Хирургическое лечение туберкулеза у пожилых. Особенности туберкулеза у стариков
Добавил пользователь Евгений Кузнецов Обновлено: 21.11.2025
Для цитирования: ХИРУРГИЧЕСКАЯ ТАКТИКА В УСЛОВИЯХ СОВРЕМЕННОГО ТЕЧЕНИЯ ТУБЕРКУЛЕЗА ЛЕГКИХ. РМЖ. 1998;17:11.
Хирургические методы используют в лечении больных туберкулезом органов дыхания более 100 лет. Разработаны методики оперативного лечения как ограниченных, так и распространенных форм туберкулеза, применяющиеся в сочетании с противотуберкулезной химиотерапией. До 1990 г. оперативное лечение преимущественно проводили при ограниченных поражениях легких. В настоящее время в связи с учащением случаев лекарственной полирезистентности микобактерий туберкулеза приоритет отдается хирургическому лечению распространенных прогрессирующих процессов в легких.
Surgical interventions are used in the treatment of patients with pulmonary tuberculosis over 100 years. Surgical techniques in combination with antituberculosis drug therapy both for restrictive and disseminated tuberculosis have been developed. Before 1990, surgery was made chiefly in restrictive pulmonary diseases. Due to the greater cases of Mycobacterium tuberculosis multiresistance, surgery for disseminated progressive processes in the lung is of high priority.
В.Н. Наумов — профессор, доктор мед.наук, руководитель отдела хирургии ЦНИИ туберкулеза РАМН
А.Я. Шайхаев — доктор мед. наук, ведущий научный сотрудник ЦНИИ туберкулеза РАМН
К.В. Токаев — доктор мед. наук, ведущий научный сотрудник ЦНИИ туберкулеза РАМН, Москва
V.N. Naumov — Prof., MD, Head, Department of Surgery, Central Research Institute of Tuberculosis, Russian Academy of Medical Sciences A.Ya.
A.Ya. Shaikhayev — MD, Leading Researcher, Central Research Institute of Tuberculosis, Russian Academy of Medical Sciences
K.V. Tokayev — MD, Leading Researcher, Central Research Institute of Tuberculosis, Russian Academy of Medical Sciences, Moscow
В России наблюдается рост показателей заболеваемости туберкулезом, в том числе с бактериовыделением, и смертности от него на 70% и более по сравнению с 1990 г. Особое значение имеет увеличение числа больных с тяжелыми остропрогрессирующими формами заболевания, первичной полирезистентностью микобактерий туберкулеза (МБТ) и вторичным иммунодефицитом, которые способствуют развитию эпидемии туберкулеза, а ее последствия, представленные в прогнозах для населения России и других стран мира, крайне неблагоприятны . Антибактериальная комбинированная полихимиотерапия при этих формах туберкулеза часто малоэффективна вследствие лекарственной резистентности МБТ, нарушений иммунитета и др. Поэтому особенно остро встает проблема повышения противоэпидемической роли фтизиохирургии, а также разработки методов спасения обреченных на неблагоприятный исход больных, как правило, молодого и среднего возраста.
Таблица 1. Виды оперативных вмешательств (в %) по поводу туберкулеза органов дыхания, проведенных в ЦНИИТ РАМН за период с 1975 по 1996 г.
Сроки выполнения
1975 - 1990 гг. (n=6416)
1992 - 1996 гг. (n=1008)
кавернопластика, торакопластика, ЛЭП)
Исторический путь развития хирургических методов лечения больных туберкулезом легких и плевры в мире и в России насчитывает более 100 лет. Хирургия туберкулеза легких стала важной проблемой во всем мире еще в доантибактериальный период. В нашей стране Н. Г. Стойко выполнял операции торакопластики, начиная с 1917 г. В 1936-1938 гг. Л.Л.Богуш в Нижнем Новгороде успешно проводил операции перевязки легочных вен, удаления доли пораженного туберкулезом легкого. К 60-м годам эпидемиологическая ситуация в Европе и Америке значительно улучшилась, и количество операций стало уменьшаться. В Советском Союзе в связи с сохраняющейся высокой распространенностью туберкулеза с 1961 г. была принята государственная программа по его хирургическому лечению. При областных противотуберкулезных диспансерах (ПТД) были открыты типовые хирургические отделения, подготовлены специалисты-фтизиохирурги.
Таблица 2. Эффективность хирургических вмешательств при туберкулезе органов дыхания, проведенных в 1992 - 1996 гг., в ЦНИИТ РАМН
Названия операций
Клинический эффект, %
Летальность, %
Количество операций по поводу торакального туберкулеза постоянно увеличивалось и к 1989 г. достигло 28 000 в год. Были разработаны методы хирургического лечения как ограниченных, так и распространенных туберкулезных поражений легких, исключая остро прогрессирующие формы, в том числе казеозную пневмонию.
Начиная с 90-х годов отмечено нарастание частоты развития остропрогрессирующих форм туберкулеза легких, включая казеозную пневмонию, плохо поддающихся противотуберкулезной терапии. Происшедшие изменения в клиническом течении туберкулеза легких потребовали коррекции хирургической тактики и разработки новых хирургических методов лечения, применимых при остропрогрессирующих формах туберкулеза.
Таблица 3. Пневмонэктомия при двустороннем туберкулезном поражении
В настоящее время фтизиохирургия должна ориентироваться в первую очередь на совершенствование методов хирургического лечения больных с заразными прогрессирующими формами туберкулеза, чтобы предотвратить рост резервуара инфекции и добиться снижения показателя смертности. Совершенствование методов химиотерапии, особенно внедрение новых программ противотуберкулезной терапии, новых мощных антибиотиков широкого спектра и иммуномодуляторов, совершенствование хирургической и анестезиологической техники, использование новых технических средств открывают новые возможности для расширения показаний к операциям у ранее бесперспективных больных, даже с двусторонними деструктивными процессами. Таким образом, сформировались условия для пересмотра хирургической тактики.
Табл. 1 показывает изменения в структуре хирургических операций у больных туберкулезом легких, проведенных в хирургическом отделе ЦНИИ туберкулеза РАМН за последние 20 лет.
Частичные, экономные и комбинированные резекции легких при ограниченных туберкулезных процессах ранее были основными во фтизиохирургической службе по стране и составляли более 80 % всех операций при туберкулезе. Показания к этим видам операций и техника их выполнения хорошо отработаны, прошли испытание временем и не претерпели существенных изменений. Общее сокращение числа частичных резекций с 27,4 до 13,9 % объясняется не столько поздней выявляемостью ограниченных форм туберкулеза (снижение роли профилактических осмотров, флюорографии), но и социально-экономическими причинами. Эффективность частичных резекций легких в нашей клинике остается на уровне 98,4 % (табл. 2) .
В арсенале фтизиохирургических вмешательств значительное место вновь приобретают нерезекционные методы лечения: варианты эндокавитарного, в том числе лазерного лечения, экстраплеврального пневмолиза (ЭПП), кавернотомия, кавернопластика, торакопластика, вскрытие полости эмпиемы, торакомиопластика, сроки выполнения которых необоснованно затягиваются на местах. Этот вид операций в нашей клинике составляет от 19,5 до 21,7 %. Основные показания к этим операциям остались прежними: большие (в том числе двусторонние) каверны на фоне обширной диссеминации как основной источник интоксикации при неэффективности полихимиотерапии и прогрессирующем течении заболевания, когда радикальные операции противопоказаны из-за распространенности процесса или ограниченности функциональных резервов пациента. В последние годы уменьшилось число пациентов, которым показана одномоментная кавернопластика. При этом наиболее часто использовались ЭПП, одно- и двухэтапные кавернотомии как самостоятельные (11 %) операции, которые не сопровождались серьезными осложнениями и у 85,7 % больных позволили прекратить бацилловыделение и стабилизировать распространенный туберкулезный процесс. Новый вариант открытого ЭПП весьма щадящий, выполняется с резекцией участков 2-3 ребер (в зоне над каверной), преимущественно из подмышечного доступа с последующим местным лечением каверны путем пункций с введением антибиотиков, использованием различных видов физического воздействия. Такие операции можно проводить в качестве предварительного эффективного лечения с целью стабилизации двустороннего туберкулезного процесса и подготовки к радикальному оперативному вмешательству на стороне основного поражения. Авторы использовали этот вид операций более чем у 40 больных, а за последние 5 лет - у 18 человек при поражении единственного легкого. Кроме того, ЭПП у 21 пациента сочетался с одномоментными этапными (в том числе комбинированными) вмешательствами на контрлатеральном легком. Разработанные в нашей клинике и используемые в настоящее время операции уникальны в мировой практике и могут сыграть еще большую роль в излечении распространенных прогрессирующих деструктивных форм туберкулеза.
Важным разделом современной фтизиохирургии является разработка методов предоперационной подготовки с целью стабилизации туберкулезного процесса, лечение сопутствующих заболеваний: интенсивное местное лечение (пункции, дренирование каверн, внутрилегочное и внутрикавитарное введение препаратов), коррекция легочно-сердечной недостаточности, компенсация сахарного диабета и др.. Прослеживается тенденция использования современных, иммунокорригирующих средств, методов экстракорпоральной детоксикации для эффективного и быстрого способа подготовки к обширным вмешательствам вплоть до плевропульмонэктомии у больных, которые ранее считались неоперабельными и некурабельными.
Классическая плеврэктомия, в том числе и с резекцией легкого, при эмпиеме плевры составила 1,2% против 2,3 % в 80-е годы.
Объясняется это не только уменьшением числа пациентов с постпневмотораксной эмпиемой плевры, но и возрастанием числа больных с хроническими экссудативными плевритами, в излечении которых роль хирургических методов часто незаслуженно принижается.
По данным ПТД, в последние годы увеличился поток больных с экссудативными плевритами среди вновь выявленных больных туберкулезом легких. Общая лечебная сеть отправляет их в ПТД, а последние практически не учитывают, что в случаях хронизации воспалительного процесса в плевре оперативное лечение (в сроки до года от начала заболевания) эффективно и позволяет полностью восстановить функцию дыхания. Поэтому фтизиохирургам следует ориентироваться на раннее (через 4 - 8 мес от момента начала заболевания) применение реконструктивных операций при хронических плевритах и начальных стадиях хронической эмпиемы плевры. Эффективность при этом достигает 98,1%. На операцию удаления легкого (пневмонэктомия, плевропневмонэктомия, доудаление остатков легкого) приходится сейчас 16,2 % вместо 13,4 % в прошлые годы. Послеоперационная летальность достигает 8,1 - 9,2%, эффективность - 86,3 %. Показания для пневмонэктомии при так называемом стабильном одностороннем распространенном деструктивном туберкулезе в настоящее время имеются значительно реже (не более 15%). Оказывается, удельный вес пневмонэктомий обусловлен ростом (до 55%) числа остропрогрессирующих форм фиброзно-кавернозного туберкулеза и его осложнений (пиопневмоторакса, легочных кровотечений), случаев полирезистентности МБТ, когда современная полихимиотерапия уже неэффективна и бесперспективна. При этом пневмонэктомия как одномоментная операция может быть выполнена только у 62,5 % пациентов. Эффективность операции удаления всего легкого при относительно стабильном варианте клинического течения составляет 92%, без летальных исходов. В остальных случаях пневмонэктомия является заключительным этапом комплексного хирургического лечения больных двусторонним осложненным прогрессирующим деструктивным туберкулезом легких (табл. 3) .
Эффективность этапной пневмонэктомии составляет 82,6 % при летальности 10-12,4 % случаев (см. табл. 2). Метод более эффективен, чем одномоментная пульмонэктомия у аналогичных групп больных.
Ключевым моментом новой хирургической тактики при развившихся осложнениях, таких как бронхиальные, торакальные свищи, остеомиелиты ребер, двусторонние осложненные процессы, является трансстернальная трансперикардиальная окклюзия главных бронхов и легочных сосудов на стороне основного поражения. При этом одновременно на стороне меньшего поражения (практически единственного легкого!) осуществляют такие вмешательства, как ЭПП с тампонадой, этапные кавернотомии, реже - частичные резекции. На стороне основного поражения одновременно производят вскрытие полости эмпиемы и каверны с открытой тампонадой. Для предотвращения тяжелой дыхательной недостаточности одномоментно производят трахеостомию с последующей длительной искусственной вентиляцией легких (иногда до 1 - 1,5 мес). Комплексное лечение после первого хирургического этапа, включающее использование полихимиотерапии, экстракорпоральных методов детоксикации, различных типов лазеров, УФО, парентерального питания, позволяет в большинстве случаев подготовить таких пациентов к заключительной операции - удалению легкого.
Таким образом, гармоничное применение всего арсенала фтизиохирургических вмешательств, которые могут выполняться у значительного числа нуждающихся, по нашему убеждению, позволяет значительно снизить резервуар инфекции, расширить возможности хирургического излечения наиболее тяжелой группы больных туберкулезом органов дыхания всех возрастов и определяет хирургическую тактику, соответствующую требованиям времени.
1. Богуш Л.К. Хирургическое лечение туберкулеза легких .- М., 1979.
2. Репин Ю.М. Хирургия отягощенных форм туберкулеза .- Л., 1984.
3. Перельман М.И., Стрельцов В.П., Наумов В.Н. / Органощадящие оперативные вмешательства во фтизиопульмонологии .- М., 1989 -. С.4-7.
Контент доступен под лицензией Creative Commons «Attribution» («Атрибуция») 4.0 Всемирная.
Пройдя регистрацию вы можете добавлять в избранное понравившиеся статьи, а также получите подборку статей по вашей специальности
Хирургическое лечение туберкулеза легких и плевры с лекарственной устойчивостью возбудителя
Современная эпидемиологическая ситуация по заболеваемости туберкулезом во всем мире характеризуется распространением возбудителей туберкулеза с лекарственной устойчивостью, что снижает эффективность лечения и повышает смертность от этой инфекции [1, с.81; 8, с.108; 9, р.384].
Эффективность лечения больных туберкулезом с лекарственной устойчивостью ниже, даже при использовании всех современных средств [1, с.81; 2, с.87; 3, с.91]. Лекарственная устойчивость микобактерий при туберкулезе легких развивается при продолжительных сроках заболевания из-за серьезных нарушений в организации и проведении химиотерапевтического лечения, недисциплинированности больных и недостаточном соблюдении лечебного режима. Лечение резистентного туберкулеза легких с использованием резервных препаратов является длительным и дорогостоящим, чаще вызывают побочные реакции. В связи с этим в оздоровлении указанного контингента больных важная роль принадлежит хирургическим методам лечения [4, с.45; 5, с.20; 6, с.48]. Современный уровень легочной хирургии и внедрение в клиническую практику новых оперативных технологий и эффективных противотуберкулезных химиопрепаратов позволили расширить объем хирургической помощи для больных туберкулезом легких с лекарственной устойчивостью [5, с.22; 6, с.49].
Результаты операций по поводу туберкулеза легких и плевры, выделяющие лекарственно-устойчивые микобактерии туберкулеза изучены у 296 больных. Мужчин было - 152 (51,4%), женщин - 144 (48,6%), в возрасте от 16 до 66 лет. Большинство больных было в молодом и трудоспособном возрасте от 16 до 50 лет (251-84,8%). Первично выявленный лекарственно устойчивый туберкулез обнаружен у 104 больных (35,1%), ранее леченный - у 192 (64,9%). На основании комплексного рентгенологического исследования односторонний туберкулезный процесс установлен у 229 больных (77,4%), двусторонний - 67 (22,7%). Фиброзно-кавернозный туберкулез установлен у 168 больных (56,7%), туберкулема - у 44 (14,9%), ригидный плеврит - у 22 (7,4%), кавернозный туберкулез - у 18 (6,1%), цирротический туберкулез - у 16 (5,4%), инфильтративный с распадом осложненный пиопневмотраксом - у 12 (4,1%), казеозная пневмония - у 2 (0,7%), плевро-легочные осложнения после резекции легких - у 14 (4,7%). Наблюдались следующие осложнения туберкулезного процесса: кровохарканье - у 51, легочное кровотечение у 14, пневмоторакс - у 21, эмпиема плевры - у 38, свищи - у 24, аспергиллез - у 19, микозы - у 42, перикардит у 37, вторичное абсцедирование у 16, ателектаз легких у 15, хроническая почечная недостаточность - у 11, легочно-сердечная недостаточность - у 176, амилоидоз внутренних органов - у 5, медиастенальная грыжа - у 22 больных. У всех больных в мокроте и в операционном материале выявлены резистентные штаммы микобактерии туберкулеза бактериологическими методами исследования (GeneXpert, HAIN, MGIT, среда Левенштейна-Йенсена). Так, полирезистентная лекарственная устойчивость выявлена у 21 больных (7,1%); множественная лекарственная устойчивость - у 233 (78,7%), широкая лекарственная устойчивость - у 42 (14,2%).
У больных выявлены 367 различных сопутствующих заболеваний, в том числе сахарный диабет - у 79, хронические гепатиты - у 71, гипертоническая болезнь - у 44, ишемическая болезнь сердца - у 39, хронические неспецифические болезни легких - у 38, , язвенная болезнь - у 4, хронический пиелонефрит - у 3, сифилис - у 2, анемия - у 87 больных.
В предоперационном и послеоперационном периоде в схему антибактериального лечения включали в зависимости от чувствительности препараты первого, второго и третьего ряда. У большинства больных продолжительность подготовки не превышала 2 мес. Такая продолжительность при комплексной терапии предоперационной подготовки позволил достигнуть относительную стабилизацию легочного туберкулеза у 236 больных (79,7%).
У 296 больных выполнены в общей сложности 450 операций, из них у 84 (28,3%) - этапные операции. Различные виды атипичных резекций легких выполнены у 60 случаях, анатомичные резекции сегментов выполнены в 22 случаях, лоб/билобэктомия в 69 случаях, комбинированная резекция в 53 случаях, пневмонэктомия и плевропневмонэктомия в 94 случаях, отсроченные торакопластики в 84 случаях, трансстернальные окклюзии главных бронхов в 18 случаях, трансторакальное удаление дистальной культи главных бронхов в 4 случаях, торакомиопластика с использованием m.latissimus dorsi на сосудистой ножке в 3 случаях, плеврэктомия с декортикацией с резекцией легкого или без неё в 18 случаях, резекция бифуркации с бронхо - трахеальным анастомозом в 1 случае, транстернальная окклюзия главного бронха с атипичной резекцией единственного легкого в 1 случае.
В послеоперационные осложнения развились у 38 больных (12,8%). Бронхиальный свищ и эмпиема плевры наблюдалось у 8 больных, остаточная полость без свища - у 12, свернувшаяся гемоторакс - у 1, легочно-сердечная недостаточность -у 4, послеоперационная пневмония - у 10, профузное легочное кровотечение - у 1, пневмоторакс - у 2.
Проводимыми терапевтическими и повторными операциями послеоперационные осложнения полностью ликвидированы у 19 больных (50,0%). Хорошие ближайшие результаты установлены у 277 больных (93,5%). Необходимо отметить, что эффективность хирургического лечения непосредственно зависить от характера лекарственной устойчивости, так при полирезистентной лекарственной устойчивости хорошая эффективность составила 100,0%, при множественной лекарственной устойчивости - 96,5%, при широкой лекарственной устойчивости - 73,8%. Удовлетворительные результаты у 9 больных (3,1%) были обусловлены с послеоперационными осложнениями. Неудовлетворительные результаты констатированы у 4 больных (1,4%). Причинами такого исхода служили эмпиема остаточной плевральной полости, а также обострение туберкулезного процесса в оперированном и контрлатеральном легком с клиническими проявлениями и дыхательной недостаточности. Госпитальная летальность наступила у 6 больных (2,0%).
Таким образом, хирургическое лечение лекарственно-устойчивого туберкулеза легких, несмотря на клиническую тяжесть болезни и соответственно высокий хирургический риск, является важным и эффективным этапом заключительного лечения. Достигнутые результаты оперативных вмешательств (93,5% хорошего эффекта и 3,1% - удовлетворительного) следует считать достаточно высокими.
Выводы
- Оптимальной хирургической тактикой при хирургическом лечении МЛУ ТБ легких и плевры следует признать выполнение анатомических, радикальных операций. На основании нашего опыта хирургического лечения, можем делать выводы, что при ограниченном и локальном легочном процессе резекционные операции являются высокоэффективным методом лечения, позволяющих достигнуть хороших ближайшие результатов в 93,6% случаев.
- Сочетание резекционных операций с отсроченной корригирующей экстраплевральной торакопластикой значительно улучшает результаты лечения распространенных форм туберкулезного процесса, в том числе уменьшает риск возникновения послеоперационных плевро-легочных осложнений.
Основные термины (генерируются автоматически): больной, лекарственная устойчивость, хирургическое лечение, туберкулезный процесс, HAIN, легочно-сердечная недостаточность, легочное кровотечение, множественная лекарственная устойчивость, полирезистентная лекарственная устойчивость, широкая лекарственная устойчивость.
Особенности течения туберкулеза у лиц пожилого и старческого возраста
Проблема туберкулеза у лиц пожилого и старческого возраста всегда интересовала исследователей. Этому способствовали: высокая заболеваемость туберкулезом среди лиц данной возрастной группы, как правило, позднее выявление заболевания из-за трудностей привлечения к обследованию, высокая эпидемиологическая опасность, своеобразие клинических проявлений и течения заболевания, сложности в лечении туберкулеза в пожилом возрасте вследствие частоты сопутствующих заболеваний, функциональных расстройств, плохой переносимости лекарственных средств, в частности противотуберкулезных препаратов.
В данной возрастной категории бактериовыделителями являются 60 % больных туберкулезом легких, микобактерии туберкулеза методом бактериоскопии
обнаруживаются в 85 % случаев, что свидетельствует о массивности бактериовыделения (Литвин Л. М., 1960; Рейнвальд А. А., 1973; Пунга В. В.,1999).Среди причин более высокой заболеваемости туберкулезом лиц пожилого и старческого возраста основное значение придается факторам медико-социального характера, влияющим на течение болезни (Урсов И. Г.,1990; Горбач Н. А., 1994; Саин Д. О., 1997; Худушина Т. А., 1999).
Проблемы неблагополучных показателей по туберкулезу в России позволяют акцентировать внимание на туберкулезе легких у лиц пожилого и старческого возраста.
Удельный вес туберкулеза у лиц пожилого и старческого возраста в структуре возрастной заболеваемости 2019г. в Ибресинском районе ЧР составляет— 20 %. Проблема выделения туберкулёза легких у лиц пожилого и старческого возраста продиктована особенностями физиологическихи патогенетических процессов, снижением диагностической ценности многих симптомов заболевания, несвоевременностью его диагностики, недостаточной эффективностью консервативной химиотерапии, наличием лекарственно-устойчивых форм микобактерий туберкулеза (МБТ), высоким удельным весом сопутствующей патологии, возникновением побочных реакций на препараты.
Цель исследования — изучить особенности течения туберкулеза легких у лиц пожилого и старческого возраста, находившихся под наблюдением фтизиатрической службы Ибресинского района ЧР в 2010-2019г.г.
Материалы и методы.
На этапе исследования медико-социальных факторов были подвергнуты анализу данные лечения 42 больных пожилого и старческого возраста, впервые выявленных в Ибресинском районе в период 2010-2019 гг., использовались сведения, содержащиеся в соответствующей медицинской документации: выписка из медицинской карты стационарного больного — форма № 027у и медицинская карта амбулаторного больного — форма № 025/у.
Все больные детально обследованы с помощью клинико-рентгено-лабораторных методов. Большое значение придавали микробиологической диагностике (микроскопия мазка мокроты, посев мокроты на плотные питательные среды Левенштейна-Йенсена с последующим определением чувствительности выделенных культур к противотуберкулезным препаратам).
Анализ статистических данных показал, что на фоне снижения общего количества больных туберкулезом легких в Ибресинском районе ЧР за период с 2010г.-2019г., сохраняется устойчивая тенденция роста количества впервые выявленных больных пожилого и старческого возраста за аналогичный период с 11.1 в 2010г. до 21,9 в 2019г. на 100 тыс. населения за счет увеличения общего количества лиц пожилого возраста.
Сложные социально-экономические условия жизни людей пожилого и старческого возраста существенным образом повлияли на увеличение заболеваемости туберкулезом в данной возрастной группе населения:

Рис. 1. Динамика количества впервые выявленных больных туберкулезом легких в Ибресинском районе ЧР за 2010-2019 гг.
Проведен анализ 42 выписок из историй болезни лиц пожилого и старческого возраста, находившихся на лечении в стационаре БУ «РПТД» ЧР с туберкулезным процессом в легких. Больные были разделены на две группы: 1-я — возрастная группа 55-64 лет; 2-я — 65 лет и старше. Всем больным при поступлении в стационар назначалось специфическое лечение в соответствии со стандартами режимов химиотерапии (ПриказМинздрава РФ от 2003 № 109) на фоне патогенетических средств. Коррекция режима химиотерапии проводилась после результатов исследования на лекарственную устойчивость возбудителя или из-за плохой переносимости или побочного действия препаратов на фоне сопутствующих заболеваний. Эффективность лечения оценивали на основании контрольного бактериологического и лучевого обследования, проводившихся по окончанию основного курса интенсивной фазы лечения.
Среди больных 1-й группы (27 человек) преобладали лица мужского пола — 70,3 % случаев. В структуре клинических форм туберкулеза легких доминировали: инфильтративный туберкулез -74 % случаев, диссеминированный туберкулез легких — 18,5 % и туберкуломы легких были в 7,4 % случаев.
Сложность проблемы старческого туберкулеза в значительной степени обусловлена трудностями и несвоевременностью диагностики. Одной из причин этого положения является нерегулярность проведения флюорографического обследования пожилых людей при обращении к врачу. Точнее говоря, среди них есть немало таких, которые в течении нескольких лет не обращаются к участковым терапевтам за направлениями на рентген-флюорографическое обследование легких. Да и врачи часто забывают о том, что такие обследования люди пожилого возраста должны делать раз в год. В результате «пожилой туберкулез» обычно выявляется лишь при обращении за медицинской помощью по поводу самых различных и преимущественно нехарактерных жалоб.

Эпидемиологическая ситуация по туберкулезу во многом зависит от своевременного выявления больных туберкулезом.
Следует отметить, что удельный вес больных туберкулезом, выявленных при профосмотрах в Ибресинском районе ЧР, увеличился и составил 100 % в 2019г. (для сравнения: в 2011г. — 45 %; в 2012г. — 82,7 %; в 2013г. — 100 %; в 2019. — 100 %), среди лиц пожилого и старческого возраста- с 33,7 % в 2010г. до 100 % в 2019г. в связи с улучшением флюоро-обследования данной категории граждан.
Ежегодно до 2016г. в районе выявлялись случаи запущенной формы туберкулеза, но в связи с улучшением профилактической работы по раннему выявлению туберкулеза, снизился удельный вес впервые выявленных с запущенным туберкулезом с 21,7 % в 2010г. до о: 2016-2019г.г., а среди лиц пожилого возраста с 8,6 % в 2010г. до 0: в 2013-2019г.г. Анализ случаев туберкулеза показывает, что запущенные формы, как правило, выявляются у лиц, не проходивших флюорографию более двух лет.

С учетом высокого риска развития туберкулеза легких у лиц пожилого и старческого возраста, необходимо проведение ежегодных профилактических флюорографических осмотров данного контингента.
Начало заболевания у больных I группы было острым у 60 % больных, подострое
Высокий удельный вес резко выраженных токсических побочных эффектов противотуберкулезных препаратов со стороны поражения внутренних органов: печени, центральной нервной системы, желудочно-кишечного тракта, сердечно-сосудистой и кроветворной систем, не только снижали приверженность больных к лечению, но и приводили к отказу от него. Дальнейшее ведение таких больных требовало той или иной коррекции режимов лечения: уменьшение средней терапевтической дозы, разобщение совмещенности по времени приема лекарств, назначение протекторов, усиление патогенетической и симптоматической терапии, в том числе и по сопутствующей патологии.
Для проведения интенсивного этапа лечения больным пожилого и старческого возраста целесообразно назначать стандартные режимы химиотерапии туберкулеза, которые превосходят по эффективности индивидуальные схемы лечения. Применение стандартных режимов химиотерапии увеличивает частоту и сокращает сроки прекращения бактериовыделения. Негативация мокроты среди больных бактериовыделителей во 2-й группе к завершающему этапу стационарного лечения была достигнута в 62,5 %, т. е у 5 больных.
Применение хирургических методов лечения в ранние сроки от начала лечения позволяет улучшить результаты лечения больных туберкулезом с МЛУ, снизить летальность, избежать формирования ФКТ легких.
Доказано, что для легочного МЛУ ТБ, не отвечающего на множественную химиотерапию, эффективным является хирургическая резекция.
Результаты исследования лечения туберкулеза лёгких AFB (+) у пожилых людей режимом 2SHRZ/ 4RHE в 74-й центральной больнице Вьетнама
В статье представлены результаты исследований клинических и субклинических особенностей у больных был туберкулез лёгких AFB (+). Оценка результатов лечения туберкулеза лёгких AFB (+) режимом лечения 2SHRZ/4RHE в 74-й центральной больнице во Вьетнаме.
Ключевые слова: клинические и субклинические особенности, результаты лечения, туберкулеза лёгких.
Последнее время увеличение заболеваемости туберкулезом лёгких AFB (+) у пожилых людей является проблемой во многих странах мира, в том числе есть и в нашей стране [1]. Поскольку организм уменьшается иммунитет, пожилые люди более подвержены туберкулезу легких. Если у молодых людей бактерии проникают в организм извне, вызывая заболевание, являются основными, то у пожилых людей причиной возникновения бактерий в основном являются старые поражения в организме, которые вырастают. Выявление туберкулеза легких у пожилых людей может быть отсрочено, потому что многие пожилые люди страдают от хронических респираторных заболеваний, симптомы этих заболеваний похожи на симптомы туберкулеза легких (кашель, боль в груди. ), поэтому, больные туберкулезом легких ошибочно думают о другом заболевании [2]. В 2014 году национальный центр по туберкулезу разработал схему 2S (E) HRZ/4RHE для пожилых людей. Поэтому исследований, связанных с вышеуказанным режимом, немного. Поэтому мы проводим исследования по данной теме со следующими целями:
1. Описание некоторых клинико-субклинических особенностей туберкулеза легких AFB (+) у пожилых людей.
2. Оценка результаты лечения схемы 2SHRZ/4RHE у пожилых людей.
2.1 Объект исследований: 83 пожилых пациентов, диагностированы туберкулез легких AFB (+).
2.1.1 Диагностические критерии.
— У пожилых пациентов (в возрасте 60 лет и старше) есть диагностирован туберкулез легких (+) по 1 из 3 следующих критериев:
+ Как минимум 2 образцов AFB (+) из 2 разных образцов мокроты.
+ Образец мокроты AFB (+) и существует прогрессирующее изображение туберкулеза легких на рентгенограмме.
+ Образец мокроты AFB (+) и положительная культура.
- Пациент был впервые диагностирован с туберкулезом, никогда не лечился от туберкулеза или получал лечение от туберкулеза менее 1 месяца.
2.1.2 Критерии исключения.
+ Пациенты с туберкулезом легких, получающие лечение по другим схемам.
+ Исключить случаи отмены лечения, смерть не из-за токсина лекарств и возраст до 60 лет.
2.2 Метод исследований.
+ Тип исследования: ретроспективное исследование.
+время и место исследования: Исследование проводилось с 09/2015 по 12/2016 в 74 -й центральной больнице.
— Размер образцов исследования и порядок проведения: произвольный образец
— Индикаторы исследования: Клинические поражения XQ, классифицированные в соответствии с основными поражениями на рентгенограмме легких по Лопо де Карвалью, включая 4 типа туберкулёзов легких: не кавернозные инфильтраты (1a) и каверна (1b), точный туберкулез легких не имеет каверну (2a) и каверна (2b), туберкулез характеризуется небольшими размерами поражений (3), туберкулез легких без каверны (4a) и каверна (4b). Оценка повреждения легких по Американской торакальной ассоциацией (ATS): Степени I: незначительная травма; периодическая травма, отсутствие каверн, поражения, не превышающие объем легких, ограниченный ребристым суставом 2 и поясничным отделом позвоночника 4. Степень II: умеренные поражения; поражения в одном или обоих легких, ширина поражения не превышает следующего предела: если поражение является тяжелым и единым, то не более 1/3 легкого, если имеются каверны, то сумма диаметров каверн меньше 4 см. Степень III: когда поражения легких превышает предел уровня II. Результаты бактериального культивирования до и после лечения по схеме 2SHRZ/4 RHE на испытуемых. Оценка результатов лечения: вылечены: анализ мокроты 02 раза с 5-го месяца лечения — отрицательные результаты. Неудача: анализ мокроты с 5-го месяца лечения — положительный результат.
2.3. Анализ иобработка данных:
Данные, собранные в ходе исследования, были обработаны с помощью программного обеспечения SPSS 16.0. Используя медицинские статистические алгоритмы, сравнивая проценты, средние значения, статистически значимые уровни в статистических тестах есть 0,05.
3. Результаты исследований.
3.1. Общие характеристики: Среди 83 исследованных пациентов было 34 пациента женского пола (41,0 %), 49 пациентов мужского пола (59,0 %), (p > 0,05), возраст 60-69 (37,3 %) самый молодой — 60, самый старый — 92. Время обнаружения заболевания меньше 2 месяца (57,8 %); от 2 до 4 месяцев (34,9 %); (7,3 %) пациенты имеют время обнаружения заболевания более 4 месяцев.
— тип возникновения туберкулеза легких: подостра 42/83 (41,0 %), медленна 34/83 (41,0 %, 7/83 (8,4 %), остра (8,4 %).
— Комбинированные заболевания: 54/83 (65,1 %) имели комбинированные заболевания: гипертония (26,5 %); сахарный диабет (21,3 %); язвенная болезнь желудка (10,8 %), хронический бронхит (6,1 %).
Хирургическое лечение туберкулеза у пожилых. Особенности туберкулеза у стариков
Туберкулез (ТБК) у больных пожилого и старческого возраста продолжает оставаться одной из важных клинических проблем для врачей общей практики, неспециализированных отделений и стационаров. По многочисленным данным, наибольший процент ошибок в диагностике ТБК в клинике внутренних болезней отмечается у пожилых и стариков. Примечательно, что со временем ситуация практически не меняется, несмотря на совершенствование методов диагностики ТБК и появление современных лучевых, эндоскопических и микробиологических методов исследования.

Рис. 1. Легочные проявления туберкулёза

Рис 2. Туберкулезная гранулема в лимфатическом узле.
В правой части рисунка видна клетка Лангханса.
Не меньшие трудности возникают при диагностике милиарного ТБК легких при наличии рентгенологических признаков легочных диссеминаций. Одним из объективных источников ошибок в диагностике ТБК легких у стариков являются часто встречающиеся в данном возрасте заболевания со сходной синдромной картиной. На эти неспецифические воспалительные заболевания (например, опухоли) клиницисты нацелены в большей степени из-за их частоты и общепризнанной реальности в позднем возрасте. Милиарный ТБК легких был наиболее частой формой при патолого-анатомическом исследовании умерших (средний возраст 84,5 года), которым прижизненно ставился диагноз опухолевых заболеваний [3].

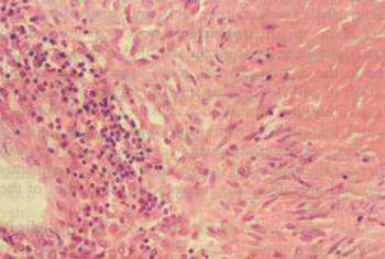
Рис. 3. Туберкулезная гранулема. В правой части рисунка виден казеозный некроз (эозиновая окраска). Некроз окружен зоной макрофагов, которые превращаются в эпителиоидные клетки. Эта зона окружена кольцом лимфоцитов, которые представлены CD8+ клетками.
В другом исследовании [2] из 85 умерших, у которых активный ТБК был диагностирован при патолого-анатомическом исследовании, у 12 больных (средний возраст 79,5 года) прижизненно диагностировался рак, причем рентгенологические изменения обнаруживались у половины больных .
Трудности своевременного распознавания ТБК у стариков усугубляются тяжестью состояния больных в связи с далекозашедшим процессом, а также декомпенсацией сопутствующих заболеваний (сердечная и дыхательная недостаточность, анемии и т.д.). Последние часто выступают на первый план в клинической картине заболевания. С другой стороны, тяжесть состояния больных и нередко краткость их пребывания в стационаре (в связи с летальным исходом) не всегда позволяют провести детальное и целенаправленное обследование.
Патогенетическим фоном развития ТБК в позднем возрасте могут быть инволюционный Т-клеточный иммунодефицит, нарушения в местной защите легких [4], а также иммунодефицитные состояния, обусловленные тяжелыми состояниями (опухоли, сахарный диабет, лечение антибиотиками, глюкокортикоидами, несбалансированное питание).
Читайте также:
