с кондуктивным компонентом на низких частотах. Отсутствие акустического рефлекса в этих случаях значительно затрудняет дифференциальную диагностику данного патологического состояния с отосклерозом [13]. При попытке выполнения стапедопластики хирург сталкивается с проблемой «фонтанирующего окна» после перфорации основания стремени.
Врожденные синдромы
Тугоухость, как правило, сопровождается изменениями со стороны других органов и систем: болезнь Paget (смешанная тугоухость в сочетании с поражением костей черепа и нижних конечностей); оsteogenesis imperfecta (голубые склеры и ломкость костей).
Читайте также:
- Возбудитель сибирской язвы. Сибирская язва. Bacillus anthracis. Эпидемиология сибирской язвы. Пути и механизмы заражения сибирской язвой.
- Значение высоты купола яремной вены в гипотимпануме. Ретротимпанум.
- Виды диссимулятивных реакций. Диссимуляция при галлюцинаторно-параноидном синдроме
- Зауербрух об операции Якобеуса. Оценка операции Якобеуса
- Естественные антитела легких. Секреторный IgA легких

